• Autoimmune disease with formation autoantibodies,
immune-complexes and immune dysregulation resulting in
damage to kidney, skin, blood cells, CNS, etc
• Etiology: Genetics, Hormonal imbalances, Environmental
causes (Sunlight, Drugs, etc) leading to immune
dysregulation
• Autoantibodies and immune-complexes are produced
against DNA, other nuclear antigens, Ribosomes, Platelets,
Erythrocytes, Leukocytes and other tissue-specific antigens
Systemic Lupus Erythematosus
• Female : Male = 4:1
• Around 30-40yrs of age
• Erythematous patches on face with symmetrical pattern over
the cheeks and across the bridge of nose in a Butterfly
Distribution
• Neck, upper arms, shoulders and fingers may be affected
• Lesions present itching or burning sensations as well as areas
of hyperpigmentation
• Severity is intensified by exposure to sunlight
Clinical features
• Kidney: Fibrinoid thickening of glomerular capillaries
producing “Wire-loop” which result in kidney insufficiency
• Heart: Atypical endocarditis involving the valves as well as
fibrinoid degeneration of epicardium and myocardium
• Due to widespread tissue involvement , this disease has been
included into the “Collagen Vascular Diseases”
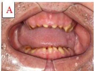
• Most common on Buccal mucosa, Palate and Tongue
• Erythematous areas with white spots which are usually
depressed and non-indurated
• Superficial painful ulceration may occur with crusting or
bleeding but no actual scale formation
• Margins of the lesion are not sharply demarcated but
frequently show formation of a narrow zone of keratinization
with white striae radiating out of the margins
• Central healing may result in depressed scarring
Oral Manifestations
• Hyperemia, edema and extension of lesions is more
pronounced
• Greater tendency to bleed, petechiae and superficial
ulcerations which are surrounded by red halo as a result of
local telangiectasis
• Superimposed oral candidiasis as well as xerostomia can be
seen
Oral Manifestations
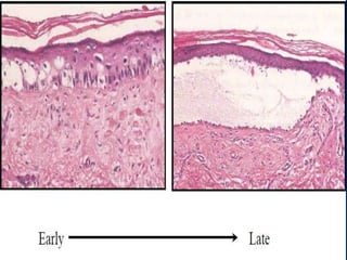
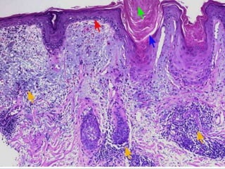
• there is NO KERATINIZATION in SLE
• Liquefaction degeneration of basal cell layer with thickening
of basement membrane
• Perivascular infiltration of lymphocytes along with
infiltration around dermal appendages,
• Basophilic degeneration of collagen and elastic fibers with
hyalinization,
• Edema and fibrinoid change juxta-epithelially
Histologic Features
• Laboratory findings: Serum immunologic findings specific for
SLE
– Antidouble stranded DNA antibodies
– Anti- Sm antibodies
Histologic Features
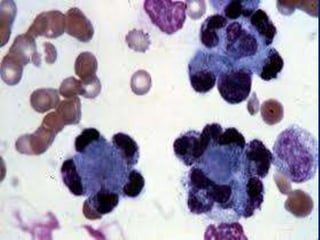
• A characterisitic of lupus erythematosus
• Formation of LE cells on incubation of normal leukocytes
with the Serum from affected patients at 37°C.
• LE cells are Mature neutrophils arranged in a rosette-
pattern around a homogeneous-appearing basophilic
inclusion derived from nuclear material of degenerating
leukocytes and coated with antinuclear antibody
LE Test / LE phenomenon
• Chronic, Scarring, Atrophy producing, Photosensitive
Dermatosis
• May occur in pts with SLE or some patients with DLE may
progress to SLE
• Etiology: Genetic
• Heat-shock protein is induced in keratinocyte following UV
ray exposure or Stress and this protein is the target for the
T-cell mediated epidermal damage
Discoid Lupus Erythematosus
• 3rd and 4th decades of life
• Females more common
• Face, Oral mucous membrane, Chest, Back, Extremities, etc
• Elevated red / purple macules which are often covered by
gray or yellow adherent scales
• Forceful removal of scales reveals numerous “Carpet-Track”
extensions into enlarged pilosebaceous canals
• Periphery of lesion appears pink / red while centre exhibits
scarring or atrophy
Clinical features
• Most common on Buccal mucosa, Palate and Tongue
• Erythematous areas with white spots which are usually
depressed and non-indurated
• Superficial painful ulceration may occur with crusting or
bleeding but no actual scale formation
• Margins of the lesion are not sharply demarcated but
frequently show formation of a narrow zone of
keratinization with white striae radiating out of the margins
• Central healing may result in depressed scarring
Oral Manifestations
• Tongue: Atrophy of papillae and severe fissuring seen
• Vermilion border of lip: Atrophic plaques surrounded by
keratotic borders
• Malignant transformation of lip lesions may occur with some
frequency
• Hyperkeratosis with keratin plugging down into spinous
layer alternating with areas of Atrophic retepegs
• Liquefaction degeneration of basal cell layer with thickening
of basement membrane
• Perivascular infiltration of lymphocytes along with
infiltration around dermal appendages,
• Basophilic degeneration of collagen and elastic fibers with
hyalinization,
• Edema and fibrinoid change juxta-epithelially
Histologic Features
Epidermolysis Bullosa
• Group of inherited bullous diseases characterized by blister
formation in response to mechanical trauma
• Classified into 4 major categories:
1. Epidermolysis Bullosa Simplex (Intraepidermal skin
separation)
2. Junctional Epidermolysis Bullosa (Skin separation in
central basement membrane zone)
3. Dystrophic Epidermolysis Bullosa (sub-lamina densa
basement membrane zone separation)
4. Hemidesmosomal Epidermolysis Bullosa (Skin
separation in superior aspect of basement membrane
zone)
Epidermolysis Bullosa
• Epidermolysis Bullosa Simplex Is caused by mutation of
genes coding for Keratin 5 & Keratin 14
• Junctional Epidermolysis Bullosa shows blistering in the
Lamina Lucida along with various hemidesmosomal
abnormalities.
– Nonsense mutation LAMB3 gene
• Dystrophic Epidermolysis Bullosa is caused by mutations in
gene coding for type VII collagen (COL7A1)
– Anchoring fibrils are affected
Etiology
• Autosomal dominant and manifests at birth
• Vesicles & Bullae chiefly on hands and feet at sites of friction
or trauma
• Blisters heal in 2-10days without any scarring or permanent
pigmentation
• Localized form “Weber-Cockayne Syndrome” where bullae
develop only on hands and feet and tend to exacerbate in hot
weather. No scarring seen
Epidermolysis Bullosa Simplex
• Oral manifestations: Rare bullae seen in oral cavity
• Histologic features: Intra-epithelial Vesicles and bullae
develop as a result of destruction of basal and suprabasal
cells
• Individual cells become edematous and show dissolution of
organelles and tonofibrils with displacement of nucleus to
the upper end of the cell
• Extremely severe form
• 3 criteria established for diagnosis of this form:
1. Onset at birth
2. Absence of scarring , milia or pigmentation
3. Death within 3 months of age
• Bullae develop spontaneously and sheets of skin may be
shed
Junctional Epidermolysis Bullosa
• Oral manifestations: frequently very extensive bullae
– Cause feeding problems due to extreme fragility
– Similar lesions seen in upper respiratory tract and
bronchioles and eosophagus
– Severe disturbances in enamel and dentin formation of
deciduous teeth
• Onset at infancy and blisters develop on ankles, knees,
elbows, feet and head
• Healing results in scarring which could be keloidal in type
• Nails are thick and dystrophic along with palmoplantar
keratoderma and milia are commonly present
Epidermolysis Bullosa Dystrophic
Dominant
• Oral manifestations: Bullae occur in 20% of the cases and
teeth are unaffected
• Histologic features: Sub-epithelial split at the basement
membrane level. Basal cell layer is at the roof of the
vesicle/bullae and the connective tissue shows absence of
elastic and oxytalan fibers
• Classic form of the disease
• Onset at birth and blisters develop on sites of Trauma,
Friction or Pressure
• Feet , buttock, scapulae, elbows, fingers, etc
• Nikolsky’s sign is positive and the Bullae rupture to leave a
raw, painful surface
Epidermolysis Bullosa Dystrophic
Recessive
• The healing occurs by scar, milia or pigmentation and the
scarring may result in afunctional club-like fists (Mitten
Hands & Sock-Feet)
• Oral Manifestations: White spots / patches / or areas of
localized inflammation may precede the development of
bullae
• The bullae may be initiated by even a simple dental
operative procedure and large areas of denudation of oral
mucous membrane can occur without proper precautions
• Bullae are painful and scarring results in obliteration of
vestibule, or restriction of tongue
• Hoarseness or dyaphagia may occur as a result of bullae of
larynx or pharynx
• Dental Defects: Rudimentary teeth, Congenitally absent
teeth, Hypoplastic teeth, Absence of enamel on crowns
• Histologic features: Sub-epithelial split beneath the
basement membrane. Basal cell layer is normal and the
connective tissue shows increase in pre-elastic and oxytalan
fibers
Scleroderma
Systemic Sclerosis
Hidebound Disease
• Collagen Vascular Disease characterized by:
– Vasomotor disturbances
– Fibrosis with subsequent atrophy of skin, subcutaneous
tissue, muscles, internal organs
– Associated immunologic disturbances
• Etiology: Autoimmune disease with involvement of Genetic,
Environmental & Vascular factors
– MHC Antigens such as HLA-B8, HLA-DR5, HLA-DR3,
etc
– Apoptosis and generation of free radicals may be involved
• 30 – 50 yrs of age
• Female : Male = 3-6:1
• Begins on face , hands and trunk
• Increased collagen deposition with ultimate induration of the
skin and fixation of the epidermis to the deeper
subcutaneous tissues is seen.
• Early lesions start as indurated edema of the skin, neuralgia,
parasthesia as well as arthritis
Clinical features
• As the disease progresses the skin becomes yellow – grey – or
ivory-white waxy in appearance
• Calcium deposition or brown pigmentation can be seen
sometimes
• Skin becomes hardened, atrophic, firmly fixed to the deeper
connective tissue and cannot be “picked-up”
• This firm contracture of skin gives an appearance of
“MASK-LIKE” face and “CLAW-LIKE” hands
• Progressive disease involves internal organs by fibrosis, loss
of smooth muscle and loss of visceral function
• CREST syndrome: C = Calcinosis Cutis
R = Raynaud’s Phenomenon
E = Esophageal Dysfunction
S = Sclerodactyly
T = Telangiectasia
• Circumscribed scleroderma / Morphea: Appears as well-
defined, white-yellow, slightly elevated or depressed patches
which are surrounded by Violaceous halo
• Coup-de-sabre: Linear bands on forehaed made by a furrow
with an elevated ridge on one side resembling mark made by
blow of a tiger
• Early mild edema followed by atrophy & induration of
mucosal and muscular tissues
• Tongue , lips, soft palate and larynx are usually involved
• Tongue: Stiff and board-like causing difficulty in eating and
speech
• Lips: Thin, Rigid and partially fixed producing microstomia
• Dysphagia, inability to open and close mouth and difficulty in
breathing
Oral Manifestations
• Reduced mouth opening is due to involvement of
peritemporomandibular joint tissues
• Pathologic changes in minor salivary glands similar to
Sjögrens syndrome
• Radiographic Features: Extreme widening of PDL space, 2-4
times the normal thickness
• Bilateral Bone resorption of the angle of mandibular ramus
• Partial or complete resorption of condyles or coronoid
processes of mandible
Normal Scleroderma
• Thickening and hyalinization of collagen fibers in skin along
with loss of dermal appendages
• Atrophy of epithelium with Loss of retepegs and increased
melanin pigmentation
• Subcutaneous fat disappears and walls of blood vessels
become sclerotic
• PDL : Increase in collagen and oxytalan fibers along with
hyalinization and sclerosis with reduction in number of cells
Histologic Features
Ehlers – Danlos Syndrome
Rubber Man disease
Tenascin-X deficiency
Lysyl Hydroxylase deficiency
• Group of more than 10 different inherited diseases involving
genetic defect in collagen and connective tissue synthesis and
structure
• Affects Skin, Joints and Blood
• Type IV EDS is associated with arterial rupture and visceral
perforation which can be fatal
• Hyperelasticity of skin Circus Rubber Man
• Hyperextensibility of joint appearance
• Fragility of skin and blood vessels resulting in excessive
bruising as well as defective healing of skin wounds
• Face: Hypertelorism, Wide nasal bridge , Epicanthic folds ,
Protruding ears, Frontal bossing
Clinical features
• Extremely fragile OMM which bruised easily and could NOT
hold sutures
• Hypermobility of TMJ resulting in repeated Jaw dislocations
• Teeth : DEJ scalloping ABSENT, Passage of Dentinal tubules
into enamel with formation of Irregular dentin and increased
pulp stones
• Teeth with Hypoplastic enamel which are fragile and
fractured easily
• Sometimes Extensive periodontal destruction
Oral Manifestations

EPEDERMOLYSIS BULLOSA SLE SCLERODERMA .ppt

  • 1.
    • Autoimmune diseasewith formation autoantibodies, immune-complexes and immune dysregulation resulting in damage to kidney, skin, blood cells, CNS, etc • Etiology: Genetics, Hormonal imbalances, Environmental causes (Sunlight, Drugs, etc) leading to immune dysregulation • Autoantibodies and immune-complexes are produced against DNA, other nuclear antigens, Ribosomes, Platelets, Erythrocytes, Leukocytes and other tissue-specific antigens Systemic Lupus Erythematosus
  • 2.
    • Female :Male = 4:1 • Around 30-40yrs of age • Erythematous patches on face with symmetrical pattern over the cheeks and across the bridge of nose in a Butterfly Distribution • Neck, upper arms, shoulders and fingers may be affected • Lesions present itching or burning sensations as well as areas of hyperpigmentation • Severity is intensified by exposure to sunlight Clinical features
  • 4.
    • Kidney: Fibrinoidthickening of glomerular capillaries producing “Wire-loop” which result in kidney insufficiency • Heart: Atypical endocarditis involving the valves as well as fibrinoid degeneration of epicardium and myocardium • Due to widespread tissue involvement , this disease has been included into the “Collagen Vascular Diseases”
  • 5.
    • Most commonon Buccal mucosa, Palate and Tongue • Erythematous areas with white spots which are usually depressed and non-indurated • Superficial painful ulceration may occur with crusting or bleeding but no actual scale formation • Margins of the lesion are not sharply demarcated but frequently show formation of a narrow zone of keratinization with white striae radiating out of the margins • Central healing may result in depressed scarring Oral Manifestations
  • 6.
    • Hyperemia, edemaand extension of lesions is more pronounced • Greater tendency to bleed, petechiae and superficial ulcerations which are surrounded by red halo as a result of local telangiectasis • Superimposed oral candidiasis as well as xerostomia can be seen Oral Manifestations
  • 7.
    • there isNO KERATINIZATION in SLE • Liquefaction degeneration of basal cell layer with thickening of basement membrane • Perivascular infiltration of lymphocytes along with infiltration around dermal appendages, • Basophilic degeneration of collagen and elastic fibers with hyalinization, • Edema and fibrinoid change juxta-epithelially Histologic Features
  • 8.
    • Laboratory findings:Serum immunologic findings specific for SLE – Antidouble stranded DNA antibodies – Anti- Sm antibodies Histologic Features
  • 9.
    • A characterisiticof lupus erythematosus • Formation of LE cells on incubation of normal leukocytes with the Serum from affected patients at 37°C. • LE cells are Mature neutrophils arranged in a rosette- pattern around a homogeneous-appearing basophilic inclusion derived from nuclear material of degenerating leukocytes and coated with antinuclear antibody LE Test / LE phenomenon
  • 11.
    • Chronic, Scarring,Atrophy producing, Photosensitive Dermatosis • May occur in pts with SLE or some patients with DLE may progress to SLE • Etiology: Genetic • Heat-shock protein is induced in keratinocyte following UV ray exposure or Stress and this protein is the target for the T-cell mediated epidermal damage Discoid Lupus Erythematosus
  • 12.
    • 3rd and4th decades of life • Females more common • Face, Oral mucous membrane, Chest, Back, Extremities, etc • Elevated red / purple macules which are often covered by gray or yellow adherent scales • Forceful removal of scales reveals numerous “Carpet-Track” extensions into enlarged pilosebaceous canals • Periphery of lesion appears pink / red while centre exhibits scarring or atrophy Clinical features
  • 15.
    • Most commonon Buccal mucosa, Palate and Tongue • Erythematous areas with white spots which are usually depressed and non-indurated • Superficial painful ulceration may occur with crusting or bleeding but no actual scale formation • Margins of the lesion are not sharply demarcated but frequently show formation of a narrow zone of keratinization with white striae radiating out of the margins • Central healing may result in depressed scarring Oral Manifestations
  • 17.
    • Tongue: Atrophyof papillae and severe fissuring seen • Vermilion border of lip: Atrophic plaques surrounded by keratotic borders • Malignant transformation of lip lesions may occur with some frequency
  • 19.
    • Hyperkeratosis withkeratin plugging down into spinous layer alternating with areas of Atrophic retepegs • Liquefaction degeneration of basal cell layer with thickening of basement membrane • Perivascular infiltration of lymphocytes along with infiltration around dermal appendages, • Basophilic degeneration of collagen and elastic fibers with hyalinization, • Edema and fibrinoid change juxta-epithelially Histologic Features
  • 21.
  • 22.
    • Group ofinherited bullous diseases characterized by blister formation in response to mechanical trauma • Classified into 4 major categories: 1. Epidermolysis Bullosa Simplex (Intraepidermal skin separation) 2. Junctional Epidermolysis Bullosa (Skin separation in central basement membrane zone) 3. Dystrophic Epidermolysis Bullosa (sub-lamina densa basement membrane zone separation) 4. Hemidesmosomal Epidermolysis Bullosa (Skin separation in superior aspect of basement membrane zone) Epidermolysis Bullosa
  • 23.
    • Epidermolysis BullosaSimplex Is caused by mutation of genes coding for Keratin 5 & Keratin 14 • Junctional Epidermolysis Bullosa shows blistering in the Lamina Lucida along with various hemidesmosomal abnormalities. – Nonsense mutation LAMB3 gene • Dystrophic Epidermolysis Bullosa is caused by mutations in gene coding for type VII collagen (COL7A1) – Anchoring fibrils are affected Etiology
  • 24.
    • Autosomal dominantand manifests at birth • Vesicles & Bullae chiefly on hands and feet at sites of friction or trauma • Blisters heal in 2-10days without any scarring or permanent pigmentation • Localized form “Weber-Cockayne Syndrome” where bullae develop only on hands and feet and tend to exacerbate in hot weather. No scarring seen Epidermolysis Bullosa Simplex
  • 26.
    • Oral manifestations:Rare bullae seen in oral cavity • Histologic features: Intra-epithelial Vesicles and bullae develop as a result of destruction of basal and suprabasal cells • Individual cells become edematous and show dissolution of organelles and tonofibrils with displacement of nucleus to the upper end of the cell
  • 28.
    • Extremely severeform • 3 criteria established for diagnosis of this form: 1. Onset at birth 2. Absence of scarring , milia or pigmentation 3. Death within 3 months of age • Bullae develop spontaneously and sheets of skin may be shed Junctional Epidermolysis Bullosa
  • 29.
    • Oral manifestations:frequently very extensive bullae – Cause feeding problems due to extreme fragility – Similar lesions seen in upper respiratory tract and bronchioles and eosophagus – Severe disturbances in enamel and dentin formation of deciduous teeth
  • 31.
    • Onset atinfancy and blisters develop on ankles, knees, elbows, feet and head • Healing results in scarring which could be keloidal in type • Nails are thick and dystrophic along with palmoplantar keratoderma and milia are commonly present Epidermolysis Bullosa Dystrophic Dominant
  • 32.
    • Oral manifestations:Bullae occur in 20% of the cases and teeth are unaffected • Histologic features: Sub-epithelial split at the basement membrane level. Basal cell layer is at the roof of the vesicle/bullae and the connective tissue shows absence of elastic and oxytalan fibers
  • 33.
    • Classic formof the disease • Onset at birth and blisters develop on sites of Trauma, Friction or Pressure • Feet , buttock, scapulae, elbows, fingers, etc • Nikolsky’s sign is positive and the Bullae rupture to leave a raw, painful surface Epidermolysis Bullosa Dystrophic Recessive
  • 34.
    • The healingoccurs by scar, milia or pigmentation and the scarring may result in afunctional club-like fists (Mitten Hands & Sock-Feet) • Oral Manifestations: White spots / patches / or areas of localized inflammation may precede the development of bullae • The bullae may be initiated by even a simple dental operative procedure and large areas of denudation of oral mucous membrane can occur without proper precautions
  • 36.
    • Bullae arepainful and scarring results in obliteration of vestibule, or restriction of tongue • Hoarseness or dyaphagia may occur as a result of bullae of larynx or pharynx • Dental Defects: Rudimentary teeth, Congenitally absent teeth, Hypoplastic teeth, Absence of enamel on crowns • Histologic features: Sub-epithelial split beneath the basement membrane. Basal cell layer is normal and the connective tissue shows increase in pre-elastic and oxytalan fibers
  • 39.
  • 40.
    • Collagen VascularDisease characterized by: – Vasomotor disturbances – Fibrosis with subsequent atrophy of skin, subcutaneous tissue, muscles, internal organs – Associated immunologic disturbances • Etiology: Autoimmune disease with involvement of Genetic, Environmental & Vascular factors – MHC Antigens such as HLA-B8, HLA-DR5, HLA-DR3, etc – Apoptosis and generation of free radicals may be involved
  • 41.
    • 30 –50 yrs of age • Female : Male = 3-6:1 • Begins on face , hands and trunk • Increased collagen deposition with ultimate induration of the skin and fixation of the epidermis to the deeper subcutaneous tissues is seen. • Early lesions start as indurated edema of the skin, neuralgia, parasthesia as well as arthritis Clinical features
  • 42.
    • As thedisease progresses the skin becomes yellow – grey – or ivory-white waxy in appearance • Calcium deposition or brown pigmentation can be seen sometimes • Skin becomes hardened, atrophic, firmly fixed to the deeper connective tissue and cannot be “picked-up” • This firm contracture of skin gives an appearance of “MASK-LIKE” face and “CLAW-LIKE” hands • Progressive disease involves internal organs by fibrosis, loss of smooth muscle and loss of visceral function
  • 45.
    • CREST syndrome:C = Calcinosis Cutis R = Raynaud’s Phenomenon E = Esophageal Dysfunction S = Sclerodactyly T = Telangiectasia • Circumscribed scleroderma / Morphea: Appears as well- defined, white-yellow, slightly elevated or depressed patches which are surrounded by Violaceous halo • Coup-de-sabre: Linear bands on forehaed made by a furrow with an elevated ridge on one side resembling mark made by blow of a tiger
  • 48.
    • Early mildedema followed by atrophy & induration of mucosal and muscular tissues • Tongue , lips, soft palate and larynx are usually involved • Tongue: Stiff and board-like causing difficulty in eating and speech • Lips: Thin, Rigid and partially fixed producing microstomia • Dysphagia, inability to open and close mouth and difficulty in breathing Oral Manifestations
  • 49.
    • Reduced mouthopening is due to involvement of peritemporomandibular joint tissues • Pathologic changes in minor salivary glands similar to Sjögrens syndrome • Radiographic Features: Extreme widening of PDL space, 2-4 times the normal thickness • Bilateral Bone resorption of the angle of mandibular ramus • Partial or complete resorption of condyles or coronoid processes of mandible
  • 50.
  • 51.
    • Thickening andhyalinization of collagen fibers in skin along with loss of dermal appendages • Atrophy of epithelium with Loss of retepegs and increased melanin pigmentation • Subcutaneous fat disappears and walls of blood vessels become sclerotic • PDL : Increase in collagen and oxytalan fibers along with hyalinization and sclerosis with reduction in number of cells Histologic Features
  • 53.
    Ehlers – DanlosSyndrome Rubber Man disease Tenascin-X deficiency Lysyl Hydroxylase deficiency
  • 54.
    • Group ofmore than 10 different inherited diseases involving genetic defect in collagen and connective tissue synthesis and structure • Affects Skin, Joints and Blood • Type IV EDS is associated with arterial rupture and visceral perforation which can be fatal
  • 55.
    • Hyperelasticity ofskin Circus Rubber Man • Hyperextensibility of joint appearance • Fragility of skin and blood vessels resulting in excessive bruising as well as defective healing of skin wounds • Face: Hypertelorism, Wide nasal bridge , Epicanthic folds , Protruding ears, Frontal bossing Clinical features
  • 59.
    • Extremely fragileOMM which bruised easily and could NOT hold sutures • Hypermobility of TMJ resulting in repeated Jaw dislocations • Teeth : DEJ scalloping ABSENT, Passage of Dentinal tubules into enamel with formation of Irregular dentin and increased pulp stones • Teeth with Hypoplastic enamel which are fragile and fractured easily • Sometimes Extensive periodontal destruction Oral Manifestations