SPINDLE CELL
TUMOURS
Part 1
SHERIN JAMES
CONTENTS
•Introduction
•Types of spindle cells and its origin
•General considerations
•Pathogenesis
•Pretreatment evaluation
•Classification
•Description of lesion specific
•Treatment/Prognosis
•Conclusion
INTRODUCTION
ORIGIN OF SPINDLE CELLS ???
Epithelial Origin
Fibroblastic
Myofibroblastic Origin
Muscle Origin
Nerve Tissue Origin
Adipocytic Origin
Vascular Origin
Bone Origin
Odontogenic origin
FIBROBLASTS MYOFIBROBLASTS
SMOOTH MUSCLE SCHWANN CELL
OSTEOCYTE
MYOEPITHELIAL CELL
SPINDLE CELLS IN
NORMAL TISSUES
GENERAL CONSIDERATIONS
• For most of the spindle cell tumors of head and neck/oral cavity
etiology is unknown
• Various identified causes are:
– Exposure to ionizing radiation
– Inherited or acquired immunologic defects
– Environmental factors like - trauma
– Chemical carcinogens
– Oncogenic virus (Ex: HHV8- Kaposi’s sarcoma, EBV-smooth
muscle tumor in immunodeficiency syndrome patients)
– Genetic factor (Ex: Neurofibromatosis 1 and 2)
PRETREATMENT EVALUATION
• Clinical Examination
– Most lesions in the oral cavity arises as painless mass, this will
generally cause delay in diagnosis
– Suspected cases require Biopsy.
• Prior to biopsy depending on peripheral or intra-osseous lesion:
– Radiographic evaluation
– CT Scan
– CBCT in case of oral lesion
– MRI – gives better demonstration of soft tissue tumor
• Helps in clinical staging and helps to locate nerve of origin and
vessel involved in case of neural/vascular tumors.
• Inaccessible area FNAC advised, or incisional biopsy
CLASSIFICATION
A simple working type classification proposed for the spindle cell neoplasms of the oral cavity
Thorakkal Shamim: A simple working type classification
proposed for spindle cell neoplasma of oral cavity; journal of
cytology, 2013; vol- 30; issue- 1; 85
1
1. Fibrous tissue origin
a) Benign: Fibroma, Nodular
fasciitis, Proliferative fasciitis
and myositis, solitary fibrous
tumor
b)Intermediate:
Fibromatoses, Infantile
fibromatoses, Desmoid tumor
c) Malignant: Fibrosarcoma,
Congenital or Infantile
fibrosarcoma
2. Fibrous histiocyte origin
a) Benign: Fibrous
histiocytoma
b) Intermediate:
Dermatofibrosarcoma,
Plexiform fibrous histiocytic
tumor
c) Malignant: Malignant
fibrous histiocytoma
3. Myofibroblast origin
a)Benign: Myofibroma, b)
intermediate: Inflammatory
myofibroblastic tumor
b)Malignant: Low grade
myofibrosarcoma
4. Muscle tissue origin
Benign: Leiomyoma.
Cellular rhabdomyoma
b) Malignant
i. Leiomyosarcoma,
5. Lipomatous origin
a) Benign: Spindle cell lipoma
b)Malignant: Dedifferentiated
liposarcoma
6. Epithelial origin
a) benign: spindle cell nevus
Malignant: Mal. Melanoma,
Spindle cell carcinoma
10. Vascular origin
a) Benign: Angiofibroma
b) Intermediate: Spindle cell
hemangioma,
Hemangiopericytoma
c) Malignant: Angiosarcoma,
Kaposi sarcoma
8. Neural origin
a) Benign: Traumatic
neuroma, Neurofibroma,
Schwannoma, PEN
b) Malignant: Malignant
peripheral nerve sheath
tumor
7. Osseous origin
Fibroblastic variant of
osteosarcoma,Desmoplastic
fibroma
9. Salivary gland
Myoepithelioma, Myoepithelial
carcinoma
11. Odontogenic origin
Odontogenic fibroma,
Odontogenic myxoma
12. Miscellaneous
Synovial sarcoma, diffuse mesothelioma, fibromyxoma
3/23/2023 10
Classified based on APPEARANCES AND THE
ARCHITECTURAL PATTERN.
• A. MONOMORPHIC SPINDLE CELL LESIONS:
• uniform spindle cells which may be arranged in fascicles, a storiform
pattern or a ‘herringbone’ pattern, or are sometimes associated with a
dense collagenous stroma.
• The most common are spindle cell squamous carcinoma and melanoma.
• B. PLEOMORPHIC SPINDLE CELL LESIONS:
• Spindle cells showing wide variation in size and shape, often with
marked nuclear pleomorphism and tumour giant cells.
• These malignancies can occur both in mucosal sites and as lymph node
metastases in the neck and parotid glands.
2
Catriona E Anderson, Awatif Al-Nafussi; Spindle cell lesions of the head and neck: an
overview and diagnostic approach. Diagnostic histopathology, 2009; 15:5 265 -272
• C. BIPHASIC SPINDLE CELL LESIONS:
• Two distinct components, spindle cell areas and epithelioid areas.
• Epithelioid areas may be sparse and several levels should be
examined in biopsies of spindle cell lesions in an attempt to identify
these elements.
• D. MYXOID SPINDLE CELL LESIONS:
• Spindle cell component may be conspicuous or less easily identified,
but it is set in a loose, myxoid stroma.
• Some tumours in this category may also have a prominent
inflammatory infiltrate.
1. NEURAL TUMOR
– Neurofibroma
– Schwannoma
– Traumatic neuroma
– Palisaded encapsulated neuroma
– Malignant peripheral nerve sheath tumor
2. MYOFIBROBLASTIC TUMORS
– Myofibroma
– Inflammatory myofibroblastic tumor
– Low-grade myofibroblastic sarcoma
3. SMOOTH MUSCLE TUMORS
– Angiomyoma/vascular leiomyoma
Jordan RC, Regezi JA. Oral spindle cell neoplasms: a review of 307 cases. Oral Surg Oral Med
Oral Pathol Oral Radiol Endod. 2003;95:717-24.
3
4. FIBROBLASTIC TUMORS
– Solitary fibrous tumor
– Nodular fasciitis
– Fibromatosis
– Desmoplastic fibroma
– Fibrosarcoma
5. VASCULAR TUMORS
– Vascular malformation
– Kaposi’s sarcoma
6. CARCINOMAS
– Spindle cell SCC
– Sarcoma NOS/Atypical spindle cell neoplasm
– Benign fibrous histiocytoma
Jordan RC, Regezi JA. Oral spindle cell neoplasms: a review of 307 cases. Oral Surg Oral Med
Oral Pathol Oral Radiol Endod. 2003;95:717-24.
TODAY!!!
• Fibroblastic
• Fibrohistiocytic
• Myofibroblastic
• Adipose tissue
• Epithelial
FIBROBLASTS
ORIGIN OF FIBROBLAST CELL
18
MYOFIBROBLASTS
Myofibroblasts are short, bipolar or tripolar, spindle shaped or
stellate cells with long cytoplasmic extensions, containing sparse to
moderate amounts of acidophilic cytoplasm with indistinct cell
margins, and ovoid, often indented, pale nuclei containing a small
nucleolus.
They have contractile elements and synthesize collagen,
fibronectin, and laminin.
Widely used marker- α-SMA,
Endoscalin, p311, integrin, osteopontin, periostin seems specific
for certain conditions.
ORIGIN OF MYOFIBROBLASTS
20
Lesion wise description
FIBROBLASTIC
FIBROBLASTIC
Fibroma
Giant cell fibroma
Fibromatosis
Solitary fibrous tumor
Nodular fasciitis
Fibrosarcoma
FIBROMA
• Synonyms:
• Reactive hyperplasia of the fibrous connective tissue, in response to local irritation
or trauma.
DEMOGRAPHICS & CLINICAL FEATURES:
HISTOPATHOLOGY:
Pedunculated fibroma
CT gradually blends
Collagen bundles – streaming pattern
Hyperkeratosis due to irritation
Dense, hyalinized collagen in
sclerotic fibroma
Collagen bundles in whirling pattern with numerous blood capillaries – less
inflammatory cell
TREATMENT:
• Conservative surgical excision
• Recurrence is rare
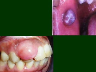
GIANT CELL FIBROMA
• Not associated with any chronic irritation.
• It represents approximately 2% to 5%of all oral fibrous
DEMOGRAPHICS:
• 10 – 30 years
• No gender predilection (Female )
• Most commonly it occurs on the mandibular gingiva, followed by tongue, and
palate.
CLINICAL FEATURES:
• It appears as an asymptomatic, sessile, or a pedunculated nodule
• Usually less than 1 cm in size
• Bosselated or a papillary surface.
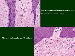
HISTOPATHOLOGY:
 Corrugated, atrophic SSE
 Thin elongated rete ridges
 Vascular fibrous CT (loosely arranged)
 Numerous large STELLATE FIBROBLASTS with several Nuclei, in superficial
CT
Mono or multinucleated Fibroblasts
Stellate/spindle shaped fibroblasts within
the superficial connective tissue
H& E
10x and 40x
DIFFERENTIAL DIAGNOSIS:
• Retrocuspid papilla (Site specific)
• Papilloma
• Irritational fibroma
TREATMENT:
• Conservative surgical excision
• Recurrence is rare
FIBROMATOSES
• Fibromatoses comprise a broad group of benign fibrous tissue
proliferations of similar microscopic appearance whose biologic
behavior and histopathologic pattern is intermediate between
that of benign fibrous lesions and fibrosarcoma.
• In the soft tissues of the head and neck- frequently called
Juvenile aggressive fibromatoses or extraabdominal desmoids.
•These non-encapsulated lesions are locally aggressive in behavior
with a tendency for recurrence.
• They do not metastasize but presents with local infiltration into
the vital structures
CLINICAL FEATURES
• Enzinger and Weiss subdivide the fibromatoses into two broad
categories:
– Superficial (fascial) fibromatoses and
– Deep (musculo - aponeurotic) fibromatoses
40
Types of
fibromatoses
Deep
Abdominal
Extra
abdominal(Head
and Neck)
Intra-abdominal
Superficial Palmar/Plantar
Sporadic
(Familial
multicentric)
41
• Adjacent to the mandible, where underlying bone may be
eroded or destroyed by invasion.
• Can spread through fascial planes and invade surrounding
structures, causing pain, dysphagia, respiratory distress,
proptosis and epistaxis.
• When airway or major vessels are involved, there may be
life-threatening consequences
42
•A firm, painless mass - rapid or
insidious growth.
•Most common in para-mandibular
soft tissue.
•Facial disfigurement
PATHOGENESIS
• Remains unexplained.
• Some endocrinal disturbances, because these tumors are
characterized by high levels of estrogens and pituitary gonadotropins.
• Steroid hormones have an important role in the regulation or
fibroblastic activity and proliferation.
• Cases have occurred in surgical scars, in irradiated areas, in burn
scars, in regions of healed fractures, and in areas of previous trauma,
and one case occurred after a silicone implant.
• Occasional cases with familial history have been reported.
GROSS APPEARANCE
• Firm, glistening mass resembling scar tissue
• Margins are usually poorly circumscribed
45
HISTOPATHOLOGY
Non- encapsulated, poorly circumscribed, infiltrative lesion with a fascicular
growth pattern, usually striated musculature
Cellular proliferation of spindle shaped cells that are arranged in streaming
fascicles & associated with variable amount of collagen.
No atypia, mitotic figures.
Slit like vascular spaces seen
Low, paucicellular fibrous proliferation in
long fascicles, numerous slit-like vessels
Fibroblasts, spindled, dense, wavy nuclei
and minimal cytoplasm
•Some cases show moderate numbers of lesional cells in a background
stroma of abundant mature collagen, and others show minimal stroma with
large numbers of active mesenchymal cells.
•Occasionally normal-appearing mitotic figures may be found, but they
should not exceed 4 mitoses per high-power field.
Vesicular nuclei with minute
nucleoli, indistinct cytoplasm,
interstitial collagen
Streaming fascicles of spindled cells
highly cellular with variable amount of
collagen
Hyperchromatic and pleomorphic
nuclei are seldom seen
Cellular interlacing bundles
Elongated fibroblasts
Little or no Pleomorphism
Little or no mitotic activity
No inflammation.
Slit-like vascular spaces
H&E, 4x,10, 40x 53
IMMUNOHISTOCHEMISTRY
The spindle cells express vimentin, SMA and MSA
Some show desmin expression, β- catenin (adenomatous polyposis coli (APC)
gene) positivity
β- catenin
Reactive to smooth muscle actin (SMA), Vimentin
SMA
DIFFERENTIAL DIAGNOSIS
• Fibrosarcoma – one or more than one mitotic figure PHF
• Nodular fasciitis- Negative for β- catenin
• Leiomyoma - bright pink cytoplasm of smooth muscle, desmin+
56
TREATMENT:
• A locally aggressive tumor.
• Wide excision, including a generous margin of the adjacent normal tissues.
• Recurrence rate of for oral and paraoral fibromatoses – 23%.
• No metastases.
NODULAR FASCIITIS
(Pseudosarcomatous Fasciitis/ Infiltrative Fasciitis,
Subcutaneous Pseudosarcomatous Fibromatosis)
A benign and reactive fibroblastic growth extending as a solitary
nodule from the superficial fascia into the sub-cutaneous fat and
subjacent muscle.
It is closely related to “proliferative myositis” which occurs in
muscle.
Definition:
A pseudosarcomatous, self-limiting, reactive process
composed of fibroblasts and myofibroblasts
• Common benign mesenchymal lesion often misdiagnosed as a
sarcoma
• Etiology : unknown; trauma ??
• Recent molecular studies suggests that the cells are clonal, thus
confirms that it is a benign neoplasm.
DEMOGRAPHICS:
• Age: Fourth and fifth decades of life
• Sex: Equal gender distribution
• Site: Buccal mucosa, labial mucosa, tongue, Angle & inferior
border of the mandible, zygomatic arch, anterior mandible
• Trunk & extremities – most commonly involved.
CLINICAL FEATURES:
 Occur mostly in areas which serve as sites of origin and insertion of muscles of
mastication.
10 % - soft tissues of the head and neck region, usually presenting as a rapidly
enlarging mass. (skin of face & parotid sheath).
• Rapidly growing (1 to 2 months), sometimes painful nodule
• Exophytic lesion some times may be ulcerated
Dan Dayan et al, Clinico-pathologic correlations of myofibroblastic tumors of the oral
cavity: nodular fasciitis; J Oral Pathol Med (2005) 34: 426–35
GROSS APPEARANCE
• Depends on amount of myxoid or fibrous stroma, cellularity
• Well circumscribed, non-encapsulated lesion
• Cut surface is soft and gelatinous- if myxoid
• Rarely hemorrhagic areas are seen.
HP
• Zonation effect with hypocellular central region and hypercellular
periphery
• Composed of uniform, plump, immature, spindled to stellate
fibroblasts or myofibroblasts without atypia, with a feathery,
"tissue-culture" like growth pattern due to abundant ground
substance
• Mucoid / myxoid pools (microcysts), a very useful diagnostic
finding
• Cellular areas may have storiform or fascicular patterns (S or C
shaped)
Subcutaneous tumor is partially circumscribed nodule infiltrating focally along fascial planes
Focal infiltration into fat, with
evenly distributed granulation
tissue-like vessels throughout the
lesion
Gently curving C and S
shaped fascicles of
myofibroblastic cells exhibit
a characteristic "torn
Kleenex" pattern
Focal storiform pattern is suggestive of fibrous histiocytoma
Mitotic figures,
but no abnormal forms
A nodular growth contains plump fibroblasts with vesicular nuclei
in a haphazard to storiform arrangement.
Spindle cells in myxoid background
DD:
•Benign fibrous histiocytoma: in dermis, storiform pattern, infiltrative
borders with collagen trapping, sometimes prominent xanthoma cells
and often Touton giant cells, no myxoid microcysts
•Fibromatosis: infiltrates surrounding soft tissue, spindled cells are
parallel and separated by abundant collagen and arranged in broad
sweeping fascicles, no loose tissue culture appearance or myxoid
microcysts
•Sarcoma: nuclear atypia is prominent, necrosis, larger size usually
• Spindle cell shows both myofibroblastic and histiocytic immunoprofile
– SMA
– MSA
– Vimentin
– CD68
Dan Dayan et al, Clinico-pathologic correlations of myofibroblastic tumors of the oral
cavity: nodular fasciitis; J Oral Pathol Med (2005) 34: 426–35
SMA
Smooth muscle actin, vimentin that
shows strong and diffuse cytoplasmic
positivity
TREATMENT
• Local excision is the treatment of choice
SOLITARY FIBROUS TUMOR (SFT)
• The diagnosis of Hemangiopericytoma (HPC) was first described
by Arthur Purdy Stout and Margaret Murray in 1942  derived
from pericytes
• Solitary fibrous tumor (SFT) was originally described as a
primary tumor arising in the pleura, presumably as a tumor of
submesothelial fibroblasts
• Now recognized as ends of the spectrum within a single biologic
entity.
The recent discovery of the reproducible NAB2-STAT6 gene fusion,
resulting from a t(12q13) translocation in tumors previously classified as
both soft tissue SFT and HPC has largely ended the controversy..
The histologic features of HPC, using the Enzinger and Smith 1976
definition, include
(1) randomly distributed (“patternless”) ovoid to short spindle cells
(2) prominent thin-walled vasculature in a branching (“stag horn”) pattern.
 The tumor cells lack overt differentiation and show uniformly high
cellularity.
Mitotic activity is usually low (1-4 mf / 10 hpf)
while necrosis and pleomorphism are absent.
CLINICAL FEATURES
• Middle-aged adults (median age 50 years)
• Wide anatomic distribution; essentially arises from any soft tissue
or visceral location
• Rarely causes paraneoplastic hypoglycemia due to insulin-like
growth factor production
• Slow growing painless mass, usually benign; histologically
malignant tumors may be grossly infiltrative.
GROSS APPEARENCE
HISTOPATHOLOGY
• Patternless architecture of hypo- and hypercellular areas separated
by thick, hyalinized collagen with cracking artifact and stag horn
vessels
• Perivascular sclerosis
• Bland and uniform oval to spindle cells dispersed along thin
parallel collagen bands, cells have minimal cytoplasm, small
elongated nuclei and indistinct nucleoli
• Some have myxoid change, mast cells, adipose tissue or
multinucleated giant cells
• Minimal pleomorphism
Moderately cellular
fibroblastic appearance
Scant cytoplasm and uniform
spindled nuclei, note the thin bands
of intercellular collagen
Storiform growth
Typically circumscribed
neoplasms
(A) bland ovoid or spindled
fibroblastic cells in
“patternless” distributions
within variably collagenous
stroma (A-F) that frequently
shows areas of dense
hyalinization (C) as well as
interspersed large branching
or “staghorn”-shaped
thin-walled
hemangiopericytic vessels(D
Note the marked intertumoral
variation in cellularity, with
hypercellular stroma-poor
areas that alternate with more
sparsely cellular collagenous
areas (E). The cells are
typically uniform with
basophilic nuclei that are
hyperchromatic or vesicular
and scanty amphophilic
cytoplasm with indistinct cell
borders (E, F).
POSITIVE STAINS
•CD34 (90 - 95%),
•CD99 (70%),
•1/3 positive for bcl2, EMA and actin
DIFFERENTIAL DIAGNOSIS
•Benign neural tumors: S100+
•Smooth muscle tumors: fascicles of cells with more abundant
eosinophilic cytoplasm, blunted nuclei, desmin+, actin+
•Synovial sarcoma (monophasic): Ovoid cels, no thick collagen
bands; keratin+, t(X;18)
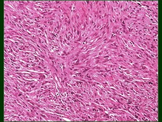
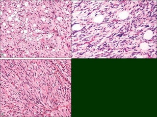
FIBROSARCOMA
“A malignant spindle cell tumor composed of Fibroblasts
arranged in a herringbone/ interlacing fascicular pattern, with
varying amounts of collagen in the background with no
expression of other connective tissue markers”
•Fibrosarcoma accounts for approximately 15% of all soft tissue sarcomas, of
which only 1% occur in the head and neck region.
•Men commonly affected
•4th decade
•Usually lower extremities (femur and tibia)
Also reported to arise from pre- existing lesions: fibrous dysplasia, chronic
osteomyelitis, bone infarct, Paget's disease & previously irradiated areas.
•Large painless mass, often of shorter duration, ulceration can be seen
•Soft tissue and bone lesion
CLINICAL FEATURES
• An infantile/congenital form (in children < 10 years) of
fibrosarcoma exists, defined in the World Health Organization
classification
• However, most are discovered at birth or within first year of
life.
• Unlike fibrosarcoma in adults, it has an excellent prognosis,
even in the face of metastatic disease at presentation, when
treated with a combination of neoadjuvant and adjuvant
chemotherapy and resection.
96
• DEMOGRAPHICS:
• Age: 30 – 50 yrs (wide age range), younger
• Sex: no sex predilection
• Site: Buccal mucosa, tongue – 1/4th of the oral lesions
GROSS FINDINGS
Typically, the lesions are solitary, multilobulated, fleshy masses 5–10 cm in
diameter when first detected.
About two-thirds of these tumors are located in skeletal muscle, <10% are
confined to the subcutis.
A multinodular white mass with areas of
hemorrhage and necrosis.
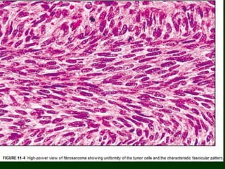
HISTOPATHOLOGY
Highly cellular fibroblastic proliferation in herringbone pattern (cells in columns
of short parallel lines with all the lines in one column sloping one way and lines in
adjacent columns sloping the other way).
fusiform or spindle-shaped cells that vary little in size and shape, have scanty
cytoplasm with indistinct cell borders, tapering elongated dark nuclei with
increased granular chromatin, variable nucleoli and are separated by interwoven
collagen fibers arranged in a parallel fashion.
Mitotic figures are frequent.
Collagen may be sparse.
Patterns:
Keloid-like (thick hyalinized collagen fibers), loose fascicular, focally
myxoid
HISTOLOGICAL GRADING OF FIBROSARCOMA
Based on
• Cellularity
• Differentiation
• Mitotic activity
• Necrosis
Histologic grading of fibrosarcomas is based on the cellularity and
differentiation, mitotic activity, and necrosis
Low-grade (well differentiated) fibrosarcomas are characterized by a uniform,
orderly appearance of the spindle cells associated with abundant collagen
Atypical uniform cells in herringbone pattern
Malignant, with coarse chromatin
but minimal pleomorphism
LOW GRADE
Minimal pleomorphism and low mitotic
index, but is more cellular than
fibromatosis
INTERMEDIATE GRADE:
intermediate features
HIGH GRADE:
high grade atypia and high mitotic index
HIGH GRADE FIBROSARCOMA
Closely packed and less well oriented cells
Round tumor cells with high grade nuclear
features
Herring bone pattern
Bipolar spindle cells
scanty cytoplasm
Low grade fibrosarcoma resembling
fibromatosis
Variation in shape and size
Mitotic activity moderate
Mild pleomorphism
H&E
Vimentin+
POSITIVE STAINS
•Reticulin stain demonstrates fibers surrounding each cell
•Phosphotungstic acid-hematoxylin demonstrates abundant
cytoplasmic fibrils
•Also vimentin, type 1 collagen, p53
•High Ki67
•May be CD34+ if arises from DFSP or solitary fibrous tumor
Immunohistochemistry/Cytogenetics and
Molecular Genetics
• Vimentin- positive
• Weak positive for smooth muscle actin- due to focal
myofibroblastic differentiation
• Little is know about molecular or cytogenetic alterations in
adult fibrosarcoma, but multiple complex chromosomal
rearrangement as be reported in infantile fibrosarcoma
(chromosomal change involving- t(2;19).
Marked vimentin positivity
Differential diagnosis
• Nodular fasciitis
• Cellular benign fibrous histiocytoma
• Fibromatoses
• Malignant peripheral nerve sheath tumor
• Malignant fibrous histiocytoma
• Monophasic fibrous synovial sarcoma
TREATMENT
Wide local excision
Radical neck dissection
HISTOLOGICAL VARIANTS OF
FIBROSARCOMA
Adult type fibrosarcoma
• Myxofibrosarcoma
• Sclerosing epitheliod type
• Hyalinising spindle cell type
Infantile fibrosarcoma
120
MYXOID TYPE OF FIBROSARCOMA
Spindle or stellate shaped cells deposited in a myxoid matrix composed of
predominantly of hyaluronic acid.
The cells have slightly eosinophilic cytoplasm and indistinct cell borders; the nuclei
are hyperchromatic, are mildly pleomorphic, and have only rare mitotic figures.
DD
1: Nodular fasciitis
2: Myxoma
3: Nerve sheath Myxoma
4: Spindle cell lipoma
5. Myxoid liposarcoma
6. Extraskeletal myxoid chondrosarcoma
FIBROMYXOID TYPE OF FIBROSARCOMA
•Composed of bland spindle-shaped cells with small hyperchromatic oval nuclei,
finely clumped chromatin, and one to several small nucleoli.
•The cells have indistinct pale eosinophilic cytoplasm and show only mild nuclear
pleomorphism with little mitotic activity.
•The cells are deposited in a fibrous and myxoid stroma that tends to vary in
different areas of the tumor
SCLEROSING EPITHELIOID TYPE OF
FIBROSARCOMA
The neoplastic cells are predominantly epithelioid in appearance and are arranged in
a variety of patterns, including nests, cords, strands, and occasionally acini or alveoli.
The cells have oval to round angulated nuclei with finely stippled or vesicular
chromatin, small basophilic nucleoli, and scanty cleared-out or faintly eosinophilic
cytoplasm
TREATMENT:
 Radical excision, radiation if residual tumor or positive margins
 Possibly chemotherapy, if high grade
FIBROHISTOCYTIC
TUMORS
BENIGN FIBROUS HISTIOCYTOMA
• Neoplastic lesion composed of mixture of fibroblastic and
histiocytic cells accompanied by varying number of
inflammatory cells, foam cells, MNG’s
• Cell of origin : Histiocyte.
127
Dermatofibroma
Sclerosing Hemangioma
Fibroxanthoma
Nodular sub-epidermal fibrosis
• Solitary - slow growing - firm nodule
• Typically seen in middle aged and older adults (5th decade).
• Common site: skin of the extremities : DERMATOFIBROMA
• Oral cavity: rare, if present: Buccal mucosa & vestibule.
HISTOPATHOLOGY
Fairly well-demarcated & often circumscribed at the periphery.
Cellular proliferation of spindle shaped fibroblast cells with plump, vesicular
nuclei in storiform pattern (cart wheel or matlike ) with rounded histiocytic-like cells
Lipid containing xanthoma cells & Tuoton multinucleated giant cells with
nuclei pushed to periphery.
A background of variably dense collagenous tissue & vascularity is seen.
Mixed inflammatory cells present
H&E
4x
10x
40x
10x
130
IMMUNOHISTOCHEMISTRY
POSITIVE
▸Vimentin
▸CD 68
▸SMA / CD 34: diffuse
Vimentin
VARIANTS of fibrous histiocytoma
• Cellular fibrous histiocytoma
• Epitheloid fibrous histiocytoma
• Aneursymal fibrous histiocytoma
• Atypical fibrous histiocytoma
133
DIFFERENTIAL DIAGNOSIS
• Nodular fasciitis
• Neurofibroma
• Leiomyoma
TREATMENT
Wide surgical excision
High rate of recurrence.
134
MALIGNANT FIBROUS
HISTIOCYTOMA/ PLEOMORPHIC
SARCOMA
• Malignant fibrous histiocytoma is a malignant neoplasm of
fibroblasts with a propensity to differentiate into histiocytic and
fibrohistiocytic cells.
• First described in 1964, by O'brien and Stout under the name
malignant fibrous xanthoma
• Histopathological features were first described by Kempson and
Kyriakos.
135
Clinical features
• Any age (50-70yrs)
• Firm submucosal mass expanding slowly or moderately fast
• Asymptomatic and may show ulceration
• Irregular nodular lesion measures less than 4cm
136
•Depending on the dominant morphology, it is currently
subclassified as:
•Pleomorphic storiform,
•Myxoid,
• Angiomatoid (aneurysmal),
•Inflammatory and
•Giant cell malignant fibrous histiocytoma
•Small group of undifferentiated sarcomas lacking differentiation
markers of other sarcomas; DIAGNOSIS OF EXCLUSION.
HISTOPATHOLOGY
•Basic to all MFH - proliferation of pleomorphic spindle shaped cells showing
fibroblastic morphology.
•Abnormal & frequent mitotic figures, necrosis & extensive cellular atypia.
•Storiform-pleomorphic type, with a predominantly storiform pattern
139
The myxoid type is characterized by
myxoid areas in association with cellular
areas indistinguishable from ordinary MFH.
The giant cell type of MFH , also termed malignant giant cell tumor of soft parts is a
multinodular tumor composed of a mixture of spindled, rounded, and osteoclast-type
giant cells
CD68 stain of an inflammatory MFH with
staining of benign xanthoma cells
Inflammatory type of MFH - benign- and
malignant-appearing xanthoma cells, the
latter often assuming a gigantic size with
bizarre nuclei. Typically, these neoplastic cells
display phagocytosis of neutrophils. The
inflammatory component is characteristically
prominent and usually consists of a mixture
of acute and chronic inflammatory cells
with marked prominence on the former.
Immunohistochemistry/cytogenetic and molecular
genetic of UNDIFFERENTIATED PLEOMORPHIC
SARCOMA
• Immunohistochemistry is of little value in the diagnosis of
malignant fibrous histiocytoma because no specific marker for
these lesions exists.
• Factor XIII a or α-1- antichymotrypsin antibodies, CD68 are
positive
• Loss of 4q31 and 18q22 were found but are independent
predictors of metastasis.
143
TREATMENT:
• Radical surgical resection.
• 40% recur locally/ metastasize.
145
MYOFIBROBLASTIC
MYOFIBROBLASTIC ORIGIN
Myofibroma
Inflammatory myofibroblastic tumor
Myofibrosarcoma
MYOFIBROMA & MYOFIBROMATOSIS
• The most common site of myofibroma is in the head and neck
region followed by the trunk, extremities and viscera
• Infantile myofibromatosis (multicentric myofibromatois) occurs
in infants and neonates.
CLINICAL FEATURES
• Age: 1st to 4th decade (Infants – Myofibromatosis)
• Sex: Common in males M-F ratio - 1.5:1
• Site: Most common Mandible >Tongue > BM >
palate > gingiva > mandibular vestibule > retromolar area
Marilena Vered et al, Clinico-pathologic correlations of myofibroblastic tumors of the
oral cavity. II. Myofibroma and myofibromatosis of the oral soft tissues; J Oral
Pathol Med (2007) 36: 304–14
Rare neoplasms with predilection for H& N region.
Occurs as an exophytic mass
Presents as painless mass that show rapid enlargement.
Radiographs:
radiolucent defects that are poorly defined, sometimes well defined & multilocular.
HISTOPATHOLOGY
Interlacing bundles of spindle cells with tapered or blunt ended nuclei and
eosinophilic cytoplasm.
Nodular fascicles may alternate with more cellular zones- giving a biphasic
appearance.
Centrally, the lesion is more vascular with hemangiopericytoma like appearance.
imparting a biphasic appearance to the tumor.
Has monomorphic and biphasic spindle cells
Hemangiopericytoma like areas
Interlacing bundles of spindle cells
blunt-ended nuclei & eosinophilic
cytoplasm
Scattered mitoses
Cells are positive for SMA
154
IMMUNOHISTOCHEMISTRY
Positive for SMA, MSA
Negativity for DESMIN which rules out Leiomyoma & Leiomyosarcoma
SMA POSITIVE
MARKERS:
• Positive for vimentin and actin
DIFFERENTIAL DIAGNOSIS
• Nodular fasciitis
• Neurofibroma
• Fibrous histiocytoma
• Hemangiopericytoma
• Leiomyoma
• Leiomyosarcoma
157
Marilena Vered et al, Clinico-pathologic correlations of myofibroblastic tumors of the oral cavity.
II. Myofibroma and myofibromatosis of the oral soft tissues; J Oral Pathol Med (2007) 36: 304–
14
TREATMENT:
• Solitary tumors – surgical excision
• Recurrent tumors – re-excision.
• In some cases – spontaneous regression.
• Those involving the viscera or vital organs in infants – more aggressive &
may prove to be fatal.
INFLAMMATORY MYOFIBROBLASTIC
TUMOR (IMT)
• IMT is a rare neoplasm consisting of variable numbers of
inflammatory cells and myofibroblastic spindle cells
• It was first observed in the lung and described by Brunn in 1939
• Was so named by Umiker et al. in 1954 because of its clinical and
radiological behavior that mimics a malignant process.
• Liston et al. in 1981 was the first to report IMTs of oral cavity in
three children.
159
Described by various names
• Inflammatory pseudotumor (IPT),
• Plasma cell granuloma,
• Benign myofibroblastoma,
• Inflammatory fibrosarcoma,
• Histiocytoma,
• Xanthomatous granuloma, and
• Spindle cell pseudotumor, describing its heterogeneous nature
160
CLINICAL FEATURES
• Age: 2 to 82 years, with a mean of 35 years.
• Sex: Female
• Site: The buccal mucosa > retromolar area region > premolar
region > pterygoid and masseteric muscle > lingual alveolar
mucosa of the edentulous molar region > tongue> maxilla >
hard palate.
• In some cases localized to an extraction site.
• Size ranged from 0.5 to 5cm, rapid growth rate is an
alarming feature of oral IMT reportedly as short as 1 day, with
a majority of lesions of 2 months duration or less
• Well circumscribed, solitary nodule or mass, 40% of the tumor
were designated as firm or indurated and notably demonstrated
ulceration, characterized with varying degrees of erythema.
• Pain was reported with concurrent clinical ulceration. Some
patients experienced trismus
Most lesions are lobular, multinodular or bosselated.
Hard or rubbery cut surface, appears white, grey or tan-yellow.
Sometimes gritty sensation due to presence of calcification
GROSS APPEARANCE
163
HISTOPATHOLOGY
• Three main patterns
– Monomorphic spindle cells arranged in fascicles
– Myxoid, nodular fasciitis like areas
– Hypocellular hyalinized areas
• A variable infiltrate of inflammatory cells associated with the
tumor cells
164
Histopathology
H&E
Spindle shaped cells with fasciculated architecture
Hypocellular fibrous areas with numerous plasma cells
Concurrent fascitis-like foci
IMMUNOHISTOCHEMISTRY
SMA
MSA POSITIVE
DESMIN
ANAPLASTIC LYMPHOMA KINASE-1 (ALK-1)
Cytogenetics and molecular genetics of
myofibroblastic tumor
• Clonal rearrangement of ALK gene at 2q23.
• ALK gene codes for tyrosine kinase receptor that is a member
of insulin growth factor receptor superfamily.
• ALK rearrangement – constitutive expression and activation of
this gene with abnormal phosphorylation of cellular substrata
169
Differential diagnosis
• Inflammatory Leiomyosarcoma
• Inflamamtory fibrosarcoma
• Malignant fibrous histiocytoma
170
LOW GRADE MYOFIBROSARCOMA
• Malignant tumor of myofibroblast
• Indolent neoplasm that can recur and metastasize after long
period of time
171
CLINICAL FEATURES
 Usually affects adults and is uncommon in children.
 Intra oral tumors- usually slows growing & asymptomatic.
 Oral cavity-the tonsil, mandible, maxilla
Age: Affects young to middle aged adults.
Sex: No sex predilection
Site: 20-25% of cases arise in the head and neck region (especially the oral
cavity and tongue).
Painless growth, large mass.
A population of spindle-shaped cells showing vesicular nuclei with
fine stippled chromatin and a small nucleolus. The cytoplasm was pale
and eosinophilic with indistinct margins.
The cells will be arranged in variably orientated short fascicles or
vaguely storiform whorls , between individual skeletal muscle fibers.
A mild degree of nuclear pleomorphism, anisonucleosis, and
hyperchromatism will be seen.
A moderate amount of collagen was present in several foci, but
a myxoid or hyalinized stroma can also be seen.
Occasional lymphocytes, plasma cells, and mast cells.
The lack of significant atypia confuses with benign diagnosis
such as nodular fascitis, proliferative myositis, and Fibromatosis.
Histopathology of low grade myofibrosarcoma
Immunohistochemistry/Cytogenetics and Molecular
genetics of low grade myofibrosarcoma
SMA- POSITIVE
Calponin- Diffusely Positive
Desmin – Focal Positive
h-caldesmon- Negative
ALK – Negative (eliminates IMFT and leiomyosarcoma)
Comparative genomic hybridization shows gains of 1p11, 12p12.2 and 5p13.2.
176
DIFFERENTIAL DIAGNOSIS
• Nodular fasciitis
• Leiomyosarcoma
• Fibrosarcoma
• IMFT
177
ADIPOCYTIC ORIGIN
Spindle cell Lipoma
Spindle cell Liposarcoma
Lipomatous Tumors
• BENIGN TUMORS
– Spindle cell lipoma/
Pleomorphic
– Vascular (angiolipoma)
– Lipoblastoma
– Hibernoma
– Chondroid type
– Myolipoma
– Myelolipoma
– Angiomyolipoma
• MALIGNANT TUMORS
Liposarcoma
SPINDLE CELL/PLEOMORPHIC
LIPOMA
• Enzinger and Harvey in 1975
• Both the lesions were grouped under “atypical lipomas”
• Definition: A spectrum of benign lesion composed of an admixture
of mature adipocytes, spindle cells, and hyperchromatic
multinucleated giant cells.
DEMOGRAPHICS:
• Site: Tongue, cheek/buccal mucosa, floor of mouth, lip, hard
palate, alveolar ridge, maxilla
• Age: mean age of 55 yrs
• Sex: males
• Subcutaneous tissue of the posterior neck, shoulder, and back; oral
cavity- rare.
• Slow growing, typically solitary, circumscribed or encapsulated,
painless, firm nodule, usually centered in the subcutaneous tissue
• CLINICAL
FEATURES:
– Slow growing
– Solitary
– Circumscribed
– Painless
– Firm nodule
GROSS APPEARANCE
• Resembles usual type of lipoma, except for grey white
gelatinous foci, representing increased cellularity, some tumor
show myxoid areas, other show predominantly lipomatous
184
HISTOPATHOLOGY
Vary widely in its appearance.
Some tumors are predominantly composed of mature adipose tissue with only
scattered spindle cell or pleomorphic elements.
Other tumors are predominantly solid and lack any significant lipomatous
component
The classic spindle cell lipoma consists of a relative equal mixture of mature fat
and spindle cells.
The spindle cells are uniform with a single elongated nucleus and narrow, bipolar
cytoplasmic processes .
The cells may be haphazardly distributed but tend to be arranged in short, parallel
bundles.
HISTOPATHOLOGY
186
Cellular area
Ropy collagen
Well circumscription
Mature adipocytes
Myxoid change
Hyperchromatic multinucleated giant
cells
Bland spindle cells with elongated
nucleus
Immunohistochemistry/ cytogenetics and
molecular genetics of spindle cell lipoma
• Positive: strongly CD34 stains the nuclei of mature lipocytes.
• 55% to 75% of them show chromosomal aberrations.
• Harbor aberrations of 12q13-15.
• Gene HMGC located on 12q13-15 is affected
190
CD 34 positivity
DIFFERENTIAL DIAGNOSIS
• Nodular fascitis
• Neurofibroma
• Solitary fibrous tumor
• Hemangiopericytoma
• Myxoid liposarcoma
• Spindle cell liposarcoma
TREATMENT
• Completely benign lesion
• Exceptionally recur
• Dedifferentiation and metastasis - no
SPINDLE CELL LIPOSARCOMA
• Liposarcoma is a malignancy of fat cells
• Definition: Proliferation of mature adipocytes exhibiting marked variation
in cell size with at least focal nuclear atypia
• Variants - Enzinger and Weiss - developmental stage of the lipoblasts,
cellularity, pleomorphism
• – Well-differentiated
• – Myxoid
• – Round-cell
• – Pleomorphic
• – Spindle cell & Dedifferentiated 193
Age: 6th to 7th decade peak, men and women equally affected
Symptoms depends on anatomic location. Slow growing mass- presents for months
to even several years
Unusual variant of liposarcoma- consisting of loosely arranged fibroblast like spindle
cells
GROSS APPEARANCE
• Resembles normal fat, except for fibrous bands.
195
A very rare and unusual form of liposarcoma consisting almost entirely of
loosely arranged fibroblast-like spindle cells oriented along a single plane and
surrounded by a delicate reticulin meshwork.
At low power, the lesion bears a superficial similarity to spindle cell lipoma,
although it is far more cellular.
HISTOPATHOLOGY
In mature cells the vacuole
coalesce to form single vacuole
that sits on the slender nuclei
like a scoop of ice cream on a
cone.
197
Scattered lipoblasts
In various shapes and sizes
Prominent spindle cells
Resembling SCL
Nuclear Atypia
Variable spindle cells devoid of
lipoblasts
IMMUNOHISTOCHEMISTRY
• Express S-100 protein that may play a role in highlighting the
presence of lipoblasts.
• Expression of MDM2 and CDk4 play a diagnostic role.
202
DIFFERENTIAL DIAGNOSIS
• Fibrosarcoma
• Pleomorphic liposarcoma
203
• Treatment
• Wide surgical excision is the treatment of choice
• Radiation therapy remains controversial
SUMMARY
Spindle cell lesions of head & neck are diverse & diagnostically
challenging
High index of suspicion of spindle cell carcinoma for any
malignant tumor with spindle cells
Clinical correlation is valuable.
Pathologists should take particular care before rendering final
diagnosis.
Rule of thumb –in adults malignant spindle cell are more likely
to represent ca or melanoma than a true sa
REFERENCE:
 Enzinger and weiss; Soft tissue tumors. fifth edition
 Brad . W . Neville, Douglas D . Damm , Carl M . Allen. Oral and
maxillofacial pathology. 2nd edition 2004
 SHAFER, Text book of oral pathology. 6th edition 2006
 Regezi, Sciubba, Jordon. Oral Pathology.
 Douglas .R. Gnepp; Diagnostic surgical pathology of head and neck;
2nd edition
 Cawson’s essentials of Oral pathology. 7th edition.
 Contemporary oral & maxillofacial pathology. 2nd edition. J Philip
Sapp, Eversole.
 Textbook of oral pathology. Sanjay Saraf.
PART 1: SPINDLE CELL LESIONS.pptx

PART 1: SPINDLE CELL LESIONS.pptx

  • 1.
  • 2.
    CONTENTS •Introduction •Types of spindlecells and its origin •General considerations •Pathogenesis •Pretreatment evaluation •Classification •Description of lesion specific •Treatment/Prognosis •Conclusion
  • 3.
  • 4.
    ORIGIN OF SPINDLECELLS ??? Epithelial Origin Fibroblastic Myofibroblastic Origin Muscle Origin Nerve Tissue Origin Adipocytic Origin Vascular Origin Bone Origin Odontogenic origin
  • 5.
    FIBROBLASTS MYOFIBROBLASTS SMOOTH MUSCLESCHWANN CELL OSTEOCYTE MYOEPITHELIAL CELL SPINDLE CELLS IN NORMAL TISSUES
  • 6.
    GENERAL CONSIDERATIONS • Formost of the spindle cell tumors of head and neck/oral cavity etiology is unknown • Various identified causes are: – Exposure to ionizing radiation – Inherited or acquired immunologic defects – Environmental factors like - trauma – Chemical carcinogens – Oncogenic virus (Ex: HHV8- Kaposi’s sarcoma, EBV-smooth muscle tumor in immunodeficiency syndrome patients) – Genetic factor (Ex: Neurofibromatosis 1 and 2)
  • 7.
    PRETREATMENT EVALUATION • ClinicalExamination – Most lesions in the oral cavity arises as painless mass, this will generally cause delay in diagnosis – Suspected cases require Biopsy. • Prior to biopsy depending on peripheral or intra-osseous lesion: – Radiographic evaluation – CT Scan – CBCT in case of oral lesion – MRI – gives better demonstration of soft tissue tumor • Helps in clinical staging and helps to locate nerve of origin and vessel involved in case of neural/vascular tumors. • Inaccessible area FNAC advised, or incisional biopsy
  • 8.
  • 9.
    A simple workingtype classification proposed for the spindle cell neoplasms of the oral cavity Thorakkal Shamim: A simple working type classification proposed for spindle cell neoplasma of oral cavity; journal of cytology, 2013; vol- 30; issue- 1; 85 1
  • 10.
    1. Fibrous tissueorigin a) Benign: Fibroma, Nodular fasciitis, Proliferative fasciitis and myositis, solitary fibrous tumor b)Intermediate: Fibromatoses, Infantile fibromatoses, Desmoid tumor c) Malignant: Fibrosarcoma, Congenital or Infantile fibrosarcoma 2. Fibrous histiocyte origin a) Benign: Fibrous histiocytoma b) Intermediate: Dermatofibrosarcoma, Plexiform fibrous histiocytic tumor c) Malignant: Malignant fibrous histiocytoma 3. Myofibroblast origin a)Benign: Myofibroma, b) intermediate: Inflammatory myofibroblastic tumor b)Malignant: Low grade myofibrosarcoma 4. Muscle tissue origin Benign: Leiomyoma. Cellular rhabdomyoma b) Malignant i. Leiomyosarcoma, 5. Lipomatous origin a) Benign: Spindle cell lipoma b)Malignant: Dedifferentiated liposarcoma 6. Epithelial origin a) benign: spindle cell nevus Malignant: Mal. Melanoma, Spindle cell carcinoma 10. Vascular origin a) Benign: Angiofibroma b) Intermediate: Spindle cell hemangioma, Hemangiopericytoma c) Malignant: Angiosarcoma, Kaposi sarcoma 8. Neural origin a) Benign: Traumatic neuroma, Neurofibroma, Schwannoma, PEN b) Malignant: Malignant peripheral nerve sheath tumor 7. Osseous origin Fibroblastic variant of osteosarcoma,Desmoplastic fibroma 9. Salivary gland Myoepithelioma, Myoepithelial carcinoma 11. Odontogenic origin Odontogenic fibroma, Odontogenic myxoma 12. Miscellaneous Synovial sarcoma, diffuse mesothelioma, fibromyxoma 3/23/2023 10
  • 11.
    Classified based onAPPEARANCES AND THE ARCHITECTURAL PATTERN. • A. MONOMORPHIC SPINDLE CELL LESIONS: • uniform spindle cells which may be arranged in fascicles, a storiform pattern or a ‘herringbone’ pattern, or are sometimes associated with a dense collagenous stroma. • The most common are spindle cell squamous carcinoma and melanoma. • B. PLEOMORPHIC SPINDLE CELL LESIONS: • Spindle cells showing wide variation in size and shape, often with marked nuclear pleomorphism and tumour giant cells. • These malignancies can occur both in mucosal sites and as lymph node metastases in the neck and parotid glands. 2 Catriona E Anderson, Awatif Al-Nafussi; Spindle cell lesions of the head and neck: an overview and diagnostic approach. Diagnostic histopathology, 2009; 15:5 265 -272
  • 12.
    • C. BIPHASICSPINDLE CELL LESIONS: • Two distinct components, spindle cell areas and epithelioid areas. • Epithelioid areas may be sparse and several levels should be examined in biopsies of spindle cell lesions in an attempt to identify these elements. • D. MYXOID SPINDLE CELL LESIONS: • Spindle cell component may be conspicuous or less easily identified, but it is set in a loose, myxoid stroma. • Some tumours in this category may also have a prominent inflammatory infiltrate.
  • 14.
    1. NEURAL TUMOR –Neurofibroma – Schwannoma – Traumatic neuroma – Palisaded encapsulated neuroma – Malignant peripheral nerve sheath tumor 2. MYOFIBROBLASTIC TUMORS – Myofibroma – Inflammatory myofibroblastic tumor – Low-grade myofibroblastic sarcoma 3. SMOOTH MUSCLE TUMORS – Angiomyoma/vascular leiomyoma Jordan RC, Regezi JA. Oral spindle cell neoplasms: a review of 307 cases. Oral Surg Oral Med Oral Pathol Oral Radiol Endod. 2003;95:717-24. 3
  • 15.
    4. FIBROBLASTIC TUMORS –Solitary fibrous tumor – Nodular fasciitis – Fibromatosis – Desmoplastic fibroma – Fibrosarcoma 5. VASCULAR TUMORS – Vascular malformation – Kaposi’s sarcoma 6. CARCINOMAS – Spindle cell SCC – Sarcoma NOS/Atypical spindle cell neoplasm – Benign fibrous histiocytoma Jordan RC, Regezi JA. Oral spindle cell neoplasms: a review of 307 cases. Oral Surg Oral Med Oral Pathol Oral Radiol Endod. 2003;95:717-24.
  • 16.
    TODAY!!! • Fibroblastic • Fibrohistiocytic •Myofibroblastic • Adipose tissue • Epithelial
  • 17.
  • 18.
  • 19.
    MYOFIBROBLASTS Myofibroblasts are short,bipolar or tripolar, spindle shaped or stellate cells with long cytoplasmic extensions, containing sparse to moderate amounts of acidophilic cytoplasm with indistinct cell margins, and ovoid, often indented, pale nuclei containing a small nucleolus. They have contractile elements and synthesize collagen, fibronectin, and laminin. Widely used marker- α-SMA, Endoscalin, p311, integrin, osteopontin, periostin seems specific for certain conditions.
  • 20.
  • 21.
  • 22.
  • 23.
    FIBROBLASTIC Fibroma Giant cell fibroma Fibromatosis Solitaryfibrous tumor Nodular fasciitis Fibrosarcoma
  • 24.
    FIBROMA • Synonyms: • Reactivehyperplasia of the fibrous connective tissue, in response to local irritation or trauma.
  • 25.
  • 27.
    HISTOPATHOLOGY: Pedunculated fibroma CT graduallyblends Collagen bundles – streaming pattern
  • 29.
    Hyperkeratosis due toirritation Dense, hyalinized collagen in sclerotic fibroma
  • 30.
    Collagen bundles inwhirling pattern with numerous blood capillaries – less inflammatory cell
  • 31.
    TREATMENT: • Conservative surgicalexcision • Recurrence is rare
  • 32.
    GIANT CELL FIBROMA •Not associated with any chronic irritation. • It represents approximately 2% to 5%of all oral fibrous DEMOGRAPHICS: • 10 – 30 years • No gender predilection (Female ) • Most commonly it occurs on the mandibular gingiva, followed by tongue, and palate.
  • 33.
    CLINICAL FEATURES: • Itappears as an asymptomatic, sessile, or a pedunculated nodule • Usually less than 1 cm in size • Bosselated or a papillary surface.
  • 34.
    HISTOPATHOLOGY:  Corrugated, atrophicSSE  Thin elongated rete ridges  Vascular fibrous CT (loosely arranged)  Numerous large STELLATE FIBROBLASTS with several Nuclei, in superficial CT
  • 35.
    Mono or multinucleatedFibroblasts Stellate/spindle shaped fibroblasts within the superficial connective tissue
  • 36.
  • 37.
    DIFFERENTIAL DIAGNOSIS: • Retrocuspidpapilla (Site specific) • Papilloma • Irritational fibroma TREATMENT: • Conservative surgical excision • Recurrence is rare
  • 38.
    FIBROMATOSES • Fibromatoses comprisea broad group of benign fibrous tissue proliferations of similar microscopic appearance whose biologic behavior and histopathologic pattern is intermediate between that of benign fibrous lesions and fibrosarcoma. • In the soft tissues of the head and neck- frequently called Juvenile aggressive fibromatoses or extraabdominal desmoids.
  • 39.
    •These non-encapsulated lesionsare locally aggressive in behavior with a tendency for recurrence. • They do not metastasize but presents with local infiltration into the vital structures
  • 40.
    CLINICAL FEATURES • Enzingerand Weiss subdivide the fibromatoses into two broad categories: – Superficial (fascial) fibromatoses and – Deep (musculo - aponeurotic) fibromatoses 40
  • 41.
  • 42.
    • Adjacent tothe mandible, where underlying bone may be eroded or destroyed by invasion. • Can spread through fascial planes and invade surrounding structures, causing pain, dysphagia, respiratory distress, proptosis and epistaxis. • When airway or major vessels are involved, there may be life-threatening consequences 42
  • 43.
    •A firm, painlessmass - rapid or insidious growth. •Most common in para-mandibular soft tissue. •Facial disfigurement
  • 44.
    PATHOGENESIS • Remains unexplained. •Some endocrinal disturbances, because these tumors are characterized by high levels of estrogens and pituitary gonadotropins. • Steroid hormones have an important role in the regulation or fibroblastic activity and proliferation. • Cases have occurred in surgical scars, in irradiated areas, in burn scars, in regions of healed fractures, and in areas of previous trauma, and one case occurred after a silicone implant. • Occasional cases with familial history have been reported.
  • 45.
    GROSS APPEARANCE • Firm,glistening mass resembling scar tissue • Margins are usually poorly circumscribed 45
  • 46.
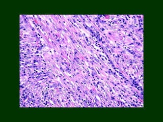
    HISTOPATHOLOGY Non- encapsulated, poorlycircumscribed, infiltrative lesion with a fascicular growth pattern, usually striated musculature Cellular proliferation of spindle shaped cells that are arranged in streaming fascicles & associated with variable amount of collagen. No atypia, mitotic figures. Slit like vascular spaces seen
  • 48.
    Low, paucicellular fibrousproliferation in long fascicles, numerous slit-like vessels Fibroblasts, spindled, dense, wavy nuclei and minimal cytoplasm
  • 49.
    •Some cases showmoderate numbers of lesional cells in a background stroma of abundant mature collagen, and others show minimal stroma with large numbers of active mesenchymal cells. •Occasionally normal-appearing mitotic figures may be found, but they should not exceed 4 mitoses per high-power field. Vesicular nuclei with minute nucleoli, indistinct cytoplasm, interstitial collagen
  • 50.
    Streaming fascicles ofspindled cells highly cellular with variable amount of collagen Hyperchromatic and pleomorphic nuclei are seldom seen
  • 51.
  • 52.
    Little or noPleomorphism Little or no mitotic activity No inflammation. Slit-like vascular spaces
  • 53.
  • 54.
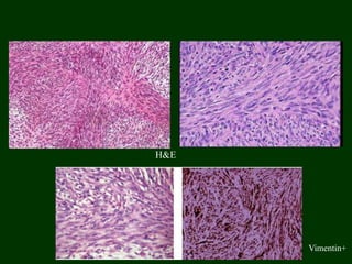
    IMMUNOHISTOCHEMISTRY The spindle cellsexpress vimentin, SMA and MSA Some show desmin expression, β- catenin (adenomatous polyposis coli (APC) gene) positivity β- catenin
  • 55.
    Reactive to smoothmuscle actin (SMA), Vimentin SMA
  • 56.
    DIFFERENTIAL DIAGNOSIS • Fibrosarcoma– one or more than one mitotic figure PHF • Nodular fasciitis- Negative for β- catenin • Leiomyoma - bright pink cytoplasm of smooth muscle, desmin+ 56
  • 57.
    TREATMENT: • A locallyaggressive tumor. • Wide excision, including a generous margin of the adjacent normal tissues. • Recurrence rate of for oral and paraoral fibromatoses – 23%. • No metastases.
  • 58.
    NODULAR FASCIITIS (Pseudosarcomatous Fasciitis/Infiltrative Fasciitis, Subcutaneous Pseudosarcomatous Fibromatosis) A benign and reactive fibroblastic growth extending as a solitary nodule from the superficial fascia into the sub-cutaneous fat and subjacent muscle. It is closely related to “proliferative myositis” which occurs in muscle.
  • 59.
    Definition: A pseudosarcomatous, self-limiting,reactive process composed of fibroblasts and myofibroblasts • Common benign mesenchymal lesion often misdiagnosed as a sarcoma • Etiology : unknown; trauma ?? • Recent molecular studies suggests that the cells are clonal, thus confirms that it is a benign neoplasm.
  • 60.
    DEMOGRAPHICS: • Age: Fourthand fifth decades of life • Sex: Equal gender distribution • Site: Buccal mucosa, labial mucosa, tongue, Angle & inferior border of the mandible, zygomatic arch, anterior mandible • Trunk & extremities – most commonly involved.
  • 61.
    CLINICAL FEATURES:  Occurmostly in areas which serve as sites of origin and insertion of muscles of mastication. 10 % - soft tissues of the head and neck region, usually presenting as a rapidly enlarging mass. (skin of face & parotid sheath).
  • 62.
    • Rapidly growing(1 to 2 months), sometimes painful nodule • Exophytic lesion some times may be ulcerated Dan Dayan et al, Clinico-pathologic correlations of myofibroblastic tumors of the oral cavity: nodular fasciitis; J Oral Pathol Med (2005) 34: 426–35
  • 63.
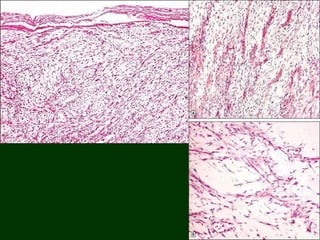
    GROSS APPEARANCE • Dependson amount of myxoid or fibrous stroma, cellularity • Well circumscribed, non-encapsulated lesion • Cut surface is soft and gelatinous- if myxoid • Rarely hemorrhagic areas are seen.
  • 64.
    HP • Zonation effectwith hypocellular central region and hypercellular periphery • Composed of uniform, plump, immature, spindled to stellate fibroblasts or myofibroblasts without atypia, with a feathery, "tissue-culture" like growth pattern due to abundant ground substance • Mucoid / myxoid pools (microcysts), a very useful diagnostic finding • Cellular areas may have storiform or fascicular patterns (S or C shaped)
  • 65.
    Subcutaneous tumor ispartially circumscribed nodule infiltrating focally along fascial planes
  • 66.
    Focal infiltration intofat, with evenly distributed granulation tissue-like vessels throughout the lesion
  • 67.
    Gently curving Cand S shaped fascicles of myofibroblastic cells exhibit a characteristic "torn Kleenex" pattern
  • 68.
    Focal storiform patternis suggestive of fibrous histiocytoma
  • 69.
  • 71.
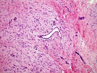
    A nodular growthcontains plump fibroblasts with vesicular nuclei in a haphazard to storiform arrangement.
  • 72.
    Spindle cells inmyxoid background
  • 73.
    DD: •Benign fibrous histiocytoma:in dermis, storiform pattern, infiltrative borders with collagen trapping, sometimes prominent xanthoma cells and often Touton giant cells, no myxoid microcysts •Fibromatosis: infiltrates surrounding soft tissue, spindled cells are parallel and separated by abundant collagen and arranged in broad sweeping fascicles, no loose tissue culture appearance or myxoid microcysts •Sarcoma: nuclear atypia is prominent, necrosis, larger size usually
  • 74.
    • Spindle cellshows both myofibroblastic and histiocytic immunoprofile – SMA – MSA – Vimentin – CD68 Dan Dayan et al, Clinico-pathologic correlations of myofibroblastic tumors of the oral cavity: nodular fasciitis; J Oral Pathol Med (2005) 34: 426–35 SMA
  • 75.
    Smooth muscle actin,vimentin that shows strong and diffuse cytoplasmic positivity
  • 76.
    TREATMENT • Local excisionis the treatment of choice
  • 77.
    SOLITARY FIBROUS TUMOR(SFT) • The diagnosis of Hemangiopericytoma (HPC) was first described by Arthur Purdy Stout and Margaret Murray in 1942  derived from pericytes • Solitary fibrous tumor (SFT) was originally described as a primary tumor arising in the pleura, presumably as a tumor of submesothelial fibroblasts • Now recognized as ends of the spectrum within a single biologic entity.
  • 79.
    The recent discoveryof the reproducible NAB2-STAT6 gene fusion, resulting from a t(12q13) translocation in tumors previously classified as both soft tissue SFT and HPC has largely ended the controversy.. The histologic features of HPC, using the Enzinger and Smith 1976 definition, include (1) randomly distributed (“patternless”) ovoid to short spindle cells (2) prominent thin-walled vasculature in a branching (“stag horn”) pattern.  The tumor cells lack overt differentiation and show uniformly high cellularity. Mitotic activity is usually low (1-4 mf / 10 hpf) while necrosis and pleomorphism are absent.
  • 80.
    CLINICAL FEATURES • Middle-agedadults (median age 50 years) • Wide anatomic distribution; essentially arises from any soft tissue or visceral location • Rarely causes paraneoplastic hypoglycemia due to insulin-like growth factor production • Slow growing painless mass, usually benign; histologically malignant tumors may be grossly infiltrative.
  • 81.
  • 82.
    HISTOPATHOLOGY • Patternless architectureof hypo- and hypercellular areas separated by thick, hyalinized collagen with cracking artifact and stag horn vessels • Perivascular sclerosis • Bland and uniform oval to spindle cells dispersed along thin parallel collagen bands, cells have minimal cytoplasm, small elongated nuclei and indistinct nucleoli • Some have myxoid change, mast cells, adipose tissue or multinucleated giant cells • Minimal pleomorphism
  • 83.
  • 84.
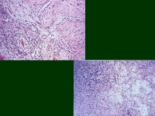
    Scant cytoplasm anduniform spindled nuclei, note the thin bands of intercellular collagen Storiform growth
  • 87.
    Typically circumscribed neoplasms (A) blandovoid or spindled fibroblastic cells in “patternless” distributions within variably collagenous stroma (A-F) that frequently shows areas of dense hyalinization (C) as well as interspersed large branching or “staghorn”-shaped thin-walled hemangiopericytic vessels(D Note the marked intertumoral variation in cellularity, with hypercellular stroma-poor areas that alternate with more sparsely cellular collagenous areas (E). The cells are typically uniform with basophilic nuclei that are hyperchromatic or vesicular and scanty amphophilic cytoplasm with indistinct cell borders (E, F).
  • 92.
    POSITIVE STAINS •CD34 (90- 95%), •CD99 (70%), •1/3 positive for bcl2, EMA and actin
  • 93.
    DIFFERENTIAL DIAGNOSIS •Benign neuraltumors: S100+ •Smooth muscle tumors: fascicles of cells with more abundant eosinophilic cytoplasm, blunted nuclei, desmin+, actin+ •Synovial sarcoma (monophasic): Ovoid cels, no thick collagen bands; keratin+, t(X;18)
  • 94.
    FIBROSARCOMA “A malignant spindlecell tumor composed of Fibroblasts arranged in a herringbone/ interlacing fascicular pattern, with varying amounts of collagen in the background with no expression of other connective tissue markers”
  • 95.
    •Fibrosarcoma accounts forapproximately 15% of all soft tissue sarcomas, of which only 1% occur in the head and neck region. •Men commonly affected •4th decade •Usually lower extremities (femur and tibia) Also reported to arise from pre- existing lesions: fibrous dysplasia, chronic osteomyelitis, bone infarct, Paget's disease & previously irradiated areas. •Large painless mass, often of shorter duration, ulceration can be seen •Soft tissue and bone lesion
  • 96.
    CLINICAL FEATURES • Aninfantile/congenital form (in children < 10 years) of fibrosarcoma exists, defined in the World Health Organization classification • However, most are discovered at birth or within first year of life. • Unlike fibrosarcoma in adults, it has an excellent prognosis, even in the face of metastatic disease at presentation, when treated with a combination of neoadjuvant and adjuvant chemotherapy and resection. 96
  • 98.
    • DEMOGRAPHICS: • Age:30 – 50 yrs (wide age range), younger • Sex: no sex predilection • Site: Buccal mucosa, tongue – 1/4th of the oral lesions
  • 100.
    GROSS FINDINGS Typically, thelesions are solitary, multilobulated, fleshy masses 5–10 cm in diameter when first detected. About two-thirds of these tumors are located in skeletal muscle, <10% are confined to the subcutis. A multinodular white mass with areas of hemorrhage and necrosis.
  • 101.
    HISTOPATHOLOGY Highly cellular fibroblasticproliferation in herringbone pattern (cells in columns of short parallel lines with all the lines in one column sloping one way and lines in adjacent columns sloping the other way). fusiform or spindle-shaped cells that vary little in size and shape, have scanty cytoplasm with indistinct cell borders, tapering elongated dark nuclei with increased granular chromatin, variable nucleoli and are separated by interwoven collagen fibers arranged in a parallel fashion. Mitotic figures are frequent. Collagen may be sparse. Patterns: Keloid-like (thick hyalinized collagen fibers), loose fascicular, focally myxoid
  • 102.
    HISTOLOGICAL GRADING OFFIBROSARCOMA Based on • Cellularity • Differentiation • Mitotic activity • Necrosis
  • 103.
    Histologic grading offibrosarcomas is based on the cellularity and differentiation, mitotic activity, and necrosis Low-grade (well differentiated) fibrosarcomas are characterized by a uniform, orderly appearance of the spindle cells associated with abundant collagen
  • 104.
    Atypical uniform cellsin herringbone pattern
  • 105.
    Malignant, with coarsechromatin but minimal pleomorphism
  • 106.
    LOW GRADE Minimal pleomorphismand low mitotic index, but is more cellular than fibromatosis INTERMEDIATE GRADE: intermediate features
  • 107.
    HIGH GRADE: high gradeatypia and high mitotic index
  • 108.
    HIGH GRADE FIBROSARCOMA Closelypacked and less well oriented cells Round tumor cells with high grade nuclear features
  • 109.
    Herring bone pattern Bipolarspindle cells scanty cytoplasm
  • 110.
    Low grade fibrosarcomaresembling fibromatosis Variation in shape and size Mitotic activity moderate Mild pleomorphism
  • 113.
  • 114.
    POSITIVE STAINS •Reticulin staindemonstrates fibers surrounding each cell •Phosphotungstic acid-hematoxylin demonstrates abundant cytoplasmic fibrils •Also vimentin, type 1 collagen, p53 •High Ki67 •May be CD34+ if arises from DFSP or solitary fibrous tumor
  • 115.
    Immunohistochemistry/Cytogenetics and Molecular Genetics •Vimentin- positive • Weak positive for smooth muscle actin- due to focal myofibroblastic differentiation • Little is know about molecular or cytogenetic alterations in adult fibrosarcoma, but multiple complex chromosomal rearrangement as be reported in infantile fibrosarcoma (chromosomal change involving- t(2;19).
  • 116.
  • 118.
    Differential diagnosis • Nodularfasciitis • Cellular benign fibrous histiocytoma • Fibromatoses • Malignant peripheral nerve sheath tumor • Malignant fibrous histiocytoma • Monophasic fibrous synovial sarcoma
  • 119.
  • 120.
    HISTOLOGICAL VARIANTS OF FIBROSARCOMA Adulttype fibrosarcoma • Myxofibrosarcoma • Sclerosing epitheliod type • Hyalinising spindle cell type Infantile fibrosarcoma 120
  • 121.
    MYXOID TYPE OFFIBROSARCOMA Spindle or stellate shaped cells deposited in a myxoid matrix composed of predominantly of hyaluronic acid. The cells have slightly eosinophilic cytoplasm and indistinct cell borders; the nuclei are hyperchromatic, are mildly pleomorphic, and have only rare mitotic figures. DD 1: Nodular fasciitis 2: Myxoma 3: Nerve sheath Myxoma 4: Spindle cell lipoma 5. Myxoid liposarcoma 6. Extraskeletal myxoid chondrosarcoma
  • 123.
    FIBROMYXOID TYPE OFFIBROSARCOMA •Composed of bland spindle-shaped cells with small hyperchromatic oval nuclei, finely clumped chromatin, and one to several small nucleoli. •The cells have indistinct pale eosinophilic cytoplasm and show only mild nuclear pleomorphism with little mitotic activity. •The cells are deposited in a fibrous and myxoid stroma that tends to vary in different areas of the tumor
  • 124.
    SCLEROSING EPITHELIOID TYPEOF FIBROSARCOMA The neoplastic cells are predominantly epithelioid in appearance and are arranged in a variety of patterns, including nests, cords, strands, and occasionally acini or alveoli. The cells have oval to round angulated nuclei with finely stippled or vesicular chromatin, small basophilic nucleoli, and scanty cleared-out or faintly eosinophilic cytoplasm
  • 125.
    TREATMENT:  Radical excision,radiation if residual tumor or positive margins  Possibly chemotherapy, if high grade
  • 126.
  • 127.
    BENIGN FIBROUS HISTIOCYTOMA •Neoplastic lesion composed of mixture of fibroblastic and histiocytic cells accompanied by varying number of inflammatory cells, foam cells, MNG’s • Cell of origin : Histiocyte. 127 Dermatofibroma Sclerosing Hemangioma Fibroxanthoma Nodular sub-epidermal fibrosis
  • 128.
    • Solitary -slow growing - firm nodule • Typically seen in middle aged and older adults (5th decade). • Common site: skin of the extremities : DERMATOFIBROMA • Oral cavity: rare, if present: Buccal mucosa & vestibule.
  • 129.
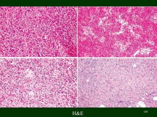
    HISTOPATHOLOGY Fairly well-demarcated &often circumscribed at the periphery. Cellular proliferation of spindle shaped fibroblast cells with plump, vesicular nuclei in storiform pattern (cart wheel or matlike ) with rounded histiocytic-like cells Lipid containing xanthoma cells & Tuoton multinucleated giant cells with nuclei pushed to periphery. A background of variably dense collagenous tissue & vascularity is seen. Mixed inflammatory cells present
  • 130.
  • 132.
  • 133.
    VARIANTS of fibroushistiocytoma • Cellular fibrous histiocytoma • Epitheloid fibrous histiocytoma • Aneursymal fibrous histiocytoma • Atypical fibrous histiocytoma 133
  • 134.
    DIFFERENTIAL DIAGNOSIS • Nodularfasciitis • Neurofibroma • Leiomyoma TREATMENT Wide surgical excision High rate of recurrence. 134
  • 135.
    MALIGNANT FIBROUS HISTIOCYTOMA/ PLEOMORPHIC SARCOMA •Malignant fibrous histiocytoma is a malignant neoplasm of fibroblasts with a propensity to differentiate into histiocytic and fibrohistiocytic cells. • First described in 1964, by O'brien and Stout under the name malignant fibrous xanthoma • Histopathological features were first described by Kempson and Kyriakos. 135
  • 136.
    Clinical features • Anyage (50-70yrs) • Firm submucosal mass expanding slowly or moderately fast • Asymptomatic and may show ulceration • Irregular nodular lesion measures less than 4cm 136
  • 137.
    •Depending on thedominant morphology, it is currently subclassified as: •Pleomorphic storiform, •Myxoid, • Angiomatoid (aneurysmal), •Inflammatory and •Giant cell malignant fibrous histiocytoma •Small group of undifferentiated sarcomas lacking differentiation markers of other sarcomas; DIAGNOSIS OF EXCLUSION.
  • 138.
    HISTOPATHOLOGY •Basic to allMFH - proliferation of pleomorphic spindle shaped cells showing fibroblastic morphology. •Abnormal & frequent mitotic figures, necrosis & extensive cellular atypia. •Storiform-pleomorphic type, with a predominantly storiform pattern
  • 139.
  • 140.
    The myxoid typeis characterized by myxoid areas in association with cellular areas indistinguishable from ordinary MFH.
  • 141.
    The giant celltype of MFH , also termed malignant giant cell tumor of soft parts is a multinodular tumor composed of a mixture of spindled, rounded, and osteoclast-type giant cells
  • 142.
    CD68 stain ofan inflammatory MFH with staining of benign xanthoma cells Inflammatory type of MFH - benign- and malignant-appearing xanthoma cells, the latter often assuming a gigantic size with bizarre nuclei. Typically, these neoplastic cells display phagocytosis of neutrophils. The inflammatory component is characteristically prominent and usually consists of a mixture of acute and chronic inflammatory cells with marked prominence on the former.
  • 143.
    Immunohistochemistry/cytogenetic and molecular geneticof UNDIFFERENTIATED PLEOMORPHIC SARCOMA • Immunohistochemistry is of little value in the diagnosis of malignant fibrous histiocytoma because no specific marker for these lesions exists. • Factor XIII a or α-1- antichymotrypsin antibodies, CD68 are positive • Loss of 4q31 and 18q22 were found but are independent predictors of metastasis. 143
  • 144.
    TREATMENT: • Radical surgicalresection. • 40% recur locally/ metastasize.
  • 145.
  • 146.
  • 147.
  • 148.
    MYOFIBROMA & MYOFIBROMATOSIS •The most common site of myofibroma is in the head and neck region followed by the trunk, extremities and viscera • Infantile myofibromatosis (multicentric myofibromatois) occurs in infants and neonates.
  • 149.
    CLINICAL FEATURES • Age:1st to 4th decade (Infants – Myofibromatosis) • Sex: Common in males M-F ratio - 1.5:1 • Site: Most common Mandible >Tongue > BM > palate > gingiva > mandibular vestibule > retromolar area Marilena Vered et al, Clinico-pathologic correlations of myofibroblastic tumors of the oral cavity. II. Myofibroma and myofibromatosis of the oral soft tissues; J Oral Pathol Med (2007) 36: 304–14
  • 150.
    Rare neoplasms withpredilection for H& N region. Occurs as an exophytic mass Presents as painless mass that show rapid enlargement. Radiographs: radiolucent defects that are poorly defined, sometimes well defined & multilocular.
  • 151.
    HISTOPATHOLOGY Interlacing bundles ofspindle cells with tapered or blunt ended nuclei and eosinophilic cytoplasm. Nodular fascicles may alternate with more cellular zones- giving a biphasic appearance. Centrally, the lesion is more vascular with hemangiopericytoma like appearance. imparting a biphasic appearance to the tumor. Has monomorphic and biphasic spindle cells
  • 152.
    Hemangiopericytoma like areas Interlacingbundles of spindle cells blunt-ended nuclei & eosinophilic cytoplasm
  • 153.
  • 154.
  • 155.
    IMMUNOHISTOCHEMISTRY Positive for SMA,MSA Negativity for DESMIN which rules out Leiomyoma & Leiomyosarcoma SMA POSITIVE
  • 156.
    MARKERS: • Positive forvimentin and actin
  • 157.
    DIFFERENTIAL DIAGNOSIS • Nodularfasciitis • Neurofibroma • Fibrous histiocytoma • Hemangiopericytoma • Leiomyoma • Leiomyosarcoma 157 Marilena Vered et al, Clinico-pathologic correlations of myofibroblastic tumors of the oral cavity. II. Myofibroma and myofibromatosis of the oral soft tissues; J Oral Pathol Med (2007) 36: 304– 14
  • 158.
    TREATMENT: • Solitary tumors– surgical excision • Recurrent tumors – re-excision. • In some cases – spontaneous regression. • Those involving the viscera or vital organs in infants – more aggressive & may prove to be fatal.
  • 159.
    INFLAMMATORY MYOFIBROBLASTIC TUMOR (IMT) •IMT is a rare neoplasm consisting of variable numbers of inflammatory cells and myofibroblastic spindle cells • It was first observed in the lung and described by Brunn in 1939 • Was so named by Umiker et al. in 1954 because of its clinical and radiological behavior that mimics a malignant process. • Liston et al. in 1981 was the first to report IMTs of oral cavity in three children. 159
  • 160.
    Described by variousnames • Inflammatory pseudotumor (IPT), • Plasma cell granuloma, • Benign myofibroblastoma, • Inflammatory fibrosarcoma, • Histiocytoma, • Xanthomatous granuloma, and • Spindle cell pseudotumor, describing its heterogeneous nature 160
  • 161.
    CLINICAL FEATURES • Age:2 to 82 years, with a mean of 35 years. • Sex: Female • Site: The buccal mucosa > retromolar area region > premolar region > pterygoid and masseteric muscle > lingual alveolar mucosa of the edentulous molar region > tongue> maxilla > hard palate. • In some cases localized to an extraction site.
  • 162.
    • Size rangedfrom 0.5 to 5cm, rapid growth rate is an alarming feature of oral IMT reportedly as short as 1 day, with a majority of lesions of 2 months duration or less • Well circumscribed, solitary nodule or mass, 40% of the tumor were designated as firm or indurated and notably demonstrated ulceration, characterized with varying degrees of erythema. • Pain was reported with concurrent clinical ulceration. Some patients experienced trismus
  • 163.
    Most lesions arelobular, multinodular or bosselated. Hard or rubbery cut surface, appears white, grey or tan-yellow. Sometimes gritty sensation due to presence of calcification GROSS APPEARANCE 163
  • 164.
    HISTOPATHOLOGY • Three mainpatterns – Monomorphic spindle cells arranged in fascicles – Myxoid, nodular fasciitis like areas – Hypocellular hyalinized areas • A variable infiltrate of inflammatory cells associated with the tumor cells 164
  • 165.
  • 166.
    Spindle shaped cellswith fasciculated architecture Hypocellular fibrous areas with numerous plasma cells Concurrent fascitis-like foci
  • 168.
  • 169.
    Cytogenetics and moleculargenetics of myofibroblastic tumor • Clonal rearrangement of ALK gene at 2q23. • ALK gene codes for tyrosine kinase receptor that is a member of insulin growth factor receptor superfamily. • ALK rearrangement – constitutive expression and activation of this gene with abnormal phosphorylation of cellular substrata 169
  • 170.
    Differential diagnosis • InflammatoryLeiomyosarcoma • Inflamamtory fibrosarcoma • Malignant fibrous histiocytoma 170
  • 171.
    LOW GRADE MYOFIBROSARCOMA •Malignant tumor of myofibroblast • Indolent neoplasm that can recur and metastasize after long period of time 171
  • 172.
    CLINICAL FEATURES  Usuallyaffects adults and is uncommon in children.  Intra oral tumors- usually slows growing & asymptomatic.  Oral cavity-the tonsil, mandible, maxilla Age: Affects young to middle aged adults. Sex: No sex predilection Site: 20-25% of cases arise in the head and neck region (especially the oral cavity and tongue). Painless growth, large mass.
  • 173.
    A population ofspindle-shaped cells showing vesicular nuclei with fine stippled chromatin and a small nucleolus. The cytoplasm was pale and eosinophilic with indistinct margins. The cells will be arranged in variably orientated short fascicles or vaguely storiform whorls , between individual skeletal muscle fibers. A mild degree of nuclear pleomorphism, anisonucleosis, and hyperchromatism will be seen.
  • 174.
    A moderate amountof collagen was present in several foci, but a myxoid or hyalinized stroma can also be seen. Occasional lymphocytes, plasma cells, and mast cells. The lack of significant atypia confuses with benign diagnosis such as nodular fascitis, proliferative myositis, and Fibromatosis.
  • 175.
    Histopathology of lowgrade myofibrosarcoma
  • 176.
    Immunohistochemistry/Cytogenetics and Molecular geneticsof low grade myofibrosarcoma SMA- POSITIVE Calponin- Diffusely Positive Desmin – Focal Positive h-caldesmon- Negative ALK – Negative (eliminates IMFT and leiomyosarcoma) Comparative genomic hybridization shows gains of 1p11, 12p12.2 and 5p13.2. 176
  • 177.
    DIFFERENTIAL DIAGNOSIS • Nodularfasciitis • Leiomyosarcoma • Fibrosarcoma • IMFT 177
  • 178.
  • 179.
  • 180.
    Lipomatous Tumors • BENIGNTUMORS – Spindle cell lipoma/ Pleomorphic – Vascular (angiolipoma) – Lipoblastoma – Hibernoma – Chondroid type – Myolipoma – Myelolipoma – Angiomyolipoma • MALIGNANT TUMORS Liposarcoma
  • 181.
    SPINDLE CELL/PLEOMORPHIC LIPOMA • Enzingerand Harvey in 1975 • Both the lesions were grouped under “atypical lipomas” • Definition: A spectrum of benign lesion composed of an admixture of mature adipocytes, spindle cells, and hyperchromatic multinucleated giant cells.
  • 182.
    DEMOGRAPHICS: • Site: Tongue,cheek/buccal mucosa, floor of mouth, lip, hard palate, alveolar ridge, maxilla • Age: mean age of 55 yrs • Sex: males • Subcutaneous tissue of the posterior neck, shoulder, and back; oral cavity- rare. • Slow growing, typically solitary, circumscribed or encapsulated, painless, firm nodule, usually centered in the subcutaneous tissue
  • 183.
    • CLINICAL FEATURES: – Slowgrowing – Solitary – Circumscribed – Painless – Firm nodule
  • 184.
    GROSS APPEARANCE • Resemblesusual type of lipoma, except for grey white gelatinous foci, representing increased cellularity, some tumor show myxoid areas, other show predominantly lipomatous 184
  • 185.
    HISTOPATHOLOGY Vary widely inits appearance. Some tumors are predominantly composed of mature adipose tissue with only scattered spindle cell or pleomorphic elements. Other tumors are predominantly solid and lack any significant lipomatous component The classic spindle cell lipoma consists of a relative equal mixture of mature fat and spindle cells. The spindle cells are uniform with a single elongated nucleus and narrow, bipolar cytoplasmic processes . The cells may be haphazardly distributed but tend to be arranged in short, parallel bundles.
  • 186.
  • 188.
    Cellular area Ropy collagen Wellcircumscription Mature adipocytes
  • 189.
    Myxoid change Hyperchromatic multinucleatedgiant cells Bland spindle cells with elongated nucleus
  • 190.
    Immunohistochemistry/ cytogenetics and moleculargenetics of spindle cell lipoma • Positive: strongly CD34 stains the nuclei of mature lipocytes. • 55% to 75% of them show chromosomal aberrations. • Harbor aberrations of 12q13-15. • Gene HMGC located on 12q13-15 is affected 190
  • 191.
  • 192.
    DIFFERENTIAL DIAGNOSIS • Nodularfascitis • Neurofibroma • Solitary fibrous tumor • Hemangiopericytoma • Myxoid liposarcoma • Spindle cell liposarcoma TREATMENT • Completely benign lesion • Exceptionally recur • Dedifferentiation and metastasis - no
  • 193.
    SPINDLE CELL LIPOSARCOMA •Liposarcoma is a malignancy of fat cells • Definition: Proliferation of mature adipocytes exhibiting marked variation in cell size with at least focal nuclear atypia • Variants - Enzinger and Weiss - developmental stage of the lipoblasts, cellularity, pleomorphism • – Well-differentiated • – Myxoid • – Round-cell • – Pleomorphic • – Spindle cell & Dedifferentiated 193
  • 194.
    Age: 6th to7th decade peak, men and women equally affected Symptoms depends on anatomic location. Slow growing mass- presents for months to even several years Unusual variant of liposarcoma- consisting of loosely arranged fibroblast like spindle cells
  • 195.
    GROSS APPEARANCE • Resemblesnormal fat, except for fibrous bands. 195
  • 196.
    A very rareand unusual form of liposarcoma consisting almost entirely of loosely arranged fibroblast-like spindle cells oriented along a single plane and surrounded by a delicate reticulin meshwork. At low power, the lesion bears a superficial similarity to spindle cell lipoma, although it is far more cellular.
  • 197.
    HISTOPATHOLOGY In mature cellsthe vacuole coalesce to form single vacuole that sits on the slender nuclei like a scoop of ice cream on a cone. 197
  • 198.
    Scattered lipoblasts In variousshapes and sizes Prominent spindle cells Resembling SCL
  • 199.
    Nuclear Atypia Variable spindlecells devoid of lipoblasts
  • 202.
    IMMUNOHISTOCHEMISTRY • Express S-100protein that may play a role in highlighting the presence of lipoblasts. • Expression of MDM2 and CDk4 play a diagnostic role. 202
  • 203.
  • 204.
    • Treatment • Widesurgical excision is the treatment of choice • Radiation therapy remains controversial
  • 211.
    SUMMARY Spindle cell lesionsof head & neck are diverse & diagnostically challenging High index of suspicion of spindle cell carcinoma for any malignant tumor with spindle cells Clinical correlation is valuable. Pathologists should take particular care before rendering final diagnosis. Rule of thumb –in adults malignant spindle cell are more likely to represent ca or melanoma than a true sa
  • 212.
    REFERENCE:  Enzinger andweiss; Soft tissue tumors. fifth edition  Brad . W . Neville, Douglas D . Damm , Carl M . Allen. Oral and maxillofacial pathology. 2nd edition 2004  SHAFER, Text book of oral pathology. 6th edition 2006  Regezi, Sciubba, Jordon. Oral Pathology.  Douglas .R. Gnepp; Diagnostic surgical pathology of head and neck; 2nd edition  Cawson’s essentials of Oral pathology. 7th edition.  Contemporary oral & maxillofacial pathology. 2nd edition. J Philip Sapp, Eversole.  Textbook of oral pathology. Sanjay Saraf.

Editor's Notes

  • #18 They appear as large flat branching cells that appear spindle or fusiform in shape, pale stained, smooth contoured, oval or elongated nuclei with delicate cell membrane having one or two minute prominent nucleoli and small amount of finely granular cytoplasm. Depending on synthetic activity they appear eosinophillic to basophilic. They deposit rich myxoid stroma and tend to assume stellate shape with multiple slender cytoplasmic extensions. Ultra structure: Fibroblasts are large, flat, branching cells that appear spindle-shaped or fusiform in profile. The nucleus is oval or elongated with a delicate nuclear membrane, one or two distinct nucleoli and small amounts of finely granular chromatin. Active cells have numerous, often dilated cisternae of rough endoplasmic reticulum. Mitochondria appear as slender rods scattered typically in the perinuclear location. A large golgi apparatus is seen associated with small vesicles filled with granular or flocculent material. Many free ribosomes, occasional fat droplets, and slender microtubules are seen. Inactive cells are smaller and spindle shaped. They have scanty granular endoplasmic reticulum.
  • #19 Cells are derived from primitive mesenchyme. They express intermediate filament protein vimentin and used to confirm the mesoderm origin of fibroblast
  • #21 Fibroblasts from the site of injury, hematopoetic stem cell or smooth muscle cell differentiate into myofibroblasts. In any stress or wound healing, these cells form pro-myofibroblast containing alfa and beta cytoplasmic actin.
  • #41 Superficial (fascial) fibromatoses are slow growing and small in size. These lesions arise from the fascia or aponeurosis and rarely involve deep structures. Superficial lesions do not occur in the oral cavity Deep (musculoaponeurotic) fibromatoses are rapidly growing tumors that often attain a large size. They are more aggressive than that of the superficial (fascial) fibromatoses.
  • #95 Soft tissue and bone lesion In bone two – primary and secondary, primary denovo, secondary due to radiation therapy, or arising from preexistinf lesion, complication of bone diseases like fibrous dysplasia, osteomyelitis, paget’s disease
  • #114 Well differentiated, intermediate and High grade
  • #121 Sclerosing epitheliod type: hypocellular with extensive dense hyalinised stroma. The neoplastic cells are predominantly epitheloid in shape, arranged in variety of patterns like nests, cords and strands, occasuionally alveoli or acini pattern IHC: 50% have membranous positive for EMA, confuses with carcinma or synovial sarcoma. Negative for smooth muscle actin, HMB45, CD68, leukocyte common antigen and CD34. weekly positive for S-100 and neuron specific enolase Myxofibrosarcoma: IHC: shows focal staining for smooth muscle actin which gives an evidence of myofibroblastic differentiation
  • #129 Gross appreance of the specimen is well circumscribed, fibrous, sometimes cystic degeneration is evident, the cut surface appears light color due to the presence of large amount of lipid.
  • #131 Short interlacing fascicles of lightly eosinophilic fibroblast cells, few areas storiform pattern is evident , interspersed between are round histiocytic cells Touton type multinucletaed giant cells are seen, back ground stroma is variably collagenous and vacularity is appreciated
  • #140 Malignant fibrous histiocytoma has a wide spectrum of cellular and tissue alterations. The cellular differentiation and density vary markedly, even within the same tumor. Most lesional cells are plump spindle fibroblast-like cells containing enlarged, hyperchromatic and irregular nuclei with minimal atypia arranged in short woven fascicles or bundles with scattered areas showing a storiform pattern where fascicles intertwine. Varying numbers of rounded, polygonal, and irregularly shaped histiocyte-like cells may dominate some areas of the lesion. Histiocytic cells have either abundant eosinophilic cytoplasm or pale foamy cytoplasm, and cell membranes are not easily visualized. Areas with histiocytic predominance usually have a haphazard structural appearance. Few pleomorphic, multinucleated giant cells may be interspersed within the lesion. Chronic inflammatory cells are often scattered sparsely throughout the tumor, including foamy histiocytes, lymphocytes, and plasma cells. Multinucleated Touton giant cells are occasionally seen. Mitotic activity varies widely and is directly related to the degree of cellular pleomorphism
  • #155 Histologically shows typically nodular or multinodular pattern with biphasic appearance of light and dark staining cells. Myofibromas are composed of interlacing bundles of spindle cells with tapered or bluntended nuclei and eosinophilic cytoplasm. 21 The lesion frequently has a distinct zonal growth pattern, with the periphery composed of spindle shaped fibroblastic cells and plump smooth muscle like cells arranged in bands, whorls or fascicles. These cells may merge with the smooth muscle in the walls of adjacent blood vessels or actually invade into their lumens. Hyalin or chondroid like hypocellular foci may alternate with more cellular areas. The more central region of the lesion may show bland necrosis and focal or diffuse calcifications. The central zone may contain polyhedral cells with somewhat pleomorphic nuclei an often has a prominent vascular pattern, with slit- like spaces, creating a hemangiopericytoma- like appearance. Mitotic figures vary from numerous to scant or absent
  • #161 The pathogenesis of IMT remains unknown and controversial and recent evidence shows that IMTs may have a different etiology and clinicopathologic features from IPTs in the central nervous system, spleen and lymph nodes [6, 7]. In intraoral lesions, Brooks et al. distinguished the term IMT, which is a neoplastic process from IPT, which is reactive and reparative process [8]. However, hypotheses suggest that the lesion maybe infectious, autoimmune, syndromic or traumatic in origin. Reports suggest that this tumor in the liver maybe associated with inflammatory bowel disease, Papillon-Lefevre syndrome, severe congenital neutropenia (Kostmann’s disease), or leukemia [1, 8-11]. HIV infection has also been associated with this neoplasm in various organs [8, 12]. Interestingly, evidence for a role of Epstein-Barr viruses has been noted in some cases of IMT in liver, spleen and lymph nodes, but the role of human herpesvirus-8 (HHV8) is not clearly associated [6, 8, 13]. Other organisms found in association with tumor include actinomycetes found in hepatic pseudotumors; or nocardiae and mycoplasma in pulmonary pseudotumors [1].
  • #166 The tumor is an essentially cellular, fascicular fibroblastic/ myofibroblastic proliferations accompanied by a prominent infiltrate of chronic inflammatory cells particularly plasma cells. The spindle cell component typically has plump, variably atypical nuclei and the mitotic rate is variable. Occasional cases show necrosis or calcification. Either in the primary tumour or in a recurrence show overtly malignant cytomorphology, either in the form of larger histiocytoid cells or bizarre spindle cells Oral IMT is a very rare lesion with a nonspecific clinical appearance. Its rapid growth rate may simulate a malignant disorder and therefore warrants a comprehensive histopathologic assessment.
  • #177 Immunophentypic profile is similar to nodular fascitiis, helps to distiguish leiomyosarcoma.
  • #187 Microscopically it shows mixture of adipose tissue and spindle cells. Sometimes we can see exclusively solid pattern with spindle cells, such cases are challenging. A classic spindle cell lipoma shows mixture of relative equal amount of adipose tissue and spindle cell. The spindle cell are elongated hapazardly arraned with cytoplasmic process. They are arranged in short parallel bundles often with striking nuclear palisading reminiscent of neural tumor. The cells deposited in mucoid matrix composed of hyaluronic acid and the collagen gives varying number of characteistic birefringent collagen fibers. Some show predominant myxoid component, hemangiopericyoma like vascular pattern.
  • #191 Mostly seen positive in male CD34 suggestive of presence of androgen receptors in male and also precursor cell of origin- suggestive of hematopoietic in origin
  • #194 Clinical features are similar to liposarcoma, here the histological variant is important as it remarkably resembles fibrosarcoma.
  • #198 Microscopically the tumor consist of nodules of slender fibroblast like cells. The cells have minimum atypia and mitotic activity. At high power one or more minute fat vacuoles with in the cytoplasm of many cells are seen. In mature cells the vacuole colesce to form single vacuole that sits n the slender nuclei like a scoop of ice cream on a cone.