Drive carefully, life is precious
Diagnostic Imaging for Rehab
Doctors
Learning outcome and
objectives
1. Become familiar with various medical imaging
modalities
2. Understanding the advantages and disadvantages of
different imaging modalities
3. Be able to recommend the correct modality given a
case study
4. Integrate diagnostic imaging information into
physical therapy practice
Why do rehab doctors need to
understand medical imaging?
1. Clinical Reasons?
• How will it effect treatment?
• How will it effect prognosis?
• What about direct access?
2. Research Implications?
Clinical reasons:
1.not responding as expected,
2.possible undiagnosed fracture,
3.deg changes (joint space),
4.-assess status of hardware,
5.-make clinical decisions whether surgery vs. no
surgical treatment
Research reasons:
1.-biomechanical studies,
2.-correlate clinical tests with imaging findings,
3.-look at reliability and validity of imaging tools,
Imaging modalities
Ionizing modalities Non-ionizing modalities
Radiography/Plain x-ray MRI
CAT Scan or CT scan US & Doppler
Isotope bone scan
Flouroscopy
Radiography
Basic Concepts
What is an X-Ray?
Electromagnetic Radiation -
short wavelength
An X-ray machine is essentially a camera.
Instead of visible light it uses X-rays to expose the film.
X-rays are like light in that they are electromagnetic
waves, but they are more energetic so they can penetrate
many materials to varying degrees.
When the X-rays hit the film, they expose it just as light
would.
Since bone, fat, muscle, tumors and other masses all
absorb X-rays at different levels, the image on the film
lets you see different (distinct) structures inside the body
because of the different levels of exposure on the film.
Professor Roentgen
Discovered accidentally in
1895
Experimenting with a
machine that, unknown to
him, was producing x-rays
Saw the bones of his hand
in the shadow cast on a
piece of cardboard in his
lab
What Roentgen
saw Today's ImageToday's Image
Radiodensity
X-rays not absorbed,
screen produces photons
when struck, and exposes
the film, turning it dark
When an object
absorbs the X-rays -
fewer photons
produced, film stays
light
Radiopaque Radiolucent
Principle components of x-ray tube:
Source of electrons
 Target
 Evacuated envelope
 High-voltage source
The X-ray tube parts:
Cathode (-)
Filament made of
tungsten
Anode (+) target
Tungsten disc that turns
on a rotor
Stator
motor that turns the
rotor
Port
Exit for the x-rays
X-ray Production
X-rays are produced when high velocity electrons are
decelerated during interactions with a high atomic number
material, such as the tungsten target in an X-ray tube.
An electrically heated filament within the X-ray tube
generates electrons that are then accelerated from the
filament to hit the tungsten target by the application of a
high voltage to the tube.
The electron speed can exceed half the speed of light
before being rapidly decelerated in the target.
X-ray production
Push the “rotor” or “prep”
button
Charges the filament –
causes thermionic emission
(e- cloud)
Begins rotating the anode.
Push the “exposure” or
“x-ray” button
e-’s move toward anode
target to produce x-rays
X-rays characteristics
Highly penetrating, invisible rays
Electrically neutral
Travel in straight lines.
Travel with the speed of light in vaccum:
300, 000 km/sec or 186, 400 miles/sec.
Ionize matter by removing orbital electrons
Induce fluorescense in some substances. Fluorescent
screen glow after being stricken with photons.
Can't be focused by lenses nor by collimators.
CONCONVENTIONAL
CONcCCORADIOGRAPHY
PRODUCES STATIC IMAGES
Shielding
Therapeutic x-ray production, where mega
electron volts (MeV) are used, has a higher
conversion of electrons into photons.
In the diagnostic range (KeV), there is more
conversion of the electrons to heat.
Total number of electrons converted to heat is
99%.
Only 1% of the electrons are converted to photons
Attenuation
Attenuation – reduction in the number of
photons as they pass through matter
Attenuation occurs in several different
ways:
Some photons are absorbed by matter they
pass through
Other’s change course in matter, called “scatter
A-B-C-D
A- Alignment- is the bone in good general
alignment
B- Bone- general bone density
C- Cartilage- sufficient cartilage space
D- Dee other stuff??
Muscles, fat pads and lines, joint capsules,
miscellaneous soft-tissue findings, bullets
Alignment
Alignment
Bone
Bone
Cartilage
Dang
The role of
imaging is to
confirm the
infection and
show extent.
Radiography will
show the
infection,
however usually
late. Radiography
has a high
specificity but low
sensitivity.
Viewing Images
X-ray study named for the direction the beam travels
1. AP 2. PA
3. Lateral
Orient film as if you were facing the patient, his/her Left
will be on your Right
Views
Lateral
Oblique
Views
AP Open Mouth
Dens
Superior articulating facetSuperior articulating facet
Transverse processTransverse process
PediclePedicle
LaminaLamina
Inferior articulating facetInferior articulating facet
Lumbar Spine, Oblique View
Lumbar Spine, Oblique View
“SCOTTY DOG”
Lumbar Spondylolysis
The defect
‘lysis’ involves
the pars
inarticularis
and can allow
the vertebra
above to
sublux
forward
Still Alive?
…That was
close
Bullet can be in
any of these places
(anterior to
posterior at same
level)
1 - spinal cord
2 - trachea
3 – Superior
Vena Cava
4 - aorta
Viewing Images
A radiograph is a two dimensional
representation
Therefore, “One View is No View”
Two views are needed, ideally at 90
degress to one another for proper 3-D
like interpretation
Radiograph
revealed
horizontal
fracture of the
lower patalla
To sum it up
It is relatively much more
important for a physical
therapist to recognize the
indications for diagnostic
imaging,
to select the most appropriate
imaging study, and
to image the appropriate
area(s) than it is to interpret
the image
Computed Tomography (CT)
1. Also called CAT scanning or “CT”
2. X-Ray beam moves 360 around the patient
3. Consecutive x-ray “slices” around the patient
4. Computer can recreate 3D image of the body or
Image “slices” reconstructed by computation
5. Best for evaluating bone and soft tissue tumors,
fractures, intra-articular abnormalities, and
bone mineral analysis
Computed Tomography
6. The image formed is related to the subjects
density
7. Image display on computer or multiple films
8. New technology is multislice helical scanner
CT (by Picker)
Computed Tomography (CT)
LV
VERTEBRAL
BODY
SPINAL
CANAL
TRANSVERSE
PROCESS
RIB
LUNG
RA
LA
RV
AORTA
Magnetic Resonance Imaging
(MRI)
What is a MRI?
• The use of a High Power Magnet (.3
-2.0Teslas)To align hydrogen atoms in
the body to which a radio wave
frequency is applied to produce an
image
HigherTesla level= increased resolution
Magnetic Resonance Imaging
1. Also called “MRI”
2. Image formed by transmitting and receiving radio
waves inside a high magnetic field
3. Image “slices” reconstructed by computation
4. The image formed is related to:
1. Scanner settings
2. Patient hydrogen density
3. Patient hydrogen chemical/physical
environment
5. Image display on computer or multiple films
MRI by Picker
Indications for MRI
Diagnosing multiple sclerosis (MS)
Diagnosing tumors of the pituitary gland and brain
Diagnosing infections in the brain, spine or joints
Visualizing torn ligaments in the wrist, knee and
ankle
Visualizing shoulder injuries
Diagnosing tendonitis
Evaluating masses in the soft tissues of the body
Evaluating bone tumors, cysts and bulging or
herniated discs in the spine
Diagnosing strokes in their earliest stages
T1 Vs T2
T1
Tissue with high
water content will
apear dark (grey)
Fat, edema,
infection
Tissue with low
water content will
appear white/
brighter
T2
Tissue with high water
content will appear
white/ brighter
Tissue with low water
content will appear
darker (grey)
World War II
Water is white on
T2
T1 vs. T2
T1 image of knee T2 image of knee
Gastrocnemius
Semimembranosu
s
Popliteal vein
Quad Tendon
Semimembranosu
s
ACL
Semitendonosu
s
Knee - MRI Sagittal
ANTERIOR
CRUCIATE
LIGAMENT
POSTERIOR
CRUCIATE
LIGAMENT
PATHOLOGY
ACL Tear
Knee - MRI Sagittal
TORN POSTERIOR MEDIAL MENISCUS
Meniscus
Torn Meniscus
MRI shoulder
humerus
infraspinatus
S
c
a
p
u
l
a
Teres
m
inor
supraspinatus
D
e
lt
o
i
d
Clavicle
Glenoid labrum
Long Head
of Triceps
Shoulder - MRI – Axial Plane
SupS
D
D
IS
Shoulder - MRI – Axial Plane
Shoulder - MRI – Coronal Plane
Supraspinatus
Rotator Cuff
SS Tendon
Fluid in
Joint
Glenoid
Acr -- Clav
Shoulder
Supraspinatus
Tear
Subdeltoid Bursa
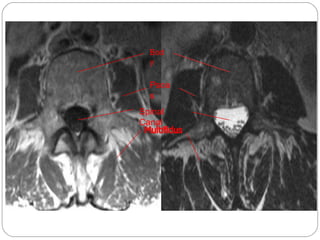
Lumbar Spine - MRI
Coronal T1 Sagittal T1 Sagittal T2
Axial T1
body
Axial T1
disc
Axial T2
body
Axial T2
disc
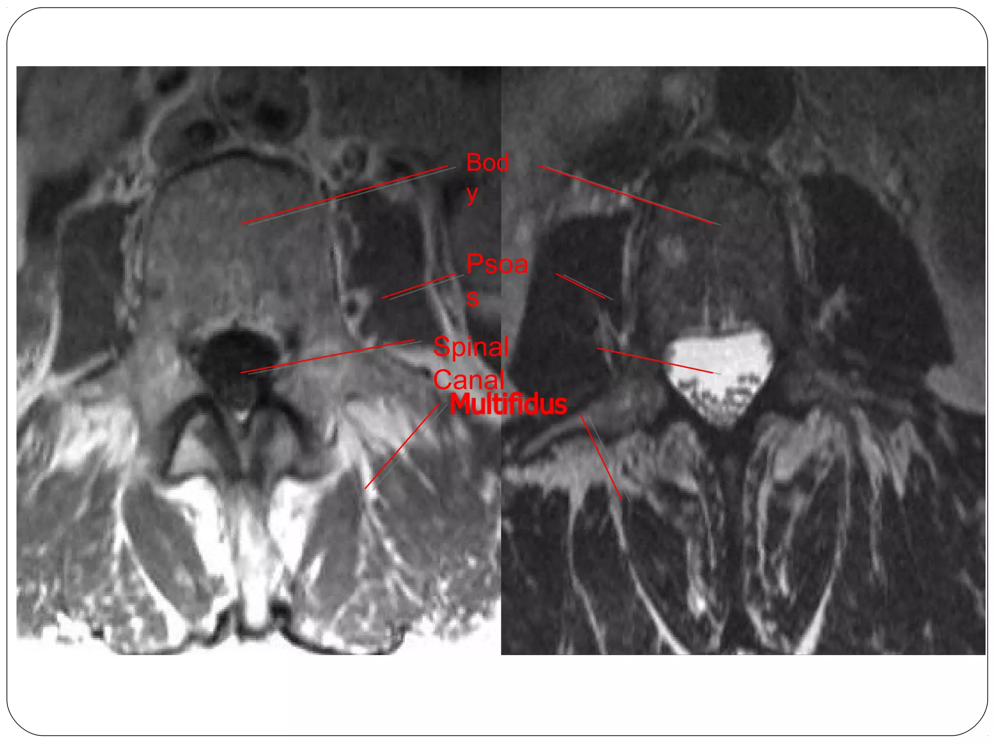
Lumbar Spine – MRI Axial
Bod
y
Psoa
s
Spinal
Canal
Herniated
disc
Lumbar Spine – MRI Sagittal T2
DEXA SCAN
Looks at bone mineral densities
Nuclear Scintigraphy
Uses gamma rays to produce an
image, emitted from the patient
Radioactive nuclide given IV, per os,
per rectum etc.
Abnormal function, metabolic activity,
abnormal amount of uptake
Poor for anatomical information
www.upei.ca/~vetrad
Nuclear camera
Skeletal Scintigraphy
(Bone Scan)
Indication
: Cancer,
stress or
hidden
fractures
Ultrasound
1. Also called “sono” or “echo” or “US”
2. Image formed by transmitting and receiving
high frequency sound waves
3. Image “slices” reconstructed by
computation
4. The image formed is related to interfaces
between tissue areas of differing sound
transmission characteristics
5. Image display on computer or multiple films
Convex 3.5 MHz
For abdominal and
OB/GYN studies
Micro-convex: 6.5MHz
For transvaginal and
transrectal studies
Ultrasound
machine
Ultrasound
examination
Text Books
David Sutton’s Radiology
THANK YOU

1 diagnostic imaging

  • 1.
    Drive carefully, lifeis precious Diagnostic Imaging for Rehab Doctors
  • 2.
    Learning outcome and objectives 1.Become familiar with various medical imaging modalities 2. Understanding the advantages and disadvantages of different imaging modalities 3. Be able to recommend the correct modality given a case study 4. Integrate diagnostic imaging information into physical therapy practice
  • 3.
    Why do rehabdoctors need to understand medical imaging? 1. Clinical Reasons? • How will it effect treatment? • How will it effect prognosis? • What about direct access? 2. Research Implications?
  • 4.
    Clinical reasons: 1.not respondingas expected, 2.possible undiagnosed fracture, 3.deg changes (joint space), 4.-assess status of hardware, 5.-make clinical decisions whether surgery vs. no surgical treatment Research reasons: 1.-biomechanical studies, 2.-correlate clinical tests with imaging findings, 3.-look at reliability and validity of imaging tools,
  • 5.
    Imaging modalities Ionizing modalitiesNon-ionizing modalities Radiography/Plain x-ray MRI CAT Scan or CT scan US & Doppler Isotope bone scan Flouroscopy
  • 6.
  • 7.
    Basic Concepts What isan X-Ray? Electromagnetic Radiation - short wavelength
  • 8.
    An X-ray machineis essentially a camera. Instead of visible light it uses X-rays to expose the film. X-rays are like light in that they are electromagnetic waves, but they are more energetic so they can penetrate many materials to varying degrees. When the X-rays hit the film, they expose it just as light would. Since bone, fat, muscle, tumors and other masses all absorb X-rays at different levels, the image on the film lets you see different (distinct) structures inside the body because of the different levels of exposure on the film.
  • 9.
    Professor Roentgen Discovered accidentallyin 1895 Experimenting with a machine that, unknown to him, was producing x-rays Saw the bones of his hand in the shadow cast on a piece of cardboard in his lab
  • 10.
    What Roentgen saw Today'sImageToday's Image
  • 11.
    Radiodensity X-rays not absorbed, screenproduces photons when struck, and exposes the film, turning it dark When an object absorbs the X-rays - fewer photons produced, film stays light Radiopaque Radiolucent
  • 12.
    Principle components ofx-ray tube: Source of electrons  Target  Evacuated envelope  High-voltage source
  • 13.
    The X-ray tubeparts: Cathode (-) Filament made of tungsten Anode (+) target Tungsten disc that turns on a rotor Stator motor that turns the rotor Port Exit for the x-rays
  • 14.
    X-ray Production X-rays areproduced when high velocity electrons are decelerated during interactions with a high atomic number material, such as the tungsten target in an X-ray tube. An electrically heated filament within the X-ray tube generates electrons that are then accelerated from the filament to hit the tungsten target by the application of a high voltage to the tube. The electron speed can exceed half the speed of light before being rapidly decelerated in the target.
  • 15.
    X-ray production Push the“rotor” or “prep” button Charges the filament – causes thermionic emission (e- cloud) Begins rotating the anode. Push the “exposure” or “x-ray” button e-’s move toward anode target to produce x-rays
  • 16.
    X-rays characteristics Highly penetrating,invisible rays Electrically neutral Travel in straight lines. Travel with the speed of light in vaccum: 300, 000 km/sec or 186, 400 miles/sec. Ionize matter by removing orbital electrons Induce fluorescense in some substances. Fluorescent screen glow after being stricken with photons. Can't be focused by lenses nor by collimators.
  • 19.
  • 20.
  • 21.
    Therapeutic x-ray production,where mega electron volts (MeV) are used, has a higher conversion of electrons into photons. In the diagnostic range (KeV), there is more conversion of the electrons to heat. Total number of electrons converted to heat is 99%. Only 1% of the electrons are converted to photons
  • 22.
    Attenuation Attenuation – reductionin the number of photons as they pass through matter Attenuation occurs in several different ways: Some photons are absorbed by matter they pass through Other’s change course in matter, called “scatter
  • 23.
    A-B-C-D A- Alignment- isthe bone in good general alignment B- Bone- general bone density C- Cartilage- sufficient cartilage space D- Dee other stuff?? Muscles, fat pads and lines, joint capsules, miscellaneous soft-tissue findings, bullets
  • 24.
  • 25.
  • 26.
  • 27.
  • 29.
  • 31.
    Dang The role of imagingis to confirm the infection and show extent. Radiography will show the infection, however usually late. Radiography has a high specificity but low sensitivity.
  • 32.
    Viewing Images X-ray studynamed for the direction the beam travels 1. AP 2. PA 3. Lateral Orient film as if you were facing the patient, his/her Left will be on your Right
  • 33.
  • 34.
  • 35.
  • 36.
    Superior articulating facetSuperiorarticulating facet Transverse processTransverse process PediclePedicle LaminaLamina Inferior articulating facetInferior articulating facet Lumbar Spine, Oblique View
  • 37.
    Lumbar Spine, ObliqueView “SCOTTY DOG”
  • 38.
    Lumbar Spondylolysis The defect ‘lysis’involves the pars inarticularis and can allow the vertebra above to sublux forward
  • 39.
  • 40.
  • 41.
    Bullet can bein any of these places (anterior to posterior at same level) 1 - spinal cord 2 - trachea 3 – Superior Vena Cava 4 - aorta
  • 42.
    Viewing Images A radiographis a two dimensional representation Therefore, “One View is No View” Two views are needed, ideally at 90 degress to one another for proper 3-D like interpretation
  • 43.
  • 44.
    To sum itup It is relatively much more important for a physical therapist to recognize the indications for diagnostic imaging, to select the most appropriate imaging study, and to image the appropriate area(s) than it is to interpret the image
  • 45.
    Computed Tomography (CT) 1.Also called CAT scanning or “CT” 2. X-Ray beam moves 360 around the patient 3. Consecutive x-ray “slices” around the patient 4. Computer can recreate 3D image of the body or Image “slices” reconstructed by computation 5. Best for evaluating bone and soft tissue tumors, fractures, intra-articular abnormalities, and bone mineral analysis
  • 46.
    Computed Tomography 6. Theimage formed is related to the subjects density 7. Image display on computer or multiple films 8. New technology is multislice helical scanner
  • 47.
  • 48.
  • 49.
  • 56.
    Magnetic Resonance Imaging (MRI) Whatis a MRI? • The use of a High Power Magnet (.3 -2.0Teslas)To align hydrogen atoms in the body to which a radio wave frequency is applied to produce an image HigherTesla level= increased resolution
  • 57.
    Magnetic Resonance Imaging 1.Also called “MRI” 2. Image formed by transmitting and receiving radio waves inside a high magnetic field 3. Image “slices” reconstructed by computation 4. The image formed is related to: 1. Scanner settings 2. Patient hydrogen density 3. Patient hydrogen chemical/physical environment 5. Image display on computer or multiple films
  • 58.
  • 60.
    Indications for MRI Diagnosingmultiple sclerosis (MS) Diagnosing tumors of the pituitary gland and brain Diagnosing infections in the brain, spine or joints Visualizing torn ligaments in the wrist, knee and ankle Visualizing shoulder injuries Diagnosing tendonitis Evaluating masses in the soft tissues of the body Evaluating bone tumors, cysts and bulging or herniated discs in the spine Diagnosing strokes in their earliest stages
  • 61.
    T1 Vs T2 T1 Tissuewith high water content will apear dark (grey) Fat, edema, infection Tissue with low water content will appear white/ brighter T2 Tissue with high water content will appear white/ brighter Tissue with low water content will appear darker (grey) World War II Water is white on T2
  • 62.
    T1 vs. T2 T1image of knee T2 image of knee Gastrocnemius Semimembranosu s Popliteal vein Quad Tendon Semimembranosu s ACL Semitendonosu s
  • 63.
    Knee - MRISagittal ANTERIOR CRUCIATE LIGAMENT POSTERIOR CRUCIATE LIGAMENT
  • 64.
  • 65.
    Knee - MRISagittal TORN POSTERIOR MEDIAL MENISCUS
  • 66.
  • 67.
  • 68.
    Shoulder - MRI– Axial Plane
  • 69.
  • 70.
    Shoulder - MRI– Coronal Plane Supraspinatus Rotator Cuff SS Tendon Fluid in Joint Glenoid Acr -- Clav
  • 71.
  • 72.
    Lumbar Spine -MRI Coronal T1 Sagittal T1 Sagittal T2
  • 73.
    Axial T1 body Axial T1 disc AxialT2 body Axial T2 disc Lumbar Spine – MRI Axial
  • 74.
  • 75.
  • 76.
    DEXA SCAN Looks atbone mineral densities
  • 77.
    Nuclear Scintigraphy Uses gammarays to produce an image, emitted from the patient Radioactive nuclide given IV, per os, per rectum etc. Abnormal function, metabolic activity, abnormal amount of uptake Poor for anatomical information www.upei.ca/~vetrad
  • 78.
  • 81.
    Skeletal Scintigraphy (Bone Scan) Indication :Cancer, stress or hidden fractures
  • 82.
    Ultrasound 1. Also called“sono” or “echo” or “US” 2. Image formed by transmitting and receiving high frequency sound waves 3. Image “slices” reconstructed by computation 4. The image formed is related to interfaces between tissue areas of differing sound transmission characteristics 5. Image display on computer or multiple films
  • 83.
    Convex 3.5 MHz Forabdominal and OB/GYN studies Micro-convex: 6.5MHz For transvaginal and transrectal studies Ultrasound machine Ultrasound examination
  • 84.
  • 85.

Editor's Notes

  • #8 An X-ray machine is essentially a camera. Instead of visible light it uses X-rays to expose the film. X-rays are like light in that they are electromagnetic waves, but they are more energetic so they can penetrate many materials to varying degrees. When the X-rays hit the film, they expose it just as light would. Since bone, fat, muscle, tumors and other masses all absorb X-rays at different levels, the image on the film lets you see different (distinct) structures inside the body because of the different levels of exposure on the film.
  • #11 Order of radiodensity practice
  • #24 Alignment- general skeletal architecture, general contour of bone, alignment of bone to adjacent bones, Bone Density- bone density, texture abnormality, local bone density changes (trabecular architecture) Cartilage- joint space preserved, subchondral bone (smooth), epiphyseal plates D- normal size of soft tissue, fat radiolucent, capsule should be indistinct, miscellaneous soft-tissue abnormalities (HO)
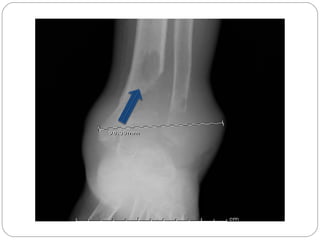
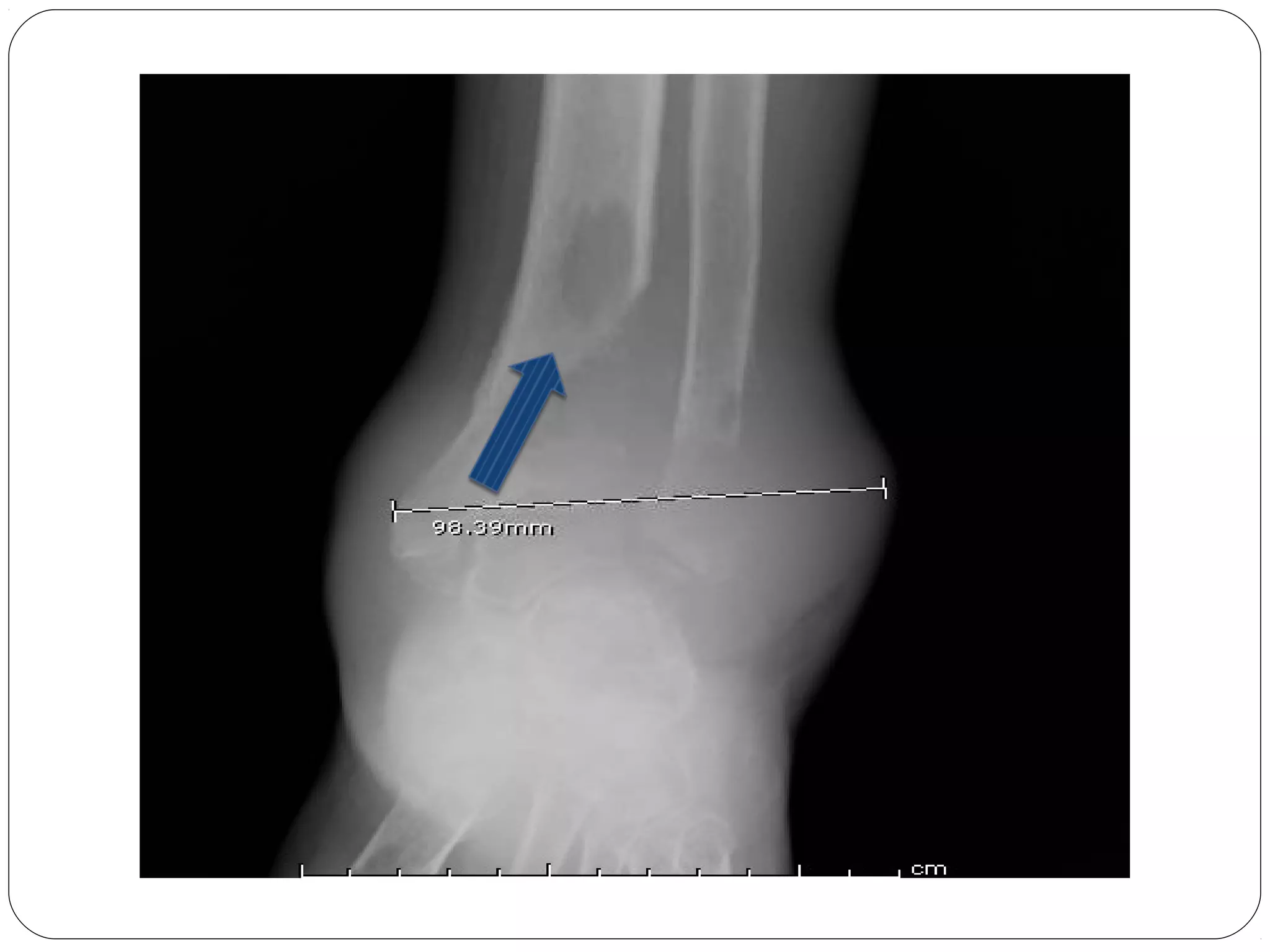
  • #26 What’s wrong with this knee
  • #27 It takes 30-35% loss of bone before osteoporosis can be diagnosed on radiograph
  • #28 Metastic cancer in the tibia and fibula
  • #30 Who think this is an elbow? Who thinks this is a knee? Image taken in standing
  • #32 If there is infection a radiograph can help rule it in /out, however it is not sensitive enough to rule out infection
  • #34 Can see facet joints with the lateral view, and foramen with the oblique view, the oblique view is also the best view to evaluate the pars interarticularis..why would we want to see that?
  • #36 Why might we want to view AP images? What about open mouth? What clinical test might you do when the open mouth in not available
  • #50 Add numbers
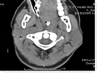
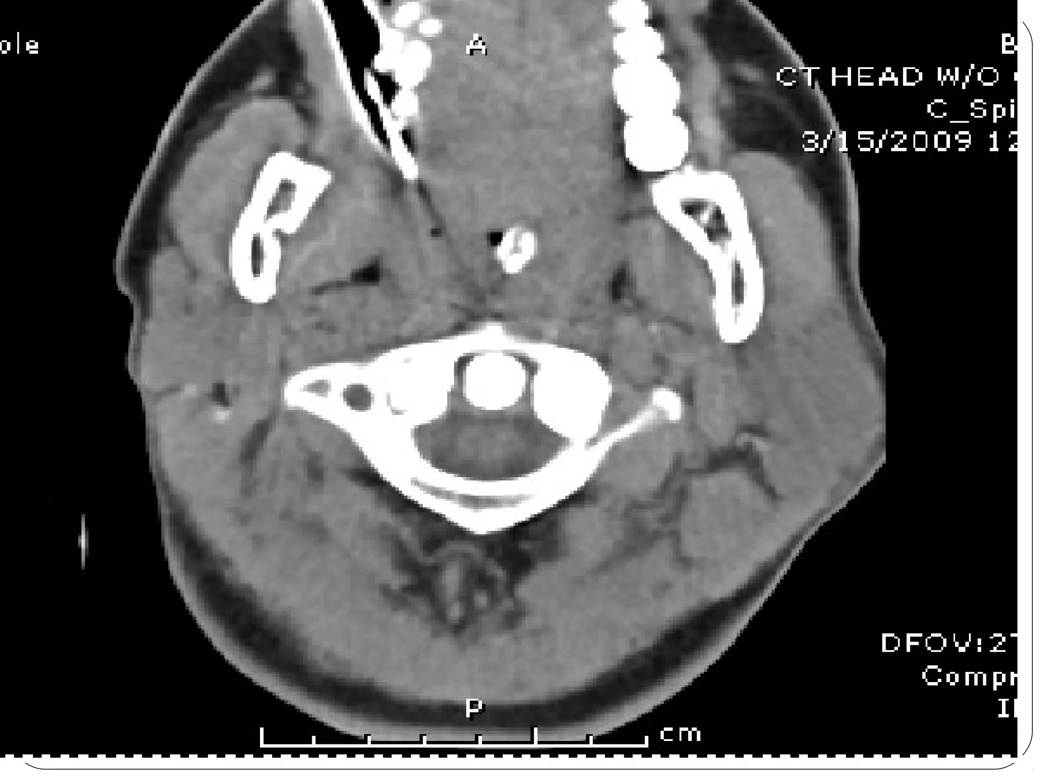
  • #51 CT of decompression, which view is this? axial
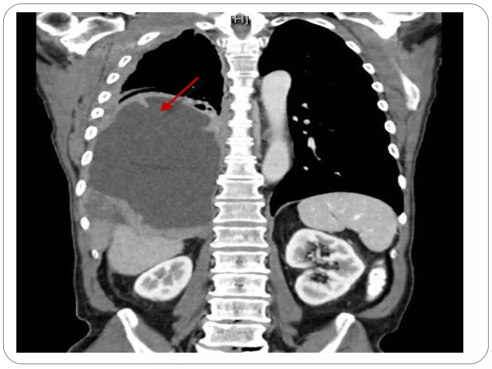
  • #52 What color is air on an a X-ray or CT? where is the problem? CT of mesothelioma
  • #54 Mandible fracture
  • #63 Which view is this? Sagital add numbers
  • #65 Type of image? Acl tear
  • #67 Double PCL sign
  • #68 Put numbers in here
  • #71 More numbers
  • #72 Osteochondral defect inferior glenoid, T2
  • #75 numbers
  • #80 What T-score is considered a (+) for osteoporosis, white out next slide
  • #82 Areas of increased metabolism are dark, Relatively cheap test