Radiology of Upper Limb
Dr Mathew Joseph MBBS, MD(AIIMS), BCC(Palliative Medicine)
Assistant Professor
Department of Anatomy
Al Azhar Medical College & Super Speciality Hospital
Thodupuzha
Content
• Shoulder Region
• Elbow Region
• Hand & Wrist
• Age Determination
• Common Fractures & Dislocations
Facts
• In X-ray , translucent portion appears black.
• Dense area absorbs X-ray and shows different
shades of white.
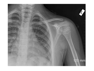
Shoulder Region
Shoulder Region
ELBOW
AP & Lateral
Wrist & Hand
Clinical Anatomy
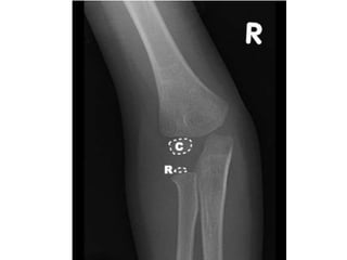
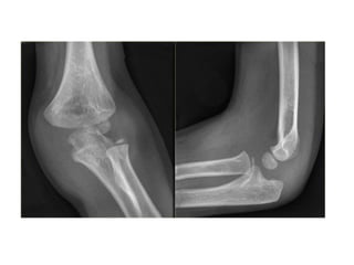
Supracodylar fracture – common and most serious fractures in
childhood
Mechanism- Fracture is caused by a fall on an out-stretched hand.
As the hand strikes the ground, the elbow is forced into
hyperextension resulting in fracture of the humerus above the
condyles.
Extension- Distal fragment is
extended(tilted
backwards) in relation to
the proximal fragment
Flexion- the distal fragment
is flexed (tilted forwards) in
relation to the proximal
fragment.
Monteggia fracture
• Monteggia- Fracture of
the upper-third of ulna
with dislocation of the
head of the radius.it is
caused by a fall on out-
streched hand.
Galeazzi- (Counter part of Monteggia)
• Galeazzi- (Counter part
of Monteggia) fracture
of the lower third of the
radius with dislocation
or subluxation of the
distal radio-ulnar joint.
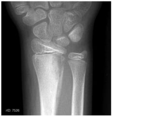
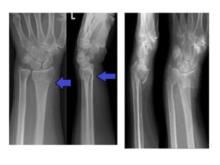
Colles Fracture
Colles Fracture
Colle’s fracture-
• Radius gets fractured about 2 cm above its lower end
due to fall on outstretched hand
Smith’s fracture- Reverse of Colle’s fracture
• If distal fragments gets displaced anteriorly
Smith Fracture
Age Estimation
• Areas where bone formation or ossification
starts in cartilaginous model are known as
centres of ossification.
• Primary centre appear before birth, secondary
centre(epiphyseal centre) after birth.but
primary centre of carpals and tarsals appear
after birth.
Age Estimation
• In long bone with two epiphysis- centre of
ossification appearing first is usually last to
fuse with shaft.
• Long bones with single epiphysis- epiphysis at
more movable end e.g. head of 2-5
metacarpals, base of first metacarpal and all
phalanges.
• Appearance and fusion of epiphyseal centre
occur about 1-2 years earlier in females
Shoulder Region
• 1st Year- Head of
humerus
• 2nd –Greater tuberosity
• 5th year- Lesser tub.
• 6th Year- Fusion of upper
end of humerus into one
mass
• FUSION
• 20th Year - Fusion of
upper end of humerus
with shaft
Elbow
• Appearance(Years)
• 1st- Capitulum and lateral
part of trochlea
• 5th – Head of Radius
• 6th- Medial epi. Of
humerus
• 9th- Medial part of
trochlea
• 10th- Top of Olecranon
process
• 12th- Lateral epi. Of
humerus
• Fusion
• 15th- Olecranon epiphysis
with upper end of ulna
• 16th – lateral epicondyle,
capitulum and trochlea
into one mass, and with
shaft.
• 17th- Head of radius to
shaft
• 20th – Medial epicondyle
of humerus to shaft
i. 6 years: fusion of head
with tubercles
ii. CRITOE (mnemonic): Count
1-3-5-7-9-11 for age
iii. Capitulum: 1 year
iv. Radial head: 3 years
v. Internal
(medial)epicondyle: 5
years
vi. Trochlea: 7 years
vii.Olecranon: 9 years
viii.External (lateral )
epicondyle: 11 years
Hand and Wrist
Appearance(Years)
• 1st – lower end radius, capitate,
hamate
• 2nd – Head of 2,3,4,5th
metacarpal, bases of proximal
phalanges
• 3rd – Triquetral, base of first
metacarpal, middle and
terminal phalanges
• 4th – lunate
• 5th – trapezium,trapezoid,
scaphoid
• 6th – lower end of ulna
• 12th- Pisiform
Fusion(Years)
• 17th – base of first
metacarpal
• 18th – epiphysis of
metacarpals, phalanges
and lower end of ulna
• 19th – lower end of
radius
Ossification
• Depiction of the order of appearance of the
individual carpal bones. The usual sequence is:
capitate (1), hamate (2), triquetral (3), lunate (4),
• trapezium (5), trapezoid (6),
• navicular or scaphoid (7) and
• pisiform (8).
• The distal epiphysis of the radius ossifies before the
triquetum and that of the ulna before the pisiform
Infancy
• Bone age is primarily based on
the presence or absence of
ossification of the capitate, the
hamate and the distal epiphysis
of the radius.
The capitate usually appears slightly
earlier than the hamate, and has a
larger ossification center and
rounder shape. The distal radial
epiphysis appears
later
Toddler- Upto Two Years
• Epiphyses of the
proximal phalanges;
• Epiphyses of the
metacarpals;
• Epiphyses of the middle
phalanges; and,
• Epiphyses of the distal
phalanges.
Pre-puberty
2 years to 7 years of age
• Depiction of the
progressive growth of
the width of the
epiphyses, which,
during this stage of
development,
• become as wide as the
• metaphyses
Pre- puberty
• During this stage, bone
age is primarily based
on the number of
recognizable epiphyseal
ossification centers in
the phalanges and
metacarpals
Early and Mid-puberty
7 years to 13 years of age
Depiction of the progressive
growth of the epiphyses,
which, during this stage
of development, become
larger than the metaphyses.
Special attention is also
placed on epiphyseal shape,
which, prior to epiphyseal
fusion, overlaps the metaphyses,
depicting tiny hornlike
structures at both ends
of the epiphysis (picture at
far-right)
Early and Mid-puberty
7 years to 13 years of age
Late Puberty
Females: 13 years to 15 years of age
• Fusion of the distal
phalanges;
• 2) Fusion of the
metacarpals;
• 3) Fusion of the
proximal phalanges;
and,
• 4) Fusion of the
middle phalanges
Late Puberty
Females: 13 years to 15 years of age
Post-puberty
15 years to 17 years of age
Depiction, fromleft to
right, of the progressive
degrees of fusion of the
ulna and the radial
epiphyses, which usually
begins at the center of the
physis
Post-puberty
15 years to 17 years of age
At this stage of
development, skeletal
maturity is based on
epiphyseal fusion
of the ulna, which occurs
first, and the radius
Test
Full term Child Has These Centres
• F – femur(Distal ep.)
• T- Tibia(Proximal ep.)
• C- calcaneum
• H- Humerus(proximal ep)
• T- Talus
• C- cuboid
Thank You

Radiology upper limb

  • 1.
    Radiology of UpperLimb Dr Mathew Joseph MBBS, MD(AIIMS), BCC(Palliative Medicine) Assistant Professor Department of Anatomy Al Azhar Medical College & Super Speciality Hospital Thodupuzha
  • 2.
    Content • Shoulder Region •Elbow Region • Hand & Wrist • Age Determination • Common Fractures & Dislocations
  • 3.
    Facts • In X-ray, translucent portion appears black. • Dense area absorbs X-ray and shows different shades of white.
  • 4.
  • 5.
  • 7.
  • 10.
  • 13.
  • 17.
    Supracodylar fracture –common and most serious fractures in childhood Mechanism- Fracture is caused by a fall on an out-stretched hand. As the hand strikes the ground, the elbow is forced into hyperextension resulting in fracture of the humerus above the condyles. Extension- Distal fragment is extended(tilted backwards) in relation to the proximal fragment Flexion- the distal fragment is flexed (tilted forwards) in relation to the proximal fragment.
  • 18.
    Monteggia fracture • Monteggia-Fracture of the upper-third of ulna with dislocation of the head of the radius.it is caused by a fall on out- streched hand.
  • 19.
    Galeazzi- (Counter partof Monteggia) • Galeazzi- (Counter part of Monteggia) fracture of the lower third of the radius with dislocation or subluxation of the distal radio-ulnar joint.
  • 21.
  • 23.
  • 25.
    Colle’s fracture- • Radiusgets fractured about 2 cm above its lower end due to fall on outstretched hand Smith’s fracture- Reverse of Colle’s fracture • If distal fragments gets displaced anteriorly
  • 26.
  • 28.
    Age Estimation • Areaswhere bone formation or ossification starts in cartilaginous model are known as centres of ossification. • Primary centre appear before birth, secondary centre(epiphyseal centre) after birth.but primary centre of carpals and tarsals appear after birth.
  • 29.
    Age Estimation • Inlong bone with two epiphysis- centre of ossification appearing first is usually last to fuse with shaft. • Long bones with single epiphysis- epiphysis at more movable end e.g. head of 2-5 metacarpals, base of first metacarpal and all phalanges. • Appearance and fusion of epiphyseal centre occur about 1-2 years earlier in females
  • 30.
    Shoulder Region • 1stYear- Head of humerus • 2nd –Greater tuberosity • 5th year- Lesser tub. • 6th Year- Fusion of upper end of humerus into one mass • FUSION • 20th Year - Fusion of upper end of humerus with shaft
  • 33.
    Elbow • Appearance(Years) • 1st-Capitulum and lateral part of trochlea • 5th – Head of Radius • 6th- Medial epi. Of humerus • 9th- Medial part of trochlea • 10th- Top of Olecranon process • 12th- Lateral epi. Of humerus • Fusion • 15th- Olecranon epiphysis with upper end of ulna • 16th – lateral epicondyle, capitulum and trochlea into one mass, and with shaft. • 17th- Head of radius to shaft • 20th – Medial epicondyle of humerus to shaft
  • 37.
    i. 6 years:fusion of head with tubercles ii. CRITOE (mnemonic): Count 1-3-5-7-9-11 for age iii. Capitulum: 1 year iv. Radial head: 3 years v. Internal (medial)epicondyle: 5 years vi. Trochlea: 7 years vii.Olecranon: 9 years viii.External (lateral ) epicondyle: 11 years
  • 38.
    Hand and Wrist Appearance(Years) •1st – lower end radius, capitate, hamate • 2nd – Head of 2,3,4,5th metacarpal, bases of proximal phalanges • 3rd – Triquetral, base of first metacarpal, middle and terminal phalanges • 4th – lunate • 5th – trapezium,trapezoid, scaphoid • 6th – lower end of ulna • 12th- Pisiform Fusion(Years) • 17th – base of first metacarpal • 18th – epiphysis of metacarpals, phalanges and lower end of ulna • 19th – lower end of radius
  • 39.
    Ossification • Depiction ofthe order of appearance of the individual carpal bones. The usual sequence is: capitate (1), hamate (2), triquetral (3), lunate (4), • trapezium (5), trapezoid (6), • navicular or scaphoid (7) and • pisiform (8). • The distal epiphysis of the radius ossifies before the triquetum and that of the ulna before the pisiform
  • 41.
    Infancy • Bone ageis primarily based on the presence or absence of ossification of the capitate, the hamate and the distal epiphysis of the radius. The capitate usually appears slightly earlier than the hamate, and has a larger ossification center and rounder shape. The distal radial epiphysis appears later
  • 42.
    Toddler- Upto TwoYears • Epiphyses of the proximal phalanges; • Epiphyses of the metacarpals; • Epiphyses of the middle phalanges; and, • Epiphyses of the distal phalanges.
  • 43.
    Pre-puberty 2 years to7 years of age • Depiction of the progressive growth of the width of the epiphyses, which, during this stage of development, • become as wide as the • metaphyses
  • 44.
    Pre- puberty • Duringthis stage, bone age is primarily based on the number of recognizable epiphyseal ossification centers in the phalanges and metacarpals
  • 45.
    Early and Mid-puberty 7years to 13 years of age Depiction of the progressive growth of the epiphyses, which, during this stage of development, become larger than the metaphyses. Special attention is also placed on epiphyseal shape, which, prior to epiphyseal fusion, overlaps the metaphyses, depicting tiny hornlike structures at both ends of the epiphysis (picture at far-right)
  • 46.
    Early and Mid-puberty 7years to 13 years of age
  • 47.
    Late Puberty Females: 13years to 15 years of age • Fusion of the distal phalanges; • 2) Fusion of the metacarpals; • 3) Fusion of the proximal phalanges; and, • 4) Fusion of the middle phalanges
  • 48.
    Late Puberty Females: 13years to 15 years of age
  • 49.
    Post-puberty 15 years to17 years of age Depiction, fromleft to right, of the progressive degrees of fusion of the ulna and the radial epiphyses, which usually begins at the center of the physis
  • 50.
    Post-puberty 15 years to17 years of age At this stage of development, skeletal maturity is based on epiphyseal fusion of the ulna, which occurs first, and the radius
  • 52.
  • 58.
    Full term ChildHas These Centres • F – femur(Distal ep.) • T- Tibia(Proximal ep.) • C- calcaneum • H- Humerus(proximal ep) • T- Talus • C- cuboid
  • 59.