PULMONARY REVIEW
PHYSIOLOGY
Mechanics of Breathing 
• Pressure difference is the driving force for air flow, Q = ΔP / R 
• Between breaths, alveolar pressure = atmospheric pressure 
• Inspiration: Diaphragm contracts → lung volume increases → alveolar pressure decreases 
→ air flows into the lungs until alveolar pressure = atmospheric pressure again 
• Tidal volume (VT) = volume inspired in one normal breath (500mL) 
• Volume in lungs after inspiration = FRC + VT 
• Functional residual capacity: the volume in the lungs at the end-expiratory position 
• Expiration: diaphragm relaxes → lung volume decreases → alveolar pressure increases → 
air flows out of the lungs 
• Forced expiration: contraction of expiratory muscles further increases alveolar pressure to 
force air out. Intrapleural pressure increases too, but as long as the transmural pressure is 
still positive, the lungs will not collapse. Expiration will be rapid and forceful. 
• COPD: Lung elasticity is decreased, so during forced expiration, intrapleural pressures 
increase to normal values but alveolar pressures are lower because of their increased 
compliance. The gradient becomes negative & airways collapse.
Lung Volumes and Capacities
Pressure Changes during Breathing
Forced Expiration and COPD 
In a person with COPD forced expiration may cause the airways to collapse. 
In COPD, lung compliance increases because of loss of elastic fibers. During forced expiration, 
intrapleural pressure is raised to the same value as in the normal person. However, because the 
structures have diminished elastic recoil, alveolar pressure and airway pressure are lower than in a 
normal person. The large airways collapse because the transmural pressure gradient across them 
reverses, becoming a negative (collapsing) transmural pressure. Obviously, if the large airways 
collapse, resistance to airflow increases and expiration is more difficult.
Transmural Pressures 
• Transmural pressure: 
• Pressure difference across a structure 
• Transpulmonary pressure: 
• Difference between intra-alveolar pressure & intrapleural pressure 
• Calculated as alveolar pressure minus intrapleural pressure 
• Transthoracic pressure: 
• Difference between intrapleural pressure & pressure outside the chest wall (outside 
the body)
Pulmonary Compliance
Hysteresis 
• Hysteresis: the phenomenon that the compliance curves for inspiration 
and expiration are different. 
• For a given pressure, lung volume is higher during expiration than during inspiration, 
therefore compliance is greater during expiration. 
• Inspiration – 
• Low volume; liquid molecules are closely packed; intermolecular forces are high 
• Surfactant is released to break the forces (Surfactant = a phospholipid produced by type II 
alveolar cells that acts as a detergent to reduce surface tension & increase lung 
compliance) 
• Lung volume increases faster than surfactant can be added → curve starts off flat & 
gradually steepens as more surfactant is added. 
• Expiration – 
• Starts at high volume; intermolecular forces are low 
• Surface area decreases faster than surfactant can be removed → increasing density of 
surfactant per surface area decreases surface tension & increases compliance → curve 
starts off flat 
• As expiration proceeds – surfactant is removed at a similar rate as volume decreases, so 
the compliance curve has a fairly constant slope
Compliance and Elastance 
• Compliance: Describes distensibility of system. ΔV/ΔP 
• “How easily an object stretches” 
• Elastance: inversely correlated with compliance. ΔP/ΔV "Snap back" 
or elastic recoil force. 
• “Ability of an object to return to its original position or shape” 
• Emphysema  increased compliance, decreased elastance 
• Fibrosis  decreased compliance, increased elastance
Compliance of Lung and Chest Wall
Pneumothorax 
• Normally, the intrapleural space has a negative pressure 
• This negative intrapleural pressure is created by two opposing elastic 
forces pulling on the intrapleural space 
• When a sharp object punctures the intrapleural space, air is 
introduced (pneumothorax), and intrapleural pressure suddenly 
becomes equal to atm pressure; thus, instead of its normal negative 
value, intrapleural pressure becomes ZERO 
• Two main consequences of pneumothorax 
• Without negative intrapleural pressure to hold lung open, lung collapses 
• Without negative intrapleural pressures to keep the chest wall from expanding, the 
chest wall springs out
Compliance and Elastance Pathology
Emphysema and Compliance 
• Emphysema is associated with loss of elastic fibers in the lungs  
increased compliance  increased (steeper) slope of the volume-versus- 
pressure curve  at a given volume, the collapsing (elastic 
recoil) force is decreased. 
• At the original value for FRC, chest wall expansion outweighs lung’s 
collapsing force. In order for the opposing forces to be balanced, 
volume must be added to the lungs to increase their collapsing force. 
• Thus, the combined lung and chest-wall system seeks a new higher 
FRC, where the two opposing forces can be balanced; the new 
intersection point, where airway pressure is zero, is increased. 
• A patient with emphysema is said to breathe at higher lung volumes 
(in recognition of the higher FRC) and will have a barrel-shaped 
chest.
Fibrosis and Compliance 
• Fibrosis (decreased lung compliance). Fibrosis, a so-called 
restrictive disease, is associated with stiffening of lung tissues 
and decreased compliance. 
• A decrease in lung compliance is associated with a decreased 
slope of the volume-versus-pressure curve for the lung. 
• At the original FRC, the tendency of the lungs to collapse is 
greater than the tendency of the chest wall to expand, and the 
opposing forces will no longer be balanced. To reestablish 
balance, the lung and chest-wall system will seek a new lower 
FRC; the new intersection point, where airway pressure is zero, 
is decreased.
FRC 
• Functional Residual Capacity (FRC) is the volume of air present in the 
lungs at the end of passive expiration. 
• At FRC, the elastic recoil forces of the lungs and chest wall are equal 
but opposite. There is no exertion at this point by any of the 
respiratory muscles. 
• FRC is the sum of Expiratory Reserve Volume (ERV) and Residual 
Volume (RV) and since it includes the residual volume, it cannot be 
measured by spirometry. 
• RV can be measured by helium dilution or body pleythysmography.
Air Flow and Resistance 
The medium-sized bronchi are the sites of highest airway resistance. 
It would seem that the smallest airways would provide the highest resistance to 
airflow, based on the inverse fourth power relationship between resistance and 
radius. 
However, because of their parallel arrangement, the smallest airways do not 
have the highest resistance.
Pulmonary vascular resistance is about 
1/10 of systemic vascular resistance 
It has a minimum value at intermediate 
lung volumes
Blood Gas Pressures
Respiratory Volumes 
TLC Total Lung 
capacity 
6.0L 
FRC Functional 
Residual Capacity 
2.4L 
VC Vital Capacity 4.7L 
VT Tidal Volume 0.5L 
FVC Forced Vital 
Capacity 
4.7L 
VA Alveolar 
Ventilation 
N/A 
FEV1 Volume of FVC in 
1 second 
N/A
Constants
• Anatomic dead space (~ 150 mL) = the volume of the conducting airways 
(nose/mouth, trachea, bronchi, bronchioles) 
• Alveolar ventilation = total rate of air movement into and out of the alveoli, 
expressed in mL/min. (500 mL/breath - 150 mL/breath) x 15 breaths/min = 
5250 mL/min
Alveolar Ventilation 
• VT = tidal volume 
• RR = respiratory rate 
• VD = dead space 
• Total ventilation (aka minute ventilation) = VT x RR 
• Normal: 500 mL/breath x 15 breaths/min = 7500 mL/min 
• Alveolar ventilation (VA) = (VT - VD) x RR
Alveolar Ventilation Equation 
• Fundamental Equation of Physiology: Interdependence of CO2 and Ventilation 
• Increasing VA decreases PACO2 and PaCO2 and increases pH : ALKALOSIS 
• Decreasing VA increases PACO2 and PaCO2 and decreases pH : ACIDOSIS
Alveolar Gas Equation 
• Predicts PAO2 based on alveolar PACO2 
• PIO2 = (760-47) mmHg * 0.21 = 150mmHg 
• PAO2 = 150 – (40mmHg/0.8) = 100mmHg
A-a Gradient 
• PAO2 – PaO2 
• In a normal person, the A-a difference is close to zero (but not zero), 
because while O2 will equilibrate in the alveoli, there is a small 
amount of blood (~2%) that bypasses the alveoli (aka the 
"physiological shunt"), and PaO2 (obtained via a blood sample) is a 
mixture of all blood, including shunted blood. 
• To calculate the estimated normal A-a gradient : [Person’s Age/4] + 4 
• Three scenarios that result in an increased gradient: 
• Diffusion defects (e.g. fibrosis, pulmonary edema) 
• V/Q defects 
• Right-to-left shunts (cardiac, intrapulmonary) 
• NOT Hypoventilation and High altitude
Dead Space 
• Anatomic dead space: Volume of conducting airways 
• (nose/mouth, trachea, bronchi, bronchioles) 
• Physiologic dead space: Total volume of the lungs that does not 
participate in gas exchange = “anatomic dead space” plus any 
functional dead space in the structures that contain alveoli 
• Dead space ventilation is usually approximately 2ml/kg (ideal body 
weight)
If you increase your RR and your VT by 
20% respectively, you will see a 
GREATER increase in alveolar ventilation 
with an increase in VT 
BIGGER DEEPER BREATHS WORK
Diffusion of Gases
Diffusion Changes 
• In emphysema, DL decreases because destruction of alveoli results in 
a decreased SA for gas exchange. 
• In fibrosis or pulmonary edema, DL decreases because the diffusion 
distance (membrane thickness or interstitial volume) increases. 
• In anemia, DL decreases because the amount of hemoglobin in red 
blood cells is reduced (recall that DL includes the protein-binding 
component of O2 exchange). 
• During exercise, DL increases because additional capillaries are 
perfused with blood, which increases the SA for gas exchange.
Diffusion Limited vs. Perfusion Limited 
• Gas exchange across the alveolar/pulmonary capillary barrier is either 
diffusion-limited or perfusion-limited 
• CO is a diffusion-limited gas meaning that as long as the partial 
pressure gradient is maintained, diffusion will continue across the 
length of the capillary, so it can be used to measure the diffusing 
capacity. 
• Partial pressure gradient maintained because CO is bound to 
hemoglobin in capillary blood so CO does not equilibrate by the end 
of the capillary 
• Nitrous oxide (N2O) is a perfusion limited gas so it can be used to 
measure perfusion capacity
The slower equilibration of O2 at 
high altitude is exaggerated in a person 
with fibrosis. Pulmonary capillary blood 
does not equilibrate by the end of the 
capillary, resulting in values for PaO2 as 
low as 30 mm Hg, which will seriously 
impair O2 delivery to the tissues.
Hypoxemia and Hypercapnia 
• Hypoxemia: a decrease in arterial Po2 
• Causes of hypoxemia: high altitude, hypoventilation, diffusion 
defect, V/Q defect, right-to-left shunt 
• Hypercapnia: abnormally elevated levels of CO2 in the 
blood 
• Causes of hypercapnia: hypoventilation, lung disease, respiratory 
acidosis
CO2 moves from alveolar gas to 
pulmonary capillary blood 20 times faster 
than O2 due to a 20 times higher CO2 
diffusion coefficient
Blood Flow is Highest in Zone 3 of the 
lung due to pressure. It is 20X higher.
Ventilation Rates are highest in Zone 3 of 
the lung due to gravity
V/Q 
• V/Q ratio is the ratio of alveolar ventilation to pulmonary blood flow 
(ventilation/perfusion ratio, measured in L/min over L/min). 
• The normal value is 0.8. 
• If V/Q ratio is normal, then PaO2 will be at its normal value (100 mm 
Hg), as is PaCO2 (40 mm Hg).
V/Q and Gas Exchange
V/Q Defects
Physiological vs. Pathological Shunt 
• Physiologic shunt -A small fraction of the pulmonary blood flow (about 
2%) bypasses the alveoli 
• Result is that PaO2 will always be slightly less than PAO2 
• Made up of 2 components 
• Bronchial blood flow, which serves metabolic functions of bronchi 
• Coronary blood flow that drains directly into the left ventricle via the thebesian veins 
• Pathologic Shunts- 
• Right-to-left-Blood can pass from the right to left heart if there is a defect 
in the wall between the ventricles 
• Hypoxemia ALWAYS occurs because significant fraction of output is never delivered 
to the lungs for oxygenation 
• Hypoxemia CANNOT be corrected by having the person breathe a high O2 gas 
• Usually only minimal increase in PaCO2 (systemic arterial blood PCO2) 
• Left-to-right-More common and does not cause hypoxemia 
• Can be from patent ductus arteriosus or traumatic injury 
• Elevated PO2 in the right side of the heart
2% of blood bypasses pulmonary 
circulation in physiological shunt of 
healthy people
O2 CO2 TRANSPORT
Dissolved O2 is free in solution and 
accounts for approximately 2% of the total 
O2 content of blood. 
The remaining 98% of the total O2 
content of blood is reversibly bound to 
hemoglobin inside the red blood cells.
O2 Content
O2 Delivery 
• Cardiac Output x O2 Content
Henry’s Law 
Henry’s law deals with gases dissolved in solution (e.g., in blood). To calculate 
a gas concentration in the liquid phase, the partial pressure in the gas phase 
first is converted to the partial pressure in the liquid phase; then, the partial 
pressure in liquid is converted to the concentration in liquid. 
ONLY APPLIES TO DISSOLVED (NOT BOUND) GAS
O2 Hemoglobin Dissociation Curve
The percent saturation of heme sites does 
not increase linearly as PO2 increases. 
Rather, percent saturation increases 
steeply (change in affinity) as PO2 
increases from zero to approximately 40 
mm Hg, and it then levels off between 50 
mm Hg and 100 mm Hg.
Unloading 
• This sigmoidal shape explains the mechanism of oxygen 
unloading in the capillaries. In regions of low PO2 such as 
40 mmHg in mixed venous blood, the affinity between 
hemoglobin and oxygen is decreased and oxygen 
dissociates and enters tissues. The opposite is true in 
regions of high PO2 such as in the alveoli (100 mmHg). 
• Also related to concentrations of CO2 (Bohr and Haldane 
Effect)
P50 
• A change in the value of P50 is used as an indicator for a 
change in affinity of hemoglobin for O2. 
• An increase in P50 reflects a decrease in affinity – RIGHT SHIFT 
• A decrease in P50 reflects an increase in affinity – LEFT SHIFT
Shifts in O2 Hemoglobin curve 
• Right Shifts 
• P50 is higher: DECREASED AFFINITY 
• Increased PCO2 (Bohr Effect) 
• Decreased pH 
• Increased Temperature 
• Increased 2,3,-DPG 
• Left Shifts 
• P50 is lower: INCREASED AFFINITY 
• Decreased PCO2 
• Increased pH 
• Decreased Temperature 
• Decreased 2,3-DPG
2,3-DPG 
• 2,3-DPG is a byproduct of glycolysis in red blood cells. 
• 2,3-DPG binds to the b chains of deoxyhemoglobin and 
reduces their affinity for O2. 
• This decrease in affinity causes the O2-hemoglobin 
dissociation curve to shift to the right and facilitates unloading 
of O2 in the tissues. 
• 2,3-DPG production increases under hypoxic conditions. For 
example, living at high altitude causes hypoxemia, which 
stimulates the production of 2,3-DPG in red blood cells. 
• In turn, increased levels of 2,3-DPG facilitate the delivery of O2 
to the tissues as an adaptive mechanism.
The Effect of CO 
• Decreases O2 bound to hemoglobin and also causes a 
left shift of the O2-hemoglobin dissociation curve 
• Decreases O2 content of hemoglobin AND decreases unloading in 
the tissues 
• BAD.
The Effect of Anemia
CO2 Transport 
• Dissolved CO2 (5%), straight up in the blood 
• Carbaminohemoglobin (3%), bound to hemoglobin, albumin or other 
proteins 
• HCO3- (>90%), chemically modified by carbonic anhydrase 
• Exact percentages vary, but the vast majority is in HCO- 
3
Chloride Shift and CO2 Transport 
• Carbonic Anhydrase in RBCs catalyzes the combination of COand 
2 HO to form HCO223 
• HCOdissociates into H+ and HCO- 
23 3 
• H+ remains in the RBC and HCO3 
- is filtered into plasma in exchange 
for Cl- 
• H+ is buffered in RBCs by deoxyhemoglobin
Haldane vs. Bohr Effect
PFTS
Spirogram
Important Values 
• VT = 500mL 
• IRV = 3000 mL 
• ERV = 1200mL 
• RV = 1200mL 
• VC = 4700 mL 
• FRC = 1200mL 
• TLC = 5900mL 
• Dead Space = 150mL
4 Volumes, 4 Capacities 
• 4 Volumes 
• Tidal volume 
• Inspiratory reserve volume 
• Expiratory reserve volume 
• Residual volume 
• Four Capacities: 
• Inspiratory Capacity  IRV + TV 
• Functional residual capacity  ERV + RV 
• Vital Capacity  TV + IRV + ERV 
• Total Lung Capacity  IRV +TV + ERV + RV
Residual Volume cannot be measured by 
Spirometry
Flow Volume Curve
Diffusion, DLCO 
• DLCO : lung diffusing capacity 
• DL can be measured using carbon monoxide. 
• The test involves breathing in air with low concentrations of 
CO, and the rate of disappearance of CO from the gas mixture 
is proportional to the DL. 
• In certain pathological processes the DL changes predictably. 
• Emphysema, the DL goes down because destruction of alveoli 
decrease surface area for gas exchange. 
• Pulmonary fibrosis or edema, DL decreases because the diffusion 
distance increases. 
• Exercise, the DL increases because more capillaries are perfused with 
blood, thus increasing the surface area for exchange. 
• Anemia, the DL decreases because the amount of hemoglobin in 
RBCs decreases.
3 Categories of Lung Disease 
• Obstructive 
• Restrictive 
• Interstitial 
• Primary neurologic 
• Primary muscular 
• Primary skeletal 
• Vascular
Localizing Disease 
• Airway 
• Asthma 
• COPD (chronic bronchitis & emphysema) 
• Interstitium and Alveoli 
• ILD 
• Emphysema 
• Alveolar Filling (WBC, RBC, Water, Protein) 
• Blood Vessels 
• PE 
• PAH 
• Pulm Ven HTN 
• Neuromuscular and Chest Wall 
• Pleural disease 
• Neurologic deficiency 
• Muscular weakness
Algorithm 
FEV1/FVC 
Low 
Obstructed 
Reversible 
Yes: Asthma No: COPD 
DLCO 
Low: 
Emphysema 
Normal: 
Bronchitis 
Normal 
FVC/ TLC 
Low: Restrictive 
DLCO 
Low: ILD 
Normal: 
Neuromuscular 
Normal 
DLCO 
Low: Vascular Normal: Normal
Normal Values 
• FEV1/FVC: 80 to 120% of predicted for most PFTs 
• Exceptions - FEV1/FVC: > 70% 
• Use actual value not % predicted 
• Change with bronchodilator 
• > 12% in FEV1 or FVC and 200 cc’s 
• TLC: 80 to 120% of predicted for most PFTs 
• TLC : Low (Restricted), High (Hyper-inflated) 
• DLCO : < 80% is considered abnormal
ACUTE RESPIRATORY 
FAILURE
Types of ARF 
• Typical (normal) ABG values: >60 mmHg for PaO2 and <50 mmHg for 
PaCO2 
• There are two types of acute respiratory failures: in both types there 
will be decreased PaO2 (<60 mmHg). Thus in order to distinguish 
between the two types, we evaluate the PaCO2. 
• 1. Acute Hypoxemic Respiratory Failure: PaCO2 ≤ 40 mmHg 
• Hypoxemia without hypercapnia 
• Inability to properly take up oxygen 
• There is insufficient oxygen in the blood but near normal CO2 
• 2. Acute Hypercapnic Respiratory Failure: PaCO2 > 40 mmHg 
• Hypoxemia with hypercapnia 
• Inability to eliminate carbon dioxide 
• There is too much carbon dioxide in the blood
A-a Gradient 
• In a patient w/ hypoxemia and PaCO2 ≤ 40 mmHg: 
• Increased A-a gradient → intrapulmonary issue 
• Normal A-a gradient → extrapulmonary issue 
• An increase in the A-a gradient suggests an inability to extract enough 
oxygen (e.g., defects in diffusion, V/Q mismatch, or right-to-left 
shunting). 
• If the patient is hypoxic and has a normal A-a gradient, it suggests 
the problem is not in extracting O2 from the blood pointing to other 
etiologies like being at a higher elevation.
Hypoxemic Respiratory Failure with 
Increased A-a Gradient 
• 1. Pulmonary embolism 
• 2. Atelectasis 
• 3. Pneumonia 
• 4. Interstitial lung disease 
• 5. Infection 
• 6. ARDS
Hypoxemic Respiratory Failure with 
Normal A-a Gradient 
• High Altitude 
• Decreased FIO2 (asphyxia, drowning) 
• Airway Obstruction 
• Foreign body 
• Laryngeal spasm 
• Obesity and external compression of larynx 
• Obstructive sleep apnea 
• Obstruction of airway apparatus – kinking / obstruction of endotracheal tube 
• Asthma 
• Tumor
Hypercapnic Respiratory Failure 
• Depression of the neurologic system 
• Narcotics 
• Overdose 
• Coma 
• Disease of the chest wall or neuromuscular apparatus 
• Myesthenia Gravis 
• Guillian Barre Syndrome 
• COPD or other lung diseases
Clinical Signs and Sx 
• Breathing rate 
• Tidal volumes 
• Labored respiration/Paradoxical breathing 
• Asynchronous ventilatory patterns 
• Prolonged inspiratory phase: Stridor and upper airway obstruction 
• Prolonged expiratory phase: Asthma/COPD 
• Patient posture (cannot lay flat) 
• Ability to converse 
• Tachycardia with increased work of breathing 
• Patient tell you they are exhausted 
• Pulse ox <90% 
• PaO2 < 60 mmHg 
• PaCO2 > 50 mmHg
Clinical Utility of Venous Blood Gas 
• Venous blood gas is sometimes used when arterial blood cannot be 
obtained due to diminished pulses or patient movement. 
• Venous blood gas gives a picture of how critical the patient is. If the 
venous O2 is really low, then the body is extracting the majority of O2 
from blood and the patient is very critical. Normal mixed venous O2 
saturation is 65-70%. 
• Central venous blood is preferred over peripheral venous blood 
because of their better correlation to arterial blood gases. 
• Central venous pH is usually 0.03-0.05 pH units lower than arterial 
pH. PCO2 is usually 4 to 5 mmHg higher than arterial PCO2. 
• Peripheral venous pH is usually 0.02-0.04pH units lower than arterial 
pH. The venous PCO2 is about 3-5mmHg higher than arterial PCO2.
Identify the patient who may require 
intubation and mechanical ventilation. 
• Patients with severe dyspnea 
• Respiratory rate 35bpm 
• Unable to gasp more than 3 words 
• Very abnormal breathing pattern 
• Tachycardia/arrhythmias 
• Hyper/hypotension 
• Sweating 
• Abnormal arterial blood gases-60/50 club 
• Arterial PCO2 has risen to cause 
• Lowered pH (below 7.25-7.30) 
• Impaired mental status 
• PO2 over 60 mmHg cannot be achieved with inspired O2 concentration less 
than 40% - 60%
NEURAL CONTROL OF 
BREATHING
Lung Volume and Airway Patency 
• 2 types of striated muscles regulate the flow of air in and out of lungs: 
• Pump and Airway muscles 
• Pump muscles: Define volume of chest cavity: motor neurons in the 
spinal cord 
• Inspiratory: diaphragm and external intercostals 
• Expiratory: internal intercostals and abdominal (passive process at rest) 
• Airway muscles: regulate the flow of air through the airway: motor 
neurons located in the lower brainstem 
• Two aspects of ventilatory control: 
• (1) degree of inspiratory drive or central inspiratory activity 
• (2) the timing mechanism (which controls the termination of inspiration). 
• Determining factors act in concert to set the respiratory rate and tidal volume 
and thus the minute ventilation and specific pattern of breathing.”
3 Phases of Breathing 
• Inspiration: The diaphragm is recruited in an incremental fashion 
during inspiration: Innervated by phrenic nerve 
• Passive Expiration (E1): Air is forced out of the lungs due to the recoil 
of the elastic fibers in the lungs. 
• During this phase the phrenic nerve is still active but at lower level than it was 
in inspiration. 
• The expiratory branch of the recurrent laryngeal nerve activates the laryngeal 
constrictors, which oppose lung recoil. 
• The activity of these two nerves produces a smoother expiratory flow and 
results in better gas exchange in the lungs. 
• Active expiration (E2): only occurs if chemoreceptors are stimulated 
by hypoxia or hypercapnia or during exercise. 
• Expiratory muscles activity is essential to speed up breathing frequency. 
Inspiratory duration is virtually invariant in a healthy individual. The breathing 
rate increases almost entirely via shortening of expiratory phase. L 
• Lumbar nerve innervates muscles of phase 2
Rhythm vs. Pattern Generation 
• Pattern: the orderly recruitment of pump and airway muscles during 
the respiratory cycle: 
• pontomedullary network of neurons 
• pattern generator is regulated by 
• cortex (volitional control) 
• limbic system (emotions) 
• state of vigilance (sleep vs awake) 
• blood gases (chemoreception) 
• feedbacks from lung and chest sensory afferents 
• Rhythm: generates the respiratory rate 
• PreBotzinger complex: controls timing of inspiration
Neural Breathing Centers 
• Ventral respiratory column refers to a bilateral stretch of reticular 
formation that contains rhythm generating and pattern-generating 
respiratory neurons 
• The preBötzinger Complex is a small segment of the VRC where the eupneic 
breathing rhythm is generated. 
• Located in the ventrolateral medulla 
• Pneumotaxic center in dorsal pons 
• The nucleus solitary tract (NTS) receives sensory afferents including 
afferents from the lungs and carotid bodies. 
• The region is also sometimes called dorsal respiratory group and, in some 
species, contains phrenic premotor neurons. 
• Inspiratory motoneurons including phrenic motor neurons receive 
most of their input from the brainstem
Mechanoreceptors vs. Chemoreceptors 
• Central Chemoreceptors: detect PCO2 and acid 
• Hypoxia in the CNS suppresses breathing 
• Peripheral Chemoreceptors (the carotid and aortic) detect artery hypoxia 
and arterial PCO2 
• Respond more quickly to a change in arterial PCO2 than central chemoreceptors 
• Irritant receptors: (rapidly adapting) chemosensitive C fibers 
• Respond to cold, airflow, pollutants, irritants and inflammation 
• Mechanoreceptors (slowly adapting) 
• Lung inflation stretches the terminal endings of mechanosensitive sensory afferents 
located in the trachea and bronchi. 
• Activation of these afferents is sustained when the stretch is maintained 
• Initiate Hering Breuer reflex (see LO6) 
• Mechanoreceptors (rapidly adapting) 
• Encode rate of change of tension
Chemoreceptors 
• Peripheral chemoreceptors are located in the carotid bodies and in 
the aortic body, located between the pulmonary artery and aortic arch. 
• Detect CO2 and O2 
• REACT FASTER THAN CENTRAL CHEMORECEPTORS 
• Central respiratory chemoreceptors reside at the ventral surface of 
the medulla oblongata. 
• Detect only CO2 
• Retrotrapezoid nucleus 
• Fissura pontomedullaris 
• Inferior olive 
• Precerebellar structure. 
• CNS Hypoxia depresses breathing
MOA Peripheral Chemoreception 
• Hypoxia depolarizes type I cells (glomus cells) by turning off 
potassium conductances. 
• The depolarization causes Ca to enter and produces the exocytosis of 
transmitters (most important: ACh, ATP). 
• ACh and ATP depolarize the peripheral end of sensory afferents. 
• Carotid body afferents project to the nucleus solitary tract via the 
glossopharyngeal nerve where the information is relayed to the 
central pattern generator to cause an increase in breathing rate and 
amplitude.
MOA Central Chemoreception 
• RTN neurons (bright green) are glutamatergic. They innervate only 
the regions involved in respiratory rhythm and pattern generation 
• RTN neurons are activated by acidification 
• A mutation of transcription factor Phox2b in man prevents the 
development of RTN neurons. The result is Congenital Central 
Hypoventilation Syndrome (Ondine’s curse), a disease in which 
breathing is no longer stimulated by CO2 and breathing stops during 
sleep (breathing while awake is Ok although PCO2 is less tigthly 
regulated). 
• These patients are ventilator-dependant throughout their life.
Hering Breur Reflex 
• Reflex triggered to prevent overinflation of the lung mediated by slowly adapting 
mechanoreceptors. 
• Initiated by lung inflation, which stretches the terminal endings of slowly adapting 
mechanosensitive sensory afferents located in the trachea and bronchi  influx of 
sodium  depolarization and action potential generation 
• The axons travel in thoracic branches of the vagus nerve, and the cell bodies are 
found in the nodose ganglion. 
• Via the NTS, the information is relayed to the pons and the ventral respiratory 
column, resulting in decreased activity of inspiratory motoneurons, which helps 
terminate inspiration. 
• They are termed “slowly adapting” because their activation is sustained when the 
stretch is maintained. 
• This reflex is weaker in the adult and stronger in the neonate and is of minor 
medical importance.
Rapid Mechanoreceptors 
• Respond only briefly to a stretch. They encode the rate of change of 
the tension as opposed to its absolute level. Rapidly adapting 
mechanoreceptors also exist in the lung but they are not involved in 
the H-B reflex.
Chemosensitive C Fiber Afferents 
• Present throughout the trachea and bronchi and can produce a 
variety of skeletomotor and autonomic reflexes. 
• Exposure to pollutants and irritants triggers activation of both rapidly 
adapting receptors and C-fiber afferents, which then mediate mucus 
production, glottal closure and apnea, bronchoconstriction, and 
cough. 
• Glottis closure prevents further inhalation of particulate matter, 
irritants or toxins, and cough is a powerful expiratory effort against a 
closed glottis.
Sighs 
• Sighs are periodic unusually large inspirations. 
• Their frequency is increased by (1) being awake as opposed to sleep, 
and (2) by hypoxia, probably by stimulation of the carotid bodies. 
• Most likely serve to prevent atelectasis
Automaticity and Voluntary Control 
• In general, the process of breathing is a normal rhythmic activity that 
occurs without conscious effort. It is controlled by the central 
respiratory generator located in the medulla, which sends signals to 
the respiratory muscles. Input from the pons to the generator is 
necessary for a normal, coordinated breathing pattern. 
• The cerebral cortex exerts a conscious or voluntary control over 
ventilation. This cortical override of automatic control can be seen 
with either voluntary breath holding or hyperventilation.
CO2 is the variable most tightly regulated 
by breathing
Waking vs. Sleeping Drives 
• Breathing automaticity is maintained by several classes of 
mechanisms. The chemical drive is the excitatory influence of 
chemoreceptors (both central and peripheral) on the central 
respiratory pattern generator (CPG). 
• When one is awake, the CPG also receives excitatory inputs from 
“waking drives” including neural feedback that gauges the metabolic 
activity of skeletal muscles and the reticular activating system. 
• When one is asleep (non-REM sleep), however, the waking drive is 
greatly reduced or absent, and the chemical drive becomes the 
dominant influence. 
• Clinical significance: During sleep, breathing is more shallow, less 
stable (more prone to stop → apnea), and depends highly on the 
chemoreceptor drive.
CNS hypercapnia will produce sleep 
disturbance and promote awakening, like 
in sleep apnea. The increases in CO2 
leads to a sudden urge and stimulation to 
breathe. 
CNS hypoxia has a depressant effect
Morphine and Breathing 
• Morphine depresses the brainstem respiratory pattern generator 
(including the central chemoreflex). The resulting slow and shallow 
breathing causes hypoxia and hypercarbia. 
• Carotid body stimulation by hypoxia/CO2 maintains a modicum of 
breathing but only up to a point. 
• If morphine exceeds a certain brain concentration, its direct CNS 
depressant effect combined with the depressant effects of brain 
hypoxia cannot be overcome by carotid body stimulation and 
breathing stops, leading to cardiovascular collapse and death.
SIDS 
• Rare but responsible for a significant % of early infant deaths 
• Potential causes and contributing factors 
• Defect in arousal elicited by hypercapnia or hypoxia. 
• Overactive / abnormal airway protective reflexes (cough, laryngeal reflexes). 
• Developmental problems (abnormality of lower brainstem serotonergic 
neurons, possibly) 
• Environmental factors (air pollution, tobacco smoke, nicotine). 
• Treatment: 
• Preventative (eliminate presumed contributing factors). 
• Supine sleeping position (most effective; reduction of mortality estimated at > 
50% in the US). 
• Alarm to detect loss of breathing
SIDS Mechanism 
• During prone sleeping re-breathing exhaled air can increase CO2 and 
decrease O2 levels 
• Initiates the arousal response that begins with sigh. 
• Successful arousal results in head lifting and repositioning 
• If arousal fails, a more severe hypoxic state is reached and eupneic 
breathing will transition to gasping 
• This transition is mediated by respiratory network reconfiguration of 
the preBötC. 
• Should an infant fail to both arouse and autoresuscitate, the 
irreversible hypoxic insult leads to asphyxiation and the occurrence of 
SIDS
Hypercapnia 
• When is hypercapnia really bad for you? 
• Acutely, when PaCO2 is greater than 8.0 to 9.3 kPa (60 to 70 mmHg) 
• Patients with chronic hypercapnia may not develop symptoms until 
the PaCO2 rises acutely to greater than 90 mmHg because they have 
a compensatory increase in the plasma bicarbonate concentration; 
• As a result, a larger elevation in PaCO2 is required to produce the same reduction 
in pH.
O2 and COPD Patients 
• Oxygen given to COPD patients may cause secondary hypercapnia 
• 1. Ventilation perfusion mismatching (MOST IMPORTANT): 
• Your lungs have a finite supply of blood flow. In COPD, you have alveoli that are 
well ventilated, and alveoli that are poorly ventilated. Under normal conditions, 
there is proper matching between perfusion and ventilation. Less oxygen in 
certain alveoli → less blood flow to those alveoli. This frees blood flow to the well 
ventilated ones so you can effectively remove CO2. If pure O2 is given, the trickle 
of pure O2 is sufficient to cause perfusion of poorly ventilated alveoli, reducing 
blood flow to well ventilated ones. Less blood flow to well ventilated alveoli → less 
CO2 removal and hypercapnia 
• 2. The affinity of CO2 for hemoglobin decreases (Haldane effect). 
• -The Haldane effect refers to the rightward displacement of the CO2-hemoglobin 
dissociation curve in the presence of increased oxygen saturation 
• 3. Minute ventilation decreases because the hypoxic activation of the carotid 
chemoreceptors is removed (very small impact on hypercapnia)
Altitude Effects 
• Short term: 
• If PO2 < 60mmHg, hypoxemia is severe enough to stimulate 
peripheral chemoreceptors (carotid and aortic bodies) → increased 
ventilation 
• Increased ventilation means that extra CO2 will be expired and arterial 
PCO2 will decrease causing a respiratory alkalosis (pH increase) 
• pH increase will inhibit central and peripheral chemoreceptors and 
offset the increase in ventilation rate 
• Long term: 
• 1) Body increases production of 2,3 DPG to shift heme dissociation 
curve to the right and unload more O2 into tissues 
• 2) Within several days, HCO3- excretion increases (renal 
compensation for respiratory alkalosis). This takes away the 
chemoreceptor inhibition, allowing for a higher ventilation rate
Diving Reflex 
• Exposure of the face, nostrils and upper airway to water triggers 
diving reflex. 
• Triggered by activation of facial and ethmoid nerve sensory afferents. 
• First component: Airway protection. 
• Breathing is instantaneously stopped. 
• Second component: O2 saving strategy. 
• Reduced O2 consumption is caused by sympathetically mediated 
vasoconstriction in muscles and GI. 
• Parasympathetically-mediated bradycardia. Cardiac O2 consumption and 
cardiac output are reduced 
• Brain perfusion is maintained at a normal level
Shallow Water Black Out 
• Forced and prolonged hyperventilation before a dive is practiced to 
stay under water longer. This is done under the mistaken assumption 
that hyperventilation increases stores of blood PO2. 
• This is not the case since Hb is saturated with O2 even with normal 
ventilation. What hyperventilation does is to lower PaCO2 
(respiratory alkalosis) which allows the diver to stay submerged a little 
longer because it delays the urge to breathe which is largely driven by 
CO2 accumulation. 
• The practice of excessive hyperventilation before a dive is dangerous 
because a prolonged dive may cause sufficient CNS hypoxia to 
produce loss of consciousness and drowning.
Exercise and Breathing 
• During exercise, ventilation first arises in a stepwise fashion and then 
exponentially before leveling out. When exercise is stopped, there is 
an initial stepwise fall followed by a steady decline back to baseline 
ventilation. 
• Central command (top down control of breathing during exercise) and 
reflexes from muscles and joint mechanoreceptors cause the initial 
rise in ventilation at the onset and the rapid fall at the end of dynamic 
exercise 
• Humoral factors and reflexes from metabotropic receptors probably 
accounts for the delayed increase in ventilation at the onset of 
exercise and the slow recovery at the end of dynamic exercise
Exercise and Blood Gas Values 
• During light to moderate exercise, the lungs are able to compensate 
for muscles using more oxygen and producing more carbon dioxide. 
Thus, the arterial gases should not change unless the exercise 
becomes severe.
SLEEP APNEA
Prevalence of Sleep Apnea 
• 20% in patients over 60 years old! 
• 9% in Women 
• 24% in Men 
• Prevalence increases with age until midlife but is constant after age 
60ish.
Types of Apnea 
• Apnea: 
• >10 second cessation of breathing, especially during sleep 
• Hypopnea: 
• Abnormally slow or shallow breathing 
• Reduction of airflow by 30% or more with 4% drop in SaO2 OR 
• Reduction of airflow by 50% or more with 3% drop in SaO2 + arousal 
• according to class, also lasts at least 10 seconds 
• Respiratory-event related arousal: 
• Arousals from sleep that do not meet the definition of apnea or hypopnea, but DO disturb sleep. 
• Obstructive sleep apnea: 
• Disruption of airflow while asleep due to narrowed, blocked, or floppy airway. 
• Central sleep apnea: 
• Absent respiratory effort. Breathing stops and starts due to lack of proper neuromuscular function. 
• Mixed sleep apnea: 
• Apnea due to a combination of Central Sleep Apnea and Obstructive Sleep Apnea 
• Typically begins as central (without ventilatory effort) and presents with airway obstruction when 
ventilatory effort resumes (OSA)
Apnea-hypopnea index (AHI): 
• Number of apneic and hypopneic episodes per hour 
• Normal <5 
• Mild 5-15 
• Moderate 15-30 
• Severe >30
Pathogenesis of Sleep Apnea 
• Upper airway size naturally decreases during sleep due to decreased 
neural stimulation of the upper airway dilator muscles. This itself does 
not cause apnea. OSA occurs in individuals with naturally smaller 
airways and increased airway collapsibility. 
• Upper airway size: smaller in OSA 
• Craniofacial disorders 
• Enlarged tonsils and adenoids: major risk factor in children between ages 3-5 
• Increased tongue size (Down’s Syndrome patients) 
• Increased Airway Collapsibility 
• In obesity, soft tissues of neck can push down and constrict airway. 
• OSA is more common in patients with nasal obstruction (mouth breathing leads 
to negative pressure that collapses the pharynx)
Risk Factors 
• Obesity 
• Single most important risk factor for OSA in middle-age adults” 
• Enlarged tonsils, Enlarged Adenoids 
• Surgery in children, not adults 
• Enlarged Tongue (as seen in Down’s Syndrome) 
• Craniofacial/ Airway abnormalities 
• Mallampati Classification 3 or 4 
• Neck size >17 inches 
• For women: Post-menopause 
• Age 
• Prevalence of OSA increases with age until age 60 
• Endocrine changes: 
• Hypothyroidism => thick and beefy tongue 
• Acromegaly
Clinical Presentation OS 
• Snoring (majority of pts - 50% of pts partners report sleeping in a 
separate bedroom) 
• Apneic episodes 
• Unrefreshing or restless sleep 
• Excessive daytime somnolence or fatigue 
• Drowsiness while driving 
• Decreased libido 
• Declines in cognition 
• Weight gain
Clinical Presentation OS in Children 
• Overweight 
• Craniofacial Abnormalities 
• Large tonsils 
• Nightmares 
• Daytime somnolence 
• Daytime mouth breathing 
• Use Polysomnography to confirm 
• First line treatment: tonsillectomy, adenoidectomy
Differential Diagnosis 
• Restless Leg Syndrome 
• Narcolepsy 
• Delayed sleep-phase syndrome 
• Insufficient Sleep Syndrome 
• Sleepiness due to meds
Diagnosis 
• The “gold standard” for the diagnosis of OSA is full overnight 
polysomnography, performed in an attended laboratory setting. This 
includes monitoring of sleep with electroencephalography (EEG), chin 
and anterior tibialis electromyography (EMG), monitoring of breathing 
with oronasal airflow and snoring, thoracic and abdominal effort and 
pulse oximetry, electrocardiography (ECG), and body position. 
• Scoring of sleep stages and arousals from sleep is performed from 
the EEG and EMG data. 
• Apneas and hypopneas are scored according to the combination of 
oronasal airflow data, thoracoabdominal effort, and oxyhemoglobin 
saturation 
• Unattended sleep studies can be used in patients with very severe 
disease. NOT RECOMMENDED IN CENTRAL APNEA.
Obstructive vs. Central Apneas 
Obstructive 
Central
Sequelae of OS 
• Pathophysiologic mechanisms 
• 1. Apneic events lead to sleep fragmentation - disturbs sleep and patient 
stuck in lighter stages of sleep 
• OSA can lead to sexual dysfunction 
• Increased risk of depression 
• Significantly increased risk for motor vehicle accidents (2x more) 
• 2. Deoxygenation/reoxygenation causes oxidative stress similar to 
ischemia/reperfusion events  increase in proinflammatory molecules 
• Refractory Hypertension 
• Arrhythmias 
• Cardiovascular Events 
• Stroke 
• Atherosclerosis 
• Insulin resistance 
• INCREASED MORTALITY
Treatment of OS 
• CPAP 
• Delivers constant pressurized air during both inspiration and expiration 
• Bilevel positive airway pressure (BPAP) 
• Delivers high fixed level of pressure during inspiration and lower fixed pressure during expiration 
• Easier to tolerate for severe patients 
• Weight loss 
• Positional therapy 
• Oral appliance therapy 
• Patients with mild - moderate OSA 
• Those who are unable or unwilling to use PAP 
• Surgical Treatment 
• Optimal for children 
• Unpredictable and less effective in adults
Causes of Central Apnea 
• Hypocapnic: 
• Alteration of CO2 apnea threshold during sleep 
• Periodic breathing at high altitude 
• Cheynes Stokes 
• Instability of Respiratory Control System 
• Hypercapnic 
• Neuromuscular Diseases 
• Sleep-Related Hypoventilation 
• Brain stem lesions (syringomyelia specifically mentioned) 
• Spinal cord disorders 
• Stroke 
• Muscle disorders (muscular dystrophy)
Cheyne Stokes Breathing 
Cycles of 60-120 seconds 
Waxing and waning pattern w/ lack of rib cage or abdomen movement
Causes of Cheyne-Stokes Apneas 
• Systolic heart failure 
• Stroke 
• Encephalopathies
Some things to know from quiz… 
• A. 
• The airway in obesity is decreased in size primarily in the lateral dimension. 
• B. 
• The upper airway has properties of a Starling resistor and demonstrates a critical 
pressure at which the airway collapses. In normal individuals, this is a negative 
pressure, but in those with many obstructive apneas, this pressure is positive 
• C. 
• Following sleep onset, the neural input to the upper airway dilator muscles 
decreases significantly, much more so than to the phrenic nerves. 
• D. 
• Individuals with obstructive sleep apnea develop what has been called the 
pharyngeal myopathy of OSA. It is hypothesized that vibrations from snoring 
initiate an inflammatory response within the muscles.
Obesity Hypoventilation Syndrome 
• BMI > 30 
• Awake alveolar hypoventilation 
• Sleep-disordered breathing 
• Daytime hypoxemia 
• Dyspnea on exertion 
• Serum Bicarbonate Level > 27 mEq/L (elevated bicarb) 
• indicates increased paCO2 
• Diagnosis with ABGs
Treatment of Obesity Hypoventilation 
• CPAP 
• 50% of patients need CPAP + Supplemental Oxygen 
• Non-invasive ventilation BPAP + Backup Rate 
• For use if CPAP + Oxygen is ineffective 
• Weight Loss 
• Bariatric surgery in some patients, but patients with obesity 
hypoventilation syndrome are not recommended for bariatric surgery.
ASTHMA
Cytokines and TH2 Response 
• IL-4, IL-5, IL-9, IL-13 
• Lymphocytes of TH2 phenotype (CD4+) are thought to be a prominent 
component of the inflammatory response in asthma. 
• IL-5 has a chemoattractant effect for eosinophils, stimulates growth, stimulates 
activation, and stimulates eosinophilic degranulation. 
• IL-4 is inflammatory by activating B lymphocytes, enhancing synthesis of IgE, 
and promoting TH2 differentiation. 
• IL-13 also induces IgE synthesis, as well as mediating many various effects of 
cells involved with the inflammation of asthma. 
• IL-9 promotes growth of TH2 cells, B cells and Mast cells, IgE production and 
production of cytokines by smooth muscle cells
IL-4 and IgE 
• IL-4 promotes release of IgE antibodies from B cells
3 Functions of IL-4 
• 1. B cell activation 
• 2. IgE synthesis 
• 3. Differentiation of Th2 cells
IL-4 vs. IL-13 
• Similarity: Both play a role in making Th2 cells. IL-4 induces the 
differentiation while IL-13 induces the production of Th2 cells. Both 
make lung endothelium produce VCAM, making it “sticky” for 
eosinophils. Both induce IgE production 
• Differences: IL-13 has broader effects on epithelium and smooth 
muscle cells
IL-5 
• IL-5 is the only known eosinophil hematopoietin aka it causes 
production of eosinophils from bone marrow stem cells 
• IL-5 is an important survival factor for eosinophils 
• IL-5 is chemotactic for mature eosinophils and a priming factor for 
enhanced functional activities
Clinical Asthma and Allergen Removal 
• Removal from environment improves but does not eliminate asthma 
• Studies show improvement in lung function, quality of life, allergic 
mediator release, and rescue medication use 
• However, bronchial hyperreactivity (“twitchy” airways) and airway 
inflammation persist FOREVER
Innate vs. Adaptive Immunity in Asthma 
• If asthma were a disease of the adaptive immune system, then 
therapies targeting adaptive immune responses would be curative: 
• Anti-IgE 
• Anti-Thelper/Thelper cytokines 
• Immunotherapy 
• Allergen/antigen avoidance 
• With an authentic allergic, T cell-mediated disease (i.e. seasonal 
allergic rhinitis), exposure actually correlates with symptoms, and the 
disease resolves in the absence of exposure 
• New Theory: 
• Epigenetic programming of epithelial cells promotes release of cytokines IL-25, IL- 
33 and TSLP even in absence of T cells driving eosinophilia and day-to-day 
symptoms 
• Adaptive immune responses via T/B cell responses primarily drive exacerbations 
and are well treated by targeted immune therapies
Remodeling-prone Asthma 
• Airway remodeling likely results from chronic inflammation and the 
associated production and release of mediators like growth factors 
• Remodeling  epithelial damage, airway fibrosis (collagen), and 
smooth muscle hyperplasia 
• Increase in SMCs  hyperresponsiveness of the airway to stimuli  
Persistent airflow obstruction 
• Overdistention of the lungs and airway occlusion by thick mucous 
plugs 
• Histology: 
• Edema and cellular infiltrates within the bronchial wall 
• “Fragile” appearance of the epithelium and detachment of epithelial cells 
• Hypertrophy and hyperplasia of the smooth muscle layer 
• Increased deposition of collagen (basement membrane thickening) = fibrosis. 
• Hypertrophy of mucous glands
Steroid Resistance 
• Inhaled corticosteroids are the recommended standard medication for 
persistent asthma 
• Start at low dose in mild disease and move to higher doses 
• Most of the clinical efficacy of ICS’s is obtained at lower doses 
• Steroid-resistant asthma is defined by the failure to improve FEV1 by 
15% after treatment with high oral corticosteroid doses for 2 weeks 
• Characterized by persistent eosinophilia despite a high dose of inhaled 
corticosteroid 
• Largely a T lymphocyte problem (continued production of cytokines IL4, IL5, and 
IL13) despite corticosteroid presence. 
• Steroid resistance does NOT affect the side effect profile (i.e. 
osteoporosis, metabolic syndrome, HBP, DM, obesity, myopathy, 
glaucoma/cataracts, etc.) 
• Corticosteroids are ineffective in resistant asthma, 
• DON’T prescribe them
Eosinophilic vs. Non-eosinophilicAsthma 
• Eosinophilic asthma = steroid sensitive (except in steroid-resistant) 
• Non-eosinophilic asthma = steroid resistant 
• May exacerbate symptoms by inhibiting apoptosis of PMNs
Omalizumab 
• Allergen-exacerbated asthma is diagnosed by: 
• 1) evidence of a specific IgE (via skin prick or IgE immunoassay) 
• 2) evidence of allergen-exacerbation of symptoms (allergic rhinitis, asthma) 
• Omalizumab binds free IgE in the serum at the same site that the 
high-affinity IgE receptor (on mast cells) binds. Thus, IgE cannot bind 
to its receptor on mast cells. Eventually, the number of IgE receptors 
on mast cells decreases over time. 
• Omalizumab seems to significantly improve the number of asthma 
exacerbations, but it does NOT eliminate asthma 
• It has a minimal influence on lung function, symptoms, or severity 
• This is likely because allergens exacerbate asthma but have little to 
do with day-to-day asthma symptoms or severity
Aspirin Sensitive Asthma 
• Some people have asthma exacerbation after taking ASA or NSAIDs 
b/c the inhibition of COX results in a shifting of arachidonic acid 
pathways toward the production of bronchoconstrictor leukotrienes. 
• AERD is characterized by pathognomonic elevation of LTC4 synthase 
expression with profoundly increased, constitutive, and aspirin-induced 
leukotriene production. It also has a pathognomonic 
elevation of leukotriene receptor expression. 
• Leukotriene Modifiers significantly improve sx in these patients 
• Leukotriene receptor antagonists (Montelukast, Zafirlukast) improve lung 
function, decrease bronchodilator use, reduce symptoms, and improve quality 
of life 
• Zileuton - may be effective in reducing upper airway symptoms (loss of smell, 
rhinorrhea, congestion)
ASTHMA 
MANAGEMENT
Asthma Predictive Index
Exacerbating Factors 
• Viral Infections 
• Most common cause of asthma symptoms in the 0-4 age group. 
• Allergies 
• GERD 
• Chronic sinusitis 
• Obstructive sleep apnea 
• Allergic bronchopulmonary aspergillosis
PHARMACOLOGY
Beta Agonists 
• MOA: 
• Stimulation of B2 receptors in SMCs activates Gs adenylyl cyclase  
increased cAMP  increased conductance of Ca++-sensitive K+ channels  
Hyperpolarization 
• Airway smooth muscle relaxation and bronchodilation 
• cAMP also inhibits histamine release from mast cells and TNF release from 
monocytes 
• Clinical Use: Primary therapy for Asthma and COPD 
• Short acting: albuterol, levalbuterol 
• Long acting: Salemterol, Fomoterol 
• Side Effects 
• Tachyarrhythmia 
• Tremulousness (trembling) 
• Muscle cramps 
• Nervousness 
• Hypokalemia
Anticholinergics 
• MOA: 
• Competitive inhibition of ACh at muscarinic receptors relaxes bronchial constriction 
normally caused by parasympathetic (ACh) stimulation of M3 receptors 
• Parasympathetic stimulation of M1 and M3 receptors causes mucus secretion as 
well, so anticholinergics decrease mucus secretion 
• Clinical Use: First line for COPD also used in asthma 
• Short acting: Ipratropium 
• Long acting: Tiotropium 
• Side Effects 
• Constipation 
• Xerostomia (dry mouth) 
• Pharyngitis 
• Urinary retention 
• Sinusitis 
• Upper respiratory infection
Methylxanthines 
• Theophylline (1,3 dimethylxanthine) 
• rarely used today 
• MOA: 
• Nonselective PDE inhibitor (increases cAMP) and an adenosine receptor antagonist 
→ relaxes smooth muscle through blocking adenosine receptors on mast cells 
• Also inhibits synthesis and secretion of inflammatory mediators from numerous cell 
types, including mast cells and basophils 
• Clinical Use: Rare, Acute and chronic asthma 
• Side Effects: 
• NARROW THERAPEUTIC WINDOW 
• Nausea & vomiting 
• tremors 
• irritability 
• restlessness 
• tachyarrhythmias (Afib)
Corticosteroids 
• MOA: Suppression of inflammatory responses by interference with multiple signal 
transduction and gene expression pathways. 
• Decrease cytokine formation 
• Decrease PAF production 
• Inhibit cysteinyl leukotrienes 
• Clinical Use: 
• FIRST LINE THERAPY (inhaled not systemic) 
• Risk of adverse effects increases with dose 
• Side Effects: 
• HPA Suppresion 
• Hypertension 
• Immunosuppression 
• Osteoporosis 
• Myopathy 
• Cataracts 
• Growth arrest 
• Fat redistribution
Leukotriene Modifiers 
• MOA: 
• LTD4 receptor antagonists (zafirlukast, montelukast) 
• Reversible inhibitor of cysteinyl leukotriene-1 receptor 
• 5-lipoxygenase inhibitors (zileuton) 
• Prevents conversion of arachidonic acid to leukotriene A4 
• LB4 is also decreased 
• Clinical Use: 
• Preventative treatment of asthma, especially AERD 
• Anti-leukotriene agents can be effective as monotherapy in the treatment of 
mild to moderate persistent asthma. 
• Not as effective as ICGCs. 
• Side Effects 
• Abnormal LFTs 
• Headache 
• Eosinophilic Vasculitis.
Omalizumab 
• MOA: 
• DNA-derived humanized monoclonal Ab 
• At recommended doses, omalizumab reduces free IgE by more than 
95%, thereby limiting the amount of IgE bound to Fc R1-bearing cells 
• Also decreases amount of FcRI receptor expressed on these cells 
• Clinical Use 
• Allergic Asthma 
• Chronic Idiopathic Urticaria 
• Side Effects: 
• Thrombocytopenia, 
• Anaphylaxis, 
• Dermatologic 
• Costly
PDE Inhibitors 
• PDE4 Inhibitor: increases intracellular cAMP and reduces neutrophil 
and eosinophil infiltration 
• PDE4 is a major enzyme that hydrolyzes and inactivates cAMP 
• Romflumilast 
• Clinical Use: Prevention of COPD Exacerbations 
• Side Effects: 
• Diarrhea, nausea 
• Headache 
• Decreased appetite 
• Weight loss 
• Suicidal thoughts
Mucolytics 
• 1) Hypertonic Agents 
• Ex: Inhaled hypertonic saline or mannitol 
• MOA: Hypertonic agents draw water into the airway to lower mucus viscosity. 
• Side Effects: Can cause bronchospasm  therefore used following a bronchodilator 
• General: cheap with good results (disadvantage: time consuming) 
• 2) N-acetyl cysteine (NAC): CF and Bronchiectasis 
• MOA: Lowers mucus viscosity by cleaving disulfide bonds via its free sulfhydryl group. 
• Side Effects: bronchospasms (use 15 min. after bronchodilator), smells, expensive 
• 3) Inhaled DNAse: CF 
• MOA: Breaks down purulent sputum by cleaving DNA strands. 
• Side Effects: laryngitis, pharyngitis, chest pain, conjunctivitis, dyspnea, expensive, change in 
voice 
• 4) Ivacaftor: CF 
• MOA: CFTR protein potentiator for G551D mutation of CF. Decreases [Cl-] in sweat. 
• Side Effects: Increased LFTs, rash, abdominal pain, HA, nausea, dizziness, nasal congestion, 
nasopharyngitis, upper resp infxn.
Therapy for Pulmonary Hypertension
Prostanoids 
• MOA: 
• Prostacyclin stimulates adenylate cyclase to convert ATP to cAMP  
decrease in intracellular Ca SMC relaxation 
• Prostacyclin also inhibit platelet aggregation 
• Clinical Use: 
• Pulmonary Hypertension 
• Side Effects: 
• Hypotension 
• Flushing 
• Jaw pain 
• Headache 
• Nausea/vomiting, 
• Hypersplenism, 
• Line infection
Guaifenesin 
• MOA: Irritant of vagal receptors in the gastrum activating 
parasympathetic reflexes which result in secretion of a less viscous 
mucous. 
• Clinical Use: Expectorant used to help with clearing of phlegm in 
setting of acute respiratory infections 
• Does not suppress cough reflex 
• Use Dextromethorphan 
• Side Effects: 
• Minimal Side Effects
COMMON COLD
Seasonal Patterns of Viruses 
• Rhinovirus 
• Sharp increase in September 
• Parainfluenza 
• October/November peak 
• Coronavirus/RSV 
• Winter months 
• Influenza 
• Mid to late winter 
• Adenovirus 
• Year round
Frequency of Infection 
• 1 to 5 year olds (preschool children): 8+ colds per year 
• 6 to 12 year olds (school children): 5 to 6+ colds per year 
• Adolescents: 4 to 5 colds per year 
• Adults: 2 to 3 colds per year
Modes of Transmission 
• 3 Modes 
• “Hand contact: Self-inoculation of one’s own conjunctivae or nasal mucosa after 
touching a person or object contaminated with cold virus -most efficient transmission 
• MOST COMMON 
• Inhalation of small particle droplets that become airborne from coughing (droplet 
transmission) -more so with influenza 
• Deposition of large particle droplets that are expelled during sneezing and land on 
nasal or conjunctival mucosa
Pathogenesis 
• Deposition on nasal mucosa 
• Mucociliary transport to nasopharynx 
• Virus enters epithelial cell after receptor binding 
• Replication begins within 8 to 10 hrs of inoculation 
• Influx of PMN’s in nasal submucosa and epithelium 
• Increase albumin and inflammatory mediators in nasal secretions 
• Nasal mucosa remains intact 
• Symptoms begin in 1 to 2 days
Natural History 
• Day 1 to 2: Sore or scratchy throat, congestion 
• Day 2 to 3: Nasal obstruction, sneeze and rhinorrhea 
• Day 4 to 5: Cough 
• Day 7: Resolved 
• May last up to 2 weeks in 25% of adults
Differential Diagnosis 
• Common cold 
• Allergic or seasonal rhinitis 
• Bacterial pharyngitis 
• Sinusitis 
• Influenza 
• Pertussis 
• Nasal foreign body
Allergic Rhinitis Itchy, watery eyes, nasal congestion, 
sneezing, scratchy throat, fever uncommon 
“Allergic Shiners” 
Bacterial Pharyngitis Prominent sore throat, Absent nasal 
congestion/cough, fever common, purulent 
exudate, swollen tonsils, erythema of pharynx 
Sinusitis Presents after a cold begins to improve, facial 
or tooth pain, purulent nasal/post-nasal 
drainage, don’t respond to decongestants, 
fever, malaise 
Influenza Abrupt onset, fever, myalgias, headache, 
malaise, nasal congestion, cough, sore throat 
Pertussis Catarrhal phase: 1 week, low-grade fever, 
rhinorrhea, malaise, sneeze, mild cough 
Paroxysmal phase: 1-6 weeks, bursts of 
rapid coughs, gasp, whoop, apnea, emesis 
Nasal Foreign Body Nasal congestion, purulent nasal 
discharge(usually uniteral), sneeze, halitosis, 
young child
Children < 6 
◦ Fever 
◦ Nasal congestion 
◦ Rhinorrhea 
Clear to green 
◦ Sneeze 
◦ Cough 
◦ Irritability 
◦ Swollen glands 
◦ 7 to 14 days 
Older children and adults 
◦ Nasal congestion 
◦ Rhinorrhea 
Clear to green 
◦ Sore, scratchy throat 
◦ Malaise 
◦ Sinus fullness 
◦ Hoarseness 
◦ Sneeze, cough 
◦ 5 to 7 days 
Symptoms and Signs
Prophylaxis 
• Frequent handwashing with non-antibacterial soap and water 
• Hand sanitizers may be less effective 
• Virucidal tissues may decrease secondary transmission of respiratory 
infection within the household or other close-contact settings 
• Physical barriers: gloves, masks, gowns, etc. 
Likely beneficial Maybe beneficial Unclear benefit No benefit 
Zinc Probiotics Gargling Vitamin C 
Ginseng Vitamin D 
Exercise Echinacea 
Garlic
Symptomatic Treatment for Adults 
• Nasal symptoms 
• Single dose of nasal decongestant in adults 
• Antihistamine/decongestant combinations 
• Newer non-sedating antihistamines not effective 
• Guaifenesin 
• Cough 
• Dextromethorphan 
• Inhaled ipratropium bromide 
• Fever, achiness 
• Acetaminophen 
• NSAID’s 
• ANTIBIOTICS ARE NOT EFFECTIVE
Symptomatic Treatment for Children 
• Very few effective treatments!!!
Complications 
• Secondary effects of localized inflammation - Bacterial superinfection 
• Inflammatory response in susceptible host- Asthma 
• More extensive viral infection in susceptible host 
• Viral-induced wheezing: 
• Bronchiolitis 
• Pneumonia : rhinovirus and RSV may cause severe lower respiratory 
tract infection in infants and children 
• Bacterial acute otitis media : may complicate 30% to 50% of URIs in 
young children 
• Paranasal sinus abnormalities 
• Bacterial sinusitis : may complicate 8% to 10% of URIs in children 
• Pre-orbital cellulitis 
• Orbital cellulitis 
• Orbital abscess
ALLERGIC RHINITIS 
AND SINUSITIS
List three functions of the sinuses. 
• Insulate brain 
• Crumple zone to protect brain from injury 
• Decrease weight of skull
Sinusitis 
• Inflammation of mucous membranes lining paranasal sinuses 
• In adults sinusitis most often occurs in maxillary sinus, whereas in 
children it is most common in ethmoid sinus
You are born with 4 sinuses
Anatomic landmarks of the nasal cavity 
and paranasal sinuses.
Key clinical features of Migraine 
• Unilateral throbbing pain 
• Phonophobia / photophobia 
• Nausea / Vomiting 
• Lasting hours to days (but probably less than a week) 
• Triggers can include: allergies (histamine release), sinusitis, sinonasal 
contact points 
• Can trigger vasomotor symptoms including: rhinorrhea/nasal 
congestion, ocular tearing 
• Migraine triggers the maxillary branch of the trigeminal nerve, and the nerve winds 
up also triggering ocular tearing, rhinorrhea, symptoms of nasal congestion. =
Allergic vs. Nonallergic Rhinitis 
• Rhinitis: irritation and inflammation of mucous membrane in nose 
• Rhinorrhea: nasal cavity is filled with a significant amount of mucus 
• Allergic Rhinitis 
• Paroxysmal sneezing with seasonal variation 
• Pruritus 
• Anterior/Clear rhinorrhea 
• Allergic conjunctivitis 
• Positive Family history 
• + skin allergy test 
• Non-allergic Rhinitis 
• Less sneezing 
• No pruritis 
• Posterior drainage
Pathognomonic Signs of Allergic Rhinitis 
• Allergic shiners; periocular edema 
• Dennie’s Morgan’s lines – wrinkles from long term edena 
• Supratip nasal creases 
• Large bluish turbinate – venous blood due to congestion
Treatment for Allergic Rhinitis 
• First Line: Nasal Corticosteroids 
• Environmental Control 
• Saline Irrigation 
• Antihistamines 
• Reduce production of clear secretions 
• Reduces pruritus and sneezing 
• Clinically much less effective than nasal steroids 
• Decongestants 
• Ephedrine, Phenylephrine, Dextromorphan 
• Vasoconstriction by alpha-agonists (epinephrine, NE) will decrease the blood flow and 
therefore decrease inflammation and mucus formation at the site of application. 
• Leukotriene modifiers 
• Montelukast/Zafirlukast 
• Zileuton 
• Nasal cromolyn 
• Allergen immunotherapy
Immunotherapy in Allergic Rhinitis 
• Clinical Indications: 
• Poor response to pharmacotherapy/allergen avoidance 
• Unacceptable adverse effects of medications 
• Desire to avoid long-term pharmacotherapy and reduce costs 
• Possible prevention of asthma in children 
• 85-90% of patients who receive high-dose maintenance IT report 
significant efficacy: 
• reduced symptoms 
• reduction in medication requirements 
• IT must be administered in a setting where prompt recognition and 
treatment of anaphylaxis is assured
Acute Infectious Rhinosinusitis 
• Symptoms: 
• Purulent nasal discharge 
• Nasal obstruction 
• Facial pain/pressure/fullness 
• Almost always viral 
• Acute Bacterial Rhinosinusitis (ABRS) vs. Viral Acute Rhinosinusitis 
(Viral ARS) 
• 0.5-2.0% of VRS progresses to ABRS 
• Diagnosis based on duration and/or pattern 
• More likely to be ABRS if symptomatic for >10 days or if the symptoms improve, 
then worsen
Antibiotic Therapy 
• Antibiotics ONLY indicated in ABRS, ineffective for VRS 
• First line therapy: Amoxicillin/Clavulanic Acid 
• PCN allergy: 
• Adults: Doxycyclin 
• Children: Respiratory quinolone or Clindamycin + 3rd gen Cephalosporin 
• NO ROLE for macrolides
Treatment for Viral Sinusitis 
• Supportive 
• Saline Irrigations (no evidence) 
• Topical vs. Systemic decongestants 
• Oxymetazoline (Afrin) 
• Phenylephrine (Neosynephrine, Sudafed PE) 
• Pseudoephedrine (Sudafed) 
• Pain control 
• Systemic steroids – no evidence 
• Topical steroids – weak evidence
Rhinitis/Sinusitis and Asthma 
• Sinonasal pathology is the most common co-morbidity among 
patients with asthma 
• In patients with asthma, inflammation in the nose and sinuses share 
features of disease in the lung 
• Allergic rhinitis is a risk factor for asthma 
• Childhood allergic rhinitis significantly associated with the presence of 
asthma 
• Asthmatics with sinusitis are more likely to have nasal polyps 
complicating their sinus disease than non-asthmatics, and asthmatics 
are more likely to have persistent disease over years that requires 
multiple surgeries
Chronic Rhinosinusitis w/ or w/out Polyps 
• Diagnosis: 
• 1. Twelve weeks or longer of two or more of the following: 
• Mucopurulent drainage 
• Nasal obstruction → congestion 
• Facial pressure-fullness 
• Decreased sense of smell 
• 2. AND documentation of inflammation by one or more of the 
following findings: 
• Purulent mucus OR edema in the middle meatus or ethmoid region 
• Polyps in nasal cavity OR middle meatus 
• Radiographic imaging showing inflammation of the paranasal sinuses
Nasal polyps are often associated with 
Cystic Fibrosis
Rhinosinusitis with Nasal Polyposis 
• The characteristic presentation of CRS with NP is gradually 
worsening nasal congestion/obstruction, sinus fullness and pressure, 
fatigue, posterior nasal drainage, and hyposmia or anosmia. 
• In contrast, fever and severe facial pain are uncommon. 
• On physical examination, large polyps are often visible with anterior 
rhinoscopy, while smaller polyps require nasal endoscopy or imaging. 
Nasal polyps lack sensation.
Eosinophilic Sinusitis 
• More likely to have polyps and/or asthma 
• 32% of asthmatics have polyps 
• 20% of patients with polyps have asthma 
• Less likely to have pain 
• Th2-mediated process 
• Mucous is laden with eosinophils, leukotrienes, IL-4 and IL-5 
• Treatment: Corticosteroids 
• Saline Irrigations 
• Leukotriene or IgE Inhibitors
Sinus Surgery 
• Rhinosinusitis Sinus Surgery = Functional Endoscopic Sinus Surgery 
• Reserved for medical failures 
• Improves quality of life in 72-76% of patients 
• Average improvement of 16-22% 
• Sinus Surgery Improves Asthma 
• Reduces symptoms, lowers steroid dose & frequency of steroid use 
• Improves lung function 
• Decreases bronchial hyperreactivity 
• NOT SUPERIOR TO MEDICAL THERAPY
Nasal Polyps can develop from Rhinitis, 
Cystic Fibrosis and Aspirin Intolerant 
Asthma
OTOLARYNGOLOGY 
PATHOLOGY
Differential Diagnosis of Hoarseness 
 Infectious 
 Acute laryngitis: common cold, URI (virus) or voice strain 
 Neoplastic 
 Squamous cell carcinoma 
 Idiopathic 
 Papilloma 
 Iatrogenic 
 Injury to recurrent laryngeal nerve (e.g. thyroid surgery) 
 Functional 
 Laryngeal polyp/nodule (Singer’s nodule) 
 Smoking 
 GERD 
 LPRD (laryngopharyngeal reflux) 
 Parkinson’s or stroke 
 Allergies 
 Thyroid problems
Define stridor and evaluate the child who 
presents with stridor. 
• High pitched inspiratory and expiratory sound that serves as a sign of 
fixed upper airway obstruction 
• Epiglottitis: H. Influenzae 
• Croup: Parainfluenza
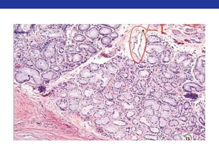
Pleomorphic Adenoma 
• Most common salivary gland neoplasm 
• Clinical features 
• Wide age distribution 
• Most common in 4th decade 
• Female > male 
• Most common location: parotid gland 
• Gross features 
• Overall well-circumscribed 
• Often with small protrusions into adjacent normal tissue; may lead to local recurrences 
• Microscopic features 
• Biphasic: Admixture of epithelial and stromal elements 
• Epithelium: Glands or cords of small cuboidal cells 
• Stroma: Fibromyxoid +/- cartilaginous differentiation 
• Prognosis 
• Vast majority are benign, Recurrence rate is highly dependent on adequacy of original resection 
• Malignant transformation: Occurs in ~5% of cases
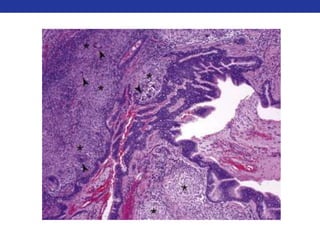
Warthrin Tumor 
• Clinical features 
• Wide age distribution 
• Most common in 6th and 7th decades 
• Male >> female 
• Most common location: parotid gland 
• Bilateral in 10% of cases 
• Gross features 
• Well-delineated, lobulated mass 
• May be cystic or multicystic 
• Microscopic features 
• Epithelium: 
• Oncocytic - large, eosinophilic, granular cells 
• Lymphoid tissue: 
• May form lymphoid follicles 
• Prognois: Benign
Mucoepidermoid Carcinoma 
• Clinical features 
• Most common in 5th decade 
• Most common malignant salivary gland tumor in children 
• Female > male 
• Low-grade and high-grade types 
• Gross features 
• Low-grade: Well-circumscribed mass with cystic areas 
• High-grade: Solid, infiltrative pattern of growth 
• Microscopic features 
• Three distinct cell types: 
• Squamous 
• Mucin-producing 
• Intermediate 
• Low-grade: well-differentiated 
• High-grade: poorly-differentiated 
• Prognosis 
• Highly dependent on grade 
• Low-grade: 5 yr survival of 98% 
• High-grade: 5 yr survival of 56%
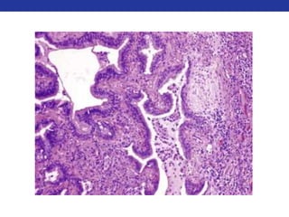
Adenoid Cystic Carcinoma 
• Clinical features 
• Most common malignant tumor of minor salivary glands 
• Wide age distribution: 20 - 80 yo 
• Median age = 50 yo 
• Gross features 
• Solid infiltrative pattern of growth 
• Can invade nerves and move to brain 
• Microscopic features 
• Small, cuboidal, cytologically bland cells 
• Arranged in cribriform patterns 
• Some of the lumen-like spaces contain distinctive eosinophilic materia 
• Prognosis: Poor, highly malignant, perineural invasion
Laryngeal Polyp 
• Distinctive non-inflammatory reactive change 
• Etiology: Injury - “misuse” of voice 
• S/sx: Hoarseness 
• Gross: Polypoid mass on vocal cords 
• Microscopic: Varies with stage of evolution of lesion 
• Prognosis: benign
Juvenile Laryngeal Papillomatosis 
• Age: presents in children / adolescents 
• Etiology: human papilloma virus (HPV) 
• Gross: 
• Multiple papillary growths on vocal cords 
• May spread throughout larynx 
• Microscopic features 
• Papillary growths of well-differentiated squamous epithelium 
• Prognosis 
• Repeated recurrences 
• Usually benign 
• Vary rarely development of squamous cell carcinoma
Squamous Cell Carcinoma 
• Clinical Features 
• > 90% of laryngeal carcinomas are SCC 
• Age - 5th decade or older 
• Male > > > female 
• Risk factors: 
• Cigarette smoking 
• Heavy alcohol consumption 
• Gross features 
• Mass protruding into airway, may be ulcerated 
• Typically 1 - 4 cm 
• Microscopic features 
• Cytologically malignant squamous epithelium 
• Prognosis 
• Glottic tumors 
• Arise from true vocal cords 
• Tend to remain localized 
• Transglottic tumors 
• Tumor crosses laryngeal ventricle 
• High rate of lymph node metastases
COPD AND 
BRONCHIETETASIS
Emphysema 
• Pathophysiology: 
• Abnormal enlargement of air spaces distal to terminal bronchioles 
• Destruction of alveolar walls resulting from elastase-antielastase imbalance 
• Centriacinar (respiratory bronchioles) in upper lobes vs panacinar (alveolar 
ducts; associated with alpha-1 antitrypsin deficiency) in lower lobes 
• Collapse of airways due to loss of alveolar compliance 
• Gross Morphology: 
• Hyperinflated lungs, Air trapping, Dilated alveoili 
• Bullae on surface of lungs (panacinar) 
• Smoking  upper lobe (Centriacinar) 
• Hyperinflated lungs, flattened diaphragms, increased retrosternal clear space 
on CXR 
Microscopic: 
• Inflammation, fibrosis and carbonaceous pigment common in adjacent alveolar 
and bronchial walls
Barrel Chest 
Prolonged expiration with pursed lips, 
forces walls open to allow expiration
Chronic Bronchitis 
• Pathophysiology: 
• Enlargement of the bronchial mucous glands and expansion of goblet cell 
population. Hypersecretion of mucus  mucous plugs. 
• Gross Morphology: 
• Visible bronchi 
• Principal sites of increased air resistance in COPD are the small distal airways 
• Hyperinflated lungs, flattened diaphragms, increased retrosternal clear space 
on CXR 
• Microscopic: 
• Brown-pigmented macrophages with sparse neutrophil and lymphocytes in 
walls of terminal bronchioles 
• Fibrosis, goblet cell and squamous cell metaplasia of epithelium, smooth 
muscle enlargement, scattered regions of mucous plugging 
• Seromucinous gland hyperplasia
Chronic Bronchitis is diagnosed clinically: 
Chronic productive cough lasting 3 
months over at least 2 years
Asthma 
• Pathophysiology 
• Bronchial asthma is a chronic relapsing inflammatory disease with hyper-reactive 
airways, leading to episodic, reversible bronchoconstriction owing to 
increased responsiveness of the tracheobroncheal tree to various stimuli. 
• Gross Morphology 
• Lungs are greatly distended with air and show patchy atelectasis with 
occlusion of airways by thick mucus plugs. 
• Microscopic 
• Sub-basement membrane fibrosis 
• Edema and inflammatory infiltrate in bronchial walls with eosinophils. 
• Hypertrophy of bronchial wall musculature and submucosal glands. 
• Whorls of shed epithelium forming mucous plugs (Curschmann’s spirals) 
• Collection of crystaloid made up of debris of eosinophil membranes (Charcot- 
Leyden crystals)
Asthma is most often associated with 
allergic stimuli: Type 1 HSR 
IL4 (IgE), 5 (Eos) , and 10 (TH2) 
Also IL-13 and IL-9
Bronchiectasis 
• Abnormal permanent dilatation of the bronchi and bronchioles. 
• Caused by repeated cycles of airway infection/inflammation 
• Distal airways become thickened 
• Mucosal surfaces develop edema and suppuration 
• Neovascularization of the adjacent bronchial arterioles occurs. 
• Hemoptysis, Sputum 
• Bronchiectasis shares many clinical features with chronic obstructive 
pulmonary disease (COPD) 
• Inflamed and easily collapsible airways 
• Obstruction to airflow 
• Frequent office visits and hospitalizations. 
• Dx: Chronic daily cough with viscid sputum production and presence 
of bronchial wall thickening and luminal dilatation on HRCT.
Bronchiectasis 
• Presentation 
• Cough 
• Purulent sputum production 
• Hemoptysis 
• Recurrent infection 
• Bronchial hyper-reactivity 
• Obstructive lung disease
Localizing Bronchiectasis 
• Upper Lobe 
• Cystic Fibrosis 
• Lower Lobe 
• Aspiration Syndromes 
• Right Middle Lobe and Lingula 
• Nontuberculous Mycobacterial Infection 
• Central 
• Allergic Bronchopulmonary Aspergillosis
Treatment of Bronchiectasis 
• 1. Antibiotics 
• 2. Bronchopulmonary drainage 
• 3. Bronchodilators 
• Chest Physical Therapy 
• Inhaled DNA-ase for CF patients
Presence of P. Aeroginosa portends a 
worse prognosis in bronchiectasis
Pink Puffers and Blue Bloaters 
• Pink Puffers - associated with severe emphysema 
• Cachexia, unrelenting dyspnea, severe lung hyperinflation, normal 
(or near normal) ABG at rest because the body compensates by 
hyperventilating (hence the puffer). Low cardiac output  muscle 
wasting and weight loss. The pink can be from a number of things, 
one of which is using neck and chest muscles to breathe. 
• Blue Bloaters - associated with chronic bronchitis 
• Stout body habitus, chronic cough and sputum, dyspnea, severe 
hypoxia and hypercapnia (leading to polycythemia and signs of 
right-sided heart failure)
COPD vs. Asthma 
• Factors that favor COPD over Asthma 
• Older age 
• current/past smoker 
• Hx acute bronchitis 
• chronic cough, sputum production or wheezing 
• Factors that favor Asthma over COPD 
• Young age 
• No smoking history 
• Atopy 
• Variability of Sx over time 
• Reversible obstruction
Natural Progression of COPD 
• Chronic obstructive pulmonary disease (COPD) is characterized by 
poorly reversible airflow obstruction and an abnormal inflammatory 
response in the lungs 
• Innate and adaptive immune responses to long term exposure to noxious 
particles and gases, particularly cigarette smoke. 
• This amplified response may result in mucous hypersecretion (chronic 
bronchitis), tissue destruction (emphysema), and disruption of normal 
repair and defence mechanisms causing small airway inflammation and 
fibrosis (bronchiolitis). 
• 1. Inflammation 
• 2. Imbalance of Proteases and Antiproteases 
• 3. Oxidative Stress
COPD Diagnosis 
Airflow limitation measured by FEV1 % Predicted 
All patients with FEV1/FVC reduced to < 0.70 
GOLD 1 Mild >80% 
GOLD 2 Moderate 50 – 80% 
GOLD 3 Severe 30 – 50% 
GOLD 4 Very Severe <30%
COPD Classification 
Patient 
Category 
Characteristics 
GOLD 
FEV1 
Frequency 
Exacerbation 
CAT MMRC 
A Low Risk 
Less Symptoms 
GOLD 1-2 
FEV1 > 50% ≤ 1 < 10 0-1 
B Low Risk 
More Symptoms 
GOLD 1-2 
FEV1 > 50% ≤ 1 ≥ 10 ≥ 2 
C High Risk 
Less Symptoms 
GOLD 3-4 
FEV1 < 50% ≥ 2 <10 0-1 
D High Risk 
More Symptoms 
GOLD 3-4 
FEV1 < 50% ≥ 2 ≥ 10 ≥ 2
Patient 
Category 
Characteristics 
GOLD 
FEV1 
Frequency 
Exacerbation 
CAT MMRC 
A 
Low Risk 
Less Symptoms 
GOLD 1-2 
FEV1 > 50% 
≤ 1 < 10 0-1 
Patient 
Category 
1st Choice Tx 2nd Choice Tx 3rd Choice Tx 
A 
SAMA PRN 
or 
SABA PRN 
LAMA or 
LABA or 
SAMA+SABA 
PDE inh 
(Theophylline) 
Category A Therapy
Patient 
Category 
Characteristics 
GOLD 
FEV1 
Frequency 
Exacerbation 
CAT MMRC 
B 
Low Risk 
More Symptoms 
GOLD 1-2 
FEV1 > 50% 
≤ 1 ≥ 10 ≥ 2 
Patient 
Category 
1st Choice Tx 2nd Choice Tx 3rd Choice Tx 
B 
LAMA or 
LABA 
LAMA+LABA 
SABA and/or SAMA 
Theophylline 
Category B Therapy
Patient 
Category 
Characteristics 
GOLD 
FEV1 
Frequency 
Exacerbation 
CAT MMRC 
C 
High Risk 
Less Symptoms 
GOLD 3-4 
FEV1 < 50% 
≥ 2 <10 0-1 
Patient 
Category 
1st Choice Tx 2nd Choice Tx 3rd Choice Tx 
C 
ICS and 
LAMA or LABA 
LAMA+LABA or 
LAMA+PDE4I or 
LABA+PDE4I 
SABA and/or SAMA 
Theophylline 
Category C Therapy
Patient 
Category 
Characteristics 
GOLD 
FEV1 
Frequency 
Exacerbation 
CAT MMRC 
D 
High Risk 
More Symptoms 
GOLD 3-4 
FEV1 < 50% 
≥ 2 ≥ 10 ≥ 2 
Patient 
Category 
1st Choice Tx 2nd Choice Tx 3rd Choice Tx 
D 
ICS and 
LAMA and/or 
LABA 
ICS+LAMA+LABA or 
ICS+LAMA+PDE4I or 
ICS+LABA+PDE4I 
Mucolytics 
SABA and/or SAMA 
Theophylline 
Category D Therapy
First Line: Tiotropium + SABA prn 
Steroids for exacerbations (Advair)
Pharmacotherapy
Alpha 1 Antitrypsin Deficiency 
• α1-antitrypsin is a protease inhibitor and protects lung tissue against 
neutrophil elastase and other proteases. 
• Encoded by the gene PI 
• M: Normal wild type 
• Z: Most common mutant leading to deficiency 
• ZZ homozygous: Severe Disease 
• Symptoms 
• Lung 
• COPD: Panacinar emphysema 
• Possible bronchiectasis or asthma 
• Suspected from uncontrolled destruction by neutrophil elastase in the lung 
• Liver 
• Childhood liver disease 
• Adulthood cirrhosis of liver & hepatocellular carcinoma 
• Suspected from abnormal deposition of dysfunctional AAT protein 
• Skin 
• Necrotizing panniculitis, vasculitis, urticaia, angioedema
Alpha 1 Antitrypsin Diagnosis 
• Emphysema in a young age (< 45 yo) 
• Emphysema in non-smokers 
• Basilar distribution of emphysema 
• Concurrent liver or skin disease 
• Serum levels of AAT: below 50 mg/dL 
• Genotyping to look for S or Z alleles
PFTS 
Disease PFT Pattern 
Asthma Obstructive and Reversible 
Chronic Bronchitis Obstructive, Irreversible, Normal DLCO 
Emphysema Obstructive, Irreversible, Low DLCO 
Bronchiectasis Obstructive 
Cystic Fibrosis Obstructive, FEV1 correlates with outcomes
Cystic Fibrosis 
• Autosomal Recessive defect in CFTR chloride channel 
• CFTR dysfunction reduces chloride secretion from the epithelialial 
cells into the airway lumen  sodium absorption into the cell is 
markedly increased  thinning of the airway surface’s liquid lining 
layer  impaired mucociliary clearance. 
• Chronic infection  PMN-dominated inflammatory response. 
• Neutrophil products (proteolytic enzymes and oxidants) mediate the 
subsequent pathologic changes: bronchiectasis, bronchiolectasis, bronchial 
stenosis, and fibrosis. 
• Mucous plugging of airways 
• 1. Production of thick, tenacious secretions from exocrine glands 
• 2. Elevated concentrations of sodium, chloride, and potassium in 
sweat
Cystic Fibrosis 
• Clinical Presentation 
• Pancreatic insufficiency 
• Recurrent episodes of tracheobronchial infection 
• Bronchiectasis 
• Intestinal obstruction 
• Sterility in males 
• Diagnosis: 
• (1) Identification of mutations known to cause cystic fibrosis in both 
CFTR genes 
• (2) Characteristic abnormalities in measurements of nasal mucosal 
electrical potential difference 
• (3) Abnormal sweat electrolytes
CF Work Up 
• Cystic fibrosis causes obstructive lung disease, initially with 
decreased flows at low lung volumes. 
• Forced expiratory volume in 1 second (FEV1) is the best correlate of outcome and 
starts to differ markedly from normal during adolescence. 
• The rate of decline in FEV1 often predicts the clinical course. 
• Early in the disease, the chest radiograph demonstrates hyperinflation 
and peribronchial thickening. Computed tomography can demonstrate 
bronchiectasis early in the course of the disease. 
• Airway infection, which is the key clinical manifestation, can be 
detected by sputum culture or bronchoalveolar lavage.
INTERSTITIAL LUNG 
DISEASE
Overview 
• Patients have dyspnea, tachypnea, end-inspiratory crackles, and 
eventual cyanosis, without wheezing or other evidence of airway 
obstruction. 
• The classic functional abnormalities are reductions in diffusion capacity, 
lung volume, and lung compliance. 
• Chest radiographs show bilateral lesions that take the form of small 
nodules, irregular lines, or ground-glass shadows, all corresponding to 
areas of interstitial fibrosis. 
• Eventually, secondary pulmonary hypertension and right-sided heart 
failure associated with cor pulmonale may result. 
• Although the entities can often be distinguished in the early stages, the 
advanced forms are hard to differentiate because all result in scarring 
and gross destruction of the lung, often referred to as end-stage lung or 
honeycomb lung.
Causes 
• Idiopathic 
• Idiopathic interstitial pneumonias 
• Granulomatous 
• Sarcoidosis 
• Occupational and environmental : Pneumoconioses 
• Coal worker pneumoconiosis (CWP) 
• Silicosis 
• Asbestosis 
• Berylliosis 
• Drug induced 
• Amiodarone 
• Bleomycin and busulfan 
• Cyclophosphamide 
• Methotrexate and methysergide 
• Nitrosourea and nitrofurantoin 
• Connective tissue disease 
• Systemic sclerosis 
• SLE 
• RA 
• Collagen vascular disease
Idiopathic Interstitial Pneumonias 
• Idiopathic pulmonary fibrosis 
• Non-specific interstitial pneumonia 
• Respiratory bronchiolitis-associated interstitial lung disease 
• Desquamative interstitial pneumonia 
• Cryptogenic organizing pneumonia 
• Acute interstitial pneumonia 
• Lymphoid interstitial pneumonia
Clinical Features 
• History: 
• Subacute or chronic 
• Chronic 
• pulmonary hypertension 
• right sided heart failure (cor pulmonale). 
• Symptoms: 
• Progressive dyspnea 
• Cough 
• Late inspiratory crackles 
• Respiratory alkalosis 
• No wheezing 
• Signs: 
• Restrictive PFTs (reduced FEV1 and FVC with normal ratio, decreased TLC) 
• Reduced DLCO. 
• Variable inflammation and fibrosis of the interstitial, alveolar, and vascular 
compartments of the lungs. 
• Decreased PaO2
IPF Clinical Course 
• IPF begins insidiously with gradually increasing dyspnea on exertion 
and dry cough. 
• Most patients are 55 to 75 years old at presentation. 
• Hypoxemia, cyanosis, and clubbing occur late in the course. 
• Usually there is a gradual deterioration in pulmonary status despite 
medical treatment with immunosuppressive drugs such as steroids, 
cyclophosphamide, or azathioprine. 
• The median survival is about 3 years after diagnosis. 
• Lung transplantation is the only definitive therapy.
IPF: Gross and Microscopic Morphology 
• Gross Morphology 
• Cobblestoned Pleura as a result of the retraction of scars along the 
interlobular septa. 
• Fibrosis occurs preferentially in the lower lobes, the subpleural 
regions, and along the interlobular septa. 
• Spacial/Temporal Heterogeneity 
• Microscopic 
• 1) Patchy interstitial fibrosis 
• 2) Fibroblastic foci 
• 3) Honeycomb fibrosis 
• The dense fibrosis causes the destruction of alveolar architecture and 
formation of cystic spaces lined by hyperplastic type II pneumocytes or 
bronchiolar epithelium 
• Early: exuberant fibroblastic proliferation 
• Late: areas become more collagenous and less cellular.
UIP NSIP 
Spacial/temporal heterogeneity Spacial/temporal homogeneity
In order to diagnose ILD, you need to use 
a combination of history, clinical findings, 
histologic findings, and/or radiographic 
findings. 
You cannot rely on one modality alone
PFTs 
• Reduced FEV1 
• Reduced FVC 
• Normal FEV1/FVC ratio 
• Decreased TLC 
• Reduced DLCO 
• PFTs At Rest: Diagnosis 
• PFTs With Exercise 
• Monitor the effectiveness of treatments 
• Monitor the course of the disease 
• The reductions in lung volumes become more pronounced with disease progression. 
• 3 reasons to do physiologic testing 
• 1) Clues to diagnostic category 
• 2) Assess the severity of impairment 
• 3) Assess change objectively
2 criteria for diagnosis of IPF: 
1) Exclude other known causes of ILD 
(ex: sarcoidosis, pneumoconiosis, etc) 
2) Diagnose UIP either by HRCT or 
surgical lung biopsy
HRCT 
• Interlobular septal thickening and reticulation 
• Symmetrical, lower lobe, subpleural 
• Macroscopic honeycombing 
• Symmetrical, lower lobe, subpleural 
• Traction bronchiectasis 
• Bilateral infiltrative lesions in the form of small nodules, irregular lines, 
or ground-glass shadows
HRCT 
Interlobular septal thickening Reticulation 
Honeycombing 
Traction bronchiectasis
Mosaic Attenuation: Air Trapping 
Expiratory Normal
Bronchoscopy and Surgical Lung Biopsy 
• Bronchoscopy is diagnostic for sarcoidosis in >90% of cases 
• Perform bronchoscopy if: 
• Hemoptysis and radiographic ILD findings are present 
• Acute onset of ILD 
• Subacute or chronic presentation of ILD if sarcoidosis, hypersensitivity pneumonitis, pulmonary 
Langerhans histiocytosis, or infection are suspected 
• Bronchoscopy is less helpful in patients with radiographic findings that suggest IPF 
• No established role in assessment of progression or response to therapy 
• Obtain a lung biopsy in patients with atypical or progressive symptoms and signs: 
• Age less than 50 years 
• Fever 
• Weight loss 
• Hemoptysis 
• Signs of vasculitis 
• Atypical radiographic features 
• Unexplained extrapulmonary manifestations 
• Rapid clinical deterioration, or sudden change in radiographic appearance
Treatment 
• General Lung Disease 
• Stop smoking 
• Supplemental oxygen if needed 
• Immunization against S. pneumoniae and flu 
• Pulmonary rehabilitation 
• Consider lung transplantation 
• Enrollment in clinical trials 
• End-of-life planning 
• Specific to ILD 
• No specific therapy works for IPF 
• Quality of data for effectiveness of therapy is poor 
• Immunosuppressive therapy may be effective in some but not others 
• Immunosuppressive therapy side-effects are common and dangerous 
• Duration and intensity of appropriate treatment differs markedly
Anatomy: Pulmonary Interstitium 
• Definition: Collection of support tissues within the lung that includes 
the alveolar epithelium + pulmonary capillary endothelium + 
basement membrane + perivascular and perilymphatic tissue 
• Divided into 3 zones- 
• Axial (surrounding bronchovascular tree) 
• Parenchymal (surrounding pulmonary parenchyma) 
• Peripheral (adjacent to the pleura)
Anatomy: Secondary Pulmonary Lobule 
• Smallest unit of lung structure marginated by connective tissue septa: 
fundamental unit of lung structure 
• Irregularly polyhedral, variable size (1-2.5 cm) 
• Contains: 
• Small bronchiole 
• Pulmonary artery branch 
• 12 or fewer acini usually 
• Marginated by interlobular septa 
• Contain pulmonary veins and lymphatics 
• Septa allow for visualization
Autoimmune Diseases such as SLE, 
Rheumatoid Arthritis, Scleroderma, and 
Dermatomyositis-Polymyositis can cause 
ILD, but have a much better prognosis 
and can be treated with 
immunosuppresive therapy.
Hypersensitivity Pneumonitis 
• Spectrum of immunologically mediated, predominantly interstitial, lung 
disorders caused by intense, often prolonged exposure to inhaled 
organic antigens 
• In contrast to Asthma, involves pathologic changes of ALVEOLAR WALLS 
• A common and potentially treatable cause of ILD 
• Farmer’s lung (thermophilic actinomyces), Bird-fancier’s lung, Indoor mold 
• Histology: 
• Centered on bronchioles 
• (1) Interstitial pneumonitis, consisting primarily of lymphocytes, plasma cells, and 
macrophages (NOT EOSINOPHILS) 
• (2) Noncaseating granulomas in 2/3 of patients 
• (3) Interstitial fibrosis with fibroblastic foci, honeycombing, and obliterative bronchiolitis 
(late stages). 
• Centrilobular nodules on HRCT
HP Clinical Course 
• Acute attacks, which follow inhalation of antigenic dust in sensitized 
patients, consist of recurring episodes of fever, dyspnea, cough, and 
leukocytosis. 
• Micronodular interstitial infiltrates may appear in the chest radiograph 
• Pulmonary function tests show an acute restrictive disorder. 
• Symptoms usually appear 4 to 6 hours after exposure and may last 
for 12 hours to several days. They recur with reexposure. 
• If exposure is continuous and protracted, a chronic form of the 
disease supervenes, leading to progressive respiratory failure, 
dyspnea, and cyanosis and a decrease in total lung capacity and 
compliance.
Chronic Inflammatory Infiltrate centered 
on small airways: bronchiolitis 
Lymphocytic Bronchiolitis Noncaseating Granuloma
IPF vs. Hypersensitivity Pneumonitis 
• Timing 
• IPF: Gradual onset, chronic non productive cough 
• HP: Subacute, Symptoms within hours of exposure 
• Prognosis 
• IPF: Survival is less than 3 years 
• HP: Good prognosis if diagnosed in subacute phase 
• Treatment 
• IPF: Only lung transplant 
• HP: Immunosuppression and antigen avoidance
Sarcoidosis 
• Systemic disease characterized by non-caseating granulomas in 
multiple organs/systems 
• African American Females, non-smokers, 20-39 
• Diagnosis of exclusion: NEVER A SURE THING 
• Gross Morphology: 
• Symmetric hilar and mediastinal lymphadenopathy +/- lung infiltrates 
• Histology 
• Well-formed nonnecrotizing granulomas composed of aggregates of tightly 
clustered epithelioid macrophages, often with giant cells. 
• Granulomas  fibrosis and hyalinization 
• Stellate inclusions (‘asteroid bodies’) often seen within giant cells of 
granulomas 
• Diagnosis w/ bronchoscopy in 90% of cases
Granulomas
Clinical Course 
• Clinical manifestations: 
• Lymph node enlargement 
• Eye involvement (sicca syndrome, 
iritis, or iridocyclitis) 
• Skin lesions (erythema nodosum, 
painless subcutaneous nodules) 
• Visceral (liver, skin, marrow) 
involvement. 
• Lung involvement occurs in 90% of 
cases, with formation of granulomas 
and interstitial fibrosis. 
Organ Involvement % of patients (n = 725) 
Lungs & thoracic nodes 95.0 
Skin 15.9 
Extrathoracic nodes 15.2 
Eye 11.8 
Liver 11.5 
E. nodosum 8.3 
Neurologic 4.6 
Parotid or salivary 
3.9 
glands 
Hypercalcemia 3.0 
Cardiac 2.3
Staging and Therapy of Sarcoidosis 
• Stages -- based on CXR: 
• 0 normal 
• I Bilateral hilar adenopathy (BHL) 
• II Parenchymal disease and BHL 
• III Parenchymal disease 
• IV Fibrosis (perivascular) 
• 75-90% go into spontaneous remission. The remainder need steroids 
for treatment. We treat stages 3 and 4. 
• 10-15% develop severe fibrosis leading to cor pulmonale and death.
Take Home Point 
• IPF is a terrible disease; don’t make this diagnosis unless you are 
positive you are right. 
• IPF accounts for about half of ILDs 
• It is a disease of older adults 
• Prognosis comparable to advanced cancers 
• No specific treatment works 
• Diagnosed based on UIP histology without identifiable cause
PLEURAL EFFUSION
Development of Pleural Cavities 
• After cranio-caudal and ventral folding, the coelom is a closed tube that extends 
from neck to pelvis. The cranial end of the coelom expands and flexes ventrally, 
while the caudal end expands linearly. These two ends are in communication with 
one another by narrow, paired pericardialperitoneal canals. These canals will 
become pleural cavities. 
• When the lung buds emerge, they expand into the right and left pleural cavities. 
The portion of the pleural cavity in contact with the lung is the visceral pleura; the 
portion of the pleura opposite the expanding viscera and in contact with the body 
wall is the parietal pleura. 
• INNERVATIONS: 
• Pleural visceral layer: in contact with expanding organ 
• Derived from splanchnic mesoderm innervated by autonomic neurons 
• Visceral pain = dull and poorly localized 
• Pleural parietal layer: in contact with body wall 
• Derived from somatic mesoderm and innervated by somatic neurons (C3-C5) 
• Somatic pain = sharp and well localized
Rib and Organ Relationships
Vasculature and Innervation of Chest Wall 
• Blood supply: 
• Subclavian artery → internal thoracic (mammary) artery → Anterior intercostal 
arteries in each intercostal space, enter the costal groove on the internal 
surface of a rib. 
• Descending (thoracic) aorta → posterior intercostal arteries in each intercostal 
space, anastomose with anterior intercostal arteries 
• Innervation: intercostal nerves (ventral rami of T1-T11 spinal nerves), 
sympathetic trunk also runs down the vertebral column near the 
costovertebral joints.
Describe the course of the azygos vein in 
the thorax and abdomen. Discuss the 
significance of the azygos system. 
• Azygos vein collects blood from right intercostal veins as well as from 
hemiazygos vein (& sometimes accessory hemiazygos vein), which 
collects blood from multiple posterior intercostal veins on left  
azygos vein drains into superior vena cava immediately superior to 
root of the right lung 
• Azygos vein also connects with inferior vena cava in abdomen 
providing alternate route of venous drainage from thorax, abdomen, 
and back in case of obstruction of either superior or inferior vena 
cava.
Changes in Pleural Spance 
• Pneumothorax: air introduced into pleural cavity and develops further as 
lungs begin to collapse due to their own elastic recoil 
• Tension Pneumothorax : Air enters pleural cavity but cannot exit causing 
mediastinum to shift to opposite side of the chest 
• CONTRALATERAL MEDIASTINAL SHIFT 
• Open: occurs when parietal pleura is pierced and air enters and exits  loss of 
negative intrapleural pressure  collapsed lung 
• IPSILATERAL MEDIASTINAL SHIFT 
• Spontaneous: occurs when air enters pleural cavity usually due to ruptured bleb 
(bulla) of diseased lung 
• Chylothorax: lymph accumulates in pleural cavity due to surgery or 
trauma that injures thoracic duct 
• Hemothorax: blood enters the pleural cavity as a result of trauma or 
rupture of blood vessel
1° vs 2° Spontaneous Pneumothorax 
• Primary spontaneous pneumothorax: Occurs without a precipitating 
event in a person who does not have known lung disease 
• Risk factors: Smoking, Family history, Marfan Syndrome, Homocystinuria, & 
Thoracic endometriosis 
• Secondary spontaneous pneumothorax: Occurs as a complication of 
underlying lung disease 
• Risk factors: nearly every lung disease can be complicated by 2° spontaneous 
pneumothorax 
• COPD, Cystic Fibrosis, Primary or Metastatic Malignancy, and Necrotizing 
Pneumonia (bacterial or fungal)
Management of Pneumothorax 
• Observe and give 100% O2 if: 
• Asymptomatic 
• Pneumothorax is < 20% of the hemithorax 
• 100% O2 decreases partial pressure of nitrogen in capillary 
blood, which increases the rate of absorption of the 
pneumothorax. 
• Treat with chest tube if: 
• Symptomatic, or 
• Pneumothorax is >20% of the hemithorax 
• Chest tubes and needles inserted to decompress a 
pneumothorax are inserted in the 2nd ICS at the midclavicular 
line or 4th/5th ICS in midaxillary line.
Management of Tension Pneumothorax 
• If there is hemodynamic compromise then the pressure must be 
relieved immediately by inserting a needle into the pleural space to 
decompress and then placing a chest tube (tube thoracostomy) to 
prevent reaccumulation of air.
Tube Thoracostomy 
• Purpose: To decompress a tension pneumothorax or spontaneous 
pneumothorax 
• Placement: 2nd ICS in the midclavicular line or 4th or 5th ICS in 
midaxillary line, with patient lying supine. Hook over top of ribs to 
avoid vasculature and nerves.
MCC Pleural Effusion 
• CHF 
• Pneumonia 
• Cancer 
• PE
Pleural thickening is associated with 
restrictive PFTs
Pneumothorax vs. Pleural Effusion 
• Exam findings pleural effusion 
• Dullness to percussion 
• Absence of fremitus 
• Diminished or absent breath sounds 
• Exam findings for pneumothorax: 
• Hyperresonant sounds on percussion 
• Diminished fremitus 
• Diminished/absent breaths sounds
Fluid attenuates sound waves; air 
enhances them.
Signs of Pleural Effusion 
• Precordial Exam 
• S3 gallop  CHF 
• RV Heave  PE, PAH, Left CHF 
• Assess Abdomen 
• Hepatomegaly  CHF, Cancer, Cirrhosis 
• Splenomegaly 
• Ascites 
• Neck 
• JVD  CHF 
• Lymphadenopathy  Cancer 
• Extremities 
• Clubbing 
• Cyanosis 
• Thrombophlebitis  Pneumonia
Diagnostic Imaging
Thoracentesis 
• >10 mm of effusion 
• Seen on US or Lateral Decubitus 
>10 mm Effusion 
Yes 
CHF? 
Yes 
Asymmetric 
effusions, chest 
pain, fever? 
Yes: TAP No: OBSERVE 
No: TAP 
No: OBSERVE
Guidelines for Thoracentesis 
• A Chest X-Ray is NOT needed post diagnostic tap unless: 
• Air is obtained during the procedure 
• Patient develops coughing, chest pain, or dyspnea post-procedure 
• Fremitus is lost over the superior part of the aspirated hemothorax
Bloody vs. Turbid Taps 
• Bloody pleural fluid 
• PF-HCT <1%: Insignificant 
• PF-HCT 1-20%: Cancer, PE, Trauma 
• PF/S-HCT >50% : Hemothorax 
• Turbid fluid: cloudy/opaque 
• Infection/Empyema- WBCs in the 100,000s 
• Chylous- Lymphatic blockage  Check triglyceride level 
• Occurs when lymph accumulates in the pleural cavity due to surgery or trauma 
that injures the thoracic duct. Can also be caused by malignancy
Light’s Criteria 
SENSITIVITY: 98% 
SPECIFICITY: 83%
Transudate vs. Exudate 
• Transudate: Clear, Protein Poor 
• Exudate: Cloudy, Protein Rich 
• Transudate effusion 
• CHF, Nephrotic syndrome, or Hepatic cirrhosis 
• Systemic conditions and hydrostatic pressures that allow leakage from 
vasculature through an intact endothelium. 
• Proteins stay inside the blood vessel 
• Exudate effusion 
• Malignancy, pneumonia, collagen vascular disease, trauma 
• Increased Vascular permeability causes increased protein content
WBC Count 
• >50% Neutrophils  Acute Process 
• Parapneumonic Effusion, PE, Pancreatitis 
• <50% Neutrophils  Chronic Process 
• Cancer, TB 
• >85% Lymphocytes 
• Post CABG 
• TB 
• Cancer 
• RA 
• Trapped Lung 
• Lung Rejection 
• Sarcoidosis
Eosinophils >10% 
• Blood in pleural space: Hemothorax 
• Air in Pleural space: Pneumothorax 
• Drugs 
• Asbestos exposure 
• Pargonimiasis 
• Churg Strauss Syndrome 
• RULES OUT TB
Glucose Levels 
• LOW pleural fluid glucose level is: 
• <60 mg/dl 
• PF-S glucose ratio < 0.5 
• DDx for low glucose effusions: 
• Most common 
• Complicated parapneumonic effusion (<10 with empyema) 
• Malignant effusion 
• Somewhat common 
• Hemothorax 
• Rheumatoid arthritis (really low, <10) 
• TB 
• Least common 
• Churg-Strauss syndrome 
• Paragonimiasis (lung fluke) 
• SLE
Amylase 
• >200 IU/L 
• Pancreatic Disease 
• Neoplasm 
• Malignant 
• Paramalignant 
• TB 
• Esophageal Rupture
Diagnosis of TB 
• If lymphocytosis is detected in the pleural fluid (PF), test for TB 
• Most specific, most sensitive test: Pleural Adenosine Deaminase 
• If PF ADA is >40 U/I, the patient has TB 
• A PF interferon-gamma level of 140 has similar results to PF ADA 
• Other tests are not as sensitive or specific. 
• Less than 40% of PF cultures show TB in TB positive patients. 
• Other results present in TB pleuritis 
• <50% neutrophils 
• >85% lymphocytes 
• <10% eosinophils (Greater than 10% indicates it is NOT TB) 
• Positive PF culture 
• Low PF glucose <60 mg/dl
Diagnosis of Cancer 
• WBC differential 
• > 50% neutrophils = Acute: Pneumonia, PE, Pancreatitis 
• < 50% neutrophils = Chronic: Cancer or TB 
• > 85% lymphocytes → Suspect Leukemia (Hodgkin’s or CLL), TB 
• Cytology 
• Variable yield: Perform 3 successive thoracentesis studies 
• If negative yet suspicion is high → VATS 
• Amylase 
• > 200 = suggestive of neoplasm 
• > 600 = poor prognosis 
• pH 
• < 7.20 = Poor prognosis (~30 days to live), DRAINAGE INDICATED
Most common malignancies: lung, breast 
ovarian…
Cytology Variability
Mesothelioma 
• NONSPECIFIC PULMONARY SYMPTOMS 
• Cough (usually non-productive) 
• Dyspnea 
• Focal ache on chest wall (unique symptom) 
• Pleural effusion signs 
• Dull to percussion 
• Decreased respiratory sounds 
• 60% right-sided, 5% bilateral Effusions 
• Palpable mass / soft tissue fullness 
• Ipsilateral splinting or scoliosis 
• Paraneoplastic syndromes such as hypercalcemia, hypoglycemia, 
autoimmune hemolytic anemia, hypercoagulable states, and 
disseminated intravascular coagulation
Risk Factors for Mesothelioma 
• Personal asbetos exposures 
• Proximity to persons exposed to asbestos 
• Smoking 
• Radiation therapy 
• Carbon nanotubes 
• Exposure to Simian Virus 40 (SV40)
Lower Respiratory Infections 
• Lower respiratory tract infection is usually synonymous with pneumonia, but also 
includes other things such as bronchitis and lung abscess. 
• General symptoms include shortness of breath, weakness, high fever, coughing, 
and fatigue. 
• Pneumonia - inflammatory condition of the lung, particularly the alveoli, most 
commonly caused by bacteria or viruses, less commonly by other 
microorganisms, drugs, or autoimmune conditions 
• Productive cough 
• Fever with shaking chills 
• Shortness of breath 
• Sharp/stabbing chest pain with deep breaths 
• Increased respiratory rate 
• Confusion in elderly 
• Acute Bronchitis - self-limited infection of lower respiratory tract causing 
inflammation of bronchi 
• Acute, lasting less than 3 weeks 
• Coughing is main symptom 
• Wheezing, sputum production, chest pain
Parapneumonic Effusions Criteria 
• Parapneumonic exudate - Exudative effusion on the same side as the pneumonia 
• 3 Criteria for Assessment: These criteria help us decide if a chest tube is indicated for 
drainage. 
• A - Size of effusion 
• 0 - Minimal, <10 mm on lateral decubitus 
• 1 - Moderate, free flowing, >10mm on lateral decubitus and <½ hemithorax 
• 2 - Large free flowing effusion >½ hemithorax or loculated effusion or thickened parietal 
fluid on CT scan 
• B - Bacteriology 
• X - Unknown 
• 0 - Negative culture and gm stain 
• 1 - Positive culture and gram stain 
• 2 - Pus 
• C - pH 
• X - Unknown 
• 0 - >7.20 
• 1 - <7.20
Criteria for Drainage: 
If A is 2 
B is 1 or 2 
C is 1 
Drainage is indicated
If exudative effusion but there are no 
definitive result from all tests, consider PE
LUNG TUMORS AND 
MEDIASTINALMASSES
EVALUATING NODULES
Borders 
Benign Malignant Malignant
Benign Calcifications
Malignant Calcifications
Quality of Nodule 
Ground Glass is more likely malignant.
Overview 
• Size: 
• > 3 cm considered a mass and is malignant about 90% of the time 
• < 1 cm is most likely benign (~15% are malignant) 
• Location: 
• Upper lobe lesions more likely to be malignant 
• Border: 
• Smooth borders more likely benign whereas a spiculated or lobulated border more likely 
malignant 
• Calcifications: 
• Densely calcified lesions or lesions with central calcifications are often seen in old 
granulomatous disease 
• Lamellar or popcorn calcifications more likely to be benign and can be seen in hamartomas 
• Eccentric or punctate calcifications more likely to be malignant 
• Quality: 
• Both solid and ground glass nodules may be malignant 
• Pure ground glass or mixed nodules more likely malignant than pure solid lesions 
• Growth Rate: 
• Most malignancies double in size (doubling time) in less than 400 days. 
• If a nodule is stable in size for more than 2 years, it’s most likely benign
Clincial Features Increasing Malignancy 
• Older age 
• Tobacco use 
• History of prior malignancy 
• Presence of underlying lung disease
“Most commonly, solitary or multiple 
pulmonary nodules are the sequelae of a 
prior granulomatous infection. Other 
etiologies include benign/malignant 
tumors, active infection, inflammatory 
disease, bronchogenic cysts, and 
vascular malformations.”
Hamartoma 
• Most common benign pulmonary tumor 
• Often exhibit specific characteristics (smooth border, lamellar 
calcifications, fat density) that allow for the appropriate diagnosis without 
intervention. 
• The lung is the site of > 90% of all hamartomas that are diagnosed. 
• Histopathologic: 
• Islands of cartilage and entrapped respiratory epithelium 
• Connective tissue intersected by epithelial clefts of columnar cells 
• Radiologic: 
• Smooth, well-circumscribed round nodules that are less than 3-4 cm in diameter 
• CT 
• May demonstrate lamellar or popcorn calcifications and also often have variable soft 
tissue density (including fatty density)
Hamartoma
Genetic Characteristics of Lung Cancer
Adenocarcinoma 
• Adenocarcinoma is the most common cell type of lung cancer and is 
notably the most common lung cancer diagnosed in nonsmokers 
• Histopathology 
• Presence of glandular differentiation and/or mucin production (80%) within the tumor 
• Distinct growth patterns defined including acinar, papillary, bronchioalveolar, and 
solid 
• Vesicular nuclei 
• Intact sheets on fine needle aspiration 
• Clinical Presentation 
• Hypertrophic Osteoarthropathy 
• Pancoast Syndrome 
• PERIPHERAL LESIONS 
• Grow more slowly than Squamous Cell Carcinoma but metastasize 
widely and early
Adenocarcinoma
Squamous Cell Carcinoma 
• Smoking is a key risk factor 
• Histopathology: 
• Presence of keratinization and/or intercellular bridges 
• Often presents with central lesion found near lung hila 
• Clinical Presentation 
• Production of PTHrp results actions identical to that of PTH with what may be 
profound hypercalcemia with associated hypophosphatemia. Endogenous 
PTH is suppressed.
Squamous Cell Carcinoma
Small Cell Lung Cancer 
• SCLC is derived from neuroendocrine cells within the lung. 
• Histopathology 
• The cells are relatively small with scant cytoplasm and small hyperchromatic 
nuclei. 
• The chromatin exhibits a salt and pepper granular pattern. 
• The mitotic counts are typically very high. 
• Clinical Presentation 
• Clinically, these tumors often present at late stages when the disease is widely 
metastatic given the rapid proliferation rate. 
• Central lesion with endobronchial growth. 
• SVC Syndrome 
• SIADH (Hyponatremia) 
• Eaton Lambert Syndrome 
• Cushings and Antineuronal Antibody 
• Very Aggressive, Poor Prognosis
SCLC
Pancoast Syndrome 
• Destruction of nerve roots of brachial plexus causes neuropathic pain 
in ulnar distribution 
• Horner’s syndrome (ptosis, miosis, anhidrosis) due to extension into 
sympathetics 
• Common in adenocarcinoma (PERIPHERAL)
SVC Syndrome 
• Obstruction of SVC by tumor 
• Enlarged mediastinal lymph nodes 
• Dyspnea - worse with leaning forward or laying down 
• Chest pain 
• Facial/upper extremity edema 
• Headache 
• Common in SCLC
Malignant Pleural Effusion 
• Large 
• Frequently bloody (hemorrhagic pleuritis) 
• Cytologic examination may reveal malignant and inflammatory cells 
• Dyspnea, cough, uncomfortable feeling/pain in chest 
• Pleural fluid will likely have low glucose (<60 mg/dl), >85% 
lymphocytes. Amylase (>600 IU/L) and pH <7.20 indicate a poor 
prognosis
Paraneoplastic Syndromes 
• Eaton-Lambert syndrome: SCLC 
• Pesynaptic Ca2+ channel autoAb reduction in ACh in synaptic cleft 
 muscle weakness 
• improves with repetitive stimulation 
• SIADH: SCLC 
• increased antidiuretic hormone  resorption of excess H2O and 
hyponatremia  confusion/seizures 
• cerebral edema 
• neurologic dysfunction 
• Cushing’s Syndrome: SCLC 
• Increased ACTH  Increased Glucocorticoid Action 
• HTN, weight gain, truncal obesity, “moon facies”, “buffalo hump”, 
hyperglycemia, glycosuria, polydipsia, osteoporosis, increased 
infection risk, hirsutism, menstrual abnormalities, mental disturbances
IHC Staining 
• EGFR → use erlotinib and gefitinib - kinase inhibitors 
• ALK → Crizotinib - tyrosine kinase inhibitor 
• Found in Adenocarcinoma and Squamous Cell Carcinoma
Mediastinal Tumors 
• Anterior mediastinal masses: 4 T’s 
• Thymoma/thymic tumors (rare in children) = associated w/ myasthenia 
gravis. 
• Thyroid (including goiter) 
• Teratoma/germ cell tumor 
• Terrible lymphoma 
• Middle 
• Thyroid tumor or goiter 
• Tracheal tumors 
• Bronchogenic cysts 
• Lymphoma 
• Lymphadenopathy - from metastatic spread or infection 
• Posterior 
• Neurogenic tumors 
• Esophageal tumors 
• Hiatal hernias
Teratoma 
• Tumor consisting of cells derived from all three germ layers 
• Originate from totipotent cells of the ovaries or testes. 
• Often these tumors are cystic in nature and when they’re resected 
things like teeth, hair and sebaceous material are found inside
Thymoma 
• Most common primary tumor of 
the anterior mediastinum in adults 
(20-30%) 
• Rarely seen in children. 
• Paraneoplastic syndromes 
• Myasthenia gravis is present in 50-70% 
of thymomas. 
• Pure red cell aplasia and 
hypogammaglobulinemia. 
• Most thymomas are well 
encapsulated and have a benign 
prognosis. 
• Histopathology: Thymic epithelial 
cells with mixed lymphocytic cells
Myasthenia Gravis 
• Muscle weakness is caused by circulating auto antibodies that block 
acetylcholine receptors at the postsynaptic neuromuscular junction, 
inhibiting the excitatory effects of the neurotransmitter acetylcholine 
on nicotinic receptors at neuromuscular junctions. 
• Improves with acetylcholinesterase inhibitor 
• 30-65% of people with thymomas (highly associated!) 
• Does improve when thymoma removed
Lymphoma 
• Proliferation of lymphocytes that appears typically as a 
distinct mass 
• Medial mediastinum
ACID BASE
ARDS
Diagnostic Criteria 
• ARDS Definition 
• Acute pulmonary symptoms within one week 
• Bilateral opacities consistent with pulmonary edema on CXR 
• Respiratory failure not explained by cardiac failure or fluid overload 
• Moderate to severe impairment of oxygenation must be present 
defined by a ratio of arterial oxygen tension to fraction of inspired 
oxygen (PaO2/FiO2) <300. 
• The severity of the hypoxemia defines the severity of the ARDS
Pulmonary Edema
Direct Causes of ARDS 
• Community acquired pneumonia 
• Influenza pneumonia - common flu. 
• Toxic Gas Inhalation 
• Nitrogen dioxide 
• High concentrations of oxygen 
• Aspiration 
• Gastric contents - chemical burn from acidic contents 
• Damage to alveolar epithelium 
• Salt water - hypertonic to plasma 
• Draws fluid from the circulation 
• Fresh water - hypotonic to plasma and cellular contents 
• Cellular edema; also inactivates surfactant 
• Aspirated hydrocarbons 
• Toxic to distal parenchyma; also inactivates surfactant
Indirect Causes of ARDS 
• Sepsis - MOST common. 
• Pancreatitis 
• Trauma 
• Transfusion 
• Neurogenic causes 
• Intracranial bleeding 
• Increased ICP 
• Generalized Seizures 
• Disseminated Intravascular Coagulation (DIC) 
• Intoxication (ASA, cocaine, opioids)
Pathologic Changes 
• Early exudative phase: Reaction 
• Alveolar lumen and septa 
• Scattered bleeding and regions of alveolar collapse related to inactivation of surfactant by 
protein rich exudates and reduced surfactant production resulting from damage to type II 
alveolar cells 
• Nonspecific inflammatory response resulting in infiltration of neutrophils and 
macrophages 
• Hyaline membranes (thin layer of protein tissue) forming from the protein rich edema 
(fibrin, cellular debris, plasma proteins) that deposits on the alveolar membrane 
• Later proliferative phase: Repair 
• Occurs approx. 1 to 2 weeks 
• Alveolar type II epithelial cell hyperplasia to replace damaged type I cells 
• Accumulation of fibroblasts in the pulmonary parenchyma 
• Fibrotic Phase: 
• Development of scar tissue 
• Extensive remodeling of small pulmonary vessels including intimal and medial 
proliferation 
• Formation of in situ thrombi
Shunting and V/Q Mismatch 
• V/Q Mismatch in ARDS: Results from nonuniform distribution of the 
pathologic process within the lungs 
• Areas of more edematous interstitium and where more fluid is present in the 
alveoli have more impaired ventilation 
• Changes in blood flow do not follow the same distribution as the nonuniform 
changes in ventilation 
• Pulmonary vascular remodeling – constriction and pressure lead to decreased 
size of lumen 
• True Shunting: regions where V/Q ratio = 0 
• Results from alveolar flooding 
• Act as regions where blood is shunted from the pulmonary arterial to venous 
circulation without being oxygenated 
• Secondary alterations to surfactant: 
• Surfactant production can be reduced due to type II cell damage in alveoli 
• Extensive fluid within the alveoli results in inactivation of surfactant
The decreased compliance and low FRC 
in ARDS are not associated with 
homogeneously affected alveoli but rather 
with heterogeneous disease involvement.
Low Tidal Volume Ventilation 
• It is thought that ventilating ARDS patients at a low tidal volume 
prevents distension of alveoli leading to release of deleterious 
inflammatory markers.
SMOKING CESSATION
5 A’s for Treating Tobacco Use 
• Ask if a patient uses tobacco 
• Providers should identify and document tobacco use status for 
every patient at every visit 
• Advise to quit 
• Assess willingness to make a quit attempt 
• Assist in quit attempt 
• If a patient is willing to make the attempt, offer medications and 
provide/refer for counseling or additional treatment to help the 
patient quit 
• Arrange follow up 
• Quit date should be within the next two weeks 
• Followup contacts should be within the first week after the quit date
Stages of Change 
• The Stages of Change model suggests that people move through a 
series of steps before making a change in their lives 
• Pre-contemplation - not thinking about making a change 
• Contemplation- unsure about the change 
• Preparation- ready for change 
• Action- engaged in change 
• Maintenance- sticking with the change/keeping it going 
• Eventually there is a 6th phase known as extinction, where the ‘agony 
of temptation’ disappears. There is also a relapse stage, which is 
defined as regression to an earlier stage. Most successful changes 
have likely cycled through all or some of these stages several times 
before reaching maintenance or extinction.
Clinicians can understand a person’s stated 
readiness to change in greater depth by exploring 
their expectations of the costs and benefits of 
change and their confidence in remaining 
abstinent. 
The assumption is that for a person to move into 
the preparation stage (‘I’m ready to try’) they must 
believe that change is worthwhile (‘motivation’) and 
they can succeed (‘confidence’).
Motivational Interviewing 
• Motivational interviewing: A directive, client-centred counseling style 
for helping client explore and resolve ambivalence about behaviour 
change 
• Building patient rapport 
• Assessing patient’s place on the Stage of Change scale 
• The examination of pros and cons 
• Information giving 
• Addressing low confidence and help with decision making 
• Express empathy 
• Develop discrepancy 
• Roll with resistance 
• Support self-efficacy
LOWER RESPIRATORY 
INFECTIONS
Mechanisms of Immune Protection 
• Innate 
• 1. Removal of microbial organisms by entrapment in mucous blanket and 
movement on mucociliary elevator 
• 2. Phagocytosis by alveolar macrophages (which are then transported out by 
mucociliary elevator) 
• 3. Phagocytosis and killing by neutrophils recruited by macrophage factors 
• 4. Activation of alternative complement pathway and opsonin C3b enhances 
phagocytosis 
• 5. Organisms, including those ingested by phagocytes, may reach draining 
lymph nodes to initiate immune responses 
• Adaptive 
• 1. Secreted IgA blocks attachment of microorganism to epithelium in the upper 
respiratory tract 
• 2. Serum antibodies (IgM, IgG) in the lower respiratory tract activate 
complement via the classic pathway 
• 3. Accumulation of T cells controls infections by viruses and other intracellular 
microorganisms
2 Modes of Entry 
Inhalation 
Aspiration 
Rarely Hemtogenous
Factors Predisposing to Infection 
• Factors that affect resistance to infection in general 
• Chronic disease 
• Immunologic deficiency 
• Immunosupressants 
• Leukopenia 
• Compromise of local defense mechanisms 
• Loss or suppression of cough reflex 
• Injury to the mucociliary apparatus 
• smoking, inhalation of hot/corrosive gases, viral disease, or genetic defects 
(e.g. immotile cilia syndrome) 
• Accumulation of secretions 
• CF, bronchial obstruction 
• Interference with phagocytosis 
• Alcohol, tobacco smoke, anoxia, oxygen intoxication 
• Pulmonary congestion and edema
Pneumonia Clinical Presentation 
• Symptoms 
• Fever (with or without chills) 
• Cough (with or without sputum production) 
• Nonproductive cough suggests viral or mycoplasmal pneumonia 
• Blood tinged or rusty suggests bacteria pneumonia 
• Dyspnea 
• Pleuritic chest pain due to inflammation adjacent to the pleura 
• Signs/Physical exam findings 
• Fever 
• Tachycardia, tachypnea 
• Crackles over affected area on auscultation 
• Bronchial breath sounds, increased tactile fremitus, egophony 
• Dullness to percussion with frank consolidation or effusion 
• Elevated WBC count
Typical vs. Atypical Pneumonia 
• Typical pneumonias: lobar and bronchopneumonia 
• More lobar consolidation, alveolar exudate, sputum production than 
atypical pneumonias 
• Pathogens 
• S. pneumonia : lobar 
• Staph aureus : bronchopneumonia 
• Haemophilus : bronchopneumonia 
• Klebsiella : lobar 
• Legionella : : bronchopenumonia 
• Atypical pneumonias: interstitial pneumonias 
• Pathogens 
• Mycoplasma ; interstitial 
• Chlamydophila : interstitial 
• Coxiella : interstitial 
• Viruses : interstitial
▪ The term atypical organisms is used for 
Mycoplasma pneumoniae, Chlamydophila 
pneumoniae, Coxiella burnetii, and 
viruses since they are not detectable on 
Gram stain nor do they grow on the 
standard bacteriologic culture media. 
Intracellular organisms (also include 
Legionella)
Sputum Sampling 
• Taken early morning after patient wakes up 
• Prior to antibiotic treatment 
• Mouth rinsed before expectoration 
• No food 1-2 hours before 
• Quick transport to lab for culturing 
• Fewer than 10 squamous epithelial cells 
• >10 indicates it is spit as oppose to a sample from lower tract 
• Sputum use is controversial b/c of varying quality of sputum samples 
• Poor quality specimen may provide inadequate or inaccurate 
information 
• Can be difficult to assess b/c of contamination with upper respiratory 
species
LRIs 
• Pneumonia: any infection of the lung parenchyma/alveoli; fever, 
cough, dyspnea, leukocytosis, pleuritic chest pain 
• Causative viruses: Influenza, adenovirus, RSV, SARS-coronavirus, 
measles, hantavirus 
• Causative bacteria: S. pneumoniae , S. aureus, M pneumoniae, M. 
catarrhalis, Legionella, Klebsiella, Pseudomonas, Coxiella Burnetti 
• Bronchitis: infection of the trachea and large bronchi; hallmark 
is cough, sputum production 
• Causative viruses: any respiratory virus 
• Bronchiolitis: infection of the small airways; cough, dyspnea; 
often seen in infants 
• Causative viruses: RSV, metapneumovirus
Bronchitis vs. Pneumonia 
• It is important to distinguish acute bronchitis from pneumonia, which usually 
indicates need for antibiotic therapy. 
• Fever is an unusual sign in patients with acute bronchitis and suggests the 
presence of either influenza or pneumonia. 
• Patients with the combination of cough, fever, sputum production, and 
constitutional symptoms are more likely to have influenza or pneumonia. 
• Patients with acute bronchitis have few systemic symptoms. 
• They may have chest wall tenderness related to muscle strain from coughing. 
Wheezing may also occur. Cough in patients with acute bronchitis usually 
lasts from 10 to 20 day
S. Pneumonia 
• Normal inhabitant of the oropharynx 
• Gram-positive coccus seen in pairs or diplococci. 
• MOST COMMON cause of community acquired pneumonia 
• Frequently occurs following a viral upper respiratory tract infection. 
• The organism has a polysaccharide capsule that interferes with 
phagocytosis and therefore is an important factor in its virulence 
• Typically causes lobar pneumonia 
• Test sputum 
• Vaccine available
S. Pneumonia Vignette 
• An elderly woman presents with a cough producing rusty-colored 
sputum. She complains of sharp right-sided chest pains, chills, and 
fevers. Physical exam reveals increased fremitus, dullness to 
percussion, and bronchial breath sounds on the lower right side. CXR 
shows right lower lobe consolidation, and Gram stain of sputum 
shows Gram diplococci. Physicians begin treatment with 
cephalosporins.
H. Influenza 
• Gram negative coccobacillia, encapsulated and nonencapsulated 
• 6 capsule serotypes, B is most virulent; B is in vaccine. 
• H. influenzae pneumonia is a pediatric emergency and has a high 
mortality rate. 
• Descending laryngotracheobronchitis results in airway obstruction as 
the smaller bronchi are plugged by dense, fibrin-rich exudates 
containing neutrophils, similar to that seen in pneumococcal 
pneumonias. 
• Pulmonary consolidation is usually lobular and patchy but may be 
confluent and involve the entire lung lobe 
• H. influenzae is the most common bacterial cause of acute 
exacerbation of COPD.
S. Aureus 
• Staphylococcus aureus is an important cause of secondary bacterial 
pneumonia in children and healthy adults following viral respiratory 
illnesses 
• Causes bronchopneumonia 
• Staphylococcal pneumonia is associated with a high incidence of 
complications, such as lung abscess and empyema. 
• Intravenous drug users are at high risk for development of 
staphylococcal pneumonia in association with endocarditis. 
• It is also an important cause of hospital-acquired pneumonia.
Legionella 
• Gram negative coccobacilli 
• Flourishes in artificial aquatic environments 
• Mode of transmission is either inhalation of aerosolized organisms or 
aspiration of contaminated drinking water. 
• Legionella pneumonia is common in individuals with predisposing 
conditions such as cardiac, renal, immunologic, or hematologic disease. 
• Organ transplant recipients are particularly susceptible. 
• Rapid diagnosis is facilitated by demonstration of Legionella antigens in 
the urine or by a positive fluorescent antibody test on sputum samples; 
culture remains the diagnostic gold standard. 
• Often seen in elderly smokers
Legionella Vignette 
• A 67-year-old man with a history of heavy smoking comes to the 
doctor complaining of “the flu.” He has a fever, loss of appetite, 
headache, chest pain, and a mild cough producing little sputum. The 
doctor believes that the watery diarrhea that the man also suffers from 
is related. Sputum sample reveals many neutrophils but no bacteria. 
CXR reveals nodular infiltrates. Serum tests are negative for cold 
agglutinins
Aspiration Pneumonia 
• Aspiration pneumonia occurs in markedly debilitated patients or those 
who aspirate gastric contents either while unconscious (e.g., after a 
stroke) or during repeated vomiting. 
• Abnormal gag and swallowing reflexes that predispose to aspiration. 
• The resultant pneumonia is partly chemical due to the irritating effects of 
gastric acid, and partly bacterial (from the oral flora) 
• Typically, more than one organism is recovered on culture, aerobes being 
more common than anaerobes. 
• This type of pneumonia is often necrotizing, pursues a fulminant clinical 
course, and is a frequent cause of death. 
• In those who survive, lung abscess is a common complication. 
• ANAEROBIC, right lower lobe!!!
Nosocomial Pneumonia 
• Bacteria 
• Staphylococcus aureus, methicillin-sensitive and resistant 
• Pseudomonas aeruginosa 
• Streptococcus pneumoniae 
• Gram-negative rods 
• Enterobacteriaceae ( Klebsiella spp., Serratia marcescens, Escherichia coli) 
• Pseudomonas spp. 
• Risk Factors 
• Hospitalization of at least 2 days within the recent past 
• Presentation from a nursing home or long-term care facility 
• Attending a hospital or hemodialysis clinic 
• Recent intravenous antibiotic therapy 
• Chemotherapy or wound care.
Mycoplasma 
• Mycoplasma pneumoniae most commonly affects young people, 
especially those in close quarters (prisons, military bases). 
• CXR often looks worse than symptoms suggest. 
• Mycoplasmas are the smallest free-living organisms and are the only 
bacteria to (1) have no cell wall and (2) have cholesterol in their 
membranes 
• Diagnosis: cold hemagglutination, no cell wall, fried-egg appearance 
on culture, serology 
• Complications: autoimmune hemolytic anemia or erythema nodosum 
• Beta lactam resistant
Mycoplasma Vignette 
• A young woman at an army base thinks she has a cold and goes to 
her doctor. She complains of malaise, chills, sore throat, and dry 
cough. CXR shows interstitial infiltrate more severe than suggested 
by her symptoms. Laboratory tests indicate that the woman’s serum 
was capable of agglutinating erythrocytes when incubated at 4°C. The 
doctor prescribes erythromycin.
Chlamydia 
• A 22-year-old student presents with a nonproductive cough, fever, 
and sore throat. CXR demonstrates diffuse interstitial infiltrate. 
Sputum Gram stain shows many PMNs but no organisms, and a 
Giemsa stain reveals intracytoplasmic inclusions in epithelial cells. 
Doxycycline treatment is begun. 
• Atypical Pneumonia 
• Affects young people 
• Phagocytosed by macrophages  Intracellular replication 
• Giemsa stain to visualize intracytoplasmic inclusions
Bacterial pneumonias are characterized 
by predominantly intra-alveolar 
neutrophilic inflammation 
Viral pneumonia shows interstitial 
lymphocytic inflammation. Characteristic 
viral inclusions may be seen.
Viral Pneumonia 
• RSV 
• Most common cause of Atypical Pneumonia in infants 
• Influenza 
• Atypical pneumonia in elderly, immunocompromised and patients 
with preexisting lung disease 
• Increases risk of secondary bacterial pneumonia 
• CMV 
• Atypical pneumonia post-transplant
Coccidiodes 
• An old man and his great grandson visit Death Valley National Park in 
the deserts of Southern California. Upon returning from their visit, the 
man develops breathing difficulties along with arthralgias, periarticular 
swellings, and erythema nodosum. X-rays reveal a pneumonic 
infiltrate as well as granulomas. A diagnosis is confirmed by observing 
spherules containing individual endospores in tissue specimens. As 
expected, the child remains unaffected but several weeks later tests 
positive for a fungal antigen DTH reaction. 
• Affects Immunocompromised 
• Dx: 
• Serology 
• Culture at different temperatures: 
• Branched hyphae at 25°C 
• Single cells at 37°C
Histoplasmosis 
• An elderly cave explorer in Ohio complains to his physician of 
weakness in the last few months. A physical exam reveals sores in his 
mouth, and X-ray shows small calcifications throughout the body. A 
lung biopsy reveals small budding cells within macrophages. Based 
on his age, location, and biopsy results, the physician begins the 
patient on oral amphotericin B. 
• Normal individuals can develop a mild pneumonia after prolonged 
exposure to bird droppings (e.g., chicken farmers). 
• Disseminated histoplasmosis is often a sign of AIDS 
• Dx: 
• Culture at different temperatures: 
• Branched hyphae at 25°C 
• Singgle cells at 37°C 
• Tissue biopsy: yeast cells within macrophages 
• Serology
Pneumocystis Jirocevi 
• A homeless man arrives at the EW complaining of difficulty in 
breathing. His medical history is not obtainable, but the man does 
report increasing fatigue and weight loss over the past few months. 
Physical exam reveals lymphadenopathy, tachypnea, and bilateral 
rales in the lung bases. Chest X-ray shows diffuse infiltrates 
bilaterally. The doctor decides to perform a bronchial lavage and, with 
silver stain, reveals numerous cysts containing several dark oval 
bodies. The doctor begins the patient on TMP-SMX and orders an 
HIV and blood test. 
• Opportunistic infection in immunocompromise!!
DIAGNOSIS 
• Microbiological 
• Direct microscopy 
• Culture 
• Histopathological 
• Microscopy 
• Immunohistochemistry (research only) 
• Immunologic and biochemical 
• Serum antibody 
• Antigen
DIRECT MICROSCOPY 
Fungus Microscopic Appearance 
Cryptococcus 
neoformans 
Spherical, budding yeasts, 2–15 
μm dia; ± capsule; no hyphae or 
pseudohyphae 
Blastomyces 
dermatitidis 
8–15 μm dia, thick-walled, 
budding yeast cells; broad-based 
junction; may appear 
multinucleate 
Histoplasma 
capsulatum 
2–4 μm dia, intracellular, 
budding yeasts 
Coccidioides 
immitis 
Spherical, thick-walled 
spherules, 20–30 μm dia; 
mature spherules contain small, 
2–5 μm diameter endospores
DIRECT MICROSCOPY 
Fungus Microscopic Appearance 
Pneumocystis 
jiroveci 
Cysts are round, collapsed, or 
crescent shaped; trophozoites seen 
on staining with giemsa or 
immunofluorescent stains 
Aspergillus spp. Hyaline, septate, dichotomously 
branching hyphae of uniform width 
(3–6 μm dia) 
Candida spp. 4-6 μm dia, thin-walled, ovoid 
yeasts; budding and pseudohyphae 
may be seen, but are not invariably 
present 
Zygomycetes (aka 
Mucormycotina) 
Broad, thin-walled, pausi-/aseptate 
hyphae, 6–25 μm dia with 
nonparallel sides and random
CULTURE 
• Limitations 
• Colonization of respiratory tract without invasion is 
common with Candida, Aspergillus, other molds 
• Lack of growth of molds in culture not uncommon even 
when seen on histopathology 
• Full identification may require several weeks 
• Blood Cx need to be ordered as separate fungal 
Cx
HISTOPATHOLOGICAL 
• Evidence of tissue invasion is gold standard for Candida, 
Aspergillus, Zygomycetes, other molds 
• Biopsy findings: 
• Caseating or necrotizing granulomas with intracellular organisms 
inside macrophages (eg, H. capsulatum, C. immitis) 
• Fungal hyphae in infection with Aspergillus and Mucor species 
• Intracellular yeast organisms in Candida species infections
Complications of Pneumonia 
• Lung abscess 
• area of suppurative necrosis w/in lung parenchyma 
• abscess has a wall and a cavity filled with pus and organisms 
• complication of necrotizing bacterial pneumonias 
• Anaerobes, S. aureus, S. pyogenes, K. pneumoniae, 
Pseudomonas 
• Common in lower lobe from aspiration 
• Empyema 
• Pus in the pleural cavity 
• Purulent material, high white cell count 
• Normally-existing cavity 
• May be caused by abscess rupture 
• May be caused by bacteria invading the pleural space
Treatment of Pneumonia 
• Ceftriaxone and Azithromycin
Pertussis 
• Pertussis, also known as "whooping cough," is a highly contagious, acute 
respiratory illness caused by Bordetella pertussis. 
• Clinical Presentation: 3 phases 
• Catarrhal 
• Paroxysmal 
• Convalescent 
• Diagnosis 
• Culture and PCR 
• Treatment 
• Antibiotic therapy late in disease will not affect symptoms but may prevent spread of 
the illness 
• Antibiotics are recommended for patients with sx <2 weeks 
• Azithromycin or Clarithromycin 
• TDAP vaccine and boosters 
• Postexposure prophylaxis
Pertussis Clinical Presentation 
• Catarrhal - 1-2 weeks 
• Begins after incubation period of 3-12 days 
• Nondistinctive symptoms of congestion, rhinorrhea, low-grade fever, sneezing, 
lacrimation and conjunctival suffusion 
• Paroxysmal - 2-6 weeks 
• Marked by the onset of cough - dry intermittent, irritative hack, paroxysmal 
cough 
• Convalescent - 2 or more weeks 
• Number, severity, and duration of coughing episodes diminish 
• Infants < 3 months of age do not display the classic stages
Paroxysmal Cough 
• Cough begins as dry, intermittent, irritative hack 
• Evolves into paroxysms: 
• Machine gun burst of uninterrupted cough on a single 
exhalation 
• Chin and chest forward 
• Tongue protruding maximally 
• Eyes bulging and watering 
• Face purple 
• This goes on until coughing ceases and a loud whoop follows 
as inspired air traverses the still partially closed airway 
• Post-tussive emesis common
Croup 
• Croup is a respiratory illness characterized by inspiratory stridor, 
cough, and hoarseness. These symptoms result from inflammation in 
the larynx and subglottic airway. A barking cough is the hallmark of 
croup among infants and young children, whereas hoarseness 
predominates in older children and adults. 
• Parainfluenza virus is the most common cause 
• Dx: The diagnosis of croup is clinical, based on the presence of a 
barking cough and stridor. 
• Neither radiographs nor laboratory tests are necessary to make the diagnosis.
Tuberculosis 
• Clinical Presentation 
• Caseous necrosis 
• Malaise 
• Anorexia 
• Weight loss 
• Low grade fever 
• Night sweats 
• Sputum 
• Hemoptysis 
• Pleuritic pain 
• Many extrapulmonary complications 
• Rx: 
• Active: Daily rifampin, isoniazid, pyrazinamide, and ethambutol for 2 
months, then isoniazid and rifampin for 4 months 
• Latent TB: 9 months daily isoniazid
TB Diagnosis 
• HPI, travel history, HIV history, exposure history, etc. 
• Radiology 
• Calcified primary complexes 
• Large air space/cavitary lesion(s) 
• Sputum smears for AFB 
• Bacterial culture 
• 17-21 days but can take up to 6 weeks
TB Transmission 
• Human transmission through respiratory droplets 
• Droplet nuclei are very small 
• 1-5 μm 
• Remain airborne and infectious for 30 min 
• Inhaled to alveoli 
• Phagocytosed by alveolar macrophages 
• Replication inside macrophage triggers local immune response
PULMONARY 
EMBOLISM
Risk Factors: Venous Thromboembolism 
• Immobilization (e.g., bed rest, prolonged sitting during travel, 
immobilization of an extremity after fracture) 
• Postoperative state 
• Congestive heart failure 
• Obesity 
• Underlying carcinoma 
• Pregnancy and the postpartum state 
• Oral contraceptives 
• Chronic deep venous insufficiency. 
• Patients at particularly high risk are those who had trauma or surgery 
related to the pelvis or lower extremities, especially hip fracture or hip or 
knee replacement. 
• A number of genetic predispositions to hypercoagulability are recognized 
• Deficiency or abnormal function of, antithrombin III, protein C, protein S 
• Abnormal variants of some of factor V and prothrombin
Virchow’s Triad 
• Hypercoagulability - an increased chance of producing a thrombus. 
Many genetic defects can cause hypercoagulability. The most 
commonly found is factor V Leiden, which causes the factor V protein 
to become resistant to protein C. 
• Hemodynamic changes - this mainly refers to stasis, which allows 
thrombi to form predominantly in the lower extremity venous system. 
• Endothelial injury/dysfunction - mainly caused by shear stress or 
hypertension. Can release factors and expose proteins that incite 
thrombus formation.
Hypoxemia in PE 
• Occlusion by an embolus  perfusion of pulmonary capillaries normally supplied 
by that vessel ceases 
• DEAD SPACE and V/Q MISMATCH 
• Hyperventilation and hypocapnia 
• Increase in pulmonary vascular resistance. 
• Right ventricle cannot cope with the acute increase in afterload 
• BP falls  syncope or cardiogenic shock. 
• Thrombi result in release of chemical mediators 
• Platelets tare an important source of histamine, serotonin, and prostaglandins. 
• Increased release of endothelin-1 (potent vasoconstrictor) 
• Decreased production of NO (vasodilator) 
• Bronchoconstriction 
• Synthesis of surfactant in the affected alveoli is compromised 
• Alveoli may be more likely to collapse, and liquid may more likely leak into alveolar spaces. 
• Shunt physiology may also contribute to hypoxemia because of either perfusion of 
atelectatic lung or elevated right heart pressures producing intracardiac shunting 
across a patent foramen ovale.
Diagnosis 
• Diagnosis of acute pulmonary embolism can be challenging, and the 
approach depends on the clinician's level of suspicion, or pretest 
probability, of pulmonary embolism. 
• For patients in whom the diagnosis is considered less likely, the clinician 
may start with a d-dimer assay. Most patients who present with acute 
dyspnea or chest pain will have a chest radiograph and oxygen 
saturation checked by finger oximetry. 
• Traditionally, the major screening test for pulmonary embolism has been 
the perfusion lung scan but contrast computed tomographic angiography 
(CTA) is increasingly used either instead of or in addition to perfusion 
lung scanning. 
• Evaluation of the large veins in the lower extremities, typically using 
ultrasound techniques, is another commonly used diagnostic strategy. 
Identification of a clot in a vein above the popliteal fossa warrants the 
same treatment as a documented pulmonary embolus and often obviates 
the need for further evaluation.
Clinical Presentation 
• Commonly the embolus produces no significant symptoms, and 
the entire episode goes unnoticed by the patient and physician. 
• Dyspnea is the most frequent complaint. 
• Less common is pleuritic chest pain or hemoptysis. 
• Syncope is an occasional presentation 
• On physical examination: 
• Tachycardia and tachypnea. 
• May show decreased air entry, localized crackles, or wheezing. 
• With pulmonary infarction extending to the pleura, pleural friction rub 
• Second heart sound (P2), right S4, and a RV heave may be present. 
• If RV fails, right S3 may be heard, and JVD seen 
• Tenderness, swelling, or a cord on lower extremities
CXR 
• Frequently the chest radiograph is normal. 
• When it is not, the abnormalities often are nonspecific, including 
areas of atelectasis or elevation of a hemidiaphragm, indicating 
volume loss 
• Westermark sign: localized area of decreased lung vascular markings 
corresponding to the region where the vessel has been occluded 
• Hampton hump: Both congestive atelectasis and infarction may 
appear as an opacified region on the radiograph. Classically the 
density is shaped like a truncated cone, fanning out toward and 
reaching the pleural surface.
Atelectasis
Westermark Sign
Hamptom Hump
ECG 
• S1Q3T3 sign is seen in 15-25% of patients diagnosed with PE. It is a 
sign of acute cor pulmonale (acute pressure and volume overload of 
the right ventricle because of pulmonary hypertension) and reflects 
right ventricular strain. This sign consists of a prominent S wave in 
lead I and inverted Q and T waves in lead III. 
• Other ECG findings are sinus tachycardia, T wave inversion in leads 
V1-V3, right bundle branch block, and low amplitude deflections. 
• “The ECG is often abnormal in PE, but findings are neither sensitive 
nor specific for the diagnosis of PE.”
D-Dimer 
• D-dimer is a degradation product of cross-linked fibrin, and therefore 
levels are increased in the setting of thrombosis of any type. 
• Plasma levels of d-dimer increase in the setting of venous thrombosis 
but are also increased in many other conditions, including trauma, 
surgery, cancer, and inflammation. 
• D-dimer testing for venous thrombosis or pulmonary embolism is very 
sensitive, but nonspecific. 
• Thus, a normal d-dimer level is helpful, especially in the patient with a 
low pretest probability of having a pulmonary embolus, but an 
elevated level is considered nonspecific and therefore nondiagnostic.
V/Q Scan 
• Perfusion (Q) lung scan 
• Inject radiolabeled albumin particles into a peripheral vein 
• If results of the scan are normal, pulmonary embolism is, for all practical 
purposes, excluded. 
• OBSTRUCTED = Absence of perfusion to the region of lung supplied by the 
occluded vessel 
• Abnormalities do not automatically indicate embolic disease 
• Ventilation (V) scan 
• Inhalation of a xenon radioisotope 
• Added because if regions of decreased blood flow are secondary to airway 
disease, corresponding abnormalities should be seen on the ventilation scan. 
• Perfusion defect due to PE = ventilation still will be present in the area, and the 
perfusion defect will be mismatched 
• Perfusion defect due to parenchymal disease (e.g., pneumonia) = 
corresponding abnormality should be seen on the chest radiograph. 
• NOT DEFINITIVE
CTA 
• Pros: 
• Significant advantage of high-quality visualization of the lung 
parenchyma 
• CTA is more likely to be diagnostic than perfusion scanning, and it 
is less invasive than traditional pulmonary angiography 
• Can be performed quickly and is more readily available than 
ventilation-perfusion scanning. 
• Cons: 
• Radiation dose associated with CTA, especially to the breast and 
chest, is significantly higher than with ventilation-perfusion 
scanning 
• Must weigh the risk and benefits for the individual patient as well as 
the practical issues of test availability and interpretation for each 
patient in whom the diagnosis of PE is being considered.
Treatment 
• Anticoagulation: Gold standard, immediate onset of action 
• Initially, IV unfractionated heparin or subcutaneous LMWH, and then an oral 
warfarin (for at least 3-6 months) 
• Thrombolysis: for severe, sustained hemodynamic compromise 
• tPA, streptokinase, urokinase, tenecteplase (TNK) 
• Inferior vena caval filter: Anticoagulation not an option 
• Trap thrombi from the LE en route to the pulmonary circulation 
• Used if there are contraindications to anticoagulant therapy, thromboemboli 
have recurred, or if the patient has such limited pulmonary vascular reserve 
that additional clot to the lungs would be fatal.
Prognostic Significance of RH Strain 
• RV enlargement in this setting is associated with an increased 
likelihood of death within 30 days
Thrombolysis is used for severe, 
sustained hemodynamic compromise 
Patients in shock and hypotensive have 
more adverse outcomes.
IV Heparin is the first line therapy used for 
low risk category patients
Prevention of DVT 
• 1. External compression of the lower extremities with an intermittently 
inflating pneumatic device (IPC) 
• 2. Heparin administered subcutaneously in low dosage.

Pulmonology Review

  • 1.
  • 2.
  • 3.
    Mechanics of Breathing • Pressure difference is the driving force for air flow, Q = ΔP / R • Between breaths, alveolar pressure = atmospheric pressure • Inspiration: Diaphragm contracts → lung volume increases → alveolar pressure decreases → air flows into the lungs until alveolar pressure = atmospheric pressure again • Tidal volume (VT) = volume inspired in one normal breath (500mL) • Volume in lungs after inspiration = FRC + VT • Functional residual capacity: the volume in the lungs at the end-expiratory position • Expiration: diaphragm relaxes → lung volume decreases → alveolar pressure increases → air flows out of the lungs • Forced expiration: contraction of expiratory muscles further increases alveolar pressure to force air out. Intrapleural pressure increases too, but as long as the transmural pressure is still positive, the lungs will not collapse. Expiration will be rapid and forceful. • COPD: Lung elasticity is decreased, so during forced expiration, intrapleural pressures increase to normal values but alveolar pressures are lower because of their increased compliance. The gradient becomes negative & airways collapse.
  • 4.
    Lung Volumes andCapacities
  • 5.
  • 7.
    Forced Expiration andCOPD In a person with COPD forced expiration may cause the airways to collapse. In COPD, lung compliance increases because of loss of elastic fibers. During forced expiration, intrapleural pressure is raised to the same value as in the normal person. However, because the structures have diminished elastic recoil, alveolar pressure and airway pressure are lower than in a normal person. The large airways collapse because the transmural pressure gradient across them reverses, becoming a negative (collapsing) transmural pressure. Obviously, if the large airways collapse, resistance to airflow increases and expiration is more difficult.
  • 8.
    Transmural Pressures •Transmural pressure: • Pressure difference across a structure • Transpulmonary pressure: • Difference between intra-alveolar pressure & intrapleural pressure • Calculated as alveolar pressure minus intrapleural pressure • Transthoracic pressure: • Difference between intrapleural pressure & pressure outside the chest wall (outside the body)
  • 9.
  • 10.
    Hysteresis • Hysteresis:the phenomenon that the compliance curves for inspiration and expiration are different. • For a given pressure, lung volume is higher during expiration than during inspiration, therefore compliance is greater during expiration. • Inspiration – • Low volume; liquid molecules are closely packed; intermolecular forces are high • Surfactant is released to break the forces (Surfactant = a phospholipid produced by type II alveolar cells that acts as a detergent to reduce surface tension & increase lung compliance) • Lung volume increases faster than surfactant can be added → curve starts off flat & gradually steepens as more surfactant is added. • Expiration – • Starts at high volume; intermolecular forces are low • Surface area decreases faster than surfactant can be removed → increasing density of surfactant per surface area decreases surface tension & increases compliance → curve starts off flat • As expiration proceeds – surfactant is removed at a similar rate as volume decreases, so the compliance curve has a fairly constant slope
  • 11.
    Compliance and Elastance • Compliance: Describes distensibility of system. ΔV/ΔP • “How easily an object stretches” • Elastance: inversely correlated with compliance. ΔP/ΔV "Snap back" or elastic recoil force. • “Ability of an object to return to its original position or shape” • Emphysema  increased compliance, decreased elastance • Fibrosis  decreased compliance, increased elastance
  • 12.
    Compliance of Lungand Chest Wall
  • 13.
    Pneumothorax • Normally,the intrapleural space has a negative pressure • This negative intrapleural pressure is created by two opposing elastic forces pulling on the intrapleural space • When a sharp object punctures the intrapleural space, air is introduced (pneumothorax), and intrapleural pressure suddenly becomes equal to atm pressure; thus, instead of its normal negative value, intrapleural pressure becomes ZERO • Two main consequences of pneumothorax • Without negative intrapleural pressure to hold lung open, lung collapses • Without negative intrapleural pressures to keep the chest wall from expanding, the chest wall springs out
  • 14.
  • 15.
    Emphysema and Compliance • Emphysema is associated with loss of elastic fibers in the lungs  increased compliance  increased (steeper) slope of the volume-versus- pressure curve  at a given volume, the collapsing (elastic recoil) force is decreased. • At the original value for FRC, chest wall expansion outweighs lung’s collapsing force. In order for the opposing forces to be balanced, volume must be added to the lungs to increase their collapsing force. • Thus, the combined lung and chest-wall system seeks a new higher FRC, where the two opposing forces can be balanced; the new intersection point, where airway pressure is zero, is increased. • A patient with emphysema is said to breathe at higher lung volumes (in recognition of the higher FRC) and will have a barrel-shaped chest.
  • 16.
    Fibrosis and Compliance • Fibrosis (decreased lung compliance). Fibrosis, a so-called restrictive disease, is associated with stiffening of lung tissues and decreased compliance. • A decrease in lung compliance is associated with a decreased slope of the volume-versus-pressure curve for the lung. • At the original FRC, the tendency of the lungs to collapse is greater than the tendency of the chest wall to expand, and the opposing forces will no longer be balanced. To reestablish balance, the lung and chest-wall system will seek a new lower FRC; the new intersection point, where airway pressure is zero, is decreased.
  • 17.
    FRC • FunctionalResidual Capacity (FRC) is the volume of air present in the lungs at the end of passive expiration. • At FRC, the elastic recoil forces of the lungs and chest wall are equal but opposite. There is no exertion at this point by any of the respiratory muscles. • FRC is the sum of Expiratory Reserve Volume (ERV) and Residual Volume (RV) and since it includes the residual volume, it cannot be measured by spirometry. • RV can be measured by helium dilution or body pleythysmography.
  • 18.
    Air Flow andResistance The medium-sized bronchi are the sites of highest airway resistance. It would seem that the smallest airways would provide the highest resistance to airflow, based on the inverse fourth power relationship between resistance and radius. However, because of their parallel arrangement, the smallest airways do not have the highest resistance.
  • 19.
    Pulmonary vascular resistanceis about 1/10 of systemic vascular resistance It has a minimum value at intermediate lung volumes
  • 20.
  • 21.
    Respiratory Volumes TLCTotal Lung capacity 6.0L FRC Functional Residual Capacity 2.4L VC Vital Capacity 4.7L VT Tidal Volume 0.5L FVC Forced Vital Capacity 4.7L VA Alveolar Ventilation N/A FEV1 Volume of FVC in 1 second N/A
  • 22.
  • 23.
    • Anatomic deadspace (~ 150 mL) = the volume of the conducting airways (nose/mouth, trachea, bronchi, bronchioles) • Alveolar ventilation = total rate of air movement into and out of the alveoli, expressed in mL/min. (500 mL/breath - 150 mL/breath) x 15 breaths/min = 5250 mL/min
  • 24.
    Alveolar Ventilation •VT = tidal volume • RR = respiratory rate • VD = dead space • Total ventilation (aka minute ventilation) = VT x RR • Normal: 500 mL/breath x 15 breaths/min = 7500 mL/min • Alveolar ventilation (VA) = (VT - VD) x RR
  • 25.
    Alveolar Ventilation Equation • Fundamental Equation of Physiology: Interdependence of CO2 and Ventilation • Increasing VA decreases PACO2 and PaCO2 and increases pH : ALKALOSIS • Decreasing VA increases PACO2 and PaCO2 and decreases pH : ACIDOSIS
  • 26.
    Alveolar Gas Equation • Predicts PAO2 based on alveolar PACO2 • PIO2 = (760-47) mmHg * 0.21 = 150mmHg • PAO2 = 150 – (40mmHg/0.8) = 100mmHg
  • 28.
    A-a Gradient •PAO2 – PaO2 • In a normal person, the A-a difference is close to zero (but not zero), because while O2 will equilibrate in the alveoli, there is a small amount of blood (~2%) that bypasses the alveoli (aka the "physiological shunt"), and PaO2 (obtained via a blood sample) is a mixture of all blood, including shunted blood. • To calculate the estimated normal A-a gradient : [Person’s Age/4] + 4 • Three scenarios that result in an increased gradient: • Diffusion defects (e.g. fibrosis, pulmonary edema) • V/Q defects • Right-to-left shunts (cardiac, intrapulmonary) • NOT Hypoventilation and High altitude
  • 29.
    Dead Space •Anatomic dead space: Volume of conducting airways • (nose/mouth, trachea, bronchi, bronchioles) • Physiologic dead space: Total volume of the lungs that does not participate in gas exchange = “anatomic dead space” plus any functional dead space in the structures that contain alveoli • Dead space ventilation is usually approximately 2ml/kg (ideal body weight)
  • 30.
    If you increaseyour RR and your VT by 20% respectively, you will see a GREATER increase in alveolar ventilation with an increase in VT BIGGER DEEPER BREATHS WORK
  • 31.
  • 32.
    Diffusion Changes •In emphysema, DL decreases because destruction of alveoli results in a decreased SA for gas exchange. • In fibrosis or pulmonary edema, DL decreases because the diffusion distance (membrane thickness or interstitial volume) increases. • In anemia, DL decreases because the amount of hemoglobin in red blood cells is reduced (recall that DL includes the protein-binding component of O2 exchange). • During exercise, DL increases because additional capillaries are perfused with blood, which increases the SA for gas exchange.
  • 33.
    Diffusion Limited vs.Perfusion Limited • Gas exchange across the alveolar/pulmonary capillary barrier is either diffusion-limited or perfusion-limited • CO is a diffusion-limited gas meaning that as long as the partial pressure gradient is maintained, diffusion will continue across the length of the capillary, so it can be used to measure the diffusing capacity. • Partial pressure gradient maintained because CO is bound to hemoglobin in capillary blood so CO does not equilibrate by the end of the capillary • Nitrous oxide (N2O) is a perfusion limited gas so it can be used to measure perfusion capacity
  • 34.
    The slower equilibrationof O2 at high altitude is exaggerated in a person with fibrosis. Pulmonary capillary blood does not equilibrate by the end of the capillary, resulting in values for PaO2 as low as 30 mm Hg, which will seriously impair O2 delivery to the tissues.
  • 35.
    Hypoxemia and Hypercapnia • Hypoxemia: a decrease in arterial Po2 • Causes of hypoxemia: high altitude, hypoventilation, diffusion defect, V/Q defect, right-to-left shunt • Hypercapnia: abnormally elevated levels of CO2 in the blood • Causes of hypercapnia: hypoventilation, lung disease, respiratory acidosis
  • 36.
    CO2 moves fromalveolar gas to pulmonary capillary blood 20 times faster than O2 due to a 20 times higher CO2 diffusion coefficient
  • 38.
    Blood Flow isHighest in Zone 3 of the lung due to pressure. It is 20X higher.
  • 39.
    Ventilation Rates arehighest in Zone 3 of the lung due to gravity
  • 40.
    V/Q • V/Qratio is the ratio of alveolar ventilation to pulmonary blood flow (ventilation/perfusion ratio, measured in L/min over L/min). • The normal value is 0.8. • If V/Q ratio is normal, then PaO2 will be at its normal value (100 mm Hg), as is PaCO2 (40 mm Hg).
  • 41.
    V/Q and GasExchange
  • 42.
  • 43.
    Physiological vs. PathologicalShunt • Physiologic shunt -A small fraction of the pulmonary blood flow (about 2%) bypasses the alveoli • Result is that PaO2 will always be slightly less than PAO2 • Made up of 2 components • Bronchial blood flow, which serves metabolic functions of bronchi • Coronary blood flow that drains directly into the left ventricle via the thebesian veins • Pathologic Shunts- • Right-to-left-Blood can pass from the right to left heart if there is a defect in the wall between the ventricles • Hypoxemia ALWAYS occurs because significant fraction of output is never delivered to the lungs for oxygenation • Hypoxemia CANNOT be corrected by having the person breathe a high O2 gas • Usually only minimal increase in PaCO2 (systemic arterial blood PCO2) • Left-to-right-More common and does not cause hypoxemia • Can be from patent ductus arteriosus or traumatic injury • Elevated PO2 in the right side of the heart
  • 44.
    2% of bloodbypasses pulmonary circulation in physiological shunt of healthy people
  • 45.
  • 46.
    Dissolved O2 isfree in solution and accounts for approximately 2% of the total O2 content of blood. The remaining 98% of the total O2 content of blood is reversibly bound to hemoglobin inside the red blood cells.
  • 47.
  • 48.
    O2 Delivery •Cardiac Output x O2 Content
  • 49.
    Henry’s Law Henry’slaw deals with gases dissolved in solution (e.g., in blood). To calculate a gas concentration in the liquid phase, the partial pressure in the gas phase first is converted to the partial pressure in the liquid phase; then, the partial pressure in liquid is converted to the concentration in liquid. ONLY APPLIES TO DISSOLVED (NOT BOUND) GAS
  • 50.
  • 51.
    The percent saturationof heme sites does not increase linearly as PO2 increases. Rather, percent saturation increases steeply (change in affinity) as PO2 increases from zero to approximately 40 mm Hg, and it then levels off between 50 mm Hg and 100 mm Hg.
  • 52.
    Unloading • Thissigmoidal shape explains the mechanism of oxygen unloading in the capillaries. In regions of low PO2 such as 40 mmHg in mixed venous blood, the affinity between hemoglobin and oxygen is decreased and oxygen dissociates and enters tissues. The opposite is true in regions of high PO2 such as in the alveoli (100 mmHg). • Also related to concentrations of CO2 (Bohr and Haldane Effect)
  • 53.
    P50 • Achange in the value of P50 is used as an indicator for a change in affinity of hemoglobin for O2. • An increase in P50 reflects a decrease in affinity – RIGHT SHIFT • A decrease in P50 reflects an increase in affinity – LEFT SHIFT
  • 54.
    Shifts in O2Hemoglobin curve • Right Shifts • P50 is higher: DECREASED AFFINITY • Increased PCO2 (Bohr Effect) • Decreased pH • Increased Temperature • Increased 2,3,-DPG • Left Shifts • P50 is lower: INCREASED AFFINITY • Decreased PCO2 • Increased pH • Decreased Temperature • Decreased 2,3-DPG
  • 55.
    2,3-DPG • 2,3-DPGis a byproduct of glycolysis in red blood cells. • 2,3-DPG binds to the b chains of deoxyhemoglobin and reduces their affinity for O2. • This decrease in affinity causes the O2-hemoglobin dissociation curve to shift to the right and facilitates unloading of O2 in the tissues. • 2,3-DPG production increases under hypoxic conditions. For example, living at high altitude causes hypoxemia, which stimulates the production of 2,3-DPG in red blood cells. • In turn, increased levels of 2,3-DPG facilitate the delivery of O2 to the tissues as an adaptive mechanism.
  • 56.
    The Effect ofCO • Decreases O2 bound to hemoglobin and also causes a left shift of the O2-hemoglobin dissociation curve • Decreases O2 content of hemoglobin AND decreases unloading in the tissues • BAD.
  • 57.
  • 58.
    CO2 Transport •Dissolved CO2 (5%), straight up in the blood • Carbaminohemoglobin (3%), bound to hemoglobin, albumin or other proteins • HCO3- (>90%), chemically modified by carbonic anhydrase • Exact percentages vary, but the vast majority is in HCO- 3
  • 59.
    Chloride Shift andCO2 Transport • Carbonic Anhydrase in RBCs catalyzes the combination of COand 2 HO to form HCO223 • HCOdissociates into H+ and HCO- 23 3 • H+ remains in the RBC and HCO3 - is filtered into plasma in exchange for Cl- • H+ is buffered in RBCs by deoxyhemoglobin
  • 60.
  • 61.
  • 62.
  • 63.
    Important Values •VT = 500mL • IRV = 3000 mL • ERV = 1200mL • RV = 1200mL • VC = 4700 mL • FRC = 1200mL • TLC = 5900mL • Dead Space = 150mL
  • 64.
    4 Volumes, 4Capacities • 4 Volumes • Tidal volume • Inspiratory reserve volume • Expiratory reserve volume • Residual volume • Four Capacities: • Inspiratory Capacity  IRV + TV • Functional residual capacity  ERV + RV • Vital Capacity  TV + IRV + ERV • Total Lung Capacity  IRV +TV + ERV + RV
  • 65.
    Residual Volume cannotbe measured by Spirometry
  • 66.
  • 68.
    Diffusion, DLCO •DLCO : lung diffusing capacity • DL can be measured using carbon monoxide. • The test involves breathing in air with low concentrations of CO, and the rate of disappearance of CO from the gas mixture is proportional to the DL. • In certain pathological processes the DL changes predictably. • Emphysema, the DL goes down because destruction of alveoli decrease surface area for gas exchange. • Pulmonary fibrosis or edema, DL decreases because the diffusion distance increases. • Exercise, the DL increases because more capillaries are perfused with blood, thus increasing the surface area for exchange. • Anemia, the DL decreases because the amount of hemoglobin in RBCs decreases.
  • 69.
    3 Categories ofLung Disease • Obstructive • Restrictive • Interstitial • Primary neurologic • Primary muscular • Primary skeletal • Vascular
  • 70.
    Localizing Disease •Airway • Asthma • COPD (chronic bronchitis & emphysema) • Interstitium and Alveoli • ILD • Emphysema • Alveolar Filling (WBC, RBC, Water, Protein) • Blood Vessels • PE • PAH • Pulm Ven HTN • Neuromuscular and Chest Wall • Pleural disease • Neurologic deficiency • Muscular weakness
  • 71.
    Algorithm FEV1/FVC Low Obstructed Reversible Yes: Asthma No: COPD DLCO Low: Emphysema Normal: Bronchitis Normal FVC/ TLC Low: Restrictive DLCO Low: ILD Normal: Neuromuscular Normal DLCO Low: Vascular Normal: Normal
  • 72.
    Normal Values •FEV1/FVC: 80 to 120% of predicted for most PFTs • Exceptions - FEV1/FVC: > 70% • Use actual value not % predicted • Change with bronchodilator • > 12% in FEV1 or FVC and 200 cc’s • TLC: 80 to 120% of predicted for most PFTs • TLC : Low (Restricted), High (Hyper-inflated) • DLCO : < 80% is considered abnormal
  • 73.
  • 75.
    Types of ARF • Typical (normal) ABG values: >60 mmHg for PaO2 and <50 mmHg for PaCO2 • There are two types of acute respiratory failures: in both types there will be decreased PaO2 (<60 mmHg). Thus in order to distinguish between the two types, we evaluate the PaCO2. • 1. Acute Hypoxemic Respiratory Failure: PaCO2 ≤ 40 mmHg • Hypoxemia without hypercapnia • Inability to properly take up oxygen • There is insufficient oxygen in the blood but near normal CO2 • 2. Acute Hypercapnic Respiratory Failure: PaCO2 > 40 mmHg • Hypoxemia with hypercapnia • Inability to eliminate carbon dioxide • There is too much carbon dioxide in the blood
  • 76.
    A-a Gradient •In a patient w/ hypoxemia and PaCO2 ≤ 40 mmHg: • Increased A-a gradient → intrapulmonary issue • Normal A-a gradient → extrapulmonary issue • An increase in the A-a gradient suggests an inability to extract enough oxygen (e.g., defects in diffusion, V/Q mismatch, or right-to-left shunting). • If the patient is hypoxic and has a normal A-a gradient, it suggests the problem is not in extracting O2 from the blood pointing to other etiologies like being at a higher elevation.
  • 77.
    Hypoxemic Respiratory Failurewith Increased A-a Gradient • 1. Pulmonary embolism • 2. Atelectasis • 3. Pneumonia • 4. Interstitial lung disease • 5. Infection • 6. ARDS
  • 78.
    Hypoxemic Respiratory Failurewith Normal A-a Gradient • High Altitude • Decreased FIO2 (asphyxia, drowning) • Airway Obstruction • Foreign body • Laryngeal spasm • Obesity and external compression of larynx • Obstructive sleep apnea • Obstruction of airway apparatus – kinking / obstruction of endotracheal tube • Asthma • Tumor
  • 79.
    Hypercapnic Respiratory Failure • Depression of the neurologic system • Narcotics • Overdose • Coma • Disease of the chest wall or neuromuscular apparatus • Myesthenia Gravis • Guillian Barre Syndrome • COPD or other lung diseases
  • 80.
    Clinical Signs andSx • Breathing rate • Tidal volumes • Labored respiration/Paradoxical breathing • Asynchronous ventilatory patterns • Prolonged inspiratory phase: Stridor and upper airway obstruction • Prolonged expiratory phase: Asthma/COPD • Patient posture (cannot lay flat) • Ability to converse • Tachycardia with increased work of breathing • Patient tell you they are exhausted • Pulse ox <90% • PaO2 < 60 mmHg • PaCO2 > 50 mmHg
  • 81.
    Clinical Utility ofVenous Blood Gas • Venous blood gas is sometimes used when arterial blood cannot be obtained due to diminished pulses or patient movement. • Venous blood gas gives a picture of how critical the patient is. If the venous O2 is really low, then the body is extracting the majority of O2 from blood and the patient is very critical. Normal mixed venous O2 saturation is 65-70%. • Central venous blood is preferred over peripheral venous blood because of their better correlation to arterial blood gases. • Central venous pH is usually 0.03-0.05 pH units lower than arterial pH. PCO2 is usually 4 to 5 mmHg higher than arterial PCO2. • Peripheral venous pH is usually 0.02-0.04pH units lower than arterial pH. The venous PCO2 is about 3-5mmHg higher than arterial PCO2.
  • 82.
    Identify the patientwho may require intubation and mechanical ventilation. • Patients with severe dyspnea • Respiratory rate 35bpm • Unable to gasp more than 3 words • Very abnormal breathing pattern • Tachycardia/arrhythmias • Hyper/hypotension • Sweating • Abnormal arterial blood gases-60/50 club • Arterial PCO2 has risen to cause • Lowered pH (below 7.25-7.30) • Impaired mental status • PO2 over 60 mmHg cannot be achieved with inspired O2 concentration less than 40% - 60%
  • 83.
  • 84.
    Lung Volume andAirway Patency • 2 types of striated muscles regulate the flow of air in and out of lungs: • Pump and Airway muscles • Pump muscles: Define volume of chest cavity: motor neurons in the spinal cord • Inspiratory: diaphragm and external intercostals • Expiratory: internal intercostals and abdominal (passive process at rest) • Airway muscles: regulate the flow of air through the airway: motor neurons located in the lower brainstem • Two aspects of ventilatory control: • (1) degree of inspiratory drive or central inspiratory activity • (2) the timing mechanism (which controls the termination of inspiration). • Determining factors act in concert to set the respiratory rate and tidal volume and thus the minute ventilation and specific pattern of breathing.”
  • 85.
    3 Phases ofBreathing • Inspiration: The diaphragm is recruited in an incremental fashion during inspiration: Innervated by phrenic nerve • Passive Expiration (E1): Air is forced out of the lungs due to the recoil of the elastic fibers in the lungs. • During this phase the phrenic nerve is still active but at lower level than it was in inspiration. • The expiratory branch of the recurrent laryngeal nerve activates the laryngeal constrictors, which oppose lung recoil. • The activity of these two nerves produces a smoother expiratory flow and results in better gas exchange in the lungs. • Active expiration (E2): only occurs if chemoreceptors are stimulated by hypoxia or hypercapnia or during exercise. • Expiratory muscles activity is essential to speed up breathing frequency. Inspiratory duration is virtually invariant in a healthy individual. The breathing rate increases almost entirely via shortening of expiratory phase. L • Lumbar nerve innervates muscles of phase 2
  • 86.
    Rhythm vs. PatternGeneration • Pattern: the orderly recruitment of pump and airway muscles during the respiratory cycle: • pontomedullary network of neurons • pattern generator is regulated by • cortex (volitional control) • limbic system (emotions) • state of vigilance (sleep vs awake) • blood gases (chemoreception) • feedbacks from lung and chest sensory afferents • Rhythm: generates the respiratory rate • PreBotzinger complex: controls timing of inspiration
  • 87.
    Neural Breathing Centers • Ventral respiratory column refers to a bilateral stretch of reticular formation that contains rhythm generating and pattern-generating respiratory neurons • The preBötzinger Complex is a small segment of the VRC where the eupneic breathing rhythm is generated. • Located in the ventrolateral medulla • Pneumotaxic center in dorsal pons • The nucleus solitary tract (NTS) receives sensory afferents including afferents from the lungs and carotid bodies. • The region is also sometimes called dorsal respiratory group and, in some species, contains phrenic premotor neurons. • Inspiratory motoneurons including phrenic motor neurons receive most of their input from the brainstem
  • 88.
    Mechanoreceptors vs. Chemoreceptors • Central Chemoreceptors: detect PCO2 and acid • Hypoxia in the CNS suppresses breathing • Peripheral Chemoreceptors (the carotid and aortic) detect artery hypoxia and arterial PCO2 • Respond more quickly to a change in arterial PCO2 than central chemoreceptors • Irritant receptors: (rapidly adapting) chemosensitive C fibers • Respond to cold, airflow, pollutants, irritants and inflammation • Mechanoreceptors (slowly adapting) • Lung inflation stretches the terminal endings of mechanosensitive sensory afferents located in the trachea and bronchi. • Activation of these afferents is sustained when the stretch is maintained • Initiate Hering Breuer reflex (see LO6) • Mechanoreceptors (rapidly adapting) • Encode rate of change of tension
  • 89.
    Chemoreceptors • Peripheralchemoreceptors are located in the carotid bodies and in the aortic body, located between the pulmonary artery and aortic arch. • Detect CO2 and O2 • REACT FASTER THAN CENTRAL CHEMORECEPTORS • Central respiratory chemoreceptors reside at the ventral surface of the medulla oblongata. • Detect only CO2 • Retrotrapezoid nucleus • Fissura pontomedullaris • Inferior olive • Precerebellar structure. • CNS Hypoxia depresses breathing
  • 90.
    MOA Peripheral Chemoreception • Hypoxia depolarizes type I cells (glomus cells) by turning off potassium conductances. • The depolarization causes Ca to enter and produces the exocytosis of transmitters (most important: ACh, ATP). • ACh and ATP depolarize the peripheral end of sensory afferents. • Carotid body afferents project to the nucleus solitary tract via the glossopharyngeal nerve where the information is relayed to the central pattern generator to cause an increase in breathing rate and amplitude.
  • 91.
    MOA Central Chemoreception • RTN neurons (bright green) are glutamatergic. They innervate only the regions involved in respiratory rhythm and pattern generation • RTN neurons are activated by acidification • A mutation of transcription factor Phox2b in man prevents the development of RTN neurons. The result is Congenital Central Hypoventilation Syndrome (Ondine’s curse), a disease in which breathing is no longer stimulated by CO2 and breathing stops during sleep (breathing while awake is Ok although PCO2 is less tigthly regulated). • These patients are ventilator-dependant throughout their life.
  • 92.
    Hering Breur Reflex • Reflex triggered to prevent overinflation of the lung mediated by slowly adapting mechanoreceptors. • Initiated by lung inflation, which stretches the terminal endings of slowly adapting mechanosensitive sensory afferents located in the trachea and bronchi  influx of sodium  depolarization and action potential generation • The axons travel in thoracic branches of the vagus nerve, and the cell bodies are found in the nodose ganglion. • Via the NTS, the information is relayed to the pons and the ventral respiratory column, resulting in decreased activity of inspiratory motoneurons, which helps terminate inspiration. • They are termed “slowly adapting” because their activation is sustained when the stretch is maintained. • This reflex is weaker in the adult and stronger in the neonate and is of minor medical importance.
  • 93.
    Rapid Mechanoreceptors •Respond only briefly to a stretch. They encode the rate of change of the tension as opposed to its absolute level. Rapidly adapting mechanoreceptors also exist in the lung but they are not involved in the H-B reflex.
  • 94.
    Chemosensitive C FiberAfferents • Present throughout the trachea and bronchi and can produce a variety of skeletomotor and autonomic reflexes. • Exposure to pollutants and irritants triggers activation of both rapidly adapting receptors and C-fiber afferents, which then mediate mucus production, glottal closure and apnea, bronchoconstriction, and cough. • Glottis closure prevents further inhalation of particulate matter, irritants or toxins, and cough is a powerful expiratory effort against a closed glottis.
  • 95.
    Sighs • Sighsare periodic unusually large inspirations. • Their frequency is increased by (1) being awake as opposed to sleep, and (2) by hypoxia, probably by stimulation of the carotid bodies. • Most likely serve to prevent atelectasis
  • 96.
    Automaticity and VoluntaryControl • In general, the process of breathing is a normal rhythmic activity that occurs without conscious effort. It is controlled by the central respiratory generator located in the medulla, which sends signals to the respiratory muscles. Input from the pons to the generator is necessary for a normal, coordinated breathing pattern. • The cerebral cortex exerts a conscious or voluntary control over ventilation. This cortical override of automatic control can be seen with either voluntary breath holding or hyperventilation.
  • 97.
    CO2 is thevariable most tightly regulated by breathing
  • 98.
    Waking vs. SleepingDrives • Breathing automaticity is maintained by several classes of mechanisms. The chemical drive is the excitatory influence of chemoreceptors (both central and peripheral) on the central respiratory pattern generator (CPG). • When one is awake, the CPG also receives excitatory inputs from “waking drives” including neural feedback that gauges the metabolic activity of skeletal muscles and the reticular activating system. • When one is asleep (non-REM sleep), however, the waking drive is greatly reduced or absent, and the chemical drive becomes the dominant influence. • Clinical significance: During sleep, breathing is more shallow, less stable (more prone to stop → apnea), and depends highly on the chemoreceptor drive.
  • 99.
    CNS hypercapnia willproduce sleep disturbance and promote awakening, like in sleep apnea. The increases in CO2 leads to a sudden urge and stimulation to breathe. CNS hypoxia has a depressant effect
  • 100.
    Morphine and Breathing • Morphine depresses the brainstem respiratory pattern generator (including the central chemoreflex). The resulting slow and shallow breathing causes hypoxia and hypercarbia. • Carotid body stimulation by hypoxia/CO2 maintains a modicum of breathing but only up to a point. • If morphine exceeds a certain brain concentration, its direct CNS depressant effect combined with the depressant effects of brain hypoxia cannot be overcome by carotid body stimulation and breathing stops, leading to cardiovascular collapse and death.
  • 101.
    SIDS • Rarebut responsible for a significant % of early infant deaths • Potential causes and contributing factors • Defect in arousal elicited by hypercapnia or hypoxia. • Overactive / abnormal airway protective reflexes (cough, laryngeal reflexes). • Developmental problems (abnormality of lower brainstem serotonergic neurons, possibly) • Environmental factors (air pollution, tobacco smoke, nicotine). • Treatment: • Preventative (eliminate presumed contributing factors). • Supine sleeping position (most effective; reduction of mortality estimated at > 50% in the US). • Alarm to detect loss of breathing
  • 102.
    SIDS Mechanism •During prone sleeping re-breathing exhaled air can increase CO2 and decrease O2 levels • Initiates the arousal response that begins with sigh. • Successful arousal results in head lifting and repositioning • If arousal fails, a more severe hypoxic state is reached and eupneic breathing will transition to gasping • This transition is mediated by respiratory network reconfiguration of the preBötC. • Should an infant fail to both arouse and autoresuscitate, the irreversible hypoxic insult leads to asphyxiation and the occurrence of SIDS
  • 103.
    Hypercapnia • Whenis hypercapnia really bad for you? • Acutely, when PaCO2 is greater than 8.0 to 9.3 kPa (60 to 70 mmHg) • Patients with chronic hypercapnia may not develop symptoms until the PaCO2 rises acutely to greater than 90 mmHg because they have a compensatory increase in the plasma bicarbonate concentration; • As a result, a larger elevation in PaCO2 is required to produce the same reduction in pH.
  • 104.
    O2 and COPDPatients • Oxygen given to COPD patients may cause secondary hypercapnia • 1. Ventilation perfusion mismatching (MOST IMPORTANT): • Your lungs have a finite supply of blood flow. In COPD, you have alveoli that are well ventilated, and alveoli that are poorly ventilated. Under normal conditions, there is proper matching between perfusion and ventilation. Less oxygen in certain alveoli → less blood flow to those alveoli. This frees blood flow to the well ventilated ones so you can effectively remove CO2. If pure O2 is given, the trickle of pure O2 is sufficient to cause perfusion of poorly ventilated alveoli, reducing blood flow to well ventilated ones. Less blood flow to well ventilated alveoli → less CO2 removal and hypercapnia • 2. The affinity of CO2 for hemoglobin decreases (Haldane effect). • -The Haldane effect refers to the rightward displacement of the CO2-hemoglobin dissociation curve in the presence of increased oxygen saturation • 3. Minute ventilation decreases because the hypoxic activation of the carotid chemoreceptors is removed (very small impact on hypercapnia)
  • 105.
    Altitude Effects •Short term: • If PO2 < 60mmHg, hypoxemia is severe enough to stimulate peripheral chemoreceptors (carotid and aortic bodies) → increased ventilation • Increased ventilation means that extra CO2 will be expired and arterial PCO2 will decrease causing a respiratory alkalosis (pH increase) • pH increase will inhibit central and peripheral chemoreceptors and offset the increase in ventilation rate • Long term: • 1) Body increases production of 2,3 DPG to shift heme dissociation curve to the right and unload more O2 into tissues • 2) Within several days, HCO3- excretion increases (renal compensation for respiratory alkalosis). This takes away the chemoreceptor inhibition, allowing for a higher ventilation rate
  • 106.
    Diving Reflex •Exposure of the face, nostrils and upper airway to water triggers diving reflex. • Triggered by activation of facial and ethmoid nerve sensory afferents. • First component: Airway protection. • Breathing is instantaneously stopped. • Second component: O2 saving strategy. • Reduced O2 consumption is caused by sympathetically mediated vasoconstriction in muscles and GI. • Parasympathetically-mediated bradycardia. Cardiac O2 consumption and cardiac output are reduced • Brain perfusion is maintained at a normal level
  • 107.
    Shallow Water BlackOut • Forced and prolonged hyperventilation before a dive is practiced to stay under water longer. This is done under the mistaken assumption that hyperventilation increases stores of blood PO2. • This is not the case since Hb is saturated with O2 even with normal ventilation. What hyperventilation does is to lower PaCO2 (respiratory alkalosis) which allows the diver to stay submerged a little longer because it delays the urge to breathe which is largely driven by CO2 accumulation. • The practice of excessive hyperventilation before a dive is dangerous because a prolonged dive may cause sufficient CNS hypoxia to produce loss of consciousness and drowning.
  • 108.
    Exercise and Breathing • During exercise, ventilation first arises in a stepwise fashion and then exponentially before leveling out. When exercise is stopped, there is an initial stepwise fall followed by a steady decline back to baseline ventilation. • Central command (top down control of breathing during exercise) and reflexes from muscles and joint mechanoreceptors cause the initial rise in ventilation at the onset and the rapid fall at the end of dynamic exercise • Humoral factors and reflexes from metabotropic receptors probably accounts for the delayed increase in ventilation at the onset of exercise and the slow recovery at the end of dynamic exercise
  • 109.
    Exercise and BloodGas Values • During light to moderate exercise, the lungs are able to compensate for muscles using more oxygen and producing more carbon dioxide. Thus, the arterial gases should not change unless the exercise becomes severe.
  • 110.
  • 111.
    Prevalence of SleepApnea • 20% in patients over 60 years old! • 9% in Women • 24% in Men • Prevalence increases with age until midlife but is constant after age 60ish.
  • 112.
    Types of Apnea • Apnea: • >10 second cessation of breathing, especially during sleep • Hypopnea: • Abnormally slow or shallow breathing • Reduction of airflow by 30% or more with 4% drop in SaO2 OR • Reduction of airflow by 50% or more with 3% drop in SaO2 + arousal • according to class, also lasts at least 10 seconds • Respiratory-event related arousal: • Arousals from sleep that do not meet the definition of apnea or hypopnea, but DO disturb sleep. • Obstructive sleep apnea: • Disruption of airflow while asleep due to narrowed, blocked, or floppy airway. • Central sleep apnea: • Absent respiratory effort. Breathing stops and starts due to lack of proper neuromuscular function. • Mixed sleep apnea: • Apnea due to a combination of Central Sleep Apnea and Obstructive Sleep Apnea • Typically begins as central (without ventilatory effort) and presents with airway obstruction when ventilatory effort resumes (OSA)
  • 113.
    Apnea-hypopnea index (AHI): • Number of apneic and hypopneic episodes per hour • Normal <5 • Mild 5-15 • Moderate 15-30 • Severe >30
  • 114.
    Pathogenesis of SleepApnea • Upper airway size naturally decreases during sleep due to decreased neural stimulation of the upper airway dilator muscles. This itself does not cause apnea. OSA occurs in individuals with naturally smaller airways and increased airway collapsibility. • Upper airway size: smaller in OSA • Craniofacial disorders • Enlarged tonsils and adenoids: major risk factor in children between ages 3-5 • Increased tongue size (Down’s Syndrome patients) • Increased Airway Collapsibility • In obesity, soft tissues of neck can push down and constrict airway. • OSA is more common in patients with nasal obstruction (mouth breathing leads to negative pressure that collapses the pharynx)
  • 115.
    Risk Factors •Obesity • Single most important risk factor for OSA in middle-age adults” • Enlarged tonsils, Enlarged Adenoids • Surgery in children, not adults • Enlarged Tongue (as seen in Down’s Syndrome) • Craniofacial/ Airway abnormalities • Mallampati Classification 3 or 4 • Neck size >17 inches • For women: Post-menopause • Age • Prevalence of OSA increases with age until age 60 • Endocrine changes: • Hypothyroidism => thick and beefy tongue • Acromegaly
  • 116.
    Clinical Presentation OS • Snoring (majority of pts - 50% of pts partners report sleeping in a separate bedroom) • Apneic episodes • Unrefreshing or restless sleep • Excessive daytime somnolence or fatigue • Drowsiness while driving • Decreased libido • Declines in cognition • Weight gain
  • 117.
    Clinical Presentation OSin Children • Overweight • Craniofacial Abnormalities • Large tonsils • Nightmares • Daytime somnolence • Daytime mouth breathing • Use Polysomnography to confirm • First line treatment: tonsillectomy, adenoidectomy
  • 118.
    Differential Diagnosis •Restless Leg Syndrome • Narcolepsy • Delayed sleep-phase syndrome • Insufficient Sleep Syndrome • Sleepiness due to meds
  • 119.
    Diagnosis • The“gold standard” for the diagnosis of OSA is full overnight polysomnography, performed in an attended laboratory setting. This includes monitoring of sleep with electroencephalography (EEG), chin and anterior tibialis electromyography (EMG), monitoring of breathing with oronasal airflow and snoring, thoracic and abdominal effort and pulse oximetry, electrocardiography (ECG), and body position. • Scoring of sleep stages and arousals from sleep is performed from the EEG and EMG data. • Apneas and hypopneas are scored according to the combination of oronasal airflow data, thoracoabdominal effort, and oxyhemoglobin saturation • Unattended sleep studies can be used in patients with very severe disease. NOT RECOMMENDED IN CENTRAL APNEA.
  • 120.
    Obstructive vs. CentralApneas Obstructive Central
  • 121.
    Sequelae of OS • Pathophysiologic mechanisms • 1. Apneic events lead to sleep fragmentation - disturbs sleep and patient stuck in lighter stages of sleep • OSA can lead to sexual dysfunction • Increased risk of depression • Significantly increased risk for motor vehicle accidents (2x more) • 2. Deoxygenation/reoxygenation causes oxidative stress similar to ischemia/reperfusion events  increase in proinflammatory molecules • Refractory Hypertension • Arrhythmias • Cardiovascular Events • Stroke • Atherosclerosis • Insulin resistance • INCREASED MORTALITY
  • 122.
    Treatment of OS • CPAP • Delivers constant pressurized air during both inspiration and expiration • Bilevel positive airway pressure (BPAP) • Delivers high fixed level of pressure during inspiration and lower fixed pressure during expiration • Easier to tolerate for severe patients • Weight loss • Positional therapy • Oral appliance therapy • Patients with mild - moderate OSA • Those who are unable or unwilling to use PAP • Surgical Treatment • Optimal for children • Unpredictable and less effective in adults
  • 123.
    Causes of CentralApnea • Hypocapnic: • Alteration of CO2 apnea threshold during sleep • Periodic breathing at high altitude • Cheynes Stokes • Instability of Respiratory Control System • Hypercapnic • Neuromuscular Diseases • Sleep-Related Hypoventilation • Brain stem lesions (syringomyelia specifically mentioned) • Spinal cord disorders • Stroke • Muscle disorders (muscular dystrophy)
  • 124.
    Cheyne Stokes Breathing Cycles of 60-120 seconds Waxing and waning pattern w/ lack of rib cage or abdomen movement
  • 125.
    Causes of Cheyne-StokesApneas • Systolic heart failure • Stroke • Encephalopathies
  • 126.
    Some things toknow from quiz… • A. • The airway in obesity is decreased in size primarily in the lateral dimension. • B. • The upper airway has properties of a Starling resistor and demonstrates a critical pressure at which the airway collapses. In normal individuals, this is a negative pressure, but in those with many obstructive apneas, this pressure is positive • C. • Following sleep onset, the neural input to the upper airway dilator muscles decreases significantly, much more so than to the phrenic nerves. • D. • Individuals with obstructive sleep apnea develop what has been called the pharyngeal myopathy of OSA. It is hypothesized that vibrations from snoring initiate an inflammatory response within the muscles.
  • 127.
    Obesity Hypoventilation Syndrome • BMI > 30 • Awake alveolar hypoventilation • Sleep-disordered breathing • Daytime hypoxemia • Dyspnea on exertion • Serum Bicarbonate Level > 27 mEq/L (elevated bicarb) • indicates increased paCO2 • Diagnosis with ABGs
  • 128.
    Treatment of ObesityHypoventilation • CPAP • 50% of patients need CPAP + Supplemental Oxygen • Non-invasive ventilation BPAP + Backup Rate • For use if CPAP + Oxygen is ineffective • Weight Loss • Bariatric surgery in some patients, but patients with obesity hypoventilation syndrome are not recommended for bariatric surgery.
  • 129.
  • 130.
    Cytokines and TH2Response • IL-4, IL-5, IL-9, IL-13 • Lymphocytes of TH2 phenotype (CD4+) are thought to be a prominent component of the inflammatory response in asthma. • IL-5 has a chemoattractant effect for eosinophils, stimulates growth, stimulates activation, and stimulates eosinophilic degranulation. • IL-4 is inflammatory by activating B lymphocytes, enhancing synthesis of IgE, and promoting TH2 differentiation. • IL-13 also induces IgE synthesis, as well as mediating many various effects of cells involved with the inflammation of asthma. • IL-9 promotes growth of TH2 cells, B cells and Mast cells, IgE production and production of cytokines by smooth muscle cells
  • 131.
    IL-4 and IgE • IL-4 promotes release of IgE antibodies from B cells
  • 132.
    3 Functions ofIL-4 • 1. B cell activation • 2. IgE synthesis • 3. Differentiation of Th2 cells
  • 133.
    IL-4 vs. IL-13 • Similarity: Both play a role in making Th2 cells. IL-4 induces the differentiation while IL-13 induces the production of Th2 cells. Both make lung endothelium produce VCAM, making it “sticky” for eosinophils. Both induce IgE production • Differences: IL-13 has broader effects on epithelium and smooth muscle cells
  • 134.
    IL-5 • IL-5is the only known eosinophil hematopoietin aka it causes production of eosinophils from bone marrow stem cells • IL-5 is an important survival factor for eosinophils • IL-5 is chemotactic for mature eosinophils and a priming factor for enhanced functional activities
  • 135.
    Clinical Asthma andAllergen Removal • Removal from environment improves but does not eliminate asthma • Studies show improvement in lung function, quality of life, allergic mediator release, and rescue medication use • However, bronchial hyperreactivity (“twitchy” airways) and airway inflammation persist FOREVER
  • 136.
    Innate vs. AdaptiveImmunity in Asthma • If asthma were a disease of the adaptive immune system, then therapies targeting adaptive immune responses would be curative: • Anti-IgE • Anti-Thelper/Thelper cytokines • Immunotherapy • Allergen/antigen avoidance • With an authentic allergic, T cell-mediated disease (i.e. seasonal allergic rhinitis), exposure actually correlates with symptoms, and the disease resolves in the absence of exposure • New Theory: • Epigenetic programming of epithelial cells promotes release of cytokines IL-25, IL- 33 and TSLP even in absence of T cells driving eosinophilia and day-to-day symptoms • Adaptive immune responses via T/B cell responses primarily drive exacerbations and are well treated by targeted immune therapies
  • 137.
    Remodeling-prone Asthma •Airway remodeling likely results from chronic inflammation and the associated production and release of mediators like growth factors • Remodeling  epithelial damage, airway fibrosis (collagen), and smooth muscle hyperplasia • Increase in SMCs  hyperresponsiveness of the airway to stimuli  Persistent airflow obstruction • Overdistention of the lungs and airway occlusion by thick mucous plugs • Histology: • Edema and cellular infiltrates within the bronchial wall • “Fragile” appearance of the epithelium and detachment of epithelial cells • Hypertrophy and hyperplasia of the smooth muscle layer • Increased deposition of collagen (basement membrane thickening) = fibrosis. • Hypertrophy of mucous glands
  • 138.
    Steroid Resistance •Inhaled corticosteroids are the recommended standard medication for persistent asthma • Start at low dose in mild disease and move to higher doses • Most of the clinical efficacy of ICS’s is obtained at lower doses • Steroid-resistant asthma is defined by the failure to improve FEV1 by 15% after treatment with high oral corticosteroid doses for 2 weeks • Characterized by persistent eosinophilia despite a high dose of inhaled corticosteroid • Largely a T lymphocyte problem (continued production of cytokines IL4, IL5, and IL13) despite corticosteroid presence. • Steroid resistance does NOT affect the side effect profile (i.e. osteoporosis, metabolic syndrome, HBP, DM, obesity, myopathy, glaucoma/cataracts, etc.) • Corticosteroids are ineffective in resistant asthma, • DON’T prescribe them
  • 139.
    Eosinophilic vs. Non-eosinophilicAsthma • Eosinophilic asthma = steroid sensitive (except in steroid-resistant) • Non-eosinophilic asthma = steroid resistant • May exacerbate symptoms by inhibiting apoptosis of PMNs
  • 140.
    Omalizumab • Allergen-exacerbatedasthma is diagnosed by: • 1) evidence of a specific IgE (via skin prick or IgE immunoassay) • 2) evidence of allergen-exacerbation of symptoms (allergic rhinitis, asthma) • Omalizumab binds free IgE in the serum at the same site that the high-affinity IgE receptor (on mast cells) binds. Thus, IgE cannot bind to its receptor on mast cells. Eventually, the number of IgE receptors on mast cells decreases over time. • Omalizumab seems to significantly improve the number of asthma exacerbations, but it does NOT eliminate asthma • It has a minimal influence on lung function, symptoms, or severity • This is likely because allergens exacerbate asthma but have little to do with day-to-day asthma symptoms or severity
  • 141.
    Aspirin Sensitive Asthma • Some people have asthma exacerbation after taking ASA or NSAIDs b/c the inhibition of COX results in a shifting of arachidonic acid pathways toward the production of bronchoconstrictor leukotrienes. • AERD is characterized by pathognomonic elevation of LTC4 synthase expression with profoundly increased, constitutive, and aspirin-induced leukotriene production. It also has a pathognomonic elevation of leukotriene receptor expression. • Leukotriene Modifiers significantly improve sx in these patients • Leukotriene receptor antagonists (Montelukast, Zafirlukast) improve lung function, decrease bronchodilator use, reduce symptoms, and improve quality of life • Zileuton - may be effective in reducing upper airway symptoms (loss of smell, rhinorrhea, congestion)
  • 142.
  • 143.
  • 148.
    Exacerbating Factors •Viral Infections • Most common cause of asthma symptoms in the 0-4 age group. • Allergies • GERD • Chronic sinusitis • Obstructive sleep apnea • Allergic bronchopulmonary aspergillosis
  • 149.
  • 150.
    Beta Agonists •MOA: • Stimulation of B2 receptors in SMCs activates Gs adenylyl cyclase  increased cAMP  increased conductance of Ca++-sensitive K+ channels  Hyperpolarization • Airway smooth muscle relaxation and bronchodilation • cAMP also inhibits histamine release from mast cells and TNF release from monocytes • Clinical Use: Primary therapy for Asthma and COPD • Short acting: albuterol, levalbuterol • Long acting: Salemterol, Fomoterol • Side Effects • Tachyarrhythmia • Tremulousness (trembling) • Muscle cramps • Nervousness • Hypokalemia
  • 151.
    Anticholinergics • MOA: • Competitive inhibition of ACh at muscarinic receptors relaxes bronchial constriction normally caused by parasympathetic (ACh) stimulation of M3 receptors • Parasympathetic stimulation of M1 and M3 receptors causes mucus secretion as well, so anticholinergics decrease mucus secretion • Clinical Use: First line for COPD also used in asthma • Short acting: Ipratropium • Long acting: Tiotropium • Side Effects • Constipation • Xerostomia (dry mouth) • Pharyngitis • Urinary retention • Sinusitis • Upper respiratory infection
  • 152.
    Methylxanthines • Theophylline(1,3 dimethylxanthine) • rarely used today • MOA: • Nonselective PDE inhibitor (increases cAMP) and an adenosine receptor antagonist → relaxes smooth muscle through blocking adenosine receptors on mast cells • Also inhibits synthesis and secretion of inflammatory mediators from numerous cell types, including mast cells and basophils • Clinical Use: Rare, Acute and chronic asthma • Side Effects: • NARROW THERAPEUTIC WINDOW • Nausea & vomiting • tremors • irritability • restlessness • tachyarrhythmias (Afib)
  • 153.
    Corticosteroids • MOA:Suppression of inflammatory responses by interference with multiple signal transduction and gene expression pathways. • Decrease cytokine formation • Decrease PAF production • Inhibit cysteinyl leukotrienes • Clinical Use: • FIRST LINE THERAPY (inhaled not systemic) • Risk of adverse effects increases with dose • Side Effects: • HPA Suppresion • Hypertension • Immunosuppression • Osteoporosis • Myopathy • Cataracts • Growth arrest • Fat redistribution
  • 154.
    Leukotriene Modifiers •MOA: • LTD4 receptor antagonists (zafirlukast, montelukast) • Reversible inhibitor of cysteinyl leukotriene-1 receptor • 5-lipoxygenase inhibitors (zileuton) • Prevents conversion of arachidonic acid to leukotriene A4 • LB4 is also decreased • Clinical Use: • Preventative treatment of asthma, especially AERD • Anti-leukotriene agents can be effective as monotherapy in the treatment of mild to moderate persistent asthma. • Not as effective as ICGCs. • Side Effects • Abnormal LFTs • Headache • Eosinophilic Vasculitis.
  • 155.
    Omalizumab • MOA: • DNA-derived humanized monoclonal Ab • At recommended doses, omalizumab reduces free IgE by more than 95%, thereby limiting the amount of IgE bound to Fc R1-bearing cells • Also decreases amount of FcRI receptor expressed on these cells • Clinical Use • Allergic Asthma • Chronic Idiopathic Urticaria • Side Effects: • Thrombocytopenia, • Anaphylaxis, • Dermatologic • Costly
  • 156.
    PDE Inhibitors •PDE4 Inhibitor: increases intracellular cAMP and reduces neutrophil and eosinophil infiltration • PDE4 is a major enzyme that hydrolyzes and inactivates cAMP • Romflumilast • Clinical Use: Prevention of COPD Exacerbations • Side Effects: • Diarrhea, nausea • Headache • Decreased appetite • Weight loss • Suicidal thoughts
  • 157.
    Mucolytics • 1)Hypertonic Agents • Ex: Inhaled hypertonic saline or mannitol • MOA: Hypertonic agents draw water into the airway to lower mucus viscosity. • Side Effects: Can cause bronchospasm  therefore used following a bronchodilator • General: cheap with good results (disadvantage: time consuming) • 2) N-acetyl cysteine (NAC): CF and Bronchiectasis • MOA: Lowers mucus viscosity by cleaving disulfide bonds via its free sulfhydryl group. • Side Effects: bronchospasms (use 15 min. after bronchodilator), smells, expensive • 3) Inhaled DNAse: CF • MOA: Breaks down purulent sputum by cleaving DNA strands. • Side Effects: laryngitis, pharyngitis, chest pain, conjunctivitis, dyspnea, expensive, change in voice • 4) Ivacaftor: CF • MOA: CFTR protein potentiator for G551D mutation of CF. Decreases [Cl-] in sweat. • Side Effects: Increased LFTs, rash, abdominal pain, HA, nausea, dizziness, nasal congestion, nasopharyngitis, upper resp infxn.
  • 158.
  • 159.
    Prostanoids • MOA: • Prostacyclin stimulates adenylate cyclase to convert ATP to cAMP  decrease in intracellular Ca SMC relaxation • Prostacyclin also inhibit platelet aggregation • Clinical Use: • Pulmonary Hypertension • Side Effects: • Hypotension • Flushing • Jaw pain • Headache • Nausea/vomiting, • Hypersplenism, • Line infection
  • 160.
    Guaifenesin • MOA:Irritant of vagal receptors in the gastrum activating parasympathetic reflexes which result in secretion of a less viscous mucous. • Clinical Use: Expectorant used to help with clearing of phlegm in setting of acute respiratory infections • Does not suppress cough reflex • Use Dextromethorphan • Side Effects: • Minimal Side Effects
  • 161.
  • 162.
    Seasonal Patterns ofViruses • Rhinovirus • Sharp increase in September • Parainfluenza • October/November peak • Coronavirus/RSV • Winter months • Influenza • Mid to late winter • Adenovirus • Year round
  • 163.
    Frequency of Infection • 1 to 5 year olds (preschool children): 8+ colds per year • 6 to 12 year olds (school children): 5 to 6+ colds per year • Adolescents: 4 to 5 colds per year • Adults: 2 to 3 colds per year
  • 164.
    Modes of Transmission • 3 Modes • “Hand contact: Self-inoculation of one’s own conjunctivae or nasal mucosa after touching a person or object contaminated with cold virus -most efficient transmission • MOST COMMON • Inhalation of small particle droplets that become airborne from coughing (droplet transmission) -more so with influenza • Deposition of large particle droplets that are expelled during sneezing and land on nasal or conjunctival mucosa
  • 165.
    Pathogenesis • Depositionon nasal mucosa • Mucociliary transport to nasopharynx • Virus enters epithelial cell after receptor binding • Replication begins within 8 to 10 hrs of inoculation • Influx of PMN’s in nasal submucosa and epithelium • Increase albumin and inflammatory mediators in nasal secretions • Nasal mucosa remains intact • Symptoms begin in 1 to 2 days
  • 166.
    Natural History •Day 1 to 2: Sore or scratchy throat, congestion • Day 2 to 3: Nasal obstruction, sneeze and rhinorrhea • Day 4 to 5: Cough • Day 7: Resolved • May last up to 2 weeks in 25% of adults
  • 167.
    Differential Diagnosis •Common cold • Allergic or seasonal rhinitis • Bacterial pharyngitis • Sinusitis • Influenza • Pertussis • Nasal foreign body
  • 168.
    Allergic Rhinitis Itchy,watery eyes, nasal congestion, sneezing, scratchy throat, fever uncommon “Allergic Shiners” Bacterial Pharyngitis Prominent sore throat, Absent nasal congestion/cough, fever common, purulent exudate, swollen tonsils, erythema of pharynx Sinusitis Presents after a cold begins to improve, facial or tooth pain, purulent nasal/post-nasal drainage, don’t respond to decongestants, fever, malaise Influenza Abrupt onset, fever, myalgias, headache, malaise, nasal congestion, cough, sore throat Pertussis Catarrhal phase: 1 week, low-grade fever, rhinorrhea, malaise, sneeze, mild cough Paroxysmal phase: 1-6 weeks, bursts of rapid coughs, gasp, whoop, apnea, emesis Nasal Foreign Body Nasal congestion, purulent nasal discharge(usually uniteral), sneeze, halitosis, young child
  • 169.
    Children < 6 ◦ Fever ◦ Nasal congestion ◦ Rhinorrhea Clear to green ◦ Sneeze ◦ Cough ◦ Irritability ◦ Swollen glands ◦ 7 to 14 days Older children and adults ◦ Nasal congestion ◦ Rhinorrhea Clear to green ◦ Sore, scratchy throat ◦ Malaise ◦ Sinus fullness ◦ Hoarseness ◦ Sneeze, cough ◦ 5 to 7 days Symptoms and Signs
  • 170.
    Prophylaxis • Frequenthandwashing with non-antibacterial soap and water • Hand sanitizers may be less effective • Virucidal tissues may decrease secondary transmission of respiratory infection within the household or other close-contact settings • Physical barriers: gloves, masks, gowns, etc. Likely beneficial Maybe beneficial Unclear benefit No benefit Zinc Probiotics Gargling Vitamin C Ginseng Vitamin D Exercise Echinacea Garlic
  • 171.
    Symptomatic Treatment forAdults • Nasal symptoms • Single dose of nasal decongestant in adults • Antihistamine/decongestant combinations • Newer non-sedating antihistamines not effective • Guaifenesin • Cough • Dextromethorphan • Inhaled ipratropium bromide • Fever, achiness • Acetaminophen • NSAID’s • ANTIBIOTICS ARE NOT EFFECTIVE
  • 172.
    Symptomatic Treatment forChildren • Very few effective treatments!!!
  • 173.
    Complications • Secondaryeffects of localized inflammation - Bacterial superinfection • Inflammatory response in susceptible host- Asthma • More extensive viral infection in susceptible host • Viral-induced wheezing: • Bronchiolitis • Pneumonia : rhinovirus and RSV may cause severe lower respiratory tract infection in infants and children • Bacterial acute otitis media : may complicate 30% to 50% of URIs in young children • Paranasal sinus abnormalities • Bacterial sinusitis : may complicate 8% to 10% of URIs in children • Pre-orbital cellulitis • Orbital cellulitis • Orbital abscess
  • 174.
  • 175.
    List three functionsof the sinuses. • Insulate brain • Crumple zone to protect brain from injury • Decrease weight of skull
  • 176.
    Sinusitis • Inflammationof mucous membranes lining paranasal sinuses • In adults sinusitis most often occurs in maxillary sinus, whereas in children it is most common in ethmoid sinus
  • 177.
    You are bornwith 4 sinuses
  • 178.
    Anatomic landmarks ofthe nasal cavity and paranasal sinuses.
  • 179.
    Key clinical featuresof Migraine • Unilateral throbbing pain • Phonophobia / photophobia • Nausea / Vomiting • Lasting hours to days (but probably less than a week) • Triggers can include: allergies (histamine release), sinusitis, sinonasal contact points • Can trigger vasomotor symptoms including: rhinorrhea/nasal congestion, ocular tearing • Migraine triggers the maxillary branch of the trigeminal nerve, and the nerve winds up also triggering ocular tearing, rhinorrhea, symptoms of nasal congestion. =
  • 180.
    Allergic vs. NonallergicRhinitis • Rhinitis: irritation and inflammation of mucous membrane in nose • Rhinorrhea: nasal cavity is filled with a significant amount of mucus • Allergic Rhinitis • Paroxysmal sneezing with seasonal variation • Pruritus • Anterior/Clear rhinorrhea • Allergic conjunctivitis • Positive Family history • + skin allergy test • Non-allergic Rhinitis • Less sneezing • No pruritis • Posterior drainage
  • 181.
    Pathognomonic Signs ofAllergic Rhinitis • Allergic shiners; periocular edema • Dennie’s Morgan’s lines – wrinkles from long term edena • Supratip nasal creases • Large bluish turbinate – venous blood due to congestion
  • 182.
    Treatment for AllergicRhinitis • First Line: Nasal Corticosteroids • Environmental Control • Saline Irrigation • Antihistamines • Reduce production of clear secretions • Reduces pruritus and sneezing • Clinically much less effective than nasal steroids • Decongestants • Ephedrine, Phenylephrine, Dextromorphan • Vasoconstriction by alpha-agonists (epinephrine, NE) will decrease the blood flow and therefore decrease inflammation and mucus formation at the site of application. • Leukotriene modifiers • Montelukast/Zafirlukast • Zileuton • Nasal cromolyn • Allergen immunotherapy
  • 183.
    Immunotherapy in AllergicRhinitis • Clinical Indications: • Poor response to pharmacotherapy/allergen avoidance • Unacceptable adverse effects of medications • Desire to avoid long-term pharmacotherapy and reduce costs • Possible prevention of asthma in children • 85-90% of patients who receive high-dose maintenance IT report significant efficacy: • reduced symptoms • reduction in medication requirements • IT must be administered in a setting where prompt recognition and treatment of anaphylaxis is assured
  • 184.
    Acute Infectious Rhinosinusitis • Symptoms: • Purulent nasal discharge • Nasal obstruction • Facial pain/pressure/fullness • Almost always viral • Acute Bacterial Rhinosinusitis (ABRS) vs. Viral Acute Rhinosinusitis (Viral ARS) • 0.5-2.0% of VRS progresses to ABRS • Diagnosis based on duration and/or pattern • More likely to be ABRS if symptomatic for >10 days or if the symptoms improve, then worsen
  • 185.
    Antibiotic Therapy •Antibiotics ONLY indicated in ABRS, ineffective for VRS • First line therapy: Amoxicillin/Clavulanic Acid • PCN allergy: • Adults: Doxycyclin • Children: Respiratory quinolone or Clindamycin + 3rd gen Cephalosporin • NO ROLE for macrolides
  • 186.
    Treatment for ViralSinusitis • Supportive • Saline Irrigations (no evidence) • Topical vs. Systemic decongestants • Oxymetazoline (Afrin) • Phenylephrine (Neosynephrine, Sudafed PE) • Pseudoephedrine (Sudafed) • Pain control • Systemic steroids – no evidence • Topical steroids – weak evidence
  • 187.
    Rhinitis/Sinusitis and Asthma • Sinonasal pathology is the most common co-morbidity among patients with asthma • In patients with asthma, inflammation in the nose and sinuses share features of disease in the lung • Allergic rhinitis is a risk factor for asthma • Childhood allergic rhinitis significantly associated with the presence of asthma • Asthmatics with sinusitis are more likely to have nasal polyps complicating their sinus disease than non-asthmatics, and asthmatics are more likely to have persistent disease over years that requires multiple surgeries
  • 188.
    Chronic Rhinosinusitis w/or w/out Polyps • Diagnosis: • 1. Twelve weeks or longer of two or more of the following: • Mucopurulent drainage • Nasal obstruction → congestion • Facial pressure-fullness • Decreased sense of smell • 2. AND documentation of inflammation by one or more of the following findings: • Purulent mucus OR edema in the middle meatus or ethmoid region • Polyps in nasal cavity OR middle meatus • Radiographic imaging showing inflammation of the paranasal sinuses
  • 189.
    Nasal polyps areoften associated with Cystic Fibrosis
  • 190.
    Rhinosinusitis with NasalPolyposis • The characteristic presentation of CRS with NP is gradually worsening nasal congestion/obstruction, sinus fullness and pressure, fatigue, posterior nasal drainage, and hyposmia or anosmia. • In contrast, fever and severe facial pain are uncommon. • On physical examination, large polyps are often visible with anterior rhinoscopy, while smaller polyps require nasal endoscopy or imaging. Nasal polyps lack sensation.
  • 191.
    Eosinophilic Sinusitis •More likely to have polyps and/or asthma • 32% of asthmatics have polyps • 20% of patients with polyps have asthma • Less likely to have pain • Th2-mediated process • Mucous is laden with eosinophils, leukotrienes, IL-4 and IL-5 • Treatment: Corticosteroids • Saline Irrigations • Leukotriene or IgE Inhibitors
  • 192.
    Sinus Surgery •Rhinosinusitis Sinus Surgery = Functional Endoscopic Sinus Surgery • Reserved for medical failures • Improves quality of life in 72-76% of patients • Average improvement of 16-22% • Sinus Surgery Improves Asthma • Reduces symptoms, lowers steroid dose & frequency of steroid use • Improves lung function • Decreases bronchial hyperreactivity • NOT SUPERIOR TO MEDICAL THERAPY
  • 193.
    Nasal Polyps candevelop from Rhinitis, Cystic Fibrosis and Aspirin Intolerant Asthma
  • 194.
  • 195.
    Differential Diagnosis ofHoarseness  Infectious  Acute laryngitis: common cold, URI (virus) or voice strain  Neoplastic  Squamous cell carcinoma  Idiopathic  Papilloma  Iatrogenic  Injury to recurrent laryngeal nerve (e.g. thyroid surgery)  Functional  Laryngeal polyp/nodule (Singer’s nodule)  Smoking  GERD  LPRD (laryngopharyngeal reflux)  Parkinson’s or stroke  Allergies  Thyroid problems
  • 196.
    Define stridor andevaluate the child who presents with stridor. • High pitched inspiratory and expiratory sound that serves as a sign of fixed upper airway obstruction • Epiglottitis: H. Influenzae • Croup: Parainfluenza
  • 197.
    Pleomorphic Adenoma •Most common salivary gland neoplasm • Clinical features • Wide age distribution • Most common in 4th decade • Female > male • Most common location: parotid gland • Gross features • Overall well-circumscribed • Often with small protrusions into adjacent normal tissue; may lead to local recurrences • Microscopic features • Biphasic: Admixture of epithelial and stromal elements • Epithelium: Glands or cords of small cuboidal cells • Stroma: Fibromyxoid +/- cartilaginous differentiation • Prognosis • Vast majority are benign, Recurrence rate is highly dependent on adequacy of original resection • Malignant transformation: Occurs in ~5% of cases
  • 198.
    Warthrin Tumor •Clinical features • Wide age distribution • Most common in 6th and 7th decades • Male >> female • Most common location: parotid gland • Bilateral in 10% of cases • Gross features • Well-delineated, lobulated mass • May be cystic or multicystic • Microscopic features • Epithelium: • Oncocytic - large, eosinophilic, granular cells • Lymphoid tissue: • May form lymphoid follicles • Prognois: Benign
  • 199.
    Mucoepidermoid Carcinoma •Clinical features • Most common in 5th decade • Most common malignant salivary gland tumor in children • Female > male • Low-grade and high-grade types • Gross features • Low-grade: Well-circumscribed mass with cystic areas • High-grade: Solid, infiltrative pattern of growth • Microscopic features • Three distinct cell types: • Squamous • Mucin-producing • Intermediate • Low-grade: well-differentiated • High-grade: poorly-differentiated • Prognosis • Highly dependent on grade • Low-grade: 5 yr survival of 98% • High-grade: 5 yr survival of 56%
  • 200.
    Adenoid Cystic Carcinoma • Clinical features • Most common malignant tumor of minor salivary glands • Wide age distribution: 20 - 80 yo • Median age = 50 yo • Gross features • Solid infiltrative pattern of growth • Can invade nerves and move to brain • Microscopic features • Small, cuboidal, cytologically bland cells • Arranged in cribriform patterns • Some of the lumen-like spaces contain distinctive eosinophilic materia • Prognosis: Poor, highly malignant, perineural invasion
  • 201.
    Laryngeal Polyp •Distinctive non-inflammatory reactive change • Etiology: Injury - “misuse” of voice • S/sx: Hoarseness • Gross: Polypoid mass on vocal cords • Microscopic: Varies with stage of evolution of lesion • Prognosis: benign
  • 202.
    Juvenile Laryngeal Papillomatosis • Age: presents in children / adolescents • Etiology: human papilloma virus (HPV) • Gross: • Multiple papillary growths on vocal cords • May spread throughout larynx • Microscopic features • Papillary growths of well-differentiated squamous epithelium • Prognosis • Repeated recurrences • Usually benign • Vary rarely development of squamous cell carcinoma
  • 203.
    Squamous Cell Carcinoma • Clinical Features • > 90% of laryngeal carcinomas are SCC • Age - 5th decade or older • Male > > > female • Risk factors: • Cigarette smoking • Heavy alcohol consumption • Gross features • Mass protruding into airway, may be ulcerated • Typically 1 - 4 cm • Microscopic features • Cytologically malignant squamous epithelium • Prognosis • Glottic tumors • Arise from true vocal cords • Tend to remain localized • Transglottic tumors • Tumor crosses laryngeal ventricle • High rate of lymph node metastases
  • 204.
  • 205.
    Emphysema • Pathophysiology: • Abnormal enlargement of air spaces distal to terminal bronchioles • Destruction of alveolar walls resulting from elastase-antielastase imbalance • Centriacinar (respiratory bronchioles) in upper lobes vs panacinar (alveolar ducts; associated with alpha-1 antitrypsin deficiency) in lower lobes • Collapse of airways due to loss of alveolar compliance • Gross Morphology: • Hyperinflated lungs, Air trapping, Dilated alveoili • Bullae on surface of lungs (panacinar) • Smoking  upper lobe (Centriacinar) • Hyperinflated lungs, flattened diaphragms, increased retrosternal clear space on CXR Microscopic: • Inflammation, fibrosis and carbonaceous pigment common in adjacent alveolar and bronchial walls
  • 207.
    Barrel Chest Prolongedexpiration with pursed lips, forces walls open to allow expiration
  • 208.
    Chronic Bronchitis •Pathophysiology: • Enlargement of the bronchial mucous glands and expansion of goblet cell population. Hypersecretion of mucus  mucous plugs. • Gross Morphology: • Visible bronchi • Principal sites of increased air resistance in COPD are the small distal airways • Hyperinflated lungs, flattened diaphragms, increased retrosternal clear space on CXR • Microscopic: • Brown-pigmented macrophages with sparse neutrophil and lymphocytes in walls of terminal bronchioles • Fibrosis, goblet cell and squamous cell metaplasia of epithelium, smooth muscle enlargement, scattered regions of mucous plugging • Seromucinous gland hyperplasia
  • 210.
    Chronic Bronchitis isdiagnosed clinically: Chronic productive cough lasting 3 months over at least 2 years
  • 211.
    Asthma • Pathophysiology • Bronchial asthma is a chronic relapsing inflammatory disease with hyper-reactive airways, leading to episodic, reversible bronchoconstriction owing to increased responsiveness of the tracheobroncheal tree to various stimuli. • Gross Morphology • Lungs are greatly distended with air and show patchy atelectasis with occlusion of airways by thick mucus plugs. • Microscopic • Sub-basement membrane fibrosis • Edema and inflammatory infiltrate in bronchial walls with eosinophils. • Hypertrophy of bronchial wall musculature and submucosal glands. • Whorls of shed epithelium forming mucous plugs (Curschmann’s spirals) • Collection of crystaloid made up of debris of eosinophil membranes (Charcot- Leyden crystals)
  • 212.
    Asthma is mostoften associated with allergic stimuli: Type 1 HSR IL4 (IgE), 5 (Eos) , and 10 (TH2) Also IL-13 and IL-9
  • 213.
    Bronchiectasis • Abnormalpermanent dilatation of the bronchi and bronchioles. • Caused by repeated cycles of airway infection/inflammation • Distal airways become thickened • Mucosal surfaces develop edema and suppuration • Neovascularization of the adjacent bronchial arterioles occurs. • Hemoptysis, Sputum • Bronchiectasis shares many clinical features with chronic obstructive pulmonary disease (COPD) • Inflamed and easily collapsible airways • Obstruction to airflow • Frequent office visits and hospitalizations. • Dx: Chronic daily cough with viscid sputum production and presence of bronchial wall thickening and luminal dilatation on HRCT.
  • 214.
    Bronchiectasis • Presentation • Cough • Purulent sputum production • Hemoptysis • Recurrent infection • Bronchial hyper-reactivity • Obstructive lung disease
  • 216.
    Localizing Bronchiectasis •Upper Lobe • Cystic Fibrosis • Lower Lobe • Aspiration Syndromes • Right Middle Lobe and Lingula • Nontuberculous Mycobacterial Infection • Central • Allergic Bronchopulmonary Aspergillosis
  • 217.
    Treatment of Bronchiectasis • 1. Antibiotics • 2. Bronchopulmonary drainage • 3. Bronchodilators • Chest Physical Therapy • Inhaled DNA-ase for CF patients
  • 218.
    Presence of P.Aeroginosa portends a worse prognosis in bronchiectasis
  • 219.
    Pink Puffers andBlue Bloaters • Pink Puffers - associated with severe emphysema • Cachexia, unrelenting dyspnea, severe lung hyperinflation, normal (or near normal) ABG at rest because the body compensates by hyperventilating (hence the puffer). Low cardiac output  muscle wasting and weight loss. The pink can be from a number of things, one of which is using neck and chest muscles to breathe. • Blue Bloaters - associated with chronic bronchitis • Stout body habitus, chronic cough and sputum, dyspnea, severe hypoxia and hypercapnia (leading to polycythemia and signs of right-sided heart failure)
  • 221.
    COPD vs. Asthma • Factors that favor COPD over Asthma • Older age • current/past smoker • Hx acute bronchitis • chronic cough, sputum production or wheezing • Factors that favor Asthma over COPD • Young age • No smoking history • Atopy • Variability of Sx over time • Reversible obstruction
  • 222.
    Natural Progression ofCOPD • Chronic obstructive pulmonary disease (COPD) is characterized by poorly reversible airflow obstruction and an abnormal inflammatory response in the lungs • Innate and adaptive immune responses to long term exposure to noxious particles and gases, particularly cigarette smoke. • This amplified response may result in mucous hypersecretion (chronic bronchitis), tissue destruction (emphysema), and disruption of normal repair and defence mechanisms causing small airway inflammation and fibrosis (bronchiolitis). • 1. Inflammation • 2. Imbalance of Proteases and Antiproteases • 3. Oxidative Stress
  • 223.
    COPD Diagnosis Airflowlimitation measured by FEV1 % Predicted All patients with FEV1/FVC reduced to < 0.70 GOLD 1 Mild >80% GOLD 2 Moderate 50 – 80% GOLD 3 Severe 30 – 50% GOLD 4 Very Severe <30%
  • 224.
    COPD Classification Patient Category Characteristics GOLD FEV1 Frequency Exacerbation CAT MMRC A Low Risk Less Symptoms GOLD 1-2 FEV1 > 50% ≤ 1 < 10 0-1 B Low Risk More Symptoms GOLD 1-2 FEV1 > 50% ≤ 1 ≥ 10 ≥ 2 C High Risk Less Symptoms GOLD 3-4 FEV1 < 50% ≥ 2 <10 0-1 D High Risk More Symptoms GOLD 3-4 FEV1 < 50% ≥ 2 ≥ 10 ≥ 2
  • 225.
    Patient Category Characteristics GOLD FEV1 Frequency Exacerbation CAT MMRC A Low Risk Less Symptoms GOLD 1-2 FEV1 > 50% ≤ 1 < 10 0-1 Patient Category 1st Choice Tx 2nd Choice Tx 3rd Choice Tx A SAMA PRN or SABA PRN LAMA or LABA or SAMA+SABA PDE inh (Theophylline) Category A Therapy
  • 226.
    Patient Category Characteristics GOLD FEV1 Frequency Exacerbation CAT MMRC B Low Risk More Symptoms GOLD 1-2 FEV1 > 50% ≤ 1 ≥ 10 ≥ 2 Patient Category 1st Choice Tx 2nd Choice Tx 3rd Choice Tx B LAMA or LABA LAMA+LABA SABA and/or SAMA Theophylline Category B Therapy
  • 227.
    Patient Category Characteristics GOLD FEV1 Frequency Exacerbation CAT MMRC C High Risk Less Symptoms GOLD 3-4 FEV1 < 50% ≥ 2 <10 0-1 Patient Category 1st Choice Tx 2nd Choice Tx 3rd Choice Tx C ICS and LAMA or LABA LAMA+LABA or LAMA+PDE4I or LABA+PDE4I SABA and/or SAMA Theophylline Category C Therapy
  • 228.
    Patient Category Characteristics GOLD FEV1 Frequency Exacerbation CAT MMRC D High Risk More Symptoms GOLD 3-4 FEV1 < 50% ≥ 2 ≥ 10 ≥ 2 Patient Category 1st Choice Tx 2nd Choice Tx 3rd Choice Tx D ICS and LAMA and/or LABA ICS+LAMA+LABA or ICS+LAMA+PDE4I or ICS+LABA+PDE4I Mucolytics SABA and/or SAMA Theophylline Category D Therapy
  • 229.
    First Line: Tiotropium+ SABA prn Steroids for exacerbations (Advair)
  • 230.
  • 231.
    Alpha 1 AntitrypsinDeficiency • α1-antitrypsin is a protease inhibitor and protects lung tissue against neutrophil elastase and other proteases. • Encoded by the gene PI • M: Normal wild type • Z: Most common mutant leading to deficiency • ZZ homozygous: Severe Disease • Symptoms • Lung • COPD: Panacinar emphysema • Possible bronchiectasis or asthma • Suspected from uncontrolled destruction by neutrophil elastase in the lung • Liver • Childhood liver disease • Adulthood cirrhosis of liver & hepatocellular carcinoma • Suspected from abnormal deposition of dysfunctional AAT protein • Skin • Necrotizing panniculitis, vasculitis, urticaia, angioedema
  • 232.
    Alpha 1 AntitrypsinDiagnosis • Emphysema in a young age (< 45 yo) • Emphysema in non-smokers • Basilar distribution of emphysema • Concurrent liver or skin disease • Serum levels of AAT: below 50 mg/dL • Genotyping to look for S or Z alleles
  • 233.
    PFTS Disease PFTPattern Asthma Obstructive and Reversible Chronic Bronchitis Obstructive, Irreversible, Normal DLCO Emphysema Obstructive, Irreversible, Low DLCO Bronchiectasis Obstructive Cystic Fibrosis Obstructive, FEV1 correlates with outcomes
  • 234.
    Cystic Fibrosis •Autosomal Recessive defect in CFTR chloride channel • CFTR dysfunction reduces chloride secretion from the epithelialial cells into the airway lumen  sodium absorption into the cell is markedly increased  thinning of the airway surface’s liquid lining layer  impaired mucociliary clearance. • Chronic infection  PMN-dominated inflammatory response. • Neutrophil products (proteolytic enzymes and oxidants) mediate the subsequent pathologic changes: bronchiectasis, bronchiolectasis, bronchial stenosis, and fibrosis. • Mucous plugging of airways • 1. Production of thick, tenacious secretions from exocrine glands • 2. Elevated concentrations of sodium, chloride, and potassium in sweat
  • 235.
    Cystic Fibrosis •Clinical Presentation • Pancreatic insufficiency • Recurrent episodes of tracheobronchial infection • Bronchiectasis • Intestinal obstruction • Sterility in males • Diagnosis: • (1) Identification of mutations known to cause cystic fibrosis in both CFTR genes • (2) Characteristic abnormalities in measurements of nasal mucosal electrical potential difference • (3) Abnormal sweat electrolytes
  • 236.
    CF Work Up • Cystic fibrosis causes obstructive lung disease, initially with decreased flows at low lung volumes. • Forced expiratory volume in 1 second (FEV1) is the best correlate of outcome and starts to differ markedly from normal during adolescence. • The rate of decline in FEV1 often predicts the clinical course. • Early in the disease, the chest radiograph demonstrates hyperinflation and peribronchial thickening. Computed tomography can demonstrate bronchiectasis early in the course of the disease. • Airway infection, which is the key clinical manifestation, can be detected by sputum culture or bronchoalveolar lavage.
  • 237.
  • 238.
    Overview • Patientshave dyspnea, tachypnea, end-inspiratory crackles, and eventual cyanosis, without wheezing or other evidence of airway obstruction. • The classic functional abnormalities are reductions in diffusion capacity, lung volume, and lung compliance. • Chest radiographs show bilateral lesions that take the form of small nodules, irregular lines, or ground-glass shadows, all corresponding to areas of interstitial fibrosis. • Eventually, secondary pulmonary hypertension and right-sided heart failure associated with cor pulmonale may result. • Although the entities can often be distinguished in the early stages, the advanced forms are hard to differentiate because all result in scarring and gross destruction of the lung, often referred to as end-stage lung or honeycomb lung.
  • 239.
    Causes • Idiopathic • Idiopathic interstitial pneumonias • Granulomatous • Sarcoidosis • Occupational and environmental : Pneumoconioses • Coal worker pneumoconiosis (CWP) • Silicosis • Asbestosis • Berylliosis • Drug induced • Amiodarone • Bleomycin and busulfan • Cyclophosphamide • Methotrexate and methysergide • Nitrosourea and nitrofurantoin • Connective tissue disease • Systemic sclerosis • SLE • RA • Collagen vascular disease
  • 240.
    Idiopathic Interstitial Pneumonias • Idiopathic pulmonary fibrosis • Non-specific interstitial pneumonia • Respiratory bronchiolitis-associated interstitial lung disease • Desquamative interstitial pneumonia • Cryptogenic organizing pneumonia • Acute interstitial pneumonia • Lymphoid interstitial pneumonia
  • 241.
    Clinical Features •History: • Subacute or chronic • Chronic • pulmonary hypertension • right sided heart failure (cor pulmonale). • Symptoms: • Progressive dyspnea • Cough • Late inspiratory crackles • Respiratory alkalosis • No wheezing • Signs: • Restrictive PFTs (reduced FEV1 and FVC with normal ratio, decreased TLC) • Reduced DLCO. • Variable inflammation and fibrosis of the interstitial, alveolar, and vascular compartments of the lungs. • Decreased PaO2
  • 242.
    IPF Clinical Course • IPF begins insidiously with gradually increasing dyspnea on exertion and dry cough. • Most patients are 55 to 75 years old at presentation. • Hypoxemia, cyanosis, and clubbing occur late in the course. • Usually there is a gradual deterioration in pulmonary status despite medical treatment with immunosuppressive drugs such as steroids, cyclophosphamide, or azathioprine. • The median survival is about 3 years after diagnosis. • Lung transplantation is the only definitive therapy.
  • 243.
    IPF: Gross andMicroscopic Morphology • Gross Morphology • Cobblestoned Pleura as a result of the retraction of scars along the interlobular septa. • Fibrosis occurs preferentially in the lower lobes, the subpleural regions, and along the interlobular septa. • Spacial/Temporal Heterogeneity • Microscopic • 1) Patchy interstitial fibrosis • 2) Fibroblastic foci • 3) Honeycomb fibrosis • The dense fibrosis causes the destruction of alveolar architecture and formation of cystic spaces lined by hyperplastic type II pneumocytes or bronchiolar epithelium • Early: exuberant fibroblastic proliferation • Late: areas become more collagenous and less cellular.
  • 246.
    UIP NSIP Spacial/temporalheterogeneity Spacial/temporal homogeneity
  • 247.
    In order todiagnose ILD, you need to use a combination of history, clinical findings, histologic findings, and/or radiographic findings. You cannot rely on one modality alone
  • 248.
    PFTs • ReducedFEV1 • Reduced FVC • Normal FEV1/FVC ratio • Decreased TLC • Reduced DLCO • PFTs At Rest: Diagnosis • PFTs With Exercise • Monitor the effectiveness of treatments • Monitor the course of the disease • The reductions in lung volumes become more pronounced with disease progression. • 3 reasons to do physiologic testing • 1) Clues to diagnostic category • 2) Assess the severity of impairment • 3) Assess change objectively
  • 249.
    2 criteria fordiagnosis of IPF: 1) Exclude other known causes of ILD (ex: sarcoidosis, pneumoconiosis, etc) 2) Diagnose UIP either by HRCT or surgical lung biopsy
  • 250.
    HRCT • Interlobularseptal thickening and reticulation • Symmetrical, lower lobe, subpleural • Macroscopic honeycombing • Symmetrical, lower lobe, subpleural • Traction bronchiectasis • Bilateral infiltrative lesions in the form of small nodules, irregular lines, or ground-glass shadows
  • 251.
    HRCT Interlobular septalthickening Reticulation Honeycombing Traction bronchiectasis
  • 252.
    Mosaic Attenuation: AirTrapping Expiratory Normal
  • 253.
    Bronchoscopy and SurgicalLung Biopsy • Bronchoscopy is diagnostic for sarcoidosis in >90% of cases • Perform bronchoscopy if: • Hemoptysis and radiographic ILD findings are present • Acute onset of ILD • Subacute or chronic presentation of ILD if sarcoidosis, hypersensitivity pneumonitis, pulmonary Langerhans histiocytosis, or infection are suspected • Bronchoscopy is less helpful in patients with radiographic findings that suggest IPF • No established role in assessment of progression or response to therapy • Obtain a lung biopsy in patients with atypical or progressive symptoms and signs: • Age less than 50 years • Fever • Weight loss • Hemoptysis • Signs of vasculitis • Atypical radiographic features • Unexplained extrapulmonary manifestations • Rapid clinical deterioration, or sudden change in radiographic appearance
  • 254.
    Treatment • GeneralLung Disease • Stop smoking • Supplemental oxygen if needed • Immunization against S. pneumoniae and flu • Pulmonary rehabilitation • Consider lung transplantation • Enrollment in clinical trials • End-of-life planning • Specific to ILD • No specific therapy works for IPF • Quality of data for effectiveness of therapy is poor • Immunosuppressive therapy may be effective in some but not others • Immunosuppressive therapy side-effects are common and dangerous • Duration and intensity of appropriate treatment differs markedly
  • 255.
    Anatomy: Pulmonary Interstitium • Definition: Collection of support tissues within the lung that includes the alveolar epithelium + pulmonary capillary endothelium + basement membrane + perivascular and perilymphatic tissue • Divided into 3 zones- • Axial (surrounding bronchovascular tree) • Parenchymal (surrounding pulmonary parenchyma) • Peripheral (adjacent to the pleura)
  • 257.
    Anatomy: Secondary PulmonaryLobule • Smallest unit of lung structure marginated by connective tissue septa: fundamental unit of lung structure • Irregularly polyhedral, variable size (1-2.5 cm) • Contains: • Small bronchiole • Pulmonary artery branch • 12 or fewer acini usually • Marginated by interlobular septa • Contain pulmonary veins and lymphatics • Septa allow for visualization
  • 259.
    Autoimmune Diseases suchas SLE, Rheumatoid Arthritis, Scleroderma, and Dermatomyositis-Polymyositis can cause ILD, but have a much better prognosis and can be treated with immunosuppresive therapy.
  • 260.
    Hypersensitivity Pneumonitis •Spectrum of immunologically mediated, predominantly interstitial, lung disorders caused by intense, often prolonged exposure to inhaled organic antigens • In contrast to Asthma, involves pathologic changes of ALVEOLAR WALLS • A common and potentially treatable cause of ILD • Farmer’s lung (thermophilic actinomyces), Bird-fancier’s lung, Indoor mold • Histology: • Centered on bronchioles • (1) Interstitial pneumonitis, consisting primarily of lymphocytes, plasma cells, and macrophages (NOT EOSINOPHILS) • (2) Noncaseating granulomas in 2/3 of patients • (3) Interstitial fibrosis with fibroblastic foci, honeycombing, and obliterative bronchiolitis (late stages). • Centrilobular nodules on HRCT
  • 261.
    HP Clinical Course • Acute attacks, which follow inhalation of antigenic dust in sensitized patients, consist of recurring episodes of fever, dyspnea, cough, and leukocytosis. • Micronodular interstitial infiltrates may appear in the chest radiograph • Pulmonary function tests show an acute restrictive disorder. • Symptoms usually appear 4 to 6 hours after exposure and may last for 12 hours to several days. They recur with reexposure. • If exposure is continuous and protracted, a chronic form of the disease supervenes, leading to progressive respiratory failure, dyspnea, and cyanosis and a decrease in total lung capacity and compliance.
  • 262.
    Chronic Inflammatory Infiltratecentered on small airways: bronchiolitis Lymphocytic Bronchiolitis Noncaseating Granuloma
  • 264.
    IPF vs. HypersensitivityPneumonitis • Timing • IPF: Gradual onset, chronic non productive cough • HP: Subacute, Symptoms within hours of exposure • Prognosis • IPF: Survival is less than 3 years • HP: Good prognosis if diagnosed in subacute phase • Treatment • IPF: Only lung transplant • HP: Immunosuppression and antigen avoidance
  • 265.
    Sarcoidosis • Systemicdisease characterized by non-caseating granulomas in multiple organs/systems • African American Females, non-smokers, 20-39 • Diagnosis of exclusion: NEVER A SURE THING • Gross Morphology: • Symmetric hilar and mediastinal lymphadenopathy +/- lung infiltrates • Histology • Well-formed nonnecrotizing granulomas composed of aggregates of tightly clustered epithelioid macrophages, often with giant cells. • Granulomas  fibrosis and hyalinization • Stellate inclusions (‘asteroid bodies’) often seen within giant cells of granulomas • Diagnosis w/ bronchoscopy in 90% of cases
  • 267.
  • 268.
    Clinical Course •Clinical manifestations: • Lymph node enlargement • Eye involvement (sicca syndrome, iritis, or iridocyclitis) • Skin lesions (erythema nodosum, painless subcutaneous nodules) • Visceral (liver, skin, marrow) involvement. • Lung involvement occurs in 90% of cases, with formation of granulomas and interstitial fibrosis. Organ Involvement % of patients (n = 725) Lungs & thoracic nodes 95.0 Skin 15.9 Extrathoracic nodes 15.2 Eye 11.8 Liver 11.5 E. nodosum 8.3 Neurologic 4.6 Parotid or salivary 3.9 glands Hypercalcemia 3.0 Cardiac 2.3
  • 271.
    Staging and Therapyof Sarcoidosis • Stages -- based on CXR: • 0 normal • I Bilateral hilar adenopathy (BHL) • II Parenchymal disease and BHL • III Parenchymal disease • IV Fibrosis (perivascular) • 75-90% go into spontaneous remission. The remainder need steroids for treatment. We treat stages 3 and 4. • 10-15% develop severe fibrosis leading to cor pulmonale and death.
  • 272.
    Take Home Point • IPF is a terrible disease; don’t make this diagnosis unless you are positive you are right. • IPF accounts for about half of ILDs • It is a disease of older adults • Prognosis comparable to advanced cancers • No specific treatment works • Diagnosed based on UIP histology without identifiable cause
  • 273.
  • 274.
    Development of PleuralCavities • After cranio-caudal and ventral folding, the coelom is a closed tube that extends from neck to pelvis. The cranial end of the coelom expands and flexes ventrally, while the caudal end expands linearly. These two ends are in communication with one another by narrow, paired pericardialperitoneal canals. These canals will become pleural cavities. • When the lung buds emerge, they expand into the right and left pleural cavities. The portion of the pleural cavity in contact with the lung is the visceral pleura; the portion of the pleura opposite the expanding viscera and in contact with the body wall is the parietal pleura. • INNERVATIONS: • Pleural visceral layer: in contact with expanding organ • Derived from splanchnic mesoderm innervated by autonomic neurons • Visceral pain = dull and poorly localized • Pleural parietal layer: in contact with body wall • Derived from somatic mesoderm and innervated by somatic neurons (C3-C5) • Somatic pain = sharp and well localized
  • 275.
    Rib and OrganRelationships
  • 277.
    Vasculature and Innervationof Chest Wall • Blood supply: • Subclavian artery → internal thoracic (mammary) artery → Anterior intercostal arteries in each intercostal space, enter the costal groove on the internal surface of a rib. • Descending (thoracic) aorta → posterior intercostal arteries in each intercostal space, anastomose with anterior intercostal arteries • Innervation: intercostal nerves (ventral rami of T1-T11 spinal nerves), sympathetic trunk also runs down the vertebral column near the costovertebral joints.
  • 280.
    Describe the courseof the azygos vein in the thorax and abdomen. Discuss the significance of the azygos system. • Azygos vein collects blood from right intercostal veins as well as from hemiazygos vein (& sometimes accessory hemiazygos vein), which collects blood from multiple posterior intercostal veins on left  azygos vein drains into superior vena cava immediately superior to root of the right lung • Azygos vein also connects with inferior vena cava in abdomen providing alternate route of venous drainage from thorax, abdomen, and back in case of obstruction of either superior or inferior vena cava.
  • 282.
    Changes in PleuralSpance • Pneumothorax: air introduced into pleural cavity and develops further as lungs begin to collapse due to their own elastic recoil • Tension Pneumothorax : Air enters pleural cavity but cannot exit causing mediastinum to shift to opposite side of the chest • CONTRALATERAL MEDIASTINAL SHIFT • Open: occurs when parietal pleura is pierced and air enters and exits  loss of negative intrapleural pressure  collapsed lung • IPSILATERAL MEDIASTINAL SHIFT • Spontaneous: occurs when air enters pleural cavity usually due to ruptured bleb (bulla) of diseased lung • Chylothorax: lymph accumulates in pleural cavity due to surgery or trauma that injures thoracic duct • Hemothorax: blood enters the pleural cavity as a result of trauma or rupture of blood vessel
  • 283.
    1° vs 2°Spontaneous Pneumothorax • Primary spontaneous pneumothorax: Occurs without a precipitating event in a person who does not have known lung disease • Risk factors: Smoking, Family history, Marfan Syndrome, Homocystinuria, & Thoracic endometriosis • Secondary spontaneous pneumothorax: Occurs as a complication of underlying lung disease • Risk factors: nearly every lung disease can be complicated by 2° spontaneous pneumothorax • COPD, Cystic Fibrosis, Primary or Metastatic Malignancy, and Necrotizing Pneumonia (bacterial or fungal)
  • 284.
    Management of Pneumothorax • Observe and give 100% O2 if: • Asymptomatic • Pneumothorax is < 20% of the hemithorax • 100% O2 decreases partial pressure of nitrogen in capillary blood, which increases the rate of absorption of the pneumothorax. • Treat with chest tube if: • Symptomatic, or • Pneumothorax is >20% of the hemithorax • Chest tubes and needles inserted to decompress a pneumothorax are inserted in the 2nd ICS at the midclavicular line or 4th/5th ICS in midaxillary line.
  • 285.
    Management of TensionPneumothorax • If there is hemodynamic compromise then the pressure must be relieved immediately by inserting a needle into the pleural space to decompress and then placing a chest tube (tube thoracostomy) to prevent reaccumulation of air.
  • 286.
    Tube Thoracostomy •Purpose: To decompress a tension pneumothorax or spontaneous pneumothorax • Placement: 2nd ICS in the midclavicular line or 4th or 5th ICS in midaxillary line, with patient lying supine. Hook over top of ribs to avoid vasculature and nerves.
  • 287.
    MCC Pleural Effusion • CHF • Pneumonia • Cancer • PE
  • 288.
    Pleural thickening isassociated with restrictive PFTs
  • 289.
    Pneumothorax vs. PleuralEffusion • Exam findings pleural effusion • Dullness to percussion • Absence of fremitus • Diminished or absent breath sounds • Exam findings for pneumothorax: • Hyperresonant sounds on percussion • Diminished fremitus • Diminished/absent breaths sounds
  • 290.
    Fluid attenuates soundwaves; air enhances them.
  • 291.
    Signs of PleuralEffusion • Precordial Exam • S3 gallop  CHF • RV Heave  PE, PAH, Left CHF • Assess Abdomen • Hepatomegaly  CHF, Cancer, Cirrhosis • Splenomegaly • Ascites • Neck • JVD  CHF • Lymphadenopathy  Cancer • Extremities • Clubbing • Cyanosis • Thrombophlebitis  Pneumonia
  • 292.
  • 293.
    Thoracentesis • >10mm of effusion • Seen on US or Lateral Decubitus >10 mm Effusion Yes CHF? Yes Asymmetric effusions, chest pain, fever? Yes: TAP No: OBSERVE No: TAP No: OBSERVE
  • 294.
    Guidelines for Thoracentesis • A Chest X-Ray is NOT needed post diagnostic tap unless: • Air is obtained during the procedure • Patient develops coughing, chest pain, or dyspnea post-procedure • Fremitus is lost over the superior part of the aspirated hemothorax
  • 296.
    Bloody vs. TurbidTaps • Bloody pleural fluid • PF-HCT <1%: Insignificant • PF-HCT 1-20%: Cancer, PE, Trauma • PF/S-HCT >50% : Hemothorax • Turbid fluid: cloudy/opaque • Infection/Empyema- WBCs in the 100,000s • Chylous- Lymphatic blockage  Check triglyceride level • Occurs when lymph accumulates in the pleural cavity due to surgery or trauma that injures the thoracic duct. Can also be caused by malignancy
  • 297.
    Light’s Criteria SENSITIVITY:98% SPECIFICITY: 83%
  • 299.
    Transudate vs. Exudate • Transudate: Clear, Protein Poor • Exudate: Cloudy, Protein Rich • Transudate effusion • CHF, Nephrotic syndrome, or Hepatic cirrhosis • Systemic conditions and hydrostatic pressures that allow leakage from vasculature through an intact endothelium. • Proteins stay inside the blood vessel • Exudate effusion • Malignancy, pneumonia, collagen vascular disease, trauma • Increased Vascular permeability causes increased protein content
  • 300.
    WBC Count •>50% Neutrophils  Acute Process • Parapneumonic Effusion, PE, Pancreatitis • <50% Neutrophils  Chronic Process • Cancer, TB • >85% Lymphocytes • Post CABG • TB • Cancer • RA • Trapped Lung • Lung Rejection • Sarcoidosis
  • 301.
    Eosinophils >10% •Blood in pleural space: Hemothorax • Air in Pleural space: Pneumothorax • Drugs • Asbestos exposure • Pargonimiasis • Churg Strauss Syndrome • RULES OUT TB
  • 302.
    Glucose Levels •LOW pleural fluid glucose level is: • <60 mg/dl • PF-S glucose ratio < 0.5 • DDx for low glucose effusions: • Most common • Complicated parapneumonic effusion (<10 with empyema) • Malignant effusion • Somewhat common • Hemothorax • Rheumatoid arthritis (really low, <10) • TB • Least common • Churg-Strauss syndrome • Paragonimiasis (lung fluke) • SLE
  • 303.
    Amylase • >200IU/L • Pancreatic Disease • Neoplasm • Malignant • Paramalignant • TB • Esophageal Rupture
  • 304.
    Diagnosis of TB • If lymphocytosis is detected in the pleural fluid (PF), test for TB • Most specific, most sensitive test: Pleural Adenosine Deaminase • If PF ADA is >40 U/I, the patient has TB • A PF interferon-gamma level of 140 has similar results to PF ADA • Other tests are not as sensitive or specific. • Less than 40% of PF cultures show TB in TB positive patients. • Other results present in TB pleuritis • <50% neutrophils • >85% lymphocytes • <10% eosinophils (Greater than 10% indicates it is NOT TB) • Positive PF culture • Low PF glucose <60 mg/dl
  • 305.
    Diagnosis of Cancer • WBC differential • > 50% neutrophils = Acute: Pneumonia, PE, Pancreatitis • < 50% neutrophils = Chronic: Cancer or TB • > 85% lymphocytes → Suspect Leukemia (Hodgkin’s or CLL), TB • Cytology • Variable yield: Perform 3 successive thoracentesis studies • If negative yet suspicion is high → VATS • Amylase • > 200 = suggestive of neoplasm • > 600 = poor prognosis • pH • < 7.20 = Poor prognosis (~30 days to live), DRAINAGE INDICATED
  • 306.
    Most common malignancies:lung, breast ovarian…
  • 307.
  • 308.
    Mesothelioma • NONSPECIFICPULMONARY SYMPTOMS • Cough (usually non-productive) • Dyspnea • Focal ache on chest wall (unique symptom) • Pleural effusion signs • Dull to percussion • Decreased respiratory sounds • 60% right-sided, 5% bilateral Effusions • Palpable mass / soft tissue fullness • Ipsilateral splinting or scoliosis • Paraneoplastic syndromes such as hypercalcemia, hypoglycemia, autoimmune hemolytic anemia, hypercoagulable states, and disseminated intravascular coagulation
  • 309.
    Risk Factors forMesothelioma • Personal asbetos exposures • Proximity to persons exposed to asbestos • Smoking • Radiation therapy • Carbon nanotubes • Exposure to Simian Virus 40 (SV40)
  • 310.
    Lower Respiratory Infections • Lower respiratory tract infection is usually synonymous with pneumonia, but also includes other things such as bronchitis and lung abscess. • General symptoms include shortness of breath, weakness, high fever, coughing, and fatigue. • Pneumonia - inflammatory condition of the lung, particularly the alveoli, most commonly caused by bacteria or viruses, less commonly by other microorganisms, drugs, or autoimmune conditions • Productive cough • Fever with shaking chills • Shortness of breath • Sharp/stabbing chest pain with deep breaths • Increased respiratory rate • Confusion in elderly • Acute Bronchitis - self-limited infection of lower respiratory tract causing inflammation of bronchi • Acute, lasting less than 3 weeks • Coughing is main symptom • Wheezing, sputum production, chest pain
  • 311.
    Parapneumonic Effusions Criteria • Parapneumonic exudate - Exudative effusion on the same side as the pneumonia • 3 Criteria for Assessment: These criteria help us decide if a chest tube is indicated for drainage. • A - Size of effusion • 0 - Minimal, <10 mm on lateral decubitus • 1 - Moderate, free flowing, >10mm on lateral decubitus and <½ hemithorax • 2 - Large free flowing effusion >½ hemithorax or loculated effusion or thickened parietal fluid on CT scan • B - Bacteriology • X - Unknown • 0 - Negative culture and gm stain • 1 - Positive culture and gram stain • 2 - Pus • C - pH • X - Unknown • 0 - >7.20 • 1 - <7.20
  • 312.
    Criteria for Drainage: If A is 2 B is 1 or 2 C is 1 Drainage is indicated
  • 313.
    If exudative effusionbut there are no definitive result from all tests, consider PE
  • 314.
    LUNG TUMORS AND MEDIASTINALMASSES
  • 315.
  • 316.
  • 317.
  • 318.
  • 319.
    Quality of Nodule Ground Glass is more likely malignant.
  • 320.
    Overview • Size: • > 3 cm considered a mass and is malignant about 90% of the time • < 1 cm is most likely benign (~15% are malignant) • Location: • Upper lobe lesions more likely to be malignant • Border: • Smooth borders more likely benign whereas a spiculated or lobulated border more likely malignant • Calcifications: • Densely calcified lesions or lesions with central calcifications are often seen in old granulomatous disease • Lamellar or popcorn calcifications more likely to be benign and can be seen in hamartomas • Eccentric or punctate calcifications more likely to be malignant • Quality: • Both solid and ground glass nodules may be malignant • Pure ground glass or mixed nodules more likely malignant than pure solid lesions • Growth Rate: • Most malignancies double in size (doubling time) in less than 400 days. • If a nodule is stable in size for more than 2 years, it’s most likely benign
  • 321.
    Clincial Features IncreasingMalignancy • Older age • Tobacco use • History of prior malignancy • Presence of underlying lung disease
  • 322.
    “Most commonly, solitaryor multiple pulmonary nodules are the sequelae of a prior granulomatous infection. Other etiologies include benign/malignant tumors, active infection, inflammatory disease, bronchogenic cysts, and vascular malformations.”
  • 323.
    Hamartoma • Mostcommon benign pulmonary tumor • Often exhibit specific characteristics (smooth border, lamellar calcifications, fat density) that allow for the appropriate diagnosis without intervention. • The lung is the site of > 90% of all hamartomas that are diagnosed. • Histopathologic: • Islands of cartilage and entrapped respiratory epithelium • Connective tissue intersected by epithelial clefts of columnar cells • Radiologic: • Smooth, well-circumscribed round nodules that are less than 3-4 cm in diameter • CT • May demonstrate lamellar or popcorn calcifications and also often have variable soft tissue density (including fatty density)
  • 324.
  • 325.
  • 326.
    Adenocarcinoma • Adenocarcinomais the most common cell type of lung cancer and is notably the most common lung cancer diagnosed in nonsmokers • Histopathology • Presence of glandular differentiation and/or mucin production (80%) within the tumor • Distinct growth patterns defined including acinar, papillary, bronchioalveolar, and solid • Vesicular nuclei • Intact sheets on fine needle aspiration • Clinical Presentation • Hypertrophic Osteoarthropathy • Pancoast Syndrome • PERIPHERAL LESIONS • Grow more slowly than Squamous Cell Carcinoma but metastasize widely and early
  • 327.
  • 328.
    Squamous Cell Carcinoma • Smoking is a key risk factor • Histopathology: • Presence of keratinization and/or intercellular bridges • Often presents with central lesion found near lung hila • Clinical Presentation • Production of PTHrp results actions identical to that of PTH with what may be profound hypercalcemia with associated hypophosphatemia. Endogenous PTH is suppressed.
  • 329.
  • 330.
    Small Cell LungCancer • SCLC is derived from neuroendocrine cells within the lung. • Histopathology • The cells are relatively small with scant cytoplasm and small hyperchromatic nuclei. • The chromatin exhibits a salt and pepper granular pattern. • The mitotic counts are typically very high. • Clinical Presentation • Clinically, these tumors often present at late stages when the disease is widely metastatic given the rapid proliferation rate. • Central lesion with endobronchial growth. • SVC Syndrome • SIADH (Hyponatremia) • Eaton Lambert Syndrome • Cushings and Antineuronal Antibody • Very Aggressive, Poor Prognosis
  • 331.
  • 332.
    Pancoast Syndrome •Destruction of nerve roots of brachial plexus causes neuropathic pain in ulnar distribution • Horner’s syndrome (ptosis, miosis, anhidrosis) due to extension into sympathetics • Common in adenocarcinoma (PERIPHERAL)
  • 333.
    SVC Syndrome •Obstruction of SVC by tumor • Enlarged mediastinal lymph nodes • Dyspnea - worse with leaning forward or laying down • Chest pain • Facial/upper extremity edema • Headache • Common in SCLC
  • 334.
    Malignant Pleural Effusion • Large • Frequently bloody (hemorrhagic pleuritis) • Cytologic examination may reveal malignant and inflammatory cells • Dyspnea, cough, uncomfortable feeling/pain in chest • Pleural fluid will likely have low glucose (<60 mg/dl), >85% lymphocytes. Amylase (>600 IU/L) and pH <7.20 indicate a poor prognosis
  • 335.
    Paraneoplastic Syndromes •Eaton-Lambert syndrome: SCLC • Pesynaptic Ca2+ channel autoAb reduction in ACh in synaptic cleft  muscle weakness • improves with repetitive stimulation • SIADH: SCLC • increased antidiuretic hormone  resorption of excess H2O and hyponatremia  confusion/seizures • cerebral edema • neurologic dysfunction • Cushing’s Syndrome: SCLC • Increased ACTH  Increased Glucocorticoid Action • HTN, weight gain, truncal obesity, “moon facies”, “buffalo hump”, hyperglycemia, glycosuria, polydipsia, osteoporosis, increased infection risk, hirsutism, menstrual abnormalities, mental disturbances
  • 336.
    IHC Staining •EGFR → use erlotinib and gefitinib - kinase inhibitors • ALK → Crizotinib - tyrosine kinase inhibitor • Found in Adenocarcinoma and Squamous Cell Carcinoma
  • 337.
    Mediastinal Tumors •Anterior mediastinal masses: 4 T’s • Thymoma/thymic tumors (rare in children) = associated w/ myasthenia gravis. • Thyroid (including goiter) • Teratoma/germ cell tumor • Terrible lymphoma • Middle • Thyroid tumor or goiter • Tracheal tumors • Bronchogenic cysts • Lymphoma • Lymphadenopathy - from metastatic spread or infection • Posterior • Neurogenic tumors • Esophageal tumors • Hiatal hernias
  • 339.
    Teratoma • Tumorconsisting of cells derived from all three germ layers • Originate from totipotent cells of the ovaries or testes. • Often these tumors are cystic in nature and when they’re resected things like teeth, hair and sebaceous material are found inside
  • 340.
    Thymoma • Mostcommon primary tumor of the anterior mediastinum in adults (20-30%) • Rarely seen in children. • Paraneoplastic syndromes • Myasthenia gravis is present in 50-70% of thymomas. • Pure red cell aplasia and hypogammaglobulinemia. • Most thymomas are well encapsulated and have a benign prognosis. • Histopathology: Thymic epithelial cells with mixed lymphocytic cells
  • 341.
    Myasthenia Gravis •Muscle weakness is caused by circulating auto antibodies that block acetylcholine receptors at the postsynaptic neuromuscular junction, inhibiting the excitatory effects of the neurotransmitter acetylcholine on nicotinic receptors at neuromuscular junctions. • Improves with acetylcholinesterase inhibitor • 30-65% of people with thymomas (highly associated!) • Does improve when thymoma removed
  • 342.
    Lymphoma • Proliferationof lymphocytes that appears typically as a distinct mass • Medial mediastinum
  • 343.
  • 344.
  • 345.
    Diagnostic Criteria •ARDS Definition • Acute pulmonary symptoms within one week • Bilateral opacities consistent with pulmonary edema on CXR • Respiratory failure not explained by cardiac failure or fluid overload • Moderate to severe impairment of oxygenation must be present defined by a ratio of arterial oxygen tension to fraction of inspired oxygen (PaO2/FiO2) <300. • The severity of the hypoxemia defines the severity of the ARDS
  • 347.
  • 348.
    Direct Causes ofARDS • Community acquired pneumonia • Influenza pneumonia - common flu. • Toxic Gas Inhalation • Nitrogen dioxide • High concentrations of oxygen • Aspiration • Gastric contents - chemical burn from acidic contents • Damage to alveolar epithelium • Salt water - hypertonic to plasma • Draws fluid from the circulation • Fresh water - hypotonic to plasma and cellular contents • Cellular edema; also inactivates surfactant • Aspirated hydrocarbons • Toxic to distal parenchyma; also inactivates surfactant
  • 349.
    Indirect Causes ofARDS • Sepsis - MOST common. • Pancreatitis • Trauma • Transfusion • Neurogenic causes • Intracranial bleeding • Increased ICP • Generalized Seizures • Disseminated Intravascular Coagulation (DIC) • Intoxication (ASA, cocaine, opioids)
  • 350.
    Pathologic Changes •Early exudative phase: Reaction • Alveolar lumen and septa • Scattered bleeding and regions of alveolar collapse related to inactivation of surfactant by protein rich exudates and reduced surfactant production resulting from damage to type II alveolar cells • Nonspecific inflammatory response resulting in infiltration of neutrophils and macrophages • Hyaline membranes (thin layer of protein tissue) forming from the protein rich edema (fibrin, cellular debris, plasma proteins) that deposits on the alveolar membrane • Later proliferative phase: Repair • Occurs approx. 1 to 2 weeks • Alveolar type II epithelial cell hyperplasia to replace damaged type I cells • Accumulation of fibroblasts in the pulmonary parenchyma • Fibrotic Phase: • Development of scar tissue • Extensive remodeling of small pulmonary vessels including intimal and medial proliferation • Formation of in situ thrombi
  • 351.
    Shunting and V/QMismatch • V/Q Mismatch in ARDS: Results from nonuniform distribution of the pathologic process within the lungs • Areas of more edematous interstitium and where more fluid is present in the alveoli have more impaired ventilation • Changes in blood flow do not follow the same distribution as the nonuniform changes in ventilation • Pulmonary vascular remodeling – constriction and pressure lead to decreased size of lumen • True Shunting: regions where V/Q ratio = 0 • Results from alveolar flooding • Act as regions where blood is shunted from the pulmonary arterial to venous circulation without being oxygenated • Secondary alterations to surfactant: • Surfactant production can be reduced due to type II cell damage in alveoli • Extensive fluid within the alveoli results in inactivation of surfactant
  • 352.
    The decreased complianceand low FRC in ARDS are not associated with homogeneously affected alveoli but rather with heterogeneous disease involvement.
  • 353.
    Low Tidal VolumeVentilation • It is thought that ventilating ARDS patients at a low tidal volume prevents distension of alveoli leading to release of deleterious inflammatory markers.
  • 354.
  • 355.
    5 A’s forTreating Tobacco Use • Ask if a patient uses tobacco • Providers should identify and document tobacco use status for every patient at every visit • Advise to quit • Assess willingness to make a quit attempt • Assist in quit attempt • If a patient is willing to make the attempt, offer medications and provide/refer for counseling or additional treatment to help the patient quit • Arrange follow up • Quit date should be within the next two weeks • Followup contacts should be within the first week after the quit date
  • 356.
    Stages of Change • The Stages of Change model suggests that people move through a series of steps before making a change in their lives • Pre-contemplation - not thinking about making a change • Contemplation- unsure about the change • Preparation- ready for change • Action- engaged in change • Maintenance- sticking with the change/keeping it going • Eventually there is a 6th phase known as extinction, where the ‘agony of temptation’ disappears. There is also a relapse stage, which is defined as regression to an earlier stage. Most successful changes have likely cycled through all or some of these stages several times before reaching maintenance or extinction.
  • 357.
    Clinicians can understanda person’s stated readiness to change in greater depth by exploring their expectations of the costs and benefits of change and their confidence in remaining abstinent. The assumption is that for a person to move into the preparation stage (‘I’m ready to try’) they must believe that change is worthwhile (‘motivation’) and they can succeed (‘confidence’).
  • 358.
    Motivational Interviewing •Motivational interviewing: A directive, client-centred counseling style for helping client explore and resolve ambivalence about behaviour change • Building patient rapport • Assessing patient’s place on the Stage of Change scale • The examination of pros and cons • Information giving • Addressing low confidence and help with decision making • Express empathy • Develop discrepancy • Roll with resistance • Support self-efficacy
  • 359.
  • 360.
    Mechanisms of ImmuneProtection • Innate • 1. Removal of microbial organisms by entrapment in mucous blanket and movement on mucociliary elevator • 2. Phagocytosis by alveolar macrophages (which are then transported out by mucociliary elevator) • 3. Phagocytosis and killing by neutrophils recruited by macrophage factors • 4. Activation of alternative complement pathway and opsonin C3b enhances phagocytosis • 5. Organisms, including those ingested by phagocytes, may reach draining lymph nodes to initiate immune responses • Adaptive • 1. Secreted IgA blocks attachment of microorganism to epithelium in the upper respiratory tract • 2. Serum antibodies (IgM, IgG) in the lower respiratory tract activate complement via the classic pathway • 3. Accumulation of T cells controls infections by viruses and other intracellular microorganisms
  • 361.
    2 Modes ofEntry Inhalation Aspiration Rarely Hemtogenous
  • 362.
    Factors Predisposing toInfection • Factors that affect resistance to infection in general • Chronic disease • Immunologic deficiency • Immunosupressants • Leukopenia • Compromise of local defense mechanisms • Loss or suppression of cough reflex • Injury to the mucociliary apparatus • smoking, inhalation of hot/corrosive gases, viral disease, or genetic defects (e.g. immotile cilia syndrome) • Accumulation of secretions • CF, bronchial obstruction • Interference with phagocytosis • Alcohol, tobacco smoke, anoxia, oxygen intoxication • Pulmonary congestion and edema
  • 363.
    Pneumonia Clinical Presentation • Symptoms • Fever (with or without chills) • Cough (with or without sputum production) • Nonproductive cough suggests viral or mycoplasmal pneumonia • Blood tinged or rusty suggests bacteria pneumonia • Dyspnea • Pleuritic chest pain due to inflammation adjacent to the pleura • Signs/Physical exam findings • Fever • Tachycardia, tachypnea • Crackles over affected area on auscultation • Bronchial breath sounds, increased tactile fremitus, egophony • Dullness to percussion with frank consolidation or effusion • Elevated WBC count
  • 364.
    Typical vs. AtypicalPneumonia • Typical pneumonias: lobar and bronchopneumonia • More lobar consolidation, alveolar exudate, sputum production than atypical pneumonias • Pathogens • S. pneumonia : lobar • Staph aureus : bronchopneumonia • Haemophilus : bronchopneumonia • Klebsiella : lobar • Legionella : : bronchopenumonia • Atypical pneumonias: interstitial pneumonias • Pathogens • Mycoplasma ; interstitial • Chlamydophila : interstitial • Coxiella : interstitial • Viruses : interstitial
  • 365.
    ▪ The termatypical organisms is used for Mycoplasma pneumoniae, Chlamydophila pneumoniae, Coxiella burnetii, and viruses since they are not detectable on Gram stain nor do they grow on the standard bacteriologic culture media. Intracellular organisms (also include Legionella)
  • 366.
    Sputum Sampling •Taken early morning after patient wakes up • Prior to antibiotic treatment • Mouth rinsed before expectoration • No food 1-2 hours before • Quick transport to lab for culturing • Fewer than 10 squamous epithelial cells • >10 indicates it is spit as oppose to a sample from lower tract • Sputum use is controversial b/c of varying quality of sputum samples • Poor quality specimen may provide inadequate or inaccurate information • Can be difficult to assess b/c of contamination with upper respiratory species
  • 367.
    LRIs • Pneumonia:any infection of the lung parenchyma/alveoli; fever, cough, dyspnea, leukocytosis, pleuritic chest pain • Causative viruses: Influenza, adenovirus, RSV, SARS-coronavirus, measles, hantavirus • Causative bacteria: S. pneumoniae , S. aureus, M pneumoniae, M. catarrhalis, Legionella, Klebsiella, Pseudomonas, Coxiella Burnetti • Bronchitis: infection of the trachea and large bronchi; hallmark is cough, sputum production • Causative viruses: any respiratory virus • Bronchiolitis: infection of the small airways; cough, dyspnea; often seen in infants • Causative viruses: RSV, metapneumovirus
  • 368.
    Bronchitis vs. Pneumonia • It is important to distinguish acute bronchitis from pneumonia, which usually indicates need for antibiotic therapy. • Fever is an unusual sign in patients with acute bronchitis and suggests the presence of either influenza or pneumonia. • Patients with the combination of cough, fever, sputum production, and constitutional symptoms are more likely to have influenza or pneumonia. • Patients with acute bronchitis have few systemic symptoms. • They may have chest wall tenderness related to muscle strain from coughing. Wheezing may also occur. Cough in patients with acute bronchitis usually lasts from 10 to 20 day
  • 369.
    S. Pneumonia •Normal inhabitant of the oropharynx • Gram-positive coccus seen in pairs or diplococci. • MOST COMMON cause of community acquired pneumonia • Frequently occurs following a viral upper respiratory tract infection. • The organism has a polysaccharide capsule that interferes with phagocytosis and therefore is an important factor in its virulence • Typically causes lobar pneumonia • Test sputum • Vaccine available
  • 370.
    S. Pneumonia Vignette • An elderly woman presents with a cough producing rusty-colored sputum. She complains of sharp right-sided chest pains, chills, and fevers. Physical exam reveals increased fremitus, dullness to percussion, and bronchial breath sounds on the lower right side. CXR shows right lower lobe consolidation, and Gram stain of sputum shows Gram diplococci. Physicians begin treatment with cephalosporins.
  • 371.
    H. Influenza •Gram negative coccobacillia, encapsulated and nonencapsulated • 6 capsule serotypes, B is most virulent; B is in vaccine. • H. influenzae pneumonia is a pediatric emergency and has a high mortality rate. • Descending laryngotracheobronchitis results in airway obstruction as the smaller bronchi are plugged by dense, fibrin-rich exudates containing neutrophils, similar to that seen in pneumococcal pneumonias. • Pulmonary consolidation is usually lobular and patchy but may be confluent and involve the entire lung lobe • H. influenzae is the most common bacterial cause of acute exacerbation of COPD.
  • 372.
    S. Aureus •Staphylococcus aureus is an important cause of secondary bacterial pneumonia in children and healthy adults following viral respiratory illnesses • Causes bronchopneumonia • Staphylococcal pneumonia is associated with a high incidence of complications, such as lung abscess and empyema. • Intravenous drug users are at high risk for development of staphylococcal pneumonia in association with endocarditis. • It is also an important cause of hospital-acquired pneumonia.
  • 373.
    Legionella • Gramnegative coccobacilli • Flourishes in artificial aquatic environments • Mode of transmission is either inhalation of aerosolized organisms or aspiration of contaminated drinking water. • Legionella pneumonia is common in individuals with predisposing conditions such as cardiac, renal, immunologic, or hematologic disease. • Organ transplant recipients are particularly susceptible. • Rapid diagnosis is facilitated by demonstration of Legionella antigens in the urine or by a positive fluorescent antibody test on sputum samples; culture remains the diagnostic gold standard. • Often seen in elderly smokers
  • 374.
    Legionella Vignette •A 67-year-old man with a history of heavy smoking comes to the doctor complaining of “the flu.” He has a fever, loss of appetite, headache, chest pain, and a mild cough producing little sputum. The doctor believes that the watery diarrhea that the man also suffers from is related. Sputum sample reveals many neutrophils but no bacteria. CXR reveals nodular infiltrates. Serum tests are negative for cold agglutinins
  • 375.
    Aspiration Pneumonia •Aspiration pneumonia occurs in markedly debilitated patients or those who aspirate gastric contents either while unconscious (e.g., after a stroke) or during repeated vomiting. • Abnormal gag and swallowing reflexes that predispose to aspiration. • The resultant pneumonia is partly chemical due to the irritating effects of gastric acid, and partly bacterial (from the oral flora) • Typically, more than one organism is recovered on culture, aerobes being more common than anaerobes. • This type of pneumonia is often necrotizing, pursues a fulminant clinical course, and is a frequent cause of death. • In those who survive, lung abscess is a common complication. • ANAEROBIC, right lower lobe!!!
  • 376.
    Nosocomial Pneumonia •Bacteria • Staphylococcus aureus, methicillin-sensitive and resistant • Pseudomonas aeruginosa • Streptococcus pneumoniae • Gram-negative rods • Enterobacteriaceae ( Klebsiella spp., Serratia marcescens, Escherichia coli) • Pseudomonas spp. • Risk Factors • Hospitalization of at least 2 days within the recent past • Presentation from a nursing home or long-term care facility • Attending a hospital or hemodialysis clinic • Recent intravenous antibiotic therapy • Chemotherapy or wound care.
  • 377.
    Mycoplasma • Mycoplasmapneumoniae most commonly affects young people, especially those in close quarters (prisons, military bases). • CXR often looks worse than symptoms suggest. • Mycoplasmas are the smallest free-living organisms and are the only bacteria to (1) have no cell wall and (2) have cholesterol in their membranes • Diagnosis: cold hemagglutination, no cell wall, fried-egg appearance on culture, serology • Complications: autoimmune hemolytic anemia or erythema nodosum • Beta lactam resistant
  • 378.
    Mycoplasma Vignette •A young woman at an army base thinks she has a cold and goes to her doctor. She complains of malaise, chills, sore throat, and dry cough. CXR shows interstitial infiltrate more severe than suggested by her symptoms. Laboratory tests indicate that the woman’s serum was capable of agglutinating erythrocytes when incubated at 4°C. The doctor prescribes erythromycin.
  • 379.
    Chlamydia • A22-year-old student presents with a nonproductive cough, fever, and sore throat. CXR demonstrates diffuse interstitial infiltrate. Sputum Gram stain shows many PMNs but no organisms, and a Giemsa stain reveals intracytoplasmic inclusions in epithelial cells. Doxycycline treatment is begun. • Atypical Pneumonia • Affects young people • Phagocytosed by macrophages  Intracellular replication • Giemsa stain to visualize intracytoplasmic inclusions
  • 380.
    Bacterial pneumonias arecharacterized by predominantly intra-alveolar neutrophilic inflammation Viral pneumonia shows interstitial lymphocytic inflammation. Characteristic viral inclusions may be seen.
  • 381.
    Viral Pneumonia •RSV • Most common cause of Atypical Pneumonia in infants • Influenza • Atypical pneumonia in elderly, immunocompromised and patients with preexisting lung disease • Increases risk of secondary bacterial pneumonia • CMV • Atypical pneumonia post-transplant
  • 382.
    Coccidiodes • Anold man and his great grandson visit Death Valley National Park in the deserts of Southern California. Upon returning from their visit, the man develops breathing difficulties along with arthralgias, periarticular swellings, and erythema nodosum. X-rays reveal a pneumonic infiltrate as well as granulomas. A diagnosis is confirmed by observing spherules containing individual endospores in tissue specimens. As expected, the child remains unaffected but several weeks later tests positive for a fungal antigen DTH reaction. • Affects Immunocompromised • Dx: • Serology • Culture at different temperatures: • Branched hyphae at 25°C • Single cells at 37°C
  • 383.
    Histoplasmosis • Anelderly cave explorer in Ohio complains to his physician of weakness in the last few months. A physical exam reveals sores in his mouth, and X-ray shows small calcifications throughout the body. A lung biopsy reveals small budding cells within macrophages. Based on his age, location, and biopsy results, the physician begins the patient on oral amphotericin B. • Normal individuals can develop a mild pneumonia after prolonged exposure to bird droppings (e.g., chicken farmers). • Disseminated histoplasmosis is often a sign of AIDS • Dx: • Culture at different temperatures: • Branched hyphae at 25°C • Singgle cells at 37°C • Tissue biopsy: yeast cells within macrophages • Serology
  • 384.
    Pneumocystis Jirocevi •A homeless man arrives at the EW complaining of difficulty in breathing. His medical history is not obtainable, but the man does report increasing fatigue and weight loss over the past few months. Physical exam reveals lymphadenopathy, tachypnea, and bilateral rales in the lung bases. Chest X-ray shows diffuse infiltrates bilaterally. The doctor decides to perform a bronchial lavage and, with silver stain, reveals numerous cysts containing several dark oval bodies. The doctor begins the patient on TMP-SMX and orders an HIV and blood test. • Opportunistic infection in immunocompromise!!
  • 385.
    DIAGNOSIS • Microbiological • Direct microscopy • Culture • Histopathological • Microscopy • Immunohistochemistry (research only) • Immunologic and biochemical • Serum antibody • Antigen
  • 386.
    DIRECT MICROSCOPY FungusMicroscopic Appearance Cryptococcus neoformans Spherical, budding yeasts, 2–15 μm dia; ± capsule; no hyphae or pseudohyphae Blastomyces dermatitidis 8–15 μm dia, thick-walled, budding yeast cells; broad-based junction; may appear multinucleate Histoplasma capsulatum 2–4 μm dia, intracellular, budding yeasts Coccidioides immitis Spherical, thick-walled spherules, 20–30 μm dia; mature spherules contain small, 2–5 μm diameter endospores
  • 387.
    DIRECT MICROSCOPY FungusMicroscopic Appearance Pneumocystis jiroveci Cysts are round, collapsed, or crescent shaped; trophozoites seen on staining with giemsa or immunofluorescent stains Aspergillus spp. Hyaline, septate, dichotomously branching hyphae of uniform width (3–6 μm dia) Candida spp. 4-6 μm dia, thin-walled, ovoid yeasts; budding and pseudohyphae may be seen, but are not invariably present Zygomycetes (aka Mucormycotina) Broad, thin-walled, pausi-/aseptate hyphae, 6–25 μm dia with nonparallel sides and random
  • 388.
    CULTURE • Limitations • Colonization of respiratory tract without invasion is common with Candida, Aspergillus, other molds • Lack of growth of molds in culture not uncommon even when seen on histopathology • Full identification may require several weeks • Blood Cx need to be ordered as separate fungal Cx
  • 389.
    HISTOPATHOLOGICAL • Evidenceof tissue invasion is gold standard for Candida, Aspergillus, Zygomycetes, other molds • Biopsy findings: • Caseating or necrotizing granulomas with intracellular organisms inside macrophages (eg, H. capsulatum, C. immitis) • Fungal hyphae in infection with Aspergillus and Mucor species • Intracellular yeast organisms in Candida species infections
  • 390.
    Complications of Pneumonia • Lung abscess • area of suppurative necrosis w/in lung parenchyma • abscess has a wall and a cavity filled with pus and organisms • complication of necrotizing bacterial pneumonias • Anaerobes, S. aureus, S. pyogenes, K. pneumoniae, Pseudomonas • Common in lower lobe from aspiration • Empyema • Pus in the pleural cavity • Purulent material, high white cell count • Normally-existing cavity • May be caused by abscess rupture • May be caused by bacteria invading the pleural space
  • 391.
    Treatment of Pneumonia • Ceftriaxone and Azithromycin
  • 392.
    Pertussis • Pertussis,also known as "whooping cough," is a highly contagious, acute respiratory illness caused by Bordetella pertussis. • Clinical Presentation: 3 phases • Catarrhal • Paroxysmal • Convalescent • Diagnosis • Culture and PCR • Treatment • Antibiotic therapy late in disease will not affect symptoms but may prevent spread of the illness • Antibiotics are recommended for patients with sx <2 weeks • Azithromycin or Clarithromycin • TDAP vaccine and boosters • Postexposure prophylaxis
  • 393.
    Pertussis Clinical Presentation • Catarrhal - 1-2 weeks • Begins after incubation period of 3-12 days • Nondistinctive symptoms of congestion, rhinorrhea, low-grade fever, sneezing, lacrimation and conjunctival suffusion • Paroxysmal - 2-6 weeks • Marked by the onset of cough - dry intermittent, irritative hack, paroxysmal cough • Convalescent - 2 or more weeks • Number, severity, and duration of coughing episodes diminish • Infants < 3 months of age do not display the classic stages
  • 394.
    Paroxysmal Cough •Cough begins as dry, intermittent, irritative hack • Evolves into paroxysms: • Machine gun burst of uninterrupted cough on a single exhalation • Chin and chest forward • Tongue protruding maximally • Eyes bulging and watering • Face purple • This goes on until coughing ceases and a loud whoop follows as inspired air traverses the still partially closed airway • Post-tussive emesis common
  • 395.
    Croup • Croupis a respiratory illness characterized by inspiratory stridor, cough, and hoarseness. These symptoms result from inflammation in the larynx and subglottic airway. A barking cough is the hallmark of croup among infants and young children, whereas hoarseness predominates in older children and adults. • Parainfluenza virus is the most common cause • Dx: The diagnosis of croup is clinical, based on the presence of a barking cough and stridor. • Neither radiographs nor laboratory tests are necessary to make the diagnosis.
  • 396.
    Tuberculosis • ClinicalPresentation • Caseous necrosis • Malaise • Anorexia • Weight loss • Low grade fever • Night sweats • Sputum • Hemoptysis • Pleuritic pain • Many extrapulmonary complications • Rx: • Active: Daily rifampin, isoniazid, pyrazinamide, and ethambutol for 2 months, then isoniazid and rifampin for 4 months • Latent TB: 9 months daily isoniazid
  • 397.
    TB Diagnosis •HPI, travel history, HIV history, exposure history, etc. • Radiology • Calcified primary complexes • Large air space/cavitary lesion(s) • Sputum smears for AFB • Bacterial culture • 17-21 days but can take up to 6 weeks
  • 398.
    TB Transmission •Human transmission through respiratory droplets • Droplet nuclei are very small • 1-5 μm • Remain airborne and infectious for 30 min • Inhaled to alveoli • Phagocytosed by alveolar macrophages • Replication inside macrophage triggers local immune response
  • 399.
  • 400.
    Risk Factors: VenousThromboembolism • Immobilization (e.g., bed rest, prolonged sitting during travel, immobilization of an extremity after fracture) • Postoperative state • Congestive heart failure • Obesity • Underlying carcinoma • Pregnancy and the postpartum state • Oral contraceptives • Chronic deep venous insufficiency. • Patients at particularly high risk are those who had trauma or surgery related to the pelvis or lower extremities, especially hip fracture or hip or knee replacement. • A number of genetic predispositions to hypercoagulability are recognized • Deficiency or abnormal function of, antithrombin III, protein C, protein S • Abnormal variants of some of factor V and prothrombin
  • 401.
    Virchow’s Triad •Hypercoagulability - an increased chance of producing a thrombus. Many genetic defects can cause hypercoagulability. The most commonly found is factor V Leiden, which causes the factor V protein to become resistant to protein C. • Hemodynamic changes - this mainly refers to stasis, which allows thrombi to form predominantly in the lower extremity venous system. • Endothelial injury/dysfunction - mainly caused by shear stress or hypertension. Can release factors and expose proteins that incite thrombus formation.
  • 402.
    Hypoxemia in PE • Occlusion by an embolus  perfusion of pulmonary capillaries normally supplied by that vessel ceases • DEAD SPACE and V/Q MISMATCH • Hyperventilation and hypocapnia • Increase in pulmonary vascular resistance. • Right ventricle cannot cope with the acute increase in afterload • BP falls  syncope or cardiogenic shock. • Thrombi result in release of chemical mediators • Platelets tare an important source of histamine, serotonin, and prostaglandins. • Increased release of endothelin-1 (potent vasoconstrictor) • Decreased production of NO (vasodilator) • Bronchoconstriction • Synthesis of surfactant in the affected alveoli is compromised • Alveoli may be more likely to collapse, and liquid may more likely leak into alveolar spaces. • Shunt physiology may also contribute to hypoxemia because of either perfusion of atelectatic lung or elevated right heart pressures producing intracardiac shunting across a patent foramen ovale.
  • 403.
    Diagnosis • Diagnosisof acute pulmonary embolism can be challenging, and the approach depends on the clinician's level of suspicion, or pretest probability, of pulmonary embolism. • For patients in whom the diagnosis is considered less likely, the clinician may start with a d-dimer assay. Most patients who present with acute dyspnea or chest pain will have a chest radiograph and oxygen saturation checked by finger oximetry. • Traditionally, the major screening test for pulmonary embolism has been the perfusion lung scan but contrast computed tomographic angiography (CTA) is increasingly used either instead of or in addition to perfusion lung scanning. • Evaluation of the large veins in the lower extremities, typically using ultrasound techniques, is another commonly used diagnostic strategy. Identification of a clot in a vein above the popliteal fossa warrants the same treatment as a documented pulmonary embolus and often obviates the need for further evaluation.
  • 404.
    Clinical Presentation •Commonly the embolus produces no significant symptoms, and the entire episode goes unnoticed by the patient and physician. • Dyspnea is the most frequent complaint. • Less common is pleuritic chest pain or hemoptysis. • Syncope is an occasional presentation • On physical examination: • Tachycardia and tachypnea. • May show decreased air entry, localized crackles, or wheezing. • With pulmonary infarction extending to the pleura, pleural friction rub • Second heart sound (P2), right S4, and a RV heave may be present. • If RV fails, right S3 may be heard, and JVD seen • Tenderness, swelling, or a cord on lower extremities
  • 405.
    CXR • Frequentlythe chest radiograph is normal. • When it is not, the abnormalities often are nonspecific, including areas of atelectasis or elevation of a hemidiaphragm, indicating volume loss • Westermark sign: localized area of decreased lung vascular markings corresponding to the region where the vessel has been occluded • Hampton hump: Both congestive atelectasis and infarction may appear as an opacified region on the radiograph. Classically the density is shaped like a truncated cone, fanning out toward and reaching the pleural surface.
  • 406.
  • 407.
  • 408.
  • 409.
    ECG • S1Q3T3sign is seen in 15-25% of patients diagnosed with PE. It is a sign of acute cor pulmonale (acute pressure and volume overload of the right ventricle because of pulmonary hypertension) and reflects right ventricular strain. This sign consists of a prominent S wave in lead I and inverted Q and T waves in lead III. • Other ECG findings are sinus tachycardia, T wave inversion in leads V1-V3, right bundle branch block, and low amplitude deflections. • “The ECG is often abnormal in PE, but findings are neither sensitive nor specific for the diagnosis of PE.”
  • 410.
    D-Dimer • D-dimeris a degradation product of cross-linked fibrin, and therefore levels are increased in the setting of thrombosis of any type. • Plasma levels of d-dimer increase in the setting of venous thrombosis but are also increased in many other conditions, including trauma, surgery, cancer, and inflammation. • D-dimer testing for venous thrombosis or pulmonary embolism is very sensitive, but nonspecific. • Thus, a normal d-dimer level is helpful, especially in the patient with a low pretest probability of having a pulmonary embolus, but an elevated level is considered nonspecific and therefore nondiagnostic.
  • 411.
    V/Q Scan •Perfusion (Q) lung scan • Inject radiolabeled albumin particles into a peripheral vein • If results of the scan are normal, pulmonary embolism is, for all practical purposes, excluded. • OBSTRUCTED = Absence of perfusion to the region of lung supplied by the occluded vessel • Abnormalities do not automatically indicate embolic disease • Ventilation (V) scan • Inhalation of a xenon radioisotope • Added because if regions of decreased blood flow are secondary to airway disease, corresponding abnormalities should be seen on the ventilation scan. • Perfusion defect due to PE = ventilation still will be present in the area, and the perfusion defect will be mismatched • Perfusion defect due to parenchymal disease (e.g., pneumonia) = corresponding abnormality should be seen on the chest radiograph. • NOT DEFINITIVE
  • 412.
    CTA • Pros: • Significant advantage of high-quality visualization of the lung parenchyma • CTA is more likely to be diagnostic than perfusion scanning, and it is less invasive than traditional pulmonary angiography • Can be performed quickly and is more readily available than ventilation-perfusion scanning. • Cons: • Radiation dose associated with CTA, especially to the breast and chest, is significantly higher than with ventilation-perfusion scanning • Must weigh the risk and benefits for the individual patient as well as the practical issues of test availability and interpretation for each patient in whom the diagnosis of PE is being considered.
  • 414.
    Treatment • Anticoagulation:Gold standard, immediate onset of action • Initially, IV unfractionated heparin or subcutaneous LMWH, and then an oral warfarin (for at least 3-6 months) • Thrombolysis: for severe, sustained hemodynamic compromise • tPA, streptokinase, urokinase, tenecteplase (TNK) • Inferior vena caval filter: Anticoagulation not an option • Trap thrombi from the LE en route to the pulmonary circulation • Used if there are contraindications to anticoagulant therapy, thromboemboli have recurred, or if the patient has such limited pulmonary vascular reserve that additional clot to the lungs would be fatal.
  • 416.
    Prognostic Significance ofRH Strain • RV enlargement in this setting is associated with an increased likelihood of death within 30 days
  • 417.
    Thrombolysis is usedfor severe, sustained hemodynamic compromise Patients in shock and hypotensive have more adverse outcomes.
  • 418.
    IV Heparin isthe first line therapy used for low risk category patients
  • 419.
    Prevention of DVT • 1. External compression of the lower extremities with an intermittently inflating pneumatic device (IPC) • 2. Heparin administered subcutaneously in low dosage.

Editor's Notes

  • #170 What are the differences? Why are they there?