HISTOLOGY AND 
PATHOLOGY
BLOOD VESSELS
Functional Roles of Blood Vessels 
• Elastic arteries (e.g. aorta) = conducting vessels 
• Muscular arteries (medium-sized arteries) = distributing vessels 
• Arterioles = resistance vessels 
• Capillaries = exchange vessels 
• Veins = capacitance (reservoirs)
Image Explanation 
• This TEM image shows a continuous capillary, such as are 
found in muscle cells, general connective tissues and the 
central nervous system (CNS). This is a continuous (somatic) 
capillary because of its round shape, its continous endothelium 
(no fenestrations or discontinuities) and because of the many 
small vesicles in its thin cytoplasm. 
• Capillaries are exchange vessels, where glucose, oxygen and 
CO2 are exchanged with the tissues of the body. Hence, 
"Exchange vessel" (answer "C") is the correct answer. The 
term conducting vessel usually refers to the large elastic 
arteries while distributing vessels usually refers to the medium-sized 
muscular arteries. Veins are capacitance/reservoir 
vessels where a great deal of the blood in the body is located 
at any one time.
Fenestrated Capillary
Endothelial Cell 
SMC
4 Building Blocks 
• Cellular 
• Endothelial cells 
• Smooth Muscle cells 
• ECM 
• Collagen 
• Elastin
Endothelial Cells 
• Endothelial cells are made of simple squamous epithelium, and line 
all blood and lymphatic vessels. 
• They are connected by tight junctions, adherens junctions, or gap 
junctions. 
• Their principal functions include: secretion of molecules (to regulate 
vascular SM cells); exchange of: gases, H2O, nutrients, proteins, 
WBCs; inhibition of coagulation; angiogenesis; inflammatory process. 
• They are damaged in DM and in atherosclerosis.
Smooth Muscle Cells 
• Vascular smooth muscle cells are small, mononucleated, spindle-shaped 
cells with no banding pattern, no myofibrils, and no 
sarcomeres 
• The sarcoplasmic reticulum is continuous with (and basically identical 
to) the smooth ER; there are no T tubules 
• They are connected to other vascular smooth muscle cells or 
endothelial cells by gap junctions
Comparison of the Three Types of Muscle 
Features Skeletal (Striated) Cardiac (Striated) Smooth 
Myofilaments Yes Yes Yes 
Myofibrils Yes Yes No 
Sarcomeres Yes Yes No 
Anchoring of actin Z disks Z disks; fascia adherens junctions Dense bodies 
Nuclei 
Multinucleated (hundreds): 
peripherally located 
One (sometimes two): centrally located One: centrally located 
Sarcoplasmic Reticulum Yes Yes Yes 
T-tubules Yes: small, involved in triad formation Yes: large, involved in diad formation None 
Cell-Cell Junctions 
None (connective tissue used to 
mechanic couple) 
Intercalated disks (gap; adherens; 
desmosome) 
Gap junctions; adherens 
Contraction Voluntary Involuntary Involuntary 
Calcium Binding 
Troponin C 
(actin-based regulation) 
Troponin C 
(actin-based regulation) 
Calmodulin 
(myosin-based regulation) 
Regeneration Limited; via satellite cells None Yes 
Mitosis No No Yes (mitosis) 
Distinctive Features 
Long, Cylindrical shaped cells, many 
peripheral nuclei 
Small, branched cells, intercalated 
disks, one central nucleus 
Small fusiform cells, no striations, 
one nucleus, 
no banding pattern
Biomechanical Properties 
• Smooth muscle cells regulate the diameter of vessels (important for 
shunting during shock, etc.) and resist expansion 
• Elastic laminae add elasticity to vessels, which allows temporary 
expansion of high pressure vessels during systole and their elastic 
recoil during diastole 
• Collagen fibers resist stretching and prevent over-expansion of 
vessels
3 layers of Blood Vessel 
• Tunica intima - longitudinal 
• Single layer of squamous cells 
• Subendothelial loose connective tissue, with smooth muscle cells 
• Arteries only - tunica intima is often separated from the tunica 
media by an internal elastic lamina 
• Primary site of structural changes associated with atherosclerosis 
• Tunica media - circular 
• SMCs interspersed w/ elastic sheets and Type III collagen 
• Arteries only - an external elastic lamina between the tunica media 
and tunica externa 
• Tunica externa (tunica adventitia) - longitudinal 
• Fibroblasts, Type I collagen, and elastic fibers 
• May contain blood vessels (vasovasorum), lymphatics, or nerves
Marfan’s Syndrome and Aneurysms 
• People with Marfan's Syndrome have defects in elastic 
fibers and elastic sheets often due to defect in FBN1 
leading to insufficient functional fibrillin, one part of elastic 
microfibrils (http://ghr.nlm.nih.gov/gene/FBN1) 
• Since the tunica media in large arteries has a thick elastic 
layer, people with Marfan's often have defects in their 
large arteries that may result in aortic aneurysms
Medium Arteries and Veins 
• Medium (muscular) arteries have an external elastic 
lamina between the tunica media and the tunica externa 
and arteries have an internal elastic lamina between the 
tunica intima and the tunica media 
• Medium veins do not have elastic layers or as much 
circular muscle, this allows them to stretch (and stay 
stretched) which is vital to their function as reservoirs. 
Medium veins also have valves to prevent backflow of 
blood
Aorta
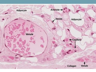
Arterioles and Capillaries 
• Arterioles have an endothelium surrounded by 1 to 6 layers of smooth 
muscle and may have an internal elastic lamina, a feature not found 
in veins 
• Capillaries have a small lumen diameter, usually only big enough to fit 
a single RBC 
• No smooth muscle cells 
• Endothelium surrounded by basal lamina and occasional pericytes, which likely 
have a function in regulating blood flow and may differentiate into endothelial cells or 
smooth muscle cells
3 Types of Capillaries 
• Continuous capillaries 
• Continuous sheet of endothelium joined by tight junctions; under endothelium 
is continuous basal lamina 
• Water, O2, CO2, and small hydrophilic molecules can diffuse across the 
endothelium 
• Glucose and ions use membrane transporters and cytosolic diffusion, proteins 
use transcytosis 
• Found in muscle, brain, and connective tissue 
• Fenestrated capillaries 
• Endothelium has 60-80 nm pores; under the endothelium is a continuous basal 
lamina 
• Pores allow passage of macromolecules and small molecules 
• Found in intestines and renal glomeruli 
• Discontinuous capillaries (sinusoidal capillaries) 
• Allow the slow circulation of blood 
• Discontinuous endothelium and discontinuous basal lamina, which allows the 
free exchange of all blood components except RBCs 
• Found in the liver lobules, bone marrow, splenic red pulp, and some endocrine 
glands (anterior pituitary and adrenal cortex)
Continuous: Skeletal muscle, skin, 
lung, and brain 
Fenestrated capillaries: Exocrine 
glands, renal glomeruli, and intestinal 
mucosa 
Discontinuous capillaries: Liver, 
spleen, and bone marrow
Lymphatic vessels 
• Lymphatic capillaries are blind-ended and composed of loosely joined 
endothelial cells 
• Very thin walls 
• Lack tight junctions 
• No RBCs 
• Valves 
• Do not have a complete basal lamina 
• Bundles of anchoring filaments provide some structural support 
• Lymph often has a granular appearance after fixation 
• Wbc’s might be present, but no PMNs 
• Larger lymphatic vessels have smooth muscle cells
Vasculogenesis and Angiogenesis 
• Vasculogenesis is de novo formation of blood vessels 
• Endothelial cell precursors (called angioblasts) coalesce into loose 
chords of cells 
• The cells then differentiate into endothelia and form the tubes that 
make up the primary vascular network 
• Angiogenesis is when new blood vessels sprout from pre-existing 
vasculature 
• During development this is used to develop vascular patterns 
• It is also a repair mechanism and is sometimes a response to 
blocked vessels 
• Solid tumors need a blood supply to continue to grow, so 
angiogenesis is also seen in tumors
In the Vena Cava, the adventitia layer is 
the thickest and smooth muscle can be 
seen in all three layers.
CARDIAC MUSCLE
Layers of the Heart 
• Epicardium: includes the serous pericardium, which is mesothelium, 
and connective tissue and adipose tissue containing blood vessels 
and nerves 
• Myocardium: cardiac muscle tissue and delicate connective tissue 
• Endocardium: endothelium and underlying connective tissue (can 
contain some smooth muscle). 
• Subendocardium: Fibrous skeleton (dense connective tissue), 
Conducting System: Purkinje Fibers (in ventricles)
Purkinje Fibers 
• Purkinje fibers are located in the subendocardium: 
• lower density of myofibrils 
• larger in size the myocytes 
• They often show clear areas where myofibrils are lacking and are 
replaced by glycogen. 
• DO contain intercalated disks & myofibrils 
• less organized than cardiac myocytes and have greater number of 
gap junctions (rapidly conduct APs throughout cell)
Lumen of Ventricle 
Endocardium 
Purkinje Fibers (LX) – 
(Modified cardiac muscle fibers) 
Myocardium 
(Cardiac Myocytes)
3 Types of Muscle 
Skeletal Muscle Cardiac 
Muscle 
Smooth Muscle
Features Skeletal Cardiac Smooth 
Myofilaments 
(thick & thin) 
Yes Yes Yes 
Sarcomeres Yes Yes No 
Myofibrils Yes Yes No 
Nuclei 
Multinucleated: 
peripherally located 
One: centrally 
located 
One: centrally located 
Sarcoplasmic 
Reticulum 
Yes Yes Yes 
T-tubules Yes Yes None 
Cell-Cell 
Junctions 
None Intercalated disks Gap junctions 
Contraction Voluntary Involuntary Involuntary 
Calcium Binding 
Troponin C 
(actin-based 
regulation) 
Troponin C 
(actin-based 
regulation) 
Calmodulin 
(myosin-based 
regulation) 
Regeneration Yes, via satellite cells None Yes 
Distinctive 
Features 
Long, Cylindrical 
shaped, many 
peripheral nuclei 
Branched cells, 
intercalated disks, 1- 
2 nuclei 
Fusiform cells, no 
striations, one nucleus
Cardiac Muscle Contraction 
• Action potential opens L type calcium channel in plasma membrane of t 
tubule 
• Trigger calcium enters the cell through channel 
• Trigger calcium induces the opening of calcium channel (ryanodine 
receptors, RYR) in the membrane of the terminal cisternae of the 
sarcoplasmic reticulum (SR) 
• Calcium in the lumen of the SR flows down its concentration gradient into 
the cytosol of muscle cell, increasing cytoplasmic Ca++ concentration 
• When there is Ca, the Ca binds to the TnC subunit of the troponin 
complex. This binding induces a conformational change that moves the 
entire troponin complex. This move causes the tropomyosin to shift 
deeper into the helical groove of the actin, revealing the myosin binding 
site 
• Myosin binds and undergoes the conformational cycle/power stroke to 
induce the sliding of the actin (thin filaments) relative to myosin (thick 
filaments).
Sarcomere
Calcium Antiporter 
• Cardiac muscles must remove calcium in order to relax. 
• In addition to SERCA, cardiac myocytes have a sodium/calcium 
antiporter (sodium-calcium exchanger) in the plasma membrane that 
extrudes calcium from the cell against a calcium concentration 
gradient by using the energy of sodium flowing down its concentration 
gradient across the plasma membrane. 
• In addition, there is a calcium ATPase enzyme in the plasma 
membrane that also contributes to removing calcium from the cell.
Cardiac Action Potential 
• It has a long plateau phase and long refractory period so no chance 
for tetany. 
• The action potential spreads throughout the plasma membrane and 
into the T‐tubules. The action potential opens the voltage‐gated 
L‐type calcium channels (also called dihydropyridine receptors) 
located in the plasma membrane of the T‐tubules (very close to the 
terminal cisternae of the sarcoplasmic reticulum).
Beta Adrenergic Control 
• β-adrenergic receptors in the plasma membrane of the cardiac myocytes are 
activated by norepinephrine released from sympathetic nerve terminals in the 
heart or epinephrine in the blood (derived from the adrenal medulla). 
• Activation of the β-adrenergic receptor (a 7 pass G protein-coupled membrane 
receptor) results in activation of the enzyme adenylate cyclase (AC) and an 
increase in the concentration of cAMP in the cytosol. The cAMP activates the 
cAMP-dependent protein kinase (PKA) which phosphorylates a number of 
proteins in the cardiac myocyte. 
• Activation of protein kinase A (PKA) results in phosphorylation of several proteins, 
including the voltage gated L-type Ca++ channels and a protein called 
phospholamban (PLB) which regulates SERCA (the calcium pump in the the 
sarcoplasmic reticulum membrane). Phosphorylation of the L-type Ca++ 
channels causes more trigger calcium to enter the cell with each action potential. 
• Phosphorylation of phospholamban stimulates the activity of SERCA and thus 
increases the rate of removal of calcium from the cytosol and the extent of 
calcium accumulation in the SR between each action potential. Thus the 
sarcoplasmic reticulum (SR) can release more calcium during the next 
depolarization of the cell resulting in an increase in the force of contraction
ATHEROSCLEROSIS
ATHEROSCLEROSIS
Progression of Atherosclerosis
Name the Complications
Atheroembolism will show cholesterol 
plaques
ISCHEMIC HEART 
DISEASE
12 Hours Post MI
3-5 Days Post MI
6-10 Days Post MI
Chronic Ischemic Heart Disease
Ventricular Wall Rupture
Papillary Muscle Dysfunction
Pericarditis
Mural Thrombus
Ventricular Aneurysm
VALVULAR DISEASE
Calcific Degenerative Disease 
• Heaped up calcific masses on the outer side of the aortic cusps at 
insertion site, protruding in the aortic sinuses. 
• Valvular orifice is narrowed. 
• Generally not associated with commissural fusion (in trileaflet valves) 
and free edges not involved. 
• Secondary concentric left ventricular hypertrophy.
Acute Rheumatic Carditis 
• Inflammation of the endocardium results in fibrinoid necrosis within 
the cusps or along the tendinous cords. 
• Overlying these necrotic foci are small (1- to 2-mm) vegetations, 
called verrucae, along the lines of closure.
Aschoff Bodies 
• Distinctive lesions occur in the heart, called Aschoff bodies, which 
consist of foci of lymphocytes (primarily T cells), occasional plasma 
cells, and plump activated macrophages. 
• These macrophages (Anitschkow cells) have abundant cytoplasm 
and central round-to ovoid nuclei in which the chromatin forms a 
slender, wavy ribbon (“caterpillar cells”), and may become 
multinucleated.
Chronic Rheumatic Heart Disease 
• Thickened, fibrotic and calcified leaflets with commissural fusion. 
• Thickening and fusion of the tendinous cords
Mitral Valve Prolapse 
• Interchordal ballooning (hooding) of the mitral leaflets 
• Leaflets are enlarged, redundant, thick, and rubbery 
• Chordae may be elongated, thinned, or even ruptured, and the 
annulus may be dilated
MVP Microscopy 
• Thickening of the spongiosa layer with deposition of mucoid 
(myxomatous) material 
• Attenuation of the collagenous fibrosa layer of the valve
Endocarditis 
• RHD: Small, warty vegetations along the lines of closure of the valve leaflets. 
• IE: Large, irregular masses on the valve cusps that can extend onto the chordae 
• NBTE: Small, bland vegetations, usually attached at the line of closure. 
• LSE: Small or medium-sized vegetations on either or both sides of the valve
Infective Endocarditis
NBTE
Libman Sachs Endocarditis
Carcinoid Heart Disease 
• Firm plaquelike endocardial fibrous thickenings on the inside surfaces 
of the cardiac chambers and the tricuspid and pulmonary valves
Carcinoid Microscopy 
• Intimal proliferation composed predominantly of smooth muscle cells 
and sparse collagen fibers embedded in an acid mucopolysaccharide-rich 
matrix material. Elastic fibers are not present in the plaques.
CARDIOMYOPATHY
Dilated Cardiomyopathy
Hypertrophic Cardiomyopathy
Restrictive Cardiomyopathy
Restrictive Cardiomyopathy 
Amyloidosis, Sarcoidosis, Hemochromatosis, Glycogen Storage Disease
Myocarditis 
Lymphocytic infiltrate is most common. (A below) 
Hypersensitivity myocarditis will show eosinophils. (B below) 
Chagas disease shows trypanosomes in mycocytes. (C below)
PERICARDITIS
Acute Pericarditis 
A. Fibrinous 
B. Hemorrhagic 
C. Suppurative
Chronic Pericarditis
AORTIC PATHOLOGY
A. Abdominal Aortic Aneurysm 
B. Thoracic Aortic Aneurysm 
C. Aortic Dissection
CARDIAC TUMORS
Benign Cardiac Tumors 
• Myxomas are the most common primary cardiac tumor. 
• Occur in middle aged patients, more common in women 
• Patients may have peripheral embolization of the tumor, obstruction of 
an AV valve, or sx of a systemic disease (fever, malaise, etc). 
• Typically pedunculated masses located in the LA 
• T1-weighted images show a mass with intermediate signal intensity 
similar to myocardium. However, this signal may be variable due to 
calcifications that are hypointense or hemorrhage that is hyperintense 
to myocardium. Myxomas typically enhance heterogeneously. 
• Lipomas are the second most common primary cardiac tumor 
• Have a high intensity on T1-weighted images that darkens on fat 
suppressed sequences.
Myxoma 
• Clinicopathologic: 
• Most common primary cardiac tumor. 
• 90% in atria, 80% on left side. LEFT ATRIUM 
• Mean age is 50. ADULTS 
• Clinical manifestations: 
• “Ball-valve” obstruction of “wrecking-ball” destruction of valve. 
• Tumor embolization. 
• Systemic symptoms due to cytokine production. 
• Gross Morphology: 
• Often at site of fossa ovalis. 
• 1-10 cm in size. 
• May be sessile or pendunculated, hard or gelatinous texture. 
• Microscopic Appearance: 
• Stellate myoxoma cells embedded in myxomatous mucopolysaccharides substance. 
• Prominent vessels, hemorrhage and inflammation common.
Lipoma 
• Pathogenesis: 
• Benign tumors composed of mature fat cells 
• Adults 
• Most often occur in left ventricle, right atrium or atrial septum. 
• Clinical manifestations: 
• Typically asymptomatic; incidental finding on imaging. 
• May cause ball-valve obstruction or arrhythmias 
• Gross Morphology: 
• May occur in the subendocardium (bulge into the chamber), myocardium (wall 
thickening), or subepicardium (bulge into pericardial space). 
• Cut section show yellow, glistening, adipose tissue. 
• Microscopic Appearance: 
• Mature adiopose tissue with entrapped myocardium.
Papillary Fibroelastoma 
• Pathogenesis: 
• Benign tumor of adult. 
• Typically occur on valves 
• May occur on endocardial surface 
• Clincial manifestations: 
• Often incidental finding. 
• May break off and embolize. 
• Aortic tumors may prolapse into coronary ostia. 
• Gross Morphology: 
• Compared to sea anemone 
• Distinctive cluster of yellow-white hairlike projections covering large portions of 
valvular surface 
• Microscopic Appearance: 
• Narrow, elongated and branching papillary fronds composed of collagen. 
• Lined by endothelium.
Rhabdomyoma 
• Pathogenesis: 
• Most common cardiac tumor of CHILDREN 
• Benign tumor of cardiac myocytes. 
• Frequently associated with tuberous sclerosis 
• Most commonly occur in ventricles; often multiple. 
• Clinical manifestations: 
• May result in arrhythmias or chamber obstruction 
• Natural history is regression. 
• Gross Morphology: 
• Myocardial tumor that may bulge into ventricular chamber. 
• Cut section shows tan-white homogenous solid tissue. 
• Microscopic Appearance: 
• Enlarged, atypical myocytes with abundant cleared out cytoplasm (glycogen). 
• Cytoplasm strands to connect nucleus to cell membrane (spider cells).
Cardiac Fibroma 
• Pathogenesis: 
• Typically tumor of CHILDREN, most often in first year of life. 
• Benign tumor of fibroblasts; may be locally infiltrative. 
• Most often in ventricles (left>right) or ventricular septum. 
• Clinical manifestations: 
• Heart failure, cyanosis, syncope or arrhythmias. 
• Gross Morphology: 
• Myocardial tumor that may bulge into cardiac chamber. 
• Nearly always solitary. 
• Cut surface is firm, white with whorled appearance. 
• Microscopic Appearance: 
• Bland spindle cell lesion with collagen production. 
• May infiltrate into surrounding myocardium.
Malignant Cardiac Tumors 
• Metastatic tumors are the most common tumors found in the heart. 
The most common cardiac metastases include lung, breast, 
melanoma, and lymphoma. 
• Metastases often induce a pericardial effusion. 
• Angiosarcoma: the most common primary malignancy of the heart 
• Usually located in the right atrium. 
• Characterized by heterogenous signal on T1-weighted images with areas of 
elevated signal representing hemorrhage. 
• Angiosarcomas demonstrate hyperenhancement after the administration of 
gadolinium contrast agents. 
• Other primary malignant tumors are liposarcoma, leiomyosarcoma, 
and lymphoma. 
• Malignant tumors are more likely to be necrotic, have associated 
nearby edema, be vascular, demonstrate invasion into adjacent 
tissues, and have an inhomogeneous appearance.
Angiosarcoma 
• Pathogenesis: 
• Most common malignant cardiac tumor of ADULTS. 
• Usually in RIGHT ATRIUM 
• Clinical manifestations: 
• Arrhythmias, heart block, CHF, angina, or infarction. 
• Cardiac tamponade. 
• Vast majority are metastatic at presentation. 
• Highly aggressive tumor with poor response to therapy. 
• Gross Morphology: 
• Large, infiltrating dark brown, necrotic mass. 
• Infiltration of inferior vena cava or tricuspid valve common. 
• Microscopic Appearance: 
• Highly atypical, malignant cells with enlarged nuclei, and prominent nucleloli 
• Rudimentary vascular channels. 
• Hemorrhage and necrosis.
Metastatic Tumors 
• Direct consequences of tumor: 
• Pericardial and myocardial metastases 
• (melanoma, carcinoma, leukemia/lymphoma). 
• A cardiac mass is 40x more likely to be a metastasis than a primary tumor 
• Large vessel obstruction 
• Pulmonary tumor emboli. 
• Indirect consequences of tumor 
• Nonbacterial thrombotic endocarditis (mucinous adenocarcinoma). 
• Carcinoid heart disease (neuroendocrine carcinoma). 
• Effect of tumor therapy 
• Chemotherapy 
• (dilated cardiomyopathy). 
• Radiotherapy 
• (pericarditis, coronary artery disease, restrictive cardiomyopathy).
Myocarditis 
• The most common cause of myocarditis is viral infection 
• Coxsackievirus B. 
• Inflamed myocardium hyperenhances on early gadolinium enhanced 
T1 weighted images due to increased inflow of blood. T2 weighted 
images will be bright due to edema. 
• Delayed enhanced imaging will demonstrate enhancement in the mid-myocardium, 
often in a patchy pattern.

Cardiovascular Histology

  • 1.
  • 2.
  • 4.
    Functional Roles ofBlood Vessels • Elastic arteries (e.g. aorta) = conducting vessels • Muscular arteries (medium-sized arteries) = distributing vessels • Arterioles = resistance vessels • Capillaries = exchange vessels • Veins = capacitance (reservoirs)
  • 6.
    Image Explanation •This TEM image shows a continuous capillary, such as are found in muscle cells, general connective tissues and the central nervous system (CNS). This is a continuous (somatic) capillary because of its round shape, its continous endothelium (no fenestrations or discontinuities) and because of the many small vesicles in its thin cytoplasm. • Capillaries are exchange vessels, where glucose, oxygen and CO2 are exchanged with the tissues of the body. Hence, "Exchange vessel" (answer "C") is the correct answer. The term conducting vessel usually refers to the large elastic arteries while distributing vessels usually refers to the medium-sized muscular arteries. Veins are capacitance/reservoir vessels where a great deal of the blood in the body is located at any one time.
  • 7.
  • 8.
  • 9.
    4 Building Blocks • Cellular • Endothelial cells • Smooth Muscle cells • ECM • Collagen • Elastin
  • 10.
    Endothelial Cells •Endothelial cells are made of simple squamous epithelium, and line all blood and lymphatic vessels. • They are connected by tight junctions, adherens junctions, or gap junctions. • Their principal functions include: secretion of molecules (to regulate vascular SM cells); exchange of: gases, H2O, nutrients, proteins, WBCs; inhibition of coagulation; angiogenesis; inflammatory process. • They are damaged in DM and in atherosclerosis.
  • 11.
    Smooth Muscle Cells • Vascular smooth muscle cells are small, mononucleated, spindle-shaped cells with no banding pattern, no myofibrils, and no sarcomeres • The sarcoplasmic reticulum is continuous with (and basically identical to) the smooth ER; there are no T tubules • They are connected to other vascular smooth muscle cells or endothelial cells by gap junctions
  • 14.
    Comparison of theThree Types of Muscle Features Skeletal (Striated) Cardiac (Striated) Smooth Myofilaments Yes Yes Yes Myofibrils Yes Yes No Sarcomeres Yes Yes No Anchoring of actin Z disks Z disks; fascia adherens junctions Dense bodies Nuclei Multinucleated (hundreds): peripherally located One (sometimes two): centrally located One: centrally located Sarcoplasmic Reticulum Yes Yes Yes T-tubules Yes: small, involved in triad formation Yes: large, involved in diad formation None Cell-Cell Junctions None (connective tissue used to mechanic couple) Intercalated disks (gap; adherens; desmosome) Gap junctions; adherens Contraction Voluntary Involuntary Involuntary Calcium Binding Troponin C (actin-based regulation) Troponin C (actin-based regulation) Calmodulin (myosin-based regulation) Regeneration Limited; via satellite cells None Yes Mitosis No No Yes (mitosis) Distinctive Features Long, Cylindrical shaped cells, many peripheral nuclei Small, branched cells, intercalated disks, one central nucleus Small fusiform cells, no striations, one nucleus, no banding pattern
  • 15.
    Biomechanical Properties •Smooth muscle cells regulate the diameter of vessels (important for shunting during shock, etc.) and resist expansion • Elastic laminae add elasticity to vessels, which allows temporary expansion of high pressure vessels during systole and their elastic recoil during diastole • Collagen fibers resist stretching and prevent over-expansion of vessels
  • 16.
    3 layers ofBlood Vessel • Tunica intima - longitudinal • Single layer of squamous cells • Subendothelial loose connective tissue, with smooth muscle cells • Arteries only - tunica intima is often separated from the tunica media by an internal elastic lamina • Primary site of structural changes associated with atherosclerosis • Tunica media - circular • SMCs interspersed w/ elastic sheets and Type III collagen • Arteries only - an external elastic lamina between the tunica media and tunica externa • Tunica externa (tunica adventitia) - longitudinal • Fibroblasts, Type I collagen, and elastic fibers • May contain blood vessels (vasovasorum), lymphatics, or nerves
  • 19.
    Marfan’s Syndrome andAneurysms • People with Marfan's Syndrome have defects in elastic fibers and elastic sheets often due to defect in FBN1 leading to insufficient functional fibrillin, one part of elastic microfibrils (http://ghr.nlm.nih.gov/gene/FBN1) • Since the tunica media in large arteries has a thick elastic layer, people with Marfan's often have defects in their large arteries that may result in aortic aneurysms
  • 20.
    Medium Arteries andVeins • Medium (muscular) arteries have an external elastic lamina between the tunica media and the tunica externa and arteries have an internal elastic lamina between the tunica intima and the tunica media • Medium veins do not have elastic layers or as much circular muscle, this allows them to stretch (and stay stretched) which is vital to their function as reservoirs. Medium veins also have valves to prevent backflow of blood
  • 23.
  • 25.
    Arterioles and Capillaries • Arterioles have an endothelium surrounded by 1 to 6 layers of smooth muscle and may have an internal elastic lamina, a feature not found in veins • Capillaries have a small lumen diameter, usually only big enough to fit a single RBC • No smooth muscle cells • Endothelium surrounded by basal lamina and occasional pericytes, which likely have a function in regulating blood flow and may differentiate into endothelial cells or smooth muscle cells
  • 28.
    3 Types ofCapillaries • Continuous capillaries • Continuous sheet of endothelium joined by tight junctions; under endothelium is continuous basal lamina • Water, O2, CO2, and small hydrophilic molecules can diffuse across the endothelium • Glucose and ions use membrane transporters and cytosolic diffusion, proteins use transcytosis • Found in muscle, brain, and connective tissue • Fenestrated capillaries • Endothelium has 60-80 nm pores; under the endothelium is a continuous basal lamina • Pores allow passage of macromolecules and small molecules • Found in intestines and renal glomeruli • Discontinuous capillaries (sinusoidal capillaries) • Allow the slow circulation of blood • Discontinuous endothelium and discontinuous basal lamina, which allows the free exchange of all blood components except RBCs • Found in the liver lobules, bone marrow, splenic red pulp, and some endocrine glands (anterior pituitary and adrenal cortex)
  • 29.
    Continuous: Skeletal muscle,skin, lung, and brain Fenestrated capillaries: Exocrine glands, renal glomeruli, and intestinal mucosa Discontinuous capillaries: Liver, spleen, and bone marrow
  • 30.
    Lymphatic vessels •Lymphatic capillaries are blind-ended and composed of loosely joined endothelial cells • Very thin walls • Lack tight junctions • No RBCs • Valves • Do not have a complete basal lamina • Bundles of anchoring filaments provide some structural support • Lymph often has a granular appearance after fixation • Wbc’s might be present, but no PMNs • Larger lymphatic vessels have smooth muscle cells
  • 32.
    Vasculogenesis and Angiogenesis • Vasculogenesis is de novo formation of blood vessels • Endothelial cell precursors (called angioblasts) coalesce into loose chords of cells • The cells then differentiate into endothelia and form the tubes that make up the primary vascular network • Angiogenesis is when new blood vessels sprout from pre-existing vasculature • During development this is used to develop vascular patterns • It is also a repair mechanism and is sometimes a response to blocked vessels • Solid tumors need a blood supply to continue to grow, so angiogenesis is also seen in tumors
  • 33.
    In the VenaCava, the adventitia layer is the thickest and smooth muscle can be seen in all three layers.
  • 34.
  • 36.
    Layers of theHeart • Epicardium: includes the serous pericardium, which is mesothelium, and connective tissue and adipose tissue containing blood vessels and nerves • Myocardium: cardiac muscle tissue and delicate connective tissue • Endocardium: endothelium and underlying connective tissue (can contain some smooth muscle). • Subendocardium: Fibrous skeleton (dense connective tissue), Conducting System: Purkinje Fibers (in ventricles)
  • 38.
    Purkinje Fibers •Purkinje fibers are located in the subendocardium: • lower density of myofibrils • larger in size the myocytes • They often show clear areas where myofibrils are lacking and are replaced by glycogen. • DO contain intercalated disks & myofibrils • less organized than cardiac myocytes and have greater number of gap junctions (rapidly conduct APs throughout cell)
  • 39.
    Lumen of Ventricle Endocardium Purkinje Fibers (LX) – (Modified cardiac muscle fibers) Myocardium (Cardiac Myocytes)
  • 40.
    3 Types ofMuscle Skeletal Muscle Cardiac Muscle Smooth Muscle
  • 41.
    Features Skeletal CardiacSmooth Myofilaments (thick & thin) Yes Yes Yes Sarcomeres Yes Yes No Myofibrils Yes Yes No Nuclei Multinucleated: peripherally located One: centrally located One: centrally located Sarcoplasmic Reticulum Yes Yes Yes T-tubules Yes Yes None Cell-Cell Junctions None Intercalated disks Gap junctions Contraction Voluntary Involuntary Involuntary Calcium Binding Troponin C (actin-based regulation) Troponin C (actin-based regulation) Calmodulin (myosin-based regulation) Regeneration Yes, via satellite cells None Yes Distinctive Features Long, Cylindrical shaped, many peripheral nuclei Branched cells, intercalated disks, 1- 2 nuclei Fusiform cells, no striations, one nucleus
  • 42.
    Cardiac Muscle Contraction • Action potential opens L type calcium channel in plasma membrane of t tubule • Trigger calcium enters the cell through channel • Trigger calcium induces the opening of calcium channel (ryanodine receptors, RYR) in the membrane of the terminal cisternae of the sarcoplasmic reticulum (SR) • Calcium in the lumen of the SR flows down its concentration gradient into the cytosol of muscle cell, increasing cytoplasmic Ca++ concentration • When there is Ca, the Ca binds to the TnC subunit of the troponin complex. This binding induces a conformational change that moves the entire troponin complex. This move causes the tropomyosin to shift deeper into the helical groove of the actin, revealing the myosin binding site • Myosin binds and undergoes the conformational cycle/power stroke to induce the sliding of the actin (thin filaments) relative to myosin (thick filaments).
  • 43.
  • 46.
    Calcium Antiporter •Cardiac muscles must remove calcium in order to relax. • In addition to SERCA, cardiac myocytes have a sodium/calcium antiporter (sodium-calcium exchanger) in the plasma membrane that extrudes calcium from the cell against a calcium concentration gradient by using the energy of sodium flowing down its concentration gradient across the plasma membrane. • In addition, there is a calcium ATPase enzyme in the plasma membrane that also contributes to removing calcium from the cell.
  • 47.
    Cardiac Action Potential • It has a long plateau phase and long refractory period so no chance for tetany. • The action potential spreads throughout the plasma membrane and into the T‐tubules. The action potential opens the voltage‐gated L‐type calcium channels (also called dihydropyridine receptors) located in the plasma membrane of the T‐tubules (very close to the terminal cisternae of the sarcoplasmic reticulum).
  • 48.
    Beta Adrenergic Control • β-adrenergic receptors in the plasma membrane of the cardiac myocytes are activated by norepinephrine released from sympathetic nerve terminals in the heart or epinephrine in the blood (derived from the adrenal medulla). • Activation of the β-adrenergic receptor (a 7 pass G protein-coupled membrane receptor) results in activation of the enzyme adenylate cyclase (AC) and an increase in the concentration of cAMP in the cytosol. The cAMP activates the cAMP-dependent protein kinase (PKA) which phosphorylates a number of proteins in the cardiac myocyte. • Activation of protein kinase A (PKA) results in phosphorylation of several proteins, including the voltage gated L-type Ca++ channels and a protein called phospholamban (PLB) which regulates SERCA (the calcium pump in the the sarcoplasmic reticulum membrane). Phosphorylation of the L-type Ca++ channels causes more trigger calcium to enter the cell with each action potential. • Phosphorylation of phospholamban stimulates the activity of SERCA and thus increases the rate of removal of calcium from the cytosol and the extent of calcium accumulation in the SR between each action potential. Thus the sarcoplasmic reticulum (SR) can release more calcium during the next depolarization of the cell resulting in an increase in the force of contraction
  • 50.
  • 51.
  • 52.
  • 53.
  • 54.
    Atheroembolism will showcholesterol plaques
  • 55.
  • 56.
  • 57.
  • 58.
  • 59.
  • 60.
  • 61.
  • 62.
  • 63.
  • 64.
  • 65.
  • 66.
    Calcific Degenerative Disease • Heaped up calcific masses on the outer side of the aortic cusps at insertion site, protruding in the aortic sinuses. • Valvular orifice is narrowed. • Generally not associated with commissural fusion (in trileaflet valves) and free edges not involved. • Secondary concentric left ventricular hypertrophy.
  • 67.
    Acute Rheumatic Carditis • Inflammation of the endocardium results in fibrinoid necrosis within the cusps or along the tendinous cords. • Overlying these necrotic foci are small (1- to 2-mm) vegetations, called verrucae, along the lines of closure.
  • 68.
    Aschoff Bodies •Distinctive lesions occur in the heart, called Aschoff bodies, which consist of foci of lymphocytes (primarily T cells), occasional plasma cells, and plump activated macrophages. • These macrophages (Anitschkow cells) have abundant cytoplasm and central round-to ovoid nuclei in which the chromatin forms a slender, wavy ribbon (“caterpillar cells”), and may become multinucleated.
  • 69.
    Chronic Rheumatic HeartDisease • Thickened, fibrotic and calcified leaflets with commissural fusion. • Thickening and fusion of the tendinous cords
  • 70.
    Mitral Valve Prolapse • Interchordal ballooning (hooding) of the mitral leaflets • Leaflets are enlarged, redundant, thick, and rubbery • Chordae may be elongated, thinned, or even ruptured, and the annulus may be dilated
  • 71.
    MVP Microscopy •Thickening of the spongiosa layer with deposition of mucoid (myxomatous) material • Attenuation of the collagenous fibrosa layer of the valve
  • 72.
    Endocarditis • RHD:Small, warty vegetations along the lines of closure of the valve leaflets. • IE: Large, irregular masses on the valve cusps that can extend onto the chordae • NBTE: Small, bland vegetations, usually attached at the line of closure. • LSE: Small or medium-sized vegetations on either or both sides of the valve
  • 73.
  • 74.
  • 75.
  • 76.
    Carcinoid Heart Disease • Firm plaquelike endocardial fibrous thickenings on the inside surfaces of the cardiac chambers and the tricuspid and pulmonary valves
  • 77.
    Carcinoid Microscopy •Intimal proliferation composed predominantly of smooth muscle cells and sparse collagen fibers embedded in an acid mucopolysaccharide-rich matrix material. Elastic fibers are not present in the plaques.
  • 78.
  • 79.
  • 80.
  • 81.
  • 82.
    Restrictive Cardiomyopathy Amyloidosis,Sarcoidosis, Hemochromatosis, Glycogen Storage Disease
  • 83.
    Myocarditis Lymphocytic infiltrateis most common. (A below) Hypersensitivity myocarditis will show eosinophils. (B below) Chagas disease shows trypanosomes in mycocytes. (C below)
  • 84.
  • 85.
    Acute Pericarditis A.Fibrinous B. Hemorrhagic C. Suppurative
  • 86.
  • 87.
  • 88.
    A. Abdominal AorticAneurysm B. Thoracic Aortic Aneurysm C. Aortic Dissection
  • 89.
  • 90.
    Benign Cardiac Tumors • Myxomas are the most common primary cardiac tumor. • Occur in middle aged patients, more common in women • Patients may have peripheral embolization of the tumor, obstruction of an AV valve, or sx of a systemic disease (fever, malaise, etc). • Typically pedunculated masses located in the LA • T1-weighted images show a mass with intermediate signal intensity similar to myocardium. However, this signal may be variable due to calcifications that are hypointense or hemorrhage that is hyperintense to myocardium. Myxomas typically enhance heterogeneously. • Lipomas are the second most common primary cardiac tumor • Have a high intensity on T1-weighted images that darkens on fat suppressed sequences.
  • 91.
    Myxoma • Clinicopathologic: • Most common primary cardiac tumor. • 90% in atria, 80% on left side. LEFT ATRIUM • Mean age is 50. ADULTS • Clinical manifestations: • “Ball-valve” obstruction of “wrecking-ball” destruction of valve. • Tumor embolization. • Systemic symptoms due to cytokine production. • Gross Morphology: • Often at site of fossa ovalis. • 1-10 cm in size. • May be sessile or pendunculated, hard or gelatinous texture. • Microscopic Appearance: • Stellate myoxoma cells embedded in myxomatous mucopolysaccharides substance. • Prominent vessels, hemorrhage and inflammation common.
  • 92.
    Lipoma • Pathogenesis: • Benign tumors composed of mature fat cells • Adults • Most often occur in left ventricle, right atrium or atrial septum. • Clinical manifestations: • Typically asymptomatic; incidental finding on imaging. • May cause ball-valve obstruction or arrhythmias • Gross Morphology: • May occur in the subendocardium (bulge into the chamber), myocardium (wall thickening), or subepicardium (bulge into pericardial space). • Cut section show yellow, glistening, adipose tissue. • Microscopic Appearance: • Mature adiopose tissue with entrapped myocardium.
  • 93.
    Papillary Fibroelastoma •Pathogenesis: • Benign tumor of adult. • Typically occur on valves • May occur on endocardial surface • Clincial manifestations: • Often incidental finding. • May break off and embolize. • Aortic tumors may prolapse into coronary ostia. • Gross Morphology: • Compared to sea anemone • Distinctive cluster of yellow-white hairlike projections covering large portions of valvular surface • Microscopic Appearance: • Narrow, elongated and branching papillary fronds composed of collagen. • Lined by endothelium.
  • 94.
    Rhabdomyoma • Pathogenesis: • Most common cardiac tumor of CHILDREN • Benign tumor of cardiac myocytes. • Frequently associated with tuberous sclerosis • Most commonly occur in ventricles; often multiple. • Clinical manifestations: • May result in arrhythmias or chamber obstruction • Natural history is regression. • Gross Morphology: • Myocardial tumor that may bulge into ventricular chamber. • Cut section shows tan-white homogenous solid tissue. • Microscopic Appearance: • Enlarged, atypical myocytes with abundant cleared out cytoplasm (glycogen). • Cytoplasm strands to connect nucleus to cell membrane (spider cells).
  • 95.
    Cardiac Fibroma •Pathogenesis: • Typically tumor of CHILDREN, most often in first year of life. • Benign tumor of fibroblasts; may be locally infiltrative. • Most often in ventricles (left>right) or ventricular septum. • Clinical manifestations: • Heart failure, cyanosis, syncope or arrhythmias. • Gross Morphology: • Myocardial tumor that may bulge into cardiac chamber. • Nearly always solitary. • Cut surface is firm, white with whorled appearance. • Microscopic Appearance: • Bland spindle cell lesion with collagen production. • May infiltrate into surrounding myocardium.
  • 96.
    Malignant Cardiac Tumors • Metastatic tumors are the most common tumors found in the heart. The most common cardiac metastases include lung, breast, melanoma, and lymphoma. • Metastases often induce a pericardial effusion. • Angiosarcoma: the most common primary malignancy of the heart • Usually located in the right atrium. • Characterized by heterogenous signal on T1-weighted images with areas of elevated signal representing hemorrhage. • Angiosarcomas demonstrate hyperenhancement after the administration of gadolinium contrast agents. • Other primary malignant tumors are liposarcoma, leiomyosarcoma, and lymphoma. • Malignant tumors are more likely to be necrotic, have associated nearby edema, be vascular, demonstrate invasion into adjacent tissues, and have an inhomogeneous appearance.
  • 97.
    Angiosarcoma • Pathogenesis: • Most common malignant cardiac tumor of ADULTS. • Usually in RIGHT ATRIUM • Clinical manifestations: • Arrhythmias, heart block, CHF, angina, or infarction. • Cardiac tamponade. • Vast majority are metastatic at presentation. • Highly aggressive tumor with poor response to therapy. • Gross Morphology: • Large, infiltrating dark brown, necrotic mass. • Infiltration of inferior vena cava or tricuspid valve common. • Microscopic Appearance: • Highly atypical, malignant cells with enlarged nuclei, and prominent nucleloli • Rudimentary vascular channels. • Hemorrhage and necrosis.
  • 98.
    Metastatic Tumors •Direct consequences of tumor: • Pericardial and myocardial metastases • (melanoma, carcinoma, leukemia/lymphoma). • A cardiac mass is 40x more likely to be a metastasis than a primary tumor • Large vessel obstruction • Pulmonary tumor emboli. • Indirect consequences of tumor • Nonbacterial thrombotic endocarditis (mucinous adenocarcinoma). • Carcinoid heart disease (neuroendocrine carcinoma). • Effect of tumor therapy • Chemotherapy • (dilated cardiomyopathy). • Radiotherapy • (pericarditis, coronary artery disease, restrictive cardiomyopathy).
  • 99.
    Myocarditis • Themost common cause of myocarditis is viral infection • Coxsackievirus B. • Inflamed myocardium hyperenhances on early gadolinium enhanced T1 weighted images due to increased inflow of blood. T2 weighted images will be bright due to edema. • Delayed enhanced imaging will demonstrate enhancement in the mid-myocardium, often in a patchy pattern.

Editor's Notes

  • #52 Foam cells, fibrous cap, simple atheroma, complicated atheroma, thrombosis, hemorrhage
  • #54 Myocardial Infarction, stenosis, ulceration/gangrene, atheroembolism (look for clear spaces, cholesterol clefts, often found in kidney), aneurysm