Pulmonary Hypertension
Dr.Rajakumaran.R
JR, MDRD
KMCH
Anatomy & Physiology Of The Pulmonary
Circulation
• The pulmonary circulation consists of two parallel
networks:
1)The Pulmonary arterial circulation
2)The Bronchial arterial circulation
• Pulmonary arteries
• Along the lobar, segmental, and subsegmental
airways to the level of the terminal bronchioles.
• By the level of the respiratory bronchioles and
alveolar ducts, they are termed pulmonary
Anatomy & Physiology Of The Pulmonary
Circulation
• The pulmonary circulation consists of two parallel
networks:
1)The Pulmonary arterial circulation
2)The Bronchial arterial circulation
Pulmonary arteries
• Along the lobar, segmental, and subsegmental
airways to the level of the terminal bronchioles.
• By the level of the respiratory bronchioles and
alveolar ducts, they are termed pulmonary
Bronchial circulation
• The bronchial circulation originates from the
proximal thoracic aorta between T5 and T6
vertebral body.
• Course within the pulmonary hila along the
mainstem bronchi to the level of the terminal
bronchiole and form a plexus that extends from the
adventitia through to the submucosa of the
associated airway.
• The pulmonary circulation is a low-pressure
system.
• At small muscular pulmonary arterial and
arteriolar level, caliber changes occurs to regulate
pulmonary arterial pressure and are critical for
optimizing ventilation and perfusion matching.
• During exercise, numerous capillaries are
“recruited” when increased pulmonary blood flow
Pulmonary Hypertension
Precapillary Pulmonary hypertension
Resting mean pulmonary arterial pressure (mPAP)
≥25 mm Hg at rest.
Pulmonary venous hypertension / Postcapillary
pulmonary hypertension
 Pulmonary arterial/capillary wedge pressure ≥18
mm Hg.
Loss of Biological “Balance” in PAH
Vasoconstriction
Vasodilation
Endothelin-1
Thromboxane
A2.
Prostacyclin
Nitric oxide
synthase
SMC
Endothelium
elastic
lamina injury
serum leak
SMC PROLIFERATION
& MIGRATION
The Pathobiology Of Pulmonary Hypertension
• Histopathological abnormalities
Dilated pulmonary arteries
Pulmonary arterial atherosclerosis
Arterialization of small pulmonary arterioles
• Pulmonary plexogenic arteriopathy- PAH, hepatic
disease, connective tissue disorders, congenital
cardiovascular disease & patients on medication.
Imaging Features
• Dilation of the central pulmonary arteries with rapid
tapering of the pulmonary vessels as they course
peripherally.
CXR
• Transverse diameter of the right interlobar
pulmonary artery, measured from the lateral aspect
of the vessel to its medial portion adjacent to the
bronchus intermedius, exceeds 15 mm in women
and 16 mm in men.
• The left pulmonary artery is best measured on the
lateral radiograph from the orifice of the left upper
lobe bronchus to the posterior aspect of the vessel;
when this measurement exceeds 18 mm,
pulmonary hypertension probably is present.
CT
• MPA >29mm, but not invariably, present.
• Size of the main pulmonary artery is more than the
ascending aorta at the level of base of the heart
• Calcification of the pulmonary arteries, usually affecting
the main, right, or left pulmonary arteries - Irreversible
vascular disease.
Echocardiography
• Continuous wave or pulsed Doppler provides
noninvasive estimation of pulmonary arterial
pressures.
• Morphologic evaluation of the both ventricles and
valvular function.
• Limitation – Difficult acoustic windows in
emphysema patients, operator dependence &
complex anatomical shape.
MRI
• Allow both a detailed anatomic and an extensive
functional examination of the cardiovascular
system.
• As it provides superior spatial resolution, complex
shape of the right ventricle does not adversely
affect the measurement of chamber dimensions.
Pre-capillary PH
High-flow
PH
(O2 sat run)
Hemodynamic Classification of PH
(mean PAP >25 mm Hg)
VC RA RV PA PV
PC
LA LV Ao
Post-capillary PH
Diagram courtesy of Teresa De Marco, MD, UCSF
Hemodynamic Classification of PH
Post Capillary PH
VC RA RV PA PV
PVP
PC
LA
LAP
LV Ao
LVEDP
PCWP>15 mm Hg
Systemic HTN
AoV diseaseMyocardial Disease
Dilated CMP-ischemic/non-
ischemic
Hypertrophic CMP
Restrictive/infiltrative CMP
Obesity related CMP
MR
5th World Symposium: Classification of
Pulmonary Hypertension (Nice, France 2013)
1. Pulmonary Arterial Hypertension
1.1 Idiopathic PAH
1.2 Heritable
1.2.1. BMPR2
1.2.2. ALK1, ENG, SMAD9, CAV1, KCNK3
1.2.3 Unknown.
1.3 Drug- and toxin-induced
1.4 Associated with
1.4.1. Connective tissue disease
1.4.2 HIV infection
1.4.3 Portal hypertension
1.4.4 Congenital heart diseases
1.4.5 Schistosomiasis
1’ Pulmonary veno-occlusive disease (PVO) & / PCH
1’’ Persistent pulmonary hypertension of the newborn (PPHN)
2. Pulmonary hypertension due to left heart disease
2.1 LV Systolic dysfunction
2.2 LV Diastolic dysfunction
2.3 Valvular disease
• 2.3 Congenital/acquired left heart inflow/outflow tract
obstruction and congenital cardiomyopathies.
3. Pulmonary hypertension due to lung diseases and/or
hypoxia
3.1 Chronic obstructive pulmonary disease
3.2 Interstitial lung disease
3.3 Other pulmonary diseases with mixed restrictive and
obstructive pattern
3.4 Sleep-disordered breathing
3.5 Alveolar hypoventilation disorders
3.6 Chronic exposure to high altitude
3.7 Developmental lung disease
4. Chronic thromboembolic pulmonary hypertension (CTEPH)
5. PH with unclear multifactorial mechanisms
5.1 Hematologic disorders: chronic hemolytic anemia
myeloproliferative disorders splenectomy.
5.2 Systemic disorders, sarcoidosis, pulmonary Langerhans
cell histiocytosis, lymphangioleiomyomatosis,
neurofibromatosis, vasculitis
5.3 Metabolic disorders: glycogen storage disease, Gaucher
disease, thyroid disorders
5.4 Others: tumoral obstruction, fibrosing mediastinitis,
chronic renal failure on dialysis.
Pulmonary Arterial Hypertension
• Restriction of blood flow through the pulmonary arteries,
leading to increased pulmonary vascular resistance and
eventually to right heart failure.
1) Idiopathic PAH (IPAH)
2) Heritable (familial PAH)
3) PAH associated with a number of conditions, including drugs
and toxins and several systemic conditions
Etiology and Pathogenesis of PAH
IPAH
• Most common form of PAH
• Sporadic disease affecting females more commonly than
males.
• No identifiable risk factors
Heritable PAH
• Mutations in bone morphogenic protein receptor-2 & activin
receptor-like kinase type 1 (hemorrhagic telangiectasia)
• (TGF)-β super family
PAH associated with drugs and toxins
PAH is associated with connective tissue diseases
• Progressive systemic sclerosis produces changes in the
vasculature more commonly than rheumatoid arthritis or
systemic lupus erythematosus.
Congenital heart defects with left-to-right shunting
• Prolonged exposure of the pulmonary vasculature to increased
blood flow and pressure results in arteriopathy.
• Eventually results in Eisenmenger’s Syndrome .
PAH associated with portal hypertension
• Liver disease is the primary condition associated with portal
hypertension.
• Incomplete hepatic degradation of humoral factors that exert
vasoconstricting and inflammatory effects on the pulmonary
circulation.
Symptoms
• Breathlessness
• Chest pain
• Dizziness
• Syncope
• Loss of energy
• Edema
• Dry cough
• Raynaud’s phenomenon
Imaging Manifestations
HRCT
• Peripheral pulmonary arteries are substantially larger than
usual
• Inhomogeneous lung opacity - differential pulmonary
parenchymal perfusion.
• Mosaic perfusion - decreased pulmonary parenchymal
attenuation.
• Small Airway disease - Differences in lung attenuation
become accentuated with postexpiratory imaging.
Abnormally enlarged peripheral pulmonary
arteries
• Occasionally centrilobular ground-glass opacities
representing foci of hemorrhage or cholesterol granulomas
• Dilated oesophagus – Systemic sclerosis.
Catheter pulmonary angiography
• Tapering peripheral vessels with a “corkscrew”
appearance, occasionally with subpleural collateral
vessels.
Congenital Cardiovascular Diseases:
Systemic- to-Pulmonary Shunts
• Intracardiac and extracardiac systemic-to-pulmonary shunts
produce increased blood flow through the pulmonary arterial
bed.
• Persistently increased vasomotor tone in pulmonary
arteries lead to the development of pulmonary plexogenic
arteriopathy and irreversible vasculopathy.
• For the patient in whom childhood surgical repair is not done,
lung biopsy may be performed & assessed based on Heath-
Edwards grading system.
Heath-Edwards grading
system
• Chronic increase in pulmonary flow
Increased size of the pulmonary trunk and central
pulmonary arteries
Diminished peripheral vessel caliber
Right ventricular chamber dilatation
CT
Calcification & thrombus
Abnormal vascular connections such as ASD, partial
anomalous pulmonary venous return & PDA.
Imaging Manifestations
Calcification of pulmonary arteries
Atrial Septal Defect
Partial Anomalous Pulmonary Venous Return
Right upper lobe pulmonary veins draining into the
posterior aspect of the superior vena cava (SVC)
MRI
• Dilated pulmonary arteries
• Enlargement of the right ventricle
• Abnormal atrial or ventricular connections
• Flow jets between vascular chambers of different
pressure
Supracristal VSD
Low-signal flow jet
within the right
ventricle through the
VSD
Pulmonary Venoocclusive Disease and/or
Pulmonary Capillary Hemangiomatosis
• Risk factors - Systemic sclerosis, HIV infection, and use
of anorexic medications.
• A characteristic hemodynamic feature of PVOD is
normal pulmonary capillary wedge pressure with
normal left atrial and ventricular function and pressures.
• PCH involve the small pulmonary arteries, pulmonary
venules & pulmonary capillaries and causes progressive
scarring with in situ thrombosis develops, with pulmonary
infarcts.
Clinical Presentation
• Mean age of presentation- 29 years
• Chronic, progressive dyspnea, and malaise, usually during
childhood and adolescence.
• Hemoptysis (PCH > PVOD)
Imaging Manifestations
CXR
• Pulmonary edema is often seen.
• PCH may show diffuse reticular or nodular opacities
HRCT
• Small central pulmonary veins, patchy, dependent
ground-glass opacity, smoothly thickened interlobular
septa, and pleural effusions.
• Interlobular septal thickening (PVOD > PCH)
Pulmonary Hypertension Secondary
To Left Heart Disease
• Rest mPAP ≥25 mm Hg with PCWP >15 mm.
• Size of the obstructing lesion correlates with the degree of
pulmonary hypertension.
• Presentation - progressive shortness of breath and exercise
intolerance; chest pain, syncope, cough, and lower extremity
edema
Imaging Manifestations
• Interlobular septal thickening (Kerley A and B lines) and pleural
effusion, with or without air-space opacity representing alveolar
Left atrial myxoma
Filling defect within the left atrium attached to
the interatrial septum
Pulmonary Hypertension Secondary
To Hypoxia And/Or Lung Disease
Chronic Obstructive Pulmonary Disease
• Emphysema, chronic bronchitis, asthma & bronchiectasis.
• Pulmonary vascular remodeling, including intimal thickening
with a reduction in pulmonary vascular cross-sectional area.
• V/Q mismatching is the primary mechanism of hypoxemia in
COPD
• In most patients with COPD, pulmonary hypertension is mild.
• Poor prognosis - mean pulmonary artery pressures greater than
45 mm Hg.
Interstitial Lung Disease
• Inflammatory and fibrotic destruction of the pulmonary
parenchyma.
• Chronic hypoxemia & fibrotic restriction of pulmonary
vessels.
• The correlation between measurements of lung function
and HRCT fibrosis scores and severity of pulmonary
hypertension is poor in patients with idiopathic
pulmonary fibrosis.
Sleep-Disordered Breathing
• central sleep apnea, obstructive sleep apnea, and nocturnal
desaturation.
• Most common in middle-aged men.
• chronic hypoxemia produces pulmonary arterial
vasoconstriction and increased pulmonary arterial
resistance, and subsequent vascular remodeling, resulting
in pulmonary hypertension.
Chronic Thromboembolic
Pulmonary Hypertension
• Organized or flow-limiting thrombi/emboli in the elastic
pulmonary arteries for ≥3 months of effective anticoagulation.
• Source - deep veins of the pelvis and thigh, the right atrium,
indwelling catheters, or septic thromboemboli in patients with
endocarditis involving the tricuspid or pulmonic valves
• Clinical Presentation
• Dyspnea on exertion, chest pain, cough, and syncope.
• Rx - Thromboendarterectomy or oral anticoagulation.
Imaging Manifestations
CXR
• Initially normal, but later the enlargement of the main, right, and
left pulmonary arteries are evident.
• Subpleural opacities - recent or remote pulmonary infarction.
CTPA
• Organizing thrombi - Eccentric filling defects adjacent to the
vessel wall
• Organizing thrombi with recanalization - small foci of contrast
within an
• occluded vessel.
• Intravascular webs- Linear intraluminal filling defects.
• Abrupt narrowing of pulmonary arteries with reduction in arterial
Imaging Manifestations
HRCT
• Mosaic perfusion - bilateral, geographically distributed
inhomogeneous lung opacity.
• The vessels within the regions of decreased pulmonary
parenchymal attenuation often are visibly smaller than their
counterparts in the areas of normal or increased parenchymal
attenuation.
• Subpleural consolidation - pulmonary infarction.
• Right ventricular enlargement and hypertrophy with leftward
bowing of the interventricular septum.
• Mild lymphadenopathy, pericardial effusion, and mild pericardial
Lobulated filling defect attached to the pulmonic
valve associated with occlusive left interlobar and
lower lobe PE
Eccentric filling defect in the
distal right interlobar pulmonary
artery
Imaging Manifestations
MRI
• T1-weighted, gadolinium-enhanced MRA & and steady-state
free precession images - very low-signal foci of thrombi.
• Evaluation of Right ventricle morphology and its performance.
Pulmonary angiography
• Vascular tortuosity, webs, bands, stenoses, “pouching defects,”
and abrupt vascular cutoffs or occlusions.
Nonthrombotic Pulmonary Arterial
Embolization
Tumor Embolization
• The most common etiology of tumor microembolization is
gastric cancer, but breast, lung, ovarian, renal,
hepatocellular, and prostate cancers also may produce
tumor emboli.
• Most emboli preferentially occlude small arteries and
arterioles, with the exception of atrial myxomas and renal
carcinomas, which may form larger thromboemboli.
• Thrombotic tumor microangiopathy - myxoid intimal
Imaging Manifestations
CT
• Lymphadenopathy, lymphangitic carcinomatosis, and
peripheral, wedge-shaped opacities representing infarction.
• When emboli affect larger vessels (subsegmental arteries)
“beaded” appearance of the vessels.
• When smaller vessels are affected (at the centrilobular level) ,
they may assume a branching configuration, resembling “tree-
in-bud.
Pulmonary angiography
• Intravascular filling defects with a beaded appearance, and
peripheral pruning.
Pulmonary arterial embolization from breast
malignancy
Enlargement of the main pulmonary artery
and leftward bowing of the interventricular
septum
Bilateral inhomogeneous
lung opacity representing
oligemia caused by small
pulmonary arteriolar
tumor emboli.
Frontal planar 99mTc-
labeled macroaggregated
albumin perfusion study
shows small, subpleural,
bilateral perfusion
Pulmonary Hypertension With Unclear Or
Multifactorial Mechanisms
• Hematological disorders – myeloproliferative diseases,
polycythemia vera, essential thrombocytosis, chronic
myeloid leukemia.
• Systemic disorders, sarcoidosis, pulmonary
Langerhans cell histiocytosis,
lymphangioleiomyomatosis, neurofibromatosis,
vasculitis.
• Metabolic disorders: glycogen storage disease,
Gaucher disease, thyroid disorders
Fibrosing Mediastinitis
• Progressive proliferation of collagenous and fibrous tissue
throughout the mediastinum, producing encasement and
compression of mediastinal structures
• MCC: Granulomatous infections, particularly Histoplasma
capsulatum and Mycobacterium tuberculosis.
• Commonly affects relatively deformable structures -SVC,
trachea & central airways, pulmonary arteries & veins and
esophagus
Imaging Manifestations
CXR
• widened mediastinum with hilar prominence and calcified lymph
nodes.
• Lobar volume loss - airway stenoses.
CT
• Infiltration of the mediastinum with abnormal soft tissue
• extensive lymph node calcification- H. capsulatum.
• extensive collateral vein formation due to fibrotic involvement of
systemic thoracic veins such as the SVC or azygos vein.
• Pulmonary artery compression may be visualized directly.
Calcified mediastinal
nodal mass causing SVC
obstruction with
numerous mediastinal
Soft tissue within the
anterior mediastinum
causing compression of
MPA
SUMMARY
• Look for dilated pulmonary arteries.
• Search for additional features.
• First rule out the thromboembolic state.
• Find the left sided cardiac abnormalities
• Distinguish the cause for Mosaic perfusion.
• Clinical history aids in identifying the primary
cause as in connective tissue disorders , IPAH,

PULMONARY HYPERTENSION

  • 1.
  • 2.
    Anatomy & PhysiologyOf The Pulmonary Circulation • The pulmonary circulation consists of two parallel networks: 1)The Pulmonary arterial circulation 2)The Bronchial arterial circulation • Pulmonary arteries • Along the lobar, segmental, and subsegmental airways to the level of the terminal bronchioles. • By the level of the respiratory bronchioles and alveolar ducts, they are termed pulmonary
  • 3.
    Anatomy & PhysiologyOf The Pulmonary Circulation • The pulmonary circulation consists of two parallel networks: 1)The Pulmonary arterial circulation 2)The Bronchial arterial circulation Pulmonary arteries • Along the lobar, segmental, and subsegmental airways to the level of the terminal bronchioles. • By the level of the respiratory bronchioles and alveolar ducts, they are termed pulmonary
  • 4.
    Bronchial circulation • Thebronchial circulation originates from the proximal thoracic aorta between T5 and T6 vertebral body. • Course within the pulmonary hila along the mainstem bronchi to the level of the terminal bronchiole and form a plexus that extends from the adventitia through to the submucosa of the associated airway.
  • 6.
    • The pulmonarycirculation is a low-pressure system. • At small muscular pulmonary arterial and arteriolar level, caliber changes occurs to regulate pulmonary arterial pressure and are critical for optimizing ventilation and perfusion matching. • During exercise, numerous capillaries are “recruited” when increased pulmonary blood flow
  • 7.
    Pulmonary Hypertension Precapillary Pulmonaryhypertension Resting mean pulmonary arterial pressure (mPAP) ≥25 mm Hg at rest. Pulmonary venous hypertension / Postcapillary pulmonary hypertension  Pulmonary arterial/capillary wedge pressure ≥18 mm Hg.
  • 8.
    Loss of Biological“Balance” in PAH Vasoconstriction Vasodilation Endothelin-1 Thromboxane A2. Prostacyclin Nitric oxide synthase
  • 9.
    SMC Endothelium elastic lamina injury serum leak SMCPROLIFERATION & MIGRATION The Pathobiology Of Pulmonary Hypertension
  • 10.
    • Histopathological abnormalities Dilatedpulmonary arteries Pulmonary arterial atherosclerosis Arterialization of small pulmonary arterioles • Pulmonary plexogenic arteriopathy- PAH, hepatic disease, connective tissue disorders, congenital cardiovascular disease & patients on medication.
  • 11.
    Imaging Features • Dilationof the central pulmonary arteries with rapid tapering of the pulmonary vessels as they course peripherally.
  • 13.
    CXR • Transverse diameterof the right interlobar pulmonary artery, measured from the lateral aspect of the vessel to its medial portion adjacent to the bronchus intermedius, exceeds 15 mm in women and 16 mm in men. • The left pulmonary artery is best measured on the lateral radiograph from the orifice of the left upper lobe bronchus to the posterior aspect of the vessel; when this measurement exceeds 18 mm, pulmonary hypertension probably is present.
  • 15.
    CT • MPA >29mm,but not invariably, present. • Size of the main pulmonary artery is more than the ascending aorta at the level of base of the heart • Calcification of the pulmonary arteries, usually affecting the main, right, or left pulmonary arteries - Irreversible vascular disease.
  • 17.
    Echocardiography • Continuous waveor pulsed Doppler provides noninvasive estimation of pulmonary arterial pressures. • Morphologic evaluation of the both ventricles and valvular function. • Limitation – Difficult acoustic windows in emphysema patients, operator dependence & complex anatomical shape.
  • 18.
    MRI • Allow botha detailed anatomic and an extensive functional examination of the cardiovascular system. • As it provides superior spatial resolution, complex shape of the right ventricle does not adversely affect the measurement of chamber dimensions.
  • 19.
    Pre-capillary PH High-flow PH (O2 satrun) Hemodynamic Classification of PH (mean PAP >25 mm Hg) VC RA RV PA PV PC LA LV Ao Post-capillary PH Diagram courtesy of Teresa De Marco, MD, UCSF
  • 20.
  • 21.
    Post Capillary PH VCRA RV PA PV PVP PC LA LAP LV Ao LVEDP PCWP>15 mm Hg Systemic HTN AoV diseaseMyocardial Disease Dilated CMP-ischemic/non- ischemic Hypertrophic CMP Restrictive/infiltrative CMP Obesity related CMP MR
  • 22.
    5th World Symposium:Classification of Pulmonary Hypertension (Nice, France 2013) 1. Pulmonary Arterial Hypertension 1.1 Idiopathic PAH 1.2 Heritable 1.2.1. BMPR2 1.2.2. ALK1, ENG, SMAD9, CAV1, KCNK3 1.2.3 Unknown. 1.3 Drug- and toxin-induced 1.4 Associated with 1.4.1. Connective tissue disease 1.4.2 HIV infection 1.4.3 Portal hypertension 1.4.4 Congenital heart diseases 1.4.5 Schistosomiasis 1’ Pulmonary veno-occlusive disease (PVO) & / PCH 1’’ Persistent pulmonary hypertension of the newborn (PPHN)
  • 23.
    2. Pulmonary hypertensiondue to left heart disease 2.1 LV Systolic dysfunction 2.2 LV Diastolic dysfunction 2.3 Valvular disease • 2.3 Congenital/acquired left heart inflow/outflow tract obstruction and congenital cardiomyopathies. 3. Pulmonary hypertension due to lung diseases and/or hypoxia 3.1 Chronic obstructive pulmonary disease 3.2 Interstitial lung disease 3.3 Other pulmonary diseases with mixed restrictive and obstructive pattern 3.4 Sleep-disordered breathing 3.5 Alveolar hypoventilation disorders 3.6 Chronic exposure to high altitude 3.7 Developmental lung disease
  • 24.
    4. Chronic thromboembolicpulmonary hypertension (CTEPH) 5. PH with unclear multifactorial mechanisms 5.1 Hematologic disorders: chronic hemolytic anemia myeloproliferative disorders splenectomy. 5.2 Systemic disorders, sarcoidosis, pulmonary Langerhans cell histiocytosis, lymphangioleiomyomatosis, neurofibromatosis, vasculitis 5.3 Metabolic disorders: glycogen storage disease, Gaucher disease, thyroid disorders 5.4 Others: tumoral obstruction, fibrosing mediastinitis, chronic renal failure on dialysis.
  • 25.
    Pulmonary Arterial Hypertension •Restriction of blood flow through the pulmonary arteries, leading to increased pulmonary vascular resistance and eventually to right heart failure. 1) Idiopathic PAH (IPAH) 2) Heritable (familial PAH) 3) PAH associated with a number of conditions, including drugs and toxins and several systemic conditions
  • 26.
    Etiology and Pathogenesisof PAH IPAH • Most common form of PAH • Sporadic disease affecting females more commonly than males. • No identifiable risk factors Heritable PAH • Mutations in bone morphogenic protein receptor-2 & activin receptor-like kinase type 1 (hemorrhagic telangiectasia) • (TGF)-β super family
  • 27.
    PAH associated withdrugs and toxins PAH is associated with connective tissue diseases • Progressive systemic sclerosis produces changes in the vasculature more commonly than rheumatoid arthritis or systemic lupus erythematosus.
  • 28.
    Congenital heart defectswith left-to-right shunting • Prolonged exposure of the pulmonary vasculature to increased blood flow and pressure results in arteriopathy. • Eventually results in Eisenmenger’s Syndrome . PAH associated with portal hypertension • Liver disease is the primary condition associated with portal hypertension. • Incomplete hepatic degradation of humoral factors that exert vasoconstricting and inflammatory effects on the pulmonary circulation.
  • 29.
    Symptoms • Breathlessness • Chestpain • Dizziness • Syncope • Loss of energy • Edema • Dry cough • Raynaud’s phenomenon
  • 30.
    Imaging Manifestations HRCT • Peripheralpulmonary arteries are substantially larger than usual • Inhomogeneous lung opacity - differential pulmonary parenchymal perfusion. • Mosaic perfusion - decreased pulmonary parenchymal attenuation. • Small Airway disease - Differences in lung attenuation become accentuated with postexpiratory imaging.
  • 31.
  • 32.
    • Occasionally centrilobularground-glass opacities representing foci of hemorrhage or cholesterol granulomas • Dilated oesophagus – Systemic sclerosis. Catheter pulmonary angiography • Tapering peripheral vessels with a “corkscrew” appearance, occasionally with subpleural collateral vessels.
  • 34.
    Congenital Cardiovascular Diseases: Systemic-to-Pulmonary Shunts • Intracardiac and extracardiac systemic-to-pulmonary shunts produce increased blood flow through the pulmonary arterial bed. • Persistently increased vasomotor tone in pulmonary arteries lead to the development of pulmonary plexogenic arteriopathy and irreversible vasculopathy. • For the patient in whom childhood surgical repair is not done, lung biopsy may be performed & assessed based on Heath- Edwards grading system.
  • 35.
  • 36.
    • Chronic increasein pulmonary flow Increased size of the pulmonary trunk and central pulmonary arteries Diminished peripheral vessel caliber Right ventricular chamber dilatation CT Calcification & thrombus Abnormal vascular connections such as ASD, partial anomalous pulmonary venous return & PDA. Imaging Manifestations
  • 37.
    Calcification of pulmonaryarteries Atrial Septal Defect
  • 38.
    Partial Anomalous PulmonaryVenous Return Right upper lobe pulmonary veins draining into the posterior aspect of the superior vena cava (SVC)
  • 39.
    MRI • Dilated pulmonaryarteries • Enlargement of the right ventricle • Abnormal atrial or ventricular connections • Flow jets between vascular chambers of different pressure
  • 40.
    Supracristal VSD Low-signal flowjet within the right ventricle through the VSD
  • 41.
    Pulmonary Venoocclusive Diseaseand/or Pulmonary Capillary Hemangiomatosis • Risk factors - Systemic sclerosis, HIV infection, and use of anorexic medications. • A characteristic hemodynamic feature of PVOD is normal pulmonary capillary wedge pressure with normal left atrial and ventricular function and pressures. • PCH involve the small pulmonary arteries, pulmonary venules & pulmonary capillaries and causes progressive scarring with in situ thrombosis develops, with pulmonary infarcts.
  • 42.
    Clinical Presentation • Meanage of presentation- 29 years • Chronic, progressive dyspnea, and malaise, usually during childhood and adolescence. • Hemoptysis (PCH > PVOD) Imaging Manifestations CXR • Pulmonary edema is often seen. • PCH may show diffuse reticular or nodular opacities
  • 43.
    HRCT • Small centralpulmonary veins, patchy, dependent ground-glass opacity, smoothly thickened interlobular septa, and pleural effusions. • Interlobular septal thickening (PVOD > PCH)
  • 44.
    Pulmonary Hypertension Secondary ToLeft Heart Disease • Rest mPAP ≥25 mm Hg with PCWP >15 mm. • Size of the obstructing lesion correlates with the degree of pulmonary hypertension. • Presentation - progressive shortness of breath and exercise intolerance; chest pain, syncope, cough, and lower extremity edema Imaging Manifestations • Interlobular septal thickening (Kerley A and B lines) and pleural effusion, with or without air-space opacity representing alveolar
  • 45.
    Left atrial myxoma Fillingdefect within the left atrium attached to the interatrial septum
  • 46.
    Pulmonary Hypertension Secondary ToHypoxia And/Or Lung Disease Chronic Obstructive Pulmonary Disease • Emphysema, chronic bronchitis, asthma & bronchiectasis. • Pulmonary vascular remodeling, including intimal thickening with a reduction in pulmonary vascular cross-sectional area. • V/Q mismatching is the primary mechanism of hypoxemia in COPD • In most patients with COPD, pulmonary hypertension is mild. • Poor prognosis - mean pulmonary artery pressures greater than 45 mm Hg.
  • 47.
    Interstitial Lung Disease •Inflammatory and fibrotic destruction of the pulmonary parenchyma. • Chronic hypoxemia & fibrotic restriction of pulmonary vessels. • The correlation between measurements of lung function and HRCT fibrosis scores and severity of pulmonary hypertension is poor in patients with idiopathic pulmonary fibrosis.
  • 48.
    Sleep-Disordered Breathing • centralsleep apnea, obstructive sleep apnea, and nocturnal desaturation. • Most common in middle-aged men. • chronic hypoxemia produces pulmonary arterial vasoconstriction and increased pulmonary arterial resistance, and subsequent vascular remodeling, resulting in pulmonary hypertension.
  • 49.
    Chronic Thromboembolic Pulmonary Hypertension •Organized or flow-limiting thrombi/emboli in the elastic pulmonary arteries for ≥3 months of effective anticoagulation. • Source - deep veins of the pelvis and thigh, the right atrium, indwelling catheters, or septic thromboemboli in patients with endocarditis involving the tricuspid or pulmonic valves • Clinical Presentation • Dyspnea on exertion, chest pain, cough, and syncope. • Rx - Thromboendarterectomy or oral anticoagulation.
  • 50.
    Imaging Manifestations CXR • Initiallynormal, but later the enlargement of the main, right, and left pulmonary arteries are evident. • Subpleural opacities - recent or remote pulmonary infarction. CTPA • Organizing thrombi - Eccentric filling defects adjacent to the vessel wall • Organizing thrombi with recanalization - small foci of contrast within an • occluded vessel. • Intravascular webs- Linear intraluminal filling defects. • Abrupt narrowing of pulmonary arteries with reduction in arterial
  • 51.
    Imaging Manifestations HRCT • Mosaicperfusion - bilateral, geographically distributed inhomogeneous lung opacity. • The vessels within the regions of decreased pulmonary parenchymal attenuation often are visibly smaller than their counterparts in the areas of normal or increased parenchymal attenuation. • Subpleural consolidation - pulmonary infarction. • Right ventricular enlargement and hypertrophy with leftward bowing of the interventricular septum. • Mild lymphadenopathy, pericardial effusion, and mild pericardial
  • 52.
    Lobulated filling defectattached to the pulmonic valve associated with occlusive left interlobar and lower lobe PE
  • 53.
    Eccentric filling defectin the distal right interlobar pulmonary artery
  • 54.
    Imaging Manifestations MRI • T1-weighted,gadolinium-enhanced MRA & and steady-state free precession images - very low-signal foci of thrombi. • Evaluation of Right ventricle morphology and its performance. Pulmonary angiography • Vascular tortuosity, webs, bands, stenoses, “pouching defects,” and abrupt vascular cutoffs or occlusions.
  • 55.
    Nonthrombotic Pulmonary Arterial Embolization TumorEmbolization • The most common etiology of tumor microembolization is gastric cancer, but breast, lung, ovarian, renal, hepatocellular, and prostate cancers also may produce tumor emboli. • Most emboli preferentially occlude small arteries and arterioles, with the exception of atrial myxomas and renal carcinomas, which may form larger thromboemboli. • Thrombotic tumor microangiopathy - myxoid intimal
  • 56.
    Imaging Manifestations CT • Lymphadenopathy,lymphangitic carcinomatosis, and peripheral, wedge-shaped opacities representing infarction. • When emboli affect larger vessels (subsegmental arteries) “beaded” appearance of the vessels. • When smaller vessels are affected (at the centrilobular level) , they may assume a branching configuration, resembling “tree- in-bud. Pulmonary angiography • Intravascular filling defects with a beaded appearance, and peripheral pruning.
  • 57.
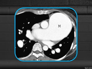
    Pulmonary arterial embolizationfrom breast malignancy Enlargement of the main pulmonary artery and leftward bowing of the interventricular septum
  • 58.
    Bilateral inhomogeneous lung opacityrepresenting oligemia caused by small pulmonary arteriolar tumor emboli. Frontal planar 99mTc- labeled macroaggregated albumin perfusion study shows small, subpleural, bilateral perfusion
  • 59.
    Pulmonary Hypertension WithUnclear Or Multifactorial Mechanisms • Hematological disorders – myeloproliferative diseases, polycythemia vera, essential thrombocytosis, chronic myeloid leukemia. • Systemic disorders, sarcoidosis, pulmonary Langerhans cell histiocytosis, lymphangioleiomyomatosis, neurofibromatosis, vasculitis. • Metabolic disorders: glycogen storage disease, Gaucher disease, thyroid disorders
  • 60.
    Fibrosing Mediastinitis • Progressiveproliferation of collagenous and fibrous tissue throughout the mediastinum, producing encasement and compression of mediastinal structures • MCC: Granulomatous infections, particularly Histoplasma capsulatum and Mycobacterium tuberculosis. • Commonly affects relatively deformable structures -SVC, trachea & central airways, pulmonary arteries & veins and esophagus
  • 61.
    Imaging Manifestations CXR • widenedmediastinum with hilar prominence and calcified lymph nodes. • Lobar volume loss - airway stenoses. CT • Infiltration of the mediastinum with abnormal soft tissue • extensive lymph node calcification- H. capsulatum. • extensive collateral vein formation due to fibrotic involvement of systemic thoracic veins such as the SVC or azygos vein. • Pulmonary artery compression may be visualized directly.
  • 62.
    Calcified mediastinal nodal masscausing SVC obstruction with numerous mediastinal Soft tissue within the anterior mediastinum causing compression of MPA
  • 63.
    SUMMARY • Look fordilated pulmonary arteries. • Search for additional features. • First rule out the thromboembolic state. • Find the left sided cardiac abnormalities • Distinguish the cause for Mosaic perfusion. • Clinical history aids in identifying the primary cause as in connective tissue disorders , IPAH,