Pulmonary Embolism
Dr. A. Bandyopadhyay
D.M.(Cardiology)
Definition
2
● Sudden occlusion of the pulmonary vasculature, which results in
obstruction of the blood flow to the lung parenchyma.
● Commonly blood clot (80%)
● Fat
● Air
● Amniotic fluid
● Placenta
● Parasites
● Septic emboli (from right sided endocarditis)
● Clumped tumor cells (especially choriocarcinoma)
PE is the third most common cause of death
Sourceof Emboli
• Thrombusoriginates in lower extrimities in 85–90%cases.
• Thrombusoften beginsat a site where blood flow isturbulent, such as at a
venousbifurcation, or behind avenousvalve.
• Most thrombi originate in the deepveinsof the calf andpropagate proximally
to the popliteal andfemoral veins.
• Other sourcesof emboli are pelvic vein, upper extremity, or maybe associated
with thoracic outlet obstruction or effort thrombosis
(Paget-Schroetter Syndrome).
• Air embolismisusuallyiatrogenic andtypically entersthe blood stream
accidentallythrough a central venouscatheter.
• Fat embolismandamniotic fluid embolismareother causes of
pulmonaryembolism.
• Pulmonaryembolismin sicklecell diseaseiscausedby“clumping” of abnormal red
blood cellsin the setting of hypoxiaand stress,andcan cause both acute
respiratory distressaswell as amore progressive diseasewith secondarypulmonary
hypertension.
Pathophysiology
6
● Thrombus-blood clot along the wall of a normal or slightly damaged
blood vessel
● Virchow s triad gives the 3 primary influences of a thrombus
formation
● Endothelial Injury
● Stasis or turbulent flow
● Blood hypercoagulability
Pathophysiology
• Oncedetached from their point of origin, emboli travel via the systemicvenous
system,through the right chambersof the heart, and eventually reachthe
pulmonary arterialsystem.
• Thephysiologiceffects andclinical consequencesof pulmonary
thromboembolism vary widely, rangingfrom asymptomatic diseaseto
hemodynamic collapseanddeath.
Major factors that determine the outcomeinclude:
• (1) sizeandlocation of emboli;
• (2) coexistingcardiopulmonary diseases;
• (3) secondaryhumoral mediator releaseandvascularhypoxic responses;
• (4) the rate of resolution ofemboli.
Contd…
As pulmonary vascular resistance↑, RV wall
tension ↑ & causes further RV dilation &
dysfunction
↓
↑ RV wall tension also compresses the RCA
↓
↓ subendocardial perfusion & limits
myocardial oxygen supply
↓
Provokes MI → eventually circulatory
collapse & death may ensue
HemodynamicConsequences
• Thenormal pulmonary arterial systemisalow-pressure systemcapableof accommodating
substantialincreasesin blood flow with only modestincreasesin pressure.
• With Pulmonary vascular Obstruction lessthan 20% there is modest
hemodynamic abnormality.
• When the degree of pulmonary vascular obstruction exceeds30to40percent, modest
increasesin right ventricular pressure occur,but cardiac output is maintained through
anincrease inheart rate andmyocardial contractility.
• Compensatory mechanismsbegin to fail when the degree of pulmonary artery obstruction
exceeds50to 60percent.
Cardiacoutput beginsto fall andright atrial pressure increasesdramatically.
• In patients without prior cardiopulmonary disease, the maximal mean pulmonary artery
pressure capable of being generated by the right ventricle appears to be 40 mmHg
(pulmonary artery systolicpressure of approximately 70mmHg).
GasExchange Abnormalities
• Hypoxemiaisthe most commonimmediate physiologic consequence of pulmonaryembolism.
• Obstruction of the pulmonary vasculature re-directs the blood flow to other parts of the pulmonary
vascularbed.
• Thisresults in anincrease in intra-pulmonary shunting, ventilation-perfusion (V/Q) inequality, and
decreasesin the mixed venousO2level, thereby magnifying the effect of the normal venous admixture.
• Further shunting andalveolar deadspaceincreasesdueto alveolar hemorrhage, andatelactasis.
• Hypocapniain PE isdueto hypoxia-inducedintrapulmonary reflex
vagalstimulation,withresulting hyperventilation.
• Finally,hypoxemiamayleadto anincreasein sympathetic tone,which in turn causes systemic
vasoconstriction.
• Oneuncommonconsequenceof pulmonary embolism ispulmonary infarction.
• Infarction isuncommonbecausethe pulmonary parenchyma has three potential sourcesof oxygen:
the pulmonary arteries, bronchial arteries, andairways.
• Twoof thesethree sourcesapparently must becompromised before infarction develops.
1
2
Sudden onset of unexplained dyspnea is the most common, and
often the only symptom of pulmonary embolism.
Pleuritic chest pain and Hemoptysis are present only when
infarction has occurred.
1.Dyspnea
2.Hemoptysis
3.Pleuritic chest pain
Classic Triad of pulmonary embolism
In reality the triad occurs in
<20% of patients
1
3
Classification
1
4
● Based on clinical presentation and investigations
● Treatment of Pulmonary Embolism (PE) are best
understood when classified
● Acute Massive PE
● Submassive PTE
● Smallto moderatePTE
Massive PE Submassive PE Minor/Non-massive PE
High risk Moderate/intermediate risk Low risk
• Sustained hypotension
(systolic BP <90 mmHg
for  15 min)
• Inotropic support
• Pulseless
• Persistent profound bradycardia
(HR <40 bpm with signs or
symptoms of shock)
• Systemically normotensive
(systolic BP 90 mmHg)
• RV dysfunction
• Myocardial necrosis
• Systemically normotensive
(systolic BP 90 mmHg)
• No RV dysfunction
• No myocardial necrosis
RV dysfunction
• RV/LV ratio > 0.9 or RV systolic dysfunction on echo
• RV/LV ratio > 0.9 on CT
• Elevation of BNP (>90 pg/mL)
• Elevation of NTpro-BNP (>500 pg/mL)
• ECG changes:
• new complete or incomplete RBBB
• anteroseptal ST elevation or depression
• anteroseptal T-wave inversion
Jaff et al. Circulation 2011;123(16):1788-1830.
Classification
10
12
13
24
D-dimer
25
● Dimerized plasmin fragment D
● Fibrin degradation product
● A negative D-dimer result (< 500 U/mL) excluded PE with a sensitivity
of 83.0%
● Sensitive but not specific indicator of thromboembolic
disorders
● Raised in inflammatory conditions e.g. Pneumonia
Arterial Blood Gas
● Hypoxemia occurs in about 90% of patients with PE
● The degree of hypoxemia doesn’t accurately predict the size of the PE
● PaO2 of <70 mmHg not explained by CXR findings strongly suggest PE
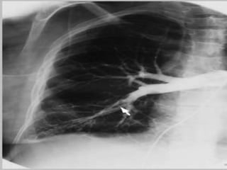
ChestXray
• Most patientswith pulmonary embolism haveabnormalbut nonspecific chest
radiographicfindings.
• Commonradiographic findings include atelectasis,pleuraleffusion, pulmonary
infiltrates, and mild elevation of ahemidiaphragm.
• Classicfindings of pulmonary infarction—such asHampton’s hump or decreased
vascularity (Westermark’s sign)—aresuggestivebut infrequent.
• Hampton humprefers to adome-shaped, pleurally-basedopacificationin the lung.
• Palasign isaprominent pulmonary artery that canbecausedeither by pulmonary
hypertensionthat developsor bydistension of the vesselby alarge pulmonary embolus.
• Westermark’ssign –peripheraloligemia.
• Anormal chest radiograph in apatient with otherwise unexplained acute dyspneaor
hypoxemia isstrongly suggestiveofembolism.
Electrocardiograph
28
● The most common ECG abnormalities are:
● Sinus tachycardia
● Right axis deviation
● Nonspecific ST segment abnormalities (40% of pts)
● RBBB
● These findings are not sensitive or specific enough to aid in the
diagnosis of PE
● S1Q3T3 pattern is observed in only 20% of patients
● ECG pattern is normal in 1/3rd ofpatients
● Exclude: Myocardial Infarction and Pericarditis
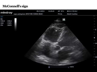
ECHOCARDIOGRAPHY
• Presenceof unexplainedright ventricular volume or pressure
overloadshouldsuggestthe possibility of embolism andleadto
confirmatory testing.
• TEEhasbetter sensitivity and specificity especiallyin casesof
proximal embolus,reachingupto 90%.comparedto 50%in TTE.
• It helps to detect RV enlargement & RWMA a/wPTE
(McConnell’s sign - hypokinesia of RV free wall with normal
motion of RV apex is best known indirect sign of PE)
McConnell’ssign
• At the presenttime, CT isconsidered confirmatory in excluding embolism in
patients with alow or intermediate likelihood of disease andconfirming
embolism in patients with intermediate or high probability of disease.
• Whendiscordance existsbetween the clinical assessmentandCT findings,
additional studies should beperformed.
• It ispossiblethis recommendation will changeas studies with64- MDCT
scanners are published.
Spiral CT
Doppler Ultra sound
33
● Detection of thrombosis in femoral & popliteal veins vessels
● Primarily or secondarily involved in the majority of patients
with PE
● Doppler Ultra sound has a sensitivity and specificity of 95-100%
Ventilation-PerfusionScanning
• ventilation andperfusion lung scanningcanprovide valuable
information if usedandinterpretedappropriately.
• A negativestudy rules out the diagnosisof pulmonary embolismwith the same
degreeof certainty asanegativepulmonary angiogramand with ahigher degree
of certainty than canbeachievedby anegative CT scan.
• VQ scansaredivided into 4criteria: high probability scan, intermediate
probability scan,low probability scan,andnormalscan.
• Thepositive predictive valueof a“high probability” scan(one
characterized by multiple, segmental-sized,mismatched defects)
approximates 88percent.
Themodified PIOPED criteriafordiagnosis of PE determinetheprobability
of pulmonary emboli followingaVQ scan .
PulmonaryAngiogram-GoldStandard
• Pulmonary angiographyremainsthe accepted“gold standard” forPEdiagnosis.
• Onlytwo angiographicfindings arediagnosticof acute embolism:the filling defect
andabrupt cutoff ofavessel.
• Catheterisinserted in the right heart anddyeisinjected into pulmonary
trunk.
• Filling isobservedunderfluoroscopy.
• Limitations of PulmonaryAngiogram:
• It requires expertise in study performanceandinterpretation;
• it isinvasive.
• Highmortality due to procedureitself.
38
Caval filter
● Filter inserted in IVC below
origin of renal vessels
● Indications
● Pts with recurrent PE despite
adequate anticoagulation
● Prophylactically: Pts for
whom anticoagulation is
contraindications (eg.
immediately after surgery)
● Patients with massive PE who
survived but in whom
recurrent embolism will be
invariably fatal
32
Jaff et al. Circulation 2011;123(16):1788-1830.
Catheter based treatment
The ULTIMA Trial:
In patients with acute pulmonary embolism (PE), systemic thrombolysis improves
right ventricular (RV) dilatation, is associated with major bleeding, and is withheld
in many patients at risk.
This multicentre randomized controlled trial investigated whether ultrasound-
assisted catheter-directed thrombolysis (USAT) is superior to anticoagulation alone
in the reversal of RV dilatation in intermediate-risk patients.
Conclusions—In PE patients at intermediate risk, a standardized USAT regimen
was superior to anticoagulation with heparin alone in reversing RV dilatation at 24
hours, without an increase in bleeding complications.
The SEATTLE II Study
OBJECTIVES:
This study conducted a prospective, single-arm, multicentre trial to evaluate the
safety and efficacy of ultrasound-facilitated, catheter-directed, low-dose
fibrinolysis, using the Eko-Sonic Endovascular System.
CONCLUSIONS:
Ultrasound-facilitated, catheter-directed, low-dose fibrinolysis decreased RV
dilation, reduced pulmonary hypertension, decreased anatomic thrombus
burden, and minimized intracranial haemorrhage in patients with acute massive
and sub-massive PE.
THANK
YOU

Pulmonary embolisim

  • 1.
    Pulmonary Embolism Dr. A.Bandyopadhyay D.M.(Cardiology)
  • 2.
    Definition 2 ● Sudden occlusionof the pulmonary vasculature, which results in obstruction of the blood flow to the lung parenchyma. ● Commonly blood clot (80%) ● Fat ● Air ● Amniotic fluid ● Placenta ● Parasites ● Septic emboli (from right sided endocarditis) ● Clumped tumor cells (especially choriocarcinoma) PE is the third most common cause of death
  • 3.
    Sourceof Emboli • Thrombusoriginatesin lower extrimities in 85–90%cases. • Thrombusoften beginsat a site where blood flow isturbulent, such as at a venousbifurcation, or behind avenousvalve. • Most thrombi originate in the deepveinsof the calf andpropagate proximally to the popliteal andfemoral veins. • Other sourcesof emboli are pelvic vein, upper extremity, or maybe associated with thoracic outlet obstruction or effort thrombosis (Paget-Schroetter Syndrome). • Air embolismisusuallyiatrogenic andtypically entersthe blood stream accidentallythrough a central venouscatheter. • Fat embolismandamniotic fluid embolismareother causes of pulmonaryembolism. • Pulmonaryembolismin sicklecell diseaseiscausedby“clumping” of abnormal red blood cellsin the setting of hypoxiaand stress,andcan cause both acute respiratory distressaswell as amore progressive diseasewith secondarypulmonary hypertension.
  • 6.
    Pathophysiology 6 ● Thrombus-blood clotalong the wall of a normal or slightly damaged blood vessel ● Virchow s triad gives the 3 primary influences of a thrombus formation ● Endothelial Injury ● Stasis or turbulent flow ● Blood hypercoagulability
  • 7.
    Pathophysiology • Oncedetached fromtheir point of origin, emboli travel via the systemicvenous system,through the right chambersof the heart, and eventually reachthe pulmonary arterialsystem. • Thephysiologiceffects andclinical consequencesof pulmonary thromboembolism vary widely, rangingfrom asymptomatic diseaseto hemodynamic collapseanddeath. Major factors that determine the outcomeinclude: • (1) sizeandlocation of emboli; • (2) coexistingcardiopulmonary diseases; • (3) secondaryhumoral mediator releaseandvascularhypoxic responses; • (4) the rate of resolution ofemboli.
  • 8.
    Contd… As pulmonary vascularresistance↑, RV wall tension ↑ & causes further RV dilation & dysfunction ↓ ↑ RV wall tension also compresses the RCA ↓ ↓ subendocardial perfusion & limits myocardial oxygen supply ↓ Provokes MI → eventually circulatory collapse & death may ensue
  • 9.
    HemodynamicConsequences • Thenormal pulmonaryarterial systemisalow-pressure systemcapableof accommodating substantialincreasesin blood flow with only modestincreasesin pressure. • With Pulmonary vascular Obstruction lessthan 20% there is modest hemodynamic abnormality. • When the degree of pulmonary vascular obstruction exceeds30to40percent, modest increasesin right ventricular pressure occur,but cardiac output is maintained through anincrease inheart rate andmyocardial contractility. • Compensatory mechanismsbegin to fail when the degree of pulmonary artery obstruction exceeds50to 60percent. Cardiacoutput beginsto fall andright atrial pressure increasesdramatically. • In patients without prior cardiopulmonary disease, the maximal mean pulmonary artery pressure capable of being generated by the right ventricle appears to be 40 mmHg (pulmonary artery systolicpressure of approximately 70mmHg).
  • 10.
    GasExchange Abnormalities • Hypoxemiaisthemost commonimmediate physiologic consequence of pulmonaryembolism. • Obstruction of the pulmonary vasculature re-directs the blood flow to other parts of the pulmonary vascularbed. • Thisresults in anincrease in intra-pulmonary shunting, ventilation-perfusion (V/Q) inequality, and decreasesin the mixed venousO2level, thereby magnifying the effect of the normal venous admixture. • Further shunting andalveolar deadspaceincreasesdueto alveolar hemorrhage, andatelactasis. • Hypocapniain PE isdueto hypoxia-inducedintrapulmonary reflex vagalstimulation,withresulting hyperventilation. • Finally,hypoxemiamayleadto anincreasein sympathetic tone,which in turn causes systemic vasoconstriction. • Oneuncommonconsequenceof pulmonary embolism ispulmonary infarction. • Infarction isuncommonbecausethe pulmonary parenchyma has three potential sourcesof oxygen: the pulmonary arteries, bronchial arteries, andairways. • Twoof thesethree sourcesapparently must becompromised before infarction develops.
  • 12.
  • 13.
    Sudden onset ofunexplained dyspnea is the most common, and often the only symptom of pulmonary embolism. Pleuritic chest pain and Hemoptysis are present only when infarction has occurred. 1.Dyspnea 2.Hemoptysis 3.Pleuritic chest pain Classic Triad of pulmonary embolism In reality the triad occurs in <20% of patients 1 3
  • 14.
    Classification 1 4 ● Based onclinical presentation and investigations ● Treatment of Pulmonary Embolism (PE) are best understood when classified ● Acute Massive PE ● Submassive PTE ● Smallto moderatePTE
  • 15.
    Massive PE SubmassivePE Minor/Non-massive PE High risk Moderate/intermediate risk Low risk • Sustained hypotension (systolic BP <90 mmHg for  15 min) • Inotropic support • Pulseless • Persistent profound bradycardia (HR <40 bpm with signs or symptoms of shock) • Systemically normotensive (systolic BP 90 mmHg) • RV dysfunction • Myocardial necrosis • Systemically normotensive (systolic BP 90 mmHg) • No RV dysfunction • No myocardial necrosis RV dysfunction • RV/LV ratio > 0.9 or RV systolic dysfunction on echo • RV/LV ratio > 0.9 on CT • Elevation of BNP (>90 pg/mL) • Elevation of NTpro-BNP (>500 pg/mL) • ECG changes: • new complete or incomplete RBBB • anteroseptal ST elevation or depression • anteroseptal T-wave inversion Jaff et al. Circulation 2011;123(16):1788-1830. Classification
  • 16.
  • 17.
  • 18.
  • 24.
  • 25.
    D-dimer 25 ● Dimerized plasminfragment D ● Fibrin degradation product ● A negative D-dimer result (< 500 U/mL) excluded PE with a sensitivity of 83.0% ● Sensitive but not specific indicator of thromboembolic disorders ● Raised in inflammatory conditions e.g. Pneumonia Arterial Blood Gas ● Hypoxemia occurs in about 90% of patients with PE ● The degree of hypoxemia doesn’t accurately predict the size of the PE ● PaO2 of <70 mmHg not explained by CXR findings strongly suggest PE
  • 26.
    ChestXray • Most patientswithpulmonary embolism haveabnormalbut nonspecific chest radiographicfindings. • Commonradiographic findings include atelectasis,pleuraleffusion, pulmonary infiltrates, and mild elevation of ahemidiaphragm. • Classicfindings of pulmonary infarction—such asHampton’s hump or decreased vascularity (Westermark’s sign)—aresuggestivebut infrequent. • Hampton humprefers to adome-shaped, pleurally-basedopacificationin the lung. • Palasign isaprominent pulmonary artery that canbecausedeither by pulmonary hypertensionthat developsor bydistension of the vesselby alarge pulmonary embolus. • Westermark’ssign –peripheraloligemia. • Anormal chest radiograph in apatient with otherwise unexplained acute dyspneaor hypoxemia isstrongly suggestiveofembolism.
  • 28.
    Electrocardiograph 28 ● The mostcommon ECG abnormalities are: ● Sinus tachycardia ● Right axis deviation ● Nonspecific ST segment abnormalities (40% of pts) ● RBBB ● These findings are not sensitive or specific enough to aid in the diagnosis of PE ● S1Q3T3 pattern is observed in only 20% of patients ● ECG pattern is normal in 1/3rd ofpatients ● Exclude: Myocardial Infarction and Pericarditis
  • 30.
    ECHOCARDIOGRAPHY • Presenceof unexplainedrightventricular volume or pressure overloadshouldsuggestthe possibility of embolism andleadto confirmatory testing. • TEEhasbetter sensitivity and specificity especiallyin casesof proximal embolus,reachingupto 90%.comparedto 50%in TTE. • It helps to detect RV enlargement & RWMA a/wPTE (McConnell’s sign - hypokinesia of RV free wall with normal motion of RV apex is best known indirect sign of PE)
  • 31.
  • 32.
    • At thepresenttime, CT isconsidered confirmatory in excluding embolism in patients with alow or intermediate likelihood of disease andconfirming embolism in patients with intermediate or high probability of disease. • Whendiscordance existsbetween the clinical assessmentandCT findings, additional studies should beperformed. • It ispossiblethis recommendation will changeas studies with64- MDCT scanners are published. Spiral CT
  • 33.
    Doppler Ultra sound 33 ●Detection of thrombosis in femoral & popliteal veins vessels ● Primarily or secondarily involved in the majority of patients with PE ● Doppler Ultra sound has a sensitivity and specificity of 95-100%
  • 34.
    Ventilation-PerfusionScanning • ventilation andperfusionlung scanningcanprovide valuable information if usedandinterpretedappropriately. • A negativestudy rules out the diagnosisof pulmonary embolismwith the same degreeof certainty asanegativepulmonary angiogramand with ahigher degree of certainty than canbeachievedby anegative CT scan. • VQ scansaredivided into 4criteria: high probability scan, intermediate probability scan,low probability scan,andnormalscan. • Thepositive predictive valueof a“high probability” scan(one characterized by multiple, segmental-sized,mismatched defects) approximates 88percent.
  • 35.
    Themodified PIOPED criteriafordiagnosisof PE determinetheprobability of pulmonary emboli followingaVQ scan .
  • 36.
    PulmonaryAngiogram-GoldStandard • Pulmonary angiographyremainstheaccepted“gold standard” forPEdiagnosis. • Onlytwo angiographicfindings arediagnosticof acute embolism:the filling defect andabrupt cutoff ofavessel. • Catheterisinserted in the right heart anddyeisinjected into pulmonary trunk. • Filling isobservedunderfluoroscopy. • Limitations of PulmonaryAngiogram: • It requires expertise in study performanceandinterpretation; • it isinvasive. • Highmortality due to procedureitself.
  • 38.
  • 56.
    Caval filter ● Filterinserted in IVC below origin of renal vessels ● Indications ● Pts with recurrent PE despite adequate anticoagulation ● Prophylactically: Pts for whom anticoagulation is contraindications (eg. immediately after surgery) ● Patients with massive PE who survived but in whom recurrent embolism will be invariably fatal 32
  • 61.
    Jaff et al.Circulation 2011;123(16):1788-1830.
  • 62.
    Catheter based treatment TheULTIMA Trial: In patients with acute pulmonary embolism (PE), systemic thrombolysis improves right ventricular (RV) dilatation, is associated with major bleeding, and is withheld in many patients at risk. This multicentre randomized controlled trial investigated whether ultrasound- assisted catheter-directed thrombolysis (USAT) is superior to anticoagulation alone in the reversal of RV dilatation in intermediate-risk patients. Conclusions—In PE patients at intermediate risk, a standardized USAT regimen was superior to anticoagulation with heparin alone in reversing RV dilatation at 24 hours, without an increase in bleeding complications.
  • 63.
    The SEATTLE IIStudy OBJECTIVES: This study conducted a prospective, single-arm, multicentre trial to evaluate the safety and efficacy of ultrasound-facilitated, catheter-directed, low-dose fibrinolysis, using the Eko-Sonic Endovascular System. CONCLUSIONS: Ultrasound-facilitated, catheter-directed, low-dose fibrinolysis decreased RV dilation, reduced pulmonary hypertension, decreased anatomic thrombus burden, and minimized intracranial haemorrhage in patients with acute massive and sub-massive PE.
  • 64.