Pulmonary Embolism
Dr. Prabhu Dayal Sinwar
Assistant Professor
 PE is the most common preventable
cause of death in hospitalized patients
 ~600,000 deaths/year
 80% of pulmonary emboli occur
without prior warning signs or
symptoms
 2/3 of deaths due to pulmonary emboli
occur within 30 minutes of embolization
 Death due to massive PE is often
immediate
 Diagnosis can be difficult
 Early treatment is highly effective
 YOU WILL TAKE CARE OF PATIENTS
WITH PE!
Pathology
At least 90% of pulmonary
emboli originate from major leg
veins.
 40-50% of pts with DVT develop PE, often
“silent”
 PE presents 3-7 days after DVT
 Fatal within 1 hour after onset of respiratory
symptoms in 10%
 Shock/persistent hypotension in 5-10% (up to 50% of
patients with RV dysfunction)
 Most fatalities occur in untreated pts
 Perfusion defects completely resolve in 75% of
all patients (who survive)
 Dyspnea, tachypnea, or pleuritic chest pain
most common
 Pleuritic pain = distal emboli pulmonary infarction
and pleural irritation
 Isolated dyspnea of rapid onset= central PE with
hemodynamic sequlea
 Retrosternal angina like sxs= RV ischemia
 Syncope=rare presentation, but indicates
severely reduced hemodynamic reserve
 Sxs can develop over weeks
 In pts with pre-existing CHF or COPD,
worsening dyspnea may indicate PE
Non-Specific!!
 Usually abnormal, but non-specific
 Study of 2,322 patients with PE:
 Cardiac enlargement (27%)
 Normal (24%)
 Pleural effusion (23%)
 Elevated hemidiaphragm (20%)
 Pulmonary artery enlargement (19%)
 Atelectasis (18%)
 Parenchymal pulmonary infiltrates (17%)
Chest Radiographs in Acute Pulmonary Embolism: Results From the International
Cooperative Pulmonary Embolism Registry. Chest July 2000 118:3338;
10.1378/chest.118.1.33
 Usually non-specific ST/T waves changes and
tachycardia
 RV strain patterns suggest severe PE
 Inverted T waves V1-V4
 QR in V1
 Incomplete RBBB
 S1Q3T3
 Implicit clinical judgement is fairly accurate:
“Do you think this patient has a PE?”
 Validated prediction rules standardize clinical
judgement
 Wells
 Geneva
Proportion with PE
65%
30
10%
 D-Dimer
 Fibrin degradation product
 ELISA tests are highly sensitive (>95%)
 Non specific (~40%): cancer, sepsis, inflammation
increase d-dimer levels
• Direct visualization of emboli.
• Both parenchymal and mediastinal structures
can be evaluated.
•Optimally used when incorporated into a
validated diagnostic decision tree
3 month
VTE rate 0.5% (all non fatal) 1.3%
This algorithm allowed for a management decision in 98% of
patients presenting with symptoms suggestive of PE
RISK STRATIFICATION
 Hypotension (not caused by arrhythmia,
sepsis, or hypovolemia)
 SBP <90 mm Hg = 53% 90-day all cause mortality
 SBP drop of 40 mm Hg for at least 15 minutes = 15%
in–hospital mortality
 Syncope= bad
 Shock= really bad
 Troponin levels correlate with in-hospital
mortality and clinical course in PE
 Troponins do not necessarily mean “MI”
 Significantly increased mortality in patients
with troponin level >0.1 ng/ml (O.R.= 6)
 Normal troponin has very high NPV (99-100%)
Prognostic value of troponins in acute pulmonary embolism: a meta analysis. Circulation
2007;116:427-433
 Brain natriuretic peptide
 Elevated levels related to worse outcomes.
 Low levels can identify patients with a good
prognosis (NPV 94-100%)
Prognostic role of brain natriuretic peptide in acute pulmonary embolism.
Circulation 2003;107:2545-2547
 RV dilation
 RV/LV short axis >1= pulmonary
hypertension
 RV/LV short axis >1.5= severe PE
 Leftward septal bowing
Echocardiography-RV Dilation
Arch Intern Med. 2005;165:1777-1781
 Streptokinase 250 000 IU as a loading dose over
30 min, followed by 100 000 IU/h over 12–24 h
 Accelerated regimen: 1.5 million IU over 2 h
 Urokinase 4400 IU/kg as a loading dose over
10 min, followed by 4400 IU/kg/h over 12–24
h
 Accelerated regimen: 3 million IU over 2 h
 rtPA 100 mg over 2 h or 0.6 mg/kg over 15 min
(maximum dose 50 mg over 15 min)
An alternative in high-risk PE patients when thrombolysis
is absolutely contraindicated or has failed
Kucher N Chest 2007;132:657-663
Optimal rx?
 Controversial! Evidence is limited regarding
optimal therapy
 No clinical trial or meta-analysis has been large
enough to demonstrate a mortality benefit of
thrombolysis compared to anticoagulation
alone.
 A combination of alteplase (100 mg given over
a two-hour period) and heparin prevented the
need for escalation of treatment (with open-
label alteplase, catecholamine infusion, or
mechanical ventilation) due to clinical
deterioration more often than a combination of
placebo and heparin.
 Clinical deterioration usually meant worsening
symptoms, especially worsening respiratory
failure.
1. Anticoagulation should be initiated without delay in
patients with high or intermediate clinical probability
of PE while diagnostic workup is still ongoing
2. Use of LMWH or fondaparinux is the recommended
form of initial treatment for most patients with non-
high-risk PE
3. In patients at high risk of bleeding and in those with
severe renal dysfunction, unfractionated heparin with
an aPTT target range of 1.5–2.5 times normal is a
recommended form of initial treatment
Guidelines on the diagnosis and management of acute pulmonary embolism
European Heart Journal (2008) 29, 2276–2315
4. Initial treatment with unfractionated heparin, LMWH
or fondaparinux should be continued for at least 5
days and may be replaced by vitamin K antagonists
only after achieving target INR levels for at least 2
consecutive days
5. Routine use of thrombolysis in non–high-risk PE
patients is not (yet) recommended, but it may be
considered in selected patients with intermediate-
risk PE (RV dysfunction, elevated troponin, BNP) and
low bleeding risk
Guidelines on the diagnosis and management of acute pulmonary embolism
European Heart Journal (2008) 29, 2276–2315
Agnelli G, Becattini C. N Engl J Med 2010;363:266-274
Recurrent PE
or PE and uncured
cancer:
Consider long term
anticoagulation if
benefits>risk
First unprovoked PE:
rx for at least 3-6
months
•May provide lifelong protection against PE
•Unclear effect on overall survival
• Complications:
•DVT (20%)
•Post thrombotic syndrome (40%)
•IVC thrombosis (30%)
•Risk/benefit ratio difficult to determine since no RCT
•Use when there are absolute contraindications to
anticoagulation and a high risk of VTE recurrence
•Consider in pregnant women with extensive
thrombosis
•Optimal duration of retrievable filters is unclear
Pulmonary embolism
Pulmonary embolism

Pulmonary embolism

  • 1.
    Pulmonary Embolism Dr. PrabhuDayal Sinwar Assistant Professor
  • 2.
     PE isthe most common preventable cause of death in hospitalized patients  ~600,000 deaths/year  80% of pulmonary emboli occur without prior warning signs or symptoms  2/3 of deaths due to pulmonary emboli occur within 30 minutes of embolization  Death due to massive PE is often immediate  Diagnosis can be difficult  Early treatment is highly effective  YOU WILL TAKE CARE OF PATIENTS WITH PE!
  • 3.
    Pathology At least 90%of pulmonary emboli originate from major leg veins.
  • 6.
     40-50% ofpts with DVT develop PE, often “silent”  PE presents 3-7 days after DVT  Fatal within 1 hour after onset of respiratory symptoms in 10%  Shock/persistent hypotension in 5-10% (up to 50% of patients with RV dysfunction)  Most fatalities occur in untreated pts  Perfusion defects completely resolve in 75% of all patients (who survive)
  • 7.
     Dyspnea, tachypnea,or pleuritic chest pain most common  Pleuritic pain = distal emboli pulmonary infarction and pleural irritation  Isolated dyspnea of rapid onset= central PE with hemodynamic sequlea  Retrosternal angina like sxs= RV ischemia  Syncope=rare presentation, but indicates severely reduced hemodynamic reserve  Sxs can develop over weeks  In pts with pre-existing CHF or COPD, worsening dyspnea may indicate PE
  • 8.
  • 9.
     Usually abnormal,but non-specific  Study of 2,322 patients with PE:  Cardiac enlargement (27%)  Normal (24%)  Pleural effusion (23%)  Elevated hemidiaphragm (20%)  Pulmonary artery enlargement (19%)  Atelectasis (18%)  Parenchymal pulmonary infiltrates (17%) Chest Radiographs in Acute Pulmonary Embolism: Results From the International Cooperative Pulmonary Embolism Registry. Chest July 2000 118:3338; 10.1378/chest.118.1.33
  • 10.
     Usually non-specificST/T waves changes and tachycardia  RV strain patterns suggest severe PE  Inverted T waves V1-V4  QR in V1  Incomplete RBBB  S1Q3T3
  • 12.
     Implicit clinicaljudgement is fairly accurate: “Do you think this patient has a PE?”  Validated prediction rules standardize clinical judgement  Wells  Geneva
  • 13.
  • 15.
     D-Dimer  Fibrindegradation product  ELISA tests are highly sensitive (>95%)  Non specific (~40%): cancer, sepsis, inflammation increase d-dimer levels
  • 16.
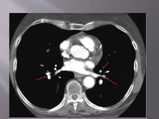
    • Direct visualizationof emboli. • Both parenchymal and mediastinal structures can be evaluated. •Optimally used when incorporated into a validated diagnostic decision tree
  • 18.
    3 month VTE rate0.5% (all non fatal) 1.3% This algorithm allowed for a management decision in 98% of patients presenting with symptoms suggestive of PE
  • 19.
  • 20.
     Hypotension (notcaused by arrhythmia, sepsis, or hypovolemia)  SBP <90 mm Hg = 53% 90-day all cause mortality  SBP drop of 40 mm Hg for at least 15 minutes = 15% in–hospital mortality  Syncope= bad  Shock= really bad
  • 21.
     Troponin levelscorrelate with in-hospital mortality and clinical course in PE  Troponins do not necessarily mean “MI”  Significantly increased mortality in patients with troponin level >0.1 ng/ml (O.R.= 6)  Normal troponin has very high NPV (99-100%) Prognostic value of troponins in acute pulmonary embolism: a meta analysis. Circulation 2007;116:427-433
  • 22.
     Brain natriureticpeptide  Elevated levels related to worse outcomes.  Low levels can identify patients with a good prognosis (NPV 94-100%) Prognostic role of brain natriuretic peptide in acute pulmonary embolism. Circulation 2003;107:2545-2547
  • 23.
     RV dilation RV/LV short axis >1= pulmonary hypertension  RV/LV short axis >1.5= severe PE  Leftward septal bowing
  • 26.
  • 27.
    Arch Intern Med.2005;165:1777-1781
  • 29.
     Streptokinase 250000 IU as a loading dose over 30 min, followed by 100 000 IU/h over 12–24 h  Accelerated regimen: 1.5 million IU over 2 h  Urokinase 4400 IU/kg as a loading dose over 10 min, followed by 4400 IU/kg/h over 12–24 h  Accelerated regimen: 3 million IU over 2 h  rtPA 100 mg over 2 h or 0.6 mg/kg over 15 min (maximum dose 50 mg over 15 min)
  • 31.
    An alternative inhigh-risk PE patients when thrombolysis is absolutely contraindicated or has failed Kucher N Chest 2007;132:657-663
  • 32.
  • 33.
     Controversial! Evidenceis limited regarding optimal therapy  No clinical trial or meta-analysis has been large enough to demonstrate a mortality benefit of thrombolysis compared to anticoagulation alone.
  • 34.
     A combinationof alteplase (100 mg given over a two-hour period) and heparin prevented the need for escalation of treatment (with open- label alteplase, catecholamine infusion, or mechanical ventilation) due to clinical deterioration more often than a combination of placebo and heparin.  Clinical deterioration usually meant worsening symptoms, especially worsening respiratory failure.
  • 35.
    1. Anticoagulation shouldbe initiated without delay in patients with high or intermediate clinical probability of PE while diagnostic workup is still ongoing 2. Use of LMWH or fondaparinux is the recommended form of initial treatment for most patients with non- high-risk PE 3. In patients at high risk of bleeding and in those with severe renal dysfunction, unfractionated heparin with an aPTT target range of 1.5–2.5 times normal is a recommended form of initial treatment Guidelines on the diagnosis and management of acute pulmonary embolism European Heart Journal (2008) 29, 2276–2315
  • 36.
    4. Initial treatmentwith unfractionated heparin, LMWH or fondaparinux should be continued for at least 5 days and may be replaced by vitamin K antagonists only after achieving target INR levels for at least 2 consecutive days 5. Routine use of thrombolysis in non–high-risk PE patients is not (yet) recommended, but it may be considered in selected patients with intermediate- risk PE (RV dysfunction, elevated troponin, BNP) and low bleeding risk Guidelines on the diagnosis and management of acute pulmonary embolism European Heart Journal (2008) 29, 2276–2315
  • 37.
    Agnelli G, BecattiniC. N Engl J Med 2010;363:266-274 Recurrent PE or PE and uncured cancer: Consider long term anticoagulation if benefits>risk First unprovoked PE: rx for at least 3-6 months
  • 38.
    •May provide lifelongprotection against PE •Unclear effect on overall survival • Complications: •DVT (20%) •Post thrombotic syndrome (40%) •IVC thrombosis (30%) •Risk/benefit ratio difficult to determine since no RCT •Use when there are absolute contraindications to anticoagulation and a high risk of VTE recurrence •Consider in pregnant women with extensive thrombosis •Optimal duration of retrievable filters is unclear