Acute Pulmonary
Embolism:
Diagnosis and
Management
Robert Sidlow, MD
November 8, 2010
Why care?
 PE is the most common preventable
cause of death in hospitalized patients
 ~600,000 deaths/year
 80% of pulmonary emboli occur without
prior warning signs or symptoms
 2/3 of deaths due to pulmonary emboli
occur within 30 minutes of embolization
 Death due to massive PE is often
immediate
 Diagnosis can be difficult
 Early treatment is highly effective
 YOU WILL TAKE CARE OF PATIENTS
WITH PE!
Pathology
At least 90% of pulmonary
emboli originate from major leg
veins.
Natural History of VTE
 40-50% of pts with DVT develop PE, often “silent”
 PE presents 3-7 days after DVT
 Fatal within 1 hour after onset of respiratory symptoms in
10%
 Shock/persistent hypotension in 5-10% (up to 50% of
patients with RV dysfunction)
 Most fatalities occur in untreated pts
 Perfusion defects completely resolve in 75% of all
patients (who survive)
Diagnosis: Clinical Presentation
 Dyspnea, tachypnea, or pleuritic chest pain most
common
 Pleuritic pain = distal emboli pulmonary infarction and
pleural irritation
 Isolated dyspnea of rapid onset= central PE with
hemodynamic sequlea
 Retrosternal angina like sxs= RV ischemia
 Syncope=rare presentation, but indicates severely
reduced hemodynamic reserve
 Sxs can develop over weeks
 In pts with pre-existing CHF or COPD, worsening
dyspnea may indicate PE
Non-Specific!!
Diagnosis: Chest X-Ray
 Usually abnormal, but non-specific
 Study of 2,322 patients with PE:
 Cardiac enlargement (27%)
 Normal (24%)
 Pleural effusion (23%)
 Elevated hemidiaphragm (20%)
 Pulmonary artery enlargement (19%)
 Atelectasis (18%)
 Parenchymal pulmonary infiltrates (17%)
Chest Radiographs in Acute Pulmonary Embolism: Results From the International Cooperative Pulmonary Embolism
Registry. Chest July 2000 118:3338; 10.1378/chest.118.1.33
Diagnosis: ECG
 Usually non-specific ST/T waves changes
and tachycardia
 RV strain patterns suggest severe PE
Inverted T waves V1-V4
QR in V1
Incomplete RBBB
S1Q3T3
S1Q3T3 and T wave changes
Diagnosis:Other tests
 Most patients with PE have a normal pulse
oximetry
 A-a gradient is insensitive and non-specific
Clinical Diagnosis of PE
 In summary, clinical signs, symptoms and
routine tests do not allow for the exclusion
or confirmation of acute PE but may
increase the index of its suspicion
 Consider PE in cases of unexplained
tachycardia or syncope
Diagnosis-Probability Assessment
 Implicit clinical judgement is fairly
accurate: “Do you think this patient has a
PE?”
 Validated prediction rules standardize
clinical judgement
 Wells
 Geneva
Proportion with PE
65%
30
10%
Diagnosis
 D-Dimer
Fibrin degradation product
ELISA tests are highly sensitive (>95%)
Non specific (~40%): cancer, sepsis, inflammation
increase d-dimer levels
 SnNOut
Negative result excludes PE safely in PE-unlikely
patients (using Clinical probability scores)
Spiral CT
• Direct visualization of emboli.
• Both parenchymal and mediastinal
structures can be evaluated.
• Offers differential diagnosis in 2/3 of cases
with a negative scan.
BUT…
•Dye load and large radiation dose
•Optimally used when incorporated into a
validated diagnostic decision tree
3 month
VTE rate 0.5% (all non fatal) 1.3%
This algorithm allowed for a management decision in 98% of
patients presenting with symptoms suggestive of PE
Diagnosis- Summary
 History and physical examination
 Then 1,2,3 approach:
1. Clinical decision score
2. D-Dimer test
3. Chest CT
3’. (V/Q scan remains a valid option for patients
with contraindication to CT)
Clinical Management
After disembarking from a 10 hour airline
flight, a 69 year old man w/o past medical
hx presents to the ER with acute dyspnea.
BP is 120/80 (baseline) and pulse is 120
BPM. Wells score = 5 (intermediate), D-
Dimer is positive.
Spiral CT shows bilateral pulmonary emboli
in >50% of arterial tree.
Congratulations! You’ve made the
diagnosis.
What’s next?
Question: For the hemodynamically stable
patient, how can we differentiate between
patients who are going to do well with
anticoagulation alone versus those with
worse prognosis who might benefit from
more aggressive therapy?
RISK STRATIFICATION
Poor Prognostic Signs
 Hypotension (not caused by arrhythmia,
sepsis, or hypovolemia)
SBP <90 mm Hg = 53% 90-day all cause
mortality
SBP drop of 40 mm Hg for at least 15 minutes =
15% in–hospital mortality
 Syncope= bad
 Shock= really bad
Poor Prognosis: myocardial injury
 Troponin levels correlate with in-hospital
mortality and clinical course in PE
 Troponins do not necessarily mean “MI”
 Significantly increased mortality in patients with
troponin level >0.1 ng/ml (O.R.= 6)
 Normal troponin has very high NPV (99-100%)
Prognostic value of troponins in acute pulmonary embolism: a meta analysis. Circulation
2007;116:427-433
Poor Prognosis: myocardial
dysfunction
 Brain natriuretic peptide
Elevated levels related to worse outcomes.
Low levels can identify patients with a good
prognosis (NPV 94-100%)
Prognostic role of brain natriuretic peptide in acute pulmonary embolism.
Circulation 2003;107:2545-2547
CT evidence of RV dysfunction
 RV dilation
 RV/LV short axis >1= pulmonary
hypertension
 RV/LV short axis >1.5= severe PE
 Leftward septal bowing
Graph of mean values of the RV/LV ratio relative to clinical outcome.
van der Meer R W et al. Radiology 2005;235:798-803
©2005 by Radiological Society of North America
Transverse contrast-enhanced CT scan shows maximum minor axis measurements of the
right ventricle (A) and left ventricle (B).
van der Meer R W et al. Radiology 2005;235:798-803
©2005 by Radiological Society of North America
Echocardiograms before and after Thrombolysis
Echocardiography-RV Dilation
RV dysfunction-Echocardiogram
Arch Intern Med. 2005;165:1777-1781
RV Dysfunction- Echocardiogram
Arch Intern Med. 2005;165:1777-1781
Summary-Elements of PE Risk Stratification
High Risk PE
Approved thrombolytic regimens for
pulmonary embolism
 Streptokinase 250 000 IU as a loading dose over
30 min, followed by 100 000 IU/h over 12–24 h
 Accelerated regimen: 1.5 million IU over 2 h
 Urokinase 4400 IU/kg as a loading dose over 10
min, followed by 4400 IU/kg/h over 12–24 h
 Accelerated regimen: 3 million IU over 2 h
 rtPA 100 mg over 2 h or 0.6 mg/kg over 15 min
(maximum dose 50 mg)
Catheter Embolectomy & Fragmentation
An alternative in high-risk PE patients when thrombolysis
is absolutely contraindicated or has failed
Kucher N Chest 2007;132:657-663
Optimal rx?
Intermediate Risk PE:
Hemodynamic stability yet with
evidence of RV dysfunction/injury
 Controversial! Evidence is limited
regarding optimal therapy
 No clinical trial or meta-analysis has been
large enough to demonstrate a mortality
benefit of thrombolysis compared to
anticoagulation alone.
Heparin plus Alteplase Compared with Heparin
Alone in Patients with Submassive Pulmonary
Embolism
Stavros Konstantinides, M.D., Annette Geibel, M.D., Gerhard Heusel, Ph.D., Fritz
Heinrich, M.D., Wolfgang Kasper, M.D. and the Management Strategies and Prognosis
of Pulmonary Embolism-3 Trial Investigators
N Engl J Med
Volume 347;15:1143-1150
October 10, 2002
In-Hospital Clinical Events
Konstantinides, S. et al. N Engl J Med 2002;347:1143-1150
Conclusions:
 A combination of alteplase (100 mg given over
a two-hour period) and heparin prevented the
need for escalation of treatment (with open-
label alteplase, catecholamine infusion, or
mechanical ventilation) due to clinical
deterioration more often than a combination of
placebo and heparin. Clinical deterioration
usually meant worsening symptoms,
especially worsening respiratory failure.
The PEITHO (Pulmonary EmbolIsm THrOmbolysis) Trial
Est. completion
date November
2012
Bottom line
 The decision to use thrombolytic therapy
in the intermediate risk PE group should
be made on a case-by-case basis after
carefully weighing the strength of the
indication, the potential benefits, the
contraindications, and potential adverse
effects.
ESC Guidelines: Non-High Risk PE
1. Anticoagulation should be initiated without delay
in patients with high or intermediate clinical
probability of PE while diagnostic workup is still
ongoing
2. Use of LMWH or fondaparinux is the
recommended form of initial treatment for most
patients with non-high-risk PE
3. In patients at high risk of bleeding and in those
with severe renal dysfunction, unfractionated
heparin with an aPTT target range of 1.5–2.5
times normal is a recommended form of initial
treatment
Guidelines on the diagnosis and management of acute pulmonary embolism
European Heart Journal (2008) 29, 2276–2315
Non-High Risk PE
4. Initial treatment with unfractionated heparin,
LMWH or fondaparinux should be continued
for at least 5 days and may be replaced by
vitamin K antagonists only after achieving
target INR levels for at least 2 consecutive
days
5. Routine use of thrombolysis in non–high-risk
PE patients is not (yet) recommended, but it
may be considered in selected patients with
intermediate-risk PE (RV dysfunction,
elevated troponin, BNP) and low bleeding risk
Guidelines on the diagnosis and management of acute pulmonary embolism
European Heart Journal (2008) 29, 2276–2315
Treatment of Acute Pulmonary Embolism
Agnelli G, Becattini C. N Engl J Med 2010;363:266-274
Recurrent PE
or PE and uncured
cancer:
Consider long term
anticoagulation if
benefits>risk
First unprovoked PE:
rx for at least 3-6
months
Case revisited
 A 69 year old man presents to the ER with acute dyspnea. BP is 120/80
(baseline) and pulse is 120 BPM. Wells score = 5 (intermediate), D-Dimer
is positive.
 Spiral CT shows bilateral pulmonary emboli in >50% of arterial tree.
 Troponin 0.3 ng/ml
 Echocardiogram showed RV enlargement with septal bowing into LV. RV
function nl.
 BP remained at baseline 130/80, persistent tachycardia 120 BPM.
 Risk of 30-day mortality estimated to be ~10%.
 Given the intermediate risk PE profile and lack of contraindications, after
discussion with the patient it was decided that the benefits of t-Pa
administration>risks.
 Pt was admitted to the CCU and 100 mg t-Pa infused over 2 hours; dyspnea
resolved over the course of the afternoon.
 Pt discharged to complete 6 months of warfarin, target INR 2.5. Pt referred
to PMD for regular screening colonoscopy.
 On f/u pt had no evidence of pulmonary htn or post thrombotic syndrome.
IVC Filters
•May provide lifelong protection against PE
•Unclear effect on overall survival
• Complications:
•DVT (20%)
•Post thrombotic syndrome (40%)
•IVC thrombosis (30%)
•Risk/benefit ratio difficult to determine since no RCT
•Use when there are absolute contraindications to
anticoagulation and a high risk of VTE recurrence
•Consider in pregnant women with extensive
thrombosis
•Optimal duration of retrievable filters is unclear
Copyright restrictions may apply.
Nicholson, W. et al. Arch Intern Med 2010;0:2010.316-5.
Bard Recovery vena cava filter (Bard Peripheral Vascular, Tempe, Arizona) implanted in patient 2
The key is prevention
 DVT prophylaxis in at-risk patients is quite
effective
 Just do it!
Q&A

Acute Pulmonary Embolism Overrrrview.ppt

  • 1.
  • 2.
    Why care?  PEis the most common preventable cause of death in hospitalized patients  ~600,000 deaths/year  80% of pulmonary emboli occur without prior warning signs or symptoms  2/3 of deaths due to pulmonary emboli occur within 30 minutes of embolization  Death due to massive PE is often immediate  Diagnosis can be difficult  Early treatment is highly effective  YOU WILL TAKE CARE OF PATIENTS WITH PE!
  • 3.
    Pathology At least 90%of pulmonary emboli originate from major leg veins.
  • 6.
    Natural History ofVTE  40-50% of pts with DVT develop PE, often “silent”  PE presents 3-7 days after DVT  Fatal within 1 hour after onset of respiratory symptoms in 10%  Shock/persistent hypotension in 5-10% (up to 50% of patients with RV dysfunction)  Most fatalities occur in untreated pts  Perfusion defects completely resolve in 75% of all patients (who survive)
  • 7.
    Diagnosis: Clinical Presentation Dyspnea, tachypnea, or pleuritic chest pain most common  Pleuritic pain = distal emboli pulmonary infarction and pleural irritation  Isolated dyspnea of rapid onset= central PE with hemodynamic sequlea  Retrosternal angina like sxs= RV ischemia  Syncope=rare presentation, but indicates severely reduced hemodynamic reserve  Sxs can develop over weeks  In pts with pre-existing CHF or COPD, worsening dyspnea may indicate PE
  • 9.
  • 10.
    Diagnosis: Chest X-Ray Usually abnormal, but non-specific  Study of 2,322 patients with PE:  Cardiac enlargement (27%)  Normal (24%)  Pleural effusion (23%)  Elevated hemidiaphragm (20%)  Pulmonary artery enlargement (19%)  Atelectasis (18%)  Parenchymal pulmonary infiltrates (17%) Chest Radiographs in Acute Pulmonary Embolism: Results From the International Cooperative Pulmonary Embolism Registry. Chest July 2000 118:3338; 10.1378/chest.118.1.33
  • 11.
    Diagnosis: ECG  Usuallynon-specific ST/T waves changes and tachycardia  RV strain patterns suggest severe PE Inverted T waves V1-V4 QR in V1 Incomplete RBBB S1Q3T3
  • 12.
    S1Q3T3 and Twave changes
  • 13.
    Diagnosis:Other tests  Mostpatients with PE have a normal pulse oximetry  A-a gradient is insensitive and non-specific
  • 14.
    Clinical Diagnosis ofPE  In summary, clinical signs, symptoms and routine tests do not allow for the exclusion or confirmation of acute PE but may increase the index of its suspicion  Consider PE in cases of unexplained tachycardia or syncope
  • 15.
    Diagnosis-Probability Assessment  Implicitclinical judgement is fairly accurate: “Do you think this patient has a PE?”  Validated prediction rules standardize clinical judgement  Wells  Geneva
  • 16.
  • 18.
    Diagnosis  D-Dimer Fibrin degradationproduct ELISA tests are highly sensitive (>95%) Non specific (~40%): cancer, sepsis, inflammation increase d-dimer levels  SnNOut Negative result excludes PE safely in PE-unlikely patients (using Clinical probability scores)
  • 19.
    Spiral CT • Directvisualization of emboli. • Both parenchymal and mediastinal structures can be evaluated. • Offers differential diagnosis in 2/3 of cases with a negative scan. BUT… •Dye load and large radiation dose •Optimally used when incorporated into a validated diagnostic decision tree
  • 22.
    3 month VTE rate0.5% (all non fatal) 1.3% This algorithm allowed for a management decision in 98% of patients presenting with symptoms suggestive of PE
  • 23.
    Diagnosis- Summary  Historyand physical examination  Then 1,2,3 approach: 1. Clinical decision score 2. D-Dimer test 3. Chest CT 3’. (V/Q scan remains a valid option for patients with contraindication to CT)
  • 24.
    Clinical Management After disembarkingfrom a 10 hour airline flight, a 69 year old man w/o past medical hx presents to the ER with acute dyspnea. BP is 120/80 (baseline) and pulse is 120 BPM. Wells score = 5 (intermediate), D- Dimer is positive. Spiral CT shows bilateral pulmonary emboli in >50% of arterial tree.
  • 25.
    Congratulations! You’ve madethe diagnosis. What’s next?
  • 26.
    Question: For thehemodynamically stable patient, how can we differentiate between patients who are going to do well with anticoagulation alone versus those with worse prognosis who might benefit from more aggressive therapy?
  • 27.
  • 28.
    Poor Prognostic Signs Hypotension (not caused by arrhythmia, sepsis, or hypovolemia) SBP <90 mm Hg = 53% 90-day all cause mortality SBP drop of 40 mm Hg for at least 15 minutes = 15% in–hospital mortality  Syncope= bad  Shock= really bad
  • 29.
    Poor Prognosis: myocardialinjury  Troponin levels correlate with in-hospital mortality and clinical course in PE  Troponins do not necessarily mean “MI”  Significantly increased mortality in patients with troponin level >0.1 ng/ml (O.R.= 6)  Normal troponin has very high NPV (99-100%) Prognostic value of troponins in acute pulmonary embolism: a meta analysis. Circulation 2007;116:427-433
  • 30.
    Poor Prognosis: myocardial dysfunction Brain natriuretic peptide Elevated levels related to worse outcomes. Low levels can identify patients with a good prognosis (NPV 94-100%) Prognostic role of brain natriuretic peptide in acute pulmonary embolism. Circulation 2003;107:2545-2547
  • 31.
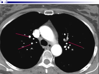
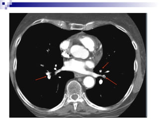
    CT evidence ofRV dysfunction  RV dilation  RV/LV short axis >1= pulmonary hypertension  RV/LV short axis >1.5= severe PE  Leftward septal bowing
  • 32.
    Graph of meanvalues of the RV/LV ratio relative to clinical outcome. van der Meer R W et al. Radiology 2005;235:798-803 ©2005 by Radiological Society of North America
  • 33.
    Transverse contrast-enhanced CTscan shows maximum minor axis measurements of the right ventricle (A) and left ventricle (B). van der Meer R W et al. Radiology 2005;235:798-803 ©2005 by Radiological Society of North America
  • 37.
    Echocardiograms before andafter Thrombolysis Echocardiography-RV Dilation
  • 38.
  • 39.
    RV Dysfunction- Echocardiogram ArchIntern Med. 2005;165:1777-1781
  • 40.
    Summary-Elements of PERisk Stratification
  • 42.
  • 43.
    Approved thrombolytic regimensfor pulmonary embolism  Streptokinase 250 000 IU as a loading dose over 30 min, followed by 100 000 IU/h over 12–24 h  Accelerated regimen: 1.5 million IU over 2 h  Urokinase 4400 IU/kg as a loading dose over 10 min, followed by 4400 IU/kg/h over 12–24 h  Accelerated regimen: 3 million IU over 2 h  rtPA 100 mg over 2 h or 0.6 mg/kg over 15 min (maximum dose 50 mg)
  • 45.
    Catheter Embolectomy &Fragmentation An alternative in high-risk PE patients when thrombolysis is absolutely contraindicated or has failed Kucher N Chest 2007;132:657-663
  • 46.
  • 47.
    Intermediate Risk PE: Hemodynamicstability yet with evidence of RV dysfunction/injury  Controversial! Evidence is limited regarding optimal therapy  No clinical trial or meta-analysis has been large enough to demonstrate a mortality benefit of thrombolysis compared to anticoagulation alone.
  • 48.
    Heparin plus AlteplaseCompared with Heparin Alone in Patients with Submassive Pulmonary Embolism Stavros Konstantinides, M.D., Annette Geibel, M.D., Gerhard Heusel, Ph.D., Fritz Heinrich, M.D., Wolfgang Kasper, M.D. and the Management Strategies and Prognosis of Pulmonary Embolism-3 Trial Investigators N Engl J Med Volume 347;15:1143-1150 October 10, 2002
  • 49.
    In-Hospital Clinical Events Konstantinides,S. et al. N Engl J Med 2002;347:1143-1150
  • 50.
    Conclusions:  A combinationof alteplase (100 mg given over a two-hour period) and heparin prevented the need for escalation of treatment (with open- label alteplase, catecholamine infusion, or mechanical ventilation) due to clinical deterioration more often than a combination of placebo and heparin. Clinical deterioration usually meant worsening symptoms, especially worsening respiratory failure.
  • 51.
    The PEITHO (PulmonaryEmbolIsm THrOmbolysis) Trial Est. completion date November 2012
  • 52.
    Bottom line  Thedecision to use thrombolytic therapy in the intermediate risk PE group should be made on a case-by-case basis after carefully weighing the strength of the indication, the potential benefits, the contraindications, and potential adverse effects.
  • 53.
    ESC Guidelines: Non-HighRisk PE 1. Anticoagulation should be initiated without delay in patients with high or intermediate clinical probability of PE while diagnostic workup is still ongoing 2. Use of LMWH or fondaparinux is the recommended form of initial treatment for most patients with non-high-risk PE 3. In patients at high risk of bleeding and in those with severe renal dysfunction, unfractionated heparin with an aPTT target range of 1.5–2.5 times normal is a recommended form of initial treatment Guidelines on the diagnosis and management of acute pulmonary embolism European Heart Journal (2008) 29, 2276–2315
  • 54.
    Non-High Risk PE 4.Initial treatment with unfractionated heparin, LMWH or fondaparinux should be continued for at least 5 days and may be replaced by vitamin K antagonists only after achieving target INR levels for at least 2 consecutive days 5. Routine use of thrombolysis in non–high-risk PE patients is not (yet) recommended, but it may be considered in selected patients with intermediate-risk PE (RV dysfunction, elevated troponin, BNP) and low bleeding risk Guidelines on the diagnosis and management of acute pulmonary embolism European Heart Journal (2008) 29, 2276–2315
  • 55.
    Treatment of AcutePulmonary Embolism Agnelli G, Becattini C. N Engl J Med 2010;363:266-274 Recurrent PE or PE and uncured cancer: Consider long term anticoagulation if benefits>risk First unprovoked PE: rx for at least 3-6 months
  • 56.
    Case revisited  A69 year old man presents to the ER with acute dyspnea. BP is 120/80 (baseline) and pulse is 120 BPM. Wells score = 5 (intermediate), D-Dimer is positive.  Spiral CT shows bilateral pulmonary emboli in >50% of arterial tree.  Troponin 0.3 ng/ml  Echocardiogram showed RV enlargement with septal bowing into LV. RV function nl.  BP remained at baseline 130/80, persistent tachycardia 120 BPM.  Risk of 30-day mortality estimated to be ~10%.  Given the intermediate risk PE profile and lack of contraindications, after discussion with the patient it was decided that the benefits of t-Pa administration>risks.  Pt was admitted to the CCU and 100 mg t-Pa infused over 2 hours; dyspnea resolved over the course of the afternoon.  Pt discharged to complete 6 months of warfarin, target INR 2.5. Pt referred to PMD for regular screening colonoscopy.  On f/u pt had no evidence of pulmonary htn or post thrombotic syndrome.
  • 57.
    IVC Filters •May providelifelong protection against PE •Unclear effect on overall survival • Complications: •DVT (20%) •Post thrombotic syndrome (40%) •IVC thrombosis (30%) •Risk/benefit ratio difficult to determine since no RCT •Use when there are absolute contraindications to anticoagulation and a high risk of VTE recurrence •Consider in pregnant women with extensive thrombosis •Optimal duration of retrievable filters is unclear
  • 59.
    Copyright restrictions mayapply. Nicholson, W. et al. Arch Intern Med 2010;0:2010.316-5. Bard Recovery vena cava filter (Bard Peripheral Vascular, Tempe, Arizona) implanted in patient 2
  • 60.
    The key isprevention  DVT prophylaxis in at-risk patients is quite effective  Just do it!
  • 61.

Editor's Notes

  • #32 Figure 2. Graph of mean values of the RV/LV ratio relative to clinical outcome. Bars represent means and lines represent 95% confidence intervals. The mean RV/LV ratio was significantly higher in patients who died of PE than in the other patients (analysis of variance, P = .018). Brackets show significant differences between groups.
  • #33 Figure 1. Transverse contrast-enhanced CT scan shows maximum minor axis measurements of the right ventricle (A) and left ventricle (B). Note the flattening of the interventricular septum. RV/LV ratio = 1.81.
  • #37 Echocardiograms before and after Thrombolysis. A 29-year-old woman presented with progressive shortness of breath. A computed tomographic scan of the chest showed a central "saddle" pulmonary embolism. An echocardiogram (Panel A) showed an enlarged right ventricle and hypokinetic motion of the right ventricular free wall. After treatment with alteplase, the right ventricular size and wall motion returned to normal (Panel B). Echocardiograms courtesy of Scott D. Solomon, M.D., and Jose M. Rivero. (Videos of these images are available with the full text of this article at http://www.nejm.org.)‏