Primary Trauma Care 
Dr Imran Javed. 
Associate Prof Surgery. 
Fiji National University.
Introduction 
• There are notable disparities in the outcome of trauma 
care around the world. 
• 60% of preventable trauma associated deaths occur in 
the first 24 hours. 
• Difficulties facing trauma care in developing countries 
include manpower development, infrastructure, 
availability of equipment and organization. 
• Much of the improvement in trauma care has resulted 
from better organization of trauma care services. 
• The main focus of this module is appropriate life-saving 
management in the first few hours following trauma.
Learning Outcomes 
• Discuss the burden of trauma 
• Describe the concept of triage 
• Identify common life-threatening injuries 
• Adequately resuscitate and re-evaluate the trauma patient 
• Manage common life-threatening injuries effectively 
• Perform a secondary survey to plan the next stage of care
Triage in the emergency room 
• The first is quiet and appears calm and still 
• The second is in excruciating pain from an obvious 
femoral fracture with the foot twisted in the opposite 
direction 
• The third patient is screaming at the site of his clothes 
soaked with blood from an extensive scalp laceration 
• The fourth patient walks-in complaining of right sided 
chest pain and difficulty with breathing
Managing the severely injured patient 
Initial management (resuscitation)
Catastrophic hemorrhage: 
the exception to “A,B,C,D,E” 
• This is life threatening hemorrhage, often due to 
traumatic amputation or crush injury to the 
limbs. Bleeding is usually massive and the patient 
may be on the point of exsanguination. 
• It is necessary to rapidly control the hemorrhage 
before assessing the airway. 
• The bleeding vessel may be ligated if it can be 
identified. If not, this may be one of the 
exceptional cases when a tourniquet may be 
used. However, the duration of application must 
be noted.
Airway management: The conscious patient 
• Speak to the patient. 
• Does he respond? If he responds in a normal voice giving a 
logical answer then he most probably can control his airway. 
• However, cervical spine injury (CSI) may be present. First, 
inspect the neck meticulously for wounds and other 
abnormalities. 
• Cover any penetrating wounds with clean gauze and plaster. 
• Then, immobilize the cervical spine using one of these 
methods: 
• MILS (Manual in-line stabilization) 
• Cervical collar 
Spinal board, head blocks, sandbags
Primary Survey - Airway 
• Maintain C-spine precautions 
• Clear any obstructions 
• Jaw thrust instead of head tilt chin lift 
• Endotracheal intubation for airway protection 
or expected clinical course (ie obstruction 
from blood or vomitus, neck hematoma, facial 
burns or trauma, GCS 8 or less, combative 
patient, potential for airway compromise 
while out of department.)
Primary Survey - Breathing 
• Auscultation for bilateral breath sounds 
• Palpation for subcutaneous emphysema 
-needle decompression followed by chest tube for 
pneumothorax 
• Inspection for flail chest 
• Observation of respiratory rate, oxygen 
saturation, and overall work of breathing 
-mechanical ventilation for inadequate ventilation 
or to decrease work of breathing
Primary Survey - Circulation 
• Check peripheral pulses, heart rate, BP, 
pulse pressure, capillary refill, cyanosis 
• All hypotensive trauma patients are 
assumed to be in hemorrhagic shock 
• 2 large bore peripheral IV’s (at least 18 
gauge) 
• Control external bleeding
Primary Survey - Circulation
Primary Survey - Circulation 
• Begin volume resuscitation with liter boluses of 
crystalloid for class I or II hemorrhage. 
• Begin crystalloid and blood for class III or IV 
hemorrhage. 
• O- blood until type specific is available 
• Constant reevaluation is paramount 
• If class I or II is patient still showing signs of shock 
after 3L of crystalloid, begin blood 
• “3:1 rule” 3cc crystalloid for every 1cc of blood 
loss
Primary Survey - Circulation 
• 5 Places life threatening hemorrhage can 
occur 
• -Chest 
• -Abdomen 
• -Pelvis 
• -Thighs 
• -Externally
Primary Survey - Circulation 
• Cardiac Tamponade can cause hypotension 
with little blood loss. 
• Becks triad: hypotension, distended neck 
veins, muffled heart sounds 
• Easily confirmed with ultrasound 
• Pericardiocentesis 
• Pericardial Window.
Primary Survey - Disability 
• Quick assessment of ability to move all 
extremities 
• Glasgow Coma Scale.
Primary Survey – Exposure 
• Completely undress the patient and 
inspect the entire patient from head to 
toe both front and back. 
• Maintain spinal precautions during 
logrolling 
• Inspect both axillae and Perineum. 
• Warm blankets!!!
Secondary Survey 
• Head to toe evaluation once any derangements in 
primary survey have been addressed. 
• AMPLE History 
• -Allergies 
• -Medications 
• -Past medical history (LMP, Td, transfusions) 
• -Last meal 
• -Events leading up to trauma
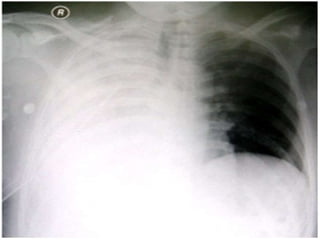
Imaging – Plain Films 
• Choice of imaging modality depends on 
nature of injuries and stability of patient. 
• Knowledge of injury mechanism and index of 
suspicion most important 
• Can be performed at bedside 
• Useful for rapid identification of 
pneumothorax, hemothorax, fractures and 
locating ballistics
Imaging – Ultrasound 
• Quick 
• Can be performed at bedside 
• FAST: Focused Assessment with 
Sonography for Trauma 
• Rapid examination to identify free 
intraperitoneal fluid and/or pericardial 
fluid
Imaging – CT 
• Detailed 
• Requires patient to leave the department 
• Necessary for head trauma
Disposition 
• To the OR 
• -Unstable patients with blunt or penetrating 
abdominal trauma or chest trauma. Hemothorax 
with >1500 cc of blood out initially. Surgical 
injuries identified with imaging. 
• Admission 
• -Nonsurgical, high-risk injuries 
• Discharge 
• -Stable patients, minor or no injuries 
identified.
Primary trauma care

Primary trauma care

  • 2.
    Primary Trauma Care Dr Imran Javed. Associate Prof Surgery. Fiji National University.
  • 5.
    Introduction • Thereare notable disparities in the outcome of trauma care around the world. • 60% of preventable trauma associated deaths occur in the first 24 hours. • Difficulties facing trauma care in developing countries include manpower development, infrastructure, availability of equipment and organization. • Much of the improvement in trauma care has resulted from better organization of trauma care services. • The main focus of this module is appropriate life-saving management in the first few hours following trauma.
  • 11.
    Learning Outcomes •Discuss the burden of trauma • Describe the concept of triage • Identify common life-threatening injuries • Adequately resuscitate and re-evaluate the trauma patient • Manage common life-threatening injuries effectively • Perform a secondary survey to plan the next stage of care
  • 14.
    Triage in theemergency room • The first is quiet and appears calm and still • The second is in excruciating pain from an obvious femoral fracture with the foot twisted in the opposite direction • The third patient is screaming at the site of his clothes soaked with blood from an extensive scalp laceration • The fourth patient walks-in complaining of right sided chest pain and difficulty with breathing
  • 16.
    Managing the severelyinjured patient Initial management (resuscitation)
  • 18.
    Catastrophic hemorrhage: theexception to “A,B,C,D,E” • This is life threatening hemorrhage, often due to traumatic amputation or crush injury to the limbs. Bleeding is usually massive and the patient may be on the point of exsanguination. • It is necessary to rapidly control the hemorrhage before assessing the airway. • The bleeding vessel may be ligated if it can be identified. If not, this may be one of the exceptional cases when a tourniquet may be used. However, the duration of application must be noted.
  • 19.
    Airway management: Theconscious patient • Speak to the patient. • Does he respond? If he responds in a normal voice giving a logical answer then he most probably can control his airway. • However, cervical spine injury (CSI) may be present. First, inspect the neck meticulously for wounds and other abnormalities. • Cover any penetrating wounds with clean gauze and plaster. • Then, immobilize the cervical spine using one of these methods: • MILS (Manual in-line stabilization) • Cervical collar Spinal board, head blocks, sandbags
  • 20.
    Primary Survey -Airway • Maintain C-spine precautions • Clear any obstructions • Jaw thrust instead of head tilt chin lift • Endotracheal intubation for airway protection or expected clinical course (ie obstruction from blood or vomitus, neck hematoma, facial burns or trauma, GCS 8 or less, combative patient, potential for airway compromise while out of department.)
  • 21.
    Primary Survey -Breathing • Auscultation for bilateral breath sounds • Palpation for subcutaneous emphysema -needle decompression followed by chest tube for pneumothorax • Inspection for flail chest • Observation of respiratory rate, oxygen saturation, and overall work of breathing -mechanical ventilation for inadequate ventilation or to decrease work of breathing
  • 23.
    Primary Survey -Circulation • Check peripheral pulses, heart rate, BP, pulse pressure, capillary refill, cyanosis • All hypotensive trauma patients are assumed to be in hemorrhagic shock • 2 large bore peripheral IV’s (at least 18 gauge) • Control external bleeding
  • 26.
    Primary Survey -Circulation
  • 27.
    Primary Survey -Circulation • Begin volume resuscitation with liter boluses of crystalloid for class I or II hemorrhage. • Begin crystalloid and blood for class III or IV hemorrhage. • O- blood until type specific is available • Constant reevaluation is paramount • If class I or II is patient still showing signs of shock after 3L of crystalloid, begin blood • “3:1 rule” 3cc crystalloid for every 1cc of blood loss
  • 28.
    Primary Survey -Circulation • 5 Places life threatening hemorrhage can occur • -Chest • -Abdomen • -Pelvis • -Thighs • -Externally
  • 29.
    Primary Survey -Circulation • Cardiac Tamponade can cause hypotension with little blood loss. • Becks triad: hypotension, distended neck veins, muffled heart sounds • Easily confirmed with ultrasound • Pericardiocentesis • Pericardial Window.
  • 32.
    Primary Survey -Disability • Quick assessment of ability to move all extremities • Glasgow Coma Scale.
  • 34.
    Primary Survey –Exposure • Completely undress the patient and inspect the entire patient from head to toe both front and back. • Maintain spinal precautions during logrolling • Inspect both axillae and Perineum. • Warm blankets!!!
  • 35.
    Secondary Survey •Head to toe evaluation once any derangements in primary survey have been addressed. • AMPLE History • -Allergies • -Medications • -Past medical history (LMP, Td, transfusions) • -Last meal • -Events leading up to trauma
  • 36.
    Imaging – PlainFilms • Choice of imaging modality depends on nature of injuries and stability of patient. • Knowledge of injury mechanism and index of suspicion most important • Can be performed at bedside • Useful for rapid identification of pneumothorax, hemothorax, fractures and locating ballistics
  • 38.
    Imaging – Ultrasound • Quick • Can be performed at bedside • FAST: Focused Assessment with Sonography for Trauma • Rapid examination to identify free intraperitoneal fluid and/or pericardial fluid
  • 40.
    Imaging – CT • Detailed • Requires patient to leave the department • Necessary for head trauma
  • 41.
    Disposition • Tothe OR • -Unstable patients with blunt or penetrating abdominal trauma or chest trauma. Hemothorax with >1500 cc of blood out initially. Surgical injuries identified with imaging. • Admission • -Nonsurgical, high-risk injuries • Discharge • -Stable patients, minor or no injuries identified.