MR Brain Anatomy 2.0
Presented by Dr. Anil jangir
Guided by Dr. kirti rana chaturvedi
-Cortex is thicker over surface and sides of gyri, and
thinnest in the depths of the sulci.
- Cortex varies from 2-5 mm in thickness.
*It is conventional in
neuroradiology to
describe lesions as lying in
the subcortical (U-fibres
immediately below the
cortex), deep (white matter
core) or periventricular (thin
band of white matter
adjacent to the ependyma)
white matter
The central sulcus is separating
the precentral gyrus (motor)
from
the postcentral gyrus (sensory).
-The superior frontal sulcus is
identified between the superior
and middle frontal gyri. It
typically meets the precentral
sulcus almost at a right angle.
-Posterior to this lies the central
sulcus. The bulge in the
precentral gyrus represents the
hand motor area.
•  Hand	knob	sign	–	Dorsally	convex	bulge	of	precentral	gyrus	
•  Inverted	omega	sign-	central	sulcus	
T	sign
-Sagi<al	T1	image-	Parallel	to	the	corpus	callosum,	the	cingulate	sulcus	
(arrowheads)	as	it	approaches	the	splenium	turns	towards	the	brain	surface.	
This	extension,	the	pars	marginalis	of	the	cingulate	sulcus,	lies	immediately	
posterior	to	the	central	sulcus.	
	
Bracket	sign-	Bihemispheric	symmetrical	part	of	pars	marginalis	od	cingulate	
sulcus	shows	anteriorly	open	bracket.	
cingulate	sulcus
Central	sulcus	
Sylvian	fissure	
f	
T	
p	
Central	sulcus	separates	frontal,	parietal	lobes.	
	
Sylvian	fissure	separates	frontal,	parietal	lobes	above	from	temporal	lobe	
below.
-	Precentral	gyrus	contains	primary	motor	
cortex.	
	
-Postcentral	gyrus	contains	Primary	
somatosensory	cortex	
	
-Premotor	cortex:	Within	gyrus	just	anterior	to	
precentral	gyrus.	
-Superior	&	inferior	parietal	lobules	lie	posterior	
to	postcentral	gyrus.
Corona	radiata	
Central	sulcus	
Precentral	G	
Corona	radiata	(centrum	semiovale)	is	formed	by	fibers	from	all	corHcal	areas	in	internal	
capsule	fanning	out	into	superior	hemispheres.	
Interhemispheric	
fissure
•  On	axial	T2	image,	the	intraparietal	sulcus		separates	
the	superior	parietal	lobule(medially)	from	the	
inferior	parietal	lobule(laterally).	Anteriorly,	it	
merges	with	the	post	central	sulcus.
-The superior parietal lobule is
involved with the behavioral
interaction of an individual with
the surrounding space, and the
inferior parietal lobule with the
integration of diverse sensory
information for speech and
perception
H-shaped	orbital	sulci	
•  H-shaped	orbital	
sulci	separaHng	the	
anterior	(A),	
posterior	(P),	medial	
(M)	and	lateral	(L)	
orbital	gyri.	Gyrus	
rectus	(G)	is	
separated	from	the	
medial	orbital	gyrus	
by	the	olfactory	
sulcus.
frontobasal	sulci
b	
infarct	M	sign	of	Inferior	frontal	gyrus
The	anterior	ascending	and	horizontal	limbs	of	the	Sylvian	fissure	
divide	the	M-shaped	inferior	frontal	gyrus,	below	the	inferior	
frontal	sulcus,	into	three	parts	pars	opercularis,	triangularis	and	
orbitalis.	Broca’s	area	(motor	speech)	classically	occupies	the	pars	
opercularis.		
	
-Wernicke’s	area	(recepHve	speech)	is	usually	centred	on	the	
supramarginal	gyrus.	
	
-The	inverted	horseshoe-shaped	supramarginal	and	angular	gyri	
are	well	shown	in	image(C).	
	
-Medial	parasagiTal	image	(D)	show	the	triangular-shaped	insular	
cortex.	Consistent	bulge	of	Heschl’s	gyrus	(primary	auditory	
cortex)	arising	from	the	superior	surface	of	the	temporal	lobe
CC	
Calcarine		
Sulcus	
Y	shaped	parieto-occipital	sulcus	
-Occipital lobe is divided by calcarine sulcus into
lingual and cuneus gyrus
Occipito-parietal	sulcus	on	axial	image	
-Deepest	sulci	posteriorly	perpendicular	to	interhemispheric	fissure
-Supramarginal gyrus lies at end of sylvian fissure
-Angular gyrus lies ventral to supramarginal gyrus
-Medial surface of parietal lobe is precuneus which lie immediately
rostral to parieto-occipital sulcus
Cingulate	gyrus	
body	of	caudate	nucleus
----Hippocampal	tail	is	seen	wrapping	around	midbrain	&	thalamus.		
	
--External	capsule	lies	between	putamen	&	claustrum.		
	
-Extreme	capsule	lies	between	claustrum	&	insula.	
-
-Olfactory	bulb/tract	lies	in/below	olfactory	sulcus	
-Olfactory	sulcus	defines	lateral	margin	of	gyrus	rectus.	
-Collateral	sulcus	divides	the	lingual	and	parahippocampal	gyrus	from	
medial	occipitotemporal	(	fusiform)	gyrus.
-The middle frontal gyrus contains Brodmann’s area 8, known as the frontal eye field,
which is important for conjugate eye movements.
Wernickes	area	
temporal	gyri	of	Heschl,		
PercepHon	of	visual	and	
color
Tentorium	cerebelli	is	a	dural	fold	in	horizontal	plane	separaHng	
supratentorial		&	infratentorialcompartments	&	is	conHnuous	
superiorly	with	falx	cerebri.
•  T1	axial	image	shows	the	thin	grey	maTer	layer	
of	the	claustrum	between	the	lenHform	nucleus	
and	the	insula	cortex,	separaHng	the	white	
maTer	of	the	external	capsule	medially	from	the	
extreme	capsule	laterally.
LocaHon	of	lesion?
---Lesion	in	front	of	parieto-occipital	sulcus	so	answer	is	
posterior	parietal	lobe.	
Next	quesHon	?
--Answer	is	Cuneus	gyri	of	Occipital	lobe.	
	
Next	QuesHon?
Lesion	is	above	the	sylvian	fissure	and	in	front	of	central	
sulcus	So	answer	is	posterior	frontal	lobe.	
	
Next	QuesHon
Association fibres
links cortical areas in
different lobes of same
hemisphere.
-Superior longitudinal
fasciculus running
in the white matter of the
parietal lobe linking
parietooccipital
and frontal lobes,
- Cingulum
-The	anterior	commissure	(long	arrow)	and	posterior	
commissure	(short	arrow)	forming	the	posterior	border	of	the	
cerebral	aqueduct.	
	
-Fornix		and	the	massa	intermedia		or	thalamic	adhesion,	within	
the	third	ventricle.	
	
* Third ventricle
bordered laterally by
the bulky grey matter
of the thalami that
frequently make
contact with each other
centrally as the massa
intermedia.
-Uncus	forms	medial	border	of	temporal	lobe,	merges	posteriorly	with	parahippocampal	
gyrus.
•  The	uncal	recess	of	the	temporal	horn	of	the	lateral	
ventricle	turns	medially,	separaHng	the	amygdala	(A)	
from	the	hippocampal	head	(H).
(A)	Amygdala	(large	arrow),	uncus	(short	arrow),	free	margin	of	
tentorium	cerebelli	(thin	arrow).		
Coronal	T2	MR	images(a,b,c)	from	anterior	to	posterior,	
demonstraHng	the	main	limbic	structures	of	the	mesial	
temporal	lobe
(B)	Hippocampal	head	(large	arrow),	uncal	recess	of	temporal	horn	separaHng	
posterior	aspect	of	amygdala	superiorly	from	hippocampal	head	inferiorly.		
*Hippocampal	head	is	recognized	by	digitaHons	on	its	superior	surface.
(C)	Body	of	hippocampus	(large	arrow),	parahippocampal	gyrus	(long	
arrow),	collateral	sulcus	(short	arrow).	
*Collateral	sulcus	separates	parahippocampal	gyrus	from	
occipitotemporal	(fusiform)	gyrus.	
Red	N
-Image	at	posterior	thalamus	(pulvinar)	shows	hippocampal	
tail,	smallest	porHon	of	hippocampus.		
-Fimbria	arise	from	hippocampus	&	become	crus	of	fornix	
which	aTaches	to	splenium.
Limbic	system	
-	These	include	the	amygdala,	hippocampus,	
parahippocampal	gyrus,	cingulate	gyrus,	subcallosal	gyriand	
associated	structures	
	
-The	amygdala	is	the	most	anterior	structure,	separated	
from	the	hippocampal	head	by	the	uncal	recess	of	the	
temporal	horn.	
	
-	Limbic	structures	are	associated	with	memory	processing,	
emoHonal	responses,	fight-or-flight	responses,	aggression	
and	sexual	response:	in	summary,	with	acHviHes	
contribuHng	to	preservaHon	of	the	individual	and	the	
conHnuaHon	of	the	species
SagiTal	T1	image.	Hypothalamic	border	
(hypothalamic	sulcus)
SagiTal	T2	image	demonstrates	the	structures	in	the	floor	of	the	third	
ventricle:	OpHc	chiasm	(1),	pituitary	infundibulum	(2),	tuber	cinereum	
(3)	and	mamillary	bodies	(4).
-The	hypothalamus	forms	the	floor	of	the	third	ventricle	
and	its	side	walls	anteriorly	following	an	oblique	line	
inferiorly	from	the	foramen	of	Monro	to	the	midbrain	
Aqueduct.	
	
-	It	consists	of	a	group	of	nuclei	serving	a	number	
of	autonomic,	appeHte-related	and	regulatory	funcHons	
for	the	body	as	well	as	controlling	and	producing	hormonal	
output	from	the	pituitary	gland.		
	
-The	hypothalamus	is	inHmately	linked	to	other	limbic	
structures	and	might	be	considered	the	output	for	the	
limbic	system.
•  Midbrain
•  Ventral: Cerebral peduncles (crus cerebri) containing
corticospinal, corticobulbar and corticopontine tracts
•  Dorsal tegmentum: Ventral to cerebral aqueduct
Gray matter: Substantia nigra and red nucleus
Upper midbrain: Contains CN3 nucleus, at superior
colliculus level
Lower midbrain: Contains CN4 nucleus, at inferior
colliculus level
Tectum (quadrigeminal plate): Dorsal to cerebral aqueduct
• Superior & inferior colliculi
• Periaqueductal gray matter
cp	
SN	
RN
fourth cranial nerve, the only cranial nerve, exits from the dorsal aspect of the
brain stem
*CN3 susceptible to compression by PCA
aneurysms and uncal herniation
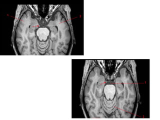
Image	at	level	of	lower	pons	shows	facial	nerve	CN	7	&	
vesHbulocochlear	nerve	CN8	coursing	towards	interior	auditory	canal.	
	
-	Nodulus	of	vermis	may	protrude	into	fourth	ventricle	&	cause	a	
pseudolesion.
*Facial nerve is anterosuperior while the cochlear nerve is
anteroinferior
mid	pons	
Upper	pons
Trigeminal	nerve	CNS	is	seen	as	it	courses	toward	Meckel	cave.		
Dentate	nucleus	is	only	cerebellar	nucleus	that	is	seen	on	imaging
The pons comprises a bulbous convexity anteriorly, the basis pontis,
The posterior part of the pons, the pontine tegmentum, forms the floor
of the upper part of the fourth ventricle, and contains cranial
nerve nuclei (V, VI, VII, VIII).
C6!
*Arises in the prepontine
cistern
Medulla	oblongata.	On	each	side	three	bulges	are	visible	in	the	contour	of	the	
medulla:	the	pyramids	(short	arrow),	olives	(long	arrow)	and	the	inferior	
cerebellar	peduncle	(broad	arrow)
The medulla is the most caudal portion of the brain stem and continuous
with the cervical cord at the level of the foramen magnum.
Anteriorly, the pyramid has a protrusive appearance formed largely by
the corticospinal tracts.
Posterior and lateral to the pyramid is a very shallow groove called the
ventrolateral sulcus, in which the vertebral arteries usually lie.
Lateral to the pyramid is the olive corresponding to the inferior olivary
nucleus. Ventrolaterally, the ninth, tenth, and eleventh cranial nerves
emerge from the postolivary sulcus, and the twelfth cranial nerve
emerges from the preolivary sulcus.
Laterally, the inferior cerebellar peduncles, connecting the spinal cord
and medulla with the cerebellum.
-CN12	exits	anterolateral	medulla	in	preolivary	sulcus	while		CN9,	
CN10,	&	cranial	roots	of	accessory	CN	11	nerves	exit	lateral	medulla	in	
postolivary	sulcus.	
mid	medulla
T1 axial MRI
1- flocculus, 2- ventral median fissure, 3- medulla, 4- inferior
cerebellar peduncle 6- vermis
-SagiTal	image	of	cerebellum.	
Lobules	of	vermis	are	
demonstrated:	lingula	(1),	
central	lobule	(2),	culmen	(3),	
declive	(4),	folium	(5),	tuber	(6),	
pyramid	(7),	uvule	(8)	and	
nodule	(9).		
-The	roof	of	the	fourth	ventricle	
is	formed	by	the	superior	
medullary	velum	(SMV).	
	
•  1. Primary fissure separates
culmen from declive.
•  2. Horizontal fissure
separates folium above from
tuber below.	
•  3. Prepyramidal fissure
separates tuber from
pyramid.
1	
2	
3
-Primary (tentorial) fissure separates anterior culmen from posterior
declive.
-Horizontal (petrosal) fissure separates folium above from tuber below.	
-Prebiventral/prepyramidal (suboccipital) fissure separates posterior
tuber from anterior pyramid.
(A)SagiTal	T2	MR	image.	The	tented	apex	of	the	fourth	ventricle,	
the	fasHgium	(large	arrow)	and	the	foramen	of	Magendie	(small	arrow)	are	well	
shown.		
	
(B)	The	rhomboid	shape	of	the	fourth	ventricle	is	seen	in	coronal	images.	The	
lateral	recesses	(arrows)	funnel	into	the	foramina	of	Luschka.	
		
(C)	Axial	MR	image	through	the	caudal	fourth	ventricle	demonstrate	the	foramen	
of	Magendie	(large	arrow)	and	foramina	of	Luschka	(small	arrows).
p	
m	
f	
fm	
L	
M
*In young females, the gland may fill the fossa with a convex upper
border.
-Posterior lobe often returning a high signal on T1-weighted
images due to neurosecretory granules in the neurohypophysis.
Brain anatomy new

Brain anatomy new