Perfusion and MR spectroscopy of brain tumour. 
Dr/ ABD ALLAH NAZEER. MD.
Conventional magnetic resonance imaging (MRI) is widely used in the 
diagnosis and follow-up of brain tumor patients, owing to its high 
sensitivity and exquisite delineation of anatomic relationships. 
Nonetheless, conventional MR techniques are often nonspecific and 
provide limited information on tumor physiology. Thus, conventional MRI, 
which provides a “snapshot” in the time course of contrast enhancement, 
is largely inadequate to guide biopsy or treatment of brain tumors. 
Indeed, the degree of contrast enhancement of glioblastomas has a 
relatively poor correlation with tumor grade and is not a reliable marker 
for distinguishing recurrent glioma from radiation necrosis. As novel 
therapies for patients with brain tumors are being developed, the role of 
imaging has begun to shift to provide information on tumor physiology, as 
well as anatomy. Perfusion methods are ideally suited to such 
physiological imaging. Multiple studies have shown that perfusion MR 
techniques can noninvasively estimate tumor grade preoperatively. This 
can in turn help guide stereotactic biopsy, by directing the surgeon to the 
most aggressive portions of the tumor. MR perfusion also holds promise in 
providing a better delineation of tumor margins than conventional 
techniques, which can similarly assist in surgical and radiation planning .
Cerebral perfusion is defined as the steady-state delivery of 
nutrients and oxygen via blood to brain tissue parenchyma per unit 
volume and is typically measured in milliliters per 100 g of tissue per 
minute. In perfusion MR imaging, however, the term ‘perfusion’ 
comprises several tissue hemodynamic parameters (cerebral blood 
volume –CBV, cerebral blood flow – CBF, and mean transit time - 
MTT) that can be derived from the acquired data. In the evaluation 
of intracranial mass lesions, however, CBV appears to be the most 
useful parameter. 
Perfusion MR imaging methods take advantage of signal 
changes that accompany the passage of tracer (most commonly 
gadolinium based MR contrast agents) through the Cerebrovascular 
system. Perfusion imaging can be performed with techniques based 
on dynamic susceptibility contrast (DSC) or based on vascular 
permeability. DSC imaging allows approximately 10 MR sections 
every second and is ideal for rapid dynamic imaging.
MR perfusion is also useful in the follow-up of 
brain tumor patients by allowing differentiation 
between radiation effects and recurrent tumor. 
Perfusion changes also hold promise as surrogate 
markers of response to therapy in clinical trials of 
newer antiangiogenic pharmaceuticals. In addition to 
the “first-pass” dynamic perfusion techniques, which 
are well described in the literature, newer, more 
prolonged, delayed permeability measurements also 
hold great promise for tumor assessment. MR or 
computed tomography (CT) perfusion imaging can be 
implemented using technology that is widely available 
in most contemporary scanners.
Underestimation of CBV in the setting of 
severe blood-brain barrier breakdown. A) 
Axial T1-weighted image (TR 450, TE 20, 
matrix 256, 5-mm thick, 6-mm skip, 0.2 
mmol/Kg gadolinium at 5 cc/s) shows an 
enhancing mass in the right frontal lobe. B) 
Axial FLAIR image (TR 10000, TE 126, 5-mm 
thick, 6-mm skip) shows significant 
associated vasogenic edema, mass effect, 
and midline shift. C) Uncorrected CBV map 
(perfusion raw data obtained at TR 500, TE 
65, 5-mm thick, 6-mm skip, 0.2 mmol/Kg 
gadolinium at 5 cc/s) shows low cerebral 
blood volume within the lesion (arrow). D) 
“K2” first-pass permeability map shows 
markedly increased permeability within the 
lesion, consistent with severe blood-brain 
barrier breakdown. E) Corrected CBV map 
shows increased blood volume within the 
lesion, consistent with high-grade 
neoplasm.
Forty-nine-year-old woman with a glioblastoma in the frontal lobes. The 
region within the tumour with pronounced signal enhancement is marked 
with circle on ASL CBF, DSC rCBF (colour-coded) and DSC rCBV (grey scale).
A 22-year-old man with centrally located 
glioblastoma multiforme (WHO IV). 
A, Tumor shows heterogeneous hyperintensity 
with prominent peritumoral edema and/or 
tumoral infiltration (arrow) on axial T2- 
weighted SE image (2295/90). B, There is a 
significant heterogeneous enhancement in 
tumoral borders but not in peritumoral area 
(arrow) on axial T1-weighted image (583/15). 
C, Gradient-echo axial perfusion MR image 
(627/30) with rCBV color overlay map shows 
both high rCBVT value of 6.58 and rCBVP value of 
2.21, which are consistent with HGGT. 
Peritumoral increased rCBV (arrow) shows 
tumoral infiltration outside the tumoral 
margins, which is not perceptible on T2- and 
contrast-enhanced T1-weighted images. 
D, Time-signal intensity and gamma-variate 
fitted curves from tumoral (red), peritumoral 
(blue), and normal (purple) areas show 
prominent decrease in signal intensity from 
tumoral and peritumoral areas, when compared 
with signal intensity of normal gray matter.
45-year-old woman presenting with 
right hemiparesis and headache. A) 
Axial T1-weighted image (TR 450, TE 
20, NEX 1, 0.2 mmol/Kg gadolinium 
injected at 5 cc/s) shows an 
enhancing lesion in the right pons, 
midbrain, and thalamus. B) CBV map 
shows elevated blood volume within 
the lesion, consistent with high-grade 
neoplasm (perfusion raw data 
obtained at TR 500, TE 65, 5-mm 
thick, 6-mm skip, 0.2 mmol/Kg 
gadolinium injected at 5 cc/s). C) MR 
spectroscopy shows a high choline to 
creatine ratio and a decrease in N-acetyl 
aspartate, also consistent with 
high-grade tumor (single voxel 
technique, TR 1500, TE 144). D) FDG-PET 
shows foci of high glucose 
metabolism within the lesion, also 
consistent with high-grade tumor.
Low-grade neoplasm. A) Axial FLAIR image (TR 10000, TE 126, 5-mm thick, 6-mm 
skip) shows increased T2 signal in the right thalamus and periventricular white 
matter with associated mass effect. Post-gadolinium T1-weighted images showed no 
associated enhancement (not shown). B) CBV maps (perfusion raw data obtained at 
TR 500, TE 65, 5-mm thick, 6-mm skip, 0.2 mmol/Kg gadolinium at 5 cc/s) show no 
significant associated increased blood volume within the lesion. Biopsy of lesion 
showed to represent a grade 2/4 astrocytoma, a low-grade neoplasm.
Oligodendroglioma have high 
blood volume irrespective of 
grade. A) Unenhanced CT scan 
shows a mass in the posterior 
left frontal lobe with central 
calcification. B) Axial T1- 
weighted image (TR 450, TE 20, 
NEX 1, 0.2 mmol/Kg gadolinium 
at 5 cc/s) shows only trace 
enhancement within the lesion. 
C) CBV map shows elevated 
blood volume within the lesion 
(perfusion raw data obtained at 
TR 500, TE 65, 5-mm thick, 6-mm 
skip, 0.2 mmol/Kg gadolinium at 
5 cc/s). Biopsy showed grade 2 
oligodendroglioma.
A 51-year-old man with cystic METs from 
lung carcinoma located in right temporal 
lobe. A, Axial T2-weighted spin-echo image 
(2295/90), shows hyperintense cystic mass 
with peritumoral edema and/or infiltration 
(arrows). B, Axial contrast-enhanced T1- 
weighted image (583/15) reveals an 
irregularly ringlike enhancing mass without 
any peritumoral contrast enhancement 
(arrows). C, Gradient-echo axial perfusion 
MR image (627/30) with rCBV color overlay 
map shows a high rCBVT value of 3.05 but 
low rCBVP value of 1.05, which is consistent 
with METs. No rCBV increase is present on 
peritumoral area (arrows). D, Time-signal 
intensity and gamma-variate fitted curves 
from tumoral (red), peritumoral (green), 
and normal (blue) areas show prominent 
decrease in signal intensity from tumoral 
area. Decreased signal intensity in 
peritumoral area is at least equal to or less 
than that of normal gray matter.
High blood volume in a meningioma. A) Axial T1-weighted image (TR 450, TE 
20, NEX 1, 0.2 mmol/Kg gadolinium at 5 cc/s) shows an extra-axial mass with 
solid and cystic components, with marked enhancement. B) CBV map shows 
marked elevated CBV within the tumor, consistent with high tumor vascularity 
(perfusion raw data obtained at TR 500, TE 65, 5-mm thick, 6-mm skip, 0.2 
mmol/Kg gadolinium at 5 cc/s). Surgery confirmed a grade 2/4 meningioma.
Radiation necrosis. A) Axial T1-weighted 
image (TR 450, TE 20, NEX 1, 0.2 mmol/Kg 
gadolinium at 5 cc/s) obtained 18 months 
following resection of an anaplastic 
oligoastrocytoma shows an enhancing 
abnormality posterior to the deep margin 
of the resection cavity. B) FDG-PET shows 
subtle foci of increased glucose 
metabolism corresponding to the foci of 
enhancement, greater than the adjacent 
white matter but less than adjacent grey 
matter. This was felt to represent tumor 
recurrence by the interpreting PET 
specialist. C) Corrected CBV revealed 
reduced blood volume within the lesion 
(arrow), consistent with radiation necrosis 
(perfusion raw data obtained at TR 500, 
TE 65, 5-mm thick, 6-mm skip, 0.2 
mmol/Kg gadolinium at 5 cc/s). Resection 
of the abnormality confirmed radiation 
effect without evidence of tumor.
49-year-old patient with high-grade glioma who 
underwent combined 3-T MR perfusion protocol. 
A, Contrast-enhanced gradient-recalled echo T1- 
weighted image shows cystic rim-enhancing 
lesion with solid frontal parts. 
B and C, In accordance with the Standardization 
of Acquisition and Post-Processing study, 
combined protocol of dynamic contrast-enhanced 
(DCE) MR perfusion (transfer constant map, B) 
was obtained first with 0.05 mmol/kg gadobutrol 
at 2 mL/s and 20 mL saline flush followed by 
dynamic susceptibility contrast-enhanced (DSC) 
MR perfusion imaging (relative cerebral blood 
volume map, C) with 0.05 mmol/kg gadobutrol 
at 5 mL/s and 20 mL saline flush. 
D, Although small amount of contrast medium 
was used, signal intensity–time curve for DCE MR 
perfusion shows excellent contrast enhancement, 
resulting in high-quality perfusion maps. 
E, Concentration-time curve for DSC MR 
perfusion shows short and sufficient bolus 
geometry and was not influenced by preload of 
contrast medium.
Left temporal grade 3 glioma 
imaged in accordance with 
Standardization of Acquisition 
and Post-Processing study 
protocol. 
A–E, Nonenhancing part of lesion 
(A and B) shows mild increase in 
plasma volume (vp) image (C). 
Transfer constant (ktrans) (D) shows 
no abnormality whereas relative 
cerebral blood volume image (E) 
clearly shows high value as 
marker of anaplastic 
transformation.
PMR TIC (lower right) and rCBV 
map (left) demonstrate very 
high microvascular blood 
volume. The low return to 
baseline of the lesion TIC (green 
curve) compared with normal 
brain (purple curve) is 
characteristic of high first-pass 
leak in an extra-axial lesion 
without a BBB. In this case, the 
high permeability also produces 
prominent enhancement on the 
delayed post-Gd T1-weighted 
image (upper right) in a pattern 
strongly suggestive of 
meningioma, but the distinctive 
PMR findings illustrated can be 
very helpful in the differential 
diagnosis of less classical 
appearing lesions.
Comparison of rCBV color map 
(upper right) and TIC (lower 
right) in regions of interest 
selected within the dural-based 
enhancing lesion (lower left, 
purple) and an appropriate 
region of interest in the 
contralateral white matter 
(lower left, green) demonstrate 
the characteristic high first-pass 
leak of a nonglial tumor (TIC) 
and blood volume only 
minimally higher than white 
matter (TIC and rCBV color map). 
In combination with the 
appearance on coronal post-Gd 
T1-weighted image (upper left), 
the perfusion imaging strongly 
suggests dural metastasis, 
confirmed at biopsy to be from 
non–small cell lung carcinoma.
Endothelial transfer constant (KPS) color map (left) and TICs pre and post normalization 
(upper middle and upper right, respectively) demonstrate only minimally increased 
permeability within the new ring-enhancing lesion (lower middle) in this patient post resection, 
radiation, and chemotherapy for gliosarcoma. The relatively mild increase in permeability 
suggested radiation necrosis rather than recurrence, as confirmed by the 6-month follow-up 
postgadolinium T1-weighted image (lower right) showing no interval progression.
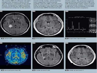
Magnetic resonance spectroscopy (MRS) 
is proposed in addition to magnetic resonance imaging 
(MRI) to help in the characterization of brain tumours by 
detecting metabolic alterations that may be indicative of 
the tumour class. MRS can be routinely performed on 
clinical magnets, within a reasonable acquisition time and 
if performed under adequate conditions, MRS is 
reproducible and thus can be used for longitudinal 
follow-up of treatment. 
MRS can also be performed in clinical practice to guide the 
neurosurgeon into the most aggressive part of the lesions 
or to avoid unnecessary surgery, which may furthermore 
decrease the risk of surgical morbidity.
Magnetic Resonance Spectroscopy (MRS) 
is now a days considered as a main MRI investigation 
modality in the clinical routine jointly with conventional 
anatomical and functional magnetic resonance imaging 
for studying brain tumours. MRS provides 
complementary information about cellular metabolism. 
This allows differentiating the brain tumours from 
abscess, the diagnosis of the tumour type, 
characterization of brain tumours, as well as local study of 
the morphological abnormalities observed in conventional 
MRI. The MRS could be used in the therapeutic follow-up 
for evaluating the pathological active area of brain, and 
allows optimizing the guided biopsy as well as to 
differentiating recurrent tumour from a necrosis.
MR spectroscopy (MRS) relies on detection of metabolites within 
tumor tissue. Although useful in the differential diagnosis of brain 
tumors, MRS often can be nonspecific and suffers from low spatial 
resolution. MRS may be more accurate, however, than MR perfusion 
or conventional MRI for determining tumor margins. MR spectroscopy 
is very valuable in the diagnosis and grading of brain tumors. 
 Proton MRS is able to detect the following metabolites: 
 N-Acetyl Aspartate (NAA) at 2 ppm: Marker of neuronal 
density and viability 
 Creatine (Cr) at 3 ppm: Energy metabolism, generation of 
ATP 
 Choline (Cho) at 3.2 ppm: Pathological alterations in 
membrane turnover, increased in tumors 
 Lipids (Lip) between 0.8 – 1.5 ppm: Breakdown of tissue, 
elevated in brain tumors - lipids indicate necrosis
Lactate (Lac) at 1.3 ppm, inverted at 144ms: produced by an 
anaerobic metabolism, found in tumor containing zones of necrosis
A 50-year-old male with non-tumorous condition (inflammation) was misdiagnosed as 
tumor due to non-specific MRS pattern. A and B, ill defined enhancing lesion is noted in 
the left temporal lobe with extensive brain edema (A: T2-weighted image, B: 
postcontrast T1-weighted image). C and D, MR spectroscopy of the mass shows slightly 
increased choline and lactate with decreased NAA, interpetating as tumor. Lactate 
inversion at long TE is needed for correct diagnosis.
5 years ago, tumor removal state of astrocytoma in the R para sagittal region. 
A 49-year-old female with non-tumorous condition (gliosis with focal calcification) was 
misdiagnosed as tumor due to non-specific MRS pattern. A and B, T2 high signal intensity 
mass is noted in the right rolandic region with suspicious subtle enhancement (A: T2- 
weighted image, B: postcontrast T1-weighted image). C and D, MR spectroscopy of the 
mass shows increased choline and lactate with decreased NAA, interpretating as residual 
or recurrent tumor. Choline level and choline/NAA ratio are needed for correct diagnosis.
A 52-year-old male with high grade tumor (glioblastoma, WHO grade IV) was 
misdiagnosed as low grade tumor due to nonspecific MRS pattern and too small number 
of VOIs. A and B, T2 high signal intensity lesion is noted in the right hippocampus and 
anterior temporal lobe without definite contrast enhancement (A: T2-weighted image, 
B: postcontrast T1-weighted image). C and D, MR spectroscopy of the mass shows slightly 
increased choline, interpretating as low grade tumor.
A 7-year-old female with low grade tumor (pilocytic astrocytoma, WHO grade 
I) was misdiagnosed as high grade tumor due to peculiar tumor histopathology of 
pilocytic astrocytoma. A, B and C, Lobulated T2 high signal intensity mass is noted 
in the suprasellar and intrasellar region with well enhancement and scattered 
microcystic portion (A and B: T2-weighted image, C: postcontrast T1-weighted 
image). D and E, MR spectroscopy of the mass shows markedly increased choline 
and lactate with decreased NAA, interpretating as high grade tumor.
A 26-year-old male with low grade tumor (oligodendroglioma, WHO grade 
II) was misdiagnosed as high grade tumor due to peculiar tumor histopathology of 
oligodendroglioma. A, B and C, Focal cystic encephalomalacic change is noted in the 
right frontal lobe with peripheral enhancing portion (A: T2-weighted image, B: FLAIR 
image, C: postcontrast T1-weighted image). D and E, MR spectroscopy of the lesion 
shows markedly increased choline and lactate with decreased NAA, interpretating as 
high grade tumor.
A 44-year-old female with low grade tumor (meningioma, WHO grade I) was 
misdiagnosed as high grade tumor due to nonspecific MRS pattern. A and B, T2 
isosignal intensity lesion is noted in the L cerebellar region. This lesion show well 
enhancement with internal cystic portion (A: T2-weighted image, B: postcontrast T1- 
weighted image). C and D, MR spectroscopy of the lesion shows markedly increased 
choline and lactate with decreased NAA, interpretating as high grade tumor.
A 48-year-old male with low grade tumor (fibrillary astrocytoma, WHO grade II) 
was misdiagnosed as high grade tumor due to nonspecific MRS pattern. A and B, 
Subtle enhancing mass with cystic portion is noted in the right rolandic region (A: 
T2-weighted image, B: postcontrast T1-weighted image). C and D, MR spectroscopy 
of the lesion shows increased choline and lactate, interpretating as high grade tumor.
A 31-year-old man with tumor (anaplastic oligoastrocytoma, WHO grade III) was 
misdiagnosed as non-tumorous condition (necrosis) due to mislocated VOI at necrotic 
portion. A and B, Contrast enhancing mass lesion is noted in the right temporal lobe 
(A: FLAIR image, B: postcontrast T1-weighted image). C and D, MR spectroscopy of 
the mass shows marked elevation of lactate/lipid and decreased NAA without 
significant increase of choline, interpretating as necrosis.
Patient with glioblastoma with oligodendroglioma component, WHO grade IV of IV. 
(A) MRS spectrum from region of brain not affected by the tumor. (B) Spectrum from 
a voxel within the tumor, showing elevated choline. (C) T1 MR image and (D) color-rendered 
MRS image showing variations in the levels of choline within the tumor.
Sequential changes in spectra for a patient with a recurrent grade 4 glioma, which 
was treated with gamma knife radiosurgery to the enhancing volume. The 
examinations were obtained before treatment, 2 and 3 months after treatment. In 
this case, there were numerous voxels outside the target that had abnormal 
metabolism. Note the reduction of choline in the treated voxels but stable or 
slightly increasing choline outside the target volume. Although the enhancing 
volume dose increased after therapy, it is still smaller than the metabolic lesion.
Arrays of spectra from grade 2 (left), grade 3 (middle), and grade 4 
(right) gliomas. Note the heterogeneity of the spectral patterns in these 
lesions. Spectra that have metabolic abnormalities are shaded, and 
those with peaks corresponding to lactate or lipid are marked with a “∗”.
Conclusions: 
MR perfusion is an exciting imaging tool that allows assessment of 
both tumor anatomy and physiology in one setting. Multiple studies have 
shown that preoperative grading of brain tumors is not only possible using 
MR perfusion methods, but is more accurate than that using conventional 
MRI scanning alone. This can, in turn, be used to guide the surgeon to 
perform biopsy on the most aggressive portions of a tumor. In the future, 
it is also possible that MR perfusion could be used to more accurately 
delineate tumor margins, in order to better plan resection and radiation 
treatment of brain neoplasms. MR perfusion imaging, most notably the 
delayed T1-weighted permeability methods, may also be valuable in 
distinguishing radiation necrosis from tumor recurrence, thus sparing 
patients from unnecessary treatment. Finally, MR perfusion methods, as a 
surrogate marker for treatment outcome, are likely to play a central role in 
the development of new antiangiogenic compounds. As advances in MR 
technology take place, the role of MR perfusion in the care of neuro-oncologic 
patients is likely to increase, and may eventually permit reliable, 
noninvasive assessment of a patient’s prognosis and response to therapy.
The MR spectroscopy has a great interest in 
the exploration and therapeutic strategies 
of brain tumors. It allows a better general 
combination and confrontation of functional 
metabolism and morphological studies. The 
technical development including multi-canals 
bird cage coils technology, stronger magnetic 
field gradients, and appropriate post-processing 
software should allow advanced 
and better involvement of MR spectroscopy 
in brain cancer studies.
Thank You.

Presentation1.pptx, perfusiona and specroscopy imaging in brain tumour.

  • 1.
    Perfusion and MRspectroscopy of brain tumour. Dr/ ABD ALLAH NAZEER. MD.
  • 2.
    Conventional magnetic resonanceimaging (MRI) is widely used in the diagnosis and follow-up of brain tumor patients, owing to its high sensitivity and exquisite delineation of anatomic relationships. Nonetheless, conventional MR techniques are often nonspecific and provide limited information on tumor physiology. Thus, conventional MRI, which provides a “snapshot” in the time course of contrast enhancement, is largely inadequate to guide biopsy or treatment of brain tumors. Indeed, the degree of contrast enhancement of glioblastomas has a relatively poor correlation with tumor grade and is not a reliable marker for distinguishing recurrent glioma from radiation necrosis. As novel therapies for patients with brain tumors are being developed, the role of imaging has begun to shift to provide information on tumor physiology, as well as anatomy. Perfusion methods are ideally suited to such physiological imaging. Multiple studies have shown that perfusion MR techniques can noninvasively estimate tumor grade preoperatively. This can in turn help guide stereotactic biopsy, by directing the surgeon to the most aggressive portions of the tumor. MR perfusion also holds promise in providing a better delineation of tumor margins than conventional techniques, which can similarly assist in surgical and radiation planning .
  • 3.
    Cerebral perfusion isdefined as the steady-state delivery of nutrients and oxygen via blood to brain tissue parenchyma per unit volume and is typically measured in milliliters per 100 g of tissue per minute. In perfusion MR imaging, however, the term ‘perfusion’ comprises several tissue hemodynamic parameters (cerebral blood volume –CBV, cerebral blood flow – CBF, and mean transit time - MTT) that can be derived from the acquired data. In the evaluation of intracranial mass lesions, however, CBV appears to be the most useful parameter. Perfusion MR imaging methods take advantage of signal changes that accompany the passage of tracer (most commonly gadolinium based MR contrast agents) through the Cerebrovascular system. Perfusion imaging can be performed with techniques based on dynamic susceptibility contrast (DSC) or based on vascular permeability. DSC imaging allows approximately 10 MR sections every second and is ideal for rapid dynamic imaging.
  • 4.
    MR perfusion isalso useful in the follow-up of brain tumor patients by allowing differentiation between radiation effects and recurrent tumor. Perfusion changes also hold promise as surrogate markers of response to therapy in clinical trials of newer antiangiogenic pharmaceuticals. In addition to the “first-pass” dynamic perfusion techniques, which are well described in the literature, newer, more prolonged, delayed permeability measurements also hold great promise for tumor assessment. MR or computed tomography (CT) perfusion imaging can be implemented using technology that is widely available in most contemporary scanners.
  • 11.
    Underestimation of CBVin the setting of severe blood-brain barrier breakdown. A) Axial T1-weighted image (TR 450, TE 20, matrix 256, 5-mm thick, 6-mm skip, 0.2 mmol/Kg gadolinium at 5 cc/s) shows an enhancing mass in the right frontal lobe. B) Axial FLAIR image (TR 10000, TE 126, 5-mm thick, 6-mm skip) shows significant associated vasogenic edema, mass effect, and midline shift. C) Uncorrected CBV map (perfusion raw data obtained at TR 500, TE 65, 5-mm thick, 6-mm skip, 0.2 mmol/Kg gadolinium at 5 cc/s) shows low cerebral blood volume within the lesion (arrow). D) “K2” first-pass permeability map shows markedly increased permeability within the lesion, consistent with severe blood-brain barrier breakdown. E) Corrected CBV map shows increased blood volume within the lesion, consistent with high-grade neoplasm.
  • 12.
    Forty-nine-year-old woman witha glioblastoma in the frontal lobes. The region within the tumour with pronounced signal enhancement is marked with circle on ASL CBF, DSC rCBF (colour-coded) and DSC rCBV (grey scale).
  • 13.
    A 22-year-old manwith centrally located glioblastoma multiforme (WHO IV). A, Tumor shows heterogeneous hyperintensity with prominent peritumoral edema and/or tumoral infiltration (arrow) on axial T2- weighted SE image (2295/90). B, There is a significant heterogeneous enhancement in tumoral borders but not in peritumoral area (arrow) on axial T1-weighted image (583/15). C, Gradient-echo axial perfusion MR image (627/30) with rCBV color overlay map shows both high rCBVT value of 6.58 and rCBVP value of 2.21, which are consistent with HGGT. Peritumoral increased rCBV (arrow) shows tumoral infiltration outside the tumoral margins, which is not perceptible on T2- and contrast-enhanced T1-weighted images. D, Time-signal intensity and gamma-variate fitted curves from tumoral (red), peritumoral (blue), and normal (purple) areas show prominent decrease in signal intensity from tumoral and peritumoral areas, when compared with signal intensity of normal gray matter.
  • 17.
    45-year-old woman presentingwith right hemiparesis and headache. A) Axial T1-weighted image (TR 450, TE 20, NEX 1, 0.2 mmol/Kg gadolinium injected at 5 cc/s) shows an enhancing lesion in the right pons, midbrain, and thalamus. B) CBV map shows elevated blood volume within the lesion, consistent with high-grade neoplasm (perfusion raw data obtained at TR 500, TE 65, 5-mm thick, 6-mm skip, 0.2 mmol/Kg gadolinium injected at 5 cc/s). C) MR spectroscopy shows a high choline to creatine ratio and a decrease in N-acetyl aspartate, also consistent with high-grade tumor (single voxel technique, TR 1500, TE 144). D) FDG-PET shows foci of high glucose metabolism within the lesion, also consistent with high-grade tumor.
  • 18.
    Low-grade neoplasm. A)Axial FLAIR image (TR 10000, TE 126, 5-mm thick, 6-mm skip) shows increased T2 signal in the right thalamus and periventricular white matter with associated mass effect. Post-gadolinium T1-weighted images showed no associated enhancement (not shown). B) CBV maps (perfusion raw data obtained at TR 500, TE 65, 5-mm thick, 6-mm skip, 0.2 mmol/Kg gadolinium at 5 cc/s) show no significant associated increased blood volume within the lesion. Biopsy of lesion showed to represent a grade 2/4 astrocytoma, a low-grade neoplasm.
  • 20.
    Oligodendroglioma have high blood volume irrespective of grade. A) Unenhanced CT scan shows a mass in the posterior left frontal lobe with central calcification. B) Axial T1- weighted image (TR 450, TE 20, NEX 1, 0.2 mmol/Kg gadolinium at 5 cc/s) shows only trace enhancement within the lesion. C) CBV map shows elevated blood volume within the lesion (perfusion raw data obtained at TR 500, TE 65, 5-mm thick, 6-mm skip, 0.2 mmol/Kg gadolinium at 5 cc/s). Biopsy showed grade 2 oligodendroglioma.
  • 21.
    A 51-year-old manwith cystic METs from lung carcinoma located in right temporal lobe. A, Axial T2-weighted spin-echo image (2295/90), shows hyperintense cystic mass with peritumoral edema and/or infiltration (arrows). B, Axial contrast-enhanced T1- weighted image (583/15) reveals an irregularly ringlike enhancing mass without any peritumoral contrast enhancement (arrows). C, Gradient-echo axial perfusion MR image (627/30) with rCBV color overlay map shows a high rCBVT value of 3.05 but low rCBVP value of 1.05, which is consistent with METs. No rCBV increase is present on peritumoral area (arrows). D, Time-signal intensity and gamma-variate fitted curves from tumoral (red), peritumoral (green), and normal (blue) areas show prominent decrease in signal intensity from tumoral area. Decreased signal intensity in peritumoral area is at least equal to or less than that of normal gray matter.
  • 22.
    High blood volumein a meningioma. A) Axial T1-weighted image (TR 450, TE 20, NEX 1, 0.2 mmol/Kg gadolinium at 5 cc/s) shows an extra-axial mass with solid and cystic components, with marked enhancement. B) CBV map shows marked elevated CBV within the tumor, consistent with high tumor vascularity (perfusion raw data obtained at TR 500, TE 65, 5-mm thick, 6-mm skip, 0.2 mmol/Kg gadolinium at 5 cc/s). Surgery confirmed a grade 2/4 meningioma.
  • 23.
    Radiation necrosis. A)Axial T1-weighted image (TR 450, TE 20, NEX 1, 0.2 mmol/Kg gadolinium at 5 cc/s) obtained 18 months following resection of an anaplastic oligoastrocytoma shows an enhancing abnormality posterior to the deep margin of the resection cavity. B) FDG-PET shows subtle foci of increased glucose metabolism corresponding to the foci of enhancement, greater than the adjacent white matter but less than adjacent grey matter. This was felt to represent tumor recurrence by the interpreting PET specialist. C) Corrected CBV revealed reduced blood volume within the lesion (arrow), consistent with radiation necrosis (perfusion raw data obtained at TR 500, TE 65, 5-mm thick, 6-mm skip, 0.2 mmol/Kg gadolinium at 5 cc/s). Resection of the abnormality confirmed radiation effect without evidence of tumor.
  • 28.
    49-year-old patient withhigh-grade glioma who underwent combined 3-T MR perfusion protocol. A, Contrast-enhanced gradient-recalled echo T1- weighted image shows cystic rim-enhancing lesion with solid frontal parts. B and C, In accordance with the Standardization of Acquisition and Post-Processing study, combined protocol of dynamic contrast-enhanced (DCE) MR perfusion (transfer constant map, B) was obtained first with 0.05 mmol/kg gadobutrol at 2 mL/s and 20 mL saline flush followed by dynamic susceptibility contrast-enhanced (DSC) MR perfusion imaging (relative cerebral blood volume map, C) with 0.05 mmol/kg gadobutrol at 5 mL/s and 20 mL saline flush. D, Although small amount of contrast medium was used, signal intensity–time curve for DCE MR perfusion shows excellent contrast enhancement, resulting in high-quality perfusion maps. E, Concentration-time curve for DSC MR perfusion shows short and sufficient bolus geometry and was not influenced by preload of contrast medium.
  • 29.
    Left temporal grade3 glioma imaged in accordance with Standardization of Acquisition and Post-Processing study protocol. A–E, Nonenhancing part of lesion (A and B) shows mild increase in plasma volume (vp) image (C). Transfer constant (ktrans) (D) shows no abnormality whereas relative cerebral blood volume image (E) clearly shows high value as marker of anaplastic transformation.
  • 30.
    PMR TIC (lowerright) and rCBV map (left) demonstrate very high microvascular blood volume. The low return to baseline of the lesion TIC (green curve) compared with normal brain (purple curve) is characteristic of high first-pass leak in an extra-axial lesion without a BBB. In this case, the high permeability also produces prominent enhancement on the delayed post-Gd T1-weighted image (upper right) in a pattern strongly suggestive of meningioma, but the distinctive PMR findings illustrated can be very helpful in the differential diagnosis of less classical appearing lesions.
  • 31.
    Comparison of rCBVcolor map (upper right) and TIC (lower right) in regions of interest selected within the dural-based enhancing lesion (lower left, purple) and an appropriate region of interest in the contralateral white matter (lower left, green) demonstrate the characteristic high first-pass leak of a nonglial tumor (TIC) and blood volume only minimally higher than white matter (TIC and rCBV color map). In combination with the appearance on coronal post-Gd T1-weighted image (upper left), the perfusion imaging strongly suggests dural metastasis, confirmed at biopsy to be from non–small cell lung carcinoma.
  • 32.
    Endothelial transfer constant(KPS) color map (left) and TICs pre and post normalization (upper middle and upper right, respectively) demonstrate only minimally increased permeability within the new ring-enhancing lesion (lower middle) in this patient post resection, radiation, and chemotherapy for gliosarcoma. The relatively mild increase in permeability suggested radiation necrosis rather than recurrence, as confirmed by the 6-month follow-up postgadolinium T1-weighted image (lower right) showing no interval progression.
  • 33.
    Magnetic resonance spectroscopy(MRS) is proposed in addition to magnetic resonance imaging (MRI) to help in the characterization of brain tumours by detecting metabolic alterations that may be indicative of the tumour class. MRS can be routinely performed on clinical magnets, within a reasonable acquisition time and if performed under adequate conditions, MRS is reproducible and thus can be used for longitudinal follow-up of treatment. MRS can also be performed in clinical practice to guide the neurosurgeon into the most aggressive part of the lesions or to avoid unnecessary surgery, which may furthermore decrease the risk of surgical morbidity.
  • 34.
    Magnetic Resonance Spectroscopy(MRS) is now a days considered as a main MRI investigation modality in the clinical routine jointly with conventional anatomical and functional magnetic resonance imaging for studying brain tumours. MRS provides complementary information about cellular metabolism. This allows differentiating the brain tumours from abscess, the diagnosis of the tumour type, characterization of brain tumours, as well as local study of the morphological abnormalities observed in conventional MRI. The MRS could be used in the therapeutic follow-up for evaluating the pathological active area of brain, and allows optimizing the guided biopsy as well as to differentiating recurrent tumour from a necrosis.
  • 35.
    MR spectroscopy (MRS)relies on detection of metabolites within tumor tissue. Although useful in the differential diagnosis of brain tumors, MRS often can be nonspecific and suffers from low spatial resolution. MRS may be more accurate, however, than MR perfusion or conventional MRI for determining tumor margins. MR spectroscopy is very valuable in the diagnosis and grading of brain tumors.  Proton MRS is able to detect the following metabolites:  N-Acetyl Aspartate (NAA) at 2 ppm: Marker of neuronal density and viability  Creatine (Cr) at 3 ppm: Energy metabolism, generation of ATP  Choline (Cho) at 3.2 ppm: Pathological alterations in membrane turnover, increased in tumors  Lipids (Lip) between 0.8 – 1.5 ppm: Breakdown of tissue, elevated in brain tumors - lipids indicate necrosis
  • 36.
    Lactate (Lac) at1.3 ppm, inverted at 144ms: produced by an anaerobic metabolism, found in tumor containing zones of necrosis
  • 38.
    A 50-year-old malewith non-tumorous condition (inflammation) was misdiagnosed as tumor due to non-specific MRS pattern. A and B, ill defined enhancing lesion is noted in the left temporal lobe with extensive brain edema (A: T2-weighted image, B: postcontrast T1-weighted image). C and D, MR spectroscopy of the mass shows slightly increased choline and lactate with decreased NAA, interpetating as tumor. Lactate inversion at long TE is needed for correct diagnosis.
  • 39.
    5 years ago,tumor removal state of astrocytoma in the R para sagittal region. A 49-year-old female with non-tumorous condition (gliosis with focal calcification) was misdiagnosed as tumor due to non-specific MRS pattern. A and B, T2 high signal intensity mass is noted in the right rolandic region with suspicious subtle enhancement (A: T2- weighted image, B: postcontrast T1-weighted image). C and D, MR spectroscopy of the mass shows increased choline and lactate with decreased NAA, interpretating as residual or recurrent tumor. Choline level and choline/NAA ratio are needed for correct diagnosis.
  • 40.
    A 52-year-old malewith high grade tumor (glioblastoma, WHO grade IV) was misdiagnosed as low grade tumor due to nonspecific MRS pattern and too small number of VOIs. A and B, T2 high signal intensity lesion is noted in the right hippocampus and anterior temporal lobe without definite contrast enhancement (A: T2-weighted image, B: postcontrast T1-weighted image). C and D, MR spectroscopy of the mass shows slightly increased choline, interpretating as low grade tumor.
  • 41.
    A 7-year-old femalewith low grade tumor (pilocytic astrocytoma, WHO grade I) was misdiagnosed as high grade tumor due to peculiar tumor histopathology of pilocytic astrocytoma. A, B and C, Lobulated T2 high signal intensity mass is noted in the suprasellar and intrasellar region with well enhancement and scattered microcystic portion (A and B: T2-weighted image, C: postcontrast T1-weighted image). D and E, MR spectroscopy of the mass shows markedly increased choline and lactate with decreased NAA, interpretating as high grade tumor.
  • 42.
    A 26-year-old malewith low grade tumor (oligodendroglioma, WHO grade II) was misdiagnosed as high grade tumor due to peculiar tumor histopathology of oligodendroglioma. A, B and C, Focal cystic encephalomalacic change is noted in the right frontal lobe with peripheral enhancing portion (A: T2-weighted image, B: FLAIR image, C: postcontrast T1-weighted image). D and E, MR spectroscopy of the lesion shows markedly increased choline and lactate with decreased NAA, interpretating as high grade tumor.
  • 43.
    A 44-year-old femalewith low grade tumor (meningioma, WHO grade I) was misdiagnosed as high grade tumor due to nonspecific MRS pattern. A and B, T2 isosignal intensity lesion is noted in the L cerebellar region. This lesion show well enhancement with internal cystic portion (A: T2-weighted image, B: postcontrast T1- weighted image). C and D, MR spectroscopy of the lesion shows markedly increased choline and lactate with decreased NAA, interpretating as high grade tumor.
  • 44.
    A 48-year-old malewith low grade tumor (fibrillary astrocytoma, WHO grade II) was misdiagnosed as high grade tumor due to nonspecific MRS pattern. A and B, Subtle enhancing mass with cystic portion is noted in the right rolandic region (A: T2-weighted image, B: postcontrast T1-weighted image). C and D, MR spectroscopy of the lesion shows increased choline and lactate, interpretating as high grade tumor.
  • 46.
    A 31-year-old manwith tumor (anaplastic oligoastrocytoma, WHO grade III) was misdiagnosed as non-tumorous condition (necrosis) due to mislocated VOI at necrotic portion. A and B, Contrast enhancing mass lesion is noted in the right temporal lobe (A: FLAIR image, B: postcontrast T1-weighted image). C and D, MR spectroscopy of the mass shows marked elevation of lactate/lipid and decreased NAA without significant increase of choline, interpretating as necrosis.
  • 49.
    Patient with glioblastomawith oligodendroglioma component, WHO grade IV of IV. (A) MRS spectrum from region of brain not affected by the tumor. (B) Spectrum from a voxel within the tumor, showing elevated choline. (C) T1 MR image and (D) color-rendered MRS image showing variations in the levels of choline within the tumor.
  • 56.
    Sequential changes inspectra for a patient with a recurrent grade 4 glioma, which was treated with gamma knife radiosurgery to the enhancing volume. The examinations were obtained before treatment, 2 and 3 months after treatment. In this case, there were numerous voxels outside the target that had abnormal metabolism. Note the reduction of choline in the treated voxels but stable or slightly increasing choline outside the target volume. Although the enhancing volume dose increased after therapy, it is still smaller than the metabolic lesion.
  • 57.
    Arrays of spectrafrom grade 2 (left), grade 3 (middle), and grade 4 (right) gliomas. Note the heterogeneity of the spectral patterns in these lesions. Spectra that have metabolic abnormalities are shaded, and those with peaks corresponding to lactate or lipid are marked with a “∗”.
  • 58.
    Conclusions: MR perfusionis an exciting imaging tool that allows assessment of both tumor anatomy and physiology in one setting. Multiple studies have shown that preoperative grading of brain tumors is not only possible using MR perfusion methods, but is more accurate than that using conventional MRI scanning alone. This can, in turn, be used to guide the surgeon to perform biopsy on the most aggressive portions of a tumor. In the future, it is also possible that MR perfusion could be used to more accurately delineate tumor margins, in order to better plan resection and radiation treatment of brain neoplasms. MR perfusion imaging, most notably the delayed T1-weighted permeability methods, may also be valuable in distinguishing radiation necrosis from tumor recurrence, thus sparing patients from unnecessary treatment. Finally, MR perfusion methods, as a surrogate marker for treatment outcome, are likely to play a central role in the development of new antiangiogenic compounds. As advances in MR technology take place, the role of MR perfusion in the care of neuro-oncologic patients is likely to increase, and may eventually permit reliable, noninvasive assessment of a patient’s prognosis and response to therapy.
  • 59.
    The MR spectroscopyhas a great interest in the exploration and therapeutic strategies of brain tumors. It allows a better general combination and confrontation of functional metabolism and morphological studies. The technical development including multi-canals bird cage coils technology, stronger magnetic field gradients, and appropriate post-processing software should allow advanced and better involvement of MR spectroscopy in brain cancer studies.
  • 60.