Plasma Cell Neoplasms
DR. MOHAMD SHAHEEN
MBBCH, MSC, MD, IPCD, HHMD
LECTURER OF CLINICAL PATHOLOGY- AL-AZHAR UNIVERSITY
CHIEF INFECTION CONTROL TEAM EL-HUSSIEN HOSPITAL
Plasma cell maturation
B cell differentiation
Plasma cells
Monoclonal gammopathy of undetermined significance (MGUS).
Plasma cell myeloma and variants:
- Asymptomatic (Smouldering myeloma).
- Non-secretory myeloma.
- Plasma cell leukemia.
Plasmacytoma:
- Solitary plasmacytoma of bone.
- Extraosseous (extramedullary) plasmacytoma.
Immunoglobulin deposition diseases:
- Primary amyloidosis (Ig light chain amyloidosis).
- Systemic light and heavy chain deposition diseases.
Osteosclerotic myeloma : POEMS syndrome:
Plasma cell neoplasms [WHO-2008]
Plasma cell neoplasms [WHO-2017]
Non-IgM monoclonal gammopathy of undetermined significance
Plasma cell myeloma
Plasma cell myeloma variants
- Smouldering (asymptomatic) plasma cell myeloma
- Non-secretory myeloma
- Plasma cell leukemia
Plasmacytoma
- Solitary plasmacytoma of bone
- Extraosseous plasmacytoma
Monoclonal Ig deposition diseases
- Primary amyloidosis
- Light chain and heavy chain deposition diseases [LCDD & HCDD]
Plasma cell neoplasms with associated paraneoplastic syndrome
- POEMS syndrome: polyneuropathy – organomegaly- endocrinopathy – M protein – Skin.
- TEMPI syndrome
Non-IgM
Monoclonal Gammopathy of
Undetermined Significance
[Non-IgM MGUS]
Monoclonal gammopathy of
undetermined significance (MGUS)
 Epidemiology: More common in males after 70 years.
 Characteristics:
- BM Plasma cells < 10 % which interstitial, scattered or in small clusters.
- M-protein: < 3 g/dl with
- No Bence Jones protein.
- No evidence of other B cell LPDs.
- No Organ or tissue involvement:
- No end organ damage CRAB (hypercalcemia, renal impairment, anemia or bone lesions).
 Malignant evolution: in 30% of cases after 25 years.
 Types: MGUS are major 2 types
1- IgM MGUS = Lymphoid/lymphoplasmacytic MGUS.
2- Non-IgM MGUS = Plasma cell MGUS (80% of MGUS).
o They have different
- Genetic bases and
- Outcomes as malignant progression.
- Morphology, but this analysis is not always precise.
- 1% of plasma cell MGUS cases produce an IgM M protein.
- IgM MGUS is a lymphoplasmacytic lymphoma entity.
Non-IgM MGUS
 Definition:
- Presence of an IgG, IgA, or (rarely) IgD M protein in the serum at a concentration < 3 g/dl
- BM plasma cells < 10%; and
- No end organ damage (CRAB) [hypercalcemia, Renal insufficiency, Anemia, and Bone lesions)
- No amyloidosis attributable to the plasma cell proliferative disorders
 Epidemiology:
- Non IgM MGUS= 80% of MGUS.
- Male predominance 60%. [≈ ♂:♀= 2:1]
- Black : White populations = 2:1
 Cell of origin: Post-germinal center plasma cells
 Genetic profile:
- Conventional karyotyping are rarely found.
- FISH identifies numerical and/or structural abnormalities in most cases [as myeloma but
prevalence differ].
- Translocations involving the
1. Translocation of IGH locus 50% of cases,
2. t(11;14)(q13;q32) (IGH/CCND1) → 15―25%,
3. t(4;14)(p16.3;q32) (IGH/ NSD2 → 3―9%, and
4. t(14;16)(q32;q23) (IGH/M4F) → 1―5%
5. Hyperdiploidy 40%
6. Deletions of 13q → 35―40%
7. Activating KRAS mutations not detected in MGUS but present in 20% of myelomas
Diagnostic criteria for monoclonal
plasma cell proliferative disorders
DD between
IgM and Non IgM
MGUS
DD between MGUS [IgM & Non IgM]
Non-IgM MGUS
IgM-MGUS
Plasma cell neoplasm
Lympho-plasma cell lymphoma
Category
85% of MGUS
Male predominance
Black : White = 2:1
15% of MGUS
Male predominance
White > black
Incidence
Post germinal center plasma cell with IgHV gene but
without class switching
B cell with somatic hypermutation
Origin
PB:
- M protein unexpected in PE
- Imm.Fix: IgG 60%, IgA 15%, IgE 1%, IgD 1%
- Light chain 20%.
BM:
Hypercellular BM+ Plasma cells < 10%
BP: Serum IgM < 3 gm/dl
BM: lymphoplasmacytic cell < 10%
Lack of diagnostic feature of LPD, LPL, PCM.
Lab findings
2 populations:
Poly clonal normal Plasma cells: CD19+, CD56-.
Mono clonal aberrant Plasma cells: CD19-,56-/CD19-,56+
Clonal B cells: no specific IPT.
CD19+, 20+, CD5-, 10-, 103-
Plasma cells: 56-
I.P.T
- Serum IgM < 3 gm/dl
- Plasma cell < 10%
- No CRAB nor amyloidosis related to PCM
- Serum IgM < 3 gm/dl
- Plasma cell < 10%
- No CRAB, HSM, LN+, No Hyperviscosity
Diagnostic
Criteria
PLASMA CELL MYELOMA
Plasma cell myeloma
 Definition:
- Clonal proliferation of Ig secreting heavy chain class switched terminally differentiated
plasma B cells that produce a monoclonal protein in the serum or urine.
 Epidemiology:
- Age: > 50 year not before 30 years. [adult disease]
- Sex: males predominance
Pathogenesis:
I- Genetic abnormalities (80-90%):
➢ Translocation of genes involved in ↑ cell survival and proliferation and
↓ apoptosis adjacent to Ig heavy or light chains.
- Ig heavy chain gene on chromosome (14) may rearranged adjacent to the following genes:
- 11q13 (CCND1).
- 6p21(CCND3).
- 4p16 (FGFR/MMSET). - 16q23(MAF). - 20q11(MAFB). - 8q24(RAS).
➢ Dysregulation of cyclin D gene.
➢ Micro RNA dysregulation.
➢ Aneuploidy:
- Monosomy 13. - (17q-). - (1q -).
- Hyperdiploidy.
➢ Methylation modification.
II- Cytokine interaction between plasma cells and their microenvironment:
▪ Chemotaxis between stromal cell derived factor (SCD-F) secreted by BM stromal
cells and CXCR4 on myeloma cells.
▪ Adhesion between intracellular adhesion molecule-1 (ICAM-1) and vascular cell
adhesion molecule1 (VCAM-1) on BM stromal cells and β1 integrin of myeloma
cells.
▪ BM homing of plasma cells due to expression of adhesion molecules on myeloma
cells as CD138, CD38, CD44 and CD106.
▪ Adhesion of myeloma cells to BM leads to:
- Cell cycle arrest at G1. - Decreased apoptosis.
- ↓ topoisomerase II activity e protection of myeloma cells from drugs.
- Secretion of cytokines as TNFα, IL6, IL21, ILGF-1, SCD-F and vascular endothelial
growth factor (VEGF) by both plasma cells and BM stromal cells.
Pathogenesis continue
III-Bone marrow infiltration by myeloma cells causes:
- Bone marrow failure.
- Cytokine production which suppress osteoblasts and stimulate osteoclasts causing
bone destruction that leads to bone pain, neurological manifestations and
hypercalcemia.
IV- Myeloma cells secret a monoclonal protein which causes:
- Hyperviscosity.
- Light chains precipitate in tissues causing amyloidosis.
- Light chain deposition in the renal tubules causing nephropathy.
V- Anemia may be due to:
- BM infiltration. - Bleeding.
- Anemia of chronic disorders. - Anemia of chronic renal failure.
- Chemotherapy.
VI- Recurrent infection may be due to:
- Suppression of the normal CD19(+ )B cells with suppression of the normal Igs.
- Reversed CD4+/CD8+ ratio. - Renal failure.
- Neutropenia. - Chemotherapy.
VII-Thrombosis may be due to:
- Hyperviscosity.
- Protein C deficiency and activated protein C resistance.
- Lupus anticoagulants. - Dysfibrinogenemia.
- Thialidomide treatment.
- Thrombosis from hyposplenism may be caused by amyloidosis.
VIII- Bleeding may occur due to:
- Hyperviscosity.
- Perivascular amyloidosis.
- Paraproteins inhibits fibrin aggregation.
- Antibodies against coagulation factors.
- Thrombocytopenia.
IX- Renal failure may be due to:
- Amyloidosis.
- Light chain deposition (Tamm-Horsfall protein).
- Recurrent infection.
- Hypercalcemia.
X-Pain may be caused by:
- Vertebral compression Fracture.
- Pathological fracture.
- Compression of spinal.
- Amyloid deposition.
Clinical picture
 Bone: Back pain, collapse of the vertebrae, osteoporosis and pathological fracture.
 Renal disease.
 Pain.
 Infection.
 Hyperviscosity: [Thrombosis tendency] More in IgA due to tendency of IgA to form
polymers.
 Amyloidosis: Macroglossia, carpal tunnel syndrome, gastrointestinal disturbance,
neuropathy and liver infiltration.
 BM failure:
- Symptoms of anemia: pallor, fatigue, weakness, …..
- Symptoms of neutropenia: recurrent infection.
- Symptoms of thrombocytopenia: bleeding tendency.
CRAB
- Calcium elevation
- Renal Impairment (↑ urea& creatinine)
- Anemia
- Bone (pain, fractures)
Laboratory diagnosis
o CBC:
- May be completely normal:
- Anemia.
- Thrombocytopenia & may be Thrombocytosis due to the hyposplenism caused
by amyloid deposition.
o Blood film:
- Blue background due to the high protein.
- Increased reuleaux.
o ESR: Very high>100mm/hr. [Inverted A/G ratio+ hyperviscosity].
o Total protein: High and low serum albumin.
o 24-Hours urine: Bence jones protein.
o Serum and urine protein electrophoresis:
Monoclonal M-band.
o Immunofixation: detects the type of the Ig which is:
- IgG in 50% of cases.
- IgA in 20% of cases.
- Light chain in 20% of cases.
- Ig E.
- IgD and IgM biclonal in less than 10% of cases.
Protein Electrophoresis
Densitometric tracking
Immunofixation E.P.
Peripheral blood
 Rouleaux formation is the most striking feature and is related to quantity
and type of M protein.
 A leukoerythroblastic reaction.
 Plasma cells are found in 15% of cases, usually in small numbers.
 Marked plasmacytosis indicates plasma cell leukemia.
 Kidney Bence Jones protein accumulates as aggregates of eosinophilic
material in the lumina of the renal tubules. Renal tubular reabsorption of
Bence Jones protein is largely responsible for renal damage in PCM.
- Hypercellular BM.
- Myeloma plasma cells of different stages of maturation
- Dry tap may be present
- Fragile bone
Bone Marrow
Bone marrow aspiration
 Plasma cells varies from little increased to > 90%.
 Myeloma plasma cells vary from mature forms indistinguishable from normal cells to immature, plasmablastic, and
pleomorphic cells.
 Mature plasma cells: usually oval, with a round eccentric nucleus and so-called spoke-wheel or clock-face chromatin
without nucleoli. abundant basophilic cytoplasm and a perinuclear hof. The small-cell variant shows a
lymphoplasmacytic appearance, with a narrow rim of basophilic cytoplasm and the occasional perinuclear hof.
 Immature forms have more-dispersed nuclear chromatin, a higher N:C ratio, and (often) prominent nucleoli. In almost
10% of cases, there is plasmablastic morphology. Multinucleated, multilobed, pleomorphic plasma cells are prominent
in some cases. Nuclear immaturity and pleomorphism rarely occur in reactive plasma cells, so they are indicators of
neoplastic plasma cells. The cytoplasm of myeloma cells has abundant endoplasmic reticulum, contain condensed or
crystallized cytoplasmic Ig producing a variety of morphological findings, including multiple pale bluish-white, grape-
like accumulations (Mott cells and morula cells); cherryred refractive round bodies (Russell bodies); vermilion-staining
glycogen-rich IgA (flame cells); overstuffed fibrils (pseudoGaucher cells and thesaurocytes); and crystalline rods. These
changes are not pathognomonic of PCM; they can also be found in reactive plasma cells.
 In 5% of cases of PCM, there are < 10% plasma cells in BM aspirate smears. This may be due to a suboptimal BM
aspirate or the frequent focal distribution of PCM in BM.
 BM biopsy: larger numbers of plasma cells and focal clusters. Biopsies directed at radiographical lesions may be
necessary to establish the diagnosis in some patients.
BM Case
- Pattern of infiltration: Interstitial clusters or sheets.
- Plasma cells or masses of plasma cells ≥ 30% of BM volume is diagnostic.
- Prominent osteoclastic activity.
- Myelodysaplasia may develop after therapy.
o Immunophenotyping [FCM + IHC]:
- CD19(-), and Surface membrane Ig(-) but it is assigned to B cell lineage because
it is CD79a(+) and cytoplasmic Ig(+).
- Light chain restriction.
- CD38(+), CD138(+), CD56(+) and CD10(+).
- Cyclin D1 is (+) in t(11;14)(q13;32).
Bone marrow biopsy
o Cytogenetic: [Remember 13-14--16-17]
1- Ig heavy chain gene rearrangement of on chromosome (14) with either of the following:
- 11q13 (CCND1).
- 6p21(CCND3).
- 4p16 (FGFR/MMSET).
- 16q23(MAF).
- 20q11(MAFB).
- 8q24(RAS).
2- Dysregulation of cyclin D gene.
3- Micro RNA dysregulation.
4- Aneuploidy:
- Monosomy 13. - (17q-). - (1q -).
- Hyperdiploidy.
Cytogenetic
Lab investigation cont.
o Plasma cell labeling index by a tritiated thymidine or bromoeoxyuridine techniques.
- It is incorporated in S-phase.
- If less than 0.5, it means a short survival.
o Amyloid deposition by congo red stain.
o Serum β2 microglobulin: High.
o Biochemical tests:
- Serum uric acid: High.
- Serum Calcium: High.
- Kidney function: High urea & creatinine.
o Coagulation tests: Prolonged.
o Platelet function: impaired.
- Skeletal involvement in the form of lytic lesion and/or severe
osteoporosis with or without compression fracture.
X-Ray shows
- A frontal view of the shoulder in a patient with multiple
myeloma.
- The solid arrow indicates a chronic pathologic humeral
fracture at the surgical neck across a large lytic lesion
with a "moth-eaten" appearance down the humeral
shaft.
- The clavicle and ribs are also affected.
- The open arrows reveal a missing fifth rib, which was
destroyed by a plasmacytoma (plasma cell tumor) (open
arrows).
oRadiological examination
Differential diagnosis
 Increased plasma cells in the BM:
1. Benign BM plasmacytosis: Infection. Autoimmune diseases.
2. B-cell NHL with plasmacytic differentiation.
3. Plasma cell neoplasms:
o MGUS.
o Plasma cell myeloma and variants: Asymptomatic (Smouldering), Non-secretory myeloma &
Plasma cell leukemia.
o Plasmacytoma:
- Solitary plasmacytoma of bone.
- Extraosseous (extramedullary) plasmacytoma.
o Ig deposition diseases:
- Primary amyloidosis (Ig light chain amyloidosis).
- Systemic light and heavy chain deposition diseases.
o Osteosclerotic myeloma (POEMS syndrome: polyneuropathy – organomegaly- endocrinopathy –
M protein – Skin).
 II- Differential diagnosis of hyperviscosity:
1- Waldenstrom’s macroglobulinemia:
- The monoclonal protein is IgM and
- The malignant cells may be lymphocytes, lymphoplasmacytoid cells or plasma
cells which are
CD19(+), surface Ig(+), CD38(-), CD138(-) and CD56(-).
2-Plasma cell neoplasm.
3- Polycythemia: ↑ RBCs count, ↑ Hb conc. & ↑ hematocrit.
4- Thrombocytosis: ↑ platelet count.
5- Hyperleucocytosois
III- Differential diagnosis of monoclonal proteins:
Multiple
Myeloma
Smoldering
myeloma
MGUS
In serum & urine
≥ 3 g/dl
> 3 g/dl
M Protein
> 10
> 10
> 10
BM Plasma cell
yes
No
No
Tissue/Organ impaired
Myeloma cell
Normal plasma
cell
CD19-ve
CD19+ve
CD19
CD56+ve
CD56-ve
CD56
CD38 dimmer
CD38+
CD38
brighter
CD138+
CD138
PCM-Diagnostic criteria 2016
International Staging System
Prognostic factors:
- International staging system.
- Serum β2 microglobulin.
- Serum LDH.
- Plasma cell proliferation.
- Age.
- Performance status.
- Serum RANK-L.
- Immune status.
Good prognostic factors: Hyperdiploidy.
Bad prognostic factors:
- Cytogenetics: t(4;14), t(14;16), (17p-) and monosomy (13).
- IPT: Low expression 0f CD117 or CD56+, CD28+ or CD19+ & CD200+ have
all been associated with more-aggressive disease
PLASMA CELL
MYELOMA
VARIANTS
SMOULDERING
MYELOMA
NON-SECRETORY MYELOMA
PLASMA CELL LEUKEMIA
Smouldering (asymptomatic) myeloma
[No CRAB]
Non-secretory myeloma
 Incidence: ≈ 1% of PCMs.
 Characters:
- No M protein by serum &urine immunofixation electrophoresis.
- Cytoplasmic M protein is present in the neoplastic plasma cells in about 85% of
cases by IHC, consistent with production but impaired secretion of Ig.
- No cytoplasmic Ig: 15% of non-secretory myelomas, synthesis is detect
-  serum free light chains ± an abnormal free light chain ratio: in 2/3 of cases & is
considered to be non-secretory by immunofixation electrophoresis, suggesting that
many such cases are at least minimally secretory or oligosecretory.
 Pathogenesis:
 Acquired mutations of the IG light chain variable genes and alteration in the light
chain constant region.
 Clinical features: as other PCMs, except for a lower incidence of renal
insufficiency and hypercalcaemia and less depression of normal Ig.
 Immunophenotype, genetics, and prognosis: as other PCMs.
 Survival appears to be better for patients with a normal baseline serum free light
chain ratio than those with an abnormal ratio.
 Non-secretory myeloma must be distinguished from the rare IgD and IgE
myelomas, which have low serum M protein and may not be routinely screened
for by immunofixation electrophoresis.
Plasma cell leukemia
▪ Definition: Clonal proliferation of plasma cells infiltrating the peripheral blood with tissue
affection.
▪ Origin:
1- De novo presentation in leukemic phase.
2- Secondary to multiple myeloma.
▪ Pathogenesis: Genetic abnormalities which affect the regulation of the cell cycle, and
plasma cell proliferation, survival, apoptosis and adhesion to BM.
▪ Clinical picture: Hypercalcemia, renal impairment and anemia with less bone lesions.
Laboratory diagnosis:
1- CBC:
- Anemia and thrombocytosis.
- Leukocytosis up to 90-150 X 109 /L.
2- Blood film:
- Plasma cells are ≥ 20% or > 2X 109/L.
- Blue background.
- Increased RBCs reuleaux.
3- ESR: Very high.
4- Total protein =↑and serum albumin = ↓.
5- Serum and urine protein electrophoresis: Monoclonal band.
6- Immunofixation: Light chain only, IgD or IgE.
7- Bone marrow:
- Hypercellular BM with plasma cells less than in MM which may resemble plasma cells or
lymphoplasmacytoid lymphocytes.
8- Immunophenotyping [FCM & IHC]:
- CD19(-), and surface Ig(-) but it is assigned to B cell lineage because it is CD79a(+) and
cytoplasmic Ig(+).
- Light chain restriction.
- CD38(+), CD138(+), CD56(-) and CD10(+).
9- Cytogenetics: t(11;14).
10-Biochemical tests: High serum calcium and creatinine.
Prognosis: very aggressive and resistant to therapy.
PLASMACYTOMA
Solitary plasmacytoma of bone
Extraosseous plasmacytoma
Plasmacytoma
 Definition:
- Solitary plasmacytomas are single localized tumours consisting of monoclonal plasma
cells with no clinical features of plasma cell myeloma (PCM) and no physical or
radiographical evidence of additional plasma cell tumours.
 Two types of plasmacytoma:
- Solitary plasmacytoma of bone and
- Extraosseous (extramedullary) plasmacytoma.
Solitary plasmacytoma of bone
(SPB).
- Definition
- SPB is a localized tumour consisting of monoclonal plasma cells with no clinical
features of PCM. Radiographical studies, including MRI and CT, show no other bone
lesions.
- 30% of patients with a SPB defined only by radiographical skeletal survey.
- Epidemiology
- 1 % of plasma cell neoplasms.
- More common in men (65% of cases),
- Median age is 55 years.
Diagnostic Criteria
Extraosseous plasmacytoma
 Definition
- Localized plasma cell neoplasms that arise in tissues other than bone.
- Lymphomas with prominent plasmacytic differentiation, especially
extranodal MZL of mucosa-associated lymphoid tissue (MALT lymphoma),
must be excluded.
 Epidemiology
- 1% of plasma cell neoplasms
- 2/3 of patients are male,
- Median age = 55 years
Differential diagnosis of neoplasms with plasmacytic (PC) or
plasmablastic (PB) differentiation in extraosseous locations
Solitary plasmacytoma
Monoclonal immunoglobulin
deposition diseases
Primary amyloidosis
Light and heavy chain deposition
diseases
Monoclonal Ig deposition diseases
 Definition
- They are closely related disorders characterized by visceral and soft tissue deposition of
aberrant Ig, resulting in loss organ function.
- These disorder is typically a plasma cell neoplasm, or rarely a lymphoplasmacytic neoplasm;
however, the Ig molecule usually accumulates in tissue before the development of a large
tumour burden.
- Therefore, patients typically do not have overt myeloma or lymphoma at the time of the
diagnosis.
 2 major types:
- Primary amyloidosis and
- Light chain and heavy chain deposition diseases.
- These disorders have chemically different manifestations of similar pathological processes,
resulting in clinically similar conditions.
Primary amyloidosis
 Definition
-Primary amyloidosis is caused by a plasma cell or (rarely) a lymphoplasmacytic neoplasm in
which the monoclonal plasma cells secrete intact or fragments of abnormal Ig light chains that
deposit in various tissues and form a beta-pleated sheet structure (amyloid light chain).
 Epidemiology
- Incidence: 1 /100 000 population,
- Age: Median age is 64 years & 95% > 40 years;
- Sex: 70% are male = male : female= 2:1.
- 20% of patients with primary amyloidosis have PCM.
 Macroscopy
- Amyloid has a porcelain-like or waxy appearance.
- Site of Amyloid deposits: 60% in BM & also present in other tissues and organs.
 Microscopy
- BM biopsy: vary from revealing no pathological findings to showing extensive replacement with amyloid, overt PCM, or
(rarely) involvement with lymphoplasmacytic lymphoma (LPL).
- Mild ↑ in plasma cells (commonest finding), which may appear normal or show any of the changes found in myeloma.
 On H&E-stained sections,
- Amyloid is a pink, amorphous, waxy-looking substance with a characteristic cracking artifact.
- Macrophages and foreign-body giant cells may be found around deposits.
- Amyloid rarely massively replace organ parenchyma .
- Plasma cells may be increased in the adjacent tissues.
 Congo red stains amyloid:
- Pink to red by standard light microscopy, and
- Apple-green birefringence under polarized light .
 Congo red fluorescence microscopy:more sensitive method for amyloid detection.
Tissue biopsy
Light chain and heavy chain
deposition diseases (LCDD & HCDD)
 Definition
- Monoclonal LCDD and HCDDs are plasma cell or (rarely) lymphoplasmacytic
neoplasms that secrete an abnormal light or (less often) heavy chain or both, which
deposit in tissues, causing organ dysfunction, but do not form amyloid beta-pleated
sheets, bind Congo red stain, or contain an amyloid P component.
 These disorders comprise:
- Light chain deposition disease (LCDD),
- Heavy chain deposition disease (HCDD), and
- Light and heavy chain deposition disease (LHCDD)
Plasma cell neoplasms
with associated
para-neoplastic syndrome
POEMS syndrome
 Definition: It is a para-neoplastic syndrome associated with a plasma cell
neoplasm, usually characterized by
- Fibrosis and
- Osteosclerotic changes in bone trabeculae, and
- Often with lymph node changes resembling the plasma cell variant of
Castleman disease.
 Abrreviation:
- Polyneuropathy, Organomegaly, Endocrinopathy, Monoclonal gammopathy,
and Skin changes
Diagnostic criteria
 Immunophenotyping:
- The neoplastic plasma cells are of IgG or IgA type, and are lambda-restricted in almost all cases.
 Genetic profile: as PCM
 Prognosis:
- Poor prognostic factors:
- Extravascular fluid overload,
- Fingernail clubbing,
- Respiratory symptoms, and
- Pulmonary hypertension
TEMPI syndrome
 Definition: It is a para-neoplastic syndrome associated with a plasma cell neoplasm
 It is a rare and recently described disease [11 cases only].
 Abbreviation:
- Telangiectasias, Elevated Erythropoietin and Erythrocytosis, Monoclonal gammopathy,
Perinephric fluid collection, and Intrapulmonary shunting.
-
 It similar to POEMS syndrome in its manifestations that appear to result from the monoclonal
plasma cell proliferation and associated M protein. However, the clinical and laboratory
findings are mostly distinct from those of POEMS syndrome.
 TEMPI syndrome is a rare and only recently described disease.
 Microscopy:
- No specific finding in Pb or BM, but
- BM: Erythrocytosis and a hypercellular BM due to erythroid hyperplasia are recurrent findings.
- Mild erythroid and megakaryocytic atypia has been described in one patient, and reactive
lymphoid aggregates were present in another.
- BM clonal plasma cells % in the range of MGUS ( 10% plasma cells)
 Immunophenotyping
- Plasma cell is most commonly IgG kappa, but both IgG and IgA lambda have also been reported.
- There are no detailed descriptions of IPT of monoclonal plasma cells.
Waldenstrom Macroglobulinemia
Lymphoplasmacytic lymphoma
Waldenstrom Macroglobulinemia
Lymphoplasmacytic lymphoma
 WM: (mainly secretory cells) LPL(mainly proliferating cells)
 Definition: Post-germinal center lymphoid neoplasm with accumulation of a clonal population
of lymphocytes, lymphoplastic cells and plasma which secrete a monoclonal IgM.
 Etiology:
1- Familial.
2- HCV infection.
3- Radiation.
4- Genetic abnormalities.
- Point mutation of MYD88 gene in 90-100% of cases leading to high expression of nuclear factor
kβ (NF-kβ).
- Loss of all or part of chromosomes (17), (18), (19), (20), (21), (22), (X) or (Y).
- Gain in chromosomes (3), (4) or (12). - (6q-) in 50% of cases.
- No Ig heavy chain rearrangement which differentiates it from IgM plasma cell myeloma.
 Epidemiology: More in males after 60 years
Clinical picture:
 Splenomegaly and hepatomegaly in < 15% of cases.
 Symptoms of Hyperviscosity: Headache, blurring of vision and loss of
concentration.
 Hemorrhage: may be due to:
- Dysfibrinogenemia.
- Thrombocytopenia.
 Symptoms of Neuropathy.
 Symptoms of Anemia; may be due to:
- ↓ erythropoietin level due to the hyperviscosity.
- ↓RBCs survival due to the anti I or I Antibodies.
- Moderate plasma volume expansion due to splenomegaly.
- Blood loss from the GIT.
- BM infiltration.
Laboratory investigations
1- CBC:
- Anemia with inaccurate ↑ Hb estimation due to interaction between monoclonal proteins and diluent of
automated analyzer.
- Severe thrombocytopenia.
2- Blood film: Reuleaux and RBCs aggregation.
3- Coagulation: Prolonged PT, aPTT and TT.
4- Platelet functions: ↓platelet aggregation.
5- Bone marrow biopsy:
a- Hypercellular BM.
b- Infiltration by lymphoplasmacytic cells with evidence of plasmacytoid and plasma cell maturation.
c- Pattern of infiltration: Diffuse, interstitial, nodular or intertrabecular.
d- Cytochemistry: PAS (+) intranuclear inclusions.
e- Increased mast cells in association with lymphoid aggregates
6- Immunophenotyping:
- CD19(+), surface IgM(+), CD20(+), CD22(+) and CD79a(+).
- Up to 20% of cases are CD5(+), CD10(+) and CD 23(+).
7- Protein electrophoresis: Monoclonal band.
8- Bence Jones protein:
- Positive in 70% of cases but ≤ 1g/24 hours urine.
9- Immunofixation: IgM monoclonal protein.
10- Auto antibodies as: Anti-erythropoietin antibodies, anti-amylein antibodies, anti-vWF Abs.
11- Positive tests for cryoglobulins and cold agglutinins.
12- Increased serum viscosity.
13- Genetic studies:
- Point mutation of MYD88 gene in 90-100% of cases.
- Loss of all or part of chromosomes (17), (18), (19), (20), (21), (22), (X) or (Y).
- Gain in chromosomes (3), (4) or (12).
- (6q-) in 50%of cases.
- No Ig heavy chain rearrangement.
Plasma cell Neoplasms 2021.pdf

Plasma cell Neoplasms 2021.pdf

  • 1.
    Plasma Cell Neoplasms DR.MOHAMD SHAHEEN MBBCH, MSC, MD, IPCD, HHMD LECTURER OF CLINICAL PATHOLOGY- AL-AZHAR UNIVERSITY CHIEF INFECTION CONTROL TEAM EL-HUSSIEN HOSPITAL
  • 2.
  • 3.
  • 4.
  • 5.
    Monoclonal gammopathy ofundetermined significance (MGUS). Plasma cell myeloma and variants: - Asymptomatic (Smouldering myeloma). - Non-secretory myeloma. - Plasma cell leukemia. Plasmacytoma: - Solitary plasmacytoma of bone. - Extraosseous (extramedullary) plasmacytoma. Immunoglobulin deposition diseases: - Primary amyloidosis (Ig light chain amyloidosis). - Systemic light and heavy chain deposition diseases. Osteosclerotic myeloma : POEMS syndrome: Plasma cell neoplasms [WHO-2008]
  • 6.
    Plasma cell neoplasms[WHO-2017] Non-IgM monoclonal gammopathy of undetermined significance Plasma cell myeloma Plasma cell myeloma variants - Smouldering (asymptomatic) plasma cell myeloma - Non-secretory myeloma - Plasma cell leukemia Plasmacytoma - Solitary plasmacytoma of bone - Extraosseous plasmacytoma Monoclonal Ig deposition diseases - Primary amyloidosis - Light chain and heavy chain deposition diseases [LCDD & HCDD] Plasma cell neoplasms with associated paraneoplastic syndrome - POEMS syndrome: polyneuropathy – organomegaly- endocrinopathy – M protein – Skin. - TEMPI syndrome
  • 7.
  • 8.
    Monoclonal gammopathy of undeterminedsignificance (MGUS)  Epidemiology: More common in males after 70 years.  Characteristics: - BM Plasma cells < 10 % which interstitial, scattered or in small clusters. - M-protein: < 3 g/dl with - No Bence Jones protein. - No evidence of other B cell LPDs. - No Organ or tissue involvement: - No end organ damage CRAB (hypercalcemia, renal impairment, anemia or bone lesions).  Malignant evolution: in 30% of cases after 25 years.
  • 9.
     Types: MGUSare major 2 types 1- IgM MGUS = Lymphoid/lymphoplasmacytic MGUS. 2- Non-IgM MGUS = Plasma cell MGUS (80% of MGUS). o They have different - Genetic bases and - Outcomes as malignant progression. - Morphology, but this analysis is not always precise. - 1% of plasma cell MGUS cases produce an IgM M protein. - IgM MGUS is a lymphoplasmacytic lymphoma entity.
  • 10.
    Non-IgM MGUS  Definition: -Presence of an IgG, IgA, or (rarely) IgD M protein in the serum at a concentration < 3 g/dl - BM plasma cells < 10%; and - No end organ damage (CRAB) [hypercalcemia, Renal insufficiency, Anemia, and Bone lesions) - No amyloidosis attributable to the plasma cell proliferative disorders  Epidemiology: - Non IgM MGUS= 80% of MGUS. - Male predominance 60%. [≈ ♂:♀= 2:1] - Black : White populations = 2:1  Cell of origin: Post-germinal center plasma cells
  • 11.
     Genetic profile: -Conventional karyotyping are rarely found. - FISH identifies numerical and/or structural abnormalities in most cases [as myeloma but prevalence differ]. - Translocations involving the 1. Translocation of IGH locus 50% of cases, 2. t(11;14)(q13;q32) (IGH/CCND1) → 15―25%, 3. t(4;14)(p16.3;q32) (IGH/ NSD2 → 3―9%, and 4. t(14;16)(q32;q23) (IGH/M4F) → 1―5% 5. Hyperdiploidy 40% 6. Deletions of 13q → 35―40% 7. Activating KRAS mutations not detected in MGUS but present in 20% of myelomas
  • 13.
    Diagnostic criteria formonoclonal plasma cell proliferative disorders
  • 14.
    DD between IgM andNon IgM MGUS
  • 15.
    DD between MGUS[IgM & Non IgM] Non-IgM MGUS IgM-MGUS Plasma cell neoplasm Lympho-plasma cell lymphoma Category 85% of MGUS Male predominance Black : White = 2:1 15% of MGUS Male predominance White > black Incidence Post germinal center plasma cell with IgHV gene but without class switching B cell with somatic hypermutation Origin PB: - M protein unexpected in PE - Imm.Fix: IgG 60%, IgA 15%, IgE 1%, IgD 1% - Light chain 20%. BM: Hypercellular BM+ Plasma cells < 10% BP: Serum IgM < 3 gm/dl BM: lymphoplasmacytic cell < 10% Lack of diagnostic feature of LPD, LPL, PCM. Lab findings 2 populations: Poly clonal normal Plasma cells: CD19+, CD56-. Mono clonal aberrant Plasma cells: CD19-,56-/CD19-,56+ Clonal B cells: no specific IPT. CD19+, 20+, CD5-, 10-, 103- Plasma cells: 56- I.P.T - Serum IgM < 3 gm/dl - Plasma cell < 10% - No CRAB nor amyloidosis related to PCM - Serum IgM < 3 gm/dl - Plasma cell < 10% - No CRAB, HSM, LN+, No Hyperviscosity Diagnostic Criteria
  • 16.
  • 17.
    Plasma cell myeloma Definition: - Clonal proliferation of Ig secreting heavy chain class switched terminally differentiated plasma B cells that produce a monoclonal protein in the serum or urine.  Epidemiology: - Age: > 50 year not before 30 years. [adult disease] - Sex: males predominance
  • 18.
    Pathogenesis: I- Genetic abnormalities(80-90%): ➢ Translocation of genes involved in ↑ cell survival and proliferation and ↓ apoptosis adjacent to Ig heavy or light chains. - Ig heavy chain gene on chromosome (14) may rearranged adjacent to the following genes: - 11q13 (CCND1). - 6p21(CCND3). - 4p16 (FGFR/MMSET). - 16q23(MAF). - 20q11(MAFB). - 8q24(RAS). ➢ Dysregulation of cyclin D gene. ➢ Micro RNA dysregulation. ➢ Aneuploidy: - Monosomy 13. - (17q-). - (1q -). - Hyperdiploidy. ➢ Methylation modification.
  • 19.
    II- Cytokine interactionbetween plasma cells and their microenvironment: ▪ Chemotaxis between stromal cell derived factor (SCD-F) secreted by BM stromal cells and CXCR4 on myeloma cells. ▪ Adhesion between intracellular adhesion molecule-1 (ICAM-1) and vascular cell adhesion molecule1 (VCAM-1) on BM stromal cells and β1 integrin of myeloma cells. ▪ BM homing of plasma cells due to expression of adhesion molecules on myeloma cells as CD138, CD38, CD44 and CD106. ▪ Adhesion of myeloma cells to BM leads to: - Cell cycle arrest at G1. - Decreased apoptosis. - ↓ topoisomerase II activity e protection of myeloma cells from drugs. - Secretion of cytokines as TNFα, IL6, IL21, ILGF-1, SCD-F and vascular endothelial growth factor (VEGF) by both plasma cells and BM stromal cells.
  • 20.
    Pathogenesis continue III-Bone marrowinfiltration by myeloma cells causes: - Bone marrow failure. - Cytokine production which suppress osteoblasts and stimulate osteoclasts causing bone destruction that leads to bone pain, neurological manifestations and hypercalcemia. IV- Myeloma cells secret a monoclonal protein which causes: - Hyperviscosity. - Light chains precipitate in tissues causing amyloidosis. - Light chain deposition in the renal tubules causing nephropathy.
  • 21.
    V- Anemia maybe due to: - BM infiltration. - Bleeding. - Anemia of chronic disorders. - Anemia of chronic renal failure. - Chemotherapy. VI- Recurrent infection may be due to: - Suppression of the normal CD19(+ )B cells with suppression of the normal Igs. - Reversed CD4+/CD8+ ratio. - Renal failure. - Neutropenia. - Chemotherapy. VII-Thrombosis may be due to: - Hyperviscosity. - Protein C deficiency and activated protein C resistance. - Lupus anticoagulants. - Dysfibrinogenemia. - Thialidomide treatment. - Thrombosis from hyposplenism may be caused by amyloidosis.
  • 22.
    VIII- Bleeding mayoccur due to: - Hyperviscosity. - Perivascular amyloidosis. - Paraproteins inhibits fibrin aggregation. - Antibodies against coagulation factors. - Thrombocytopenia. IX- Renal failure may be due to: - Amyloidosis. - Light chain deposition (Tamm-Horsfall protein). - Recurrent infection. - Hypercalcemia.
  • 23.
    X-Pain may becaused by: - Vertebral compression Fracture. - Pathological fracture. - Compression of spinal. - Amyloid deposition.
  • 24.
    Clinical picture  Bone:Back pain, collapse of the vertebrae, osteoporosis and pathological fracture.  Renal disease.  Pain.  Infection.  Hyperviscosity: [Thrombosis tendency] More in IgA due to tendency of IgA to form polymers.  Amyloidosis: Macroglossia, carpal tunnel syndrome, gastrointestinal disturbance, neuropathy and liver infiltration.  BM failure: - Symptoms of anemia: pallor, fatigue, weakness, ….. - Symptoms of neutropenia: recurrent infection. - Symptoms of thrombocytopenia: bleeding tendency. CRAB - Calcium elevation - Renal Impairment (↑ urea& creatinine) - Anemia - Bone (pain, fractures)
  • 25.
    Laboratory diagnosis o CBC: -May be completely normal: - Anemia. - Thrombocytopenia & may be Thrombocytosis due to the hyposplenism caused by amyloid deposition. o Blood film: - Blue background due to the high protein. - Increased reuleaux. o ESR: Very high>100mm/hr. [Inverted A/G ratio+ hyperviscosity]. o Total protein: High and low serum albumin. o 24-Hours urine: Bence jones protein.
  • 26.
    o Serum andurine protein electrophoresis: Monoclonal M-band. o Immunofixation: detects the type of the Ig which is: - IgG in 50% of cases. - IgA in 20% of cases. - Light chain in 20% of cases. - Ig E. - IgD and IgM biclonal in less than 10% of cases.
  • 27.
  • 28.
    Peripheral blood  Rouleauxformation is the most striking feature and is related to quantity and type of M protein.  A leukoerythroblastic reaction.  Plasma cells are found in 15% of cases, usually in small numbers.  Marked plasmacytosis indicates plasma cell leukemia.  Kidney Bence Jones protein accumulates as aggregates of eosinophilic material in the lumina of the renal tubules. Renal tubular reabsorption of Bence Jones protein is largely responsible for renal damage in PCM.
  • 29.
    - Hypercellular BM. -Myeloma plasma cells of different stages of maturation - Dry tap may be present - Fragile bone Bone Marrow
  • 30.
    Bone marrow aspiration Plasma cells varies from little increased to > 90%.  Myeloma plasma cells vary from mature forms indistinguishable from normal cells to immature, plasmablastic, and pleomorphic cells.  Mature plasma cells: usually oval, with a round eccentric nucleus and so-called spoke-wheel or clock-face chromatin without nucleoli. abundant basophilic cytoplasm and a perinuclear hof. The small-cell variant shows a lymphoplasmacytic appearance, with a narrow rim of basophilic cytoplasm and the occasional perinuclear hof.  Immature forms have more-dispersed nuclear chromatin, a higher N:C ratio, and (often) prominent nucleoli. In almost 10% of cases, there is plasmablastic morphology. Multinucleated, multilobed, pleomorphic plasma cells are prominent in some cases. Nuclear immaturity and pleomorphism rarely occur in reactive plasma cells, so they are indicators of neoplastic plasma cells. The cytoplasm of myeloma cells has abundant endoplasmic reticulum, contain condensed or crystallized cytoplasmic Ig producing a variety of morphological findings, including multiple pale bluish-white, grape- like accumulations (Mott cells and morula cells); cherryred refractive round bodies (Russell bodies); vermilion-staining glycogen-rich IgA (flame cells); overstuffed fibrils (pseudoGaucher cells and thesaurocytes); and crystalline rods. These changes are not pathognomonic of PCM; they can also be found in reactive plasma cells.  In 5% of cases of PCM, there are < 10% plasma cells in BM aspirate smears. This may be due to a suboptimal BM aspirate or the frequent focal distribution of PCM in BM.  BM biopsy: larger numbers of plasma cells and focal clusters. Biopsies directed at radiographical lesions may be necessary to establish the diagnosis in some patients.
  • 31.
  • 32.
    - Pattern ofinfiltration: Interstitial clusters or sheets. - Plasma cells or masses of plasma cells ≥ 30% of BM volume is diagnostic. - Prominent osteoclastic activity. - Myelodysaplasia may develop after therapy. o Immunophenotyping [FCM + IHC]: - CD19(-), and Surface membrane Ig(-) but it is assigned to B cell lineage because it is CD79a(+) and cytoplasmic Ig(+). - Light chain restriction. - CD38(+), CD138(+), CD56(+) and CD10(+). - Cyclin D1 is (+) in t(11;14)(q13;32). Bone marrow biopsy
  • 33.
    o Cytogenetic: [Remember13-14--16-17] 1- Ig heavy chain gene rearrangement of on chromosome (14) with either of the following: - 11q13 (CCND1). - 6p21(CCND3). - 4p16 (FGFR/MMSET). - 16q23(MAF). - 20q11(MAFB). - 8q24(RAS). 2- Dysregulation of cyclin D gene. 3- Micro RNA dysregulation. 4- Aneuploidy: - Monosomy 13. - (17q-). - (1q -). - Hyperdiploidy. Cytogenetic
  • 34.
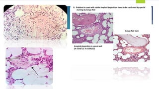
    Lab investigation cont. oPlasma cell labeling index by a tritiated thymidine or bromoeoxyuridine techniques. - It is incorporated in S-phase. - If less than 0.5, it means a short survival. o Amyloid deposition by congo red stain. o Serum β2 microglobulin: High. o Biochemical tests: - Serum uric acid: High. - Serum Calcium: High. - Kidney function: High urea & creatinine. o Coagulation tests: Prolonged. o Platelet function: impaired.
  • 35.
    - Skeletal involvementin the form of lytic lesion and/or severe osteoporosis with or without compression fracture. X-Ray shows - A frontal view of the shoulder in a patient with multiple myeloma. - The solid arrow indicates a chronic pathologic humeral fracture at the surgical neck across a large lytic lesion with a "moth-eaten" appearance down the humeral shaft. - The clavicle and ribs are also affected. - The open arrows reveal a missing fifth rib, which was destroyed by a plasmacytoma (plasma cell tumor) (open arrows). oRadiological examination
  • 36.
    Differential diagnosis  Increasedplasma cells in the BM: 1. Benign BM plasmacytosis: Infection. Autoimmune diseases. 2. B-cell NHL with plasmacytic differentiation. 3. Plasma cell neoplasms: o MGUS. o Plasma cell myeloma and variants: Asymptomatic (Smouldering), Non-secretory myeloma & Plasma cell leukemia. o Plasmacytoma: - Solitary plasmacytoma of bone. - Extraosseous (extramedullary) plasmacytoma. o Ig deposition diseases: - Primary amyloidosis (Ig light chain amyloidosis). - Systemic light and heavy chain deposition diseases. o Osteosclerotic myeloma (POEMS syndrome: polyneuropathy – organomegaly- endocrinopathy – M protein – Skin).
  • 37.
     II- Differentialdiagnosis of hyperviscosity: 1- Waldenstrom’s macroglobulinemia: - The monoclonal protein is IgM and - The malignant cells may be lymphocytes, lymphoplasmacytoid cells or plasma cells which are CD19(+), surface Ig(+), CD38(-), CD138(-) and CD56(-). 2-Plasma cell neoplasm. 3- Polycythemia: ↑ RBCs count, ↑ Hb conc. & ↑ hematocrit. 4- Thrombocytosis: ↑ platelet count. 5- Hyperleucocytosois
  • 38.
    III- Differential diagnosisof monoclonal proteins: Multiple Myeloma Smoldering myeloma MGUS In serum & urine ≥ 3 g/dl > 3 g/dl M Protein > 10 > 10 > 10 BM Plasma cell yes No No Tissue/Organ impaired Myeloma cell Normal plasma cell CD19-ve CD19+ve CD19 CD56+ve CD56-ve CD56 CD38 dimmer CD38+ CD38 brighter CD138+ CD138
  • 39.
  • 40.
  • 41.
    Prognostic factors: - Internationalstaging system. - Serum β2 microglobulin. - Serum LDH. - Plasma cell proliferation. - Age. - Performance status. - Serum RANK-L. - Immune status. Good prognostic factors: Hyperdiploidy. Bad prognostic factors: - Cytogenetics: t(4;14), t(14;16), (17p-) and monosomy (13). - IPT: Low expression 0f CD117 or CD56+, CD28+ or CD19+ & CD200+ have all been associated with more-aggressive disease
  • 42.
  • 43.
  • 44.
    Non-secretory myeloma  Incidence:≈ 1% of PCMs.  Characters: - No M protein by serum &urine immunofixation electrophoresis. - Cytoplasmic M protein is present in the neoplastic plasma cells in about 85% of cases by IHC, consistent with production but impaired secretion of Ig. - No cytoplasmic Ig: 15% of non-secretory myelomas, synthesis is detect -  serum free light chains ± an abnormal free light chain ratio: in 2/3 of cases & is considered to be non-secretory by immunofixation electrophoresis, suggesting that many such cases are at least minimally secretory or oligosecretory.
  • 45.
     Pathogenesis:  Acquiredmutations of the IG light chain variable genes and alteration in the light chain constant region.  Clinical features: as other PCMs, except for a lower incidence of renal insufficiency and hypercalcaemia and less depression of normal Ig.  Immunophenotype, genetics, and prognosis: as other PCMs.  Survival appears to be better for patients with a normal baseline serum free light chain ratio than those with an abnormal ratio.  Non-secretory myeloma must be distinguished from the rare IgD and IgE myelomas, which have low serum M protein and may not be routinely screened for by immunofixation electrophoresis.
  • 46.
    Plasma cell leukemia ▪Definition: Clonal proliferation of plasma cells infiltrating the peripheral blood with tissue affection. ▪ Origin: 1- De novo presentation in leukemic phase. 2- Secondary to multiple myeloma. ▪ Pathogenesis: Genetic abnormalities which affect the regulation of the cell cycle, and plasma cell proliferation, survival, apoptosis and adhesion to BM. ▪ Clinical picture: Hypercalcemia, renal impairment and anemia with less bone lesions.
  • 47.
    Laboratory diagnosis: 1- CBC: -Anemia and thrombocytosis. - Leukocytosis up to 90-150 X 109 /L. 2- Blood film: - Plasma cells are ≥ 20% or > 2X 109/L. - Blue background. - Increased RBCs reuleaux. 3- ESR: Very high. 4- Total protein =↑and serum albumin = ↓. 5- Serum and urine protein electrophoresis: Monoclonal band. 6- Immunofixation: Light chain only, IgD or IgE.
  • 48.
    7- Bone marrow: -Hypercellular BM with plasma cells less than in MM which may resemble plasma cells or lymphoplasmacytoid lymphocytes. 8- Immunophenotyping [FCM & IHC]: - CD19(-), and surface Ig(-) but it is assigned to B cell lineage because it is CD79a(+) and cytoplasmic Ig(+). - Light chain restriction. - CD38(+), CD138(+), CD56(-) and CD10(+). 9- Cytogenetics: t(11;14). 10-Biochemical tests: High serum calcium and creatinine. Prognosis: very aggressive and resistant to therapy.
  • 49.
    PLASMACYTOMA Solitary plasmacytoma ofbone Extraosseous plasmacytoma
  • 50.
    Plasmacytoma  Definition: - Solitaryplasmacytomas are single localized tumours consisting of monoclonal plasma cells with no clinical features of plasma cell myeloma (PCM) and no physical or radiographical evidence of additional plasma cell tumours.  Two types of plasmacytoma: - Solitary plasmacytoma of bone and - Extraosseous (extramedullary) plasmacytoma.
  • 51.
    Solitary plasmacytoma ofbone (SPB). - Definition - SPB is a localized tumour consisting of monoclonal plasma cells with no clinical features of PCM. Radiographical studies, including MRI and CT, show no other bone lesions. - 30% of patients with a SPB defined only by radiographical skeletal survey. - Epidemiology - 1 % of plasma cell neoplasms. - More common in men (65% of cases), - Median age is 55 years.
  • 52.
  • 53.
    Extraosseous plasmacytoma  Definition -Localized plasma cell neoplasms that arise in tissues other than bone. - Lymphomas with prominent plasmacytic differentiation, especially extranodal MZL of mucosa-associated lymphoid tissue (MALT lymphoma), must be excluded.  Epidemiology - 1% of plasma cell neoplasms - 2/3 of patients are male, - Median age = 55 years
  • 54.
    Differential diagnosis ofneoplasms with plasmacytic (PC) or plasmablastic (PB) differentiation in extraosseous locations
  • 55.
  • 56.
    Monoclonal immunoglobulin deposition diseases Primaryamyloidosis Light and heavy chain deposition diseases
  • 57.
    Monoclonal Ig depositiondiseases  Definition - They are closely related disorders characterized by visceral and soft tissue deposition of aberrant Ig, resulting in loss organ function. - These disorder is typically a plasma cell neoplasm, or rarely a lymphoplasmacytic neoplasm; however, the Ig molecule usually accumulates in tissue before the development of a large tumour burden. - Therefore, patients typically do not have overt myeloma or lymphoma at the time of the diagnosis.  2 major types: - Primary amyloidosis and - Light chain and heavy chain deposition diseases. - These disorders have chemically different manifestations of similar pathological processes, resulting in clinically similar conditions.
  • 58.
    Primary amyloidosis  Definition -Primaryamyloidosis is caused by a plasma cell or (rarely) a lymphoplasmacytic neoplasm in which the monoclonal plasma cells secrete intact or fragments of abnormal Ig light chains that deposit in various tissues and form a beta-pleated sheet structure (amyloid light chain).  Epidemiology - Incidence: 1 /100 000 population, - Age: Median age is 64 years & 95% > 40 years; - Sex: 70% are male = male : female= 2:1. - 20% of patients with primary amyloidosis have PCM.
  • 59.
     Macroscopy - Amyloidhas a porcelain-like or waxy appearance. - Site of Amyloid deposits: 60% in BM & also present in other tissues and organs.  Microscopy - BM biopsy: vary from revealing no pathological findings to showing extensive replacement with amyloid, overt PCM, or (rarely) involvement with lymphoplasmacytic lymphoma (LPL). - Mild ↑ in plasma cells (commonest finding), which may appear normal or show any of the changes found in myeloma.  On H&E-stained sections, - Amyloid is a pink, amorphous, waxy-looking substance with a characteristic cracking artifact. - Macrophages and foreign-body giant cells may be found around deposits. - Amyloid rarely massively replace organ parenchyma . - Plasma cells may be increased in the adjacent tissues.  Congo red stains amyloid: - Pink to red by standard light microscopy, and - Apple-green birefringence under polarized light .  Congo red fluorescence microscopy:more sensitive method for amyloid detection. Tissue biopsy
  • 61.
    Light chain andheavy chain deposition diseases (LCDD & HCDD)  Definition - Monoclonal LCDD and HCDDs are plasma cell or (rarely) lymphoplasmacytic neoplasms that secrete an abnormal light or (less often) heavy chain or both, which deposit in tissues, causing organ dysfunction, but do not form amyloid beta-pleated sheets, bind Congo red stain, or contain an amyloid P component.  These disorders comprise: - Light chain deposition disease (LCDD), - Heavy chain deposition disease (HCDD), and - Light and heavy chain deposition disease (LHCDD)
  • 62.
    Plasma cell neoplasms withassociated para-neoplastic syndrome
  • 63.
    POEMS syndrome  Definition:It is a para-neoplastic syndrome associated with a plasma cell neoplasm, usually characterized by - Fibrosis and - Osteosclerotic changes in bone trabeculae, and - Often with lymph node changes resembling the plasma cell variant of Castleman disease.  Abrreviation: - Polyneuropathy, Organomegaly, Endocrinopathy, Monoclonal gammopathy, and Skin changes
  • 64.
  • 65.
     Immunophenotyping: - Theneoplastic plasma cells are of IgG or IgA type, and are lambda-restricted in almost all cases.  Genetic profile: as PCM  Prognosis: - Poor prognostic factors: - Extravascular fluid overload, - Fingernail clubbing, - Respiratory symptoms, and - Pulmonary hypertension
  • 66.
    TEMPI syndrome  Definition:It is a para-neoplastic syndrome associated with a plasma cell neoplasm  It is a rare and recently described disease [11 cases only].  Abbreviation: - Telangiectasias, Elevated Erythropoietin and Erythrocytosis, Monoclonal gammopathy, Perinephric fluid collection, and Intrapulmonary shunting. -  It similar to POEMS syndrome in its manifestations that appear to result from the monoclonal plasma cell proliferation and associated M protein. However, the clinical and laboratory findings are mostly distinct from those of POEMS syndrome.  TEMPI syndrome is a rare and only recently described disease.
  • 67.
     Microscopy: - Nospecific finding in Pb or BM, but - BM: Erythrocytosis and a hypercellular BM due to erythroid hyperplasia are recurrent findings. - Mild erythroid and megakaryocytic atypia has been described in one patient, and reactive lymphoid aggregates were present in another. - BM clonal plasma cells % in the range of MGUS ( 10% plasma cells)  Immunophenotyping - Plasma cell is most commonly IgG kappa, but both IgG and IgA lambda have also been reported. - There are no detailed descriptions of IPT of monoclonal plasma cells.
  • 68.
  • 69.
    Waldenstrom Macroglobulinemia Lymphoplasmacytic lymphoma WM: (mainly secretory cells) LPL(mainly proliferating cells)  Definition: Post-germinal center lymphoid neoplasm with accumulation of a clonal population of lymphocytes, lymphoplastic cells and plasma which secrete a monoclonal IgM.  Etiology: 1- Familial. 2- HCV infection. 3- Radiation. 4- Genetic abnormalities. - Point mutation of MYD88 gene in 90-100% of cases leading to high expression of nuclear factor kβ (NF-kβ). - Loss of all or part of chromosomes (17), (18), (19), (20), (21), (22), (X) or (Y). - Gain in chromosomes (3), (4) or (12). - (6q-) in 50% of cases. - No Ig heavy chain rearrangement which differentiates it from IgM plasma cell myeloma.  Epidemiology: More in males after 60 years
  • 70.
    Clinical picture:  Splenomegalyand hepatomegaly in < 15% of cases.  Symptoms of Hyperviscosity: Headache, blurring of vision and loss of concentration.  Hemorrhage: may be due to: - Dysfibrinogenemia. - Thrombocytopenia.  Symptoms of Neuropathy.  Symptoms of Anemia; may be due to: - ↓ erythropoietin level due to the hyperviscosity. - ↓RBCs survival due to the anti I or I Antibodies. - Moderate plasma volume expansion due to splenomegaly. - Blood loss from the GIT. - BM infiltration.
  • 71.
    Laboratory investigations 1- CBC: -Anemia with inaccurate ↑ Hb estimation due to interaction between monoclonal proteins and diluent of automated analyzer. - Severe thrombocytopenia. 2- Blood film: Reuleaux and RBCs aggregation. 3- Coagulation: Prolonged PT, aPTT and TT. 4- Platelet functions: ↓platelet aggregation. 5- Bone marrow biopsy: a- Hypercellular BM. b- Infiltration by lymphoplasmacytic cells with evidence of plasmacytoid and plasma cell maturation. c- Pattern of infiltration: Diffuse, interstitial, nodular or intertrabecular. d- Cytochemistry: PAS (+) intranuclear inclusions. e- Increased mast cells in association with lymphoid aggregates
  • 72.
    6- Immunophenotyping: - CD19(+),surface IgM(+), CD20(+), CD22(+) and CD79a(+). - Up to 20% of cases are CD5(+), CD10(+) and CD 23(+). 7- Protein electrophoresis: Monoclonal band. 8- Bence Jones protein: - Positive in 70% of cases but ≤ 1g/24 hours urine. 9- Immunofixation: IgM monoclonal protein. 10- Auto antibodies as: Anti-erythropoietin antibodies, anti-amylein antibodies, anti-vWF Abs. 11- Positive tests for cryoglobulins and cold agglutinins. 12- Increased serum viscosity. 13- Genetic studies: - Point mutation of MYD88 gene in 90-100% of cases. - Loss of all or part of chromosomes (17), (18), (19), (20), (21), (22), (X) or (Y). - Gain in chromosomes (3), (4) or (12). - (6q-) in 50%of cases. - No Ig heavy chain rearrangement.