PARKINSON’S
DISEASE
UPDATES 2016
DR. AHMED TANJIMUL ISLAM
Medical Officer, MU 3
SYLHET MAG OSMANI MEDICAL COLLEGE HOSPITAL
Bangladesh
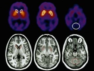
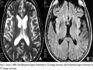
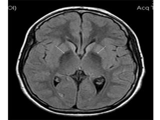
•IMAGINGFOR
PARKINSON’S DISEASE
DRUGS FOR
PARKINSON’S
DISEASE
SURGICAL
MANAGEMENT:
•1. DEEP BRAIN
STUMULATION
•2. SURGICAL RESECTION
OF THALAMUS.
•THALAMOTOMY /
•SUBTHALAMIC RESECTION
FOLLOW UP
REHABILITATION
PROGRAME
STEP BY STEP
THE FUTURE
Can dietary
supplements
help with
Parkinson's
disease?
• Currently there are no vitamins, minerals, or other
nutrients that have any proven therapeutic value in
Parkinson's disease.
• Some early reports have suggested that dietary supplements
might protect against the disease.
• A preliminary clinical study of a supplement called
Coenzyme Q10 suggested that large doses of this substance
might slow disease progression in people with early-stage
Parkinson's. This supplement is now being tested in a large
clinical trial.
• Other studies are being conducted to find out if caffeine,
antioxidants, nicotine, and other dietary factors may help
prevent or treat the disease.
Is there any role of diet ?
• Not actually.
• Protein & Fatty foods may decrease
absorption as well as limit the
conversion of levadopa in brain.
Can exercise help with
Parkinson's disease?
•
Exercise can help people with
Parkinson's disease improve their
mobility and flexibility.
• It can also improve their emotional
well-being.
• Exercise may improve the brain's
dopamine production or increase
levels of beneficial compounds
called neurotrophic factors in the
brain.
Can supportive
therapies help with
Parkinson’s disease?
Physical, occupational, and speech
therapies, which help with gait and
voice disorders, tremors and rigidity,
and decline in mental functions.
Am I a direct candidate for Deep
Brain Stimulation?
• After using the highest dosage of
drug one might be considered as
a last option for either DBS /
Thalamotomy.
Is there a Cure?
• Not at present.
• By 2017, research with
Stem cell transplant,
Virus transplant.
What is the Prognosis?
• It is a slow generalized
progressive disease.
• It will not cut off your life span.
• It will cut off your life standard.
THANK YOU

Parkinson's Disease Updates (Neurology)