Osteomyelitis
Dr. Ruchika Garg
References
• Textbook of Oral & Maxillofacial Infections 4th edition : Richard G. Topazian.
• Osteomyelitis of the jaws : Marc M Baltensperger and Gerold K Eyrich
• Textbook of Oral Pathology 6rth edition : Shafer Hine Levy
• Diagnostic imaging of the jaws : Langland & Langlais
• Textbook of Oral Radiology : White & Pharoah.
• Aliya A Khan et al. Diagnosis and Management of Osteonecrosis of the Jaw: A Systematic
Review and International Consensus. Journal of Bone and Mineral Research, Vol. 30, No. 1,
January 2015, pp 3–23 DOI: 10.1002/jbmr.2405.
• Deepak Gupta et al. Role of Maxillofacial Radiology and Imaging in the diagnosis and Treatment
of Osteomyelitis of the Jaws. Dentistry, Oral Disorders & Therapy.
Contents
• Introduction
• Definition
• Etiology
• Predisposing factors
• Pathogenesis
• Classification
• Types of osteomyelitis
• Investigations
• Treatment
• Conclusion
Introduction
OSTEON
MYELOS
ITIS
OSTEOMYELITIS
Definition
PERIOSTEUM
HAVERSIAN SYSTEM
MEDULLARY
CAVITY
Classification
I. Suppurative osteomyelitis
1. Acute suppurative osteomyelitis
2. Chronic suppurative
osteomyelitis
– Primary chronic suppurative
osteomyelitis
– Secondary chronic suppurative
osteomyelitis
3. Infantile osteomyelitis
II. Nonsuppurative osteomyelitis
1. Chronic sclerosing osteomyelitis
• Focal sclerosing osteomyelitis
• Diffuse sclerosing osteomyelitis
2. Garrè's sclerosing osteomyelitis
3. Actinomycotic osteomyelitis
4. Radiation osteomyelitis and
necrosis
Topazian RG Osteomyelitis of the Jaws. In Topizan RG, Goldberg MH (eds): Oral and Maxillofa- cial Infections. Philadelphia,
WB Saunders 1994, Chapter 7, pp 251-88
Marx and Mercuri (1991)
Included in Zurich classification
Etiology
Odontogenic Infections
Trauma
Hematogenous Route
Predisposing factors
• Conditions that alter host defence
• Conditions that alter vascularity of bone
• Virulence of organisms
Causative Microorganisms
SPECIFIC
• Staph aureus , Staph epidermidis
• Peterson (1999) : α-haemolytic streptococci
anaerobic streptococci
OTHERS
• M.tuberculosis , T.pallidum & Actinomyces
A B
PATHOGENESIS
ACUTE
Tissue Necrosis
Accumulation of pus
Increased Intramedullary pressure
Vascular collapse, Venous stasis, Ischemia
Accumulation of pus beneath periosteum
Decrease Vascular supply
Avascular bone
Chronic
Regression of inflammation
Granulation tissue formation
Angiogenesis - SEQUESTRUM
Involucrum , Cloacae
Acute Suppurative Osteomyelitis
Clinical Features
Age
Site
Symptoms – Severe pain, trismus, regional lymphadenopathy,
paresthesia of the lips
RADIOLOGICAL FEATURES
No early changes
Initial changes include blurring of the bony
trabeculae
Ill defined radiolucency
Moth eaten appearance
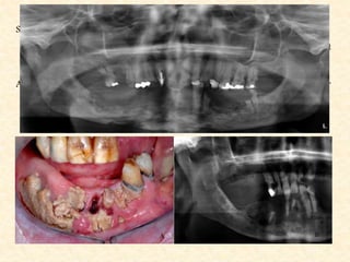
Chronic Suppurative Osteomyelitis
TYPES
• Primary
• Secondary
CLINICAL FEATURES
• Fistulae
• “Thickened / Woody” bone
Radiological Features
• In early stage there is widening of marrow spaces giving a
mottled appearance
• Granulation tissue b/w dead & living bone gives irregular lines
& zones of radiolucency resulting in moth -eaten appearance.
• In later stages the devitalized bone appears sclerosed & called
sequestrum.
• Large areas of bone destruction seen as radiolucent areas.
Axial CT Scan showing the sequestrae (white arrow) & bone
reaction — black arrow
Five Different Radiographic Appearances Of
Chronic Osteomyelitis
1. Radiolucency with ragged borders
2. Radiolucency containing one or more radio-opaque foci
3. A salt and pepper appearance
4. A dense radio-opacity
5. A cortical radiolucency
Infantile Osteomyelitis
• Etiology –
• Forcep-delivery
• Trauma caused to oral mucosa during delivery
• Infection of maxillary sinus
• Contaminated human or artificial nipples
• Infections from nose
• Hematogenous spread
C/F --
1) Sudden onset of high grade fever , anorexia , irritability.
2) Redness & swelling over mid face.
3) Purulent discharge - below median canthus of eye.
4) Sub periosteal abscess- draining sinus tracts.
5) Poor feeding.
R/F – Minimal bone loss
In later stages sequestra & necrotic tooth germs
Chronic Sclerosing Osteomyelitis
• Also called Sclerosing osteitis
Ossifying Osteomyelitis
Sclerosing cementoma
TYPES
• Focal
• Diffuse
Chronic Focal Sclerosing Osteomyelitis
• Unusual reaction of bone
• Clinical features
Age
Site
Symptoms
Radiological features
Five patterns of Condensing Osteitis
• Radio-opaque area not surrounded by perilesional halo.
• Target lesion surrounded by perilesional halo.
• Granular or lucent pattern.
• Multifloculent
• Associated with external root resorption.
Chronic Diffuse Sclerosing Osteomyelitis
Clinical features
Age - Older
Sex – No predilection
Site – Edentulous areas
Symptoms – Mild expansion of jaw, episodes of recurrent swelling
Radiological features
Chronic Osteomyelitis with Proliferative
Periostitis
• Also called Garre’s sclerosing Osteomyelitis
Proliferative periostitis
Periostitis ossificans
• First described by CARL GARRE in 1893.
Pathogenesis
Localization of infection in
periosteum
Bony thickening visible on r/g
CLINICAL FEATURES
Age
Site
Symptoms
Radiological Features
Onion skin pattern
Radial pattern
Tuberculous Osteomyelitis
• Clinical features
i. Involvement of mandible is more
ii. Painless swelling
iii. Loosening of teeth
iv. Sequestration of bone
v. C/o chronic discharging sinus
vi. Palpable lymph nodes
RADIOGRAPHIC EXAMINATION
OPG
PA mandible
Lateral oblique view of mandible.
Well defined radiolucency with destruction of buccal or medial
cortical plates
DIAGNOSIS
o Culture for pus – Test for acid fast bacilli
o Culture for sputum—AFB
o Mantoux test
o Biopsy of lesion
Actinomycotic Osteomelitis
Site
• Angle of mandible
• Posterior aspect of body
Radiological features
• Radiolucent area at apex of one / more teeth.
• Well defined radiolucency with a sclerotic bone at periphery : CYST LIKE
• Scattered area of bone destruction separated by normal /sclerosed bone.
• Shadow of tooth socket with increasing density of adjacent bone.
Diagnosis –
• Biopsy
• Gram staining
• Immunofluorescent staining
• Treatment –
• i.v for 4 – 6 weeks
• Oral for 6 – 12 months
Nocardial Osteomyelitis
• Resembles actinomycosis
• Causative organism – Nocardia asteroids
• With or without dental injury
• Suppurative lesion with necrosis & abscess formation.
• T/t – drainage , Sulphonamides for 6 wks.
Syphilitic Osteomyelitis
• Frequently involved - hard palate.
• The gummatous destruction is painless.
• Syphilitic osteomyelitis of the jaws is difficult to distinguish from
chronic suppurative osteomyelitis since their radiographic
appearances are similar.
• Maxilla is more affected than mandible
PERIOSTITIS : several layers of new bone parallel to margin of jaw.
“Gross caricature of network / lattice”.
• May lead to oroantral , oronasal communication
• Sequestra is called as Filiary sequestra
Osteoradionecrosis
• It is a chronic, non- healing wound caused by hypoxia, hypocellularity
and hypovascularity of the irradiated tissue. (MARX)
• POST- RADIATION OSTEONECROSIS.
• Intense irradiation > 50 Gy.
Clinical features
 Remain asymptomatic for prolonged periods of weeks, months, or even years.
 Signs and symptoms - pain, tooth mobility, mucosal swelling, erythema,
ulceration, paresthesia, or even anesthesia of the associated branch of the
trigeminal nerve.
 Intraoral and extraoral fistulae may develop when necrotic mandible or maxilla
becomes secondarily infected.
 Chronic maxillary sinusitis secondary to osteonecrosis with or without an oral-
antral fistula may be the presenting feature in patients with maxillary bone
involvement.
Classification of Osteoradionecrosis
Stage 0 : Exposure of mandibular bone for less than one month; no distinct
changes on plain radiographs (panoramic radiograph or periapical film).
Stage I : Exposure of mandibular bone for at least one month; no distinct changes
on plain radiographs (panoramic radiograph or periapical film).
Asymptomatic e.g. no pain or presence of cutaneous fistulas (I A), or
symptomatic, e.g. pain or presence of cutaneous fistulas (I B).
Stage II : Exposure of mandibular bone for at least one month; distinct changes
present on plain radiographs (panoramic radiograph or periapical film), but
not involving the lower border of the mandible.
Asymptomatic otherwise, e.g. no pain or presence of cutaneous fistulas (II A), or
Symptomatic, e.g. pain or presence of cutaneous fistulas (II B).
Stage III : Exposure of mandibular bone for at least one month; distinct changes
on plain radiographs (panoramic radiograph or periapical film), involving
the lower border of the mandible, irrespective of any other signs and
symptoms. Note: In case of doubt about the presence and/or extent of
radiographical bone involvement, the lower stage should be allotted.
Conservative therapy
• Maintaining optimal oral hygiene (diligent home self-care and regular
professional dental care), elimination of active dental and periodontal disease,
topical antibiotic mouth rinses, and systemic antibiotic therapy, as indicated.
• Successful treatment of ONJ with teriparatide are encouraging
• Topically applied ozone,
• Bone marrow stem cell intralesional transplantation and
• Addition of pentoxifylline and tocopherol to the standard antibiotic regimen.
• Favorable outcomes have been reported with low-level laser therapy, in
conjunction with conservative and/or surgical debridement.
• Conservative therapy should be continued as long as there is not:
• (1) obvious progression of disease;
• (2) pain that is not being controlled by conservative means; or
• (3) a patient who has had antiresorptive therapy discontinued by their
oncologist because of ONJ.
Surgical management
• A full-thickness mucoperiosteal flap should be elevated and extended to reveal
the entire area of exposed bone and beyond to disease-free margins.
• Resection of the affected bone should be extended to reach healthy-appearing,
bleeding bone.
• Sharp edges should be smoothed
• It is also proposed that if surgery is indicated, resection with tension-free
closure affords the most positive results.
• Promising results have also been reported with surgical debridement in
combination with platelet-derived growth factor (PDGF) applied to the site
• Cases also reported that intraoperative fluorescence guidance was helpful in
identifying surgical resection margins
• It was suggested that longer-term preoperative antibiotics (23 to 54 days)
resulted in improved surgical outcomes versus short-term antibiotic therapy (1
to 8 days). Adjunctive therapy with hyperbaric oxygen (HBO) in combination
with surgery has been investigated with encouraging results.
Differential Diagnosis
 Paget’s disease
 Fibrous dysplasia
 Florid cemento-osseus dysplasia
 Osteopetrosis
 Ewing’s sarcoma
 Osteosarcoma
 Caffey’s disease
Investigations
• Gram Staining
• Culture & Sensitivity
• WBC count & Complete Hemogram
• Blood Sugar
• Montoux Test
• Radiographs
• Scintigraphy
• Computed tomography
• MRI
Decision tree for use of imaging studies in diagnosis
of Osteomyelitis
Conventional
radiography
Technetium bone scan
67Ga / In WBC scan
MRI/CT
MANAGEMENT
Conservative management
• Bed rest
• Supportive therapy
• Dehydration
• Blood transfusion
• Control of pain
• Antibiotic therapy
• HBO therapy
Antibiotic Regimen
Regimen I:
Hospitalized / Medically Compromised pt. Or When Intravenous Therapy Is
Indicated
• Aqueous Penicillin , 2 Million U Iv 4hrly + Metronidazole, 500mg 6hrly
• When Improved For 48 To 72 Hours: Penicillin V,500mg 4hrly+
Metronidazole, 500mg 6hrly For 4 To 6 Wks.
Or
• Ampicillin / Sulbactum 1.5 To 3.0 G IV 6hrly
• When Improved For 48 To 72 Hours: Amoxicllin / Clavulanate
(Augumentin),875/125 Mg Bid For 4 To 6 Wks.
Regimen II:
For Outpatient Treatment
• Penicillin V , 2gm + Metronidazole, 500mg 8hrly For 2 To 4 Wks After Last
Sequestra Removed.
Or
• Clindamycin ,600 To 900mg 6hrly Iv , Then
• Clindamycin ,300 To 450mg 6hrly
PENICILLINASE ALLERGIC PTS.
• Clindamycin
• Cefotaxim
HBO therapy
• Involves intermittent daily inhalation of 100% O2 through face mask or
large chamber at 2.4 atm pressure for 90min dives: 5days/ week for 30 /
more sessions followed by 10 / more sessions.
• Functions
• Contraindications
• Complications
• HBO therapy involves the intermittent , usually daily , inhalation of 100%
humidified oxygen under pressure , greater than one atmospheric pressure
(ATA).
• HBO reduces the hypoxia within the affected tissues and stimulates
angiogenesis in the hypo vascular tissues .
• It enhances phagocytic activity of leucocytes to stimulate fibroblast growth ,
increase in collagen formation and promote growth of new capillaries.
• Patient is placed in a chamber.
• Oxygen is given by mask or by hood .
• Each dive is 90 minute in length.
• 5 days per week for 30,60, or more dives at 2.4 ATA for 90 minutes while
breathing 100% oxygen twice daily.
• Protocol of MARX (1983)
30 initial dives , if improved then 60 dives completed.
Otherwise , SEQUESTRECTOMY + 30 dives , if wound dehiscence, RESECTION +
60 dives & 20 dives after 10 weeks
Patient with pathological # ,oro-cutaneous fistula are given 30 dives more prior
going to resection
Contraindications by Fisher (1988) & Marx(1985)
1. Pneumothorax
2. COPD
3. Optic neuritis
4. Acute viral infection
5. Acute seizures
6. URI
7. Pregnancy
8. Thoracic surgery
9. Ear surgery
Conclusion
• Osteomyelitis is a challenging disease for clinicians with a significant morbidity
unless it is recognized immediately and treated promptly
• Early recognition and prompt treatment can prevent extensive loss of bone and
teeth.
• Proper management depends on careful clinical and imaging examination,
proper assessment of findings and understanding the nature of disease,
Osteomyelitis

Osteomyelitis

  • 1.
  • 2.
    References • Textbook ofOral & Maxillofacial Infections 4th edition : Richard G. Topazian. • Osteomyelitis of the jaws : Marc M Baltensperger and Gerold K Eyrich • Textbook of Oral Pathology 6rth edition : Shafer Hine Levy • Diagnostic imaging of the jaws : Langland & Langlais • Textbook of Oral Radiology : White & Pharoah. • Aliya A Khan et al. Diagnosis and Management of Osteonecrosis of the Jaw: A Systematic Review and International Consensus. Journal of Bone and Mineral Research, Vol. 30, No. 1, January 2015, pp 3–23 DOI: 10.1002/jbmr.2405. • Deepak Gupta et al. Role of Maxillofacial Radiology and Imaging in the diagnosis and Treatment of Osteomyelitis of the Jaws. Dentistry, Oral Disorders & Therapy.
  • 3.
    Contents • Introduction • Definition •Etiology • Predisposing factors • Pathogenesis • Classification • Types of osteomyelitis • Investigations • Treatment • Conclusion
  • 4.
  • 5.
  • 6.
    Classification I. Suppurative osteomyelitis 1.Acute suppurative osteomyelitis 2. Chronic suppurative osteomyelitis – Primary chronic suppurative osteomyelitis – Secondary chronic suppurative osteomyelitis 3. Infantile osteomyelitis II. Nonsuppurative osteomyelitis 1. Chronic sclerosing osteomyelitis • Focal sclerosing osteomyelitis • Diffuse sclerosing osteomyelitis 2. Garrè's sclerosing osteomyelitis 3. Actinomycotic osteomyelitis 4. Radiation osteomyelitis and necrosis Topazian RG Osteomyelitis of the Jaws. In Topizan RG, Goldberg MH (eds): Oral and Maxillofa- cial Infections. Philadelphia, WB Saunders 1994, Chapter 7, pp 251-88
  • 8.
    Marx and Mercuri(1991) Included in Zurich classification
  • 9.
  • 10.
    Predisposing factors • Conditionsthat alter host defence • Conditions that alter vascularity of bone • Virulence of organisms
  • 11.
    Causative Microorganisms SPECIFIC • Staphaureus , Staph epidermidis • Peterson (1999) : α-haemolytic streptococci anaerobic streptococci OTHERS • M.tuberculosis , T.pallidum & Actinomyces
  • 12.
  • 13.
    PATHOGENESIS ACUTE Tissue Necrosis Accumulation ofpus Increased Intramedullary pressure
  • 14.
    Vascular collapse, Venousstasis, Ischemia Accumulation of pus beneath periosteum Decrease Vascular supply Avascular bone
  • 15.
    Chronic Regression of inflammation Granulationtissue formation Angiogenesis - SEQUESTRUM Involucrum , Cloacae
  • 17.
    Acute Suppurative Osteomyelitis ClinicalFeatures Age Site Symptoms – Severe pain, trismus, regional lymphadenopathy, paresthesia of the lips
  • 18.
    RADIOLOGICAL FEATURES No earlychanges Initial changes include blurring of the bony trabeculae Ill defined radiolucency Moth eaten appearance
  • 19.
    Chronic Suppurative Osteomyelitis TYPES •Primary • Secondary CLINICAL FEATURES • Fistulae • “Thickened / Woody” bone
  • 20.
    Radiological Features • Inearly stage there is widening of marrow spaces giving a mottled appearance • Granulation tissue b/w dead & living bone gives irregular lines & zones of radiolucency resulting in moth -eaten appearance. • In later stages the devitalized bone appears sclerosed & called sequestrum. • Large areas of bone destruction seen as radiolucent areas.
  • 21.
    Axial CT Scanshowing the sequestrae (white arrow) & bone reaction — black arrow
  • 22.
    Five Different RadiographicAppearances Of Chronic Osteomyelitis 1. Radiolucency with ragged borders 2. Radiolucency containing one or more radio-opaque foci 3. A salt and pepper appearance 4. A dense radio-opacity 5. A cortical radiolucency
  • 23.
    Infantile Osteomyelitis • Etiology– • Forcep-delivery • Trauma caused to oral mucosa during delivery • Infection of maxillary sinus • Contaminated human or artificial nipples • Infections from nose • Hematogenous spread C/F -- 1) Sudden onset of high grade fever , anorexia , irritability. 2) Redness & swelling over mid face. 3) Purulent discharge - below median canthus of eye. 4) Sub periosteal abscess- draining sinus tracts. 5) Poor feeding. R/F – Minimal bone loss In later stages sequestra & necrotic tooth germs
  • 24.
    Chronic Sclerosing Osteomyelitis •Also called Sclerosing osteitis Ossifying Osteomyelitis Sclerosing cementoma TYPES • Focal • Diffuse
  • 25.
    Chronic Focal SclerosingOsteomyelitis • Unusual reaction of bone • Clinical features Age Site Symptoms Radiological features
  • 26.
    Five patterns ofCondensing Osteitis • Radio-opaque area not surrounded by perilesional halo. • Target lesion surrounded by perilesional halo. • Granular or lucent pattern. • Multifloculent • Associated with external root resorption.
  • 27.
    Chronic Diffuse SclerosingOsteomyelitis Clinical features Age - Older Sex – No predilection Site – Edentulous areas Symptoms – Mild expansion of jaw, episodes of recurrent swelling
  • 28.
  • 29.
    Chronic Osteomyelitis withProliferative Periostitis • Also called Garre’s sclerosing Osteomyelitis Proliferative periostitis Periostitis ossificans • First described by CARL GARRE in 1893.
  • 30.
    Pathogenesis Localization of infectionin periosteum Bony thickening visible on r/g
  • 31.
  • 32.
    Tuberculous Osteomyelitis • Clinicalfeatures i. Involvement of mandible is more ii. Painless swelling iii. Loosening of teeth iv. Sequestration of bone v. C/o chronic discharging sinus vi. Palpable lymph nodes
  • 33.
    RADIOGRAPHIC EXAMINATION OPG PA mandible Lateraloblique view of mandible. Well defined radiolucency with destruction of buccal or medial cortical plates DIAGNOSIS o Culture for pus – Test for acid fast bacilli o Culture for sputum—AFB o Mantoux test o Biopsy of lesion
  • 34.
    Actinomycotic Osteomelitis Site • Angleof mandible • Posterior aspect of body Radiological features • Radiolucent area at apex of one / more teeth. • Well defined radiolucency with a sclerotic bone at periphery : CYST LIKE • Scattered area of bone destruction separated by normal /sclerosed bone. • Shadow of tooth socket with increasing density of adjacent bone.
  • 35.
    Diagnosis – • Biopsy •Gram staining • Immunofluorescent staining • Treatment – • i.v for 4 – 6 weeks • Oral for 6 – 12 months
  • 36.
    Nocardial Osteomyelitis • Resemblesactinomycosis • Causative organism – Nocardia asteroids • With or without dental injury • Suppurative lesion with necrosis & abscess formation. • T/t – drainage , Sulphonamides for 6 wks.
  • 37.
    Syphilitic Osteomyelitis • Frequentlyinvolved - hard palate. • The gummatous destruction is painless. • Syphilitic osteomyelitis of the jaws is difficult to distinguish from chronic suppurative osteomyelitis since their radiographic appearances are similar. • Maxilla is more affected than mandible PERIOSTITIS : several layers of new bone parallel to margin of jaw. “Gross caricature of network / lattice”. • May lead to oroantral , oronasal communication • Sequestra is called as Filiary sequestra
  • 38.
    Osteoradionecrosis • It isa chronic, non- healing wound caused by hypoxia, hypocellularity and hypovascularity of the irradiated tissue. (MARX) • POST- RADIATION OSTEONECROSIS. • Intense irradiation > 50 Gy.
  • 39.
    Clinical features  Remainasymptomatic for prolonged periods of weeks, months, or even years.  Signs and symptoms - pain, tooth mobility, mucosal swelling, erythema, ulceration, paresthesia, or even anesthesia of the associated branch of the trigeminal nerve.  Intraoral and extraoral fistulae may develop when necrotic mandible or maxilla becomes secondarily infected.  Chronic maxillary sinusitis secondary to osteonecrosis with or without an oral- antral fistula may be the presenting feature in patients with maxillary bone involvement.
  • 40.
    Classification of Osteoradionecrosis Stage0 : Exposure of mandibular bone for less than one month; no distinct changes on plain radiographs (panoramic radiograph or periapical film). Stage I : Exposure of mandibular bone for at least one month; no distinct changes on plain radiographs (panoramic radiograph or periapical film). Asymptomatic e.g. no pain or presence of cutaneous fistulas (I A), or symptomatic, e.g. pain or presence of cutaneous fistulas (I B).
  • 41.
    Stage II :Exposure of mandibular bone for at least one month; distinct changes present on plain radiographs (panoramic radiograph or periapical film), but not involving the lower border of the mandible. Asymptomatic otherwise, e.g. no pain or presence of cutaneous fistulas (II A), or Symptomatic, e.g. pain or presence of cutaneous fistulas (II B). Stage III : Exposure of mandibular bone for at least one month; distinct changes on plain radiographs (panoramic radiograph or periapical film), involving the lower border of the mandible, irrespective of any other signs and symptoms. Note: In case of doubt about the presence and/or extent of radiographical bone involvement, the lower stage should be allotted.
  • 42.
    Conservative therapy • Maintainingoptimal oral hygiene (diligent home self-care and regular professional dental care), elimination of active dental and periodontal disease, topical antibiotic mouth rinses, and systemic antibiotic therapy, as indicated. • Successful treatment of ONJ with teriparatide are encouraging • Topically applied ozone, • Bone marrow stem cell intralesional transplantation and • Addition of pentoxifylline and tocopherol to the standard antibiotic regimen. • Favorable outcomes have been reported with low-level laser therapy, in conjunction with conservative and/or surgical debridement. • Conservative therapy should be continued as long as there is not: • (1) obvious progression of disease; • (2) pain that is not being controlled by conservative means; or • (3) a patient who has had antiresorptive therapy discontinued by their oncologist because of ONJ.
  • 43.
    Surgical management • Afull-thickness mucoperiosteal flap should be elevated and extended to reveal the entire area of exposed bone and beyond to disease-free margins. • Resection of the affected bone should be extended to reach healthy-appearing, bleeding bone. • Sharp edges should be smoothed • It is also proposed that if surgery is indicated, resection with tension-free closure affords the most positive results. • Promising results have also been reported with surgical debridement in combination with platelet-derived growth factor (PDGF) applied to the site • Cases also reported that intraoperative fluorescence guidance was helpful in identifying surgical resection margins • It was suggested that longer-term preoperative antibiotics (23 to 54 days) resulted in improved surgical outcomes versus short-term antibiotic therapy (1 to 8 days). Adjunctive therapy with hyperbaric oxygen (HBO) in combination with surgery has been investigated with encouraging results.
  • 44.
    Differential Diagnosis  Paget’sdisease  Fibrous dysplasia  Florid cemento-osseus dysplasia  Osteopetrosis  Ewing’s sarcoma  Osteosarcoma  Caffey’s disease
  • 45.
    Investigations • Gram Staining •Culture & Sensitivity • WBC count & Complete Hemogram • Blood Sugar • Montoux Test • Radiographs • Scintigraphy • Computed tomography • MRI
  • 46.
    Decision tree foruse of imaging studies in diagnosis of Osteomyelitis Conventional radiography Technetium bone scan 67Ga / In WBC scan MRI/CT
  • 47.
    MANAGEMENT Conservative management • Bedrest • Supportive therapy • Dehydration • Blood transfusion • Control of pain • Antibiotic therapy • HBO therapy
  • 48.
    Antibiotic Regimen Regimen I: Hospitalized/ Medically Compromised pt. Or When Intravenous Therapy Is Indicated • Aqueous Penicillin , 2 Million U Iv 4hrly + Metronidazole, 500mg 6hrly • When Improved For 48 To 72 Hours: Penicillin V,500mg 4hrly+ Metronidazole, 500mg 6hrly For 4 To 6 Wks. Or • Ampicillin / Sulbactum 1.5 To 3.0 G IV 6hrly • When Improved For 48 To 72 Hours: Amoxicllin / Clavulanate (Augumentin),875/125 Mg Bid For 4 To 6 Wks.
  • 49.
    Regimen II: For OutpatientTreatment • Penicillin V , 2gm + Metronidazole, 500mg 8hrly For 2 To 4 Wks After Last Sequestra Removed. Or • Clindamycin ,600 To 900mg 6hrly Iv , Then • Clindamycin ,300 To 450mg 6hrly PENICILLINASE ALLERGIC PTS. • Clindamycin • Cefotaxim
  • 50.
    HBO therapy • Involvesintermittent daily inhalation of 100% O2 through face mask or large chamber at 2.4 atm pressure for 90min dives: 5days/ week for 30 / more sessions followed by 10 / more sessions. • Functions • Contraindications • Complications
  • 51.
    • HBO therapyinvolves the intermittent , usually daily , inhalation of 100% humidified oxygen under pressure , greater than one atmospheric pressure (ATA). • HBO reduces the hypoxia within the affected tissues and stimulates angiogenesis in the hypo vascular tissues . • It enhances phagocytic activity of leucocytes to stimulate fibroblast growth , increase in collagen formation and promote growth of new capillaries.
  • 52.
    • Patient isplaced in a chamber. • Oxygen is given by mask or by hood . • Each dive is 90 minute in length. • 5 days per week for 30,60, or more dives at 2.4 ATA for 90 minutes while breathing 100% oxygen twice daily. • Protocol of MARX (1983) 30 initial dives , if improved then 60 dives completed. Otherwise , SEQUESTRECTOMY + 30 dives , if wound dehiscence, RESECTION + 60 dives & 20 dives after 10 weeks Patient with pathological # ,oro-cutaneous fistula are given 30 dives more prior going to resection
  • 53.
    Contraindications by Fisher(1988) & Marx(1985) 1. Pneumothorax 2. COPD 3. Optic neuritis 4. Acute viral infection 5. Acute seizures 6. URI 7. Pregnancy 8. Thoracic surgery 9. Ear surgery
  • 54.
    Conclusion • Osteomyelitis isa challenging disease for clinicians with a significant morbidity unless it is recognized immediately and treated promptly • Early recognition and prompt treatment can prevent extensive loss of bone and teeth. • Proper management depends on careful clinical and imaging examination, proper assessment of findings and understanding the nature of disease,

Editor's Notes

  • #7 Classification based on clinical picture, radiology, and etiology (specific forms such as syphilitic, tuberculous, brucellar, viral, chemi- cal, Escherichia coli and Salmonella osteomyelitis not integrated in classification)