Dr. Ramesh Parajuli,MS
Chitwan medical college teaching hospital, bharatpur-10,chitwan Nepal
Differential Dx of nasal obstruction
&
Neoplasms of Nose and PNS
Differential diagnosis of nasal obstruction
1.Structural: DNS, inf.turbinate
hypertrophy,concha bullosa
2.Infection: Unilateral sinusitis
3.Polyp: Antrochoanal polyp
4.FB
5.Neoplasms
6.Congenital:choanal atresia
7.Trauma
8.Granulomatous Dx:Rhinoscleroma
1.Infection:
-Acute rhinitis
-CRS, Atrophic rhinitis
2.Allergy:Allergic rhinitis
3.Non allergic,non infective:
Vasomotor rhinitis
4.Adenoid hypertrophy
5.Structural: DNS
6.Trauma:Septal hematoma
7. Ethmoidal polyposis
8.Neoplasms
9.Rhinitis medicamentosa
Causes of unilateral nasal obstruction Causes of Bilateral Nasal obstruction
Neoplasms of Nose and PNS
Benign
1. Papilloma
2. Ossifying Fibroma
3. Osteoma
4. Haemangioma
5. Neurofibroma
Intermediate
Inverted papilloma
Malignant
1. Squamous cell carcinoma
2. Adenocarcinoma
3. Anaplastic carcinoma
4. Transitional cell carcinoma
5. Malignant melanoma
6. Salivary gland tumours
7. Rhabdomyosarcoma
Classification
Frontal sinus osteoma
Normal medullary bone is replaced by abnormal proliferation
of fibrous tissue, resulting in distortion & expansion of bone
C.T. scan: ground - glass appearance
Treatment: complete surgical excision
Fibrous dysplasia
•Locally aggressive sino-nasal tumour
•Synonyms: Ringertz or Schneiderian papilloma
•Common in males between 50-70 years
•It arises from the lateral wall of nose
•Presents as unilateral, friable, pink mass
•Diagnosis made by punch biopsy
Inverted papilloma
Treatment:
•Medial maxillectomy (& ethmoidectomy)by lateral rhinotomy approach
•Tendency to recur after surgical removal
•Squamous cell ca is present in 1015% cases
•Radiotherapy is avoided
Lateral rhinotomy
Epidemiology
•Maxillary sinus>ethmoid>frontal>sphenoid
•>80% are squamous cell carcinoma
•Male : female = 2:1
•Commonly seen in 45-60 years
Sinonasal malignancy
1. Hardwood dust (adenocarcinoma)
2. Softwood dust (squamous carcinoma)
3. Nickel refining; chromium workers
4. Boot, shoe and textile workers
5. Mustard gas exposure
6. Human papilloma virus
Risk factors
Carcinoma Maxillary Sinus(Maxilla)
Early symptoms
•Mimic maxillary sinusitis
•Nasal blockage
•Blood-stained nasal discharge
•Facial paraesthesia or pain
•Epiphora
Spread
Medial spread:
Unilateral nasal obstruction
Unilateral purulent nasal
discharge
Epistaxis
Unilateral, friable, nasal mass
Anterior spread:
Cheek swelling
Invasion of facial skin
Late Clinical features
Inferior spread:
Expansion of alveolus with dental
pain
Loosening of teeth, poor fitting of
dentures
Swelling in hard palate or alveolus
Superior spread:
Proptosis
Diplopia
Ocular pain
Posterior spread:
Pterygoid muscle involvement  trismus
Intracranial spread via:
Ethmoids, cribriform plate or foramen lacerum
Lymphatic spread:
Neck node metastases in late stages
Systemic spread: Lungs, bone
Initial presentation 7 months 11 months
Diagnostic nasal endoscopy
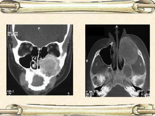
C.T. Scan Nose & Paranasal sinus: expansion & destruction of bony wall
Biopsy
Diagnosis
C.T. Scan
Ohngren’s Classification
Lederman’s Classification
TNM Staging
T1 = Tumor confined to antral mucosa
T2 = Bone destruction of hard palate / middle meatus
T3 = Involvement of skin of cheek, floor or medial
wall of orbit, ethmoid sinus, posterior antral wall,
pterygoid plates, infratemporal fossa
T4 = Involvement of orbital contents, cribriform plate,
frontal or sphenoid sinus, skull base, nasopharynx
Treatment
• T1 & T2 = Surgery or Radiotherapy
• T3 = Surgery + Radiotherapy
• T4 = Surgery + Radiotherapy + Chemotherapy
• Surgery  post-operative Radiotherapy after 4-6 weeks
Surgical Options
1.Total maxillectomy:
Weber Fergusson incision
Malignancy limited to maxilla
2.Radical maxillectomy (with orbital exenteration):
Involvement of orbital fat
3. Anterior Cranio-Facial Resection:
Involvement of cribriform plate, frontal sinus
Weber Fergusson incision
Osteotomy cuts
Total maxillectomy done & incision
closed
Palatal defect & prosthesis
Orbital exenteration indications
• Involvement of orbital apex
• Involvement of extra-ocular muscles
• Involvement of bulbar conjunctiva or sclera
• Lid involvement beyond a reasonable hope for
reconstruction
• Non-resectable full thickness invasion through
periorbita into retrobulbar fat
Orbital exenteration
Post-operative defect & prosthesis
Cranio-facial resection
Nasal obstruction

Nasal obstruction

  • 1.
    Dr. Ramesh Parajuli,MS Chitwanmedical college teaching hospital, bharatpur-10,chitwan Nepal Differential Dx of nasal obstruction & Neoplasms of Nose and PNS
  • 5.
    Differential diagnosis ofnasal obstruction 1.Structural: DNS, inf.turbinate hypertrophy,concha bullosa 2.Infection: Unilateral sinusitis 3.Polyp: Antrochoanal polyp 4.FB 5.Neoplasms 6.Congenital:choanal atresia 7.Trauma 8.Granulomatous Dx:Rhinoscleroma 1.Infection: -Acute rhinitis -CRS, Atrophic rhinitis 2.Allergy:Allergic rhinitis 3.Non allergic,non infective: Vasomotor rhinitis 4.Adenoid hypertrophy 5.Structural: DNS 6.Trauma:Septal hematoma 7. Ethmoidal polyposis 8.Neoplasms 9.Rhinitis medicamentosa Causes of unilateral nasal obstruction Causes of Bilateral Nasal obstruction
  • 10.
    Neoplasms of Noseand PNS Benign 1. Papilloma 2. Ossifying Fibroma 3. Osteoma 4. Haemangioma 5. Neurofibroma Intermediate Inverted papilloma Malignant 1. Squamous cell carcinoma 2. Adenocarcinoma 3. Anaplastic carcinoma 4. Transitional cell carcinoma 5. Malignant melanoma 6. Salivary gland tumours 7. Rhabdomyosarcoma Classification
  • 11.
  • 12.
    Normal medullary boneis replaced by abnormal proliferation of fibrous tissue, resulting in distortion & expansion of bone C.T. scan: ground - glass appearance Treatment: complete surgical excision Fibrous dysplasia
  • 14.
    •Locally aggressive sino-nasaltumour •Synonyms: Ringertz or Schneiderian papilloma •Common in males between 50-70 years •It arises from the lateral wall of nose •Presents as unilateral, friable, pink mass •Diagnosis made by punch biopsy Inverted papilloma
  • 15.
    Treatment: •Medial maxillectomy (&ethmoidectomy)by lateral rhinotomy approach •Tendency to recur after surgical removal •Squamous cell ca is present in 1015% cases •Radiotherapy is avoided
  • 16.
  • 17.
    Epidemiology •Maxillary sinus>ethmoid>frontal>sphenoid •>80% aresquamous cell carcinoma •Male : female = 2:1 •Commonly seen in 45-60 years Sinonasal malignancy
  • 18.
    1. Hardwood dust(adenocarcinoma) 2. Softwood dust (squamous carcinoma) 3. Nickel refining; chromium workers 4. Boot, shoe and textile workers 5. Mustard gas exposure 6. Human papilloma virus Risk factors
  • 19.
    Carcinoma Maxillary Sinus(Maxilla) Earlysymptoms •Mimic maxillary sinusitis •Nasal blockage •Blood-stained nasal discharge •Facial paraesthesia or pain •Epiphora
  • 20.
  • 21.
    Medial spread: Unilateral nasalobstruction Unilateral purulent nasal discharge Epistaxis Unilateral, friable, nasal mass Anterior spread: Cheek swelling Invasion of facial skin Late Clinical features Inferior spread: Expansion of alveolus with dental pain Loosening of teeth, poor fitting of dentures Swelling in hard palate or alveolus Superior spread: Proptosis Diplopia Ocular pain
  • 22.
    Posterior spread: Pterygoid muscleinvolvement  trismus Intracranial spread via: Ethmoids, cribriform plate or foramen lacerum Lymphatic spread: Neck node metastases in late stages Systemic spread: Lungs, bone
  • 23.
    Initial presentation 7months 11 months
  • 24.
    Diagnostic nasal endoscopy C.T.Scan Nose & Paranasal sinus: expansion & destruction of bony wall Biopsy Diagnosis
  • 25.
  • 26.
  • 27.
  • 28.
    TNM Staging T1 =Tumor confined to antral mucosa T2 = Bone destruction of hard palate / middle meatus T3 = Involvement of skin of cheek, floor or medial wall of orbit, ethmoid sinus, posterior antral wall, pterygoid plates, infratemporal fossa T4 = Involvement of orbital contents, cribriform plate, frontal or sphenoid sinus, skull base, nasopharynx
  • 29.
    Treatment • T1 &T2 = Surgery or Radiotherapy • T3 = Surgery + Radiotherapy • T4 = Surgery + Radiotherapy + Chemotherapy • Surgery  post-operative Radiotherapy after 4-6 weeks
  • 30.
    Surgical Options 1.Total maxillectomy: WeberFergusson incision Malignancy limited to maxilla 2.Radical maxillectomy (with orbital exenteration): Involvement of orbital fat 3. Anterior Cranio-Facial Resection: Involvement of cribriform plate, frontal sinus
  • 31.
  • 32.
  • 33.
    Total maxillectomy done& incision closed
  • 34.
    Palatal defect &prosthesis
  • 35.
    Orbital exenteration indications •Involvement of orbital apex • Involvement of extra-ocular muscles • Involvement of bulbar conjunctiva or sclera • Lid involvement beyond a reasonable hope for reconstruction • Non-resectable full thickness invasion through periorbita into retrobulbar fat
  • 36.
  • 37.
  • 38.