MYOSITIS OSSIFICANS
(HETEROTOPIC OSSIFICATION)
Dr. PRAVEEN RK
MBBS
ORTHOPEDICS INTERN
INTRODUCTION
 Myositis ossificans is now being known as Heterotopic Ossification.
 HO was first described by Riedel in 1883.
 Heterotopic = in the wrong place
 The term HO specifically refers to formation of bone (ossification) at a place
where it should not be present (heterotopic) – within a muscle belly’s fascia
and other soft tissues.
 Since it is not necessarily associated with muscle inflammation nor is muscle
the only involved tissue, the term myositis is no longer preferred.
CLASSIFICATION
 Heterotopic Ossification per se (Myositis ossificans
circumscripta)
 Traumatic Heterotopic Ossification
 Neurogenic Heterotopic Ossification
 Fibrodysplasia ossificans progressiva (Myositis ossificans
progressiva)
HETEROTOPIC OSSIFICATION (MYOSITIS
OSSIFICANS CIRCUMSCRIPTA)
 Localised, non neoplastic
 Predominantly seen in extremities
 Predeliction for mature soft tissue and degenerated tissue that has less
reparative capacity (so, rare in children)
 Majority seen in quadriceps and brachialis muscle
 Etiology – idiopathic (majority) or due to minor injuries (sports person)
 Associated with systemic disorders – tetanus, hemophilia, disseminated
idiopathic skeletal hyperostosis(DISH)
Pathology
 Huge amount of controversy exist over trauma as inciting event.
 There is a possibility that Injured muscle heals with fibrous tissue that
degenerates to undergo ossification as for endochondral ossification
possibly related to alteration in local growth factors.
 However HO develops in 7-8 weeks but bone formation takes a bit
longer.
 Once lesion is matured (2 months) spontaneous regression is seen in
30% cases.
Stages of disease
 Early disease (inflammatory phase)
 Pain and swelling (mimics infection or soft tissue aggressive tumor).
 Radiograph – normal or soft tissue density seen.
 USG – hypoechoic mass with a central reflective core is seen that may
have a lamellar hyper reflectivity at the periphery of mass.
 CT scan – enlarged muscle growth with normal attenuation.
 MRI – isointense to hyperintense on T1 weighted images and
intermediate to high signal on T2 weighted images.
 Intermediate stage (consolidation phase)
 Lesion becomes firm with constant pain.
 Limitation of movement at adjacent joint if large.
 Radiograph – “Dotted veil” calcification (confusing with
rhabdomyosarcoma or synovial sarcoma). There may be continuous or
discontinuous peripheral calcification.
 CT scan – Reveals zonal phenomenon with a rim of calcification of
varying thickness at periphery while central area similar to muscle.
 MRI – more nonspecific with variable signal at center and decreased
signal intensity at periphery on all pulses.
 Calcific tendinitis is d/d at this stage
 Late stage (maturation phase)
 Mass becomes bony hard and easily discernible from its surrounding
tissue.
 Pain reduces dramatically.
 Mass may merge with bone resembling osteochondroma.
 Movements at associated joint may be limited in large mass.
 Zonation phenomenon – pattern of mineralization at periphery which is
more mature than central region that is still evolving. This differentiates
it from extraskeletal osteosarcoma.
 MRI – overall reduced due to calcification. Important differentiating
feature could be presence of central signal intensity similar to marrow.
Treatment
 Absolute prevention is not possible.
 Early stage – Bisphosphonates and NSAIDs to limit extension.
 Surgical excision once matured.
TRAUMATIC HETEROTOPIC
OSSIFICATION
 Most common HO
 Occur after any type of musculoskeletal trauma.
 Lesion is extra-articular and develops outside joint capsule.
 Bone formation occurs outside muscle fibers or spindles in the
connective tissue between muscle planes.
 Commonly occur after arthroplasty of hip, knee, shoulder or elbow
and fractures, joint dislocation and periarticular soft tissue trauma.
 Loss of joint motion and resulting functio lesia are the principal
complaints.
Causes
 Trauma: This has a definitive role in the causation. Injury to the
muscles, ligaments, tendons, periosteum and bones results in bleeding
within the soft tissues, which in turn may lead to myositis.
 Simple blow or repeated minor trauma: occurs due to the repeated
and constant soft tissue damage.
 Dislocations and avulsion injuries: occurs due to violent stripping of
the periosteum and damage to the muscles.
 Ill-advised massage: This is by far the most common cause. Vigorous
and improper massage particularly the elbow joint by quacks, etc.
explains the frequent occurrence of this problem in patients treated by
traditional bonesetters and osteopaths.
Pathogenesis
 HO represents transformation of primordial cells of mesenchymal origin within muscle
connective tissue septa into osteogenic cells.
 3 conditions are needed for fulfillment of development of HO-
 Presence of osteogenic precursor cells.
 Metaplasia inducing agents.
 A permissive environment.
 PGE2 mediate differentiation of progenitor cells into osteogenic tissue.
 Muscle injury alone will not produce HO and some bone injury is required for its development.
 Heterotopic bone may begin some distance from normal bone, later moving towards it.
 Possibly there is a role of BMP (Bone Morphogenic Protein) in development of HO.
Histology
 3 zones (Ackermann’s zone phenomenon)
 Central highly cellular area.
 Zone of fibroelastic tissue.
 Zone of mature well-oriented bone.
Clinical Findings
 Traumatic HO also undergoes previously mentioned 3 stages with greater tendency to
limitation of joint movements.
 Inspection – edema of distal joint closest to site of injury.
 Palpation – acutely muscle is tender. Lesion becomes palpable within muscle mass as
ossification develops. Swelling may be felt at site of injury.
 AROM – movements that stretch involved muscle are painful, secondary to decreased
flexibility within affected muscle mass.
 MMT – decreased secondary to pain.
 PROM – decreased
 Joint stiffness, loss of limb function, entrapment of peripheral nerve and development
of pressure ulcer are complications.
Areas commonly affected
 Elbow joint common in young athletes.
 Ankle joint (known as footballer’s ankle).
 Knee (known as Pellegrini-Stieda disease).
 Shoulder.
 Hip.
 In head injuries it is more common.
Investigations
 Extent of lesion is evident on radiographs in late stage, CT scan in
earlier stages or MRI in earliest stage.
 In the early stages, scintigraphic scan reveals intense uptake at the
site of lesion that reduces in intermediate stages and finally becomes
cold in late stages.
 Approximately 2.5 weeks after injury, flow studies and blood pool
images can detect development of incipient HO.
 Typical findings of delayed scintigrams however become positive one
week later.
 Bone scans are sensitive enough that they can be performed serially
to identify metabolically silent lesions that can be excised.
 Serum ALP is elevated early and abnormal approx. 2 weeks after
injury.
 Serum ALP increases approx. 3.5 times normal after 10 weeks of
trauma and return to normal by 18 weeks.
 Serum creatine kinase are in higher level in severe form of HO.
 Rise in CRP early (non-specific).
 Measurement of 24 hour urinary excretion of PGE2 is
recommended to identify HO early in predisposed cases.
Treatment
 Appropriate prophylaxis and early treatment is the best strategy.
 First step is to initiate Passive joint range of motion exercises to maintain mobility.
 Prophylaxis
 Bisphosphonates (ETIDRONATE) and specific NSAIDs (such as INDOMETHACIN >
IBUPROFEN > DICLOFENAC).
 It is recommended to start bisphosphonates as soon as serum ALP or urinary PGE2 levels are
noted or imaging studies demonstrate presence of incipient HO.
 Selective COX-2 inhibitor ROFECOXIB.
 HO can be successfully prevented and treated by radiation therapy.
 A single irradiation of 7 Gy is used in high risk patients. This is only useful in patients having
contraindications to receive NSAIDs.
 Thalidomide has been found to reduce progression of ossification of soft tissues and improve
functional status. Its action may be related to TNF-∝ during flare-ups.
 Surgical resection is delayed until it has matured.
 Guidance criteria for surgical removal of HO -
 Definite presence of severely restricted movements at the joints or
progressive loss of movement at the joints.
 Absent fever, swelling, erythema or other signs of active HO lesion.
 Normal ALP
 3 phase bone scan not showing uptake in flow
 Blood pool images suggesting maturation of HO
NEUROGENIC HETEROTOPIC
OSSIFICATION
 First described by Dejerine and Ceilier (1918) in patients with spinal cord
injury during First world war.
 HO is a commonly occurring sequelae to SCI.
 Other conditions like head injury, injury to brain or spinal cord following
stroke, hypoxic encephalopathy, encephalitis, tetanus, polio, tabes dorsalis,
syringomyelia, burns.
 HO appears 3 weeks to 12 weeks from the injury.
 Associated bony injury is not considered as a pre-requisite.
 Patients with complete injury to cord are more likely to develop HO.
 Always develop below level of injury.
 Hips are the most common site.
 Stage of development, treatment, prognosis are similar to other
forms.
 The disease is often more extensive involving various sites together.
FIBRODYSPLASIA PROLIFERANS PROGRESSIVA
(MYOSITIS OSSIFICANS PROGRESSIVA, MUNCHMEYER’S DISEASE)
 Rarest genetic condition of connective tissue.
 Autosomal dominant transmission with variable expression.
 1 case per 2 million persons.
 Characterised by
 Progressive heterotopic endochondral ossification.
 Congenital malformation of great toe (hallus valgus, malformed first
metatarsal).
 Affected individuals also may have short thumb.
 Most mutations are sporadic.
 Disease progresses temporally and has well defined unfortunate course.
 Impending HO is signaled by large painful swellings of highly
vascular fibroproliferative tissue developing in connective tissue.
 Lesion appears spontaneously or following minor trauma or
injections.
 Lesions mature through endochondral ossification and lead to
ankylosis of all major joints of axial and appendicular skeleton.
Pathogenesis
 BMP signaling pathway and its dysregulation is considered primary
to pathogenesis.
 Dysregulated expression of BMP4.
 Reduced expression of BMP antagonists.
 Defects in internalization of BMP receptors.
 Continuously ‘ON’ BMP type 1 receptors.
 Increased activation of BMP downstream signalling.
 Genetic factors influence prenatal development and environmental
factors influence postnatal development.
Clinical Features
 Muscles, tendons and ligaments get gradually ossified.
 Ossification around joint causes joint stiffness.
 Distribution of disease – dorsal, axial, cranial, proximal anatomic locations,
ventral, appendicular, caudal and distal regions.
 Disease starts from neck and shoulders and flowing down trunk and into limbs.
 Loss of mobility is the primary disability.
 Involvement of TMJ – inability to open mouth – difficulty in speech and eating.
 Most are bedridden by early twenties.
 Sporadic episodes of painful soft tissue swellings can occur in early childhood.
 Diaphragm, tongue and intraocular muscles are spared.
 Phenotypic skeletal abnormalities
 Proximal medial tibial osteochondromas.
 Clinodactyly.
 Short broad femoral necks.
 Orthotopic ankylosis of costovertebral joints. Thoracic insufficiency
 Intercostal muscles ossification. syndrome
 Sensorineural hearing loss – involvement of cochlea or vestibulocochlear
nerve.
 Conductive hearing loss – middle ear ossification.
 Atypical features (FOP plus)
 Head and neck – sparse and atrophic scalp hair, cognitive impairment,
diffuse cerebral dysfunction causing seizures, craniopharyngioma,
cerebellar abnormalities, cerebral cavernous malformations.
 Eyes – cataract, retinal detachment, childhood glaucoma.
 Skeletal – synovial osteochondromatosis of hips and osteoarthritis,
polyostotic FD.
 Severe growth retardation, persistence of primary teeth in adulthood,
primary amenorrhea, aplastic anemia, hypospadias.
 Most patients die from restricted lung disease, pneumonia,
malnutrition, right sided heart failure.
 Median life span is 40 years.
 Female patients that get pregnant suffer increased risk. They can
get acute flare-ups, breathing difficulty, necessary C-section and
risk of general anesthesia.
 Fetal risk – FOP, prematurity, fetal distress, cerebral palsy.
Treatment
 No treatment available.
 Attempted bone removal causes more extensive bone formation.
 Limited benefits reported with corticosteroids (short 4 day course during acute
flare-ups) and etidronate.
 NSAIDs to control further symptoms.
 Preventive strategies
 Life-style modification.
 Restriction of outdoor activity and impact sports in children to prevent trauma.
 Household safety measures to prevent fall.
 Protection from respiratory decline (incentive spirometry).
Reference
1. Essential Orthopedics – Principles & Practice by Manish Kumar Varshney.
2. Examination of Orthopedic & Athletic Injuries by Chad Starkey and
Sara D. Brown.
3. Textbook of Orthopedics by John Ebnezar.
4. Medscape (images).
“
”
THANKYOU

Myositis ossificans (Heterotopic Ossification)

  • 1.
    MYOSITIS OSSIFICANS (HETEROTOPIC OSSIFICATION) Dr.PRAVEEN RK MBBS ORTHOPEDICS INTERN
  • 2.
    INTRODUCTION  Myositis ossificansis now being known as Heterotopic Ossification.  HO was first described by Riedel in 1883.  Heterotopic = in the wrong place  The term HO specifically refers to formation of bone (ossification) at a place where it should not be present (heterotopic) – within a muscle belly’s fascia and other soft tissues.  Since it is not necessarily associated with muscle inflammation nor is muscle the only involved tissue, the term myositis is no longer preferred.
  • 4.
    CLASSIFICATION  Heterotopic Ossificationper se (Myositis ossificans circumscripta)  Traumatic Heterotopic Ossification  Neurogenic Heterotopic Ossification  Fibrodysplasia ossificans progressiva (Myositis ossificans progressiva)
  • 5.
    HETEROTOPIC OSSIFICATION (MYOSITIS OSSIFICANSCIRCUMSCRIPTA)  Localised, non neoplastic  Predominantly seen in extremities  Predeliction for mature soft tissue and degenerated tissue that has less reparative capacity (so, rare in children)  Majority seen in quadriceps and brachialis muscle  Etiology – idiopathic (majority) or due to minor injuries (sports person)  Associated with systemic disorders – tetanus, hemophilia, disseminated idiopathic skeletal hyperostosis(DISH)
  • 6.
    Pathology  Huge amountof controversy exist over trauma as inciting event.  There is a possibility that Injured muscle heals with fibrous tissue that degenerates to undergo ossification as for endochondral ossification possibly related to alteration in local growth factors.  However HO develops in 7-8 weeks but bone formation takes a bit longer.  Once lesion is matured (2 months) spontaneous regression is seen in 30% cases.
  • 7.
    Stages of disease Early disease (inflammatory phase)  Pain and swelling (mimics infection or soft tissue aggressive tumor).  Radiograph – normal or soft tissue density seen.  USG – hypoechoic mass with a central reflective core is seen that may have a lamellar hyper reflectivity at the periphery of mass.  CT scan – enlarged muscle growth with normal attenuation.  MRI – isointense to hyperintense on T1 weighted images and intermediate to high signal on T2 weighted images.
  • 8.
     Intermediate stage(consolidation phase)  Lesion becomes firm with constant pain.  Limitation of movement at adjacent joint if large.  Radiograph – “Dotted veil” calcification (confusing with rhabdomyosarcoma or synovial sarcoma). There may be continuous or discontinuous peripheral calcification.  CT scan – Reveals zonal phenomenon with a rim of calcification of varying thickness at periphery while central area similar to muscle.  MRI – more nonspecific with variable signal at center and decreased signal intensity at periphery on all pulses.  Calcific tendinitis is d/d at this stage
  • 9.
     Late stage(maturation phase)  Mass becomes bony hard and easily discernible from its surrounding tissue.  Pain reduces dramatically.  Mass may merge with bone resembling osteochondroma.  Movements at associated joint may be limited in large mass.  Zonation phenomenon – pattern of mineralization at periphery which is more mature than central region that is still evolving. This differentiates it from extraskeletal osteosarcoma.  MRI – overall reduced due to calcification. Important differentiating feature could be presence of central signal intensity similar to marrow.
  • 17.
    Treatment  Absolute preventionis not possible.  Early stage – Bisphosphonates and NSAIDs to limit extension.  Surgical excision once matured.
  • 18.
    TRAUMATIC HETEROTOPIC OSSIFICATION  Mostcommon HO  Occur after any type of musculoskeletal trauma.  Lesion is extra-articular and develops outside joint capsule.  Bone formation occurs outside muscle fibers or spindles in the connective tissue between muscle planes.  Commonly occur after arthroplasty of hip, knee, shoulder or elbow and fractures, joint dislocation and periarticular soft tissue trauma.  Loss of joint motion and resulting functio lesia are the principal complaints.
  • 19.
    Causes  Trauma: Thishas a definitive role in the causation. Injury to the muscles, ligaments, tendons, periosteum and bones results in bleeding within the soft tissues, which in turn may lead to myositis.  Simple blow or repeated minor trauma: occurs due to the repeated and constant soft tissue damage.  Dislocations and avulsion injuries: occurs due to violent stripping of the periosteum and damage to the muscles.  Ill-advised massage: This is by far the most common cause. Vigorous and improper massage particularly the elbow joint by quacks, etc. explains the frequent occurrence of this problem in patients treated by traditional bonesetters and osteopaths.
  • 20.
    Pathogenesis  HO representstransformation of primordial cells of mesenchymal origin within muscle connective tissue septa into osteogenic cells.  3 conditions are needed for fulfillment of development of HO-  Presence of osteogenic precursor cells.  Metaplasia inducing agents.  A permissive environment.  PGE2 mediate differentiation of progenitor cells into osteogenic tissue.  Muscle injury alone will not produce HO and some bone injury is required for its development.  Heterotopic bone may begin some distance from normal bone, later moving towards it.  Possibly there is a role of BMP (Bone Morphogenic Protein) in development of HO.
  • 21.
    Histology  3 zones(Ackermann’s zone phenomenon)  Central highly cellular area.  Zone of fibroelastic tissue.  Zone of mature well-oriented bone.
  • 22.
    Clinical Findings  TraumaticHO also undergoes previously mentioned 3 stages with greater tendency to limitation of joint movements.  Inspection – edema of distal joint closest to site of injury.  Palpation – acutely muscle is tender. Lesion becomes palpable within muscle mass as ossification develops. Swelling may be felt at site of injury.  AROM – movements that stretch involved muscle are painful, secondary to decreased flexibility within affected muscle mass.  MMT – decreased secondary to pain.  PROM – decreased  Joint stiffness, loss of limb function, entrapment of peripheral nerve and development of pressure ulcer are complications.
  • 23.
    Areas commonly affected Elbow joint common in young athletes.  Ankle joint (known as footballer’s ankle).  Knee (known as Pellegrini-Stieda disease).  Shoulder.  Hip.  In head injuries it is more common.
  • 24.
    Investigations  Extent oflesion is evident on radiographs in late stage, CT scan in earlier stages or MRI in earliest stage.  In the early stages, scintigraphic scan reveals intense uptake at the site of lesion that reduces in intermediate stages and finally becomes cold in late stages.  Approximately 2.5 weeks after injury, flow studies and blood pool images can detect development of incipient HO.  Typical findings of delayed scintigrams however become positive one week later.  Bone scans are sensitive enough that they can be performed serially to identify metabolically silent lesions that can be excised.
  • 27.
     Serum ALPis elevated early and abnormal approx. 2 weeks after injury.  Serum ALP increases approx. 3.5 times normal after 10 weeks of trauma and return to normal by 18 weeks.  Serum creatine kinase are in higher level in severe form of HO.  Rise in CRP early (non-specific).  Measurement of 24 hour urinary excretion of PGE2 is recommended to identify HO early in predisposed cases.
  • 28.
    Treatment  Appropriate prophylaxisand early treatment is the best strategy.  First step is to initiate Passive joint range of motion exercises to maintain mobility.  Prophylaxis  Bisphosphonates (ETIDRONATE) and specific NSAIDs (such as INDOMETHACIN > IBUPROFEN > DICLOFENAC).  It is recommended to start bisphosphonates as soon as serum ALP or urinary PGE2 levels are noted or imaging studies demonstrate presence of incipient HO.  Selective COX-2 inhibitor ROFECOXIB.  HO can be successfully prevented and treated by radiation therapy.  A single irradiation of 7 Gy is used in high risk patients. This is only useful in patients having contraindications to receive NSAIDs.  Thalidomide has been found to reduce progression of ossification of soft tissues and improve functional status. Its action may be related to TNF-∝ during flare-ups.
  • 29.
     Surgical resectionis delayed until it has matured.  Guidance criteria for surgical removal of HO -  Definite presence of severely restricted movements at the joints or progressive loss of movement at the joints.  Absent fever, swelling, erythema or other signs of active HO lesion.  Normal ALP  3 phase bone scan not showing uptake in flow  Blood pool images suggesting maturation of HO
  • 30.
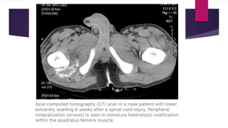
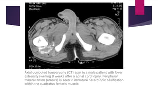
    NEUROGENIC HETEROTOPIC OSSIFICATION  Firstdescribed by Dejerine and Ceilier (1918) in patients with spinal cord injury during First world war.  HO is a commonly occurring sequelae to SCI.  Other conditions like head injury, injury to brain or spinal cord following stroke, hypoxic encephalopathy, encephalitis, tetanus, polio, tabes dorsalis, syringomyelia, burns.  HO appears 3 weeks to 12 weeks from the injury.  Associated bony injury is not considered as a pre-requisite.
  • 31.
     Patients withcomplete injury to cord are more likely to develop HO.  Always develop below level of injury.  Hips are the most common site.  Stage of development, treatment, prognosis are similar to other forms.  The disease is often more extensive involving various sites together.
  • 36.
    FIBRODYSPLASIA PROLIFERANS PROGRESSIVA (MYOSITISOSSIFICANS PROGRESSIVA, MUNCHMEYER’S DISEASE)  Rarest genetic condition of connective tissue.  Autosomal dominant transmission with variable expression.  1 case per 2 million persons.  Characterised by  Progressive heterotopic endochondral ossification.  Congenital malformation of great toe (hallus valgus, malformed first metatarsal).  Affected individuals also may have short thumb.  Most mutations are sporadic.  Disease progresses temporally and has well defined unfortunate course.
  • 37.
     Impending HOis signaled by large painful swellings of highly vascular fibroproliferative tissue developing in connective tissue.  Lesion appears spontaneously or following minor trauma or injections.  Lesions mature through endochondral ossification and lead to ankylosis of all major joints of axial and appendicular skeleton.
  • 39.
    Pathogenesis  BMP signalingpathway and its dysregulation is considered primary to pathogenesis.  Dysregulated expression of BMP4.  Reduced expression of BMP antagonists.  Defects in internalization of BMP receptors.  Continuously ‘ON’ BMP type 1 receptors.  Increased activation of BMP downstream signalling.  Genetic factors influence prenatal development and environmental factors influence postnatal development.
  • 40.
    Clinical Features  Muscles,tendons and ligaments get gradually ossified.  Ossification around joint causes joint stiffness.  Distribution of disease – dorsal, axial, cranial, proximal anatomic locations, ventral, appendicular, caudal and distal regions.  Disease starts from neck and shoulders and flowing down trunk and into limbs.  Loss of mobility is the primary disability.  Involvement of TMJ – inability to open mouth – difficulty in speech and eating.  Most are bedridden by early twenties.  Sporadic episodes of painful soft tissue swellings can occur in early childhood.  Diaphragm, tongue and intraocular muscles are spared.
  • 41.
     Phenotypic skeletalabnormalities  Proximal medial tibial osteochondromas.  Clinodactyly.  Short broad femoral necks.  Orthotopic ankylosis of costovertebral joints. Thoracic insufficiency  Intercostal muscles ossification. syndrome  Sensorineural hearing loss – involvement of cochlea or vestibulocochlear nerve.  Conductive hearing loss – middle ear ossification.
  • 42.
     Atypical features(FOP plus)  Head and neck – sparse and atrophic scalp hair, cognitive impairment, diffuse cerebral dysfunction causing seizures, craniopharyngioma, cerebellar abnormalities, cerebral cavernous malformations.  Eyes – cataract, retinal detachment, childhood glaucoma.  Skeletal – synovial osteochondromatosis of hips and osteoarthritis, polyostotic FD.  Severe growth retardation, persistence of primary teeth in adulthood, primary amenorrhea, aplastic anemia, hypospadias.
  • 43.
     Most patientsdie from restricted lung disease, pneumonia, malnutrition, right sided heart failure.  Median life span is 40 years.  Female patients that get pregnant suffer increased risk. They can get acute flare-ups, breathing difficulty, necessary C-section and risk of general anesthesia.  Fetal risk – FOP, prematurity, fetal distress, cerebral palsy.
  • 44.
    Treatment  No treatmentavailable.  Attempted bone removal causes more extensive bone formation.  Limited benefits reported with corticosteroids (short 4 day course during acute flare-ups) and etidronate.  NSAIDs to control further symptoms.  Preventive strategies  Life-style modification.  Restriction of outdoor activity and impact sports in children to prevent trauma.  Household safety measures to prevent fall.  Protection from respiratory decline (incentive spirometry).
  • 45.
    Reference 1. Essential Orthopedics– Principles & Practice by Manish Kumar Varshney. 2. Examination of Orthopedic & Athletic Injuries by Chad Starkey and Sara D. Brown. 3. Textbook of Orthopedics by John Ebnezar. 4. Medscape (images).
  • 46.