Embed presentation
Downloaded 222 times



















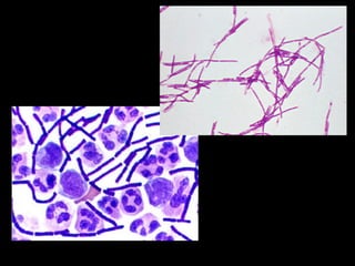
Bacteria come in three basic shapes - coccus, which can be found in clusters, chains, or pairs; bacillus, which can be found in chains; and spirillum. Prokaryotic cells like bacteria and cyanobacteria lack nuclei and internal membranes. Most eubacteria are heterotrophs that obtain nutrition from outside sources, with many living as saprophytes that cause decay and some being parasites that can cause disease.

















