ORTHOPEDIC ASPECTS OFORTHOPEDIC ASPECTS OF
METABOLIC BONEMETABOLIC BONE
DISEASEDISEASE
Presented by DR. ANUBHAV VERMAPresented by DR. ANUBHAV VERMA
30.8.16
Chairperson: Dr. P. Sastry
JSS Medical College and hospital, Mysore
Metabolic bone diseaseMetabolic bone disease (MBD)(MBD)
• Encompasses a diverse group of disorders
associated with altered calcium and
phosphorus homeostasis.
• To orthopedic surgeons; MBD is often silent
until the patient presents with fracture.
IntroductionIntroduction
Table of contentTable of content
 Osteoporosis.
 Osteomalacia and rickets.
 Hyperparathyroidism.
OSTEOPOROSISOSTEOPOROSIS
OSTEOPOROSISOSTEOPOROSIS
• Most common metabolic bone disease.
• One of the most prevalent conditions
associated with aging.
OSTEOPOROSISOSTEOPOROSIS
Definition : reduced bone mass of normal composition.
OSTEOPOROSISOSTEOPOROSIS
• Clinical definition: requires the presence
of a nontraumatic fracture.
• Histologic definition: requires normally
mineralized bone to be present in
reduced quantity.
OSTEOPOROSISOSTEOPOROSIS
Classification
• PRIMARY-
Postmenopausal osteoporosis (type I)
Caused by lack of estrogen
Causes PTH to overstimulate osteoclasts
Excessive loss of trabecular bone
Age-associated osteoporosis (type II)
Bone loss due to decreased bone turnover
Malabsorption
Mineral and vitamin deficiency
• SECONDARY-
1.Hormonal-Hyper parathyroidism, Hypo parathyroidism,
hypogonadism,pituitary tumors, DM-Type 1,Addison’s disease,
cushings syndrome
2.Nutritional
3.Drugs- corticosteroids,Alcohol,Anticonvulsant’s,Vit-d
toxicity
4.Inherited metabolic disorders- Ehler-danlos
syndrome, osteogenesis imperfecta ,marfan’syndrome.
5.Other causes-porphyrinuria, Myeloma, Thalassemia,
Pregnancy,Anorexia nervosa,systemic mastocytosis
Concept of peak adult bone mass-
ETIOLOGY AND
PTHOGENESIS
• GENETIC FACTORS-The prevalence varies
according to race. Due to difference in peak
bone mass. Adult blacks >bone mass then
whites and asians.
• ESTROGEN STATUS-Estrogen inhibits
osteoclasts and stimulate osteoblasts.It
causes activation of new bone remodeling
sites and exaggerates imbalance between
bone formation and resorption
• Endocrine disorders-
1. Hypogonadism-Causes bone loss in both men and
women.Other hypogonadal condition include castration,
panhypopituitarism, klinfelter’s
2. Hypercortisolism- Cushing syndrome
Chronic steroid therapy
This leads to decrease intestinal absorption of calcium
Also stimulates PTH vitD endocrine axis leading to
bone resorption.
Hyperthyroidism and Hyperparathyroidism-
They increase bone turnover and remodeling causing a net
increase in bone re absorption.
• NUTRITIONAL DEFICIENCY-
CALCIUM-Adequate ca intake is vital for
maintaining peak bone mass.
In response to ca deficiency the body
robs the calcium it needs from skeletal
reserve by increasing PTH and
1,25(OH)2 D.
VITAMIN D- Dietary source supply 50%
of vit D, the remaining is synthesized in
the skin in response to ultraviolet
irradiation.
The active form of vit D helps maintain
normal levels of calcium and
phosphate.
• DRUGS ,ALCOHOL AND SMOKING-
Chronic alcoholism is the most common
cause of bone loss in young men in part
because of poor nutrition.
Tobacco smoking is also linked to a reduction
in bone density and may effect remodeling.
Drugs
corticosteroids,Alcohol,Anticonvulsant’s,hepa
rin ,cytotoxic drugs,lithium are associated
with increased risk of osteoporosis
• CHRONIC ILLNESS AND TUMORS-
Chronic illness of almost any kind can lead to
osteopenia, with malnutrition and disuse the major
contributing factors.
Osteopenia is the most common complication of most
bone marrow tumors. Myeloma cells produce
cytokines that potenitially stimulate bone resorption.
Neoplastic disease appears to cause osteoporosis
through osteoclast activating factor ,interleukins and
tumor necrosis factor.
• DISUSE-
Disuse osteoporosis is more likely to develop in
sedentary person.
It is not the lack of movement that leads to
osteoporosis but the absence of mechanical
stresses on the bone from wt bearing activity and
from powerful antigravity muscle.
This leads to a progressive thinning and eventual
loss of trabeculae, the loss of trabeculae is most
dramatic in axial skeleton, specially the vertebral
bodies.
CLINICAL MANIFESTATION
• Osteoporosis , the silent thief usually remains
asymptomatic until the weakened bone fractures.
• Complications are compression fracture of the
vertebral bodies and fractures of hip,ribs,
humerus,and distal radius.
• Osteoporotic fractures are suspected in-
1. Elderly people(>40)
2. Sudden onset of pain(commonly in back)
3. Stooped posture
4. Shortened stature
5. Fractures of hip with minimal trauma.
VERTEBRAL COMPRESSION
FRACTURES-
• The earliest symptom of osteoporosis is often an episode of
acute back pain .
• Spine movement is severely reduced with flexion reduced
more then extension.
• Pain intensifies with sitting or standing and is relieved on
rest.
• Coughing sneezing and straining to move the bowels can
exacerbate the pain.
• Anterior compression fracture may cause thoracic kyphosis.
• Stooping posture is characteristic of
osteoporosis.
• Spasm of paravertebral muscle are palpable
and often visible.
• Spontaneous vertebral compression fracture
are stable injuries.
Diagnosis OsteoporosisDiagnosis Osteoporosis
Bone densitometryBone densitometry; gold standard
1. Detection osteoporosis before fractures.
2. Determination disease severity.
3. Estimation risk of fracture.
– Serial BMD measurements enable determination
of rate of bone loss or gain and thereby help in
monitoring therapy.
Plain filmPlain film; loss of 30% to 50% of bone is required
before it is detected on conventional
radiographs.
Radiological finding (1)Radiological finding (1)
• The m/c radiologic finding is generalized
osteopenia.
– Cortical thinning and accentuation of
weightbearing trabeculae.
– The bone surfaces are well defined, with
sharp margins.
Radiological finding (2)Radiological finding (2)
• Fractures - vertebral deformities, which
are also common, include biconcave
end plates (fish vertebrae) and anterior
wedging.
Lateral radiograph of the lumbar spine in a 55-year-old woman with postmenopausal osteoporosis shows generalized osteopenia,
compression fractures, and biconcave vertebral endplates ("fish vertebra"). Notice thin, well-defined vertebral cortices ( arrows).
Radiological finding (3)Radiological finding (3)
• Patients with osteoporosis secondary to
excess steroids.
– Generalized osteopenia.
– Fractures with exuberant callus
– Steroid-related complications;
• Avascular necrosis.
• Osteomyelitis.
Differential considerations forDifferential considerations for
diffuse osteopeniadiffuse osteopenia
1. Osteomalacia.
– indistinct trabeculae and poorly defined interfaces
between cortical and trabecular bone.
– Presence of Looser's zones.
1. Hyperparathyroidism.
– bone resorption at characteristic sites.
1. Multiple myeloma.
– MR imaging may show areas of marrow
replacement.
Regional or localizedRegional or localized
osteoporosisosteoporosis
1. Immobilization and disuse
2. Reflex sympathetic dystrophy syndrome
(RSDS)
3. Transient regional osteoporosis
– Transient osteoporosis of the hip.
– Regional migratory osteoporosis.
1. Inflammatory arthritis.
2. Tumors
3. Infection.
Radiologic findings in regionalRadiologic findings in regional
osteoporosisosteoporosis (1)
• RSDS : mediated by the sympathetic
nervous system and is characterized by
– aggressive osteoporosis,
– soft tissue swelling.
 The cause is usually traumatic, but the
disease may also be idiopathic.
AP radiograph of the hand in a patient with reflex sympathetic dystrophy syndrome shows soft-tissue swelling and periarticular osteopenia.
ASSESSMENT OF OSTEOPOROSIS
RADIOGRAPHIC BONE
DENSTIOMETRY
spine-Grading systems for
spine is based on the
appearance and thickness of
cortical shell.
Vertebrae were graded from
6 to 1 as the vertical
trabeculae pattern becomes
more pronounced with the
loss of the horizontal
trabeculae and the cortical
shell becomes progressively
thinned.
SINGH’S INDEX-
GRADE 6: All normal trabeculae are
seen.
GRADE 5:Principle tensile and
compressive trabeculae accentuated
GRADE 4:Equivocal evidence with
principal tensile trabeculae reduced
in no but continue to extend from
lateral cortex to femoral neck
GRADE 3:Suggests definite
osteoporosis .Break in continuity of
principle tensile trabeculae
GRADE 2:Marked osteoporosis .
No tensile trabeculae seen.
GRADE 1:Severe osteoporosis
marked reduction even in no of
principle compressive trabeculae
QCT-Quantitative
computed tomography
Ultrasound-
• Primarily used to
measure the spine.
• Provides separate
measurements of
cortical and trabecular
bone and may be
especially valuable in
older people.
• Measures bone mass by
calculating the
attenuation of the signal
as it passes through
bone or through the
speed with which it
traverses.
• Mainly used in screening
because of low cost and
mobility.
MARKERS-
Markers of bone
formation
Markers of bone
resorption
• Serum alkaline
phosphatase
• Serum osteocalcin
• Serum C-N- propeptide
of type 1 collagen
• Urinary excretion of
pyridinium cross links of
collagen deoxypyridinoline
• Urinary excretion of c-and n-
telopeptides of collagen
• Urinary excretion of
galactosyl hydroxyproline
• Urinary excretion of
hydroxyproline
• Serum tartrate resistant acid
phosphatase
PREVENTION OF
OSTEOPOROSIS
Osteoporosis is not an inevitable part of the
ageing process .It can be prevented.
• Increased bone mass by exercise , nutrition during
adolescence to achieve peak bone mass and also at any age
to maintain bone mass.
• Drugs at menopause- Women need drug therapy twice in her
life –Once at perimenopause,2nd
time in old age.
• Yearly BMD measurement especially in females.
• No excessive use of alcohol.
• No smoking.
• Exercise: Aerobic, muscle strengthening , yoga .
• Balanced nutrition.
NUTRITIONAL RECOMMENDATION
• Calcium-Optimum ca.
intake reduces bone loss
and suppresses turnover.
• Dairy products ,green leafy
vegetable , juices,cereals are
good source.
• But most patient require
supplements and it should be
taken in dose of >600 mg at
a time as ca absorption
fraction decreases at higher
dose.
VITAMIN-D
• Even though it is called a vitamin, vitamin D acts more
like a hormone in that it helps to increase calcium
absorption and decrease calcium excretion. Vitamin D
can be synthesized in the skin when the skin is exposed
to ultraviolet-B rays from sunlight. A five to ten-minute
exposure of sunlight to the unprotected arms and legs
results in the production of 3000 IU of vitamin D. Proper
intake of calcium and vitamin D may decrease fracture
rates by up to 25% by maintaining good bone health.
• Over the past several years, the recommended daily
dose of vitamin D has increased. The newest
recommendations suggest that 1000 IU of vitamin D is
needed daily
OTHER FACTORS-
• Adequate vit –k is required for optimal
carboxylation of osteocalcin.
• Adequate protein and caloric
supplementation reduces the risk of fracture .
• Exercise in young individuals increases
likelihood that they will attain maximal
genetically determined peak bone mass.
MEDICAL TREATMENT
Hormonal replacement therapy-
• Estrogen: It reduces turn over , prevents bone loss
and induces small increase in bone mass.
Effective in both surgical and natural menopause.
• Dose for oral route-
Esterified estrogens-0.3mg/day
Conjugated equine estrogen0.625mg/day
Ethinyl estadiol-5microgram/day
• Transdermal-50 microgram estadiol/day
• Progestin's-
• In women with a uterus intact, daily
progestin or cyclical progestin at least 12
days per month are prescribed in
combination with estrogen to reduce risk
of uterine cancer.
• HRT should be started early within 5
years of menopause as loss of estrogen
at menopause triggers a period of rapid
bone loss of about 5 years.
SERMS
• Selective estrogen receptor modulators have
almost replaced HRT.
• Raloxifene is devoid of action on endometrium and
being extensively used for prevention of
osteoporosis and breast cancer.
• 60 to 120mg/day increases the BMD .
• It reduces the occurrence of vertebral fracture by
30% to 50%
BISPHOSPHONATES-
• This group of drugs are
currently the most
potent treatment of
osteoporosis based on
BMD and fracture
studies.
• They inhibit bone
resorption by preventing
protein prenylation in
osteoclast, owing to
inhibition of farnesyl
diphosphate synthase.
BISPHOSPHONATES
BIPHOSPHONATE
complications-
•Subtrochantric
fracture after
prolong use(more
than 5 years)
•Avascular
necrosis of
mandible
INDICATIONS-
• Osteoporosis
• Postmenopausal
women
• Avascular necrosis of
head of femur
• Perthes disease
• Joint cell tumor of bone
• Total hip replacement to
prevent loosening
Usage guideline-
•ALENDRONATE} Patient must
remain upright and refrain from
eating for 30 mins following dose.
•IBANDRONATE}
Oral- Patient must
remain upright and refrain from
eating for 60 mins following dose.
I.V-15 to 30 sec bolus iv injection.
•RESEDRONATE} Patient must
remain upright and refrain from
eating for 30 mins following dose.
•Zolendronic acid}Slow iv infusion
given over a constant infusion rate
the infusion time must be less then
15 min is recommended for patients
with creatinine clearance
>35ml/min.
FLUORIDE-
•Has been used in multiple
ostoporosis studies but with
conflicting results.
•So it remains as a experiment
agent.
PTH-
•PTH is associated with
maintenance of
trabecular bone mass.
•It is approved for
treatment of
osteoporosis in patient
with high risk of
fracture.
CALCITONIN-
• Calcitonin can be given as
subcutaneous injection or in
nasal spray.
• Nasal spray containing
calcitonin (200IU/day) is
approved for treatment of
osteoporosis in post
menopausal women.
• The most valid indication is
intractable pain caused by
vertebral fracture.
RICKETS ANDRICKETS AND
OSTEOMALACIAOSTEOMALACIA
Rickets and osteomalaciaRickets and osteomalacia
• Rickets and osteomalacia are similar
histologically.
• Abnormality in vitamin D metabolism.
• Incomplete mineralization of normal
osteoid tissue.
RicketsRickets
Occurs in childrenOccurs in children
AAffects immatureffects immature bonebone
OsteomalaciaOsteomalacia
Occurs in adultOccurs in adult
Affects mature boneAffects mature bone
Rickets and osteomalaciaRickets and osteomalacia
Maintain calcium and phosphate homeostasis.
Clinical findings ofClinical findings of
Rickets and OsteomalaciaRickets and Osteomalacia
Rickets:Rickets: stunted skeletal growth.
• Apathetic, Irritable, Hypokinetic.
• Frontal bossing, softening of the skull,
dental caries, rachitic rosary, kyphosis,
joint enlargement, or bowing of long
bones.
• Fractures and slipped capital femoral
epiphyses.
Depend in part on the etiology and severity of the disorder, as well as the
age of the patient at presentation
Clinical findings ofClinical findings of
Rickets and OsteomalaciaRickets and Osteomalacia
Osteomalacia:Osteomalacia: more subtle.
• Fatigue, malaise, or bone pain.
• Proximal muscle weakness and
abnormal gait may be present.
Depend in part on the etiology and severity of the disorder, as well as the
age of the patient at presentation
Radiologic findings ofRadiologic findings of
OsteomalaciaOsteomalacia
• The M/C radiologic sign is generalized
osteopenia.
• Coarsened and indistinct bony trabeculae.
• Poorly defined interfaces between cortical and
trabecular bone.
• Looser's zone, or pseudofracture. (more
specific but less common)
• End plate deformities and fractures of
vertebral bodies, bowing and fractures of long
bones, and basilar invagination of skull.
The radiologic findings of osteomalacia are often nonspecific, difficult to
confirm the diagnosis with imaging studies
Radiologic findings ofRadiologic findings of
OsteomalaciaOsteomalacia
Looser's zone.Looser's zone.
• Linear areas of undermineralized
osteoid that occur in a bilateral and
symmetric distribution.
• Characteristic sites; inner margins of
femoral neck, proximal ulna, axillary
margin of the scapula, pubic rami, and
ribs.
• DDx; Paget's disease or fibrous
dysplasia.
AP radiograph of the hip in a 50-year-old man with osteomalacia shows coarsened trabecular pattern with indistinct trabeculae.
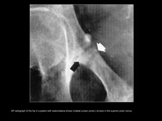
AP radiograph of the hip in a patient with osteomalacia shows multiple Looser zones ( arrows) in the superior pubic ramus.
Osteomalacia. AP radiograph of the pelvis showing osteopenia with bilateral femoral neck pseudofractures (arrows).
Radiologic findings ofRadiologic findings of
RicketsRickets
• The M/C radiologic sign is generalized
osteopenia.
• Increased lucency, widening, elongation,
irregularity, and cupping of the metaphyses.
– Earliest; Slight axial widening of the physis
– Next; Increased lucency of the zone of provisional
calcification.
– More advance; The physis widens and its contour
becomes irregular.
• Occasionally, in patients with rickets caused
by chronic renal disease, increased sclerosis
may be seen.
Radiologic findings ofRadiologic findings of
RicketsRickets
• The regions of highest yield on
radiologic evaluation of rickets are those
that are undergoing rapid growth.
– Costochondral junctions of middle ribs
(rachitic rosary)
– Distal femur
– Both ends of the tibia
– Distal radius and ulna
– Proximal humerus.
Radiologic findings ofRadiologic findings of
RicketsRickets
• The complication of rickets.
– Skeletal deformities.
– In neonates; posterior flattening and squaring of
the skull, or craniotabes, may be seen.
– In early childhood; bowing deformities of arms and
legs are common.
– Older children: scoliosis, vertebral end plate
deformities, basilar invagination of the skull may be
seen.
– Advance disease: Slipped capital femoral
epiphysis.
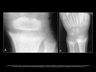
A, AP radiograph of the knee in a 2-year-old girl with rickets shows generalized osteopenia and widening of the metaphyses of the proximal tibia and fibula. B, AP radiograph of
the wrist in another child with rickets shows generalized osteopenia, as well as widening and irregularity of the metaphyses of the distal radius and ulna.
Rickets in a young child with growth plate widening and irregularity in the wrist (A) and knees (B). Note the small epiphyses in the knees.
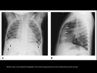
Rachitic rosary. (A) and lateral (B) radiographs of the chest showing prominence of the costochondral junctions (arrows).
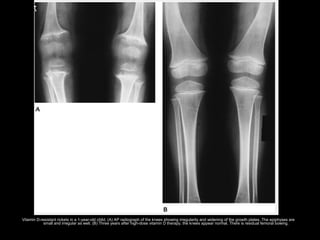
Vitamin D-resistant rickets in a 1-year-old child. (A) AP radiograph of the knees showing irregularity and widening of the growth plates. The epiphyses are
small and irregular as well. (B) Three years after high-dose vitamin D therapy, the knees appear normal. There is residual femoral bowing.
HOW DO WE TREAT?
HYPERPARATHYROIDISHYPERPARATHYROIDIS
MM
HYPERPARATHYROIDISHYPERPARATHYROIDIS
MM
• Primary
– Parathyroid adenoma
• Secondary
– chronic renal insufficiency.
Hyperparathyroidism may result in either bone
resorption or bone formation, bone resorption
usually dominates.
Radiologic findings ofRadiologic findings of
HYPERPARATHYROIDISMHYPERPARATHYROIDISM
• The M/C radiologic abnormality is generalized
osteopenia.
• Bone resorption, bone sclerosis, brown tumors,
chondrocalcinosis, soft tissue calcification, and
vascular calcification.
• Brown tumors appear as well-defined lytic lesions.
– After resection of parathyroid adenomas, the lesions may
become sclerotic and may mimic blastic metastasis.
• Bone resorption, the most characteristic finding, is
usually classified as
– subchondral, trabecular, endosteal, intracortical,
subperiosteal, subligamentous, and subtendinous.
Radiologic findings ofRadiologic findings of
HYPERPARATHYROIDISMHYPERPARATHYROIDISM
• Subperiosteal resorption - M/C
– Usually occurs in the hands and feet.
– M/C affected site: radial aspects of the middle phalanges.
– Acro-osteolysis or phalangeal tufts resoption may also be
present.
• Trabecular resorption
– Often seen in the diploic space of the skull, where it has a
characteristic salt and pepper appearance.
• Subchondral resorption
– May be seen in the sacroiliac joints, sternoclavicular joints,
acromioclavicular joints, symphysis pubis, and discovertebral
junction .
AP radiograph of the hand in a 66-year-old woman with primary hyperparathyroidism owing to parathyroid adenoma shows subperiosteal bone
resorption ( arrows) along the radial aspect of 2nd, 3rd, and 4th middle phalanges.
AP radiograph of the knee in a child with hyperparathyroidism shows subperiosteal bone resorption ( arrow) along the proximal medial tibia.
Lateral radiograph of the skull in a 23-year-old man with secondary hyperparathyroidism shows trabecular resorption of the diploic space ("salt and pepper" appearance).
Dental radiograph in another child with hyperparathyroidism shows resorption ( arrow) of the lamina dura of the mandible.
Radiologic findings ofRadiologic findings of
HYPERPARATHYROIDISMHYPERPARATHYROIDISM
SecondarySecondary
• Bony sclerosis; focal
or generalized.
• Rugger-jersey
appearance of
spine.
• Soft tissue and
vascular
calcification.
PrimaryPrimary
• Chondrocalcinosis
• usually seen in the
menisci of the
knee, the
triangular
fibrocartilage of
the wrist, and the
pubic symphysis
AP radiograph of the wrist in an 83-year-old woman with primary hyperparathyroidism shows
chondrocalcinosis ( arrow) of the triangular fibrocartilage.
Secondary HPT. Radiograph of the pelvis and hips showing diffuse osteosclerosis.
A, AP radiograph of the spine in a patient with secondary hyperparathyroidism shows generalized bone sclerosis, small kidneys, and left renal calculi. B, Lateral radiograph of the lumbar spine
in another patient with secondary hyperparathyroidism shows horizontal, bandlike ("rugger jersey") sclerosis of the vertebral bodies ( arrows).
AP radiograph of the hand in a 50-year-old man with renal osteodystrophy shows acro-osteolysis ( short arrows), subperiosteal bone
resorption ( long arrows), and vascular calcifications.
Secondary HPT. Radiograph of the hand showing resorption of the first to third tufts with soft tissue calcification (1). There is articular
calcification (2), and subperiosteal and subligamentous resorption (3).
The differential diagnosis ofThe differential diagnosis of
HYPERPARATHYROIDISMHYPERPARATHYROIDISM
• Focal subperiosteal resorption involving a single bone
– Neoplasms or osteomyelitis.
• Bone sclerosis in patients with secondary
hyperparathyroidism.
– Metastatic disease, radiation-induced bone disease,
hypoparathyroidism, myelofibrosis, mastocytosis, sickle-cell
disease, and Paget's disease.
• Chondrocalcinosis
– Pyrophosphate arthropathy (CPPD) or hemochromatosis.
• Brown tumors
– includes other focal lytic lesions, such as giant cell tumor
and fibrous dysplasia.
TREATMENT
1. Management of acute hypercalcemia by
rehydration with normal
saline,bisphosphonates,haemodialysis.
2. Medical line : -Monitor serum creatinine
levels and calcium levels every 6
months.DEXA scan on an annual basis.
-Avoid thiazide diuretics.
-Maintain high oral fluid intake.
-Improving bone mineral density and
achieving calcium homeostasis by
calcimimetics and HRT.
3. Surgery : -Is indicated in patients
with complications and in younger
age group.
-Minimally invasive surgery to excise
solitary adenoma,
Subtotal parathyroidectomy in case
of diffuse hyperplasia are being done.
SECONDARY
HYPERPARATHYROIDISM
• It occurs when PTH secretion is increased to
compensate for prolonged hypocalcemia.
• It is seen in patients with chronic renal
failure where the failing kidneys do not
convert vitamin D to its active form and
they do not excrete phosphate.
Excess phosphate combines with calcium to
form calcium phosphate.
• Both processes lead to hypocalcemia,cause
hyperplasia of all parathyroid tissue and
hence secondary hyperparathyroidism.
• Secondary hyperparathyroidism can
also result from malabsorption of
vitamin D due to chronic
pancreatitis,small bowel
disease,bariatric surgery.
• CLINICAL FEATURES : are mostly
of renal failure.If it is due to vitamin D
deficiency,limb
deformities,pathological fractures
occur.
• INVESTIGATIONS : Serum calcium levels are
low.PTH levels are raised. Phosphate levels
depend on etiology (e.g. high in renal disease,
low in vitamin D deficiency).
Radiology shows evidence of bone disease.
• TREATMENT : Medical line is the mainstay.
The underlying condition needs to be
treated
-correcting vitamin D deficiency.
-treatment of chronic kidney disease
(Calcium supplementation.
Treatment with vitamin D and its analogues.
Calcimimetics)
TERTIARY
HYPERPARATHYROIDISM
• In a small proportion of cases of
secondary
hyperparathyroidism,continuous
stimulation of the parathyroids results in
adenoma formation and unregulated PTH
secretion.
• Even correction of the underlying cause
will not stop excess PTH secretion i.e
parathyroid gland hypertrophy becomes
irreversible.
• CLINICAL FEATURES : Symptoms and
signs are due to hypercalcemia so
presentation is similar to primary
hyperparathyroidism.
• INVESTIGATIONS : Serum calcium and
PTH levels are raised.
Phosphate levels are often high.
• TREATMENT : Total or subtotal
parathyroidectomy is the recommended
treatment.
Autotransplantation of parathyroid tissue in
the forearm is also commonly carried out.
THANK YOU

Metabolic bone diseases

  • 1.
    ORTHOPEDIC ASPECTS OFORTHOPEDICASPECTS OF METABOLIC BONEMETABOLIC BONE DISEASEDISEASE Presented by DR. ANUBHAV VERMAPresented by DR. ANUBHAV VERMA 30.8.16 Chairperson: Dr. P. Sastry JSS Medical College and hospital, Mysore
  • 2.
    Metabolic bone diseaseMetabolicbone disease (MBD)(MBD) • Encompasses a diverse group of disorders associated with altered calcium and phosphorus homeostasis. • To orthopedic surgeons; MBD is often silent until the patient presents with fracture. IntroductionIntroduction
  • 3.
    Table of contentTableof content  Osteoporosis.  Osteomalacia and rickets.  Hyperparathyroidism.
  • 4.
  • 5.
    OSTEOPOROSISOSTEOPOROSIS • Most commonmetabolic bone disease. • One of the most prevalent conditions associated with aging.
  • 6.
    OSTEOPOROSISOSTEOPOROSIS Definition : reducedbone mass of normal composition.
  • 7.
    OSTEOPOROSISOSTEOPOROSIS • Clinical definition:requires the presence of a nontraumatic fracture. • Histologic definition: requires normally mineralized bone to be present in reduced quantity.
  • 8.
  • 9.
    Classification • PRIMARY- Postmenopausal osteoporosis(type I) Caused by lack of estrogen Causes PTH to overstimulate osteoclasts Excessive loss of trabecular bone Age-associated osteoporosis (type II) Bone loss due to decreased bone turnover Malabsorption Mineral and vitamin deficiency
  • 10.
    • SECONDARY- 1.Hormonal-Hyper parathyroidism,Hypo parathyroidism, hypogonadism,pituitary tumors, DM-Type 1,Addison’s disease, cushings syndrome 2.Nutritional 3.Drugs- corticosteroids,Alcohol,Anticonvulsant’s,Vit-d toxicity 4.Inherited metabolic disorders- Ehler-danlos syndrome, osteogenesis imperfecta ,marfan’syndrome. 5.Other causes-porphyrinuria, Myeloma, Thalassemia, Pregnancy,Anorexia nervosa,systemic mastocytosis
  • 11.
    Concept of peakadult bone mass-
  • 12.
    ETIOLOGY AND PTHOGENESIS • GENETICFACTORS-The prevalence varies according to race. Due to difference in peak bone mass. Adult blacks >bone mass then whites and asians. • ESTROGEN STATUS-Estrogen inhibits osteoclasts and stimulate osteoblasts.It causes activation of new bone remodeling sites and exaggerates imbalance between bone formation and resorption
  • 13.
    • Endocrine disorders- 1.Hypogonadism-Causes bone loss in both men and women.Other hypogonadal condition include castration, panhypopituitarism, klinfelter’s 2. Hypercortisolism- Cushing syndrome Chronic steroid therapy This leads to decrease intestinal absorption of calcium Also stimulates PTH vitD endocrine axis leading to bone resorption.
  • 14.
    Hyperthyroidism and Hyperparathyroidism- Theyincrease bone turnover and remodeling causing a net increase in bone re absorption.
  • 15.
    • NUTRITIONAL DEFICIENCY- CALCIUM-Adequateca intake is vital for maintaining peak bone mass. In response to ca deficiency the body robs the calcium it needs from skeletal reserve by increasing PTH and 1,25(OH)2 D.
  • 16.
    VITAMIN D- Dietarysource supply 50% of vit D, the remaining is synthesized in the skin in response to ultraviolet irradiation. The active form of vit D helps maintain normal levels of calcium and phosphate.
  • 17.
    • DRUGS ,ALCOHOLAND SMOKING- Chronic alcoholism is the most common cause of bone loss in young men in part because of poor nutrition. Tobacco smoking is also linked to a reduction in bone density and may effect remodeling. Drugs corticosteroids,Alcohol,Anticonvulsant’s,hepa rin ,cytotoxic drugs,lithium are associated with increased risk of osteoporosis
  • 18.
    • CHRONIC ILLNESSAND TUMORS- Chronic illness of almost any kind can lead to osteopenia, with malnutrition and disuse the major contributing factors. Osteopenia is the most common complication of most bone marrow tumors. Myeloma cells produce cytokines that potenitially stimulate bone resorption. Neoplastic disease appears to cause osteoporosis through osteoclast activating factor ,interleukins and tumor necrosis factor.
  • 19.
    • DISUSE- Disuse osteoporosisis more likely to develop in sedentary person. It is not the lack of movement that leads to osteoporosis but the absence of mechanical stresses on the bone from wt bearing activity and from powerful antigravity muscle. This leads to a progressive thinning and eventual loss of trabeculae, the loss of trabeculae is most dramatic in axial skeleton, specially the vertebral bodies.
  • 20.
    CLINICAL MANIFESTATION • Osteoporosis, the silent thief usually remains asymptomatic until the weakened bone fractures. • Complications are compression fracture of the vertebral bodies and fractures of hip,ribs, humerus,and distal radius. • Osteoporotic fractures are suspected in- 1. Elderly people(>40) 2. Sudden onset of pain(commonly in back) 3. Stooped posture 4. Shortened stature 5. Fractures of hip with minimal trauma.
  • 21.
    VERTEBRAL COMPRESSION FRACTURES- • Theearliest symptom of osteoporosis is often an episode of acute back pain . • Spine movement is severely reduced with flexion reduced more then extension. • Pain intensifies with sitting or standing and is relieved on rest. • Coughing sneezing and straining to move the bowels can exacerbate the pain. • Anterior compression fracture may cause thoracic kyphosis.
  • 22.
    • Stooping postureis characteristic of osteoporosis. • Spasm of paravertebral muscle are palpable and often visible. • Spontaneous vertebral compression fracture are stable injuries.
  • 23.
    Diagnosis OsteoporosisDiagnosis Osteoporosis BonedensitometryBone densitometry; gold standard 1. Detection osteoporosis before fractures. 2. Determination disease severity. 3. Estimation risk of fracture. – Serial BMD measurements enable determination of rate of bone loss or gain and thereby help in monitoring therapy. Plain filmPlain film; loss of 30% to 50% of bone is required before it is detected on conventional radiographs.
  • 25.
    Radiological finding (1)Radiologicalfinding (1) • The m/c radiologic finding is generalized osteopenia. – Cortical thinning and accentuation of weightbearing trabeculae. – The bone surfaces are well defined, with sharp margins.
  • 26.
    Radiological finding (2)Radiologicalfinding (2) • Fractures - vertebral deformities, which are also common, include biconcave end plates (fish vertebrae) and anterior wedging.
  • 27.
    Lateral radiograph ofthe lumbar spine in a 55-year-old woman with postmenopausal osteoporosis shows generalized osteopenia, compression fractures, and biconcave vertebral endplates ("fish vertebra"). Notice thin, well-defined vertebral cortices ( arrows).
  • 29.
    Radiological finding (3)Radiologicalfinding (3) • Patients with osteoporosis secondary to excess steroids. – Generalized osteopenia. – Fractures with exuberant callus – Steroid-related complications; • Avascular necrosis. • Osteomyelitis.
  • 30.
    Differential considerations forDifferentialconsiderations for diffuse osteopeniadiffuse osteopenia 1. Osteomalacia. – indistinct trabeculae and poorly defined interfaces between cortical and trabecular bone. – Presence of Looser's zones. 1. Hyperparathyroidism. – bone resorption at characteristic sites. 1. Multiple myeloma. – MR imaging may show areas of marrow replacement.
  • 31.
    Regional or localizedRegionalor localized osteoporosisosteoporosis 1. Immobilization and disuse 2. Reflex sympathetic dystrophy syndrome (RSDS) 3. Transient regional osteoporosis – Transient osteoporosis of the hip. – Regional migratory osteoporosis. 1. Inflammatory arthritis. 2. Tumors 3. Infection.
  • 32.
    Radiologic findings inregionalRadiologic findings in regional osteoporosisosteoporosis (1) • RSDS : mediated by the sympathetic nervous system and is characterized by – aggressive osteoporosis, – soft tissue swelling.  The cause is usually traumatic, but the disease may also be idiopathic.
  • 33.
    AP radiograph ofthe hand in a patient with reflex sympathetic dystrophy syndrome shows soft-tissue swelling and periarticular osteopenia.
  • 35.
    ASSESSMENT OF OSTEOPOROSIS RADIOGRAPHICBONE DENSTIOMETRY spine-Grading systems for spine is based on the appearance and thickness of cortical shell. Vertebrae were graded from 6 to 1 as the vertical trabeculae pattern becomes more pronounced with the loss of the horizontal trabeculae and the cortical shell becomes progressively thinned.
  • 36.
    SINGH’S INDEX- GRADE 6:All normal trabeculae are seen. GRADE 5:Principle tensile and compressive trabeculae accentuated GRADE 4:Equivocal evidence with principal tensile trabeculae reduced in no but continue to extend from lateral cortex to femoral neck GRADE 3:Suggests definite osteoporosis .Break in continuity of principle tensile trabeculae GRADE 2:Marked osteoporosis . No tensile trabeculae seen. GRADE 1:Severe osteoporosis marked reduction even in no of principle compressive trabeculae
  • 37.
    QCT-Quantitative computed tomography Ultrasound- • Primarilyused to measure the spine. • Provides separate measurements of cortical and trabecular bone and may be especially valuable in older people. • Measures bone mass by calculating the attenuation of the signal as it passes through bone or through the speed with which it traverses. • Mainly used in screening because of low cost and mobility.
  • 38.
    MARKERS- Markers of bone formation Markersof bone resorption • Serum alkaline phosphatase • Serum osteocalcin • Serum C-N- propeptide of type 1 collagen • Urinary excretion of pyridinium cross links of collagen deoxypyridinoline • Urinary excretion of c-and n- telopeptides of collagen • Urinary excretion of galactosyl hydroxyproline • Urinary excretion of hydroxyproline • Serum tartrate resistant acid phosphatase
  • 39.
    PREVENTION OF OSTEOPOROSIS Osteoporosis isnot an inevitable part of the ageing process .It can be prevented. • Increased bone mass by exercise , nutrition during adolescence to achieve peak bone mass and also at any age to maintain bone mass. • Drugs at menopause- Women need drug therapy twice in her life –Once at perimenopause,2nd time in old age. • Yearly BMD measurement especially in females. • No excessive use of alcohol. • No smoking. • Exercise: Aerobic, muscle strengthening , yoga . • Balanced nutrition.
  • 40.
    NUTRITIONAL RECOMMENDATION • Calcium-Optimumca. intake reduces bone loss and suppresses turnover. • Dairy products ,green leafy vegetable , juices,cereals are good source. • But most patient require supplements and it should be taken in dose of >600 mg at a time as ca absorption fraction decreases at higher dose.
  • 41.
    VITAMIN-D • Even thoughit is called a vitamin, vitamin D acts more like a hormone in that it helps to increase calcium absorption and decrease calcium excretion. Vitamin D can be synthesized in the skin when the skin is exposed to ultraviolet-B rays from sunlight. A five to ten-minute exposure of sunlight to the unprotected arms and legs results in the production of 3000 IU of vitamin D. Proper intake of calcium and vitamin D may decrease fracture rates by up to 25% by maintaining good bone health. • Over the past several years, the recommended daily dose of vitamin D has increased. The newest recommendations suggest that 1000 IU of vitamin D is needed daily
  • 42.
    OTHER FACTORS- • Adequatevit –k is required for optimal carboxylation of osteocalcin. • Adequate protein and caloric supplementation reduces the risk of fracture . • Exercise in young individuals increases likelihood that they will attain maximal genetically determined peak bone mass.
  • 43.
    MEDICAL TREATMENT Hormonal replacementtherapy- • Estrogen: It reduces turn over , prevents bone loss and induces small increase in bone mass. Effective in both surgical and natural menopause. • Dose for oral route- Esterified estrogens-0.3mg/day Conjugated equine estrogen0.625mg/day Ethinyl estadiol-5microgram/day • Transdermal-50 microgram estadiol/day
  • 44.
    • Progestin's- • Inwomen with a uterus intact, daily progestin or cyclical progestin at least 12 days per month are prescribed in combination with estrogen to reduce risk of uterine cancer. • HRT should be started early within 5 years of menopause as loss of estrogen at menopause triggers a period of rapid bone loss of about 5 years.
  • 45.
    SERMS • Selective estrogenreceptor modulators have almost replaced HRT. • Raloxifene is devoid of action on endometrium and being extensively used for prevention of osteoporosis and breast cancer. • 60 to 120mg/day increases the BMD . • It reduces the occurrence of vertebral fracture by 30% to 50%
  • 46.
    BISPHOSPHONATES- • This groupof drugs are currently the most potent treatment of osteoporosis based on BMD and fracture studies. • They inhibit bone resorption by preventing protein prenylation in osteoclast, owing to inhibition of farnesyl diphosphate synthase.
  • 47.
  • 48.
    BIPHOSPHONATE complications- •Subtrochantric fracture after prolong use(more than5 years) •Avascular necrosis of mandible INDICATIONS- • Osteoporosis • Postmenopausal women • Avascular necrosis of head of femur • Perthes disease • Joint cell tumor of bone • Total hip replacement to prevent loosening
  • 49.
    Usage guideline- •ALENDRONATE} Patientmust remain upright and refrain from eating for 30 mins following dose. •IBANDRONATE} Oral- Patient must remain upright and refrain from eating for 60 mins following dose. I.V-15 to 30 sec bolus iv injection. •RESEDRONATE} Patient must remain upright and refrain from eating for 30 mins following dose. •Zolendronic acid}Slow iv infusion given over a constant infusion rate the infusion time must be less then 15 min is recommended for patients with creatinine clearance >35ml/min.
  • 50.
    FLUORIDE- •Has been usedin multiple ostoporosis studies but with conflicting results. •So it remains as a experiment agent. PTH- •PTH is associated with maintenance of trabecular bone mass. •It is approved for treatment of osteoporosis in patient with high risk of fracture. CALCITONIN- • Calcitonin can be given as subcutaneous injection or in nasal spray. • Nasal spray containing calcitonin (200IU/day) is approved for treatment of osteoporosis in post menopausal women. • The most valid indication is intractable pain caused by vertebral fracture.
  • 51.
  • 52.
    Rickets and osteomalaciaRicketsand osteomalacia • Rickets and osteomalacia are similar histologically. • Abnormality in vitamin D metabolism. • Incomplete mineralization of normal osteoid tissue. RicketsRickets Occurs in childrenOccurs in children AAffects immatureffects immature bonebone OsteomalaciaOsteomalacia Occurs in adultOccurs in adult Affects mature boneAffects mature bone
  • 53.
    Rickets and osteomalaciaRicketsand osteomalacia Maintain calcium and phosphate homeostasis.
  • 54.
    Clinical findings ofClinicalfindings of Rickets and OsteomalaciaRickets and Osteomalacia Rickets:Rickets: stunted skeletal growth. • Apathetic, Irritable, Hypokinetic. • Frontal bossing, softening of the skull, dental caries, rachitic rosary, kyphosis, joint enlargement, or bowing of long bones. • Fractures and slipped capital femoral epiphyses. Depend in part on the etiology and severity of the disorder, as well as the age of the patient at presentation
  • 56.
    Clinical findings ofClinicalfindings of Rickets and OsteomalaciaRickets and Osteomalacia Osteomalacia:Osteomalacia: more subtle. • Fatigue, malaise, or bone pain. • Proximal muscle weakness and abnormal gait may be present. Depend in part on the etiology and severity of the disorder, as well as the age of the patient at presentation
  • 57.
    Radiologic findings ofRadiologicfindings of OsteomalaciaOsteomalacia • The M/C radiologic sign is generalized osteopenia. • Coarsened and indistinct bony trabeculae. • Poorly defined interfaces between cortical and trabecular bone. • Looser's zone, or pseudofracture. (more specific but less common) • End plate deformities and fractures of vertebral bodies, bowing and fractures of long bones, and basilar invagination of skull. The radiologic findings of osteomalacia are often nonspecific, difficult to confirm the diagnosis with imaging studies
  • 58.
    Radiologic findings ofRadiologicfindings of OsteomalaciaOsteomalacia Looser's zone.Looser's zone. • Linear areas of undermineralized osteoid that occur in a bilateral and symmetric distribution. • Characteristic sites; inner margins of femoral neck, proximal ulna, axillary margin of the scapula, pubic rami, and ribs. • DDx; Paget's disease or fibrous dysplasia.
  • 59.
    AP radiograph ofthe hip in a 50-year-old man with osteomalacia shows coarsened trabecular pattern with indistinct trabeculae.
  • 60.
    AP radiograph ofthe hip in a patient with osteomalacia shows multiple Looser zones ( arrows) in the superior pubic ramus.
  • 62.
    Osteomalacia. AP radiographof the pelvis showing osteopenia with bilateral femoral neck pseudofractures (arrows).
  • 63.
    Radiologic findings ofRadiologicfindings of RicketsRickets • The M/C radiologic sign is generalized osteopenia. • Increased lucency, widening, elongation, irregularity, and cupping of the metaphyses. – Earliest; Slight axial widening of the physis – Next; Increased lucency of the zone of provisional calcification. – More advance; The physis widens and its contour becomes irregular. • Occasionally, in patients with rickets caused by chronic renal disease, increased sclerosis may be seen.
  • 64.
    Radiologic findings ofRadiologicfindings of RicketsRickets • The regions of highest yield on radiologic evaluation of rickets are those that are undergoing rapid growth. – Costochondral junctions of middle ribs (rachitic rosary) – Distal femur – Both ends of the tibia – Distal radius and ulna – Proximal humerus.
  • 65.
    Radiologic findings ofRadiologicfindings of RicketsRickets • The complication of rickets. – Skeletal deformities. – In neonates; posterior flattening and squaring of the skull, or craniotabes, may be seen. – In early childhood; bowing deformities of arms and legs are common. – Older children: scoliosis, vertebral end plate deformities, basilar invagination of the skull may be seen. – Advance disease: Slipped capital femoral epiphysis.
  • 66.
    A, AP radiographof the knee in a 2-year-old girl with rickets shows generalized osteopenia and widening of the metaphyses of the proximal tibia and fibula. B, AP radiograph of the wrist in another child with rickets shows generalized osteopenia, as well as widening and irregularity of the metaphyses of the distal radius and ulna.
  • 67.
    Rickets in ayoung child with growth plate widening and irregularity in the wrist (A) and knees (B). Note the small epiphyses in the knees.
  • 68.
    Rachitic rosary. (A)and lateral (B) radiographs of the chest showing prominence of the costochondral junctions (arrows).
  • 69.
    Vitamin D-resistant ricketsin a 1-year-old child. (A) AP radiograph of the knees showing irregularity and widening of the growth plates. The epiphyses are small and irregular as well. (B) Three years after high-dose vitamin D therapy, the knees appear normal. There is residual femoral bowing.
  • 71.
    HOW DO WETREAT?
  • 72.
  • 73.
    HYPERPARATHYROIDISHYPERPARATHYROIDIS MM • Primary – Parathyroidadenoma • Secondary – chronic renal insufficiency. Hyperparathyroidism may result in either bone resorption or bone formation, bone resorption usually dominates.
  • 75.
    Radiologic findings ofRadiologicfindings of HYPERPARATHYROIDISMHYPERPARATHYROIDISM • The M/C radiologic abnormality is generalized osteopenia. • Bone resorption, bone sclerosis, brown tumors, chondrocalcinosis, soft tissue calcification, and vascular calcification. • Brown tumors appear as well-defined lytic lesions. – After resection of parathyroid adenomas, the lesions may become sclerotic and may mimic blastic metastasis. • Bone resorption, the most characteristic finding, is usually classified as – subchondral, trabecular, endosteal, intracortical, subperiosteal, subligamentous, and subtendinous.
  • 77.
    Radiologic findings ofRadiologicfindings of HYPERPARATHYROIDISMHYPERPARATHYROIDISM • Subperiosteal resorption - M/C – Usually occurs in the hands and feet. – M/C affected site: radial aspects of the middle phalanges. – Acro-osteolysis or phalangeal tufts resoption may also be present. • Trabecular resorption – Often seen in the diploic space of the skull, where it has a characteristic salt and pepper appearance. • Subchondral resorption – May be seen in the sacroiliac joints, sternoclavicular joints, acromioclavicular joints, symphysis pubis, and discovertebral junction .
  • 78.
    AP radiograph ofthe hand in a 66-year-old woman with primary hyperparathyroidism owing to parathyroid adenoma shows subperiosteal bone resorption ( arrows) along the radial aspect of 2nd, 3rd, and 4th middle phalanges.
  • 80.
    AP radiograph ofthe knee in a child with hyperparathyroidism shows subperiosteal bone resorption ( arrow) along the proximal medial tibia.
  • 81.
    Lateral radiograph ofthe skull in a 23-year-old man with secondary hyperparathyroidism shows trabecular resorption of the diploic space ("salt and pepper" appearance).
  • 83.
    Dental radiograph inanother child with hyperparathyroidism shows resorption ( arrow) of the lamina dura of the mandible.
  • 84.
    Radiologic findings ofRadiologicfindings of HYPERPARATHYROIDISMHYPERPARATHYROIDISM SecondarySecondary • Bony sclerosis; focal or generalized. • Rugger-jersey appearance of spine. • Soft tissue and vascular calcification. PrimaryPrimary • Chondrocalcinosis • usually seen in the menisci of the knee, the triangular fibrocartilage of the wrist, and the pubic symphysis
  • 85.
    AP radiograph ofthe wrist in an 83-year-old woman with primary hyperparathyroidism shows chondrocalcinosis ( arrow) of the triangular fibrocartilage.
  • 87.
    Secondary HPT. Radiographof the pelvis and hips showing diffuse osteosclerosis.
  • 88.
    A, AP radiographof the spine in a patient with secondary hyperparathyroidism shows generalized bone sclerosis, small kidneys, and left renal calculi. B, Lateral radiograph of the lumbar spine in another patient with secondary hyperparathyroidism shows horizontal, bandlike ("rugger jersey") sclerosis of the vertebral bodies ( arrows).
  • 90.
    AP radiograph ofthe hand in a 50-year-old man with renal osteodystrophy shows acro-osteolysis ( short arrows), subperiosteal bone resorption ( long arrows), and vascular calcifications.
  • 91.
    Secondary HPT. Radiographof the hand showing resorption of the first to third tufts with soft tissue calcification (1). There is articular calcification (2), and subperiosteal and subligamentous resorption (3).
  • 92.
    The differential diagnosisofThe differential diagnosis of HYPERPARATHYROIDISMHYPERPARATHYROIDISM • Focal subperiosteal resorption involving a single bone – Neoplasms or osteomyelitis. • Bone sclerosis in patients with secondary hyperparathyroidism. – Metastatic disease, radiation-induced bone disease, hypoparathyroidism, myelofibrosis, mastocytosis, sickle-cell disease, and Paget's disease. • Chondrocalcinosis – Pyrophosphate arthropathy (CPPD) or hemochromatosis. • Brown tumors – includes other focal lytic lesions, such as giant cell tumor and fibrous dysplasia.
  • 93.
    TREATMENT 1. Management ofacute hypercalcemia by rehydration with normal saline,bisphosphonates,haemodialysis. 2. Medical line : -Monitor serum creatinine levels and calcium levels every 6 months.DEXA scan on an annual basis. -Avoid thiazide diuretics. -Maintain high oral fluid intake. -Improving bone mineral density and achieving calcium homeostasis by calcimimetics and HRT.
  • 94.
    3. Surgery :-Is indicated in patients with complications and in younger age group. -Minimally invasive surgery to excise solitary adenoma, Subtotal parathyroidectomy in case of diffuse hyperplasia are being done.
  • 95.
    SECONDARY HYPERPARATHYROIDISM • It occurswhen PTH secretion is increased to compensate for prolonged hypocalcemia. • It is seen in patients with chronic renal failure where the failing kidneys do not convert vitamin D to its active form and they do not excrete phosphate. Excess phosphate combines with calcium to form calcium phosphate. • Both processes lead to hypocalcemia,cause hyperplasia of all parathyroid tissue and hence secondary hyperparathyroidism.
  • 97.
    • Secondary hyperparathyroidismcan also result from malabsorption of vitamin D due to chronic pancreatitis,small bowel disease,bariatric surgery. • CLINICAL FEATURES : are mostly of renal failure.If it is due to vitamin D deficiency,limb deformities,pathological fractures occur.
  • 98.
    • INVESTIGATIONS :Serum calcium levels are low.PTH levels are raised. Phosphate levels depend on etiology (e.g. high in renal disease, low in vitamin D deficiency). Radiology shows evidence of bone disease. • TREATMENT : Medical line is the mainstay. The underlying condition needs to be treated -correcting vitamin D deficiency. -treatment of chronic kidney disease (Calcium supplementation. Treatment with vitamin D and its analogues. Calcimimetics)
  • 99.
    TERTIARY HYPERPARATHYROIDISM • In asmall proportion of cases of secondary hyperparathyroidism,continuous stimulation of the parathyroids results in adenoma formation and unregulated PTH secretion. • Even correction of the underlying cause will not stop excess PTH secretion i.e parathyroid gland hypertrophy becomes irreversible.
  • 100.
    • CLINICAL FEATURES: Symptoms and signs are due to hypercalcemia so presentation is similar to primary hyperparathyroidism. • INVESTIGATIONS : Serum calcium and PTH levels are raised. Phosphate levels are often high. • TREATMENT : Total or subtotal parathyroidectomy is the recommended treatment. Autotransplantation of parathyroid tissue in the forearm is also commonly carried out.
  • 101.

Editor's Notes

  • #9 dual energy X-ray absorptiometry (DXA)
  • #12 IT REFERS TO PEAK ADULT BONE MASS AND IS ATTAINED BETWEEN 18 TO 35 YR.ONCE THE PEAK IS ATTAINES THE PROCESS OF REMODELLING BECOMES THE PRINCIPLE METABOLIC ACTIVITY OF SKELETON.THE MASS OF SKELETON REMAINS CONSTANT AFTER PEAK IS ACHIVED AS RESORBED BONE IS REPLACED BY EQUAL AMOUNT OF NEW BONE.AFTER THE AGE OF 30 TO 45 RESORPTION ESCEEDS FORMATION SO BONE MASS DECLINES.THIS DECLINE IS EXAGGERATED IN WOMEN AFTER MENOPAUSE.
  • #13 As remodelling is initiated at the surface of bone as trabecular bone has considerably large surface area then corical bone so it is preferentially affected by estrogen deficiancy.so fracture occur when trabecular bone contribute more to bone strength so vertebral fracture are the most common early consequence of estrogen deficiency.
  • #14 To maintain serum con of ca.
  • #17 1,25(oh)2 d has a negative feedback on PTH so it’s deficiency caused high leval of PTH.
  • #23 Involvement of spinal cord or caudal equine is less common
  • #24 dual energy X-ray absorptiometry (DXA) and quantitative CT scan (QCT)
  • #26 Osteopenia= a nonspecific term that describes decreased bone density.
  • #27 Osteopenia= a nonspecific term that describes decreased bone density.
  • #30 Osteopenia= a nonspecific term that describes decreased bone density.
  • #32 Osteopenia= a nonspecific term that describes decreased bone density.
  • #33 Osteopenia= a nonspecific term that describes decreased bone density.
  • #34 ให้สังเกตว่า joint space จะปกติ ใช้แยกจากโรคของ arthritis ต่างๆ
  • #35 This patient had a long-standing immobilization due to a fracture of the right humerus. The appearances in the right hand are classical for reflex sympathetic dystrophy, or Sudeck’s atrophy, and include: 1. Pronounced demineralization of the bones, particularly in the periarticular region.2. No joint involvement.ssociated soft tissue atrophy. This condition has been recently renamed the “complex regional pain syndrome”.
  • #39 Markers of bone resorption are based on break down products of collagen released into the urine.
  • #42 THE JOURNAL OF BONE & JOINT SURGERY d JBJ S .ORG VOLUME 91-A d SUPPLEMENT 6 d 2009
  • #49 Side effect anaemia,dehydration,aneroxia,headach,dizziness,vertigo,AF,HTN,nusea,diarrhea,vomiting,abdominal pain
  • #58 The most common radiologic sign is generalized osteopenia, a finding shared by many differential diagnoses including multiple myeloma. Looser's zones are linear areas of undermineralized osteoid that occur in a bilateral and symmetric distribution
  • #64 Provisional zone of calcification; the region of the physis adjacent to the metaphysis Occasionally, in patients with rickets caused by chronic renal disease, increased sclerosis due to associated secondary hyperparathyroidism may be seen.
  • #65 Differential diagnosis of rickets includes hypophosphatasia and the Schmid-type of metaphyseal chondrodysplasia.
  • #66 Skeletal deformities depend in part on the age at which the disease develops.
  • #74 In chronic renal failure, secondary hyperparathyroidism often coexists with rickets, osteomalacia, and osteoporosis as part of a spectrum of findings called renal osteodystrophy. triad of renal calculi, diffuse bone pain in combination with characteristic radiologic findings, and dementia resulting from hypercalcemia - elevated serum calcium and alkaline phosphatase, decreased serum phosphate, and elevated urinary calcium and phosphate levels. The diagnosis is confirmed with immunoassay that shows an elevated serum parathyroid hormone level.
  • #76 Brown tumors are composed mostly of osteoclasts and appear as well-defined lytic lesions
  • #77 Primary HPT. Radiograph of the midfemur showing a brown tumor. inferior obturator ramus
  • #85 Certain radiologic findings are more common in patients with secondary hyperparathyroidism than in those with primary hyperparathyroidism
  • #91 vascular calcifications
  • #97 This is a picture explaining the same.
  • #98 Oliguria,hypertension