STRESS FRACTURES
Muhammad Abdelghani
Introduction
• Military service and stress fractures are closely
linked.
• The first report of a stress fracture in the
literature was in 1855. Briethaupt, a Prussian
Army Physician recorded the painful swollen
feet of marching soldiers.
• In 1987, this condition was shown to be due
to a fractured metatarsal shaft and
subsequently termed a ‘march fracture’.
Definition
• Stress fractures occur when normal bone is
exposed to abnormal stress.
– They are seen in professional athletes and in
military personnel.
• Insufficiency fractures are fractures which
occur in abnormal bone when exposed to a
normal stress.
– They most commonly occur secondary to
untreated osteoporosis.
Epidemiology
• Since Briethaupt’s report, much of the published
literature on stress fractures relates to military
recruits because of the high incidence and because
they are an easy to study cohort of athletes.
• Studies reporting the incidence of stress fracture in
civilian athletes are probably much less accurate
than those reporting on military recruits because
they are a disparate group.
– Running athletes appear to have the highest incidence of
stress fractures.
Epidemiology
• The part of the skeleton at risk of
stress fracture clearly depends on the
activity undertaken.
• The vast majority of stress fractures
occur in the lower limb.
– Matheson et al reported that the tibia
was the most common site in civilian
athletes (49.1%), followed by the tarsals
(25.3%), metatarsals (8.8%) and femur
(7.2%).
• Stress fractures can occur in the
upper limb in throwing athletes and
rowers
Stress fracture of the proximal
tibia
Pathophysiology
• Bone is a dynamic tissue constantly
remodelling under the influence of multiple
hormonal and mechanical factors.
• There is a balance between bone resorption,
carried out by osteoclasts, and bone synthesis,
carried out by osteoblasts.
• Bone has a remodelling response to
mechanical stress so that the greatest amount
of bone is laid down in areas of greatest
applied stress (Wolff’s Law).
Pathophysiology
• When bone is subject to repetitive daily subthreshold loading,
microcracks may occur within cement lines: the normal
remodelling process repairs these cracks.
• However, if the bone continues to be subjected to high stresses
then crack propagation occurs.
• If crack propagation outstrips repair then over a period of time a
painful established stress fracture will develop.
• Given time, bone subjected to increased stress will lay down
more bone.
• It has been shown that during this process, osteoblastic activity
lags behind resorptive osteoclastic activity.
• Bone that is subject to a sudden increase in repetitive stress is
particularly vulnerable to stress fracture during this lag period.
• Military recruit training and poorly designed ‘get fit quick’ training
programs are examples of this phenomenon.
Risk factors
• Extrinsic risk factors
– Training regimen
– Training surface
• Intrinsic risk factors
– Bone anatomy
– Sex
– Nutrition
– Fitness
– Smoking
– Non-steroidal anti-
inflammatory drugs
• Risk factors for stress fractures are either extrinsic or intrinsic.
• Extrinsic factors pertain to the environment in which the
athlete trains and intrinsic factors pertain to the athlete.
Extrinsic Risk Factors
Training Regimen
• Activities with the highest loads for the most number of cycles
confer the highest risk of stress fracture such as long distance
running which has been shown to have an increased stress
fracture risk.
• Abrupt increases in training intensity without adequate rest
days also predisposes to stress fracture for a number of
reasons.
• As osteoblastic bone synthesis lags behind osteoclastic bone
resorption, hence there is period of decreased bone strength
following increased bone stress.
• If the athlete does not rest sufficiently to allow repair of the
cracks, then crack propagation occurs and an established stress
fracture can develop.
Extrinsic Risk Factors
Training Surface
• Load through the lower limb is related to the
ground reaction force.
• Running shoes should be replaced every 6
months, especially with cheaper EVA foam
shoes, as the foam compacts, losing shock
absorption, over time.
Intrinsic Risk Factors
Bone Anatomy
• The ability of a cylinder to resist bending and
torsional stress is proportional to the fourth
power of the cylinder radius.
– It follows that a wider long bone is stronger than a
thin long bone.
• Studies have demonstrated that small tibial
bone width, such as in females, correlates with
stress fracture risk.
Intrinsic Risk Factors
Sex
• Women are at increased risk of stress fracture
for a number of reasons.
– They have narrower bones and lower bone mineral
density.
– Women training for events where low body weight
is considered advantageous, such as gymnastics
and long distance running, are particularly at risk
from “ Female Athlete Triad” (disordered eating,
amenorrhoea, and osteoporosis).
Intrinsic Risk Factors
Nutrition
• Inadequate calcium and vitamin D intake may
increase the risk of stress fracture.
• Inadequate caloric intake is probably of greater
relevance in athletes, as dietary energy
restriction has been found to be accompanied
by reduced bone mass.
Intrinsic Risk Factors
Fitness
• A number of studies have demonstrated that
the aerobic fitness and previous sporting
experience of military recruits prior to starting
training are protective against stress fracture.
• This is likely to be because their skeleton is
better adapted to stress and because they
suffer less muscle fatigue.
Intrinsic Risk Factors
Smoking
• A survey of 915 female military recruits found
that those who smoked one or more cigarettes
in the year prior to commencement of basic
training were more likely to suffer a stress
fracture, with an increased relative risk of 2.2.
Intrinsic Risk Factors
NSAIDs
• There is theoretical evidence based on animal
studies that NSAIDs can have an adverse effect
on fracture healing.
• The evidence available regarding the effect in
humans is inconclusive.
– Until better quality evidence is available it is
reasonable to minimize the use of NSAIDs during
the management of stress fractures.
Diagnosis
• Early diagnosis is important to minimize not
only time away from training but to preclude
non-union or a catastrophic displaced
fracture.
• Delay in diagnosis can lead to medical
discharge from the Services for military
personnel or early retirement from sport.
Diagnosis
History
• A thorough history should establish whether
the athlete has been exposed to any of the
risk factors discussed above; whether they
have undergone an abrupt increase in training
and in women whether they have had any
disruption of their menstrual cycle.
• Typically, the athlete describes an insidious
onset localized dull aching pain which is worse
with activity.
Diagnosis
Clinical Examinatiom
• On examination, the fracture site will normally be
tender and percussion of the bone at a site away from
the fracture may reproduce the pain.
• A high index of suspicion is necessary, especially for
femoral stress fractures which cannot be directly
palpated and frequently present with poorly localized
pain.
– Provocative tests such as pain on hopping can be helpful
when establishing a diagnosis of femoral stress fracture.
Diagnosis
Imaging
• Plain radiographs can be useful because they
are very specific and if a stress fracture is seen
then further imaging is rarely necessary.
– However, plain radiographs can be falsely
negative for up to 3 months after symptom onset.
– Early radiographs are often normal, with detection
rates as low as 15%, and serial radiographs are
diagnostic in only 50% of cases.
– Plain films generally reveal a range of relatively
late skeletal responses, from endosteal or
periosteal reactions to frank fractures.
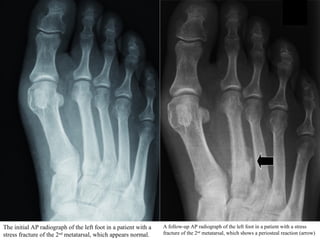
The initial AP radiograph of the left foot in a patient with a
stress fracture of the 2nd
metatarsal, which appears normal.
A follow-up AP radiograph of the left foot in a patient with a stress
fracture of the 2nd
metatarsal, which shows a periosteal reaction (arrow)
Diagnosis
Imaging
• Isotope bone scans (scintigrams) are very
sensitive for stress fracture; however, it is not
specific.
– It detects the osteoblastic activity associated with
remodelling.
Diagnosis
Imaging
• Magnetic resonance
imaging is both
sensitive and
specific for stress
fracture and
involves no
radiation exposure.
Stress fracture of the sacral
ala
Diagnosis
Imaging
• MRI is able to depict abnormalities weeks
before a radiographic lesion.
• It has comparable sensitivity and superior
specificity with bone scintigraphy.
• It is extremely sensitive in the detection of
pathophysiological soft-tissue, bone and
marrow changes associated with stress
fractures and also demonstrates surrounding
muscular or ligamentous injury.
Diagnosis
Imaging
• The MR technique should include an oedema
sensitive sequence, such as a fat-suppressed
T2W or STIR (short tau inversion recovery)
images.
• A T1W image is better to define the anatomy
and more advanced fractures.
• Contrast imaging is not considered essential.
• The sensitivity of MR relies on its ability to
detect early bone marrow oedema, the
hallmark of the stress response.
Diagnosis
Imaging
• CT is less sensitive than scintigraphy or MRI in
the early detection of stress injury, but it is
more sensitive for the detection of cortical
fracture lines.
– It is therefore useful in demonstrating stress
fractures of the sacrum, pars interarticularis,
navicular and tibia.
Management
Non-operative
• The most important aspect of management is
early diagnosis.
• The vast majority of stress fractures can be
successfully treated non-operatively by
avoidance of the stressing activity.
• The general principles of non-operative
treatment are to avoid activity levels which
reproduce pain and a very gradual return to
training.
Management
Operative
• Most authors recommend operative
treatment for cases of delayed union or failed
non-operative treatment.
• The aims of surgical treatment are to improve
the mechanical environment for fracture
healing with a fixation device and/or improve
the biological environment with debridement
or bone graft.
Specific regional injuries
Femoral Neck
• Femoral neck fractures constitute 8% of all
stress fractures in military personnel.
• As always, the key to management is
early diagnosis.
–The diagnosis should be considered in
any high risk patient with groin pain.
Femoral Neck
• Femoral neck fractures in
athletes usually occur in
the medial cortex which is
under compression.
– Undisplaced fractures are
stable and can be
successfully treated non-
operatively with an initial
period of non-
weightbearing.
– Displaced fractures should
always be reduced and
fixed surgically with large
cannulated screws.
Femoral Neck
• Stress fractures can affect the lateral cortex
which is subject to tensile forces, but this is
usually an insufficiency type fracture occurring
in older patients.
– These lateral stress fractures are associated with a
high risk of displacement and avascular necrosis of
the femoral head.
– Therefore, even undisplaced fractures of the
lateral cortex should normally be internally fixed.
Tibial Shaft
• Approximately 50% of all stress fractures in
runners and military recruits occur in the tibial
shaft.
• They can occur anywhere in the tibial shaft,
but most commonly affect the posteromedial
cortex.
• The majority can be successfully managed
non-operatively.
– The use of a pneumatic leg brace has been shown
to be helpful.
Tibial Shaft
• The less common stress fracture affecting the
anterior tibial cortex is more difficult to manage
because the incidence of delayed union is much
higher.
• This is probably because the anterior cortex is
subject to repetitive tensile rather than compressive
loading.
• Non-operative management will normally take at
least 6 months so early surgical management may be
an option.
– Borens et al report good results with anterior tension band
plating in a four high performance female athletes.
Metatarsals
• The metatarsals most
commonly affected by stress
fractures are the 2nd
and 3rd
–
the classic ‘march fracture.’
• These are prone to stress
fracture because they have a
thin shaft but are subject to
high levels of strain during the
propulsive phase of running.
• They usually do well with non-
operative management.
Stress fracture of the 3rd
MT with surrounding
tissue oedema
Navicular
• The majority of tarsal bone stress fractures occur in the
navicular.
• They are usually linearly orientated in the central third of the
navicular.
• They are often complicated by slow healing, delayed/non-
union, osteonecrosis and re-fracture.
• Nondisplaced and noncomminuted tarsal bone fractures may
be treated with conservative management with casting and
non-weight bearing for 6 weeks.
• Displaced or comminuted fractures are indications for surgical
intervention, which may include screw fixation or autologous
bone grafting, depending on the nature and age of the
fracture.
• Evaluation of footwear is important to prevent recurrence.
Metatarsals
• Stress fractures of the 5th
metatarsal typically
occur at the proximal junction of diaphysis and
metaphysis and have a higher incidence of
delayed and non-union.
Talus
• The classic pattern of a talus stress fracture is
linear bone marrow oedema perpendicular to
the trabecular flow, paralleling the
talonavicular articulation at the talar neck.
Calcaneus
• Stress injury of the
calcaneum is due to
axial compression
forces and is often
seen in jumpers.
• It most commonly
involves the dorsal
posterior aspect. Sagittal fat-saturated T2-weighted image
of the left ankle demonstrating a calcaneal
stress fracture. The hypointense fracture
line is seen surrounded by bone marrow
oedema (arrow).
Sacrum
• Sacral stress fractures are caused by vertical body forces from
the spine to the sacrum and then dissipated onto the sacral
ala.
• These may present as low back or buttock pain, mimicking
disk disease, sciatica, or sacroiliac joint pathology.
• These fractures more commonly affect the female runner.
• MRI is highly sensitive in the detection of early sacral
insufficiency fractures, but as diagnosis may be difficult, CT
and scintigraphy may also be required.
– Bone scan classically shows uptake paralleling the sacroiliac joints.
– CT may show linear sclerosis with cortical interruption.
– MRI may show linear signal alteration paralleling the sacroiliac joints.
Prevention
Prevention
• Training intensity should be built up gradually with
rest periods built in to the regimen.
• Signs of stress fracture should be identified and
treated early.
• Female athletes and their trainers should be aware
of the high risk associated with menstrual
dysfunction.
• Diet should be optimized to avoid oligomenorrhoea.
• Early MRI scanning is the key to diagnosis, prognosis
and intervention.
THANK YOU

1. stress fractures

  • 1.
  • 2.
    Introduction • Military serviceand stress fractures are closely linked. • The first report of a stress fracture in the literature was in 1855. Briethaupt, a Prussian Army Physician recorded the painful swollen feet of marching soldiers. • In 1987, this condition was shown to be due to a fractured metatarsal shaft and subsequently termed a ‘march fracture’.
  • 3.
    Definition • Stress fracturesoccur when normal bone is exposed to abnormal stress. – They are seen in professional athletes and in military personnel. • Insufficiency fractures are fractures which occur in abnormal bone when exposed to a normal stress. – They most commonly occur secondary to untreated osteoporosis.
  • 4.
    Epidemiology • Since Briethaupt’sreport, much of the published literature on stress fractures relates to military recruits because of the high incidence and because they are an easy to study cohort of athletes. • Studies reporting the incidence of stress fracture in civilian athletes are probably much less accurate than those reporting on military recruits because they are a disparate group. – Running athletes appear to have the highest incidence of stress fractures.
  • 5.
    Epidemiology • The partof the skeleton at risk of stress fracture clearly depends on the activity undertaken. • The vast majority of stress fractures occur in the lower limb. – Matheson et al reported that the tibia was the most common site in civilian athletes (49.1%), followed by the tarsals (25.3%), metatarsals (8.8%) and femur (7.2%). • Stress fractures can occur in the upper limb in throwing athletes and rowers Stress fracture of the proximal tibia
  • 6.
    Pathophysiology • Bone isa dynamic tissue constantly remodelling under the influence of multiple hormonal and mechanical factors. • There is a balance between bone resorption, carried out by osteoclasts, and bone synthesis, carried out by osteoblasts. • Bone has a remodelling response to mechanical stress so that the greatest amount of bone is laid down in areas of greatest applied stress (Wolff’s Law).
  • 7.
    Pathophysiology • When boneis subject to repetitive daily subthreshold loading, microcracks may occur within cement lines: the normal remodelling process repairs these cracks. • However, if the bone continues to be subjected to high stresses then crack propagation occurs. • If crack propagation outstrips repair then over a period of time a painful established stress fracture will develop. • Given time, bone subjected to increased stress will lay down more bone. • It has been shown that during this process, osteoblastic activity lags behind resorptive osteoclastic activity. • Bone that is subject to a sudden increase in repetitive stress is particularly vulnerable to stress fracture during this lag period. • Military recruit training and poorly designed ‘get fit quick’ training programs are examples of this phenomenon.
  • 8.
    Risk factors • Extrinsicrisk factors – Training regimen – Training surface • Intrinsic risk factors – Bone anatomy – Sex – Nutrition – Fitness – Smoking – Non-steroidal anti- inflammatory drugs • Risk factors for stress fractures are either extrinsic or intrinsic. • Extrinsic factors pertain to the environment in which the athlete trains and intrinsic factors pertain to the athlete.
  • 9.
    Extrinsic Risk Factors TrainingRegimen • Activities with the highest loads for the most number of cycles confer the highest risk of stress fracture such as long distance running which has been shown to have an increased stress fracture risk. • Abrupt increases in training intensity without adequate rest days also predisposes to stress fracture for a number of reasons. • As osteoblastic bone synthesis lags behind osteoclastic bone resorption, hence there is period of decreased bone strength following increased bone stress. • If the athlete does not rest sufficiently to allow repair of the cracks, then crack propagation occurs and an established stress fracture can develop.
  • 10.
    Extrinsic Risk Factors TrainingSurface • Load through the lower limb is related to the ground reaction force. • Running shoes should be replaced every 6 months, especially with cheaper EVA foam shoes, as the foam compacts, losing shock absorption, over time.
  • 11.
    Intrinsic Risk Factors BoneAnatomy • The ability of a cylinder to resist bending and torsional stress is proportional to the fourth power of the cylinder radius. – It follows that a wider long bone is stronger than a thin long bone. • Studies have demonstrated that small tibial bone width, such as in females, correlates with stress fracture risk.
  • 12.
    Intrinsic Risk Factors Sex •Women are at increased risk of stress fracture for a number of reasons. – They have narrower bones and lower bone mineral density. – Women training for events where low body weight is considered advantageous, such as gymnastics and long distance running, are particularly at risk from “ Female Athlete Triad” (disordered eating, amenorrhoea, and osteoporosis).
  • 13.
    Intrinsic Risk Factors Nutrition •Inadequate calcium and vitamin D intake may increase the risk of stress fracture. • Inadequate caloric intake is probably of greater relevance in athletes, as dietary energy restriction has been found to be accompanied by reduced bone mass.
  • 14.
    Intrinsic Risk Factors Fitness •A number of studies have demonstrated that the aerobic fitness and previous sporting experience of military recruits prior to starting training are protective against stress fracture. • This is likely to be because their skeleton is better adapted to stress and because they suffer less muscle fatigue.
  • 15.
    Intrinsic Risk Factors Smoking •A survey of 915 female military recruits found that those who smoked one or more cigarettes in the year prior to commencement of basic training were more likely to suffer a stress fracture, with an increased relative risk of 2.2.
  • 16.
    Intrinsic Risk Factors NSAIDs •There is theoretical evidence based on animal studies that NSAIDs can have an adverse effect on fracture healing. • The evidence available regarding the effect in humans is inconclusive. – Until better quality evidence is available it is reasonable to minimize the use of NSAIDs during the management of stress fractures.
  • 18.
    Diagnosis • Early diagnosisis important to minimize not only time away from training but to preclude non-union or a catastrophic displaced fracture. • Delay in diagnosis can lead to medical discharge from the Services for military personnel or early retirement from sport.
  • 19.
    Diagnosis History • A thoroughhistory should establish whether the athlete has been exposed to any of the risk factors discussed above; whether they have undergone an abrupt increase in training and in women whether they have had any disruption of their menstrual cycle. • Typically, the athlete describes an insidious onset localized dull aching pain which is worse with activity.
  • 20.
    Diagnosis Clinical Examinatiom • Onexamination, the fracture site will normally be tender and percussion of the bone at a site away from the fracture may reproduce the pain. • A high index of suspicion is necessary, especially for femoral stress fractures which cannot be directly palpated and frequently present with poorly localized pain. – Provocative tests such as pain on hopping can be helpful when establishing a diagnosis of femoral stress fracture.
  • 21.
    Diagnosis Imaging • Plain radiographscan be useful because they are very specific and if a stress fracture is seen then further imaging is rarely necessary. – However, plain radiographs can be falsely negative for up to 3 months after symptom onset. – Early radiographs are often normal, with detection rates as low as 15%, and serial radiographs are diagnostic in only 50% of cases. – Plain films generally reveal a range of relatively late skeletal responses, from endosteal or periosteal reactions to frank fractures.
  • 22.
    The initial APradiograph of the left foot in a patient with a stress fracture of the 2nd metatarsal, which appears normal. A follow-up AP radiograph of the left foot in a patient with a stress fracture of the 2nd metatarsal, which shows a periosteal reaction (arrow)
  • 23.
    Diagnosis Imaging • Isotope bonescans (scintigrams) are very sensitive for stress fracture; however, it is not specific. – It detects the osteoblastic activity associated with remodelling.
  • 24.
    Diagnosis Imaging • Magnetic resonance imagingis both sensitive and specific for stress fracture and involves no radiation exposure. Stress fracture of the sacral ala
  • 25.
    Diagnosis Imaging • MRI isable to depict abnormalities weeks before a radiographic lesion. • It has comparable sensitivity and superior specificity with bone scintigraphy. • It is extremely sensitive in the detection of pathophysiological soft-tissue, bone and marrow changes associated with stress fractures and also demonstrates surrounding muscular or ligamentous injury.
  • 26.
    Diagnosis Imaging • The MRtechnique should include an oedema sensitive sequence, such as a fat-suppressed T2W or STIR (short tau inversion recovery) images. • A T1W image is better to define the anatomy and more advanced fractures. • Contrast imaging is not considered essential. • The sensitivity of MR relies on its ability to detect early bone marrow oedema, the hallmark of the stress response.
  • 27.
    Diagnosis Imaging • CT isless sensitive than scintigraphy or MRI in the early detection of stress injury, but it is more sensitive for the detection of cortical fracture lines. – It is therefore useful in demonstrating stress fractures of the sacrum, pars interarticularis, navicular and tibia.
  • 28.
    Management Non-operative • The mostimportant aspect of management is early diagnosis. • The vast majority of stress fractures can be successfully treated non-operatively by avoidance of the stressing activity. • The general principles of non-operative treatment are to avoid activity levels which reproduce pain and a very gradual return to training.
  • 29.
    Management Operative • Most authorsrecommend operative treatment for cases of delayed union or failed non-operative treatment. • The aims of surgical treatment are to improve the mechanical environment for fracture healing with a fixation device and/or improve the biological environment with debridement or bone graft.
  • 30.
  • 31.
    Femoral Neck • Femoralneck fractures constitute 8% of all stress fractures in military personnel. • As always, the key to management is early diagnosis. –The diagnosis should be considered in any high risk patient with groin pain.
  • 32.
    Femoral Neck • Femoralneck fractures in athletes usually occur in the medial cortex which is under compression. – Undisplaced fractures are stable and can be successfully treated non- operatively with an initial period of non- weightbearing. – Displaced fractures should always be reduced and fixed surgically with large cannulated screws.
  • 33.
    Femoral Neck • Stressfractures can affect the lateral cortex which is subject to tensile forces, but this is usually an insufficiency type fracture occurring in older patients. – These lateral stress fractures are associated with a high risk of displacement and avascular necrosis of the femoral head. – Therefore, even undisplaced fractures of the lateral cortex should normally be internally fixed.
  • 34.
    Tibial Shaft • Approximately50% of all stress fractures in runners and military recruits occur in the tibial shaft. • They can occur anywhere in the tibial shaft, but most commonly affect the posteromedial cortex. • The majority can be successfully managed non-operatively. – The use of a pneumatic leg brace has been shown to be helpful.
  • 35.
    Tibial Shaft • Theless common stress fracture affecting the anterior tibial cortex is more difficult to manage because the incidence of delayed union is much higher. • This is probably because the anterior cortex is subject to repetitive tensile rather than compressive loading. • Non-operative management will normally take at least 6 months so early surgical management may be an option. – Borens et al report good results with anterior tension band plating in a four high performance female athletes.
  • 36.
    Metatarsals • The metatarsalsmost commonly affected by stress fractures are the 2nd and 3rd – the classic ‘march fracture.’ • These are prone to stress fracture because they have a thin shaft but are subject to high levels of strain during the propulsive phase of running. • They usually do well with non- operative management. Stress fracture of the 3rd MT with surrounding tissue oedema
  • 37.
    Navicular • The majorityof tarsal bone stress fractures occur in the navicular. • They are usually linearly orientated in the central third of the navicular. • They are often complicated by slow healing, delayed/non- union, osteonecrosis and re-fracture. • Nondisplaced and noncomminuted tarsal bone fractures may be treated with conservative management with casting and non-weight bearing for 6 weeks. • Displaced or comminuted fractures are indications for surgical intervention, which may include screw fixation or autologous bone grafting, depending on the nature and age of the fracture. • Evaluation of footwear is important to prevent recurrence.
  • 38.
    Metatarsals • Stress fracturesof the 5th metatarsal typically occur at the proximal junction of diaphysis and metaphysis and have a higher incidence of delayed and non-union.
  • 39.
    Talus • The classicpattern of a talus stress fracture is linear bone marrow oedema perpendicular to the trabecular flow, paralleling the talonavicular articulation at the talar neck.
  • 40.
    Calcaneus • Stress injuryof the calcaneum is due to axial compression forces and is often seen in jumpers. • It most commonly involves the dorsal posterior aspect. Sagittal fat-saturated T2-weighted image of the left ankle demonstrating a calcaneal stress fracture. The hypointense fracture line is seen surrounded by bone marrow oedema (arrow).
  • 41.
    Sacrum • Sacral stressfractures are caused by vertical body forces from the spine to the sacrum and then dissipated onto the sacral ala. • These may present as low back or buttock pain, mimicking disk disease, sciatica, or sacroiliac joint pathology. • These fractures more commonly affect the female runner. • MRI is highly sensitive in the detection of early sacral insufficiency fractures, but as diagnosis may be difficult, CT and scintigraphy may also be required. – Bone scan classically shows uptake paralleling the sacroiliac joints. – CT may show linear sclerosis with cortical interruption. – MRI may show linear signal alteration paralleling the sacroiliac joints.
  • 42.
  • 43.
    Prevention • Training intensityshould be built up gradually with rest periods built in to the regimen. • Signs of stress fracture should be identified and treated early. • Female athletes and their trainers should be aware of the high risk associated with menstrual dysfunction. • Diet should be optimized to avoid oligomenorrhoea. • Early MRI scanning is the key to diagnosis, prognosis and intervention.
  • 44.