Abubaker Ahmed
M.Sc Ophthalmolgy
   Macula is a round area at the posterior pole
    temporal to the optic disc 5.5mm in diameter

   It is yellowish color derived from the presence
    of xanthophyll pigment
   Densest concentration of cones
   a one to one photoreceptor-
    ganglion cell relationship
   Cones more elongated and slender
   Absence of rods at the foveola
   RPE cells are taller, thinner and
    deeply pigmented
   Presence of xanthophyll pigment
This special anatomy enable the
 fovea for:

   highest discriminative ability(VA)
   colour perception
Uses of macular function tests


   Diagnosis and Follow up of macular diseases

   For evaluating the potential macular function
    in eyes with opaque media such as cataract
    and dense vitreous hemorrhage
Symptoms

•   Central vision impairment
•   Metamorphopsia
•   Micropsia
•   Macropsia
   MFT With clear media
   MFT With opaque media
   Visual acuity             Amsler grid

   Contrast sensitivity      Microperimetry

   Slitlamp                  FFA
    biomicroscopy
                              OCT
   Photostress test

   Colour vision
   Maddox rod test
   Focal ERG
   VEP
   Laser interferometry
   Potential visual acuity meter test
   Entoptic phenomena
   B scan
   V/A is measured by the visual resolution of a
    letter, symbol or a pattern under conditions
    of maximal contrast


   In pts with macular disease VA is frequently
    worse when the pt looks through a pin-hole
   Contrast sensitivity is a measure of the minimum
    amount of contrast needed to distinguish a test
    object


   indirectly assesses the quality of vision


   Can detect early/subtle visual loss when VA is
    normal
   To detect retinal conditions like DR, ARMD and
    other retinal, macular and optic nerve diseases


   Optical conditions like refractive error, refractive
    surgery, cataract and intraocular lens
    implantation and normal aging of the eye
   Is an effective test
    for monitoring
    potential decreases
    in contrast
    sensitivity function
    over time.
With a strong convex lens
affords excellent visualization
of the macula
   PRINCIPLE :
    The test involves exposing the macula to a light
    source bright enough to bleach a significant
    proportion of the visual pigments.


    Return of normal retinal function and
    sensitivity depends on the regeneration of
    the visual pigments
   pathological states that affect the
    photoreceptors,Bruchs membrane, chorio-
    capillaries or choroid can prolong visual
    recovery time.


   no such prolongation is observed in diseases
    affecting the neural conducting pathways
   Evaluates the 10 ̊ of visual
    field centered on fixation


   Used in screening and
    monitoring macular diseases


   square 10*10 cm divided
    into 400 5*5 mm squares to
    be held at 30 cm
   reading glasses, cover 1 eye
   Pt asked to see the central spot
   Presence of abnormalities like blurred areas,
    holes, distortions, or blank spots
   Pt with maculopathy reports that the lines are
    wavy whereas pt with optic neuropathy
    remarks some lines are missing or faint
   Colour vision is the function of three
    populations of retinal cones
   Blue ( tritan) 414-424 nm
   Green ( deuteran) 522-539nm
   Red (protan) 549-570nm
   Normal person possess all these three cones
    and called trichromat
   Acquired macular diseases tends to produce
    blue yellow defects and optic nerve lesions
    red green defects
   Deutran anomaly is the most common and
    those subjects can not differentiate between
    red and green colours
   Farnsworth-Munsell
    100 Hue test is the
    most sensitive but
    seldom used
   The principle of microperimetry rests on the
    possibility to see —in real time— the retina
    under examination (by infrared light) and to
    project a defined light stimulus over an
    individual, selected location
   SLO microperimetry was the first technique
    which    allowed   to   obtain   a   fundus-related
    sensitivity map
   SLO     uses   a   near   infrared    diode   laser
    (675nm)beam that rapidly scan the posterior
    pole.
   The reflected light is detected by a confocal
    photodiode and the digitized image is stored in
    a computer
   SLO fundus perimeter did not allow to
    perform fully automatic examination.


   Moreover, automatic follow-up examination
    to evaluate exactly the same retinal points
    tested during baseline microperimetry was
    not available with this instrument.
   The limitations of SLO have been
    overcome by MP1 microperimetr a
    recently   developed     automatic
    fundus perimeter
   MP1 microperimeter automatically
    compensates for eye movements
    during the examination via a
    software module that tracks the
    eye movements
   Dark appearance of the fovea on FFA is
    caused by FAZ and blockage of the choroidal
    background by xanthophyll and dense RPE

   FFA is a very useful tool in diagnosing
    macular disorders e.g. diabetic maculopathy,
    CSR , CNVM and can reveals the functionality
    of the lesion e.g. ischemic maculopathy
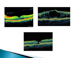
   OCT it is non invasive noncontact imaging
    that produce high resolution cross sectional
    image
   Useful in diagnosing macular disorders and
    to delineate retinal layers and detect subtle
    anatomical changes
   Maddox rod
   Focal ERG
   VEP
   Laser interferometry
   Potential visual acuity meter test
   Entoptic phenomena
   Preferential hyperacuity perimeter (PHP)
   B scan
   Simple and reliable test and can
    be used in semi opaque media
   Pt is asked to fixate light at a
    distance of 1/3m through M.R.
    with opposite eye occluded
   Any breaks/holes;
    discoloration/distortion
    indicates a macular lesion
   ERG is only abnormal when a large area of
    retina is functionally impaired

   Focal ERG needs a stimulus localized to one
    area without scattering of light to stimulate
    the rest of the retina
   It is a hand held foveal ERG

   It employs a 3-4 degrees
    whit flickering light focused
    on the fovea with a 10
    degrees annulus of constant
    white light to desensitize
    surrounding retina
   VEP Measure of the electrical potential
    generated in response to a visual stimulus
   it represents integrity of entire visual pathway
    from retina to occipital lobe so can not
    differentiate between macula ,ON and cortical
    pathology
Two types of stimulus either
by flash of light or by
patterned stimuli


If the issue is the V/A then
the amplitude is measured
If the issue is the lesion in
the visual pathway then the
latency is measured
   Utilizes coherent white light or helium-neon laser
    generated interference stripes or fringes that are
    projected onto the retina through the ocular
    media
   Brightness increased in pts with dense cataracts
   The laser interferometer resolving power
    converted to standard V.A
   1. subjective

   2. Laser fringe vision>vision of letter acuity.

   3. over predicts visual potential in amblyopes
   PAM introduced in1983
   This is attached to a slit lamp and
    projects a reduced Snellen’s chart
    via narrow beam of light through a
    pinhole clear area in the cataract
    towards the macular region
   The resulting potential acuity is the
    smallest line where the patient was
    able to read three characters
   Subjective

   methods that require an alert and cooperative
    patient and skilled compassionate examiner

   But it is easier than laser interferometry
   It is refer to visual perceptions that have their
    origin in the structure of an observer's eye
   Three types are used for testing the macula in
    opaque media
   1/ PURKINJE VASCULAR E.P
   2/ Flying spot( blue field entoptic phenomenon)
   3/Haidinger’s Brushes
   The Purkinje’s vascular entoptic
    test is a simple method which
    elicits the response by placing a
    penlight against a closed eyelid
    or the globe and moving it back
    and forth, creating images of the
    patient’s retinal vascular tree
   Blue field entoptoscopy relies on
    the   observation      of   leucocytes
    flowing in the macular retinal
    capillaries. The leucocytes appear
    as ‘Flying Corpuscles’ when the
    retina is diffusely illuminated with
    a bright blue light.
   Subject        looks   at    a     surface
    illuminated        with     blue      light
    through a polarizer
   hourglass          shaped        yellowish
    brushes seen radiating from the
    point     of    fixation.   On     rotating
    polarizer, brushes rotate
   Phenomenon caused by variations in
    absorption of plane polarized light by
    oriented    molecules   of    xanthophyll
    pigment in foveal retina
   Used   to   sensitize   the   fovea    in
    amblyopic child with eccentric fixation
   limited by the patient’s subjective
    interpretation
   May yield false negatives if the retina cannot
    be sufficiently illuminated through a dense
    cataract
   PHP relies on the concept of hyperacuity
    which is the ability to discern a subtle
    misalignment of an object.

   This can be explained by the fact that an
    extended edge will stimulate an array of
    cones and when there is a break in this line
    the fovea can perceive it.
   if the patient’s

    photoreceptors are slightly

    misaligned due to macular

    lesion (e.g. drusen) then

    this misalignment can be

    perceived by the patient

    and recorded by the PHP.
   This gives a gross idea about the anatomic
    normalcy of the eye, and rules out
    pathologies like vitreous hemorrhage, retinal
    detachment, optic nerve anomalies, etc


   Scanning does not offer any information on
    macular function
   Evaluation of the macular function of a
    patient with opaque media is a challenging
    problem commonly faced by us
   No single test is infallible
Macular function tests

Macular function tests

  • 1.
  • 2.
    Macula is a round area at the posterior pole temporal to the optic disc 5.5mm in diameter  It is yellowish color derived from the presence of xanthophyll pigment
  • 4.
    Densest concentration of cones  a one to one photoreceptor- ganglion cell relationship  Cones more elongated and slender  Absence of rods at the foveola  RPE cells are taller, thinner and deeply pigmented  Presence of xanthophyll pigment
  • 5.
    This special anatomyenable the fovea for:  highest discriminative ability(VA)  colour perception
  • 6.
    Uses of macularfunction tests  Diagnosis and Follow up of macular diseases  For evaluating the potential macular function in eyes with opaque media such as cataract and dense vitreous hemorrhage
  • 7.
    Symptoms • Central vision impairment • Metamorphopsia • Micropsia • Macropsia
  • 8.
    MFT With clear media  MFT With opaque media
  • 9.
    Visual acuity  Amsler grid  Contrast sensitivity  Microperimetry  Slitlamp  FFA biomicroscopy  OCT  Photostress test  Colour vision
  • 10.
    Maddox rod test  Focal ERG  VEP  Laser interferometry  Potential visual acuity meter test  Entoptic phenomena  B scan
  • 11.
    V/A is measured by the visual resolution of a letter, symbol or a pattern under conditions of maximal contrast  In pts with macular disease VA is frequently worse when the pt looks through a pin-hole
  • 13.
    Contrast sensitivity is a measure of the minimum amount of contrast needed to distinguish a test object  indirectly assesses the quality of vision  Can detect early/subtle visual loss when VA is normal
  • 15.
    To detect retinal conditions like DR, ARMD and other retinal, macular and optic nerve diseases  Optical conditions like refractive error, refractive surgery, cataract and intraocular lens implantation and normal aging of the eye
  • 17.
    Is an effective test for monitoring potential decreases in contrast sensitivity function over time.
  • 18.
    With a strongconvex lens affords excellent visualization of the macula
  • 19.
    PRINCIPLE : The test involves exposing the macula to a light source bright enough to bleach a significant proportion of the visual pigments. Return of normal retinal function and sensitivity depends on the regeneration of the visual pigments
  • 20.
    pathological states that affect the photoreceptors,Bruchs membrane, chorio- capillaries or choroid can prolong visual recovery time.  no such prolongation is observed in diseases affecting the neural conducting pathways
  • 21.
    Evaluates the 10 ̊ of visual field centered on fixation  Used in screening and monitoring macular diseases  square 10*10 cm divided into 400 5*5 mm squares to be held at 30 cm
  • 22.
    reading glasses, cover 1 eye  Pt asked to see the central spot  Presence of abnormalities like blurred areas, holes, distortions, or blank spots  Pt with maculopathy reports that the lines are wavy whereas pt with optic neuropathy remarks some lines are missing or faint
  • 25.
    Colour vision is the function of three populations of retinal cones  Blue ( tritan) 414-424 nm  Green ( deuteran) 522-539nm  Red (protan) 549-570nm  Normal person possess all these three cones and called trichromat
  • 26.
    Acquired macular diseases tends to produce blue yellow defects and optic nerve lesions red green defects  Deutran anomaly is the most common and those subjects can not differentiate between red and green colours
  • 28.
    Farnsworth-Munsell 100 Hue test is the most sensitive but seldom used
  • 29.
    The principle of microperimetry rests on the possibility to see —in real time— the retina under examination (by infrared light) and to project a defined light stimulus over an individual, selected location
  • 30.
    SLO microperimetry was the first technique which allowed to obtain a fundus-related sensitivity map  SLO uses a near infrared diode laser (675nm)beam that rapidly scan the posterior pole.  The reflected light is detected by a confocal photodiode and the digitized image is stored in a computer
  • 32.
    SLO fundus perimeter did not allow to perform fully automatic examination.  Moreover, automatic follow-up examination to evaluate exactly the same retinal points tested during baseline microperimetry was not available with this instrument.
  • 33.
    The limitations of SLO have been overcome by MP1 microperimetr a recently developed automatic fundus perimeter  MP1 microperimeter automatically compensates for eye movements during the examination via a software module that tracks the eye movements
  • 34.
    Dark appearance of the fovea on FFA is caused by FAZ and blockage of the choroidal background by xanthophyll and dense RPE  FFA is a very useful tool in diagnosing macular disorders e.g. diabetic maculopathy, CSR , CNVM and can reveals the functionality of the lesion e.g. ischemic maculopathy
  • 36.
    OCT it is non invasive noncontact imaging that produce high resolution cross sectional image  Useful in diagnosing macular disorders and to delineate retinal layers and detect subtle anatomical changes
  • 38.
    Maddox rod  Focal ERG  VEP  Laser interferometry  Potential visual acuity meter test  Entoptic phenomena  Preferential hyperacuity perimeter (PHP)  B scan
  • 39.
    Simple and reliable test and can be used in semi opaque media  Pt is asked to fixate light at a distance of 1/3m through M.R. with opposite eye occluded  Any breaks/holes; discoloration/distortion indicates a macular lesion
  • 40.
    ERG is only abnormal when a large area of retina is functionally impaired  Focal ERG needs a stimulus localized to one area without scattering of light to stimulate the rest of the retina
  • 41.
    It is a hand held foveal ERG  It employs a 3-4 degrees whit flickering light focused on the fovea with a 10 degrees annulus of constant white light to desensitize surrounding retina
  • 42.
    VEP Measure of the electrical potential generated in response to a visual stimulus  it represents integrity of entire visual pathway from retina to occipital lobe so can not differentiate between macula ,ON and cortical pathology
  • 43.
    Two types ofstimulus either by flash of light or by patterned stimuli If the issue is the V/A then the amplitude is measured If the issue is the lesion in the visual pathway then the latency is measured
  • 44.
    Utilizes coherent white light or helium-neon laser generated interference stripes or fringes that are projected onto the retina through the ocular media  Brightness increased in pts with dense cataracts  The laser interferometer resolving power converted to standard V.A
  • 45.
    1. subjective  2. Laser fringe vision>vision of letter acuity.  3. over predicts visual potential in amblyopes
  • 46.
    PAM introduced in1983  This is attached to a slit lamp and projects a reduced Snellen’s chart via narrow beam of light through a pinhole clear area in the cataract towards the macular region  The resulting potential acuity is the smallest line where the patient was able to read three characters
  • 47.
    Subjective  methods that require an alert and cooperative patient and skilled compassionate examiner  But it is easier than laser interferometry
  • 48.
    It is refer to visual perceptions that have their origin in the structure of an observer's eye  Three types are used for testing the macula in opaque media  1/ PURKINJE VASCULAR E.P  2/ Flying spot( blue field entoptic phenomenon)  3/Haidinger’s Brushes
  • 49.
    The Purkinje’s vascular entoptic test is a simple method which elicits the response by placing a penlight against a closed eyelid or the globe and moving it back and forth, creating images of the patient’s retinal vascular tree
  • 50.
    Blue field entoptoscopy relies on the observation of leucocytes flowing in the macular retinal capillaries. The leucocytes appear as ‘Flying Corpuscles’ when the retina is diffusely illuminated with a bright blue light.
  • 51.
    Subject looks at a surface illuminated with blue light through a polarizer  hourglass shaped yellowish brushes seen radiating from the point of fixation. On rotating polarizer, brushes rotate
  • 52.
    Phenomenon caused by variations in absorption of plane polarized light by oriented molecules of xanthophyll pigment in foveal retina  Used to sensitize the fovea in amblyopic child with eccentric fixation
  • 53.
    limited by the patient’s subjective interpretation  May yield false negatives if the retina cannot be sufficiently illuminated through a dense cataract
  • 54.
    PHP relies on the concept of hyperacuity which is the ability to discern a subtle misalignment of an object.  This can be explained by the fact that an extended edge will stimulate an array of cones and when there is a break in this line the fovea can perceive it.
  • 55.
    if the patient’s photoreceptors are slightly misaligned due to macular lesion (e.g. drusen) then this misalignment can be perceived by the patient and recorded by the PHP.
  • 56.
    This gives a gross idea about the anatomic normalcy of the eye, and rules out pathologies like vitreous hemorrhage, retinal detachment, optic nerve anomalies, etc  Scanning does not offer any information on macular function
  • 57.
    Evaluation of the macular function of a patient with opaque media is a challenging problem commonly faced by us  No single test is infallible