18/01/2023 AIIMS Rajkot 1
APPROACH TO DIAGNOSIS A CASE OF
MACROCYTIC ANAEMIA
BY DR.RUSHANG DAVE
UNDER THE GUIDEINENCE OF
DR. GARIMA ANANDANI
18/01/2023 AIIMS Rajkot 2
SYNOPSIS
Introduction
Macrocytosis without anemia
Factitious macrocytosis
Classification of macrocytic anemia
Megaloblastic anemia –
Causes
Biochemical basis, folate and B12 metabolism
Laboratory diagnosis
Treatment and response assessment
Non-megaloblastic anemia
Causes and morphologic findings.
Summary
18/01/2023 AIIMS Rajkot 3
Morphologic classification
RBC indices
MCV < 80fL
Microcytic anemia
MCV 80 to 100fL
Normocytic anemia
MCV > 100fL
Macrocytic anemia
18/01/2023 AIIMS Rajkot 4
Definition
• These are the anaemias in
which the RBC have an MCV of
greater than 100 fl.
• There are two groups of
macrocytic anaemias
- Megaloblastic anemia
- Non megaloblastic macrocytic
anemia
18/01/2023 AIIMS Rajkot 5
Macrocytosis Without Anemia
Neonatal RBCs (at birth 100-130 fL)
Genetic predisposition
Early cases of vitamin B12 deficiency. (Macrocytosis characteristically
precedes the development of anemia and may even do so by several years)
Hence raise in MCV should not be ignored and correlated clinically
18/01/2023 AIIMS Rajkot 6
FACTITIOUS MACROCYTOSIS
18/01/2023 AIIMS Rajkot 7
Case 1
45 year old female
 Hb of 7.1 g/dL
 RBC 0.8 million/cumm
 MCV – 111.9 fL
 MCH – 86.4 pg
 MCHC – 77.8 g/dL
Agglutination
of RBCs result
in grossly
abnormal
indices
RBC count,
MCV, MCHC
18/01/2023 AIIMS Rajkot 8
Case 2
 32 yr female with menorrhagia
Hb- 8.8 g/dL
RBC – 2.7 million
MCV – 101 fL
MCH – 27.6 pg
MCHC – 31.8 g/dL
Polychromatophils
20% larger in size
As a very rough rule
of thumb, for every
1% increase in the
reticulocyte
percentage, there
will be an increase of
1 fL in the MCV.
18/01/2023 AIIMS Rajkot 9
Case 3
 54 yr male
Hb- 9.8 g/dL
RBC – 3.5 million
MCV – 109 fL
MCH – 27.6 pg
MCHC – 28.8 g/dL
HbA1c- 9%
RBCs are glucose
loaded and swell
when they are
mixed with
isotonic diluent
MCV is elevated,
PCV is increased
and MCHC is
abnormally low.
18/01/2023 AIIMS Rajkot 10
Case 4
EDTA induced changes
• Increase in red cell size with time, due to
degenerative changes that permits ingress
of water into the cells
• artefactual increase in RBC size could mask
microcytosis and lead to erroneous
diagnoses of macrocytosis.
• Other morphological changes such as
spherocytosis, echinocytosis &
spheroechinocytosis were observed from
Day 2 onwards
18/01/2023 AIIMS Rajkot 11
Factitious macrocytosis
 Hyperosmolar conditions
• Uncontrolled diabetes where RBCs are glucose loaded and swell when they are mixed with
isotonic diluent
• MCV is elevated, PCV is increased and MCHC is abnormally low.
 Prolonged storage especially in EDTA
Extreme leucocytosis – leucocytes may enter RBC channel
Methanol poisoning – increasing MCV value.
18/01/2023 AIIMS Rajkot 12
CAUSES OF MACROCYTIC ANEMIA
Macrocytic anemia
Megaloblastic Non megaloblastic
18/01/2023 AIIMS Rajkot 13
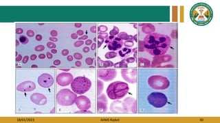
Megaloblast
The term ‘megaloblast’ is a designation that was first applied by
Ehrlich to the abnormal erythrocyte precursors found in the bone
marrow of patients with pernicious anemia
 Megaloblasts are characterized by their large size and by specific
alterations in the appearance of their nuclear chromatin – Sieve like,
nucleo-cytoplasmic asynchrony
Normoblastic erythroid
precursor
Megaloblastic erythroid
precursor
18/01/2023 AIIMS Rajkot 14
Causes
Folate deficiency
Vitamin B12 deficiency
Drugs
Inherited disorders
• Orotic aciduria
• Thiamine responsive megaloblastic
anemia
• Dihydrofolate reductase deficiency
• Transcobalamin II deficiency
• Homocysteinuria and methyl malonic
aciduria
• Lesch-Nyhan syndrome
18/01/2023 AIIMS Rajkot 15
Biochemical basis of megaloblast
18/01/2023 AIIMS Rajkot 16
B12 and folate metabolism
18/01/2023 AIIMS Rajkot 17
B12 deficiency
Methyl malonyl coA Succinyl coA
Methyl malonic acid
Myelin
destabilizer
Deoxyadenosyl B12
18/01/2023 AIIMS Rajkot 18
Vitamin B12 (Cobalamin)
Present in animal protein predominantly.
Stored in liver
Co factor for one carbon metabolism
RDA is 2.4 μg in adults
The total amount of vitamin B12 stored in body is about 2–5 mg in
adults.
2 important forms in body are methyl cobalamin and deoxyadenosyl
cobalamin
18/01/2023 AIIMS Rajkot 19
Mechanism of absorption
In stomach, pepsin cleaves protein bound B12, Free B12 binds to
R-binder secreted from saliva
In duodenum pancreatic enzymes lyse the R-binder and B12
attaches to IF which is synthesized from parietal cells
B12 with IF is absorbed in terminal ileum by cubulin receptors
and IF is disintegrated and B12 binds with transcobalamin II
enters portal circulation and partly stored in liver.
18/01/2023 AIIMS Rajkot 20
Causes of B12 deficiency
Dietary deficiency (Vegans)
Lack of intrinsic factor
Pernicious anemia
Gastric surgery – Bariatric
surgery
Prolonged use of PPI
Biologic competition for vitamin
B12
Small bowel bacterial overgrowth
Fish tapeworm disease
Familial selective vitamin B12
malabsorption
 Chronic pancreatic disease
 Zollinger-Ellison syndrome
 Diseases of the ileum
Ileal resection
Regional enteritis/ intestinal TB
18/01/2023 AIIMS Rajkot 21
Clinical features
Malaise, irritability, nausea, vomiting, abdominal
pain, diarrhea, anorexia, cognitive impairment,
forgetfulness.
Mild jaundice
Atrophy of tongue papillae gives rise to a beefy
red tongue.
Aphthous stomatitis and oral soreness in some
patients even without anemia.
Transient darkening of nails and skin (knuckle
hyperpigmentation)
Beefy red tongue
Aphthous ulcer
18/01/2023 AIIMS Rajkot 22
Neurological manifestations
Neurologic changes can precede anemia
General symmetricalness of manifestations is typical
The earliest manifestations are loss of vibratory sense in the feet and
numbness, tingling, and loss of fine sensation
Posterior and lateral column degeneration
Ataxia, spasticity, gait disturbances, impotence, and loss of bladder and bowel
control, gait disturbances, neuropsychiatric manifestations are common signs
of advanced involvement
18/01/2023 AIIMS Rajkot 23
Folate
RDA - 400 μg daily for adults
600 μg for pregnant women
500 μg for lactating women
Food folate, mostly methylTHF and
formylTHF, is labile
Storage of Folate – upto 7.5 mg in liver,
depleted within 100 days
18/01/2023 AIIMS Rajkot 24
Causes of folate deficiency
 Dietary deficiency
 Decreased absorption (Jejunal resection, Celiac disease)
 Increased requirements
Pregnancy
Infancy
Chronic hemolytic anemia, myeloproliferative conditions
 Alcoholism
 Drug-induced folate deficiency – Anti convulsants
18/01/2023 AIIMS Rajkot 25
PERNICIOUS ANAEMIA
• Immunological mediated-Gastric mucosa
• Chronic atrophic gastritis-loss of parietal cells, infiltrate
by lymphocytes and plasma cells, megaloblastic changes
of mucosal cells.
Three types of antibodies
• Type I- 75%- Ab that blocks binding of B12 to IF- plasma
and gastric juice
• Type II- Ab blocks binding of IF-B12 complex to Ileal
receptor.
• Type III- Ab 85%-recognize α and β subunit of gastric
proton pump.
18/01/2023 AIIMS Rajkot 26
18/01/2023 AIIMS Rajkot 27
Lab parameters
Hb values <7 or 8 g/dl are not unusual
The MCV usually between 110 and 130 fl
RDW is substantially increased, and the increase may precede the
development of anemia
Reticulocyte count is reduced due to ineffective erythropoiesis
As megaloblastic anemia progresses, neutropenia and
thrombocytopenia develop
The pancytopenia may mimic aplastic anemia
Serum lactate dehydrogenase and indirect bilirubin levels – elevated
reflecting the intramedullary destruction of RBCs as well as shortened
life span
18/01/2023 AIIMS Rajkot 28
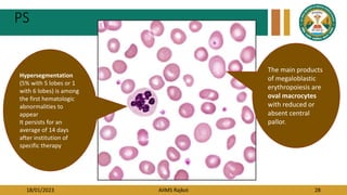
PS
The main products
of megaloblastic
erythropoiesis are
oval macrocytes
with reduced or
absent central
pallor.
Hypersegmentation
(5% with 5 lobes or 1
with 6 lobes) is among
the first hematologic
abnormalities to
appear
It persists for an
average of 14 days
after institution of
specific therapy
18/01/2023 AIIMS Rajkot 29
Macrocytic anemia: CBC report from a case of
macrocytic anemia shows increased MCV
(111.7 /L) and MCH (37.7 pg).
•However MCHC is 33.7 g/dL in the normal
range.
• RDW as increased to 30.3%.
• Histogram curve (green) is shitted to right
suggesting increased MCV.
•The green curve is widened indicating
moderate degree of anisopoikilocytosis and
therefore RDW-CV is increased to
30.3%.
• Red curve is of normocytic normochromic red
cells (Normal}
18/01/2023 AIIMS Rajkot 30
18/01/2023 AIIMS Rajkot 31
Bone marrow examination
• The initial marrow change is
megaloblastosis, even before
macrocytosis appears in the
peripheral blood.
• Bone marrow is markedly
hypercellular with erythroid
hyperplasia
• Thus reversal of M : E ratio to even
1 : 8.
18/01/2023 AIIMS Rajkot 32
• The hallmark in the marrow is the
nuclear- cytoplasmic maturation
dissociation which is best seen in the
erythroid precursors resulting in
megaloblastosis
• Megaloblasts have open sieve like
nuclear chromatin and basophilic
cytoplasm.
18/01/2023 AIIMS Rajkot 33
• There is preponderance of early megaloblasts which are more than
intermediate and late megaloblasts
• Intermediate and late megaloblast die in the marrow because of
unbalanced, nuclear and cytoplasmic maturation.
• There is widespread intra-medullary apoptosis of defective erythroid
cell precursors resulting in rise of unconjugated bilirubin.
18/01/2023 AIIMS Rajkot 34
• Though marrow is very hypercellular and full of megaloblasts, only
10—20% of the potential progeny of proerythroblasts survive to
become the macrocytic red cells and this ineffective erythropoiesis
results in anemia.
• Howell Jolly bodies and stippling of cytoplasm is seen in some
megaloblasts. Both abnormal and normal mitoses are observed
frequently .
• Nuclei of megaloblasts demonstrate features of dyserythropoiesis
like nuclear budding, irregular nuclei, dumb-bell shaped nuclei, and
nuclear fragments etc,
18/01/2023 AIIMS Rajkot 35
• D) Marrow aspirate shows
a giant megaloblast {*)
(at the bottom of the
picture)with megaloblasts
showing features of
dyserythropoiesis in the
form of irregular nuclei .
E) Bone marrow shows
erythroid hyperplasia.
Mitosis is frequent .
18/01/2023 AIIMS Rajkot 36
• There is abnormal hemoglobinization of cytoplasm of megaloblasts.,
Megaloblastosis changes to normoblastic erythropoiesis within 12
hours of giving Vit. B12/FA and marrow morphology reverts to normal
within 2-3 days.
• Therefore, bone marrow should be carried out pretreatment if
required.
18/01/2023 AIIMS Rajkot 37
• The misshapen neutrophils fray and the cells disintegrate resulting in
neutropenia— ineffective myelopoiesis, Giant metamyelocytes show
bizzare shapes of the nuclei (misshapen nuclei), and abnormal chromatin
and staining character
•Megakaryopoiesis Is less disturbed as compared to erythropoiesis and myelopoiesis,
Megakaryocytes of variable maturity display nuclei with open chromatin pattern and
complex nuclear lobular hypersegmentation .
• Megakaryocytes show larger size, fragmentation and very few platelets are formed— some
of them being megathrombocytes. This "ineffective thrombopoiesis accounts for reduced
platelet count.
18/01/2023 AIIMS Rajkot 39
Trephine biopsy
• Bone marrow trephine biopsy displays preponderance of early
megaloblasts with uniform size and shape, having open nuclear
chromatin with linear 1-4 nucleoli and frequent mitoses.
• It is essential to differentiate these cells from blast cells which are
seen as small clusters (ALIP-Abnormal localization of miniature
precursors) in MDS.
• Morphologic aberrations are also apparent in myeloid cells and‘giant
metamyelocytes and band forms' are pathognomonic of
megaloblastosis,
18/01/2023 AIIMS Rajkot 40
• Bone marrow trephine
biopsy shows eryihroid
hyperplasia with
preponderance of early
magaloblasts which are of
uniform size with delicate
nuclear membrane,
vesicular nuclei and 1—3
linear nucleoli which touch
the nuclear membrane,
18/01/2023 AIIMS Rajkot 41
Vitamin B12 Levels
Standard initial routine diagnostic test
Microbiological assay replaced by automated radioimmunoassay,
chemiluminescence
In cobalamin deficiency, serum cobalamin levels fall below the
generally accepted cutpoint of 200 to 250 ng/L (<125 pmol/L)
Measures total Cobalamin ( Tc I, Tc II, Tc III) – hence may be elevated
in CML
18/01/2023 AIIMS Rajkot 42
Methyl Malonic acid
Increases in serum and urine in cobalamin deficiency but not folate deficiency
Serum levels are elevated in 98.4% of patients with symptomatic cobalamin
deficiency
Levels often exceed >0.75 µmol/l in symptomatic cobalamin deficiency but are
usually only mildly elevated in subclinical deficiency
Falsely elevated in hemoconcentration, renal disease, small bowel bacterial
overgrowth
MMA is a more specific test for cobalamin deficiency than homocysteine
18/01/2023 AIIMS Rajkot 43
Total homocysteine
Homocysteine rises with either folate or cobalamin deficiency
A normal result helps to exclude clinically relevant deficiency
Levels above 12 to 14 μmol/L in women and 14 to 15 μmol/L in men are generally
regarded as elevated.
Homocysteine rises in many acquired and genetic conditions
Folate intake and serum creatinine levels are major determinants of
homocysteine status
18/01/2023 AIIMS Rajkot 44
Holotranscobalamin
Holotranscobalamin (HoloTC) – measures TC II, the ‘active’ fraction of plasma
cobalamin
Relatively new test
Immunoassay for this fraction is now available
Values for HoloTC in healthy individuals are 35–171 pmol/l
Better sensitivity and specificity characteristics than B12 levels
18/01/2023 AIIMS Rajkot 45
Deoxyuridine suppression test
Abnormal Deoxyuridine suppression serves as a sensitive index of the presence
of megaloblastosis due to vitamin B12 or folate deficiency.
Test reflects impaired conversion of deoxyuridylate to thymidilate
 done for research purposes
Can be done even in subclinical deficiency
18/01/2023 AIIMS Rajkot 46
Cobalamin
(156-672 pmol/L)
>250 pmol/L
No deficiency
<125 pmol/L
B12 deficiency
125-250 pmol/L
Grey area
0.29-0.75 µmol/L
Grey area (Rpt after 1 yr)
<0.29 µmol/L
No deficiency
>0.75 µmol/L
B12 deficiency
MMA(0.08-0.28
µmol/L)
18/01/2023 AIIMS Rajkot 47
TEST TO DIAGNOSIS FOR B12 DEFICIENCY:
• The Schilling test is a 3 stage test.
• Stage 1 - Give radioactive labeled vitamin B12 orally. Then screen the
patient's urine for the radio labeled B12.
• *If the radioactive B12 appears in the urine, the patient has successfully
absorbed the B12 and the abnormality is a dietary deficiency of Vitamin
B12. End of test.
• *If no or scant B12 appears in the urine, then the ingested B12 was not
absorbed. The defect in absorption is not due to dietary deficiency.
Proceed to Stage 2.
18/01/2023 AIIMS Rajkot 48
• Stage 2 - Give oral radio labeled B12 with oral intrinsic
factor and again screen the patient's urine for B12.
• *If B12 is found in the urine, then the defect is due to a
lack of intrinsic factor. End of test.
• *If no or scant B12 is present in the urine, then the
defect is not due to a lack of intrinsic factor (because
absorption is not corrected by giving extrinsic IF). The
defect is at the intestinal level. Proceed to stage 3
SCHILLING TEST (Contd..)
18/01/2023 AIIMS Rajkot 49
• Stage 3 - Treat patient with 7-10 days of antibiotics.
Then give radio labeled B12.
• *If decreased Ileal absorption is due to bacterial
overgrowth, antibiotics will correct this absorptive
defect and B12 will be detected in the urine.
• *If decreased Ileal absorption is secondary to an
anatomic defect, antibiotics will have no effect on B12
absorption and no B12 will be found in the urine.
SCHILLING TEST (Contd..)
18/01/2023 AIIMS Rajkot 50
Tests to diagnose cause of B12 deficiency
• Nothing further if diet, resection history, very elderly patients
• Anti IF antibodies – 100% specific, 70% sensitive for Pernicious anemia
• All patients with anaemia, neuropathy or glossitis, and suspected of having
pernicious anaemia, should be tested for anti-IFAB regardless of cobalamin
levels (Grade 1A)
• Gastric anti parietal cell antibodies – May be +ve, very low specificity
18/01/2023 AIIMS Rajkot 51
Other tests
• Cobasorb – Functional measure of Vit B12 absorption
• Baseline holoTC measured
• Oral B12 given
• Increased holoTC – normal absorption
• Unchanged HoloTC – No absorption
• Needs further evaluation before introduction into routine clinical practice
• Endoscopy for gastric malignancy every 5 years in case of atrophic
gastritis
18/01/2023 AIIMS Rajkot 52
Tests to diagnose Folate deficiency
Serum Folate
The definition of folate deficiency in patients with megaloblastic
anemia, is a serum folate level below 3 μg/L.
Fluctuates with folate intake, falsely elevated in hemolysis
RBC folate
MethylTHF (60%) and formylTHF (26%) are the major folates in red
cells.
Red cell folate content is constant and is viewed as a truer indicator
of tissue folate
Red cell levels below 160 μg/L are usually considered low
18/01/2023 AIIMS Rajkot 53
Investigation for folate
FIGLU test
Histidine -----------------→ FIGLU -------------------------→ Glutamate
↑
THF
• Oral challenge of Histidine Increased urinary excretion of FIGLU in folate deficiency.
18/01/2023 AIIMS Rajkot 54
18/01/2023 AIIMS Rajkot 55
• Gastric biopsy: Cases with,
pernicious anemia demonstrate
gastric atrophy with loss of gastric
glands and parietal cells. There is
infiltration of lamina propria by
lymphocytes and plasma cells.
18/01/2023 AIIMS Rajkot 56
Indications for bone marrow
Generally no role except
Lack of facilities for serum B12 and folate levels
Atypical clinical presentation
Splenomegaly
Bleeding
Sternal tenderness
Presence of circulating blasts
18/01/2023 AIIMS Rajkot 57
Treatment
Treatment with folate alone in B12 deficiency cases may result in
masking of peripheral blood picture and neurological symptoms may
continue worsening.
Standard initial therapy for patients without neurological involvement is
1000 µg hydroxocobalamin intramuscularly (I.M) three times a week for 2
weeks
Patients with neurological symptoms should receive 1000 µg
hydroxocobalamin I.M. on alternate days until there is no further
improvement
Folate is also empirically administered 400μg to 1mg/day
• Folate deficiency : 5 mg of folic acid daily is taken for 4 months.
18/01/2023 AIIMS Rajkot 58
Response to treatment
Often response to empirical treatment is used as a diagnostic test
Reticulocyte level starts by 2-3 days and peaks by 6-8 days
Marrow is completely normoblastic after 3-4 days. Giant metamyelocytes
persists for 12 days
A complete blood cell count 10-14 days after starting the treatment should
reveal a rise in hemoglobin (0.1g/dl per day) and a decrease in MCV
Full hematologic response should occur within 8 weeks.
18/01/2023 AIIMS Rajkot 59
Masked megaloblastosis
Deficiency of vitamins without classical blood picture and bone marrow
picture.
Coexisting Iron deficiency or thalassemia
PS findings :
Dimorphic population of macroovalocytes and microcytic
hypochromic RBCs
Increased RDW
MCV may be normal
Hypochromic ovalocytes is a clue
Megaloblastic anemia (crisis) may be the initial presentation in
congenital hemolytic anemia
18/01/2023 AIIMS Rajkot 60
Non-megaloblastic macrocytic anaemia
 Represent macrocytic anemias in which the RBC precursors appear
normal without the characteristic nuclear and cytoplasmic findings of
megaloblasts
DNA synthesis is unimpaired.
Macrocytosis is usually mild; the MCV usually ranges from 100 to 110 fl
and rarely exceeds 120 fL
18/01/2023 AIIMS Rajkot 61
Causes
Aplastic anemia
Myelodysplastic syndrome
Acquired sideroblastic anemia
 Congenital dyserythropoietic
anemia types I and III
Diamond-Blackfan anemia
Erythroleukemia
Alcoholism
Liver disease
Hypothyroidism
Copper deficiency
HIV
Drugs – (independent of DNA
synthesis )
Valproic acid, Recombinant EPO,
Sulfonamides
18/01/2023 AIIMS Rajkot 62
Case 5
• 55 male with ascites,
splenomegaly
• Hb 8.5 g/dl
• TLC 3800/cmm
• Platelet 1,25,000/cmm
• N 70, L 26, E2, M2
• MCV 103 fl
• MCH 28 pg
• MCHC 29 gm/dl
• Retic 2.5%
18/01/2023 AIIMS Rajkot 63
Alcoholism and liver disease
Associated with thin macrocytes, defined as cells with increased surface area
but without a corresponding increase in volume
Consequence of excessive membrane lipids, especially cholesterol , but also
phospholipids.
The MCV rarely exceeds 115 fl
 Cause
Faulty lipid metabolism
Associated Folate deficiency
Alcoholics may be associated with spur-cell hemolytic anemia
Poorly defined direct effects of alcohol on the bone marrow
Serum and erythrocyte folate levels are usually normal, and the macrocytosis
does not respond to folate treatment – abstaining from alcohol brings down
the MCV
18/01/2023 AIIMS Rajkot 64
Case 6
• 16 year male
• Severe anemia and bleeding
gums – 2 months
• Hb 4 gm/dl
• TLC 1600/cmm N 10 L 90
• Platelet count 20,000/cmm
• Reticulocyte 0.1%
• MCV 108 fl
10-20 % aplastic anemia have
macrocytosis less than 110 fl
Much severe pancytopenia
No oval macrocytes or hypersegmented neutrophils
Lymphocytic preponderance
18/01/2023 AIIMS Rajkot 65
Case 7
• 4 month old child
Severe pallor and
supernumerary
thumb
• Hb 5 gm/dl
• TLC 5600/cmm
• Platelet
2,15,000/cmm
• Retic < 0.2%
Congenital red cell hypoplasia or Diamond-Blackfan anemia is a pure RBC aplasia in
children.
Congenital abnormalities, including short stature and skeletal defects, specially of
thumbs
 The diagnosis of DBA is suggested by a macrocytic (although sometimes normocytic)
anemia with reticulocytopenia presenting in the first 6 months of life.
Bone marrow examination reveals decreased erythroid precursors.
18/01/2023 AIIMS Rajkot 66
Case 8
• 14 year old male
• Refractory anemia since early
childhood
• Multiple transfusions
• Hb 6 gm/dl MCV 110 fl
• TLC 8700/cmm
• Platelet 3,50,000/cmm
• DLC – normal
• Retic 1%
Peripheral blood in CDA-I
Bone marrow in CDA-I
18/01/2023 AIIMS Rajkot 67
Congenital dyserythopoietic anemia
CDA - characterized by
ineffective erythropoiesis and
dyserythropoiesis.
Morphologically abnormal
erythroblasts in the bone marrow
with multinuclearity, nuclear
bridges, karyorrhexis, or
megaloblastic changes.
Morphologically, the anemia is
generally mildly macrocytic in
CDA types I and III and is
normocytic in CDA type II.
Bone marrow in CDA-III
Polychromatophilic
erythroblasts with
multinucleation
18/01/2023 AIIMS Rajkot 68
Case 9
• 70 year male
• Progressive pallor
• Hb 6 gm/dl
• TLC 2900/cmm
• Platelet 45,000/cmm
18/01/2023 AIIMS Rajkot 69
Myelodysplastic syndrome
Erythrocyte morphology is usually macrocytic
Oval macrocytosis is the best-recognized erythrocyte abnormality.
In extreme cases, elliptocytes , teardrops, schistocytes,
stomatocytes, or acanthocytes
Basophilic stippling, Howell-Jolly bodies, and megaloblastoid
nucleated red cells
Circulating blasts
5 q- syndrome – classically has macrocytosis
Dyspoietic megaloblastic morphology is also a feature of
Erythroleukemia
18/01/2023 AIIMS Rajkot 70
CASE 10
• A 69-year-old man
• presented with a 2-year history of progressive thrombocytosis,
referred to exclude essential thrombocythemia.
• no palpable splenomegaly.
• Hemoglobin- 10.9 g/dl;
• mean corpuscular volume 100 fL;
• platelets 9.3lacs;
The peripheral blood smear showed marked thrombocytosis, giant platelets, and red
cell dysplastic changes including oval cells, target cells, numerous red cell stippling,
and Pappenheimer bodies (panel A). These findings suggested acquired sideroblastic
anemia and an associated myeloproliferative neoplasm.
18/01/2023 AIIMS Rajkot 71
Case 11
• A 57-year-old African American woman with
shortness of breath and chest pain
• complete blood count profile
showed pancytopenia,
• white blood cell count of 3.3 × 103/μL,
• a hemoglobin level of 4.4 g/dL,
• platelet count of 29000/cumm
• Numerous nucleated red blood cells,
• erythroblasts, and a rare
circulating megakaryoblast were identified on
peripheral smear examination.
18/01/2023 AIIMS Rajkot 73
THANK YOU

Macrocytic Anemia.pptx

  • 1.
    18/01/2023 AIIMS Rajkot1 APPROACH TO DIAGNOSIS A CASE OF MACROCYTIC ANAEMIA BY DR.RUSHANG DAVE UNDER THE GUIDEINENCE OF DR. GARIMA ANANDANI
  • 2.
    18/01/2023 AIIMS Rajkot2 SYNOPSIS Introduction Macrocytosis without anemia Factitious macrocytosis Classification of macrocytic anemia Megaloblastic anemia – Causes Biochemical basis, folate and B12 metabolism Laboratory diagnosis Treatment and response assessment Non-megaloblastic anemia Causes and morphologic findings. Summary
  • 3.
    18/01/2023 AIIMS Rajkot3 Morphologic classification RBC indices MCV < 80fL Microcytic anemia MCV 80 to 100fL Normocytic anemia MCV > 100fL Macrocytic anemia
  • 4.
    18/01/2023 AIIMS Rajkot4 Definition • These are the anaemias in which the RBC have an MCV of greater than 100 fl. • There are two groups of macrocytic anaemias - Megaloblastic anemia - Non megaloblastic macrocytic anemia
  • 5.
    18/01/2023 AIIMS Rajkot5 Macrocytosis Without Anemia Neonatal RBCs (at birth 100-130 fL) Genetic predisposition Early cases of vitamin B12 deficiency. (Macrocytosis characteristically precedes the development of anemia and may even do so by several years) Hence raise in MCV should not be ignored and correlated clinically
  • 6.
    18/01/2023 AIIMS Rajkot6 FACTITIOUS MACROCYTOSIS
  • 7.
    18/01/2023 AIIMS Rajkot7 Case 1 45 year old female  Hb of 7.1 g/dL  RBC 0.8 million/cumm  MCV – 111.9 fL  MCH – 86.4 pg  MCHC – 77.8 g/dL Agglutination of RBCs result in grossly abnormal indices RBC count, MCV, MCHC
  • 8.
    18/01/2023 AIIMS Rajkot8 Case 2  32 yr female with menorrhagia Hb- 8.8 g/dL RBC – 2.7 million MCV – 101 fL MCH – 27.6 pg MCHC – 31.8 g/dL Polychromatophils 20% larger in size As a very rough rule of thumb, for every 1% increase in the reticulocyte percentage, there will be an increase of 1 fL in the MCV.
  • 9.
    18/01/2023 AIIMS Rajkot9 Case 3  54 yr male Hb- 9.8 g/dL RBC – 3.5 million MCV – 109 fL MCH – 27.6 pg MCHC – 28.8 g/dL HbA1c- 9% RBCs are glucose loaded and swell when they are mixed with isotonic diluent MCV is elevated, PCV is increased and MCHC is abnormally low.
  • 10.
    18/01/2023 AIIMS Rajkot10 Case 4 EDTA induced changes • Increase in red cell size with time, due to degenerative changes that permits ingress of water into the cells • artefactual increase in RBC size could mask microcytosis and lead to erroneous diagnoses of macrocytosis. • Other morphological changes such as spherocytosis, echinocytosis & spheroechinocytosis were observed from Day 2 onwards
  • 11.
    18/01/2023 AIIMS Rajkot11 Factitious macrocytosis  Hyperosmolar conditions • Uncontrolled diabetes where RBCs are glucose loaded and swell when they are mixed with isotonic diluent • MCV is elevated, PCV is increased and MCHC is abnormally low.  Prolonged storage especially in EDTA Extreme leucocytosis – leucocytes may enter RBC channel Methanol poisoning – increasing MCV value.
  • 12.
    18/01/2023 AIIMS Rajkot12 CAUSES OF MACROCYTIC ANEMIA Macrocytic anemia Megaloblastic Non megaloblastic
  • 13.
    18/01/2023 AIIMS Rajkot13 Megaloblast The term ‘megaloblast’ is a designation that was first applied by Ehrlich to the abnormal erythrocyte precursors found in the bone marrow of patients with pernicious anemia  Megaloblasts are characterized by their large size and by specific alterations in the appearance of their nuclear chromatin – Sieve like, nucleo-cytoplasmic asynchrony Normoblastic erythroid precursor Megaloblastic erythroid precursor
  • 14.
    18/01/2023 AIIMS Rajkot14 Causes Folate deficiency Vitamin B12 deficiency Drugs Inherited disorders • Orotic aciduria • Thiamine responsive megaloblastic anemia • Dihydrofolate reductase deficiency • Transcobalamin II deficiency • Homocysteinuria and methyl malonic aciduria • Lesch-Nyhan syndrome
  • 15.
    18/01/2023 AIIMS Rajkot15 Biochemical basis of megaloblast
  • 16.
    18/01/2023 AIIMS Rajkot16 B12 and folate metabolism
  • 17.
    18/01/2023 AIIMS Rajkot17 B12 deficiency Methyl malonyl coA Succinyl coA Methyl malonic acid Myelin destabilizer Deoxyadenosyl B12
  • 18.
    18/01/2023 AIIMS Rajkot18 Vitamin B12 (Cobalamin) Present in animal protein predominantly. Stored in liver Co factor for one carbon metabolism RDA is 2.4 μg in adults The total amount of vitamin B12 stored in body is about 2–5 mg in adults. 2 important forms in body are methyl cobalamin and deoxyadenosyl cobalamin
  • 19.
    18/01/2023 AIIMS Rajkot19 Mechanism of absorption In stomach, pepsin cleaves protein bound B12, Free B12 binds to R-binder secreted from saliva In duodenum pancreatic enzymes lyse the R-binder and B12 attaches to IF which is synthesized from parietal cells B12 with IF is absorbed in terminal ileum by cubulin receptors and IF is disintegrated and B12 binds with transcobalamin II enters portal circulation and partly stored in liver.
  • 20.
    18/01/2023 AIIMS Rajkot20 Causes of B12 deficiency Dietary deficiency (Vegans) Lack of intrinsic factor Pernicious anemia Gastric surgery – Bariatric surgery Prolonged use of PPI Biologic competition for vitamin B12 Small bowel bacterial overgrowth Fish tapeworm disease Familial selective vitamin B12 malabsorption  Chronic pancreatic disease  Zollinger-Ellison syndrome  Diseases of the ileum Ileal resection Regional enteritis/ intestinal TB
  • 21.
    18/01/2023 AIIMS Rajkot21 Clinical features Malaise, irritability, nausea, vomiting, abdominal pain, diarrhea, anorexia, cognitive impairment, forgetfulness. Mild jaundice Atrophy of tongue papillae gives rise to a beefy red tongue. Aphthous stomatitis and oral soreness in some patients even without anemia. Transient darkening of nails and skin (knuckle hyperpigmentation) Beefy red tongue Aphthous ulcer
  • 22.
    18/01/2023 AIIMS Rajkot22 Neurological manifestations Neurologic changes can precede anemia General symmetricalness of manifestations is typical The earliest manifestations are loss of vibratory sense in the feet and numbness, tingling, and loss of fine sensation Posterior and lateral column degeneration Ataxia, spasticity, gait disturbances, impotence, and loss of bladder and bowel control, gait disturbances, neuropsychiatric manifestations are common signs of advanced involvement
  • 23.
    18/01/2023 AIIMS Rajkot23 Folate RDA - 400 μg daily for adults 600 μg for pregnant women 500 μg for lactating women Food folate, mostly methylTHF and formylTHF, is labile Storage of Folate – upto 7.5 mg in liver, depleted within 100 days
  • 24.
    18/01/2023 AIIMS Rajkot24 Causes of folate deficiency  Dietary deficiency  Decreased absorption (Jejunal resection, Celiac disease)  Increased requirements Pregnancy Infancy Chronic hemolytic anemia, myeloproliferative conditions  Alcoholism  Drug-induced folate deficiency – Anti convulsants
  • 25.
    18/01/2023 AIIMS Rajkot25 PERNICIOUS ANAEMIA • Immunological mediated-Gastric mucosa • Chronic atrophic gastritis-loss of parietal cells, infiltrate by lymphocytes and plasma cells, megaloblastic changes of mucosal cells. Three types of antibodies • Type I- 75%- Ab that blocks binding of B12 to IF- plasma and gastric juice • Type II- Ab blocks binding of IF-B12 complex to Ileal receptor. • Type III- Ab 85%-recognize α and β subunit of gastric proton pump.
  • 26.
  • 27.
    18/01/2023 AIIMS Rajkot27 Lab parameters Hb values <7 or 8 g/dl are not unusual The MCV usually between 110 and 130 fl RDW is substantially increased, and the increase may precede the development of anemia Reticulocyte count is reduced due to ineffective erythropoiesis As megaloblastic anemia progresses, neutropenia and thrombocytopenia develop The pancytopenia may mimic aplastic anemia Serum lactate dehydrogenase and indirect bilirubin levels – elevated reflecting the intramedullary destruction of RBCs as well as shortened life span
  • 28.
    18/01/2023 AIIMS Rajkot28 PS The main products of megaloblastic erythropoiesis are oval macrocytes with reduced or absent central pallor. Hypersegmentation (5% with 5 lobes or 1 with 6 lobes) is among the first hematologic abnormalities to appear It persists for an average of 14 days after institution of specific therapy
  • 29.
    18/01/2023 AIIMS Rajkot29 Macrocytic anemia: CBC report from a case of macrocytic anemia shows increased MCV (111.7 /L) and MCH (37.7 pg). •However MCHC is 33.7 g/dL in the normal range. • RDW as increased to 30.3%. • Histogram curve (green) is shitted to right suggesting increased MCV. •The green curve is widened indicating moderate degree of anisopoikilocytosis and therefore RDW-CV is increased to 30.3%. • Red curve is of normocytic normochromic red cells (Normal}
  • 30.
  • 31.
    18/01/2023 AIIMS Rajkot31 Bone marrow examination • The initial marrow change is megaloblastosis, even before macrocytosis appears in the peripheral blood. • Bone marrow is markedly hypercellular with erythroid hyperplasia • Thus reversal of M : E ratio to even 1 : 8.
  • 32.
    18/01/2023 AIIMS Rajkot32 • The hallmark in the marrow is the nuclear- cytoplasmic maturation dissociation which is best seen in the erythroid precursors resulting in megaloblastosis • Megaloblasts have open sieve like nuclear chromatin and basophilic cytoplasm.
  • 33.
    18/01/2023 AIIMS Rajkot33 • There is preponderance of early megaloblasts which are more than intermediate and late megaloblasts • Intermediate and late megaloblast die in the marrow because of unbalanced, nuclear and cytoplasmic maturation. • There is widespread intra-medullary apoptosis of defective erythroid cell precursors resulting in rise of unconjugated bilirubin.
  • 34.
    18/01/2023 AIIMS Rajkot34 • Though marrow is very hypercellular and full of megaloblasts, only 10—20% of the potential progeny of proerythroblasts survive to become the macrocytic red cells and this ineffective erythropoiesis results in anemia. • Howell Jolly bodies and stippling of cytoplasm is seen in some megaloblasts. Both abnormal and normal mitoses are observed frequently . • Nuclei of megaloblasts demonstrate features of dyserythropoiesis like nuclear budding, irregular nuclei, dumb-bell shaped nuclei, and nuclear fragments etc,
  • 35.
    18/01/2023 AIIMS Rajkot35 • D) Marrow aspirate shows a giant megaloblast {*) (at the bottom of the picture)with megaloblasts showing features of dyserythropoiesis in the form of irregular nuclei . E) Bone marrow shows erythroid hyperplasia. Mitosis is frequent .
  • 36.
    18/01/2023 AIIMS Rajkot36 • There is abnormal hemoglobinization of cytoplasm of megaloblasts., Megaloblastosis changes to normoblastic erythropoiesis within 12 hours of giving Vit. B12/FA and marrow morphology reverts to normal within 2-3 days. • Therefore, bone marrow should be carried out pretreatment if required.
  • 37.
    18/01/2023 AIIMS Rajkot37 • The misshapen neutrophils fray and the cells disintegrate resulting in neutropenia— ineffective myelopoiesis, Giant metamyelocytes show bizzare shapes of the nuclei (misshapen nuclei), and abnormal chromatin and staining character
  • 38.
    •Megakaryopoiesis Is lessdisturbed as compared to erythropoiesis and myelopoiesis, Megakaryocytes of variable maturity display nuclei with open chromatin pattern and complex nuclear lobular hypersegmentation . • Megakaryocytes show larger size, fragmentation and very few platelets are formed— some of them being megathrombocytes. This "ineffective thrombopoiesis accounts for reduced platelet count.
  • 39.
    18/01/2023 AIIMS Rajkot39 Trephine biopsy • Bone marrow trephine biopsy displays preponderance of early megaloblasts with uniform size and shape, having open nuclear chromatin with linear 1-4 nucleoli and frequent mitoses. • It is essential to differentiate these cells from blast cells which are seen as small clusters (ALIP-Abnormal localization of miniature precursors) in MDS. • Morphologic aberrations are also apparent in myeloid cells and‘giant metamyelocytes and band forms' are pathognomonic of megaloblastosis,
  • 40.
    18/01/2023 AIIMS Rajkot40 • Bone marrow trephine biopsy shows eryihroid hyperplasia with preponderance of early magaloblasts which are of uniform size with delicate nuclear membrane, vesicular nuclei and 1—3 linear nucleoli which touch the nuclear membrane,
  • 41.
    18/01/2023 AIIMS Rajkot41 Vitamin B12 Levels Standard initial routine diagnostic test Microbiological assay replaced by automated radioimmunoassay, chemiluminescence In cobalamin deficiency, serum cobalamin levels fall below the generally accepted cutpoint of 200 to 250 ng/L (<125 pmol/L) Measures total Cobalamin ( Tc I, Tc II, Tc III) – hence may be elevated in CML
  • 42.
    18/01/2023 AIIMS Rajkot42 Methyl Malonic acid Increases in serum and urine in cobalamin deficiency but not folate deficiency Serum levels are elevated in 98.4% of patients with symptomatic cobalamin deficiency Levels often exceed >0.75 µmol/l in symptomatic cobalamin deficiency but are usually only mildly elevated in subclinical deficiency Falsely elevated in hemoconcentration, renal disease, small bowel bacterial overgrowth MMA is a more specific test for cobalamin deficiency than homocysteine
  • 43.
    18/01/2023 AIIMS Rajkot43 Total homocysteine Homocysteine rises with either folate or cobalamin deficiency A normal result helps to exclude clinically relevant deficiency Levels above 12 to 14 μmol/L in women and 14 to 15 μmol/L in men are generally regarded as elevated. Homocysteine rises in many acquired and genetic conditions Folate intake and serum creatinine levels are major determinants of homocysteine status
  • 44.
    18/01/2023 AIIMS Rajkot44 Holotranscobalamin Holotranscobalamin (HoloTC) – measures TC II, the ‘active’ fraction of plasma cobalamin Relatively new test Immunoassay for this fraction is now available Values for HoloTC in healthy individuals are 35–171 pmol/l Better sensitivity and specificity characteristics than B12 levels
  • 45.
    18/01/2023 AIIMS Rajkot45 Deoxyuridine suppression test Abnormal Deoxyuridine suppression serves as a sensitive index of the presence of megaloblastosis due to vitamin B12 or folate deficiency. Test reflects impaired conversion of deoxyuridylate to thymidilate  done for research purposes Can be done even in subclinical deficiency
  • 46.
    18/01/2023 AIIMS Rajkot46 Cobalamin (156-672 pmol/L) >250 pmol/L No deficiency <125 pmol/L B12 deficiency 125-250 pmol/L Grey area 0.29-0.75 µmol/L Grey area (Rpt after 1 yr) <0.29 µmol/L No deficiency >0.75 µmol/L B12 deficiency MMA(0.08-0.28 µmol/L)
  • 47.
    18/01/2023 AIIMS Rajkot47 TEST TO DIAGNOSIS FOR B12 DEFICIENCY: • The Schilling test is a 3 stage test. • Stage 1 - Give radioactive labeled vitamin B12 orally. Then screen the patient's urine for the radio labeled B12. • *If the radioactive B12 appears in the urine, the patient has successfully absorbed the B12 and the abnormality is a dietary deficiency of Vitamin B12. End of test. • *If no or scant B12 appears in the urine, then the ingested B12 was not absorbed. The defect in absorption is not due to dietary deficiency. Proceed to Stage 2.
  • 48.
    18/01/2023 AIIMS Rajkot48 • Stage 2 - Give oral radio labeled B12 with oral intrinsic factor and again screen the patient's urine for B12. • *If B12 is found in the urine, then the defect is due to a lack of intrinsic factor. End of test. • *If no or scant B12 is present in the urine, then the defect is not due to a lack of intrinsic factor (because absorption is not corrected by giving extrinsic IF). The defect is at the intestinal level. Proceed to stage 3 SCHILLING TEST (Contd..)
  • 49.
    18/01/2023 AIIMS Rajkot49 • Stage 3 - Treat patient with 7-10 days of antibiotics. Then give radio labeled B12. • *If decreased Ileal absorption is due to bacterial overgrowth, antibiotics will correct this absorptive defect and B12 will be detected in the urine. • *If decreased Ileal absorption is secondary to an anatomic defect, antibiotics will have no effect on B12 absorption and no B12 will be found in the urine. SCHILLING TEST (Contd..)
  • 50.
    18/01/2023 AIIMS Rajkot50 Tests to diagnose cause of B12 deficiency • Nothing further if diet, resection history, very elderly patients • Anti IF antibodies – 100% specific, 70% sensitive for Pernicious anemia • All patients with anaemia, neuropathy or glossitis, and suspected of having pernicious anaemia, should be tested for anti-IFAB regardless of cobalamin levels (Grade 1A) • Gastric anti parietal cell antibodies – May be +ve, very low specificity
  • 51.
    18/01/2023 AIIMS Rajkot51 Other tests • Cobasorb – Functional measure of Vit B12 absorption • Baseline holoTC measured • Oral B12 given • Increased holoTC – normal absorption • Unchanged HoloTC – No absorption • Needs further evaluation before introduction into routine clinical practice • Endoscopy for gastric malignancy every 5 years in case of atrophic gastritis
  • 52.
    18/01/2023 AIIMS Rajkot52 Tests to diagnose Folate deficiency Serum Folate The definition of folate deficiency in patients with megaloblastic anemia, is a serum folate level below 3 μg/L. Fluctuates with folate intake, falsely elevated in hemolysis RBC folate MethylTHF (60%) and formylTHF (26%) are the major folates in red cells. Red cell folate content is constant and is viewed as a truer indicator of tissue folate Red cell levels below 160 μg/L are usually considered low
  • 53.
    18/01/2023 AIIMS Rajkot53 Investigation for folate FIGLU test Histidine -----------------→ FIGLU -------------------------→ Glutamate ↑ THF • Oral challenge of Histidine Increased urinary excretion of FIGLU in folate deficiency.
  • 54.
  • 55.
    18/01/2023 AIIMS Rajkot55 • Gastric biopsy: Cases with, pernicious anemia demonstrate gastric atrophy with loss of gastric glands and parietal cells. There is infiltration of lamina propria by lymphocytes and plasma cells.
  • 56.
    18/01/2023 AIIMS Rajkot56 Indications for bone marrow Generally no role except Lack of facilities for serum B12 and folate levels Atypical clinical presentation Splenomegaly Bleeding Sternal tenderness Presence of circulating blasts
  • 57.
    18/01/2023 AIIMS Rajkot57 Treatment Treatment with folate alone in B12 deficiency cases may result in masking of peripheral blood picture and neurological symptoms may continue worsening. Standard initial therapy for patients without neurological involvement is 1000 µg hydroxocobalamin intramuscularly (I.M) three times a week for 2 weeks Patients with neurological symptoms should receive 1000 µg hydroxocobalamin I.M. on alternate days until there is no further improvement Folate is also empirically administered 400μg to 1mg/day • Folate deficiency : 5 mg of folic acid daily is taken for 4 months.
  • 58.
    18/01/2023 AIIMS Rajkot58 Response to treatment Often response to empirical treatment is used as a diagnostic test Reticulocyte level starts by 2-3 days and peaks by 6-8 days Marrow is completely normoblastic after 3-4 days. Giant metamyelocytes persists for 12 days A complete blood cell count 10-14 days after starting the treatment should reveal a rise in hemoglobin (0.1g/dl per day) and a decrease in MCV Full hematologic response should occur within 8 weeks.
  • 59.
    18/01/2023 AIIMS Rajkot59 Masked megaloblastosis Deficiency of vitamins without classical blood picture and bone marrow picture. Coexisting Iron deficiency or thalassemia PS findings : Dimorphic population of macroovalocytes and microcytic hypochromic RBCs Increased RDW MCV may be normal Hypochromic ovalocytes is a clue Megaloblastic anemia (crisis) may be the initial presentation in congenital hemolytic anemia
  • 60.
    18/01/2023 AIIMS Rajkot60 Non-megaloblastic macrocytic anaemia  Represent macrocytic anemias in which the RBC precursors appear normal without the characteristic nuclear and cytoplasmic findings of megaloblasts DNA synthesis is unimpaired. Macrocytosis is usually mild; the MCV usually ranges from 100 to 110 fl and rarely exceeds 120 fL
  • 61.
    18/01/2023 AIIMS Rajkot61 Causes Aplastic anemia Myelodysplastic syndrome Acquired sideroblastic anemia  Congenital dyserythropoietic anemia types I and III Diamond-Blackfan anemia Erythroleukemia Alcoholism Liver disease Hypothyroidism Copper deficiency HIV Drugs – (independent of DNA synthesis ) Valproic acid, Recombinant EPO, Sulfonamides
  • 62.
    18/01/2023 AIIMS Rajkot62 Case 5 • 55 male with ascites, splenomegaly • Hb 8.5 g/dl • TLC 3800/cmm • Platelet 1,25,000/cmm • N 70, L 26, E2, M2 • MCV 103 fl • MCH 28 pg • MCHC 29 gm/dl • Retic 2.5%
  • 63.
    18/01/2023 AIIMS Rajkot63 Alcoholism and liver disease Associated with thin macrocytes, defined as cells with increased surface area but without a corresponding increase in volume Consequence of excessive membrane lipids, especially cholesterol , but also phospholipids. The MCV rarely exceeds 115 fl  Cause Faulty lipid metabolism Associated Folate deficiency Alcoholics may be associated with spur-cell hemolytic anemia Poorly defined direct effects of alcohol on the bone marrow Serum and erythrocyte folate levels are usually normal, and the macrocytosis does not respond to folate treatment – abstaining from alcohol brings down the MCV
  • 64.
    18/01/2023 AIIMS Rajkot64 Case 6 • 16 year male • Severe anemia and bleeding gums – 2 months • Hb 4 gm/dl • TLC 1600/cmm N 10 L 90 • Platelet count 20,000/cmm • Reticulocyte 0.1% • MCV 108 fl 10-20 % aplastic anemia have macrocytosis less than 110 fl Much severe pancytopenia No oval macrocytes or hypersegmented neutrophils Lymphocytic preponderance
  • 65.
    18/01/2023 AIIMS Rajkot65 Case 7 • 4 month old child Severe pallor and supernumerary thumb • Hb 5 gm/dl • TLC 5600/cmm • Platelet 2,15,000/cmm • Retic < 0.2% Congenital red cell hypoplasia or Diamond-Blackfan anemia is a pure RBC aplasia in children. Congenital abnormalities, including short stature and skeletal defects, specially of thumbs  The diagnosis of DBA is suggested by a macrocytic (although sometimes normocytic) anemia with reticulocytopenia presenting in the first 6 months of life. Bone marrow examination reveals decreased erythroid precursors.
  • 66.
    18/01/2023 AIIMS Rajkot66 Case 8 • 14 year old male • Refractory anemia since early childhood • Multiple transfusions • Hb 6 gm/dl MCV 110 fl • TLC 8700/cmm • Platelet 3,50,000/cmm • DLC – normal • Retic 1% Peripheral blood in CDA-I Bone marrow in CDA-I
  • 67.
    18/01/2023 AIIMS Rajkot67 Congenital dyserythopoietic anemia CDA - characterized by ineffective erythropoiesis and dyserythropoiesis. Morphologically abnormal erythroblasts in the bone marrow with multinuclearity, nuclear bridges, karyorrhexis, or megaloblastic changes. Morphologically, the anemia is generally mildly macrocytic in CDA types I and III and is normocytic in CDA type II. Bone marrow in CDA-III Polychromatophilic erythroblasts with multinucleation
  • 68.
    18/01/2023 AIIMS Rajkot68 Case 9 • 70 year male • Progressive pallor • Hb 6 gm/dl • TLC 2900/cmm • Platelet 45,000/cmm
  • 69.
    18/01/2023 AIIMS Rajkot69 Myelodysplastic syndrome Erythrocyte morphology is usually macrocytic Oval macrocytosis is the best-recognized erythrocyte abnormality. In extreme cases, elliptocytes , teardrops, schistocytes, stomatocytes, or acanthocytes Basophilic stippling, Howell-Jolly bodies, and megaloblastoid nucleated red cells Circulating blasts 5 q- syndrome – classically has macrocytosis Dyspoietic megaloblastic morphology is also a feature of Erythroleukemia
  • 70.
    18/01/2023 AIIMS Rajkot70 CASE 10 • A 69-year-old man • presented with a 2-year history of progressive thrombocytosis, referred to exclude essential thrombocythemia. • no palpable splenomegaly. • Hemoglobin- 10.9 g/dl; • mean corpuscular volume 100 fL; • platelets 9.3lacs; The peripheral blood smear showed marked thrombocytosis, giant platelets, and red cell dysplastic changes including oval cells, target cells, numerous red cell stippling, and Pappenheimer bodies (panel A). These findings suggested acquired sideroblastic anemia and an associated myeloproliferative neoplasm.
  • 71.
    18/01/2023 AIIMS Rajkot71 Case 11 • A 57-year-old African American woman with shortness of breath and chest pain • complete blood count profile showed pancytopenia, • white blood cell count of 3.3 × 103/μL, • a hemoglobin level of 4.4 g/dL, • platelet count of 29000/cumm • Numerous nucleated red blood cells, • erythroblasts, and a rare circulating megakaryoblast were identified on peripheral smear examination.
  • 73.

Editor's Notes

  • #15 Add drugs and inherited disorders
  • #29 Add CBC – Hb low, TLC, Platelet low, retic low ( add ranges)
  • #68 Add picture