The Mediastinum
By Dr Nikhil Bansal
Introduction
โ€ข Mediastinal disease is usually initially demonstrated
on a CXR and appear as a mediastinal soft tissue
mass, widening or pneumomediastinum.
โ€ข However it may appear normal in the presence of
mediastinal disease which is subsequently clearly
demonstrated by CT or MRI.
NORMAL ANATOMY
Mediastinal Boundaries
Compartment Anteriorly Posteriorly
Anterior Sternum Anterior aspect of
trachea and posterior
margin of heart
Middle Anterior aspect of
trachea and posterior
margin of heart
A vertical line drawn
along the thoracic
vertebrae 1 cm behind
their anterior margins
Posterior Vertical line drawn along
the thoracic vertebrae 1
cm behind their anterior
margins
Costovertebral junction
A M P
Mediastinal Contents
Compartment Main Strictures
Anterior Fat, lymph nodes, thymus, heart, ascending aorta
Middle Trachea, bronchi, lymph nodes, oesophagus, descending
aorta
Posterior Para vertebral soft tissues
Mediastinal Masses
Compartment % Malignant
Anterosuperior 59
Middle 29
Posterior 16
Approach
1. Is the mass actually in the mediastinum or is it in
the lung?
2. If in the mediastinum, then in which
compartment?
3. What is the differential diagnosis for the mass?
โ€ข PA and lateral chest films are the first step in
distinguishing from which mediastinal compartment
the mass is arising from.
โ€ข CT & MRI is the next step, better characterizing the
nature and extent of the lesion, thus narrowing the
differential diagnosis. MRI is especially good at
looking for spinal canal invasion in posterior
mediastinal masses
โ€ข Tissue biopsy is required for definitive diagnosis, and
surgical resection for definitive cure.
Investigations
Clues to locate mass to mediastinum
Mediastinal masses are
lined by parietal pleura,
so will have:
Masses in the lung
parenchyma typically:
โ€“ Smooth contour
โ€“ Tapered borders
โ€“ May be seen
bilaterally
โ€“ Are surrounded by
air
โ€“ May contain air
bronchograms
โ€“ Will be on one side
only
Which compartment?
1. Cervicothoracic sign
2. Thoracoabdominal sign
3. Hilum overlay and convergence signs
4. Effect on adjacent structures
๏‚ง Trachea
๏‚ง Ribs
๏‚ง Heart
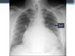
Cervicothoracic sign
โ€ข Described by Felson:
โ–ซ โ€œIf a thoracic lesion is in anatomic contact with the soft
tissues of the neck, its contiguous border will be lost.โ€
โ€ข The anterior mediastinum ends at the level of the
clavicles.
โ€ข The posterior mediastinum extends much higher.
โ€ข Therefore
โ–ซ any mass that remains sharply outlined in the apex of
the thorax must be posterior and entirely within the
chest, and
โ–ซ any mass that disappears at the clavicles must be
anterior and extends into neck
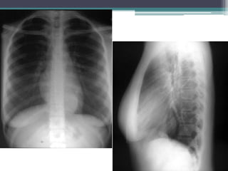
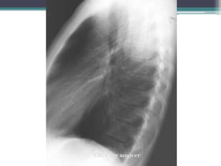
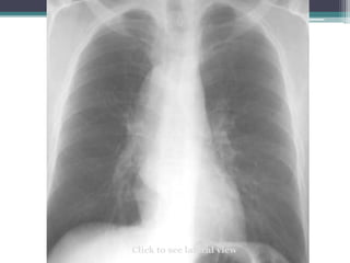
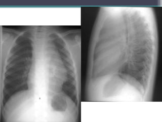
Cervicothoracic sign
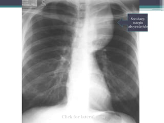
Which compartment do you think this mass is in?
Click for lateral view
See sharp
margin
above clavicle
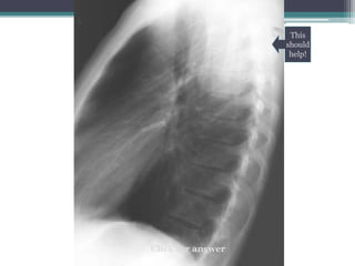
Click for lateral view
Click for answer
Click for answer
This
should
help!
Cervicothoracic sign
โ€ข Answer: Mass is in posterior mediastinum. We
know because it remains sharply outlined in apex of
thorax, indicating that it is surrounded by lung.
โ€ข This particular example is a ganglioneuroma
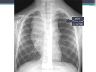
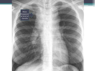
Cervicothoracic sign
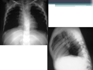
Which compartment do you think this mass is in?
Click for answer
Mass
โ€œdisappearsโ€
at clavicle
Click for answer
Cervicothoracic sign
โ€ข Answer: Mass lies in anterior mediastinum. We
know this because it disappears at the level of the
clavicle where it extends into the neck.
โ€ข This particular example is Non-Hodgkins lymphoma
Thoracoabdominal sign
โ€ข A sharply marginated mediastinal mass seen through
the diaphragm must lie entirely within the chest.
โ€ข The posterior costophrenic sulcus extends far more
caudally than the anterior aspect of the lung
โ€ข Therefore
โ–ซ Any mass that extends below the dome of the
diaphragm and remains sharply outlined must be in
the posterior compartments and surrounded by lung,
and
โ–ซ Any mass that terminates at dome of diaphragm must
be anterior
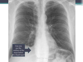
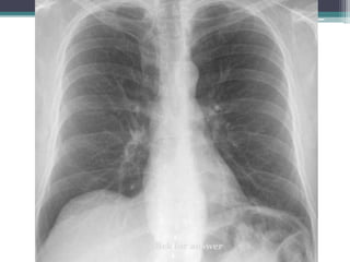
Click for answer
Can you
see the
outline of the
mass below
the diaphragm?
Click for answer
Thoracoabdominal sign
โ€ข Answer: Margin of mass is apparent and below
diaphragm, therefore this must be in the middle or
posterior compartments where it is surrounded by
lung
โ€ข This example is a โ€˜Lipomaโ€™
Hilum overlay and convergence
signs
โ€ข Principle of hilum overlay
โ–ซ The proximal segments
of the R and L main
pulmonary arteries lie
lateral to the cardiac
silhouette on PA film
โ€ข With pericardial effusion
or cardiac enlargement,
this relationship is
unchanged
โ€ข An anterior mediastinal
mass will overlap the
main pulmonary arteries,
therefore they will be
seen within the margins
of the mass
โ€ข Hilum convergence
โ–ซ To distinguish between
enlarged pulmonary
artery and mediastinal
mass
โ€ข If branches of the
pulmonary artery converge
toward a central mass
enlarged PA
โ€ข If branches of PA converge
toward the heart rather
than the central mass
mediastinal tumor
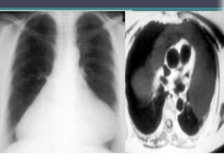
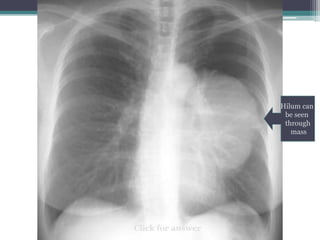
Hilum overlay sign
Can you see the pulmonary arteries on the
following radiograph?
Click for answer
Hilum can
be seen
through
mass
Click for answer
Hilum overlay sign
โ€ข Answer: this must be an anterior mediastinal
mass because it overlaps rather than โ€œpushes
outโ€ the main pulmonary arteries
โ€ข This particular example is a thymoma
Can you see the pulmonary arteries on the
following radiograph?
Yes!!
Click for more info
Hilum overlay sign
โ€ข Heart is enlarged, but hilar vessels still visible
lateral to the cardiac silhouette
โ€ข This case is pericardial effusion
Effect on adjacent structures
โ€ข Trachea
โ–ซ May see deviation or narrowing of trachea with
anterior compartment masses
โ€ข Ribs/ vertebrae
โ–ซ May see bony destruction with posterior compartment
masses
Anterior Mediastinal Masses
(30% of mediastinal masses)
โ€ข The 4 Tโ€Ÿs
โ–ซ Thymoma
๏‚– Generally over age 40
โ–ซ Teratoma
๏‚– Generally under age 40
โ–ซ Thyroid
๏‚– Goiter or neoplasm
โ–ซ Terrible lymphoma
Thymoma
โ€ข Clinical clues
โ–ซ 70% of cases in patients
ages 40-60
โ–ซ Associated with
๏‚– myasthenia gravis (in
50%)
๏‚– pure red cell aplasia (in
5%)
๏‚– Hypogammaglobulinemia
(in 5%)
โ–ซ Asymptomatic in 20-50%
โ–ซ 35% are invasive
โ–ซ Tx: resection + RT if
invasive
โ€ข Radiographic clues
โ–ซ Often overlies
aortopulmonary window
โ–ซ Punctate, ringlike
calcification in 20%
โ–ซ Usually seen unilaterally
โ–ซ 25-50% are undectectable
on CXR ๏ƒ  CT is better at
91% sensitivity
Thymic cyst
โ€ข May be congenital or acquired.
โ€ข On plain radiographs, thymic cysts are
indistinguishable from other nonlobulated thymic
masses, notably thymomas.
โ€ข CT scans show a well-defined cystic mass
demonstrating CT attenuation values typically
consistent with fluid. The appearance, however, may
vary if haemorrhage or infection complicate the cyst.
Curvilinear calcification of the cyst wall may occur in
a few cases.
Teratoma
โ€ข Clinical clues
โ–ซ Most patients < 30 y.o.
โ–ซ 50-75% symptomatic with
cough, dyspnea, chest pain
โ€ข Radiographic clues
โ–ซ Well-defined, rounded or
lobulated mass
โ–ซ May contain calcification,
teeth or fat
โ–ซ Commonly have fluid-
containing cystic areas
Eight year old male with a
heart murmur
โ–ซ PA and lateral chest films show a
large anterior mediastinal mass
causing narrowing and rightward
deviation of the trachea. The
mass is not calcified.
CT exam show a low
density mass in the
anterior mediastinum with
irregular walls with
calcium in it.
Dx Teratoma, Anterior
Mediastinal
Thyroid goiter
โ€ข Clinical clues
โ–ซ Affect females > males (3:1)
โ–ซ Account for 10% of anterior
mediastinal masses
โ–ซ Usually asymptomatic
โ€ข Radiographic clues
โ–ซ + cervicothoracic sign
โ–ซ Often displace or narrow
trachea
โ–ซ Calcification seen in 25%,
and is dense and well-
defined
Thyroid goiter
Trachea is
deviated
to left
Mass
disappears
at level of
clavicle
Lymphoma
โ€ข Clinical clues
โ–ซ Hodgkins (Reed-Sternberg
cells)
โ–ซ Bimodal distribultion: in 20s
and at age >50
โ–ซ Account for only 20-30 of all
lymphomas but accounts for
up to 85% mediastinal
lymphoma
โ–ซ 20-30% pts have โ€œBโ€ sx
โ–ซ Non-Hodgkins
โ–ซ Age > 55
โ–ซ Accounts for 80% of
lymphomas but only 20%
present as mediastinal mass
โ€ข Radiographic clues
โ–ซ Identical findings for
Hodgkins and Non-Hodgkins
lymphoma
โ–ซ Mass may be multi-lobular
โ–ซ Usually affects multiple
nodes
โ–ซ Often extends beyond
anterior compartment
โ–ซ Calcification rare prior to
treatment
Mass
disappears
at level of
clavicle
PA and lateral chest films show a large,
lobulated anterior mediastinal mass
displacing the trachea to the right.
Twelve year old female with a chest
mass
A chest CT exam shows the mass to extend from the neck to the diaphragm,
compressing the tracheal and left mainstem bronchus leading to left lower
lobe atelectasis. The chest wall mass is partially eroding the sternum and
there is periosteal reaction. Axillary adenopathy is present also.
Dx:Lymphoma, Hodgkin, Anterior Mediastinal, Sternal Involvement
PA and lateral chest films show an
anterior mediastinal mass and a large
right pleural effusion.
Two contiguous slices
from an enhanced chest
CT exam show a
homogenous, solid,
anterior mediastinal mass
and a large right pleural
effusion.
Dx-Lymphoma, Non-
Hodgkin, Anterior
Mediastinal
Germ Cell Tumours
It is a well defined round or oval soft
tissue mass, which usually project to
only one side of the anterior
mediastinum. The soft tissue mass
may also contain a peripheral rim or
central nodular calcification or even a
rudimentary tooth. A rapidly increase
in the size of the mass show internal
hemorrhage or development of
malignancy.
Fat Deposition
There is smooth widening of the superior mediastinum
without trachial displacement.
Pleuropericardial cyst:
They appear as a well defined round, oval or triangular
soft tissue mass which can alter in shape on respiration.
Anterior and middle mediastinal
lymph node enlargement
Thoracic aorta aneurysm
Middle Mediastinal Masses
(30% of mediastinal masses)
โ€ข The 4 Aโ€Ÿs
โ–ซ Adenopathy
๏‚– TB/fungal
๏‚– Sarcoid
๏‚– Neoplasm (bronchogenic CA, mets, lymphoma, leukemia)
๏‚– Infections (EBV, AIDS)
โ–ซ Awful primary neoplasm
๏‚– Tracheal, esophageal
โ–ซ Aneurysm/vascular
โ–ซ Abnormalities of development
๏‚– Bronchogenic cyst- often between carina and esophagus
๏‚– Pericardial cyst
๏‚– Esophageal duplication cyst
Three year old male with an
incidentally noted chest
mass
โ–ซ Single slice from an enhanced chest CT exam shows the mass to be
non-enhancing, posterior to the right bronchi, and next to the
esophagus.
โ–ซ Dx: Esophageal Duplication
Eighteen year old female
with an incidentally noted
chest mass
Esophageal duplication cyst
Bronchogenic cysts
โ€ข On the chest radiograph, bronchogenic cysts typically appear as
smooth, sharply marginated mediastinal masses. On CT scans they
appear as round or oval homogeneous masses with well-defined
margins with barely or no perceptible walls.
Paratracheal Cystic Lesion
Posterior Mediastinal Masses:
(40% of mediastinal masses)
โ€ข Neurogenic tumors most common
โ–ซ Sympathetic ganglion tumors: neuroblastoma,
ganglioneuroma
โ–ซ Nerve root tumors: schwannoma, neurofibroma
โ€ข Less common
โ–ซ Vertebral body abscess or tumor
โ–ซ Vascular: aneurysm or hematoma
โ–ซ Developmental: Bochdalek hernia
Neural tumors
โ€ข Clinical
โ–ซ 70-80% are benign
โ–ซ 50% of pts are
asymptomatic
โ–ซ Schwannoma is the most
common
โ–ซ Tx: resection
โ€ข Radiographic findings
โ–ซ Well-defined mass with a
smooth or lobulated outline
โ–ซ Can be very large
โ–ซ +/- calcification
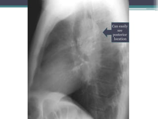
Posterior mediastinal mass
What is the finding in the following radiograph?
Click to see lateral view
Can easily
see
posterior
location
Posterior mediastinal mass
What is it?
โ€žShwannomaโ€Ÿ
PA and lateral chest films show a
mediastinal mass that had enlarged in
the 4 year interval that may be
spreading the right 5th and 6th ribs
apart.
โ€ข An enhanced chest CT exam shows a homogeneous mass, of fatty density,
with a few septations, in the right posterior mediastinum causing some
anterior displacement of the right main stem bronchus.
โ€ข Dx:Lipoma, Posterior Mediastinal
Descending aorta aneurysm
Bochdalek hernia
Thank You
PA and lateral chest films show a soft
tissue mass in the right posterior
costophrenic sulcus.
Final Diagnosis:
Intrathoracic Kidney
PA and lateral chest films from the day
of admission demonstrate a large
round opacity in the left lower lobe that
abuts the diaphragm
Two coronal T1 weighted images and one axial T2 weighted image from an MRI
exam from the 5th hospital day demonstrate a posterior mediastinal mass that
extends into the retrocrural regions of the chest bilaterally and that enhances
uniformly. There is no evidence of metastatic disease.
Dx-Sequestration, Extralobar
large mass in the posterior
mediastinum on the left.
Bone window images from a chest CT exam from the day of diagnosis demonstrate a
large spherical calcified left paravertebral mass measuring 12 x 11 x 8 cm in size. There
is a pleural effusion and a shift of mediastinal structures to the right. The mass appears
to extend via the retrocrural space into the abdomen causing displacement of the left
kidney and inferior vena cava. The mass crosses the midline. Some minimal thoracic
vertebral body remodeling and rib thinning is seen on the left. No spinal canal invasion
or liver metastases are seen
MRI exam performed 3 weeks after
diagnosis. Coronal and sagittal T1
weighted images without contrast, and
coronal and axial T2 weighted MRI
images could not definitely identify the
left adrenal gland, and therefore
suggested it could be the origin of the
midline mass. There was evidence of
tumor invasion into several neural
foramina and the spinal canal.
Dx-Neuroblastoma
The mediastinum BY Dr Nikhil Bansal

The mediastinum BY Dr Nikhil Bansal

  • 1.
    The Mediastinum By DrNikhil Bansal
  • 2.
    Introduction โ€ข Mediastinal diseaseis usually initially demonstrated on a CXR and appear as a mediastinal soft tissue mass, widening or pneumomediastinum. โ€ข However it may appear normal in the presence of mediastinal disease which is subsequently clearly demonstrated by CT or MRI.
  • 3.
  • 4.
    Mediastinal Boundaries Compartment AnteriorlyPosteriorly Anterior Sternum Anterior aspect of trachea and posterior margin of heart Middle Anterior aspect of trachea and posterior margin of heart A vertical line drawn along the thoracic vertebrae 1 cm behind their anterior margins Posterior Vertical line drawn along the thoracic vertebrae 1 cm behind their anterior margins Costovertebral junction A M P
  • 5.
    Mediastinal Contents Compartment MainStrictures Anterior Fat, lymph nodes, thymus, heart, ascending aorta Middle Trachea, bronchi, lymph nodes, oesophagus, descending aorta Posterior Para vertebral soft tissues Mediastinal Masses Compartment % Malignant Anterosuperior 59 Middle 29 Posterior 16
  • 6.
    Approach 1. Is themass actually in the mediastinum or is it in the lung? 2. If in the mediastinum, then in which compartment? 3. What is the differential diagnosis for the mass?
  • 7.
    โ€ข PA andlateral chest films are the first step in distinguishing from which mediastinal compartment the mass is arising from. โ€ข CT & MRI is the next step, better characterizing the nature and extent of the lesion, thus narrowing the differential diagnosis. MRI is especially good at looking for spinal canal invasion in posterior mediastinal masses โ€ข Tissue biopsy is required for definitive diagnosis, and surgical resection for definitive cure. Investigations
  • 8.
    Clues to locatemass to mediastinum Mediastinal masses are lined by parietal pleura, so will have: Masses in the lung parenchyma typically: โ€“ Smooth contour โ€“ Tapered borders โ€“ May be seen bilaterally โ€“ Are surrounded by air โ€“ May contain air bronchograms โ€“ Will be on one side only
  • 9.
    Which compartment? 1. Cervicothoracicsign 2. Thoracoabdominal sign 3. Hilum overlay and convergence signs 4. Effect on adjacent structures ๏‚ง Trachea ๏‚ง Ribs ๏‚ง Heart
  • 10.
    Cervicothoracic sign โ€ข Describedby Felson: โ–ซ โ€œIf a thoracic lesion is in anatomic contact with the soft tissues of the neck, its contiguous border will be lost.โ€ โ€ข The anterior mediastinum ends at the level of the clavicles. โ€ข The posterior mediastinum extends much higher. โ€ข Therefore โ–ซ any mass that remains sharply outlined in the apex of the thorax must be posterior and entirely within the chest, and โ–ซ any mass that disappears at the clavicles must be anterior and extends into neck
  • 11.
    Cervicothoracic sign Which compartmentdo you think this mass is in?
  • 12.
  • 13.
  • 14.
  • 15.
  • 16.
    Cervicothoracic sign โ€ข Answer:Mass is in posterior mediastinum. We know because it remains sharply outlined in apex of thorax, indicating that it is surrounded by lung. โ€ข This particular example is a ganglioneuroma
  • 17.
    Cervicothoracic sign Which compartmentdo you think this mass is in?
  • 18.
  • 19.
  • 20.
    Cervicothoracic sign โ€ข Answer:Mass lies in anterior mediastinum. We know this because it disappears at the level of the clavicle where it extends into the neck. โ€ข This particular example is Non-Hodgkins lymphoma
  • 21.
    Thoracoabdominal sign โ€ข Asharply marginated mediastinal mass seen through the diaphragm must lie entirely within the chest. โ€ข The posterior costophrenic sulcus extends far more caudally than the anterior aspect of the lung โ€ข Therefore โ–ซ Any mass that extends below the dome of the diaphragm and remains sharply outlined must be in the posterior compartments and surrounded by lung, and โ–ซ Any mass that terminates at dome of diaphragm must be anterior
  • 22.
  • 23.
    Can you see the outlineof the mass below the diaphragm? Click for answer
  • 24.
    Thoracoabdominal sign โ€ข Answer:Margin of mass is apparent and below diaphragm, therefore this must be in the middle or posterior compartments where it is surrounded by lung โ€ข This example is a โ€˜Lipomaโ€™
  • 25.
    Hilum overlay andconvergence signs โ€ข Principle of hilum overlay โ–ซ The proximal segments of the R and L main pulmonary arteries lie lateral to the cardiac silhouette on PA film โ€ข With pericardial effusion or cardiac enlargement, this relationship is unchanged โ€ข An anterior mediastinal mass will overlap the main pulmonary arteries, therefore they will be seen within the margins of the mass โ€ข Hilum convergence โ–ซ To distinguish between enlarged pulmonary artery and mediastinal mass โ€ข If branches of the pulmonary artery converge toward a central mass enlarged PA โ€ข If branches of PA converge toward the heart rather than the central mass mediastinal tumor
  • 26.
    Hilum overlay sign Canyou see the pulmonary arteries on the following radiograph?
  • 27.
  • 28.
  • 29.
    Hilum overlay sign โ€ขAnswer: this must be an anterior mediastinal mass because it overlaps rather than โ€œpushes outโ€ the main pulmonary arteries โ€ข This particular example is a thymoma
  • 30.
    Can you seethe pulmonary arteries on the following radiograph?
  • 31.
  • 32.
    Hilum overlay sign โ€ขHeart is enlarged, but hilar vessels still visible lateral to the cardiac silhouette โ€ข This case is pericardial effusion
  • 33.
    Effect on adjacentstructures โ€ข Trachea โ–ซ May see deviation or narrowing of trachea with anterior compartment masses โ€ข Ribs/ vertebrae โ–ซ May see bony destruction with posterior compartment masses
  • 34.
    Anterior Mediastinal Masses (30%of mediastinal masses) โ€ข The 4 Tโ€Ÿs โ–ซ Thymoma ๏‚– Generally over age 40 โ–ซ Teratoma ๏‚– Generally under age 40 โ–ซ Thyroid ๏‚– Goiter or neoplasm โ–ซ Terrible lymphoma
  • 35.
    Thymoma โ€ข Clinical clues โ–ซ70% of cases in patients ages 40-60 โ–ซ Associated with ๏‚– myasthenia gravis (in 50%) ๏‚– pure red cell aplasia (in 5%) ๏‚– Hypogammaglobulinemia (in 5%) โ–ซ Asymptomatic in 20-50% โ–ซ 35% are invasive โ–ซ Tx: resection + RT if invasive โ€ข Radiographic clues โ–ซ Often overlies aortopulmonary window โ–ซ Punctate, ringlike calcification in 20% โ–ซ Usually seen unilaterally โ–ซ 25-50% are undectectable on CXR ๏ƒ  CT is better at 91% sensitivity
  • 38.
    Thymic cyst โ€ข Maybe congenital or acquired. โ€ข On plain radiographs, thymic cysts are indistinguishable from other nonlobulated thymic masses, notably thymomas. โ€ข CT scans show a well-defined cystic mass demonstrating CT attenuation values typically consistent with fluid. The appearance, however, may vary if haemorrhage or infection complicate the cyst. Curvilinear calcification of the cyst wall may occur in a few cases.
  • 40.
    Teratoma โ€ข Clinical clues โ–ซMost patients < 30 y.o. โ–ซ 50-75% symptomatic with cough, dyspnea, chest pain โ€ข Radiographic clues โ–ซ Well-defined, rounded or lobulated mass โ–ซ May contain calcification, teeth or fat โ–ซ Commonly have fluid- containing cystic areas
  • 42.
    Eight year oldmale with a heart murmur
  • 44.
    โ–ซ PA andlateral chest films show a large anterior mediastinal mass causing narrowing and rightward deviation of the trachea. The mass is not calcified.
  • 45.
    CT exam showa low density mass in the anterior mediastinum with irregular walls with calcium in it. Dx Teratoma, Anterior Mediastinal
  • 46.
    Thyroid goiter โ€ข Clinicalclues โ–ซ Affect females > males (3:1) โ–ซ Account for 10% of anterior mediastinal masses โ–ซ Usually asymptomatic โ€ข Radiographic clues โ–ซ + cervicothoracic sign โ–ซ Often displace or narrow trachea โ–ซ Calcification seen in 25%, and is dense and well- defined
  • 47.
    Thyroid goiter Trachea is deviated toleft Mass disappears at level of clavicle
  • 48.
    Lymphoma โ€ข Clinical clues โ–ซHodgkins (Reed-Sternberg cells) โ–ซ Bimodal distribultion: in 20s and at age >50 โ–ซ Account for only 20-30 of all lymphomas but accounts for up to 85% mediastinal lymphoma โ–ซ 20-30% pts have โ€œBโ€ sx โ–ซ Non-Hodgkins โ–ซ Age > 55 โ–ซ Accounts for 80% of lymphomas but only 20% present as mediastinal mass โ€ข Radiographic clues โ–ซ Identical findings for Hodgkins and Non-Hodgkins lymphoma โ–ซ Mass may be multi-lobular โ–ซ Usually affects multiple nodes โ–ซ Often extends beyond anterior compartment โ–ซ Calcification rare prior to treatment
  • 49.
  • 50.
    PA and lateralchest films show a large, lobulated anterior mediastinal mass displacing the trachea to the right. Twelve year old female with a chest mass
  • 51.
    A chest CTexam shows the mass to extend from the neck to the diaphragm, compressing the tracheal and left mainstem bronchus leading to left lower lobe atelectasis. The chest wall mass is partially eroding the sternum and there is periosteal reaction. Axillary adenopathy is present also. Dx:Lymphoma, Hodgkin, Anterior Mediastinal, Sternal Involvement
  • 52.
    PA and lateralchest films show an anterior mediastinal mass and a large right pleural effusion.
  • 53.
    Two contiguous slices froman enhanced chest CT exam show a homogenous, solid, anterior mediastinal mass and a large right pleural effusion. Dx-Lymphoma, Non- Hodgkin, Anterior Mediastinal
  • 54.
    Germ Cell Tumours Itis a well defined round or oval soft tissue mass, which usually project to only one side of the anterior mediastinum. The soft tissue mass may also contain a peripheral rim or central nodular calcification or even a rudimentary tooth. A rapidly increase in the size of the mass show internal hemorrhage or development of malignancy.
  • 55.
    Fat Deposition There issmooth widening of the superior mediastinum without trachial displacement. Pleuropericardial cyst: They appear as a well defined round, oval or triangular soft tissue mass which can alter in shape on respiration.
  • 56.
    Anterior and middlemediastinal lymph node enlargement
  • 57.
  • 58.
    Middle Mediastinal Masses (30%of mediastinal masses) โ€ข The 4 Aโ€Ÿs โ–ซ Adenopathy ๏‚– TB/fungal ๏‚– Sarcoid ๏‚– Neoplasm (bronchogenic CA, mets, lymphoma, leukemia) ๏‚– Infections (EBV, AIDS) โ–ซ Awful primary neoplasm ๏‚– Tracheal, esophageal โ–ซ Aneurysm/vascular โ–ซ Abnormalities of development ๏‚– Bronchogenic cyst- often between carina and esophagus ๏‚– Pericardial cyst ๏‚– Esophageal duplication cyst
  • 59.
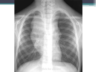
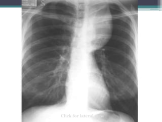
    Three year oldmale with an incidentally noted chest mass
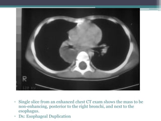
  • 61.
    โ–ซ Single slicefrom an enhanced chest CT exam shows the mass to be non-enhancing, posterior to the right bronchi, and next to the esophagus. โ–ซ Dx: Esophageal Duplication
  • 62.
    Eighteen year oldfemale with an incidentally noted chest mass
  • 64.
  • 65.
    Bronchogenic cysts โ€ข Onthe chest radiograph, bronchogenic cysts typically appear as smooth, sharply marginated mediastinal masses. On CT scans they appear as round or oval homogeneous masses with well-defined margins with barely or no perceptible walls.
  • 66.
  • 67.
    Posterior Mediastinal Masses: (40%of mediastinal masses) โ€ข Neurogenic tumors most common โ–ซ Sympathetic ganglion tumors: neuroblastoma, ganglioneuroma โ–ซ Nerve root tumors: schwannoma, neurofibroma โ€ข Less common โ–ซ Vertebral body abscess or tumor โ–ซ Vascular: aneurysm or hematoma โ–ซ Developmental: Bochdalek hernia
  • 68.
    Neural tumors โ€ข Clinical โ–ซ70-80% are benign โ–ซ 50% of pts are asymptomatic โ–ซ Schwannoma is the most common โ–ซ Tx: resection โ€ข Radiographic findings โ–ซ Well-defined mass with a smooth or lobulated outline โ–ซ Can be very large โ–ซ +/- calcification
  • 69.
    Posterior mediastinal mass Whatis the finding in the following radiograph?
  • 70.
    Click to seelateral view
  • 71.
  • 72.
    Posterior mediastinal mass Whatis it? โ€žShwannomaโ€Ÿ
  • 73.
    PA and lateralchest films show a mediastinal mass that had enlarged in the 4 year interval that may be spreading the right 5th and 6th ribs apart.
  • 74.
    โ€ข An enhancedchest CT exam shows a homogeneous mass, of fatty density, with a few septations, in the right posterior mediastinum causing some anterior displacement of the right main stem bronchus. โ€ข Dx:Lipoma, Posterior Mediastinal
  • 75.
  • 76.
  • 77.
  • 81.
    PA and lateralchest films show a soft tissue mass in the right posterior costophrenic sulcus.
  • 83.
  • 84.
    PA and lateralchest films from the day of admission demonstrate a large round opacity in the left lower lobe that abuts the diaphragm
  • 86.
    Two coronal T1weighted images and one axial T2 weighted image from an MRI exam from the 5th hospital day demonstrate a posterior mediastinal mass that extends into the retrocrural regions of the chest bilaterally and that enhances uniformly. There is no evidence of metastatic disease. Dx-Sequestration, Extralobar
  • 87.
    large mass inthe posterior mediastinum on the left.
  • 88.
    Bone window imagesfrom a chest CT exam from the day of diagnosis demonstrate a large spherical calcified left paravertebral mass measuring 12 x 11 x 8 cm in size. There is a pleural effusion and a shift of mediastinal structures to the right. The mass appears to extend via the retrocrural space into the abdomen causing displacement of the left kidney and inferior vena cava. The mass crosses the midline. Some minimal thoracic vertebral body remodeling and rib thinning is seen on the left. No spinal canal invasion or liver metastases are seen
  • 90.
    MRI exam performed3 weeks after diagnosis. Coronal and sagittal T1 weighted images without contrast, and coronal and axial T2 weighted MRI images could not definitely identify the left adrenal gland, and therefore suggested it could be the origin of the midline mass. There was evidence of tumor invasion into several neural foramina and the spinal canal. Dx-Neuroblastoma