Ankle Fracture Update 
OTA Resident Core Curriculum Lecture Series 
Updated November 2010 
Matt Graves, M.D. 
University of Mississippi Medical Center
Objectives 
Following this session, you should be able to: 
1.State the indication to fix isolated fibular 
fractures. 
2.Define the specific articular pathology 
associated with SA and PAB fractures. 
3.List the 3 common posterior malleolar 
fracture patterns. 
4.State the indication to fix posterior malleolar 
fractures. 
1.Enumerate the ways to ensure syndesmotic 
reduction.
Recommendations to Improve 
Retention of this Material 
1. Write down the objectives 
2. Search for the answers to the objectives in the powerpoint talk 
[hint- look for blue boxes] 
3. Test yourself at the end by reviewing the objectives 
4. Watch the show on “normal view” and look at the notes at the 
bottom of the slides. They will provide guidance to the 
progression of logic and sources of information. Classic 
references are listed throughout. Annotated recent references 
are listed at the end.
Outline 
•Evaluation: Clinical & Radiographic 
•Classification: Lauge-Hansen 
•Specific Problem Areas: Posterior Malleolus 
and Syndesmosis 
•Surgical Goals 
•Outcome
Evaluation: 
Clinical 
HISTORY 
Mechanism 
Timing 
Soft-tissue injury 
Bone quality 
Comorbidities 
Associated Injuries 
PHYSICAL EXAM 
Skin 
Nerves 
Vasculature 
Pain 
Deformity
Evaluation: Radiographic 
Anteroposterior View 
– Tibiofibular overlap ~ 10mm 
– Tibiofibular clear space <5mm 
– TTaallaarr ttiilltt 
Comparison Radiograph?
Evaluation: Radiographic 
Mortise View 
10 degrees internal rotation of 5th MT with respect to a vertical line Goergen JBJS 1977
Evaluation: Radiographic 
Mortise View 
– Medial joint space 
– Talocrural angle: <8 or >15 
degrees 
– Tibia/fibula overlap:>1mm 
Comparison Radiograph?
Evaluation: Radiographic 
Mortise View 
Weber SICOT 1981 
FIBULAR LENGTH: 1. Shenton’s Line of the ankle 
2. The dime test
Evaluation: Radiographic 
Lateral View 
PM 
Talar subluxation 
Distal fibular translation &/or angulation 
Syndesmotic relationship 
Associated or occult injuries 
– Lateral process talus 
– Posterior process talus 
– Anterior process calcaneus
Evaluation: Radiographic 
Other Imaging Modalities 
Stress Views 
– Gravity 
– Manual 
CT 
– Articular involvement 
– Posterior malleolus 
MRI 
– Ligament and tendon injury 
– Talar dome lesions 
– Syndesmosis injuries
Outline 
•Evaluation: Clinical & Radiographic 
•Classification: Lauge-Hansen 
•Specific Problem Areas: Posterior 
Malleolus and Syndesmosis 
•Surgical Goals 
•Outcome
Lauge-Hansen 
Cadaveric study 
First word: position of foot at time of injury 
Second word: force applied to foot relative to tibia at time of injury 
Types:S 
ER 
SA 
PER 
PA
Lauge-Hansen 
Several stages per type 
Imperfect system: 
– Not every fracture fits exactly into one category 
– Even mechanismspecific pattern has been questioned 
– Inter and intraobserver variation not ideal 
– Still useful and widely used
Supination-External Rotation 
Stage 1- AITFL 
Stage 2- Fibula fx 
Stage 3- PITFL or 
PM fx 
Stage 4-Deltoid or 
MM fx 
70% of ankle fractures
Supination-External Rotation 
Stage 2: Stable 
Lateral Injury: classic posterosuperioranteroinferior fibula fracture 
Medial Injury: Stability maintained 
Standard: Closed management 
Kristensen Acta Orthop Scand 1985 
Stage 2
Supination-External Rotation 
Stage 4: Unstable 
Stage 4 
Lateral Injury: classic posterosuperioranteroinferior fibula fracture 
Medial Injury: medial malleolar fracture &*/or deltoid ligament injury 
Standard: Surgical management *Tornetta JBJS 2000
SER-2 vs SER-4: How to Decide? 
Michelson. Clin Orthop Rel Res 2001 
GOAL: TO EVALUATE DEEP DELTOID [i.e. INSTABILITY] 
DeAngelis Poster OTA 2003 
Tornetta. Poster AAOS 2004 
METHOD: MEDIAL TENDERNESS 
McConnell JBJS 2004 
Egol JBJS 2004 
MEDIAL SWELLING 
MEDIAL ECCHYMOSIS 
Schock Presentation OTA 2006 
Zeni Presentation OTA 2006 
Park J Orthop Trauma 2006 
STRESS VIEWS- GRAVITY OR MANUAL
Gravity Stress Exam 
Michelson et al. CORR 387: 178-82, 2001.
Manual Stress 
Exam
versus 
•Both are effective 
•Gravity stress requires XR education. 
•Manual stress requires time and more radiation exposure. 
Schock et al. JBJS 89B: 1055-59, 2007.
SER-2 vs. SER-4: How To Decide? 
Indication to fix isolated fibular fractures
Decision-Tree: 
Understand the Logic 
Assumptions: 
1. Fibular fractures associated with a stable ankle 
mortise heal without significant functional 
consequence. 
2. Fibular fractures associated with an unstable ankle 
mortise heal with significant functional 
problems…because instability allows for talar shift.
Decision Tree: 
Understand the Logic 
Stress View Splintage
Decision-Tree: 
Understand the Logic 
Does a Positive Ankle Stress Test Indicate the 
Need for Operative Treatment? 
– MRI to evaluate all patients with lateral malleolar 
fracture and positive stress test (n=21). 
– If deep deltoid partially intact nonop treatment 
– Good clinical outcomes. 
OTA Annual Meeting. Foot & Ankle Section. Paper #24, 2006.
Indication to fix isolated fibular fractures 
Choose a technique 
to evaluate stability. 
Base your decision 
to operate on your 
findings and the 
risk:benefit ratio.
Supination Adduction 
Stage 1: transverse Weber A or B 
fibula 
Stage 2: vertical medial malleolus
Supination Adduction: Stage 2 
Lateral Injury: transverse fibular fracture at/below level of mortise 
Medial injury: vertical shear type medial malleolar fracture 
BEWARE OF IMPACTION 
McConnell J Orthop Trauma 2001
Supination Adduction: Stage 2 
Important to restore: 
– Ankle stability 
– Articular congruency- including medial 
impaction
SAD 
Consider anteromedial 
approach 
Marginal impaction 
reduction +/- grafting 
Medial antiglide plate 
Specific articular pathology associated with SA
Pronation-External Rotation 
Stage 1 - deltoid or medial 
malleolus 
Stage 2- AITFL and IO 
membrane 
Stage 3 – spiral Weber C fibula 
Stage 4 – PITFL or posterior 
malleolus
Pronation External Rotation: 
Stage 4 
Medial injury: deltoid ligament tear &/or transverse medial malleolar fracture 
Lateral Injury: spiral proximal lateral malleolar fracture 
HIGHLY UNSTABLE…SYNDESMOTIC INJURY COMMON
PER 
Tibia radiograph 
Syndesmostic disruption expected 
Restore: 
– Fibular length and rotation 
– Ankle mortise 
– Syndesmotic stability
Pronation-Abduction 
Stage 1 – transverse MM 
Stage 2 – PITFL or PM 
fracture 
Stage 3 – compression 
bending fibula fracture
Pronation-Abduction 
Medial injury: tranverse to short oblique medial malleolar fracture 
Lateral Injury: comminuted impaction type lateral malleolar fracture
PAB 
Medial malleolar fixation drives stability. Go there 1st. 
Fibular comminution  length stable construct? 
Stress the syndesmosis last 
JBJS 89A: 276-81, 2007
PAB 
Specific articular pathology associated with PAB
PAB: 
Specific Articular Pathology
Outline 
•Evaluation: Clinical & Radiographic 
•Classification: Lauge-Hansen 
•Specific Problem Areas: Posterior Malleolus 
and Syndesmosis 
•Surgical Indications and Goals 
•Outcome
Posterior Malleolus Fractures 
Function: 
Stability- prevents posterior translation of talus & 
enhances syndesmotic stability 
Weight bearing- increases surface area of ankle joint
Posterior Malleolus Fractures: 
Radiographic Evaluation 
Fracture pattern: 
– Variable 
– Difficult to assess on standard lateral radiograph 
• External rotation lateral view [Decoster FAI 2000] 
• CT scan [Haraguchi JBJS 2006]
Posterior Malleolus Fracture: 
Radiographic Evaluation 
Indication for fixation: > 25% joint surface on lateral 
Problem: Fragment size hard to determine on lateral view 
– Reason: Fracture orientation not purely in coronal plane 
• Nearly always associated with the pull of the posterior tib-fib ligament 
– larger laterally than medially 
– obliquely oriented 
– involves the incisura 
Haraguchi et al. JBJS 2006 
…but other fracture patterns have also been defined
Posterior Malleolus Fracture 
67% 19% 
Type I- posterolateral oblique type Type II- medial extension type 
Haraguchi et al. JBJS 2006 
Type III- small shell type 
14% 
3 common PM fracture patterns
Posterior Malleolus Fractures: 
Indications for Fixation 
Stability 
– Posterior translation of talus* 
– ER of talus [syndesmotic widening] 
Articular congruence 
– Stress = Force/Area 
– Excessive stressposttraumatic arthritis 
• Maximize area for stress distribution** 
*fibula and anterior tibiofibular ligament act as primary restraint [Raasch JBJS 1992] 
**contact stress changes significantly with posterior malleolar size >33% [Hartford CORR 1995]
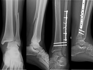
Posterior Malleolus Fracture: Fixation 
Screws 
Plates
Syndesmotic Injury 
FUNCTION: 
Stability- resists external rotation, axial, & lateral 
displacement of talus 
Weight bearing- allows for standard loading
Syndesmosis 
IF INSTABILITY PRESENT OPERATIVE INTERVENTION 
OBTAINING & MAINTAINING ANATOMIC REDUCTION 
REDUCES LONG TERM DISABILITY & IMPROVES sMFA 
Leeds JBJS 1984 
Weening JOT 2005
Syndesmosis: 
Instability 
How do you determine if instability is present? 
– Manual Stress Test 
When do you perform the manual stress test? 
– After you have fixed the other indicated components 
of the fracture
Syndesmosis 
IF INSTABILITY PRESENT OPERATIVE INTERVENTION 
OBTAINING & MAINTAINING ANATOMIC REDUCTION 
REDUCES LONG TERM DISABILITY & IMPROVES sMFA 
Leeds JBJS 1984 
Weening JOT 2005
Before Fixation After Fixation 
43° 
42° 
Syndesmosis: 
Obtaining a Reduction 
DF unnecessary Tornetta JBJS 2001
Syndesmosis: 
Obtaining a Reduction 
Incidence of malreduction based on CT scan 
“standard”: >50% 
– Gardner et al. FAI 27: 788-92, 2006. 
Ways to ensure appropriate reduction: 
– Direct visualization 
• FAI 30: 419-26, 2009 
– Radiographic imaging in multiple planes 
• Injury 35: 814-18, 2004.
Problem? 
The CT definition of an anatomic 
syndesmosis 
Elgafy et al. Skeletal Radiology 39: 559-64, 2010
Syndesmosis 
IF INSTABILITY PRESENT OPERATIVE INTERVENTION 
OBTAINING & MAINTAINING ANATOMIC REDUCTION 
REDUCES LONG TERM DISABILITY & IMPROVES sMFA 
Leeds JBJS 1984 
Weening JOT 2005
Syndesmosis: 
Maintaining a Reduction 
Single Screw 
3 cortices 
Single Screw 
4 cortices 
2 Screws 
6 cortices 
2 Screws 
8 cortices
Syndesmosis: 
Maintaining a Reduction 
3.5 mm vs 4.5 mm screw(s) 
3 cortices vs 4 cortices 
Retain vs Removal 
Metallic vs Bioabsorbable 
NO CONSENSUS
Outline 
•Evaluation: Clinical & Radiographic 
•Classification: Lauge-Hansen 
•Specific Problem Areas: Posterior 
Malleolus and Syndesmosis 
•Surgical Goals 
•Outcome
Surgical Goals 
AO Manual, 2nd Edition
Outline 
•Evaluation: Clinical & Radiographic 
•Classification: Lauge-Hansen 
•Specific Problem Areas: Posterior 
Malleolus and Syndesmosis 
•Surgical Goals 
•Outcome
Outcome 
Egol JBJS 2006 
At one year following surgery, patients are generally doing 
well 
Most have few restrictions and little pain 
There is a significant improvement at one year compared to 
six months 
Younger age, male sex, absence of diabetes, and lower ASA 
class are predictive of functional recovery at one year
Outcome 
Horisberger et al. J Orthop Trauma 2009 
Fracture severity influences the rate of development and the 
latency time to endstage ankle arthritis. 
The occurrence of postop complications has a negative 
influence on long-term results. 
The patient’s age at the time of injury correlated negatively 
with the OA latency time (i.e. if you are older when you 
sustain an ankle fracture, you are more likely to develop 
end-stage OA sooner than if you had been younger).
Outcome 
• Ganesh et al. JBJS 87A: 1712-1718, 2005 
• Egol et al. JBJS 88: 974-979, 2006 
• SooHoo et al. JBJS 91A: 1042-1049, 2009 
Specific findings in the history noted to have an adverse effect on outcome 
include: 
– Advanced age 
– Osteoporosis 
– Diabetes mellitus 
– Peripheral vascular disease 
– Female sex 
– High American Society of Anesthesiology (ASA) class
Outcome 
Bhandari et al. J Orthop Trauma 18: 338-45, 2004. 
Social factors noted to be independent predictors of lower 
physical function postoperatively 
– Smoking 
– Alcohol use 
– Lower level of education
Complications 
Perioperative 
– Malreduction 
– Inadequate fixation 
– Intra-articular hardware penetration 
Early Postoperative 
– Wound edge dehiscence/necrosis 
– Infection 
– Compartment syndrome 
Late 
– Stiffness 
– Distal tibiofibular synostosis 
– Malunion 
– Nonunion 
– Post-traumatic arthritis 
– Hardware related complications 
– Complex regional pain syndrome type 1 
Leyes Foot Ankle Clin 2003
Outline 
•Evaluation: Clinical & Radiographic 
•Classification: Lauge-Hansen 
•Specific Problem Areas: Posterior Malleolus 
and Syndesmosis 
•Surgical Goals 
•Outcome 
•Special Scenario: The Diabetic Ankle 
Fracture
Diabetic Ankle Fractures 
Problems: 
– Diabetes mellitus is a common medical condition 
that is increasing in prevalence 
– Both closed and open management of ankle fractures 
in diabetics have higher complication rates 
Solution: 
– So do we change the indications and goals of 
treatment? 
Wukich, Kline. JBJS 90: 1570-78, 2008 
Chaudhary et al. JAAOS 16: 159-70, 2008
Diabetic Ankle Fractures 
Answer- NO 
– Unstable ankle fractures in diabetics are still best treated with anatomic 
restoration of the ankle mortise and stable internal fixation, but… 
– Because the soft tissue complications are higher, increased care must be given 
to atraumatic soft tissue techniques (limb at level of heart, careful of SQ 
incisions) 
– Because the osseous complications are higher, increased care must be given to 
empowering fracture fixation constructs (screws from fibula into tibia, double 
stacked 1/3 tubular plates) 
– Postoperative care varies in that immobilization, non-weightbearing 
mobilization, and subsequent protected weightbearing all take a longer course 
(SLC 6-12 weeks, NWB 12 wks)
Summary 
At this point, you should be able to: 
1.State the indication to fix isolated fibular 
fractures. 
2.Define the specific articular pathology 
associated with SA and PAB fractures. 
3.List the 3 common posterior malleolar 
fracture patterns. 
4.State the indication to fix posterior malleolar 
fractures. 
1.Enumerate the ways to ensure syndesmotic 
reduction.
Thank You
Anotated Bibliography of Recent 
Articles of Interest 
SooHoo NF, Krenek L, Eagan MJ, Gurbani B, Ko CY, Zingmond DS: Complication rates following 
open reduction and internal fixation of ankle fractures. J Bone Joint Surg Am 2009;91(5):1042- 
1049. Prognostic Level II. California’s discharge database was queried for patients that had 
undergone ORIF of an ankle fracture over a ten year period with complications reviewed and 
discussed. Open injuries, diabetes, and peripheral vascular disease were strong risk factors for 
short-term complications. 
Strauss EJ, Frank JB, Walsh M, Koval KJ, Egol KA: Does obesity influence the outcome after the 
operative treatment of ankle fractures? J Bone Joint Surg Br 2007;89(6):794-798. Retrospective 
review evaluating the number of comorbities, incidence of complications, time to fracture 
union, fracture type, and level of function between obese and non-obese patients with ankle 
fractures. At two years postop, obesity did not seem to have an effect on the incidence of 
complications, time to fracture union, or level of function. 
White BJ, Walsh M, Egol KA, Tejwani NC: Intra-articular block compared with conscious sedation 
for closed reduction of ankle fracture-dislocations. A prospective randomized trial. J Bone Joint 
Surg Am 2008;90(4):731-734. Therapeutic Level I. Prospective, randomized trial comparing 
conscious sedation and intraarticular block for analgesia and the ability to allow for ankle 
fracture reduction and application of a splint. No difference in analgesia or allowance for 
reduction was noted. The intraarticular block allowed for a shorter average time for reduction 
and splinting.
Anotated Bibliography of Recent 
Articles of Interest Boraiah S, Paul O, Parker RJ, Miller AN, Hentel KD, Lorich DG: Osteochondral lesions of talus 
associated with ankle fractures. Foot Ankle Int 2009;30(6):481-485. Level IV. Retrospective case 
series evaluating the incidence and effect of osteochondral lesions of the talus in ankle fractures 
that were operatively treated. All patients were assessed preoperatively by MRI and functional 
outcome was measured at a minimum of 6 months using Foot and Ankle Outcome Scoring. 
Osteochondral lesions were noted in 17% of cases but showed no statistically significant effect 
on outcome. 
Koval KJ, Egol KA, Cheung Y, Goodwin DW, Spratt KF: Does a positive ankle stress test indicate the 
need for operative treatment after lateral malleolus fracture? A preliminary report. J Orthop 
Trauma 2007;21(7):449-455. Retrospective review of patients who had a positive ankle stress 
test after an isolated Weber B lateral malleolar fracture. An MRI was ordered to evaluate the 
status of the deep deltoid ligament. If the deep deltoid was partially torn, patients were treated 
non-operatively. At a minimum 12 month followup, all fractures had united without evidence 
of medial clear space widening or post-traumatic arthritis. 
Schock HJ, Pinzur M, Manion L, Stover M: The use of gravity or manual-stress radiographs in the 
assessment of supination-external rotation fractures of the ankle. J Bone Joint Surg Br 
2007;89(8):1055-1059. Gravity and manual stress tests were compared in supination external 
rotation ankle fractures. Gravity-stress was determined to be as reliable and perceived as more 
comfortable than manual-stress.
Anotated Bibliography of Recent 
Articles of Interest 
Siegel J, Tornetta P III: Extraperiosteal plating of pronation-abduction ankle fractures. J Bone Joint 
Surg Am 2007;89(2):276-281. Therapeutic Level IV. Retrospective review of consecutive 
patient series managed with extraperiosteal plating of fibular fractures in pronation-abduction 
type injuries. Extraperiosteal plating was found to be an effective method of stabilization that 
led to predictable union. 
Miller AN, Carroll EA, Parker RJ, Boraiah S, Helfet DL, Lorich DG: Direct visualization for 
syndesmotic stabilization of ankle fractures. Foot Ankle Int 2009;30(5):419-426. Level III. Case 
control. An established protocol for treatment of ankle fractures with syndesmotic injury was 
evaluated retrospectively. Patients that underwent stabilization of the syndesmosis with direct 
visualization were compared with historic controls that underwent indirect fluoroscopic 
syndesmotic visualization. All patients had postoperative CT scans. Based on their definition 
of an anatomic syndesmotic reduction, malreductions were significantly decreased in the direct 
visualization group. 
Herscovici D Jr, Scaduto JM, Infante A: Conservative treatment of isolated fractures of the medial 
malleolus. J Bone Joint Surg Br 2007;89(1):89-93. Retrospective evaluation of patients with 
conservative treatment of isolated medial malleolar fractures. High rates of union and good 
functional results were noted with conservative treatment.
Thank You 
Return to 
Lower Extremity 
Index 
E-mail OTA 
about 
Questions/Comments 
If you would like to volunteer as an author for 
the Resident Slide Project or recommend updates 
to any of the following slides, please send an e-mail 
to ota@aaos.org

ankle fractures

  • 1.
    Ankle Fracture Update OTA Resident Core Curriculum Lecture Series Updated November 2010 Matt Graves, M.D. University of Mississippi Medical Center
  • 2.
    Objectives Following thissession, you should be able to: 1.State the indication to fix isolated fibular fractures. 2.Define the specific articular pathology associated with SA and PAB fractures. 3.List the 3 common posterior malleolar fracture patterns. 4.State the indication to fix posterior malleolar fractures. 1.Enumerate the ways to ensure syndesmotic reduction.
  • 3.
    Recommendations to Improve Retention of this Material 1. Write down the objectives 2. Search for the answers to the objectives in the powerpoint talk [hint- look for blue boxes] 3. Test yourself at the end by reviewing the objectives 4. Watch the show on “normal view” and look at the notes at the bottom of the slides. They will provide guidance to the progression of logic and sources of information. Classic references are listed throughout. Annotated recent references are listed at the end.
  • 4.
    Outline •Evaluation: Clinical& Radiographic •Classification: Lauge-Hansen •Specific Problem Areas: Posterior Malleolus and Syndesmosis •Surgical Goals •Outcome
  • 5.
    Evaluation: Clinical HISTORY Mechanism Timing Soft-tissue injury Bone quality Comorbidities Associated Injuries PHYSICAL EXAM Skin Nerves Vasculature Pain Deformity
  • 6.
    Evaluation: Radiographic AnteroposteriorView – Tibiofibular overlap ~ 10mm – Tibiofibular clear space <5mm – TTaallaarr ttiilltt Comparison Radiograph?
  • 7.
    Evaluation: Radiographic MortiseView 10 degrees internal rotation of 5th MT with respect to a vertical line Goergen JBJS 1977
  • 8.
    Evaluation: Radiographic MortiseView – Medial joint space – Talocrural angle: <8 or >15 degrees – Tibia/fibula overlap:>1mm Comparison Radiograph?
  • 9.
    Evaluation: Radiographic MortiseView Weber SICOT 1981 FIBULAR LENGTH: 1. Shenton’s Line of the ankle 2. The dime test
  • 10.
    Evaluation: Radiographic LateralView PM Talar subluxation Distal fibular translation &/or angulation Syndesmotic relationship Associated or occult injuries – Lateral process talus – Posterior process talus – Anterior process calcaneus
  • 11.
    Evaluation: Radiographic OtherImaging Modalities Stress Views – Gravity – Manual CT – Articular involvement – Posterior malleolus MRI – Ligament and tendon injury – Talar dome lesions – Syndesmosis injuries
  • 12.
    Outline •Evaluation: Clinical& Radiographic •Classification: Lauge-Hansen •Specific Problem Areas: Posterior Malleolus and Syndesmosis •Surgical Goals •Outcome
  • 13.
    Lauge-Hansen Cadaveric study First word: position of foot at time of injury Second word: force applied to foot relative to tibia at time of injury Types:S ER SA PER PA
  • 14.
    Lauge-Hansen Several stagesper type Imperfect system: – Not every fracture fits exactly into one category – Even mechanismspecific pattern has been questioned – Inter and intraobserver variation not ideal – Still useful and widely used
  • 15.
    Supination-External Rotation Stage1- AITFL Stage 2- Fibula fx Stage 3- PITFL or PM fx Stage 4-Deltoid or MM fx 70% of ankle fractures
  • 16.
    Supination-External Rotation Stage2: Stable Lateral Injury: classic posterosuperioranteroinferior fibula fracture Medial Injury: Stability maintained Standard: Closed management Kristensen Acta Orthop Scand 1985 Stage 2
  • 17.
    Supination-External Rotation Stage4: Unstable Stage 4 Lateral Injury: classic posterosuperioranteroinferior fibula fracture Medial Injury: medial malleolar fracture &*/or deltoid ligament injury Standard: Surgical management *Tornetta JBJS 2000
  • 18.
    SER-2 vs SER-4:How to Decide? Michelson. Clin Orthop Rel Res 2001 GOAL: TO EVALUATE DEEP DELTOID [i.e. INSTABILITY] DeAngelis Poster OTA 2003 Tornetta. Poster AAOS 2004 METHOD: MEDIAL TENDERNESS McConnell JBJS 2004 Egol JBJS 2004 MEDIAL SWELLING MEDIAL ECCHYMOSIS Schock Presentation OTA 2006 Zeni Presentation OTA 2006 Park J Orthop Trauma 2006 STRESS VIEWS- GRAVITY OR MANUAL
  • 19.
    Gravity Stress Exam Michelson et al. CORR 387: 178-82, 2001.
  • 20.
  • 21.
    versus •Both areeffective •Gravity stress requires XR education. •Manual stress requires time and more radiation exposure. Schock et al. JBJS 89B: 1055-59, 2007.
  • 22.
    SER-2 vs. SER-4:How To Decide? Indication to fix isolated fibular fractures
  • 23.
    Decision-Tree: Understand theLogic Assumptions: 1. Fibular fractures associated with a stable ankle mortise heal without significant functional consequence. 2. Fibular fractures associated with an unstable ankle mortise heal with significant functional problems…because instability allows for talar shift.
  • 24.
    Decision Tree: Understandthe Logic Stress View Splintage
  • 25.
    Decision-Tree: Understand theLogic Does a Positive Ankle Stress Test Indicate the Need for Operative Treatment? – MRI to evaluate all patients with lateral malleolar fracture and positive stress test (n=21). – If deep deltoid partially intact nonop treatment – Good clinical outcomes. OTA Annual Meeting. Foot & Ankle Section. Paper #24, 2006.
  • 26.
    Indication to fixisolated fibular fractures Choose a technique to evaluate stability. Base your decision to operate on your findings and the risk:benefit ratio.
  • 27.
    Supination Adduction Stage1: transverse Weber A or B fibula Stage 2: vertical medial malleolus
  • 28.
    Supination Adduction: Stage2 Lateral Injury: transverse fibular fracture at/below level of mortise Medial injury: vertical shear type medial malleolar fracture BEWARE OF IMPACTION McConnell J Orthop Trauma 2001
  • 29.
    Supination Adduction: Stage2 Important to restore: – Ankle stability – Articular congruency- including medial impaction
  • 30.
    SAD Consider anteromedial approach Marginal impaction reduction +/- grafting Medial antiglide plate Specific articular pathology associated with SA
  • 32.
    Pronation-External Rotation Stage1 - deltoid or medial malleolus Stage 2- AITFL and IO membrane Stage 3 – spiral Weber C fibula Stage 4 – PITFL or posterior malleolus
  • 33.
    Pronation External Rotation: Stage 4 Medial injury: deltoid ligament tear &/or transverse medial malleolar fracture Lateral Injury: spiral proximal lateral malleolar fracture HIGHLY UNSTABLE…SYNDESMOTIC INJURY COMMON
  • 34.
    PER Tibia radiograph Syndesmostic disruption expected Restore: – Fibular length and rotation – Ankle mortise – Syndesmotic stability
  • 36.
    Pronation-Abduction Stage 1– transverse MM Stage 2 – PITFL or PM fracture Stage 3 – compression bending fibula fracture
  • 37.
    Pronation-Abduction Medial injury:tranverse to short oblique medial malleolar fracture Lateral Injury: comminuted impaction type lateral malleolar fracture
  • 38.
    PAB Medial malleolarfixation drives stability. Go there 1st. Fibular comminution  length stable construct? Stress the syndesmosis last JBJS 89A: 276-81, 2007
  • 39.
    PAB Specific articularpathology associated with PAB
  • 40.
  • 41.
    Outline •Evaluation: Clinical& Radiographic •Classification: Lauge-Hansen •Specific Problem Areas: Posterior Malleolus and Syndesmosis •Surgical Indications and Goals •Outcome
  • 42.
    Posterior Malleolus Fractures Function: Stability- prevents posterior translation of talus & enhances syndesmotic stability Weight bearing- increases surface area of ankle joint
  • 43.
    Posterior Malleolus Fractures: Radiographic Evaluation Fracture pattern: – Variable – Difficult to assess on standard lateral radiograph • External rotation lateral view [Decoster FAI 2000] • CT scan [Haraguchi JBJS 2006]
  • 44.
    Posterior Malleolus Fracture: Radiographic Evaluation Indication for fixation: > 25% joint surface on lateral Problem: Fragment size hard to determine on lateral view – Reason: Fracture orientation not purely in coronal plane • Nearly always associated with the pull of the posterior tib-fib ligament – larger laterally than medially – obliquely oriented – involves the incisura Haraguchi et al. JBJS 2006 …but other fracture patterns have also been defined
  • 45.
    Posterior Malleolus Fracture 67% 19% Type I- posterolateral oblique type Type II- medial extension type Haraguchi et al. JBJS 2006 Type III- small shell type 14% 3 common PM fracture patterns
  • 46.
    Posterior Malleolus Fractures: Indications for Fixation Stability – Posterior translation of talus* – ER of talus [syndesmotic widening] Articular congruence – Stress = Force/Area – Excessive stressposttraumatic arthritis • Maximize area for stress distribution** *fibula and anterior tibiofibular ligament act as primary restraint [Raasch JBJS 1992] **contact stress changes significantly with posterior malleolar size >33% [Hartford CORR 1995]
  • 47.
    Posterior Malleolus Fracture:Fixation Screws Plates
  • 48.
    Syndesmotic Injury FUNCTION: Stability- resists external rotation, axial, & lateral displacement of talus Weight bearing- allows for standard loading
  • 49.
    Syndesmosis IF INSTABILITYPRESENT OPERATIVE INTERVENTION OBTAINING & MAINTAINING ANATOMIC REDUCTION REDUCES LONG TERM DISABILITY & IMPROVES sMFA Leeds JBJS 1984 Weening JOT 2005
  • 50.
    Syndesmosis: Instability Howdo you determine if instability is present? – Manual Stress Test When do you perform the manual stress test? – After you have fixed the other indicated components of the fracture
  • 51.
    Syndesmosis IF INSTABILITYPRESENT OPERATIVE INTERVENTION OBTAINING & MAINTAINING ANATOMIC REDUCTION REDUCES LONG TERM DISABILITY & IMPROVES sMFA Leeds JBJS 1984 Weening JOT 2005
  • 52.
    Before Fixation AfterFixation 43° 42° Syndesmosis: Obtaining a Reduction DF unnecessary Tornetta JBJS 2001
  • 53.
    Syndesmosis: Obtaining aReduction Incidence of malreduction based on CT scan “standard”: >50% – Gardner et al. FAI 27: 788-92, 2006. Ways to ensure appropriate reduction: – Direct visualization • FAI 30: 419-26, 2009 – Radiographic imaging in multiple planes • Injury 35: 814-18, 2004.
  • 54.
    Problem? The CTdefinition of an anatomic syndesmosis Elgafy et al. Skeletal Radiology 39: 559-64, 2010
  • 55.
    Syndesmosis IF INSTABILITYPRESENT OPERATIVE INTERVENTION OBTAINING & MAINTAINING ANATOMIC REDUCTION REDUCES LONG TERM DISABILITY & IMPROVES sMFA Leeds JBJS 1984 Weening JOT 2005
  • 56.
    Syndesmosis: Maintaining aReduction Single Screw 3 cortices Single Screw 4 cortices 2 Screws 6 cortices 2 Screws 8 cortices
  • 57.
    Syndesmosis: Maintaining aReduction 3.5 mm vs 4.5 mm screw(s) 3 cortices vs 4 cortices Retain vs Removal Metallic vs Bioabsorbable NO CONSENSUS
  • 59.
    Outline •Evaluation: Clinical& Radiographic •Classification: Lauge-Hansen •Specific Problem Areas: Posterior Malleolus and Syndesmosis •Surgical Goals •Outcome
  • 60.
    Surgical Goals AOManual, 2nd Edition
  • 61.
    Outline •Evaluation: Clinical& Radiographic •Classification: Lauge-Hansen •Specific Problem Areas: Posterior Malleolus and Syndesmosis •Surgical Goals •Outcome
  • 62.
    Outcome Egol JBJS2006 At one year following surgery, patients are generally doing well Most have few restrictions and little pain There is a significant improvement at one year compared to six months Younger age, male sex, absence of diabetes, and lower ASA class are predictive of functional recovery at one year
  • 63.
    Outcome Horisberger etal. J Orthop Trauma 2009 Fracture severity influences the rate of development and the latency time to endstage ankle arthritis. The occurrence of postop complications has a negative influence on long-term results. The patient’s age at the time of injury correlated negatively with the OA latency time (i.e. if you are older when you sustain an ankle fracture, you are more likely to develop end-stage OA sooner than if you had been younger).
  • 64.
    Outcome • Ganeshet al. JBJS 87A: 1712-1718, 2005 • Egol et al. JBJS 88: 974-979, 2006 • SooHoo et al. JBJS 91A: 1042-1049, 2009 Specific findings in the history noted to have an adverse effect on outcome include: – Advanced age – Osteoporosis – Diabetes mellitus – Peripheral vascular disease – Female sex – High American Society of Anesthesiology (ASA) class
  • 65.
    Outcome Bhandari etal. J Orthop Trauma 18: 338-45, 2004. Social factors noted to be independent predictors of lower physical function postoperatively – Smoking – Alcohol use – Lower level of education
  • 66.
    Complications Perioperative –Malreduction – Inadequate fixation – Intra-articular hardware penetration Early Postoperative – Wound edge dehiscence/necrosis – Infection – Compartment syndrome Late – Stiffness – Distal tibiofibular synostosis – Malunion – Nonunion – Post-traumatic arthritis – Hardware related complications – Complex regional pain syndrome type 1 Leyes Foot Ankle Clin 2003
  • 67.
    Outline •Evaluation: Clinical& Radiographic •Classification: Lauge-Hansen •Specific Problem Areas: Posterior Malleolus and Syndesmosis •Surgical Goals •Outcome •Special Scenario: The Diabetic Ankle Fracture
  • 68.
    Diabetic Ankle Fractures Problems: – Diabetes mellitus is a common medical condition that is increasing in prevalence – Both closed and open management of ankle fractures in diabetics have higher complication rates Solution: – So do we change the indications and goals of treatment? Wukich, Kline. JBJS 90: 1570-78, 2008 Chaudhary et al. JAAOS 16: 159-70, 2008
  • 69.
    Diabetic Ankle Fractures Answer- NO – Unstable ankle fractures in diabetics are still best treated with anatomic restoration of the ankle mortise and stable internal fixation, but… – Because the soft tissue complications are higher, increased care must be given to atraumatic soft tissue techniques (limb at level of heart, careful of SQ incisions) – Because the osseous complications are higher, increased care must be given to empowering fracture fixation constructs (screws from fibula into tibia, double stacked 1/3 tubular plates) – Postoperative care varies in that immobilization, non-weightbearing mobilization, and subsequent protected weightbearing all take a longer course (SLC 6-12 weeks, NWB 12 wks)
  • 70.
    Summary At thispoint, you should be able to: 1.State the indication to fix isolated fibular fractures. 2.Define the specific articular pathology associated with SA and PAB fractures. 3.List the 3 common posterior malleolar fracture patterns. 4.State the indication to fix posterior malleolar fractures. 1.Enumerate the ways to ensure syndesmotic reduction.
  • 71.
  • 72.
    Anotated Bibliography ofRecent Articles of Interest SooHoo NF, Krenek L, Eagan MJ, Gurbani B, Ko CY, Zingmond DS: Complication rates following open reduction and internal fixation of ankle fractures. J Bone Joint Surg Am 2009;91(5):1042- 1049. Prognostic Level II. California’s discharge database was queried for patients that had undergone ORIF of an ankle fracture over a ten year period with complications reviewed and discussed. Open injuries, diabetes, and peripheral vascular disease were strong risk factors for short-term complications. Strauss EJ, Frank JB, Walsh M, Koval KJ, Egol KA: Does obesity influence the outcome after the operative treatment of ankle fractures? J Bone Joint Surg Br 2007;89(6):794-798. Retrospective review evaluating the number of comorbities, incidence of complications, time to fracture union, fracture type, and level of function between obese and non-obese patients with ankle fractures. At two years postop, obesity did not seem to have an effect on the incidence of complications, time to fracture union, or level of function. White BJ, Walsh M, Egol KA, Tejwani NC: Intra-articular block compared with conscious sedation for closed reduction of ankle fracture-dislocations. A prospective randomized trial. J Bone Joint Surg Am 2008;90(4):731-734. Therapeutic Level I. Prospective, randomized trial comparing conscious sedation and intraarticular block for analgesia and the ability to allow for ankle fracture reduction and application of a splint. No difference in analgesia or allowance for reduction was noted. The intraarticular block allowed for a shorter average time for reduction and splinting.
  • 73.
    Anotated Bibliography ofRecent Articles of Interest Boraiah S, Paul O, Parker RJ, Miller AN, Hentel KD, Lorich DG: Osteochondral lesions of talus associated with ankle fractures. Foot Ankle Int 2009;30(6):481-485. Level IV. Retrospective case series evaluating the incidence and effect of osteochondral lesions of the talus in ankle fractures that were operatively treated. All patients were assessed preoperatively by MRI and functional outcome was measured at a minimum of 6 months using Foot and Ankle Outcome Scoring. Osteochondral lesions were noted in 17% of cases but showed no statistically significant effect on outcome. Koval KJ, Egol KA, Cheung Y, Goodwin DW, Spratt KF: Does a positive ankle stress test indicate the need for operative treatment after lateral malleolus fracture? A preliminary report. J Orthop Trauma 2007;21(7):449-455. Retrospective review of patients who had a positive ankle stress test after an isolated Weber B lateral malleolar fracture. An MRI was ordered to evaluate the status of the deep deltoid ligament. If the deep deltoid was partially torn, patients were treated non-operatively. At a minimum 12 month followup, all fractures had united without evidence of medial clear space widening or post-traumatic arthritis. Schock HJ, Pinzur M, Manion L, Stover M: The use of gravity or manual-stress radiographs in the assessment of supination-external rotation fractures of the ankle. J Bone Joint Surg Br 2007;89(8):1055-1059. Gravity and manual stress tests were compared in supination external rotation ankle fractures. Gravity-stress was determined to be as reliable and perceived as more comfortable than manual-stress.
  • 74.
    Anotated Bibliography ofRecent Articles of Interest Siegel J, Tornetta P III: Extraperiosteal plating of pronation-abduction ankle fractures. J Bone Joint Surg Am 2007;89(2):276-281. Therapeutic Level IV. Retrospective review of consecutive patient series managed with extraperiosteal plating of fibular fractures in pronation-abduction type injuries. Extraperiosteal plating was found to be an effective method of stabilization that led to predictable union. Miller AN, Carroll EA, Parker RJ, Boraiah S, Helfet DL, Lorich DG: Direct visualization for syndesmotic stabilization of ankle fractures. Foot Ankle Int 2009;30(5):419-426. Level III. Case control. An established protocol for treatment of ankle fractures with syndesmotic injury was evaluated retrospectively. Patients that underwent stabilization of the syndesmosis with direct visualization were compared with historic controls that underwent indirect fluoroscopic syndesmotic visualization. All patients had postoperative CT scans. Based on their definition of an anatomic syndesmotic reduction, malreductions were significantly decreased in the direct visualization group. Herscovici D Jr, Scaduto JM, Infante A: Conservative treatment of isolated fractures of the medial malleolus. J Bone Joint Surg Br 2007;89(1):89-93. Retrospective evaluation of patients with conservative treatment of isolated medial malleolar fractures. High rates of union and good functional results were noted with conservative treatment.
  • 75.
    Thank You Returnto Lower Extremity Index E-mail OTA about Questions/Comments If you would like to volunteer as an author for the Resident Slide Project or recommend updates to any of the following slides, please send an e-mail to ota@aaos.org

Editor's Notes

  • #7 AP defined as long axis of foot in true vertical position. Tib fib overlap defined by Pettrone in classic article [JBJS 1983. Quantitative criteria for the prediction of results after displaced ankle fractures]. 146 displaced ankle fractures treated operatively or nonoperatively with an attempt to determine the factors associated with poor outcomes. It was used to evaluate the stability of the syndesmosis on both the AP and mortise radiographs. 10mm and 1mm were used respectively. Prognostic reduction significance for outcome in this study were [in descending order]: lat mal, med mal, deltoid, syndesmosis, post mal. The number of overall structures remaining displaced after reduction was an excellent predictor of the overall result. Tibiofibular clear space defined in the same article. It has subsequently been reevaluated multiple times [Harper Foot Ankle 1993; Park et al JOT 2006…]. The tibiofibular clear space is an evaluation of the posterior aspect of the syndesmosis. Talar tilt originated ??? One early reference is Joy et al JBJS 1974. In this it was defined by measuring the distance between the articular surfaces of the tibia and talus in the medial and lateral parts of the joint as seen on the AP.
  • #8 “In the adult, the coronal plane of the ankle is oriented in about 15 – 20 degrees of ER with reference to the coronal plane of the knee, and therefore the lateral malleolus is slightly posterior to the medial malleolus. To obtain a true AP of the tibiotalar articulation [i.e. a mortise view], the ankle must be positioned with the medial and lateral malleoli parallel to the tabletop; that is, in about 15-20 degrees of internal rotation.” This was best achieved by internally rotating the foot so that the lateral border of the fifth metatarsal was 10 degrees internally rotated with respect to a vertical line.
  • #9 The medial clear space has been defined as the distance between the lateral border of the medial malleolus and the medial border of the talus at the level of the talar dome [Joy et al JBJS 1974]. The idea dates back at least to the 1940s [Burns 1943]. It is considered to be representative of the status of the deep deltoid ligament. It varies depending on the position of the radiograph, the stress on the ankle, and the injury to the ankle. Historically a space wider than 4mm was considered to be abnormal. More recently, a medial clear space of greater than or equal to 5mm on radiographs taken in dorsiflexion with an external rotation stress was found to be most predictive of deep deltoid ligament transection after distal fibular fracture [Park et al. JOT 2006]. The talocrural angle is the superomedial angle formed by the intersection of a line joining the tips of both malleoli and of a line perpendicular to the distal tibial articular surface. This originated in 1976 [Sarkisian , Cody, J Trauma]. Note tib fib overlap is measured on both the AP and the mortise view. [Pettrone et al. JBJS 1983]. The number revealing likely instability is different by a factor of ten.
  • #10 Fibular length can be defined by: Shenton’s line of the ankle The dime test Other measurements [eg bimalleolar angular measurements [Rolfe et al Foot and Ankle 1989] Comparison radiographs always useful
  • #11 Widened anterior joint space on true lateral radiograph should increase suspicion for external rotation/posterior translation of talus which can occur with syndesmotic widening
  • #12 Plain radiographs are by far the most common tool to evaluate osseous pathology in the ankle. Stress radiographs will be discussed in more detail. CT scan can be especially useful in the variants that are transitional between ankle fractures and pilon fractures. They also will more clearly define posterior malleolar fracture patterns. MRI has been used for evaluation of soft tissue injuries [i.e. severity of deep deltoid tear and distal tibiofibular syndesmotic tears] as well as to diagnose osteochondral talar dome lesions.
  • #14 FRACTURES OF THE ANKLE II. Combined Experimental-Surgical and Experimental-Roentgenologic Investigations N. LAUGE-HANSEN, M.D. RANDERS, DENMARK Archives of Surgery 1950 vol. 60 (5) pp. 957-85.
  • #15 Remember the injury starts on the tight side of the ankle! The lateral side is tight in supination, while the medial side is tight in pronation.
  • #16 Note commonality and importance of staging in decision-making for treatment.
  • #19 Recently even this has been questioned [Koval Presentation OTA 2006]. It is plausible that the degree of instability makes a difference in functional outcome. That is, incomplete deep deltoid injuries could lead to a widened medial joint space with stress…but still heal with nonoperative treatment in a stable position, with no apparent functional problems in the short term [average 18 months].
  • #25 What about this case? Obvious instability with stress. Virtually anatomic talar position with splintage. We know from Harper’s 1980 article that the deltoid willl heal without operative repair. If it heals in the splinted position, why won’t that lead to normal function?
  • #26 Basically, instability that can’t be managed with closed techniques should be managed with surgery. The more deep deltoid you have intact, the less instability you have. The less instability you have, the more likely you will be able to manage it with closed techniques. Does a Positive Ankle Stress Test Indicate Need for Operative Treatment?Kenneth J. Koval, MD (n); Kenneth A Egol, MD (n);Dartmouth Hitchcock Medical Center, Lebanon, New Hampshire, USAIntroduction: Historically, patients who present with an isolated lateral malleolus fracture with &amp;gt;4mm clear space widening on radiographic stress testing are deemed to have an unstable ankle and are advised to have surgery. However, this protocol may be associated with a high rate of false positive results, therefore subjecting people to surgery unnecessarily. At our institution, we have been using a standardized protocol employing MRI to evaluate ankle stability and need for surgery following a positive manual stress test for isolated lateral malleolus fractures. The purpose of this study was to evaluate the results using this standardized protocol.Methods: Between December 2003 and June 2005, patients who had a positive ankle stress test (5 mm clear space widening) after Weber B (OTA Type 44-B) lateral malleolus fracture were further evaluated with use of MRI. If the MRI indicated the deep deltoid was completely disrupted, the patient was advised to have operative ankle repair. However, if the MRI demonstrated that the deep deltoid was intact or only partially disrupted, the patient was treated nonoperatively in a walking boot with weight bearing ambulation as tolerated. Patients were followed until fracture union and contacted at 6-month minimum follow-up to answer a functional questionnaire (SF-36) and return for clinical (AOFAS) and radiographic evaluation. Statistical analyses were performed to determine whether: (1) there was a relationship between the amount of clear space widening and MRI findings (eg, intact or partially torn deltoid ligament, degree or syndesmotic injury) and (2) there was a relationship between radiographic or MRI findings and clinical or radiographic outcomes.Results: 21 patients had an MRI after a positive ankle stress test and comprised the study group. There were 12 men and 9 women with an average age of 27 years (range, 16-62). All patients had sustained the fracture as a result of a low-energy fall. Medial clear space on stress testing ranged from 5 to 8 mm. 19 of 21 patients (90%) had evidence of partially torn deep deltoid ligament and were treated nonoperatively, while 2 patients had MRI findings of a complete deep deltoid injury and underwent surgical treatment. These two patients had clear space measurements of 5 and 8 mm respectively. No ankle had evidence of complete syndesmotic tear on MRI. There was no correlation between the clear space measurement and MRI results. All 21 patients were doing well at latest follow-up (average 18 months) with AOFAS scores in the 90s and minimal complaints of ankle pain, stiffness, or reduced activity level compared to preinjury. All 21 fractures united without evidence of ankle incongruity on latest follow-up radiographs. No correlation was found between radiographic or MRI findings and clinical or radiographic outcomes.Conclusion/Significance: Using our protocol, we were able to identify and provide effective nonoperative care to 19 patients who otherwise might have undergone operative treatment after isolated lateral malleolus fracture. Further work is needed to identify the subset of patients who could be treated nonoperatively without need for MRI scanning
  • #32 Note the difference in these two lateral ankle radiographs. This is the same patient. This patient had bilateral SAD ankle fractures. One (your left) was fixed with reduction of the medial gutter comminution. The other was not. Note the difference in the anterior portion of the subchondral shadow. This is commonly the area of articular impaction and can be seen on the lateral radiograph as well as the AP/mortise.
  • #39 Extraperiosteal plating of pronation abduction type ankle fractures was for the following reason: the incidence of nonunion associated with fixation of the fibula in this fracture patttern was noted to be higher [Limbird, Aaron. Laterally comminuted fractures of the fibula. JBJS 1987. Ebraheim et al. FAI 1987.] Surgeons were recommending bone grafting of fibular fractures associated with comminution because traditional techniques of ORIF were not working well for these fractures. Extraperiosteal plating and indirect reduction techniques maintain as much fracture viability as possible. Going to the lateral side second allows medial malleolar reduction to center the talus, thereby pulling the lateral ligamentous complex and potentially allowing for fibular reduction. Length stability may be provided by an intact lateral ligamentous complex. Fibular length is evaluated via the dime test and Shenton’s line of the ankle as noted on previous slides. If the fibula remains short, then reduction and a length stable construct is required.
  • #40 Just like a SAD ankle fracture potentially has medial gutter comminution, a PAB ankle fracture potentially has lateral gutter comminution…typically in the form of chaput fragment impaction.
  • #41 Open PAB injuries typically present with a medial transverse open wound and an extruded tibia. This intraoperative image nicely shows the anterolateral gutter impaction.
  • #43 Photos taken from McMinn textbook on Foot and Ankle Anatomy
  • #47 **even this 33% number is maybe questionable as some feel that contact stresses just shift to a more anteromedial location following pm fxs [Fitzpatrick JOT 2004]. Because of this and other biomechanical articles, the size issue is debatable. That is, there is no clear indication of how big it has to be before one must fix it to prevent stress concentration. The stability issue is not controversial. If the ankle joint is unstable to posterior translational stress, it must be reduced and fixed.
  • #49 A medial injury is thought to be required for a syndesmotic injury to alter loading [Boden JBJS 1989]
  • #50 Plain radiographic reduction parameters may be inadequate for assessing the quality of reduction [Gardner FAI 2006]. That stated, the definition of an anatomic syndesmosis is variable in the literature…likely secondary to individual variability in anatomy. Instability should be assessed after osseous injuries have been stabilized. Instability of the syndesmosis has a prerequisite of a medial injury that is not treated [superficial or deep deltoid tear]. It should not be evaluated until the remaining portions of the ankle have been fixed.
  • #53 The idea behind dorsiflexing the ankle prior to clamping the syndesmosis is based on the concept that the talus is shaped like a frustrum [wider anteriorly than posteriorly] such that clamping in plantarflexion could allow for overconstraining the ankle. The original recommendations came from a single cadaveric article using 1NM of force. This was challenged by Tornetta et al in the above noted study. Dorsiflexion was measured in 19 cadavers before syndesmotic screw placement and after placing a 4.5mm lag screw with the ankle in plantarflexion. There was no significant difference. He postulated that dorsiflexion is not necessary [i.e. overconstraint doesn’t occur]. While not necessary, dorsiflexion may still be useful at times to center the talus in the mortise.
  • #54 Obtaining a reduction is important. The question is how to do so. There has been recent concern that we were malreducing more than we originally thought [i.e. that intraoperative radiographic parameters may be deceiving]. This concern was based on evaluating the syndesmotic reduction of treated disruptions by using a postoperative CT scan with a specific definition of an anatomic syndesmosis. This definition was based on a symmetric distance between the fibula and the incisura at the anterior and posterior portion of the syndesmosis. This definition has recently been questioned by a new publication which evaluated uninjured ankles via a CT scan. This is on the next slide.
  • #55 There is significant variability noted in the population. This recent study provides information that questions the previous definition of an anatomic syndesmosis on CT scan. It is possible that we are doing better than what has been suggested in the previous articles. Abstract Objective The purpose of this study was to determine the shape and measurements of the normal distal tibiofibular syndesmosis on computed tomographic scans and to identify features that could aid in the diagnosis of syndesmotic diastasis using computed tomography (CT). Materials and methods CT scans of 100 patients with normal distal tibiofibular syndesmoses were reviewed retrospectively. In 67% the incisura fibularis was deep, giving the syndesmosis a crescent shape. In 33% the incisura fibularis was shallow, giving the syndesmosis a rectangular shape. The measurements of both types were taken using the same reference points. Results The mean age of the patients was 40 years, and there were 53 men and 47 women. The mean width of the distal tibiofibular syndesmosis anteriorly between the tip of the anterior tibial tubercle and the nearest point of the fibula was 2 mm. The mean width of the distal tibiofibular syndesmosis posteriorly between the medial border of the fibula and the nearest point of the lateral border of the posterior tibial tubercle was 4 mm. In men the mean width of the distal tibiofibular syndesmosis, anterior and posterior, was 2 mm and 5 mm, respectively, and in women it was 2 mm and 4 mm, respectively. Conclusion This study provides measurements of the normal tibiofibular syndesmosis to aid in the diagnosis of occult diastasis.
  • #56 After obtaining an anatomic reduction, it is important to maintain that reduction until healing.
  • #57 Note difference in level of syndesmotic screw placement. There is evidence that placing screws closer to the syndesmosis leads to less widening [McBryde FAI 1997]. General recommendation is approximately 2 cm above the tibiotalar joint but not directly into the cartilage of the syndesmosis.
  • #58 There are many options and no consensus. Individualize treatment based on degree of instability.
  • #59 This is an interesting case of a revision of a syndesmotic malreduction. The images on top denote the postoperative mortise, lateral, and CT scan which reveal an anterior translation of the distal fibula and debris in the distal tibiofibular syndesmosis. Note the relationship of the posterior border of the fibula to the posterior malleolus on the lateral radiograph. The images on bottom denote the revision. Her uninjured ankle was evaluated radiographically to ensure the appropriate relationships were restored.