MEDIASTINAL MASSES
• The mediastinum is defined as the tissue
compartment located between the two lungs,
posterior to the sternum, anterior to the
vertebral column, and extending from the
thoracic inlet to the diaphragm.
• Superior - imaginary line traversing the manubriosternal joint
and the lower surface of the fourth thoracic vertebra.
• Inferior – Anterior
Middle
Posterior
• Felson’ method - line extending from the diaphragm to the
thoracic inlet along the back of the heart and anterior to the
trachea separates the anterior and middle mediastium.
• A line that connects points 1 cm behind the anterior margins
of the vertebral bodies separates the middle and posterior
mediastinal compartments.
Anterior Mediastinum
• Boundaries - anteriorly by the sternum;
posteriorly by the pericardium, aorta, and
brachiocephalic vessels; superiorly by the
thoracic inlet; and inferiorly by the diaphragm.
• Contains - thymus, lymph nodes, adipose
tissue, and internal mammary vessels
Anterior Junction Line
• The line is formed by the anterior apposition of the
lungs and consists of the four layers of pleura
separating the lungs behind the upper two-thirds of
the sternum.
• The line runs obliquely from upper right to lower left
and does not extend above the manubriosternal
junction.
• Contains variable amount of fat.
Posteroanterior chest radiograph
demonstrates the anterior junction line
CT scan shows the four layers of pleura that
constitute the anterior junction line
Posteroanterior chest radiograph demonstrates the anterior junction line
Mediastinal mass
• No air bronchogram
• Margins with lung obtuse
• Mediastinal lines will be disrupted.
• Can be associated spinal ,costal or sternal
abnormalities
SIGN FOR LOCALISATION
• SILHOUETTE SIGN
• HILUM OVERLAY SIGN
• HILUM CONVERGENCE SIGN
• CERVICO-THORACIC SIGN
• THORACO ABDOMINAL SIGN
ISilhouette sign
• If an intrathoracic opacity is situated in
anatomic contact with a border of heart or
aorta ,will obscure that border.
A radioopacity causes obliteration of rt border of
heart , is anterior in location ,Anterior
mediastinum.
If it overlaps but does not obliterates , it lies in
posterior or middle mediastinum.
Silhouette sign
Hilum overlay sign
• Differentiates cardic enlargement from
mediastinal mass
• In mediastinal mass if Hilar vessels are seen
through the mass indicates that the mass
does not arise from hilum
• For accuracy the film should be true frontal
,slight obliquity may project normal
pulmonary artery medialy
Hilum overlay sign
Cervicothoracic sign
Well defined mass seen above the clavicle is
always situated in posterior compartment ,the
anterior compartment mass being in contact
with soft tissue rather than aerated lung is ill
defined
Cervicothoracic sign
Anterior mediastinal masses
• Displaced anterior junctional lines
• Obliterated cardiophrenic angle
• Obliterated retrosternal clear space
• Hilum overlay sign
• Anterior mediastinal masses
prevascular - Thymic masses
- Retrosternal thyroid
- Teratoma
- Lymph nodal mass
precardiac - Epicardial fat pad
- Morgagni ‘ s hernia
- pleuropericardial cyst
- Anterior mediastinal masses in the prevascular region
can obliterate the anterior junction line.
Middle Mediastinum
• Boundaries - anteriorly by
the pericardium, posteriorly
by the pericardium and
posterior tracheal wall,
superiorly by the thoracic
inlet, and inferiorly by the
diaphragm.
• Contains - heart and
pericardium; the ascending
and transverse aorta; SVC
and IVC; the brachiocephalic
vessels; the pulmonary
vessels; the trachea and
main bronchi; lymph nodes;
and the phrenic, vagus, and
left recurrent laryngeal
nerves.
Right Paratracheal Stripe
• The right paratracheal stripe is
seen projecting through the
SVC. It is formed by the trachea,
mediastinal connective tissue,
and paratracheal pleura and is
visible due to the air–soft tissue
interfaces on either side.
• paratracheal stripe should be
uniform in width with a normal
width ranging from 1 to 4 mm.
• The azygos vein lies at the
inferior margin of the right
paratracheal stripe at the
tracheobronchial angle.
Posteroanterior chest radiograph shows
the right paratracheal stripe (arrow).
The azygos vein is seen at the inferior
margin of the stripe at the
tracheobronchial angle.
CT scan shows the
right wall of the
trachea with medial
and lateral air–soft
tissue interfaces
caused by air within
the tracheal lumen
and right lung.
The right paratracheal stripe can be widened due to
abnormality of any of its components, from the
tracheal mucosa to the pleural space.
Middle Mediastinal Masses
• Lymphadenopathy
• Aortic aneuyrsm
• Enlarged pulmonary artery
• Foregut duplication cyst
• Tracheal lesions
Posterior Mediastinum
• The posterior mediastinum is
bounded anteriorly by the
posterior trachea and
pericardium, anteroinferiorly
by the diaphragm, posteriorly
by the vertebral column, and
superiorly by the thoracic
inlet.
• Contents -Esophagus,
descending aorta, azygos and
hemiazygos veins, thoracic
duct, vagus and splanchnic
nerves, lymph nodes, and fat
Posterior
• Extent: posterior to a
line 1 cm behind the
anterior margin of the
vertebral column,
anterior to the chest
wall
Posterior Mediastinal Masses
• Esophageal lesions, hiatal hernia
• Foregut duplication cyst
• Descending aorta aneuyrsm
• Neurogenic tumour
• Paraspinal abscess
• Lateral meningocele
• Extramedullary haematopoiesis
Azygoesophageal Recess
• The azygoesophageal recess is the interface between the right
lung and the mediastinal reflection, with the esophagus lying
anteriorly and the azygos vein posteriorly within the
mediastinum.
• On X-ray,it appears as a line –
- in its upper 1/3rd , it deviates to the right at the level of the
carina to accommodate the azygos vein arching forward.
- middle 1/3rd , the line has a variable appearance: It is usually
straight.
- lower 1/3rd , usually straight. ( air in esophagus)
Posteroanterior chest radiograph shows the
azygoesophageal line
CT scan shows the
azygoesophageal recess
(white arrow) formed
by the esophagus
anteriorly (black arrow)
and the azygos vein
posteriorly
(arrowhead).
• The azygoesophageal recess reflection is a pre-
vertebral structure and is, therefore, disrupted by
prevertebral disease.
• It has an interface with the middle mediastinum;
thus, the resulting line seen at radiography can be
interrupted by abnormalities in both the middle and
posterior compartments.
Posteroanterior chest radiograph demonstrates a subcarinal abnormality with
increased opacity (*), splaying of the carina, and abnormal convexity of the
upper and middle thirds of the azygoesophageal line (arrowheads)
Corresponding CT scan helps confirm a subcarinal mass (arrow),
which proved to be a bronchogenic cyst.
Posterior Junction Line
• Seen above the level of the azygos vein and aorta
and that is formed by the apposition of the lungs
posterior to the esophagus.
• usually extend from third to fifth thoracic vertebrae.
• posterior junction line can be seen above the
suprasternal notch and lies almost vertical, whereas
the anterior junction line deviates to the left.
Collimated posteroanterior chest radiograph shows the posterior
junction line (arrow) projecting through the tracheal air column.
CT scan shows the posterior junction line (arrow), which is formed by
the interface between the lungs posterior to the mediastinum and
consists of four pleural layers.
Posteroanterior chest radiograph shows a mass (arrow) obliterating
the posterior junction line. Note that the mass extends above the
level of the clavicle and has a well-demarcated outline due to the
interface with adjacent lung (arrowhead).
CT scan helps confirm the posterior location of the mass (arrow),
which proved to be a bronchogenic cyst.
Paraspinal Lines
• The paraspinal lines are created by the interface
between lung and the pleural reflections over the
vertebral bodies.
• The left paraspinal line is much more commonly seen
than the right. The descending aorta holds the pleural
reflection off the vertebral body, allowing the lung–
soft tissue interface to be more tangential to the x-ray
beam.
• The left paraspinal line runs parallel to the lateral
margin of the vertebral bodies and can lie anywhere
medial to the lateral wall of the descending aorta
On a collimated
posteroanterior
chest radiograph,
the left
paraspinal line
(arrow) is seen
separate and
distinct from the
vertebral body
(black
arrowhead) and
the descending
thoracic aorta
CT scan shows the left paraspinal line. The descending aorta holds the pleural
reflection (arrow) away from the vertebral body, which allows the lung–soft
tissue interface to be more tangential to the x-ray beam and therefore
visualized as a line
• The paraspinal lines are disrupted by
paravertebral disease—which commonly
includes diseases originating in the
intervertebral disks and vertebrae—and by
neurogenic tumors.
Posteroanterior chest radiograph shows a mass (arrow) effacing the left
paraspinal line. The lateral wall of the descending aorta is seen as a separate
entity (arrowhead).
CT scan shows a paraspinal abscess (arrow) effacing the paraspinal lines.
The air–soft tissue interface between the lung and aorta remains intact
(arrowhead), thereby preserving the normal radiographic appearance of
the lateral aortic wal
Posteroanterior chest radiograph shows lateral displacement of the lateral
margin of the descending thoracic aorta due to an aortic aneurysm
(arrowheads).
CT scan also demonstrates the aneurysm (arrow).
THE NORMAL THYMUS
• The thymus has two lobes, the right and the left,
which are fused superiorly near the thyroid gland
and smoothly molded to the anterior aspect of the
great vessels and anterior heart.
• It occupies the thyropericardic space. The thymus is
rarely found in an ectopic location, usually the neck.
• The left thymic lobe usually is larger than the right.
Thymus gland
• Roughly a bi-lobed structure
• DEVELOPMENT- bilateral 3rd pharyngeal pouches
• EVOLUTION- largest at birth or during infancy
increases slightly during 1st decade of life and
decrease thereafter.
• Normal weight- 5 – 50 gm
Radiology of thymus gland
• On conventional chest radiograph it is consistently
visible only in infants and young childrn then after 2-
3 yrs of age it becomes an inconstant feature
• Three radiographic signs aid identification of normal
thymus gland
1. THYMIC NOTCH SIGN
2. SAIL SIGN
3. THYMIC WAVE SIGN
Radiology of thymus gland
Sail sign
• SAIL SIGN-
present only in 5% of infants
related to the presence of a
triangular opacity of thymic
tissue that projects to the
left or right
Thymus wave sign
• THYMUS WAVE SIGN-
Seen as an undulating or
rippled contour of thymus
border caused by anterior
rib indentation
• THYMUS NOTCH SIGN-
An indentation of
thymus contour at the
junction of heart and
thymus
CT
• In children, the normal thymus fills the prevascular space, draping itself over the
great vessels and cardiac margins .
• Cephalad, the thymus extends above the innominate vein .
• In infancy, the thymus is commonly seen to the level of the pulmonary arteries or
below, but its inferior extent decreases with age.
• In infants and young children, the thymus appears quadrilateral on CT. As the child
grows, the thymus assumes a more triangular shape, often appearing arrowhead
shaped or bilobed, with each of the two thymic lobes contacting the mediastinal
pleura.
• Its margins are sharp, smooth, and convex in infants and often become straight in
older children.
• Each lobe usually measures 1 to 2 cm in thickness (perpendicular to the pleura), but
this is variable.
• On unenhanced CT, the thymus is approximately the same attenuation as muscle.
• The mean attenuation of the thymus has been found to be 36 HU; the thymus shows
homogeneous enhancement of 20 to 30 HU after bolus contrast injection.
• Over the age of 25 years, the thymus is no
longer recognizable as a soft-tissue structure
on CT because of progressive fatty involution
Normal thymus in a 21-year-old patient. The
thymus occupies the prevascular space and
appears triangular and of soft-tissue
attenuation, the left lobe (LL) being larger than
the right (RL).
Normal thymus in a 51-year-old patient. The
thymus (arrows) appears to be composed
primarily of fat, containing islands or wisps of
soft tissue. The left thymic lobe extends more
posteriorly than the right.
THYMIC LYMPHOID FOLLICULAR
HYPERPLASIA
• The term thymic lymphoid follicular
hyperplasia (LFH) is used to
describe a condition characterized
by the presence of hyperplastic
lymphoid germinal centers in the
thymic medulla, associated with a
lymphocytic and plasma cell
infiltrate.
• The presence of LFH is commonly
associated with myasthenia gravis,
connective tissue disease, pure red
blood cell hypoplasia, and infection
with HIV;
• it may also be seen in some normal
young subjects.
• Plain radiographs are usually
normal. On CT, patients with LFH
can have a normal-appearing
thymus (45%), an enlarged thymus
with a normal shape (35%), or a
focal thymus mass (20%)
Thymic lymphoid follicular hyperplasia. A focal
mass (arrow) in the prevascular space
represented follicular hyperplasia. Its
appearance is nonspecific and cannot be
distinguished from thymoma.
THYMIC HYPERPLASIA
• Thymic hyperplasia, as distinguished from LFH, is defined by an
increase in size of the thymus associated with an otherwise normal
gross and histologic appearance.
• It may be associated with hyperthyroidism (Graves' disease,
sarcoidosis, red blood cell aplasia, and other entities.
• It most commonly is seen in association with recovery from
chemotherapy, stress, or burns, a phenomenon known as thymic
rebound (described below).
• Chest radiographs in adults are usually normal.
• In children, thymic enlargement may be seen.
• CT demonstrates increased thickness of the thymic lobes but an
otherwise normal-appearing thymus
Thymic hyperplasia in Graves' disease. A. Chest
radiograph in a 40-year-old woman shows
mediastinal widening (arrows). B and C. CT
shows enlargement of the thymus (T) in the
prevascular space. The left thymic lobe is
largest
Thymic Rebound
• The thymus involutes during periods of stress (e.g.,
burns, chemotherapy) and may decrease significantly
in size
• the thymus will generally regrow to its original size
within several months of the stressful episode
• The presence of lymph node enlargement in
association with thymic enlargement should suggest
recurrent tumor, while isolated thymic enlargement
should suggest thymic rebound
THYMOMA
• Originates from thymic epithelium
• Most common thymic tumor
• 15%-20% of mediastinal masses
• Most common in patients 50-60 years old
• Myasthenia gravis in 30%-50%
• 10%-30% of patients with myasthenia have thymoma
• Invasive (30%) or noninvasive (70%), not benign and
malignant
• Metastases outside thorax in 3%-5%
Plain Radiographs
• Most thymomas occur near the junction of the heart and great
vessels, although they may be seen superiorly to the level of the
clavicles and inferiorly to the level of the costophrenic angles.
• Thymomas typically appear sharply marginated, smooth or lobulated
in contour, and usually project to one side of the mediastinum.
• They usually range in size from 5 to 10 cm in diameter when visible on
radiographs, and may obscure the right or left heart border,
depending on their location and size.
• Dense calcification may be seen in the periphery of the mass or
throughout its substance.
• On lateral radiographs,
thymoma often produces
a distinct opacity in the
inferior aspect of the
retrosternal clear space,
the relatively lucent
triangular region
posterior to the sternum
and anterior to the aortic
arch, main pulmonary
artery, and heart
CT
• In nearly all cases,
thymomas occur in the
prevascular space and
displace the great
vessels (aorta and its
branches, superior vena
cava and its branches,
and main pulmonary
artery) posteriorly
CT shows a cystic
(fluid attenuation)
mass in the right
cardiophrenic
angle. The mass
shows dense
calcification,
including
calcification of its
capsule. A
noninvasive cystic
thymoma was
found at surgery.
• Thymoma or other
thymic neoplasm may
be distinguished from
thymic hyperplasia if
enlargement of the
thymus is grossly
asymmetric, if the
thymus has a lobular
contour, or if a focal
rounded lesion is visible
Invasive thymoma with calcification in a
patient with myasthenia gravis. A. CT shows a
lobulated mass (T) in the prevascular space,
typical of thymoma. Medially, the mass invades
mediastinal fat (large arrow). A small pleural
nodule (small arrow) is also seen, resulting
from pleural invasion. Compression of the
superior vena cava is also present. B. At a
lower level, calcification is visible.However, follicular thymic hyperplasia can
result in a focal thymic mass up to 5 cm in
diameter
• Approximately 80% of
thymomas occur at the
base of the heart, as
shown on CT .
• They usually appear as
homogeneous soft-tissue
attenuation masses that
are sharply demarcated
and oval, round, or
lobulated and do not
conform to the normal
shape of the thymus
It is often difficult to distinguish invasive and noninvasive
thymoma on CT
• Findings highly suggestive
of invasion include
• pericardial thickening
contiguous with the
tumor, pleural thickening,
nodules, or effusion,
• encasement of
mediastinal structures,
• fat infiltration
• an irregular interface
between the tumor and
lung.
Invasive thymoma with calcification. CT shows
a lobulated thymoma with multiple
calcifications. The presence of pleural effusion
strongly suggests invasion
Invasive thymoma with pleural metastases. A.
PA chest radiograph shows a mass at the left
cardiophrenic angle (arrows). B. CT shows a
homogeneous rounded mass (T) representing
thymoma. C. At a lower level, CT shows focal
pleural thickening or nodules (arrows), typical
of pleural metastases. Pleural nodules are
usually unassociated with pleural effusion. This
finding indicates invasion.
Noninvasive thymoma. A. CT shows a homogeneous thymoma (T)
separated from the aorta (A) and pulmonary artery (P) by a layer of fat.
B. Oblique sagittal reconstruction shows separation of the thymoma (T)
from the ascending aorta (A).
THYMIC CARCINOMA
• Originates from thymic epithelium
• 20% of thymic epithelial tumors
• Average age 50
• Unlike thymoma, appears malignant histologically
• Invasion common, distant metastases in 50%-65%
• Myasthenia rare
• Appearance indistinguishable from thymoma
unless metastases are visible
• Thymic carcinoma usually results
in a mass 5 to 15 cm in diameter.
• A large mass with or without
areas of low attenuation is typical
.
• Calcification may be present .
• Thymic carcinoma cannot be
distinguished from thymoma on
CT unless enlarged lymph nodes
are visible in the mediastinum or
distant metastases are evident.
• Thymic carcinoma is less likely
than thymoma to result in pleural
implants.
THYMIC CARCINOID TUMOR
• Originates from neural
crest cells.
• Average age 45
• Usually malignant
• Cushing's syndrome in
25%-40%
• MEN in 20%
• Mimics thymoma
radiographically
• Dense enhancement
possibly seen on CT
• This tumor is more
aggressive than
thymoma, being
malignant in most cases,
and superior vena cava
obstruction is much more
common with thymic
carcinoid than with
thymoma.
• The 5-year survival rate is
about 65%. Metastases
may be visible.
Thymolipoma
• Consists of fat and
thymic tissue
• 5% of thymic tumors
• Benign
• Often young patients
• Usually asymptomatic
• Large droopy
mediastinal mass
containing fat and
strands of tissue
• In most cases, thymolipoma is
unaccompanied by symptoms and
is detected incidentally on chest
radiographs.
• It is often large, averaging nearly
20 cm in diameter at diagnosis,
and it may project into both
hemithoraces.
• Because of its fatty content and
pliability, thymolipoma tends to
drape over the heart, extending
inferiorly into the cardiophrenic
angles.
• It can simulate cardiac
enlargement, lower lobe collapse,
or elevation of a hemidiaphragm .
• There is no known association
with myasthenia gravis.
Thymic Cyst
• Thymic cysts are
uncommon.
• They can be either
congenital or acquired.
• One should be cautious in
making the diagnosis of
thymic cyst; cystic regions
can be seen in a variety of
thymic tumors, including
thymoma and
lymphoma..
• CT can suggest the
diagnosis of thymic cyst if
the lesion
• (1) appears thin-walled;
(2) is unassociated with a
mass lesion;
• (3) contains fluid with a
density close to that of
water; and
• (4) remains unopacified
following contrast
infusion
Thymic Lymphoma and Metastases
• Hodgkin's disease (HD) has
a predilection for
involvement of the thymus
in conjunction with
involvement of mediastinal
lymph nodes.
• Thymic enlargement may
be seen in 30% of patients
with intrathoracic HD.
• Non-Hodgkin's lymphoma
(NHL) much less commonly
involves the thymus.
• Thymic lymphoma
usually results in
homogeneous thymic
enlargement.
• thymic mass with mass
or lymph node
enlargement in other
areas of the
mediastinum is
suggestive of this
diagnosis
GERM CELL TUMORS
• Germ cell tumors account for about 10% of primary
mediastinal masses and arise from primitive germ cells
that have arrested their embryologic migration in the
mediastinum, frequently within the thymus.
• They are more common in the anterior mediastinum
• Germ cell tumors include benign and malignant
teratoma, seminoma, embryonal carcinoma,
endodermal sinus (yolk sac) tumor, choriocarcinoma,
and mixed cell types.
• Overall, more than 80% of germ cell tumors are benign
TERATOMA
• Contains elements of all germinal layers
• Mature teratomas (contain mature tissues)
Benign
60%-75% of mediastinal germ cell tumors
Occur in children and young adults
Dermoid cyst
• Immature teratomas (contain immature tissue)
Often have benign course in infants or young children
Often aggressive and malignant in adults
• Malignant teratoma (contains frankly malignant tissues)
Poor prognosis
Usually men
Anterior mediastinal mass; posterior in 5%
Smooth, rounded, or lobulated mass
• Mature teratoma
• Well defined, smooth,
cystic
• Teeth and bone rare
• Fluid in 90%; fat in 75%;
calcification in 50%
• Immature or malignant
teratoma
• Nodular or poorly
defined
• Fat in 40%
• Compression or
invasion of mediastinal
structures
• Enhancing capsule
Mature mediastinal teratoma. A. PA chest radiograph shows a smooth,
sharply marginated left mediastinal mass (arrows). It obscures the left heart
border, indicating its anterior location. B. Lateral view shows increased
density of the retrosternal clear space (arrow), but a discrete mass is not
visible.
• Benign lesions are
• typically well defined,
smooth, and cystic, and
90% contain fat.
• Malignant teratomas
are nodular or poorly
defined, they are more
likely to appear solid,
and a smaller
proportion (40%)
contains fat
. Mature mediastinal teratoma. A large mass is
compressing right cardiac structures. It
contains calcifications, areas of fat (arrow), and
cystic or soft-tissue regions.
SEMINOMA
• 30% of germ cell tumors
• Mean age 29
• Large, lobulated, anterior mediastinal mass
• Homogeneous in attenuation
• Good prognosis; 5-year survival rate 50%-75%
Mediastinal seminoma. A. PA radiograph shows a large, lobulated, and
poorly marginated mediastinal mass (arrows) obscuring the right heart
border. A small right pleural effusion is also visible. B. Lateral view shows a
large anterior mediastinal mass (arrows).
NONSEMINOMATOUS GERM CELL
TUMOR
• Cell types
Embryonal carcinoma
Endodermal sinus (yolk sac) tumor
Choriocarcinoma
Mixed types
• Large, lobulated, anterior mediastinal mass associated with
pleural effusion because of local invasion of lung and
pleura. ,
• Inhomogeneous in attenuation, including ill-defined areas
of low attenuation secondary to necrosis and hemorrhage
or cystic areas
• Poor prognosis
THYROID GLAND AND THYROID
ENLARGEMENT
• The thyroid gland is located in close
approximation to the thoracic inlet, and
thyroid enlargement is commonly associated
with extension into the mediastinum.
• Multinodular goiter is the most common
condition in which a mediastinal thyroid
abnormality is detected; carcinoma and
thyroiditis are relatively rare causes.
MEDIASTINAL THYROID MASS
• 10% of mediastinal masses
• Almost always connected to cervical thyroid
• Anterior in 75%-90%; posterior in 10%-25%
• Masses high in attenuation on CT; densely
enhance with contrast
• Cystic or inhomogeneous
• Punctate calcifications
• Distinguishing goiter and carcinoma difficult
Mediastinal goiter. A mass in the superior
mediastinum (white arrows) is sharply defined
inferiorly and poorly defined above the
clavicles. The trachea is displaced to the left
(black arrow).
Cystic cervical and mediastinal goiter. A. Chest
radiograph shows displacement of the trachea
to the right (arrow) and poorly defined
superior mediastinal widening at the level of
the thoracic inlet. B. CT shows an enhancing
multicystic mass (arrows) at the level of the
thoracic inlet. The trachea (T) is displaced to
the right and slightly narrowed.
• Recognizing that a mediastinal mass originates
from the thyroid gland depends on
• (1) demonstration of a communication with the
cervical portion of the thyroid gland on
contiguous slices
• (2) high attenuation of at least a portion of the
mass
• (3) marked enhancement after contrast injection
• (4) prolonged enhancement (more than 2
minutes).
Hodgkin's Disease
• HD has a predilection for thoracic involvement, and up to 85% of
patients with HD present with mediastinal adenopathy.
• HD most often involves the superior mediastinal (prevascular,
paratracheal, aortopulmonary) lymph nodes
• Multiple node groups are commonly involved in patients with HD
• In addition to superior mediastinal node groups, sites of lymph
node enlargement, in order of decreasing frequency, include hilar
nodes, subcarinal nodes, cardiophrenic angle (paracardiac) lymph
nodes, internal mammary nodes, and posterior mediastinal nodes.
• Enlargement of lymph nodes in a single node group can be seen in
some patients with HD, most commonly in the anterior
(prevascular) mediastinum.
• This often indicates the presence of nodular sclerosing HD, which
accounts for 50% to 80% of adult HD cases.
Superior mediastinal lymph nodes in Hodgkin's
disease. A. PA radiograph shows a mass
(arrows) in the region of the aortopulmonary
window. B. An anterior mediastinal mass
(arrows) is visible on lateral chest radiograph.
Involvement of multiple lymph node groups in
Hodgkin's disease. A and B. Involvement of
pretracheal (small arrows) and prevascular
(large arrows) nodes is common in Hodgkin's
disease. C. At a lower level, paracardiac lymph
node enlargement is also seen (arrows).
Non-Hodgkin's Lymphoma
• The term non-Hodgkin's lymphoma refers to a
diverse group of diseases, varying in radiologic
findings, clinical presentation, course, and
prognosis. In comparison to HD, these tumors
are less common as causes of thoracic disease.
Bronchogenic Cysts
• 60% of foregut duplication cysts
• Wall contains respiratory epithelium, smooth muscle,
mucous glands, or cartilage
• 50% subcarinal; 20% paratracheal; 10% retrocardiac
• Bronchogenic cysts can be present in any part of the
mediastinum but are most commonly located in the
middle or posterior mediastinum, near the carina (50%),
• Round, smooth, sharply defined
• Wall thin or invisible on CT; wall may calcify
• Fluid contents variable in attenuation on CT (0-40 HU)
• On plain radiographs,
bronchogenic cysts
appear as
1) smooth, sharply
marginated, round or
elliptical masses.
2) They may be large and
displace the trachea or
bronchi.
3) Subcarinal cysts may
result in convexity in the
superior aspect of the
azygoesophageal recess.
• On CT, bronchogenic cysts
usually appear rounded or
elliptical, smooth in
contour;
• The wall of a bronchogenic
cyst appears thin or is
imperceptible.
• Half of bronchogenic cysts
are of water attenuation
• lack of enhancement on
scans obtained following
intravenous contrast
infusion Bronchogenic cyst. A. A large subcarinal mass (arrows) is visible on
chest radiograph. B. Unenhanced CT shows a large subcarinal
bronchogenic cyst (C, white arrows), appearing slightly less dense
than soft tissue. Focal calcification of the cyst wall is visible (black
arrow) C. Coronal T1-weighted MRI shows a large subcarinal cyst.
Signal from the cyst (C) is due to its protein content. D. Transaxial T2-
weighted, fat-saturated image shows high signal intensity. This is
typical. C, cyst.
Neurogenic Tumors
• Neurogenic tumors account for about 10% to 20% of primary mediastinal
masses in adults and 30% to 35% of mediastinal tumors in children.
• Seventy-five percent of posterior mediastinal masses are neurogenic
tumors.
• Tumors may arise from peripheral nerves and nerve sheath (neurofibroma,
schwannoma, malignant peripheral nerve-sheath tumors) or sympathetic
ganglia (ganglioneuroma, ganglioneuroblastoma, neuroblastoma).
• The most common cell types are schwannoma (35%), ganglioneuroma
(25%), neuroblastoma (15% to 20%), ganglioneuroblastomas (7% to 15%),
and neurofibroma (5% to 10%), but the incidence varies with the patient's
age.
• Eighty percent are benign.
• Nearly 85% of tumors in children are of ganglionic origin, while in adults
more than 75% are nerve sheath tumors.
• Specifically, schwannoma and neurofibroma are more common in adults,
while ganglioneuroblastoma and neuroblastoma are more common in
children
PERIPHERAL NERVE SHEATH TUMORS
• Neurilemmoma (schwannoma), neurofibroma, and
neurogenic sarcoma
• Most common in adults
• Round, elliptical, or lobulated paravertebral mass
• Often one or two interspaces in length
• Rib or vertebral abnormalities in 50%
• Lower attenuation than muscle in 70%
• One third of patients with neurofibromas have
neurofibromatosis
• Plexiform neurofibroma: extensive fusiform or
infiltrating mass
• On plain radiographs, nerve
sheath tumors typically appear
as sharply marginated round,
elliptical, or lobulated
paravertebral masses,
although they may be well
seen only on the frontal
radiograph
• They tend to be limited to one
or two interspaces in length
but in some patients can be
large.
• Associated rib or vertebral
deformity or enlargement of a
neural foramen is visible in
about 50% of cases Schwannoma. PA chest radiograph shows a
well-defined right mediastinal mass associated
with deformity of right-sided ribs.
Schwannoma. A. PA chest radiograph shows a
well-defined mass in the superior mediastinum
(arrows). B. On the lateral view, the mass is
relatively posterior in location (arrow). C. A
well-defined homogeneous mass is visible on
CT.
• On CT, nerve sheath
tumors typically appear
as wellmarginated,
smooth, rounded or
elliptical masses
• Enlargement of neural foramina may be better shown on
CT than on plain films .
• In over 70% of cases, peripheral nerve or nerve sheath
tumors appear to be lower in attenuation than chest wall
muscle; in the remainder, they are of soft-tissue
attenuation.
• Low-density areas within nerve sheath tumors can be due
to the presence of (1) lipid-rich Schwann cells; (2)
adipocytes; (3) perineural adipose tissue entrapped by
plexiform neurofibromas; or (4) cystic spaces in the tumor.
• Variable enhancement of the tumor may be seen following
contrast infusion
TUMORS DERIVED FROM
SYMPATHETIC GANGLIA
• Ganglioneuroma, ganglioneuroblastoma, and
neuroblastoma
• 20% of posterior masses in children
• Oblong or sausage-shaped paravertebral mass
• Calcification in 20%
Ganglioneuroma
• Ganglioneuroma, a benign tumor made up of
Schwann cells, collagen, and ganglion cells, is
a common neoplasm in teenagers and young
adults.
• On plain radiographs, this tumor often appear
as an oblong or sausage-shaped mass in a
paravertebral location; they tend to be longer
than nerve sheath tumors occurring in a
similar location
• Ganglioneuroma cannot be distinguished from
schwannoma or neurofibroma on the basis of its
CT appearance.
• Calcification is seen in about 20% of cases, and
vertebral abnormalities may be seen.
• On MRI, ganglioneuroma may appear
homogenous in intensity on -T1- and
• T2-weighted images or may show a unique
whorled appearance of layers of varying intensity
neuroblastoma
• Approximately 15% of neuroblastomas arise in
the mediastinum, and almost all are located
posteriorly.
• Mediastinal neuroblastoma is seen almost
exclusively in young children under the age of
5 years.
• It is malignant
CT
• neuroblastomas appear as soft-tissue attenuation masses,
but up to 40% contain speckled or curvilinear calcifications .
• They are most common in the paravertebral regions and
may extend superiorly and inferiorly for several
centimeters.
• Neuroblastoma often shows inhomogeneous enhancement
following contrast injection.
• CT and MR may be used to help determine the presence
and extent of mediastinal or vertebral column invasion.
• Invasion of the extradural spinal canal is common, even in
the absence of neurologic signs and symptoms
Mediastinal neuroblastoma in a 16-month-old
child. PA (A) and lateral (B) chest radiographs
show a large superior, posterior mediastinal
mass
CT shows a large paravertebral, posterior mediastinal mass containing small
areas of calcification (arrows). D. T2-weighted MRI shows a large mass in
the posterior mediastinum. The tumor extends into the spinal canal
through a neural foramen (white arrow), displacing the spinal cord to the
right (black arrow).

Medistinal mass seminar

  • 1.
  • 2.
    • The mediastinumis defined as the tissue compartment located between the two lungs, posterior to the sternum, anterior to the vertebral column, and extending from the thoracic inlet to the diaphragm.
  • 3.
    • Superior -imaginary line traversing the manubriosternal joint and the lower surface of the fourth thoracic vertebra. • Inferior – Anterior Middle Posterior • Felson’ method - line extending from the diaphragm to the thoracic inlet along the back of the heart and anterior to the trachea separates the anterior and middle mediastium. • A line that connects points 1 cm behind the anterior margins of the vertebral bodies separates the middle and posterior mediastinal compartments.
  • 4.
    Anterior Mediastinum • Boundaries- anteriorly by the sternum; posteriorly by the pericardium, aorta, and brachiocephalic vessels; superiorly by the thoracic inlet; and inferiorly by the diaphragm. • Contains - thymus, lymph nodes, adipose tissue, and internal mammary vessels
  • 6.
    Anterior Junction Line •The line is formed by the anterior apposition of the lungs and consists of the four layers of pleura separating the lungs behind the upper two-thirds of the sternum. • The line runs obliquely from upper right to lower left and does not extend above the manubriosternal junction. • Contains variable amount of fat. Posteroanterior chest radiograph demonstrates the anterior junction line CT scan shows the four layers of pleura that constitute the anterior junction line
  • 7.
    Posteroanterior chest radiographdemonstrates the anterior junction line
  • 8.
    Mediastinal mass • Noair bronchogram • Margins with lung obtuse • Mediastinal lines will be disrupted. • Can be associated spinal ,costal or sternal abnormalities
  • 9.
    SIGN FOR LOCALISATION •SILHOUETTE SIGN • HILUM OVERLAY SIGN • HILUM CONVERGENCE SIGN • CERVICO-THORACIC SIGN • THORACO ABDOMINAL SIGN
  • 10.
    ISilhouette sign • Ifan intrathoracic opacity is situated in anatomic contact with a border of heart or aorta ,will obscure that border. A radioopacity causes obliteration of rt border of heart , is anterior in location ,Anterior mediastinum. If it overlaps but does not obliterates , it lies in posterior or middle mediastinum.
  • 11.
  • 12.
    Hilum overlay sign •Differentiates cardic enlargement from mediastinal mass • In mediastinal mass if Hilar vessels are seen through the mass indicates that the mass does not arise from hilum • For accuracy the film should be true frontal ,slight obliquity may project normal pulmonary artery medialy
  • 13.
  • 14.
    Cervicothoracic sign Well definedmass seen above the clavicle is always situated in posterior compartment ,the anterior compartment mass being in contact with soft tissue rather than aerated lung is ill defined
  • 15.
  • 16.
    Anterior mediastinal masses •Displaced anterior junctional lines • Obliterated cardiophrenic angle • Obliterated retrosternal clear space • Hilum overlay sign
  • 18.
    • Anterior mediastinalmasses prevascular - Thymic masses - Retrosternal thyroid - Teratoma - Lymph nodal mass precardiac - Epicardial fat pad - Morgagni ‘ s hernia - pleuropericardial cyst - Anterior mediastinal masses in the prevascular region can obliterate the anterior junction line.
  • 19.
    Middle Mediastinum • Boundaries- anteriorly by the pericardium, posteriorly by the pericardium and posterior tracheal wall, superiorly by the thoracic inlet, and inferiorly by the diaphragm. • Contains - heart and pericardium; the ascending and transverse aorta; SVC and IVC; the brachiocephalic vessels; the pulmonary vessels; the trachea and main bronchi; lymph nodes; and the phrenic, vagus, and left recurrent laryngeal nerves.
  • 20.
    Right Paratracheal Stripe •The right paratracheal stripe is seen projecting through the SVC. It is formed by the trachea, mediastinal connective tissue, and paratracheal pleura and is visible due to the air–soft tissue interfaces on either side. • paratracheal stripe should be uniform in width with a normal width ranging from 1 to 4 mm. • The azygos vein lies at the inferior margin of the right paratracheal stripe at the tracheobronchial angle. Posteroanterior chest radiograph shows the right paratracheal stripe (arrow). The azygos vein is seen at the inferior margin of the stripe at the tracheobronchial angle.
  • 21.
    CT scan showsthe right wall of the trachea with medial and lateral air–soft tissue interfaces caused by air within the tracheal lumen and right lung.
  • 22.
    The right paratrachealstripe can be widened due to abnormality of any of its components, from the tracheal mucosa to the pleural space.
  • 23.
    Middle Mediastinal Masses •Lymphadenopathy • Aortic aneuyrsm • Enlarged pulmonary artery • Foregut duplication cyst • Tracheal lesions
  • 24.
    Posterior Mediastinum • Theposterior mediastinum is bounded anteriorly by the posterior trachea and pericardium, anteroinferiorly by the diaphragm, posteriorly by the vertebral column, and superiorly by the thoracic inlet. • Contents -Esophagus, descending aorta, azygos and hemiazygos veins, thoracic duct, vagus and splanchnic nerves, lymph nodes, and fat
  • 25.
    Posterior • Extent: posteriorto a line 1 cm behind the anterior margin of the vertebral column, anterior to the chest wall
  • 26.
    Posterior Mediastinal Masses •Esophageal lesions, hiatal hernia • Foregut duplication cyst • Descending aorta aneuyrsm • Neurogenic tumour • Paraspinal abscess • Lateral meningocele • Extramedullary haematopoiesis
  • 27.
    Azygoesophageal Recess • Theazygoesophageal recess is the interface between the right lung and the mediastinal reflection, with the esophagus lying anteriorly and the azygos vein posteriorly within the mediastinum. • On X-ray,it appears as a line – - in its upper 1/3rd , it deviates to the right at the level of the carina to accommodate the azygos vein arching forward. - middle 1/3rd , the line has a variable appearance: It is usually straight. - lower 1/3rd , usually straight. ( air in esophagus)
  • 28.
    Posteroanterior chest radiographshows the azygoesophageal line
  • 29.
    CT scan showsthe azygoesophageal recess (white arrow) formed by the esophagus anteriorly (black arrow) and the azygos vein posteriorly (arrowhead).
  • 30.
    • The azygoesophagealrecess reflection is a pre- vertebral structure and is, therefore, disrupted by prevertebral disease. • It has an interface with the middle mediastinum; thus, the resulting line seen at radiography can be interrupted by abnormalities in both the middle and posterior compartments.
  • 31.
    Posteroanterior chest radiographdemonstrates a subcarinal abnormality with increased opacity (*), splaying of the carina, and abnormal convexity of the upper and middle thirds of the azygoesophageal line (arrowheads)
  • 32.
    Corresponding CT scanhelps confirm a subcarinal mass (arrow), which proved to be a bronchogenic cyst.
  • 33.
    Posterior Junction Line •Seen above the level of the azygos vein and aorta and that is formed by the apposition of the lungs posterior to the esophagus. • usually extend from third to fifth thoracic vertebrae. • posterior junction line can be seen above the suprasternal notch and lies almost vertical, whereas the anterior junction line deviates to the left.
  • 34.
    Collimated posteroanterior chestradiograph shows the posterior junction line (arrow) projecting through the tracheal air column.
  • 35.
    CT scan showsthe posterior junction line (arrow), which is formed by the interface between the lungs posterior to the mediastinum and consists of four pleural layers.
  • 36.
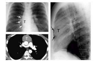
    Posteroanterior chest radiographshows a mass (arrow) obliterating the posterior junction line. Note that the mass extends above the level of the clavicle and has a well-demarcated outline due to the interface with adjacent lung (arrowhead).
  • 37.
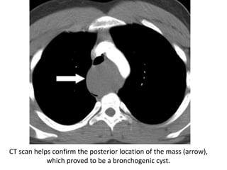
    CT scan helpsconfirm the posterior location of the mass (arrow), which proved to be a bronchogenic cyst.
  • 38.
    Paraspinal Lines • Theparaspinal lines are created by the interface between lung and the pleural reflections over the vertebral bodies. • The left paraspinal line is much more commonly seen than the right. The descending aorta holds the pleural reflection off the vertebral body, allowing the lung– soft tissue interface to be more tangential to the x-ray beam. • The left paraspinal line runs parallel to the lateral margin of the vertebral bodies and can lie anywhere medial to the lateral wall of the descending aorta
  • 39.
    On a collimated posteroanterior chestradiograph, the left paraspinal line (arrow) is seen separate and distinct from the vertebral body (black arrowhead) and the descending thoracic aorta
  • 40.
    CT scan showsthe left paraspinal line. The descending aorta holds the pleural reflection (arrow) away from the vertebral body, which allows the lung–soft tissue interface to be more tangential to the x-ray beam and therefore visualized as a line
  • 41.
    • The paraspinallines are disrupted by paravertebral disease—which commonly includes diseases originating in the intervertebral disks and vertebrae—and by neurogenic tumors.
  • 42.
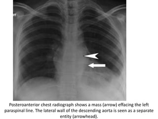
    Posteroanterior chest radiographshows a mass (arrow) effacing the left paraspinal line. The lateral wall of the descending aorta is seen as a separate entity (arrowhead).
  • 43.
    CT scan showsa paraspinal abscess (arrow) effacing the paraspinal lines. The air–soft tissue interface between the lung and aorta remains intact (arrowhead), thereby preserving the normal radiographic appearance of the lateral aortic wal
  • 44.
    Posteroanterior chest radiographshows lateral displacement of the lateral margin of the descending thoracic aorta due to an aortic aneurysm (arrowheads).
  • 45.
    CT scan alsodemonstrates the aneurysm (arrow).
  • 46.
    THE NORMAL THYMUS •The thymus has two lobes, the right and the left, which are fused superiorly near the thyroid gland and smoothly molded to the anterior aspect of the great vessels and anterior heart. • It occupies the thyropericardic space. The thymus is rarely found in an ectopic location, usually the neck. • The left thymic lobe usually is larger than the right.
  • 47.
    Thymus gland • Roughlya bi-lobed structure • DEVELOPMENT- bilateral 3rd pharyngeal pouches • EVOLUTION- largest at birth or during infancy increases slightly during 1st decade of life and decrease thereafter. • Normal weight- 5 – 50 gm
  • 48.
    Radiology of thymusgland • On conventional chest radiograph it is consistently visible only in infants and young childrn then after 2- 3 yrs of age it becomes an inconstant feature • Three radiographic signs aid identification of normal thymus gland 1. THYMIC NOTCH SIGN 2. SAIL SIGN 3. THYMIC WAVE SIGN
  • 49.
    Radiology of thymusgland Sail sign • SAIL SIGN- present only in 5% of infants related to the presence of a triangular opacity of thymic tissue that projects to the left or right
  • 50.
    Thymus wave sign •THYMUS WAVE SIGN- Seen as an undulating or rippled contour of thymus border caused by anterior rib indentation
  • 51.
    • THYMUS NOTCHSIGN- An indentation of thymus contour at the junction of heart and thymus
  • 52.
    CT • In children,the normal thymus fills the prevascular space, draping itself over the great vessels and cardiac margins . • Cephalad, the thymus extends above the innominate vein . • In infancy, the thymus is commonly seen to the level of the pulmonary arteries or below, but its inferior extent decreases with age. • In infants and young children, the thymus appears quadrilateral on CT. As the child grows, the thymus assumes a more triangular shape, often appearing arrowhead shaped or bilobed, with each of the two thymic lobes contacting the mediastinal pleura. • Its margins are sharp, smooth, and convex in infants and often become straight in older children. • Each lobe usually measures 1 to 2 cm in thickness (perpendicular to the pleura), but this is variable. • On unenhanced CT, the thymus is approximately the same attenuation as muscle. • The mean attenuation of the thymus has been found to be 36 HU; the thymus shows homogeneous enhancement of 20 to 30 HU after bolus contrast injection.
  • 53.
    • Over theage of 25 years, the thymus is no longer recognizable as a soft-tissue structure on CT because of progressive fatty involution
  • 54.
    Normal thymus ina 21-year-old patient. The thymus occupies the prevascular space and appears triangular and of soft-tissue attenuation, the left lobe (LL) being larger than the right (RL). Normal thymus in a 51-year-old patient. The thymus (arrows) appears to be composed primarily of fat, containing islands or wisps of soft tissue. The left thymic lobe extends more posteriorly than the right.
  • 55.
    THYMIC LYMPHOID FOLLICULAR HYPERPLASIA •The term thymic lymphoid follicular hyperplasia (LFH) is used to describe a condition characterized by the presence of hyperplastic lymphoid germinal centers in the thymic medulla, associated with a lymphocytic and plasma cell infiltrate. • The presence of LFH is commonly associated with myasthenia gravis, connective tissue disease, pure red blood cell hypoplasia, and infection with HIV; • it may also be seen in some normal young subjects. • Plain radiographs are usually normal. On CT, patients with LFH can have a normal-appearing thymus (45%), an enlarged thymus with a normal shape (35%), or a focal thymus mass (20%) Thymic lymphoid follicular hyperplasia. A focal mass (arrow) in the prevascular space represented follicular hyperplasia. Its appearance is nonspecific and cannot be distinguished from thymoma.
  • 56.
    THYMIC HYPERPLASIA • Thymichyperplasia, as distinguished from LFH, is defined by an increase in size of the thymus associated with an otherwise normal gross and histologic appearance. • It may be associated with hyperthyroidism (Graves' disease, sarcoidosis, red blood cell aplasia, and other entities. • It most commonly is seen in association with recovery from chemotherapy, stress, or burns, a phenomenon known as thymic rebound (described below). • Chest radiographs in adults are usually normal. • In children, thymic enlargement may be seen. • CT demonstrates increased thickness of the thymic lobes but an otherwise normal-appearing thymus
  • 57.
    Thymic hyperplasia inGraves' disease. A. Chest radiograph in a 40-year-old woman shows mediastinal widening (arrows). B and C. CT shows enlargement of the thymus (T) in the prevascular space. The left thymic lobe is largest
  • 58.
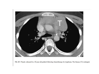
    Thymic Rebound • Thethymus involutes during periods of stress (e.g., burns, chemotherapy) and may decrease significantly in size • the thymus will generally regrow to its original size within several months of the stressful episode • The presence of lymph node enlargement in association with thymic enlargement should suggest recurrent tumor, while isolated thymic enlargement should suggest thymic rebound
  • 60.
    THYMOMA • Originates fromthymic epithelium • Most common thymic tumor • 15%-20% of mediastinal masses • Most common in patients 50-60 years old • Myasthenia gravis in 30%-50% • 10%-30% of patients with myasthenia have thymoma • Invasive (30%) or noninvasive (70%), not benign and malignant • Metastases outside thorax in 3%-5%
  • 61.
    Plain Radiographs • Mostthymomas occur near the junction of the heart and great vessels, although they may be seen superiorly to the level of the clavicles and inferiorly to the level of the costophrenic angles. • Thymomas typically appear sharply marginated, smooth or lobulated in contour, and usually project to one side of the mediastinum. • They usually range in size from 5 to 10 cm in diameter when visible on radiographs, and may obscure the right or left heart border, depending on their location and size. • Dense calcification may be seen in the periphery of the mass or throughout its substance.
  • 63.
    • On lateralradiographs, thymoma often produces a distinct opacity in the inferior aspect of the retrosternal clear space, the relatively lucent triangular region posterior to the sternum and anterior to the aortic arch, main pulmonary artery, and heart
  • 64.
    CT • In nearlyall cases, thymomas occur in the prevascular space and displace the great vessels (aorta and its branches, superior vena cava and its branches, and main pulmonary artery) posteriorly CT shows a cystic (fluid attenuation) mass in the right cardiophrenic angle. The mass shows dense calcification, including calcification of its capsule. A noninvasive cystic thymoma was found at surgery.
  • 65.
    • Thymoma orother thymic neoplasm may be distinguished from thymic hyperplasia if enlargement of the thymus is grossly asymmetric, if the thymus has a lobular contour, or if a focal rounded lesion is visible Invasive thymoma with calcification in a patient with myasthenia gravis. A. CT shows a lobulated mass (T) in the prevascular space, typical of thymoma. Medially, the mass invades mediastinal fat (large arrow). A small pleural nodule (small arrow) is also seen, resulting from pleural invasion. Compression of the superior vena cava is also present. B. At a lower level, calcification is visible.However, follicular thymic hyperplasia can result in a focal thymic mass up to 5 cm in diameter
  • 66.
    • Approximately 80%of thymomas occur at the base of the heart, as shown on CT . • They usually appear as homogeneous soft-tissue attenuation masses that are sharply demarcated and oval, round, or lobulated and do not conform to the normal shape of the thymus
  • 67.
    It is oftendifficult to distinguish invasive and noninvasive thymoma on CT • Findings highly suggestive of invasion include • pericardial thickening contiguous with the tumor, pleural thickening, nodules, or effusion, • encasement of mediastinal structures, • fat infiltration • an irregular interface between the tumor and lung. Invasive thymoma with calcification. CT shows a lobulated thymoma with multiple calcifications. The presence of pleural effusion strongly suggests invasion
  • 68.
    Invasive thymoma withpleural metastases. A. PA chest radiograph shows a mass at the left cardiophrenic angle (arrows). B. CT shows a homogeneous rounded mass (T) representing thymoma. C. At a lower level, CT shows focal pleural thickening or nodules (arrows), typical of pleural metastases. Pleural nodules are usually unassociated with pleural effusion. This finding indicates invasion.
  • 69.
    Noninvasive thymoma. A.CT shows a homogeneous thymoma (T) separated from the aorta (A) and pulmonary artery (P) by a layer of fat. B. Oblique sagittal reconstruction shows separation of the thymoma (T) from the ascending aorta (A).
  • 70.
    THYMIC CARCINOMA • Originatesfrom thymic epithelium • 20% of thymic epithelial tumors • Average age 50 • Unlike thymoma, appears malignant histologically • Invasion common, distant metastases in 50%-65% • Myasthenia rare • Appearance indistinguishable from thymoma unless metastases are visible
  • 71.
    • Thymic carcinomausually results in a mass 5 to 15 cm in diameter. • A large mass with or without areas of low attenuation is typical . • Calcification may be present . • Thymic carcinoma cannot be distinguished from thymoma on CT unless enlarged lymph nodes are visible in the mediastinum or distant metastases are evident. • Thymic carcinoma is less likely than thymoma to result in pleural implants.
  • 72.
    THYMIC CARCINOID TUMOR •Originates from neural crest cells. • Average age 45 • Usually malignant • Cushing's syndrome in 25%-40% • MEN in 20% • Mimics thymoma radiographically • Dense enhancement possibly seen on CT
  • 73.
    • This tumoris more aggressive than thymoma, being malignant in most cases, and superior vena cava obstruction is much more common with thymic carcinoid than with thymoma. • The 5-year survival rate is about 65%. Metastases may be visible.
  • 74.
    Thymolipoma • Consists offat and thymic tissue • 5% of thymic tumors • Benign • Often young patients • Usually asymptomatic • Large droopy mediastinal mass containing fat and strands of tissue
  • 75.
    • In mostcases, thymolipoma is unaccompanied by symptoms and is detected incidentally on chest radiographs. • It is often large, averaging nearly 20 cm in diameter at diagnosis, and it may project into both hemithoraces. • Because of its fatty content and pliability, thymolipoma tends to drape over the heart, extending inferiorly into the cardiophrenic angles. • It can simulate cardiac enlargement, lower lobe collapse, or elevation of a hemidiaphragm . • There is no known association with myasthenia gravis.
  • 76.
    Thymic Cyst • Thymiccysts are uncommon. • They can be either congenital or acquired. • One should be cautious in making the diagnosis of thymic cyst; cystic regions can be seen in a variety of thymic tumors, including thymoma and lymphoma.. • CT can suggest the diagnosis of thymic cyst if the lesion • (1) appears thin-walled; (2) is unassociated with a mass lesion; • (3) contains fluid with a density close to that of water; and • (4) remains unopacified following contrast infusion
  • 77.
    Thymic Lymphoma andMetastases • Hodgkin's disease (HD) has a predilection for involvement of the thymus in conjunction with involvement of mediastinal lymph nodes. • Thymic enlargement may be seen in 30% of patients with intrathoracic HD. • Non-Hodgkin's lymphoma (NHL) much less commonly involves the thymus.
  • 78.
    • Thymic lymphoma usuallyresults in homogeneous thymic enlargement. • thymic mass with mass or lymph node enlargement in other areas of the mediastinum is suggestive of this diagnosis
  • 79.
    GERM CELL TUMORS •Germ cell tumors account for about 10% of primary mediastinal masses and arise from primitive germ cells that have arrested their embryologic migration in the mediastinum, frequently within the thymus. • They are more common in the anterior mediastinum • Germ cell tumors include benign and malignant teratoma, seminoma, embryonal carcinoma, endodermal sinus (yolk sac) tumor, choriocarcinoma, and mixed cell types. • Overall, more than 80% of germ cell tumors are benign
  • 80.
    TERATOMA • Contains elementsof all germinal layers • Mature teratomas (contain mature tissues) Benign 60%-75% of mediastinal germ cell tumors Occur in children and young adults Dermoid cyst • Immature teratomas (contain immature tissue) Often have benign course in infants or young children Often aggressive and malignant in adults • Malignant teratoma (contains frankly malignant tissues) Poor prognosis Usually men Anterior mediastinal mass; posterior in 5% Smooth, rounded, or lobulated mass
  • 81.
    • Mature teratoma •Well defined, smooth, cystic • Teeth and bone rare • Fluid in 90%; fat in 75%; calcification in 50% • Immature or malignant teratoma • Nodular or poorly defined • Fat in 40% • Compression or invasion of mediastinal structures • Enhancing capsule
  • 82.
    Mature mediastinal teratoma.A. PA chest radiograph shows a smooth, sharply marginated left mediastinal mass (arrows). It obscures the left heart border, indicating its anterior location. B. Lateral view shows increased density of the retrosternal clear space (arrow), but a discrete mass is not visible.
  • 83.
    • Benign lesionsare • typically well defined, smooth, and cystic, and 90% contain fat. • Malignant teratomas are nodular or poorly defined, they are more likely to appear solid, and a smaller proportion (40%) contains fat . Mature mediastinal teratoma. A large mass is compressing right cardiac structures. It contains calcifications, areas of fat (arrow), and cystic or soft-tissue regions.
  • 84.
    SEMINOMA • 30% ofgerm cell tumors • Mean age 29 • Large, lobulated, anterior mediastinal mass • Homogeneous in attenuation • Good prognosis; 5-year survival rate 50%-75%
  • 85.
    Mediastinal seminoma. A.PA radiograph shows a large, lobulated, and poorly marginated mediastinal mass (arrows) obscuring the right heart border. A small right pleural effusion is also visible. B. Lateral view shows a large anterior mediastinal mass (arrows).
  • 86.
    NONSEMINOMATOUS GERM CELL TUMOR •Cell types Embryonal carcinoma Endodermal sinus (yolk sac) tumor Choriocarcinoma Mixed types • Large, lobulated, anterior mediastinal mass associated with pleural effusion because of local invasion of lung and pleura. , • Inhomogeneous in attenuation, including ill-defined areas of low attenuation secondary to necrosis and hemorrhage or cystic areas • Poor prognosis
  • 87.
    THYROID GLAND ANDTHYROID ENLARGEMENT • The thyroid gland is located in close approximation to the thoracic inlet, and thyroid enlargement is commonly associated with extension into the mediastinum. • Multinodular goiter is the most common condition in which a mediastinal thyroid abnormality is detected; carcinoma and thyroiditis are relatively rare causes.
  • 88.
    MEDIASTINAL THYROID MASS •10% of mediastinal masses • Almost always connected to cervical thyroid • Anterior in 75%-90%; posterior in 10%-25% • Masses high in attenuation on CT; densely enhance with contrast • Cystic or inhomogeneous • Punctate calcifications • Distinguishing goiter and carcinoma difficult
  • 89.
    Mediastinal goiter. Amass in the superior mediastinum (white arrows) is sharply defined inferiorly and poorly defined above the clavicles. The trachea is displaced to the left (black arrow). Cystic cervical and mediastinal goiter. A. Chest radiograph shows displacement of the trachea to the right (arrow) and poorly defined superior mediastinal widening at the level of the thoracic inlet. B. CT shows an enhancing multicystic mass (arrows) at the level of the thoracic inlet. The trachea (T) is displaced to the right and slightly narrowed.
  • 90.
    • Recognizing thata mediastinal mass originates from the thyroid gland depends on • (1) demonstration of a communication with the cervical portion of the thyroid gland on contiguous slices • (2) high attenuation of at least a portion of the mass • (3) marked enhancement after contrast injection • (4) prolonged enhancement (more than 2 minutes).
  • 91.
    Hodgkin's Disease • HDhas a predilection for thoracic involvement, and up to 85% of patients with HD present with mediastinal adenopathy. • HD most often involves the superior mediastinal (prevascular, paratracheal, aortopulmonary) lymph nodes • Multiple node groups are commonly involved in patients with HD • In addition to superior mediastinal node groups, sites of lymph node enlargement, in order of decreasing frequency, include hilar nodes, subcarinal nodes, cardiophrenic angle (paracardiac) lymph nodes, internal mammary nodes, and posterior mediastinal nodes. • Enlargement of lymph nodes in a single node group can be seen in some patients with HD, most commonly in the anterior (prevascular) mediastinum. • This often indicates the presence of nodular sclerosing HD, which accounts for 50% to 80% of adult HD cases.
  • 92.
    Superior mediastinal lymphnodes in Hodgkin's disease. A. PA radiograph shows a mass (arrows) in the region of the aortopulmonary window. B. An anterior mediastinal mass (arrows) is visible on lateral chest radiograph.
  • 93.
    Involvement of multiplelymph node groups in Hodgkin's disease. A and B. Involvement of pretracheal (small arrows) and prevascular (large arrows) nodes is common in Hodgkin's disease. C. At a lower level, paracardiac lymph node enlargement is also seen (arrows).
  • 94.
    Non-Hodgkin's Lymphoma • Theterm non-Hodgkin's lymphoma refers to a diverse group of diseases, varying in radiologic findings, clinical presentation, course, and prognosis. In comparison to HD, these tumors are less common as causes of thoracic disease.
  • 95.
    Bronchogenic Cysts • 60%of foregut duplication cysts • Wall contains respiratory epithelium, smooth muscle, mucous glands, or cartilage • 50% subcarinal; 20% paratracheal; 10% retrocardiac • Bronchogenic cysts can be present in any part of the mediastinum but are most commonly located in the middle or posterior mediastinum, near the carina (50%), • Round, smooth, sharply defined • Wall thin or invisible on CT; wall may calcify • Fluid contents variable in attenuation on CT (0-40 HU)
  • 96.
    • On plainradiographs, bronchogenic cysts appear as 1) smooth, sharply marginated, round or elliptical masses. 2) They may be large and displace the trachea or bronchi. 3) Subcarinal cysts may result in convexity in the superior aspect of the azygoesophageal recess.
  • 97.
    • On CT,bronchogenic cysts usually appear rounded or elliptical, smooth in contour; • The wall of a bronchogenic cyst appears thin or is imperceptible. • Half of bronchogenic cysts are of water attenuation • lack of enhancement on scans obtained following intravenous contrast infusion Bronchogenic cyst. A. A large subcarinal mass (arrows) is visible on chest radiograph. B. Unenhanced CT shows a large subcarinal bronchogenic cyst (C, white arrows), appearing slightly less dense than soft tissue. Focal calcification of the cyst wall is visible (black arrow) C. Coronal T1-weighted MRI shows a large subcarinal cyst. Signal from the cyst (C) is due to its protein content. D. Transaxial T2- weighted, fat-saturated image shows high signal intensity. This is typical. C, cyst.
  • 98.
    Neurogenic Tumors • Neurogenictumors account for about 10% to 20% of primary mediastinal masses in adults and 30% to 35% of mediastinal tumors in children. • Seventy-five percent of posterior mediastinal masses are neurogenic tumors. • Tumors may arise from peripheral nerves and nerve sheath (neurofibroma, schwannoma, malignant peripheral nerve-sheath tumors) or sympathetic ganglia (ganglioneuroma, ganglioneuroblastoma, neuroblastoma). • The most common cell types are schwannoma (35%), ganglioneuroma (25%), neuroblastoma (15% to 20%), ganglioneuroblastomas (7% to 15%), and neurofibroma (5% to 10%), but the incidence varies with the patient's age. • Eighty percent are benign. • Nearly 85% of tumors in children are of ganglionic origin, while in adults more than 75% are nerve sheath tumors. • Specifically, schwannoma and neurofibroma are more common in adults, while ganglioneuroblastoma and neuroblastoma are more common in children
  • 99.
    PERIPHERAL NERVE SHEATHTUMORS • Neurilemmoma (schwannoma), neurofibroma, and neurogenic sarcoma • Most common in adults • Round, elliptical, or lobulated paravertebral mass • Often one or two interspaces in length • Rib or vertebral abnormalities in 50% • Lower attenuation than muscle in 70% • One third of patients with neurofibromas have neurofibromatosis • Plexiform neurofibroma: extensive fusiform or infiltrating mass
  • 100.
    • On plainradiographs, nerve sheath tumors typically appear as sharply marginated round, elliptical, or lobulated paravertebral masses, although they may be well seen only on the frontal radiograph • They tend to be limited to one or two interspaces in length but in some patients can be large. • Associated rib or vertebral deformity or enlargement of a neural foramen is visible in about 50% of cases Schwannoma. PA chest radiograph shows a well-defined right mediastinal mass associated with deformity of right-sided ribs.
  • 101.
    Schwannoma. A. PAchest radiograph shows a well-defined mass in the superior mediastinum (arrows). B. On the lateral view, the mass is relatively posterior in location (arrow). C. A well-defined homogeneous mass is visible on CT.
  • 102.
    • On CT,nerve sheath tumors typically appear as wellmarginated, smooth, rounded or elliptical masses
  • 103.
    • Enlargement ofneural foramina may be better shown on CT than on plain films . • In over 70% of cases, peripheral nerve or nerve sheath tumors appear to be lower in attenuation than chest wall muscle; in the remainder, they are of soft-tissue attenuation. • Low-density areas within nerve sheath tumors can be due to the presence of (1) lipid-rich Schwann cells; (2) adipocytes; (3) perineural adipose tissue entrapped by plexiform neurofibromas; or (4) cystic spaces in the tumor. • Variable enhancement of the tumor may be seen following contrast infusion
  • 104.
    TUMORS DERIVED FROM SYMPATHETICGANGLIA • Ganglioneuroma, ganglioneuroblastoma, and neuroblastoma • 20% of posterior masses in children • Oblong or sausage-shaped paravertebral mass • Calcification in 20%
  • 105.
    Ganglioneuroma • Ganglioneuroma, abenign tumor made up of Schwann cells, collagen, and ganglion cells, is a common neoplasm in teenagers and young adults. • On plain radiographs, this tumor often appear as an oblong or sausage-shaped mass in a paravertebral location; they tend to be longer than nerve sheath tumors occurring in a similar location
  • 106.
    • Ganglioneuroma cannotbe distinguished from schwannoma or neurofibroma on the basis of its CT appearance. • Calcification is seen in about 20% of cases, and vertebral abnormalities may be seen. • On MRI, ganglioneuroma may appear homogenous in intensity on -T1- and • T2-weighted images or may show a unique whorled appearance of layers of varying intensity
  • 107.
    neuroblastoma • Approximately 15%of neuroblastomas arise in the mediastinum, and almost all are located posteriorly. • Mediastinal neuroblastoma is seen almost exclusively in young children under the age of 5 years. • It is malignant
  • 108.
    CT • neuroblastomas appearas soft-tissue attenuation masses, but up to 40% contain speckled or curvilinear calcifications . • They are most common in the paravertebral regions and may extend superiorly and inferiorly for several centimeters. • Neuroblastoma often shows inhomogeneous enhancement following contrast injection. • CT and MR may be used to help determine the presence and extent of mediastinal or vertebral column invasion. • Invasion of the extradural spinal canal is common, even in the absence of neurologic signs and symptoms
  • 109.
    Mediastinal neuroblastoma ina 16-month-old child. PA (A) and lateral (B) chest radiographs show a large superior, posterior mediastinal mass
  • 110.
    CT shows alarge paravertebral, posterior mediastinal mass containing small areas of calcification (arrows). D. T2-weighted MRI shows a large mass in the posterior mediastinum. The tumor extends into the spinal canal through a neural foramen (white arrow), displacing the spinal cord to the right (black arrow).