DR. Anupama Manoharan JR Dept of
ophthal UGMCH ooty
 It is a clinical entity characterized by
noninflammatory and noninfective, progressive,
bilateral thinning of the cornea with ectasia of
conical shape.
 This is mostly bilateral condition, girls between 15-
20 years affected more, overall incidence rate
estimated to be 0.15 to 0.20 percent.
 It manifests by adolescence, resulting in
considerable visual impairment owing to the
development of high degree irregular myopic
astigmatism.
 Keratoconus is classified into four stages by
Krumeich et al.
STAGE 1
 Eccentric corneal steepness
 Myopia and/or astigmatism < 5D
 Corneal radius ≤ 48D
 Vogt’s striae - no corneal scar
STAGE 2
 Myopia and/or astigmatism > 5D < 8D
 Corneal radius ≤ 53 D
 No corneal scar
 Corneal thickness ≥ 400 µm
STAGE 3
 Myopia and/or astigmatism > 8D < 10D
 Corneal radius > 53D
 No corneal scar
 Corneal thickness 200-400 µm
STAGE 4
 Refractive error not measurable
 Corneal radius > 55D
 Corneal scar/perforation
 Corneal thickness 200 µm
 ENZYME THEORY
Alteration in the levels of following enzymes have been
noted:
 Increased level of epithelial lysosomal enzymes.
 Decreased level of alpha-1 proteinase inhibitor in the
epithelium.
 Decreased levels of glucose-6 phosphate dehydrogenase in
the epithelium.
 CONNECTIVE TISSUE ABNORMALITY THEORY
There is association of keratoconus with some connective
tissue disorders.
 GENETIC THEORY
Due to the occasional association of trisomy-21 with
keratoconus, genetic abnormality may be the cause.
 HORMONAL THEORY
It is proposed because of the manifestations of the disease
in adolescence.
 EYE RUBBING
Habitual eye rubbing in some diseases like vernal catarrh,
Down syndrome and poorly sighted patients of Leber’s
tapetoretinal degeneration are associated with
keratoconus.
 SYSTEMIC DISEASES
 Connective tissue and mesodermal dysplasia
 Marfan’s syndrome
 Ehlers-Danlos syndrome
 Osteogenesis imperfecta
 Congenital hip dysplasia
 Oculodento digital syndrome
 Rieger’s syndrome





Crouzon’s syndrome
Floppy eyelid syndrome
Down syndrome
Turners syndrome
Atopic dermatitis
Atopic dermatitis Down syndrome Ehlers-Danlos
syndrome
Marfan syndrome Crouzon syndrome
Osteogenesis
imperfecta
 ASSOCIATED OCULAR DISORDERS
 Retinitis pigmentosa
 Lebers congenital amaurosis
 Blue sclerae
 Congenital cataract
 Aniridia
 Retinopathy of prematurity
 Fuchs dystrophy
 Posterior polymorphous dystrophy
 Granular and lattice dystrophy
 ALLERGIC CONDITIONS
 Spring catarrh
 Asthma
CLINICAL FEATURES
 Gradual decrease in vision, photophobia,
monocular diplopia or monocular polyopia.
 Severe photophobia and watering is seen in cases
of hydrops. Particularly adolescent females are
affected
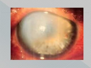
 There is conical protrusion of the cornea with
central thinning and the apex of the cone is usually
directed inferonasally.
Munson’s sign is a V-shaped conformation
of the lower lid produced by the ectatic cornea
in downgaze.
Rizzuti’s sign is a sharply focused beam of
light near the nasal limbus, produced by
lateral illumination of the cornea in patients
with advanced keratoconus.
 Prominent corneal nerves
 Fleischer's Ring
The Fleischer ring is a yellow-brown to
olive-green ring of pigment which may or
may not completely surround the base of
the cone
Formed when hemosiderin (iron) pigment
is deposited deep in the epithelium
Fleischer's ring often becomes thinner and
more discrete with progression
 Seen approximately 50% of all cases.
 Locating this ring initially may be made easier by
using a cobalt filter and carefully focusing on the
superior half of the cornea's epithelium.
 Once located, the ring should be viewed in white
light to assess its extent.
 Lines of Vogt:
 Small and brushlike lines, generally vertical but they can be
oblique.
 Found in the deep layers of the stroma and form along the
meridian of greatest curvature.
 Disappear when gentle pressure is exerted on the globe
through the lid.
 Corneal Thinning:
 Significant thinning (up to 1/5th cornea thickness)
in the advanced stages of the disease and a
diagnostic criterion based on comparison of
central and peripheral corneal thickness has been
proposed.
 Additionally, as the disease progresses, the cone is
often displaced inferiorly. The steepest part of the
cornea (apex) is generally the thinnest.
 Corneal Scarring:
 Sub-epithelial corneal scarring, not generally seen
early, may occur as keratoconus progresses because
of ruptures in Bowman's membrane which is then
filled with connective tissue
 Deep opacity of the cornea are also common in
keratoconus.
 Corneal hydrops occurs in advanced cases, when
Descemet's membrane ruptures, aqueous flows into
the cornea and reseals
 Keratoconus patients who are having an acute
episode of corneal hydrops report a sudden loss of
vision and a visible white spot on the cornea.
 Corneal hydrops causes edema and opacification.
 As Descemet's regenerates, edema and opacification
decreases. Occasionally, hydrops can benefit
keratoconus patients who have extremely steep
corneas. If the cornea scars, a flatter cornea often
results, making it easier to fit with a contact lens.
 An increased incidence of hydrops has also been
reported in keratoconus patients with Down's
syndrome.
 Early keratoconus usually manifests as a small
island of irregular astigmatism in the inferior
paracentral cornea.
 As the cornea bulges outward, the amount of
astigmatism increases due to the progressive
distortion of the corneal surface.
 These changes can easily be seen as irregular mires
on keratometry readings and on corneal
topography.
 Many objective signs are present in keratoconus.
 Retinoscopy shows a scissoring reflex.
 On direct ophthalmoscopy there is a dark round
shadow in the corneal midperiphery due to total
internal reflection of the light surrounding the
central bright red fundus reflex and separating it
from the normal red peripheral reflex. It is called
a Charleux oil droplet reflex.
 The photokeratoscope or topographer placido disc
can provide an overview of the cornea and can show
the relative steepness of any corneal area.
 There is even separation of the rings in the spherical
cornea .
 In astigmatic cornea uneven spacing of the
rings,especially inferiorly-in the keratoconic cornea
should be noted
 The central rings may show a tear-drop configuration
termed "keratokyphosis".
 With the handheld keratoscopes, such as the Klein
keratoscope, early keratoconus is characterized by a
downward deviation of the horizontal axis of the
Placido disk reflection
 The Keratometer also aids diagnosis.
o Classification based on keratometry-
1. Mild- <45D in both meridians
2. Moderate- 45-52D in both meridians
3. Advanced- >52D in both meridians
4. Severe- >62D in both meridians
 The initial keratometric sign of keratoconus is absence of
parallelism and inclination of the mires. These can easily
be missed in mild or early cases.
 It is one of the most important diagnostic aids for
very early as well as abortive forms of keratoconus
in the other eye of the patients with unilateral
keratoconus or in the family members.
 Data of videokeratoscopic image are analyzed by
computers and depicted as color coded maps. Red
color indicates myopic refraction or ectasia and
blue color indicates hypermetropic refraction or
flattening of the cornea.
 Slit lamp pachymetry shows thinning in the centre of the
apex. Ultrasonic pachymetry shows exact thickness of
cornea at different places.
 Thinning in the inferior quadrant can be diagnostic of
keratoconus. Central or paracentral corneal thickness of
less than 450 µm is abnormal.
 If the reading decreases by nearly 20 µm towards the
inferior periphery on successive pachymetric readings, it is
suspicious of keratoconus. Increase in the progressive
thinning of the cornea is a true index of keratoconus.
 Provides a color coded map of
the corneal surface.
 The power in diopters of the
steepest and flattest meridians
and their axes are calculated
and displayed
 Steep curvatures are marked
orange or red
 Flat curvature in blue or violet
 Normal curvatures in green or
yellow
 Keratoconus is a clinical diagnosis and Forme Fruste
KC is a subtle topographic abnormality before
clinical manifestation of the disease.
 The aim of topography and tomography in refractive
surgery clinic is to rule out keratoectatic disease
either in form of frank keratoconus or subtle FFKC
as they are contraindications to the procedure.
The suspicious signs for keratoconus include:
 Axial map abnormalities
1. K greater than 48 D.
2. Skewed radial axis greater than 21 degrees.
3. Inferior -Superior ratio greater than 1.42D.
4. Corneal astigmatism greater than 6 D.
5. Against the rule astigmatism.
6. Superior-Inferior difference at the 5-mm zone >2.5
D.
 On the elevation maps
1. Isolated island or tongue-like extension on either surface
2. Elevation values greater than 12 microns on the anterior elevation
map in the central 5 mm.
3. Elevation values greater than 15 microns on the posterior elevation
map
 Pachymetry/corneal thickness map: On Scheimpflug devices
1. Thinnest location less than 470 microns.
2. Displacement of the thinnest point >500 microns from the center.
3. Pachymetry difference asymmetry in two eyes at thinnest point >30
microns.
4. S-I difference at the 5 mm circle >30 microns.
5. Cone-like pattern on the thickness map.
 The most elevated points on the anterior and the
posterior elevation maps should be correlated to the
highest power on Axial/Saggital curvature map and
the thinnest point on the global pachymetry map.
 If all the above match, it is called as the “fourpoint
touch” and is a hallmark of suspect cornea, especially
if the apex is decentered by more than 500 microns
and the peripheral thickness readings of the upper
and lower half at the 7-mm zone also show a
significant difference of greater than 100 microns.
 In patients who have never worn contact lenses .
 Occur due to basal epithelial cell drop out as a result
the epithelium slides from the periphery as the
cornea regenerates.
 Thus a hurricane, vortex or swirl stain may occur.
Rabinovitz criteria for diagnosis of keratoconus
1. Central corneal power >47.2D
2. Inferior superior dioptric assymetry over 1.2D
3. Skewed radial axes of astigmatism by more than
21Degrees
4. Difference in central power of more than 1D
between the fellow eye.
1. KERATOGLOBUS
This is due to thinning of periphery of the cornea which
gradually progresses towards the centre. It is present at or soon
after birth. So it is thought to be a developmental anomaly.
Perforation can occur in this condition with minimal ocular
trauma.
2. POSTERIOR KERATOCONUS
It is nonprogressive, dome shaped posterior excavation in the
cornea which may be small and circumscribed( keratoconus
posticus circumscriptus) or may be diffuse( keratoconus
posticus totalis). It is considered to be a congenital defect.
Origin is prior to 5th or 6th month of gestation. Traumatic
etiology is also reported.
3. PELLUCID MARGINAL DEGENERATION
It is a bilateral peripheral corneal ectatic disorder
characterized by a band of thinning of 1-2 mm width
typically in the inferior cornea. Maximum corneal
protrusion occurs superior to the area of thinning.
There is no other abnormality and it occurs in 2nd to 5th
decade.
1. Glasses
2. Contact lenses
3. Collagen cross linking
4. Intracorneal rings
5. LASIK Xtra
6. Deep anterior lamellar Keratoplasty
7. Penetrating Keratoplasty
 Mild keratoconus can be corrected with spectacles.
 Retinoscopy is difficult; a normal subjective
refraction is required.
 Monocular keratoconus is usually best dealt with
using spectacle correction.
 In this group of patients, motivation for contact lens
wear tends to be poor.
 Contact lenses are considered when vision is not correctible
to 6/9 by spectacles and patients become symptomatic.
 Rigid gas permeable (RGP) contact lenses are the lenses of
first choice.
 The aim is to provide the best vision possible with the
maximum comfort so that the lenses can be worn for a long
period of time.
 Based on shape of cone
 Nipple cone : small diameter (5 mm.); round shape; easiest
to fit with contact lenses
 Oval large diameter(>5 mm.); often displaced inferiorly;
more difficult to fit with lenses
 Globus largest diameter (>6 mm.); 75% of cornea affected;
most difficult to fit with lens
 Nipple cone oval cone
1. Three-point-touch design
 Three-point-touch actually refers to the area of apical
central contact and two other areas of bearing or contact at
the mid-periphery in the horizontal direction.
 The three-point-touch design is the most popular and the
most widely fitted design
 The aim is to distribute the weight of the contact lens as
evenly as possible between the cone and the peripheral
cornea.
 The ideal fit should show an apical contact area of 2-
3mm with mid-peripheral contact.
 Adequate edge clearance is required to ensure tear
exchange.
2. Apical clearance
 In this type of fitting technique, the lens vaults the cone and
clears the central cornea, resting on the paracentral cornea.
 These lenses tend to be small in diameter and have small
optic zones
 The potential advantages of reducing central corneal
scarring are outweighed by the disadvantages like poor
tear film, corneal oedema, and poor visual acuity as a result
of bubbles becoming trapped under the lens.
3. Flat fitting
 The flat fitting method places almost the entire weight of the lens on
the cone.
 The lens tends to be held in position by the top lid.
 Good visual acuity is obtained as a result of apical touch
 Alignment can be obtained in early keratoconus; however, flat fitting
lenses can lead to progression/ acceleration of apical changes and
corneal abrasions.
 This type of fitting is useful where the apex of the cone is displaced.
.
 Piggy back lenses - RGP-CL over a SOFT CL
 Can be used in pts who are uncomfortable with RGP wear,
more so in pts prone to epithelial erosion at apex of cone
 ROSE-K design RGP -are specially designed for
keratoconic eyes with a diagnostic set of 26 lenses with base
curves ranging from 5.1 to 7.6 mm in 0.1 increments, a std
lens diameter of 8.7mm
Scleral lenses
 Scleral lenses play a very significant role in cases of
advanced keratoconus where corneal lenses do not
work and corneal surgery is contra-indicated.
 Scleral lenses completely neutralise any corneal
irregularity and can help patients maintain a normal
quality of life
Soper lens
 Custom made lens
 Two zones in the peripheral posterior curvature
a) Central zone : to vault steep central cornea .It is of
varying steepness depending of the patients cornea.
b) Peripheral zone is with a 45D curvature designed to
vault the mid periphery and limbal cornea
Boston scleral lens prosthetic device
(BSLPD)
 Fluid ventilated scleral lens
 Designed to enclose a bubble free reservoir of fluid
over the corneal surface
 Series of breaches are created between haptic
bearing surface of the lens and underlying sclera.
 This will facilitate the aspiration of surface tears into
the reservoir so that intrusion of air bubble during a
blink is prevented.
 Shape of haptic confirms exactly to that of
underlying sclera to maintain functionality and
prevents intrusion of air bubbles.
 Very expensive
 A newer and less invasive technique that
shows promise in keratoconus management is
combined riboflavin-ultraviolet type A rays( UVA
) collagen cross-linking.
 This procedure consists of
photopolymerization of corneal stroma by
combining vitamin B2 (photosensitizing
substance) with UVA.
 This process increases rigidity of corneal
collagen and thus reduces the likelihood of
further ectasia.
•Using topical anaesthesia, 7mm circle is marked on the
cornea using a thornton marker.
•Epithelium of the marked area is scraped off using a
blunt spatula.
•A corneal abrasion is created to facilitate riboflavin
diffusion into the cornea.
•One drop of riboflavin 0.1% and 20% dextran
ophthalmic solution is instilled topically in the eye every
2 minutes for 30 minutes.
•At the end of the 30-minute pretreatment period, the eye
is examined with blue light for the presence of a yellow
flare in the anterior chamber, indicating adequate
riboflavin saturation of the corneal tissue.
 When the yellow flare in the anterior chamber is confirmed,
the eye is aligned under the UV-A light with the treatment
plane at 50 mm from the UV-A beam aperture. Focussed on
the apex of cornea at a distance of 10-12m to obtain a
radiant energy of 5.4J/cm2 for 5 min
 The correct aperture setting is selected for the size of the
eye; the eye is irradiated for 30 minutes, during which time
instillation of riboflavin is continued (one drop every 5
minutes).
 After completion of the procedure,eye is washed with
BSS , an antibiotic drop is instilled and a bandage
contact lens is applied.
 The contact lens is removed once the abrasion has
healed.
 Postoperative medications include an antibiotic and
a steroid for 2 weeks postoperatively.
 Corneal haze
 Diffuse lamellar keratitis
 Reactivation of viral keratitis and iritis
 Infective keratitis
 Corneal scarring
 Persistent corneal edema
 Corneal melt
 LASIK Xtra basically means LASIK combined with C3R to treat
Keratoconus and also for ectasia following LASIK surgery.
 LASIK Xtra embodies a proper evolution of LASIK technique, the
refractive surgery technique which has received the most
enthusiastic acclaim worldwide. This technique uses the excimer
laser to remodel the curve of the cornea and surgically correct
myopia, hypermetropia, astigmatism and presbyopia in a rapid and
safe manner.
 Just like LASIK procedure, the LASIK Xtra technique is also
successfully employed to re-treat previous interventions that were
partly or incompletely satisfactory. Generally, the procedure is
bilateral, i.e. the sight defect is corrected in both eyes in a single
operating session.
 It is pain-free, both during and after the procedure.
 In addition to standard LASIK results, the LASIK Xtra
technique restores the strength of corneas weakened by
LASIK.
 It enables normal activity to be resumed immediately:
e.g. work and sport.
 Furthermore, bilateral correction also notably facilitates
postoperative adjustment.
 The ideal candidate for LASIK Xtra has a stable refraction,
healthy corneas and certain physiological characteristics
(essentially, an adequate corneal thickness); in addition the
candidate must be highly motivated to reduce or eliminate
any dependence on glasses and lenses.
 There must be no other eye diseases present.
 For women at an advanced stage of pregnancy, it is preferable
that they do not undergo laser sight correction until their
eyesight stabilises, after the birth.
 Previous surgery is not a contraindication. Indeed, LASIK
Xtra often perfects unsatisfactory results of previous surgery.
 LASIK Xtra strengthening effect allows to broaden the
inclusion criteria for potential patients, opening the
possibility for many ineligible LASIK patients to become
candidates for LASIK Xtra – although this evaluation is
specifically carried out by the surgeon on a case-by-case
basis.
 To assess suitability for the procedure and the nature of
the eyesight defect, it is indispensable that the patient
undergo a thorough preoperative check. On the basis of
this the specialist can plan a tailor-made treatment.
 With the LASIK technique, no major or serious events have ever
been reported, involving loss of the eye or of eyesight. Infection is
extremely rare, but can be resolved with antibiotic treatment.
 On rare occasions it may be the case that when vision has settled,
the results obtained do not fully meet expectations. This depends on
the natural reactivity of the eye which, if the treatments are equal,
differs from person to person.
 In these rare cases, termed “under-corrections” or “over-
corrections”, the extreme flexibility of the LASIK Xtra technique
allows for a subsequent intervention to perfect the results obtained,
with no risk for the patient
 Act as passive spacing agents which flatten the cornea
 Made of PMMA
 Amount of correction depends on the ring thickness, more
thicker the ring more correction.
 On insertion they shorten the arc of ant corneal surface, iron out
gross irregularities and in effect create a second limbus.
 Various corneal ring-kerarings, intacs.
 An important potential benefit of treating
keratoconus with INTACS inserts is to delay or
eliminate the need for a corneal graft.
 Patients with mild to moderate keratoconus appear
to be the best candidates.
 Complications
 Undercorrection
 Overcorrection
 Migration of rings
 Extrusion or progressive thinning
 New vessel formation
 glare /halos
 The gold standard surgery
 Success rate is more than 90%.
 In this procedure, the keratoconic cornea is
prepared by removing the central area of the cornea,
and a full-thickness corneal button is sutured in its
place.
 Usually trephines between 8.0-8.5 mm are used.
 Fleischer’s ring can be used as the limit of the conical
cornea.
 Contact lenses are often required after this
procedure for best visual rehabilitation.
 Partial corneal transplant.
 The cornea is removed to the depth of posterior stroma, and the donor
button is sutured in place.
 This technique is technically difficult, and visual acuity is inferior to
that obtained after penetrating keratoplasty.
 As a result, use of lamellar keratoplasty is largely confined to the
treatment of large cones or keratoglobus when tectonic support is
needed.
 This technique requires less recovery time, and poses less chance for
corneal graft rejection or failure.
 Its disadvantages include vascularization and haziness of the graft
 Rare procedure
 It involves placing a hot ring (Holmium yag laser,
2100nm) along the base of the cone to heat and
traumatize the cornea, resulting in a corneal scar which
reduces the corneal curvature.
 It allows a flatter contact lens to be fitted..
 The disadvantages of the procedure
o transitory corneal haze
o development of corneal scarring
 Used to correct high myopia and associated
astigmatism of selected keratoconus patients.
 Anterior chamber phakic intraocular lens have also
been combined with intacs with good results.
 The Intacs implantation is followed by toric phakic
intraocular lens implantation to correct the residual
myopic and astigmatic refractive error.
THANK YOU

Keratoconus

  • 1.
    DR. Anupama ManoharanJR Dept of ophthal UGMCH ooty
  • 2.
     It isa clinical entity characterized by noninflammatory and noninfective, progressive, bilateral thinning of the cornea with ectasia of conical shape.  This is mostly bilateral condition, girls between 15- 20 years affected more, overall incidence rate estimated to be 0.15 to 0.20 percent.  It manifests by adolescence, resulting in considerable visual impairment owing to the development of high degree irregular myopic astigmatism.
  • 3.
     Keratoconus isclassified into four stages by Krumeich et al. STAGE 1  Eccentric corneal steepness  Myopia and/or astigmatism < 5D  Corneal radius ≤ 48D  Vogt’s striae - no corneal scar STAGE 2  Myopia and/or astigmatism > 5D < 8D  Corneal radius ≤ 53 D  No corneal scar  Corneal thickness ≥ 400 µm
  • 4.
    STAGE 3  Myopiaand/or astigmatism > 8D < 10D  Corneal radius > 53D  No corneal scar  Corneal thickness 200-400 µm STAGE 4  Refractive error not measurable  Corneal radius > 55D  Corneal scar/perforation  Corneal thickness 200 µm
  • 5.
     ENZYME THEORY Alterationin the levels of following enzymes have been noted:  Increased level of epithelial lysosomal enzymes.  Decreased level of alpha-1 proteinase inhibitor in the epithelium.  Decreased levels of glucose-6 phosphate dehydrogenase in the epithelium.
  • 6.
     CONNECTIVE TISSUEABNORMALITY THEORY There is association of keratoconus with some connective tissue disorders.  GENETIC THEORY Due to the occasional association of trisomy-21 with keratoconus, genetic abnormality may be the cause.  HORMONAL THEORY It is proposed because of the manifestations of the disease in adolescence.  EYE RUBBING Habitual eye rubbing in some diseases like vernal catarrh, Down syndrome and poorly sighted patients of Leber’s tapetoretinal degeneration are associated with keratoconus.
  • 7.
     SYSTEMIC DISEASES Connective tissue and mesodermal dysplasia  Marfan’s syndrome  Ehlers-Danlos syndrome  Osteogenesis imperfecta  Congenital hip dysplasia  Oculodento digital syndrome  Rieger’s syndrome      Crouzon’s syndrome Floppy eyelid syndrome Down syndrome Turners syndrome Atopic dermatitis Atopic dermatitis Down syndrome Ehlers-Danlos syndrome Marfan syndrome Crouzon syndrome Osteogenesis imperfecta
  • 8.
     ASSOCIATED OCULARDISORDERS  Retinitis pigmentosa  Lebers congenital amaurosis  Blue sclerae  Congenital cataract  Aniridia  Retinopathy of prematurity  Fuchs dystrophy  Posterior polymorphous dystrophy  Granular and lattice dystrophy  ALLERGIC CONDITIONS  Spring catarrh  Asthma
  • 9.
    CLINICAL FEATURES  Gradualdecrease in vision, photophobia, monocular diplopia or monocular polyopia.  Severe photophobia and watering is seen in cases of hydrops. Particularly adolescent females are affected  There is conical protrusion of the cornea with central thinning and the apex of the cone is usually directed inferonasally.
  • 10.
    Munson’s sign isa V-shaped conformation of the lower lid produced by the ectatic cornea in downgaze. Rizzuti’s sign is a sharply focused beam of light near the nasal limbus, produced by lateral illumination of the cornea in patients with advanced keratoconus.
  • 11.
  • 12.
     Fleischer's Ring TheFleischer ring is a yellow-brown to olive-green ring of pigment which may or may not completely surround the base of the cone Formed when hemosiderin (iron) pigment is deposited deep in the epithelium Fleischer's ring often becomes thinner and more discrete with progression
  • 13.
     Seen approximately50% of all cases.  Locating this ring initially may be made easier by using a cobalt filter and carefully focusing on the superior half of the cornea's epithelium.  Once located, the ring should be viewed in white light to assess its extent.
  • 15.
     Lines ofVogt:  Small and brushlike lines, generally vertical but they can be oblique.  Found in the deep layers of the stroma and form along the meridian of greatest curvature.  Disappear when gentle pressure is exerted on the globe through the lid.
  • 17.
     Corneal Thinning: Significant thinning (up to 1/5th cornea thickness) in the advanced stages of the disease and a diagnostic criterion based on comparison of central and peripheral corneal thickness has been proposed.  Additionally, as the disease progresses, the cone is often displaced inferiorly. The steepest part of the cornea (apex) is generally the thinnest.
  • 19.
     Corneal Scarring: Sub-epithelial corneal scarring, not generally seen early, may occur as keratoconus progresses because of ruptures in Bowman's membrane which is then filled with connective tissue  Deep opacity of the cornea are also common in keratoconus.
  • 21.
     Corneal hydropsoccurs in advanced cases, when Descemet's membrane ruptures, aqueous flows into the cornea and reseals  Keratoconus patients who are having an acute episode of corneal hydrops report a sudden loss of vision and a visible white spot on the cornea.  Corneal hydrops causes edema and opacification.
  • 22.
     As Descemet'sregenerates, edema and opacification decreases. Occasionally, hydrops can benefit keratoconus patients who have extremely steep corneas. If the cornea scars, a flatter cornea often results, making it easier to fit with a contact lens.  An increased incidence of hydrops has also been reported in keratoconus patients with Down's syndrome.
  • 24.
     Early keratoconususually manifests as a small island of irregular astigmatism in the inferior paracentral cornea.  As the cornea bulges outward, the amount of astigmatism increases due to the progressive distortion of the corneal surface.  These changes can easily be seen as irregular mires on keratometry readings and on corneal topography.
  • 25.
     Many objectivesigns are present in keratoconus.  Retinoscopy shows a scissoring reflex.  On direct ophthalmoscopy there is a dark round shadow in the corneal midperiphery due to total internal reflection of the light surrounding the central bright red fundus reflex and separating it from the normal red peripheral reflex. It is called a Charleux oil droplet reflex.
  • 26.
     The photokeratoscopeor topographer placido disc can provide an overview of the cornea and can show the relative steepness of any corneal area.  There is even separation of the rings in the spherical cornea .
  • 27.
     In astigmaticcornea uneven spacing of the rings,especially inferiorly-in the keratoconic cornea should be noted  The central rings may show a tear-drop configuration termed "keratokyphosis".
  • 28.
     With thehandheld keratoscopes, such as the Klein keratoscope, early keratoconus is characterized by a downward deviation of the horizontal axis of the Placido disk reflection
  • 29.
     The Keratometeralso aids diagnosis. o Classification based on keratometry- 1. Mild- <45D in both meridians 2. Moderate- 45-52D in both meridians 3. Advanced- >52D in both meridians 4. Severe- >62D in both meridians  The initial keratometric sign of keratoconus is absence of parallelism and inclination of the mires. These can easily be missed in mild or early cases.
  • 30.
     It isone of the most important diagnostic aids for very early as well as abortive forms of keratoconus in the other eye of the patients with unilateral keratoconus or in the family members.  Data of videokeratoscopic image are analyzed by computers and depicted as color coded maps. Red color indicates myopic refraction or ectasia and blue color indicates hypermetropic refraction or flattening of the cornea.
  • 31.
     Slit lamppachymetry shows thinning in the centre of the apex. Ultrasonic pachymetry shows exact thickness of cornea at different places.  Thinning in the inferior quadrant can be diagnostic of keratoconus. Central or paracentral corneal thickness of less than 450 µm is abnormal.  If the reading decreases by nearly 20 µm towards the inferior periphery on successive pachymetric readings, it is suspicious of keratoconus. Increase in the progressive thinning of the cornea is a true index of keratoconus.
  • 32.
     Provides acolor coded map of the corneal surface.  The power in diopters of the steepest and flattest meridians and their axes are calculated and displayed  Steep curvatures are marked orange or red  Flat curvature in blue or violet  Normal curvatures in green or yellow
  • 33.
     Keratoconus isa clinical diagnosis and Forme Fruste KC is a subtle topographic abnormality before clinical manifestation of the disease.  The aim of topography and tomography in refractive surgery clinic is to rule out keratoectatic disease either in form of frank keratoconus or subtle FFKC as they are contraindications to the procedure.
  • 34.
    The suspicious signsfor keratoconus include:  Axial map abnormalities 1. K greater than 48 D. 2. Skewed radial axis greater than 21 degrees. 3. Inferior -Superior ratio greater than 1.42D. 4. Corneal astigmatism greater than 6 D. 5. Against the rule astigmatism. 6. Superior-Inferior difference at the 5-mm zone >2.5 D.
  • 35.
     On theelevation maps 1. Isolated island or tongue-like extension on either surface 2. Elevation values greater than 12 microns on the anterior elevation map in the central 5 mm. 3. Elevation values greater than 15 microns on the posterior elevation map  Pachymetry/corneal thickness map: On Scheimpflug devices 1. Thinnest location less than 470 microns. 2. Displacement of the thinnest point >500 microns from the center. 3. Pachymetry difference asymmetry in two eyes at thinnest point >30 microns. 4. S-I difference at the 5 mm circle >30 microns. 5. Cone-like pattern on the thickness map.
  • 36.
     The mostelevated points on the anterior and the posterior elevation maps should be correlated to the highest power on Axial/Saggital curvature map and the thinnest point on the global pachymetry map.  If all the above match, it is called as the “fourpoint touch” and is a hallmark of suspect cornea, especially if the apex is decentered by more than 500 microns and the peripheral thickness readings of the upper and lower half at the 7-mm zone also show a significant difference of greater than 100 microns.
  • 37.
     In patientswho have never worn contact lenses .  Occur due to basal epithelial cell drop out as a result the epithelium slides from the periphery as the cornea regenerates.  Thus a hurricane, vortex or swirl stain may occur.
  • 38.
    Rabinovitz criteria fordiagnosis of keratoconus 1. Central corneal power >47.2D 2. Inferior superior dioptric assymetry over 1.2D 3. Skewed radial axes of astigmatism by more than 21Degrees 4. Difference in central power of more than 1D between the fellow eye.
  • 39.
    1. KERATOGLOBUS This isdue to thinning of periphery of the cornea which gradually progresses towards the centre. It is present at or soon after birth. So it is thought to be a developmental anomaly. Perforation can occur in this condition with minimal ocular trauma. 2. POSTERIOR KERATOCONUS It is nonprogressive, dome shaped posterior excavation in the cornea which may be small and circumscribed( keratoconus posticus circumscriptus) or may be diffuse( keratoconus posticus totalis). It is considered to be a congenital defect. Origin is prior to 5th or 6th month of gestation. Traumatic etiology is also reported.
  • 40.
    3. PELLUCID MARGINALDEGENERATION It is a bilateral peripheral corneal ectatic disorder characterized by a band of thinning of 1-2 mm width typically in the inferior cornea. Maximum corneal protrusion occurs superior to the area of thinning. There is no other abnormality and it occurs in 2nd to 5th decade.
  • 41.
    1. Glasses 2. Contactlenses 3. Collagen cross linking 4. Intracorneal rings 5. LASIK Xtra 6. Deep anterior lamellar Keratoplasty 7. Penetrating Keratoplasty
  • 42.
     Mild keratoconuscan be corrected with spectacles.  Retinoscopy is difficult; a normal subjective refraction is required.  Monocular keratoconus is usually best dealt with using spectacle correction.  In this group of patients, motivation for contact lens wear tends to be poor.
  • 43.
     Contact lensesare considered when vision is not correctible to 6/9 by spectacles and patients become symptomatic.  Rigid gas permeable (RGP) contact lenses are the lenses of first choice.  The aim is to provide the best vision possible with the maximum comfort so that the lenses can be worn for a long period of time.
  • 44.
     Based onshape of cone  Nipple cone : small diameter (5 mm.); round shape; easiest to fit with contact lenses  Oval large diameter(>5 mm.); often displaced inferiorly; more difficult to fit with lenses  Globus largest diameter (>6 mm.); 75% of cornea affected; most difficult to fit with lens
  • 45.
     Nipple coneoval cone
  • 46.
    1. Three-point-touch design Three-point-touch actually refers to the area of apical central contact and two other areas of bearing or contact at the mid-periphery in the horizontal direction.  The three-point-touch design is the most popular and the most widely fitted design  The aim is to distribute the weight of the contact lens as evenly as possible between the cone and the peripheral cornea.
  • 47.
     The idealfit should show an apical contact area of 2- 3mm with mid-peripheral contact.  Adequate edge clearance is required to ensure tear exchange.
  • 48.
    2. Apical clearance In this type of fitting technique, the lens vaults the cone and clears the central cornea, resting on the paracentral cornea.  These lenses tend to be small in diameter and have small optic zones  The potential advantages of reducing central corneal scarring are outweighed by the disadvantages like poor tear film, corneal oedema, and poor visual acuity as a result of bubbles becoming trapped under the lens.
  • 49.
    3. Flat fitting The flat fitting method places almost the entire weight of the lens on the cone.  The lens tends to be held in position by the top lid.  Good visual acuity is obtained as a result of apical touch  Alignment can be obtained in early keratoconus; however, flat fitting lenses can lead to progression/ acceleration of apical changes and corneal abrasions.  This type of fitting is useful where the apex of the cone is displaced. .
  • 50.
     Piggy backlenses - RGP-CL over a SOFT CL  Can be used in pts who are uncomfortable with RGP wear, more so in pts prone to epithelial erosion at apex of cone  ROSE-K design RGP -are specially designed for keratoconic eyes with a diagnostic set of 26 lenses with base curves ranging from 5.1 to 7.6 mm in 0.1 increments, a std lens diameter of 8.7mm
  • 51.
    Scleral lenses  Sclerallenses play a very significant role in cases of advanced keratoconus where corneal lenses do not work and corneal surgery is contra-indicated.  Scleral lenses completely neutralise any corneal irregularity and can help patients maintain a normal quality of life
  • 52.
    Soper lens  Custommade lens  Two zones in the peripheral posterior curvature a) Central zone : to vault steep central cornea .It is of varying steepness depending of the patients cornea. b) Peripheral zone is with a 45D curvature designed to vault the mid periphery and limbal cornea
  • 53.
    Boston scleral lensprosthetic device (BSLPD)  Fluid ventilated scleral lens  Designed to enclose a bubble free reservoir of fluid over the corneal surface  Series of breaches are created between haptic bearing surface of the lens and underlying sclera.
  • 54.
     This willfacilitate the aspiration of surface tears into the reservoir so that intrusion of air bubble during a blink is prevented.  Shape of haptic confirms exactly to that of underlying sclera to maintain functionality and prevents intrusion of air bubbles.  Very expensive
  • 55.
     A newerand less invasive technique that shows promise in keratoconus management is combined riboflavin-ultraviolet type A rays( UVA ) collagen cross-linking.  This procedure consists of photopolymerization of corneal stroma by combining vitamin B2 (photosensitizing substance) with UVA.  This process increases rigidity of corneal collagen and thus reduces the likelihood of further ectasia.
  • 56.
    •Using topical anaesthesia,7mm circle is marked on the cornea using a thornton marker. •Epithelium of the marked area is scraped off using a blunt spatula. •A corneal abrasion is created to facilitate riboflavin diffusion into the cornea. •One drop of riboflavin 0.1% and 20% dextran ophthalmic solution is instilled topically in the eye every 2 minutes for 30 minutes. •At the end of the 30-minute pretreatment period, the eye is examined with blue light for the presence of a yellow flare in the anterior chamber, indicating adequate riboflavin saturation of the corneal tissue.
  • 57.
     When theyellow flare in the anterior chamber is confirmed, the eye is aligned under the UV-A light with the treatment plane at 50 mm from the UV-A beam aperture. Focussed on the apex of cornea at a distance of 10-12m to obtain a radiant energy of 5.4J/cm2 for 5 min  The correct aperture setting is selected for the size of the eye; the eye is irradiated for 30 minutes, during which time instillation of riboflavin is continued (one drop every 5 minutes).
  • 58.
     After completionof the procedure,eye is washed with BSS , an antibiotic drop is instilled and a bandage contact lens is applied.  The contact lens is removed once the abrasion has healed.  Postoperative medications include an antibiotic and a steroid for 2 weeks postoperatively.
  • 59.
     Corneal haze Diffuse lamellar keratitis  Reactivation of viral keratitis and iritis  Infective keratitis  Corneal scarring  Persistent corneal edema  Corneal melt
  • 60.
     LASIK Xtrabasically means LASIK combined with C3R to treat Keratoconus and also for ectasia following LASIK surgery.  LASIK Xtra embodies a proper evolution of LASIK technique, the refractive surgery technique which has received the most enthusiastic acclaim worldwide. This technique uses the excimer laser to remodel the curve of the cornea and surgically correct myopia, hypermetropia, astigmatism and presbyopia in a rapid and safe manner.  Just like LASIK procedure, the LASIK Xtra technique is also successfully employed to re-treat previous interventions that were partly or incompletely satisfactory. Generally, the procedure is bilateral, i.e. the sight defect is corrected in both eyes in a single operating session.
  • 61.
     It ispain-free, both during and after the procedure.  In addition to standard LASIK results, the LASIK Xtra technique restores the strength of corneas weakened by LASIK.  It enables normal activity to be resumed immediately: e.g. work and sport.  Furthermore, bilateral correction also notably facilitates postoperative adjustment.
  • 62.
     The idealcandidate for LASIK Xtra has a stable refraction, healthy corneas and certain physiological characteristics (essentially, an adequate corneal thickness); in addition the candidate must be highly motivated to reduce or eliminate any dependence on glasses and lenses.  There must be no other eye diseases present.  For women at an advanced stage of pregnancy, it is preferable that they do not undergo laser sight correction until their eyesight stabilises, after the birth.  Previous surgery is not a contraindication. Indeed, LASIK Xtra often perfects unsatisfactory results of previous surgery.
  • 63.
     LASIK Xtrastrengthening effect allows to broaden the inclusion criteria for potential patients, opening the possibility for many ineligible LASIK patients to become candidates for LASIK Xtra – although this evaluation is specifically carried out by the surgeon on a case-by-case basis.  To assess suitability for the procedure and the nature of the eyesight defect, it is indispensable that the patient undergo a thorough preoperative check. On the basis of this the specialist can plan a tailor-made treatment.
  • 64.
     With theLASIK technique, no major or serious events have ever been reported, involving loss of the eye or of eyesight. Infection is extremely rare, but can be resolved with antibiotic treatment.  On rare occasions it may be the case that when vision has settled, the results obtained do not fully meet expectations. This depends on the natural reactivity of the eye which, if the treatments are equal, differs from person to person.  In these rare cases, termed “under-corrections” or “over- corrections”, the extreme flexibility of the LASIK Xtra technique allows for a subsequent intervention to perfect the results obtained, with no risk for the patient
  • 65.
     Act aspassive spacing agents which flatten the cornea  Made of PMMA  Amount of correction depends on the ring thickness, more thicker the ring more correction.  On insertion they shorten the arc of ant corneal surface, iron out gross irregularities and in effect create a second limbus.  Various corneal ring-kerarings, intacs.
  • 66.
     An importantpotential benefit of treating keratoconus with INTACS inserts is to delay or eliminate the need for a corneal graft.  Patients with mild to moderate keratoconus appear to be the best candidates.
  • 67.
     Complications  Undercorrection Overcorrection  Migration of rings  Extrusion or progressive thinning  New vessel formation  glare /halos
  • 68.
     The goldstandard surgery  Success rate is more than 90%.  In this procedure, the keratoconic cornea is prepared by removing the central area of the cornea, and a full-thickness corneal button is sutured in its place.  Usually trephines between 8.0-8.5 mm are used.
  • 69.
     Fleischer’s ringcan be used as the limit of the conical cornea.  Contact lenses are often required after this procedure for best visual rehabilitation.
  • 70.
     Partial cornealtransplant.  The cornea is removed to the depth of posterior stroma, and the donor button is sutured in place.  This technique is technically difficult, and visual acuity is inferior to that obtained after penetrating keratoplasty.  As a result, use of lamellar keratoplasty is largely confined to the treatment of large cones or keratoglobus when tectonic support is needed.  This technique requires less recovery time, and poses less chance for corneal graft rejection or failure.  Its disadvantages include vascularization and haziness of the graft
  • 71.
     Rare procedure It involves placing a hot ring (Holmium yag laser, 2100nm) along the base of the cone to heat and traumatize the cornea, resulting in a corneal scar which reduces the corneal curvature.  It allows a flatter contact lens to be fitted..  The disadvantages of the procedure o transitory corneal haze o development of corneal scarring
  • 72.
     Used tocorrect high myopia and associated astigmatism of selected keratoconus patients.  Anterior chamber phakic intraocular lens have also been combined with intacs with good results.  The Intacs implantation is followed by toric phakic intraocular lens implantation to correct the residual myopic and astigmatic refractive error.
  • 74.