ESO Leukemia Lymphoma 2011Diagnosis and treatment in leukaemiaProf Jakob R Passweg
Case 1A 27-year-old woman is admitted with fever and thoracic pain. During the last week she experienced general fatigue and dyspnea during mild to moderate physical exertion.The physical examination, including cardiovascular and pulmonary examination was normal. There was no lymphadenopathy, splenomegalyor hepatomegaly
Hematology Lab
ScattergramPEROX: two major cell populations, large peroxidase positive cells (Neutr), and small to medium sized peroxidase negative cells (peroxidasenegative blasts and normal lymphocytes)BASO: nuclear shape. The predominant cell population is  mononuclear
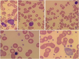
Peripheral blood smearsmallblastswithscantcytoplasm, condensednuclearchromatinandindistinctnucleoli, andlarger blastswithmoderate cytoplasm, smallcytoplasmicvacuolesand a distinctnucleoli. Noprimarygranulesor Auer rods35% blasts = acuteleukemia
BM Cytologyno marrow fragments but an adequate number of free marrow cells, predominance of small to medium sized blasts.  Sudan Black staining: blast cells are negative.  PAS staining: blast cells are negative.  Morphologic diagnosis: acute peroxidase negative leukemia. Suggestive for an ALL.
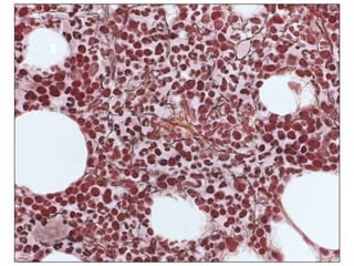
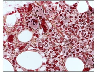
BM HistologyGiemsa stain: densely infiltrated marrow, blasts monomorphicwith prominent nucleoli and narrow cytoplasm.  Immunostaining, dim positive for TdT, strongly positive for CD10, and negative for CD20, CD3, CD117. (CD10 is shown) CD34 neg, (endothelial cells positive, (internal positive control)). The histological diagnosis is acute B-cell lymphoblastic leukemia
Flow CytometryBlasts: intracellular CD22, CD79a, IgM, and dimly TdT. Surface markers: CD19, CD10, and HLA-DR. Blasts:negative for immuno-MPO, CD34, surface IgM and for all myeloid and T-cell markers analyzed. The flowcytometric analysis demonstrates the B-lymphoid precursor cell phenotype of the acute leukemia. Diagnosis: acute B-cell ALL.  Expression of cytoplasmic but not surface IgM allows to subclassify the leukemia as pre-B-cell ALL, without aberrant myeloid or T-cell markers
Classification according to EGILmature B Cell neoplasmsMature BCommon BPre-Bpro B AUL TdTCD19CD10cIgMsIgMIgG/IgD/ Kappa/Lambda
MolecularGeneticsMultiplex RT-PCR screening for 28 fusion transcripts. Eight multiplex RT-PCR amplifications, containing each, primers for a house keeping gene as well as primers for 4 to 5 fusions transcripts are included.  additional gene product: suggesting the existence of an abnormal fusion transcript. split out: abnormal band, corresponding to the fusion transcript E2A/PBX1.  Conventional cytogenetics: 46, XX, del(9)(q?12q32), del(11)(p?11.2),del(11)(q22q23) [6]46, XX [11]  Definitive diagnosis Pre-B-ALL with E2A/PBX1  General Remarks The fusion transcript E2A/PBX1 corresponds to a genetic translocation type t(1;19)(q23;p13). This translocation has not been found with conventional cytogenetics, probably  cryptic. However, other complex cytogenetic anomalies are found on chromosome 9 and 11.  pre-B-cell ALL associated with t(1;19) and/or E2A/PBX1 fusion transcript. unfavorable prognosis
Treatment on GRAALL Steroid prephaseChemosensitivityevaluation d+8Double inductionR – Rituximabif CD20+R – HyperCVADvsconventionalMonitor MRD / B-cellreceptorgenerearrangement / flow / fusiontranscripts
Treatment on GRAALLTransplant in CR1 ?WBC > 30G/LCNS involvedB-ALL: CD10-; t(4;11); t(1;19)Complexcaryotype (>5); haploid ornear triploidCorticoresistanceChemoresistanceNo CR1 after induction
Case 2A 51-year-old gentleman, admitted for thoracic pain. During the last three weeks the patient presented non productive cough, fever, shortness of breath and petechiae.On physical examination: body temperature was 38.4 C° and moderate hepatomegaly could be observed. Conventional chest radiograph was normal, but on computed tomography two opacified pulmonary nodules, suggestive of fungal infection were observed in the lung periphery.
Hematology lab
ScattergramPerox: majority of rather small, peroxidase positive cells, distributed over three regions, the neutrophil (Neutr), monocyte (Mo) and eosinophil (Eo) corresponding to blast cells, and + residual neutrophils.  Baso: The predominant cell population has a mononuclear nucleus (MNC). Only few cells a polymorphonuclear. This scattergram demonstrates, that the blast cells are strongly peroxidase positive -> AML.
Peripheral Bloodsmall blast with a thin rim of basophilic cytoplasm. The residual mature neutrophils show homogenous pink colored cytoplasm. Long Auer rods are found in the blast cells as well as in mature neutrophils.  A blast proportion above 20%, with some of the blasts containing an Auer rod -> acute myeloid leukemia.
MarrowCytologyincreased cellularity , mostly large blasts abundant cytoplasm, prominent Golgi. Blasts with very large granules, (pseudo Chediak-Higashi).  Mature neutrophils with prominent and sharp Auer rods.  Most of the blast cells stain moderately to strongly for peroxidase. The Chediak-Higashi granules as well as the Auer rods show strong peroxidase positivity. The diagnosis based on morphology: AML with maturation (M2). Some of the morphologic characteristics are suggestive for an AML with t(8;21)(q22;q22)/AML1//ETO.
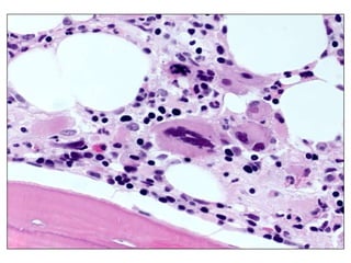
Histocellularity markedly increased (60-70%) blasts infiltration. pleomorphic blasts abundant cytoplasm.  Blasts strongly positive for immunoperoxydase, CD34 CD117 dim. Histological diagnosis: acute myeloid leukemia (AML) with maturation
FlowBlasts, gated on CD45 dim, myeloid immunophenotype; positive for MPO, CD33, CD13, and express markers of immaturity (CD34, HLA-DR, CD117). Additionally they express a B-cell (CD19) and a NK-marker (CD56). The flowcytometric analysis confirms the myeloid phenotype of the acute leukemia. The aberrant marker expression of CD19 and CD56 are typically found in AML with translocation t(8;21) and/or AML1/ETO
DiagnosisMolecular genetics and Cytogenetics  Using a Multiplex RT-PCR System for genotyping leukemia that screens for 28 different fusion transcripts, the blast cells are positive for the fusion transcript AML1/ETO. conventional cytogenetics, karyotype : 45, XX, -Y, t(8;21)(q22;q22) [13]  Definitive Diagnosis Acute myeloid leukemia with t(8;21)(q22;q22); (AML1/ETO)
Treatment (HOVON SAKK 102 30/09)
Case 3A 53-year-old man seen for follow-up 10 years after autologous stem cell transplantation for follicular lymphoma. Follicular lymphoma of the tonsils. Cervical radiotherapy with 36 Gy. Relapse 5 years later follicular lymphoma IIIB treated by chemotherapy followed by autologous HSCT (CBV conditioning).  Excellent general condition, no pain or fever, no weight loss and no night sweats. The physical examination, including cardiovascular examination was normal. Absence of palpable lymphnodes, spleen or liver.
Hem Lab values
Peripheral Blood Minor morphologic changes: platelets, with size variability, and neutrophils with granulation defect. Few pseudo-Pelgerneutrophils. No blast cells. 
MarrowCytologyThe marrow aspirate is moderately hypercellular. Erythropoiesis without dysplastia, except for few erythroblasts with cytoplasmic vacuoles (). Myelopoiesis slightly increased with few immature forms. Megakaryocytes with dysplastic changes, hypolobular. On iron staining a few ringed sideroblasts.  
Histologymarrow biopsy: moderately hypercellular marrow, restructured topography with clusters of erythroblasts and immature myeloid cells. Few abnormal megakaryocytes, with hypolobulated nuclei.  Conclusions Suspicion of therapy related myelodysplastic syndrome (t-MDS).
Follow-up 6 monthslaterNo complaints, no treatment proposed6 months later: fatigue, no fever, no bleeding.
Hem Lab follow-up
Blood Smear @ FUEvident dysplastic changes of all three cell lines. RBC: remarkable anisocytosis and poikilocytosis. Platelets marked size variability and abnormal granulation Neutrophils have hypogranulation and nuclear hyposegmentation.
MarrowCytologyMarrow aspirate of poor quality, dysplastic changes of all three cell lines are evident. Erythroid hyperplasia, with important dyserythropoiesis. Increased number of megakaryocytes (small, hypolobulated nucleus). Few immature cells with abnormal chromatin pattern, but overall the number of blasts is below 5%. In iron staining, the proportion of ringed sideroblasts has increased, and is > 15% of all erythroblasts.
HistologyDensely hypercellular marrow, complete replacement of fat, trilineage hyperplasia. Marked proliferation of immature myeloid cells,  abnormal localization, hypolobularmegakaryocytes, increased reticulin and secondary marrow fibrosis. Immunostains for CD34 shows some positive endothelial cells, few immature hemopoietic cells. The overall proportion of CD34-positive blasts is <5%.
GeneticsOnly 5 metaphases: 45, XY, add(5)(q11.2), dic(17;20)(p11.2;p112.2) [4]46, XY [1]Conclusions Therapy related myelodysplastic syndrome (t-MDS)refractory cytopenia with multilineage dysplasiawith ringed sideroblastsand cytogenetic anomalies
Another 6 months down theroadfatigue ++, petechiae ++* transfused
Cytogenetics12 metaphases:  45, XY, add(5)(q11.2), dic(17;20)(p11.2;p112.2) [1]45, idem, del(7)(q22) [1]45, idem, del(7)(q22),del(12)(p11.2),-21,+r [10]  Definitive diagnosis Therapy related acute myeloid Leukemia (t-AML)Alkylating agent relatedwith complex cytogenetic anomalies
Comments Typical case of a therapy related MDS/AML, presenting initially with discrete morphologic changes, progressing than to a MDS type refractory cytopenia with multilineage dysplasia and evolving eventually to an AML.  “alkylating agent” related MDS/AML, occuring 5-6 years following exposure to mutagenic agents. In the present case, mutagenicity can be due to the alkylating agents and to radiotherapy. Cytogenetically “alkylating agent” related MDS/AML present typically unbalanced translocations or deletions of chromosomal material.  Alkylating related t-MDS/AML are associated with unfavorable outcome
Case 450-year old female patientProgressive fatigue since 4 monthsDiffuse upper abdominal pain No history of radiotherapy / drug exposure Slight splenomegalyblood count
Blood count
Peripheral blood smear
At this step what is the most probable diagnosis ?SeverebacterialInfectionMyeloproliferativedisorder (MPD)Chronicmyeloidleukemia (CML)MPD / MDSNone oftheabove
What is typical for CML?Leukocytosis Neutrophilia with pathologic left shiftIncreased number of myelocytes/metamyelocytesThrombocytosisAnisocytosis of plateletsIncreased number of eosinophilsIncreased number of basophils
What is absolutely necessary to confirm the diagnosisFlowcytometryBone marrow histology including immunohistchemistryCytogeneticsMolecular geneticsBone marrow cytology
Molecular genetic resultBcr/abltranscript positive b2a2Do we still needconventionalcytogenetics?
Why do we need morphology in CML patients ?Confirmation of the diagnosis of CMLDefine the stage of the diseaseTo complete the diagnosis To recognize possible atypical forms of CML or MPDFor treatment decision
Bone marrow cytology
Bone marrow histologyHematoxylin-eosin stainGömörri stain (silver stain)
Immunohistochemistry (anti CD34)40x20x
Stages of the CMLAtdiagnosisChronicphaseAcceleratedphaseBlast crisisMyeloid blast crisisLymphoid blast crisisDuringfollow-upRemissionHematologicalMorphologicalCytogeneticMajor MolecularCompleteMolecularChronicphaseAcceleratedphaseBlast crisis
Additional informationBonemarrowcytologyBlasts 1.5%, Basophils1%BonemarrowhistologyCD34 positive cells 2.5%Cytogenetics46,XX,t(9;22)(q34;q11)[20]
What is the stage of the disease at diagnosis?Myeloid blast crisisHematological remissionChronic phase Accelerated phaseNone of the above
Diagnostic criteria (WHO)for CML in accelerated phaseBlasts 10-19% in bloodand/orbonemarrow
Peripheralbloodbasophils> 20%
Persistent thrombocytopenia (<100x109/l) unrelatedtotherapy
orthrombocytosis (>1000x109/l) unresponsivetotherapy
Increasingspeensizeandincreasing WBC unresponsivetotherapy
CytogeneticevidenceofclonalevolutionDiagnostic criteria forCML-blast crisisBlasts ≥ 20% of PB and/or BMExtramedullary proliferation of blasts (myelosarcoma)Large aggregates and clusters of blasts in the BM-biopsyImmunophenotype of Blast crisis70% myeloid blasts, 30% lymphoblasts
Final diagnosisChronic myeloid leukemia (CML)t(9;22)(q43;q11)/BCR-ABL positivein chronic phase
How would you treat this patient?
Take home messagesThe diagnosis of CML depends on the presence of the characteristic t(9;22) or its respective BCR-ABL fusion transcript
Morphology of bone marrow is needed for definition of the stage of the disease
The classification in chronic, accelerated and blast phase is based on a combination of clinical, morphological and genetic findingsCase 579 year old man with absolute lymphocytosisAccidental findingPatient in good general healthClinical findingNo lymphadenopathy
No enlarged spleen or liverPeripheral blood count
Peripheral blood smear
Diverse mature lymphoid neoplasmsB-CLLHairy cell leukemiaSezary‘s SyndromeFollicular lymphomaT-LGL leukemiaProlymphocytic leukemia
Flow cytometric pattern of mature B-cell lymphoid neoplasms
What is the next step ?Minimal diagnostic programCoombs test, Immunoglobulin levels
Immunophenotyping from peripheral bloodResultsCoombs test negative
Immunoglobulin levels normal
no monoclonal fraction
Immunophenotyping (FACS)What is here the aim of immunophenotypingDistinction between neoplasm & reactive lymphocytesLight chain monoclonal lymphocytesDistinction between mature & precursor cell lymphoid neoplasmlymphoma / CLL: mature neoplasms ALL/ lymphoblastic NHL: Precursor cell neoplasmsDistinction between B-, T- & NK-cell neoplasmsDefining subtypes of lymphoid neoplasms
Immunophenotyping results
Algorithm of mature B-cell neoplasmsMonoclonal B-cells+-CD5++--CD23CD10othersCLLMCLFL
Complete result of the immunophenotypingKappa-monoclonalityCells are positive for CD19+, CD20+, CD5+, CD23+Negative or dim positive forsIgM dim, CD79b-, FMC7-, CD10-, CD103- Immunophenotypic conclusionMature B-cell neoplasm, Type B-CLLCLL score (matutes score) 5/5
Final diagnosisMature B-cell lymphoid neoplasia, type B-CLLRai 0, Binet Aasymptomatic No autoimmune phenomenaIn an elderly patient (79-years old)No genetic information available
What will be the treatment strategy?Watch and waitRegular follow-up (every 6 months)Constitutional symptomsOrganomegalyPeripheral blood countWhy is it acceptable to restrict diagnostics to a minimal program?elderly patient no intention of curative therapyasymptomatic patient no treatment required
Case 5b45 year old manCheck-up taking out insurance
No symptomsClinical findingsNo lymphadenopathy
No hepatomegaly, no splenomegaly
Five years previously, normal blood count and differential countFamily history of CLL - aunt, mothers side
Peripheral blood count
Confirmation of the B-CLLComplete ImmunophenotypeLymphocytes positive forCD19, CD20dim, CD23, CD5, kappa, sIgM dimLymphocytes negative for:FMC-7, CD79b, CD103, CD10
How to define management strategyYoung patient with B-CLLRai 0, Binet AConsiderations for management strategyAge of the patientAge - not an independent risk factor in CLLYounger patients are more likely to die from CLLStage of the disease: early stage is due to early stage with undefined prognosis or good prognosis CLL – smoldering diseaseWe need more information
Clinical prognostic factors in CLLSymptomatic CLL; B-symptomsFever, night sweat, weight lossDisease stageRai or BinetLymphocyte count> 50 x109/LDoubling time of absolute lymphocyte count< 12 months
Genetics -> Prognosisinterphase  FISHGood prognosisIsolated del 13q14IntermediateTrisomy 12Normal karyotypePoor prognosisdel 11qdel17pdel 11q
Mutational status of IgVH genes in B-cell CLLTwo phases in B-cell developmentAntigen-independent phaseBone marrowGene rearrangementLymphoid follicle (follicular mantle)Unmutated B-cells naïve B-cellsAntigen-dependent phaseIn lymphoid follicle (germinal centre)Somatic hypermutation mutated B-cellsMemory cells
Biological surrogate markers for mutational  statusMutational status not routinely availableCD38 expression on B-cellsPoor  prognosis: positive ( 30%)No good correlation with mutational statusZAP70 expression on B-cellsPoor prognosis: positive (>20%)Better correlation
ZAP-70 expression by flow cytomteryZAP-70 positive B-cellsZAP-70 negative B-cells
Interpretation of the global situation and next stepsEarly stage, high risk B-CLL in a young patientCLL asymptomaticRai I / Binet A stage, lymphocyte countFISH del(11q); ZAP-70 positive, CD38 positiveWatch and wait as long as asymptomaticIn particular cases option of experimental therapyHLA-typing of the familyif no sibling donor available, consider unrelated donorClose follow-up of the patientThree monthly
Take home messageMore complete diagnosic workup is needed, when therapeutic intervention is an optionDistinction between different lymphoid neoplasmsDetermination of prognostic factorsNew biological prognostic markers do not directly determinate the time of treatmentThey may have an impact on the long term treatment strategyClinical staging still plays a essential role
Case 6History/ Clinicalfindings53 year old, female Presenting a transient ischemic attack (TIA) BrachiofacialhemiparesisRisk factors, dyslipidemia, and cigarette smokingWeight loss of 7kg with 5 monthsDiscrete splenomegaly
Initial  blood counts
What is the most relevant change in peripheral blood?Leukocytosis Macrocytic anemia ThrombcytosisRegenerative anemiaPancytopenia
Peripheral blood
What do the changes in peripheral blood suggest?Status post-spenectomy Hemolytic anemia Marrow fibrosisMyeloproliferative disease Acute myeloid Leukemia
Bone marrow:dry tap
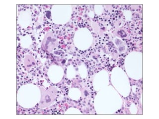
Bone marrow Histology

LLA 2011 - J.R. Passweg - Diagnosis and treatment in leukaemia

  • 1.
    ESO Leukemia Lymphoma2011Diagnosis and treatment in leukaemiaProf Jakob R Passweg
  • 2.
    Case 1A 27-year-oldwoman is admitted with fever and thoracic pain. During the last week she experienced general fatigue and dyspnea during mild to moderate physical exertion.The physical examination, including cardiovascular and pulmonary examination was normal. There was no lymphadenopathy, splenomegalyor hepatomegaly
  • 3.
  • 4.
    ScattergramPEROX: two majorcell populations, large peroxidase positive cells (Neutr), and small to medium sized peroxidase negative cells (peroxidasenegative blasts and normal lymphocytes)BASO: nuclear shape. The predominant cell population is mononuclear
  • 5.
    Peripheral blood smearsmallblastswithscantcytoplasm,condensednuclearchromatinandindistinctnucleoli, andlarger blastswithmoderate cytoplasm, smallcytoplasmicvacuolesand a distinctnucleoli. Noprimarygranulesor Auer rods35% blasts = acuteleukemia
  • 6.
    BM Cytologyno marrowfragments but an adequate number of free marrow cells, predominance of small to medium sized blasts.  Sudan Black staining: blast cells are negative.  PAS staining: blast cells are negative.  Morphologic diagnosis: acute peroxidase negative leukemia. Suggestive for an ALL.
  • 7.
    BM HistologyGiemsa stain:densely infiltrated marrow, blasts monomorphicwith prominent nucleoli and narrow cytoplasm.  Immunostaining, dim positive for TdT, strongly positive for CD10, and negative for CD20, CD3, CD117. (CD10 is shown) CD34 neg, (endothelial cells positive, (internal positive control)). The histological diagnosis is acute B-cell lymphoblastic leukemia
  • 8.
    Flow CytometryBlasts: intracellularCD22, CD79a, IgM, and dimly TdT. Surface markers: CD19, CD10, and HLA-DR. Blasts:negative for immuno-MPO, CD34, surface IgM and for all myeloid and T-cell markers analyzed. The flowcytometric analysis demonstrates the B-lymphoid precursor cell phenotype of the acute leukemia. Diagnosis: acute B-cell ALL.  Expression of cytoplasmic but not surface IgM allows to subclassify the leukemia as pre-B-cell ALL, without aberrant myeloid or T-cell markers
  • 9.
    Classification according toEGILmature B Cell neoplasmsMature BCommon BPre-Bpro B AUL TdTCD19CD10cIgMsIgMIgG/IgD/ Kappa/Lambda
  • 10.
    MolecularGeneticsMultiplex RT-PCR screeningfor 28 fusion transcripts. Eight multiplex RT-PCR amplifications, containing each, primers for a house keeping gene as well as primers for 4 to 5 fusions transcripts are included.  additional gene product: suggesting the existence of an abnormal fusion transcript. split out: abnormal band, corresponding to the fusion transcript E2A/PBX1.  Conventional cytogenetics: 46, XX, del(9)(q?12q32), del(11)(p?11.2),del(11)(q22q23) [6]46, XX [11]  Definitive diagnosis Pre-B-ALL with E2A/PBX1  General Remarks The fusion transcript E2A/PBX1 corresponds to a genetic translocation type t(1;19)(q23;p13). This translocation has not been found with conventional cytogenetics, probably cryptic. However, other complex cytogenetic anomalies are found on chromosome 9 and 11.  pre-B-cell ALL associated with t(1;19) and/or E2A/PBX1 fusion transcript. unfavorable prognosis
  • 11.
    Treatment on GRAALLSteroid prephaseChemosensitivityevaluation d+8Double inductionR – Rituximabif CD20+R – HyperCVADvsconventionalMonitor MRD / B-cellreceptorgenerearrangement / flow / fusiontranscripts
  • 12.
    Treatment on GRAALLTransplantin CR1 ?WBC > 30G/LCNS involvedB-ALL: CD10-; t(4;11); t(1;19)Complexcaryotype (>5); haploid ornear triploidCorticoresistanceChemoresistanceNo CR1 after induction
  • 13.
    Case 2A 51-year-oldgentleman, admitted for thoracic pain. During the last three weeks the patient presented non productive cough, fever, shortness of breath and petechiae.On physical examination: body temperature was 38.4 C° and moderate hepatomegaly could be observed. Conventional chest radiograph was normal, but on computed tomography two opacified pulmonary nodules, suggestive of fungal infection were observed in the lung periphery.
  • 14.
  • 15.
    ScattergramPerox: majority ofrather small, peroxidase positive cells, distributed over three regions, the neutrophil (Neutr), monocyte (Mo) and eosinophil (Eo) corresponding to blast cells, and + residual neutrophils.  Baso: The predominant cell population has a mononuclear nucleus (MNC). Only few cells a polymorphonuclear. This scattergram demonstrates, that the blast cells are strongly peroxidase positive -> AML.
  • 16.
    Peripheral Bloodsmall blastwith a thin rim of basophilic cytoplasm. The residual mature neutrophils show homogenous pink colored cytoplasm. Long Auer rods are found in the blast cells as well as in mature neutrophils.  A blast proportion above 20%, with some of the blasts containing an Auer rod -> acute myeloid leukemia.
  • 17.
    MarrowCytologyincreased cellularity ,mostly large blasts abundant cytoplasm, prominent Golgi. Blasts with very large granules, (pseudo Chediak-Higashi). Mature neutrophils with prominent and sharp Auer rods.  Most of the blast cells stain moderately to strongly for peroxidase. The Chediak-Higashi granules as well as the Auer rods show strong peroxidase positivity. The diagnosis based on morphology: AML with maturation (M2). Some of the morphologic characteristics are suggestive for an AML with t(8;21)(q22;q22)/AML1//ETO.
  • 18.
    Histocellularity markedly increased(60-70%) blasts infiltration. pleomorphic blasts abundant cytoplasm.  Blasts strongly positive for immunoperoxydase, CD34 CD117 dim. Histological diagnosis: acute myeloid leukemia (AML) with maturation
  • 19.
    FlowBlasts, gated onCD45 dim, myeloid immunophenotype; positive for MPO, CD33, CD13, and express markers of immaturity (CD34, HLA-DR, CD117). Additionally they express a B-cell (CD19) and a NK-marker (CD56). The flowcytometric analysis confirms the myeloid phenotype of the acute leukemia. The aberrant marker expression of CD19 and CD56 are typically found in AML with translocation t(8;21) and/or AML1/ETO
  • 20.
    DiagnosisMolecular genetics andCytogenetics  Using a Multiplex RT-PCR System for genotyping leukemia that screens for 28 different fusion transcripts, the blast cells are positive for the fusion transcript AML1/ETO. conventional cytogenetics, karyotype : 45, XX, -Y, t(8;21)(q22;q22) [13]  Definitive Diagnosis Acute myeloid leukemia with t(8;21)(q22;q22); (AML1/ETO)
  • 21.
  • 22.
    Case 3A 53-year-oldman seen for follow-up 10 years after autologous stem cell transplantation for follicular lymphoma. Follicular lymphoma of the tonsils. Cervical radiotherapy with 36 Gy. Relapse 5 years later follicular lymphoma IIIB treated by chemotherapy followed by autologous HSCT (CBV conditioning).  Excellent general condition, no pain or fever, no weight loss and no night sweats. The physical examination, including cardiovascular examination was normal. Absence of palpable lymphnodes, spleen or liver.
  • 23.
  • 24.
    Peripheral Blood Minor morphologicchanges: platelets, with size variability, and neutrophils with granulation defect. Few pseudo-Pelgerneutrophils. No blast cells. 
  • 25.
    MarrowCytologyThe marrow aspirateis moderately hypercellular. Erythropoiesis without dysplastia, except for few erythroblasts with cytoplasmic vacuoles (). Myelopoiesis slightly increased with few immature forms. Megakaryocytes with dysplastic changes, hypolobular. On iron staining a few ringed sideroblasts.  
  • 26.
    Histologymarrow biopsy: moderatelyhypercellular marrow, restructured topography with clusters of erythroblasts and immature myeloid cells. Few abnormal megakaryocytes, with hypolobulated nuclei.  Conclusions Suspicion of therapy related myelodysplastic syndrome (t-MDS).
  • 27.
    Follow-up 6 monthslaterNocomplaints, no treatment proposed6 months later: fatigue, no fever, no bleeding.
  • 28.
  • 29.
    Blood Smear @FUEvident dysplastic changes of all three cell lines. RBC: remarkable anisocytosis and poikilocytosis. Platelets marked size variability and abnormal granulation Neutrophils have hypogranulation and nuclear hyposegmentation.
  • 30.
    MarrowCytologyMarrow aspirate ofpoor quality, dysplastic changes of all three cell lines are evident. Erythroid hyperplasia, with important dyserythropoiesis. Increased number of megakaryocytes (small, hypolobulated nucleus). Few immature cells with abnormal chromatin pattern, but overall the number of blasts is below 5%. In iron staining, the proportion of ringed sideroblasts has increased, and is > 15% of all erythroblasts.
  • 31.
    HistologyDensely hypercellular marrow,complete replacement of fat, trilineage hyperplasia. Marked proliferation of immature myeloid cells, abnormal localization, hypolobularmegakaryocytes, increased reticulin and secondary marrow fibrosis. Immunostains for CD34 shows some positive endothelial cells, few immature hemopoietic cells. The overall proportion of CD34-positive blasts is <5%.
  • 32.
    GeneticsOnly 5 metaphases: 45,XY, add(5)(q11.2), dic(17;20)(p11.2;p112.2) [4]46, XY [1]Conclusions Therapy related myelodysplastic syndrome (t-MDS)refractory cytopenia with multilineage dysplasiawith ringed sideroblastsand cytogenetic anomalies
  • 33.
    Another 6 monthsdown theroadfatigue ++, petechiae ++* transfused
  • 34.
    Cytogenetics12 metaphases:  45, XY,add(5)(q11.2), dic(17;20)(p11.2;p112.2) [1]45, idem, del(7)(q22) [1]45, idem, del(7)(q22),del(12)(p11.2),-21,+r [10]  Definitive diagnosis Therapy related acute myeloid Leukemia (t-AML)Alkylating agent relatedwith complex cytogenetic anomalies
  • 35.
    Comments Typical case ofa therapy related MDS/AML, presenting initially with discrete morphologic changes, progressing than to a MDS type refractory cytopenia with multilineage dysplasia and evolving eventually to an AML.  “alkylating agent” related MDS/AML, occuring 5-6 years following exposure to mutagenic agents. In the present case, mutagenicity can be due to the alkylating agents and to radiotherapy. Cytogenetically “alkylating agent” related MDS/AML present typically unbalanced translocations or deletions of chromosomal material.  Alkylating related t-MDS/AML are associated with unfavorable outcome
  • 36.
    Case 450-year oldfemale patientProgressive fatigue since 4 monthsDiffuse upper abdominal pain No history of radiotherapy / drug exposure Slight splenomegalyblood count
  • 37.
  • 38.
  • 39.
    At this stepwhat is the most probable diagnosis ?SeverebacterialInfectionMyeloproliferativedisorder (MPD)Chronicmyeloidleukemia (CML)MPD / MDSNone oftheabove
  • 40.
    What is typicalfor CML?Leukocytosis Neutrophilia with pathologic left shiftIncreased number of myelocytes/metamyelocytesThrombocytosisAnisocytosis of plateletsIncreased number of eosinophilsIncreased number of basophils
  • 41.
    What is absolutelynecessary to confirm the diagnosisFlowcytometryBone marrow histology including immunohistchemistryCytogeneticsMolecular geneticsBone marrow cytology
  • 42.
    Molecular genetic resultBcr/abltranscriptpositive b2a2Do we still needconventionalcytogenetics?
  • 44.
    Why do weneed morphology in CML patients ?Confirmation of the diagnosis of CMLDefine the stage of the diseaseTo complete the diagnosis To recognize possible atypical forms of CML or MPDFor treatment decision
  • 45.
  • 46.
    Bone marrow histologyHematoxylin-eosinstainGömörri stain (silver stain)
  • 47.
  • 48.
    Stages of theCMLAtdiagnosisChronicphaseAcceleratedphaseBlast crisisMyeloid blast crisisLymphoid blast crisisDuringfollow-upRemissionHematologicalMorphologicalCytogeneticMajor MolecularCompleteMolecularChronicphaseAcceleratedphaseBlast crisis
  • 49.
    Additional informationBonemarrowcytologyBlasts 1.5%,Basophils1%BonemarrowhistologyCD34 positive cells 2.5%Cytogenetics46,XX,t(9;22)(q34;q11)[20]
  • 50.
    What is thestage of the disease at diagnosis?Myeloid blast crisisHematological remissionChronic phase Accelerated phaseNone of the above
  • 51.
    Diagnostic criteria (WHO)forCML in accelerated phaseBlasts 10-19% in bloodand/orbonemarrow
  • 52.
  • 53.
  • 54.
  • 55.
  • 56.
    CytogeneticevidenceofclonalevolutionDiagnostic criteria forCML-blastcrisisBlasts ≥ 20% of PB and/or BMExtramedullary proliferation of blasts (myelosarcoma)Large aggregates and clusters of blasts in the BM-biopsyImmunophenotype of Blast crisis70% myeloid blasts, 30% lymphoblasts
  • 57.
    Final diagnosisChronic myeloidleukemia (CML)t(9;22)(q43;q11)/BCR-ABL positivein chronic phase
  • 58.
    How would youtreat this patient?
  • 59.
    Take home messagesThediagnosis of CML depends on the presence of the characteristic t(9;22) or its respective BCR-ABL fusion transcript
  • 60.
    Morphology of bonemarrow is needed for definition of the stage of the disease
  • 61.
    The classification inchronic, accelerated and blast phase is based on a combination of clinical, morphological and genetic findingsCase 579 year old man with absolute lymphocytosisAccidental findingPatient in good general healthClinical findingNo lymphadenopathy
  • 62.
    No enlarged spleenor liverPeripheral blood count
  • 63.
  • 64.
    Diverse mature lymphoidneoplasmsB-CLLHairy cell leukemiaSezary‘s SyndromeFollicular lymphomaT-LGL leukemiaProlymphocytic leukemia
  • 65.
    Flow cytometric patternof mature B-cell lymphoid neoplasms
  • 66.
    What is thenext step ?Minimal diagnostic programCoombs test, Immunoglobulin levels
  • 67.
    Immunophenotyping from peripheralbloodResultsCoombs test negative
  • 68.
  • 69.
  • 70.
    Immunophenotyping (FACS)What ishere the aim of immunophenotypingDistinction between neoplasm & reactive lymphocytesLight chain monoclonal lymphocytesDistinction between mature & precursor cell lymphoid neoplasmlymphoma / CLL: mature neoplasms ALL/ lymphoblastic NHL: Precursor cell neoplasmsDistinction between B-, T- & NK-cell neoplasmsDefining subtypes of lymphoid neoplasms
  • 71.
  • 72.
    Algorithm of matureB-cell neoplasmsMonoclonal B-cells+-CD5++--CD23CD10othersCLLMCLFL
  • 73.
    Complete result ofthe immunophenotypingKappa-monoclonalityCells are positive for CD19+, CD20+, CD5+, CD23+Negative or dim positive forsIgM dim, CD79b-, FMC7-, CD10-, CD103- Immunophenotypic conclusionMature B-cell neoplasm, Type B-CLLCLL score (matutes score) 5/5
  • 74.
    Final diagnosisMature B-celllymphoid neoplasia, type B-CLLRai 0, Binet Aasymptomatic No autoimmune phenomenaIn an elderly patient (79-years old)No genetic information available
  • 75.
    What will bethe treatment strategy?Watch and waitRegular follow-up (every 6 months)Constitutional symptomsOrganomegalyPeripheral blood countWhy is it acceptable to restrict diagnostics to a minimal program?elderly patient no intention of curative therapyasymptomatic patient no treatment required
  • 76.
    Case 5b45 yearold manCheck-up taking out insurance
  • 77.
  • 78.
  • 79.
    Five years previously,normal blood count and differential countFamily history of CLL - aunt, mothers side
  • 80.
  • 81.
    Confirmation of theB-CLLComplete ImmunophenotypeLymphocytes positive forCD19, CD20dim, CD23, CD5, kappa, sIgM dimLymphocytes negative for:FMC-7, CD79b, CD103, CD10
  • 82.
    How to definemanagement strategyYoung patient with B-CLLRai 0, Binet AConsiderations for management strategyAge of the patientAge - not an independent risk factor in CLLYounger patients are more likely to die from CLLStage of the disease: early stage is due to early stage with undefined prognosis or good prognosis CLL – smoldering diseaseWe need more information
  • 83.
    Clinical prognostic factorsin CLLSymptomatic CLL; B-symptomsFever, night sweat, weight lossDisease stageRai or BinetLymphocyte count> 50 x109/LDoubling time of absolute lymphocyte count< 12 months
  • 84.
    Genetics -> Prognosisinterphase FISHGood prognosisIsolated del 13q14IntermediateTrisomy 12Normal karyotypePoor prognosisdel 11qdel17pdel 11q
  • 85.
    Mutational status ofIgVH genes in B-cell CLLTwo phases in B-cell developmentAntigen-independent phaseBone marrowGene rearrangementLymphoid follicle (follicular mantle)Unmutated B-cells naïve B-cellsAntigen-dependent phaseIn lymphoid follicle (germinal centre)Somatic hypermutation mutated B-cellsMemory cells
  • 86.
    Biological surrogate markersfor mutational statusMutational status not routinely availableCD38 expression on B-cellsPoor prognosis: positive ( 30%)No good correlation with mutational statusZAP70 expression on B-cellsPoor prognosis: positive (>20%)Better correlation
  • 87.
    ZAP-70 expression byflow cytomteryZAP-70 positive B-cellsZAP-70 negative B-cells
  • 88.
    Interpretation of theglobal situation and next stepsEarly stage, high risk B-CLL in a young patientCLL asymptomaticRai I / Binet A stage, lymphocyte countFISH del(11q); ZAP-70 positive, CD38 positiveWatch and wait as long as asymptomaticIn particular cases option of experimental therapyHLA-typing of the familyif no sibling donor available, consider unrelated donorClose follow-up of the patientThree monthly
  • 89.
    Take home messageMorecomplete diagnosic workup is needed, when therapeutic intervention is an optionDistinction between different lymphoid neoplasmsDetermination of prognostic factorsNew biological prognostic markers do not directly determinate the time of treatmentThey may have an impact on the long term treatment strategyClinical staging still plays a essential role
  • 90.
    Case 6History/ Clinicalfindings53year old, female Presenting a transient ischemic attack (TIA) BrachiofacialhemiparesisRisk factors, dyslipidemia, and cigarette smokingWeight loss of 7kg with 5 monthsDiscrete splenomegaly
  • 91.
  • 92.
    What is themost relevant change in peripheral blood?Leukocytosis Macrocytic anemia ThrombcytosisRegenerative anemiaPancytopenia
  • 93.
  • 95.
    What do thechanges in peripheral blood suggest?Status post-spenectomy Hemolytic anemia Marrow fibrosisMyeloproliferative disease Acute myeloid Leukemia
  • 96.
  • 97.