Mature T/NK-cell Neoplasms
By:
Ahmed Makboul Ahmed
M.B.B.Ch, M.Sc
Assistant Lecturer, Clinical Pathology Department, South Egypt Cancer Institute
INTRODUCTION
LYMPHOCYTE MATURATION
T-CELL DIFFERENTIATION
There are two classes of T-cells: alpha beta T-cells and gamma delta T-cells. This distinction is
based on the structure of the T-cell receptor.
Alpha beta (αβ) T-cells
• Represent the majority of T-cells.
• They express CD4 or CD8 as well as CD5.
Gamma delta (γδ) T-cells
• <5% of all normal T-cells.
• Distribution: Found mainly in the splenic red pulp, intestinal epithelium, and other epithelial sites.
• Function: γδ T-cells serve as a first line of defense against bacterial peptides, such as heat shock
proteins.
oInvolved in responses to mycobacterial infections and in mucosal immunity.
• Immunophenotype:
oBright CD3, CD2+, CD7+
oCD4-, CD8- (a subset may be CD8+)
oCD5 dimmer positive / small subset may be negative
oCD16 subset+, CD56 subset+, CD57 subset+, CD94+
oThey are smaller on forward scatter.
Immunophenotyping of normal γδ T-cells (pink population)
CD4+ T-cell subsets
1. T-helper
2. T follicular helper (TFH) cells
Function
• TFH cells provide help to B-cells in the context of the
germinal center reaction.
Immunophenotype
• They express the germinal center markers: BCL6 and
CD10.
oThese markers are also normally found on
germinal center B-cells.
• CD4+, CD57+ and CD279/PD1+, ICOS+
• They produce the chemokine CXCL13 and express
chemokine receptor CXCR5.
oIncreased expression of CXCL13 is seen in
angioimmunoblastic T-cell lymphoma (AITL).
3. Regulatory T-cells (T-reg)
• Regulatory T-cells (T-regs) are a subset of
CD4+ T cells whose function is to suppress
immune responses and maintain self-
tolerance
• Classic immunophenotype: CD4+,
CD25+, FOXP3+.
• Function: T-regs suppress immune
responses by:
oProduction of the immunosuppressive
cytokines IL-10 and TGF-β.
oConsumption of IL-2.
CD8+ T-cells
Natural Killer (NK) cells
• The first and best innate immune cells.
• 5% to 15% of the mononuclear cells in PB and spleen.
• Immunophenotype
osCD3 (−), CD5 (−)
oCD2 (+), CD7 (+)
oCD8 partial (+)
oCD56 (+), CD16 (+), CD94 (+), and CD57 small subset
oNK cells express various KIR antigens (CD158a,
CD158b, CD158e)
NK-cell immunophenotyping (Brown population)
Function:
• Immune responses mainly against
intracellular viruses and bacteria and tumor
cells.
Mechanism of killing:
• Antibody-dependent cell-mediated cytotoxicity
(ADCC).
• Killer activation receptors and inhibitory killer-
cell immunoglobulin-like receptors.
CLASSIFICATION
1. CD4 positive mature T-cell neoplasms
• T-cell prolymphocytic leukemia (T-PLL).
• Adult T-cell leukemia/lymphoma (ATLL).
• Mycosis Fungoides/Sézary syndrome (MF/SS).
• Anaplastic large cell lymphoma (ALCL).
2. CD8 positive mature T-cell neoplasms
• Large granular lymphocyte (LGL) leukemia.
3. γδ T-cell neoplasms
• Hepatosplenic T-cell lymphoma (HSTCL).
• LGL leukemia, γδ variant.
4. NK-cell lymphoproliferative neoplasms
• Chronic Lymphoproliferative Disorder of NK Cells (CLPD-NK).
• Aggressive NK cell leukemia (ANKL).
CD4 Positive T-cell Neoplasms
CD4 positive T-cell
neoplasms
T-prolymphocytic
leukemia (T-PLL)
Adult T-cell leukemia/lymphoma
(ATLL) MF/SS
Anaplastic large cell
lymphoma (ALCL)
CD4 positive T-cell
neoplasms
T-prolymphocytic
leukemia (T-PLL)
Adult T-cell leukemia/lymphoma
(ATLL) MF/SS
Anaplastic large cell
lymphoma (ALCL)
T-cell Prolymphocytic Leukemia (T-PLL)
• Aggressive T-cell leukemia characterized proliferation of
small to medium-sized prolymphocytes with a mature
post-thymic T-cell phenotype.
• T-PLL involves PB, BM, lymph nodes, liver, spleen and
skin.
• Approximately 90% of cases demonstrate chromosome
abnormalities involving chromosome 14.
CLINICAL FEATURES
Age: Median age at diagnosis of T-PLL is 65 years.
Gender: Slight male predominance.
Manifestations
• Most patients with T-PLL present with an elevated WBC. WBC is often markedly
increased, > 100 x 109/L.
oNot uncommonly, some patients may present with a WBC around 20–30 x 109/L that
often progressively increases in the course of disease.
• Hepatosplenomegaly (50–70%), generalized lymphadenopathy (50%), anemia and
thrombocytopenia, skin infiltration (20–25%), and serous effusions (i.e., pleural) (15%)
occur at various frequencies in patients with T-PLL.
MICROSCOPIC PATHOLOGY
Lymphocyte morphology
• Size
oSmall to medium sized.
• Nucleus
oContour: Round nuclear contours.
oChromatin: Moderately condensed nuclear
chromatin.
oNucleolus: Prominent nucleoli.
• Cytoplasm
oModerate amounts of pale blue, agranular
cytoplasm.
oCytoplasmic blebs are common.
Bone Marrow examination
• BM is almost always involved
oPattern of infiltration:
§ Interstitial pattern.
§ diffuse leukemic infiltrative pattern.
Morphologic variants
1. Small cell variant
• 20% of cases.
• Small neoplastic cells with inconspicuous or absent
nucleolus.
2. Cerebriform variant
• 5% of cases.
• Cells have irregular nuclear outline resembling
cerebriform nucleus of Sézary cells seen in MS/SS.
ANCILLARY STUDIES
1. Flow cytometric immunophenotyping
• Pan-T-cell antigens:
o CD7 and CD5 usually strongly (+).
o Positive CD26 in all cases.
o Cytoplasmic CD3 always (+)
o Surface CD3(+/-) and can be dim.
o TCR-αβ can be variably (+).
• Frequency of CD4 and CD8 expression:
o CD4(+), CD8(-): 60%
o CD4(+), CD8(+): 35%
o CD4(-), CD8(+): 4%
o CD4(-), CD8(-): 1%
• CD52 strongly positive in virtually all cases.
o Needed for treatment purposes (Anti-CD52).
• CD45 expression is bright unlike lymphoblasts.
o It can be negative in 5 – 10% of cases.
• Immature markers (CD34, TdT, CD1a) negative.
2. Immunohistochemistry
• Pan T-cell antigens expressed; CD4(+) or CD4/CD8 coexpression.
• Unique marker is nuclear and cytoplasmic positivity for TCL1 oncoprotein.
TCL1
3. Cytogenetic studies
• Chromosomal abnormalities are common,
observed in 60–70%, and the majority has a
complex karyotype.
• Chromosome 14 abnormalities inv(14)(q11q32)
and t(14;14)(q11;q32) resulting in TCL1
rearrangement are detected in 80% of the
cases and have become the hallmarks of T-
PLL.
oAnother abnormality, t(X;14)(q28;q11),
involves a homolog of TCL1, MTCP1
(mature T-cell proliferation 1 gene).
TCL1 rearrangement
T-PLL Prototypic Features
CD4 positive T-cell
neoplasms
T-prolymphocytic
leukemia (T-PLL)
Adult T-cell leukemia/lymphoma
(ATLL) MF/SS
Anaplastic large cell
lymphoma (ALCL)
Adult T-cell Leukemia/Lymphoma (ATLL)
• ATLL is a peripheral T-cell neoplasm that is caused by
the human retrovirus known as human T-cell leukemia
virus type 1 (HTLV-1).
• ATLL is considered to derive from HTLV-1-infected
memory T-cells with stem cell-like properties.
• About 4–5% of infected persons develop ATLL in
endemic areas.
• The latency intervals are generally long, about several
decades.
CLINICAL FEATURES
Age: ATLL manifests exclusively in adults; due to long latency period.
Gender: Slight male predominance.
Manifestations
• Multiple clinical forms:
oSmoldering and chronic.
oLymphomatous.
oAcute (leukemic).
• Abrupt onset of acute leukemic form (ATL):
oConstitutional symptoms, secondary infections.
oSystemic manifestations including skin rash, hypercalcemia, and lytic bone lesions.
oMultiple organs may be involved; hepatosplenomegaly common.
MICROSCOPIC PATHOLOGY
ATLL cells
• Size
oIntermediate or large size, up to 3x size of
normal lymphocytes.
• Nucleus (flower-shaped / cloverleaf nucleus)
oContour: Convoluted or multilobulated.
oChromatin: Condensed chromatin.
oNucleolus: Invisible nucleoli.
• Cytoplasm
oMedium or scanty.
oBasophilic, agranular.
Bone Marrow examination
• Bone marrow infiltrates are usually patchy and subtle,
even in patients with a leukemic presentation, ranging
from sparse to moderate.
• Osteoclastic activity may be prominent, even in the
absence of BM infiltration by neoplastic cells.
Other Laboratory Tests
1. Seropositivity for HTLV-1:
oOnly useful in areas with low prevalence of HTLV-1
infection.
2. Complete blood count:
• Marked elevated leukocyte count and circulating
neoplastic lymphocytes (leukemic phase).
• Eosinophilia and neutrophilia are common due to
release of cytokines from leukemic cells.
3. Hypercalcemia:
• It is more common in patients with acute variant ±
associated lytic bone lesions.
ANCILLARY STUDIES
Flow cytometric immunophenotyping
• Expression of pan-T-cell antigens:
oCD2, CD3, and CD5 but usually lack
CD7.
oCD26 is often negative.
• CD4 and CD8 expression:
oMost cases are CD4+ and CD8−
oA few are CD4−, CD8+, or double positive
for CD4 and CD8.
• CD25 is strongly expressed in nearly all
cases.
CD4 positive T-cell
neoplasms
T-prolymphocytic
leukemia (T-PLL)
Adult T-cell leukemia/lymphoma
(ATLL) MF/SS
Anaplastic large cell
lymphoma (ALCL)
Mycosis Fungoides/Sézary syndrome (MF/SS)
• MF/SS clonal helper T-cell cutaneous neoplasms.
• Blood and BM features overlap, whereas cutaneous and
oncogenomic features and clinical course are distinct.
oSS exhibits triad of: erythroderma, generalized
lymphadenopathy, and blood involvement at presentation.
§ Rare patients have generalized itching rather than
erythroderma.
oMF does not exhibit overt blood involvement at
presentation, but this may occur during disease course.
• Criteria for SS diagnosis:
oErythroderma ≥ 80% of surface area.
oAbsolute Sézary cells count of > 1.0 x 10⁹/L.
oCD4:CD8 ratio > 10
oAberrant T-cell antigen expression: CD7(-), CD26(-).
CLINICAL FEATURES
- MF is the most common cutaneous T-cell lymphoma.
Age: Middle age to elderly. Median age is 60 years.
Gender: Both MF and SS has male predominance.
Manifestations
• Skin involvement predominates in both MF and SS.
• Diverse skin lesions in MF.
• Erythroderma in SS; rarely pruritus without erythroderma.
• Onset of erythroderma more abrupt in SS than slowly evolving skin lesions in MF.
• Lymphadenopathy at presentation in SS, often develops during MF disease course.
MICROSCOPIC PATHOLOGY
Sézary cells morphology
Sézary cells exhibit distinctive cytologic features:
• Size
oMedium to large overall size.
oIn some patients with SS, the circulating
neoplastic cells are small in size. These
small circulating Sezary cells can be
mistaken for normal lymphocytes. However,
on careful review, the nuclear atypia is
apparent.
• Nucleus
oContour: Distinctly cerebriform nuclear
configuration.
oChromatin: Nuclear chromatin typically highly
condensed.
Bone Marrow examination
• Bone marrow is often not involved or only
minimal involvement.
• When the BM is involved, Sézary cell infiltrate is
often sparse, predominantly a patchy or
interstitial pattern.
ANCILLARY STUDIES
1. Flow cytometric immunophenotyping
• Pan-T-cell antigens
o CD2, CD3, CD5 (+).
§ They may show altered levels of expressions of these
antigens.
o TCR-αβ (+), TCRγ/δ (−)
• CD4 and CD8 expression
o CD4(+) in vast majority of cases.
o Marked increase CD4:CD8 ratio > 10.
• Aberrant antigen expression
o Loss of CD7 & CD26: in 90% of cases.
§ It is important to remember that lack of CD7 expression can
be seen in up to 40% CD4+ T cells and lack of CD26 in 30–
40% of normal CD4+ T cells.
§ In normal T-cells: CD7- or CD26- T-cells are within a
spectrum.
§ In MF/SS, there is complete absence of these markers.
Normal T-cells Sézary cells
2. Immunohistochemistry
• Helper T-cell infiltrates highlighted by CD3 and CD4.
• CD7 and CD26 expression attenuated/absent.
CD3
MF/SS Prototypic Features
CD4 positive T-cell
neoplasms
T-prolymphocytic
leukemia (T-PLL)
Adult T-cell leukemia/lymphoma
(ATLL) MF/SS
Anaplastic large cell
lymphoma (ALCL)
ALK+ Anaplastic Large Cell Lymphoma
(ALK+ ALCL)
• Distinct subtype of T-cell lymphoma.
• Uniform expression of CD30 and ALK protein.
• It is characterized by ALK rearrangement.
ALK Gene Alterations
• t(2;5)(p23;q35) (ALK-NPM1) is most common
translocation in ALCL.
• ALK fusion proteins lead to constitutive activation of
ALK signaling pathway that is involved in
oncogenesis and tumor progression.
• ALK gene rearrangement usually indicates a good
prognosis.
CLINICAL FEATURES
- ALK+ ALCL comprises 3% of NHL in adults and 20–30% in children and adolescents.
Age: Median age at diagnosis of ALK+ ALCL is 30 years.
Gender: Slight male predominance.
Manifestations
• B symptoms, common.
• High-stage (III-IV) disease in majority of cases.
oPeripheral and intraabdominal lymphadenopathy.
oExtranodal involvement:
§ Skin, bone, soft tissue, and bone marrow.
§ PB involvement in subset of small cell variant of ALCL, ALK (+).
MICROSCOPIC PATHOLOGY
Morphologic variants
1. Classic (70%):
• Predominance of large cells with irregular nuclei and frequent large hallmark cells
2. Lymphohistiocytic (5–10%):
• Neoplastic cells admixed with abundant reactive histiocytes.
3. Small cell (5–10%):
• Predominance of small to medium-sized neoplastic cells with irregular nuclei.
• Cells with pale cytoplasm may be present.
• Hallmark cells are always present.
4. Sarcomatoid variants (<1%).
- Leukemic presentations of ALK1+ ALCL are most
often associated with small variant ALCL.
Lymphocyte morphology in PB (small variant
ALCL)
• Size: Small to medium
• Nucleus:
oChromatin: Condensed chromatin
oNuclear Contour: irregular nuclear contours
• Cytoplasm: Scant to moderate cytoplasm with
occasional cytoplasmic azurophilic granules
- Large tumor cells are often rare; if present, they
generally have basophilic and vacuolated cytoplasm
with moderately condensed chromatin and a single
prominent nucleolus
Bone Marrow examination
• In BM, the infiltrate is interstitial, which may be difficult to see due to small cell size
and a subtle infiltrate.
ANCILLARY STUDIES
1. Flow cytometric immunophenotyping
• Be careful with gating strategy!
• CD3 often negative.
• CD2, CD5, and CD4 expressed in 70% of
cases.
• CD30 positive.
• Side scatter often high
• Can be CD45 negative!!
2. Immunohistochemistry
• Expression of 1 or more T-cell-associated
antigens
oCD2, CD5, and CD4 expressed in 70% of cases.
oCD3 is negative in vast majority of the cases.
oCytotoxic-associated markers, TIA-1, granzyme
B, &/or perforin, expressed in most cases.
• Uniform expression of CD30 antigen with
membrane and Golgi patterns of staining.
oExpression of CD30 stronger in large cells but
weak to negative in smaller cells.
• Expression of ALK protein
CD30
ALK1
3. Cytogenetic studies
Conventional Cytogenetic Analysis
• Chromosomal translocations involving ALK gene
on 2p23
• Multiple translocation partners.
ot(2;5)(p23;q35); ALK-NPM1 in 70% (most
common).
• All ALK translocations upregulate ALK protein.
oALK protein expression is not specific for
ALCL, ALK (+):
§ Expressed in ALK (+) DLBCL.
§ Expressed in subset of lung
adenocarcinoma.
Fluorescence in Situ Hybridization (FISH)
Dual color break-apart probes
• Commonly used for its wider coverage of ALK
rearrangements.
• Detects all potential ALK fusion with various partner
genes.
• Cannot determine the specific partner gene fused
with ALK gene.
• Commonly used to determine eligibility for ALK
inhibitors.
Dual-color, dual-fusion probes
• Targeted probes are used to detect the most
common t(2;5).
• Not useful for screening of ALK rearrangements
due to several potential partner genes.
ALK BA
ALK-NPM1
CD8 Positive T-cell Neoplasms
T-cell Large Granular Lymphocytic Leukemia
(T-LGL)
• Large granular lymphocytic (LGL) leukemia is a persistent clonal
expansion of large granular lymphocytes (LGLs), either of
cytotoxic T-cells or NK cells, with BM infiltrate, frequent
splenomegaly, and cytopenia(s), most commonly neutropenia
followed by anemia.
• In this section, we will discuss T-cell LGL. NK-LGL leukemia is
now renamed as chronic lymphoproliferative disorder of NK cells
(CLPD-NK).
• Pathogenesis
oSTAT3 mutations in > 40%; somatic STAT5B mutations in 2%
§ Provide prosurvival and growth signals.
oChronic antigenic stimulation resulting in proliferation of T-
cell LGLs
oInhibition of apoptosis resulting in accumulation of T-LGLs.
T-cell Large Granular Lymphocytes
(T-LGL)
Functions
1. Regulation of hematopoiesis.
2. Regulation of B-lymphocytes.
3. Low NK-cell activity (MHC non-restricted
cell lysis and destruction of normal tissue)
4. Variable ADCC.
5. Contrasuppressor activity: Inhibition of
other T-suppressor cells from inhibiting T-
helper cell activity.
Immunophenotype
• CD3 +, CD8 +, CD4 −, CD57 +, CD56 small
subset, CD16 −/very dim +, CD94 dim +,
TCR-αβ +
NK- Large Granular Lymphocytes
(NK-LGL)
Functions
1. Regulation of hematopoiesis.
2. Key role in innate immunity.
3. High NK-cell activity (MHC non-restricted
cell lysis).
4. ADCC.
5. Immunosurveillance for spontaneously
occurring neoplasms.
6. Resistance to viral infections.
Immunophenotype
• sCD3 −, CD2 +, CD5 −, CD7 +, CD8
subset+, CD16 +, CD56 +, CD57 small
subset +, CD38 bright + and CD94 +.
CLINICAL FEATURES
Age: Median age at diagnosis of T-cell LGL leukemia is 60 years.
o 20-25% of patients are younger than 50 years.
Gender: T-cell LGL leukemia affects men and women equally.
Manifestations
• Most of the patients with T-cell LGL leukemia come to medical attention with cytopenia(s), frequently isolated
neutropenia.
o Pure red cell aplasia (PRCA) has been reported in 20 % of patients, and aplastic anemia has also been
reported.
o Thrombocytopenia occurs in about 20% of patients and ITP is seen at an increased frequency in patients
with T-cell LGL leukemia.
• Splenomegaly is observed in 25–50% of cases, whereas hepatomegaly and lymphadenopathy are very rare.
• Rheumatoid arthritis appears to be the most frequent autoimmune disease associated with T-cell LGL leukemia,
reported in up to 35% of patients.
o Serologic abnormalities (rheumatoid factor, antinuclear antibody, and polyclonal hypergammaglobulinemia)
are frequent, even in patients without clinical manifestation of an autoimmune disease.
MICROSCOPIC PATHOLOGY
LGL lymphocytosis
• Absolute LGLs range between 2 and 20 x 10⁹/L
(according to WHO guideline).
• Occasional cases LGLs range between 0.5 and 10 x
10⁹/L.
LGL morphology
Size: Small to medium in size.
Nucleus:
oContour: Round/slightly indented contour.
oNucleolus: Inconspicuous nucleoli.
oChromatin: Condensed chromatin.
Cytoplasm: Abundant pale cytoplasm, and fine
azurophilic granules.
Bone Marrow examination
• Presence of BM infiltrate is in favor of T-cell LGL leukemia.
• Interstitial/intrasinusoidal patterns common.
oMorphologically occult and difficult to identify.
oImmunostains helpful to identify T-LGL infiltrate.
ANCILLARY STUDIES
1. Flow cytometric immunophenotyping
• Common type of T-cell LGL leukemia (present in 70% of cases)
oCD3 (+) with coexpression of CD16 (+) and CD57 (+), CD4 (-), T-cell receptor αβ (+).
oT-cell antigen aberrancy (diminished CD2, CD5 or CD7 expression common).
oCD56 is generally negative in T-cell LGL leukemia, unlike normal/reactive T-LGL
cells.
§ However, uniform expression of CD56 can be seen in some T-cell LGL leukemia.
üCD56+ T-cell LGL leukemia is a clinically aggressive variant T-LGL leukemia.
However, these reported CD56+ cases are all CD57-negative.
oSurrogates of clonality
§ Uniform expression of a single KIR antigen: CD158a, CD158b, CD158e.
§ Uniform expression of T-cell receptor Vβ region.
T-cell LGL leukemia (Common type)
• T-cell LGL leukemia, TCR-γδ variant
oComprises 10% (5 – 15%) of all T-cell LGL leukemia.
oCD3 bright (+), CD8 (−), CD4 (−), CD57 (+) and TCR γδ (+).
oCD56 is often negative but can be partial/subset+ or positive together with
CD57.
§ In some cases, the leukemic cells may be negative for both CD56 and
CD57.
oCD5 is dimmer (+) or partial (+) and only occasionally completely negative.
oThe critical differential diagnosis is hepatosplenic γδ T-cell lymphoma.
• CD4+ T-cell LGL leukemia
oThe typical immunophenotype is CD3+, CD4+, CD56+, CD57+, and TCR-αβ
(+), with a variable dim CD8 expression.
T-cell LGL leukemia TCR-γδ variant
CD4+ T-cell LGL leukemia
2. Immunohistochemistry
• Identification of T-cell LGL infiltrate is challenging since CD3+ T-cells are invariably
present in a normal BM and may be significantly increased in reactive BM.
• IHC stains are necessary to identify and confirm the presence of the infiltrate.
oCD3, granzyme B, and TIA1 are considered to be the basic three IHC markers to
identify a T-cell LGL infiltrate.
§ Granzyme B: Excellent to identify cytotoxic cells
üHowever, in about 30% T-cell LGL leukemia, granzyme B may be aberrantly
lost or partially lost. Therefore, TIA1 is necessary.
§ TIA1: In LGL, it shows dark, dot-like, and punctuate staining.
oCD4 and CD8 IHC can be helpful to show the predominance of CD8+ T-cells.
TIA1
CD8
CD3
Granzyme B
3. Genetic studies
• A minority of cases demonstrate numeric and/or structural chromosomal abnormalities
involving chromosomes 7, 8, and 14.
oHowever, none of the changes is specific for T-cell LGL leukemia.
• Identification of clonal TCR gene rearrangement by PCR helps for a diagnosis of T-cell
LGL leukemia.
• Point mutations in STAT3 are found in around 30–40%, up to 70% of patients.
oSTAT3 mutations in T-cell LGL leukemia are gain-of-function mutations.
DIFFERENTIAL DIAGNOSIS
Reactive T-cell LGL lymphocytosis (T-cell clonopathy of unknown or undetermined
significance “TCUS”)
• Etiologies
oViral infections.
oAdvancing age.
oAfter hematopoietic stem cell transplantation.
oCombined variable immunodeficiency.
• Presentation
oPatients with reactive LGL lymphocytosis often have cytopenia(s) and various clinical
symptoms related to underlying medical conditions, and, the expansion of LGL cells may
last for a prolonged period of time.
• Morphology
oTypical LGL morphology.
oLGL lymphocytosis shows no BM involvement; whereas T-
cell LGL leukemia almost always shows BM infiltration.
oTherefore, a BM biopsy with IHC panel is recommended to
confirm diagnosis of LGL leukemia.
• Immunophenotype
oNormal T-cell LGL immunophenotype (no aberrancy).
• Molecular studies
oPolyclonal/oligoclonal T-cell receptor γ.
Diagnostic criteria of T-cell LGL leukemia*
Major criteria
1. Flow-cytometric immunophenotyping revealing > 50% of the total PB or BM surface CD3-positive T-
cells to have two or more of the following:
o CD8 positive (may be dim).
o Uniform expression of CD16 or CD57 (>75% of cells positive).
o Loss of CD5 expression (partial or complete).
o Uniform expression of one or more of the KIRs CD158a, CD158b, and CD158e.
2. Intrasinusoidal BM or splenic infiltration by cytotoxic lymphocytes positive for one CD8 and one or
more of the cytotoxic markers TIA-1, granzyme B, granzyme M, or perforin.
3. T-cell clonality by flow-cytometric analysis of TCR Vβ expression or molecular genetic analysis of T-
cell receptor gene rearrangements.
4. STAT-3 gene mutation in exons 20 or 21.
* Hematopathology, 2nd edition, Jaffe.
Minor criteria
1. PB granular lymphocytes (morphology) or CD8-positive T-cells (flow cytometry) either > 2 ×
109/L or > 80% of total lymphocytes.
2. Unexplained persistence of cell population for longer than 6 months.
3. Positive rheumatoid factor, ANA, or polyclonal hypergammaglobulinemia.
4. Unexplained neutropenia (<1.8 × 109/L) and/or anemia (<10 g/dL).
5. Peripheral blood absolute NK-cell count < 0.1 × 109/L or < 5% of total lymphocytes.
6. STAT-5B gene mutation in exons encoding the SH2 domain.
Diagnosis of T-cell LGL leukemia requires three or more major criteria are present or two
major criteria and two or more minor criteria.
* Hematopathology, 2nd edition, Jaffe.
γδ T-cell neoplasms
γδ T-cell neoplasms
Hepatosplenic T-cell lymphoma
(HSTL)
T-cell LGL leukemia, γδ variant
γδ T-cell neoplasms
Hepatosplenic T-cell lymphoma
(HSTL)
T-cell LGL leukemia, γδ variant
Hepatosplenic T-cell lymphoma (HSTL)
• HSTL is an aggressive T-cell lymphoma, characterized by a
primary extranodal involvement of medium-sized lymphoid cells,
typically with a sinusoidal infiltration of the liver, spleen, and BM.
• Most cases are of γ/δ T-cell origin.
• HSTL is resistant to current chemotherapeutic regimens and has
a rapidly progressive disease course.
• The diagnosis is usually established based on the combination of
clinical findings, histologic features, and immunophenotyping
result.
Pathogenesis:
• Chronic antigen stimulation in the setting of immune deficiency or
immune dysregulation might be important in the pathogenesis of
HSTL.
• About 20% patients are immunosuppressed:
o Such as: solid organ transplant recipients or patients with
leukemia receiving chemotherapy.
o Some patients have a history of autoimmune disease, such
as lupus and rheumatoid arthritis, or inflammatory bowel
disease.
CLINICAL FEATURES
Age: HSTL, γ/δ subtype occurs predominantly in adolescents and young adults.
oMedian age: 35 years.
Gender: Marked male predominance (M:F ratio= 9:1).
Manifestations
• Patients often present with fever, fatigue, weight loss, and abdominal discomfort due to
hepatosplenomegaly and, sometimes, with jaundice because of liver involvement.
• Lymphadenopathy is usually absent.
• PB often shows pancytopenia or bicytopenia(s) (anemia and thrombocytopenia).
oCytopenia(s) may be a combination of hypersplenism, BM infiltrate, or abnormal cytokine release
by tumor T-cells with or without an underlying hemophagocytosis.
• Patients usually do not have peripheral lymphocytosis at initial presentation; however, a small
population of circulating neoplastic lymphocytes may be seen at the presentation in 50%.
MICROSCOPIC PATHOLOGY
Lymphocyte morphology
Size:
oIntermediate to large (blastic-like) cells.
Nucleus:
oContour: Irregular contour.
oNucleolus: Inconspicuous nucleoli.
oChromatin: Condensed but dispersed chromatin.
Cytoplasm:
oModerate amount of basophilic agranular cytoplasm.
oLymphoma cells may contain variable numbers of
azurophilic granules and, when abundant, may be
mistaken as LGL cells
• Although patients often do not have PB lymphocytosis, the
neoplastic cells are often present in peripheral blood in
variable numbers
Bone Marrow examination
BM is almost always involved in HSTL.
Pattern of BM infiltration
• The infiltrate is intrasinusoidal, and the infiltrate can be very subtle at the time of
diagnosis.
oOne of the important features of HSTL is that the lymphoma cells not only involve
sinuses but also expand the sinuses. This expansion of sinuses differs from T-
cell LGL leukemia with a sinusoidal involvement, which often shows a linear
single layer of cells.
oIn many cases, the infiltrate may be missed if IHC or flow cytometry study is not
performed.
oThe cells in the intrasinusoidal spaces are often monomorphic and medium-sized,
with slightly irregular nuclei, condensed chromatin, indistinct nucleoli, and
moderate amount of clear cytoplasm.
• As the disease progresses, the neoplastic infiltrate can go beyond the sinuses,
showing an interstitial or diffuse pattern.
(a & b) Bone marrow biopsy shows a lymphoid infiltrate. (c) CD3 highlights the infiltrate with a sinusoidal expansile pattern,
only very few tumor cells are scattered in the interstitial area.
a b c
Other findings in BM
• Dysplastic features involving 1–3 hematopoietic cell lineages can be frequently
observed in patients with HSTL.
oThis is likely a result of cytokine effects or due to the perturbation of the BM
microenvironment by lymphoma cells.
• Increased histiocytes may be seen in some cases, some with phagocytosis,
particularly in patients with clinical and laboratory evidence of hemophagocytic
syndrome.
ANCILLARY STUDIES
1. Flow cytometric immunophenotyping
• HSTL (γδ subtype)
osCD3 is often bright positive.
oDouble negative for CD4 and CD8.
§ Occasionally, some cases may be
CD8 positive.
oPositive for CD2 and CD7.
oCD5 negative.
oPositive CD56, CD94, and CD16
oNegative for CD57.
oTCR γ/δ (+) and TCR α/β (-).
• HSTL (αβ subtype)
osCD3 (+)
oDouble negative for CD4 and CD8.
§ Occasionally, some cases may
be CD8 positive.
oPositive for CD2 and CD7. CD7
may be negative in some cases.
oCD5 -/+
oPositive CD56, CD94, and CD16
oCD57 had been reported to be
expressed in HSTL α/β subtype.
oTCR γδ (−) and TCR αβ (+).
2. Immunohistochemistry
• HSTL is generally positive for CD3, TIA1 and
granzyme M, but perforin and granzyme B
are generally negative or partially lost.
• CD57 expression is generally absent in TCR
γδ HSTL but has been reported in TCR αβ
HSTL.
• CD4 and CD8 are typically negative.
• Flow cytometry is superior to
immunohistochemistry for the detection of the
surface TCR subtypes.
CD3
3. Genetic studies
• Isochromosome 7q is a recurrent cytogenetic
abnormality and present in most cases of HSTL.
oFISH is more sensitive than conventional
karyotyping in the detection of cytogenetic
abnormalities.
oA number of patients with i7q may also have
trisomy 8 abnormality.
• Gene mutations
oSETD2 (a tumor suppressor gene) mutations
in about 70% of patients with HSTL.
oSTAT5B is detected in around 30%
oSTAT3 is less common (9%).
Subtelomeric probe for 7p (green) and 7q (red)
Features LGL HSTL
Age 60 (12–87) 34 (16–58) (Younger age than T-LGL leukemia)
Male/female 1:1 (Equal) 5:1 (Male predominance)
C/P o Underlying autoimmune disease or autoantibodies.
o Chronic infection.
o B-symptoms: Fever, weight loss, night sweats, and fatigue.
o Hemophagocytosis is common.
o Association with immunosuppression.
Organomegaly o Mild splenomegaly in 20–50%.
o Hepatomegaly rare.
o Marked splenomegaly in 100%.
o Hepatomegaly in 50%.
LN enlargement Uncommon. Uncommon.
Abnormal LFT Uncommon. Common.
CBC Isolated neutropenia or pure red cell aplasia. Pancytopenia is common.
BM infiltrate o Interstitial and or intrasinusoidal linear pattern.
o Reactive lymphoid aggregates common.
o Intrasinusoidal/intravascular, with expansion of the sinuses.
Immunophenotype CD5 dim (+), CD56 −/ or variably+, CD57 (+),
CD16/CD94 dim
CD5 often negative, CD56 (+), CD57 (−), CD16/CD94 frequently
bright (+)
Cytotoxic granules o TIA1 (+).
o Granzyme B may be lost in about 30–40% cases
o TIA1 (+).
o Granzyme B often negative
Cytogenetics/mutation o Mostly normal
o STAT3 in 30-40%, and rare STAT5B.
o i7q, +8
o SETD2, STAT5B, rare STAT3.
Clinical course Indolent Aggresive
Criteria supporting HSTL
1. B symptoms.
2. Massive splenomegaly.
3. Lymphoma cells expand BM sinuses.
4. Immunophenotype displays CD3 (+), CD5 (-), CD4 (-)/CD8 (-), CD56 (+), granzyme-B (-) and
TCR-γδ (+).
5. Isochromosome 7q or trisomy 8.
6. Monoclonal TCR gene rearrangement.
Diagnostic criteria of HSTL*
* Yabe M et al: Distinguishing between hepatosplenic T-cell lymphoma and γδ T-cell large granular lymphocytic leukemia: a
clinicopathologic, immunophenotypic, and molecular analysis. Am J Surg Pathol. 2017; 41: 82-93.
Criteria not supporting HSTL
1. Absence of splenomegaly.
2. Lymphadenopathy.
3. Extranodal site of involvement.
4. PB lymphocytosis > 5x109/L.
5. Neoplastic lymphocytes with azurophilic granules.
6. Evidence of infection by EBV, HIV or HTLV-1.
7. Immuophenotype with expression of CD5, CD8, CD57, granzyme B and TCR- αβ.
8. Negativity for monoclonal TCR gene rearragement
* Yabe M et al: Distinguishing between hepatosplenic T-cell lymphoma and γδ T-cell large granular lymphocytic leukemia: a
clinicopathologic, immunophenotypic, and molecular analysis. Am J Surg Pathol. 2017; 41: 82-93.
NK-cell Lymphoproliferative Neoplasms
NK-cell lymphoproliferative
neoplasms
Chronic lymphoproliferative
disorder of NK-cells (CLPD-NK)
Aggressive Natural Killer
Leukemia (ANKL)
NK-cell lymphoproliferative
neoplasms
Chronic lymphoproliferative
disorder of NK-cells (CLPD-NK)
Aggressive Natural Killer
Leukemia (ANKL)
Chronic Lymphoproliferative Disorder
of NK-cells (CLPD-NK)
• CLPD-NK is an indolent disease characterized by PB
lymphocytosis and cytopenias.
• CLPD-NK was recognized as a provisional entity in the 2008
WHO classification, a status it retains in the 2017 revision.
• It is defined as a persistent (> 6 months) NK- cell proliferation
with PB absolute lymphocyte count (ALC) of ≥ 2 × 109/L.
• CLPD-NK comprises approximately 5% of all patients with
LGL leukemia.
Pathogenesis
• Overlap With T-Cell LGL leukemia
o Chronic persistent antigenic stimulation likely pathogenic
for both T-LGL leukemia and CLPD-NK.
o Dysfunctional activation of survival pathways and the
evasion of apoptosis.
o Activating STAT3 mutations detected in 30% of cases.
CLINICAL FEATURES
Age: Affects adults predominantly (median age: 60 years).
Manifestations
• CLPD-NK has a similar indolent clinical presentation as T-cell LGL leukemia.
• Differences between CLPD-NK and T-cell LGL leukemia:
oPatients with CLPD-NK are less symptomatic and less likely associated with rheumatoid
arthritis.
oAutoimmune cytopenias, such as PRCA, aplastic anemia, and mild thrombocytopenia, may
be more frequently present in CLPD-NK.
oSeverity of neutropenia is often less than in that of T-cell LGL leukemia.
• The number of circulating PB NK-cells usually remains stable for a long period of time, and
some cases have even been reported to show spontaneous regression.
MICROSCOPIC PATHOLOGY
Lymphocyte morphology
• Mature NK cells ≥ 2 x 10⁹/L in PB.
• The cells of CLPD-NK are morphologically indistinguishable from
T-cell LGL:
Size: Small to medium in size.
Nucleus:
o Contour: Round/slightly indented contour.
o Nucleolus: Inconspicuous nucleoli.
o Chromatin: Condensed chromatin.
Cytoplasm: Abundant pale cytoplasm, and fine azurophilic granules.
• Similar to T-cell LGL leukemia, they may show some morphological
atypia, such as reduced granules, reduced cytoplasm, and
irregularity of nuclear contours, differing from normal NK cells.
Bone Marrow examination
• LGLs may be subtle in BM.
• BM infiltrates best identified by immunohistochemical staining for CD3 and TIA-1.
oInfiltrates subtle and often intrasinusoidal &/or focal, patchy.
ANCILLARY STUDIES
1. Flow cytometric immunophenotyping
• Normal NK-cells immunophenotype
oNegative sCD3, CD5, CD4, CD8.
§ CD8 may be subset positive.
oPositive CD2, CD7.
oPositive CD16, CD56, CD94.
oCD57 small subset positive.
oCD38 bright positive.
oNegative HLA-DR.
oKIR antigens (CD158a, CD158b,
CD158e): polytypic pattern.
• CLPD-NK immunophenotype
oShows an aberrant immunophenotype in majority of patients.
oNegative sCD3 and CD5.
oPositive CD2.
oDistinctly bright CD16
oPositive (dim) CD7.
oCD8 is either negative or uniformly positive.
oUniform bright expression of CD94 with or without NKG2A.
oDecreased or absent of CD56 expression in 50–60%.
oIncreased CD57 expression in about 60% cases.
oOther aberrancies:
§ Decreased or diminished CD16.
§ Increased HLA-DR, granzyme B, and perforin.
§ Decreased CD38.
NK-cell clonality by flow cytometry
• Killing inhibitory receptors (KIRs) of NK cells bind to MHC class I molecules expressed
on potential target cells to regulate effector cell activity.
• KIR antigens (CD158a, CD158b, and CD158e) can be assessed by flow cytometry to
provide information of NK-cell clonality.
• Evidence of NK-cell clonality by flow cytometry:
oRestricted expression of a single KIR isoform: reported in about 30–40% of clonal
CLPD-NK cases.
oCompletely absent expression of CD158a, CD158b, or CD158e: in the remaining
cases of CLPD-NK.
2. Immunohistochemistry
• NK cells express CD3 (cytoplasmic), spectrum
of CD56, CD2, TIA-1, and granzyme B.
oCD8 expression variable; CD5 usually
negative.
oEBV Encoded RNA (EBER) negative. Granzyme B
3. Genetic studies
• In the majority of the CLPD-NK cases, karyotype is normal.
oDel(16q) has been reported in some patients.
• Molecular methods
oA clonal NK cell proliferation does not show TCR gene rearrangements.
oThe methods for NK-cell clonality assessment include:
§ Assessment of the pattern of inactivation of the X-chromosome (e.g., the human
androgen receptor assay (HUMARA).
§ Presence of STAT3 mutations (approximately 30–40% cases).
Habibe et al. “Chronic lymphoproliferative disorder of NK-cells: A single-institution review with emphasis on relative utility
of multimodality diagnostic tools.” European Journal of Hematology 100 (2018): 444–454.
Diagnostic criteria of CLPD-NK
Modified according to Lamy T et al. Blood, 2017, 129(9):1082-1094
A suggested algorithm in the workup of LGL proliferation
NK-cell lymphoproliferative
neoplasms
Chronic lymphoproliferative
disorder of NK-cells (CLPD-NK)
Aggressive Natural Killer
Leukemia (ANKL)
Aggressive NK Leukemia (ANKL)
• ANKL is a neoplasm of NK-cells characterized by
Epstein-Barr virus (EBV) positivity & aggressive
multisystem disease.
oHowever, EBV-negative ANKL has been described.
• It is a very rare and extremely aggressive neoplasm.
Pathogenesis
• EBV Positivity
oSupports viral oncogenic role.
oMay evolve from chronic active EBV infection.
CLINICAL FEATURES
• Age: Predominates in young to middle-aged adults.
• Ethnicity: Highest incidence in Asians & Native Americans.
• Manifestations
oGenerally acute onset of symptomatology.
oPatients usually are extremely ill, with fever, acute coagulopathy, hepatosplenomegaly,
pancytopenia, and abnormal liver function.
oIncreased LDH and increased ALT & AST.
oSome patients have a high WBC count due to the presence of circulating tumor cells.
oThere is frequent CNS involvement.
oThe disease course is fulminant; with multiorgan failure and disseminated intravascular
coagulation, death usually occurs within a few weeks.
MICROSCOPIC PATHOLOGY
Lymphocyte morphology
• ANKL cells could be quite variable in size and appearance.
oIn some patients the leukemic cells are pleomorphic,
larger with more open chromatin and distinct nucleoli.
oSome patients have blast-like morphology with
monotonous, medium-sized lymphocytes that have fine
chromatin and coarse azurophilic granules.
oIn other patients, the cells have been described similar
to LGL cells that the cytoplasm often contains variable
numbers of azurophilic granules
oIn some cases, tumor cells may not have visible
cytoplasmic granules
Bone Marrow examination
• The BM involvement can be variable, from a
massive infiltrate to a subtle involvement.
• The infiltrative pattern is often interstitial, followed
by a diffuse, focal, and rarely intrasinusoidal
pattern.
• Hemophagocytosis can be identified in a
significant subset of patients, with increased
mature histiocytes containing red blood cells or
nucleated cells
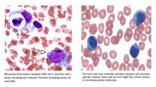
BM aspirate smear shows a neoplastic ANKL cell in conjunction with a
benign hemophagocytic histiocyte. Prominent hemophagocytosis can
mask ANKL.
The tumor cells have moderately abundant cytoplasm with azurophilic
granules. However, these cells are much bigger than normal, reactive,
or clonal large granular lymphocytes
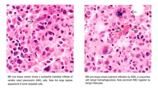
BM core biopsy section shows a substantial interstitial infiltrate of
variably sized pleomorphic ANKL cells. Note the large tadpole
appearance of some neoplastic cells.
BM core biopsy shows extensive infiltration by ANKL in conjunction
with benign hemophagocytosis. Note prominent RBC ingestion by
benign histiocytes.
ANCILLARY STUDIES
1. Flow cytometric immunophenotyping
• The tumor cells are negative for sCD3 and CD5 and
positive for CD2, CD7, CD56, and CD94.
o A decrease or loss of CD7 expression is common.
o CD56 is generally bright and CD16 dimmer or lost.
• CD8 is often negative but can be uniformly positive in rare
cases.
• CD57 is generally negative (in over 90% cases).
• HLA-DR is often brightly positive.
• Other alterations: loss or decreased expression of CD38.
• CD158a, CD158b, and CD158e: entirely lost in 70–75% of
the patients, and a positive expression is only seen in
about 20–25% cases.
• TCRαβ, and TCRγδ: consistently absent.
2. Immunohistochemistry
• Key to identification of subtle infiltrates.
• Key to delineation of NK-cell lineage.
• Typically, positive for CD2, cCD3, CD56, TIA-1,
granzyme B.
• Epstein-Barr encoded RNA (EBER) by in situ
hybridization should be performed in all cases,
and > 90% cases are EBER positive.
CD3
EBER
3. Genetic studies
• Clonal cytogenetic abnormalities are detected in approximately two-thirds of cases,
including a frequent complex karyotype but nothing specific.
oThe most common abnormalities are in chromosome 13 and 11 (38.5%).
• STAT3 and STAT5B mutations have been reported.
• TCR has a germ-line configuration.
Aggressive NK-cell Leukemia Prototypic Features
Features CLPD-NK ANKL
Age o 60 years. o 30 – 40 years.
C/P o Underlying autoimmune disease or
autoantibodies.
o Fever, constitutional symptoms, acutely ill.
o Hemophagocytosis is common.
Organomegaly o Mild splenomegaly in 20–50%.
o Hepatomegaly rare.
o Hepatosplenomegaly or isolated hepatomegaly or splenomegaly
(seen in almost all patients).
LN enlargement o Uncommon. o Uncommon.
Liver enzymes & LDH o Normal. o Elevated in most cases.
CBC Isolated cytopenia (anemia, leucopenia or
thrombocytopenia).
o Pancytopenia is common.
o Some patients with high WBC count due to circulating tumor cells.
NK cell cytology o Small
o Round to slightly elongated nuclei,
o Moderate cytoplasm with azurophilic granules
o Often large, pleomorphic; some can be monotonous.
o Chromatin is often slightly immature. Some may have nucleoli.
o Cytoplasm has variable azurophilic granules, but some may not
have visible granules
BM infiltrate o Interstitial and or intrasinusoidal linear pattern.
o Reactive lymphoid aggregates common.
o Interstitial, diffuse, rarely intrasinusoidal.
o Hemophagocytosis is common.
Immunophenotype o sCD3 (−), CD4 (−), CD5 (−), TCR (−)
o Often CD57 (+), CD56 (−) / dim (+)
o Often CD16 (+)
o Often CD7 (+)
o sCD3 (−), CD4 (−), CD5 (−), TCR (−)
o Often CD56 bright (+) and CD57 negative
o CD16 dim (+) or negative
o CD7dimmer (+) or negative
EBER o Negative. o Positive in > 90% of patients.
Clinical course o Indolent. o Aggressive.

Mature T/NK cell Neoplasms

  • 1.
    Mature T/NK-cell Neoplasms By: AhmedMakboul Ahmed M.B.B.Ch, M.Sc Assistant Lecturer, Clinical Pathology Department, South Egypt Cancer Institute
  • 2.
  • 3.
  • 4.
  • 6.
    There are twoclasses of T-cells: alpha beta T-cells and gamma delta T-cells. This distinction is based on the structure of the T-cell receptor. Alpha beta (αβ) T-cells • Represent the majority of T-cells. • They express CD4 or CD8 as well as CD5. Gamma delta (γδ) T-cells • <5% of all normal T-cells. • Distribution: Found mainly in the splenic red pulp, intestinal epithelium, and other epithelial sites. • Function: γδ T-cells serve as a first line of defense against bacterial peptides, such as heat shock proteins. oInvolved in responses to mycobacterial infections and in mucosal immunity. • Immunophenotype: oBright CD3, CD2+, CD7+ oCD4-, CD8- (a subset may be CD8+) oCD5 dimmer positive / small subset may be negative oCD16 subset+, CD56 subset+, CD57 subset+, CD94+ oThey are smaller on forward scatter.
  • 8.
    Immunophenotyping of normalγδ T-cells (pink population)
  • 9.
  • 10.
    2. T follicularhelper (TFH) cells Function • TFH cells provide help to B-cells in the context of the germinal center reaction. Immunophenotype • They express the germinal center markers: BCL6 and CD10. oThese markers are also normally found on germinal center B-cells. • CD4+, CD57+ and CD279/PD1+, ICOS+ • They produce the chemokine CXCL13 and express chemokine receptor CXCR5. oIncreased expression of CXCL13 is seen in angioimmunoblastic T-cell lymphoma (AITL).
  • 11.
    3. Regulatory T-cells(T-reg) • Regulatory T-cells (T-regs) are a subset of CD4+ T cells whose function is to suppress immune responses and maintain self- tolerance • Classic immunophenotype: CD4+, CD25+, FOXP3+. • Function: T-regs suppress immune responses by: oProduction of the immunosuppressive cytokines IL-10 and TGF-β. oConsumption of IL-2.
  • 12.
  • 13.
    Natural Killer (NK)cells • The first and best innate immune cells. • 5% to 15% of the mononuclear cells in PB and spleen. • Immunophenotype osCD3 (−), CD5 (−) oCD2 (+), CD7 (+) oCD8 partial (+) oCD56 (+), CD16 (+), CD94 (+), and CD57 small subset oNK cells express various KIR antigens (CD158a, CD158b, CD158e)
  • 14.
  • 15.
    Function: • Immune responsesmainly against intracellular viruses and bacteria and tumor cells. Mechanism of killing: • Antibody-dependent cell-mediated cytotoxicity (ADCC). • Killer activation receptors and inhibitory killer- cell immunoglobulin-like receptors.
  • 16.
  • 17.
    1. CD4 positivemature T-cell neoplasms • T-cell prolymphocytic leukemia (T-PLL). • Adult T-cell leukemia/lymphoma (ATLL). • Mycosis Fungoides/Sézary syndrome (MF/SS). • Anaplastic large cell lymphoma (ALCL). 2. CD8 positive mature T-cell neoplasms • Large granular lymphocyte (LGL) leukemia. 3. γδ T-cell neoplasms • Hepatosplenic T-cell lymphoma (HSTCL). • LGL leukemia, γδ variant. 4. NK-cell lymphoproliferative neoplasms • Chronic Lymphoproliferative Disorder of NK Cells (CLPD-NK). • Aggressive NK cell leukemia (ANKL).
  • 18.
  • 19.
    CD4 positive T-cell neoplasms T-prolymphocytic leukemia(T-PLL) Adult T-cell leukemia/lymphoma (ATLL) MF/SS Anaplastic large cell lymphoma (ALCL)
  • 20.
    CD4 positive T-cell neoplasms T-prolymphocytic leukemia(T-PLL) Adult T-cell leukemia/lymphoma (ATLL) MF/SS Anaplastic large cell lymphoma (ALCL)
  • 21.
    T-cell Prolymphocytic Leukemia(T-PLL) • Aggressive T-cell leukemia characterized proliferation of small to medium-sized prolymphocytes with a mature post-thymic T-cell phenotype. • T-PLL involves PB, BM, lymph nodes, liver, spleen and skin. • Approximately 90% of cases demonstrate chromosome abnormalities involving chromosome 14.
  • 22.
    CLINICAL FEATURES Age: Medianage at diagnosis of T-PLL is 65 years. Gender: Slight male predominance. Manifestations • Most patients with T-PLL present with an elevated WBC. WBC is often markedly increased, > 100 x 109/L. oNot uncommonly, some patients may present with a WBC around 20–30 x 109/L that often progressively increases in the course of disease. • Hepatosplenomegaly (50–70%), generalized lymphadenopathy (50%), anemia and thrombocytopenia, skin infiltration (20–25%), and serous effusions (i.e., pleural) (15%) occur at various frequencies in patients with T-PLL.
  • 23.
    MICROSCOPIC PATHOLOGY Lymphocyte morphology •Size oSmall to medium sized. • Nucleus oContour: Round nuclear contours. oChromatin: Moderately condensed nuclear chromatin. oNucleolus: Prominent nucleoli. • Cytoplasm oModerate amounts of pale blue, agranular cytoplasm. oCytoplasmic blebs are common.
  • 24.
    Bone Marrow examination •BM is almost always involved oPattern of infiltration: § Interstitial pattern. § diffuse leukemic infiltrative pattern. Morphologic variants 1. Small cell variant • 20% of cases. • Small neoplastic cells with inconspicuous or absent nucleolus. 2. Cerebriform variant • 5% of cases. • Cells have irregular nuclear outline resembling cerebriform nucleus of Sézary cells seen in MS/SS.
  • 25.
    ANCILLARY STUDIES 1. Flowcytometric immunophenotyping • Pan-T-cell antigens: o CD7 and CD5 usually strongly (+). o Positive CD26 in all cases. o Cytoplasmic CD3 always (+) o Surface CD3(+/-) and can be dim. o TCR-αβ can be variably (+). • Frequency of CD4 and CD8 expression: o CD4(+), CD8(-): 60% o CD4(+), CD8(+): 35% o CD4(-), CD8(+): 4% o CD4(-), CD8(-): 1% • CD52 strongly positive in virtually all cases. o Needed for treatment purposes (Anti-CD52). • CD45 expression is bright unlike lymphoblasts. o It can be negative in 5 – 10% of cases. • Immature markers (CD34, TdT, CD1a) negative.
  • 26.
    2. Immunohistochemistry • PanT-cell antigens expressed; CD4(+) or CD4/CD8 coexpression. • Unique marker is nuclear and cytoplasmic positivity for TCL1 oncoprotein. TCL1
  • 27.
    3. Cytogenetic studies •Chromosomal abnormalities are common, observed in 60–70%, and the majority has a complex karyotype. • Chromosome 14 abnormalities inv(14)(q11q32) and t(14;14)(q11;q32) resulting in TCL1 rearrangement are detected in 80% of the cases and have become the hallmarks of T- PLL. oAnother abnormality, t(X;14)(q28;q11), involves a homolog of TCL1, MTCP1 (mature T-cell proliferation 1 gene). TCL1 rearrangement
  • 28.
  • 29.
    CD4 positive T-cell neoplasms T-prolymphocytic leukemia(T-PLL) Adult T-cell leukemia/lymphoma (ATLL) MF/SS Anaplastic large cell lymphoma (ALCL)
  • 30.
    Adult T-cell Leukemia/Lymphoma(ATLL) • ATLL is a peripheral T-cell neoplasm that is caused by the human retrovirus known as human T-cell leukemia virus type 1 (HTLV-1). • ATLL is considered to derive from HTLV-1-infected memory T-cells with stem cell-like properties. • About 4–5% of infected persons develop ATLL in endemic areas. • The latency intervals are generally long, about several decades.
  • 31.
    CLINICAL FEATURES Age: ATLLmanifests exclusively in adults; due to long latency period. Gender: Slight male predominance. Manifestations • Multiple clinical forms: oSmoldering and chronic. oLymphomatous. oAcute (leukemic). • Abrupt onset of acute leukemic form (ATL): oConstitutional symptoms, secondary infections. oSystemic manifestations including skin rash, hypercalcemia, and lytic bone lesions. oMultiple organs may be involved; hepatosplenomegaly common.
  • 32.
    MICROSCOPIC PATHOLOGY ATLL cells •Size oIntermediate or large size, up to 3x size of normal lymphocytes. • Nucleus (flower-shaped / cloverleaf nucleus) oContour: Convoluted or multilobulated. oChromatin: Condensed chromatin. oNucleolus: Invisible nucleoli. • Cytoplasm oMedium or scanty. oBasophilic, agranular.
  • 33.
    Bone Marrow examination •Bone marrow infiltrates are usually patchy and subtle, even in patients with a leukemic presentation, ranging from sparse to moderate. • Osteoclastic activity may be prominent, even in the absence of BM infiltration by neoplastic cells. Other Laboratory Tests 1. Seropositivity for HTLV-1: oOnly useful in areas with low prevalence of HTLV-1 infection. 2. Complete blood count: • Marked elevated leukocyte count and circulating neoplastic lymphocytes (leukemic phase). • Eosinophilia and neutrophilia are common due to release of cytokines from leukemic cells. 3. Hypercalcemia: • It is more common in patients with acute variant ± associated lytic bone lesions.
  • 34.
    ANCILLARY STUDIES Flow cytometricimmunophenotyping • Expression of pan-T-cell antigens: oCD2, CD3, and CD5 but usually lack CD7. oCD26 is often negative. • CD4 and CD8 expression: oMost cases are CD4+ and CD8− oA few are CD4−, CD8+, or double positive for CD4 and CD8. • CD25 is strongly expressed in nearly all cases.
  • 35.
    CD4 positive T-cell neoplasms T-prolymphocytic leukemia(T-PLL) Adult T-cell leukemia/lymphoma (ATLL) MF/SS Anaplastic large cell lymphoma (ALCL)
  • 36.
    Mycosis Fungoides/Sézary syndrome(MF/SS) • MF/SS clonal helper T-cell cutaneous neoplasms. • Blood and BM features overlap, whereas cutaneous and oncogenomic features and clinical course are distinct. oSS exhibits triad of: erythroderma, generalized lymphadenopathy, and blood involvement at presentation. § Rare patients have generalized itching rather than erythroderma. oMF does not exhibit overt blood involvement at presentation, but this may occur during disease course. • Criteria for SS diagnosis: oErythroderma ≥ 80% of surface area. oAbsolute Sézary cells count of > 1.0 x 10⁹/L. oCD4:CD8 ratio > 10 oAberrant T-cell antigen expression: CD7(-), CD26(-).
  • 37.
    CLINICAL FEATURES - MFis the most common cutaneous T-cell lymphoma. Age: Middle age to elderly. Median age is 60 years. Gender: Both MF and SS has male predominance. Manifestations • Skin involvement predominates in both MF and SS. • Diverse skin lesions in MF. • Erythroderma in SS; rarely pruritus without erythroderma. • Onset of erythroderma more abrupt in SS than slowly evolving skin lesions in MF. • Lymphadenopathy at presentation in SS, often develops during MF disease course.
  • 38.
    MICROSCOPIC PATHOLOGY Sézary cellsmorphology Sézary cells exhibit distinctive cytologic features: • Size oMedium to large overall size. oIn some patients with SS, the circulating neoplastic cells are small in size. These small circulating Sezary cells can be mistaken for normal lymphocytes. However, on careful review, the nuclear atypia is apparent. • Nucleus oContour: Distinctly cerebriform nuclear configuration. oChromatin: Nuclear chromatin typically highly condensed.
  • 39.
    Bone Marrow examination •Bone marrow is often not involved or only minimal involvement. • When the BM is involved, Sézary cell infiltrate is often sparse, predominantly a patchy or interstitial pattern.
  • 40.
    ANCILLARY STUDIES 1. Flowcytometric immunophenotyping • Pan-T-cell antigens o CD2, CD3, CD5 (+). § They may show altered levels of expressions of these antigens. o TCR-αβ (+), TCRγ/δ (−) • CD4 and CD8 expression o CD4(+) in vast majority of cases. o Marked increase CD4:CD8 ratio > 10. • Aberrant antigen expression o Loss of CD7 & CD26: in 90% of cases. § It is important to remember that lack of CD7 expression can be seen in up to 40% CD4+ T cells and lack of CD26 in 30– 40% of normal CD4+ T cells. § In normal T-cells: CD7- or CD26- T-cells are within a spectrum. § In MF/SS, there is complete absence of these markers.
  • 41.
  • 42.
    2. Immunohistochemistry • HelperT-cell infiltrates highlighted by CD3 and CD4. • CD7 and CD26 expression attenuated/absent. CD3
  • 43.
  • 44.
    CD4 positive T-cell neoplasms T-prolymphocytic leukemia(T-PLL) Adult T-cell leukemia/lymphoma (ATLL) MF/SS Anaplastic large cell lymphoma (ALCL)
  • 45.
    ALK+ Anaplastic LargeCell Lymphoma (ALK+ ALCL) • Distinct subtype of T-cell lymphoma. • Uniform expression of CD30 and ALK protein. • It is characterized by ALK rearrangement. ALK Gene Alterations • t(2;5)(p23;q35) (ALK-NPM1) is most common translocation in ALCL. • ALK fusion proteins lead to constitutive activation of ALK signaling pathway that is involved in oncogenesis and tumor progression. • ALK gene rearrangement usually indicates a good prognosis.
  • 46.
    CLINICAL FEATURES - ALK+ALCL comprises 3% of NHL in adults and 20–30% in children and adolescents. Age: Median age at diagnosis of ALK+ ALCL is 30 years. Gender: Slight male predominance. Manifestations • B symptoms, common. • High-stage (III-IV) disease in majority of cases. oPeripheral and intraabdominal lymphadenopathy. oExtranodal involvement: § Skin, bone, soft tissue, and bone marrow. § PB involvement in subset of small cell variant of ALCL, ALK (+).
  • 47.
    MICROSCOPIC PATHOLOGY Morphologic variants 1.Classic (70%): • Predominance of large cells with irregular nuclei and frequent large hallmark cells 2. Lymphohistiocytic (5–10%): • Neoplastic cells admixed with abundant reactive histiocytes. 3. Small cell (5–10%): • Predominance of small to medium-sized neoplastic cells with irregular nuclei. • Cells with pale cytoplasm may be present. • Hallmark cells are always present. 4. Sarcomatoid variants (<1%).
  • 48.
    - Leukemic presentationsof ALK1+ ALCL are most often associated with small variant ALCL. Lymphocyte morphology in PB (small variant ALCL) • Size: Small to medium • Nucleus: oChromatin: Condensed chromatin oNuclear Contour: irregular nuclear contours • Cytoplasm: Scant to moderate cytoplasm with occasional cytoplasmic azurophilic granules - Large tumor cells are often rare; if present, they generally have basophilic and vacuolated cytoplasm with moderately condensed chromatin and a single prominent nucleolus
  • 50.
    Bone Marrow examination •In BM, the infiltrate is interstitial, which may be difficult to see due to small cell size and a subtle infiltrate.
  • 51.
    ANCILLARY STUDIES 1. Flowcytometric immunophenotyping • Be careful with gating strategy! • CD3 often negative. • CD2, CD5, and CD4 expressed in 70% of cases. • CD30 positive. • Side scatter often high • Can be CD45 negative!!
  • 52.
    2. Immunohistochemistry • Expressionof 1 or more T-cell-associated antigens oCD2, CD5, and CD4 expressed in 70% of cases. oCD3 is negative in vast majority of the cases. oCytotoxic-associated markers, TIA-1, granzyme B, &/or perforin, expressed in most cases. • Uniform expression of CD30 antigen with membrane and Golgi patterns of staining. oExpression of CD30 stronger in large cells but weak to negative in smaller cells. • Expression of ALK protein CD30 ALK1
  • 53.
    3. Cytogenetic studies ConventionalCytogenetic Analysis • Chromosomal translocations involving ALK gene on 2p23 • Multiple translocation partners. ot(2;5)(p23;q35); ALK-NPM1 in 70% (most common). • All ALK translocations upregulate ALK protein. oALK protein expression is not specific for ALCL, ALK (+): § Expressed in ALK (+) DLBCL. § Expressed in subset of lung adenocarcinoma.
  • 54.
    Fluorescence in SituHybridization (FISH) Dual color break-apart probes • Commonly used for its wider coverage of ALK rearrangements. • Detects all potential ALK fusion with various partner genes. • Cannot determine the specific partner gene fused with ALK gene. • Commonly used to determine eligibility for ALK inhibitors. Dual-color, dual-fusion probes • Targeted probes are used to detect the most common t(2;5). • Not useful for screening of ALK rearrangements due to several potential partner genes. ALK BA ALK-NPM1
  • 55.
  • 56.
    T-cell Large GranularLymphocytic Leukemia (T-LGL) • Large granular lymphocytic (LGL) leukemia is a persistent clonal expansion of large granular lymphocytes (LGLs), either of cytotoxic T-cells or NK cells, with BM infiltrate, frequent splenomegaly, and cytopenia(s), most commonly neutropenia followed by anemia. • In this section, we will discuss T-cell LGL. NK-LGL leukemia is now renamed as chronic lymphoproliferative disorder of NK cells (CLPD-NK). • Pathogenesis oSTAT3 mutations in > 40%; somatic STAT5B mutations in 2% § Provide prosurvival and growth signals. oChronic antigenic stimulation resulting in proliferation of T- cell LGLs oInhibition of apoptosis resulting in accumulation of T-LGLs.
  • 57.
    T-cell Large GranularLymphocytes (T-LGL) Functions 1. Regulation of hematopoiesis. 2. Regulation of B-lymphocytes. 3. Low NK-cell activity (MHC non-restricted cell lysis and destruction of normal tissue) 4. Variable ADCC. 5. Contrasuppressor activity: Inhibition of other T-suppressor cells from inhibiting T- helper cell activity. Immunophenotype • CD3 +, CD8 +, CD4 −, CD57 +, CD56 small subset, CD16 −/very dim +, CD94 dim +, TCR-αβ + NK- Large Granular Lymphocytes (NK-LGL) Functions 1. Regulation of hematopoiesis. 2. Key role in innate immunity. 3. High NK-cell activity (MHC non-restricted cell lysis). 4. ADCC. 5. Immunosurveillance for spontaneously occurring neoplasms. 6. Resistance to viral infections. Immunophenotype • sCD3 −, CD2 +, CD5 −, CD7 +, CD8 subset+, CD16 +, CD56 +, CD57 small subset +, CD38 bright + and CD94 +.
  • 58.
    CLINICAL FEATURES Age: Medianage at diagnosis of T-cell LGL leukemia is 60 years. o 20-25% of patients are younger than 50 years. Gender: T-cell LGL leukemia affects men and women equally. Manifestations • Most of the patients with T-cell LGL leukemia come to medical attention with cytopenia(s), frequently isolated neutropenia. o Pure red cell aplasia (PRCA) has been reported in 20 % of patients, and aplastic anemia has also been reported. o Thrombocytopenia occurs in about 20% of patients and ITP is seen at an increased frequency in patients with T-cell LGL leukemia. • Splenomegaly is observed in 25–50% of cases, whereas hepatomegaly and lymphadenopathy are very rare. • Rheumatoid arthritis appears to be the most frequent autoimmune disease associated with T-cell LGL leukemia, reported in up to 35% of patients. o Serologic abnormalities (rheumatoid factor, antinuclear antibody, and polyclonal hypergammaglobulinemia) are frequent, even in patients without clinical manifestation of an autoimmune disease.
  • 59.
    MICROSCOPIC PATHOLOGY LGL lymphocytosis •Absolute LGLs range between 2 and 20 x 10⁹/L (according to WHO guideline). • Occasional cases LGLs range between 0.5 and 10 x 10⁹/L. LGL morphology Size: Small to medium in size. Nucleus: oContour: Round/slightly indented contour. oNucleolus: Inconspicuous nucleoli. oChromatin: Condensed chromatin. Cytoplasm: Abundant pale cytoplasm, and fine azurophilic granules.
  • 60.
    Bone Marrow examination •Presence of BM infiltrate is in favor of T-cell LGL leukemia. • Interstitial/intrasinusoidal patterns common. oMorphologically occult and difficult to identify. oImmunostains helpful to identify T-LGL infiltrate.
  • 61.
    ANCILLARY STUDIES 1. Flowcytometric immunophenotyping • Common type of T-cell LGL leukemia (present in 70% of cases) oCD3 (+) with coexpression of CD16 (+) and CD57 (+), CD4 (-), T-cell receptor αβ (+). oT-cell antigen aberrancy (diminished CD2, CD5 or CD7 expression common). oCD56 is generally negative in T-cell LGL leukemia, unlike normal/reactive T-LGL cells. § However, uniform expression of CD56 can be seen in some T-cell LGL leukemia. üCD56+ T-cell LGL leukemia is a clinically aggressive variant T-LGL leukemia. However, these reported CD56+ cases are all CD57-negative. oSurrogates of clonality § Uniform expression of a single KIR antigen: CD158a, CD158b, CD158e. § Uniform expression of T-cell receptor Vβ region.
  • 62.
    T-cell LGL leukemia(Common type)
  • 63.
    • T-cell LGLleukemia, TCR-γδ variant oComprises 10% (5 – 15%) of all T-cell LGL leukemia. oCD3 bright (+), CD8 (−), CD4 (−), CD57 (+) and TCR γδ (+). oCD56 is often negative but can be partial/subset+ or positive together with CD57. § In some cases, the leukemic cells may be negative for both CD56 and CD57. oCD5 is dimmer (+) or partial (+) and only occasionally completely negative. oThe critical differential diagnosis is hepatosplenic γδ T-cell lymphoma. • CD4+ T-cell LGL leukemia oThe typical immunophenotype is CD3+, CD4+, CD56+, CD57+, and TCR-αβ (+), with a variable dim CD8 expression.
  • 64.
    T-cell LGL leukemiaTCR-γδ variant
  • 65.
  • 67.
    2. Immunohistochemistry • Identificationof T-cell LGL infiltrate is challenging since CD3+ T-cells are invariably present in a normal BM and may be significantly increased in reactive BM. • IHC stains are necessary to identify and confirm the presence of the infiltrate. oCD3, granzyme B, and TIA1 are considered to be the basic three IHC markers to identify a T-cell LGL infiltrate. § Granzyme B: Excellent to identify cytotoxic cells üHowever, in about 30% T-cell LGL leukemia, granzyme B may be aberrantly lost or partially lost. Therefore, TIA1 is necessary. § TIA1: In LGL, it shows dark, dot-like, and punctuate staining. oCD4 and CD8 IHC can be helpful to show the predominance of CD8+ T-cells.
  • 68.
  • 69.
    3. Genetic studies •A minority of cases demonstrate numeric and/or structural chromosomal abnormalities involving chromosomes 7, 8, and 14. oHowever, none of the changes is specific for T-cell LGL leukemia. • Identification of clonal TCR gene rearrangement by PCR helps for a diagnosis of T-cell LGL leukemia. • Point mutations in STAT3 are found in around 30–40%, up to 70% of patients. oSTAT3 mutations in T-cell LGL leukemia are gain-of-function mutations.
  • 70.
    DIFFERENTIAL DIAGNOSIS Reactive T-cellLGL lymphocytosis (T-cell clonopathy of unknown or undetermined significance “TCUS”) • Etiologies oViral infections. oAdvancing age. oAfter hematopoietic stem cell transplantation. oCombined variable immunodeficiency. • Presentation oPatients with reactive LGL lymphocytosis often have cytopenia(s) and various clinical symptoms related to underlying medical conditions, and, the expansion of LGL cells may last for a prolonged period of time.
  • 71.
    • Morphology oTypical LGLmorphology. oLGL lymphocytosis shows no BM involvement; whereas T- cell LGL leukemia almost always shows BM infiltration. oTherefore, a BM biopsy with IHC panel is recommended to confirm diagnosis of LGL leukemia. • Immunophenotype oNormal T-cell LGL immunophenotype (no aberrancy). • Molecular studies oPolyclonal/oligoclonal T-cell receptor γ.
  • 72.
    Diagnostic criteria ofT-cell LGL leukemia* Major criteria 1. Flow-cytometric immunophenotyping revealing > 50% of the total PB or BM surface CD3-positive T- cells to have two or more of the following: o CD8 positive (may be dim). o Uniform expression of CD16 or CD57 (>75% of cells positive). o Loss of CD5 expression (partial or complete). o Uniform expression of one or more of the KIRs CD158a, CD158b, and CD158e. 2. Intrasinusoidal BM or splenic infiltration by cytotoxic lymphocytes positive for one CD8 and one or more of the cytotoxic markers TIA-1, granzyme B, granzyme M, or perforin. 3. T-cell clonality by flow-cytometric analysis of TCR Vβ expression or molecular genetic analysis of T- cell receptor gene rearrangements. 4. STAT-3 gene mutation in exons 20 or 21. * Hematopathology, 2nd edition, Jaffe.
  • 73.
    Minor criteria 1. PBgranular lymphocytes (morphology) or CD8-positive T-cells (flow cytometry) either > 2 × 109/L or > 80% of total lymphocytes. 2. Unexplained persistence of cell population for longer than 6 months. 3. Positive rheumatoid factor, ANA, or polyclonal hypergammaglobulinemia. 4. Unexplained neutropenia (<1.8 × 109/L) and/or anemia (<10 g/dL). 5. Peripheral blood absolute NK-cell count < 0.1 × 109/L or < 5% of total lymphocytes. 6. STAT-5B gene mutation in exons encoding the SH2 domain. Diagnosis of T-cell LGL leukemia requires three or more major criteria are present or two major criteria and two or more minor criteria. * Hematopathology, 2nd edition, Jaffe.
  • 74.
  • 75.
    γδ T-cell neoplasms HepatosplenicT-cell lymphoma (HSTL) T-cell LGL leukemia, γδ variant
  • 76.
    γδ T-cell neoplasms HepatosplenicT-cell lymphoma (HSTL) T-cell LGL leukemia, γδ variant
  • 77.
    Hepatosplenic T-cell lymphoma(HSTL) • HSTL is an aggressive T-cell lymphoma, characterized by a primary extranodal involvement of medium-sized lymphoid cells, typically with a sinusoidal infiltration of the liver, spleen, and BM. • Most cases are of γ/δ T-cell origin. • HSTL is resistant to current chemotherapeutic regimens and has a rapidly progressive disease course. • The diagnosis is usually established based on the combination of clinical findings, histologic features, and immunophenotyping result. Pathogenesis: • Chronic antigen stimulation in the setting of immune deficiency or immune dysregulation might be important in the pathogenesis of HSTL. • About 20% patients are immunosuppressed: o Such as: solid organ transplant recipients or patients with leukemia receiving chemotherapy. o Some patients have a history of autoimmune disease, such as lupus and rheumatoid arthritis, or inflammatory bowel disease.
  • 78.
    CLINICAL FEATURES Age: HSTL,γ/δ subtype occurs predominantly in adolescents and young adults. oMedian age: 35 years. Gender: Marked male predominance (M:F ratio= 9:1). Manifestations • Patients often present with fever, fatigue, weight loss, and abdominal discomfort due to hepatosplenomegaly and, sometimes, with jaundice because of liver involvement. • Lymphadenopathy is usually absent. • PB often shows pancytopenia or bicytopenia(s) (anemia and thrombocytopenia). oCytopenia(s) may be a combination of hypersplenism, BM infiltrate, or abnormal cytokine release by tumor T-cells with or without an underlying hemophagocytosis. • Patients usually do not have peripheral lymphocytosis at initial presentation; however, a small population of circulating neoplastic lymphocytes may be seen at the presentation in 50%.
  • 79.
    MICROSCOPIC PATHOLOGY Lymphocyte morphology Size: oIntermediateto large (blastic-like) cells. Nucleus: oContour: Irregular contour. oNucleolus: Inconspicuous nucleoli. oChromatin: Condensed but dispersed chromatin. Cytoplasm: oModerate amount of basophilic agranular cytoplasm. oLymphoma cells may contain variable numbers of azurophilic granules and, when abundant, may be mistaken as LGL cells • Although patients often do not have PB lymphocytosis, the neoplastic cells are often present in peripheral blood in variable numbers
  • 80.
    Bone Marrow examination BMis almost always involved in HSTL. Pattern of BM infiltration • The infiltrate is intrasinusoidal, and the infiltrate can be very subtle at the time of diagnosis. oOne of the important features of HSTL is that the lymphoma cells not only involve sinuses but also expand the sinuses. This expansion of sinuses differs from T- cell LGL leukemia with a sinusoidal involvement, which often shows a linear single layer of cells. oIn many cases, the infiltrate may be missed if IHC or flow cytometry study is not performed. oThe cells in the intrasinusoidal spaces are often monomorphic and medium-sized, with slightly irregular nuclei, condensed chromatin, indistinct nucleoli, and moderate amount of clear cytoplasm. • As the disease progresses, the neoplastic infiltrate can go beyond the sinuses, showing an interstitial or diffuse pattern.
  • 81.
    (a & b)Bone marrow biopsy shows a lymphoid infiltrate. (c) CD3 highlights the infiltrate with a sinusoidal expansile pattern, only very few tumor cells are scattered in the interstitial area. a b c
  • 82.
    Other findings inBM • Dysplastic features involving 1–3 hematopoietic cell lineages can be frequently observed in patients with HSTL. oThis is likely a result of cytokine effects or due to the perturbation of the BM microenvironment by lymphoma cells. • Increased histiocytes may be seen in some cases, some with phagocytosis, particularly in patients with clinical and laboratory evidence of hemophagocytic syndrome.
  • 83.
    ANCILLARY STUDIES 1. Flowcytometric immunophenotyping • HSTL (γδ subtype) osCD3 is often bright positive. oDouble negative for CD4 and CD8. § Occasionally, some cases may be CD8 positive. oPositive for CD2 and CD7. oCD5 negative. oPositive CD56, CD94, and CD16 oNegative for CD57. oTCR γ/δ (+) and TCR α/β (-).
  • 84.
    • HSTL (αβsubtype) osCD3 (+) oDouble negative for CD4 and CD8. § Occasionally, some cases may be CD8 positive. oPositive for CD2 and CD7. CD7 may be negative in some cases. oCD5 -/+ oPositive CD56, CD94, and CD16 oCD57 had been reported to be expressed in HSTL α/β subtype. oTCR γδ (−) and TCR αβ (+).
  • 85.
    2. Immunohistochemistry • HSTLis generally positive for CD3, TIA1 and granzyme M, but perforin and granzyme B are generally negative or partially lost. • CD57 expression is generally absent in TCR γδ HSTL but has been reported in TCR αβ HSTL. • CD4 and CD8 are typically negative. • Flow cytometry is superior to immunohistochemistry for the detection of the surface TCR subtypes. CD3
  • 86.
    3. Genetic studies •Isochromosome 7q is a recurrent cytogenetic abnormality and present in most cases of HSTL. oFISH is more sensitive than conventional karyotyping in the detection of cytogenetic abnormalities. oA number of patients with i7q may also have trisomy 8 abnormality. • Gene mutations oSETD2 (a tumor suppressor gene) mutations in about 70% of patients with HSTL. oSTAT5B is detected in around 30% oSTAT3 is less common (9%). Subtelomeric probe for 7p (green) and 7q (red)
  • 87.
    Features LGL HSTL Age60 (12–87) 34 (16–58) (Younger age than T-LGL leukemia) Male/female 1:1 (Equal) 5:1 (Male predominance) C/P o Underlying autoimmune disease or autoantibodies. o Chronic infection. o B-symptoms: Fever, weight loss, night sweats, and fatigue. o Hemophagocytosis is common. o Association with immunosuppression. Organomegaly o Mild splenomegaly in 20–50%. o Hepatomegaly rare. o Marked splenomegaly in 100%. o Hepatomegaly in 50%. LN enlargement Uncommon. Uncommon. Abnormal LFT Uncommon. Common. CBC Isolated neutropenia or pure red cell aplasia. Pancytopenia is common. BM infiltrate o Interstitial and or intrasinusoidal linear pattern. o Reactive lymphoid aggregates common. o Intrasinusoidal/intravascular, with expansion of the sinuses. Immunophenotype CD5 dim (+), CD56 −/ or variably+, CD57 (+), CD16/CD94 dim CD5 often negative, CD56 (+), CD57 (−), CD16/CD94 frequently bright (+) Cytotoxic granules o TIA1 (+). o Granzyme B may be lost in about 30–40% cases o TIA1 (+). o Granzyme B often negative Cytogenetics/mutation o Mostly normal o STAT3 in 30-40%, and rare STAT5B. o i7q, +8 o SETD2, STAT5B, rare STAT3. Clinical course Indolent Aggresive
  • 88.
    Criteria supporting HSTL 1.B symptoms. 2. Massive splenomegaly. 3. Lymphoma cells expand BM sinuses. 4. Immunophenotype displays CD3 (+), CD5 (-), CD4 (-)/CD8 (-), CD56 (+), granzyme-B (-) and TCR-γδ (+). 5. Isochromosome 7q or trisomy 8. 6. Monoclonal TCR gene rearrangement. Diagnostic criteria of HSTL* * Yabe M et al: Distinguishing between hepatosplenic T-cell lymphoma and γδ T-cell large granular lymphocytic leukemia: a clinicopathologic, immunophenotypic, and molecular analysis. Am J Surg Pathol. 2017; 41: 82-93.
  • 89.
    Criteria not supportingHSTL 1. Absence of splenomegaly. 2. Lymphadenopathy. 3. Extranodal site of involvement. 4. PB lymphocytosis > 5x109/L. 5. Neoplastic lymphocytes with azurophilic granules. 6. Evidence of infection by EBV, HIV or HTLV-1. 7. Immuophenotype with expression of CD5, CD8, CD57, granzyme B and TCR- αβ. 8. Negativity for monoclonal TCR gene rearragement * Yabe M et al: Distinguishing between hepatosplenic T-cell lymphoma and γδ T-cell large granular lymphocytic leukemia: a clinicopathologic, immunophenotypic, and molecular analysis. Am J Surg Pathol. 2017; 41: 82-93.
  • 90.
  • 91.
    NK-cell lymphoproliferative neoplasms Chronic lymphoproliferative disorderof NK-cells (CLPD-NK) Aggressive Natural Killer Leukemia (ANKL)
  • 92.
    NK-cell lymphoproliferative neoplasms Chronic lymphoproliferative disorderof NK-cells (CLPD-NK) Aggressive Natural Killer Leukemia (ANKL)
  • 93.
    Chronic Lymphoproliferative Disorder ofNK-cells (CLPD-NK) • CLPD-NK is an indolent disease characterized by PB lymphocytosis and cytopenias. • CLPD-NK was recognized as a provisional entity in the 2008 WHO classification, a status it retains in the 2017 revision. • It is defined as a persistent (> 6 months) NK- cell proliferation with PB absolute lymphocyte count (ALC) of ≥ 2 × 109/L. • CLPD-NK comprises approximately 5% of all patients with LGL leukemia. Pathogenesis • Overlap With T-Cell LGL leukemia o Chronic persistent antigenic stimulation likely pathogenic for both T-LGL leukemia and CLPD-NK. o Dysfunctional activation of survival pathways and the evasion of apoptosis. o Activating STAT3 mutations detected in 30% of cases.
  • 94.
    CLINICAL FEATURES Age: Affectsadults predominantly (median age: 60 years). Manifestations • CLPD-NK has a similar indolent clinical presentation as T-cell LGL leukemia. • Differences between CLPD-NK and T-cell LGL leukemia: oPatients with CLPD-NK are less symptomatic and less likely associated with rheumatoid arthritis. oAutoimmune cytopenias, such as PRCA, aplastic anemia, and mild thrombocytopenia, may be more frequently present in CLPD-NK. oSeverity of neutropenia is often less than in that of T-cell LGL leukemia. • The number of circulating PB NK-cells usually remains stable for a long period of time, and some cases have even been reported to show spontaneous regression.
  • 95.
    MICROSCOPIC PATHOLOGY Lymphocyte morphology •Mature NK cells ≥ 2 x 10⁹/L in PB. • The cells of CLPD-NK are morphologically indistinguishable from T-cell LGL: Size: Small to medium in size. Nucleus: o Contour: Round/slightly indented contour. o Nucleolus: Inconspicuous nucleoli. o Chromatin: Condensed chromatin. Cytoplasm: Abundant pale cytoplasm, and fine azurophilic granules. • Similar to T-cell LGL leukemia, they may show some morphological atypia, such as reduced granules, reduced cytoplasm, and irregularity of nuclear contours, differing from normal NK cells.
  • 96.
    Bone Marrow examination •LGLs may be subtle in BM. • BM infiltrates best identified by immunohistochemical staining for CD3 and TIA-1. oInfiltrates subtle and often intrasinusoidal &/or focal, patchy.
  • 97.
    ANCILLARY STUDIES 1. Flowcytometric immunophenotyping • Normal NK-cells immunophenotype oNegative sCD3, CD5, CD4, CD8. § CD8 may be subset positive. oPositive CD2, CD7. oPositive CD16, CD56, CD94. oCD57 small subset positive. oCD38 bright positive. oNegative HLA-DR. oKIR antigens (CD158a, CD158b, CD158e): polytypic pattern.
  • 98.
    • CLPD-NK immunophenotype oShowsan aberrant immunophenotype in majority of patients. oNegative sCD3 and CD5. oPositive CD2. oDistinctly bright CD16 oPositive (dim) CD7. oCD8 is either negative or uniformly positive. oUniform bright expression of CD94 with or without NKG2A. oDecreased or absent of CD56 expression in 50–60%. oIncreased CD57 expression in about 60% cases. oOther aberrancies: § Decreased or diminished CD16. § Increased HLA-DR, granzyme B, and perforin. § Decreased CD38.
  • 100.
    NK-cell clonality byflow cytometry • Killing inhibitory receptors (KIRs) of NK cells bind to MHC class I molecules expressed on potential target cells to regulate effector cell activity. • KIR antigens (CD158a, CD158b, and CD158e) can be assessed by flow cytometry to provide information of NK-cell clonality. • Evidence of NK-cell clonality by flow cytometry: oRestricted expression of a single KIR isoform: reported in about 30–40% of clonal CLPD-NK cases. oCompletely absent expression of CD158a, CD158b, or CD158e: in the remaining cases of CLPD-NK.
  • 101.
    2. Immunohistochemistry • NKcells express CD3 (cytoplasmic), spectrum of CD56, CD2, TIA-1, and granzyme B. oCD8 expression variable; CD5 usually negative. oEBV Encoded RNA (EBER) negative. Granzyme B
  • 102.
    3. Genetic studies •In the majority of the CLPD-NK cases, karyotype is normal. oDel(16q) has been reported in some patients. • Molecular methods oA clonal NK cell proliferation does not show TCR gene rearrangements. oThe methods for NK-cell clonality assessment include: § Assessment of the pattern of inactivation of the X-chromosome (e.g., the human androgen receptor assay (HUMARA). § Presence of STAT3 mutations (approximately 30–40% cases).
  • 103.
    Habibe et al.“Chronic lymphoproliferative disorder of NK-cells: A single-institution review with emphasis on relative utility of multimodality diagnostic tools.” European Journal of Hematology 100 (2018): 444–454. Diagnostic criteria of CLPD-NK
  • 104.
    Modified according toLamy T et al. Blood, 2017, 129(9):1082-1094 A suggested algorithm in the workup of LGL proliferation
  • 105.
    NK-cell lymphoproliferative neoplasms Chronic lymphoproliferative disorderof NK-cells (CLPD-NK) Aggressive Natural Killer Leukemia (ANKL)
  • 106.
    Aggressive NK Leukemia(ANKL) • ANKL is a neoplasm of NK-cells characterized by Epstein-Barr virus (EBV) positivity & aggressive multisystem disease. oHowever, EBV-negative ANKL has been described. • It is a very rare and extremely aggressive neoplasm. Pathogenesis • EBV Positivity oSupports viral oncogenic role. oMay evolve from chronic active EBV infection.
  • 107.
    CLINICAL FEATURES • Age:Predominates in young to middle-aged adults. • Ethnicity: Highest incidence in Asians & Native Americans. • Manifestations oGenerally acute onset of symptomatology. oPatients usually are extremely ill, with fever, acute coagulopathy, hepatosplenomegaly, pancytopenia, and abnormal liver function. oIncreased LDH and increased ALT & AST. oSome patients have a high WBC count due to the presence of circulating tumor cells. oThere is frequent CNS involvement. oThe disease course is fulminant; with multiorgan failure and disseminated intravascular coagulation, death usually occurs within a few weeks.
  • 108.
    MICROSCOPIC PATHOLOGY Lymphocyte morphology •ANKL cells could be quite variable in size and appearance. oIn some patients the leukemic cells are pleomorphic, larger with more open chromatin and distinct nucleoli. oSome patients have blast-like morphology with monotonous, medium-sized lymphocytes that have fine chromatin and coarse azurophilic granules. oIn other patients, the cells have been described similar to LGL cells that the cytoplasm often contains variable numbers of azurophilic granules oIn some cases, tumor cells may not have visible cytoplasmic granules
  • 109.
    Bone Marrow examination •The BM involvement can be variable, from a massive infiltrate to a subtle involvement. • The infiltrative pattern is often interstitial, followed by a diffuse, focal, and rarely intrasinusoidal pattern. • Hemophagocytosis can be identified in a significant subset of patients, with increased mature histiocytes containing red blood cells or nucleated cells
  • 110.
    BM aspirate smearshows a neoplastic ANKL cell in conjunction with a benign hemophagocytic histiocyte. Prominent hemophagocytosis can mask ANKL. The tumor cells have moderately abundant cytoplasm with azurophilic granules. However, these cells are much bigger than normal, reactive, or clonal large granular lymphocytes
  • 111.
    BM core biopsysection shows a substantial interstitial infiltrate of variably sized pleomorphic ANKL cells. Note the large tadpole appearance of some neoplastic cells. BM core biopsy shows extensive infiltration by ANKL in conjunction with benign hemophagocytosis. Note prominent RBC ingestion by benign histiocytes.
  • 112.
    ANCILLARY STUDIES 1. Flowcytometric immunophenotyping • The tumor cells are negative for sCD3 and CD5 and positive for CD2, CD7, CD56, and CD94. o A decrease or loss of CD7 expression is common. o CD56 is generally bright and CD16 dimmer or lost. • CD8 is often negative but can be uniformly positive in rare cases. • CD57 is generally negative (in over 90% cases). • HLA-DR is often brightly positive. • Other alterations: loss or decreased expression of CD38. • CD158a, CD158b, and CD158e: entirely lost in 70–75% of the patients, and a positive expression is only seen in about 20–25% cases. • TCRαβ, and TCRγδ: consistently absent.
  • 113.
    2. Immunohistochemistry • Keyto identification of subtle infiltrates. • Key to delineation of NK-cell lineage. • Typically, positive for CD2, cCD3, CD56, TIA-1, granzyme B. • Epstein-Barr encoded RNA (EBER) by in situ hybridization should be performed in all cases, and > 90% cases are EBER positive. CD3 EBER
  • 115.
    3. Genetic studies •Clonal cytogenetic abnormalities are detected in approximately two-thirds of cases, including a frequent complex karyotype but nothing specific. oThe most common abnormalities are in chromosome 13 and 11 (38.5%). • STAT3 and STAT5B mutations have been reported. • TCR has a germ-line configuration.
  • 116.
    Aggressive NK-cell LeukemiaPrototypic Features
  • 117.
    Features CLPD-NK ANKL Ageo 60 years. o 30 – 40 years. C/P o Underlying autoimmune disease or autoantibodies. o Fever, constitutional symptoms, acutely ill. o Hemophagocytosis is common. Organomegaly o Mild splenomegaly in 20–50%. o Hepatomegaly rare. o Hepatosplenomegaly or isolated hepatomegaly or splenomegaly (seen in almost all patients). LN enlargement o Uncommon. o Uncommon. Liver enzymes & LDH o Normal. o Elevated in most cases. CBC Isolated cytopenia (anemia, leucopenia or thrombocytopenia). o Pancytopenia is common. o Some patients with high WBC count due to circulating tumor cells. NK cell cytology o Small o Round to slightly elongated nuclei, o Moderate cytoplasm with azurophilic granules o Often large, pleomorphic; some can be monotonous. o Chromatin is often slightly immature. Some may have nucleoli. o Cytoplasm has variable azurophilic granules, but some may not have visible granules BM infiltrate o Interstitial and or intrasinusoidal linear pattern. o Reactive lymphoid aggregates common. o Interstitial, diffuse, rarely intrasinusoidal. o Hemophagocytosis is common. Immunophenotype o sCD3 (−), CD4 (−), CD5 (−), TCR (−) o Often CD57 (+), CD56 (−) / dim (+) o Often CD16 (+) o Often CD7 (+) o sCD3 (−), CD4 (−), CD5 (−), TCR (−) o Often CD56 bright (+) and CD57 negative o CD16 dim (+) or negative o CD7dimmer (+) or negative EBER o Negative. o Positive in > 90% of patients. Clinical course o Indolent. o Aggressive.