ACUTE LYMPHOBLASTIC
LEUKEMIA
SONIKA SHIMON PRASAD
S160232
DEFINITION
Leukaemia is a malignant disorders of heamatopoietic stem cells
characteristically associated with increase number of white cells in
bone marrow or/and peripheral blood.
Types of leukemia
Acute Chronic
• Proliferation of primitive
stem cells leading to an
accumulation of blasts,
predominantly in the bone
marrow which will lead to
bone marrow failure.
• Acute lymphoblastic
leukaemia and acute
myeloid leukaemia
• The malignant clone is
able to differentiate,
resulting in accumulation
of more mature cells.
• Chronic lymphoblastic
leukaemia and chronic
myeloid leukaemia.
Epidemiology
• Acute lymphoblastic leukaemia shows a peak
incidence in children age 1-5 years old
• Acute myeloid leukaemia has the lowest incidence in
young adult life and there is striking rise over the age
of 50
• Chronic lymphoblastic leukaemia and chronic myeloid
leukaemia mainly in middle and old age.
Risk factors
Environmental factors Genetic factors
1. family income
2. father with higher social contact
3. number of elder siblings
4. father who smokes
5. the distance of the house from a
power line
6. Alkylating Agents
7. Benzene Exposure
8. Advanced Maternal Age
1. Genetic diseases such as Down
syndrome.
2. People who have an identical twin
who develops leukemia are more
likely to develop it themselves.
3. Li-fraumeni syndrome
4. Blooms syndrome
5. Ataxia telangiectasia
6. NF Type1
BLAST CELLS
ALL is characterized by presence of immature cells – blast cells of >20%
in the
a. blood picture
b. bone marrow examination
Features of blast cells
- very high N:C ratio
- large cells with large nuclei
- absence of cytoplasmic granules
- presence of round or convoluted nuclei
PATIENT PRESENTATION:
Ineffective hematopoiesis due to the excessive
proliferation of lymphoid precursor cells in bone
marrow:
•Neutropenia – fever, chills, infection
•Thrombocytopenia – bleeding, bruising
•Anemia – weakness, fatigue, dizziness,
palpitation, SOBOE
PHYSICAL FINDING
Investigations
• Full blood count- Anemia, thrombocytopenia, leucopenia or leukocytosis.
• Peripheral smear study- Total leucocyte count raised , normal or low,
Normocytic normochromic anemia, Thrombocytopenia
• Coagulation studies (prothrombin time [PT], activated partial
thromboplastin time [aPTT], fibrinogen)
• Renal profile and liver function test- due to tumour lysis syndrome, need to
monitor hyperkalemia, hyperuricaemia, hyperphosphotemia and
hypocalcemia
• Bone marrow aspiration and biopsy- hypercellular replacement of normal
cells by blast cells which more than 20%.
• Blood cultures- obtained in patients with fever and other signs of infection.
Peripheral blood smear
• Lumbar puncture- used to evaluate CNS involvement. In pediatric
patients, LP is typically included in the diagnostic workup. CNS status
is classified as follows, on the basis of cerebrospinal fluid (CSF)
findings:
1. CNS-1: No lymphoblasts in CSF, regardless of white blood cell (WBC)
count
2. CNS-2: WBC < 5/mcL in CSF with presence of lymphoblasts
3. CNS-3: WBC ≥5/mcL in CSF with presence of lymphoblasts
• Chest x ray- Nodular masses. Central lymphadenopathy, such as
mediastinal lymph node enlargement.
• Computed tomography scans- can further define the degree of
lymphadenopathy in some patients, including those with mediastinal
masses.
Bone Marrow Aspiration and Biopsy
FAB Classification
FAB L1
Size – small.
Cytoplasm- scanty
basophilic.
N/C Ratio – high.
Nuclear membrane –
regular.
Nucleoli – invisible or
indistinct.
FAB L2
Size of blast – large &
heterogenous
Cytoplasm – moderate
N/C Ratio – lower
Cytoplasmic vacuoles –
variable
Nuclear membrane –
irregular with clefting
Nucleoli – prominent ,1-2
FAB L3
Size of blast – large &
homogenous
Cytoplasm – moderate &
intensely basophilic N/C
Ratio – lower
Cytoplasmic vacuoles –
prominent
Nuclear membrane –
regular
Nucleoli – prominent , 1-2
World Health Organization Classification of
ALL
B-lymphoblastic leukemia/lymphoma
• B-lymphoblastic leukemia/lymphoma, NOS
• B-lymphoblastic leukemia/lymphoma with recurrent genetic abnormalities
• B-lymphoblastic leukemia/lymphoma with t(9;22)(q34.1;q11.2); BCR-ABL1
• B-lymphoblastic leukemia/lymphoma with t(v;11q23.3); KMT2A rearranged
• B-lymphoblastic leukemia/lymphoma with t(12;21)(p13.2;q22.1); ETV6-RUNX1
• B-lymphoblastic leukemia/lymphoma with hyperdiploidy
• B-lymphoblastic leukemia/lymphoma with hypodiploidy
• B-lymphoblastic leukemia/lymphoma with t(5;14)(q31.1;q32.3); IL3-IGH
• B-lymphoblastic leukemia/lymphoma with t(1;19)(q23;p13.3); TCF3-PBX1
• Provisional entity: B-lymphoblastic leukemia/lymphoma, BCR-ABL1-like
• Provisional entity: B-lymphoblastic leukemia/lymphoma with iAMP21
T-lymphoblastic leukemia/lymphoma
• Provisional entity: Early T-cell precursor lymphoblastic leukemia
• Provisional entity: Natural killer (NK) cell lymphoblastic leukemia/lymphoma
PRE B ALL(L1): SMALL BLASTS WTH THIN RIM
OF CYTOPLASM
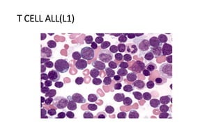
T CELL ALL(L1)
T Cell ALL (L2): Irregular clefts of nucleus
TREATMENT
Induction phase
The primary goal of induction is achievement of an initial complete
remission (CR), defined as the eradication of ALL detectable leukemia
cells (less than 5 percent blasts) from the bone marrow and blood and
the restoration of normal hematopoiesis (>25 percent cellularity and
normal peripheral blood counts).
involves either a four-drug regimen of vincristine, prednisone, an
anthracycline, and cyclophosphamide or L-asparaginase or a five-drug
regimen of vincristine, prednisone, an anthracycline, cyclophosphamide,
and L -asparaginase given over the course of 4-6 weeks.
Consolidation therapy
The goal of post-induction chemotherapy is to prevent leukemic
regrowth, reduce residual tumor burden, and prevent the emergence
of drug-resistance in the remaining leukemic cells.
●Cytarabine
●Methotrexate
●Anthracyclines (daunorubicin, doxorubicin)
●Alkylating agents (cyclophosphamide, ifosfamide)
●Epipodophyllotoxins (etoposide, etopophosphamide)
Maintenance therapy
After completion of the consolidation or intensification phase of
therapy, patients often receive a less intensive continuation regimen
(eg, maintenance chemotherapy) using daily oral 6-mercaptopurine (6-
MP), weekly methotrexate with periodic vincristine, prednisone, and
intrathecal therapy.
CNS PREVENTIVE THERAPY
CNS treatment usually begins during the induction phase and continues
throughout the remainder of the treatment regimen. Craniospinal
radiotherapy has been replaced by intrathecal chemotherapy in several
CNS preventive therapy protocols. As was associated with significant
toxicity, such as cognitive impairment and decreases in white matter
volume. In order to achieve effective CNS prophylaxis while minimizing
neurotoxicity, experts now recommend a lower dose of cranial
irradiation with intrathecal methotrexate.
Supportive therapy
• Packed red blood cells are given to patients with a hemoglobin level
of less than 7-8 g/dL or at a higher level if the patient has significant
cardiovascular or respiratory compromise.
• Platelets are transfused if the count is less than 10,000-20,000/µL.
Patients with pulmonary or gastrointestinal hemorrhage receive
platelet transfusions to maintain a value greater than 50,000/µL.
Patients with central nervous system CNS hemorrhage are transfused
to achieve a platelet count of 100,000/µL.
• Fresh frozen plasma is given to patients with a significantly prolonged
prothrombin time (PT). Cryoprecipitate is given if the fibrinogen level
is less than 100-125 g/dL.
Medications
DRUG ACTION
Vincristine vinca alkaloid agent that acts by arresting cells in metaphase.
asparaginase Catalyzes deamidation of asparagine to aspartic acid and ammonia, thereby reducing
circulating levels of asparagine. Lack of asparagine synthetase activity results in
cytotoxicity specific for leukemic cells that depend on an exogenous source of the amino
acid asparagine.
Pegaspargase Modified version of L-asparaginase. Selective killing of leukemic cells it thought to be
due to depletion of plasma asparagine, the amino acid required for protein synthesis. It
is indicated as a component of a multi-agent chemotherapeutic regimen for the first line
treatment of ALL. It is also indicated for use in patients with hypersensitivity to native
forms of L-asparaginase.
Methotrexate antimetabolite of the folic acid analogue type. This agent inhibits dihydrofolate
reductase, resulting in inhibition of DNA synthesis, repair, and cellular replication.
Mercaptopurine antimetabolite of the purine analogue type. Its primary effect is inhibition of DNA
synthesis.
Cyclophosphamide alkylating agent of the nitrogen mustard type that acts by inhibiting cell growth and
proliferation.
Cytosine
arabinoside
antimetabolite that induces activity as a result of activation to cytarabine triphosphate
and includes inhibition of DNA polymerase and incorporation into DNA and RNA.
DRUG ACTION
Daunorubicin anthracycline that inhibits topoisomerase II. This agent also inhibits DNA and RNA synthesis by
intercalating between DNA base pairs.
Idarubicin topoisomerase II inhibitor that inhibits cell proliferation by inhibiting DNA and RNA polymerase
Mitoxantrone topoisomerase II inhibitor. This agent inhibits cell proliferation by intercalating DNA and inhibiting
topoisomerase II.
Nelarabine prodrug of the deoxyguanosine analogue 9-beta-D-arabinofuranosylguanine (ara-G) that is
converted to the active 5'-triphosphate, ara-GTP, a T-cell–selective nucleoside analogue. Leukemic
blast cells accumulate ara-GTP, which allows for incorporation into DNA, leading to inhibition of
DNA synthesis and cell death.
Clofarabine purine nucleoside antimetabolite that inhibits DNA synthesis and is indicated for relapsed or
refractory acute lymphoblastic leukemia in pediatric patients. Pools of cellular deoxynucleotide
triphosphate are decreased by inhibiting ribonucleotide reductase and terminating DNA chain
elongation and repair. This agent also disrupts mitochondrial membrane integrity.
Inotuzumab CD22-directed antibody-drug conjugate (ADC) indicated for relapsed or refractory B-cell precursor
acute lymphoblastic leukemia. Recognizes human CD22. The small molecule, N-acetyl-gamma-
calicheamicin, is a cytotoxic agent which covalently attaches to antibody via a linker. Data suggest
anticancer activity of inotuzumab ozogamicin is due to binding of ADC to CD22-expressing tumor
cells, followed by internalization of ADC-CD22 complex, and ultimately activating N-acetyl-gamma-
calicheamicin 19 dimethylhydrazide, which induces double-strand DNA breaks, subsequently
inducing cell cycle arrest and apoptotic cell death.
Prognosis
ALL VS AML
REFERENCES
• UP TO DATE
• SLIDESHARE
• MEDSCAPE
• O P GHAI

Acute lymphoblastic leukemia

  • 1.
  • 2.
    DEFINITION Leukaemia is amalignant disorders of heamatopoietic stem cells characteristically associated with increase number of white cells in bone marrow or/and peripheral blood.
  • 3.
    Types of leukemia AcuteChronic • Proliferation of primitive stem cells leading to an accumulation of blasts, predominantly in the bone marrow which will lead to bone marrow failure. • Acute lymphoblastic leukaemia and acute myeloid leukaemia • The malignant clone is able to differentiate, resulting in accumulation of more mature cells. • Chronic lymphoblastic leukaemia and chronic myeloid leukaemia.
  • 4.
    Epidemiology • Acute lymphoblasticleukaemia shows a peak incidence in children age 1-5 years old • Acute myeloid leukaemia has the lowest incidence in young adult life and there is striking rise over the age of 50 • Chronic lymphoblastic leukaemia and chronic myeloid leukaemia mainly in middle and old age.
  • 5.
    Risk factors Environmental factorsGenetic factors 1. family income 2. father with higher social contact 3. number of elder siblings 4. father who smokes 5. the distance of the house from a power line 6. Alkylating Agents 7. Benzene Exposure 8. Advanced Maternal Age 1. Genetic diseases such as Down syndrome. 2. People who have an identical twin who develops leukemia are more likely to develop it themselves. 3. Li-fraumeni syndrome 4. Blooms syndrome 5. Ataxia telangiectasia 6. NF Type1
  • 6.
    BLAST CELLS ALL ischaracterized by presence of immature cells – blast cells of >20% in the a. blood picture b. bone marrow examination Features of blast cells - very high N:C ratio - large cells with large nuclei - absence of cytoplasmic granules - presence of round or convoluted nuclei
  • 10.
    PATIENT PRESENTATION: Ineffective hematopoiesisdue to the excessive proliferation of lymphoid precursor cells in bone marrow: •Neutropenia – fever, chills, infection •Thrombocytopenia – bleeding, bruising •Anemia – weakness, fatigue, dizziness, palpitation, SOBOE
  • 12.
  • 13.
    Investigations • Full bloodcount- Anemia, thrombocytopenia, leucopenia or leukocytosis. • Peripheral smear study- Total leucocyte count raised , normal or low, Normocytic normochromic anemia, Thrombocytopenia • Coagulation studies (prothrombin time [PT], activated partial thromboplastin time [aPTT], fibrinogen) • Renal profile and liver function test- due to tumour lysis syndrome, need to monitor hyperkalemia, hyperuricaemia, hyperphosphotemia and hypocalcemia • Bone marrow aspiration and biopsy- hypercellular replacement of normal cells by blast cells which more than 20%. • Blood cultures- obtained in patients with fever and other signs of infection.
  • 14.
  • 15.
    • Lumbar puncture-used to evaluate CNS involvement. In pediatric patients, LP is typically included in the diagnostic workup. CNS status is classified as follows, on the basis of cerebrospinal fluid (CSF) findings: 1. CNS-1: No lymphoblasts in CSF, regardless of white blood cell (WBC) count 2. CNS-2: WBC < 5/mcL in CSF with presence of lymphoblasts 3. CNS-3: WBC ≥5/mcL in CSF with presence of lymphoblasts • Chest x ray- Nodular masses. Central lymphadenopathy, such as mediastinal lymph node enlargement. • Computed tomography scans- can further define the degree of lymphadenopathy in some patients, including those with mediastinal masses.
  • 16.
  • 17.
  • 18.
    FAB L1 Size –small. Cytoplasm- scanty basophilic. N/C Ratio – high. Nuclear membrane – regular. Nucleoli – invisible or indistinct.
  • 19.
    FAB L2 Size ofblast – large & heterogenous Cytoplasm – moderate N/C Ratio – lower Cytoplasmic vacuoles – variable Nuclear membrane – irregular with clefting Nucleoli – prominent ,1-2
  • 20.
    FAB L3 Size ofblast – large & homogenous Cytoplasm – moderate & intensely basophilic N/C Ratio – lower Cytoplasmic vacuoles – prominent Nuclear membrane – regular Nucleoli – prominent , 1-2
  • 21.
    World Health OrganizationClassification of ALL B-lymphoblastic leukemia/lymphoma • B-lymphoblastic leukemia/lymphoma, NOS • B-lymphoblastic leukemia/lymphoma with recurrent genetic abnormalities • B-lymphoblastic leukemia/lymphoma with t(9;22)(q34.1;q11.2); BCR-ABL1 • B-lymphoblastic leukemia/lymphoma with t(v;11q23.3); KMT2A rearranged • B-lymphoblastic leukemia/lymphoma with t(12;21)(p13.2;q22.1); ETV6-RUNX1 • B-lymphoblastic leukemia/lymphoma with hyperdiploidy • B-lymphoblastic leukemia/lymphoma with hypodiploidy • B-lymphoblastic leukemia/lymphoma with t(5;14)(q31.1;q32.3); IL3-IGH • B-lymphoblastic leukemia/lymphoma with t(1;19)(q23;p13.3); TCF3-PBX1 • Provisional entity: B-lymphoblastic leukemia/lymphoma, BCR-ABL1-like • Provisional entity: B-lymphoblastic leukemia/lymphoma with iAMP21 T-lymphoblastic leukemia/lymphoma • Provisional entity: Early T-cell precursor lymphoblastic leukemia • Provisional entity: Natural killer (NK) cell lymphoblastic leukemia/lymphoma
  • 23.
    PRE B ALL(L1):SMALL BLASTS WTH THIN RIM OF CYTOPLASM
  • 24.
  • 25.
    T Cell ALL(L2): Irregular clefts of nucleus
  • 26.
  • 27.
    Induction phase The primarygoal of induction is achievement of an initial complete remission (CR), defined as the eradication of ALL detectable leukemia cells (less than 5 percent blasts) from the bone marrow and blood and the restoration of normal hematopoiesis (>25 percent cellularity and normal peripheral blood counts). involves either a four-drug regimen of vincristine, prednisone, an anthracycline, and cyclophosphamide or L-asparaginase or a five-drug regimen of vincristine, prednisone, an anthracycline, cyclophosphamide, and L -asparaginase given over the course of 4-6 weeks.
  • 28.
    Consolidation therapy The goalof post-induction chemotherapy is to prevent leukemic regrowth, reduce residual tumor burden, and prevent the emergence of drug-resistance in the remaining leukemic cells. ●Cytarabine ●Methotrexate ●Anthracyclines (daunorubicin, doxorubicin) ●Alkylating agents (cyclophosphamide, ifosfamide) ●Epipodophyllotoxins (etoposide, etopophosphamide)
  • 29.
    Maintenance therapy After completionof the consolidation or intensification phase of therapy, patients often receive a less intensive continuation regimen (eg, maintenance chemotherapy) using daily oral 6-mercaptopurine (6- MP), weekly methotrexate with periodic vincristine, prednisone, and intrathecal therapy.
  • 30.
    CNS PREVENTIVE THERAPY CNStreatment usually begins during the induction phase and continues throughout the remainder of the treatment regimen. Craniospinal radiotherapy has been replaced by intrathecal chemotherapy in several CNS preventive therapy protocols. As was associated with significant toxicity, such as cognitive impairment and decreases in white matter volume. In order to achieve effective CNS prophylaxis while minimizing neurotoxicity, experts now recommend a lower dose of cranial irradiation with intrathecal methotrexate.
  • 31.
    Supportive therapy • Packedred blood cells are given to patients with a hemoglobin level of less than 7-8 g/dL or at a higher level if the patient has significant cardiovascular or respiratory compromise. • Platelets are transfused if the count is less than 10,000-20,000/µL. Patients with pulmonary or gastrointestinal hemorrhage receive platelet transfusions to maintain a value greater than 50,000/µL. Patients with central nervous system CNS hemorrhage are transfused to achieve a platelet count of 100,000/µL. • Fresh frozen plasma is given to patients with a significantly prolonged prothrombin time (PT). Cryoprecipitate is given if the fibrinogen level is less than 100-125 g/dL.
  • 33.
    Medications DRUG ACTION Vincristine vincaalkaloid agent that acts by arresting cells in metaphase. asparaginase Catalyzes deamidation of asparagine to aspartic acid and ammonia, thereby reducing circulating levels of asparagine. Lack of asparagine synthetase activity results in cytotoxicity specific for leukemic cells that depend on an exogenous source of the amino acid asparagine. Pegaspargase Modified version of L-asparaginase. Selective killing of leukemic cells it thought to be due to depletion of plasma asparagine, the amino acid required for protein synthesis. It is indicated as a component of a multi-agent chemotherapeutic regimen for the first line treatment of ALL. It is also indicated for use in patients with hypersensitivity to native forms of L-asparaginase. Methotrexate antimetabolite of the folic acid analogue type. This agent inhibits dihydrofolate reductase, resulting in inhibition of DNA synthesis, repair, and cellular replication. Mercaptopurine antimetabolite of the purine analogue type. Its primary effect is inhibition of DNA synthesis. Cyclophosphamide alkylating agent of the nitrogen mustard type that acts by inhibiting cell growth and proliferation. Cytosine arabinoside antimetabolite that induces activity as a result of activation to cytarabine triphosphate and includes inhibition of DNA polymerase and incorporation into DNA and RNA.
  • 34.
    DRUG ACTION Daunorubicin anthracyclinethat inhibits topoisomerase II. This agent also inhibits DNA and RNA synthesis by intercalating between DNA base pairs. Idarubicin topoisomerase II inhibitor that inhibits cell proliferation by inhibiting DNA and RNA polymerase Mitoxantrone topoisomerase II inhibitor. This agent inhibits cell proliferation by intercalating DNA and inhibiting topoisomerase II. Nelarabine prodrug of the deoxyguanosine analogue 9-beta-D-arabinofuranosylguanine (ara-G) that is converted to the active 5'-triphosphate, ara-GTP, a T-cell–selective nucleoside analogue. Leukemic blast cells accumulate ara-GTP, which allows for incorporation into DNA, leading to inhibition of DNA synthesis and cell death. Clofarabine purine nucleoside antimetabolite that inhibits DNA synthesis and is indicated for relapsed or refractory acute lymphoblastic leukemia in pediatric patients. Pools of cellular deoxynucleotide triphosphate are decreased by inhibiting ribonucleotide reductase and terminating DNA chain elongation and repair. This agent also disrupts mitochondrial membrane integrity. Inotuzumab CD22-directed antibody-drug conjugate (ADC) indicated for relapsed or refractory B-cell precursor acute lymphoblastic leukemia. Recognizes human CD22. The small molecule, N-acetyl-gamma- calicheamicin, is a cytotoxic agent which covalently attaches to antibody via a linker. Data suggest anticancer activity of inotuzumab ozogamicin is due to binding of ADC to CD22-expressing tumor cells, followed by internalization of ADC-CD22 complex, and ultimately activating N-acetyl-gamma- calicheamicin 19 dimethylhydrazide, which induces double-strand DNA breaks, subsequently inducing cell cycle arrest and apoptotic cell death.
  • 36.
  • 37.
  • 39.
    REFERENCES • UP TODATE • SLIDESHARE • MEDSCAPE • O P GHAI