Embed presentation
Downloaded 51 times





















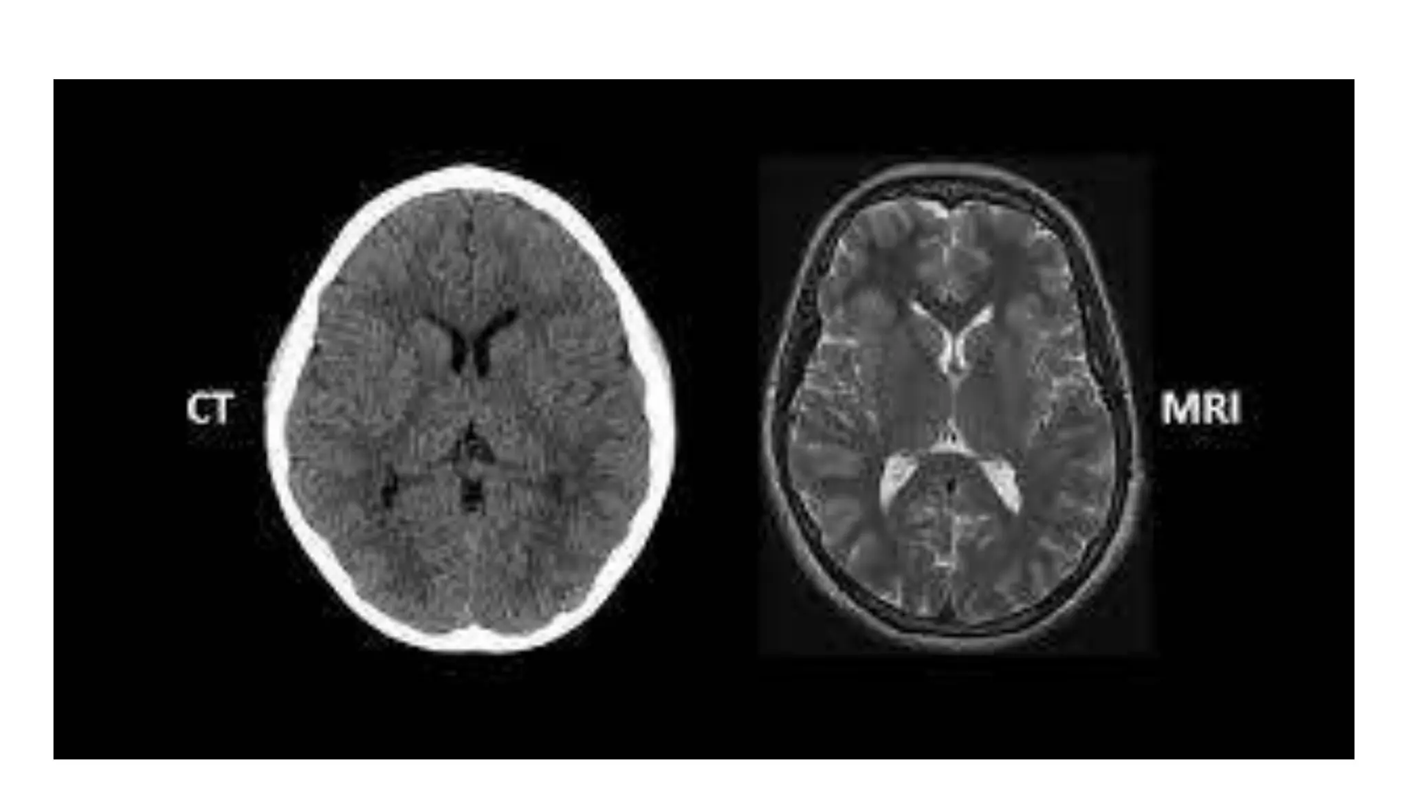
The document is an introductory guide to radiology by Dr. Mathew Joseph, covering the stages of investigations and various imaging techniques, both ionizing and non-ionizing. It outlines the principles of radiology and properties of X-rays, as well as contrast radiography and its applications. The document serves as a foundation for further region-wise radiology classes.



















