Case study
Intestinal Obstruction
“Never let the sun rise or set on small-bowel
obstruction”
Definitions
 Intestinal Obstruction is defined as
partial or complete blockage of the
bowel that results in the failure of
intestinal contents to pass.
 Intestinal obstruction is a common surgical
emergency & because of its serious nature it
demands early diagnosis & speedy relief.
 1- Dynamic:- where peristalsis is working
against a mechanical obstruction ( acute or
chronic).
 2- Adynamic:- this may occur in two forms:-
 a- Absent peristalsis: - paralytic ileus.
 b- Non-propulsive peristalsis: - Mesenteric
vascular occlusion.
Intestinal obstruction can be
classified into 2 types
Dynamic Adynamic
 Peristalsis is working against a
mechanical obstruction. It may
accrue in an acute or chronic
form. “Mechanical Obstruction”
 The obstructing lesion may be:
1. Intraluminal (Ex. impacted faeces,
foreign bodies, bezoar, gallstones)
2. Intramural (Ex. malignant or
inflammatory strictures)
3. Extramural (Ex. intraperitoneal bands
and adhesions, hernias, volvulus or
intussusception.)
 Peristalsis is
absent (Ex.
Paralytic ileus) or it
may be present in
a non-propulsive
form (Ex. Pseudo-
obstruction)
Extramural Obstruction
Adynamic
 Peristalsis may be absent (e.g. paralytic ileus)
 It may be present in a non-propulsive form (e.g.
mesenteric vascular occlusion or
pseudo-obstruction).
Other Classifications
According to…
 ONSET: Acute VS Chronic
 SITE: Small Bowel (High) VS Large
Bowel (Low)
 NATURE: Simple VS Strangulated
Dynamic obstruction
Classifications
Classification Acc to Nature of presentation
 acute
 chronic
 acute on chronic
 subacute.
Classification acc to site of
obstruction
Small bowel obstruction Large bowel obstruction
Classification acc to blood
supply
Strangulation Simple
Incidence
Site of Obstruction Cause Relative Incidences
(%)
Small intestine [85%] Adhesions 60
Hernia 15
Tumors 15
miscellaneous 10
Large Intestine [15%] CA colon 65
Diverticulitis 20
Volvulus 5
miscellaneous 10
COMMON CAUSES OF
INTESTINAL OBSTRUCTION
 Adhesions-40%
 Carcinoma-15%
 Inflammatory-15%
 Obstructed hernia-12%
 Faecal impaction-8%
 Pseudo-obstruction-5%
 Miscellaneous-5%
Clinical Presentation
Classic quartet of intestinal
obstruction
 Pain
 Distension
 vomiting
 absolute constipation
HISTORY - The diagnosis of intestinal obstruction is based on its “cardinal symptoms”
of Pain, Distension, Vomiting and Absolute Constipation.
Clinical Presentation
1) DURATION - Nature of Presentation of Obstruction will be influenced by
whether the presentation is…
I. Acute Obstruction usually occurs in small bowel obstruction with sudden
onsets of severe colicky central abdominal pain, distension, with early
vomiting and constipation.
II. Chronic obstruction is usually seen in large bowel obstruction with lower
abdominal colic and absolute constipation, followed by distension.
III. In Acute on Chronic Obstruction there is a short history of distention and
vomiting against a background of pain and constipation.
IV. Subacute Obstruction implies an incomplete obstruction. Presentation
will be further influenced by whether the obstruction simple (With blood
supply is intact) or strangulated (there is interference to blood flow)
HISTORY - The diagnosis of intestinal obstruction is based on its “cardinal symptoms”
of Pain, Distension, Vomiting and Absolute Constipation.
Clinical Presentation
2) PAIN - The Pain of intestinal obstruction is true colic, and it is the first
symptom encountered.
Site- Centered around the umbilicus (small Bowel Colic)
Lower 1/3 of Abdomen (Large Bowel Colic)
Onsite- Sudden
Character - Colicky i.e. pain caused by spasm, intermittent.
Radiation - No Radiation. Generally Periumbilical or Suprapubic.
Associated Symptoms- None.
Timing- Small Bowel colic occurs every 2-20 minutes.
Large Bowel Colic occurs about every 30 minutes or more.
Exacerbating and Relieving Factors- Corresponds with Peristalsis
Severity- Sever.
HISTORY - The diagnosis of intestinal obstruction is based on its “cardinal symptoms”
of Pain, Distension, Vomiting and Absolute Constipation.
Clinical Presentation
3)VOMITING - Frequent vomiting, nature of Vomitus
depends on the level of obstruction.
I. Pyloric Obstruction vomitus is watery and acidic.
II. High Small Bowel Obstruction vomitus is
Greenish-Blue and Bile-Stained.
III. Lower Small Bowel Obstruction vomitus is foul
smelling and Brown (Faeculent Vomit)
IV. Large Bowel Obstruction vomitus is usually a late
symptom.
HISTORY - The diagnosis of intestinal obstruction is based on its “cardinal symptoms”
of Pain, Distension, Vomiting and Absolute Constipation.
Clinical Presentation
4) DISTENTION - The lower the site of obstruction
the more bowel there is available to distend.
 “Higher up” Bowel Obstruction is NOT
associated with distension.
 “Colon” Obstruction causes the colon to
distend around the periphery of the abdomen
and might extend into the small bowel if the
ileocaecal valve is incompetent.
HISTORY - The diagnosis of intestinal obstruction is based on its “cardinal symptoms”
of Pain, Distension, Vomiting and Absolute Constipation.
Clinical Presentation
5) ABSOLUTE CONSTIPATION - Develops
once the block becomes complete and the
bowel below is empty, so that neither feces
nor flatus are passed.
 Occurs Early in “lower” Large Bowel
Obstruction.
 Occurs Late in “High” Small Bowel
Obstruction.
HISTORY - The diagnosis of intestinal obstruction is based on its “cardinal symptoms”
of Pain, Distension, Vomiting and Absolute Constipation.
Clinical Presentation
7) Late Manifestations…
 Pyrexia
 Respiratory Distress
 Dehydration
 Hypovolemic Shock
 Peritonism
EXAMINATION
Clinical Presentation
1) INSPECTION - We Look For…
i. Surgical Scars
ii. Hernias
iii. Distention
iv. Visible Peristalsis
EXAMINATION
Clinical Presentation
2) PALPATION – Palpate for…
i. Masses
ii. Hernias
iii. Tenderness
 Perform Rectal Exam.
EXAMINATION
Clinical Presentation
3) PERCUSSION – Percuss to hear any
Dullness or Resonance related to site of
obstruction.
EXAMINATION
Clinical Presentation
4) AUSCULTATION – Bowel Sounds are
Initially Loud and frequent→ Then as
bowel distends the sounds become more
resonant and high pitched→ Eventually
becoming Amphoric.
→
DEFERENTIAL DIAGNOSIS
Clinical Presentation
1) In The Small Bowel
I. Gallstone Ileus
II. TB
III. Tumor
IV. Adhesions
V. Volvulus
Extramural Obstruction
Intraluminal Obstruction
Intramural Obstruction
DEFERENTIAL DIAGNOSIS
Clinical Presentation
2) In The Large Bowel
I. Feces
II. Diverticulae
III. CA
IV. Hirshsprung’s Diseases
V. Adhesions
VI.Volvulus
Radiological diagnosis
Radiological diagnosis is based on a supine
abdominal film
 Obstructed small bowel -straight segments
that are generally central and lie
transversely. No gas is seen in the colon.
 Jejunum -valvulae conniventes
 Ileum -featureless
 Caecum-a rounded gas shadow in the right iliac
fossa.
 Large bowel- haustral folds
 Volvulus of the sigmoid colon -a grossly dilated
loop of colon, with or without visible haustrae
which arises from the pelvis and extends
obliquely across the spine to the upper abdomen.
X-RAY
 Small Bowel
Obstruction is
suggested by a
“ladder” pattern, when
obstruction occurs,
both fluid and gas
collect in the intestine.
 They produce a
characteristic pattern
called air-fluid levels.
The air rises above
the fluid and there is a
flat surface at the air-
fluid interface.
X-RAY
 Distended Large
Bowel Tends to lie
peripherally and to
show the
Hustrations of the
Taenia Coli.
X-RAY- “Barium Follow-Through”
 Patient drinks a contrast medium containing
barium sulfate. Contrast medium appears
white on x-rays, and shows the outline of the
internal lining of the bowel.
 X-ray images are taken at intervals as the
contrast moves through the intestine, (@ 0
minutes→@ 20 minutes→@ 40 minutes →
@90 minutes);
 The bowel is accessed as it becomes visible.
 The test is completed when the Barium is
visualized at the Caecum.
CT
 Useful to detect…
• Lesions
• Colonic Tumors
• Hernias
• Bolus
CT Scan
Although the treatment of
specific causes of intestinal
obstruction is considered
accordingly, there are some
general principles applied.
Chronic large bowel
obstruction, slowly progressive,
and incomplete obstruction can
be investigated at some leisure.
Acute, sudden onset, complete
and obstruction with risk of
strangulation requires emergency
surgical intervention.
Treatment of acute intestinal
obstruction
Principles of treatment
 Gastrointestinal drainage
 Fluid and electrolyte replacement
 Relief of obstruction, usually surgical
Preop
1. Gastric Aspiration via Nasogastric Tube; This
decompress the bowel and remove risk of
inhaling gastric contents during anesthesia.
2. IV Fluid replacement Give normal Saline,
Possibly Blood or Plasma if patient is shocked.
1. Antibiotic Therapy Started if Strangulation is
found or suspected.
PRINCIPLES OF SURGICAL
INTERVENTION
 Management of segment at site of obstruction
 The distended proximal bowel
 Underlying cause of obstruction
 Bowel is inspected and
non-viable (aka non-
functioning) bowel is
removed.
Non-Viability is determined by:
I. Loss of peristalsis
II. Loss of Sheen
III. Greenish or Black (Not
Purple; Purple may still
recover)
IV. Loss of Pulsation in
supplying vessels
 Small Bowel can be
removed and anastomosis
performed with safety
because of its rich blood
supply.
 Large bowel is not as
easily approachable,
where consideration must
be taken regarding the
location of the obstruction
and its relation to nearby
blood supply.
Operative
Pathophysiology
 In obstruction, regardless of the cause of obstruction
or its acuteness of onset, the proximal bowel dilates
and develops an altered motility.
 Below the obstruction, the bowel exhibits normal
peristalsis and absorption until it becomes empty,
when it contracts and becomes immobile.
 Initially, proximal peristalsis is increased to
overcome the obstruction, If the obstruction is not
relieved the bowel begins to dilate causing a
reduction in peristaltic strength, ultimately resulting
in flaccidity and paralysis.
 The distension proximal to an obstruction
is produced by two factors:
I. Gas
II. Fluid
Strangulation
Strangulation
Strangulation is very dangerous condition and
Strangulation is very dangerous condition and
demands early treatment before gangrene of the
demands early treatment before gangrene of the
bowel arises
bowel arises
.
.
62
62
Strangulation
 Strangulation is impairment of blood supply to bowel.
 Signs of Strangulation
• Toxic Appearance, Rapid Pulse, Temperature drop
• Colicky pain with decreasing intermittence
• Marked Tenderness and Rigidity
• Raised WBC (mainly Neutrophils), usual with
infracted bowel.
• Shock
 Causes of strangulation-
1. External→ Hernial Orifices Adhesions/Bands
2. Interrupted Blood Flow → Volvulus Intussusceptions
3. Increased Intraluminal Pressure → Closed-Loop
Obstruction
4. Primary → Mesenteric Infarction
Strangulation
Closed-loop obstruction
Strangulation
 This occurs when the bowel is
obstructed at both the proximal
and distal point. There is no
early distension of the proximal
intestine.
 When gangrene of the
strangulated segment is
imminent, retrograde thrombosis
of the mesenteric veins results
in distension on both sides of
the strangulated segment.
 Unrelieved, this may result in
necrosis and perforation.
Carcinomatous stricture
Carcinomatous stricture
(X) of the hepatic
(X) of the hepatic
flexure
flexure
:
:
closed-loop obstruction
closed-loop obstruction
.
.
66
66
Internal Hernia
Internal Hernia
:
:
The following are potential sites of internal
The following are potential sites of internal
herniation (all are rare)
herniation (all are rare)
:
:
1
1
-
-
The foramen of winslow
The foramen of winslow
.
.
2
2
-
-
A hole in the mesentery
A hole in the mesentery
.
.
3
3
-
-
A defect in the transverse mescolon
A defect in the transverse mescolon
.
.
4
4
-
-
Defects in the broad ligament
Defects in the broad ligament
.
.
5
5
-
-
Congenital or acquired diaphragmatic hernia
Congenital or acquired diaphragmatic hernia
.
.
6
6
-
-
Duodenal retroperitoneal fossae
Duodenal retroperitoneal fossae
.
.
7
7
-
-
Caecal/appendiceal retroperitoneal fossae
Caecal/appendiceal retroperitoneal fossae
.
.
8
8
-
-
Intersigmoid fossa
Intersigmoid fossa
.
.
67
67
68
68
The standard treatment of an obstructed hernia is
The standard treatment of an obstructed hernia is
to release the constricting agent by division
to release the constricting agent by division
.
.
This should not be undertaken in cases of
This should not be undertaken in cases of
herniation involving
herniation involving
:
:
Foramen of Winslow
Foramen of Winslow
,
,
Mesenteric defects
Mesenteric defects
Paraduodenal/duodenojejunal fossae
Paraduodenal/duodenojejunal fossae
as major BV run in the edge of the constriction ring
as major BV run in the edge of the constriction ring
.
.
The distended loop in such circumstances must first
The distended loop in such circumstances must first
be decompressed (minimising contamination)
be decompressed (minimising contamination)
and then reduced
and then reduced
.
.
69
69
Obstruction by
Obstruction by
Adhesions and Bands
Adhesions and Bands
70
70
Adhesions
 Most common cause of obstruction in the west.
 Any site of peritoneal irritation results in fibrin
production, which results in adhesions between
apposed surfaces.
 Only ONE adhesion may be causative of
obstruction.
 There are many causes of intraperitoneal
adhesions such as Ischemic Areas, Foreign
Material, Infection, Inflammatory Conditions, and
Radiation Enteritis.
Adhesions
 Adhesions may he classified into various types
whether they are early (fibrinous), late (fibrous) or
by the underlying etiology. From a practical
perspective, there are only two types — ‘easy’
weak ones and ‘difficult’ dense ones.
 Postoperative adhesions giving rise to intestinal
obstruction usually involve the lower small bowel.
Operations for appendicitis and gynecological
procedures are the most common; and are an
indication for early intervention.
73
73
74
74
**
**
Bands
Bands
:
:
Usually only one band is culpable, this may be
Usually only one band is culpable, this may be
:
:
1
1
-
-
Congenital: - e.g. obliterated vitellointestinal
Congenital: - e.g. obliterated vitellointestinal
tract
tract
.
.
2
2
-
-
String band following previous bacterial
String band following previous bacterial
peritonitis
peritonitis
.
.
3
3
-
-
Portion of greater omentum usually adherent
Portion of greater omentum usually adherent
to the parietes
to the parietes
.
.
75
75
 The following factors may limit adhesion formation:
I. Good surgical technique
II. Washing of the peritoneal cavity with saline to remove clots, etc.
III. Minimize contact with gauze
IV. Cover anastomosis and raw peritoneal surfaces.
V. Numerous substances have been instilled in the peritoneal
cavity to prevent adhesion formation, no single agent has been
shown to be safe and effective, and their use is not
recommended.
Treatment
 Treatment of adhesions is initially
Conservative, but should not be prolonged
beyond 72hrs.
 In such cases Laparotomy is required, only
causative adhesion should be removed;
removal of other adhesion will only cause
more adhesion formation.
 If multiple adhesions must be removed the
bare area should be covered with omental
grafts.
Volvulus
 A twisting or axial rotation of a portion of bowel
about its mesentery. When complete it forms a
closed loop of obstruction with resultant ischemia
secondary to vascular occlusion.
 May be primary or secondary.
 The primary form occurs secondary to congenital
malrotation of the gut, abnormal mesenteric
attachments or congenital bands.
 A secondary Volvulus, which is the more common
variety, is due to actual rotation of a piece of bowel
around an acquired adhesion or stoma.
1) Volvulus Neonatorum
 Due to arrest gut rotation and narrow
mesentery of small bowel and Caecum .
 Symptoms include catastrophic onset of
repeated vomiting, rapid dehydration
and abdominal distension
2) Volvulus of Small Intestine
 Primary or secondary and usually in
the lower ileum
 Spontaneously or secondary
 Treatment consists of reduction of the
twist and directed to the underlying
cause .
3) Cecal Volvulus
 Primary or as a part of Volvulus Neonatorum .
 A clockwise twist ·
 F>M .
 Acute features of obstruction .
 25% has tympanic swelling in the midline or
left side of the abdomen .
4) Sigmoid Volvulus
 An anticlockwise twist .
 Most Common spontaneous Volvulus in
Adults.
 Chronic constipation is a predisposing
factor.
Sigmoid Volvulus
90
This is uncommon in Europe and the United States,
but more common in Eastern Europe and Africa.
it is the most common cause of large bowel
obstruction in the Black African population.
Rotation nearly always occurs in the anticlockwise
direction.
91
Predisposing causes of sigmoid volvulus are:
Predisposing causes of sigmoid volvulus are:
1- Band of adhesions.
2- Overloaded pelvic colon.
3- Long pelvic mesocolon.
4- Narrow attachment of pelvic
mesocolon.
5- high residue diet and
constipation.
92
In Western populations, the condition is seen most
often in elderly patients with chronic constipation;
comorbidities are common and chronic psychotropic
drug use is associated with this condition.
Younger patients present earlier and the prognosis is
inversely related to the duration of symptoms.
Presentation can be classified as:
* Fulminant: sudden onset, severe pain, early
vomiting, rapidly deteriorating clinical course;
* Indolent: insidious onset, slow progressive course,
less pain, late vomiting.
93
Bolus Obstruction.
“Accumulation → Compaction”
I. Gallstones: Gallstone Ileus (stones enter the
intestine through a fistulous communication
between the bile duct and the GI tract)
II. Food: Bolus obstruction may occur after partial or
total gastrectomy when unchewed articles can
pass directly into small bowel
III. Bezoars: Trichobezoars (Hair Balls) and
Phytobezoar (Fruit/Vegetable Fibre).
IV. Worms: Ascaris lumbricoides may cause low small
bowel obstruction particularly in children, the
institutionalized and those near the tropics.
Radiography
Radiography
- :
- :
The characteristic radiological sign of gallstone ileus
The characteristic radiological sign of gallstone ileus
is
is
Rigler's triad
Rigler's triad
:
:
small bowel obstruction
small bowel obstruction +
+ pneumobilia
pneumobilia +
+ atypical
atypical
mineral shadow on radiograp ectopic calcified
mineral shadow on radiograp ectopic calcified
gallstone, usually in the right iliac fossa
gallstone, usually in the right iliac fossa
Presence of two of these radiological signs has been
Presence of two of these radiological signs has been
considered pathognomic of gallstone ileus
considered pathognomic of gallstone ileus
.
.
96
96
97
97
98
98
99
99
Treatment
Treatment
:
:
Laparatomy & the stone is milked proximally away
Laparatomy & the stone is milked proximally away
from the site of impaction, the intestine is
from the site of impaction, the intestine is
opened at this point and the gallstone removed
opened at this point and the gallstone removed
.
.
If the gallstone is faceted, a careful check for other
If the gallstone is faceted, a careful check for other
enteric stones should be made
enteric stones should be made
.
.
The region of the gall bladder should not be
The region of the gall bladder should not be
explored
explored
.
.
100
100
101
101
2
2
-
-
Food
Food
:
:
Occur after partial or total gastrectomy when
Occur after partial or total gastrectomy when
unchewed articles can pass directly into small
unchewed articles can pass directly into small
bowel
bowel
.
.
The management is similar to that for gallstone,
The management is similar to that for gallstone,
with intraluminal crushing usually successful
with intraluminal crushing usually successful
.
.
102
102
3
3
-
-
Trichobezoar and phytobezoars
Trichobezoar and phytobezoars
:
:
Trichobezoar
Trichobezoar
:
:
Undigested hair balls due to persistent hair
Undigested hair balls due to persistent hair
chewing and sucking and may be associated with
chewing and sucking and may be associated with
an underlying psychiatric abnormality
an underlying psychiatric abnormality
.
.
103
103
Phytobezoars
Phytobezoars
:
:
results from a high fibre intake, inadequate
results from a high fibre intake, inadequate
chewing, previous gastric surgery,
chewing, previous gastric surgery,
hypochlorhydria and loss of the gastric pump
hypochlorhydria and loss of the gastric pump
mechanism
mechanism
.
.
When possible, the lesion may be kneaded into the
When possible, the lesion may be kneaded into the
caecum, otherwise open removal is required
caecum, otherwise open removal is required
.
.
104
104
5
5
-
-
Worms
Worms
:
:
Ascaris lumbricoides may cause low SBO
Ascaris lumbricoides may cause low SBO
particularly in chidren, an attack frequently
particularly in chidren, an attack frequently
follow initiation of anti-helminthic therapy
follow initiation of anti-helminthic therapy
.
.
At laparatomy it may be possible to knead the
At laparatomy it may be possible to knead the
tangled mass into the caecum, If not it should be
tangled mass into the caecum, If not it should be
removed
removed
.
.
105
105
SBO due to
SBO due to Ascaris lumbricoides
Ascaris lumbricoides
.
.
106
106
Internal Hernia
 Occurs where a portion of the small
intestine becomes entrapped in one of the
retroperitoneal fossae or into a congenital
mesenteric defect.
 In the absence of adhesions hernia is
uncommon to cause obstruction and a
preoperative diagnosis is unusual.
 The standard treatment for a hernia is to
release the constricting agent by division.
Obstruction from Enteric Strictures
 Small bowel strictures usually occur secondary
to Tuberculosis or Crohn’s disease.
 Malignant strictures associated with lymphoma
are common, whilst carcinoma and sarcoma
are rare.
 Presentation is usually Subacute or Chronic.
 Standard surgical management consists of
resection and anastomosis.
In Crohn's disease, strictureplasty may be
In Crohn's disease, strictureplasty may be
considered in the presence of short multiple
considered in the presence of short multiple
strictures
strictures
.
.
Acute Intussusception
 Most common in children.
 Primary or secondary to intestinal
pathology, e.g. polyp, Meckel's
diverticullum.
 Ileocolic is the most common variant.
 Can lead to an ischemic segment and
strangulation.
Adynamic Obstruction
I. Paralytic Ileus
II. Pseudo-Obstruction
III. Acute Mesenteric Ischemia
Paralytic ileus
 Definition: A state in which there is failure of
transmission of peristaltic wave secondary to
neuromuscular failure
 This will leads to signs of intestinal obstruction due to
accumulation of gas and fluid in the bowel with signs of
abdominal distension ,constipation, but NO Pain.
 Varieties :
1. Post operative: - Self limiting, Lasts for 24-72 Hours
2. Infection: Peritonitis
3. Reflex ileus: as in fracture of the spine or ribs on in
retroperitoneal hemorrhage
4. Metabolic : Hypokalemia, DM
5. Drugs : Spasmolytic Drugs , Parkinson Drugs, Atropine
 Clinical features:
-It takes clinical significance if there has
been no return of normal bowel sound
and no passage of flatus after 72 hrs of
Surgery
- Abdominal distension is marked,
Effortless Vomiting, but pain is NOT a
feature
-Radiologically: Multiple Fluid Level
 Management :
1. General principles must be applied if the disease
takes place
2. Remove the cause
3. Relieve GI distension by decompression
4. Monitoring fluid and electrolyte balance
5. Rarely medical agents are used (AntiCholene
Esterase)
6. Laparotomy after 72 hours
Pseudo-Obstruction
 This condition describes an obstruction,
usually of the colon, in the absence of a
mechanical cause or acute intra-
abdominal disease.
 It is associated with a variety of
syndromes where there is an underlying
neuropathy and/or myopathy.
1) Small intestinal pseudo-obstruction
• This condition may be primary or
secondary.
• The clinical picture consists of recurrent
subacute obstruction.
• The diagnosis is made by the exclusion
of a mechanical cause.
• Treatment consists of initial correction
of any underlying disorder.
2) Colonic pseudo-obstruction.
• This may occur in an acute or a chronic
form.
• The acute form is known as Ogilvie
syndrome, presents as acute large bowel
obstruction.
• Abdominal radiographs show evidence of
colonic obstruction with marked caecal
distension being a common feature
• Perforation is a common complication.
• Treated by colonoscopic decompression
Thank You

19-Intestinal Obstruction 01-08,-15-08,22-08-24(3).ppt

  • 1.
  • 3.
    Intestinal Obstruction “Never letthe sun rise or set on small-bowel obstruction”
  • 4.
    Definitions  Intestinal Obstructionis defined as partial or complete blockage of the bowel that results in the failure of intestinal contents to pass.
  • 5.
     Intestinal obstructionis a common surgical emergency & because of its serious nature it demands early diagnosis & speedy relief.  1- Dynamic:- where peristalsis is working against a mechanical obstruction ( acute or chronic).  2- Adynamic:- this may occur in two forms:-  a- Absent peristalsis: - paralytic ileus.  b- Non-propulsive peristalsis: - Mesenteric vascular occlusion.
  • 6.
    Intestinal obstruction canbe classified into 2 types Dynamic Adynamic  Peristalsis is working against a mechanical obstruction. It may accrue in an acute or chronic form. “Mechanical Obstruction”  The obstructing lesion may be: 1. Intraluminal (Ex. impacted faeces, foreign bodies, bezoar, gallstones) 2. Intramural (Ex. malignant or inflammatory strictures) 3. Extramural (Ex. intraperitoneal bands and adhesions, hernias, volvulus or intussusception.)  Peristalsis is absent (Ex. Paralytic ileus) or it may be present in a non-propulsive form (Ex. Pseudo- obstruction)
  • 7.
  • 8.
    Adynamic  Peristalsis maybe absent (e.g. paralytic ileus)  It may be present in a non-propulsive form (e.g. mesenteric vascular occlusion or pseudo-obstruction).
  • 9.
    Other Classifications According to… ONSET: Acute VS Chronic  SITE: Small Bowel (High) VS Large Bowel (Low)  NATURE: Simple VS Strangulated
  • 10.
    Dynamic obstruction Classifications Classification Accto Nature of presentation  acute  chronic  acute on chronic  subacute.
  • 11.
    Classification acc tosite of obstruction Small bowel obstruction Large bowel obstruction
  • 12.
    Classification acc toblood supply Strangulation Simple
  • 13.
    Incidence Site of ObstructionCause Relative Incidences (%) Small intestine [85%] Adhesions 60 Hernia 15 Tumors 15 miscellaneous 10 Large Intestine [15%] CA colon 65 Diverticulitis 20 Volvulus 5 miscellaneous 10
  • 15.
    COMMON CAUSES OF INTESTINALOBSTRUCTION  Adhesions-40%  Carcinoma-15%  Inflammatory-15%  Obstructed hernia-12%  Faecal impaction-8%  Pseudo-obstruction-5%  Miscellaneous-5%
  • 18.
  • 19.
    Classic quartet ofintestinal obstruction  Pain  Distension  vomiting  absolute constipation
  • 20.
    HISTORY - Thediagnosis of intestinal obstruction is based on its “cardinal symptoms” of Pain, Distension, Vomiting and Absolute Constipation. Clinical Presentation 1) DURATION - Nature of Presentation of Obstruction will be influenced by whether the presentation is… I. Acute Obstruction usually occurs in small bowel obstruction with sudden onsets of severe colicky central abdominal pain, distension, with early vomiting and constipation. II. Chronic obstruction is usually seen in large bowel obstruction with lower abdominal colic and absolute constipation, followed by distension. III. In Acute on Chronic Obstruction there is a short history of distention and vomiting against a background of pain and constipation. IV. Subacute Obstruction implies an incomplete obstruction. Presentation will be further influenced by whether the obstruction simple (With blood supply is intact) or strangulated (there is interference to blood flow)
  • 21.
    HISTORY - Thediagnosis of intestinal obstruction is based on its “cardinal symptoms” of Pain, Distension, Vomiting and Absolute Constipation. Clinical Presentation 2) PAIN - The Pain of intestinal obstruction is true colic, and it is the first symptom encountered. Site- Centered around the umbilicus (small Bowel Colic) Lower 1/3 of Abdomen (Large Bowel Colic) Onsite- Sudden Character - Colicky i.e. pain caused by spasm, intermittent. Radiation - No Radiation. Generally Periumbilical or Suprapubic. Associated Symptoms- None. Timing- Small Bowel colic occurs every 2-20 minutes. Large Bowel Colic occurs about every 30 minutes or more. Exacerbating and Relieving Factors- Corresponds with Peristalsis Severity- Sever.
  • 22.
    HISTORY - Thediagnosis of intestinal obstruction is based on its “cardinal symptoms” of Pain, Distension, Vomiting and Absolute Constipation. Clinical Presentation 3)VOMITING - Frequent vomiting, nature of Vomitus depends on the level of obstruction. I. Pyloric Obstruction vomitus is watery and acidic. II. High Small Bowel Obstruction vomitus is Greenish-Blue and Bile-Stained. III. Lower Small Bowel Obstruction vomitus is foul smelling and Brown (Faeculent Vomit) IV. Large Bowel Obstruction vomitus is usually a late symptom.
  • 23.
    HISTORY - Thediagnosis of intestinal obstruction is based on its “cardinal symptoms” of Pain, Distension, Vomiting and Absolute Constipation. Clinical Presentation 4) DISTENTION - The lower the site of obstruction the more bowel there is available to distend.  “Higher up” Bowel Obstruction is NOT associated with distension.  “Colon” Obstruction causes the colon to distend around the periphery of the abdomen and might extend into the small bowel if the ileocaecal valve is incompetent.
  • 24.
    HISTORY - Thediagnosis of intestinal obstruction is based on its “cardinal symptoms” of Pain, Distension, Vomiting and Absolute Constipation. Clinical Presentation 5) ABSOLUTE CONSTIPATION - Develops once the block becomes complete and the bowel below is empty, so that neither feces nor flatus are passed.  Occurs Early in “lower” Large Bowel Obstruction.  Occurs Late in “High” Small Bowel Obstruction.
  • 25.
    HISTORY - Thediagnosis of intestinal obstruction is based on its “cardinal symptoms” of Pain, Distension, Vomiting and Absolute Constipation. Clinical Presentation 7) Late Manifestations…  Pyrexia  Respiratory Distress  Dehydration  Hypovolemic Shock  Peritonism
  • 26.
    EXAMINATION Clinical Presentation 1) INSPECTION- We Look For… i. Surgical Scars ii. Hernias iii. Distention iv. Visible Peristalsis
  • 27.
    EXAMINATION Clinical Presentation 2) PALPATION– Palpate for… i. Masses ii. Hernias iii. Tenderness  Perform Rectal Exam.
  • 28.
    EXAMINATION Clinical Presentation 3) PERCUSSION– Percuss to hear any Dullness or Resonance related to site of obstruction.
  • 29.
    EXAMINATION Clinical Presentation 4) AUSCULTATION– Bowel Sounds are Initially Loud and frequent→ Then as bowel distends the sounds become more resonant and high pitched→ Eventually becoming Amphoric. →
  • 30.
    DEFERENTIAL DIAGNOSIS Clinical Presentation 1)In The Small Bowel I. Gallstone Ileus II. TB III. Tumor IV. Adhesions V. Volvulus
  • 31.
  • 32.
  • 33.
  • 34.
    DEFERENTIAL DIAGNOSIS Clinical Presentation 2)In The Large Bowel I. Feces II. Diverticulae III. CA IV. Hirshsprung’s Diseases V. Adhesions VI.Volvulus
  • 36.
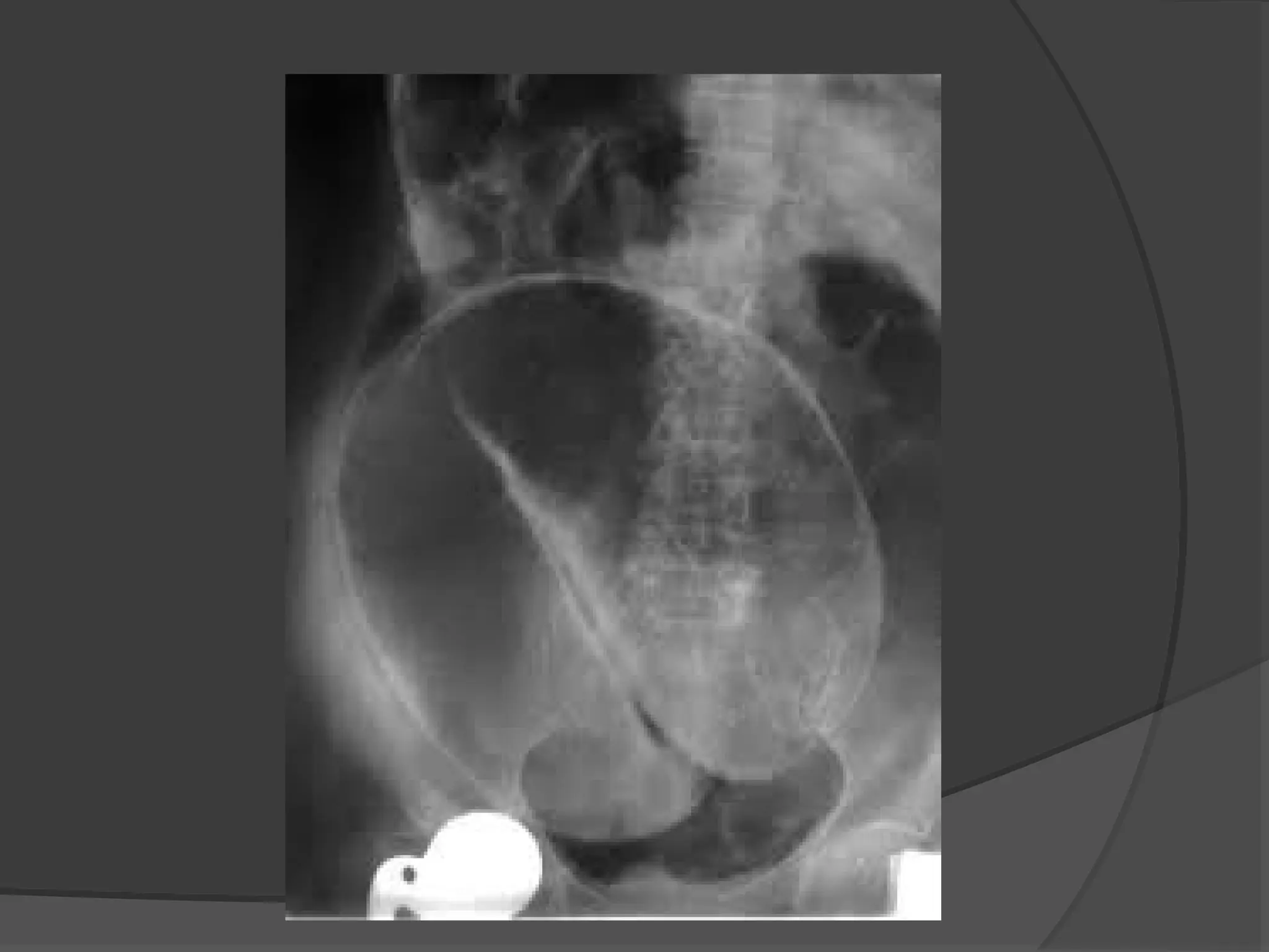
    Radiological diagnosis Radiological diagnosisis based on a supine abdominal film  Obstructed small bowel -straight segments that are generally central and lie transversely. No gas is seen in the colon.  Jejunum -valvulae conniventes
  • 37.
     Ileum -featureless Caecum-a rounded gas shadow in the right iliac fossa.  Large bowel- haustral folds  Volvulus of the sigmoid colon -a grossly dilated loop of colon, with or without visible haustrae which arises from the pelvis and extends obliquely across the spine to the upper abdomen.
  • 38.
    X-RAY  Small Bowel Obstructionis suggested by a “ladder” pattern, when obstruction occurs, both fluid and gas collect in the intestine.  They produce a characteristic pattern called air-fluid levels. The air rises above the fluid and there is a flat surface at the air- fluid interface.
  • 39.
    X-RAY  Distended Large BowelTends to lie peripherally and to show the Hustrations of the Taenia Coli.
  • 43.
    X-RAY- “Barium Follow-Through” Patient drinks a contrast medium containing barium sulfate. Contrast medium appears white on x-rays, and shows the outline of the internal lining of the bowel.  X-ray images are taken at intervals as the contrast moves through the intestine, (@ 0 minutes→@ 20 minutes→@ 40 minutes → @90 minutes);  The bowel is accessed as it becomes visible.  The test is completed when the Barium is visualized at the Caecum.
  • 44.
    CT  Useful todetect… • Lesions • Colonic Tumors • Hernias • Bolus
  • 45.
  • 47.
    Although the treatmentof specific causes of intestinal obstruction is considered accordingly, there are some general principles applied. Chronic large bowel obstruction, slowly progressive, and incomplete obstruction can be investigated at some leisure. Acute, sudden onset, complete and obstruction with risk of strangulation requires emergency surgical intervention.
  • 48.
    Treatment of acuteintestinal obstruction Principles of treatment  Gastrointestinal drainage  Fluid and electrolyte replacement  Relief of obstruction, usually surgical
  • 49.
    Preop 1. Gastric Aspirationvia Nasogastric Tube; This decompress the bowel and remove risk of inhaling gastric contents during anesthesia. 2. IV Fluid replacement Give normal Saline, Possibly Blood or Plasma if patient is shocked. 1. Antibiotic Therapy Started if Strangulation is found or suspected.
  • 50.
    PRINCIPLES OF SURGICAL INTERVENTION Management of segment at site of obstruction  The distended proximal bowel  Underlying cause of obstruction
  • 51.
     Bowel isinspected and non-viable (aka non- functioning) bowel is removed. Non-Viability is determined by: I. Loss of peristalsis II. Loss of Sheen III. Greenish or Black (Not Purple; Purple may still recover) IV. Loss of Pulsation in supplying vessels  Small Bowel can be removed and anastomosis performed with safety because of its rich blood supply.  Large bowel is not as easily approachable, where consideration must be taken regarding the location of the obstruction and its relation to nearby blood supply. Operative
  • 54.
    Pathophysiology  In obstruction,regardless of the cause of obstruction or its acuteness of onset, the proximal bowel dilates and develops an altered motility.  Below the obstruction, the bowel exhibits normal peristalsis and absorption until it becomes empty, when it contracts and becomes immobile.  Initially, proximal peristalsis is increased to overcome the obstruction, If the obstruction is not relieved the bowel begins to dilate causing a reduction in peristaltic strength, ultimately resulting in flaccidity and paralysis.
  • 58.
     The distensionproximal to an obstruction is produced by two factors: I. Gas II. Fluid
  • 62.
    Strangulation Strangulation Strangulation is verydangerous condition and Strangulation is very dangerous condition and demands early treatment before gangrene of the demands early treatment before gangrene of the bowel arises bowel arises . . 62 62
  • 63.
    Strangulation  Strangulation isimpairment of blood supply to bowel.  Signs of Strangulation • Toxic Appearance, Rapid Pulse, Temperature drop • Colicky pain with decreasing intermittence • Marked Tenderness and Rigidity • Raised WBC (mainly Neutrophils), usual with infracted bowel. • Shock
  • 64.
     Causes ofstrangulation- 1. External→ Hernial Orifices Adhesions/Bands 2. Interrupted Blood Flow → Volvulus Intussusceptions 3. Increased Intraluminal Pressure → Closed-Loop Obstruction 4. Primary → Mesenteric Infarction Strangulation
  • 65.
    Closed-loop obstruction Strangulation  Thisoccurs when the bowel is obstructed at both the proximal and distal point. There is no early distension of the proximal intestine.  When gangrene of the strangulated segment is imminent, retrograde thrombosis of the mesenteric veins results in distension on both sides of the strangulated segment.  Unrelieved, this may result in necrosis and perforation.
  • 66.
    Carcinomatous stricture Carcinomatous stricture (X)of the hepatic (X) of the hepatic flexure flexure : : closed-loop obstruction closed-loop obstruction . . 66 66
  • 67.
    Internal Hernia Internal Hernia : : Thefollowing are potential sites of internal The following are potential sites of internal herniation (all are rare) herniation (all are rare) : : 1 1 - - The foramen of winslow The foramen of winslow . . 2 2 - - A hole in the mesentery A hole in the mesentery . . 3 3 - - A defect in the transverse mescolon A defect in the transverse mescolon . . 4 4 - - Defects in the broad ligament Defects in the broad ligament . . 5 5 - - Congenital or acquired diaphragmatic hernia Congenital or acquired diaphragmatic hernia . . 6 6 - - Duodenal retroperitoneal fossae Duodenal retroperitoneal fossae . . 7 7 - - Caecal/appendiceal retroperitoneal fossae Caecal/appendiceal retroperitoneal fossae . . 8 8 - - Intersigmoid fossa Intersigmoid fossa . . 67 67
  • 68.
  • 69.
    The standard treatmentof an obstructed hernia is The standard treatment of an obstructed hernia is to release the constricting agent by division to release the constricting agent by division . . This should not be undertaken in cases of This should not be undertaken in cases of herniation involving herniation involving : : Foramen of Winslow Foramen of Winslow , , Mesenteric defects Mesenteric defects Paraduodenal/duodenojejunal fossae Paraduodenal/duodenojejunal fossae as major BV run in the edge of the constriction ring as major BV run in the edge of the constriction ring . . The distended loop in such circumstances must first The distended loop in such circumstances must first be decompressed (minimising contamination) be decompressed (minimising contamination) and then reduced and then reduced . . 69 69
  • 70.
    Obstruction by Obstruction by Adhesionsand Bands Adhesions and Bands 70 70
  • 71.
    Adhesions  Most commoncause of obstruction in the west.  Any site of peritoneal irritation results in fibrin production, which results in adhesions between apposed surfaces.  Only ONE adhesion may be causative of obstruction.  There are many causes of intraperitoneal adhesions such as Ischemic Areas, Foreign Material, Infection, Inflammatory Conditions, and Radiation Enteritis.
  • 72.
    Adhesions  Adhesions mayhe classified into various types whether they are early (fibrinous), late (fibrous) or by the underlying etiology. From a practical perspective, there are only two types — ‘easy’ weak ones and ‘difficult’ dense ones.  Postoperative adhesions giving rise to intestinal obstruction usually involve the lower small bowel. Operations for appendicitis and gynecological procedures are the most common; and are an indication for early intervention.
  • 73.
  • 74.
  • 75.
    ** ** Bands Bands : : Usually only oneband is culpable, this may be Usually only one band is culpable, this may be : : 1 1 - - Congenital: - e.g. obliterated vitellointestinal Congenital: - e.g. obliterated vitellointestinal tract tract . . 2 2 - - String band following previous bacterial String band following previous bacterial peritonitis peritonitis . . 3 3 - - Portion of greater omentum usually adherent Portion of greater omentum usually adherent to the parietes to the parietes . . 75 75
  • 76.
     The followingfactors may limit adhesion formation: I. Good surgical technique II. Washing of the peritoneal cavity with saline to remove clots, etc. III. Minimize contact with gauze IV. Cover anastomosis and raw peritoneal surfaces. V. Numerous substances have been instilled in the peritoneal cavity to prevent adhesion formation, no single agent has been shown to be safe and effective, and their use is not recommended.
  • 77.
    Treatment  Treatment ofadhesions is initially Conservative, but should not be prolonged beyond 72hrs.  In such cases Laparotomy is required, only causative adhesion should be removed; removal of other adhesion will only cause more adhesion formation.  If multiple adhesions must be removed the bare area should be covered with omental grafts.
  • 78.
    Volvulus  A twistingor axial rotation of a portion of bowel about its mesentery. When complete it forms a closed loop of obstruction with resultant ischemia secondary to vascular occlusion.  May be primary or secondary.  The primary form occurs secondary to congenital malrotation of the gut, abnormal mesenteric attachments or congenital bands.  A secondary Volvulus, which is the more common variety, is due to actual rotation of a piece of bowel around an acquired adhesion or stoma.
  • 86.
    1) Volvulus Neonatorum Due to arrest gut rotation and narrow mesentery of small bowel and Caecum .  Symptoms include catastrophic onset of repeated vomiting, rapid dehydration and abdominal distension
  • 87.
    2) Volvulus ofSmall Intestine  Primary or secondary and usually in the lower ileum  Spontaneously or secondary  Treatment consists of reduction of the twist and directed to the underlying cause .
  • 88.
    3) Cecal Volvulus Primary or as a part of Volvulus Neonatorum .  A clockwise twist ·  F>M .  Acute features of obstruction .  25% has tympanic swelling in the midline or left side of the abdomen .
  • 89.
    4) Sigmoid Volvulus An anticlockwise twist .  Most Common spontaneous Volvulus in Adults.  Chronic constipation is a predisposing factor.
  • 90.
  • 91.
    This is uncommonin Europe and the United States, but more common in Eastern Europe and Africa. it is the most common cause of large bowel obstruction in the Black African population. Rotation nearly always occurs in the anticlockwise direction. 91
  • 92.
    Predisposing causes ofsigmoid volvulus are: Predisposing causes of sigmoid volvulus are: 1- Band of adhesions. 2- Overloaded pelvic colon. 3- Long pelvic mesocolon. 4- Narrow attachment of pelvic mesocolon. 5- high residue diet and constipation. 92
  • 93.
    In Western populations,the condition is seen most often in elderly patients with chronic constipation; comorbidities are common and chronic psychotropic drug use is associated with this condition. Younger patients present earlier and the prognosis is inversely related to the duration of symptoms. Presentation can be classified as: * Fulminant: sudden onset, severe pain, early vomiting, rapidly deteriorating clinical course; * Indolent: insidious onset, slow progressive course, less pain, late vomiting. 93
  • 94.
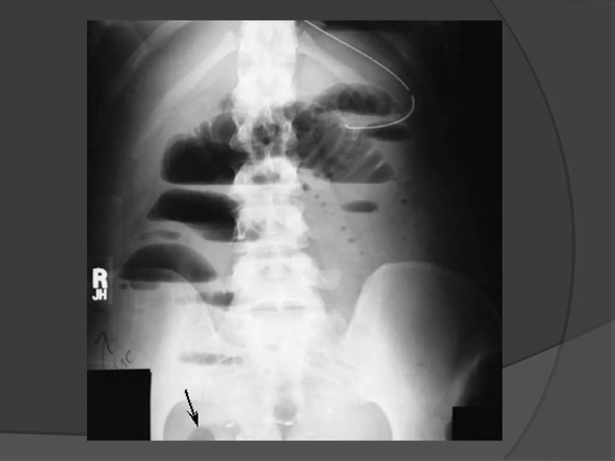
    Bolus Obstruction. “Accumulation →Compaction” I. Gallstones: Gallstone Ileus (stones enter the intestine through a fistulous communication between the bile duct and the GI tract) II. Food: Bolus obstruction may occur after partial or total gastrectomy when unchewed articles can pass directly into small bowel III. Bezoars: Trichobezoars (Hair Balls) and Phytobezoar (Fruit/Vegetable Fibre). IV. Worms: Ascaris lumbricoides may cause low small bowel obstruction particularly in children, the institutionalized and those near the tropics.
  • 96.
    Radiography Radiography - : - : Thecharacteristic radiological sign of gallstone ileus The characteristic radiological sign of gallstone ileus is is Rigler's triad Rigler's triad : : small bowel obstruction small bowel obstruction + + pneumobilia pneumobilia + + atypical atypical mineral shadow on radiograp ectopic calcified mineral shadow on radiograp ectopic calcified gallstone, usually in the right iliac fossa gallstone, usually in the right iliac fossa Presence of two of these radiological signs has been Presence of two of these radiological signs has been considered pathognomic of gallstone ileus considered pathognomic of gallstone ileus . . 96 96
  • 97.
  • 98.
  • 99.
  • 100.
    Treatment Treatment : : Laparatomy & thestone is milked proximally away Laparatomy & the stone is milked proximally away from the site of impaction, the intestine is from the site of impaction, the intestine is opened at this point and the gallstone removed opened at this point and the gallstone removed . . If the gallstone is faceted, a careful check for other If the gallstone is faceted, a careful check for other enteric stones should be made enteric stones should be made . . The region of the gall bladder should not be The region of the gall bladder should not be explored explored . . 100 100
  • 101.
  • 102.
    2 2 - - Food Food : : Occur after partialor total gastrectomy when Occur after partial or total gastrectomy when unchewed articles can pass directly into small unchewed articles can pass directly into small bowel bowel . . The management is similar to that for gallstone, The management is similar to that for gallstone, with intraluminal crushing usually successful with intraluminal crushing usually successful . . 102 102
  • 103.
    3 3 - - Trichobezoar and phytobezoars Trichobezoarand phytobezoars : : Trichobezoar Trichobezoar : : Undigested hair balls due to persistent hair Undigested hair balls due to persistent hair chewing and sucking and may be associated with chewing and sucking and may be associated with an underlying psychiatric abnormality an underlying psychiatric abnormality . . 103 103
  • 104.
    Phytobezoars Phytobezoars : : results from ahigh fibre intake, inadequate results from a high fibre intake, inadequate chewing, previous gastric surgery, chewing, previous gastric surgery, hypochlorhydria and loss of the gastric pump hypochlorhydria and loss of the gastric pump mechanism mechanism . . When possible, the lesion may be kneaded into the When possible, the lesion may be kneaded into the caecum, otherwise open removal is required caecum, otherwise open removal is required . . 104 104
  • 105.
    5 5 - - Worms Worms : : Ascaris lumbricoides maycause low SBO Ascaris lumbricoides may cause low SBO particularly in chidren, an attack frequently particularly in chidren, an attack frequently follow initiation of anti-helminthic therapy follow initiation of anti-helminthic therapy . . At laparatomy it may be possible to knead the At laparatomy it may be possible to knead the tangled mass into the caecum, If not it should be tangled mass into the caecum, If not it should be removed removed . . 105 105
  • 106.
    SBO due to SBOdue to Ascaris lumbricoides Ascaris lumbricoides . . 106 106
  • 107.
    Internal Hernia  Occurswhere a portion of the small intestine becomes entrapped in one of the retroperitoneal fossae or into a congenital mesenteric defect.  In the absence of adhesions hernia is uncommon to cause obstruction and a preoperative diagnosis is unusual.  The standard treatment for a hernia is to release the constricting agent by division.
  • 108.
    Obstruction from EntericStrictures  Small bowel strictures usually occur secondary to Tuberculosis or Crohn’s disease.  Malignant strictures associated with lymphoma are common, whilst carcinoma and sarcoma are rare.  Presentation is usually Subacute or Chronic.  Standard surgical management consists of resection and anastomosis.
  • 109.
    In Crohn's disease,strictureplasty may be In Crohn's disease, strictureplasty may be considered in the presence of short multiple considered in the presence of short multiple strictures strictures . .
  • 110.
    Acute Intussusception  Mostcommon in children.  Primary or secondary to intestinal pathology, e.g. polyp, Meckel's diverticullum.  Ileocolic is the most common variant.  Can lead to an ischemic segment and strangulation.
  • 119.
    Adynamic Obstruction I. ParalyticIleus II. Pseudo-Obstruction III. Acute Mesenteric Ischemia
  • 120.
    Paralytic ileus  Definition:A state in which there is failure of transmission of peristaltic wave secondary to neuromuscular failure  This will leads to signs of intestinal obstruction due to accumulation of gas and fluid in the bowel with signs of abdominal distension ,constipation, but NO Pain.  Varieties : 1. Post operative: - Self limiting, Lasts for 24-72 Hours 2. Infection: Peritonitis 3. Reflex ileus: as in fracture of the spine or ribs on in retroperitoneal hemorrhage 4. Metabolic : Hypokalemia, DM 5. Drugs : Spasmolytic Drugs , Parkinson Drugs, Atropine
  • 121.
     Clinical features: -Ittakes clinical significance if there has been no return of normal bowel sound and no passage of flatus after 72 hrs of Surgery - Abdominal distension is marked, Effortless Vomiting, but pain is NOT a feature -Radiologically: Multiple Fluid Level
  • 122.
     Management : 1.General principles must be applied if the disease takes place 2. Remove the cause 3. Relieve GI distension by decompression 4. Monitoring fluid and electrolyte balance 5. Rarely medical agents are used (AntiCholene Esterase) 6. Laparotomy after 72 hours
  • 123.
    Pseudo-Obstruction  This conditiondescribes an obstruction, usually of the colon, in the absence of a mechanical cause or acute intra- abdominal disease.  It is associated with a variety of syndromes where there is an underlying neuropathy and/or myopathy.
  • 124.
    1) Small intestinalpseudo-obstruction • This condition may be primary or secondary. • The clinical picture consists of recurrent subacute obstruction. • The diagnosis is made by the exclusion of a mechanical cause. • Treatment consists of initial correction of any underlying disorder.
  • 125.
    2) Colonic pseudo-obstruction. •This may occur in an acute or a chronic form. • The acute form is known as Ogilvie syndrome, presents as acute large bowel obstruction. • Abdominal radiographs show evidence of colonic obstruction with marked caecal distension being a common feature • Perforation is a common complication. • Treated by colonoscopic decompression
  • 126.