Impacted teeth
     Islam Kassem
        Level 8
Definition :-
is a tooth that fails to erupt into its normal
  functioning position in the dental arch within
  the expected time.
The term Unerupted includes both
impacted teeth and teeth that are in the
process of erupting.



                     ikassem@dr.com
Causes of impaction




        ikassem@dr.com
Systemic Causes
A.   a hereditary syndrom of
     cliedocranial dysistosis termed
     primary Retention.
B.   endocrinal deficiency
     (hypothyrodism,
     hypopituitarism).
C.   febrile disease, down
     syndrom, irradiation (all cause
     multiple teeth impaction).


                          ikassem@dr.com
Local Factors
A. prolonged deciduous tooth retention
B. malposed tooth germ
C. arch length deficiency
D. odontoginic tumors abnormal eruption
   path
E. cleft lip and palate


                  ikassem@dr.com
frequency of impaction

- The order of frequency of impacted
   teeth is as follow:-
frequency of impaction
1.   mandibular 3rd molar
2.   maxillary 3rd molar
3.   maxillary cuspid
4.   mandibular cuspid
5.   Mandibular premolar
6.   maxillary premolars
7.   maxillary central and lateral incisors

                       ikassem@dr.com
Evaluation
ikassem@dr.com
1. Include clinical inspection to disclose tooth
   not in position or absent in place and
   radiographic assessment Showing the
   unerupted position of the tooth




                     ikassem@dr.com
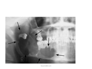
2. Standard radiographic techs used to localize
   the unerupted teeth, these include:

     The tube shift method
     Periapical & occlusal films
     Panoramic view
     CT




                        ikassem@dr.com
The tube shift method
• Uses two periapical radiographs, shifting the
  tube horizontally between exposures.
• If the unerupted teeth moves in the same
  direction in which the tube is shifted, its
  located on the lingual or palatal side
• A facial or buccally located tooth moves in the
  opposite direction to the tube shift.


                     ikassem@dr.com
The periapical &occlusal method
• Uses the periapical radiograph taken with
  standard technique and an occlusal
  radiograph to give different views of the
  impacted tooth.
• Panoramic film can be used to assess
  maxillary canine position



                    ikassem@dr.com
ikassem@dr.com
Complication of
     impacted teeth
(indication for removal):
• the presence of impacted teeth in the jaw can
  create a variety of problems, so it should be
  removed as soon as diagnosis is made:




                    ikassem@dr.com
A. Pericoronitis
• when a tooth is partially
  impacted with a large
  amount of soft tissue over
  the axial and occlusal
  surfaces, the patient
  frequently has one or more
  episodes of pericronitis.




                      ikassem@dr.com
Definition of pericoronitis
• is an infection of the soft
  tissue around the crown of
  partially impacted tooth and is
  caused by the normal oral
  flora.




                        ikassem@dr.com
Causes
1. If the patient experience a mild transient decrease in
   host defense, pericoronitis may result.
2. pericronitis may arise secondary to minor trauma
   from maxillary third molar. The soft tissue that covers
   the occlusal surface of the partially erupted
   mandibular third molar known as the operculum can
   be traumatized and become swollen this can be
   treated by removal of maxillary third molar.




                         ikassem@dr.com
3.   entrapment of food under operculum, in the pocket under
     operculum and impacted teeth ,this pocket can not be
     cleaned ,bacteria invade it and pericoronitis begins.
4.   streptococci and anaerobic bacteria (the usual bacteria
     inhabit the gingival sulcus) cause pericronitis.




                           ikassem@dr.com
Treatment and Management
•   pericronitis can present as a very mild infection or
    as a sever infection that requires hospitalization of
    the patient .
    A. In its mildest form:-
    - Percronitis is present as a localized swelling and
        soreness.
    - Mild irrigation and curettage by dentist and home
        irrigation by pt is suffice.
    B. In sever infection with local tissue swelling:
     that is traumatized by maxillary third molar ,the dentist
       should consider the maxillary third molar and local
       irrigation .




                            ikassem@dr.com
• for the patient who have in addition to local swelling
  and pain, mild facial swelling ,mild trismus secondary
  to inflammation extending into muscle of
  mastication ,and a low grade fever, the dentist
  should consider administration of antibiotics along
  with irrigation and extraction, (penicillin is the
  antibiotic of choice).



                        ikassem@dr.com
• the mandibular third molar shouldn't be removed
  until sign and symptoms of pericronitis have been
  completely resolved

• the incidence of post operative complication as dry
  socket and post operative infection ,increases if
  tooth is removed during time of active infection.




                       ikassem@dr.com
B. Dental Caries
• When third molar is
  impacted or partially
  impacted ,the bacteria
  that cause dental caries
  can be exposed to the
  distal aspect of the 2nd
  molar, as well as to
  third molar



                        ikassem@dr.com
C. Periodontal Disease
• Erupted teeth adjacent to
  impacted teeth are
  predisposed to periodontal
  disease.
• As it decrease amount of bone
  on the distal aspect of adjacent
  2nd molar, with deep
  periodontal pocket on the
  distal aspect of the 2nd molar.



                          ikassem@dr.com
D. Root Resorption
• Impacted teeth cause
 sufficient pressure on
 the root of an adjacent
 tooth to cause root
 resorption.




                    ikassem@dr.com
E. Pain of unexplained origin:


• Pain in the retro
  molar region with no
  obvious reason.




                    ikassem@dr.com
F. Odontogenic cyst and Tumors

• The dental follicle may
  undergo cystic
  degeneration and
  become a dentigerios
  cyst or keratocyst.
• A meloblastoma may
  developed from
  epithelium within the
  dental follicle


                       ikassem@dr.com
G. Fracture of the jaw

• impacted third molar
  occupies space that is
  usually filled with bone,
  this weaken the
  mandible and render
  the mandible to
  fracture.




                         ikassem@dr.com
H. impacted teeth under dental
          prosthesis:




            ikassem@dr.com
I.   Facilitation of orthodontic
                  treatment




• to relief crowding of
  mandibular anterior
  teeth.



                     ikassem@dr.com
Contraindication for
removal of impacted
      teeth:
1. extreme of age:
  - as the bone become highly calcified, less flexible,
     less likely to bend under force of tooth extraction
     the result ,bone more surgically removed to
     displace tooth from its socket and less post
     operative sequla
2. compromised medical status:
3. probable excessive damage to adjacent
   structure:

                       ikassem@dr.com
Classification system
   of impacted teeth

 - this is done to help dentist in evaluation of the
extent of the surgical procedure and in the
planning of this procedure.
Whinters lines




    ikassem@dr.com
1-Classification of impacted
  mandibular third molar:




            ikassem@dr.com
A - Relation of the tooth to the ascending
  ramus of the mandible and to the distal
  surface of the 2nd molar: (Pell &Gregory)
  – this show the anterioposterior relationship of the
    tooth to the arch and the amount of resistance
    offered by the bone of the ascending ramus that may
    influence the tooth removal




                         ikassem@dr.com
Class1
• the space between the
  anterior part of the
  ascending ramus and
  the distal surface of the
  2nd molar is sufficient
  to accommodate the
  mesiodistal diameter of
  the crown of the third
  molar.


                         ikassem@dr.com
Class2
• the space between the
  anterior part of the
  ascending ramus and
  distal surface of the 2nd
  molar is less than the
  mesiodistal diameter of
  the crown of the third
  molar (part of the tooth
  located within the
  ramus)

                        ikassem@dr.com
Class3
• all the third molar is
  located within the
  ascending ramus of the
  mandible.




                      ikassem@dr.com
B - Relative depth of the third molar in
     bone:
  - this show the superior inferior
   relationship of the tooth in
   relation to the occlusal plan. (Pell
   & Gregory)
• Position A:
  the highest portion of the tooth is on level
   with or above the occlusal plane.
• Position B:
   the highest portion is below the occlusal
   plane but above the cervical margin of the 2nd
   molar
• Position C:
  the highest point of the tooth is below the
  cervical margins of the 2nd molar (deep
   impaction)
                               ikassem@dr.com
C - the position of the long axis of the impacted tooth in
   relation to the long axis of the 2nd molar (winter's
                      classification):
 1-vertical: the long axis of the third molar
   is parallel to that of the 2nd molar.
 2-horizontal:the long axis of the third
   molar is at right angle to that of the
   2nd molar .
 3-mesioangular impaction.
 4-destoangular impaction:
  all the previous four classes can come in:
             a - lingual deflection.
             b - buccal deflection.
5-inverted impaction


                                ikassem@dr.com
ikassem@dr.com
ikassem@dr.com
ikassem@dr.com
ikassem@dr.com
ikassem@dr.com
ikassem@dr.com
ikassem@dr.com
ikassem@dr.com
ikassem@dr.com
ikassem@dr.com
2 -Classification of impacted
    maxillary third molar:
1.  The relationship of the tooth to occlusal plane of the 2nd
   molar (as before)
2. The relationship of tooth to maxillary sinus :
     a-sinus approximation :
     (s.a) where no bone or very thin bone exist
   between the impacted teeth and floor of sinus.
     b-no sinus approximation :
     (n.s.a) where 2 mm or more of bone exist
   between the floor of sinus and impacted teeth.




                            ikassem@dr.com
3-Classification of impacted
     maxillary cuspids:
• Class1:
  palatally impacted cuspids ,these could be in vertical,
  horizontal, semivertical position.
• Class2:
  labialy impacted cuspide which could be in vertical,
  horizontal, semivertical.
• Class3:
  impacted cuspid located both in the palatal and labial
  surfaces.
• Class4:
   impacted cuspid that are present in an edentulous maxilla
  and may assume any of the previous three classes.


                           ikassem@dr.com
Surgical removal of
 impacted teeth:
1- Proper radiographic and clinical evaluation of the
   condition:
           A- periapical radiograph
           B- occlusal radiograph
           C- panoramic radiograph
2- Classification of impaction to help in planning the
   surgical procedure:
3- Selection of the time for surgical procedure:
    surgical removal of impacted third molar is not as a
    surgical emergency, it is an elective procedure which
    shouldn't be postponed for along period of time until
    several complication arises.

                          ikassem@dr.com
4- The condition should be explained to patient in a
   simple easy way directing his attention to possible
   complication that may arise from leaving tooth in
   position
5- Surgical removal can be made under local anesthesia
   as well as general anesthesia the choice of the
   anesthetic technique depends on:
   a- general condition of the patient and his ability
      psychologically and physically take the procedure. in very
      apprehensive patient, general anesthesia is preferred.
   b- position of impaction and extent of surgical procedure
   c- patient co-operation
   d- number of impaction that will be removed in the setting



                            ikassem@dr.com
the surgical procedure is divided into
          following stages:
1- gaining access to impacted tooth:
A- elevation of an adequate
  mucoperosteal flap to expose the field
  of surgery:
    Pyramidal flap used in all third molar
     impaction, the anterior incision of the flap
     could extend from the distal aspect to 2nd
     molar running at 45 degree angel and
     extend to the mucobucal fold.
    In deep impaction ,a bigger flap is
     advisable. the anterior incision could start
     from the mesial aspect of 2nd molar



                             ikassem@dr.com
Envelope Incision and
 reflection




When more
accessibility is needed ,
a releasing incision is
made.


                            ikassem@dr.com
Envelope Flap Incision and Reflection




Triangular Flap Incision and Reflection




                                    ikassem@dr.com
ikassem@dr.com
with palatally impacted maxillary cuspid
- exposure of the field of surgery can be
  done by gingival incision extending from
  the palatal side of premolar in one side to
  other side all around the palatal gingiva of
  the present teeth.


with labially placed impaction
- a labial pyramidal flap is adequate




                         ikassem@dr.com
2- bone removal

This is done for :-
  A- exposure of impaction
  B- reduction of resistance
  C- making a point for application of the elevator




                       ikassem@dr.com
Bone Removal With a
                  Fissure Surgical Bur




ikassem@dr.com
ikassem@dr.com
3- tooth delivery
1- total delivery by application of force using elevators:
    a- mesial application of force :straight elevators and pot's elevators.
    b- buccal application of force :winter elevator
2-delivery of the tooth after tooth division :
 - division is indicated to reduce resistance ,create a space or remove
   interlocked cusps of the tooth
    a- decapitation:- division of the crown of the tooth at cervical margin
        level .
    - indicated in horizontal mandibular and maxillary third molar impaction
        and pallataly impacted maxillary cuspid
    b- longitudinal tooth division:
     - indicated when the impacted tooth has a widely divergent straight
        roots, or when one root is straight and the other is curved
    c- division of the interlocking cusp:
      - this is done with mesioangular impaction ,removal of the inter locking
        segment of the tooth usually located under the distal surface of 2nd
        molar

                                  ikassem@dr.com
Bone is removed with the surgical bur to           Decapitation is then performed
         expose the whole crown




A purchase point is prepared in the root,     The second root is removed in the same
which is then removed with an elevator                          way
                                   ikassem@dr.com
ikassem@dr.com
ikassem@dr.com
Preparation for wound closure:
- after removal of the tooth from it's socket the wound
   is gently irrigated with sterile normal saline solution
   and inspected for:
   a- any remnant of the residual tooth sac is removed
   b- remnant of tooth structure or fragments of bone debris is
      gently removed
   c- small fragments of the detached bone
   d- sharp edges of interseptal or alveolar bone is trimmed and
      smoothed
- then final irrigation and wound now is ready for
   closure.

                           ikassem@dr.com
closure of the wound:
• well designed and properly reflected flap fall back easily into
  place. using have circle a traumatic needle and 000 black silk
  suture to hold flap into place

• post operative care:
   1.   a pressure pack is held in place for 1hour
   2.   post operative instruction given to pt:
   3.   cold packs on outside of face 20 min/h 5 time daily
   4.   proper antibiotic therapy
   5.   mouth wash
   6.   soft diet
   7.   patient return back for check up after two days
   8.   suture removal after 5 days


                                 ikassem@dr.com
Complication associated with
surgical removal of impacted tooth
1- laceration of the soft tissue flap:
  a-improper incision
  b-improper elevation of the flap and improper retraction this
     leads to delayed healing and sever discomfort
2- affection of the alveolar bone:
3- fracture of the jaw:
   - in angle of mandible ,improper use of elevator with
      uncontrolled force
4- fracture of tuberosity:
      this occurs with erupted rather than unerupted tooth due
     to improper use of force

                           ikassem@dr.com
5-comlication related to injury of adjacent structure:
   a-injury to inferior alveolar canal:
       - occurs in deeply seated vertical impaction, the nerve pass between roots
         of impacted tooth .permanent numbness and heamorraghe
    b-damage to nasal floor:
       - during surgical removal of impacted maxillary cuspid, profuse bleeding from nasal
      mucosa
   c- involvement of maxillary sinus:
      - during removal of impacted maxillary third molar. oro anntral fistula
      results
   d- pushing of impacted tooth into maxillary sinus:
   e- pushing of impacted maxillary molar into pterigopalatine fossa:
       - uncontrolled mesial application of force in deep impaction
   f- pushing impacted mandibular third molar into sub-mandibular space:
       - uncontrolled buccal application pf force and fracture of the lingual plate
   g-aspiration or swallowing of impacted tooth:
         - with general anesthesia ,


                                      ikassem@dr.com
post operative complication:
1.   pain.
2.   infection
3.   heamoraghe
4.   anesthesia or parenthesis of the lingual or inferior alveolar
     nerve
5.   trismus,limitation of jaw movement
6.   osteomylitis
7.   pain at tmj
8.   pain on swallowing due to edema of pharynx and hematoma
     formation.



                             ikassem@dr.com
Study source?




    ikassem@dr.com
• Contemporary Oral &
  maxiallofacial surgery
• Page 185-199



       ikassem@dr.com
• You can get it form

• http://www.slideshare.net/islamkassem




                        ikassem@dr.com
•Thank you


      ikassem@dr.com

Impactions

  • 1.
    Impacted teeth Islam Kassem Level 8
  • 2.
    Definition :- is atooth that fails to erupt into its normal functioning position in the dental arch within the expected time. The term Unerupted includes both impacted teeth and teeth that are in the process of erupting. ikassem@dr.com
  • 3.
    Causes of impaction ikassem@dr.com
  • 4.
    Systemic Causes A. a hereditary syndrom of cliedocranial dysistosis termed primary Retention. B. endocrinal deficiency (hypothyrodism, hypopituitarism). C. febrile disease, down syndrom, irradiation (all cause multiple teeth impaction). ikassem@dr.com
  • 5.
    Local Factors A. prolongeddeciduous tooth retention B. malposed tooth germ C. arch length deficiency D. odontoginic tumors abnormal eruption path E. cleft lip and palate ikassem@dr.com
  • 6.
    frequency of impaction -The order of frequency of impacted teeth is as follow:-
  • 7.
    frequency of impaction 1. mandibular 3rd molar 2. maxillary 3rd molar 3. maxillary cuspid 4. mandibular cuspid 5. Mandibular premolar 6. maxillary premolars 7. maxillary central and lateral incisors ikassem@dr.com
  • 8.
  • 9.
  • 10.
    1. Include clinicalinspection to disclose tooth not in position or absent in place and radiographic assessment Showing the unerupted position of the tooth ikassem@dr.com
  • 11.
    2. Standard radiographictechs used to localize the unerupted teeth, these include:  The tube shift method  Periapical & occlusal films  Panoramic view  CT ikassem@dr.com
  • 12.
    The tube shiftmethod • Uses two periapical radiographs, shifting the tube horizontally between exposures. • If the unerupted teeth moves in the same direction in which the tube is shifted, its located on the lingual or palatal side • A facial or buccally located tooth moves in the opposite direction to the tube shift. ikassem@dr.com
  • 13.
    The periapical &occlusalmethod • Uses the periapical radiograph taken with standard technique and an occlusal radiograph to give different views of the impacted tooth. • Panoramic film can be used to assess maxillary canine position ikassem@dr.com
  • 14.
  • 15.
    Complication of impacted teeth (indication for removal):
  • 16.
    • the presenceof impacted teeth in the jaw can create a variety of problems, so it should be removed as soon as diagnosis is made: ikassem@dr.com
  • 17.
  • 18.
    • when atooth is partially impacted with a large amount of soft tissue over the axial and occlusal surfaces, the patient frequently has one or more episodes of pericronitis. ikassem@dr.com
  • 19.
    Definition of pericoronitis •is an infection of the soft tissue around the crown of partially impacted tooth and is caused by the normal oral flora. ikassem@dr.com
  • 20.
    Causes 1. If thepatient experience a mild transient decrease in host defense, pericoronitis may result. 2. pericronitis may arise secondary to minor trauma from maxillary third molar. The soft tissue that covers the occlusal surface of the partially erupted mandibular third molar known as the operculum can be traumatized and become swollen this can be treated by removal of maxillary third molar. ikassem@dr.com
  • 21.
    3. entrapment of food under operculum, in the pocket under operculum and impacted teeth ,this pocket can not be cleaned ,bacteria invade it and pericoronitis begins. 4. streptococci and anaerobic bacteria (the usual bacteria inhabit the gingival sulcus) cause pericronitis. ikassem@dr.com
  • 22.
  • 23.
    pericronitis can present as a very mild infection or as a sever infection that requires hospitalization of the patient . A. In its mildest form:- - Percronitis is present as a localized swelling and soreness. - Mild irrigation and curettage by dentist and home irrigation by pt is suffice. B. In sever infection with local tissue swelling: that is traumatized by maxillary third molar ,the dentist should consider the maxillary third molar and local irrigation . ikassem@dr.com
  • 24.
    • for thepatient who have in addition to local swelling and pain, mild facial swelling ,mild trismus secondary to inflammation extending into muscle of mastication ,and a low grade fever, the dentist should consider administration of antibiotics along with irrigation and extraction, (penicillin is the antibiotic of choice). ikassem@dr.com
  • 25.
    • the mandibularthird molar shouldn't be removed until sign and symptoms of pericronitis have been completely resolved • the incidence of post operative complication as dry socket and post operative infection ,increases if tooth is removed during time of active infection. ikassem@dr.com
  • 26.
    B. Dental Caries •When third molar is impacted or partially impacted ,the bacteria that cause dental caries can be exposed to the distal aspect of the 2nd molar, as well as to third molar ikassem@dr.com
  • 27.
    C. Periodontal Disease •Erupted teeth adjacent to impacted teeth are predisposed to periodontal disease. • As it decrease amount of bone on the distal aspect of adjacent 2nd molar, with deep periodontal pocket on the distal aspect of the 2nd molar. ikassem@dr.com
  • 28.
    D. Root Resorption •Impacted teeth cause sufficient pressure on the root of an adjacent tooth to cause root resorption. ikassem@dr.com
  • 29.
    E. Pain ofunexplained origin: • Pain in the retro molar region with no obvious reason. ikassem@dr.com
  • 30.
    F. Odontogenic cystand Tumors • The dental follicle may undergo cystic degeneration and become a dentigerios cyst or keratocyst. • A meloblastoma may developed from epithelium within the dental follicle ikassem@dr.com
  • 31.
    G. Fracture ofthe jaw • impacted third molar occupies space that is usually filled with bone, this weaken the mandible and render the mandible to fracture. ikassem@dr.com
  • 32.
    H. impacted teethunder dental prosthesis: ikassem@dr.com
  • 33.
    I. Facilitation of orthodontic treatment • to relief crowding of mandibular anterior teeth. ikassem@dr.com
  • 34.
  • 35.
    1. extreme ofage: - as the bone become highly calcified, less flexible, less likely to bend under force of tooth extraction the result ,bone more surgically removed to displace tooth from its socket and less post operative sequla 2. compromised medical status: 3. probable excessive damage to adjacent structure: ikassem@dr.com
  • 36.
    Classification system of impacted teeth - this is done to help dentist in evaluation of the extent of the surgical procedure and in the planning of this procedure.
  • 37.
    Whinters lines ikassem@dr.com
  • 38.
    1-Classification of impacted mandibular third molar: ikassem@dr.com
  • 39.
    A - Relationof the tooth to the ascending ramus of the mandible and to the distal surface of the 2nd molar: (Pell &Gregory) – this show the anterioposterior relationship of the tooth to the arch and the amount of resistance offered by the bone of the ascending ramus that may influence the tooth removal ikassem@dr.com
  • 40.
    Class1 • the spacebetween the anterior part of the ascending ramus and the distal surface of the 2nd molar is sufficient to accommodate the mesiodistal diameter of the crown of the third molar. ikassem@dr.com
  • 41.
    Class2 • the spacebetween the anterior part of the ascending ramus and distal surface of the 2nd molar is less than the mesiodistal diameter of the crown of the third molar (part of the tooth located within the ramus) ikassem@dr.com
  • 42.
    Class3 • all thethird molar is located within the ascending ramus of the mandible. ikassem@dr.com
  • 43.
    B - Relativedepth of the third molar in bone: - this show the superior inferior relationship of the tooth in relation to the occlusal plan. (Pell & Gregory) • Position A: the highest portion of the tooth is on level with or above the occlusal plane. • Position B: the highest portion is below the occlusal plane but above the cervical margin of the 2nd molar • Position C: the highest point of the tooth is below the cervical margins of the 2nd molar (deep impaction) ikassem@dr.com
  • 44.
    C - theposition of the long axis of the impacted tooth in relation to the long axis of the 2nd molar (winter's classification): 1-vertical: the long axis of the third molar is parallel to that of the 2nd molar. 2-horizontal:the long axis of the third molar is at right angle to that of the 2nd molar . 3-mesioangular impaction. 4-destoangular impaction: all the previous four classes can come in: a - lingual deflection. b - buccal deflection. 5-inverted impaction ikassem@dr.com
  • 45.
  • 46.
  • 47.
  • 48.
  • 49.
  • 50.
  • 51.
  • 52.
  • 53.
  • 54.
  • 55.
    2 -Classification ofimpacted maxillary third molar:
  • 56.
    1. Therelationship of the tooth to occlusal plane of the 2nd molar (as before) 2. The relationship of tooth to maxillary sinus : a-sinus approximation : (s.a) where no bone or very thin bone exist between the impacted teeth and floor of sinus. b-no sinus approximation : (n.s.a) where 2 mm or more of bone exist between the floor of sinus and impacted teeth. ikassem@dr.com
  • 57.
  • 58.
    • Class1: palatally impacted cuspids ,these could be in vertical, horizontal, semivertical position. • Class2: labialy impacted cuspide which could be in vertical, horizontal, semivertical. • Class3: impacted cuspid located both in the palatal and labial surfaces. • Class4: impacted cuspid that are present in an edentulous maxilla and may assume any of the previous three classes. ikassem@dr.com
  • 59.
    Surgical removal of impacted teeth:
  • 60.
    1- Proper radiographicand clinical evaluation of the condition: A- periapical radiograph B- occlusal radiograph C- panoramic radiograph 2- Classification of impaction to help in planning the surgical procedure: 3- Selection of the time for surgical procedure:  surgical removal of impacted third molar is not as a surgical emergency, it is an elective procedure which shouldn't be postponed for along period of time until several complication arises. ikassem@dr.com
  • 61.
    4- The conditionshould be explained to patient in a simple easy way directing his attention to possible complication that may arise from leaving tooth in position 5- Surgical removal can be made under local anesthesia as well as general anesthesia the choice of the anesthetic technique depends on: a- general condition of the patient and his ability psychologically and physically take the procedure. in very apprehensive patient, general anesthesia is preferred. b- position of impaction and extent of surgical procedure c- patient co-operation d- number of impaction that will be removed in the setting ikassem@dr.com
  • 62.
    the surgical procedureis divided into following stages:
  • 63.
    1- gaining accessto impacted tooth: A- elevation of an adequate mucoperosteal flap to expose the field of surgery:  Pyramidal flap used in all third molar impaction, the anterior incision of the flap could extend from the distal aspect to 2nd molar running at 45 degree angel and extend to the mucobucal fold.  In deep impaction ,a bigger flap is advisable. the anterior incision could start from the mesial aspect of 2nd molar ikassem@dr.com
  • 64.
    Envelope Incision and reflection When more accessibility is needed , a releasing incision is made. ikassem@dr.com
  • 65.
    Envelope Flap Incisionand Reflection Triangular Flap Incision and Reflection ikassem@dr.com
  • 66.
  • 67.
    with palatally impactedmaxillary cuspid - exposure of the field of surgery can be done by gingival incision extending from the palatal side of premolar in one side to other side all around the palatal gingiva of the present teeth. with labially placed impaction - a labial pyramidal flap is adequate ikassem@dr.com
  • 68.
    2- bone removal Thisis done for :- A- exposure of impaction B- reduction of resistance C- making a point for application of the elevator ikassem@dr.com
  • 69.
    Bone Removal Witha Fissure Surgical Bur ikassem@dr.com
  • 70.
  • 71.
    3- tooth delivery 1-total delivery by application of force using elevators: a- mesial application of force :straight elevators and pot's elevators. b- buccal application of force :winter elevator 2-delivery of the tooth after tooth division : - division is indicated to reduce resistance ,create a space or remove interlocked cusps of the tooth a- decapitation:- division of the crown of the tooth at cervical margin level . - indicated in horizontal mandibular and maxillary third molar impaction and pallataly impacted maxillary cuspid b- longitudinal tooth division: - indicated when the impacted tooth has a widely divergent straight roots, or when one root is straight and the other is curved c- division of the interlocking cusp: - this is done with mesioangular impaction ,removal of the inter locking segment of the tooth usually located under the distal surface of 2nd molar ikassem@dr.com
  • 72.
    Bone is removedwith the surgical bur to Decapitation is then performed expose the whole crown A purchase point is prepared in the root, The second root is removed in the same which is then removed with an elevator way ikassem@dr.com
  • 73.
  • 74.
  • 75.
    Preparation for woundclosure: - after removal of the tooth from it's socket the wound is gently irrigated with sterile normal saline solution and inspected for: a- any remnant of the residual tooth sac is removed b- remnant of tooth structure or fragments of bone debris is gently removed c- small fragments of the detached bone d- sharp edges of interseptal or alveolar bone is trimmed and smoothed - then final irrigation and wound now is ready for closure. ikassem@dr.com
  • 76.
    closure of thewound: • well designed and properly reflected flap fall back easily into place. using have circle a traumatic needle and 000 black silk suture to hold flap into place • post operative care: 1. a pressure pack is held in place for 1hour 2. post operative instruction given to pt: 3. cold packs on outside of face 20 min/h 5 time daily 4. proper antibiotic therapy 5. mouth wash 6. soft diet 7. patient return back for check up after two days 8. suture removal after 5 days ikassem@dr.com
  • 77.
    Complication associated with surgicalremoval of impacted tooth
  • 78.
    1- laceration ofthe soft tissue flap: a-improper incision b-improper elevation of the flap and improper retraction this leads to delayed healing and sever discomfort 2- affection of the alveolar bone: 3- fracture of the jaw: - in angle of mandible ,improper use of elevator with uncontrolled force 4- fracture of tuberosity: this occurs with erupted rather than unerupted tooth due to improper use of force ikassem@dr.com
  • 79.
    5-comlication related toinjury of adjacent structure: a-injury to inferior alveolar canal: - occurs in deeply seated vertical impaction, the nerve pass between roots of impacted tooth .permanent numbness and heamorraghe b-damage to nasal floor: - during surgical removal of impacted maxillary cuspid, profuse bleeding from nasal mucosa c- involvement of maxillary sinus: - during removal of impacted maxillary third molar. oro anntral fistula results d- pushing of impacted tooth into maxillary sinus: e- pushing of impacted maxillary molar into pterigopalatine fossa: - uncontrolled mesial application of force in deep impaction f- pushing impacted mandibular third molar into sub-mandibular space: - uncontrolled buccal application pf force and fracture of the lingual plate g-aspiration or swallowing of impacted tooth: - with general anesthesia , ikassem@dr.com
  • 80.
    post operative complication: 1. pain. 2. infection 3. heamoraghe 4. anesthesia or parenthesis of the lingual or inferior alveolar nerve 5. trismus,limitation of jaw movement 6. osteomylitis 7. pain at tmj 8. pain on swallowing due to edema of pharynx and hematoma formation. ikassem@dr.com
  • 81.
    Study source? ikassem@dr.com
  • 82.
    • Contemporary Oral& maxiallofacial surgery • Page 185-199 ikassem@dr.com
  • 83.
    • You canget it form • http://www.slideshare.net/islamkassem ikassem@dr.com
  • 84.
    •Thank you ikassem@dr.com