Periodontal Disease
             Islam Kassem
  Consultant oral & maxillofacial surgeon




                 ikassem@dr.com
Periodontal Disease

Periodontal ligament attachment and
alveolar bony support of the tooth have
been lost.

Junctional epithelium migrates apical to
the CEJ.
Periodontal Disease
Bitewings best for diagnosis. Some feel
that paralleling PA’s are best.

Higher kVp recommended (long scale, low
contrast).
Compare images from different
visits (using same technique).
Limitation of Radiographs

• Two-dimensional representation
 of a 3-D anatomic structure.
• Superimposition of the bone and
 tooth structures
* Relationship of hard to soft
  tissues not evident
Limitation of Radiographs

* Presence or absence of periodontal
pockets.
* Early bone loss (<3mm) is not evident.
* Early furcation involvement is not
evident.
Limitation of Radiographs

* PA: X-ray beam alignment will
obliterate the presence of extent of
furcation involvement.
* Facial and lingual aspects of alveolar
bone will be superimposed over the
furcation.
Benefits

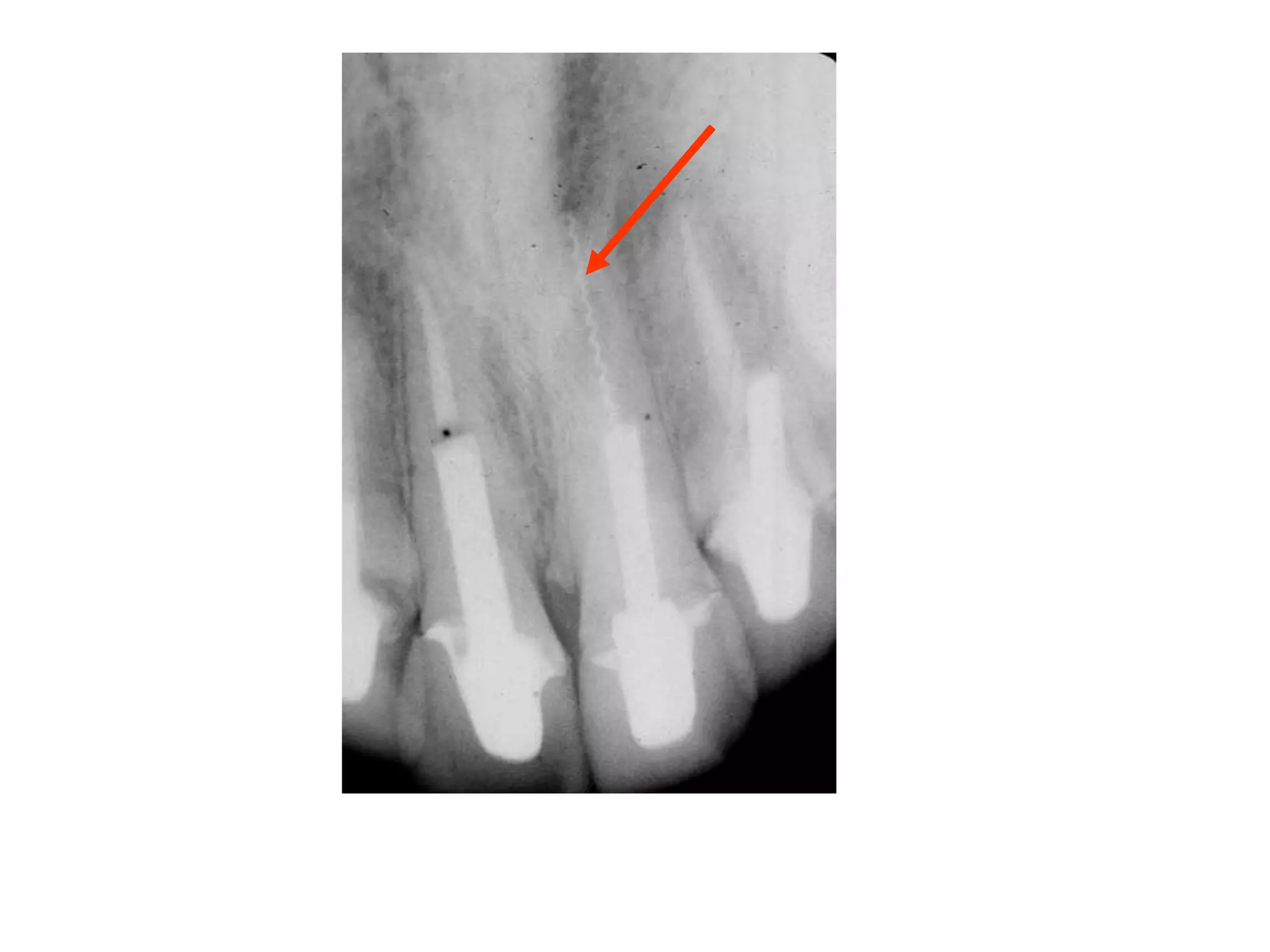
Early radiographic changes:

1. Crestal irregularities.
2. Triangulation
3. Interdental septal bone changes
Periodontitis

Involvement:
Localized
Generalized
Periodontitis
Normal Anatomy:
Alveolar crest corticated

1-1.5 mm from crest to CEJ

Parallel to line between CEJ’s

Crest is pointed anteriorly
Corticated alveolar crests
CEJ



      1-1.5 mm
Alveolar crests more
pointed anteriorly
Contributing Factors
• Occlusal trauma
• Open contacts
• Overhangs, poor contours
• Calculus
• Post-extraction defects
• Systemic involvement (diabetes,
 blood disorders, hormonal
 changes, stress, AIDS)
Horizontal bone loss: Parallel to line
drawn between adjacent CEJ’s

Vertical (Angular) bone loss: More
bone destruction on interproximal
aspect of one tooth than on the
adjacent tooth
Gingivitis

   No bone loss
No radiographic signs
Mild Adult Periodontitis

Loss of cortical density
Rounding off of junction
between alveolar crest and
lamina dura
Blunting of crest anteriorly
Mild adult periodontitis
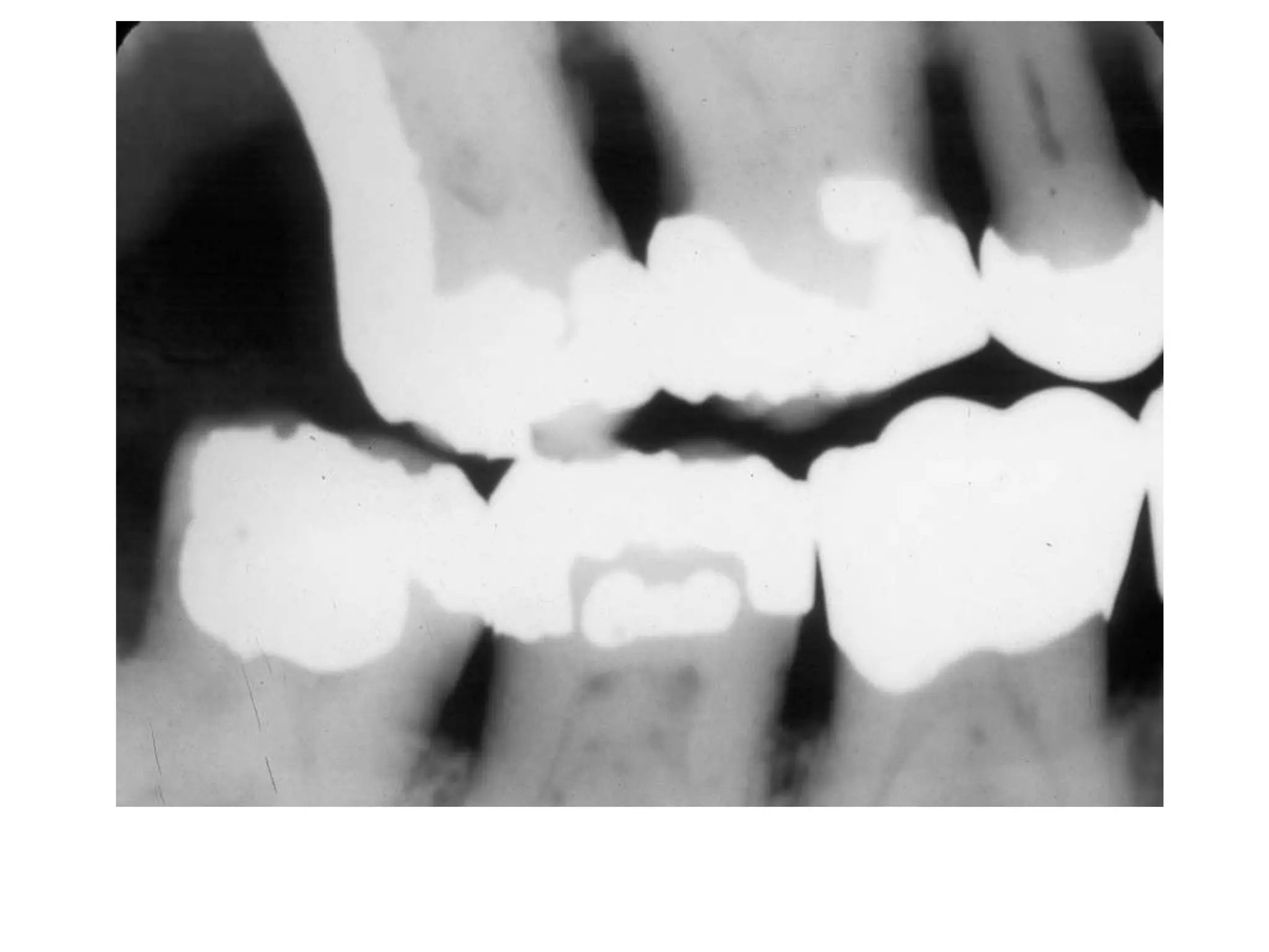
Moderate Adult Periodontitis
Horizontal bone loss or vertical
osseous defects

Total extent of bone loss not evident

May have slight mobility
Moderate adult periodontitis
 (red arrows point to calculus)
Moderate adult periodontitis
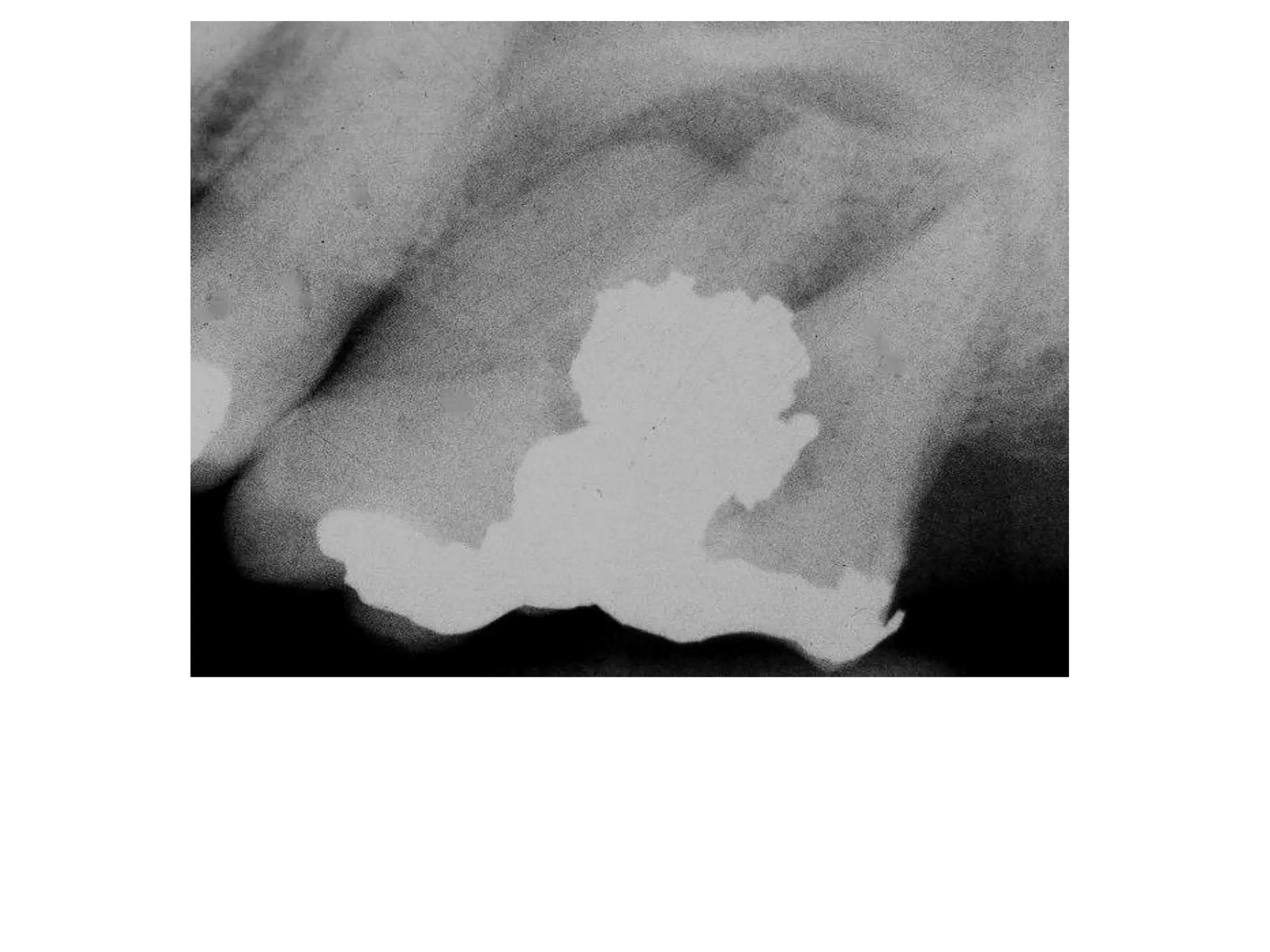
Severe Adult Periodontitis
 Tooth mobility
 Extensive horizontal bone
 loss or vertical osseous
 defects
 Furcation involvement
Severe adult periodontitis
Severe adult
periodontitis
Severe adult periodontitis
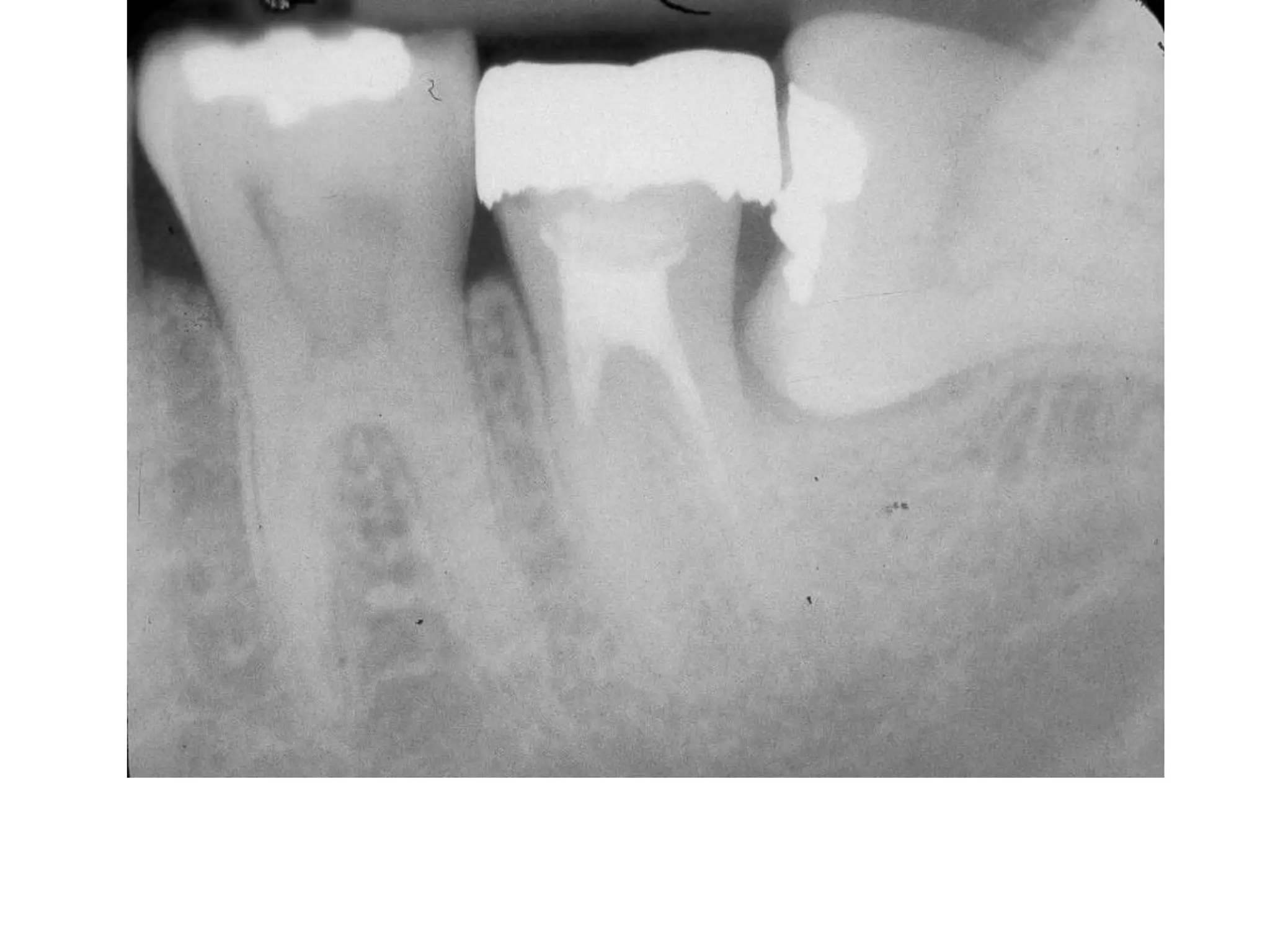
Restorative Materials
Radiopaque: Structures with higher object
density, such as amalgam, gold, silver
points, pins, gutta percha, porcelain.

Radiolucent: Structures with lower object
density, such as older composites and
bonding agents.
Gold crowns, amalgams
Retention pins
porcelain
            crowns



Ceramic Crowns
crown


                           crown
                                              amalgam




cast post




    gutta percha
                                   silver points
Red arrows point to bases
Green arrow indicates recurrent caries with
fractured restoration
old   Composites   new
Thank you


      ikassem@dr.com

Pdl