TIẾP CẬN HÌNH ẢNHTIẾP CẬN HÌNH ẢNH
CT SCAN SỌ NÃOCT SCAN SỌ NÃO
ThS BS Đinh Hữu HùngThS BS Đinh Hữu Hùng
11-200911-2009
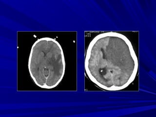
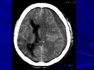
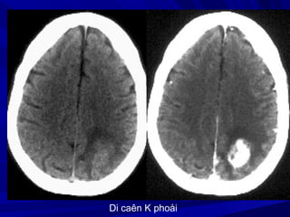
DI CAÊNDI CAÊN
NAÕONAÕO
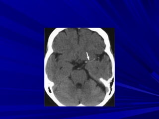
NMN NAÕONMN NAÕO
NỘI DUNG TRÌNH BÀYNỘI DUNG TRÌNH BÀY
Đại cương về CT Scan sọ nãoĐại cương về CT Scan sọ não
Giải phẫu học cơ bảnGiải phẫu học cơ bản
Quy trình chung đọc CT Scan sọ nãoQuy trình chung đọc CT Scan sọ não
CT Scan trong một số bệnh lý:CT Scan trong một số bệnh lý:
* Đột quỵ (tai biến mạch máu não)* Đột quỵ (tai biến mạch máu não)
* U não* U não
* Viêm-Nhiễm* Viêm-Nhiễm
* Chấn thương* Chấn thương
* Một số bệnh lý khác.* Một số bệnh lý khác.
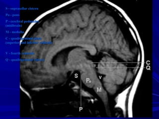
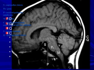
S - suprasellar cisternS - suprasellar cistern
Po - ponsPo - pons
P - cerebral pedunclesP - cerebral peduncles
(midbrain)(midbrain)
M - medullaM - medulla
C - quadrigeminal plateC - quadrigeminal plate
(superior and inferior colliculi)(superior and inferior colliculi)
V - fourth ventricleV - fourth ventricle
Q - quadrigeminal cisternQ - quadrigeminal cistern
ĐẠI CƯƠNG VỀ CT SỌ NÃOĐẠI CƯƠNG VỀ CT SỌ NÃO
1895 W.C.
Roentgen phaùt
hieän tia X
LỊCH SỬ
W.C.Roentgen (1845-
1923)
4/1972: Hounsfield giôùi thieäu
maùy CT ñaàu tieân
1979: Hounsfield và Cormar:
Nobel Y hoïc
LỊCH SỬ
The Nobel Prize in Medicine 1979The Nobel Prize in Medicine 1979
Allan M. Cormack
Tufts University Medford, USA
Godfrey N. Hounsfield
London, United Kingdom
Kỹ thuật CT ScanKỹ thuật CT Scan
Nguyeân lyù taïo
hình
Tuyø möùc ñoä caûn
tia X, caùc vuøng
khaùc nhau coù
ñaäm ñoä khaùc
nhau
ÑAÄM ÑOÄ
Ñaäm ñoä cao (Hyperdensity)
Ñaäm ñoä thaáp (Hypodensity)
Ñoàng ñaäm ñoä (Isodensity)
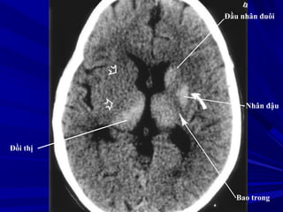
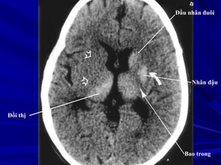
Nhân đậu
Cánh tay sau
bao trong
Đồi thị
Sừng trán não
thất bên
Nhân đuôi
Vách trong suốt
Bể trên tiểu não
Thùy nhộng
Thùy chẩm
Caáu truùc
HU
Xöông 1000
Voâi 100
Chaûy maùu caáp
85
Chaát xaùm
35-40
Chaát traéùng 25-30
Ñaäm ñoä caùc
caáu truùc
noäi soï
ÑAÄM ÑOÄ CAO
Ñoùng voâi baát
thöôøng
Maùu ñoâng
Protein cao (dòch nang)
Maät ñoä teá baøo cao
(meningioma)
Ñoùng voâi bình thöôøng
Maøng cöùng
Ñaùm roái maïch maïc
Maïch maùu
ÑAÄM ÑOÄ
THAÁP
Phuø naõo
Dòch (nang)
Môõ
Khí (chaán thöông,
abscess)
Dòch naõo tuyû
Môõ hoác maét
Khí xoang
GIAÛI PHAÃU CT
SOÏ NAÕO
S - suprasellar cisternS - suprasellar cistern
Po - ponsPo - pons
P - cerebral pedunclesP - cerebral peduncles
(midbrain)(midbrain)
M - medullaM - medulla
C - quadrigeminal plateC - quadrigeminal plate
(superior and inferior colliculi)(superior and inferior colliculi)
V - fourth ventricleV - fourth ventricle
Q - quadrigeminal cisternQ - quadrigeminal cistern
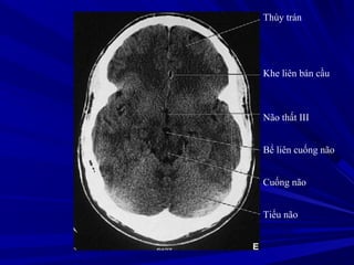
GIAÛI PHAÃU TREÂN CAÙC LÔÙP CAÉTGIAÛI PHAÃU TREÂN CAÙC LÔÙP CAÉT
DUØNG HEÄ THOÁNG NAÕO THAÁTDUØNG HEÄ THOÁNG NAÕO THAÁT
LAØM MOÁC:LAØM MOÁC:
 Naõo thaát beân.Naõo thaát beân.
 Naõo thaát III.Naõo thaát III.
 Naõo thaát IV.Naõo thaát IV.
 Dòch naõo tuûy & caùc beåDòch naõo tuûy & caùc beå
naõonaõo
HEÄ THOÁNG NAÕOHEÄ THOÁNG NAÕO
THAÁTTHAÁT
Cắt qua não thất IV
Cắt qua não thất III
Cắt qua thân
não thất bên
Cắt qua trên
não thất bên
Vùng nhân nềnVùng nhân nền
(1): Bao trong
(2): Ñaàu nhaân
ñuoâi
(3): Nhaân beøo
1
2
3
4
5
6
(5): Naõo thaát III
(6): Söøng traùn
naõo thaát beân
Giaûi
phaãu
2
3
4
5
6
1
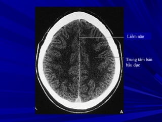
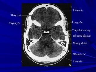
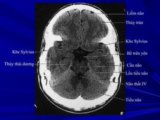
Liềm não
Trung tâm bán
bầu dục
Thùy trán
Thể chai
Thùy đính
Não thất IV
Sừng trước
não thất bên
Sừng sau não
thất bên
Mạng màng
mạch
Nhân đậu
Bao trong
Đầu nhân đuôi
Đồi thị
Nhân đậu
Cánh tay sau
bao trong
Đồi thị
Sừng trán não
thất bên
Nhân đuôi
Vách trong suốt
Bể trên tiểu não
Thùy nhộng
Thùy chẩm
Sừng trán não
thất bên
Nhân đuôi
Nhân đậu
Não thất III
Khe Sylvius
Thùy đảo
Củ trung não
Bể củ trung não
Tiểu não
Tay trước bao
trong
Khe Sylvius
Cống Sylvius
Thùy trán
Khe liên bán cầu
Não thất III
Bể liên cuống não
Cuống não
Tiểu não
Liềm não
Thùy trán
Khe Sylvius
Bể trên yên
Cầu não
Lều tiểu não
Não thất IV
Tiểu não
Khe Sylvius
Thùy thái dương
Liềm não
Lưng yên
Thùy thái dương
Bể trước cầu não
Xương chủm
Não thất IV
Tiểu não
Thùy trán
Tuyến yên
QUY TRÌNH ĐỌCQUY TRÌNH ĐỌC
CT SCAN SỌ NÃOCT SCAN SỌ NÃO
Có nhiều cách khác nhau:Có nhiều cách khác nhau:
- Từ ngoài vào trong- Từ ngoài vào trong
- Phần cứng đến phần mềm- Phần cứng đến phần mềm
- Trên lều đến dưới lều- Trên lều đến dưới lều
- Hình thái đến nhu mô- Hình thái đến nhu mô
Tuy nhiên để có tính ứng dụng cao, chúngTuy nhiên để có tính ứng dụng cao, chúng
ta có thể phân tích phim theo qui trình:ta có thể phân tích phim theo qui trình:
Hình thái đến nhu môHình thái đến nhu mô
QUY TRÌNH ĐỌCQUY TRÌNH ĐỌC
CT SCAN SỌ NÃOCT SCAN SỌ NÃO
Hình thái:Hình thái:
- Đường giữa- Đường giữa
- Hệ thống não thất- Hệ thống não thất
- Các khe, rãnh vỏ não- Các khe, rãnh vỏ não
- Các bể chứa DNT- Các bể chứa DNT
Nhu mô: Khảo sát đậm độ. Chú ý: TùyNhu mô: Khảo sát đậm độ. Chú ý: Tùy
theo cấu trúc khác nhau mà có đậm độtheo cấu trúc khác nhau mà có đậm độ
khác nhau.khác nhau.
CT SCAN SOÏ
NAÕO
TRONG ÑOÄT QUÎ
Giá trị chẩn đoán của CT ScanGiá trị chẩn đoán của CT Scan
Lâm sàng không phân biệt được nhồi máuLâm sàng không phân biệt được nhồi máu
não và xuất huyết não một cách chắc chắnnão và xuất huyết não một cách chắc chắn
CT Scan phát hiện ngay các hình ảnh xuấtCT Scan phát hiện ngay các hình ảnh xuất
huyết não, xuất huyết màng não (95%)huyết não, xuất huyết màng não (95%)
CT Scan có thể phát hiện các hình ảnh bấtCT Scan có thể phát hiện các hình ảnh bất
thường trong vòng 3 giờ sau khi nhồi máuthường trong vòng 3 giờ sau khi nhồi máu
não (50%)não (50%)
Xét nghiệm giúp chẩn đoán nhanh, chính xác,Xét nghiệm giúp chẩn đoán nhanh, chính xác,
an toànan toàn
CÁC BƯỚC ĐỌC CT SCANCÁC BƯỚC ĐỌC CT SCAN
Có xuất huyết hay không ?Có xuất huyết hay không ?
Có các vùng nhồi máu cũ hay nhồi máu yênCó các vùng nhồi máu cũ hay nhồi máu yên
lặng không ?lặng không ?
Có dấu hiệu huyết khối trong lòng độngCó dấu hiệu huyết khối trong lòng động
mạch hay không ?mạch hay không ?
Các dấu hiệu sớm cũa nhồi máu ?Các dấu hiệu sớm cũa nhồi máu ?
Ðánh giá độ rộng cũa tổn thươngÐánh giá độ rộng cũa tổn thương
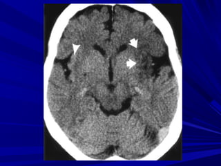
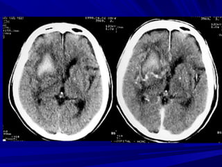
ĐỘT QUỴ THIẾU MÁU
NÃO CỤC BỘ CẤP
Vùng hoại tử
Vùng thiếu máu
Vùng phân bố động mạchVùng phân bố động mạch
Não trước Não giữa Não sau
Vùng phân bố động mạchVùng phân bố động mạch
Ngaøy ñaàu 48%
Ngaøy 1-2
59%
Ngaøy 7-10 66%
Ngaøy 10-11 74%
ÑOÄ NHAÏY CUÛA CT ÑOÁI VÔÙI
ÑOÄT QUÎ TMNCBC
Giai ñoaïn toái caáp (< 6 giôø)
- Bình thöôøng (50-60%)
- Daáu taêng ñaäm ñoä ñoäng maïch 25-50 %
- Giaûm ñaäm ñoä nhaân ñaäu
HÌNH AÛNH CT ÑOÄT QUÎ
TMNCBC
Hình ảnh tăng đậm độ động mạch não giữa kiểm chứng bằng DSA
Nhân đậu
Bao trong
Đầu nhân đuôi
Đồi thị
GIAI ÑOAÏN CAÁP
GIAI ÑOAÏN CAÁP SÔÙM (6-24 GIÔØ)
-Giaûm ñaäm ñoä ôû haïch neàn
-Maát ranh giôùi chaát traéng – xaùm
-Daáu daûi baêng thuyø ñaûo (insular ribbon
sign)
-Xoaù raõnh naõo
-Khoâng thaáy baát thöôøng
Mờ Khe Sylvius
Khe Sylvius
Không thấy
Mờ rãnh vỏ não và giảm đậm độ
* Khoâng coù caûn quang:
-Giaûm ñaäm ñoä hình cheâm vôùi neàn
roäng ôû voû naõo, theo vuøng phaân boá
maïch maùu (do phuø ñoäc teá baøo vaø
phuø maïch maùu)
-Hieäu öùng choaùn choã (23-75%) do phuø
neà
* Coù caûn quang:
-Taêng quang cuoän voû naõo
GIAI ÑOAÏN CAÁP MUOÄN (1-3 NGAØY)
Toån thöông ñoäng maïch naõo?
Nhồi máu watershedNhồi máu watershed
Borderzone infarction
* NCCT
-Vuøng giaûm ñaäm ñoä ít roõ hôn hieän
töôïng söông môø ‘fogging phenomenon’)
-Hieäu öùng choaùn choå , phuø neà coøn
tieáp tuïc
* CECT
-Taêng quang cuoän voû naõo
GIAI ÑOAÏN BAÙN CAÁP
GIAI ÑOAÏN BAÙN CAÁP SÔÙM (4-7
ngaøy)
Fogging effect: Hiện tượng đồng đậm độFogging effect: Hiện tượng đồng đậm độ
vùng nhồi máu ở ngày 14-21 do tăng thựcvùng nhồi máu ở ngày 14-21 do tăng thực
bào hoặc xuất huyết vi thể, khi đó vùngbào hoặc xuất huyết vi thể, khi đó vùng
nhồi máu rất khó nhận thấy.nhồi máu rất khó nhận thấy.
Một số trường hợp có hiện tượng tăngMột số trường hợp có hiện tượng tăng
quang do xuất huyết trong vùng nhồi máuquang do xuất huyết trong vùng nhồi máu
vào sau ngày thứ ba.vào sau ngày thứ ba.
GIAI ÑOAÏN BAÙN CAÁP
GIAI ÑOAÏN BAÙN CAÁP SÔÙM (4-7
ngaøy)
Fogging EffectFogging Effect
24 giờ 11 ngày 4 tháng
- Hieäu öùng choaùn choã giaûm
- Taêng quang nhu moâ tieáp tuïc
- Taêng quang vieàn, ñaùm hoaëc ôû caùc
cuoän voû naõo gaëp ôû tuaàn 2- 8 do vôõ
haøng raøo maïch maùu naõo vaø taêng
töôùi maùu xa xæ (luxury perfusion).
GIAI ÑOAÏN BAÙN CAÁP MUOÄN (1-8
tuaàn)
Nhaàm laãn vôùi dò daïng maïch maùu naõo
Nhuõn naõo caáp ><baùn caáp
Dò daïng maïch maùu naõo
- OÅ ñaäm ñoä dòch ôû vuøng toån
thöông
- Teo naõo ( roäng naõo thaát, raõnh
naõo )
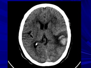
GIAI ÑOAÏN MAÕN (>8 tuaàn)
Nhồi máu não cũ
Xuất huyết sau
nhồi máu
Nhồi máu vùng nuôi ĐM não giữaNhồi máu vùng nuôi ĐM não giữa
Nhồi máu vùng nuôi động mạch nãoNhồi máu vùng nuôi động mạch não
sausau
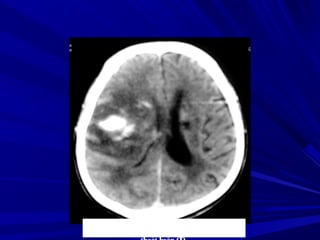
CHAÅN ÑOAÙN PHAÂN
BIEÄT
DI CAÊNDI CAÊN
NAÕONAÕO
NMN NAÕONMN NAÕO
XUAÁT HUYEÁT
NAÕO
Phát hiện xuất huyếtPhát hiện xuất huyết
Xuất huyết là các vùng tăng đậm độ và có thể thấyXuất huyết là các vùng tăng đậm độ và có thể thấy
trong các bệnh lý:trong các bệnh lý:
Tụ máu ngoài màng cứng,Tụ máu ngoài màng cứng,
Tụ máu dưới màng cứngTụ máu dưới màng cứng
Xuất huyết màng nãoXuất huyết màng não
Xuất huyết não thấtXuất huyết não thất
Xuất huyết trong nãoXuất huyết trong não
Phân biệt hoá vôi và xuất huyết nhỏ vùng nhân nềnPhân biệt hoá vôi và xuất huyết nhỏ vùng nhân nền
Phân biệt xuất huyết cầu não với hình ảnh nhiễuPhân biệt xuất huyết cầu não với hình ảnh nhiễu
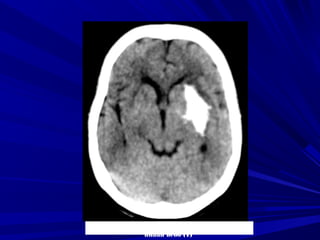
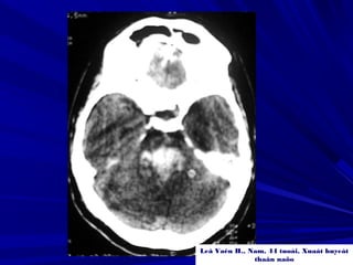
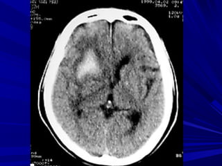
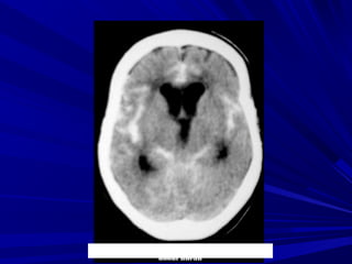
Leâ Vaên H., Nam, 44 tuoåi, Xuaát huyeát
thaân naõo
Traàn thò S., Nöõ, 73 tuoåi, Xuaát
XUAÁT HUYEÁT THAÂN NAÕOXUAÁT HUYEÁT THAÂN NAÕO
XUAÁT HUYEÁT THAÂN NAÕOXUAÁT HUYEÁT THAÂN NAÕO
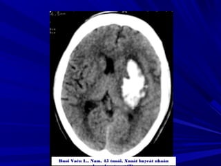
Buøi vaên L., Nam, 45 tuoåi, Xuaát huyeát nhaân beøo-bao trong (P) coù
traøn maùu naõo thaát
Buøi Vaên L., Nam, 45 tuoåi, Xuaát huyeát nhaân
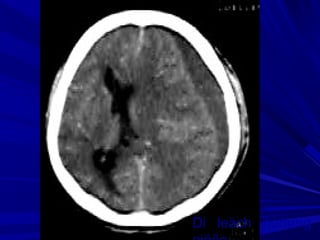
Nguyeãn Vaên L., Nam, 67 tuoåi, Xuaát huyeát
thaùi döông (P)/ Nhuõn naõo cuõ caïnh naõo
Nguyeãn Thò Q., Nöõ, 49 tuoåi, Xuaát huyeát
nhaân beøo (T)
Nguyeãn Hoaøng H., Nam, 22 tuoåi, Xuaát huyeát
traùn (P)
Thể tích xuất huyếtThể tích xuất huyết
(A x B x C)/2(A x B x C)/2
A và B là 2 đường thẳng góc trênA và B là 2 đường thẳng góc trên
lát cắt có số lượng xuất huyết lớnlát cắt có số lượng xuất huyết lớn
nhấtnhất
C là tổng số lát cắt có xuất huyết xC là tổng số lát cắt có xuất huyết x
bề dày của lát cắtbề dày của lát cắt
Ex: 4cm x 5.5 cm by (8 x 5mmEx: 4cm x 5.5 cm by (8 x 5mm
slices)/2slices)/2
– 4 x 5.5 x 4/2 = 45cc4 x 5.5 x 4/2 = 45cc
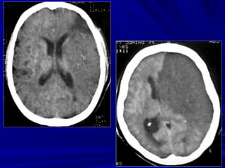
Xuaát huyeát
naõo giai
ñoaïn baùn
caáp
Ñoaøn thò S., Nöõ, 80 tuoåi, Xuaát huyeát khoang
döôùi nheän
Glioblastoma
Maùu tuï trong
naõo vaø taêng
Ñoaøn thò S., Nöõ, 80 tuoåi, Xuaát huyeát khoang
döôùi nheän
Thoaùt vò naõo döôùi
lieàm
Di leäch ñöôøng
Thoaùt vò naõo xuyeân leàu treân
Có xuất huyết hay không ?
Có xuất huyết hay không ?
Xuất huyết màng não Máu tụ ngoài màng
cứng
Máu tụ dưới màng
cứng
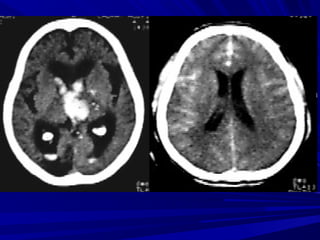
Phân biệt xuất huyết và vôi hóaPhân biệt xuất huyết và vôi hóa
Vôi hóa đối xứng, không có hiện tượng phùVôi hóa đối xứng, không có hiện tượng phù
não và không có hiệu ứng choán chnão và không có hiệu ứng choán chỗỗ
Xuất huyết không đối xứng, có phù não chungXuất huyết không đối xứng, có phù não chung
quanh và có hiệu ứng choán chổquanh và có hiệu ứng choán chổ
Ðo mức độ cản quangÐo mức độ cản quang
Vôi hóa > 120 HuVôi hóa > 120 Hu
Xuất huyết = 40-90 HuXuất huyết = 40-90 Hu
Xuất huyết hay vôi hóa ?
Xuất huyết hay artefact ?
XUAÁT HUYEÁT KHOANG DÖÔÙI
NHEÄN
(Subarachnoid hemorrhage)
EDH
XUAÁT HUYEÁT KHOANG DÖÔÙI NHEÄN
XUAÁT
HUYEÁT
TRONG
NAÕO
THAÁT
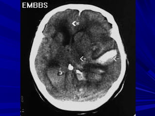
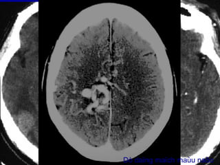
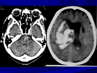
Di caên K phoåi
KEÁT
LUAÄN
•* CT Scan sọ não rất có giá trị trong chẩn đoán,
điều trị và theo dõi các bệnh lý nội sọ
* Để Ñoïc phim CT soï naõo cần:
- Naém vững giaûi phaãu
- Phaùt hieän baát thöôøng
- Moâ taû hình aûnh
-Chaån ñoaùn beänh lyù (döïa theâm thoâng
tin laâm saøng vaø caän laâm saøng khaùc)
XIN CHAÂN THAØNH
Thí dụ về cửa sổThí dụ về cửa sổ
BRAINBRAIN windowwindow
W:80 L:40W:80 L:40
BONEBONE windowwindow
W:2500 L:480W:2500 L:480
SUBDURALSUBDURAL windowwindow
W:350 L:90W:350 L:90
In head CT, 3 windows are commonly usedIn head CT, 3 windows are commonly used
Hounsfield Unit (HU)Hounsfield Unit (HU)
Different substances have different relative densities andDifferent substances have different relative densities and
thus, different Hounsfield unitsthus, different Hounsfield units
– Air: -1000 HUAir: -1000 HU
– Fat: -50 HUFat: -50 HU
– Water: 0 HUWater: 0 HU
– Soft tissue: +40 HUSoft tissue: +40 HU
– Blood: +40-80 HUBlood: +40-80 HU
– Stones: +100 to +400 HUStones: +100 to +400 HU
– Bone: +1000 HUBone: +1000 HU
Therefore, if you’re not sure what you’re looking at,Therefore, if you’re not sure what you’re looking at,
measure its Hounsfield Unit!measure its Hounsfield Unit!
Mật độ của máu theo thời gianMật độ của máu theo thời gian
trong tụ máu dưới màng cứngtrong tụ máu dưới màng cứng
AcuteAcute
(<3 days)(<3 days)
Sub-acuteSub-acute
(3-14 days)(3-14 days)
ChronicChronic
(>14 days)(>14 days)
Hyperdens
e blood
Isodense
blood
Hypodense
blood
6. xoang(Sinuses)6. xoang(Sinuses)
Mở cửa sổ xươngMở cửa sổ xương
Xác địnhXác định((clickclick on the names to see their location)on the names to see their location)
– Ethmoid SinusEthmoid Sinus
– Sphenoid SinusSphenoid Sinus
– Superior Saggital SinusSuperior Saggital Sinus
– Frontal SinusFrontal Sinus
– Maxillary SinusMaxillary Sinus
XoangXoang
Đánh giá bất cứ xoang nào:Đánh giá bất cứ xoang nào:
fluid in sinusesfluid in sinuses
(notice the air/fluid level)(notice the air/fluid level)
normalsinusitis
CT đầu không cản quangCT đầu không cản quang
Chẩn đoán hình ảnh phổ biếnChẩn đoán hình ảnh phổ biến
trong cấp cứutrong cấp cứu
– Thực hiện nhanh, kết quả vài phútThực hiện nhanh, kết quả vài phút
– Không cần tĩnh mạchKhông cần tĩnh mạch
– Thuận lợi 24 giờ/ngàyThuận lợi 24 giờ/ngày
– Không chống chỉ địnhKhông chống chỉ định
– Rất nhạy đánh giá một số bệnhRất nhạy đánh giá một số bệnh
đặc biệtđặc biệt
CT đầu không cản quangCT đầu không cản quang
Lợi ích:Lợi ích:
– tiêu chuẩn vàng xuất huyết cấptiêu chuẩn vàng xuất huyết cấp
– rất tốt dẫn chứng hiệu ứng khối (mass effect) và thoárất tốt dẫn chứng hiệu ứng khối (mass effect) và thoá
vịvị
– thấy được thiếu máu cấp, u, nhiễm trùng khu trúthấy được thiếu máu cấp, u, nhiễm trùng khu trú
– thấy được vỡ họp sọthấy được vỡ họp sọ
CT đầu không cản quangCT đầu không cản quang
Bất lợiBất lợi
– rất ít thấy bệnh lý hố sau, đặc biệt thiếu máurất ít thấy bệnh lý hố sau, đặc biệt thiếu máu
– rất khó chẩn đoán khối choáng chổ trongrất khó chẩn đoán khối choáng chổ trong
hộp sọ không có hiệu ứng khối rỏ rànghộp sọ không có hiệu ứng khối rỏ ràng
– độ nhạy không đủ để loại trừ xuất huyết dướiđộ nhạy không đủ để loại trừ xuất huyết dưới
nhệnnhện
– Sẽ bỏ sót các bệnh lý chậm trể như tụ máuSẽ bỏ sót các bệnh lý chậm trể như tụ máu
dưới màng cứng.dưới màng cứng.
Đọc CT đầuĐọc CT đầu
Tìm kiếm, đánh giá đầy đủTìm kiếm, đánh giá đầy đủ
Xem nhanhXem nhanh
Tìm các chi tiếtTìm các chi tiết
– Máu ngoài trụcMáu ngoài trục
(Extra-axial blood)(Extra-axial blood)
– Hiệu ứng khốiHiệu ứng khối
– Thiếu máuThiếu máu
– Não thấtNão thất
■ Mật độ mạch máu(vessel
density)
■ Cửa sổ xương
■ Xoang(sinuses, mastoids)
■ So sánh hình ảnh cũ
occipital infarctionoccipital infarction
HIEÄU ÖÙNG CHOAÙN
CHOÅ
Toån thöông gaây ñaåy , eùp caáu
truùc bình thöôøng noäi soï
Hieäu öùng choaùn choå
-Caáu truùc naõo (chaát
traéng, xaùm..)
-Ñöôøng giöõa
-Naõo thaát, beå naõo,
raõnh naõo
-Maïch maùu
PHAÙT HIEÄN HIEÄU ÖÙNG CHOAÙN
CHOÅ
Thoaùt vò naõo döôùi
lieàm
Di leäch ñöôøng
THOAÙT VÒ NAÕO
Thoaùt vò naõo laø söï ñeø ñaåy
toå chöùc naõo töø khoang naøy
sang khoang khaùc trong noäi
soï
Caáu truùc lieàm-
leàu naõo vaø
khoang noäi soï
-Thoaùt vò döôùi lieàm (Subfalcial H.)
-Thoaùt vò xuyeân leàu (Transtentorial
H.)
+Treân xuoáng döôùi
+Döôùi leân treân
-Thoaùt vò haïnh nhaân tieåu naõo
(Tonsilar H.)
THOAÙT VÒ NAÕO
Thoaùt vò
naõo
Thoaùt vò naõo xuyeân leàu treân
-Daõn heä thoáng naõo thaát
-Giaûm ñaäm ñoä chaát traéng
quanh naõo thaát
-Daõn treân choå taéc Vò trí
taéc nghẽn
NAÕO UÙNG THUÛY

Hướng dẫn đọc ct scanner sọ não

  • 1.
    TIẾP CẬN HÌNHẢNHTIẾP CẬN HÌNH ẢNH CT SCAN SỌ NÃOCT SCAN SỌ NÃO ThS BS Đinh Hữu HùngThS BS Đinh Hữu Hùng 11-200911-2009
  • 2.
  • 3.
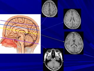
    NỘI DUNG TRÌNHBÀYNỘI DUNG TRÌNH BÀY Đại cương về CT Scan sọ nãoĐại cương về CT Scan sọ não Giải phẫu học cơ bảnGiải phẫu học cơ bản Quy trình chung đọc CT Scan sọ nãoQuy trình chung đọc CT Scan sọ não CT Scan trong một số bệnh lý:CT Scan trong một số bệnh lý: * Đột quỵ (tai biến mạch máu não)* Đột quỵ (tai biến mạch máu não) * U não* U não * Viêm-Nhiễm* Viêm-Nhiễm * Chấn thương* Chấn thương * Một số bệnh lý khác.* Một số bệnh lý khác. S - suprasellar cisternS - suprasellar cistern Po - ponsPo - pons P - cerebral pedunclesP - cerebral peduncles (midbrain)(midbrain) M - medullaM - medulla C - quadrigeminal plateC - quadrigeminal plate (superior and inferior colliculi)(superior and inferior colliculi) V - fourth ventricleV - fourth ventricle Q - quadrigeminal cisternQ - quadrigeminal cistern
  • 5.
    ĐẠI CƯƠNG VỀCT SỌ NÃOĐẠI CƯƠNG VỀ CT SỌ NÃO
  • 6.
    1895 W.C. Roentgen phaùt hieäntia X LỊCH SỬ W.C.Roentgen (1845- 1923)
  • 7.
    4/1972: Hounsfield giôùithieäu maùy CT ñaàu tieân 1979: Hounsfield và Cormar: Nobel Y hoïc LỊCH SỬ
  • 8.
    The Nobel Prizein Medicine 1979The Nobel Prize in Medicine 1979 Allan M. Cormack Tufts University Medford, USA Godfrey N. Hounsfield London, United Kingdom
  • 9.
    Kỹ thuật CTScanKỹ thuật CT Scan
  • 11.
    Nguyeân lyù taïo hình Tuyømöùc ñoä caûn tia X, caùc vuøng khaùc nhau coù ñaäm ñoä khaùc nhau
  • 12.
    ÑAÄM ÑOÄ Ñaäm ñoäcao (Hyperdensity) Ñaäm ñoä thaáp (Hypodensity) Ñoàng ñaäm ñoä (Isodensity)
  • 13.
    Nhân đậu Cánh taysau bao trong Đồi thị Sừng trán não thất bên Nhân đuôi Vách trong suốt Bể trên tiểu não Thùy nhộng Thùy chẩm
  • 16.
    Caáu truùc HU Xöông 1000 Voâi100 Chaûy maùu caáp 85 Chaát xaùm 35-40 Chaát traéùng 25-30 Ñaäm ñoä caùc caáu truùc noäi soï
  • 17.
    ÑAÄM ÑOÄ CAO Ñoùngvoâi baát thöôøng Maùu ñoâng Protein cao (dòch nang) Maät ñoä teá baøo cao (meningioma) Ñoùng voâi bình thöôøng Maøng cöùng Ñaùm roái maïch maïc Maïch maùu
  • 18.
    ÑAÄM ÑOÄ THAÁP Phuø naõo Dòch(nang) Môõ Khí (chaán thöông, abscess) Dòch naõo tuyû Môõ hoác maét Khí xoang
  • 19.
  • 20.
    S - suprasellarcisternS - suprasellar cistern Po - ponsPo - pons P - cerebral pedunclesP - cerebral peduncles (midbrain)(midbrain) M - medullaM - medulla C - quadrigeminal plateC - quadrigeminal plate (superior and inferior colliculi)(superior and inferior colliculi) V - fourth ventricleV - fourth ventricle Q - quadrigeminal cisternQ - quadrigeminal cistern
  • 22.
    GIAÛI PHAÃU TREÂNCAÙC LÔÙP CAÉTGIAÛI PHAÃU TREÂN CAÙC LÔÙP CAÉT DUØNG HEÄ THOÁNG NAÕO THAÁTDUØNG HEÄ THOÁNG NAÕO THAÁT LAØM MOÁC:LAØM MOÁC:  Naõo thaát beân.Naõo thaát beân.  Naõo thaát III.Naõo thaát III.  Naõo thaát IV.Naõo thaát IV.  Dòch naõo tuûy & caùc beåDòch naõo tuûy & caùc beå naõonaõo
  • 23.
    HEÄ THOÁNG NAÕOHEÄTHOÁNG NAÕO THAÁTTHAÁT
  • 27.
    Cắt qua nãothất IV
  • 28.
    Cắt qua nãothất III
  • 29.
  • 30.
  • 31.
  • 32.
    (1): Bao trong (2):Ñaàu nhaân ñuoâi (3): Nhaân beøo 1 2 3 4 5 6 (5): Naõo thaát III (6): Söøng traùn naõo thaát beân Giaûi phaãu 2 3 4 5 6 1
  • 37.
    Liềm não Trung tâmbán bầu dục
  • 38.
    Thùy trán Thể chai Thùyđính Não thất IV Sừng trước não thất bên Sừng sau não thất bên Mạng màng mạch
  • 39.
    Nhân đậu Bao trong Đầunhân đuôi Đồi thị
  • 40.
    Nhân đậu Cánh taysau bao trong Đồi thị Sừng trán não thất bên Nhân đuôi Vách trong suốt Bể trên tiểu não Thùy nhộng Thùy chẩm
  • 41.
    Sừng trán não thấtbên Nhân đuôi Nhân đậu Não thất III Khe Sylvius Thùy đảo Củ trung não Bể củ trung não Tiểu não Tay trước bao trong Khe Sylvius Cống Sylvius
  • 42.
    Thùy trán Khe liênbán cầu Não thất III Bể liên cuống não Cuống não Tiểu não
  • 43.
    Liềm não Thùy trán KheSylvius Bể trên yên Cầu não Lều tiểu não Não thất IV Tiểu não Khe Sylvius Thùy thái dương
  • 44.
    Liềm não Lưng yên Thùythái dương Bể trước cầu não Xương chủm Não thất IV Tiểu não Thùy trán Tuyến yên
  • 45.
    QUY TRÌNH ĐỌCQUYTRÌNH ĐỌC CT SCAN SỌ NÃOCT SCAN SỌ NÃO Có nhiều cách khác nhau:Có nhiều cách khác nhau: - Từ ngoài vào trong- Từ ngoài vào trong - Phần cứng đến phần mềm- Phần cứng đến phần mềm - Trên lều đến dưới lều- Trên lều đến dưới lều - Hình thái đến nhu mô- Hình thái đến nhu mô Tuy nhiên để có tính ứng dụng cao, chúngTuy nhiên để có tính ứng dụng cao, chúng ta có thể phân tích phim theo qui trình:ta có thể phân tích phim theo qui trình: Hình thái đến nhu môHình thái đến nhu mô
  • 46.
    QUY TRÌNH ĐỌCQUYTRÌNH ĐỌC CT SCAN SỌ NÃOCT SCAN SỌ NÃO Hình thái:Hình thái: - Đường giữa- Đường giữa - Hệ thống não thất- Hệ thống não thất - Các khe, rãnh vỏ não- Các khe, rãnh vỏ não - Các bể chứa DNT- Các bể chứa DNT Nhu mô: Khảo sát đậm độ. Chú ý: TùyNhu mô: Khảo sát đậm độ. Chú ý: Tùy theo cấu trúc khác nhau mà có đậm độtheo cấu trúc khác nhau mà có đậm độ khác nhau.khác nhau.
  • 48.
  • 49.
    Giá trị chẩnđoán của CT ScanGiá trị chẩn đoán của CT Scan Lâm sàng không phân biệt được nhồi máuLâm sàng không phân biệt được nhồi máu não và xuất huyết não một cách chắc chắnnão và xuất huyết não một cách chắc chắn CT Scan phát hiện ngay các hình ảnh xuấtCT Scan phát hiện ngay các hình ảnh xuất huyết não, xuất huyết màng não (95%)huyết não, xuất huyết màng não (95%) CT Scan có thể phát hiện các hình ảnh bấtCT Scan có thể phát hiện các hình ảnh bất thường trong vòng 3 giờ sau khi nhồi máuthường trong vòng 3 giờ sau khi nhồi máu não (50%)não (50%) Xét nghiệm giúp chẩn đoán nhanh, chính xác,Xét nghiệm giúp chẩn đoán nhanh, chính xác, an toànan toàn
  • 50.
    CÁC BƯỚC ĐỌCCT SCANCÁC BƯỚC ĐỌC CT SCAN Có xuất huyết hay không ?Có xuất huyết hay không ? Có các vùng nhồi máu cũ hay nhồi máu yênCó các vùng nhồi máu cũ hay nhồi máu yên lặng không ?lặng không ? Có dấu hiệu huyết khối trong lòng độngCó dấu hiệu huyết khối trong lòng động mạch hay không ?mạch hay không ? Các dấu hiệu sớm cũa nhồi máu ?Các dấu hiệu sớm cũa nhồi máu ? Ðánh giá độ rộng cũa tổn thươngÐánh giá độ rộng cũa tổn thương
  • 51.
    ĐỘT QUỴ THIẾUMÁU NÃO CỤC BỘ CẤP
  • 52.
  • 55.
    Vùng phân bốđộng mạchVùng phân bố động mạch Não trước Não giữa Não sau
  • 56.
    Vùng phân bốđộng mạchVùng phân bố động mạch
  • 57.
    Ngaøy ñaàu 48% Ngaøy1-2 59% Ngaøy 7-10 66% Ngaøy 10-11 74% ÑOÄ NHAÏY CUÛA CT ÑOÁI VÔÙI ÑOÄT QUÎ TMNCBC
  • 58.
    Giai ñoaïn toáicaáp (< 6 giôø) - Bình thöôøng (50-60%) - Daáu taêng ñaäm ñoä ñoäng maïch 25-50 % - Giaûm ñaäm ñoä nhaân ñaäu HÌNH AÛNH CT ÑOÄT QUÎ TMNCBC
  • 60.
    Hình ảnh tăngđậm độ động mạch não giữa kiểm chứng bằng DSA
  • 61.
    Nhân đậu Bao trong Đầunhân đuôi Đồi thị
  • 62.
    GIAI ÑOAÏN CAÁP GIAIÑOAÏN CAÁP SÔÙM (6-24 GIÔØ) -Giaûm ñaäm ñoä ôû haïch neàn -Maát ranh giôùi chaát traéng – xaùm -Daáu daûi baêng thuyø ñaûo (insular ribbon sign) -Xoaù raõnh naõo -Khoâng thaáy baát thöôøng
  • 64.
    Mờ Khe Sylvius KheSylvius Không thấy
  • 65.
    Mờ rãnh vỏnão và giảm đậm độ
  • 66.
    * Khoâng coùcaûn quang: -Giaûm ñaäm ñoä hình cheâm vôùi neàn roäng ôû voû naõo, theo vuøng phaân boá maïch maùu (do phuø ñoäc teá baøo vaø phuø maïch maùu) -Hieäu öùng choaùn choã (23-75%) do phuø neà * Coù caûn quang: -Taêng quang cuoän voû naõo GIAI ÑOAÏN CAÁP MUOÄN (1-3 NGAØY)
  • 68.
  • 72.
    Nhồi máu watershedNhồimáu watershed Borderzone infarction
  • 73.
    * NCCT -Vuøng giaûmñaäm ñoä ít roõ hôn hieän töôïng söông môø ‘fogging phenomenon’) -Hieäu öùng choaùn choå , phuø neà coøn tieáp tuïc * CECT -Taêng quang cuoän voû naõo GIAI ÑOAÏN BAÙN CAÁP GIAI ÑOAÏN BAÙN CAÁP SÔÙM (4-7 ngaøy)
  • 74.
    Fogging effect: Hiệntượng đồng đậm độFogging effect: Hiện tượng đồng đậm độ vùng nhồi máu ở ngày 14-21 do tăng thựcvùng nhồi máu ở ngày 14-21 do tăng thực bào hoặc xuất huyết vi thể, khi đó vùngbào hoặc xuất huyết vi thể, khi đó vùng nhồi máu rất khó nhận thấy.nhồi máu rất khó nhận thấy. Một số trường hợp có hiện tượng tăngMột số trường hợp có hiện tượng tăng quang do xuất huyết trong vùng nhồi máuquang do xuất huyết trong vùng nhồi máu vào sau ngày thứ ba.vào sau ngày thứ ba. GIAI ÑOAÏN BAÙN CAÁP GIAI ÑOAÏN BAÙN CAÁP SÔÙM (4-7 ngaøy)
  • 75.
    Fogging EffectFogging Effect 24giờ 11 ngày 4 tháng
  • 76.
    - Hieäu öùngchoaùn choã giaûm - Taêng quang nhu moâ tieáp tuïc - Taêng quang vieàn, ñaùm hoaëc ôû caùc cuoän voû naõo gaëp ôû tuaàn 2- 8 do vôõ haøng raøo maïch maùu naõo vaø taêng töôùi maùu xa xæ (luxury perfusion). GIAI ÑOAÏN BAÙN CAÁP MUOÄN (1-8 tuaàn) Nhaàm laãn vôùi dò daïng maïch maùu naõo
  • 77.
    Nhuõn naõo caáp><baùn caáp
  • 78.
    Dò daïng maïchmaùu naõo
  • 79.
    - OÅ ñaämñoä dòch ôû vuøng toån thöông - Teo naõo ( roäng naõo thaát, raõnh naõo ) GIAI ÑOAÏN MAÕN (>8 tuaàn)
  • 80.
  • 81.
  • 82.
    Nhồi máu vùngnuôi ĐM não giữaNhồi máu vùng nuôi ĐM não giữa
  • 83.
    Nhồi máu vùngnuôi động mạch nãoNhồi máu vùng nuôi động mạch não sausau
  • 84.
  • 86.
  • 87.
  • 88.
    Phát hiện xuấthuyếtPhát hiện xuất huyết Xuất huyết là các vùng tăng đậm độ và có thể thấyXuất huyết là các vùng tăng đậm độ và có thể thấy trong các bệnh lý:trong các bệnh lý: Tụ máu ngoài màng cứng,Tụ máu ngoài màng cứng, Tụ máu dưới màng cứngTụ máu dưới màng cứng Xuất huyết màng nãoXuất huyết màng não Xuất huyết não thấtXuất huyết não thất Xuất huyết trong nãoXuất huyết trong não Phân biệt hoá vôi và xuất huyết nhỏ vùng nhân nềnPhân biệt hoá vôi và xuất huyết nhỏ vùng nhân nền Phân biệt xuất huyết cầu não với hình ảnh nhiễuPhân biệt xuất huyết cầu não với hình ảnh nhiễu
  • 92.
    Leâ Vaên H.,Nam, 44 tuoåi, Xuaát huyeát thaân naõo
  • 93.
    Traàn thò S.,Nöõ, 73 tuoåi, Xuaát
  • 94.
    XUAÁT HUYEÁT THAÂNNAÕOXUAÁT HUYEÁT THAÂN NAÕO
  • 95.
    XUAÁT HUYEÁT THAÂNNAÕOXUAÁT HUYEÁT THAÂN NAÕO
  • 96.
    Buøi vaên L.,Nam, 45 tuoåi, Xuaát huyeát nhaân beøo-bao trong (P) coù traøn maùu naõo thaát
  • 97.
    Buøi Vaên L.,Nam, 45 tuoåi, Xuaát huyeát nhaân
  • 98.
    Nguyeãn Vaên L.,Nam, 67 tuoåi, Xuaát huyeát thaùi döông (P)/ Nhuõn naõo cuõ caïnh naõo
  • 99.
    Nguyeãn Thò Q.,Nöõ, 49 tuoåi, Xuaát huyeát nhaân beøo (T)
  • 100.
    Nguyeãn Hoaøng H.,Nam, 22 tuoåi, Xuaát huyeát traùn (P)
  • 102.
    Thể tích xuấthuyếtThể tích xuất huyết (A x B x C)/2(A x B x C)/2 A và B là 2 đường thẳng góc trênA và B là 2 đường thẳng góc trên lát cắt có số lượng xuất huyết lớnlát cắt có số lượng xuất huyết lớn nhấtnhất C là tổng số lát cắt có xuất huyết xC là tổng số lát cắt có xuất huyết x bề dày của lát cắtbề dày của lát cắt Ex: 4cm x 5.5 cm by (8 x 5mmEx: 4cm x 5.5 cm by (8 x 5mm slices)/2slices)/2 – 4 x 5.5 x 4/2 = 45cc4 x 5.5 x 4/2 = 45cc
  • 103.
  • 104.
    Ñoaøn thò S.,Nöõ, 80 tuoåi, Xuaát huyeát khoang döôùi nheän
  • 105.
  • 106.
    Ñoaøn thò S.,Nöõ, 80 tuoåi, Xuaát huyeát khoang döôùi nheän
  • 107.
    Thoaùt vò naõodöôùi lieàm
  • 108.
  • 109.
    Thoaùt vò naõoxuyeân leàu treân
  • 110.
    Có xuất huyếthay không ?
  • 111.
    Có xuất huyếthay không ? Xuất huyết màng não Máu tụ ngoài màng cứng Máu tụ dưới màng cứng
  • 112.
    Phân biệt xuấthuyết và vôi hóaPhân biệt xuất huyết và vôi hóa Vôi hóa đối xứng, không có hiện tượng phùVôi hóa đối xứng, không có hiện tượng phù não và không có hiệu ứng choán chnão và không có hiệu ứng choán chỗỗ Xuất huyết không đối xứng, có phù não chungXuất huyết không đối xứng, có phù não chung quanh và có hiệu ứng choán chổquanh và có hiệu ứng choán chổ Ðo mức độ cản quangÐo mức độ cản quang Vôi hóa > 120 HuVôi hóa > 120 Hu Xuất huyết = 40-90 HuXuất huyết = 40-90 Hu
  • 113.
    Xuất huyết hayvôi hóa ?
  • 114.
  • 115.
    XUAÁT HUYEÁT KHOANGDÖÔÙI NHEÄN (Subarachnoid hemorrhage)
  • 116.
  • 118.
  • 119.
    Di caên Kphoåi
  • 120.
    KEÁT LUAÄN •* CT Scansọ não rất có giá trị trong chẩn đoán, điều trị và theo dõi các bệnh lý nội sọ * Để Ñoïc phim CT soï naõo cần: - Naém vững giaûi phaãu - Phaùt hieän baát thöôøng - Moâ taû hình aûnh -Chaån ñoaùn beänh lyù (döïa theâm thoâng tin laâm saøng vaø caän laâm saøng khaùc)
  • 121.
  • 125.
    Thí dụ vềcửa sổThí dụ về cửa sổ BRAINBRAIN windowwindow W:80 L:40W:80 L:40 BONEBONE windowwindow W:2500 L:480W:2500 L:480 SUBDURALSUBDURAL windowwindow W:350 L:90W:350 L:90 In head CT, 3 windows are commonly usedIn head CT, 3 windows are commonly used
  • 126.
    Hounsfield Unit (HU)HounsfieldUnit (HU) Different substances have different relative densities andDifferent substances have different relative densities and thus, different Hounsfield unitsthus, different Hounsfield units – Air: -1000 HUAir: -1000 HU – Fat: -50 HUFat: -50 HU – Water: 0 HUWater: 0 HU – Soft tissue: +40 HUSoft tissue: +40 HU – Blood: +40-80 HUBlood: +40-80 HU – Stones: +100 to +400 HUStones: +100 to +400 HU – Bone: +1000 HUBone: +1000 HU Therefore, if you’re not sure what you’re looking at,Therefore, if you’re not sure what you’re looking at, measure its Hounsfield Unit!measure its Hounsfield Unit!
  • 127.
    Mật độ củamáu theo thời gianMật độ của máu theo thời gian trong tụ máu dưới màng cứngtrong tụ máu dưới màng cứng AcuteAcute (<3 days)(<3 days) Sub-acuteSub-acute (3-14 days)(3-14 days) ChronicChronic (>14 days)(>14 days) Hyperdens e blood Isodense blood Hypodense blood
  • 128.
    6. xoang(Sinuses)6. xoang(Sinuses) Mởcửa sổ xươngMở cửa sổ xương Xác địnhXác định((clickclick on the names to see their location)on the names to see their location) – Ethmoid SinusEthmoid Sinus – Sphenoid SinusSphenoid Sinus – Superior Saggital SinusSuperior Saggital Sinus – Frontal SinusFrontal Sinus – Maxillary SinusMaxillary Sinus
  • 129.
    XoangXoang Đánh giá bấtcứ xoang nào:Đánh giá bất cứ xoang nào: fluid in sinusesfluid in sinuses (notice the air/fluid level)(notice the air/fluid level) normalsinusitis
  • 130.
    CT đầu khôngcản quangCT đầu không cản quang Chẩn đoán hình ảnh phổ biếnChẩn đoán hình ảnh phổ biến trong cấp cứutrong cấp cứu – Thực hiện nhanh, kết quả vài phútThực hiện nhanh, kết quả vài phút – Không cần tĩnh mạchKhông cần tĩnh mạch – Thuận lợi 24 giờ/ngàyThuận lợi 24 giờ/ngày – Không chống chỉ địnhKhông chống chỉ định – Rất nhạy đánh giá một số bệnhRất nhạy đánh giá một số bệnh đặc biệtđặc biệt
  • 131.
    CT đầu khôngcản quangCT đầu không cản quang Lợi ích:Lợi ích: – tiêu chuẩn vàng xuất huyết cấptiêu chuẩn vàng xuất huyết cấp – rất tốt dẫn chứng hiệu ứng khối (mass effect) và thoárất tốt dẫn chứng hiệu ứng khối (mass effect) và thoá vịvị – thấy được thiếu máu cấp, u, nhiễm trùng khu trúthấy được thiếu máu cấp, u, nhiễm trùng khu trú – thấy được vỡ họp sọthấy được vỡ họp sọ
  • 132.
    CT đầu khôngcản quangCT đầu không cản quang Bất lợiBất lợi – rất ít thấy bệnh lý hố sau, đặc biệt thiếu máurất ít thấy bệnh lý hố sau, đặc biệt thiếu máu – rất khó chẩn đoán khối choáng chổ trongrất khó chẩn đoán khối choáng chổ trong hộp sọ không có hiệu ứng khối rỏ rànghộp sọ không có hiệu ứng khối rỏ ràng – độ nhạy không đủ để loại trừ xuất huyết dướiđộ nhạy không đủ để loại trừ xuất huyết dưới nhệnnhện – Sẽ bỏ sót các bệnh lý chậm trể như tụ máuSẽ bỏ sót các bệnh lý chậm trể như tụ máu dưới màng cứng.dưới màng cứng.
  • 133.
    Đọc CT đầuĐọcCT đầu Tìm kiếm, đánh giá đầy đủTìm kiếm, đánh giá đầy đủ Xem nhanhXem nhanh Tìm các chi tiếtTìm các chi tiết – Máu ngoài trụcMáu ngoài trục (Extra-axial blood)(Extra-axial blood) – Hiệu ứng khốiHiệu ứng khối – Thiếu máuThiếu máu – Não thấtNão thất ■ Mật độ mạch máu(vessel density) ■ Cửa sổ xương ■ Xoang(sinuses, mastoids) ■ So sánh hình ảnh cũ
  • 134.
  • 135.
    HIEÄU ÖÙNG CHOAÙN CHOÅ Toånthöông gaây ñaåy , eùp caáu truùc bình thöôøng noäi soï Hieäu öùng choaùn choå
  • 136.
    -Caáu truùc naõo(chaát traéng, xaùm..) -Ñöôøng giöõa -Naõo thaát, beå naõo, raõnh naõo -Maïch maùu PHAÙT HIEÄN HIEÄU ÖÙNG CHOAÙN CHOÅ
  • 137.
    Thoaùt vò naõodöôùi lieàm
  • 139.
  • 140.
    THOAÙT VÒ NAÕO Thoaùtvò naõo laø söï ñeø ñaåy toå chöùc naõo töø khoang naøy sang khoang khaùc trong noäi soï
  • 141.
    Caáu truùc lieàm- leàunaõo vaø khoang noäi soï
  • 142.
    -Thoaùt vò döôùilieàm (Subfalcial H.) -Thoaùt vò xuyeân leàu (Transtentorial H.) +Treân xuoáng döôùi +Döôùi leân treân -Thoaùt vò haïnh nhaân tieåu naõo (Tonsilar H.) THOAÙT VÒ NAÕO
  • 143.
  • 144.
    Thoaùt vò naõoxuyeân leàu treân
  • 145.
    -Daõn heä thoángnaõo thaát -Giaûm ñaäm ñoä chaát traéng quanh naõo thaát -Daõn treân choå taéc Vò trí taéc nghẽn NAÕO UÙNG THUÛY