ĐẠI CƯƠNG CT
& ĐỌC PHIM CT
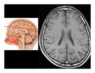
CHẤN THƯƠNG SỌ NÃO
Bs. LÊ VĂN PHƯỚC
Ts.Bs. PHẠM NGỌC HOA
Khoa Chẩn đoán hình ảnh
Bệnh viện Chợ Rẫy
ĐẠI CƯƠNG
CHỤP CẮT LỚP ĐIỆN TOÁN (CT)
1895 : W.C. Roentgen phát
hiện tia X  X quang
Lịch sử
W.C.Roentgen (1845-1923)
4/1972 Hounsfield : Giới
thiệu máy CT đầu tiên
Chụp hình sọ nghiêng
X QUANG QUI ƯỚC
Khoa Chẩn đoán hình ảnh Bệnh viện Chợ rẫy
Tia X
CT
Nguyên lý tạo hình
-Đầu đèn
-Đầu dò
-Máy tính
-Hình ảnh
Máy tính
Đầu dò
(Detectors)
Đầu
đèn
Đầu
đèn
Hàng đầu dò
Bóng đèn tia X
CÁC THẾ HỆ MÁY CT
Thế hệ I
Thế hệ II
Thế hệ III
Thế hệ IV
CT xoắn ốc (Helical CT)CT qui ước (Conventional CT)
Đầu đèn Đầu đèn
Bốn vòng quay
Xoắn ốc
Chụp siêu nhanh (Ultrafast CT)
PET-CT
CT ĐA LỚP CẮT (MULTI-SLICE )
-Nhiều hàng đầu dò (detectors)
-Khảo sát đồng thời nhiều lắt cắt (hiện nay 4-
16-32 lát cắt)
-Thời gian quét nhanh (0.5 giây/vòng).
-Khảo sát tốt trong các trường hợp cần thời
gian nhanh (tim-mạch, có bơm cản quang, bộ
phận cử động..).
CT 1 lớp cắt ( 1 hàng đầu
dò/Single row CT)
CT đa lớp cắt (nhiều hàng đầu dò
Multirow detector CT/ 4-16-32 hàng)
Cùng thời gian quét
Cùng vùng khảo sát
1.0s/ vòng/ 1hình 0.5s/ vòng/4 hình
CT 1 lớp cắt CT đa lớp cắt
Nam, 76t, u phần mềm chẫm
Phình
động
mạch
chủ lên
NGUYÊN LÝ TẠO HÌNH
CT
NGUYÊN LÝ TẠO HÌNH CT
Nguyên lý tạo hình
Tuỳ mức độ cản tia X, các
vùng khác nhau (voxel) có
đậm độ sáng tối khác nhau
(pixel) trên hình
ĐẬM ĐỘ CT (HU)
Vôi (1000HU)
Mô mềm
Nước (0)
Mỡ (-60 HU)
Khí (-1000 HU)
THAY ĐỔI ĐẬM ĐỘ
Vỡ xương Tụ khí Tụ máu
Giảm đậm độTaêng ñaäm ñoä
Đồng đậm độ
CÁC TỪ DIỄN TẢ ĐẬM ĐỘ
CHỈ ĐỊNH
CƠ QUAN KHẢO SÁT CƠ QUAN KHẢO
SÁT
SỌ NÃO LÁCH, TỤY TẠNG
-Bệnh lý bẩm sinh +++ -U, kén +++
-Chấn thương ++++ -Chấn thương
nhiễm trùøng
+++
-Nhiễm trùng +++ THẬN
-U (Nguyên phát, di
căn)
++++ -U, kén, chấn
thương
++++
-Bệnh lý mạch máu ++ -Bệnh lý bẩm sinh +++
-Bệnh lý thoái hóa + THƯỢNG THẬN +++
CƠ QUAN KHẢO
SÁT
CƠ QUAN KHẢO
SÁT
MẮT, TAI- MŨI –
HỌNG
SAU PHÚC MẠC
-Nhiễm trùng, chấn
thương
++ -U, nhiễm trùng,
mạch máu
++++
-U +++ TRONG PHÚC
MẠC
TRUNG THẤT -Aùp-xe, dịch, u ++
-U, hạch ++++ CỘT SỐNG
-Bất thường mạch
máu
++ -Chấn thương, đĩa
đệm, u
+++
CƠ QUAN KHẢO SÁT CƠ QUAN KHẢO
SÁT
PHỔI THÀNH NGỰC
-U, nhiễm trùng ++
GAN, MẬT HỆ CƠ XƯƠNG
-U (nguyên phát, di
căn)
++++ -U xương +++
-Chấn thương nhiễm
trùng
+++ -U phần mềm +++
-Bệnh lý thoái hóa, sỏi ++ -Khớp +
HÌNH ẢNH MINH HOẠ
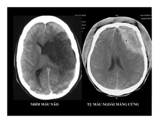
NHỒI MÁU NÃO TỤ MÁU NGOÀI MÀNG CỨNG
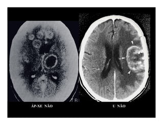
ÁP-XE NÃO U NÃO
U hạch trung thất U quái trung thất
Phình động mạch chủ ngực
PreCE
Post CE 30’’
Post CE 90’’
Post CE 180’’
Khảo sát huyết động sự tăng quang
(Dynamic CECT )
Tổn thương gan đơn độc?
 Phẫu thuật?
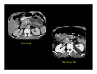
Viêm tuỵ cấp
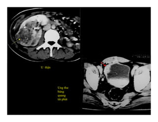
Chấn thương thận
U thận
Ung thư
bàng
quang
tái phát
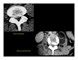
Thoát vị đĩa đệm
Aùp-xe cạnh cột sống
Vỡ xoang, xương đá trong chấn thương
Ung thư vòm hầu
Phình động mạch chủ bụng-Hình tái tạo 3 D
Vài hình ảnh MULTISLICES
CBF MTT CBV
CT tưới máu não (Perfusion CT)
Phát hiện sớm đột qụi
Đa chấn thương
Tầm soát toàn bộ cơ thể
Nam 28t/ Đa chấn thương
Vỡ thân sống L4/ xương đùi (T)/ xương gót (P)/ Ụ ngồi
Nữ 78t / Thuyên tắc động mạch
phổi-tĩnh mạch chi dưới
NỘI SOI ẢO PHẾ QUẢN
(Virtual bronchoscopy)
Đóng vôi mạch vành
-Đánh giá ‘Điểm Ca’
[Calcium score] là
phương tiện mới nhất
trong phát hiện và đánh
giá mảng xơ vữa động
mạch vành
-Có hướng xử trí thích
hợp: ăn uống, cách sống,
dùng thuốc, xét nghiệm
khác.
This image cannot currently be displayed.
ĐIỂM CALCIUM MẠCH VÀNH
Khảo sát tim và chụp mạch vành
Phình động mạch chủ
bụng
Nam 39t/ Đánh giá thận ghép
Thận ghép
NỘI SOI ẢO ĐẠI TRÀNG
(Virtual colonoscopy)
Nữ, 65t, ung thư trực tràng/Đa polyp
Đọc phim CT
CHẤN THƯƠNG SỌ NÃO
CT là khảo sát hình ảnh được chọn lựa
đầu tiên trong chấn thương sọ não
KHẢO SÁT HÌNH ẢNH CTSN
 Mất ý thức
 Thay đổi tình trạng tinh thần
 Dấu hiệu thần kinh khu trú
 Nghi ngờ vỡ nền sọ
Vỡ lún sọ
Tổn thương xuyên thấu (đạn)
Nghi ngờ tụ máu nội sọ
CHỈ ĐỊNH CT
-Khảo sát không cản quang (CTSN cấp)
-Khảo sát có cản quang (mãn, biến chứng)
-Cắt liên tục/ Độ dày lát cắt: khoảng cách lát
cắt 10/10 mm hay 5/5 mm.
-Cửa sổ nhu mô- cửa sổ xương
KHẢO SÁT CT TRONG CHẤN THƯƠNG
SỌ NÃO
Trình bày trên phim
Hình định vị
Độ dày lát cắt/ Khoảng cách lát cắt
Cắt liên tục/ Hở/ Chồng
Hình tăng- đồng-giảm đậm độ
Đo kích thước-thể tích
Cửa sổ nhu mô- cửa sổ xương
Hình tái tạo 2D, 3D
CÁC KHÁI NIỆM CẦN THIẾT TRÊN CT
Hoï-teân Beänh vieän
Nam-Nöõ Ngaøy chuïp
Soá ID
ROI
kV, mAs
S# W/L
Hình định vị
Hình CT
Khung hình
PHIM CT
Các thông số
I# 8
8
Hình định vị
a
b
Độ dày lát cắt
Khoảng cách lát cắt
a b
Đo kích thước tổn thương
10 mm
Nếu cắt liên tục, độ dày lát cắt là
10mm, tổn thương xuất hiện trên
5 lát cắt Chiều cao tổn thương?
CÁC TỪ DIỄN TẢ ĐẬM ĐỘ
Giảm đậm độ (Hypodense)
Đồng đậm độ (Isodense)
Tăng đậm độ (Hyperdense).
Chấn thương sọ não
Đậm độ cao/ Xuất huyết não
Đậm độ thấp/ Phù-dập não
CỬA SỔ NHU MÔ-CỬA SỔ XƯƠNG
Hình cắt ngang
Hình tái tạo 2D
Hình tái tạo 3D
Thực hiện trên máy MSCT-Chợ rẫy
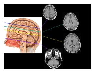
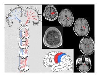
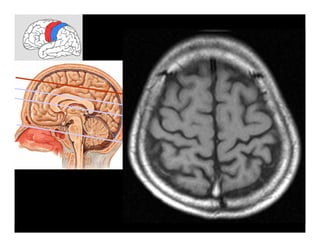
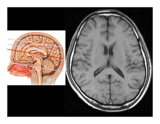
GIẢI PHẪU HÌNH ẢNH
SỌ NÃO
Giải phẫu hình ảnh sọ não
(1): Bao trong
(2): Đầu nhân đuôi
(3): Nhân bèo
(4): Đồi thị
1
2
3
4
5
6
(5): Não thất III
(6): Sừng trán não
thất bên
Giải phẫu
2
3
4
5
6
1
Giải phẫu
Tổn thương
CHẤN THƯƠNG SỌ NÃO
Tổn thương trong trục>< Ngoài trục
Tổn thương nguyên phát >< Thứ phát
PHÂN LOẠI TỔN THƯƠNG TRONG
CHẤN THƯƠNG SỌ NÃO
Cấu trúc
liên quan
sọ-màng
não-nhu
mô não
TỔN THƯƠNG TRONG CHẤN THƯƠNG SỌ NÃO
Nhu mô
não
Màng
mềm
Màng
nhện
Màng
cứng
Hộp sọ
Tụ máu ngoài
màng cứng
Tụ máu dưới
màng cứng
Xuất huyết
khoang dưới
nhện
Trong trục Ngoài trục
Vỡ hộp sọ
Tổn thương ngoài trục (extra-axial)
-Tụ máu ngoài màng cứng
-Tụ máu dưới màng cứng
-Xuất huyết khoang dưới nhện
TỔN THƯƠNG NGUYÊN PHÁT
Tổn thương trong trục (intra-axial)
-Dập não
-Xuất huyết trong não
-Tổn thương trục lan toả
-Tổn thương chất xám sâu
-Tổn thương cuống não
-Xuất huyết trong não thất
Thoát vị não
Nhồi-thiếu máu não do chấn thương
Phù não
Tổn thương do thiếu oxy não
TỔN THƯƠNG THỨ PHÁT
Tổn thương xương: Nứt sọ dạng đường,
lún sọ, dãn khớp sọ
Tổn thương phần mềm
TỔN THƯƠNG HỘP SỌ
Tổn thương phần mềm hộp sọ
Tổn thương xương hộp sọ
Nam, 25t, mù mắt (T), CTSN
Vỡ xương trán, thành trong hốc mắt, lỗ thị giác (Bỏ sót CT thường qui)
-Hay gặp thái dương-đính (95%)
-Tổn thương động mạch màng não giữa
(90%), tĩnh mạch tuỷ sọ, xoang màng cứng
(10%)
-Thường kết hợp với nứt sọ cùng bên và tụ
máu dưới màng cứng đối bên (90%)
TỤ MÁU NGOÀI MÀNG CỨNG
(Epidural hematoma)
-Hình hai mặt lồi (biconvex/ lenticular)
-Không vượt qua khớp sọ
-Chạy vượt qua nếp màng não (liềm, lều
não)
TỤ MÁU NGOÀI MÀNG CỨNG
(Epidural hematoma)
Tụ máu ngoài màng cứng
-Đứt các tĩnh mạch cầu nối
-Hình liềm
-Chạy qua các khớp sọ
-Không vượt qua các nếp màng cứng (liềm, lều
não)
-Tuỳ tụ máu cấp, bán cấp hay mãn mà đậm độ
khác nhau
TỤ MÁU DƯỚI MÀNG CỨNG
(Subdural hematoma)
Tụ máu dưới màng cứng
Tụ máu dưới màng cứng mãn
Phân biệt tụ máu ngoài màng cứng và dưới màng cứng
EDH
Tăng đậm độ các khe, rãnh não
XUẤT HUYẾT KHOANG DƯỚI NHỆN
XUẤT
HUYẾT
TRONG
NÃO THẤT
(Intraventricular
hemorrhage)
-Do đập vào mặt trong hộp sọ, liềm-lều não
-Thái dươngtrán cạnh đường giữa
-Dạng tổn thương:
+dập phù não: hình giảm đậm độ
+nếu kèm xuất huyết não: tăng đậm độ
DẬP NÃO (Contusion)
Dập não Dập não kèm xuất huyết
-Thường hình ảnh CT bình thường
-Hoặc biểu hiện các nốt chảy máu nhỏ, rải
rác
-Vị trí : vùng ranh giới chất trắng-xám
bán cầu, thể chai, cuống não sau-bên
-MRI có giá trị trong chẩn đoán
TỔN THƯƠNG TRỤC LAN TOẢ
(Diffuse axonal injure/ Shear injury)
Tổn thương trục lan toả
-Đường đi của tác nhân
-Xác định mức độ lan
rộng (mảnh xương,
mảnh đạn)
-Vị trí mảnh đạn
-Liên quan mạch máu
TỔN THƯƠNG XUYÊN THẤU
-Thoát vị dưới liềm (Subfalcial H.)
-Thoát vị xuyên lều (Transtentorial H.)
+Hướng lên
+Hứơng xuống
-Thoát vị hạnh nhân tiểu não (Tonsilar H.)
THOÁT VỊ NÃO
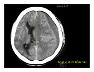
Thoát vị não
-Thoát vị dưới liềm: hồi đai
qua dưới bờ tự do liềm não
Đường giữa lệch.
-Ép não thất cùng bên
-Có thể rộng não thất đối bên
-Nhồi máu động mạch não
trước
THOÁT VỊ DƯỚI LIỀM NÃO
Thoát vị dưới liềm não
-Mỏm móc của hồi
cạnh hải mã thoát
vị qua khe lều tiểu
não xuống dưới
+Xoá bể trên yên
+Rộng bể góc cầu
tiểu não cùng bên
THOÁT VỊ XUYÊN LỀU HƯỚNG XUỐNG
-Do nhiều nguyên nhân
-Hình ảnh
+Xoá các rãnh não-bể
não, não thất
+Mất ranh giới chất
trắng-xám
PHÙ NÃO
-Lớn xoang hang
-Dãn tĩnh mạch mắt trên
DÒ ĐỘNG MẠCH CẢNH-XOANG HANG
Tắc động mạch cảnh trong/ Chấn
thương (Hình MSCT)
Thực hiện trên máy MSCT-Chợ rẫy
-Nhuyễn não (encephalomalacia)
-Teo não (atrophy)
-Tụ khí nội sọ
-Dò dịch não tủy
-Tổn thương thần kinh mặt
-Đái tháo nhạt (Diabetes insipidus)
DI CHỨNG CHẤN THƯƠNG SỌ NÃO
Hình ảnh nhuyễn não và teo não vùng chẩm (T)
sau dập xuất huyết não 3 tháng trước
Tóm lại: Tổn thương hay gặp?
Tóm lại: Tổn thương hay gặp?
Tóm lại: Tổn thương hay gặp?
Đọc phim CT Chấn thương sọ não ?
 Đường giữa
 Bất thường đậm độ, hình dáng hai bán cầu
 Các bể não, rãnh não [bể trên yên
(pentagon) bể củ não sinh tư (smile sign)]
 Não thất (bên, IV)
ĐÁNH GIÁ PHIM CT
CHẤN THƯƠNG SỌ NÃO CẤP ?
Có máu tụ-hiệu ứng choán chổ hay không?
KẾT LUẬN
 Hình ảnh tổn thương CTSN trên CT đa
dạng
 CT rất có giá trị trong bệnh lý chấn
thương sọ não: chẩn đoán, theo dõi, tiên
lượng, kế hoạch điều trị (trước và sau
phẫu thuật).
XIN CÁM ƠN

CT Chấn thương sọ não

  • 1.
    ĐẠI CƯƠNG CT &ĐỌC PHIM CT CHẤN THƯƠNG SỌ NÃO Bs. LÊ VĂN PHƯỚC Ts.Bs. PHẠM NGỌC HOA Khoa Chẩn đoán hình ảnh Bệnh viện Chợ Rẫy
  • 2.
    ĐẠI CƯƠNG CHỤP CẮTLỚP ĐIỆN TOÁN (CT)
  • 3.
    1895 : W.C.Roentgen phát hiện tia X  X quang Lịch sử W.C.Roentgen (1845-1923) 4/1972 Hounsfield : Giới thiệu máy CT đầu tiên
  • 4.
    Chụp hình sọnghiêng X QUANG QUI ƯỚC Khoa Chẩn đoán hình ảnh Bệnh viện Chợ rẫy Tia X
  • 5.
  • 6.
    Nguyên lý tạohình -Đầu đèn -Đầu dò -Máy tính -Hình ảnh Máy tính Đầu dò (Detectors) Đầu đèn Đầu đèn
  • 7.
    Hàng đầu dò Bóngđèn tia X CÁC THẾ HỆ MÁY CT
  • 8.
    Thế hệ I Thếhệ II Thế hệ III Thế hệ IV
  • 9.
    CT xoắn ốc(Helical CT)CT qui ước (Conventional CT) Đầu đèn Đầu đèn Bốn vòng quay Xoắn ốc Chụp siêu nhanh (Ultrafast CT) PET-CT
  • 10.
    CT ĐA LỚPCẮT (MULTI-SLICE ) -Nhiều hàng đầu dò (detectors) -Khảo sát đồng thời nhiều lắt cắt (hiện nay 4- 16-32 lát cắt) -Thời gian quét nhanh (0.5 giây/vòng). -Khảo sát tốt trong các trường hợp cần thời gian nhanh (tim-mạch, có bơm cản quang, bộ phận cử động..).
  • 11.
    CT 1 lớpcắt ( 1 hàng đầu dò/Single row CT) CT đa lớp cắt (nhiều hàng đầu dò Multirow detector CT/ 4-16-32 hàng)
  • 12.
    Cùng thời gianquét Cùng vùng khảo sát 1.0s/ vòng/ 1hình 0.5s/ vòng/4 hình CT 1 lớp cắt CT đa lớp cắt
  • 13.
    Nam, 76t, uphần mềm chẫm
  • 14.
  • 15.
  • 16.
  • 18.
    Nguyên lý tạohình Tuỳ mức độ cản tia X, các vùng khác nhau (voxel) có đậm độ sáng tối khác nhau (pixel) trên hình
  • 19.
    ĐẬM ĐỘ CT(HU) Vôi (1000HU) Mô mềm Nước (0) Mỡ (-60 HU) Khí (-1000 HU)
  • 20.
    THAY ĐỔI ĐẬMĐỘ Vỡ xương Tụ khí Tụ máu
  • 21.
    Giảm đậm độTaêngñaäm ñoä Đồng đậm độ CÁC TỪ DIỄN TẢ ĐẬM ĐỘ
  • 22.
  • 23.
    CƠ QUAN KHẢOSÁT CƠ QUAN KHẢO SÁT SỌ NÃO LÁCH, TỤY TẠNG -Bệnh lý bẩm sinh +++ -U, kén +++ -Chấn thương ++++ -Chấn thương nhiễm trùøng +++ -Nhiễm trùng +++ THẬN -U (Nguyên phát, di căn) ++++ -U, kén, chấn thương ++++ -Bệnh lý mạch máu ++ -Bệnh lý bẩm sinh +++ -Bệnh lý thoái hóa + THƯỢNG THẬN +++
  • 24.
    CƠ QUAN KHẢO SÁT CƠQUAN KHẢO SÁT MẮT, TAI- MŨI – HỌNG SAU PHÚC MẠC -Nhiễm trùng, chấn thương ++ -U, nhiễm trùng, mạch máu ++++ -U +++ TRONG PHÚC MẠC TRUNG THẤT -Aùp-xe, dịch, u ++ -U, hạch ++++ CỘT SỐNG -Bất thường mạch máu ++ -Chấn thương, đĩa đệm, u +++
  • 25.
    CƠ QUAN KHẢOSÁT CƠ QUAN KHẢO SÁT PHỔI THÀNH NGỰC -U, nhiễm trùng ++ GAN, MẬT HỆ CƠ XƯƠNG -U (nguyên phát, di căn) ++++ -U xương +++ -Chấn thương nhiễm trùng +++ -U phần mềm +++ -Bệnh lý thoái hóa, sỏi ++ -Khớp +
  • 26.
  • 27.
    NHỒI MÁU NÃOTỤ MÁU NGOÀI MÀNG CỨNG
  • 28.
  • 29.
    U hạch trungthất U quái trung thất
  • 30.
  • 32.
    PreCE Post CE 30’’ PostCE 90’’ Post CE 180’’ Khảo sát huyết động sự tăng quang (Dynamic CECT ) Tổn thương gan đơn độc?  Phẫu thuật?
  • 33.
    Viêm tuỵ cấp Chấnthương thận
  • 34.
  • 35.
    Thoát vị đĩađệm Aùp-xe cạnh cột sống
  • 36.
    Vỡ xoang, xươngđá trong chấn thương Ung thư vòm hầu
  • 38.
    Phình động mạchchủ bụng-Hình tái tạo 3 D
  • 41.
    Vài hình ảnhMULTISLICES
  • 42.
    CBF MTT CBV CTtưới máu não (Perfusion CT) Phát hiện sớm đột qụi
  • 43.
    Đa chấn thương Tầmsoát toàn bộ cơ thể Nam 28t/ Đa chấn thương Vỡ thân sống L4/ xương đùi (T)/ xương gót (P)/ Ụ ngồi
  • 44.
    Nữ 78t /Thuyên tắc động mạch phổi-tĩnh mạch chi dưới
  • 45.
    NỘI SOI ẢOPHẾ QUẢN (Virtual bronchoscopy)
  • 46.
  • 47.
    -Đánh giá ‘ĐiểmCa’ [Calcium score] là phương tiện mới nhất trong phát hiện và đánh giá mảng xơ vữa động mạch vành -Có hướng xử trí thích hợp: ăn uống, cách sống, dùng thuốc, xét nghiệm khác. This image cannot currently be displayed. ĐIỂM CALCIUM MẠCH VÀNH
  • 48.
    Khảo sát timvà chụp mạch vành
  • 49.
  • 50.
    Nam 39t/ Đánhgiá thận ghép Thận ghép
  • 51.
    NỘI SOI ẢOĐẠI TRÀNG (Virtual colonoscopy) Nữ, 65t, ung thư trực tràng/Đa polyp
  • 52.
    Đọc phim CT CHẤNTHƯƠNG SỌ NÃO
  • 53.
    CT là khảosát hình ảnh được chọn lựa đầu tiên trong chấn thương sọ não KHẢO SÁT HÌNH ẢNH CTSN
  • 54.
     Mất ýthức  Thay đổi tình trạng tinh thần  Dấu hiệu thần kinh khu trú  Nghi ngờ vỡ nền sọ Vỡ lún sọ Tổn thương xuyên thấu (đạn) Nghi ngờ tụ máu nội sọ CHỈ ĐỊNH CT
  • 55.
    -Khảo sát khôngcản quang (CTSN cấp) -Khảo sát có cản quang (mãn, biến chứng) -Cắt liên tục/ Độ dày lát cắt: khoảng cách lát cắt 10/10 mm hay 5/5 mm. -Cửa sổ nhu mô- cửa sổ xương KHẢO SÁT CT TRONG CHẤN THƯƠNG SỌ NÃO
  • 56.
    Trình bày trênphim Hình định vị Độ dày lát cắt/ Khoảng cách lát cắt Cắt liên tục/ Hở/ Chồng Hình tăng- đồng-giảm đậm độ Đo kích thước-thể tích Cửa sổ nhu mô- cửa sổ xương Hình tái tạo 2D, 3D CÁC KHÁI NIỆM CẦN THIẾT TRÊN CT
  • 57.
    Hoï-teân Beänh vieän Nam-NöõNgaøy chuïp Soá ID ROI kV, mAs S# W/L Hình định vị Hình CT Khung hình PHIM CT Các thông số
  • 58.
  • 59.
  • 60.
    Độ dày látcắt Khoảng cách lát cắt a b
  • 61.
    Đo kích thướctổn thương 10 mm Nếu cắt liên tục, độ dày lát cắt là 10mm, tổn thương xuất hiện trên 5 lát cắt Chiều cao tổn thương?
  • 62.
    CÁC TỪ DIỄNTẢ ĐẬM ĐỘ Giảm đậm độ (Hypodense) Đồng đậm độ (Isodense) Tăng đậm độ (Hyperdense).
  • 63.
    Chấn thương sọnão Đậm độ cao/ Xuất huyết não Đậm độ thấp/ Phù-dập não
  • 64.
    CỬA SỔ NHUMÔ-CỬA SỔ XƯƠNG
  • 65.
    Hình cắt ngang Hìnhtái tạo 2D Hình tái tạo 3D Thực hiện trên máy MSCT-Chợ rẫy
  • 66.
    GIẢI PHẪU HÌNHẢNH SỌ NÃO
  • 67.
    Giải phẫu hìnhảnh sọ não
  • 71.
    (1): Bao trong (2):Đầu nhân đuôi (3): Nhân bèo (4): Đồi thị 1 2 3 4 5 6 (5): Não thất III (6): Sừng trán não thất bên Giải phẫu 2 3 4 5 6 1
  • 74.
  • 77.
  • 78.
    Tổn thương trongtrục>< Ngoài trục Tổn thương nguyên phát >< Thứ phát PHÂN LOẠI TỔN THƯƠNG TRONG CHẤN THƯƠNG SỌ NÃO
  • 79.
  • 80.
    TỔN THƯƠNG TRONGCHẤN THƯƠNG SỌ NÃO Nhu mô não Màng mềm Màng nhện Màng cứng Hộp sọ Tụ máu ngoài màng cứng Tụ máu dưới màng cứng Xuất huyết khoang dưới nhện Trong trục Ngoài trục
  • 81.
    Vỡ hộp sọ Tổnthương ngoài trục (extra-axial) -Tụ máu ngoài màng cứng -Tụ máu dưới màng cứng -Xuất huyết khoang dưới nhện TỔN THƯƠNG NGUYÊN PHÁT
  • 82.
    Tổn thương trongtrục (intra-axial) -Dập não -Xuất huyết trong não -Tổn thương trục lan toả -Tổn thương chất xám sâu -Tổn thương cuống não -Xuất huyết trong não thất
  • 83.
    Thoát vị não Nhồi-thiếumáu não do chấn thương Phù não Tổn thương do thiếu oxy não TỔN THƯƠNG THỨ PHÁT
  • 84.
    Tổn thương xương:Nứt sọ dạng đường, lún sọ, dãn khớp sọ Tổn thương phần mềm TỔN THƯƠNG HỘP SỌ
  • 85.
    Tổn thương phầnmềm hộp sọ
  • 86.
  • 87.
    Nam, 25t, mùmắt (T), CTSN Vỡ xương trán, thành trong hốc mắt, lỗ thị giác (Bỏ sót CT thường qui)
  • 88.
    -Hay gặp tháidương-đính (95%) -Tổn thương động mạch màng não giữa (90%), tĩnh mạch tuỷ sọ, xoang màng cứng (10%) -Thường kết hợp với nứt sọ cùng bên và tụ máu dưới màng cứng đối bên (90%) TỤ MÁU NGOÀI MÀNG CỨNG (Epidural hematoma)
  • 89.
    -Hình hai mặtlồi (biconvex/ lenticular) -Không vượt qua khớp sọ -Chạy vượt qua nếp màng não (liềm, lều não) TỤ MÁU NGOÀI MÀNG CỨNG (Epidural hematoma)
  • 90.
    Tụ máu ngoàimàng cứng
  • 91.
    -Đứt các tĩnhmạch cầu nối -Hình liềm -Chạy qua các khớp sọ -Không vượt qua các nếp màng cứng (liềm, lều não) -Tuỳ tụ máu cấp, bán cấp hay mãn mà đậm độ khác nhau TỤ MÁU DƯỚI MÀNG CỨNG (Subdural hematoma)
  • 92.
    Tụ máu dướimàng cứng
  • 93.
    Tụ máu dướimàng cứng mãn
  • 94.
    Phân biệt tụmáu ngoài màng cứng và dưới màng cứng
  • 95.
    EDH Tăng đậm độcác khe, rãnh não XUẤT HUYẾT KHOANG DƯỚI NHỆN
  • 96.
  • 97.
    -Do đập vàomặt trong hộp sọ, liềm-lều não -Thái dươngtrán cạnh đường giữa -Dạng tổn thương: +dập phù não: hình giảm đậm độ +nếu kèm xuất huyết não: tăng đậm độ DẬP NÃO (Contusion)
  • 98.
    Dập não Dậpnão kèm xuất huyết
  • 99.
    -Thường hình ảnhCT bình thường -Hoặc biểu hiện các nốt chảy máu nhỏ, rải rác -Vị trí : vùng ranh giới chất trắng-xám bán cầu, thể chai, cuống não sau-bên -MRI có giá trị trong chẩn đoán TỔN THƯƠNG TRỤC LAN TOẢ (Diffuse axonal injure/ Shear injury)
  • 100.
  • 101.
    -Đường đi củatác nhân -Xác định mức độ lan rộng (mảnh xương, mảnh đạn) -Vị trí mảnh đạn -Liên quan mạch máu TỔN THƯƠNG XUYÊN THẤU
  • 103.
    -Thoát vị dướiliềm (Subfalcial H.) -Thoát vị xuyên lều (Transtentorial H.) +Hướng lên +Hứơng xuống -Thoát vị hạnh nhân tiểu não (Tonsilar H.) THOÁT VỊ NÃO
  • 104.
  • 105.
    -Thoát vị dướiliềm: hồi đai qua dưới bờ tự do liềm não Đường giữa lệch. -Ép não thất cùng bên -Có thể rộng não thất đối bên -Nhồi máu động mạch não trước THOÁT VỊ DƯỚI LIỀM NÃO
  • 106.
  • 107.
    -Mỏm móc củahồi cạnh hải mã thoát vị qua khe lều tiểu não xuống dưới +Xoá bể trên yên +Rộng bể góc cầu tiểu não cùng bên THOÁT VỊ XUYÊN LỀU HƯỚNG XUỐNG
  • 108.
    -Do nhiều nguyênnhân -Hình ảnh +Xoá các rãnh não-bể não, não thất +Mất ranh giới chất trắng-xám PHÙ NÃO
  • 109.
    -Lớn xoang hang -Dãntĩnh mạch mắt trên DÒ ĐỘNG MẠCH CẢNH-XOANG HANG
  • 110.
    Tắc động mạchcảnh trong/ Chấn thương (Hình MSCT) Thực hiện trên máy MSCT-Chợ rẫy
  • 111.
    -Nhuyễn não (encephalomalacia) -Teonão (atrophy) -Tụ khí nội sọ -Dò dịch não tủy -Tổn thương thần kinh mặt -Đái tháo nhạt (Diabetes insipidus) DI CHỨNG CHẤN THƯƠNG SỌ NÃO
  • 112.
    Hình ảnh nhuyễnnão và teo não vùng chẩm (T) sau dập xuất huyết não 3 tháng trước
  • 113.
    Tóm lại: Tổnthương hay gặp?
  • 114.
    Tóm lại: Tổnthương hay gặp?
  • 115.
    Tóm lại: Tổnthương hay gặp?
  • 116.
    Đọc phim CTChấn thương sọ não ?
  • 117.
     Đường giữa Bất thường đậm độ, hình dáng hai bán cầu  Các bể não, rãnh não [bể trên yên (pentagon) bể củ não sinh tư (smile sign)]  Não thất (bên, IV) ĐÁNH GIÁ PHIM CT CHẤN THƯƠNG SỌ NÃO CẤP ? Có máu tụ-hiệu ứng choán chổ hay không?
  • 118.
    KẾT LUẬN  Hìnhảnh tổn thương CTSN trên CT đa dạng  CT rất có giá trị trong bệnh lý chấn thương sọ não: chẩn đoán, theo dõi, tiên lượng, kế hoạch điều trị (trước và sau phẫu thuật).
  • 119.