ThS.BS.PHAÏM ANH TUAÁN
BM Phẫu thuật Thaàn kinh-ÑHYD TPHCM
CHẤN THƢƠNG SỌ NÃO
02/05/2017 1
02/05/2017 2
Mục tiêu học tập:
1. Trình bày được các thương tổn trong chấn
thương sọ não.
2. Trình bày được cách khám và chẩn đoán bệnh
nhân chấn thương sọ não.
3. Trình bày được nguyên tắc điều trị bệnh nhân
chấn thương sọ não.
° CTSN laø nhöõng va
chaïm vaøo ñaàu ñuû maïnh
ñeå gaây thöông toån ôû
xöông soï vaø naõo.
° Laø nguyeân nhaân gaây töû
vong chính ôû caùc nöôùc
ñang phaùt trieån
I. ĐẠI CƢƠNG
02/05/2017 3
1. THÖÔNG TOÅN NGUYEÂN PHAÙT:
Laø thöông toån do CTSN ngay luùc xaûy ra tai naïn goàm :
 Vỡ xương sọ.
 Dập võ não
 Tổn thương sợi trục lan tỏa, dập thân não
I. ĐẠI CƢƠNG
02/05/2017 4
2. THÖÔNG TOÅN THÖÙ PHAÙT : xaûy ra sau tổn
thương nguyên phát goàm
 maùu tuï trong soï
 phù não
 thiếu máu não (do TALNS và hoặc choáng)
 co thắt mạch
02/05/2017 5
1. CHAÁN THÖÔNG SOÏ NAÕO HÔÛ
CTSN coù söï thoâng thöông giöõa caùc caáu truùc trong soï vôùi
moâi tröôøng beân ngoaøi;
Doø DNT trong caùc vôõ caùc saøn soï laø CTSN hôû duø da ñaàu khoâng
raùch
2. CHAÁN THÖÔNG SOÏ NAÕO KÍN
Khoâng coù söï thoâng thöông giöõa caùc caáu truùc trong soï vôùi
moâi tröôøng beân ngoaøi
MỘT SỐ TỔN THƢƠNG TRONG CTSN
02/05/2017 6
3. CHAÁN ÑOÄNG NAÕO
° Khoâng thaáy thöông toån treân CT.
° Coù theå coù luù laãn, maát trí nhôù hay maát yù thöùc ngaén
(< 6 h) (coù theå do roái loaïn taïm thôøi chöùc naêng thaàn kinh, hö
haïi söï töï ñieàu hoaø cuûa maïch maùu naõo)
4. DAÄP NAÕO
° Thöông toån teá baøo naõo keøm vôùi xuaát huyeát,
° Phuø khoâng coù hay coù ít aûnh höôûng khoái choaùn choå
treân CT
Daäp naõo thöôøng coù ôû vuøng saøn soï thuyø traùn, thaùi döông do naõo chaïm
vaøo caùc gôø xöông cuûa vuøng naøy.
02/05/2017 7
5. CHAÁN ÑOÄNG DOÄI
* Naõo bò toån thöông ôû phía ñoái dieän vôùi chaán ñoäng ngoaøi hoäp
soï
* Cô cheá taêng toác – giaûm toác cuûa naõo luùc di chuyeån, ñuïng,
doäi.
6. THÖÔNG TOÅN SÔÏI TRUÏC LAN TOAÛ
Toån thöông nguyeân phaùt cuûa söï taêng toác-giaûm toác trong
CTSN vôùi nhöõng oå xuaát huyeát nhoû ôû theå chai, thaân naõo (vi theå
coù toån thöông raûi raùc caùc sôïi truïc)
 laøm bn hoân meâ sau chaán thöông duø coù theå khoâng thöông
toån chieám choå treân CT.
02/05/2017 8
7. MAÙU TUÏ NGOAØI MAØNG CÖÙNG
- Maùu tuï naèm giöõa baûn
trong xöông soï vaø maøng
cöùng
- Thöôøng do raùch ñoäng
maïch maøng naõo
giöõa.
02/05/2017 9
02/05/2017 10
8. MAÙU TUÏ DÖÔÙI MAØNG CÖÙNG
- Maùu tuï naèm giöõa maët trong
maøng cöùng vaø voõ naõo
- Thöôøng do raùch caùc tónh maïch
caàu noái
02/05/2017 11
02/05/2017 12
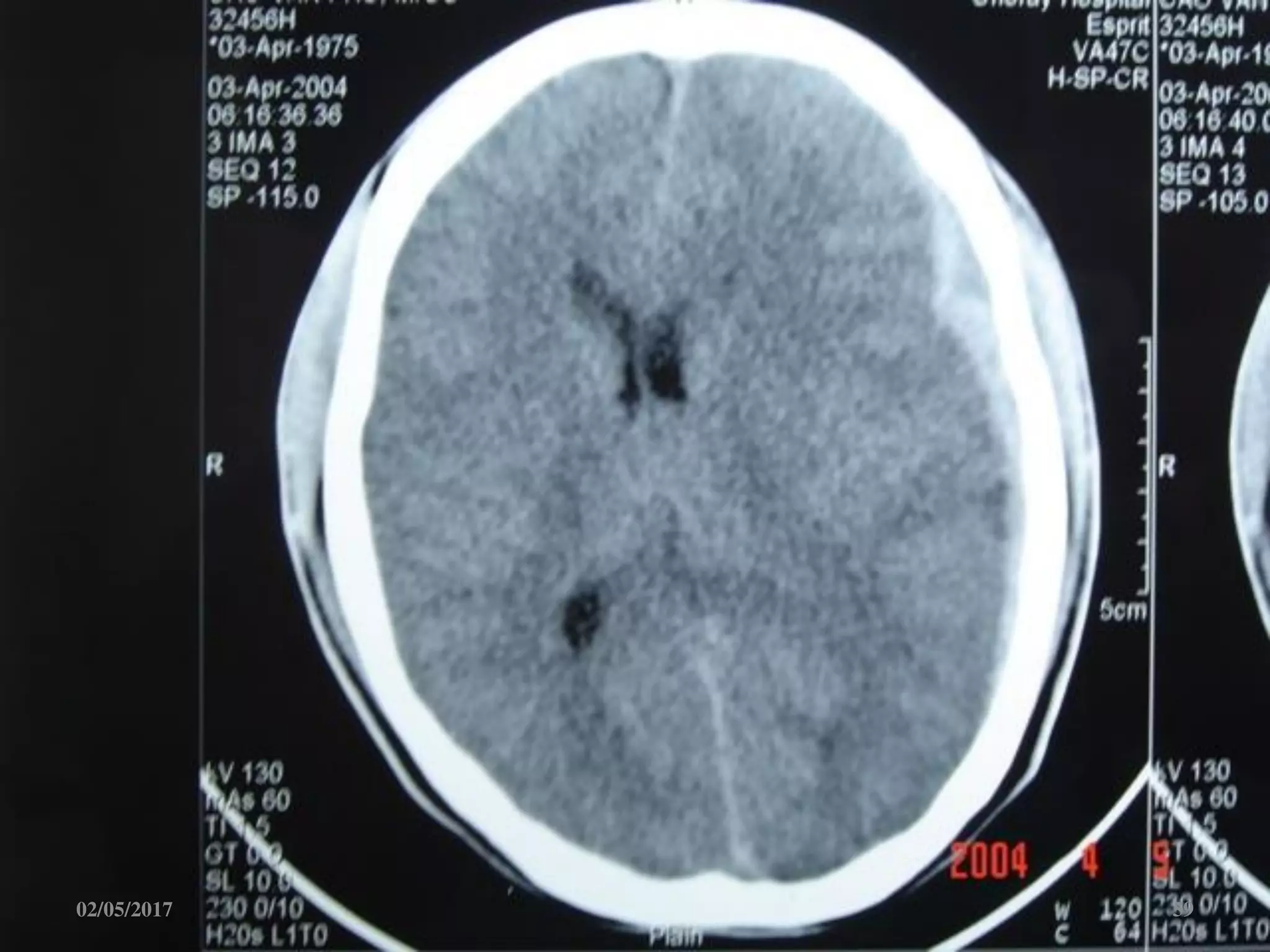
9. MAÙU TUÏ TRONG NAÕO
Maùu tuï trong moâ naõo
02/05/2017 13
II. KHÁM BỆNH NHÂN CTSN
02/05/2017 14
1. Bệnh sử:
- Loại tai nạn
- Cơ chế chấn thương
- Thời gian chấn thương
- Diễn tiến của tri giác - khoảng tỉnh
- Trí nhớ trước & sau chấn thương
- Ói mửa, động kinh sau chấn thương
02/05/2017 15
2. Tiền sử
 Thần kinh: động kinh, tâm thần…
 Tim mạch: CHA, loạn nhịp tim…
 Biến dưỡng: tiểu đường …
 Dùng thuốc: kháng đông, ức chế kết tập
tiểu cầu…
02/05/2017 16
Xem CTSN là đa chấn thƣơng
Khám lâm sàng
02/05/2017 17
1. Đường thở:
 Thông đường thở
 Lấy dị vật, răng giả, đàm nhớt
 Kéo lưỡi ra trước: Canule MAYO,
NKQ
02/05/2017 18
2. Cách thở:
• Đếm nhịp thở, kiểu thở
• Giúp thở: bóp bóng, thở máy…
02/05/2017 19
3. Tuần hoàn:
 Đếm mạch, đo huyết áp
 Tụt HA: truyền dịch điện giải, đại phân tử, máu,
không truyền đường
 CTSN đơn thuần hiếm khi gây choáng
 Cần tìm nguyên nhân: xuất huyết nội, vỡ xương
chậu
02/05/2017 20
KHÁM THẦN KINH
1. Các thƣơng tích vùng đầu-mặt
2. Dấu hiệu vỡ sàn sọ
3. Tri giác
4. Vận động chi
5. Vận động mắt và đáp ứng của đồng tử
6. Các dây thần kinh sọ khác
7. Chức năng thân não
02/05/2017 21
1. Các thƣơng tích vùng đầu-mặt
Rách da
Sƣng bầm
Lòi mô não
Lộ sọ
02/05/2017 22
02/05/2017 23
2. Vỡ sàn sọ
2.1. Dấu hiệu vỡ sàn sọ trƣớc
Chảy dịch não tủy qua mũi
Dấu kín râm
02/05/2017 24
2.2. Dấu hiệu vỡ sàn sọ giữa
Chảy DNT qua tai
Dấu bầm sau tai (Battle’sign)
02/05/2017 25
3. Đánh giá tri giác
02/05/2017 26
 Thang điểm Glasgow (GCS)
( Glasgow Coma Scale)
 Do Teasdale G & Jennet B - 1974
 Dựa vào: mắt, vận động, lời nói
 Thang điểm:
- Thấp nhất: 3 điểm
- Cao nhất: 15 điểm
02/05/2017 27
 Mở mắt (Eye opening)
• Tự nhiên: 4
• Với tiếng động: 3
• Với kích thích đau: 2
• Không mở mắt: 1
02/05/2017 28
02/05/2017 29
 Lời nói (Verbal Response)
• Trả lời tốt: 5
• Trả lời nhầm lẫn: 4
• Nói các từ vô nghĩa: 3
• Nói không thành tiếng: 2
• Không: 1
02/05/2017 30
 Vận động (Motor Response)
• Theo yêu cầu tốt: 6
• Phản ứng khi kích thích đau:
Chính xác: 5
Không chính xác: 4
• Gồng cứng mất võ: 3
• Duỗi cứng mất não: 2
• Không đáp ứng: 1
02/05/2017 31
02/05/2017 32
 Dựa vào GCS
chia CTSN thành 3 độ:
- Nhẹ: GCS từ 13 – 15 điểm
- Trung bình: 9 – 12 điểm
- Nặng: 3 – 8 điểm
02/05/2017 33
02/05/2017 34
Nguồn: Handbook of Neurosurgery, seventh Edition, 2010
PHAÂN LOAÏI MÖÙC ÑOÄ NAËNG CUÛA CTSN
a. Möùc ñoä Raát nheï :
- Glassgow = 15 + khoâng maát yù thöùc + khoâng maát trí nhôù
b. Möùc ñoä Nheï :
- Glassgow = 14
- hay Glassgow = 15 + maát yù thöùc ngaén < 5 phuùt hay maát trí nhôù
c. Möùc ñoä Trung bình :
- Glassgow 9 – 13
- Hay maát yù thöùc  5 phuùt
- Hay coù daáu thaàn kinh khu truù
d. Möùc ñoä Naëng : Glassgow 5 - 8
e. Möùc ñoä Nguy kòch : Glassgow 3 - 4
02/05/2017 35
4. Vận động chi
* Dấu yếu liệt ½
ngƣời
02/05/2017 36
5. Vận động mắt và đáp ứng của đồng tử
* Dấu dãn đồng tử
02/05/2017 37
6. Các dây TK sọ khác
 Liệt VII ngoại biên
 Mất thị lực, bán manh do tổn thương dây II
hoặc mù võ não do tổn thương thuỳ chẩm
 Đáy mắt: phù nề, xuất huyết võng mạc
02/05/2017 38
7. Khám chức năng thân não
 Phản xạ xoay mắt xoay đầu
 Phản xạ mắt búp bê
 Phản xạ mắt tiền đình
 Phản xạ nôn sặc
 Rung giật nhãn cầu: thường găp ở trẻ em
máu tụ hố sau.
02/05/2017 39
III. HÌNH AÛNH HOÏC
1. X- quang soï naõo
2. CT SCANS soï naõo khoâng caûn quang.
3. X- quang coät soáng
4. MRI soï naõo
5. Chuïp ñoäng maïch naõo.
02/05/2017 40
Neáu coù gaõy xöông  taêng khaû naêng toån thöông trong soï (#20 laàn)
Tuy nhieân, Xquang soï bình thöôøng vaãn coù toån thöông trong soï
(75%)
1. X QUANG SOÏ
02/05/2017 41
02/05/2017 42
2. Chụp cắt lớp điện toán
(CT Scan-Computerized Tomography Scan)
Tiêu chuẩn vàng trong chẩn đoán CTSN
02/05/2017 43
 Chỉ định
 GCS 15đ (đau đầu nhiều, ói)
 GCS ≤14 đ
 Dấu thần kinh khu trú (dãn đồng tử, liệt ½
người)
 Tri giác giảm
 Rối loạn tâm thần sau chấn thương
 Chảy DNT qua mũi, tai
02/05/2017 44
 Động kinh sau CTSN
 Nứt sọ trên X quang
 Vết thương sọ não
 Bn cần gây mê để làm thủ thuật cần theo dõi
CTSN
 Chụp kiểm tra sau mổ
Chụp theo dõi điều trị bảo tồn
02/05/2017 45
 Máu tụ ngoài màng cứng
• Khối choáng chổ
ngoài trục, khu trú
• Tăng đậm độ
• Hình 2 mặt lồi
• Không qua khớp sọ
• Kèm nứt sọ, dập não
• Chèn ép não gây tụt
não
02/05/2017 46
02/05/2017 47
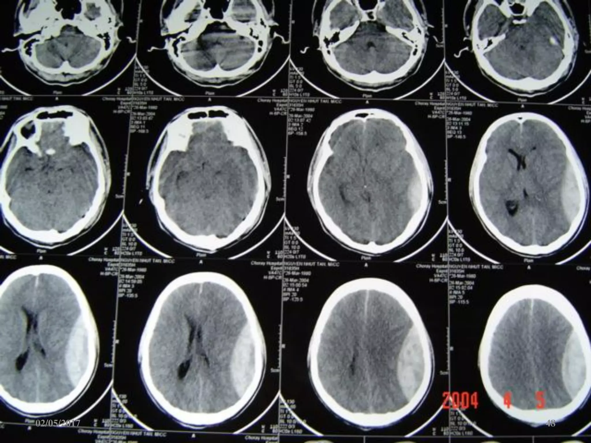
02/05/2017 48
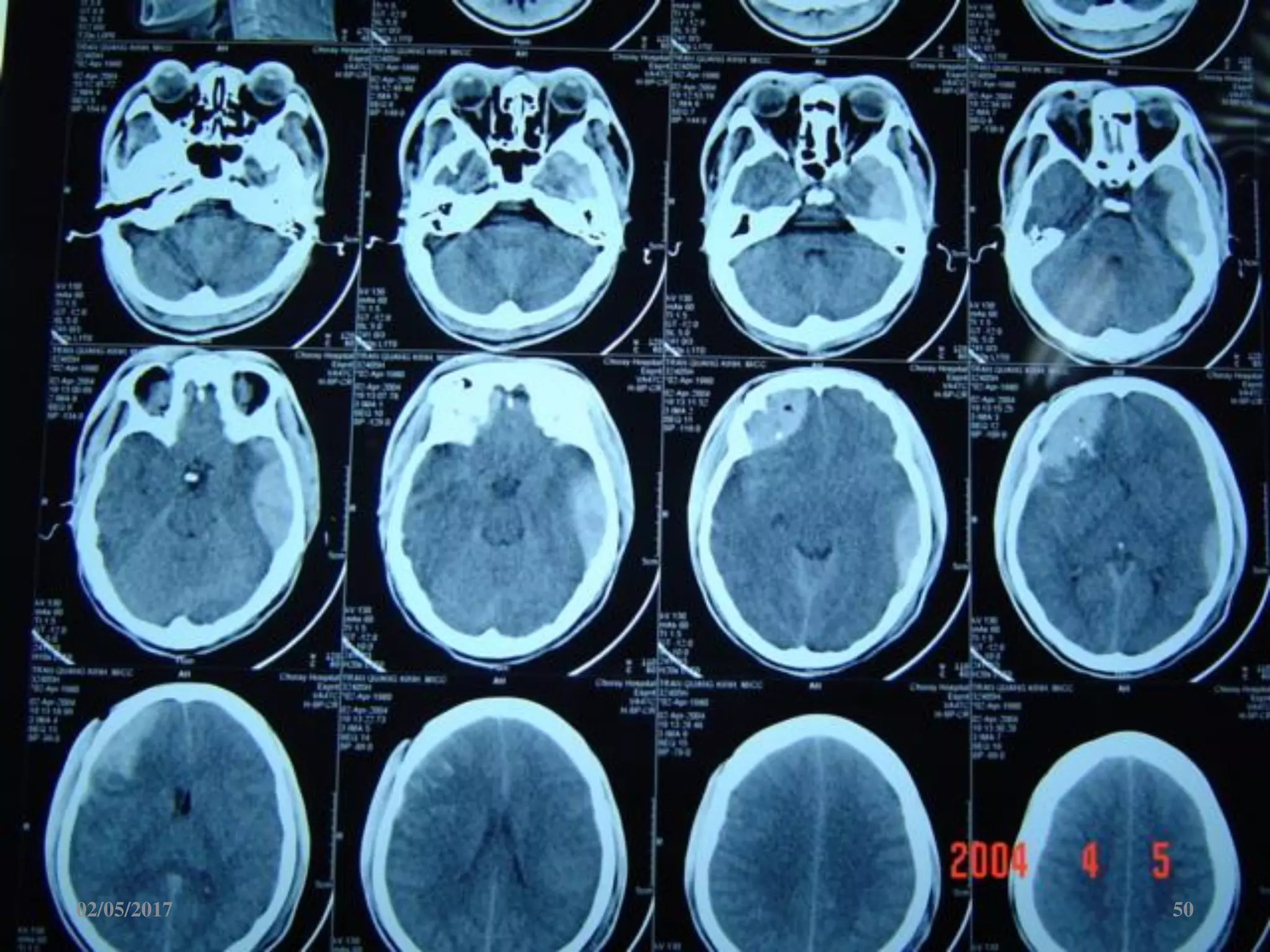
02/05/2017 49
02/05/2017 50
02/05/2017 51
02/05/2017 52
02/05/2017 53
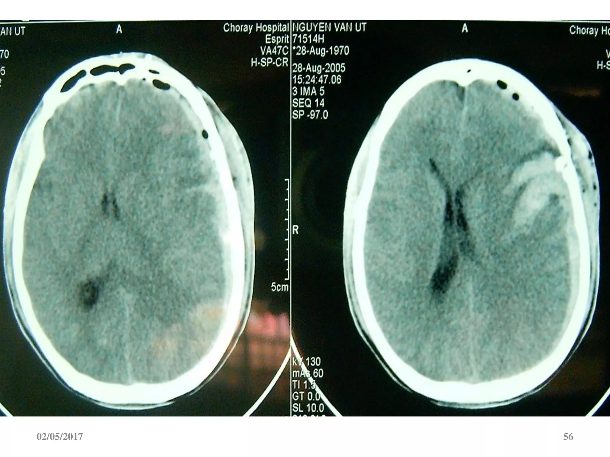
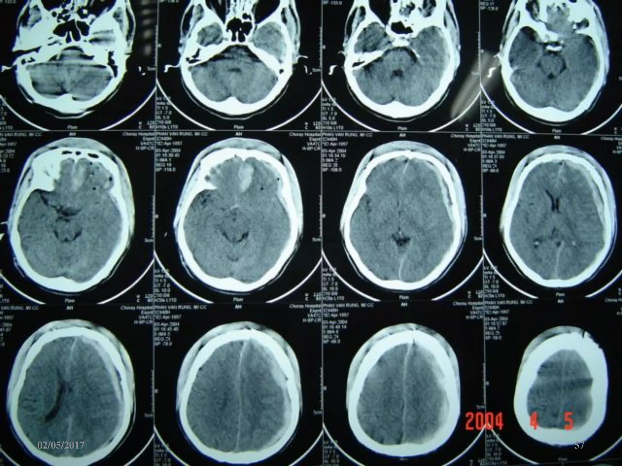
Máu tụ dưới màng cứng cấp
 Ngoài trục, hình liềm,
tăng đậm độ
 Vượt qua được các
khớp sọ
 Thường kèm dập não
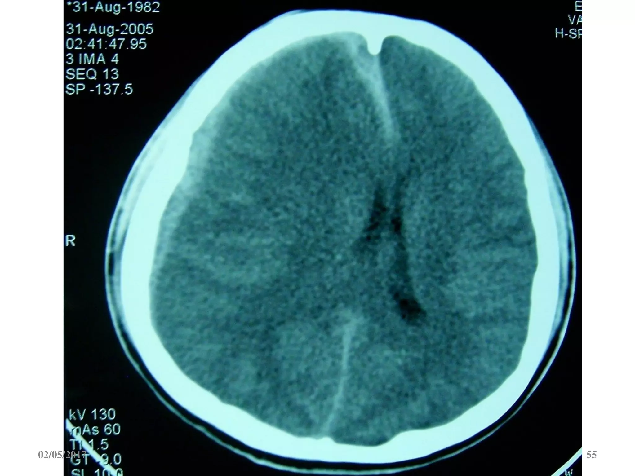
02/05/2017 54
02/05/2017 55
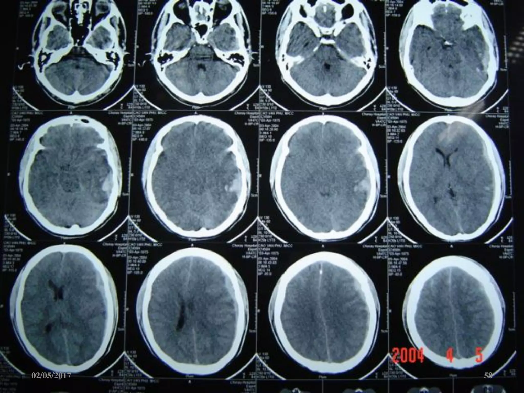
02/05/2017 56
02/05/2017 57
02/05/2017 58
02/05/2017 59
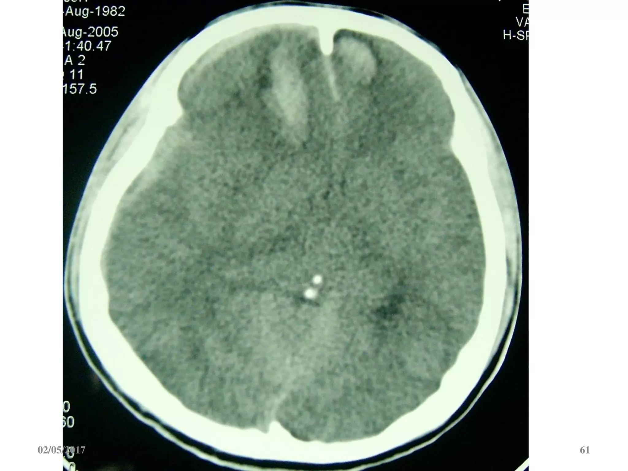
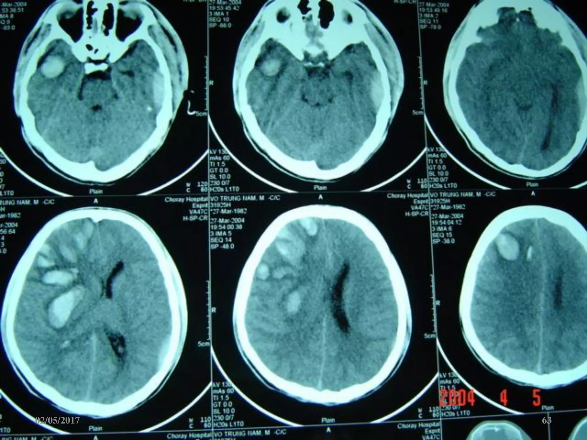
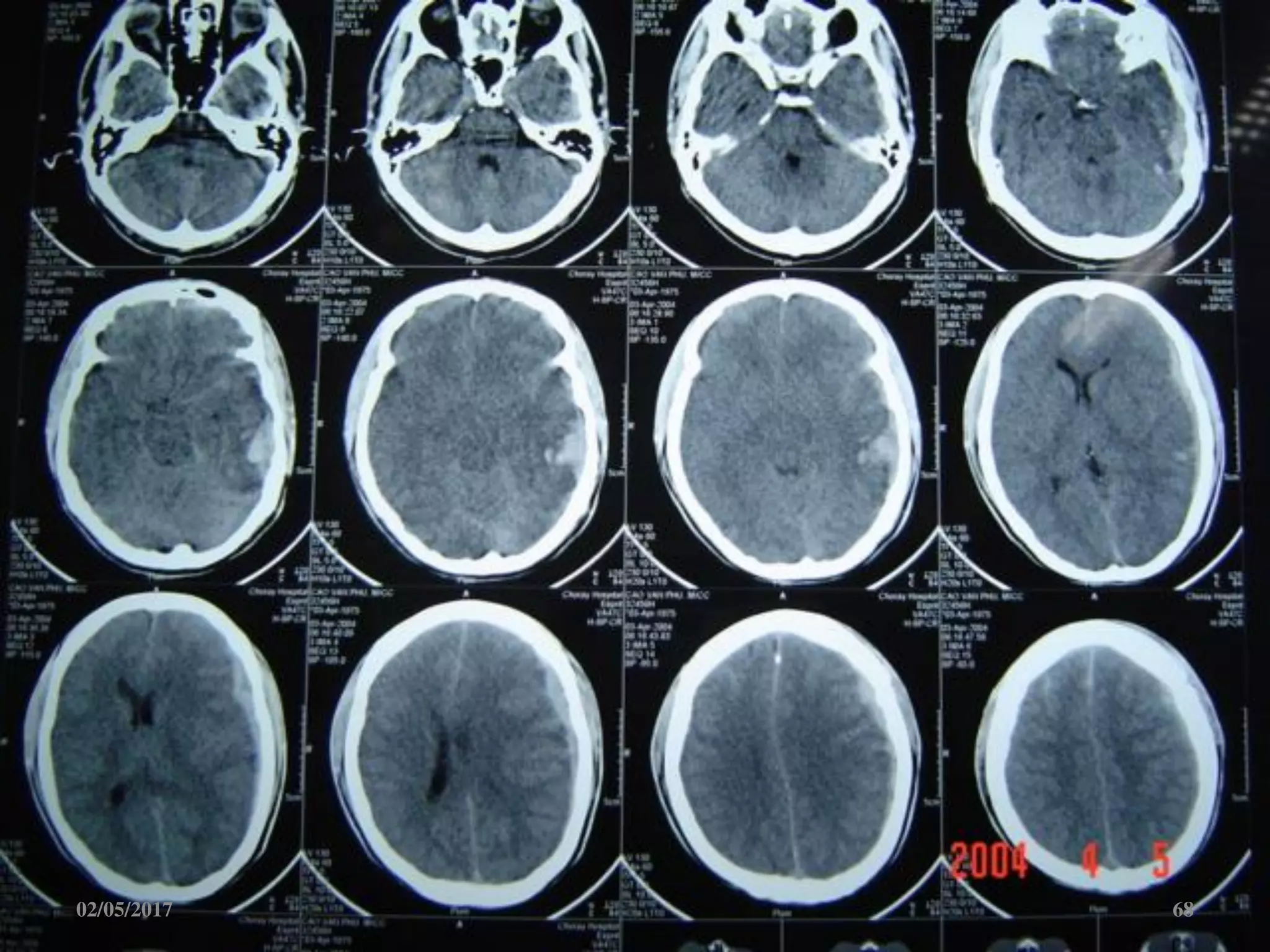
Máu tụ trong não
• Vị trí: trán, thái
dương, đỉnh, chẩm.
• Hình ảnh tăng đậm
độ trong tổ chức não
02/05/2017 60
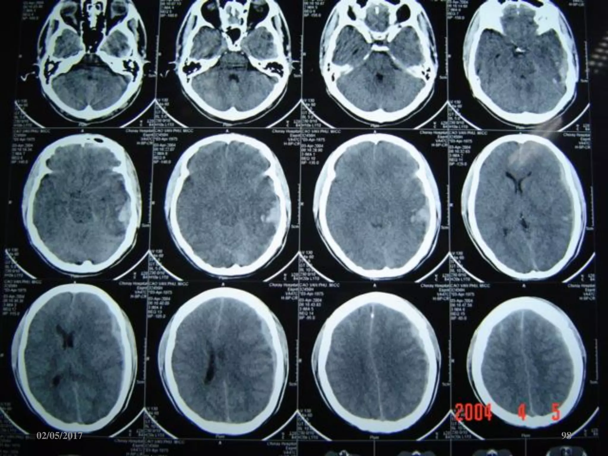
02/05/2017 61
02/05/2017 62
02/05/2017 63
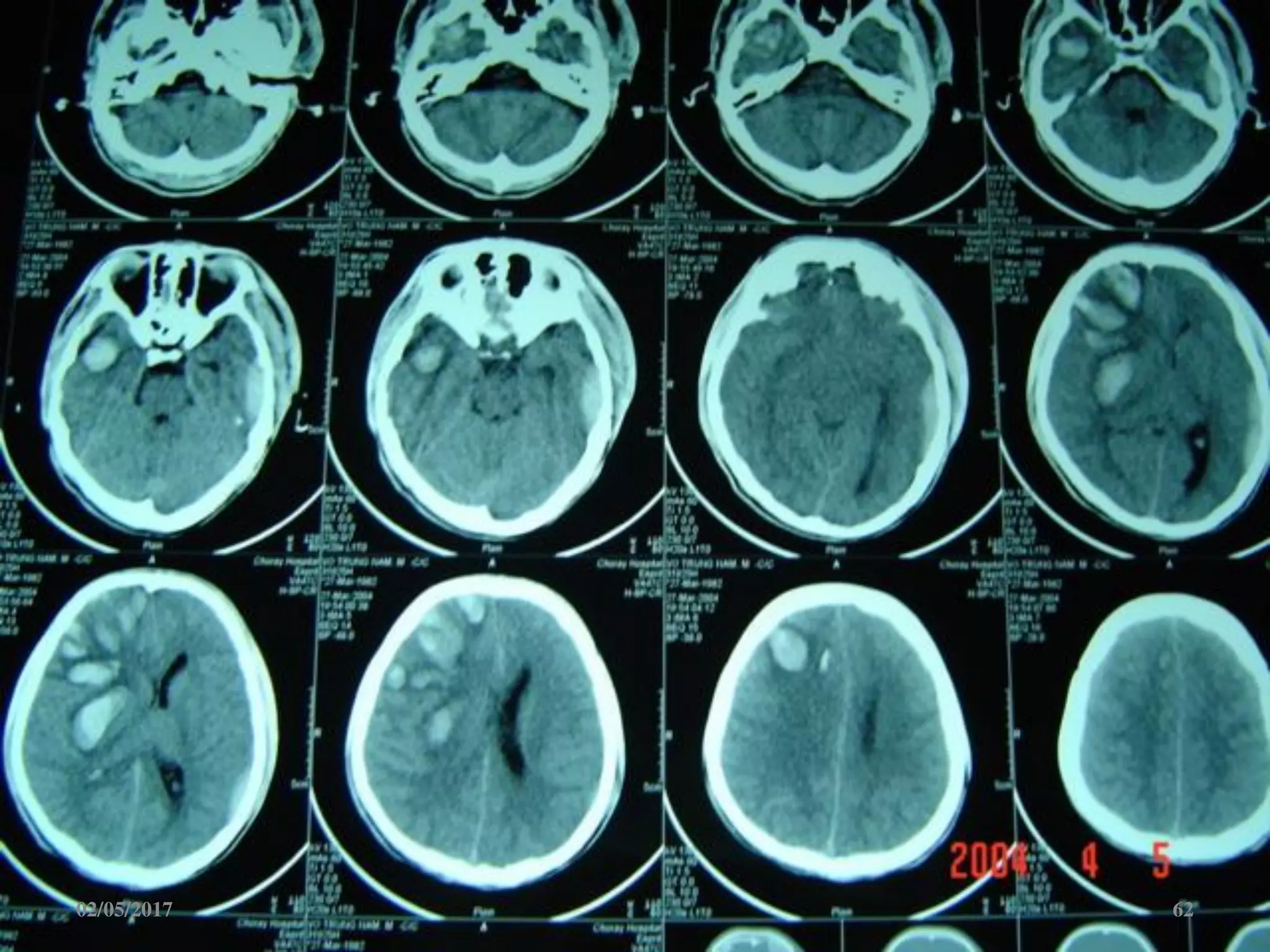
Xuất huyết dưới nhện
• Tăng đậm độ ở các
rãnh và bể não.
• Thường kèm với các
tổn thương khác
02/05/2017 64
Xuất huyết dƣới nhện kèm với máu tụ DMC
02/05/2017 65
Dập não
• Vị trí: hay gặp ở trán
và thái dương.
• Cùng bên hoặc đối
bên với vị trí tác động
trực tiếp.
• Hình ảnh giảm đậm
độ do phù khu trú lẫn
tăng đậm độ do xuất
huyết rãi rác
02/05/2017 66
Phù não
• Giảm đậm độ lan tỏa.
• Mất ranh giới chất
trắng-xám.
• Xóa các rãnh não-bể
não.
• Não thất 2 bên nhỏ.
02/05/2017 67
02/05/2017 68
* Nöùt soï daïng ñöôøng (hay gaëp
nhaát) ; ñöôøng saùng, maát lieân
tuïc ôû baûn soï
* Luùn soï
* Daõn khôùp soï
* Vôõ vuïn vaø vôõ phöùc taïp
Vôõ xöông :
02/05/2017 69
02/05/2017 70
Phân loại Định nghĩa Tỉ lệ tử vong
Chấn
thương lan
tỏa loại I
Không ghi nhận bất thường trong sọ 10%
Chấn
thương lan
tỏa loại II
Bể nền sọ hiện diện, đường giữa di lệch 0-
5mm và hoặc có những tổn thương có
đậm độ hiện diện
14%
Chấn
thương lan
tỏa loại III
Bể nền sọ bị chèn ép hoặc mất, đường
giữa di lệch 0-5mm, tổn thương có đậm
độ không cao hoặc hổn hợp > 25 cc
34%
Chấn
thương lan
tỏa loại IV
đường giữa di lệch >5mm, tổn thương có
đậm độ không cao hoặc hổn hợp > 25 cc
56%
Bảng phân loại mức độ chấn thương sọ não trên CT-Scanner
3. X QUANG COÄT SOÁNG
 Neân chuïp ñeå laøm roõ bn CTSN coù toån thöông ôû coät soáng
coå (chuïp töø C1-T1).
 Coät soáng thaét löng ñöôïc chuïp döïa vaøo nhöõng daáu hieäu
laâm saøng vaø cô cheá chaán thöông.
4. MRI
• Thöôøng khoâng thích hôïp trong CTSN caáp (ít duøng)
• Coù theå giuùp ích trong thôøi gian sau nhö ñeå ñaùnh giaù
chaán thöông thaân naõo, nhöõng thay ñoåi nhoû trong chaát
traéng (nhö nhöõng ñoám xuaát huyeát nhoû trong toán
thöông sôïi truïc raûi raùc).
02/05/2017 71
Caùc löïc xoay, taêng hoaëc giaûm toác ñoä ñoät
ngoät gaây keùo caêng vaø xeù raùch sôïi
truïc
Thöôøng toån thöông 2 beân, lan toaû
Tæ leä töû vong cao
CT : ñaàu tieân thöôøng bình thöôøng,
CT chuïp chaäm hôn (48-72 h) thöôøng phaùt
hieän theâm toån thöông laø caùc noát xuaát
huyeát nhoû ôû ranh giôùi chaát xaùm –
traéng, theå chai, cuoáng naõo
hay coù theå bieåu hieän nhö : maát ranh giôùi
chaát traéng-xaùm, heïp xoaù caùc beå naõo,
naõo thaát, phuø lan toaû.
Toån thöông truïc lan toaû :
Toån thöông truïc lan toaû naëng ôû
chaát traéng, theå chai.
02/05/2017 72
 Giuùp ích trong tröôøng hôïp khoâng coù CT
 Giuùp ích cho nhöõng chaán thöông xuyeân thaáu nhö dao, teân, phi tieâu..
5. MAÏCH NAÕO ÑOÀ
:
02/05/2017 73
IV. THEO DÕI VÀ ĐiỀU TRỊ
02/05/2017 74
Nhöõng dấu hiệu nguy cô thaáp cuûa thöông toån
trong soï
• Khoâng coù trieäu chöùng
• Đau đầu
• Choùng maët
• Khoái tuï maùu ôû da daàu, veát raùch ôû da ñaàu, veát giaäp,
hoaëc traày da.
• Khoâng coù nhöõng tieâu chí nguy cô cao hoaëc trung
bình
02/05/2017 75
Nhöõng dấu hiệu nguy cô trung bình cuûa
thöông toån trong soï
• Thay ñoåi hoaëc maát yù thöùc hoaëc sau chaán thöông
• Ñau ñaàu tieán trieån
• Coù tình traïng say röôïu
• Ñoäng kinh sau chaán thöông
• Coù beänh söû khoâng tin caäy ñöôïc hoaëc khoâng ñuû
• Nhoû hôn 2 tuoåi (tröø chaán thöông khoâng ñaùng keå)
02/05/2017 76
Nhöõng dấu hiệu nguy cô trung bình cuûa
thöông toån trong soï
• Oùi
• Maát trí nhôù sau chaán thöông
• Coù daáu hieäu vôõ saøn soï
• Ña chaán thöông
• Chaán thöông vuøng maët nghieâm troïng
• Coù theå coù veát thöông soï naõo hoaëc luùn soï
• Laïm duïng treû em (child abuse) ñaùng ngôø
• Söng baàm döôùi da ñaàu nghieâm troïng02/05/2017 77
Nhöõng dấu hiệu nguy cô cao cuûa
thöông toån trong soï
• Möùc yù thöùc giaûm khoâng roõ do ngoä ñoäc röôïu, thuoác
phieän roái loaïn chuyeån hoaù
• Daáu thaàn kinh khu truù
• Möùc ñoä yù thöùc giaûm daàn
• Chaán thöông soï xuyeân thaáu hoaëc luùn soï
02/05/2017 78
Nhöõng tieâu chí cho vieäc theo doõi taïi nhaø
• CT soï bình thöôøng
• GCS luùc ñaàu  14
• Khoâng coù daáu hieäu nguy cô cao
• Khoâng coù daáu hieäu nguy cô trung bình ngoaïi tröø maát yù
thöùc
• Beänh nhaân hieän ñang khoâng coù daáu thaàn kinh
• Coù moät ngöôøi lôùn tænh taùo vaø coù traùch nhieäm coù theå theo
doõi beänh nhaân
• Bn coù khaû naêng trôû laïi beänh vieän ngay khi caàn thieát.
• Khoâng coù nhöõng tình huoáng phöùc taïp (nhö khoâng coù
nghi ngôø veà baïo löïc trong gia ñình, keå caû laïm duïng treû
em)02/05/2017 79
CTSN nhẹ
( GCS ≥ 14 )
 Nằm đầu cao 30 - 45 độ
 Theo dõi dấu thần kinh mỗi 2 giờ
 Truyền dịch đẳng trương 75 ml/ giờ
 Giảm đau nhẹ
 Chống nôn
 Không cho ăn uống tới tỉnh, sau đó cho ăn lỏng
02/05/2017 80
CTSN trung bình
(GCS 9 – 13)
 Y lệnh như loại nhẹ
 Cho nhập săn sóc đặc biệt nếu CT-Scan có dập
não, xuất huyết
 Tri giác không cãi thiện, cần chụp CT-Scan lại
sau 12 giờ
02/05/2017 81
CTSN nặng
(GCS 3- 8)
 Hồi sức hô hấp tuần hoàn
 Duy trì HA>90 mmHg: dịch, máu
 PaO2 >60 mmHg: thở Oxy liều cao
 Đặt nội khí quản
 Đặt sonde tiểu, sonde dạ dày
 Monitoring ICP
02/05/2017 82
Nhöõng vaán ñeà caàn löu yù:
 Neân duy trì :
 HA taâm thu > 90 mmHg
 PaO2 > 60 mmHg
 Ñaët noäi khí quaûn :
 Ñieåm Glassgow ≤8
 Gaõy naëng xöông haøm maët
 Khoâng ñaët noäi khí quaûn ñöôøng muõi khí quaûn khi nghi vôõ saøn soï
 Söû duïng Manitol :
 Coù daáu tuït naõo
 Coù daáu hieäu aûnh höôûng khoái choaùn choå treân laâm saøng
 Daáu taêng aùp löïc noäi soï treân CT naõo
 Chöùc naêng thaân naõo khoâng hoaït ñoäng02/05/2017 83
Một số chỉ định mổ
Thể tích khối máu tụ > 40 ml
 Máu tụ DMC dày > 5mm, đẩy lệch đường giữa > 5 mm
 Giãn não thất cấp
 Lún sọ hở
 Lún sọ kín hơn bề dày 1 bản sọ
Vết thương sọ não
 Máu tụ hố sau gây chèn ép não thất 4.
 Máu tụ trong não, dập não đẩy lệch đường giữa >5 mm
 Mở sọ giải áp: khi tăng áp lực nội sọ không kiểm soát
02/05/2017 84
02/05/2017 85
MÁU TỤ NGOÀI MÀNG CỨNG
Chỉ định mổ:
1. Thể tích máu tụ >30cm3
2. Bề dày máu tụ >15 mm, di lệch đƣờng giữa >5
mm
3. Máu tụ hố sau: xóa mất, đẩy lệch não thất 4
* Thời điểm phẫu thuật: càng sớm càng tốt ngay
sau khi có chẩn đoán
* V=a x b x c/2 (cm3)
Neurosurgery 58:S2-16-S2-24, 2006
02/05/2017 86
Nguồn: Handbook of Neurosurgery, seventh Edition, 2010
02/05/2017 87
Nguồn: Handbook of Neurosurgery, seventh Edition, 2010
02/05/2017 88
02/05/2017 89
02/05/2017 90
02/05/2017 91
02/05/2017 92
02/05/2017 93
An acute subdural hematoma (SDH) with a
thickness greater than 10 mm or a midline
shift greater than 5 mm on computed
tomographic (CT) scan should be surgically
evacuated, regardless of the patient’s
Glasgow Coma Scale (GCS) score
Neurosurgery 58:S2-16-S2-24, 2006
1. Bề dầy máu tụ >10mm hoặc di lệch đường
giữa >5 mm trên CT, nên mổ bất kể điểm GCS
02/05/2017 94
A comatose patient (GCS score less than 9) with an SDH less than
10-mm thick and a midline shift less than 5mm should undergo
surgical evacuation of the lesion if the GCS score decreased
between the time of injury and hospital admission by 2 or more
points on the GCS and/or the patient presents with asymmetric or
fixed and dilated pupils and/or the ICP exceeds 20 mm Hg.
2. Một bn hôn mê (GCS≤ 9), có máu tụ DMC với bề dầy
<10 mm và đường giữa lệch <5mm nên tiến hành phẫu
thuật lấy máu tụ nếu:
- GCS giảm 2 điểm hoặc hơn từ lúc chấn thương đến lúc
nhập viện
- và hoặc đồng tử dãn
- và hoặc ICP >20 mm Hg
Neurosurgery 58:S2-16-S2-24, 2006
02/05/2017 95
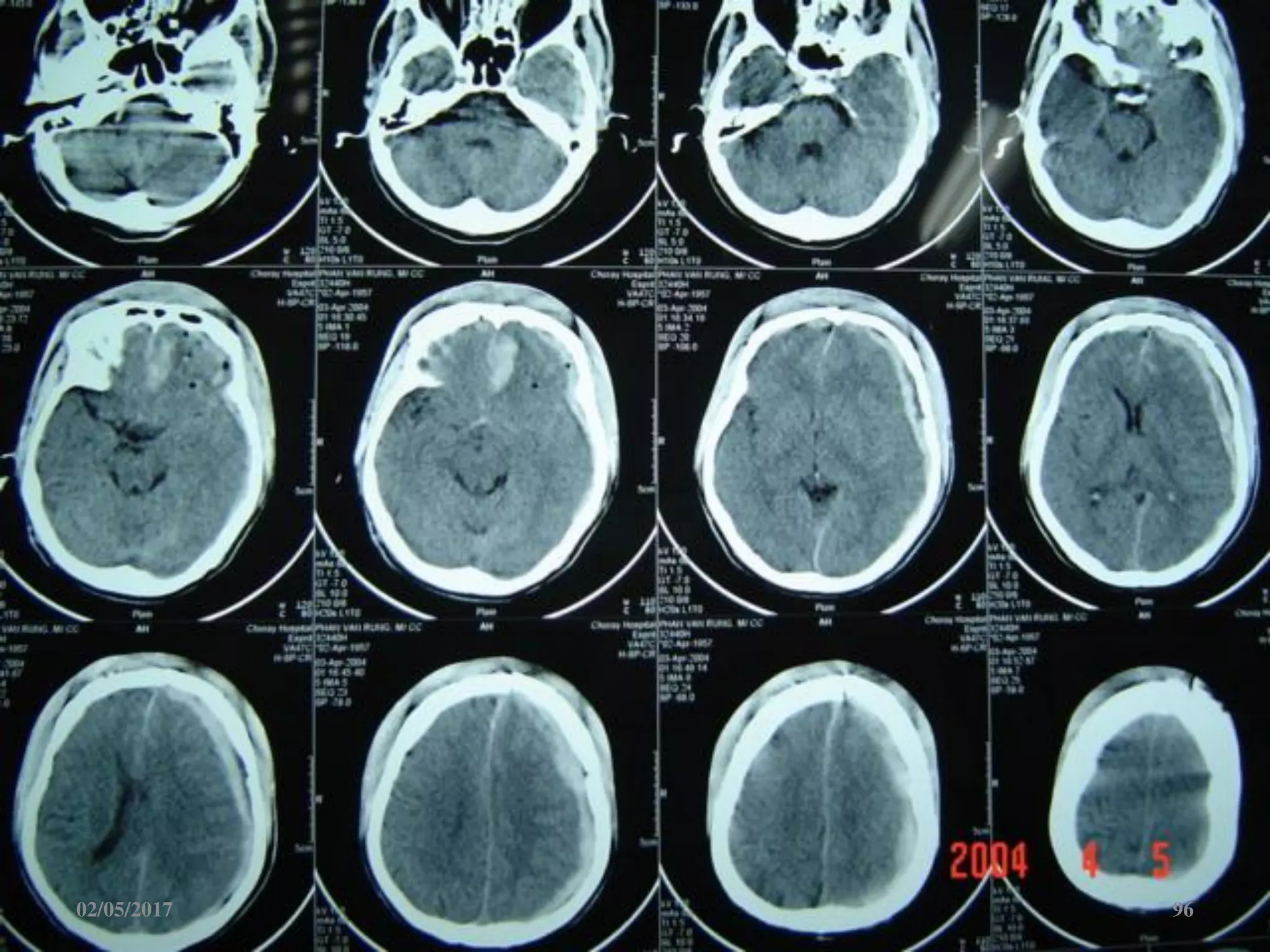
Nguồn: Handbook of Neurosurgery, seventh Edition, 2010
02/05/2017 96
02/05/2017 97
02/05/2017 98
02/05/2017 99
V. DI CHỨNG
 Liệt thần kinh
 Rối loạn tâm thần
 Động kinh
 Dò ĐM cảnh- xoang hang, dò động tĩnh mạch
màng cứng
 Hội chứng sau chấn động não: nhức đầu,
chóng mặt, rối loạn tâm thần, khó tập
trung,mệt mõi, trầm cảm..
02/05/2017 100
02/05/2017 101
TÀI LIỆU THAM KHẢO
1. Phẫu thuật Thần kinh-NXB Y học 2013
2. Handbook of Neurosurgery, seventh Edition, 2010
02/05/2017 102
Contact:
ThS.BS.Phạm Anh Tuấn
Giảng viên Đại học Y dược TPHCM
Trưởng khoa Ngoại Thần kinh Bv Nguyễn Tri Phương
Moblie: 0989031007
E-mail: tuandoctor2000@gmail.com
The end
02/05/2017 103

CHẤN THƯƠNG SỌ NÃO

  • 1.
    ThS.BS.PHAÏM ANH TUAÁN BMPhẫu thuật Thaàn kinh-ÑHYD TPHCM CHẤN THƢƠNG SỌ NÃO 02/05/2017 1
  • 2.
    02/05/2017 2 Mục tiêuhọc tập: 1. Trình bày được các thương tổn trong chấn thương sọ não. 2. Trình bày được cách khám và chẩn đoán bệnh nhân chấn thương sọ não. 3. Trình bày được nguyên tắc điều trị bệnh nhân chấn thương sọ não.
  • 3.
    ° CTSN laønhöõng va chaïm vaøo ñaàu ñuû maïnh ñeå gaây thöông toån ôû xöông soï vaø naõo. ° Laø nguyeân nhaân gaây töû vong chính ôû caùc nöôùc ñang phaùt trieån I. ĐẠI CƢƠNG 02/05/2017 3
  • 4.
    1. THÖÔNG TOÅNNGUYEÂN PHAÙT: Laø thöông toån do CTSN ngay luùc xaûy ra tai naïn goàm :  Vỡ xương sọ.  Dập võ não  Tổn thương sợi trục lan tỏa, dập thân não I. ĐẠI CƢƠNG 02/05/2017 4
  • 5.
    2. THÖÔNG TOÅNTHÖÙ PHAÙT : xaûy ra sau tổn thương nguyên phát goàm  maùu tuï trong soï  phù não  thiếu máu não (do TALNS và hoặc choáng)  co thắt mạch 02/05/2017 5
  • 6.
    1. CHAÁN THÖÔNGSOÏ NAÕO HÔÛ CTSN coù söï thoâng thöông giöõa caùc caáu truùc trong soï vôùi moâi tröôøng beân ngoaøi; Doø DNT trong caùc vôõ caùc saøn soï laø CTSN hôû duø da ñaàu khoâng raùch 2. CHAÁN THÖÔNG SOÏ NAÕO KÍN Khoâng coù söï thoâng thöông giöõa caùc caáu truùc trong soï vôùi moâi tröôøng beân ngoaøi MỘT SỐ TỔN THƢƠNG TRONG CTSN 02/05/2017 6
  • 7.
    3. CHAÁN ÑOÄNGNAÕO ° Khoâng thaáy thöông toån treân CT. ° Coù theå coù luù laãn, maát trí nhôù hay maát yù thöùc ngaén (< 6 h) (coù theå do roái loaïn taïm thôøi chöùc naêng thaàn kinh, hö haïi söï töï ñieàu hoaø cuûa maïch maùu naõo) 4. DAÄP NAÕO ° Thöông toån teá baøo naõo keøm vôùi xuaát huyeát, ° Phuø khoâng coù hay coù ít aûnh höôûng khoái choaùn choå treân CT Daäp naõo thöôøng coù ôû vuøng saøn soï thuyø traùn, thaùi döông do naõo chaïm vaøo caùc gôø xöông cuûa vuøng naøy. 02/05/2017 7
  • 8.
    5. CHAÁN ÑOÄNGDOÄI * Naõo bò toån thöông ôû phía ñoái dieän vôùi chaán ñoäng ngoaøi hoäp soï * Cô cheá taêng toác – giaûm toác cuûa naõo luùc di chuyeån, ñuïng, doäi. 6. THÖÔNG TOÅN SÔÏI TRUÏC LAN TOAÛ Toån thöông nguyeân phaùt cuûa söï taêng toác-giaûm toác trong CTSN vôùi nhöõng oå xuaát huyeát nhoû ôû theå chai, thaân naõo (vi theå coù toån thöông raûi raùc caùc sôïi truïc)  laøm bn hoân meâ sau chaán thöông duø coù theå khoâng thöông toån chieám choå treân CT. 02/05/2017 8
  • 9.
    7. MAÙU TUÏNGOAØI MAØNG CÖÙNG - Maùu tuï naèm giöõa baûn trong xöông soï vaø maøng cöùng - Thöôøng do raùch ñoäng maïch maøng naõo giöõa. 02/05/2017 9
  • 10.
  • 11.
    8. MAÙU TUÏDÖÔÙI MAØNG CÖÙNG - Maùu tuï naèm giöõa maët trong maøng cöùng vaø voõ naõo - Thöôøng do raùch caùc tónh maïch caàu noái 02/05/2017 11
  • 12.
  • 13.
    9. MAÙU TUÏTRONG NAÕO Maùu tuï trong moâ naõo 02/05/2017 13
  • 14.
    II. KHÁM BỆNHNHÂN CTSN 02/05/2017 14
  • 15.
    1. Bệnh sử: -Loại tai nạn - Cơ chế chấn thương - Thời gian chấn thương - Diễn tiến của tri giác - khoảng tỉnh - Trí nhớ trước & sau chấn thương - Ói mửa, động kinh sau chấn thương 02/05/2017 15
  • 16.
    2. Tiền sử Thần kinh: động kinh, tâm thần…  Tim mạch: CHA, loạn nhịp tim…  Biến dưỡng: tiểu đường …  Dùng thuốc: kháng đông, ức chế kết tập tiểu cầu… 02/05/2017 16
  • 17.
    Xem CTSN làđa chấn thƣơng Khám lâm sàng 02/05/2017 17
  • 18.
    1. Đường thở: Thông đường thở  Lấy dị vật, răng giả, đàm nhớt  Kéo lưỡi ra trước: Canule MAYO, NKQ 02/05/2017 18
  • 19.
    2. Cách thở: •Đếm nhịp thở, kiểu thở • Giúp thở: bóp bóng, thở máy… 02/05/2017 19
  • 20.
    3. Tuần hoàn: Đếm mạch, đo huyết áp  Tụt HA: truyền dịch điện giải, đại phân tử, máu, không truyền đường  CTSN đơn thuần hiếm khi gây choáng  Cần tìm nguyên nhân: xuất huyết nội, vỡ xương chậu 02/05/2017 20
  • 21.
    KHÁM THẦN KINH 1.Các thƣơng tích vùng đầu-mặt 2. Dấu hiệu vỡ sàn sọ 3. Tri giác 4. Vận động chi 5. Vận động mắt và đáp ứng của đồng tử 6. Các dây thần kinh sọ khác 7. Chức năng thân não 02/05/2017 21
  • 22.
    1. Các thƣơngtích vùng đầu-mặt Rách da Sƣng bầm Lòi mô não Lộ sọ 02/05/2017 22
  • 23.
  • 24.
    2.1. Dấu hiệuvỡ sàn sọ trƣớc Chảy dịch não tủy qua mũi Dấu kín râm 02/05/2017 24
  • 25.
    2.2. Dấu hiệuvỡ sàn sọ giữa Chảy DNT qua tai Dấu bầm sau tai (Battle’sign) 02/05/2017 25
  • 26.
    3. Đánh giátri giác 02/05/2017 26
  • 27.
     Thang điểmGlasgow (GCS) ( Glasgow Coma Scale)  Do Teasdale G & Jennet B - 1974  Dựa vào: mắt, vận động, lời nói  Thang điểm: - Thấp nhất: 3 điểm - Cao nhất: 15 điểm 02/05/2017 27
  • 28.
     Mở mắt(Eye opening) • Tự nhiên: 4 • Với tiếng động: 3 • Với kích thích đau: 2 • Không mở mắt: 1 02/05/2017 28
  • 29.
  • 30.
     Lời nói(Verbal Response) • Trả lời tốt: 5 • Trả lời nhầm lẫn: 4 • Nói các từ vô nghĩa: 3 • Nói không thành tiếng: 2 • Không: 1 02/05/2017 30
  • 31.
     Vận động(Motor Response) • Theo yêu cầu tốt: 6 • Phản ứng khi kích thích đau: Chính xác: 5 Không chính xác: 4 • Gồng cứng mất võ: 3 • Duỗi cứng mất não: 2 • Không đáp ứng: 1 02/05/2017 31
  • 32.
  • 33.
     Dựa vàoGCS chia CTSN thành 3 độ: - Nhẹ: GCS từ 13 – 15 điểm - Trung bình: 9 – 12 điểm - Nặng: 3 – 8 điểm 02/05/2017 33
  • 34.
    02/05/2017 34 Nguồn: Handbookof Neurosurgery, seventh Edition, 2010
  • 35.
    PHAÂN LOAÏI MÖÙCÑOÄ NAËNG CUÛA CTSN a. Möùc ñoä Raát nheï : - Glassgow = 15 + khoâng maát yù thöùc + khoâng maát trí nhôù b. Möùc ñoä Nheï : - Glassgow = 14 - hay Glassgow = 15 + maát yù thöùc ngaén < 5 phuùt hay maát trí nhôù c. Möùc ñoä Trung bình : - Glassgow 9 – 13 - Hay maát yù thöùc  5 phuùt - Hay coù daáu thaàn kinh khu truù d. Möùc ñoä Naëng : Glassgow 5 - 8 e. Möùc ñoä Nguy kòch : Glassgow 3 - 4 02/05/2017 35
  • 36.
    4. Vận độngchi * Dấu yếu liệt ½ ngƣời 02/05/2017 36
  • 37.
    5. Vận độngmắt và đáp ứng của đồng tử * Dấu dãn đồng tử 02/05/2017 37
  • 38.
    6. Các dâyTK sọ khác  Liệt VII ngoại biên  Mất thị lực, bán manh do tổn thương dây II hoặc mù võ não do tổn thương thuỳ chẩm  Đáy mắt: phù nề, xuất huyết võng mạc 02/05/2017 38
  • 39.
    7. Khám chứcnăng thân não  Phản xạ xoay mắt xoay đầu  Phản xạ mắt búp bê  Phản xạ mắt tiền đình  Phản xạ nôn sặc  Rung giật nhãn cầu: thường găp ở trẻ em máu tụ hố sau. 02/05/2017 39
  • 40.
    III. HÌNH AÛNHHOÏC 1. X- quang soï naõo 2. CT SCANS soï naõo khoâng caûn quang. 3. X- quang coät soáng 4. MRI soï naõo 5. Chuïp ñoäng maïch naõo. 02/05/2017 40
  • 41.
    Neáu coù gaõyxöông  taêng khaû naêng toån thöông trong soï (#20 laàn) Tuy nhieân, Xquang soï bình thöôøng vaãn coù toån thöông trong soï (75%) 1. X QUANG SOÏ 02/05/2017 41
  • 42.
  • 43.
    2. Chụp cắtlớp điện toán (CT Scan-Computerized Tomography Scan) Tiêu chuẩn vàng trong chẩn đoán CTSN 02/05/2017 43
  • 44.
     Chỉ định GCS 15đ (đau đầu nhiều, ói)  GCS ≤14 đ  Dấu thần kinh khu trú (dãn đồng tử, liệt ½ người)  Tri giác giảm  Rối loạn tâm thần sau chấn thương  Chảy DNT qua mũi, tai 02/05/2017 44
  • 45.
     Động kinhsau CTSN  Nứt sọ trên X quang  Vết thương sọ não  Bn cần gây mê để làm thủ thuật cần theo dõi CTSN  Chụp kiểm tra sau mổ Chụp theo dõi điều trị bảo tồn 02/05/2017 45
  • 46.
     Máu tụngoài màng cứng • Khối choáng chổ ngoài trục, khu trú • Tăng đậm độ • Hình 2 mặt lồi • Không qua khớp sọ • Kèm nứt sọ, dập não • Chèn ép não gây tụt não 02/05/2017 46
  • 47.
  • 48.
  • 49.
  • 50.
  • 51.
  • 52.
  • 53.
  • 54.
    Máu tụ dướimàng cứng cấp  Ngoài trục, hình liềm, tăng đậm độ  Vượt qua được các khớp sọ  Thường kèm dập não 02/05/2017 54
  • 55.
  • 56.
  • 57.
  • 58.
  • 59.
  • 60.
    Máu tụ trongnão • Vị trí: trán, thái dương, đỉnh, chẩm. • Hình ảnh tăng đậm độ trong tổ chức não 02/05/2017 60
  • 61.
  • 62.
  • 63.
  • 64.
    Xuất huyết dướinhện • Tăng đậm độ ở các rãnh và bể não. • Thường kèm với các tổn thương khác 02/05/2017 64
  • 65.
    Xuất huyết dƣớinhện kèm với máu tụ DMC 02/05/2017 65
  • 66.
    Dập não • Vịtrí: hay gặp ở trán và thái dương. • Cùng bên hoặc đối bên với vị trí tác động trực tiếp. • Hình ảnh giảm đậm độ do phù khu trú lẫn tăng đậm độ do xuất huyết rãi rác 02/05/2017 66
  • 67.
    Phù não • Giảmđậm độ lan tỏa. • Mất ranh giới chất trắng-xám. • Xóa các rãnh não-bể não. • Não thất 2 bên nhỏ. 02/05/2017 67
  • 68.
  • 69.
    * Nöùt soïdaïng ñöôøng (hay gaëp nhaát) ; ñöôøng saùng, maát lieân tuïc ôû baûn soï * Luùn soï * Daõn khôùp soï * Vôõ vuïn vaø vôõ phöùc taïp Vôõ xöông : 02/05/2017 69
  • 70.
    02/05/2017 70 Phân loạiĐịnh nghĩa Tỉ lệ tử vong Chấn thương lan tỏa loại I Không ghi nhận bất thường trong sọ 10% Chấn thương lan tỏa loại II Bể nền sọ hiện diện, đường giữa di lệch 0- 5mm và hoặc có những tổn thương có đậm độ hiện diện 14% Chấn thương lan tỏa loại III Bể nền sọ bị chèn ép hoặc mất, đường giữa di lệch 0-5mm, tổn thương có đậm độ không cao hoặc hổn hợp > 25 cc 34% Chấn thương lan tỏa loại IV đường giữa di lệch >5mm, tổn thương có đậm độ không cao hoặc hổn hợp > 25 cc 56% Bảng phân loại mức độ chấn thương sọ não trên CT-Scanner
  • 71.
    3. X QUANGCOÄT SOÁNG  Neân chuïp ñeå laøm roõ bn CTSN coù toån thöông ôû coät soáng coå (chuïp töø C1-T1).  Coät soáng thaét löng ñöôïc chuïp döïa vaøo nhöõng daáu hieäu laâm saøng vaø cô cheá chaán thöông. 4. MRI • Thöôøng khoâng thích hôïp trong CTSN caáp (ít duøng) • Coù theå giuùp ích trong thôøi gian sau nhö ñeå ñaùnh giaù chaán thöông thaân naõo, nhöõng thay ñoåi nhoû trong chaát traéng (nhö nhöõng ñoám xuaát huyeát nhoû trong toán thöông sôïi truïc raûi raùc). 02/05/2017 71
  • 72.
    Caùc löïc xoay,taêng hoaëc giaûm toác ñoä ñoät ngoät gaây keùo caêng vaø xeù raùch sôïi truïc Thöôøng toån thöông 2 beân, lan toaû Tæ leä töû vong cao CT : ñaàu tieân thöôøng bình thöôøng, CT chuïp chaäm hôn (48-72 h) thöôøng phaùt hieän theâm toån thöông laø caùc noát xuaát huyeát nhoû ôû ranh giôùi chaát xaùm – traéng, theå chai, cuoáng naõo hay coù theå bieåu hieän nhö : maát ranh giôùi chaát traéng-xaùm, heïp xoaù caùc beå naõo, naõo thaát, phuø lan toaû. Toån thöông truïc lan toaû : Toån thöông truïc lan toaû naëng ôû chaát traéng, theå chai. 02/05/2017 72
  • 73.
     Giuùp íchtrong tröôøng hôïp khoâng coù CT  Giuùp ích cho nhöõng chaán thöông xuyeân thaáu nhö dao, teân, phi tieâu.. 5. MAÏCH NAÕO ÑOÀ : 02/05/2017 73
  • 74.
    IV. THEO DÕIVÀ ĐiỀU TRỊ 02/05/2017 74
  • 75.
    Nhöõng dấu hiệunguy cô thaáp cuûa thöông toån trong soï • Khoâng coù trieäu chöùng • Đau đầu • Choùng maët • Khoái tuï maùu ôû da daàu, veát raùch ôû da ñaàu, veát giaäp, hoaëc traày da. • Khoâng coù nhöõng tieâu chí nguy cô cao hoaëc trung bình 02/05/2017 75
  • 76.
    Nhöõng dấu hiệunguy cô trung bình cuûa thöông toån trong soï • Thay ñoåi hoaëc maát yù thöùc hoaëc sau chaán thöông • Ñau ñaàu tieán trieån • Coù tình traïng say röôïu • Ñoäng kinh sau chaán thöông • Coù beänh söû khoâng tin caäy ñöôïc hoaëc khoâng ñuû • Nhoû hôn 2 tuoåi (tröø chaán thöông khoâng ñaùng keå) 02/05/2017 76
  • 77.
    Nhöõng dấu hiệunguy cô trung bình cuûa thöông toån trong soï • Oùi • Maát trí nhôù sau chaán thöông • Coù daáu hieäu vôõ saøn soï • Ña chaán thöông • Chaán thöông vuøng maët nghieâm troïng • Coù theå coù veát thöông soï naõo hoaëc luùn soï • Laïm duïng treû em (child abuse) ñaùng ngôø • Söng baàm döôùi da ñaàu nghieâm troïng02/05/2017 77
  • 78.
    Nhöõng dấu hiệunguy cô cao cuûa thöông toån trong soï • Möùc yù thöùc giaûm khoâng roõ do ngoä ñoäc röôïu, thuoác phieän roái loaïn chuyeån hoaù • Daáu thaàn kinh khu truù • Möùc ñoä yù thöùc giaûm daàn • Chaán thöông soï xuyeân thaáu hoaëc luùn soï 02/05/2017 78
  • 79.
    Nhöõng tieâu chícho vieäc theo doõi taïi nhaø • CT soï bình thöôøng • GCS luùc ñaàu  14 • Khoâng coù daáu hieäu nguy cô cao • Khoâng coù daáu hieäu nguy cô trung bình ngoaïi tröø maát yù thöùc • Beänh nhaân hieän ñang khoâng coù daáu thaàn kinh • Coù moät ngöôøi lôùn tænh taùo vaø coù traùch nhieäm coù theå theo doõi beänh nhaân • Bn coù khaû naêng trôû laïi beänh vieän ngay khi caàn thieát. • Khoâng coù nhöõng tình huoáng phöùc taïp (nhö khoâng coù nghi ngôø veà baïo löïc trong gia ñình, keå caû laïm duïng treû em)02/05/2017 79
  • 80.
    CTSN nhẹ ( GCS≥ 14 )  Nằm đầu cao 30 - 45 độ  Theo dõi dấu thần kinh mỗi 2 giờ  Truyền dịch đẳng trương 75 ml/ giờ  Giảm đau nhẹ  Chống nôn  Không cho ăn uống tới tỉnh, sau đó cho ăn lỏng 02/05/2017 80
  • 81.
    CTSN trung bình (GCS9 – 13)  Y lệnh như loại nhẹ  Cho nhập săn sóc đặc biệt nếu CT-Scan có dập não, xuất huyết  Tri giác không cãi thiện, cần chụp CT-Scan lại sau 12 giờ 02/05/2017 81
  • 82.
    CTSN nặng (GCS 3-8)  Hồi sức hô hấp tuần hoàn  Duy trì HA>90 mmHg: dịch, máu  PaO2 >60 mmHg: thở Oxy liều cao  Đặt nội khí quản  Đặt sonde tiểu, sonde dạ dày  Monitoring ICP 02/05/2017 82
  • 83.
    Nhöõng vaán ñeàcaàn löu yù:  Neân duy trì :  HA taâm thu > 90 mmHg  PaO2 > 60 mmHg  Ñaët noäi khí quaûn :  Ñieåm Glassgow ≤8  Gaõy naëng xöông haøm maët  Khoâng ñaët noäi khí quaûn ñöôøng muõi khí quaûn khi nghi vôõ saøn soï  Söû duïng Manitol :  Coù daáu tuït naõo  Coù daáu hieäu aûnh höôûng khoái choaùn choå treân laâm saøng  Daáu taêng aùp löïc noäi soï treân CT naõo  Chöùc naêng thaân naõo khoâng hoaït ñoäng02/05/2017 83
  • 84.
    Một số chỉđịnh mổ Thể tích khối máu tụ > 40 ml  Máu tụ DMC dày > 5mm, đẩy lệch đường giữa > 5 mm  Giãn não thất cấp  Lún sọ hở  Lún sọ kín hơn bề dày 1 bản sọ Vết thương sọ não  Máu tụ hố sau gây chèn ép não thất 4.  Máu tụ trong não, dập não đẩy lệch đường giữa >5 mm  Mở sọ giải áp: khi tăng áp lực nội sọ không kiểm soát 02/05/2017 84
  • 85.
    02/05/2017 85 MÁU TỤNGOÀI MÀNG CỨNG Chỉ định mổ: 1. Thể tích máu tụ >30cm3 2. Bề dày máu tụ >15 mm, di lệch đƣờng giữa >5 mm 3. Máu tụ hố sau: xóa mất, đẩy lệch não thất 4 * Thời điểm phẫu thuật: càng sớm càng tốt ngay sau khi có chẩn đoán * V=a x b x c/2 (cm3) Neurosurgery 58:S2-16-S2-24, 2006
  • 86.
    02/05/2017 86 Nguồn: Handbookof Neurosurgery, seventh Edition, 2010
  • 87.
    02/05/2017 87 Nguồn: Handbookof Neurosurgery, seventh Edition, 2010
  • 88.
  • 89.
  • 90.
  • 91.
  • 92.
  • 93.
    02/05/2017 93 An acutesubdural hematoma (SDH) with a thickness greater than 10 mm or a midline shift greater than 5 mm on computed tomographic (CT) scan should be surgically evacuated, regardless of the patient’s Glasgow Coma Scale (GCS) score Neurosurgery 58:S2-16-S2-24, 2006 1. Bề dầy máu tụ >10mm hoặc di lệch đường giữa >5 mm trên CT, nên mổ bất kể điểm GCS
  • 94.
    02/05/2017 94 A comatosepatient (GCS score less than 9) with an SDH less than 10-mm thick and a midline shift less than 5mm should undergo surgical evacuation of the lesion if the GCS score decreased between the time of injury and hospital admission by 2 or more points on the GCS and/or the patient presents with asymmetric or fixed and dilated pupils and/or the ICP exceeds 20 mm Hg. 2. Một bn hôn mê (GCS≤ 9), có máu tụ DMC với bề dầy <10 mm và đường giữa lệch <5mm nên tiến hành phẫu thuật lấy máu tụ nếu: - GCS giảm 2 điểm hoặc hơn từ lúc chấn thương đến lúc nhập viện - và hoặc đồng tử dãn - và hoặc ICP >20 mm Hg Neurosurgery 58:S2-16-S2-24, 2006
  • 95.
    02/05/2017 95 Nguồn: Handbookof Neurosurgery, seventh Edition, 2010
  • 96.
  • 97.
  • 98.
  • 99.
  • 100.
    V. DI CHỨNG Liệt thần kinh  Rối loạn tâm thần  Động kinh  Dò ĐM cảnh- xoang hang, dò động tĩnh mạch màng cứng  Hội chứng sau chấn động não: nhức đầu, chóng mặt, rối loạn tâm thần, khó tập trung,mệt mõi, trầm cảm.. 02/05/2017 100
  • 101.
    02/05/2017 101 TÀI LIỆUTHAM KHẢO 1. Phẫu thuật Thần kinh-NXB Y học 2013 2. Handbook of Neurosurgery, seventh Edition, 2010
  • 102.
    02/05/2017 102 Contact: ThS.BS.Phạm AnhTuấn Giảng viên Đại học Y dược TPHCM Trưởng khoa Ngoại Thần kinh Bv Nguyễn Tri Phương Moblie: 0989031007 E-mail: tuandoctor2000@gmail.com
  • 103.