Sau khi khởi phát đột quỵ
Cứ 1 giờ bị lãng phí
120 triệu tế bào TK chết đi
830 tỉ synape bị hủy hoại
714 km chiều dài sợi có myelin bị mất
và gia tăng lão hóa thêm 3,6 năm
CT SCAN
TRONG
TAI BIẾN MẠCH MÁU NÃO
CLB NỘI KHOA SINH VIÊN
ĐẠI HỌC Y DƯỢC HUẾ
Mục tiêu
• Nhận biết được các cấu trúc giải phẫu của não
trên CT
• Chẩn đoán được các hình ảnh thường gặp của
TBMMN
• Ứng dụng để giải quyết một số case lâm sàng
thực tế
The Nobel Prize
in Physiology or Medicine in 1979
Allan M. Cormark - USA Godfrey N. Hounsfield - UK
"for the development of computer assisted tomography"
Nguyên lý của CT Scan
• Mỗi mô, cơ quan, vật chất có độ hấp thu tia X
khác nhau  Hình ảnh có đậm độ khác nhau
trên film CT.
• Độ hấp thu tia X = đơn vị Hounsfield (Hu)
• Hiện tượng thiếu máu gây phù tế bào não và
làm tăng lượng nước chứa trong nhu mô não
→ GIẢM ĐẬM ĐỘ
• Chỉ cần thay đổi 1% lượng nước trong nhu mô
thì đậm độ trên CT sẽ thay đổi 2.5 Hu
• Mắt thường có thể nhận thấy được sự khác biệt
1 Hu nên có thể phát hiện được tổn thương.
Nguyên lý của CT Scan
Giá trị chẩn đoán của CT Scan trong
TBMMN
• CT Scan phát hiện ngay các hình ảnh máu tụ,
xuất huyết não – màng não với độ nhạy > 95%
• CT Scan còn giúp phát hiện các u não, abcess não
• CT Scan có thể phát hiện các hình ảnh bất thường
trong vòng 3h sau nhồi máu não với độ nhạy
khoảng 50%.
• Giúp chẩn đoán nhanh, chính xác và cung cấp
bằng chứng để chỉ định tiêu sợi huyết trong NMN
Giải phẫu cắt lớp sọ não
Axial !!!
Mp Virchow
đuôi mắt → ống tai ngoài
Rãnh trung tâm
(Rolando)
1
2
(1) Hồi trước trung tâm
(vùng vận động)
(2) Hồi sau trung tâm
(vùng cảm giác)
Thùy trán
Thùy đỉnh
Liềm đại não
Xoang TM
dọc trên
Não thất bên
Thùy chẩm
Đám rối mạch mạc
Sừng trước
não thất bên
Thùy đảo
Não thất ba
Bể trên tiểu não
Đầu nhân đuôi
Đồi thị
Nhân bèo
Bao trong
Đầu nhân đuôi
Bèo sẫm
Cầu nhạt
Thùy đảo
Cánh tay trước
bao trong
Thùy trán
Thùy thái dương
Tiểu não
Cầu não
Não thất tư
Bể trên yên
Khe Sylvius
Thùy thái dương
Hành não
Xoang chũm
Giải phẫu
động mạch não
• Động mạch cảnh trong
• Động mạch đốt sống
Đa giác Willis
Vùng tưới máu
ACA MCA PCA
Nhìn trên Nhìn dưới
Tắc ACA
Tắc MCA
Tắc PCA
Hình ảnh học đột quỵ
All just begin
TBMMN là gì?
• Là đột ngột xảy ra
các dấu thần kinh khu trú mà
không do nguyên nhân chấn thương
• Phân loại:
 Nhồi máu não / Đột quỵ thiếu máu não
cấp tính (AIS)
 Xuất huyết trong não (ICH)
 Xuất huyết dưới nhện (SAH)
Time is brain!!!
Làm sao để đọc một CT
vừa nhanh vừa chính xác
mà không bỏ sót?
Các bước đọc một CT Scan
“Blood Can Be Very Bad”
• Blood Máu
• Cistern Bể não
• Brain Nhu mô não
• Ventricles Não thất
• Bone Xương sọ
Dấu Juan Valdez
Phát hiện xuất huyết
• CT phát hiện xuất huyết với độ nhạy > 95%
• Trên CT, xuất huyết là các vùng tăng đậm độ.
Có thể gặp trong các trường hợp:
 Xuất huyết trong não
 Xuất huyết dưới nhện
 Xuất huyết não thất
 Xuất huyết màng não
 Tụ máu ngoài màng cứng
 Tụ máu dưới màng cứng
Xuất huyết trong não (ICH)
Xuất huyết trong não
có hiệu ứng choán chỗ
Xuất huyết dưới nhện (SAH)
Xuất huyết dưới nhện (SAH)
SAH
Xuất huyết não thất (IVH)
Vôi hóa Xuất huyết
Phân biệt vôi hóa hay xuất huyết?
VÔI HÓA
• Đối xứng
• Không có phù não
• Không có hiệu ứng
choáng chỗ
• Đậm độ: > 120 Hu
XUẤT HUYẾT
• Không đối xứng
• Có phù não xung quanh
• Có hiệu ứng choáng chỗ
• Đậm độ: 40-90 Hu
Các vị trí thường gặp vôi hóa trên CT
• Tuyến tùng
Vôi hóa sớm, từ 10 tuổi
Nằm ngay sau não thất 3
• Đám rối mạch mạc
Đối xứng nhau
Ở sừng sau não thất bên
• Các nhân xám
• Liềm đại não
Artifact - ảnh giả
Metal artifact Ring artifact
Tụ máu ngoài màng cứng (EDH)
Tụ máu dưới màng cứng (SDH)
Phân biệt EDH và SDH?
EDH
• Khối 2 mặt lồi
(eye shape)
• Bị giới hạn bởi các
khớp xương sọ
SDH
• Bờ nhu mô không đều
(crescent moon)
• Không bị giới hạn bởi
các khớp xương sọ
Phát hiện nhồi máu
• Trong 3h đầu, CT chỉ phát hiện được 50%
trường hợp nhồi máu não cấp.
→ Hình ảnh trên CT bình thường không loại trừ
được nhồi máu não!
• MRI sọ não sau đó có thể phát hiện tổn thương
• Mặc dù vậy, CT vẫn có những dấu hiệu sớm
chẩn đoán NMN với độ nhạy rất cao
Các dấu hiệu sớm chẩn đoán
nhồi máu não trên CT Scan
• Dấu tăng tỉ trọng động mạch não
 “dot sign”
 “hyper dense” – dấu dây thừng
• Dấu hiệu gây ra bởi hiện tượng phù não
 Mất phân biệt xám-trắng
 Mất dải ruy-băng thùy đảo
 Xóa mờ nhân đậu
 Mờ rãnh Sylvius
 Mất các rãnh não
Dấu tăng tỉ trọng MCA
“dot sign”
Dấu tăng tỉ trọng MCA
“hyper dense”
Mất phân biệt xám – trắng
Mất phân biệt xám – trắng
Mất dải ruy-băng thùy đảo
• Dải ruy-băng thùy đảo
chỉnh là vùng chất xám
của thùy đảo.
• Bên ngoài: dịch não tủy
của khe Sylvius
• Ở giữa: Chất xấm th.đảo
• Bên trong: chất trắng
→ Thấy được dải ruy-băng
→ Phù não → Mất ruy-băng
Xóa mờ nhân đậu
• Nhân đậu có đậm độ
khoảng 35 Hu
• Vùng dưới vỏ có đậm
độ khoảng 20 Hu
• Nên bình thường có thể
phân biệt rõ nhân đậu.
• Khi nhân đậu bị phù,
đậm độ giảm xuống
bằng vùng dưới vỏ
→ xóa mờ nhân đậu.
Mờ rãnh Sylvius
• Rãnh Sylvius chứa dịch
não tủy.
• Phù não làm vùng chất
xám trương phồng
chiếm hết không gian
của khe Sylvius
Mất rãnh não
Các case lâm sàng
Đáp đúng
có kẹo nhé
Case 1 – Time is brain
• Một cụ bà 70 tuổi, tiền sử DM2, THA, rung nhĩ,
vào viện giờ thứ 3 vì liệt ½ người (P) cơ lực 1/5,
liệt mặt (P), nói khó, GCS 12p, NIHSS 17p.
Các cơ quan khác không thấy bất thường
• Tiền sử dùng thuốc: BN dùng Met formin hằng
ngày kiểm hoát đường huyết tốt, Amlodipine
10mg/d kiểm soát HA tốt, RN không điều trị gì.
• Mạch: 95 khá đều; HA: 160/90
Gmm: 6.5
• Chỉ định xét nghiệm nào tiếp theo?
Sau 40 phút, phim CT về…
Nhồi máu động mạch não giữa
bên (T) giờ thứ 4
What do you do next?
HA
BN được dùng Alteplase
liều 0.9mg/kg
• Sau 10 phút: BN cải thiện ý thức và cơ lực
• Sau 1h: tỉnh hoàn toàn, không còn liệt tay chân
NIHSS 0 điểm.
• Kíp trực được người nhà mua trứng lộn, bò húc
và tấm tắc khen ngợi
Sau 2 tuần theo dõi, BN hoàn toàn ổn
Điều trị gì tiếp theo?
• CHA2DS2VASc: 6p
• Điều trị chống đông
• Kiểm soát HA,
đường máu,…
• Một nam thanh niên 25 tuổi, tiền sử đau nửa
đầu 1 năm nay, đang chạy thể dục buổi sáng
bỗng thấy đau đầu dữ dội (anh ta khẳng định
“Chưa thấy khi mô mà đau đầu kinh khủng
như ri hết a”). Anh ta ghé vào nhà người quen,
uống 1 viên Paracetamol rồi được đưa vào
viện. Trên đường đi, anh ta vẫn thấy đau đầu
dữ dội, nôn thốc tháo,
rồi thấy nhìn mờ,
rồi lơ mơ …
Case 2 – 30 chưa phải là Tết
• Vào khoa cấp cứu: Vẫn lơ mơ, GCS 11p, liệt tay
chân (P), tay chân (T) còn đáp ứng với kích
thích đau. Babinski (+) bên (P), cổ gượng nhẹ.
• Mạch: 60; HA: 190/110; TST: 25
• Chẩn đoán sơ bộ?
• Chỉ định xét nghiệm gì tiếp theo?
Kết quả CT trả về: BÌNH THƯỜNG
Bạn có thay đổi chẩn đoán?
So, what do you do next?
• Kiểm soát huyết áp
• Chống phù não
– Thở Oxy
– Nằm đầu cao 20-300
– Truyền dịch ưu trương
• Bác sĩ tiến hành chọc dịch não tủy
Kết quả: 3 ống đều có màu hồng
Chọc dịch não tủy
• Positive in:
 100% in 12h to 2 weeks
 >70% after 3 weeks
 40% after 4 weeks
Chụp CTA
Ct in-stroke
Ct in-stroke

Ct in-stroke

  • 2.
    Sau khi khởiphát đột quỵ Cứ 1 giờ bị lãng phí 120 triệu tế bào TK chết đi 830 tỉ synape bị hủy hoại 714 km chiều dài sợi có myelin bị mất và gia tăng lão hóa thêm 3,6 năm
  • 4.
    CT SCAN TRONG TAI BIẾNMẠCH MÁU NÃO CLB NỘI KHOA SINH VIÊN ĐẠI HỌC Y DƯỢC HUẾ
  • 5.
    Mục tiêu • Nhậnbiết được các cấu trúc giải phẫu của não trên CT • Chẩn đoán được các hình ảnh thường gặp của TBMMN • Ứng dụng để giải quyết một số case lâm sàng thực tế
  • 6.
    The Nobel Prize inPhysiology or Medicine in 1979 Allan M. Cormark - USA Godfrey N. Hounsfield - UK "for the development of computer assisted tomography"
  • 7.
    Nguyên lý củaCT Scan • Mỗi mô, cơ quan, vật chất có độ hấp thu tia X khác nhau  Hình ảnh có đậm độ khác nhau trên film CT. • Độ hấp thu tia X = đơn vị Hounsfield (Hu)
  • 9.
    • Hiện tượngthiếu máu gây phù tế bào não và làm tăng lượng nước chứa trong nhu mô não → GIẢM ĐẬM ĐỘ • Chỉ cần thay đổi 1% lượng nước trong nhu mô thì đậm độ trên CT sẽ thay đổi 2.5 Hu • Mắt thường có thể nhận thấy được sự khác biệt 1 Hu nên có thể phát hiện được tổn thương. Nguyên lý của CT Scan
  • 10.
    Giá trị chẩnđoán của CT Scan trong TBMMN • CT Scan phát hiện ngay các hình ảnh máu tụ, xuất huyết não – màng não với độ nhạy > 95% • CT Scan còn giúp phát hiện các u não, abcess não • CT Scan có thể phát hiện các hình ảnh bất thường trong vòng 3h sau nhồi máu não với độ nhạy khoảng 50%. • Giúp chẩn đoán nhanh, chính xác và cung cấp bằng chứng để chỉ định tiêu sợi huyết trong NMN
  • 11.
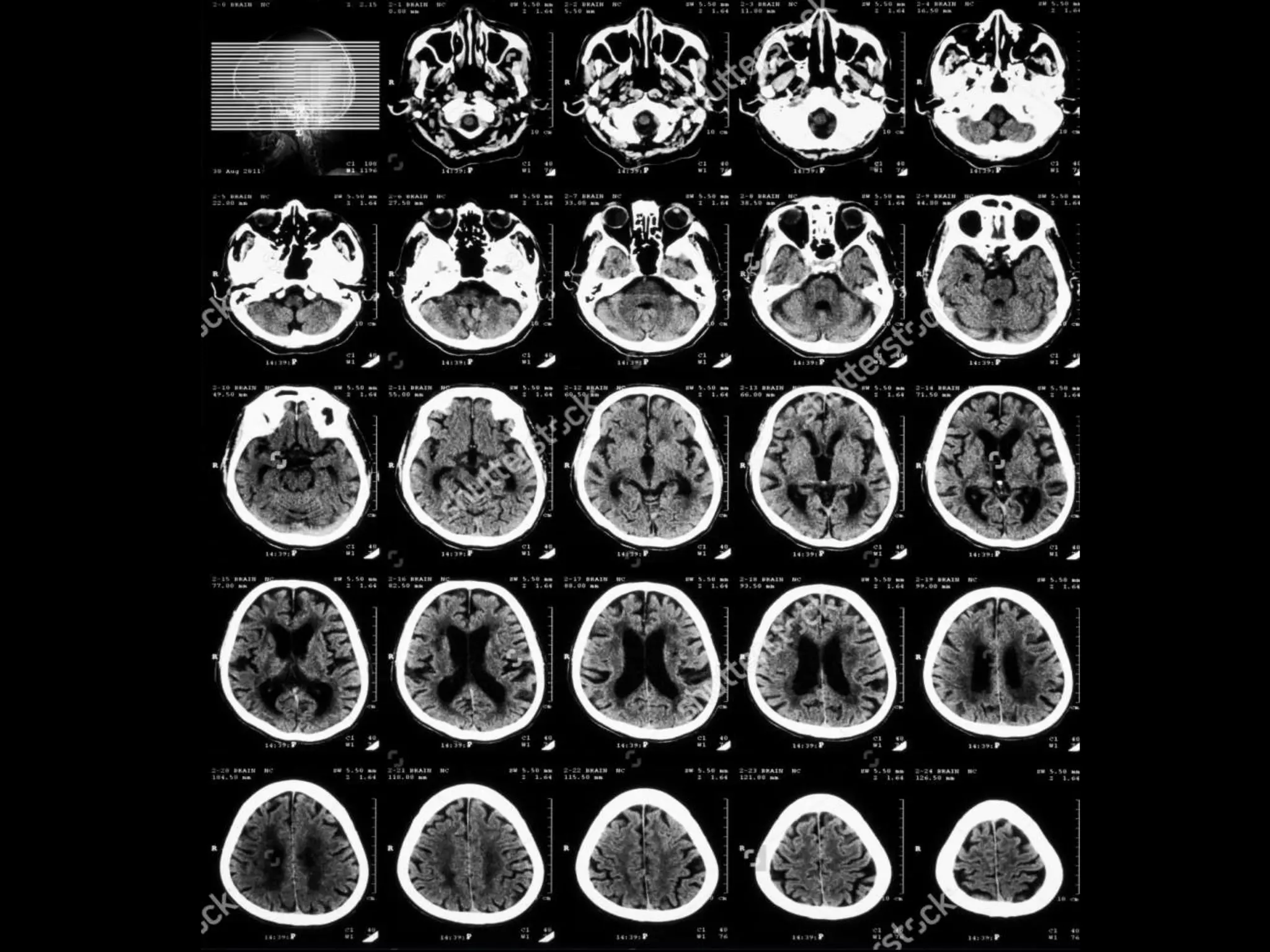
    Giải phẫu cắtlớp sọ não Axial !!!
  • 12.
    Mp Virchow đuôi mắt→ ống tai ngoài
  • 13.
    Rãnh trung tâm (Rolando) 1 2 (1)Hồi trước trung tâm (vùng vận động) (2) Hồi sau trung tâm (vùng cảm giác) Thùy trán Thùy đỉnh
  • 14.
  • 15.
    Não thất bên Thùychẩm Đám rối mạch mạc
  • 17.
    Sừng trước não thấtbên Thùy đảo Não thất ba Bể trên tiểu não
  • 18.
    Đầu nhân đuôi Đồithị Nhân bèo Bao trong
  • 20.
    Đầu nhân đuôi Bèosẫm Cầu nhạt Thùy đảo Cánh tay trước bao trong
  • 21.
    Thùy trán Thùy tháidương Tiểu não Cầu não Não thất tư Bể trên yên Khe Sylvius
  • 22.
    Thùy thái dương Hànhnão Xoang chũm
  • 23.
    Giải phẫu động mạchnão • Động mạch cảnh trong • Động mạch đốt sống
  • 24.
  • 25.
  • 26.
  • 27.
  • 28.
  • 29.
  • 30.
    Hình ảnh họcđột quỵ All just begin
  • 31.
    TBMMN là gì? •Là đột ngột xảy ra các dấu thần kinh khu trú mà không do nguyên nhân chấn thương • Phân loại:  Nhồi máu não / Đột quỵ thiếu máu não cấp tính (AIS)  Xuất huyết trong não (ICH)  Xuất huyết dưới nhện (SAH)
  • 33.
    Time is brain!!! Làmsao để đọc một CT vừa nhanh vừa chính xác mà không bỏ sót?
  • 35.
    Các bước đọcmột CT Scan “Blood Can Be Very Bad” • Blood Máu • Cistern Bể não • Brain Nhu mô não • Ventricles Não thất • Bone Xương sọ
  • 45.
  • 47.
    Phát hiện xuấthuyết • CT phát hiện xuất huyết với độ nhạy > 95% • Trên CT, xuất huyết là các vùng tăng đậm độ. Có thể gặp trong các trường hợp:  Xuất huyết trong não  Xuất huyết dưới nhện  Xuất huyết não thất  Xuất huyết màng não  Tụ máu ngoài màng cứng  Tụ máu dưới màng cứng
  • 48.
  • 49.
    Xuất huyết trongnão có hiệu ứng choán chỗ
  • 50.
  • 51.
  • 52.
  • 53.
    Xuất huyết nãothất (IVH)
  • 54.
  • 55.
    Phân biệt vôihóa hay xuất huyết? VÔI HÓA • Đối xứng • Không có phù não • Không có hiệu ứng choáng chỗ • Đậm độ: > 120 Hu XUẤT HUYẾT • Không đối xứng • Có phù não xung quanh • Có hiệu ứng choáng chỗ • Đậm độ: 40-90 Hu
  • 56.
    Các vị tríthường gặp vôi hóa trên CT • Tuyến tùng Vôi hóa sớm, từ 10 tuổi Nằm ngay sau não thất 3 • Đám rối mạch mạc Đối xứng nhau Ở sừng sau não thất bên • Các nhân xám • Liềm đại não
  • 57.
    Artifact - ảnhgiả Metal artifact Ring artifact
  • 58.
    Tụ máu ngoàimàng cứng (EDH)
  • 59.
    Tụ máu dướimàng cứng (SDH)
  • 60.
    Phân biệt EDHvà SDH? EDH • Khối 2 mặt lồi (eye shape) • Bị giới hạn bởi các khớp xương sọ SDH • Bờ nhu mô không đều (crescent moon) • Không bị giới hạn bởi các khớp xương sọ
  • 62.
    Phát hiện nhồimáu • Trong 3h đầu, CT chỉ phát hiện được 50% trường hợp nhồi máu não cấp. → Hình ảnh trên CT bình thường không loại trừ được nhồi máu não! • MRI sọ não sau đó có thể phát hiện tổn thương • Mặc dù vậy, CT vẫn có những dấu hiệu sớm chẩn đoán NMN với độ nhạy rất cao
  • 63.
    Các dấu hiệusớm chẩn đoán nhồi máu não trên CT Scan • Dấu tăng tỉ trọng động mạch não  “dot sign”  “hyper dense” – dấu dây thừng • Dấu hiệu gây ra bởi hiện tượng phù não  Mất phân biệt xám-trắng  Mất dải ruy-băng thùy đảo  Xóa mờ nhân đậu  Mờ rãnh Sylvius  Mất các rãnh não
  • 64.
    Dấu tăng tỉtrọng MCA “dot sign”
  • 65.
    Dấu tăng tỉtrọng MCA “hyper dense”
  • 67.
    Mất phân biệtxám – trắng
  • 68.
    Mất phân biệtxám – trắng
  • 69.
    Mất dải ruy-băngthùy đảo • Dải ruy-băng thùy đảo chỉnh là vùng chất xám của thùy đảo. • Bên ngoài: dịch não tủy của khe Sylvius • Ở giữa: Chất xấm th.đảo • Bên trong: chất trắng → Thấy được dải ruy-băng → Phù não → Mất ruy-băng
  • 70.
    Xóa mờ nhânđậu • Nhân đậu có đậm độ khoảng 35 Hu • Vùng dưới vỏ có đậm độ khoảng 20 Hu • Nên bình thường có thể phân biệt rõ nhân đậu. • Khi nhân đậu bị phù, đậm độ giảm xuống bằng vùng dưới vỏ → xóa mờ nhân đậu.
  • 71.
    Mờ rãnh Sylvius •Rãnh Sylvius chứa dịch não tủy. • Phù não làm vùng chất xám trương phồng chiếm hết không gian của khe Sylvius
  • 72.
  • 73.
    Các case lâmsàng Đáp đúng có kẹo nhé
  • 74.
    Case 1 –Time is brain • Một cụ bà 70 tuổi, tiền sử DM2, THA, rung nhĩ, vào viện giờ thứ 3 vì liệt ½ người (P) cơ lực 1/5, liệt mặt (P), nói khó, GCS 12p, NIHSS 17p. Các cơ quan khác không thấy bất thường • Tiền sử dùng thuốc: BN dùng Met formin hằng ngày kiểm hoát đường huyết tốt, Amlodipine 10mg/d kiểm soát HA tốt, RN không điều trị gì. • Mạch: 95 khá đều; HA: 160/90 Gmm: 6.5 • Chỉ định xét nghiệm nào tiếp theo?
  • 75.
    Sau 40 phút,phim CT về…
  • 76.
    Nhồi máu độngmạch não giữa bên (T) giờ thứ 4 What do you do next? HA
  • 77.
    BN được dùngAlteplase liều 0.9mg/kg • Sau 10 phút: BN cải thiện ý thức và cơ lực • Sau 1h: tỉnh hoàn toàn, không còn liệt tay chân NIHSS 0 điểm. • Kíp trực được người nhà mua trứng lộn, bò húc và tấm tắc khen ngợi
  • 79.
    Sau 2 tuầntheo dõi, BN hoàn toàn ổn Điều trị gì tiếp theo? • CHA2DS2VASc: 6p • Điều trị chống đông • Kiểm soát HA, đường máu,…
  • 80.
    • Một namthanh niên 25 tuổi, tiền sử đau nửa đầu 1 năm nay, đang chạy thể dục buổi sáng bỗng thấy đau đầu dữ dội (anh ta khẳng định “Chưa thấy khi mô mà đau đầu kinh khủng như ri hết a”). Anh ta ghé vào nhà người quen, uống 1 viên Paracetamol rồi được đưa vào viện. Trên đường đi, anh ta vẫn thấy đau đầu dữ dội, nôn thốc tháo, rồi thấy nhìn mờ, rồi lơ mơ … Case 2 – 30 chưa phải là Tết
  • 81.
    • Vào khoacấp cứu: Vẫn lơ mơ, GCS 11p, liệt tay chân (P), tay chân (T) còn đáp ứng với kích thích đau. Babinski (+) bên (P), cổ gượng nhẹ. • Mạch: 60; HA: 190/110; TST: 25 • Chẩn đoán sơ bộ? • Chỉ định xét nghiệm gì tiếp theo?
  • 82.
    Kết quả CTtrả về: BÌNH THƯỜNG
  • 83.
    Bạn có thayđổi chẩn đoán? So, what do you do next?
  • 84.
    • Kiểm soáthuyết áp • Chống phù não – Thở Oxy – Nằm đầu cao 20-300 – Truyền dịch ưu trương • Bác sĩ tiến hành chọc dịch não tủy Kết quả: 3 ống đều có màu hồng
  • 85.
    Chọc dịch nãotủy • Positive in:  100% in 12h to 2 weeks  >70% after 3 weeks  40% after 4 weeks
  • 86.

Editor's Notes

  • #13 Càng gần vùng nền sọ thì các lát cắt trở nên dày hơn để khảo sát đầy đủ các cấu trúc phức tạp ở đây.
  • #40 Dịch não tủy được sản xuất từ đám rối mạch mạc ở não thất bên sau đó đổ vào não thất ba, rồi chảy qua cống não Sylvius xuống não thất tư. Sau đó đi ra lỗ Magendi để thông thương với các bể não và khoang dưới nhện. Cuối cùng được các hạt màng nhện hấp thu vào hệ thông xoang tĩnh mạch. Vỡ các tĩnh mạch này gây chảy máu vào khoang dưới nhện và đọng lại ở các bể não.
  • #46 Dãn sừng thái dương của não thất bên tạo nên dấu Juan Valdez. Là dấu hiệu sớm để phát hiện có hiện tượng ứ trệ lưu thông dịch não tủy trong não thất bên. Nguyên nhân hay gặp là do u chèn ép vào các não thất bên dưới.
  • #47 Khảo sát trên cửa sổ xương của CT. Áp dụng trong trường hợp chấn thương.
  • #53 Xuất huyết dưới nhện thường do vỡ các phình mạch não
  • #55 Giả sử 1 BN vào viện vì AIS, BN hội tụ đủ mọi yếu tố để có thể sử dụng tiêu sợi huyết. Nhưng trên CT lại xuất hiện hình ảnh tăng quang như vậy. Thì phải phân biệt cho được đó là vôi hóa hay xuất huyết.
  • #58 Artifact được tạo thành có thể do mảnh kim loại ở trong hộp sọ, hoặc do chuyển động đầu của BN khi đang chụp CT sọ não.
  • #59 Lưu ý, trường hợp này không nằm trong TBMMN
  • #60 Lưu ý, trường hợp này không nằm trong TBMMN
  • #64 Phù não ở chất xám xảy ra nhiều hơn chất trắng do nhu cầu biến dưỡng ở đây cao hơn.
  • #65 Sinh ra bởi tắc các nhánh của ĐM não giữa.
  • #66 Đây là một dấu hiệu tiên lượng nặng vì vùng nhồi máu lớn.
  • #67 MCA đi ngang ở vùng nền sọ sau đó quặt thẳng vuông góc lên trên và đi vào khe Sylvius và cấp máu cho vùng bên rộng lớn của mỗi bán cầu đại não
  • #68 Do vùng chất xám bị phù não nhiều hơn dẫn đến đậm độ giảm xuống làm khó phân biệt giữa chất xám và chất trắng.
  • #69 Phù não ở chất xám xảy ra nhiều hơn chất trắng do nhu cầu biến dưỡng ở đây cao hơn.
  • #71 Nhân đậu = Bèo sẫm, cầu nhạt, nhân đuôi.
  • #77 Có cần hạ HA tích cực không?  Không, đây có thể là THA phản ứng, cũng có thể là THA sẵn có của BN nhưng dưới mức 220/140 nên ko cần can thiệp hạ HA