Hirschsprung’s Disease
Sunil Kumar daha
 congenital, familial condition, occuring in newborn due to the
abscence of intramural ganglion cells (Auerbachs’s plexus and
Meissner’s plexus) in anorectum.
 May extend proximally either a part or full length of the colon.
 abscence of ganglionic cells is due to failure of migration of
vagal neural crest cells into the developing gut.
Introduction
Types
1. Short segment- aganglionisis restricted to the rectum and
sigmoid colon (in 75% patient)
2. Long segment- involves the proximal colon (in 15% patient)
3. Total colonic- involves entire colon and portion of terminal
ileum. (in 10% patient)
Zones
 It has got 3 zones:
1. Aganglionic zone-
- Distal immobile spastic smegment
2.Transitional Zone-
- Proximal, middle, about 1-5cm length with less ,sparse
number of ganglions (Cone).
3.Hypertrohied dilated segment-
- More proximal, normal ganglionic area.
 A transition zone exist betweeen dilated,
proximal,normally innervated bowel and the
narrow, distal aganglionic segment
Aetiology
 Hirschsprung’s disease may be familial or associated with
Down Syndrome or other genetic disorder.
 Gene mutation have been identified on chromosome 10
(involving RET proto oncogene) and on chromosome 13 in
some patient.
 Typically present in the neonatal period with delayed passage
of Meconium
Presentation
- Acute , recurrent, chronic
- Common in male (80 %)
- Incidence is 1 in 5000 birth
- Common in infant and children, occasionally in adult also
- 90 % of cases, symptoms appear in early neonatal period, i.e
with in 3 days of birth.
- Fail to pass meconium, after introducing finger into rectum,
child passes toothpaste like stool
Clinical features
 Typically present in the neonatal period with;
1) Delayed pasasge of Meconium
2) Abdominal distention
3) Bilious vomitting
 In children passage of goat pellet like stools associated with
malnutrition and chronic constipation
 Rectal examination shows tight sphincter with empty rectum.
Child passes lot of gas and Meconium.
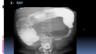
Diagnosis
1) Plain abdominal X-ray- to see intestinal obstruction
2) Biopsy- fom all 3 zones to study ganglions and hypertrophic
nerve terminals in spasmodic segment
3) Barium enema- to look for extent of disease and 3 zones
4) Anorectal manometry- Shows the abscence of recto anal
reflex in Hirschsprung’s disease (Diagnostic)
5) Acetylcholine esterase staining shows hypertrophied nerve
bundles
X- RAY
1.
Complication
1) Colitis ( intramucosal gas in plain X-ray)
2) Intestinal obstruction
3) Growth retardation
4) Constipation
5) Perforation
6) Peritonitis
7) Septicemia
Treatment
 Intially colostomy is done to have normal bowel function.
 Nutritional supplementation
 Definitive procedure is done once the child attains 10 kg of
weight.
1. Excision of Aganglionic segment
2. Maintainance of Continuity by doing colo-anal anastomosis.
3. Closure of Colostomy
Common Surgical procedure
1. Duhamel operation
2. Soave’s mucosectomy
3. Colo-anal anastomosis
4. Swenson’s operation
5. Ano-rectal myectomy
The end

Hirschsprung disease

  • 1.
  • 2.
     congenital, familialcondition, occuring in newborn due to the abscence of intramural ganglion cells (Auerbachs’s plexus and Meissner’s plexus) in anorectum.  May extend proximally either a part or full length of the colon.  abscence of ganglionic cells is due to failure of migration of vagal neural crest cells into the developing gut. Introduction
  • 3.
    Types 1. Short segment-aganglionisis restricted to the rectum and sigmoid colon (in 75% patient) 2. Long segment- involves the proximal colon (in 15% patient) 3. Total colonic- involves entire colon and portion of terminal ileum. (in 10% patient)
  • 4.
    Zones  It hasgot 3 zones: 1. Aganglionic zone- - Distal immobile spastic smegment 2.Transitional Zone- - Proximal, middle, about 1-5cm length with less ,sparse number of ganglions (Cone). 3.Hypertrohied dilated segment- - More proximal, normal ganglionic area.
  • 5.
     A transitionzone exist betweeen dilated, proximal,normally innervated bowel and the narrow, distal aganglionic segment
  • 6.
    Aetiology  Hirschsprung’s diseasemay be familial or associated with Down Syndrome or other genetic disorder.  Gene mutation have been identified on chromosome 10 (involving RET proto oncogene) and on chromosome 13 in some patient.  Typically present in the neonatal period with delayed passage of Meconium
  • 7.
    Presentation - Acute ,recurrent, chronic - Common in male (80 %) - Incidence is 1 in 5000 birth - Common in infant and children, occasionally in adult also - 90 % of cases, symptoms appear in early neonatal period, i.e with in 3 days of birth. - Fail to pass meconium, after introducing finger into rectum, child passes toothpaste like stool
  • 8.
    Clinical features  Typicallypresent in the neonatal period with; 1) Delayed pasasge of Meconium 2) Abdominal distention 3) Bilious vomitting  In children passage of goat pellet like stools associated with malnutrition and chronic constipation  Rectal examination shows tight sphincter with empty rectum. Child passes lot of gas and Meconium.
  • 9.
    Diagnosis 1) Plain abdominalX-ray- to see intestinal obstruction 2) Biopsy- fom all 3 zones to study ganglions and hypertrophic nerve terminals in spasmodic segment 3) Barium enema- to look for extent of disease and 3 zones 4) Anorectal manometry- Shows the abscence of recto anal reflex in Hirschsprung’s disease (Diagnostic) 5) Acetylcholine esterase staining shows hypertrophied nerve bundles
  • 10.
  • 11.
    Complication 1) Colitis (intramucosal gas in plain X-ray) 2) Intestinal obstruction 3) Growth retardation 4) Constipation 5) Perforation 6) Peritonitis 7) Septicemia
  • 12.
    Treatment  Intially colostomyis done to have normal bowel function.  Nutritional supplementation  Definitive procedure is done once the child attains 10 kg of weight. 1. Excision of Aganglionic segment 2. Maintainance of Continuity by doing colo-anal anastomosis. 3. Closure of Colostomy
  • 13.
    Common Surgical procedure 1.Duhamel operation 2. Soave’s mucosectomy 3. Colo-anal anastomosis 4. Swenson’s operation 5. Ano-rectal myectomy The end