 Case History along with hospital course
 Differentials
 Treatment options
 Pertinent basic science review
 Review of literature regarding different treatment
options
 2 month old baby girl born on 15th June, 2013
 Antenatal course normal with no abnormality on
anomaly scans
 General physical exam at birth- Normal
 Systemic exam- Normal at birth except for a murmur
which after echocardiogram turned out to be PFO 3
mm
 History of vomiting after first feed and abdominal
distention
 Meconium passed 48 hours later after rectal
stimulation
 Baby appeared toxic for which work up for sepsis was
also done- all cultures came out negative
 Physical examination on the second day of life was
significant for abdominal distention
 Abdominal X ray- 16th June, 2013
 Barium enema study- 18th June, 2013
 Baby gram and US KUB done- 18th June, 2013 (Normal)
 Abdominal X ray 16th June, 2013
 Dilated bowel loops
 No air in the rectum
 Multiple air fluid levels
 Barium enema single contrast study- 18th June, 2013
 Moderate distension of large bowel without definite
haustral pattern
 May represent distal segment Hirschsprung disease
 Findings can also be seen in constipation and myxdema
Diagnosis Frequency Abnormal
findings
Therapy
Hirschsprung
Disease
1/4000 Tight anus, empty
rectum, transition
zone
Surgery
Meconium plug
syndrome
1/500-1/1000 Meconium plugs Rectal stimulation,
enema
Meconium ileus 1/2800 Abdominal
distension at birth,
cystic fibrosis
Enema with IV
fluids, Surgery
Anorectal
Malformation
1/4000-1/8000 Absent anus, tight
anus or fistula
Dilation, Surgery
Small left colon
syndrome
Rare Transition zone at
splenic flexure
Enema, colostomy
Hypoganglionosis Rare Transition zone Medical, TPN.
Surgery
 5 th day of life the baby was planned for rectal biopsy,
exploratory laprotomy, and frozen sections at different
levels of the large bowel
 Leveling colostomy done at the level of splenic flexure
 Diagnosis of Hirschsprung confirmed after frozen
sections
Ganglionic
cells
present
Ganglionic
cells absent
Ganglionic
cells
present
 Admitted again on 14th August 2013 for correction
procedure
 Underwent Soave endorectal pull through after pre
operative assessment
 Post operative management plan
 IV analgesics
 IV fluids
 IV antibiotics
 TPN
 NO rectal medication
 Dr Orvar Swenson
 “Congenital megacolon is caused by a malformation in the
pelvic parasympathetic system which results in the absence
of ganglion cells in Auerbach’s plexus of a segment of distal
colon . Not only there is an absence of ganglion cells, but the
nerve fibers are large and excessive in number, indicating
that the anomaly may be more extensive than the absence of
ganglion cells”
 Defect in the migration of neural crest cells
 Most cases of aganglionosis involve the rectum and
rectosigmoid. Why?
 Molecular basis of Hirschsprung disease;
 Increased frequency of mutations in several genes,
including GDNF, its receptor Ret, and its co-receptor
Gfra-1.
 Abdominal distention, failure to pass meconium and
bilious emesis
 Infant who has not passed meconium for 48 hours
 ENTEROCOLITIS- A dramatic complication of
Hirschsprung disease
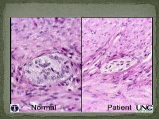
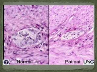
 Definitive- Rectal biopsy
 Histopathological features
 Absence of ganglion cells in myenteric plexus
 Increased acetylcholinesterase staining
 Hypertrophied nerve bundles
 Barium enema in suspected cases
 Rectal manometry- results relatively inaccurate
 Surgery is all cases
 Classic approach- Multi staged procedure
 Three different surgeries but outcome after each type
of operation is similar- SCHWARTZ
 Primary pull through procedure can be safely
performed aswell
 Advantage of Soave over other procedures- less danger
of damaging the parasympathetic nerves adjacent to
the rectum
 Leaves the rectum in place and brings ganglionic
bowel into the retrorectal space
 Resection with end to end anastamosis performed by
exteriorizing bowel ends through the anus
 Endorectal dissection performed and mucosa removed
from the aganglionic distal segment. The ganglionic
bowel is then brought down to the anus with in the
seromuscular tunnel
 Performing the intra abdominal dissection using a
laparoscope- Are there any advantages over open
dissection?
Hirschprung

Hirschprung

  • 2.
     Case Historyalong with hospital course  Differentials  Treatment options  Pertinent basic science review  Review of literature regarding different treatment options
  • 3.
     2 monthold baby girl born on 15th June, 2013  Antenatal course normal with no abnormality on anomaly scans  General physical exam at birth- Normal  Systemic exam- Normal at birth except for a murmur which after echocardiogram turned out to be PFO 3 mm
  • 4.
     History ofvomiting after first feed and abdominal distention  Meconium passed 48 hours later after rectal stimulation  Baby appeared toxic for which work up for sepsis was also done- all cultures came out negative  Physical examination on the second day of life was significant for abdominal distention
  • 5.
     Abdominal Xray- 16th June, 2013  Barium enema study- 18th June, 2013  Baby gram and US KUB done- 18th June, 2013 (Normal)
  • 8.
     Abdominal Xray 16th June, 2013  Dilated bowel loops  No air in the rectum  Multiple air fluid levels
  • 12.
     Barium enemasingle contrast study- 18th June, 2013  Moderate distension of large bowel without definite haustral pattern  May represent distal segment Hirschsprung disease  Findings can also be seen in constipation and myxdema
  • 13.
    Diagnosis Frequency Abnormal findings Therapy Hirschsprung Disease 1/4000Tight anus, empty rectum, transition zone Surgery Meconium plug syndrome 1/500-1/1000 Meconium plugs Rectal stimulation, enema Meconium ileus 1/2800 Abdominal distension at birth, cystic fibrosis Enema with IV fluids, Surgery Anorectal Malformation 1/4000-1/8000 Absent anus, tight anus or fistula Dilation, Surgery Small left colon syndrome Rare Transition zone at splenic flexure Enema, colostomy Hypoganglionosis Rare Transition zone Medical, TPN. Surgery
  • 14.
     5 thday of life the baby was planned for rectal biopsy, exploratory laprotomy, and frozen sections at different levels of the large bowel  Leveling colostomy done at the level of splenic flexure  Diagnosis of Hirschsprung confirmed after frozen sections
  • 15.
  • 16.
     Admitted againon 14th August 2013 for correction procedure  Underwent Soave endorectal pull through after pre operative assessment  Post operative management plan  IV analgesics  IV fluids  IV antibiotics  TPN  NO rectal medication
  • 17.
     Dr OrvarSwenson  “Congenital megacolon is caused by a malformation in the pelvic parasympathetic system which results in the absence of ganglion cells in Auerbach’s plexus of a segment of distal colon . Not only there is an absence of ganglion cells, but the nerve fibers are large and excessive in number, indicating that the anomaly may be more extensive than the absence of ganglion cells”
  • 20.
     Defect inthe migration of neural crest cells  Most cases of aganglionosis involve the rectum and rectosigmoid. Why?  Molecular basis of Hirschsprung disease;  Increased frequency of mutations in several genes, including GDNF, its receptor Ret, and its co-receptor Gfra-1.
  • 21.
     Abdominal distention,failure to pass meconium and bilious emesis  Infant who has not passed meconium for 48 hours  ENTEROCOLITIS- A dramatic complication of Hirschsprung disease
  • 22.
     Definitive- Rectalbiopsy  Histopathological features  Absence of ganglion cells in myenteric plexus  Increased acetylcholinesterase staining  Hypertrophied nerve bundles  Barium enema in suspected cases  Rectal manometry- results relatively inaccurate
  • 25.
     Surgery isall cases  Classic approach- Multi staged procedure  Three different surgeries but outcome after each type of operation is similar- SCHWARTZ  Primary pull through procedure can be safely performed aswell  Advantage of Soave over other procedures- less danger of damaging the parasympathetic nerves adjacent to the rectum
  • 27.
     Leaves therectum in place and brings ganglionic bowel into the retrorectal space
  • 28.
     Resection withend to end anastamosis performed by exteriorizing bowel ends through the anus
  • 29.
     Endorectal dissectionperformed and mucosa removed from the aganglionic distal segment. The ganglionic bowel is then brought down to the anus with in the seromuscular tunnel
  • 30.
     Performing theintra abdominal dissection using a laparoscope- Are there any advantages over open dissection?

Editor's Notes

  • #14 Constipation, hypothyroidism, Ileus, Intestinal motility disorders, irritable bowel syndrome
  • #21 Derivatives of neural crest cells are; Under normal conditions the neural crest cells migrate into the intestine from cephalad to caudal. The process is completed by the 12th week of gestation. But the migration from midtransverse colon to anus takes 4 weeks. During this latter period the fetus is most vunerable to defects in migration of neural crest cells
  • #22 Treatment of enterocolitis is conservative until the diagnosis of hirschsprung is being confirmed
  • #23 1, 2 and 3 cm above the dentate line. Of the mucosa and submucosa
  • #26 Multi staged procedure- Colostomy in the newborn period followed by a definitive pull through operation after child weighed > 10 kg