+
ESS 3092: KINESIOLOGY
Week 11
Transverse Abdominis
 Origin
 Iliac crest, inguinal
ligament, thoracolumbar fascia, and
costal cartilages 7-12
Insertion
 Xiphoid process, linea alba, pubic
crest via an aponeurosis
Location
 Deep
 Movements
 Compress the ribs and
viscera, providing thoracic and
pelvic stability
+
Pelvis and Hip Motions
Pelvic rotation Lumbar spine motion Right hip motion Left hip motion
Anterior rotation/tilt Extension Flexion Flexion
Posterior rotation/tilt Flexion Extension Extension
Right lateral tilt Left lateral flexion Abduction Adduction
Left lateral tilt Right lateral flexion Adduction Abduction
Right transverse
rotation
Left lateral rotation Posterior rotation Anterior rotation
Left transverse
rotation
Right lateral rotation Anterior rotation Posteriorl rotation
+
Which ligament of the hip supports
most of the body weight?
6
+
Acetabulofemoral Joint
Ligaments
1. Iliofemoral (Y)
• Supports most of BW
• Supports anterior hip (standing)
• Resists external, internal rotation
• Limits hyperextension
 Only anterior pelvic tilt
Acetabulofemoral Joint
Ligaments
2. Pubofemoral
• Resists abduction
(primarily)
• Resists external
rotation (some)
3. Ischiofemoral
• Resists adduction
• Limits internal rotation
No ligaments resist flexion (greatest ROM)
P
A
+
Anterior or Posterior View?
9
+
Which muscles comprise the
illiopsoas?
10
+
Iliopsoas – What is it comprised of?
When stabilized
 Flexion of hip
Thigh fixed
 Flexion of trunk
More active in mid-range
 Leg raise or curl-up
 Increased activity- feet held (curl-up)
Psoas Major
Origin
 Transverse process of L1-5
Insertion
 Lesser trochanter of femur
Location
 Anterior/Medial
Movements
 Pelvis: Anterior tilt
 Hip: Flexion
Iliacus
Origin
 Iliac fossa
Insertion
 Femoral lesser trochanter
Location
 Anterior/Medial
Movements
 Pelvis: anterior tilt
 Hip: flexion
15
+
Six External Rotators of the Hip
POG QOG
External rotators
 Piriformis
 Gemellus Superior
 Obturator Internus
 Gemellus Inferior
 Obturator Externus
 Quadratus Femoris
16
+
Piriformis
 Sciatic nerve passes inferiorly
 Tightness
 Origin
 Anterior surface of lateral
sacrum
Insertion
 Greater trochanter of femur,
along the upper medial surface
Actions
 Lateral rotation
+
Gemellus Superior
Origin
Ischial spine
Insertion
Medial aspect of greater
trochanter
Actions
External rotation
+
Obturator Internus
Origin
Ischiopubic ramus, obturator
membrane
Insertion
Medial aspect of greater
trochanter
Actions
Lateral rotation
+
Obturator Externus
Origin
Obturator membrane and the
adjacent surfaces of the pubic
body and pubic and ischial
rami
Insertion
Trochanteric fossa
Actions
Lateral rotation
+
Quadratus Femoris
Origin
Lateral border of ischial
tuberocity
Insertion
Intertrochanteric crest
Actions
Lateral rotation
+
Common Injuries of the Pelvis
Tendinitis
Bursitis
Sciatica
Labral tear
Dislocation
Fracture
Osteoporosis
Total hip replacement
22
+
Sciatic Nerve
23
 It is the longest and widest single nerve in the body, going
from the sacrum to the foot on the posterior aspect
 Lubosacral plexus L4-S5
+
Sciatica
Pain, tingling, or numbness produced by an
irritation of the nerve roots that lead to the sciatic
nerve
Causes
 The most common cause of sciatica is a bulging or
ruptured disc, pressing against the nerve roots
 It can also be a symptom of other conditions such as
stenosis, bone spurs, arthritis or nerve root compression
24
+Avg time to diagnose = 2 yr
Can lead to arthritis
May cause contralateral
disfunction of knee, hip, low
back
22% of athletes w/ groin pain
and 55% of those mechanical
hip pain of unknown eiteology
Functions: Deepens the
acetabulum
Increases surface area and
distributes mechanical and
compressive force over a
greater area. Reduces
compressive forces by 92%
25
+
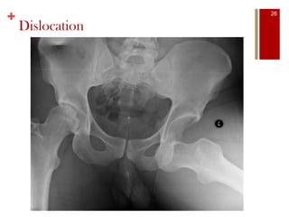
Dislocation
26
+
Osteoporosis and Fracture
27
+
Total Hip Replacement
Video
28
Movement Analysis:
Anterior Pelvic Tilt/Posterior Pelvic Tilt
Plane
Axis
Action
Agonist
Antagonist
29
PHASE
1
2

Hip muscles (1)

  • 1.
  • 3.
    Transverse Abdominis  Origin Iliac crest, inguinal ligament, thoracolumbar fascia, and costal cartilages 7-12 Insertion  Xiphoid process, linea alba, pubic crest via an aponeurosis Location  Deep  Movements  Compress the ribs and viscera, providing thoracic and pelvic stability
  • 4.
    + Pelvis and HipMotions Pelvic rotation Lumbar spine motion Right hip motion Left hip motion Anterior rotation/tilt Extension Flexion Flexion Posterior rotation/tilt Flexion Extension Extension Right lateral tilt Left lateral flexion Abduction Adduction Left lateral tilt Right lateral flexion Adduction Abduction Right transverse rotation Left lateral rotation Posterior rotation Anterior rotation Left transverse rotation Right lateral rotation Anterior rotation Posteriorl rotation
  • 5.
    + Which ligament ofthe hip supports most of the body weight? 6
  • 6.
    + Acetabulofemoral Joint Ligaments 1. Iliofemoral(Y) • Supports most of BW • Supports anterior hip (standing) • Resists external, internal rotation • Limits hyperextension  Only anterior pelvic tilt
  • 7.
    Acetabulofemoral Joint Ligaments 2. Pubofemoral •Resists abduction (primarily) • Resists external rotation (some) 3. Ischiofemoral • Resists adduction • Limits internal rotation No ligaments resist flexion (greatest ROM) P A
  • 8.
  • 9.
    + Which muscles comprisethe illiopsoas? 10
  • 10.
    + Iliopsoas – Whatis it comprised of? When stabilized  Flexion of hip Thigh fixed  Flexion of trunk More active in mid-range  Leg raise or curl-up  Increased activity- feet held (curl-up)
  • 11.
    Psoas Major Origin  Transverseprocess of L1-5 Insertion  Lesser trochanter of femur Location  Anterior/Medial Movements  Pelvis: Anterior tilt  Hip: Flexion
  • 12.
    Iliacus Origin  Iliac fossa Insertion Femoral lesser trochanter Location  Anterior/Medial Movements  Pelvis: anterior tilt  Hip: flexion
  • 13.
  • 14.
    + Six External Rotatorsof the Hip POG QOG External rotators  Piriformis  Gemellus Superior  Obturator Internus  Gemellus Inferior  Obturator Externus  Quadratus Femoris 16
  • 15.
    + Piriformis  Sciatic nervepasses inferiorly  Tightness  Origin  Anterior surface of lateral sacrum Insertion  Greater trochanter of femur, along the upper medial surface Actions  Lateral rotation
  • 16.
    + Gemellus Superior Origin Ischial spine Insertion Medialaspect of greater trochanter Actions External rotation
  • 17.
    + Obturator Internus Origin Ischiopubic ramus,obturator membrane Insertion Medial aspect of greater trochanter Actions Lateral rotation
  • 18.
    + Obturator Externus Origin Obturator membraneand the adjacent surfaces of the pubic body and pubic and ischial rami Insertion Trochanteric fossa Actions Lateral rotation
  • 19.
    + Quadratus Femoris Origin Lateral borderof ischial tuberocity Insertion Intertrochanteric crest Actions Lateral rotation
  • 20.
    + Common Injuries ofthe Pelvis Tendinitis Bursitis Sciatica Labral tear Dislocation Fracture Osteoporosis Total hip replacement 22
  • 21.
    + Sciatic Nerve 23  Itis the longest and widest single nerve in the body, going from the sacrum to the foot on the posterior aspect  Lubosacral plexus L4-S5
  • 22.
    + Sciatica Pain, tingling, ornumbness produced by an irritation of the nerve roots that lead to the sciatic nerve Causes  The most common cause of sciatica is a bulging or ruptured disc, pressing against the nerve roots  It can also be a symptom of other conditions such as stenosis, bone spurs, arthritis or nerve root compression 24
  • 23.
    +Avg time todiagnose = 2 yr Can lead to arthritis May cause contralateral disfunction of knee, hip, low back 22% of athletes w/ groin pain and 55% of those mechanical hip pain of unknown eiteology Functions: Deepens the acetabulum Increases surface area and distributes mechanical and compressive force over a greater area. Reduces compressive forces by 92% 25
  • 24.
  • 25.
  • 26.
  • 27.
    Movement Analysis: Anterior PelvicTilt/Posterior Pelvic Tilt Plane Axis Action Agonist Antagonist 29 PHASE 1 2

Editor's Notes

  • #14 I: Often superior ramusIliopechineal eminence- merge of ilium and pubis
  • #26 “Catching” or snagging. When the labrum was removed compressive forces increased by 92%
  • #27 Relatively uncommon during athletics due to the thick capsule
  • #28 Very common in older populations (especially during acute injury such as a fall)