Hemothoraces: To Drain or not to drain ?
Chad G. Ball, MD, MSc, FRCSC, FACS
Hepatobiliary, Pancreas, Trauma and Acute Care Surgery
University of Calgary
HTX Precedent
Management of Hemothoraces
All hemothoraces, regardless of size, should be considered for
drainage (Level III).
J Trauma. 2011;70(2):510-518
ATLS
Management of Hemothoraces
All hemothoraces, regardless of size, should undergo drainage.
Alternative Rationale
• There is a precedent for expectant
management of significant
traumatic hemothoraces
J Coll Radiol Aust. 1964;8:48-54
SA Med Jrnl. 1965:548-53
More modern data…
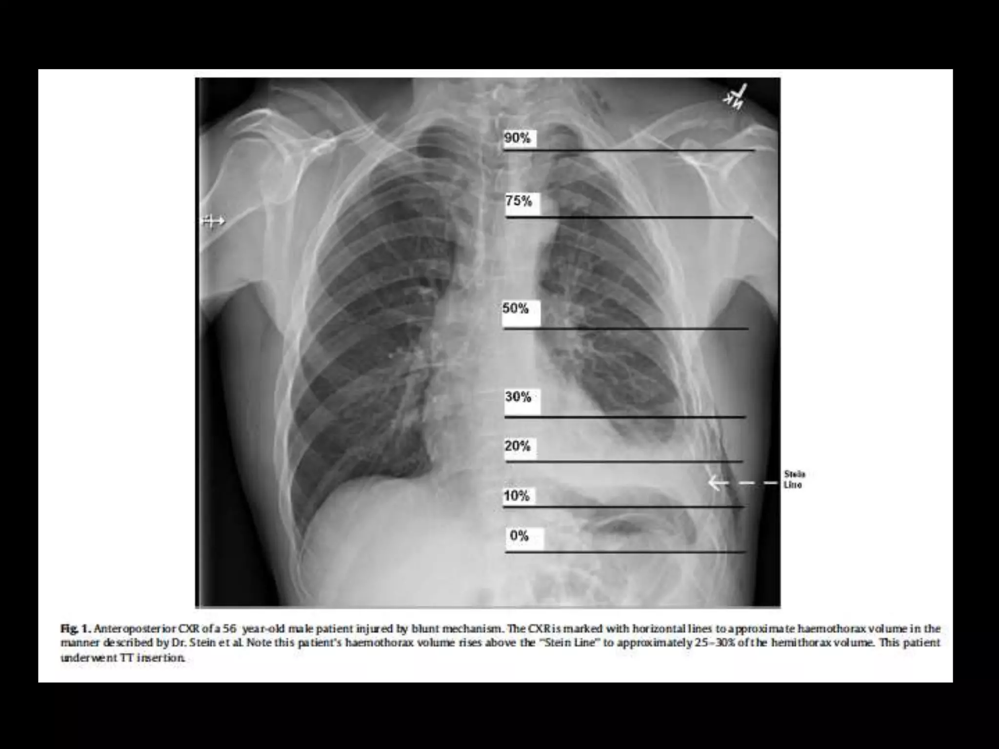
• Hemothorax size threshold for pleural drainage?
Retained HTXs…
“…I need to know an answer to a different question…and that is,
of a given size hemothorax without intervention what is the
likelihood of that leading to… [complications]”
Dr. J. Wayne Meredith (Winston-Salem, NC)
J Trauma. 2011;72(1):11-24
Implications
• Pleural drainage is not a
benign procedure
• Potentially following an
ongoing trend of being less
invasive in trauma care
• Potential cost and resource
use implications could be
significant
Risks…
22% rate of major complications
Questions
1. Should all traumatic hemothoraces be drained?
2. Are there predictors for hemothorax drainage?
Discussion
• Patients with small traumatic hemothoraces
were clearly being observed
– 808 patients (278 (34%) observed and 530 (66%)
had PD))
– Was not clear what the size threshold should be
– 300 cc threshold might be a basic minimum (?)
Conclusions…
• Expectant management of HTXs:
• Shorter length of stay
• Fewer empyemas
• Fewer tube thoracostomy related complications
• No difference in mortality
• If you begin to drain the chest, you must finish the job
Initial results deserve further study
T.H.R.E.A.T. Trial
Excluded if:
1. Penetrating thoracic injury
2. >24 hrs after admission
Participant data collection and analyses
Primary outcome
Subsequent thoracic interventions (i.e., additional chest tube insertion, image-guided drainage,
video-assisted thoracic surgery)
Secondary outcomes
Difference in empyema and ICU/hospital outcomes
Patients >17 years old without severe respiratory distress or hemodynamic instability who have a traumatic
Hemothorax detected on CT scan are ELIGIBLE
Randomize (one chest side only) with delayed consent
Online: http://www.opticc.com
Select Hemothorax RCT Tile at top of screen
Login: Calgary Password: Calgary
Chest drainage group
The size and type of catheter, placement
method, & timing of removal is at the
discretion of the attending clinician
Expectant management
No intra-pleural catheter
DOES YOUR PATIENT HAVE A TRAUMATIC MEDIUM/LARGE HEMOTHORAX?
T.H.R.E.A.T. - The Management of Traumatic Hemothoraces RCT
Thank-you!Thanou!
Thank-you!

Haemothorax: To drain or not to drain?

  • 1.
    Hemothoraces: To Drainor not to drain ? Chad G. Ball, MD, MSc, FRCSC, FACS Hepatobiliary, Pancreas, Trauma and Acute Care Surgery University of Calgary
  • 2.
    HTX Precedent Management ofHemothoraces All hemothoraces, regardless of size, should be considered for drainage (Level III). J Trauma. 2011;70(2):510-518
  • 3.
    ATLS Management of Hemothoraces Allhemothoraces, regardless of size, should undergo drainage.
  • 4.
    Alternative Rationale • Thereis a precedent for expectant management of significant traumatic hemothoraces J Coll Radiol Aust. 1964;8:48-54 SA Med Jrnl. 1965:548-53
  • 7.
    More modern data… •Hemothorax size threshold for pleural drainage?
  • 8.
    Retained HTXs… “…I needto know an answer to a different question…and that is, of a given size hemothorax without intervention what is the likelihood of that leading to… [complications]” Dr. J. Wayne Meredith (Winston-Salem, NC) J Trauma. 2011;72(1):11-24
  • 9.
    Implications • Pleural drainageis not a benign procedure • Potentially following an ongoing trend of being less invasive in trauma care • Potential cost and resource use implications could be significant
  • 10.
  • 11.
    22% rate ofmajor complications
  • 12.
    Questions 1. Should alltraumatic hemothoraces be drained? 2. Are there predictors for hemothorax drainage?
  • 15.
    Discussion • Patients withsmall traumatic hemothoraces were clearly being observed – 808 patients (278 (34%) observed and 530 (66%) had PD)) – Was not clear what the size threshold should be – 300 cc threshold might be a basic minimum (?)
  • 16.
    Conclusions… • Expectant managementof HTXs: • Shorter length of stay • Fewer empyemas • Fewer tube thoracostomy related complications • No difference in mortality • If you begin to drain the chest, you must finish the job Initial results deserve further study
  • 17.
  • 19.
    Excluded if: 1. Penetratingthoracic injury 2. >24 hrs after admission Participant data collection and analyses Primary outcome Subsequent thoracic interventions (i.e., additional chest tube insertion, image-guided drainage, video-assisted thoracic surgery) Secondary outcomes Difference in empyema and ICU/hospital outcomes Patients >17 years old without severe respiratory distress or hemodynamic instability who have a traumatic Hemothorax detected on CT scan are ELIGIBLE Randomize (one chest side only) with delayed consent Online: http://www.opticc.com Select Hemothorax RCT Tile at top of screen Login: Calgary Password: Calgary Chest drainage group The size and type of catheter, placement method, & timing of removal is at the discretion of the attending clinician Expectant management No intra-pleural catheter DOES YOUR PATIENT HAVE A TRAUMATIC MEDIUM/LARGE HEMOTHORAX? T.H.R.E.A.T. - The Management of Traumatic Hemothoraces RCT
  • 20.