Embed presentation
Download to read offline










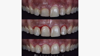
Gingivoplasty is a dental procedure aimed at reshaping the gingiva to achieve physiological contours without the presence of pockets. It is indicated for conditions like thickened gingival margins, gingival clefts, and interdental defects. The procedure utilizes various instruments, including periodontal knives and scalpel, and involves techniques similar to festooning an artificial denture.









