“Have I got MS?”
- advice on sensory symptoms
Joe Guadagno
Royal Victoria Infirmary
Newcastle upon Tyne
Outline
 Brief reminder of MS:
 Incidence, dermographics
 Usual presenting features
 Helpful basic tips?
 Temporal evolution of sensory symptoms
 What are the typical sensory symptoms of MS?
 What is not typical for MS……
 Other neurological conditions with sensory
symptoms
 New DMT’s – brief update!
Statistics
 Commonest cause of
acquired neurological
disability in young people
 Prevalence in UK (~1990s):
 NI 168/100 000
• (?230 2006)
 Tayside 184/100 000
 NE England ?150/100 000
(1:650)
 F:M 3:1
What is MS?
 Clinical diagnosis
 Loosest definition:
1. At least 2 episodes of CNS
dysfunction
(relapses/attacks/exacerbations)
2. ‘disseminated in time and space’
3. not explained by something else
Diagnostic criteria
(revised McDonald 2010)
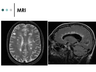
MRI
relapsing/ remitting primary progressive
Patterns of MS
secondary progressive
85% 15%
relapsing/ remitting primary progressive
Patterns of MS
secondary progressive
85% 15%
(‘benign’)
5%
Aetiology
 genetic
1 in 6 cases have affected relative
1 in 650 general population
1 in 50 chance if one affected parent
but only 30% concordance in identical
twins
Aetiology: environmental
Geographical variation
UV exposure?
Genetic and environmental?
 migration studies
– environmental hit acquired in childhood (15yr)
– repeated or prolonged exposure
– latency
 infections? EBV?
 vitamin D/sunlight?
 Hygiene Hypothesis – ‘idle immune system’
 - acquired disease in a genetically
susceptible individual: cumulative insults?
What is MS?
inflammation degeneration
What is MS?
inflammation degeneration
Common presentations
(relapses)
 transverse myelitis
 brainstem syndromes
 optic neuritis
 paroxysmal symptoms
 The duration of the attack should
be longer than 24 hours!
 And not in the context of an
infection (pseudorelapse)
 Helpful tip (when addressing sensory
symptoms)
– remember the temporal evolution of
relapses
Typical ON - Recovery
VisualFunction
1 to 2/52 3 to 5/52
What are the typical sensory
symptoms of MS?
(Nb around 35% of presenting symptoms are sensory
(Olec 2005 and Paty et al 1994))
• ascending numbness starting in the feet;
• bilateral hand numbness;
• Hemiparesthesia (rare thalamic presentation);
• dysesthesia in the whole of one limb (or non
dermatomal);
• “sunburn” feeling or “itch” in a non-dermatomal
patch
• MS ‘Hug’
• Facial sensory disturbance and typical TN
• Lhermittes phenomena
 Whole body numbness or parasthesia
 Transient flitting sensory disturbances
(parasthesia or numbness) lasting minutes
to hours
 uncomplicated Bell’s palsy
 fatigue as isolated or predominant
symptom
 chronic dizziness/ light-headedness
 “weakness” in setting of musculoskeletal
pain/tenderness
 atypical facial pain
What is not MS….
Sensory symptoms from other
neurological disorders (and should
be referred……)
Keep in mind a
little bit of
neuroanatomy…
………
Radiculopathies (pain!)
Entrapment
neuropathies
CTS
Ulnar
Lateral Cutaneous Nerve
(meralgia parasthetica)
Common peroneal Nerve
Management of relapses
 Nothing (especially sensory)
 Steroids
Oral 500mg methlypred for 5 days
IV 1000mg for 3 days
Disease modifying therapy
- First line
 Five licensed therapies
 Interferon-β
• Avonex
• Betaferon
• Extavia
• Rebif
 Copaxone
 Prescribed under ABN
guidelines
† Measured as the total over 2 years
‡ The Avonex trial required a sustained progression for 6 months; the Rebif trial, for 3 months; and the Copaxone trial, for 3 months
First line DMTs
Summary of results from pivotal phase 3 trials
Agent Dosage Reduction in
relapses, % †
Relapse-free
patients, % †
Interferon beta-1b
(Betaferon)
8 mIU (250 µg)
SC every other
day
34 31
Interferon beta-1a
(Avonex)
30 µg
IM once weekly 32 38
Interferon beta-1a
(Rebif)
22 µg
SC 3 times
weekly
29 27
44 µg
SC 3 times
weekly
32 32
Glatiramer acetate
(Copaxone)
20 mg
SC once daily 29 34
Adapted from Galetta S, et al. Arch Int Med 2002; 162; 2161-2169
Beyond one third relapse
reduction…..
New Disease
Modifying therapies.
Natalizumab (Tysabri)
- A humanised monoclonal antibody
Leukocyte entry to the
nervous system
blood
brain
firm
adhesion
rolling slow
rolling
capture diapedesis
chemokines
(incl. MCP-1/CCR-2)
inflammation
chemokines
selectins integrins
(incl. VLA-4)
migration
Natalizumab (Tysabri)
blood
brain
firm
adhesion
rolling slow
rolling
capture diapedesis
inflammation
selectins integrins
(incl. VLA-4)
Natalizumab: good things
AFFIRM Highly Active* 1
(n= 148 for TYSABRI, 61 for PBO)
81%
64%
reduction in annualised relapse rate vs.
placebo over 2 years (p < 0.001)
reduction in the risk of disability
progression, sustained for 24 weeks, as
assessed over 2 years (p =0.008)
Patients With ≥2 Relapses in Prior Year and ≥1 Gd+ Lesion At
Baseline
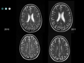
2010 2011
Progressive Multifocal
Leukoencephalopathy (JC virus)
New Oral therapies!
Fingolimod (Gilenya)
“FDA Panel Unanimously Recommends Approval of First Oral MS Drug”
A Food and Drug Administration advisory panel on Thursday unanimously
recommended approval of the first drug for multiple sclerosis (MS) that can be taken
orally.
FREEDOMS:
Annualised relapse rate (ARR) at 2 years (primary endpoint)
Kappos et al, N Engl J Med 2010; 362: 387–410; Cohen et al, Poster P901 presented at ENS 2011; Francis and Haering, April 2011; data on file
Negative binomial regression model adjusted for treatment group, country, number of relapses in previous two years and baseline EDSS. Bars represent the 95%
CI; ARR, annualised relapse rate; DMT, disease-modifying treatment. Based on efficacy and safety profile, fingolimod 0.5 mg/day is the only approved dose for
the treatment of MS
0
0.18
(0.15–0.22)
0.40
(0.34–0.47)
0.1
0.2
0.3
0.4
ARR
Placebo
(n=418)
Fingolimod 0.5 mg
(n=425)
-54%
p<0.001
Possibly not so good things
about fingolimod
 completely new class of drug (SIP1
inhibitor)
 slows heart on first dose
 Macular oedema risk
 2 deaths
herpes encephalitis
Disseminated chicken pox
no long term safety data
Teratogenicity?
31% reduction
 inhibits dihydroorotate dehydrogenase
(DHODH),
- a mitochondrial enzyme involved in de
novo pyrimidine synthesis (needed for the
proliferation of activated lymphocytes).
 LFT’s! – needs 2 weekly bloods for 6 months!
 Hair thinning/alopecia
 Stays in system a long time (up to 2 years)
so pregnancy effects?
Others dues soon….!
 Tecfidera (dimethy fumarate - oral)
 Lemtrada (Alemtuzemab – infusion)
Dr Guadagno: MS Senory Symptoms

Dr Guadagno: MS Senory Symptoms

  • 1.
    “Have I gotMS?” - advice on sensory symptoms Joe Guadagno Royal Victoria Infirmary Newcastle upon Tyne
  • 2.
    Outline  Brief reminderof MS:  Incidence, dermographics  Usual presenting features  Helpful basic tips?  Temporal evolution of sensory symptoms  What are the typical sensory symptoms of MS?  What is not typical for MS……  Other neurological conditions with sensory symptoms  New DMT’s – brief update!
  • 3.
    Statistics  Commonest causeof acquired neurological disability in young people  Prevalence in UK (~1990s):  NI 168/100 000 • (?230 2006)  Tayside 184/100 000  NE England ?150/100 000 (1:650)  F:M 3:1
  • 4.
    What is MS? Clinical diagnosis  Loosest definition: 1. At least 2 episodes of CNS dysfunction (relapses/attacks/exacerbations) 2. ‘disseminated in time and space’ 3. not explained by something else
  • 5.
  • 6.
  • 7.
    relapsing/ remitting primaryprogressive Patterns of MS secondary progressive 85% 15%
  • 8.
    relapsing/ remitting primaryprogressive Patterns of MS secondary progressive 85% 15% (‘benign’) 5%
  • 9.
    Aetiology  genetic 1 in6 cases have affected relative 1 in 650 general population 1 in 50 chance if one affected parent but only 30% concordance in identical twins
  • 10.
  • 11.
  • 12.
    Genetic and environmental? migration studies – environmental hit acquired in childhood (15yr) – repeated or prolonged exposure – latency  infections? EBV?  vitamin D/sunlight?  Hygiene Hypothesis – ‘idle immune system’  - acquired disease in a genetically susceptible individual: cumulative insults?
  • 13.
  • 14.
  • 15.
    Common presentations (relapses)  transversemyelitis  brainstem syndromes  optic neuritis  paroxysmal symptoms
  • 16.
     The durationof the attack should be longer than 24 hours!  And not in the context of an infection (pseudorelapse)
  • 17.
     Helpful tip(when addressing sensory symptoms) – remember the temporal evolution of relapses
  • 18.
    Typical ON -Recovery VisualFunction 1 to 2/52 3 to 5/52
  • 20.
    What are thetypical sensory symptoms of MS? (Nb around 35% of presenting symptoms are sensory (Olec 2005 and Paty et al 1994)) • ascending numbness starting in the feet; • bilateral hand numbness; • Hemiparesthesia (rare thalamic presentation); • dysesthesia in the whole of one limb (or non dermatomal); • “sunburn” feeling or “itch” in a non-dermatomal patch • MS ‘Hug’ • Facial sensory disturbance and typical TN • Lhermittes phenomena
  • 21.
     Whole bodynumbness or parasthesia  Transient flitting sensory disturbances (parasthesia or numbness) lasting minutes to hours  uncomplicated Bell’s palsy  fatigue as isolated or predominant symptom  chronic dizziness/ light-headedness  “weakness” in setting of musculoskeletal pain/tenderness  atypical facial pain What is not MS….
  • 22.
    Sensory symptoms fromother neurological disorders (and should be referred……)
  • 23.
    Keep in minda little bit of neuroanatomy… ………
  • 24.
  • 25.
  • 27.
    Management of relapses Nothing (especially sensory)  Steroids Oral 500mg methlypred for 5 days IV 1000mg for 3 days
  • 28.
    Disease modifying therapy -First line  Five licensed therapies  Interferon-β • Avonex • Betaferon • Extavia • Rebif  Copaxone  Prescribed under ABN guidelines
  • 29.
    † Measured asthe total over 2 years ‡ The Avonex trial required a sustained progression for 6 months; the Rebif trial, for 3 months; and the Copaxone trial, for 3 months First line DMTs Summary of results from pivotal phase 3 trials Agent Dosage Reduction in relapses, % † Relapse-free patients, % † Interferon beta-1b (Betaferon) 8 mIU (250 µg) SC every other day 34 31 Interferon beta-1a (Avonex) 30 µg IM once weekly 32 38 Interferon beta-1a (Rebif) 22 µg SC 3 times weekly 29 27 44 µg SC 3 times weekly 32 32 Glatiramer acetate (Copaxone) 20 mg SC once daily 29 34 Adapted from Galetta S, et al. Arch Int Med 2002; 162; 2161-2169
  • 30.
    Beyond one thirdrelapse reduction….. New Disease Modifying therapies.
  • 31.
    Natalizumab (Tysabri) - Ahumanised monoclonal antibody
  • 32.
    Leukocyte entry tothe nervous system blood brain firm adhesion rolling slow rolling capture diapedesis chemokines (incl. MCP-1/CCR-2) inflammation chemokines selectins integrins (incl. VLA-4) migration
  • 33.
    Natalizumab (Tysabri) blood brain firm adhesion rolling slow rolling capturediapedesis inflammation selectins integrins (incl. VLA-4)
  • 34.
    Natalizumab: good things AFFIRMHighly Active* 1 (n= 148 for TYSABRI, 61 for PBO) 81% 64% reduction in annualised relapse rate vs. placebo over 2 years (p < 0.001) reduction in the risk of disability progression, sustained for 24 weeks, as assessed over 2 years (p =0.008) Patients With ≥2 Relapses in Prior Year and ≥1 Gd+ Lesion At Baseline
  • 35.
  • 36.
  • 37.
    New Oral therapies! Fingolimod(Gilenya) “FDA Panel Unanimously Recommends Approval of First Oral MS Drug” A Food and Drug Administration advisory panel on Thursday unanimously recommended approval of the first drug for multiple sclerosis (MS) that can be taken orally.
  • 38.
    FREEDOMS: Annualised relapse rate(ARR) at 2 years (primary endpoint) Kappos et al, N Engl J Med 2010; 362: 387–410; Cohen et al, Poster P901 presented at ENS 2011; Francis and Haering, April 2011; data on file Negative binomial regression model adjusted for treatment group, country, number of relapses in previous two years and baseline EDSS. Bars represent the 95% CI; ARR, annualised relapse rate; DMT, disease-modifying treatment. Based on efficacy and safety profile, fingolimod 0.5 mg/day is the only approved dose for the treatment of MS 0 0.18 (0.15–0.22) 0.40 (0.34–0.47) 0.1 0.2 0.3 0.4 ARR Placebo (n=418) Fingolimod 0.5 mg (n=425) -54% p<0.001
  • 39.
    Possibly not sogood things about fingolimod  completely new class of drug (SIP1 inhibitor)  slows heart on first dose  Macular oedema risk  2 deaths herpes encephalitis Disseminated chicken pox no long term safety data Teratogenicity?
  • 40.
  • 41.
     inhibits dihydroorotatedehydrogenase (DHODH), - a mitochondrial enzyme involved in de novo pyrimidine synthesis (needed for the proliferation of activated lymphocytes).  LFT’s! – needs 2 weekly bloods for 6 months!  Hair thinning/alopecia  Stays in system a long time (up to 2 years) so pregnancy effects?
  • 42.
    Others dues soon….! Tecfidera (dimethy fumarate - oral)  Lemtrada (Alemtuzemab – infusion)

Editor's Notes

  • #37 In the upper row on the left, CT shows lesions fewer lesions and reveals a smaller affected area than MRI. In the middle column a large, hypointense lesion can be seen in the region of the right occipital lobe (angular gyrus and intraparietal sulcus) in a T1 weighted image. On the right, a T2 weighted image reveals the typical, multifocal affection of PML with additional lesions in the white matter of the left frontal lobe and the white matter of the tempoaral and occipital lobe. Note sparing of grey matter. In the lower row, CT shows contrast enhancement in the right cerebral peduncles as does MRI with Gadolineum in the middle column. On the right, T2-weighted imaging, an additional hyperintense lesion can be seen in the white matter in the inferior posterior temporal gyrus on the right.