Double Outlet Right Ventricle
(DORV)
Dr Thabit Ahmed
DNB Cardiology SR
NH
Guideline DORV
Definition
Double Outlet Right Ventricle (DORV) represents
a spectrum of congenitally malformed hearts
in which the circumference of both arterial valves,
or the greater part of both circumferences,
are supported by the right ventricle
100 % + 100 % 100 % + > 50 %
prevalence: • 1-3 % of cardiac defects • 0.09/ 1000 live births
or 4.5% of necropsy series
Guideline DORV
Definition
Mahle WT et al. Cardiol Young 2008; 18(Suppl. 3): 39–51
> 150 % rule
 50% Rule(At least 50% each GA’s from RV)
 200% rule(Both the GA’s completely from RV)
 Aortomitral discontinuity is must
[ To differentiate from TOF with significant aortic
override but maintained aortomitral continuity ]
Guideline DORV
Definition
Double Outlet Right Ventricle (DORV) represents a
spectrum of congenitally malformed hearts
in which the circumference of both arterial valves,
or the greater part of both circumferences,
are supported by the right ventricle
• same ventriculo-arterial connection, but variations in
- infundibular morphology
- arterial interrelationship
- coronary arterial anatomy
• any arrangement of the atrial appendages, or situs
• any atrioventricular connection
• multiple combinations of associated malformations
1.Walters III HL, Mavroudis C, Tchervenkov CI, et al. Congenital Heart Surgery
Nomenclature and Database Project: double outlet right ventricle. Ann Thorac Surg
2000;69(Suppl. 4):63.
2. Becker AE, Anderson RH. Double outlet ventricles. In: Becker AE,Anderson RH,
editors. Pathology of Congenital Heart Disease.London: Butterworths; 1981. p. 297–307.
3. Howell CE, Ho SY, Anderson RH, Elliott MJ. Variations within the fibrous skeleton and
ventricular outflow tracts in tetralogy of Fallot. Ann Thorac Surg 1990;50:450–457.
4. Lev M, Bharati S, Meng CC, et al. A concept of double-outlet right ventricle. J Thorac
Cardiovasc Surg 1972;64:271–281.
5. Van Praagh R. What is the Taussig-Bing malformation? Circulation 1968;38:445–449.
6. Bacha EA. Ventricular septal defect and double-outlet right ventricle. In: Sellke FW,
del Nido PJ, Swanton SJ, editors. Sabiston & Spencer Surgery of the Chest. 7th ed.
Philadelphia: Elsevier Saunders; 2005. p. 1981–1997.
7. Jonas RA. Double outlet right ventricle. In: Jonas RA, DiNardo J,Laussen PC, et al.,
editors. Comprehensive Surgical Management of Congenital Heart Disease. London:
Arnold; 2004. p. 413–428.
8. Anderson RH, McCarthy K, Cook AC. Continuing medical education: double outlet
right ventricle. Cardiol Young 2001;11:329–344.
9. Lacour-Gayet F. Intracardiac repair of double outlet right ventricle. Semin Thorac
Cardiovasc Surg Pediatr Card Surg Annu 2008;39–43.
1703 • The earliest report in French
1793
• John Abernathy,an assistant surgeon at St Bartholomew’s
Hospital in London, described “partial transposition”
1898
• Karl von Vierordt called double outlet right ventricle
partial transposition to signify that the aorta was
transposed but the pulmonary trunk was normally aligned
1957
• Witham introduced double outlet right ventricle as a
diagnostic term for a partial transposition complex
 Isolated /With extracardiac anomalies
 Incidence:0.03 to 0.14 per 1000 live births
 1% of all CHD
 Association: coarctation, aortic arch
hypoplasia, or interrupted aortic arch—
particularly at the transposition end of the
spectrum, right atrial isomerism
 Chromosomal abnormalities :Trisomy
13,trisomy 18, 22q11 deletion.
Common arterial trunk arises from the RV-as the
common trunk separates
into the two great vessels, they both arise from
the RV for a period of time.
Regression of muscle between the aorta and the
mitral valve results in the
aorta arising from the left ventricle in fibrous
continuity with the mitral
valve. In some situations the muscle between the
mitral and aortic valve does not regress, resulting
in what is known as a persistent left
ventriculoinfundibular fold (VIF). An alternative
term is persistent left-sided conus. A persistent
left VIF can be, but is not necessarily,associated
with DORV.
Guideline DORV
Mahle WT et al. Cardiol Young 2008; 18(Suppl. 3): 39–51
‚Interventricular communication‘ vs ‚VSD‘
Guideline DORV
Classification of the interventricular communication / VSD
according to its location in relation to the great arteries
• subaortic (65%)
• subpulmonary (20-25%)
• doubly committed (3%)
• non committed (7%)
spatial relationship of the semilunar cusps in hearts with DORV
Guideline DORV
HISTORY
 VSD flow obligatory , murmur from birth and
does not await fall in pulmonary vas res
 VSD murmur intensity increases as PVR falls
 Volume over load of LV ---- CCF poor growth
and development
 Cyanosis – mild/absent LV >>AORTA and
RV>>PA
 As PVR rises LV volume load reduces
 Transient neonatal cyanosis
 Catabolic apearance due to CCF
 As PVR rises LV LOAD reduces and CCF
resolves with appearance of clubbing
cyanosis (Eisenmenger)
 Trisomy 18 ,clinodactyly, rocker bottom feet
and lax skin
JVP
 A, V and mean pressure elevated when there is
bi vent failure
 JVP normalises as PVR rises
Precordial findings
 Harrisons grooves (chronic dyspnea)
 RV impulse, impulse of dilated hypertensive
pulmonary trunk, palpable pulmonary valve
closure sound
 As PVR rises LV inconspicuous RV impulse persists

Auscultation
 S1 soft as PR is prolonged usually
 When PVR low VSD has holosystolic murmur 3rd
and 4th ICS left sternal border
 P2 loud (ant and dil pulm trunk)
 A2 loud when aortic valve side by side rather
than posterior
 Inspiratory splitting of S2 preserved until
PVR<SVR
 Increased flow across mitral valve (MDM)
 As PVR rises VSD murmur –decrescendo , softer
but does not disappear as LV to Ao flow is
obligatory ( diff from Eisenmenger)
 PR prolongation common (long course of
common AV bundle)
 Bi atrial enlargement
 Left axis deviation , counter clockwise
depolarization (DORV sub Ao VSD no PS)
 RVH
 LV volume over load
 CXR in DORV sub Ao VSD low PVR similar to
non restrictive peri mem VSD with high Qp
 Thymus is present in DORV TGA end of spectrum
unlike D-TGA wherein thymus typically absent
 Pulmonary trunk prominent (side by side
arteries)
 LA LV prominent in volume overload
 RA RV prominent with CCF
 Lung fields oligemic before fall in neonatal PVR
and with onset of pulmonary vascular disease
(semblance with non res VSD with EISENMENGER)
Delineation of :
 RV origin and spatial relationships of great
vessels
 Infundibular septum
 Size of VSD and relation to semilunar valves
 Mitral semilunar continuity
 AV valve tensor apparatus
 Single coronary artery in 11%
subaortic VSD
• size in relation to the diameter of the aorta
• distance between VSD and aortic valve
• presence and severity of a subpulmonary obstruction
• subcostal coronal and sagittal planes; parasternal long axis
Guideline DORV
subaortic VSD
Guideline DORV
subaortic VSD
parasternal long axis
Ao
Ao
LV LA
Guideline DORV
subaortic VSD
Subcostal TEE
Ao
RV
PA
RV
RV
Ao
Ao
subaortic VSD with severe subpulmonary obstruction
Guideline DORV
subaortic VSD
PA
PS ---50%
Resembles Fallots tetrology
 History and physical exam:
PS varies from mild to severe to atresia
Cyanotic pts with squatting episodes
Clinical course better in presence of PS as Qp is
regulated
 JVP and art pulse
A wave is normal as RV ejects at but not above
systemic pressure without increased contractile
force of RA
Arterial pulse normal as both ventricles ejecting
into Ao
 Precordial findings
RV impulse is analogous to that in a normal
neonatal heart as stenosis is sub pulmonary
Systolic thrill max at 3rd ICS Lt parasternal
LV impulse reduced in cyanotic pts as LV is
underfilled
 Auscultation
In Mild PS ---VSD murmur holosystolic and mid
systolic murmur of PS, P2 delayed , incresed
flow across mitral valve, S3 –MDM
Severe PS or Atresia==cyanotic Fallots,
duration of PS murmur related to PS severity
Pulmonary atresa : ejection sound and soft soft
mid systolic murmur of flow into dilated Ao
and loud single S2 (A) , EDM of AR
 ECG
Right atrial enlargement (RV-systemic)
Left atrial P waves in mild PS
AXIS and rotation similar to DORV without PS in
mild PS
In severe PS Axis is rightward with counter
clockwise rotation (not seen in Fallots)
 CXR
Pulmonary trunk not dilated as stenosis sub
pulm
LV enlarged in PS mild, severe PS Oligemia with
normal heart size
In pulm atresia ascending aorta enlarged ,
apex boot shaped (MPA segment concave)
Guideline DORV
subpulmonary VSD
Taussig-Bing malformation:
• DORV with subpulmonary VSD
• semilunar valves side-by-side
• no subpulmonary obstruction
• semilunar valves and AV-valves separated by conal septum
 Resemble TGA with non restrictive VSD
 But 50% have associated arch malformations
– coarct, isthmic hypoplasia, interruption,
PDA, sub Ao stenosis
HISTORY:
Cyanosis from birth (RV-Ao flow obligatory)
As neonatal PVR falls LV to PA flow across VSD
(SUB PUL) , Qp increases..cyanosis reduces!
Associated coarct Ao increases Qp and worsens
clinical course
As PVR rises CCF ameliorates.. Cyanosis sets in
but longevity increases..
 CCF with catabolic state in infancy (O/E)
 As PVR rises growth and development improves
 Suprasystemic PVR results in reverse diff cyanosis (ductal flow)
 Trisomy 18
Pulse and JVP
 Peripheral pulses (Coarct Ao) pulse may be normal if pda distal to
coarct…
 A, V mean pressure increased (bi vent failure)
 With Increased PVR CCF reduces
Precordial exam
 Prominent RV impulse, hypertensive pulm trunk
 Palpable P2
 Volume loaded LV, LV impulse..
 VSD sub pulmonary: thrill 2nd left ICS
 FINDINGS DIMINISH AS PVR rises
AUSCULTATION
 VSD murmur, P2 loud with preserved splitting as long as PVR low
 Apical MDM when Qp high
 Pulmonary ejection sound , soft mid systolic murmur, Graham
Steell murmur (dil hypertensive pulm trunk)
 S2 loud single (simultaneous closure)
 ECG
PR prolongation less common
Bi atrial P wave : LA volume over load and RV failure.
QRS axis rightward and clockwise rotation (resembles
complete TGA with non restrictive VSD)
RVH
Volume overload LV
 CXR
Pulmonary vascularity increased, CCF
LA ,LV enlarged, pulmonary trunk dilated seen prominently (
side by side great vessels), when pulm trunk posterior ..
Not border forming (resembles TGA)
With onset of pul vasc disease LV volume load curtailed
Pulmonary trunk dilation persists (resembles non res VSD
with Eisenmenger)
 ECHO
DELINEATE : sub pulmonary VSD , Over ride of
Pulm trunk over VSD, Absent PS, coexistence
of sub aortic stenosis, coarc Ao, and PDA
Guideline DORV
non-committed VSD
Guideline DORV
subpulmonary VSD
• size in relation to the diameter of the pulmonary artery
• presence and severity of a subpulmonary obstruction
• subcostal coronal and parasternal long axis planes
Guideline DORV
subpulmonary VSD
RV
RV
PA
PA
Guideline DORV
subpulmonary VSD
PA
RV
 AV node and bundle of His pathways follow
the normal pathways for specific AV
connections.
 The VSD in DORV is frequently in the
perimembranous location position and
thereby is in jeopardy at the time of surgical
repair at the margin of the tricuspid annulus
and VSD closest to the crux of the heart.
 DORV associated with AV discordance has
conduction pathways that match the AV
discordance, that is, anterior to the typical
VSD where it is associated with the PA.
•Pulmonary stenosis 40-70% of DORV Sub Aort
VSD
•( Under developed subpulm conus/ stenotic
bicuspid pulm valve)
•PS exceptional in sub pulmonary VSD
•VSD non restrictive is advantageous ..
Restrictive VSD is a form of sub aortic stenosis
•Under developed sub aortic infundibulum in 50%
of sub aortic VSD
•One third of pts with straddling AV valves have
DORV
•Biventricular commitment of AV annulus
(Overriding) not in DORV
TOF - type
subaortic VSD
Double Outlet Right Ventricle
valvular / subvalvular PS
biventricular repair 1-6 mo
(VSDclosure)
Malposition of the great arteries, which arise completely (100% + 100%) or with the greater part of their circumference (100% + > 50%) from the right ventricle
‚doubly committed‘ ‚non committed‘subpulmonary VSD AVSD / heterotaxy
pulmonary hyperperfusion;
congestive heart failure
reduced lung perfusion;
mild  severe cyanosis
TGA - typeVSD - type
severe cyanosis;
congestive heart failure
biventricular repair < 1 mo
(VSD-closure +
arterial switch)
biventricular repair 4-12 mo
(VSD closure +
relief of RVOTO)
complex DORV
clinical symptoms determined by
concommittant malformations
interventricular
communication in
relation to the
great arteries
clinical symptoms
clinical subtype
biventricular repair 2-6 years
(complex intracardiac tunneling
+/- VSD incision / arterial switch)
or
definitive univentricular palliation
surgical strategy
concommittant
malformations
aortic coarctation
(in ~ 50 %)
• right atrial
isomerism
• TAPVD
• l-SVC
• subpulmonary
obstruction
subpulmonary
obstructionNo valvular / subvalvular PS
Guideline DORV
Guideline DORV
Diagnostics
Goal:
displaying cardiac anatomy with emphasis on potential
surgical biventricular repair (feasibility of tunneling the
interventricular communication to one or other arterial trunk)
• position, size, interrelationship, course of the great arteries
• morphology and size of the interventicular communication
/ the VSD in relation to diameter of the aortic valve
• location and severity of a subpulmonary or subaortic
obstruction
• morphology and size of both ventricles and AV-valves
Methods:
• Echocardiography • Angiography (Cath./MRT/CT)
Guideline DORV
doubly committed VSD
• size and distance of the VSD to the aorta / pulmonary artery
• presence and severity of a subpulmonary obstruction
• subcostal coronal and sagittal planes
Guideline DORV
non-committed VSD
• location and size; distance to semilunar valves
• presence and severity of a subpulmonary obstruction
• subcostal coronal / 4 C views
LV
Ao
Ao
PA
RV
RV
LV
Guideline DORV
non-committed VSD
 Diagnosis is DORV
 Differentiate from TOF
 Location of the VSD
 Disposition of great arteries
 PS or no PS
 Size of VSD
 TTE
Most of the anatomic and physiologic
 TEE
Complex AV arrangements such as straddle or override.
 Cyanosis
? Decreased pulmonary blood flow
?Eisenmenger complex
 MRI
 Intracardiac anatomy
 GA’s relationship
 AV valves
 Cardiac catheterization
 PVD
 Coronary course
Guideline DORV
medical treatment
• PG E in duct dependent pts with severe subpulmonary
obstruction
• diuretics, ß-blockers, … in pts with pulmonary
hypercirculation and congestive heart failure
catheter intervention
• TOF-type: balloon valvuloplasty; ductal stent; RVOT stent
• TGA-type: BAS
surgical palliation
• TOF-type: modified BT-shunt if primary repair is not suitable
or considered ‚high risk‘
• PAB in ncVSD to delay complex intraventricular repair
Guideline DORV
Surgical Repair
VSD - type
• VSD closure in the age of 1 to 6 months
- some pts need enlargement of the VSD (> 4/5 aortic annulus);
cave: AV-Block
TOF - type
• VSD closure and relief of subpulmonary obstruction in
the age of 4 to 12 months
+/- muscular and transjunctional incision or patch enlargement
TGA - type
• neonatal corrective surgery with arterial switch, VSD closure
+/- resection of aortic coarctation / aortic arch reconstruction
+/- resection of subaortic infundibulum
cave: coronary artery anomalies
• alternatively ‚Rastelli - type repair‘: baffling of the left ventricle to both
arterial valves and placement of a conduit from RV to the pulmonary trunk
Guideline DORV
Surgical Repair
Subpulmonary VSD with valvular/subvalvular pulm. stenosis
• ‚Kawashima-OP‘ • ‚Rastelli-OP‘
• ‚REV-procedure‘ (Reparation a l‘ Etage Ventriculaire)
• ‚Aortic translocation‘ – ‚Nikaidoh-procedure‘
Kawashima procedure involves an anastomosis of the cranial
end of the SVC to the PA (similar to a bidirectional Glenn
procedure) and diverts all lower-body venous return to the PAs
except hepatic venous return
 Rastelli repair
 REV procedure
The REV procedure (réparation à l’étage
ventriculaire) entails division of the main PA with
extensive mobilization,translocation of the PA
anterior to aorta (Lecompte maneuver),and
direct connection of the PA to the RV, thus
eliminating the use of prosthetic materials]
 Nikaidoh repair
The Nikaidoh procedure is an aortic root
translocation procedure into the enlarged
pulmonary root position. A right ventricle-to-
pulmonary artery (RV-PA) conduit is then placed].
Complex DORV
• biventricular repair aged 2-6 years:
complex intraventricular baffling (LV  Ao/PA)
+/- VSD enlargement +/- arterial switch
• definitive functionally univentricular palliation
Guideline DORV
Surgical Repair
Guideline DORV
Surgical Repair
Percent of Great Vessels Arising from the RV
DORV 200 % > 150 % technical difficulty
‚VSD – type‘ no yes simple
‚Fallot – type‘ no yes average
‚TGA – type‘ no yes important
DORV-AVSD yes yes major
DORV ncVSD yes yes major
Implications of the 200 % rule (‚true‘ DORV)
Modified from: F. Lacour-Gayet: Intracardiac Repair of Double Outlet Right Ventricle
Semin Thorac Cardiovasc Surg Pediatr Card Surg Ann 2008;11:39-43
 Intraventricular tunnel repair (VSD to aorta)
 If VSD is more anterior-cephalward like TOF
then
 TOF like repair can be done
 4C repair may be attempted but at the cost
of future intraventricular obstruction
 Palliation
 Choice-1
Single-ventricle palliation for children with
remote VSDs typically involve a PA band as a
neonate followed by a bidirectional
cavopulmonary connection at around 6 months of
age. A Fontan procedure is typically performed
between 18 months and 4 years of age.
Choice-2
Long intraventricular conduit into aorta at the
cost of frequent obstraction
 Subaortic obstruction
 Subpulmonary obstruction
 AV valve regurgitation
 Conduit failure (with stenosis and or regurgitation)
 Neoaortic regurgitation (following arterial switch
procedures)
 Coarctation or recoarctation of the aorta
 Small or dysfunctional RV (may relate to complex
intracardiac repair)
 Rhythm problems such as heart block, atrial arrhythmia,
and
 ventricular arrhythmia
 Sudden death
 Endocarditis
 Thromboembolic phenomena
Guideline DORV
prognosis
• biventricular repair achievable in most pts
• increased operative risk determined by concommittant
malformations:
• aortic arch obstructions • AV-valve anomalies
• coronary arterial anomalies • LV hypoplasia
• multiple VSDs
Residual lesions requiring
reinterventions after surgical repair
Guideline DORV
• Depending on different morphology and type of previous
surgical repair
• TOF – type: - pulmonary valve incompetence
- residual subpulmonary obstruction
• RV-PA-conduit: definitive reoperation for conduit replacement
(stenosis, incompetence, size-mismatch in growing children)
• complex intracardiac baffling: subaortic obstruction
 biventrcular surgical repair has a much higher rate of
reintervention than a strategy of functionally
univentricular palliation
Dorv thab
Dorv thab

Dorv thab

  • 1.
    Double Outlet RightVentricle (DORV) Dr Thabit Ahmed DNB Cardiology SR NH
  • 2.
    Guideline DORV Definition Double OutletRight Ventricle (DORV) represents a spectrum of congenitally malformed hearts in which the circumference of both arterial valves, or the greater part of both circumferences, are supported by the right ventricle 100 % + 100 % 100 % + > 50 % prevalence: • 1-3 % of cardiac defects • 0.09/ 1000 live births or 4.5% of necropsy series
  • 3.
    Guideline DORV Definition Mahle WTet al. Cardiol Young 2008; 18(Suppl. 3): 39–51 > 150 % rule
  • 4.
     50% Rule(Atleast 50% each GA’s from RV)  200% rule(Both the GA’s completely from RV)  Aortomitral discontinuity is must [ To differentiate from TOF with significant aortic override but maintained aortomitral continuity ]
  • 5.
    Guideline DORV Definition Double OutletRight Ventricle (DORV) represents a spectrum of congenitally malformed hearts in which the circumference of both arterial valves, or the greater part of both circumferences, are supported by the right ventricle • same ventriculo-arterial connection, but variations in - infundibular morphology - arterial interrelationship - coronary arterial anatomy • any arrangement of the atrial appendages, or situs • any atrioventricular connection • multiple combinations of associated malformations
  • 6.
    1.Walters III HL,Mavroudis C, Tchervenkov CI, et al. Congenital Heart Surgery Nomenclature and Database Project: double outlet right ventricle. Ann Thorac Surg 2000;69(Suppl. 4):63. 2. Becker AE, Anderson RH. Double outlet ventricles. In: Becker AE,Anderson RH, editors. Pathology of Congenital Heart Disease.London: Butterworths; 1981. p. 297–307. 3. Howell CE, Ho SY, Anderson RH, Elliott MJ. Variations within the fibrous skeleton and ventricular outflow tracts in tetralogy of Fallot. Ann Thorac Surg 1990;50:450–457. 4. Lev M, Bharati S, Meng CC, et al. A concept of double-outlet right ventricle. J Thorac Cardiovasc Surg 1972;64:271–281. 5. Van Praagh R. What is the Taussig-Bing malformation? Circulation 1968;38:445–449. 6. Bacha EA. Ventricular septal defect and double-outlet right ventricle. In: Sellke FW, del Nido PJ, Swanton SJ, editors. Sabiston & Spencer Surgery of the Chest. 7th ed. Philadelphia: Elsevier Saunders; 2005. p. 1981–1997. 7. Jonas RA. Double outlet right ventricle. In: Jonas RA, DiNardo J,Laussen PC, et al., editors. Comprehensive Surgical Management of Congenital Heart Disease. London: Arnold; 2004. p. 413–428. 8. Anderson RH, McCarthy K, Cook AC. Continuing medical education: double outlet right ventricle. Cardiol Young 2001;11:329–344. 9. Lacour-Gayet F. Intracardiac repair of double outlet right ventricle. Semin Thorac Cardiovasc Surg Pediatr Card Surg Annu 2008;39–43.
  • 7.
    1703 • Theearliest report in French 1793 • John Abernathy,an assistant surgeon at St Bartholomew’s Hospital in London, described “partial transposition” 1898 • Karl von Vierordt called double outlet right ventricle partial transposition to signify that the aorta was transposed but the pulmonary trunk was normally aligned 1957 • Witham introduced double outlet right ventricle as a diagnostic term for a partial transposition complex
  • 8.
     Isolated /Withextracardiac anomalies  Incidence:0.03 to 0.14 per 1000 live births  1% of all CHD  Association: coarctation, aortic arch hypoplasia, or interrupted aortic arch— particularly at the transposition end of the spectrum, right atrial isomerism  Chromosomal abnormalities :Trisomy 13,trisomy 18, 22q11 deletion.
  • 9.
    Common arterial trunkarises from the RV-as the common trunk separates into the two great vessels, they both arise from the RV for a period of time. Regression of muscle between the aorta and the mitral valve results in the aorta arising from the left ventricle in fibrous continuity with the mitral valve. In some situations the muscle between the mitral and aortic valve does not regress, resulting in what is known as a persistent left ventriculoinfundibular fold (VIF). An alternative term is persistent left-sided conus. A persistent left VIF can be, but is not necessarily,associated with DORV.
  • 10.
    Guideline DORV Mahle WTet al. Cardiol Young 2008; 18(Suppl. 3): 39–51 ‚Interventricular communication‘ vs ‚VSD‘
  • 11.
    Guideline DORV Classification ofthe interventricular communication / VSD according to its location in relation to the great arteries • subaortic (65%) • subpulmonary (20-25%) • doubly committed (3%) • non committed (7%)
  • 14.
    spatial relationship ofthe semilunar cusps in hearts with DORV Guideline DORV
  • 18.
    HISTORY  VSD flowobligatory , murmur from birth and does not await fall in pulmonary vas res  VSD murmur intensity increases as PVR falls  Volume over load of LV ---- CCF poor growth and development  Cyanosis – mild/absent LV >>AORTA and RV>>PA  As PVR rises LV volume load reduces
  • 19.
     Transient neonatalcyanosis  Catabolic apearance due to CCF  As PVR rises LV LOAD reduces and CCF resolves with appearance of clubbing cyanosis (Eisenmenger)  Trisomy 18 ,clinodactyly, rocker bottom feet and lax skin
  • 21.
    JVP  A, Vand mean pressure elevated when there is bi vent failure  JVP normalises as PVR rises Precordial findings  Harrisons grooves (chronic dyspnea)  RV impulse, impulse of dilated hypertensive pulmonary trunk, palpable pulmonary valve closure sound  As PVR rises LV inconspicuous RV impulse persists 
  • 22.
    Auscultation  S1 softas PR is prolonged usually  When PVR low VSD has holosystolic murmur 3rd and 4th ICS left sternal border  P2 loud (ant and dil pulm trunk)  A2 loud when aortic valve side by side rather than posterior  Inspiratory splitting of S2 preserved until PVR<SVR  Increased flow across mitral valve (MDM)  As PVR rises VSD murmur –decrescendo , softer but does not disappear as LV to Ao flow is obligatory ( diff from Eisenmenger)
  • 24.
     PR prolongationcommon (long course of common AV bundle)  Bi atrial enlargement  Left axis deviation , counter clockwise depolarization (DORV sub Ao VSD no PS)  RVH  LV volume over load
  • 28.
     CXR inDORV sub Ao VSD low PVR similar to non restrictive peri mem VSD with high Qp  Thymus is present in DORV TGA end of spectrum unlike D-TGA wherein thymus typically absent  Pulmonary trunk prominent (side by side arteries)  LA LV prominent in volume overload  RA RV prominent with CCF  Lung fields oligemic before fall in neonatal PVR and with onset of pulmonary vascular disease (semblance with non res VSD with EISENMENGER)
  • 31.
    Delineation of : RV origin and spatial relationships of great vessels  Infundibular septum  Size of VSD and relation to semilunar valves  Mitral semilunar continuity  AV valve tensor apparatus  Single coronary artery in 11%
  • 32.
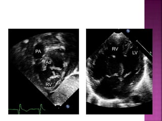
    subaortic VSD • sizein relation to the diameter of the aorta • distance between VSD and aortic valve • presence and severity of a subpulmonary obstruction • subcostal coronal and sagittal planes; parasternal long axis Guideline DORV subaortic VSD
  • 33.
  • 34.
  • 35.
    RV RV Ao Ao subaortic VSD withsevere subpulmonary obstruction Guideline DORV subaortic VSD PA
  • 36.
    PS ---50% Resembles Fallotstetrology  History and physical exam: PS varies from mild to severe to atresia Cyanotic pts with squatting episodes Clinical course better in presence of PS as Qp is regulated  JVP and art pulse A wave is normal as RV ejects at but not above systemic pressure without increased contractile force of RA Arterial pulse normal as both ventricles ejecting into Ao
  • 37.
     Precordial findings RVimpulse is analogous to that in a normal neonatal heart as stenosis is sub pulmonary Systolic thrill max at 3rd ICS Lt parasternal LV impulse reduced in cyanotic pts as LV is underfilled  Auscultation In Mild PS ---VSD murmur holosystolic and mid systolic murmur of PS, P2 delayed , incresed flow across mitral valve, S3 –MDM Severe PS or Atresia==cyanotic Fallots, duration of PS murmur related to PS severity Pulmonary atresa : ejection sound and soft soft mid systolic murmur of flow into dilated Ao and loud single S2 (A) , EDM of AR
  • 39.
     ECG Right atrialenlargement (RV-systemic) Left atrial P waves in mild PS AXIS and rotation similar to DORV without PS in mild PS In severe PS Axis is rightward with counter clockwise rotation (not seen in Fallots)  CXR Pulmonary trunk not dilated as stenosis sub pulm LV enlarged in PS mild, severe PS Oligemia with normal heart size In pulm atresia ascending aorta enlarged , apex boot shaped (MPA segment concave)
  • 43.
    Guideline DORV subpulmonary VSD Taussig-Bingmalformation: • DORV with subpulmonary VSD • semilunar valves side-by-side • no subpulmonary obstruction • semilunar valves and AV-valves separated by conal septum
  • 44.
     Resemble TGAwith non restrictive VSD  But 50% have associated arch malformations – coarct, isthmic hypoplasia, interruption, PDA, sub Ao stenosis HISTORY: Cyanosis from birth (RV-Ao flow obligatory) As neonatal PVR falls LV to PA flow across VSD (SUB PUL) , Qp increases..cyanosis reduces! Associated coarct Ao increases Qp and worsens clinical course As PVR rises CCF ameliorates.. Cyanosis sets in but longevity increases..
  • 45.
     CCF withcatabolic state in infancy (O/E)  As PVR rises growth and development improves  Suprasystemic PVR results in reverse diff cyanosis (ductal flow)  Trisomy 18 Pulse and JVP  Peripheral pulses (Coarct Ao) pulse may be normal if pda distal to coarct…  A, V mean pressure increased (bi vent failure)  With Increased PVR CCF reduces Precordial exam  Prominent RV impulse, hypertensive pulm trunk  Palpable P2  Volume loaded LV, LV impulse..  VSD sub pulmonary: thrill 2nd left ICS  FINDINGS DIMINISH AS PVR rises AUSCULTATION  VSD murmur, P2 loud with preserved splitting as long as PVR low  Apical MDM when Qp high  Pulmonary ejection sound , soft mid systolic murmur, Graham Steell murmur (dil hypertensive pulm trunk)  S2 loud single (simultaneous closure)
  • 47.
     ECG PR prolongationless common Bi atrial P wave : LA volume over load and RV failure. QRS axis rightward and clockwise rotation (resembles complete TGA with non restrictive VSD) RVH Volume overload LV  CXR Pulmonary vascularity increased, CCF LA ,LV enlarged, pulmonary trunk dilated seen prominently ( side by side great vessels), when pulm trunk posterior .. Not border forming (resembles TGA) With onset of pul vasc disease LV volume load curtailed Pulmonary trunk dilation persists (resembles non res VSD with Eisenmenger)
  • 49.
     ECHO DELINEATE :sub pulmonary VSD , Over ride of Pulm trunk over VSD, Absent PS, coexistence of sub aortic stenosis, coarc Ao, and PDA
  • 52.
  • 53.
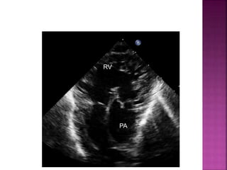
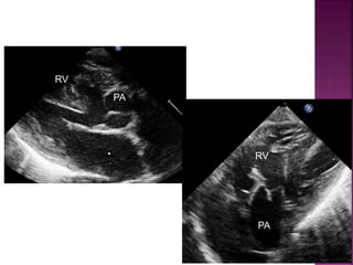
    Guideline DORV subpulmonary VSD •size in relation to the diameter of the pulmonary artery • presence and severity of a subpulmonary obstruction • subcostal coronal and parasternal long axis planes
  • 54.
  • 55.
  • 56.
     AV nodeand bundle of His pathways follow the normal pathways for specific AV connections.  The VSD in DORV is frequently in the perimembranous location position and thereby is in jeopardy at the time of surgical repair at the margin of the tricuspid annulus and VSD closest to the crux of the heart.  DORV associated with AV discordance has conduction pathways that match the AV discordance, that is, anterior to the typical VSD where it is associated with the PA.
  • 57.
    •Pulmonary stenosis 40-70%of DORV Sub Aort VSD •( Under developed subpulm conus/ stenotic bicuspid pulm valve) •PS exceptional in sub pulmonary VSD •VSD non restrictive is advantageous .. Restrictive VSD is a form of sub aortic stenosis •Under developed sub aortic infundibulum in 50% of sub aortic VSD •One third of pts with straddling AV valves have DORV •Biventricular commitment of AV annulus (Overriding) not in DORV
  • 58.
    TOF - type subaorticVSD Double Outlet Right Ventricle valvular / subvalvular PS biventricular repair 1-6 mo (VSDclosure) Malposition of the great arteries, which arise completely (100% + 100%) or with the greater part of their circumference (100% + > 50%) from the right ventricle ‚doubly committed‘ ‚non committed‘subpulmonary VSD AVSD / heterotaxy pulmonary hyperperfusion; congestive heart failure reduced lung perfusion; mild  severe cyanosis TGA - typeVSD - type severe cyanosis; congestive heart failure biventricular repair < 1 mo (VSD-closure + arterial switch) biventricular repair 4-12 mo (VSD closure + relief of RVOTO) complex DORV clinical symptoms determined by concommittant malformations interventricular communication in relation to the great arteries clinical symptoms clinical subtype biventricular repair 2-6 years (complex intracardiac tunneling +/- VSD incision / arterial switch) or definitive univentricular palliation surgical strategy concommittant malformations aortic coarctation (in ~ 50 %) • right atrial isomerism • TAPVD • l-SVC • subpulmonary obstruction subpulmonary obstructionNo valvular / subvalvular PS Guideline DORV
  • 59.
    Guideline DORV Diagnostics Goal: displaying cardiacanatomy with emphasis on potential surgical biventricular repair (feasibility of tunneling the interventricular communication to one or other arterial trunk) • position, size, interrelationship, course of the great arteries • morphology and size of the interventicular communication / the VSD in relation to diameter of the aortic valve • location and severity of a subpulmonary or subaortic obstruction • morphology and size of both ventricles and AV-valves Methods: • Echocardiography • Angiography (Cath./MRT/CT)
  • 60.
    Guideline DORV doubly committedVSD • size and distance of the VSD to the aorta / pulmonary artery • presence and severity of a subpulmonary obstruction • subcostal coronal and sagittal planes
  • 61.
    Guideline DORV non-committed VSD •location and size; distance to semilunar valves • presence and severity of a subpulmonary obstruction • subcostal coronal / 4 C views LV Ao
  • 62.
  • 63.
     Diagnosis isDORV  Differentiate from TOF  Location of the VSD  Disposition of great arteries  PS or no PS  Size of VSD
  • 64.
     TTE Most ofthe anatomic and physiologic  TEE Complex AV arrangements such as straddle or override.  Cyanosis ? Decreased pulmonary blood flow ?Eisenmenger complex  MRI  Intracardiac anatomy  GA’s relationship  AV valves  Cardiac catheterization  PVD  Coronary course
  • 65.
    Guideline DORV medical treatment •PG E in duct dependent pts with severe subpulmonary obstruction • diuretics, ß-blockers, … in pts with pulmonary hypercirculation and congestive heart failure catheter intervention • TOF-type: balloon valvuloplasty; ductal stent; RVOT stent • TGA-type: BAS surgical palliation • TOF-type: modified BT-shunt if primary repair is not suitable or considered ‚high risk‘ • PAB in ncVSD to delay complex intraventricular repair
  • 67.
    Guideline DORV Surgical Repair VSD- type • VSD closure in the age of 1 to 6 months - some pts need enlargement of the VSD (> 4/5 aortic annulus); cave: AV-Block TOF - type • VSD closure and relief of subpulmonary obstruction in the age of 4 to 12 months +/- muscular and transjunctional incision or patch enlargement
  • 68.
    TGA - type •neonatal corrective surgery with arterial switch, VSD closure +/- resection of aortic coarctation / aortic arch reconstruction +/- resection of subaortic infundibulum cave: coronary artery anomalies • alternatively ‚Rastelli - type repair‘: baffling of the left ventricle to both arterial valves and placement of a conduit from RV to the pulmonary trunk Guideline DORV Surgical Repair Subpulmonary VSD with valvular/subvalvular pulm. stenosis • ‚Kawashima-OP‘ • ‚Rastelli-OP‘ • ‚REV-procedure‘ (Reparation a l‘ Etage Ventriculaire) • ‚Aortic translocation‘ – ‚Nikaidoh-procedure‘
  • 69.
    Kawashima procedure involvesan anastomosis of the cranial end of the SVC to the PA (similar to a bidirectional Glenn procedure) and diverts all lower-body venous return to the PAs except hepatic venous return
  • 70.
     Rastelli repair REV procedure The REV procedure (réparation à l’étage ventriculaire) entails division of the main PA with extensive mobilization,translocation of the PA anterior to aorta (Lecompte maneuver),and direct connection of the PA to the RV, thus eliminating the use of prosthetic materials]  Nikaidoh repair The Nikaidoh procedure is an aortic root translocation procedure into the enlarged pulmonary root position. A right ventricle-to- pulmonary artery (RV-PA) conduit is then placed].
  • 72.
    Complex DORV • biventricularrepair aged 2-6 years: complex intraventricular baffling (LV  Ao/PA) +/- VSD enlargement +/- arterial switch • definitive functionally univentricular palliation Guideline DORV Surgical Repair
  • 73.
    Guideline DORV Surgical Repair Percentof Great Vessels Arising from the RV DORV 200 % > 150 % technical difficulty ‚VSD – type‘ no yes simple ‚Fallot – type‘ no yes average ‚TGA – type‘ no yes important DORV-AVSD yes yes major DORV ncVSD yes yes major Implications of the 200 % rule (‚true‘ DORV) Modified from: F. Lacour-Gayet: Intracardiac Repair of Double Outlet Right Ventricle Semin Thorac Cardiovasc Surg Pediatr Card Surg Ann 2008;11:39-43
  • 74.
     Intraventricular tunnelrepair (VSD to aorta)  If VSD is more anterior-cephalward like TOF then  TOF like repair can be done
  • 75.
     4C repairmay be attempted but at the cost of future intraventricular obstruction
  • 76.
  • 77.
     Choice-1 Single-ventricle palliationfor children with remote VSDs typically involve a PA band as a neonate followed by a bidirectional cavopulmonary connection at around 6 months of age. A Fontan procedure is typically performed between 18 months and 4 years of age. Choice-2 Long intraventricular conduit into aorta at the cost of frequent obstraction
  • 79.
     Subaortic obstruction Subpulmonary obstruction  AV valve regurgitation  Conduit failure (with stenosis and or regurgitation)  Neoaortic regurgitation (following arterial switch procedures)  Coarctation or recoarctation of the aorta  Small or dysfunctional RV (may relate to complex intracardiac repair)  Rhythm problems such as heart block, atrial arrhythmia, and  ventricular arrhythmia  Sudden death  Endocarditis  Thromboembolic phenomena
  • 80.
    Guideline DORV prognosis • biventricularrepair achievable in most pts • increased operative risk determined by concommittant malformations: • aortic arch obstructions • AV-valve anomalies • coronary arterial anomalies • LV hypoplasia • multiple VSDs
  • 81.
    Residual lesions requiring reinterventionsafter surgical repair Guideline DORV • Depending on different morphology and type of previous surgical repair • TOF – type: - pulmonary valve incompetence - residual subpulmonary obstruction • RV-PA-conduit: definitive reoperation for conduit replacement (stenosis, incompetence, size-mismatch in growing children) • complex intracardiac baffling: subaortic obstruction  biventrcular surgical repair has a much higher rate of reintervention than a strategy of functionally univentricular palliation