BONE TUMORS
BENIGN BONE TUMORS
PRESENTOR- UMESH YADAV
JR-ORTHO,PGIMS ,ROHTAK
UMY
OVERVIEW
• Bone tumors are very diverse in morphology and
biological potential (can be no big deal or rapidly
fatal)
• MOST bone tumors are benign lesions
• Most benign lesions are seen <30 years of age
• A new bone tumor in the elderly is more likely to be
malignant
• No bone is safe (though most primaries are in long
bones)
• Location in the bone gives important Dx info
• More common benign lesions typically present as
incidental findings (non-painful, stable size)
• Be cautious with painful lesions and those that grow
relatively fast (over weeks or months)
• Pathological fracture can be the first sign of tumor
UMY
• Bone neoplasms are very difficult to diagnose
specifically on radiologic testing alone
• So why is radiology important?
– Exact location of lesion
– Extent of growth/metastasis
– Aggressiveness
• Best test for Dx= X-ray
• Best test for staging= CT or MRI
• Quick shout out to the pathologists– histologic
grade is the most important prognostic
feature of bone sarcomas and essential for
staging most of the bone tumor types.
UMY
Primary
Bone
Tumor
Tumor from
Bone Tissue
benign
Osteochondroma, Giant cell tumor,
Osteoma, Chondroma,
Chondroblastoma
malignant
Osteosarcoma, Chondrosarcoma,
Fibrosarcoma
Tumor from
Bone
Affiliated
Tissue
benign Osteoangioma, Odontogenic tumor
(exp. Adamantinoma)
malignant
Ewing's sarcoma, Reticulum cell
sarcoma of bone, Notochordoma,
Myeloma
Metastatic
Tumor
Carcinoma,
Sarcoma,
Neuroblastoma
Carcinoma, Sarcoma, Neuroblastoma
Classification of Bone Tumor
Tumor-like lesion Bone cyst, Fibrous dysplasia
UMY
UMY
Benign tumors
Bone-forming
• Osteoid Osteoma
• Bone island
Cartilage Lesions
• Chondroma
• Osteochondroma
Fibrous lesions
• Non ossifying fibroma
• Cortical desmoid
• Benign fibrous histocytoma
• Fibrous displasia
• Osteofibrous dysplasia
• Desmoplastic fibroma
UMY
Cystic Lesions
Unicameral bone cyst
Aneurismal bone cyst
Intraosseous ganglion cyst
Epideromoid cyst
Fatty tumors
Lipoma
Vascular tumors
Hemangioma
INVESTIGATIONS
• X-RAY--------------CT SCAN------------------MRI
• TECHNETIUM 99 BONE SCAN- (scintigraphic) study that makes use
of Technetium99m (Tc99m-methylene diphosphonate (MDP)) as active
agent.
• 3 stages which follow IV injection of the tracer.
• 1) Flow phase
• 2 to 5-sec images are obtained for 60 seconds after injection
• demonstrates perfusion and characterises the blood flow to a particular
area
• 2) Blood pool phase
• the blood-pool image is obtained 5 min after injection
• demonstrated the blood pool, not the blood flow
• inflammation causes capillary dilatation and increased blood flow
• If the study is going to be a triphasic bone scan, a third phase is added.
• 3) Delayed phase
• the bone image is obtained 2 - 4 hours later
• urinary excretion has decreased the amount of the radionuclide in soft
tissue
UMY
FDG-PET
• FDG-PET- Flourine 18-fluorodeoxyglucose labelled-
Positron Emission Tomography uses radioactive glucose
to locate cancer. This glucose contains a radioactive
atom that is absorbed by the cancerous cells and then
detected by a special camera
• Radiolabelled biocompound such as 2-fluoro-2-deoxy-D-
glucose (FDG) is injected intravenously.
• Uptake of this compound followed by further
breakdown occurs in the cells. Tumor cells have a high
metabolic rate hence this compound is also metabolised
by tumor cells.
• FDG is metabolised to FDG-6-phosphate which cannot
be further metabolised by tumor cells hence it
accumulates and concentrates in tumor cells. This
accumulation is detected and quantified.UMY
BIOPSY
• Most conclusive test because it confirms if the tumor is
malignant or benign, the bone cancer type (primary or
secondary bone cancer), and stage.
• TYPES-
• 1. Needle biopsy: During this procedure, a small hole is made
in the affected bone and a tissue sample from the tumor is
removed.
two types -
• Fine needle aspiration: During this procedure, the tissue
sample is removed with a thin needle attached to a syringe.
• Core needle aspiration: During this procedure, the surgeon
removes a small cylinder of tissue sample from the tumor with
a rotating knife like device.
• 2. Incisional biopsy: During this procedure, the surgeon cuts
into the tumor and removes a tissue sample.
UMY
UMY
ENNEKING STAGING
Enneking described the most widely used staging system for benign
bone tumors .
The stages are denoted by the Arabic numerals 1, 2, and 3, whereas
malignant bone tumors are classified by Roman numerals (I, II, III).
Stage 1-LATENT- low biological activity, well marginated , often
incidental ,may resolve spontaneously. -NOF
Stage 2-ACTIVE-Symptomatic,limited bone destruction, may present
with pathological fracture- ABC
Stage 3-AGGRESSIVE- Bone destruction/Soft tissue extension, require
complete work-up and a removal with wide margins to avoid possible
local recurrence. -GCT
UMY
• For Malignant tumors ,adopted by the Musculoskeletal Tumor
Society, and originally developed by Enneking
Stage Grade Local Extent Metastasis
1A low intracompartmental -
1B low extracompartmental -
2A high intracompartmental -
2B high extracompartmental -
3 Any Any +
Grade is determined by histological parameters.
Low-grade tumors generally have few mitotic figures, little if any
cellular atypia, and have a relatively non-infiltrative growth pattern.
High-grade tumors tend to have marked cellular atypia,
hyperchromatism, and nuclear pleomorphism. They often
demonstrate an infiltrative growth pattern
UMY
CAMPANACCI STAGING
• Radiological grading system
– Better for prognosticating aggressiveness then histology
• Used for Giant Cell Tumours
• GRADE 1--Intramedullary lesion confined to bone
• GRADE 2--Thinned, expanded cortex
• GRADE 3--Cortical breakout.
UMY
SURGERY PRINCIPLES
• Surgical margin is described by one of four terms—
intralesional, marginal, wide, or radical.
• Intralesional Resection--Plane of surgical
dissection is within the tumor.
• Often described as “debulking” because it leaves
behind gross residual tumor.
• Marginal resection--achieved when the closest
plane of dissection passes through the
pseudocapsule.( surrounding reactive tissue
around tumor )
• For most benign lesions and some low-grade
malignancies UMY
…
UMY
Wide Resection
• Is achieved when the plane
of dissection is in normal
tissue
• If the plane of dissection
touches the pseudocapsule
at any point, the margin
should be defined as being
marginal and not wide.
• for high-grade
malignancies.
Radical resection
• All the compartments that
contain tumor are removed
en bloc.
• Involves removing the
entire bone and the
compartments of any
involved muscles.
• Rarely used now a days
UMY
Curettage
• Simple Curettage-
-cortical window over the lesion
-bulk of the tumor is scooped out
-cavity is enlarged back to normal
host bone in each direction with a
power burr.
-copiously irrigated to remove
any debris and tumor cells.
• Extended curettage-
»use of adjuvants, such as liquid nitrogen,
phenol, polymethyl methacrylate, or
thermal cautery
UMY
CARTILAGE LESIONS
- Osteochondroma
- Chondroma
Enchondroma-arising in medullary
canal
Periosteal chondroma/juxtacortical
chondromas-arise on bone surface
UMY
Osteochondroma
• Developmental anomalies rather than tumors.
• They are usually sporadic, but can be part of:
Hereditary multiple exostoses (HME) - also known as
diaphyseal aclasis
Trevor disease- Osteochondroma on epiphyseal side
of growth plate.
An osteochondroma can be either sessile or
pedunculated, and is seen in the metaphyseal region
typically projecting away from the epiphysis.
UMY
• They most commonly arise
from appendicular skeleton,
especially around the knee .
• Lower limb - 50% of all cases
femur (especially distal) - most
common : 30%
• Tibia (especially proximal) - 15-
20%
• Less common locations - feet,
scapula
• upper limb
• humerus - 10-20%
• hands, pelvis
• spine - the posterior elements
of spine are an uncommon,
but not rare, site for these
tumours
UMY
• Pathologically
Osteochondromas are
essentially a part of
the growth plate.
• Separates and continues
growing independently,
without an associated
epiphysis
• The medullary cavity is
continuous with the
parent bone, and they are
capped by hyaline
cartilage UMY
Osteochondroma
• Clinically,
osteochondromas
present as slow-growing
masses, which can be
painful if they impinge
on a nerve or if the stalk
is fractured. In many
cases, they are detected
as an incidental finding.
Osteochondroma. On this lateral view of the ankle, a
benign osteochondroma is seen projecting posteriorly
on a stalk. The end (arrows) is often covered with a
cartilaginous cap. These lesions always occur near a
joint but point away from it.UMY
• MRI
• MRI is best at assessing
cartilage thickness (and thus
assessing for malignant
transformation), presence of
oedema in bone or adjacent
soft tissues and visualising
neurovascular structures in the
vicinity.
• The cartilage cap of
osteochondromas appears the
same as cartilage elsewhere,
with intermediate to low signal
on T1 and high signal on T2 and
STIR weighted images.
• A cartilage cap of over 1.5cm in
thickness is suspicious for
malignant degeneration.UMY
T1 T2 STIR
(FAT SUPPRESSION)
UMY
UMY
S/S
• M C symptom of an osteochondroma is a painless mass
near the joints. The knee and shoulder are more commonly
involved.
• If the stalk of a pedunculated osteochondroma breaks,
pain and swelling may start immediately.
• If located under a tendon-- Snapping of the tissue over the
tumor may cause activity-related pain.
• If located near a nerve or blood vessel, such as behind the
knee causing numbness and tingling in that extremity,
periodic changes in blood flow, loss of pulse or changes in
color of the limb.
UMY
RISK OF MALIGNAT
TRANSFORMATION-
1%- SOLITARY
OSTEOCHONDROMA
5%- MULTIPLE
HEREDITARY EXOSTOSIS
UMY
TREATMENT
Nonsurgical Treatment
Most of the time, solitary osteochondroma is not removed surgically.
Observe it & take regular X-rays to keep track of any changes.
Surgical Treatment
When surgery is recommended, it is best to wait until growth
complete (a mature skeleton by X-ray evaluation) before removing a
solitary osteochondroma. This decreases the chance of the tumor
growing back.
Surgery may be considered if the osteochondroma:
Is causing pain with activity
Puts pressure on a nerve or blood vessel
Has a large cap of cartilage
The osteochondroma is removed at the level of the normal bone.
Some of the inside of the bone may also be removed.
UMY
Hereditary multiple exostosis
- autosomal dominant
- 2 Genes-EXT1-Ch8 , EXT2- Ch 11
- < 10 yrs
Clinical features :
- knobby appearance
- short stature or even dwarf ( limbs short in relation to
trunk )
- Deformity of forearm - in 40 – 60 %
ulna short , radius bowed , loss of pronation n
supination ,
tibiofibular synostosis , genu valgum , coxa valga
UMY
DD : multiple enchondromatosis ,
achondroplasia
Treatment :
excision of symptomatic exostosis
correction of deformity & limb length discrepancy
UMY
UMY
UMY
Enchondroma
• Common benign medullary cartilaginous neoplasm
• Usually found in children or young adults which can
lead to pathological fractures or undergo malignant
degeneration.
• 3-10 % of all bone tumours and 12-24 % of benign
bone tumours
• Enchondromas are most frequently diagnosed in
childhood to early adulthood with a peak incidence of
10-30 years.
• Complicated by a pathological fracture or malignant
transformation into a low grade chondrosarcoma
• (clinically if an enchondroma is painful in the absence
of a fracture, it should be considered malignant
UMY
ENCHONDROMA• Enchondromas arise from rests
of growth plate
cartilage/chondrocytes that
subsequently proliferate and
slowly enlarge and are composed
of mature hyaline cartilage.
• they are seen in any bone
formed from cartilage.
• Two syndromes are associated
with multiple enchondromas:
Ollier disease
Maffucci syndrome.
• small tubular bones of the hands
and feet : 50%
• large tubular bones e.g. femur,
tibia, humerus UMY
ENCHONDROMA
• Rarely an enchondroma may extend through the cortex and
demonstrate a exophytic growth pattern. This is known as an
enchondroma protuberans, and may either be seen
sporadically or as part of Ollier disease.
• Almost all enchondromas are located in the medullary cavity
of tubular bones.
D/ds:
• bone infarct , chondrosarcoma, intraosseous ganglion
• other benign lytic bone lesions,
• metastases
• granulomatous disease : sarcoidosis, tuberculosisUMY
IMAGING
• X-ray & CT
Typically enchondromas are small 1 - 2cm lytic lesions with
non-aggressive features.
narrow zone of transition
sharply defined scalloped margins : may have mild
endosteal scalloping
expansion of the overlying cortex may be present but there
should not be cortical breakthrough unless fractured
Chondroid calcifications may be present : rings and arcs
calcification-STIPPLED/PUNCTATE/POPCORN
no periosteal rxn.
• The majority of enchondromas more frequently arise in
the metaphyseal region,.
A cartilaginous lesion in an epiphysis is more likely to be a
chondrosarcoma .
UMY
UMY
IMAGES
UMY
IMAGING
• MRI
• MRI is useful in evaluating for soft tissue extension and for
confirming the diagnosis.
• Enchondromas appear as well circumscribed somewhat
lobulated masses replacing marrow.
• T1
Intermediate to low signal
• T1 C+ (Gd)
enhancement is variable, and may be seen both peripherally or
of translesional septae. Similar pattern of enhancement may be
seen in chondrosarcomas.
• T2
Typically of background intense high signal
UMY
MRI
• T1 T2 STIR
• Hypointense Hyperintense
UMY
OLLIER”S DISEASE
• Ollier disease also known as
enchondromatosis, is a non-
hereditary, sporadic, skeletal
disorder characterised by
multiple enchondromas that are
principally located in the
metaphyseal regions.
• Plain films show multiple
enchondromas. Larger lesions can
show cartilage calcification in a
typical rings and arcs pattern.
• Imaging characterestics are of
same as ENCHONDROMAS
UMY
MAFUCCI’S SYNDROME
• Maffucci syndrome is a congenital non
hereditary mesodermal dysplasia characterised
by multiple enchondromas with soft-tissue
cavernous haemangiomas.
• Imaging findings are
multiple enchondromas seen associated with
soft tissue swelling and phleboliths.
• Enchondromas degenerate into
chondrosarcomas in 15-51% of cases and soft-
tissue haemangiomas to vascular sarcomas in
3-5%.
UMY
OLLIER’S
DISEASE

MAFFUCI’S
DISEASE

UMY
Chondroblastoma
• Rare benign cartilaginous neoplasms( CODMAN
TUMOR )
• Less than 1% of all primary bone tumours,
occurring predominantly in young patients (< 20
years of age). There is a male predilection.
• Pathologically composed of chondroblasts,
chondroid matrix, cartilage with occasional giant
multi-nucleated cells.* with surrounding
chondroblasts.
• Aneurysmal bone cysts can be seen secondarily
to underlying chondroblastoma.
• Patient may present as synovitis of knee.
UMY
SITE
• Epiphysis of a long bone
(70% occurring in the
humerus (most frequent),
femur and tibia, ~ 10% are
found in the hands and
feet)
UMY
IMAGING
• X-rays
• epiphyseal
• well defined lytic lesions; either smooth or lobulated
margins with a thin sclerotic rim
• Internal calcifications can be seen in up to 40-60% of cases
• They range in size from 1-10cm, with most being 3-4cm at
diagnosis
• CT
• better delineation of the relationship to the growth plate
and articular surface
• Solid periosteal reaction (seen in up to 50% of cases) and
internal calcification (calcified matrix seen in ~ 1/2 of cases)
and cortical breach are also more easily appreciated.
• Endosteal scalloping may be seenUMY
image
UMY
UMY
IMAGING
• MRI
• Ideal for the evaluation of transphyseal or
transcortical extension.
• Demonstrating associated surrounding bone
marrow oedema.
• These lesions have signal typical of cartilage:
T1 - lesion itself is of low to intermediate signal
T2 / STIR - lesion is of intermediate to high signal
• Fluid-fluid levels may occasionally be seen .
UMY
image
• T1 T2 STIR
UMY
MICROSCOPY
• Sheets of chondroblasts with background of
chondroid matrix.
• Polygonal cells with distinct cytoplasm.
• Dystrophic calcification surrounding individual
cells – “CHICKEN WIRE “ appearance.
• Abundant Giant cells
• Secondary ABC in 20 % cases.
UMY
TREATMENT
• The goal for treatment of chondroblastoma is to
remove the tumor and prevent damage to the end of
the affected bone.
• Treatment may include:
Surgical removal of the tumor -
Biopsy and curettage with possible use of adjuvant
liquid nitrogen or phenol, or a mechanical burr. It may
be necessary to reconstruct articular surfaces due to
subchondral erosion.
Bone grafting /bone cement used
Any joint invasion is usually secondary to previous
instrumentation. UMY
BONE FORMING TUMORS
Osteoid osteoma
Osteoblastoma
Bone island
UMY
OSTEOID OSTEOMA
- Osteoblastic mass called nidus surrounded by
zone of reactive sclerosis
- 2nd decade
- M > F
- Site : proximal femur ( mc ) , tibia ,
spine ( posterior elements )
Not seen in bones of membranous origin
C/F : Dull pain , worse at night , relieved with
NSAID s , not related to position or function ,
often aggravated by alcohol
UMY
- Pain is elicited by local pr.
- O.O is suspected in spine when a pt < 30 yrs
complains of constant back pain , when spine is
stiff and scoliotic & SLRT is positive with no signs
of nerve root compression.
Radiological findings : Radiolucent nidus ( 1.5 cm)
with reactive sclerosis in cortex ,
DD : Osteoblastoma ,
Non-suppurative osteomyelitis of garre ,
Brodies abscess, Stress # ,
Diagnosis : Tc99 bone scan – Inc uptake
“Headlight in fog “ & “Double – density sign “
CT – BULLS EYE appearanceUMY
UMY
UMY
Pathology :
Nidus – osteoblasts & nonmyelinated axons
Stroma – osteoblasts , osteoclasts , fibroblasts & blood
filled capillaries
- Transform into osteoblastoma but no malignant
transformation.
Treatment :
Self limiting lesions – conservative treatment with
NSAIDs – not well tolerated
- Surgery : to eradicate pain producing nidus ( accurate
localization is hence crucial )
methods : - en bloc resection or burr down tech.
Latest is percutaneous radiofrequency ablationUMY
OSTEOBLASTOMA
- Histologically similar to O.O but differing in progressive
growth & absence of reactive perifocal bone formation.
- Potentially malignant
- Mc site : vertebral column ( post. Elements)
- C.F : pain of varying intensity
pathological #
neurological problems
Radiographic features : nothing particularly distinctive
well circumscribed lesion ,
CT – COTTON WOOL appearance due to irregular opacitiesUMY
- Radiopacity expression of quantity & degree of
maturation of osteoid substance.
Bone scan – localizing smaller lesions esp in spine
Pathology : very vascular
DD : Osteoid osteoma
Osteosarcoma ( increase in sr. ALP).
Treatment : curettage & bone grafting
UMY
UMY
UMY
FIBROUS LESIONS
Nonossifying fibroma
Cortical desmoid
Benign fibrous histiocytoma
Fibrous dysplasia
Osteofibrous dysplasia
UMY
NON OSSIFYING FIBROMA
- Also called Fibrous cortical defect or Metaphyseal cortical
defect or Fibrous xanthomas
- Mc musculoskeletal tumor
- Occurs in 30 % of children
- 1st two decades
- Site : femur , tibia , humerus ( 8 % - multiple lesions)
- Asymptomatic
- X ray : well defined , eccentric , radiolucent lesion in
metaphysis ,multilocular app or rim of sclerosis , doesn’t
expand the cortex & no periosteal reaction.
- Treatment : observation
UMY
UMY
FIBROUS DYSPLASIA
-intrinsic defect of endochondral bone maturation  immature
ossification pattern
-Characterized by replacement of normal bone & marrow by
fibrous tissue & small woven spicules of bone  weakbone .
- Solitary or multifocal
- ALBRIGHT ‘ S SYN : polyostotic F.D + café au lait spots +
endocrinopathies .
- MAZABRAUD SYN- Polyostotic FD+ Intramuscular
myxomas
- Site : rib , femur , humerus , tibia , maxilla
- C.F : monostotic – asymptomatic
bone pain , skeletal
deformities .
UMY
RADIOGRAPHIC APPEARENCE
Radiographic features :
- Epiphysis or metaphysis or diaphysis
- Well defined geographic lytic lesions
- Ground glass matrix : intramedullary radiolucencies
- Cortical thinning
- Secondary deformities esp. in wt , bearing bones
- Shepherd’s crook deformity
( microfractures – on tension side of bone )
- Poorly defined areas of osteolysis suspect
- Cortical destruction malignant
- Soft tissue involvement transformationUMY
UMY
Shepherd's crook deformity
• Coxa varus angulation of the proximal femur,
classically seen in femoral involvement by fibrous
dysplasia, although may be seen in other disorders
such as Paget disese of bone and osteogenesis
imperfecta.
• The shape of the proximal femur resembles that of
the staff carried by herders (shepherds), which is
known as a crook.
UMY
Shepherd's crook deformity
UMY
TREATMENT
- Monostotic lesions  asymp  no Rx
Indications : severe deformity
persistent pain
pathological #
- Curettage & grafting ( cortical allograft prfrd.
d/t slower absorption)
- Internal fixation +/- osteotomy
- Bisphosphonates : beneficial
UMY
CYSTIC LESIONS
Unicameral bone cyst
Aneurysmal bone cyst
Intraosseous ganglion cyst
UMY
UNICAMERAL BONE CYST
- Developmental anamoly of physis
- Transient failure of ossification of physeal cartilage &
cyst formation
- < 20 yrs age , M > F
- Spontaneously resolve in late adolescence , rarely persist
into adulthood
- Site : proximal humerus ,
proximal femur , calcaneum .
Active cysts are juxtaposed to physis (within 1 cm)
C.F : usually asymptomatic ,
pathological #
UMY
- Cysts progress from active to quiescent to involutional
stage . -
cysts usually shrink as patient approaches skeletal
maturity.
- Radiographic features : metaphysis of immature
skeleton ,
DIGNOSTIC- well marginated , centrally located ,purely
lytic lesion.
radiolucent that expand and thin the cortex .
FALLEN FRAGMENT SIGN - # fragment in the cyst
DD : ABC & fibrous dysplasia
UMY
UMY
FALLEN
FRAGMENT SIGN
UMY
Bone cyst of
humerus
Pathologic fracture
“Falling Fragment Sign”
UMY
MRI
MR signal characteristics for an uncomplicated
lesion include
T1 - low signal
T2 - high signal
Usually there no fluid-fluid levels unless there has
been a complication with haemorrhage.
CT and MRI add little to the diagnosis, but are
however helpful in eliminating other entities that
can potentially mimic a simple bone cyst
UMY
T1 T2
UMY
TREATMENT
Small asymp lesions in upper extremities-
observation & follow up
Larger lesions
Symptomatic lesions need Rx
Lesions in lower extremities
Various options are
Curettage +/ - bone grafting +/- int. fixation
Aspiration & inj of steroids or bone products
UMY
Aneurysmal bone cyst (ABC)
• Benign , Expansile
• Primarily seen in children and adolescents (80% l
<20yrs of age)
• Blood-filled spaces of variable size separated by
connective tissue (trabeculae of bone or osteoid tissue)
and osteoclast giant cells
• Not lined by endothelium.
Types
• Primary
• Secondary
(e.g chondroblastoma, fibrous dysplasia, giant cell
tumour (GCT), osteosarcoma)UMY
• Location
Long bones – tibia & fibula
(24%), femur (13%),
Spine 20-30% (posterior
elements).
sacrum
• A variant of ABCs is the
giant cell reparative
granuloma.( SOLID ABC)
• seen in the tubular
bones – hand , feet
craniofacial skeleton. UMY
Radiographic features
• X ray
sharply defined, expansile
osteolytic lesions, with thin
sclerotic margins.
Eccentricity is typical.
But very often missed out due to
cortical thinning due to ballooning.
CT
Demonstrates these findings to a
greater degree, and is also better at
assessing cortical breach and
extension into soft tissues.
Fluid fluid levels (better than MRI)
UMY
UMY
UMY
MRI
• MRI
Demonstrate Fluid Fluid level in lesion.
To distinguish between Primary and secondary (if
solid component Is present.)
The cysts are of variable signal, with surrounding
rim of low T1 and T2 signal. Focal areas of high T1
and T2 signal are also seen presumably
representing areas of blood of variable age.
SBC vs ABC on MRI- Presence of double density
fluid level & intralesional septations- ABC
UMY
BONE SCAN
• Doughnut sign -
increased uptake
peripherally with a
photopenic centre.
UMY
TREATMENT
Excision – cortical based or surface tumors
Extended intralesional curettage & grafting –
central lesions
Embolisation – vertebral & pelvic ABC
Low dose radiation – effective method but not used
d/t malignant transformation.
UMY
ANJALI ,20F,ABC
Rx-Curettage+ G Bone grafting
PRE OP IMMEDIATE POST OP FOLLOW UP
UMY
DHRUV 8/M ABC
Rx-curettage+ Chron os grafting
UMY
DEFINITION:
Distinct neoplasm arising from non-bone forming
supportive connective tissue of marrow with
network of stromal cells regularly interspersed
with giant cells.
( Jaffe & Liechtenstein )
-75-80% OF PATIENTS 20-50 YRS
Male:Female- 1:1.3 (Benign)
-3:1 (Malignant)
UMY
Site
• 55% AROUND THE KNEE
• 10% in the distal radius
• 6% in the proximal humerus
• SPINE rarely involved (commoner in the sacrum)
• In the head and neck region the maxilla and mandible are more commonly involved.
• SIGNS&SYMPTOMS
1. PAIN
2. SWELLING
3. JOINT RESTRICTION
4. MUSCLE WASTING
5. NEUROLOGICAL SIGNS
6. PATHOLOGICAL #
7. PULMONARY METS- 3 %
UMY
Pathology
GROSS-
 End of bone is expanded.
 Eccentric lesion at the epiphyseo-metaphyseal region.
 Thin periosteum.
 Fleshy dark brown, soft, friable mass.
 Cystic spaces seen.
UMY
Pathology
Microscopy-
 Vascularized network of round,oval or spindle
shaped stromal cells and multinucleated giant cells(
40-60 nuclei /cell) with numerous centrally placed
nuclei
UMY
GRADING SYSTEM
Jaffe,Lichenstein and
Portis(1940)
GRADE 1-
o Conventional GCT
GRADE 2-
o Boderline tumours
GRADE 3-
o Sarcomatous type of stroma
Modified grading
Sannerkin et al(1980)
• Malignant GCT- with frank
sarcomatous changes and
full metastatic potential
• Borderline GCT- without
sarcomatous changes but
with abnormal mitoses or
vascular permeation or both
• Conventional GCT- without
features of any of the above
two types
No correlation exists between histological grading and clinical behavior of the tumour.
Hence grading not widely accepted.
UMY
RADIOLOGY
Type of Osteolysis
• Geographic destruction (I)
• Moth-eaten (II) Permeative(III)
Lodwick
1A 1B 1C
UMY
RADIOLOGY
• Expansile
UMY
RADIOLOGY
• TRABACULATION
PURE LYTIC (60%) FINE TRABACULTION(40%)
UMY
SCINTI GRAPHY
Less useful
Inconsistent uptake
“Doughnut sign”
M.R.I.
Soft tissue spread
Joint breach
Locate N.V. bundle
T1-Dark,T2-Bright
ABC-20%
C.T
Intraossous content
Intra articular spread
Cortical breach
Site of window
ANGIO GRAPHY
Locate vessels
type of feeders
For embolisation
INVESTIGATIONS
UMY
SURGICAL TREATMENT
Stage1& Stage2 --- Intralesional or Marginal Excision
Stage3 --- Wide resection with Reconstruction
Radiation, Embolaisation
UMY
Curettage & Bone Grafting
INDICATION STAGE-1&2
ADEQUATE WINDOW
MOTORISED BURR
( 20,000 rpm )
BISPHOSPHONATES- Locally or systemically prevent
recurrence.
IV ZOLENDRONIC ACID USE FOR PRIMARY GCT
UNDER STUDY
UMY
DEPENDING ON SITE
• AROUND KNEE-Hemicondylar osteoarticular
allograft reconstruction / rotation hinge
endoprosthesis.
• AGGRESSIVE LESION OF DISTAL RADIUS- Primary
resection & reconstruction with proximal fibular
autograft( arthroplasty or arthrodesis)
• EXPENDABLE BONES( DISTAL ULNA/PROX.
FIBULA)- Priamry resection without
reconstruction.
• Spine /pelvis- Irradiation/embolization/both
• PULMONARY METS- Resection
UMY
‘E’ OF GCT
• EPIPHYSEAL
• ECCENTRIC
• EXPANSILE
• EXTENDED CURETTAGE
• EXCISION –IF EXTENDED CURETTAGE FAILS
UMY
UMY

Benign bone tumors

  • 1.
    BONE TUMORS BENIGN BONETUMORS PRESENTOR- UMESH YADAV JR-ORTHO,PGIMS ,ROHTAK UMY
  • 2.
    OVERVIEW • Bone tumorsare very diverse in morphology and biological potential (can be no big deal or rapidly fatal) • MOST bone tumors are benign lesions • Most benign lesions are seen <30 years of age • A new bone tumor in the elderly is more likely to be malignant • No bone is safe (though most primaries are in long bones) • Location in the bone gives important Dx info • More common benign lesions typically present as incidental findings (non-painful, stable size) • Be cautious with painful lesions and those that grow relatively fast (over weeks or months) • Pathological fracture can be the first sign of tumor UMY
  • 3.
    • Bone neoplasmsare very difficult to diagnose specifically on radiologic testing alone • So why is radiology important? – Exact location of lesion – Extent of growth/metastasis – Aggressiveness • Best test for Dx= X-ray • Best test for staging= CT or MRI • Quick shout out to the pathologists– histologic grade is the most important prognostic feature of bone sarcomas and essential for staging most of the bone tumor types. UMY
  • 4.
    Primary Bone Tumor Tumor from Bone Tissue benign Osteochondroma,Giant cell tumor, Osteoma, Chondroma, Chondroblastoma malignant Osteosarcoma, Chondrosarcoma, Fibrosarcoma Tumor from Bone Affiliated Tissue benign Osteoangioma, Odontogenic tumor (exp. Adamantinoma) malignant Ewing's sarcoma, Reticulum cell sarcoma of bone, Notochordoma, Myeloma Metastatic Tumor Carcinoma, Sarcoma, Neuroblastoma Carcinoma, Sarcoma, Neuroblastoma Classification of Bone Tumor Tumor-like lesion Bone cyst, Fibrous dysplasia UMY
  • 5.
  • 6.
    Benign tumors Bone-forming • OsteoidOsteoma • Bone island Cartilage Lesions • Chondroma • Osteochondroma Fibrous lesions • Non ossifying fibroma • Cortical desmoid • Benign fibrous histocytoma • Fibrous displasia • Osteofibrous dysplasia • Desmoplastic fibroma UMY Cystic Lesions Unicameral bone cyst Aneurismal bone cyst Intraosseous ganglion cyst Epideromoid cyst Fatty tumors Lipoma Vascular tumors Hemangioma
  • 7.
    INVESTIGATIONS • X-RAY--------------CT SCAN------------------MRI •TECHNETIUM 99 BONE SCAN- (scintigraphic) study that makes use of Technetium99m (Tc99m-methylene diphosphonate (MDP)) as active agent. • 3 stages which follow IV injection of the tracer. • 1) Flow phase • 2 to 5-sec images are obtained for 60 seconds after injection • demonstrates perfusion and characterises the blood flow to a particular area • 2) Blood pool phase • the blood-pool image is obtained 5 min after injection • demonstrated the blood pool, not the blood flow • inflammation causes capillary dilatation and increased blood flow • If the study is going to be a triphasic bone scan, a third phase is added. • 3) Delayed phase • the bone image is obtained 2 - 4 hours later • urinary excretion has decreased the amount of the radionuclide in soft tissue UMY
  • 8.
    FDG-PET • FDG-PET- Flourine18-fluorodeoxyglucose labelled- Positron Emission Tomography uses radioactive glucose to locate cancer. This glucose contains a radioactive atom that is absorbed by the cancerous cells and then detected by a special camera • Radiolabelled biocompound such as 2-fluoro-2-deoxy-D- glucose (FDG) is injected intravenously. • Uptake of this compound followed by further breakdown occurs in the cells. Tumor cells have a high metabolic rate hence this compound is also metabolised by tumor cells. • FDG is metabolised to FDG-6-phosphate which cannot be further metabolised by tumor cells hence it accumulates and concentrates in tumor cells. This accumulation is detected and quantified.UMY
  • 9.
    BIOPSY • Most conclusivetest because it confirms if the tumor is malignant or benign, the bone cancer type (primary or secondary bone cancer), and stage. • TYPES- • 1. Needle biopsy: During this procedure, a small hole is made in the affected bone and a tissue sample from the tumor is removed. two types - • Fine needle aspiration: During this procedure, the tissue sample is removed with a thin needle attached to a syringe. • Core needle aspiration: During this procedure, the surgeon removes a small cylinder of tissue sample from the tumor with a rotating knife like device. • 2. Incisional biopsy: During this procedure, the surgeon cuts into the tumor and removes a tissue sample. UMY
  • 10.
  • 11.
    ENNEKING STAGING Enneking describedthe most widely used staging system for benign bone tumors . The stages are denoted by the Arabic numerals 1, 2, and 3, whereas malignant bone tumors are classified by Roman numerals (I, II, III). Stage 1-LATENT- low biological activity, well marginated , often incidental ,may resolve spontaneously. -NOF Stage 2-ACTIVE-Symptomatic,limited bone destruction, may present with pathological fracture- ABC Stage 3-AGGRESSIVE- Bone destruction/Soft tissue extension, require complete work-up and a removal with wide margins to avoid possible local recurrence. -GCT UMY
  • 12.
    • For Malignanttumors ,adopted by the Musculoskeletal Tumor Society, and originally developed by Enneking Stage Grade Local Extent Metastasis 1A low intracompartmental - 1B low extracompartmental - 2A high intracompartmental - 2B high extracompartmental - 3 Any Any + Grade is determined by histological parameters. Low-grade tumors generally have few mitotic figures, little if any cellular atypia, and have a relatively non-infiltrative growth pattern. High-grade tumors tend to have marked cellular atypia, hyperchromatism, and nuclear pleomorphism. They often demonstrate an infiltrative growth pattern UMY
  • 13.
    CAMPANACCI STAGING • Radiologicalgrading system – Better for prognosticating aggressiveness then histology • Used for Giant Cell Tumours • GRADE 1--Intramedullary lesion confined to bone • GRADE 2--Thinned, expanded cortex • GRADE 3--Cortical breakout. UMY
  • 14.
    SURGERY PRINCIPLES • Surgicalmargin is described by one of four terms— intralesional, marginal, wide, or radical. • Intralesional Resection--Plane of surgical dissection is within the tumor. • Often described as “debulking” because it leaves behind gross residual tumor. • Marginal resection--achieved when the closest plane of dissection passes through the pseudocapsule.( surrounding reactive tissue around tumor ) • For most benign lesions and some low-grade malignancies UMY
  • 15.
  • 16.
    Wide Resection • Isachieved when the plane of dissection is in normal tissue • If the plane of dissection touches the pseudocapsule at any point, the margin should be defined as being marginal and not wide. • for high-grade malignancies. Radical resection • All the compartments that contain tumor are removed en bloc. • Involves removing the entire bone and the compartments of any involved muscles. • Rarely used now a days UMY
  • 17.
    Curettage • Simple Curettage- -corticalwindow over the lesion -bulk of the tumor is scooped out -cavity is enlarged back to normal host bone in each direction with a power burr. -copiously irrigated to remove any debris and tumor cells. • Extended curettage- »use of adjuvants, such as liquid nitrogen, phenol, polymethyl methacrylate, or thermal cautery UMY
  • 18.
    CARTILAGE LESIONS - Osteochondroma -Chondroma Enchondroma-arising in medullary canal Periosteal chondroma/juxtacortical chondromas-arise on bone surface UMY
  • 19.
    Osteochondroma • Developmental anomaliesrather than tumors. • They are usually sporadic, but can be part of: Hereditary multiple exostoses (HME) - also known as diaphyseal aclasis Trevor disease- Osteochondroma on epiphyseal side of growth plate. An osteochondroma can be either sessile or pedunculated, and is seen in the metaphyseal region typically projecting away from the epiphysis. UMY
  • 20.
    • They mostcommonly arise from appendicular skeleton, especially around the knee . • Lower limb - 50% of all cases femur (especially distal) - most common : 30% • Tibia (especially proximal) - 15- 20% • Less common locations - feet, scapula • upper limb • humerus - 10-20% • hands, pelvis • spine - the posterior elements of spine are an uncommon, but not rare, site for these tumours UMY
  • 21.
    • Pathologically Osteochondromas are essentiallya part of the growth plate. • Separates and continues growing independently, without an associated epiphysis • The medullary cavity is continuous with the parent bone, and they are capped by hyaline cartilage UMY
  • 22.
    Osteochondroma • Clinically, osteochondromas present asslow-growing masses, which can be painful if they impinge on a nerve or if the stalk is fractured. In many cases, they are detected as an incidental finding. Osteochondroma. On this lateral view of the ankle, a benign osteochondroma is seen projecting posteriorly on a stalk. The end (arrows) is often covered with a cartilaginous cap. These lesions always occur near a joint but point away from it.UMY
  • 23.
    • MRI • MRIis best at assessing cartilage thickness (and thus assessing for malignant transformation), presence of oedema in bone or adjacent soft tissues and visualising neurovascular structures in the vicinity. • The cartilage cap of osteochondromas appears the same as cartilage elsewhere, with intermediate to low signal on T1 and high signal on T2 and STIR weighted images. • A cartilage cap of over 1.5cm in thickness is suspicious for malignant degeneration.UMY
  • 24.
    T1 T2 STIR (FATSUPPRESSION) UMY
  • 25.
  • 26.
    S/S • M Csymptom of an osteochondroma is a painless mass near the joints. The knee and shoulder are more commonly involved. • If the stalk of a pedunculated osteochondroma breaks, pain and swelling may start immediately. • If located under a tendon-- Snapping of the tissue over the tumor may cause activity-related pain. • If located near a nerve or blood vessel, such as behind the knee causing numbness and tingling in that extremity, periodic changes in blood flow, loss of pulse or changes in color of the limb. UMY
  • 27.
    RISK OF MALIGNAT TRANSFORMATION- 1%-SOLITARY OSTEOCHONDROMA 5%- MULTIPLE HEREDITARY EXOSTOSIS UMY
  • 28.
    TREATMENT Nonsurgical Treatment Most ofthe time, solitary osteochondroma is not removed surgically. Observe it & take regular X-rays to keep track of any changes. Surgical Treatment When surgery is recommended, it is best to wait until growth complete (a mature skeleton by X-ray evaluation) before removing a solitary osteochondroma. This decreases the chance of the tumor growing back. Surgery may be considered if the osteochondroma: Is causing pain with activity Puts pressure on a nerve or blood vessel Has a large cap of cartilage The osteochondroma is removed at the level of the normal bone. Some of the inside of the bone may also be removed. UMY
  • 29.
    Hereditary multiple exostosis -autosomal dominant - 2 Genes-EXT1-Ch8 , EXT2- Ch 11 - < 10 yrs Clinical features : - knobby appearance - short stature or even dwarf ( limbs short in relation to trunk ) - Deformity of forearm - in 40 – 60 % ulna short , radius bowed , loss of pronation n supination , tibiofibular synostosis , genu valgum , coxa valga UMY
  • 30.
    DD : multipleenchondromatosis , achondroplasia Treatment : excision of symptomatic exostosis correction of deformity & limb length discrepancy UMY
  • 31.
  • 32.
  • 33.
    Enchondroma • Common benignmedullary cartilaginous neoplasm • Usually found in children or young adults which can lead to pathological fractures or undergo malignant degeneration. • 3-10 % of all bone tumours and 12-24 % of benign bone tumours • Enchondromas are most frequently diagnosed in childhood to early adulthood with a peak incidence of 10-30 years. • Complicated by a pathological fracture or malignant transformation into a low grade chondrosarcoma • (clinically if an enchondroma is painful in the absence of a fracture, it should be considered malignant UMY
  • 34.
    ENCHONDROMA• Enchondromas arisefrom rests of growth plate cartilage/chondrocytes that subsequently proliferate and slowly enlarge and are composed of mature hyaline cartilage. • they are seen in any bone formed from cartilage. • Two syndromes are associated with multiple enchondromas: Ollier disease Maffucci syndrome. • small tubular bones of the hands and feet : 50% • large tubular bones e.g. femur, tibia, humerus UMY
  • 35.
    ENCHONDROMA • Rarely anenchondroma may extend through the cortex and demonstrate a exophytic growth pattern. This is known as an enchondroma protuberans, and may either be seen sporadically or as part of Ollier disease. • Almost all enchondromas are located in the medullary cavity of tubular bones. D/ds: • bone infarct , chondrosarcoma, intraosseous ganglion • other benign lytic bone lesions, • metastases • granulomatous disease : sarcoidosis, tuberculosisUMY
  • 36.
    IMAGING • X-ray &CT Typically enchondromas are small 1 - 2cm lytic lesions with non-aggressive features. narrow zone of transition sharply defined scalloped margins : may have mild endosteal scalloping expansion of the overlying cortex may be present but there should not be cortical breakthrough unless fractured Chondroid calcifications may be present : rings and arcs calcification-STIPPLED/PUNCTATE/POPCORN no periosteal rxn. • The majority of enchondromas more frequently arise in the metaphyseal region,. A cartilaginous lesion in an epiphysis is more likely to be a chondrosarcoma . UMY
  • 37.
  • 38.
  • 39.
    IMAGING • MRI • MRIis useful in evaluating for soft tissue extension and for confirming the diagnosis. • Enchondromas appear as well circumscribed somewhat lobulated masses replacing marrow. • T1 Intermediate to low signal • T1 C+ (Gd) enhancement is variable, and may be seen both peripherally or of translesional septae. Similar pattern of enhancement may be seen in chondrosarcomas. • T2 Typically of background intense high signal UMY
  • 40.
    MRI • T1 T2STIR • Hypointense Hyperintense UMY
  • 41.
    OLLIER”S DISEASE • Ollierdisease also known as enchondromatosis, is a non- hereditary, sporadic, skeletal disorder characterised by multiple enchondromas that are principally located in the metaphyseal regions. • Plain films show multiple enchondromas. Larger lesions can show cartilage calcification in a typical rings and arcs pattern. • Imaging characterestics are of same as ENCHONDROMAS UMY
  • 42.
    MAFUCCI’S SYNDROME • Maffuccisyndrome is a congenital non hereditary mesodermal dysplasia characterised by multiple enchondromas with soft-tissue cavernous haemangiomas. • Imaging findings are multiple enchondromas seen associated with soft tissue swelling and phleboliths. • Enchondromas degenerate into chondrosarcomas in 15-51% of cases and soft- tissue haemangiomas to vascular sarcomas in 3-5%. UMY
  • 43.
  • 44.
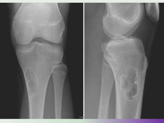
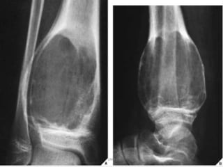
    Chondroblastoma • Rare benigncartilaginous neoplasms( CODMAN TUMOR ) • Less than 1% of all primary bone tumours, occurring predominantly in young patients (< 20 years of age). There is a male predilection. • Pathologically composed of chondroblasts, chondroid matrix, cartilage with occasional giant multi-nucleated cells.* with surrounding chondroblasts. • Aneurysmal bone cysts can be seen secondarily to underlying chondroblastoma. • Patient may present as synovitis of knee. UMY
  • 45.
    SITE • Epiphysis ofa long bone (70% occurring in the humerus (most frequent), femur and tibia, ~ 10% are found in the hands and feet) UMY
  • 46.
    IMAGING • X-rays • epiphyseal •well defined lytic lesions; either smooth or lobulated margins with a thin sclerotic rim • Internal calcifications can be seen in up to 40-60% of cases • They range in size from 1-10cm, with most being 3-4cm at diagnosis • CT • better delineation of the relationship to the growth plate and articular surface • Solid periosteal reaction (seen in up to 50% of cases) and internal calcification (calcified matrix seen in ~ 1/2 of cases) and cortical breach are also more easily appreciated. • Endosteal scalloping may be seenUMY
  • 47.
  • 48.
  • 49.
    IMAGING • MRI • Idealfor the evaluation of transphyseal or transcortical extension. • Demonstrating associated surrounding bone marrow oedema. • These lesions have signal typical of cartilage: T1 - lesion itself is of low to intermediate signal T2 / STIR - lesion is of intermediate to high signal • Fluid-fluid levels may occasionally be seen . UMY
  • 50.
  • 51.
    MICROSCOPY • Sheets ofchondroblasts with background of chondroid matrix. • Polygonal cells with distinct cytoplasm. • Dystrophic calcification surrounding individual cells – “CHICKEN WIRE “ appearance. • Abundant Giant cells • Secondary ABC in 20 % cases. UMY
  • 52.
    TREATMENT • The goalfor treatment of chondroblastoma is to remove the tumor and prevent damage to the end of the affected bone. • Treatment may include: Surgical removal of the tumor - Biopsy and curettage with possible use of adjuvant liquid nitrogen or phenol, or a mechanical burr. It may be necessary to reconstruct articular surfaces due to subchondral erosion. Bone grafting /bone cement used Any joint invasion is usually secondary to previous instrumentation. UMY
  • 53.
    BONE FORMING TUMORS Osteoidosteoma Osteoblastoma Bone island UMY
  • 54.
    OSTEOID OSTEOMA - Osteoblasticmass called nidus surrounded by zone of reactive sclerosis - 2nd decade - M > F - Site : proximal femur ( mc ) , tibia , spine ( posterior elements ) Not seen in bones of membranous origin C/F : Dull pain , worse at night , relieved with NSAID s , not related to position or function , often aggravated by alcohol UMY
  • 55.
    - Pain iselicited by local pr. - O.O is suspected in spine when a pt < 30 yrs complains of constant back pain , when spine is stiff and scoliotic & SLRT is positive with no signs of nerve root compression. Radiological findings : Radiolucent nidus ( 1.5 cm) with reactive sclerosis in cortex , DD : Osteoblastoma , Non-suppurative osteomyelitis of garre , Brodies abscess, Stress # , Diagnosis : Tc99 bone scan – Inc uptake “Headlight in fog “ & “Double – density sign “ CT – BULLS EYE appearanceUMY
  • 56.
  • 57.
  • 58.
    Pathology : Nidus –osteoblasts & nonmyelinated axons Stroma – osteoblasts , osteoclasts , fibroblasts & blood filled capillaries - Transform into osteoblastoma but no malignant transformation. Treatment : Self limiting lesions – conservative treatment with NSAIDs – not well tolerated - Surgery : to eradicate pain producing nidus ( accurate localization is hence crucial ) methods : - en bloc resection or burr down tech. Latest is percutaneous radiofrequency ablationUMY
  • 59.
    OSTEOBLASTOMA - Histologically similarto O.O but differing in progressive growth & absence of reactive perifocal bone formation. - Potentially malignant - Mc site : vertebral column ( post. Elements) - C.F : pain of varying intensity pathological # neurological problems Radiographic features : nothing particularly distinctive well circumscribed lesion , CT – COTTON WOOL appearance due to irregular opacitiesUMY
  • 60.
    - Radiopacity expressionof quantity & degree of maturation of osteoid substance. Bone scan – localizing smaller lesions esp in spine Pathology : very vascular DD : Osteoid osteoma Osteosarcoma ( increase in sr. ALP). Treatment : curettage & bone grafting UMY
  • 61.
  • 62.
  • 63.
    FIBROUS LESIONS Nonossifying fibroma Corticaldesmoid Benign fibrous histiocytoma Fibrous dysplasia Osteofibrous dysplasia UMY
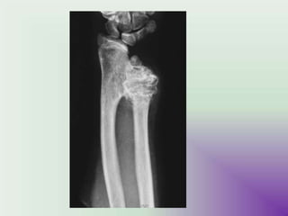
  • 64.
    NON OSSIFYING FIBROMA -Also called Fibrous cortical defect or Metaphyseal cortical defect or Fibrous xanthomas - Mc musculoskeletal tumor - Occurs in 30 % of children - 1st two decades - Site : femur , tibia , humerus ( 8 % - multiple lesions) - Asymptomatic - X ray : well defined , eccentric , radiolucent lesion in metaphysis ,multilocular app or rim of sclerosis , doesn’t expand the cortex & no periosteal reaction. - Treatment : observation UMY
  • 65.
  • 66.
    FIBROUS DYSPLASIA -intrinsic defectof endochondral bone maturation  immature ossification pattern -Characterized by replacement of normal bone & marrow by fibrous tissue & small woven spicules of bone  weakbone . - Solitary or multifocal - ALBRIGHT ‘ S SYN : polyostotic F.D + café au lait spots + endocrinopathies . - MAZABRAUD SYN- Polyostotic FD+ Intramuscular myxomas - Site : rib , femur , humerus , tibia , maxilla - C.F : monostotic – asymptomatic bone pain , skeletal deformities . UMY
  • 67.
    RADIOGRAPHIC APPEARENCE Radiographic features: - Epiphysis or metaphysis or diaphysis - Well defined geographic lytic lesions - Ground glass matrix : intramedullary radiolucencies - Cortical thinning - Secondary deformities esp. in wt , bearing bones - Shepherd’s crook deformity ( microfractures – on tension side of bone ) - Poorly defined areas of osteolysis suspect - Cortical destruction malignant - Soft tissue involvement transformationUMY
  • 68.
  • 69.
    Shepherd's crook deformity •Coxa varus angulation of the proximal femur, classically seen in femoral involvement by fibrous dysplasia, although may be seen in other disorders such as Paget disese of bone and osteogenesis imperfecta. • The shape of the proximal femur resembles that of the staff carried by herders (shepherds), which is known as a crook. UMY
  • 70.
  • 71.
    TREATMENT - Monostotic lesions asymp  no Rx Indications : severe deformity persistent pain pathological # - Curettage & grafting ( cortical allograft prfrd. d/t slower absorption) - Internal fixation +/- osteotomy - Bisphosphonates : beneficial UMY
  • 72.
    CYSTIC LESIONS Unicameral bonecyst Aneurysmal bone cyst Intraosseous ganglion cyst UMY
  • 73.
    UNICAMERAL BONE CYST -Developmental anamoly of physis - Transient failure of ossification of physeal cartilage & cyst formation - < 20 yrs age , M > F - Spontaneously resolve in late adolescence , rarely persist into adulthood - Site : proximal humerus , proximal femur , calcaneum . Active cysts are juxtaposed to physis (within 1 cm) C.F : usually asymptomatic , pathological # UMY
  • 74.
    - Cysts progressfrom active to quiescent to involutional stage . - cysts usually shrink as patient approaches skeletal maturity. - Radiographic features : metaphysis of immature skeleton , DIGNOSTIC- well marginated , centrally located ,purely lytic lesion. radiolucent that expand and thin the cortex . FALLEN FRAGMENT SIGN - # fragment in the cyst DD : ABC & fibrous dysplasia UMY
  • 75.
  • 76.
  • 77.
    Bone cyst of humerus Pathologicfracture “Falling Fragment Sign” UMY
  • 78.
    MRI MR signal characteristicsfor an uncomplicated lesion include T1 - low signal T2 - high signal Usually there no fluid-fluid levels unless there has been a complication with haemorrhage. CT and MRI add little to the diagnosis, but are however helpful in eliminating other entities that can potentially mimic a simple bone cyst UMY
  • 79.
  • 80.
    TREATMENT Small asymp lesionsin upper extremities- observation & follow up Larger lesions Symptomatic lesions need Rx Lesions in lower extremities Various options are Curettage +/ - bone grafting +/- int. fixation Aspiration & inj of steroids or bone products UMY
  • 81.
    Aneurysmal bone cyst(ABC) • Benign , Expansile • Primarily seen in children and adolescents (80% l <20yrs of age) • Blood-filled spaces of variable size separated by connective tissue (trabeculae of bone or osteoid tissue) and osteoclast giant cells • Not lined by endothelium. Types • Primary • Secondary (e.g chondroblastoma, fibrous dysplasia, giant cell tumour (GCT), osteosarcoma)UMY
  • 82.
    • Location Long bones– tibia & fibula (24%), femur (13%), Spine 20-30% (posterior elements). sacrum • A variant of ABCs is the giant cell reparative granuloma.( SOLID ABC) • seen in the tubular bones – hand , feet craniofacial skeleton. UMY
  • 83.
    Radiographic features • Xray sharply defined, expansile osteolytic lesions, with thin sclerotic margins. Eccentricity is typical. But very often missed out due to cortical thinning due to ballooning. CT Demonstrates these findings to a greater degree, and is also better at assessing cortical breach and extension into soft tissues. Fluid fluid levels (better than MRI) UMY
  • 84.
  • 85.
  • 86.
    MRI • MRI Demonstrate FluidFluid level in lesion. To distinguish between Primary and secondary (if solid component Is present.) The cysts are of variable signal, with surrounding rim of low T1 and T2 signal. Focal areas of high T1 and T2 signal are also seen presumably representing areas of blood of variable age. SBC vs ABC on MRI- Presence of double density fluid level & intralesional septations- ABC UMY
  • 87.
    BONE SCAN • Doughnutsign - increased uptake peripherally with a photopenic centre. UMY
  • 88.
    TREATMENT Excision – corticalbased or surface tumors Extended intralesional curettage & grafting – central lesions Embolisation – vertebral & pelvic ABC Low dose radiation – effective method but not used d/t malignant transformation. UMY
  • 89.
    ANJALI ,20F,ABC Rx-Curettage+ GBone grafting PRE OP IMMEDIATE POST OP FOLLOW UP UMY
  • 90.
    DHRUV 8/M ABC Rx-curettage+Chron os grafting UMY
  • 91.
    DEFINITION: Distinct neoplasm arisingfrom non-bone forming supportive connective tissue of marrow with network of stromal cells regularly interspersed with giant cells. ( Jaffe & Liechtenstein ) -75-80% OF PATIENTS 20-50 YRS Male:Female- 1:1.3 (Benign) -3:1 (Malignant) UMY
  • 92.
    Site • 55% AROUNDTHE KNEE • 10% in the distal radius • 6% in the proximal humerus • SPINE rarely involved (commoner in the sacrum) • In the head and neck region the maxilla and mandible are more commonly involved. • SIGNS&SYMPTOMS 1. PAIN 2. SWELLING 3. JOINT RESTRICTION 4. MUSCLE WASTING 5. NEUROLOGICAL SIGNS 6. PATHOLOGICAL # 7. PULMONARY METS- 3 % UMY
  • 93.
    Pathology GROSS-  End ofbone is expanded.  Eccentric lesion at the epiphyseo-metaphyseal region.  Thin periosteum.  Fleshy dark brown, soft, friable mass.  Cystic spaces seen. UMY
  • 94.
    Pathology Microscopy-  Vascularized networkof round,oval or spindle shaped stromal cells and multinucleated giant cells( 40-60 nuclei /cell) with numerous centrally placed nuclei UMY
  • 95.
    GRADING SYSTEM Jaffe,Lichenstein and Portis(1940) GRADE1- o Conventional GCT GRADE 2- o Boderline tumours GRADE 3- o Sarcomatous type of stroma Modified grading Sannerkin et al(1980) • Malignant GCT- with frank sarcomatous changes and full metastatic potential • Borderline GCT- without sarcomatous changes but with abnormal mitoses or vascular permeation or both • Conventional GCT- without features of any of the above two types No correlation exists between histological grading and clinical behavior of the tumour. Hence grading not widely accepted. UMY
  • 96.
    RADIOLOGY Type of Osteolysis •Geographic destruction (I) • Moth-eaten (II) Permeative(III) Lodwick 1A 1B 1C UMY
  • 97.
  • 98.
    RADIOLOGY • TRABACULATION PURE LYTIC(60%) FINE TRABACULTION(40%) UMY
  • 99.
    SCINTI GRAPHY Less useful Inconsistentuptake “Doughnut sign” M.R.I. Soft tissue spread Joint breach Locate N.V. bundle T1-Dark,T2-Bright ABC-20% C.T Intraossous content Intra articular spread Cortical breach Site of window ANGIO GRAPHY Locate vessels type of feeders For embolisation INVESTIGATIONS UMY
  • 100.
    SURGICAL TREATMENT Stage1& Stage2--- Intralesional or Marginal Excision Stage3 --- Wide resection with Reconstruction Radiation, Embolaisation UMY
  • 101.
    Curettage & BoneGrafting INDICATION STAGE-1&2 ADEQUATE WINDOW MOTORISED BURR ( 20,000 rpm ) BISPHOSPHONATES- Locally or systemically prevent recurrence. IV ZOLENDRONIC ACID USE FOR PRIMARY GCT UNDER STUDY UMY
  • 102.
    DEPENDING ON SITE •AROUND KNEE-Hemicondylar osteoarticular allograft reconstruction / rotation hinge endoprosthesis. • AGGRESSIVE LESION OF DISTAL RADIUS- Primary resection & reconstruction with proximal fibular autograft( arthroplasty or arthrodesis) • EXPENDABLE BONES( DISTAL ULNA/PROX. FIBULA)- Priamry resection without reconstruction. • Spine /pelvis- Irradiation/embolization/both • PULMONARY METS- Resection UMY
  • 103.
    ‘E’ OF GCT •EPIPHYSEAL • ECCENTRIC • EXPANSILE • EXTENDED CURETTAGE • EXCISION –IF EXTENDED CURETTAGE FAILS UMY
  • 104.

Editor's Notes

  • #24 T1 and t2 images see the cartilage differences .
  • #34 Enchondroma , Maffucii sybdrome and olliers disease will be discussed together.
  • #43 pathognomonic
  • #44 INVOLVEMENT OF SOFT TISSUE IS ALMOST EXCLUSIVELY SEEN IN MAFUCCIS
  • #45 Despite being rare, they are one of the most frequently encoutered benign epiphyseal neoplasms in skeletally immature patients. *which may lead to the incorrect diagnosis of giant cell tumour) which may lead to the incorrect diagnosis of giant cell tumour)
  • #47 cT demonstrates the plain film findings with better delineation of the relationship to the growth plate and articular surface
  • #48 CHONDROBLASTOMA OF SCAPULA TIBIA epiphyseal  well defined lytic lesions; either smooth or lobulated margins with a thin sclerotic rim Internal calcifications can be seen .
  • #50 Fluid-fluid levels may occasionally be seen (see fluid fluid level containing bone lesions) presumably due to an associated aneurysmal bone cyst
  • #51 T1 - lesion itself is of low to intermediate signal T2 / STIR - lesion is of intermediate to high signa
  • #82 Tests like FNAC is usually non-diagnostic and is dominated by fresh blood 
  • #83 . Occasionally they are also seen in appendicular long bones where they are known as solid aneurysmal bone cysts. Histologically these two entities are identical 6.
  • #87 fluid-fluid levels,  no means unique to it, and is also seen in both benign and malignant lesions (e.g. giant cell tumours (GCT), chondroblastoma, simple bone cysts and telangiectatic osteosarcomas).
  • #88  Also seen in giant cell tumour simple bone cyst On plain films (and to a lesser degree CT) the diagnosis includes most of the lesions