Presented by
Dr. Ajay Kumar Agarwala
Resident (Neurology)
Bangabandhu Sheikh Mujib Medical University,
Dhaka, Bangladesh.
CHRONIC OBSTRUCTIVE
PULMONARY DISEASE
OVERVIEW & UPDATE
Key facts
 90% of COPD deaths occur in low- and middle-income
countries
 The primary cause of COPD is tobacco smoke
 The disease now affects men and women almost equally
 Not curable, but treatment can slow the progression
2
Chronic obstructive pulmonary disease
(COPD)
 3rd leading cause
death in developing world
 Prevalence in Bangladesh
21.25% (above 40 year age)
 Currently total burden about
6 million in BD
(Worldwide 80 million) 3
Picture in Bangladesh
Top 10 Causes of Death
Cancer 13%
Lower Respiratory Infections 7%
Chronic Obstructive Pulmonary
Disease 7%
Ischemic Heart Disease 6%
Stroke 5%
Preterm Birth Complications 4%
Tuberculosis 3%
Neonatal Encephalopathy 3%
Diabetes 3%
Cirrhosis 3%
Source: https://www.cdc.gov/globalhealth/countries/banglade
sh/
It is characterized by Progressive air way limitation
that is not fully reversible.
Emphysema
Chronic Bronchitis
Small airway disease
4
What is COPD?
5
By Spirometry
6
Risk factors
HOST FACTORS
 Genes
 Male sex
 Ethnicity (Caucasians)
 Airway hyper-
responsiveness
 Poor lung development/
poor growth
EXPOSURE FACTORS
 Tobacco smoke (Unusual if
< 10 pack years)
 Occupational-
dust/fumes/Smokes
 Air pollution
 Persistent Infections
(adenovirus, HIV)
 Low Socioeconomic status
7
• Pink puffer
Type A- Emphysema Predominant
• Blue bloater
Type B- Chronic Bronchitis Predominant
Type C- Mixed (MOST COMMON)
8
Types
Abnormal permanent dilatation of airspaces distal to
terminal bronchioles (resp. bronchioles, alveolar
ducts and alveoli)
Emphysema
9
10
Pathology of emphysema
Cigarette leads to inflammatory and immune cell
recruitment within the terminal air spaces < 2mm
Release elastolytic and other proteinases that damage
the ECM
Cell death (Endothelial and Epithelial)
Ineffective repair of elastin and other
ECM leads to airspace enlargement
Small Airways
• Airway inflammation & edema, fibrosis, cellular
infiltration and destruction of elastic fibers of
respiratory bronchiole and alveolar ducts
• Goblet metaplasia and mucus plugs
• Reduce surfactant leads to airway narrowing and
collapse
• Smooth muscle hypertrophy
• Increased airway resistance
• Narrowing and drop out of small airway
Lung Parenchymal Destruction
• Loss of alveolar attachments
• Perforated alveoli coalesce to form large air spaces
• Decrease of elastic recoil
Airway limitation
Decrease pulmonary
and chest wall
compliance
Airway
hyperinflation
Poor gas exchange
Respiratory failure
 Bronchitis is inflammation of the inner lining of the
Bronchi ( Cough & Sputum for most of the days for 3 months
for consecutive 2 years)
Bronchitis
Enlargement of mucus-secreting glands &
goblet cells mainly in large airway
Inflammatory cell infiltrate
(Neutorphil elastase)
Smooth muscle hypertrophy & bronchial
hyper-responsiveness
Increased sputum production and
airway limitation
13
Common Comorbidities
COPD Comorbidities
Increased risk of:
Cardiovascular diseases Cardioselective beta-blockers are not
contraindicated in COPD
Osteoporosis
Respiratory infections
Anxietyand Depression
Diabetes
Lung cancer
These comorbid conditions may influence mortality and
hospitalizations and should be looked for routinely, and
treated appropriately.
HISTORY
 Dyspnoea
 Fatigue, Morning headache (hypercapnia)
 Cough, Sputum +/-
 Frequent respiratory infection
 Risk exposure (Smoke, pollution etc.)
 Family history
15
How to diagnose?
PHYSICAL EXAMINATION
 Pursed lip breathing and use of accessory
respiratory muscles
“ Paradoxical inward movement of the lower rib
cage during inspiration: Hoovers sign”
 Rhonchi, Prolonged expiration, Crackles (if
infection)
 Decreased intensity of breath and heart sound
 Polycythemia, Cyanosis, Digital clubbing
(Malignancy), dependent pitting edema
16
Diagnosis…..(cont.)
 Thin with a barrel chest
 Little or no cough or expectoration
 pursed lips and use of accessory
respiratory muscles
 patients may adopt the tripod sitting
position
 The chest may be hyper-resonant &
wheezing may be heard
 Heart sounds are very distant
 Maintain normal PaC02 until late
stage
17
Emphysema PINK
PUFFER
 Patients may be obese
 Frequent cough and
expectoration are typical
 Coarse Ronchi and
wheezing may be present
 Earlier hypercapnia so
early secondary
Polycythemia
 Patient may have edema
and cyanosis
18
Chronic
bronchitis BLUE
BLOATER
19
INVESTIGATION
The global initiative for chronic obstructive lung disease
(GOLD) used severity staging based on air flow
limitation.
stage I: MILD, FEV1 > 80% of normal
stage II: MODERATE, FEV1 = 50-79% of normal
stage III: SEVERE, FEV1 = 30-49% of normal
stage IV: VERY SEVERE, FEV1 <30% of normal or
<50% of normal with presence of chronic respiratory
failure present
The FEV1:FVC ratio should be <0.70 for all stages
(Post-bronchodilator)
Spirometry
must to
establish
diagnosis
Spirometry: Normal Trace Showing FEV1
and FVC
1 2 3 4 5 6
1
2
3
4
Volume,liters
Time, sec
FVC5
1
FEV1 = 4L
FVC = 5L
FEV1/FVC = 0.8
Spirometry: Obstructive Disease
Volume,liters
Time, seconds
5
4
3
2
1
1 2 3 4 5 6
FEV1 = 1.8L
FVC = 3.2L
FEV1/FVC = 0.56
Normal
Obstructive
 Chest X ray
 HRCT
 Lung volumes
1. Helium dilution technique
2. Body plethysmography
 Arterial blood gas (ABG) 22
Investigation…(cont.)
 CBC
 Sputum examination
 ECG
 ECHO
 Alpha 1 Antitrypsin ( if Basal
Emphysema)
23
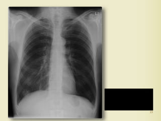
Emphysema
Coarse broncho-
vascular marking
24
Chronic
Bronchitis
Centrilobular (centriacinar)
primarily the upper lobes
Occurs with loss of the
respiratory bronchioles in the
proximal portion of the acinus,
with sparing of distal alveoli.
This pattern is most typical for
smokers
25
26
Panlobular emphysema permanent destruction of the entire
acinus distal to the respiratory bronchioles with no "obvious"
associated fibrosis. Usually affect basal part. Common in patient
with Alpha 1 AT deficiency.
Paraseptal Emphysema & sub
pleural bullae 27
1. Assessment of COPD
2. Relief of symptoms
3. Prevent frequency and severity of exacerbations
4. Improve quality of life
5. Reduce mortality
28
Goals of management
 Modified MRC dyspnoea scale
 Six-minute walk test
 Exercise Oximetry
 COPD assessment test (CAT)
29
Assessment of COPD
30
31
Start pointTurnout point
100 feet/ 30m
100 feet/30m
6 minute walk test
32
33
Pharmacotherapy
A B
DC
Gold stage Ⅰ
Gold stage Ⅲ
Gold stage Ⅳ
Combined COPD Assessment (Airway limitation GOLD
assessment + Exacerbation risk + breathlessness)
≥2 episode in
last one 1
year or
≥1 episode
leading to
hosp
admission
≤ 1episode
not leading to
hosp
admission
Gold stage Ⅱ
mMRC 0-1 mMRC ≥ 2
Low risk, Less symptom
High risk, More symptomHigh risk, Less symptom
Low risk, More symptom
Patient Characteristic SpirometricClas
sification
Exacerbations
per year
mMRC CAT
A Low Risk
Less Symptoms
GOLD 1-2 ≤ 1 0-1 < 10
B Low Risk
More Symptoms
GOLD 1-2 ≤ 1 >2 ≥ 10
C High Risk
Less Symptoms
GOLD 3-4 >2 0-1 < 10
D High Risk
More Symptoms
GOLD 3-4 >2 >2 ≥ 10
Combined Assessment of COPDWhen assessing risk, choose the highest risk according to GOLD grade
or exacerbation history
Patient
category
First recommendation Alternative recomm.
A
Short acting anticholinergic
or Short acting beta2 agonist
as per need (pro re nata)
-Long acting anticholinergic or
-Long acting beta2 agonist or
-Short acting anticholinergic and
Short acting beta2 agonist
B
Long acting anticholinergic
or Long acting beta2 agonist
Long acting anticholinergic and Long
acting beta2 agonist
C
Inhaled corticosterLong
+
Long acting anticholinergic
or Long acting beta2 agonist
-Long acting anticholinergic and
Long acting beta2 agonist or
-LAanticholinergic +PDE4 inhibitor
or
-LAbeta2agonist+ PDE4 inhibitor
D
Inhaled corticosteroid
+
Long acting anticholinergic
and/or Long acting beta2
agonist
LTOT /SURGERY
Inhaled corticosteroid
+
Long acting anticholinergic and Long
acting beta2 agonist or
-LAanticholinergic +PDE4 inhibitor or
-LAbeta2agonist+ PDE4 inhibitor
36
Pharmacotherapy
 Oxygen
 Systemic steroid
 Antibiotic (According to C/S)
 Diuretics (If edema)
 Doxapram
 Parenteral Aminophylline
 Low dose benzodiazepines
 Morphine
37
Other drugs
 Ultra short acting b2 agonist- Indacaterol
 Long acting muscarinic antagonist- Glycopyronium
bromide
 Phosphodiesterase 4 inhibitor- Roflumilast and
Cilomilast
 Newer generation phosphodiesterase inhibitors-
Doxyphyllin
 Mucolytic and anti-oxidant agent- N acetylcysteine
38
Newer drugs
 During exercise
 During exacerbation
 During air travel
 Category D disease (Severe) - LTOT
39
02 Therapy
Temporary Need based
 For continuous use at home in patients with chronic
hypoxaemia
 15 to 19 hours per day including sleeping periods
 2-4 L/min For at least 30 days
 Goal: Increase baseline
Pa02 > 60 mmHg
Sa02 > 90%
40
Long term oxygen therapy
(LTOT)
Indication
1. Chronic hypoxaemia:
 Pa02 < 55 mmHg + PaC02 rise
 Pa02 > 60 mmHg + {pulmonary
hypertension/peripheral edema/ Nocturnal
hypoxaemia} + PaC02 rise
1. Nocturnal Hypoventilation: (Obesity/ Neuromuscular
disease/Obstructive Sleep apnoea)
2. Palliative use: Pulmonary malignancy or other causes
of disabling dyspnoea.
41
Long term oxygen therapy
(LTOT)
 Category C and D disease
 In Category B if steroid shows responsiveness
 Severe exacerbation of COPD
 Frequent exacerbation
Oral Steroid Trial
Differentiation of COPD from Asthma of ACOS
Can it predicts responsiveness to inhaled corticosteroid?
42
When to use inhaled steroid
 Smoking cessation & Reduce exposure to noxious
stimuli
 Vaccination (pneumococcal and Influenza vaccine)
 Exercise training & Breathing exercise
 Nutritional and Psychological counseling
 Palliation (Morphine for breathlessness and
Addressing End of life issue)
 Pulmonary rehabilitation (A holistic multidisciplinary
approach for patients with chronic respiratory
impairment) 43
Other mode of management
Influenza vaccines can reduce serious illness.
Pneumococcal polysaccharide vaccine is
recommended for COPD patients 65 years and older
and for COPD patients younger than age 65 with an
FEV1< 40% predicted.
vaccines
Brief Strategies to Help the
Patient Willing to Quit Smoking
ASSIST For the patient willing to make a quit
ttempt,
offer medication and provide or refer for
counseling or additional treatment to help
the patient quit. For patients unwilling to
quit at the time, provide interventions
designed to increase future quit attempts.
ARRANGE For the patient willing to make a quit
attempt, arrange for followup contacts,
 Lung volume reduction surgery
 Bullectomy
 Lung transplantation
47
Surgery
48
Pulmonary
rehabilitation
components
General
exercise
training
Breathing
retraining
Education
Nutritional
advice
Psychological
support
 Def: Acute change in baseline dyspnoea, cough and/or
sputum that is beyond normal day to day variation
 Cause: 1. Infection 2. pollution 3. unknown (66% cases)
 Types:
Type1: Mild exace. (Risk factor for poor outcome-
)
(H. Influenzae, S. Pneumoniae, Chlamydia, Viruses)
Type2: Moderate exace. (Risk factor for poor outcome +)
(Type 1 plus Presence of resistant organism)
Type3: Severe exace. (Risk factor for poor outcome +)
(Type 2 plus P. aeruginose, Actinobactor)
Exacerbations
50
Exacerbations
 Investigation:
Chest x ray, ECG, Pulse oximetry, ABG
Sputum for gram stain and C/S
CBC, B. Urea, S. Creatinine S. Electrolytes, B. Sugar
 Management: 1. Home-based 2. Hospital-based
Controlled oxygen: at 24% or 28% should be used with the aim of
PaO2above 60 mmHg or an SaO2 between 88% and 92%
without worsening acidosis
Systemic steroid: If baseline FEV1 is <50 % predicted….30-40 mg
of prednisolone for 7-10 day (Nebulized budesonide if risk of
hyperglycaemia or other steroid side effects)
Antibiotic: Aminopenicillin or a Macrolide. Co-amoxiclav if β-
lactamase-producing organisms are known to be common
 Increased intensity or resting dyspnoea
 New sign appearance (cyanosis, edema, arrhythmia)
 Severe underlying disease
 Significant co-morbidities
 Frequent admission
 Diagnostic uncertainty
 Older age
 Inadequate home support
51
Indication for Hospital
admission in exacerbation
 Inadequate response to initial emergency therapy
 Change in mental status (lethargy, confusion, coma)
 Persistent of worsening parameters despite oxygen
and Non-invasive ventilation
Hypoxemia (Pa02) ….less than 40 mmHg
Hypercapnia (PaC02)…..more than 60 mmHg
Respiratory acidosis…..pH <7.35
 Need for invasive ventilation
 Haemodynamic instability needing vasopressor
52
Indication for
ICU admission
 Able to use long acting bronchodilators
 Need for short acting b2 agonist not more than every 4
hour
 Patient can walk, eat and sleep without awakening by
dyspnoea
 Clinically stable for 12-24 hours
 Fully understand the use of medication
 Good support at home
 Follow up plan home care arrangement completed
53
Discharge criteria
 Maintenance pharmacotherapy regimen for home
 Inhaler technique
 Instruction regarding completion of steroid and
antibiotic therapy
 Assess for long term oxygen therapy
 Provide management plan for Comorbidities
 Assurance of a follow up visit within 4-6 weeks
54
Assessment at time of discharge
 Measurement of FEV1
 Inhaler technique
 Ability to cope in usual environment
 Understanding recommended treatment regimen
55
Items to assess at F/U visit
Respiratory failure
Pulmonary hypertension
Arrhythmias
 Corpulmonale
Secondary infection (Pneumonia)
 Osteoporosis
Complications
56
Chronic hypoxia
Pulmonary vasoconstriction
Muscularization
Intimal
hyperplasia
Fibrosis
Obliteration
Pulmonary hypertension
Cor pulmonale
Death
Pulmonary Hypertension in COPD
58
59
Predictors of
BAD prognosis
1) Increased age
2) Declined Post-bronchodilator FEV1
3) Weight loss (Cachexia)
4) Pulmonary hypertension
Body mass index
Obstruction of airflow
Dyspnoea
measurement
Exercise capacity
60
BODE index
BODE score of 0-2 has a mortality rate of around 10% at 52 months, When
BODE score 7-10 mortality rate around 80% at 52 months
61
Distinguishing Asthma From COPD
Lung function test:
 Airway hyper responsiveness (Methacholin challenge test)
 Arterial blood gas (Chronically abnormal in COPD)
 DLCO (reduced in COPD)
 PEFR (Diurnal variation less in COPD)
Inflammatory Biomarkers:
 Skin prick tests for atopy,
 Ig E in blood,
 Blood eosinophilia,
 Suptum cell analysis
Imaging :
 Chest X ray
 HRCT
Differential Diagnosis:
COPD and Asthma
COPD ASTHMA
Onset in mid-life
Symptoms slowly
progressive
Long smoking history
Dyspnea during exercise
Largely irreversible
airflow limitation
Onset early in life (often childhood)
Symptoms vary from day to day
Symptoms at night/early morning
Allergy, rhinitis, and/or eczema also present
Family history of asthma
Largely reversible airflow limitation
Increased but not complete reversibility of the airway obstruction.
2 major and 2 minor required
65
Research Update
66
Beta Blockers in COPD
PLoS One. 2014 Nov 26;9(11):e113048. doi: 10.1371/journal.pone.0113048. eCollection 2014.
Beta-blockers reduced the risk of mortality and
exacerbation in patients with COPD: a meta-analysis
of observational studies.
Du Q1, Sun Y1, Ding N1, Lu L1, Chen Y1.
 An extensive search of the EMBASE, MEDLINE and Cochrane was performed to retrieve the
studies of beta-blockers treatment in patients with COPD. The random effects model meta-
analysis was used to evaluate effect on overall mortality and exacerbation of COPD.
 Fifteen original observational cohort studies with a follow-up time from 1 to 7.2 years
were included. The results revealed that beta-blockers treatment significantly decreased
the risk of overall mortality and exacerbation of COPD. The relative risk (RR) for overall
mortality was 0.72 (0.63 to 0.83), and for exacerbation of COPD was 0.63 (0.57 to 0.71). In
subgroup analysis of COPD patients with coronary heart disease or heart failure, the risk
for overall mortality was 0.64 (0.54-0.76) and 0.74 (0.58-0.93), respectively.
 The findings of this meta-analysis confirmed that beta-blocker use in patients
with COPD may not only decrease the risk of overall mortality but also reduce
the risk of exacerbation of COPD. Beta-blocker prescription for cardiovascular
diseases needs to improve in COPD patients.
Beta-blocker use in patients with COPD may not only decrease the risk of overall
mortality but also reduce the risk of exacerbation of COPD.
68
N-AcetylCysteine in COPD
Abstract
In order to clarify the possible role of N-acetylcysteine (NAC) in the treatment of patients with
chronic bronchitis and chronic obstructive pulmonary disease (COPD), we have carried out a
meta-analysis testing the available evidence that NAC treatment may be effective in preventing
exacerbations of chronic bronchitis or COPD and evaluating whether there is a substantial
difference between the responses induced by low (≤600 mg per day) and high (>600 mg per
day) doses of NAC.
The results of the present meta-analysis (13 studies, 4155 COPD patients, NAC n=1933; placebo or
controls n=2222) showed that patients treated with NAC had significantly and consistently
fewer exacerbations of chronic bronchitis or COPD (relative risk 0.75, 95% CI 0.66–0.84;
p<0.01), although this protective effect was more apparent in patients without evidence of
airway obstruction. However, high doses of NAC were also effective in patients suffering from
COPD diagnosed using spirometric criteria (relative risk 0.75, 95% CI 0.68–0.82; p=0.04). NAC
was well tolerated and the risk of adverse reactions was not dose-dependent (low doses
relative risk 0.93, 95% CI 0.89–0.97; p=0.40; high doses relative risk 1.11, 95% CI 0.89–1.39;
p=0.58).
The strong signal that comes from this meta-analysis leads us to state that if a patient suffering
from chronic bronchitis presents a documented airway obstruction, NAC should be
administered at a dose of ≥1200 mg per day to prevent exacerbations, while if a patient suffers
from chronic bronchitis, but is without airway obstruction, a regular treatment of 600 mg per
day seems to be sufficient.
69
Influence of N-acetylcysteine on chronic bronchitis or COPD exacerbations: a
meta-analysis Mario Cazzola1 , Luigino Calzetta1 , Clive Page2 , Josè Jardim3 ,
Alexander G. Chuchalin4 , Paola Rogliani1 and Maria Gabriella Matera5
patient suffering from chronic bronchitis with documented airway obstruction,
NAC should be administered at a dose of ≥1200 mg per day to prevent
exacerbations, while if a patient suffers from chronic bronchitis, but is without
airway obstruction, a regular treatment of 600 mg per day seems to be sufficient.
Take Home Messages
Harrison's Principles of Internal Medicine .19th E
Davidson's principles and practice of medicine. 22nd E
National guideline on Asthma and COPD. 5th E
71
References
72
THANK YOU!
73
“We Rise by Lifting Others”
Robert ingersoll

COPD overview and update

  • 1.
    Presented by Dr. AjayKumar Agarwala Resident (Neurology) Bangabandhu Sheikh Mujib Medical University, Dhaka, Bangladesh. CHRONIC OBSTRUCTIVE PULMONARY DISEASE OVERVIEW & UPDATE
  • 2.
    Key facts  90%of COPD deaths occur in low- and middle-income countries  The primary cause of COPD is tobacco smoke  The disease now affects men and women almost equally  Not curable, but treatment can slow the progression 2 Chronic obstructive pulmonary disease (COPD)
  • 3.
     3rd leadingcause death in developing world  Prevalence in Bangladesh 21.25% (above 40 year age)  Currently total burden about 6 million in BD (Worldwide 80 million) 3 Picture in Bangladesh Top 10 Causes of Death Cancer 13% Lower Respiratory Infections 7% Chronic Obstructive Pulmonary Disease 7% Ischemic Heart Disease 6% Stroke 5% Preterm Birth Complications 4% Tuberculosis 3% Neonatal Encephalopathy 3% Diabetes 3% Cirrhosis 3% Source: https://www.cdc.gov/globalhealth/countries/banglade sh/
  • 4.
    It is characterizedby Progressive air way limitation that is not fully reversible. Emphysema Chronic Bronchitis Small airway disease 4 What is COPD?
  • 5.
  • 6.
  • 7.
    Risk factors HOST FACTORS Genes  Male sex  Ethnicity (Caucasians)  Airway hyper- responsiveness  Poor lung development/ poor growth EXPOSURE FACTORS  Tobacco smoke (Unusual if < 10 pack years)  Occupational- dust/fumes/Smokes  Air pollution  Persistent Infections (adenovirus, HIV)  Low Socioeconomic status 7
  • 8.
    • Pink puffer TypeA- Emphysema Predominant • Blue bloater Type B- Chronic Bronchitis Predominant Type C- Mixed (MOST COMMON) 8 Types
  • 9.
    Abnormal permanent dilatationof airspaces distal to terminal bronchioles (resp. bronchioles, alveolar ducts and alveoli) Emphysema 9
  • 10.
    10 Pathology of emphysema Cigaretteleads to inflammatory and immune cell recruitment within the terminal air spaces < 2mm Release elastolytic and other proteinases that damage the ECM Cell death (Endothelial and Epithelial) Ineffective repair of elastin and other ECM leads to airspace enlargement
  • 11.
    Small Airways • Airwayinflammation & edema, fibrosis, cellular infiltration and destruction of elastic fibers of respiratory bronchiole and alveolar ducts • Goblet metaplasia and mucus plugs • Reduce surfactant leads to airway narrowing and collapse • Smooth muscle hypertrophy • Increased airway resistance • Narrowing and drop out of small airway Lung Parenchymal Destruction • Loss of alveolar attachments • Perforated alveoli coalesce to form large air spaces • Decrease of elastic recoil Airway limitation Decrease pulmonary and chest wall compliance Airway hyperinflation Poor gas exchange Respiratory failure
  • 12.
     Bronchitis isinflammation of the inner lining of the Bronchi ( Cough & Sputum for most of the days for 3 months for consecutive 2 years) Bronchitis Enlargement of mucus-secreting glands & goblet cells mainly in large airway Inflammatory cell infiltrate (Neutorphil elastase) Smooth muscle hypertrophy & bronchial hyper-responsiveness Increased sputum production and airway limitation
  • 13.
  • 14.
    COPD Comorbidities Increased riskof: Cardiovascular diseases Cardioselective beta-blockers are not contraindicated in COPD Osteoporosis Respiratory infections Anxietyand Depression Diabetes Lung cancer These comorbid conditions may influence mortality and hospitalizations and should be looked for routinely, and treated appropriately.
  • 15.
    HISTORY  Dyspnoea  Fatigue,Morning headache (hypercapnia)  Cough, Sputum +/-  Frequent respiratory infection  Risk exposure (Smoke, pollution etc.)  Family history 15 How to diagnose?
  • 16.
    PHYSICAL EXAMINATION  Pursedlip breathing and use of accessory respiratory muscles “ Paradoxical inward movement of the lower rib cage during inspiration: Hoovers sign”  Rhonchi, Prolonged expiration, Crackles (if infection)  Decreased intensity of breath and heart sound  Polycythemia, Cyanosis, Digital clubbing (Malignancy), dependent pitting edema 16 Diagnosis…..(cont.)
  • 17.
     Thin witha barrel chest  Little or no cough or expectoration  pursed lips and use of accessory respiratory muscles  patients may adopt the tripod sitting position  The chest may be hyper-resonant & wheezing may be heard  Heart sounds are very distant  Maintain normal PaC02 until late stage 17 Emphysema PINK PUFFER
  • 18.
     Patients maybe obese  Frequent cough and expectoration are typical  Coarse Ronchi and wheezing may be present  Earlier hypercapnia so early secondary Polycythemia  Patient may have edema and cyanosis 18 Chronic bronchitis BLUE BLOATER
  • 19.
    19 INVESTIGATION The global initiativefor chronic obstructive lung disease (GOLD) used severity staging based on air flow limitation. stage I: MILD, FEV1 > 80% of normal stage II: MODERATE, FEV1 = 50-79% of normal stage III: SEVERE, FEV1 = 30-49% of normal stage IV: VERY SEVERE, FEV1 <30% of normal or <50% of normal with presence of chronic respiratory failure present The FEV1:FVC ratio should be <0.70 for all stages (Post-bronchodilator) Spirometry must to establish diagnosis
  • 20.
    Spirometry: Normal TraceShowing FEV1 and FVC 1 2 3 4 5 6 1 2 3 4 Volume,liters Time, sec FVC5 1 FEV1 = 4L FVC = 5L FEV1/FVC = 0.8
  • 21.
    Spirometry: Obstructive Disease Volume,liters Time,seconds 5 4 3 2 1 1 2 3 4 5 6 FEV1 = 1.8L FVC = 3.2L FEV1/FVC = 0.56 Normal Obstructive
  • 22.
     Chest Xray  HRCT  Lung volumes 1. Helium dilution technique 2. Body plethysmography  Arterial blood gas (ABG) 22 Investigation…(cont.)  CBC  Sputum examination  ECG  ECHO  Alpha 1 Antitrypsin ( if Basal Emphysema)
  • 23.
  • 24.
  • 25.
    Centrilobular (centriacinar) primarily theupper lobes Occurs with loss of the respiratory bronchioles in the proximal portion of the acinus, with sparing of distal alveoli. This pattern is most typical for smokers 25
  • 26.
    26 Panlobular emphysema permanentdestruction of the entire acinus distal to the respiratory bronchioles with no "obvious" associated fibrosis. Usually affect basal part. Common in patient with Alpha 1 AT deficiency.
  • 27.
    Paraseptal Emphysema &sub pleural bullae 27
  • 28.
    1. Assessment ofCOPD 2. Relief of symptoms 3. Prevent frequency and severity of exacerbations 4. Improve quality of life 5. Reduce mortality 28 Goals of management
  • 29.
     Modified MRCdyspnoea scale  Six-minute walk test  Exercise Oximetry  COPD assessment test (CAT) 29 Assessment of COPD
  • 30.
  • 31.
    31 Start pointTurnout point 100feet/ 30m 100 feet/30m 6 minute walk test
  • 32.
  • 33.
  • 34.
    A B DC Gold stageⅠ Gold stage Ⅲ Gold stage Ⅳ Combined COPD Assessment (Airway limitation GOLD assessment + Exacerbation risk + breathlessness) ≥2 episode in last one 1 year or ≥1 episode leading to hosp admission ≤ 1episode not leading to hosp admission Gold stage Ⅱ mMRC 0-1 mMRC ≥ 2 Low risk, Less symptom High risk, More symptomHigh risk, Less symptom Low risk, More symptom
  • 35.
    Patient Characteristic SpirometricClas sification Exacerbations peryear mMRC CAT A Low Risk Less Symptoms GOLD 1-2 ≤ 1 0-1 < 10 B Low Risk More Symptoms GOLD 1-2 ≤ 1 >2 ≥ 10 C High Risk Less Symptoms GOLD 3-4 >2 0-1 < 10 D High Risk More Symptoms GOLD 3-4 >2 >2 ≥ 10 Combined Assessment of COPDWhen assessing risk, choose the highest risk according to GOLD grade or exacerbation history
  • 36.
    Patient category First recommendation Alternativerecomm. A Short acting anticholinergic or Short acting beta2 agonist as per need (pro re nata) -Long acting anticholinergic or -Long acting beta2 agonist or -Short acting anticholinergic and Short acting beta2 agonist B Long acting anticholinergic or Long acting beta2 agonist Long acting anticholinergic and Long acting beta2 agonist C Inhaled corticosterLong + Long acting anticholinergic or Long acting beta2 agonist -Long acting anticholinergic and Long acting beta2 agonist or -LAanticholinergic +PDE4 inhibitor or -LAbeta2agonist+ PDE4 inhibitor D Inhaled corticosteroid + Long acting anticholinergic and/or Long acting beta2 agonist LTOT /SURGERY Inhaled corticosteroid + Long acting anticholinergic and Long acting beta2 agonist or -LAanticholinergic +PDE4 inhibitor or -LAbeta2agonist+ PDE4 inhibitor 36 Pharmacotherapy
  • 37.
     Oxygen  Systemicsteroid  Antibiotic (According to C/S)  Diuretics (If edema)  Doxapram  Parenteral Aminophylline  Low dose benzodiazepines  Morphine 37 Other drugs
  • 38.
     Ultra shortacting b2 agonist- Indacaterol  Long acting muscarinic antagonist- Glycopyronium bromide  Phosphodiesterase 4 inhibitor- Roflumilast and Cilomilast  Newer generation phosphodiesterase inhibitors- Doxyphyllin  Mucolytic and anti-oxidant agent- N acetylcysteine 38 Newer drugs
  • 39.
     During exercise During exacerbation  During air travel  Category D disease (Severe) - LTOT 39 02 Therapy Temporary Need based
  • 40.
     For continuoususe at home in patients with chronic hypoxaemia  15 to 19 hours per day including sleeping periods  2-4 L/min For at least 30 days  Goal: Increase baseline Pa02 > 60 mmHg Sa02 > 90% 40 Long term oxygen therapy (LTOT)
  • 41.
    Indication 1. Chronic hypoxaemia: Pa02 < 55 mmHg + PaC02 rise  Pa02 > 60 mmHg + {pulmonary hypertension/peripheral edema/ Nocturnal hypoxaemia} + PaC02 rise 1. Nocturnal Hypoventilation: (Obesity/ Neuromuscular disease/Obstructive Sleep apnoea) 2. Palliative use: Pulmonary malignancy or other causes of disabling dyspnoea. 41 Long term oxygen therapy (LTOT)
  • 42.
     Category Cand D disease  In Category B if steroid shows responsiveness  Severe exacerbation of COPD  Frequent exacerbation Oral Steroid Trial Differentiation of COPD from Asthma of ACOS Can it predicts responsiveness to inhaled corticosteroid? 42 When to use inhaled steroid
  • 43.
     Smoking cessation& Reduce exposure to noxious stimuli  Vaccination (pneumococcal and Influenza vaccine)  Exercise training & Breathing exercise  Nutritional and Psychological counseling  Palliation (Morphine for breathlessness and Addressing End of life issue)  Pulmonary rehabilitation (A holistic multidisciplinary approach for patients with chronic respiratory impairment) 43 Other mode of management
  • 44.
    Influenza vaccines canreduce serious illness. Pneumococcal polysaccharide vaccine is recommended for COPD patients 65 years and older and for COPD patients younger than age 65 with an FEV1< 40% predicted. vaccines
  • 45.
    Brief Strategies toHelp the Patient Willing to Quit Smoking ASSIST For the patient willing to make a quit ttempt, offer medication and provide or refer for counseling or additional treatment to help the patient quit. For patients unwilling to quit at the time, provide interventions designed to increase future quit attempts. ARRANGE For the patient willing to make a quit attempt, arrange for followup contacts,
  • 47.
     Lung volumereduction surgery  Bullectomy  Lung transplantation 47 Surgery
  • 48.
  • 49.
     Def: Acutechange in baseline dyspnoea, cough and/or sputum that is beyond normal day to day variation  Cause: 1. Infection 2. pollution 3. unknown (66% cases)  Types: Type1: Mild exace. (Risk factor for poor outcome- ) (H. Influenzae, S. Pneumoniae, Chlamydia, Viruses) Type2: Moderate exace. (Risk factor for poor outcome +) (Type 1 plus Presence of resistant organism) Type3: Severe exace. (Risk factor for poor outcome +) (Type 2 plus P. aeruginose, Actinobactor) Exacerbations
  • 50.
    50 Exacerbations  Investigation: Chest xray, ECG, Pulse oximetry, ABG Sputum for gram stain and C/S CBC, B. Urea, S. Creatinine S. Electrolytes, B. Sugar  Management: 1. Home-based 2. Hospital-based Controlled oxygen: at 24% or 28% should be used with the aim of PaO2above 60 mmHg or an SaO2 between 88% and 92% without worsening acidosis Systemic steroid: If baseline FEV1 is <50 % predicted….30-40 mg of prednisolone for 7-10 day (Nebulized budesonide if risk of hyperglycaemia or other steroid side effects) Antibiotic: Aminopenicillin or a Macrolide. Co-amoxiclav if β- lactamase-producing organisms are known to be common
  • 51.
     Increased intensityor resting dyspnoea  New sign appearance (cyanosis, edema, arrhythmia)  Severe underlying disease  Significant co-morbidities  Frequent admission  Diagnostic uncertainty  Older age  Inadequate home support 51 Indication for Hospital admission in exacerbation
  • 52.
     Inadequate responseto initial emergency therapy  Change in mental status (lethargy, confusion, coma)  Persistent of worsening parameters despite oxygen and Non-invasive ventilation Hypoxemia (Pa02) ….less than 40 mmHg Hypercapnia (PaC02)…..more than 60 mmHg Respiratory acidosis…..pH <7.35  Need for invasive ventilation  Haemodynamic instability needing vasopressor 52 Indication for ICU admission
  • 53.
     Able touse long acting bronchodilators  Need for short acting b2 agonist not more than every 4 hour  Patient can walk, eat and sleep without awakening by dyspnoea  Clinically stable for 12-24 hours  Fully understand the use of medication  Good support at home  Follow up plan home care arrangement completed 53 Discharge criteria
  • 54.
     Maintenance pharmacotherapyregimen for home  Inhaler technique  Instruction regarding completion of steroid and antibiotic therapy  Assess for long term oxygen therapy  Provide management plan for Comorbidities  Assurance of a follow up visit within 4-6 weeks 54 Assessment at time of discharge
  • 55.
     Measurement ofFEV1  Inhaler technique  Ability to cope in usual environment  Understanding recommended treatment regimen 55 Items to assess at F/U visit
  • 56.
    Respiratory failure Pulmonary hypertension Arrhythmias Corpulmonale Secondary infection (Pneumonia)  Osteoporosis Complications 56
  • 57.
  • 58.
  • 59.
    59 Predictors of BAD prognosis 1)Increased age 2) Declined Post-bronchodilator FEV1 3) Weight loss (Cachexia) 4) Pulmonary hypertension
  • 60.
    Body mass index Obstructionof airflow Dyspnoea measurement Exercise capacity 60 BODE index BODE score of 0-2 has a mortality rate of around 10% at 52 months, When BODE score 7-10 mortality rate around 80% at 52 months
  • 61.
    61 Distinguishing Asthma FromCOPD Lung function test:  Airway hyper responsiveness (Methacholin challenge test)  Arterial blood gas (Chronically abnormal in COPD)  DLCO (reduced in COPD)  PEFR (Diurnal variation less in COPD) Inflammatory Biomarkers:  Skin prick tests for atopy,  Ig E in blood,  Blood eosinophilia,  Suptum cell analysis Imaging :  Chest X ray  HRCT
  • 62.
    Differential Diagnosis: COPD andAsthma COPD ASTHMA Onset in mid-life Symptoms slowly progressive Long smoking history Dyspnea during exercise Largely irreversible airflow limitation Onset early in life (often childhood) Symptoms vary from day to day Symptoms at night/early morning Allergy, rhinitis, and/or eczema also present Family history of asthma Largely reversible airflow limitation
  • 64.
    Increased but notcomplete reversibility of the airway obstruction. 2 major and 2 minor required
  • 65.
  • 66.
  • 67.
    PLoS One. 2014Nov 26;9(11):e113048. doi: 10.1371/journal.pone.0113048. eCollection 2014. Beta-blockers reduced the risk of mortality and exacerbation in patients with COPD: a meta-analysis of observational studies. Du Q1, Sun Y1, Ding N1, Lu L1, Chen Y1.  An extensive search of the EMBASE, MEDLINE and Cochrane was performed to retrieve the studies of beta-blockers treatment in patients with COPD. The random effects model meta- analysis was used to evaluate effect on overall mortality and exacerbation of COPD.  Fifteen original observational cohort studies with a follow-up time from 1 to 7.2 years were included. The results revealed that beta-blockers treatment significantly decreased the risk of overall mortality and exacerbation of COPD. The relative risk (RR) for overall mortality was 0.72 (0.63 to 0.83), and for exacerbation of COPD was 0.63 (0.57 to 0.71). In subgroup analysis of COPD patients with coronary heart disease or heart failure, the risk for overall mortality was 0.64 (0.54-0.76) and 0.74 (0.58-0.93), respectively.  The findings of this meta-analysis confirmed that beta-blocker use in patients with COPD may not only decrease the risk of overall mortality but also reduce the risk of exacerbation of COPD. Beta-blocker prescription for cardiovascular diseases needs to improve in COPD patients. Beta-blocker use in patients with COPD may not only decrease the risk of overall mortality but also reduce the risk of exacerbation of COPD.
  • 68.
  • 69.
    Abstract In order toclarify the possible role of N-acetylcysteine (NAC) in the treatment of patients with chronic bronchitis and chronic obstructive pulmonary disease (COPD), we have carried out a meta-analysis testing the available evidence that NAC treatment may be effective in preventing exacerbations of chronic bronchitis or COPD and evaluating whether there is a substantial difference between the responses induced by low (≤600 mg per day) and high (>600 mg per day) doses of NAC. The results of the present meta-analysis (13 studies, 4155 COPD patients, NAC n=1933; placebo or controls n=2222) showed that patients treated with NAC had significantly and consistently fewer exacerbations of chronic bronchitis or COPD (relative risk 0.75, 95% CI 0.66–0.84; p<0.01), although this protective effect was more apparent in patients without evidence of airway obstruction. However, high doses of NAC were also effective in patients suffering from COPD diagnosed using spirometric criteria (relative risk 0.75, 95% CI 0.68–0.82; p=0.04). NAC was well tolerated and the risk of adverse reactions was not dose-dependent (low doses relative risk 0.93, 95% CI 0.89–0.97; p=0.40; high doses relative risk 1.11, 95% CI 0.89–1.39; p=0.58). The strong signal that comes from this meta-analysis leads us to state that if a patient suffering from chronic bronchitis presents a documented airway obstruction, NAC should be administered at a dose of ≥1200 mg per day to prevent exacerbations, while if a patient suffers from chronic bronchitis, but is without airway obstruction, a regular treatment of 600 mg per day seems to be sufficient. 69 Influence of N-acetylcysteine on chronic bronchitis or COPD exacerbations: a meta-analysis Mario Cazzola1 , Luigino Calzetta1 , Clive Page2 , Josè Jardim3 , Alexander G. Chuchalin4 , Paola Rogliani1 and Maria Gabriella Matera5 patient suffering from chronic bronchitis with documented airway obstruction, NAC should be administered at a dose of ≥1200 mg per day to prevent exacerbations, while if a patient suffers from chronic bronchitis, but is without airway obstruction, a regular treatment of 600 mg per day seems to be sufficient.
  • 70.
  • 71.
    Harrison's Principles ofInternal Medicine .19th E Davidson's principles and practice of medicine. 22nd E National guideline on Asthma and COPD. 5th E 71 References
  • 72.
  • 73.
    73 “We Rise byLifting Others” Robert ingersoll