COPD
Islam Ibrahim, MD, FACP, FCCP,
Associate professor of Pulmonary and Critical
care medicine,
University of California San Diego, USA.
Consultant ICU, IMC, KSA.
imibrahim@ucsd.edu
iibrahim@imc.med.sa
(COPD)
DEFINITION
•A common, preventable and treatable
disease that is characterized by persistent
respiratory symptoms and airflow
limitation that is due to airway and/or
alveolar abnormalities usually caused by
significant exposure to noxious particles
or gases.
Symptoms
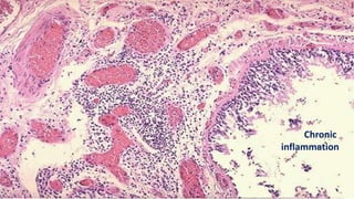
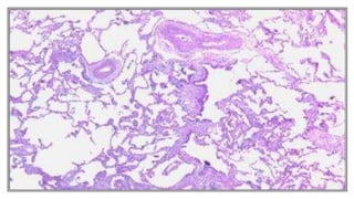
Pathology
•Airways
•parenchyma
•vasculature.
Chronic
inflammation
Gas trapping - Hyperinflation
Airflow limitation
Pathology
Gas exchange
Hypoxemia
Hypercapnia
Gas exchange
hypoxemia
Hypercapnia
Pathology
Pulmonary Vasculature
Pathology
pulmonary
Vasculature
Hypoxic vasoconstriction
Pathology
pulmonary
Vasculature
Pulmonary hypertension.
Hypoxic vasoconstriction
Pathology
pulmonary
Vasculature
Right ventricular hypertrophy
Pulmonary hypertension.
Hypoxic vasoconstriction
Pathology
pulmonary
Vasculature
Right ventricular hypertrophy
Pulmonary hypertension.
Hypoxic vasoconstriction
Right-side cardiac failure.
COPD
Diagnosis
COPD
Diagnosis
COPD
Diagnosis
COPD
Diagnosis
COPD
diagnosis
Lung volumes
D L C O
Diagnosis Severity
Diagnosis Severity
COPD Phenotypes
• Alpha-1 antitrypsin deficiency
• Emphysema/ hyperinflation
• Frequent exacerbators
• Mild airway obstruction but disproportionately severe dyspnea
• Rapid lung function decline
• Comorbidities
• Persistent inflammation, CRP, fibrinogen, WBC
• Chronic bacterial airway colonization
• Lung cancer phenotype
• Severe pulmonary hypertension
• Non-smokers
• Overlap of symptoms between asthma and COPD
COPD Severity
exacerbation risk
>2 exacerbations / year
GOLD 3 and 4
Deteriorating
airflow
GOLD 3 and 4
Deteriorating
airflow
Differential
diagnosis
• Asthma
• Congestive Heart Failure
• Bronchiectasis
• Tuberculosis
• Obliterative Bronchiolitis
• Diffuse Panbronchiolitis
• Alpha-1 antitrypsin deficiency
COPD
Diagnosis
Stable COPD
management strategy
stable COPD
management
strategy
> Health status
• < symptoms
• > exercise tolerance
stable COPD
management
strategy
> Health status
• < symptoms
• > exercise tolerance
REDUCE RISK
• < COPD progression
• < exacerbations
• < mortality
COPD
PREVENTION
Smoking
cessation
PREVENTION
AND
MAINTENANCE
THERAPY
Smoking
cessation
Inhaler
technique
PREVENTION
AND
MAINTENANCE
THERAPY
Smoking
cessation
Inhaler
technique
Influenza
vaccination
Pneumococcal
vaccination
PREVENTION
AND
MAINTENANCE
THERAPY
Smoking
cessation
Inhaler
technique
Influenza
vaccination
Pneumococcal
vaccination
Pulmonary
rehabilitation
PREVENTION
AND
MAINTENANCE
THERAPY
Smoking
cessation
Inhaler
technique
Influenza
vaccination
Pneumococcal
vaccination
Pulmonary
rehabilitation
Oxygen
therapy
PREVENTION
AND
MAINTENANCE
THERAPY
Smoking
cessation
Inhaler
technique
Influenza
vaccination
Pneumococcal
vaccination
Pulmonary
rehabilitation
oxygen
therapy
non-invasive
ventilation
PREVENTION
AND
MAINTENANCE
THERAPY
Smoking
cessation
Inhaler
technique
Influenza
vaccination
Pneumococcal
vaccination
Pulmonary
rehabilitation
oxygen therapy
non-invasive
ventilation
surgical or
bronchoscopic interventional treatments
Brief strategies to help the patient willing to quit
Brief strategies to help the patient willing to quit
• ASK:
• ADVISE:
• ASSESS:
• ASSIST:
• counseling
• pharmacotherapy
• ARRANGE:
• follow up
Treating tobacco
dependence
cost effective
Effective treatments exist
• should be offered Evidence A
• Documentation at every visit.
counseling is effective- every contact
• Practical
• social support
• pharmacotherapies
• varenicline,
• bupropion
• nicotine
• gum
• inhaler,
• nasal spray
• patch
Financial incentive programs
PHARMACOLOGIC
THERAPY FOR
STABLE COPD
PHARMACOLOGIC
THERAPY FOR
STABLE COPD
Reduce
Symptoms
Exacerbations
PHARMACOLOGIC
THERAPY FOR
STABLE COPD
Reduce
Symptoms
Exacerbations
Improve
Exercise tolerance
Health status.
PHARMACOLOGIC
THERAPY FOR
STABLE COPD
Reduce
Symptoms
Exacerbations
Improve
Exercise tolerance
Health status.
Modify decline in lung function.
No evidence
Inhalation drugs
Individually
tailored
Cost,
Patient’s
preference.
Inhalation drugs
Proper technique
Check at each visit
Individually tailored
Cost,
Patient’s
preference.
Inhalation drugs
Adherence
Proper technique
Check at each visit
Individually tailored
Cost, Patient’s preference.
Inhalation drugs
Beta 2
Agonists
SABA
• Formoterol
• Salmeterol
• Indacaterol
• Oladaterol
• Vilanterol
LABA
Beta 2
Agonists
Adverse
effects.
Sinus
tachycardia
tremors
Anti muscarinic
M3 muscarinic receptors
in airway smooth muscle.
Anti muscarinic
M3 muscarinic receptors
in airway smooth muscle.
SAMA
Ipratropium
Oxitropium
Anti muscarinic
M3 muscarinic receptors
in airway smooth muscle.
SAMA
Ipratropium
Oxitropium
LAMA
Tiotropium
Aclidinium
Glycopyrronium
Umeclidinium
Anti
muscarinic
Adverse effects.
Regular Use of SABA
Methylxanthines
Methylxanthines
Toxicity
Combination
bronchodilator
therapy
SABA and
SAMA
Salbutamol /
ipratropium
Superior
LABA- LAMA
formoterol - tiotropium
• bigger impact on FEV1 than
either component alone
1
Comb.
LABA- LAMA
Formoterol / aclidinium
Formoterol / glycopyrronium
Indacaterol / glycopyrronium
Vilanterol / umeclidinium
Olodaterol / tiotropium
LABAs and LAMAs > SABAs
• Evidence A
1 bronchodilator - escalate to 2
• Evidence A
Inhaled bronchodilators > oral
• Evidence A
Theophylline is not recommended
• Evidence B
Bronchodilators.
LABAs and LAMAs > short acting
agents
• Evidence A
1 bronchodilator - escalate to 2
• Evidence A
Inhaled bronchodilators > oral
• Evidence A
Theophylline is not recommended
• Evidence B
Bronchodilators.
LABAs and LAMAs > short acting
agents
• Evidence A
1 bronchodilator - escalate to 2
• Evidence A
Inhaled bronchodilators > oral
• Evidence A
Theophylline is not recommended
• Evidence B
Bronchodilators.
LABAs and LAMAs > short acting
agents
• Evidence A
1 bronchodilator - escalate to 2
• Evidence A
Inhaled bronchodilators > oral
• Evidence A
Theophylline is not recommended
• Evidence B
Bronchodilators.
Anti inflammatory
agents
Anti inflammatory agents
•ICS Long term monotherapy
•is not recommended
•Evidence A
ICS / LABAs
for
patients with
exacerbations
Evidence A
Combination
LABA - ICS
Formoterol /
beclomethasone
Formoterol / budesonide
Formoterol / mometasone
Salmeterol / fluticasone
Vilanterol / fluticasone
Anti inflammatory
therapy in stable COPD
EVIDENCE
ICS - LABA > individual components Evidence A
Regular ICS > pneumonia Evidence A
ICS/LAMA/LABA improves lung function Evidence A
ICS/LAMA/LABA reduces exacerbations Evidence B
EVIDENCE
ICS - LABA > individual components Evidence A
Regular ICS > pneumonia Evidence A
ICS/LAMA/LABA improves lung function Evidence A
ICS/LAMA/LABA reduces exacerbations Evidence B
EVIDENCE
ICS - LABA > individual components Evidence A
Regular ICS > pneumonia Evidence A
ICS/LAMA/LABA improves lung function Evidence A
ICS/LAMA/LABA reduces exacerbations Evidence B
EVIDENCE
ICS - LABA > individual components Evidence A
Regular ICS > pneumonia Evidence A
ICS/LAMA/LABA improves lung function Evidence A
ICS/LAMA/LABA reduces exacerbations Evidence B
EVIDENCE
ICS - LABA > individual components Evidence A
Regular ICS > pneumonia Evidence A
ICS/LAMA/LABA improves lung function Evidence A
ICS/LAMA/LABA reduces exacerbations Evidence B
anti
inflammatory
agents
anti
inflammatory
agents
Long term –oral corticosteroids
anti
inflammatory
agents
is not recommended
Long term –oral corticosteroids
anti
inflammatory
agents
Evidence A
is not recommended
Long term –oral corticosteroids
Anti Inflamatory
Phosphodiesterase-4 inhibitors
Roflumilast
Anti Inflamatory
Phosphodiesterase-4 inhibitors
Roflumilast
WHO ?
Severe airflow obstruction
Exacerbations despite comb.
Bronchodilators in stable COPD
Regular Inhaled bronchodilators Evidence A
SABA or SAMA Evidence A
SABA and SAMA are superior Evidence A
LABAs and LAMAs Evidence A
LAMAs < exacerbation LABAs Evidence A
LABA - LAMA > monotherapy Evidence A
LABA - LAMA > ICS/LABA Evidence B
Tiotropium improves exercise performance Evidence B
Theophylline small bronchodilator effect Evidence A
Mucolytics
NAC
Mucolytics
NAC
Simvastatin
Simvastatin
Antibiotics
Long term azithromycin and erythromycin
reduces exacerbations
Evidence A
Antibiotics
Long term azithromycin and erythromycin
reduces exacerbations
Evidence A
increased bacterial resistance
Evidence A
Antibiotics
Evidence B
Alpha 1 antitrypsin
augmentation therapy
• slow down the progression
of emphysema
alpha-1 antitrypsin augmentation therapy
severe deficiency emphysema
Evidence B
other
pharmacologic
treatments.
Evidence
B
opioids - dyspnea -severe disease
Evidence
B
primary pulmonary hypertension Drugs
are not recommended
Evidence
C
Antitussives not recommended
Pulmonary Rehabilitation
Evidence A Improves
• Dyspnea,
• Health status
• Exercise tolerance
reduces hospitalizations Evidence B
Oxygen therapy
Evidence A
increases survival
NPPV
< hospitalization
(PaCO₂ ≥ 52
Evidence B
< morbidity and mortality
lung
transplantation
Evidence C
Very severe COPD
> quality of life
> functional capacity.
PALLIATIVE, END-OF-LIFE & HOSPICE CARE
•Symptom control
•Palliative approaches
•less than 6 months to live.
PALLIATIVE,
END-OF-LIFE
& HOSPICE
CARE
Opiates
oxygen
Evidence A
fans
Evidence C
nutritional supplementation Evidence B

Copd 30