Community acquired
pneumonia
Ami purohit
Defination
 Inflamation of lung parenchyma
 CAP is defined as an acute infection of the pulmonary paranchyma in a
patient who has acquired the infection in community,as distinguished
from HAP. It occurs within 48 hours of hospitalization or in patient
presenting with pneumonia who does not have any characteristics of
HCAP
 Health care associated pneumonia: Pneumonia acquired in healthcare
facility such as nursing homes haemodialysis center and out patient
clinics or hospitalization within past,received parental
antibiotic,chemotherapy within past 3 months(pneumonia in
nonhospitalized patient who have significant experience with healthcare
system.)
 Hospital acquired pneumonia: pneumonia that occurs 48 hours or more
after hospital admission and that was not present at time of admission
 VAP:pneumonia that occurs 48 hours or more after endotracheal
intubation
Etiology
 Agents include bacteria,fungi,viruses and protozoa
 New pathogens:hantavirus,metapneumovirus,
coronavirus and community acquired strains of methicilline
resistant staphylococcus aureus(MRSA)
pathology
 Congestion: affected lobe boggy and red,vascular
congestion seen with many neutrophils and proteinaceous
fluid many bacteria in alveoili
 Red hepatization: alveolar cell packed with
RBCS,neutrophills and fibrin
 Gray hepatization: red cells are lysed fibrinosuppurative
exudate persist
 Resolution:in uncomplicated case exudates are digested
by enzymes produce semisolid debris which is coughed
up or ingested by macrophage
Risk factors
 CHF
 Smoking ,tobaco,COPD
 HIV
 Diabetes
 Patient with splenectomy
 Immunocompromised
 Alcohol consumption
 Hypoxemia
 Acidosis
 Malnutrition
 Dysphagia
 Alteration in level of consciousness-microaspiration of stomach
content
 Acid reducing agent proton pump inhiitors and h2 blocker
 Antipsychotic drug
Signs and symptoms
Typical pneumonia
 Febrile with tachycardia
 h/o chills and/or sweats
 Cough
 Shortness of breath may or
may not be
 Pleuritic chest pain
 GI symptomos
nausea,vomiting,and/or
diarrhea other
fatigue,headache,mylgia
and arthralgia
Atypical pneumonia
 Gradual and insidious onset
 Low grade fever
 Dry cough no blood tinge
 Moderate amount of sputum
 Moderate elevation of wbc
 Moderate sign of cosolidation
 There may be respiratory
distress out of proportion to the
physical and respiratory finding
Streptococus pneumonia
 Streptococcus most common organisum causing CAP
 increased frequency inthree subsets of patients: (1) those
with underlying chronicdiseases such as CHF, COPD, or
diabetes;
 (2) those with either congenital or acquired immunoglobulin
defects (e.g.,with the acquired immune deficiency syndrome
[AIDS]);and
 (3) those with decreased or absent splenic function(e.g.,
sickle cell disease or after splenectomy).
Hemophillus influenzae
 • Both encapsulated and unencapsulated forms are
important causes of community-acquired pneumonias. The
former can cause a particularly life-threatening form of
pneumonia in children, often after a respiratory viral
infection.
 • Adults at risk for developing infections include those with
chronic pulmonary diseases such as chronic
bronchitis,cystic fibrosis.common cause of acute
exacerbation of COPD
Staphylococcus aureus
• S. aureus is an important cause of secondary bacterial
pneumonia in children and healthy adults after viral
respiratory illnesses (e.g., measles in children and
influenza in both children and adults)
 high incidence of complications,: lung abscess and
empyema.
• Staphylococcal pneumonia occurring in association
with right-sided staphylococcal endocarditis is a
serious complication of IV drug abuse
• It is also an important cause of nosocomial
pneumonia
Klebsiella pneumonia
 K. pneumoniae is the most frequent cause of gram negative
bacterial pneumonia
 Klebsiella-related pneumonia frequently affects debilitated
and malnourished persons, particularly chronic alcoholics.
 • Thick and gelatinous sputum is characteristic, because the
organism produces an abundant viscid capsular
polysaccharide, which the patient may have difficulty
coughing up.
Pseudomonas pneumonia
 Pseudomonas pneumonia also is common in persons
who are neutropenic, usually secondary to
chemotherapy; in victims of extensive burns; and in
patients requiring mechanical ventilation
P. aeruginosa has a propensity to invade blood vessels
at the site of infection, with consequent extrapulmonary
spread; Pseudomonas bacteremia is a fulminant
disease,
 Histologic examination reveals coagulative necrosis of
the pulmonary parenchyma with organisms invading
the walls of necrotic blood vessels (Pseudomonas
vasculitis).
Moraxella Catarrhalis
 M. catarrhalis is being increasingly recognized as a cause of
bacterial pneumonia, especially in elderly persons.
 • It is the second most common bacterial cause of acute
exacerbation of COPD in adults.
 • Along with S. pneumoniae and H. influenzae, M.
Catarrhalis constitutes one of the three most common
causes of otitis media in children
Legionella pneumonia
 L. pneumophila flourishes in artificial aquatic environments,such as water-
cooling towers and within the tubing system of domestic (potable) water
supplies.
 The mode of transmission : either inhalation of aerosolized organisms or
aspiration of contaminated drinking water.
 Legionella pneumonia is common in persons with some predisposing
condition such as cardiac, renal, immunologic,or hematologic disease.
Organ transplant recipients are particularly susceptible.
 Rapid diagnosis is facilitated by demonstration of Legionell aantigens in the
urine or by a positive fluorescent antibody test on sputum samples; culture
remains the standard diagnostic modality. PCR-based tests can be used on
bronchial secretions in atypical cases.
Differential diagnosis
 Acute Bronchitis
 Acute exacerbation of copd
 Heart failure
 Pulmonary embolism
 Radiation pneumonitis
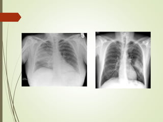
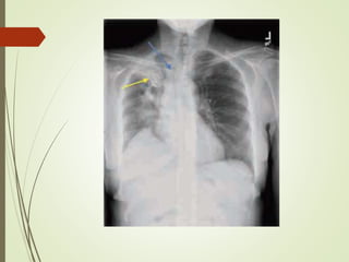
Diagnostic approach
 Chest xray
 Sputum examination
 Blood culture sensitivity: high risk patient as neutropenic,
asplenia,complement deficiency,CLD or severe CAP
 Antigen test: for pneumococcal and certain legionella
antigen in urine
 PCR: detect neucleic acid of legionella spp., M.pneumonia
Expectorated sputum sample are
recommended for hospitalized
patients
 Icu addmission
 Failure of antibiotic therapy
 Cavity lesion
 Active alcohol abuse
 Obstructive or structural lung disease
 Immunocompromised host
 epidemic
Critical microbes
Legionella species
Influenza A and B,avian influenza A H7N9
SARS-CoV
CA-MRSA
complication
 Respiratory failure
 Shock
 Multiorgan failure
 Coagulopathy
 Exacerbation of comorbid illness
 Lung abscess
 Complicated pleural effusion
 Brain abscess by CA MRSA,p.aeuruginosa,s,pneumoniae
Risk factors for drug resistance
 Age>65
 Beta lactums,macrolide or fluroquinolone
 Alcoholism
 Immunosuppressive illness or therapy
 Exposure to child in daycare center
Treatment duration and
response
 Most ambulatory patients with CAP should be treated for five
days including those receiving azithromycine 500mg on first
day followed by 250 mg on subsequent day
 Pt should be afebrile for >48 hours and clinically stable
before therapy is discontinued.
Integrated management of newborn
and childhood illness
Thank you

Community acquired pneumonia

  • 1.
  • 2.
    Defination  Inflamation oflung parenchyma  CAP is defined as an acute infection of the pulmonary paranchyma in a patient who has acquired the infection in community,as distinguished from HAP. It occurs within 48 hours of hospitalization or in patient presenting with pneumonia who does not have any characteristics of HCAP  Health care associated pneumonia: Pneumonia acquired in healthcare facility such as nursing homes haemodialysis center and out patient clinics or hospitalization within past,received parental antibiotic,chemotherapy within past 3 months(pneumonia in nonhospitalized patient who have significant experience with healthcare system.)  Hospital acquired pneumonia: pneumonia that occurs 48 hours or more after hospital admission and that was not present at time of admission  VAP:pneumonia that occurs 48 hours or more after endotracheal intubation
  • 4.
    Etiology  Agents includebacteria,fungi,viruses and protozoa  New pathogens:hantavirus,metapneumovirus, coronavirus and community acquired strains of methicilline resistant staphylococcus aureus(MRSA)
  • 8.
    pathology  Congestion: affectedlobe boggy and red,vascular congestion seen with many neutrophils and proteinaceous fluid many bacteria in alveoili  Red hepatization: alveolar cell packed with RBCS,neutrophills and fibrin  Gray hepatization: red cells are lysed fibrinosuppurative exudate persist  Resolution:in uncomplicated case exudates are digested by enzymes produce semisolid debris which is coughed up or ingested by macrophage
  • 9.
    Risk factors  CHF Smoking ,tobaco,COPD  HIV  Diabetes  Patient with splenectomy  Immunocompromised  Alcohol consumption  Hypoxemia  Acidosis  Malnutrition  Dysphagia  Alteration in level of consciousness-microaspiration of stomach content  Acid reducing agent proton pump inhiitors and h2 blocker  Antipsychotic drug
  • 10.
    Signs and symptoms Typicalpneumonia  Febrile with tachycardia  h/o chills and/or sweats  Cough  Shortness of breath may or may not be  Pleuritic chest pain  GI symptomos nausea,vomiting,and/or diarrhea other fatigue,headache,mylgia and arthralgia Atypical pneumonia  Gradual and insidious onset  Low grade fever  Dry cough no blood tinge  Moderate amount of sputum  Moderate elevation of wbc  Moderate sign of cosolidation  There may be respiratory distress out of proportion to the physical and respiratory finding
  • 11.
    Streptococus pneumonia  Streptococcusmost common organisum causing CAP  increased frequency inthree subsets of patients: (1) those with underlying chronicdiseases such as CHF, COPD, or diabetes;  (2) those with either congenital or acquired immunoglobulin defects (e.g.,with the acquired immune deficiency syndrome [AIDS]);and  (3) those with decreased or absent splenic function(e.g., sickle cell disease or after splenectomy).
  • 12.
    Hemophillus influenzae  •Both encapsulated and unencapsulated forms are important causes of community-acquired pneumonias. The former can cause a particularly life-threatening form of pneumonia in children, often after a respiratory viral infection.  • Adults at risk for developing infections include those with chronic pulmonary diseases such as chronic bronchitis,cystic fibrosis.common cause of acute exacerbation of COPD
  • 13.
    Staphylococcus aureus • S.aureus is an important cause of secondary bacterial pneumonia in children and healthy adults after viral respiratory illnesses (e.g., measles in children and influenza in both children and adults)  high incidence of complications,: lung abscess and empyema. • Staphylococcal pneumonia occurring in association with right-sided staphylococcal endocarditis is a serious complication of IV drug abuse • It is also an important cause of nosocomial pneumonia
  • 14.
    Klebsiella pneumonia  K.pneumoniae is the most frequent cause of gram negative bacterial pneumonia  Klebsiella-related pneumonia frequently affects debilitated and malnourished persons, particularly chronic alcoholics.  • Thick and gelatinous sputum is characteristic, because the organism produces an abundant viscid capsular polysaccharide, which the patient may have difficulty coughing up.
  • 15.
    Pseudomonas pneumonia  Pseudomonaspneumonia also is common in persons who are neutropenic, usually secondary to chemotherapy; in victims of extensive burns; and in patients requiring mechanical ventilation P. aeruginosa has a propensity to invade blood vessels at the site of infection, with consequent extrapulmonary spread; Pseudomonas bacteremia is a fulminant disease,  Histologic examination reveals coagulative necrosis of the pulmonary parenchyma with organisms invading the walls of necrotic blood vessels (Pseudomonas vasculitis).
  • 16.
    Moraxella Catarrhalis  M.catarrhalis is being increasingly recognized as a cause of bacterial pneumonia, especially in elderly persons.  • It is the second most common bacterial cause of acute exacerbation of COPD in adults.  • Along with S. pneumoniae and H. influenzae, M. Catarrhalis constitutes one of the three most common causes of otitis media in children
  • 17.
    Legionella pneumonia  L.pneumophila flourishes in artificial aquatic environments,such as water- cooling towers and within the tubing system of domestic (potable) water supplies.  The mode of transmission : either inhalation of aerosolized organisms or aspiration of contaminated drinking water.  Legionella pneumonia is common in persons with some predisposing condition such as cardiac, renal, immunologic,or hematologic disease. Organ transplant recipients are particularly susceptible.  Rapid diagnosis is facilitated by demonstration of Legionell aantigens in the urine or by a positive fluorescent antibody test on sputum samples; culture remains the standard diagnostic modality. PCR-based tests can be used on bronchial secretions in atypical cases.
  • 19.
    Differential diagnosis  AcuteBronchitis  Acute exacerbation of copd  Heart failure  Pulmonary embolism  Radiation pneumonitis
  • 20.
    Diagnostic approach  Chestxray  Sputum examination  Blood culture sensitivity: high risk patient as neutropenic, asplenia,complement deficiency,CLD or severe CAP  Antigen test: for pneumococcal and certain legionella antigen in urine  PCR: detect neucleic acid of legionella spp., M.pneumonia
  • 26.
    Expectorated sputum sampleare recommended for hospitalized patients  Icu addmission  Failure of antibiotic therapy  Cavity lesion  Active alcohol abuse  Obstructive or structural lung disease  Immunocompromised host  epidemic
  • 27.
    Critical microbes Legionella species InfluenzaA and B,avian influenza A H7N9 SARS-CoV CA-MRSA
  • 31.
    complication  Respiratory failure Shock  Multiorgan failure  Coagulopathy  Exacerbation of comorbid illness  Lung abscess  Complicated pleural effusion  Brain abscess by CA MRSA,p.aeuruginosa,s,pneumoniae
  • 32.
    Risk factors fordrug resistance  Age>65  Beta lactums,macrolide or fluroquinolone  Alcoholism  Immunosuppressive illness or therapy  Exposure to child in daycare center
  • 33.
    Treatment duration and response Most ambulatory patients with CAP should be treated for five days including those receiving azithromycine 500mg on first day followed by 250 mg on subsequent day  Pt should be afebrile for >48 hours and clinically stable before therapy is discontinued.
  • 34.
    Integrated management ofnewborn and childhood illness
  • 36.