Biology 133
Cell Parts and Functions
Cell Membrane
Protects the cell
Lets things in and out of the cell
Location: around the cell
Nucleus
Control center
Location: inside the cell,
near the center
Cell Parts and Functions
Nucleolus (Nucleoli)
Makes ribosomes
Location: inside the nucleus
(dark spot)
Nuclear Membrane
Protects nucleus
Lets things in/out of nucleus (pores)
Location: around nucleus
cell
Cell Parts and Functions
Mitochondria
Makes energy/powerhouse
Location: in cytoplasm
Golgi Bodies/Apparatus
Packages and secretes
(gets rid of) waste
Location: in cytoplasm
Mitochondria
GOLGI APPARATUS
Cell Parts and Functions
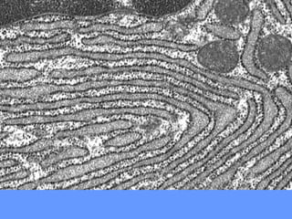
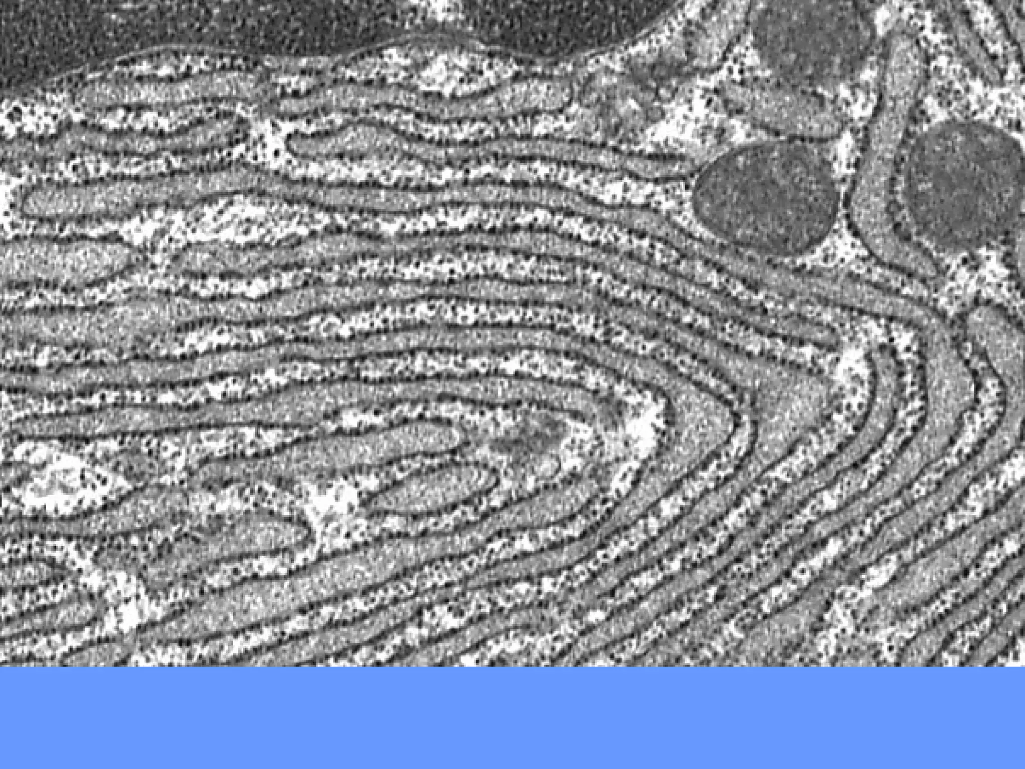
Endoplasmic Reticulum (E.R.)
Transports materials and sends messages to all parts of the
cell
Two types: smooth and rough (has ribosomes)
Location: attaches from cell membrane to nuclear
membrane
Rough E.R.
Cell Parts and Functions
Ribosome
Makes proteins
Location: in cytoplasm or
Attached to E.R.
Vacuole
Stores food and water
Location: in cytoplasm
Vacuole
Cell Parts and Functions
Lysosome
Contains digestive enzymes
Destroys bacteria, old cell parts…
Location: in cytoplasm
Centrioles
Helps the cell to divide
Location: in cytoplasm
Cell Parts and Functions
Cytoplasm
Gel-like substances, holds all
Organelles in cell
Location: in cell
Chromatin/Chromosomes
Contains genetic information/traits
Location: in nucleus
Cell Parts and Functions
Cilia
Short hair-like projections
Used for movement
Location: outside of cell
Flagella
Long whip-like tail
Used for movement
Location: outside of cell
FLAGELLA
Cell Structures and Functions
Chloroplast
Traps suns energy and
Makes food
Location: in plant cells
Cell Wall
Cell Wall
Protects and supports plant
Cells
Prevents water loss
Cellulose
Location: outer layer of plant cells
CYTOSKELETON
Function: Support structure of cell and
transport materials/organelles throughout
the cell.
The highway of the cell.
Made of Microtubules (thin hollow
cylinders) and Microfilaments (thin solid
cylinders)
Location: Inside the cell
CYTOSKELETON
Cell Structures and Functions
Plastids
Stores extra food in
Plant cells
Location: in plant cell
Plant vs. Animal Cell
http://www.cellsalive.com/
Cell Functions
Cell Functions
Cell Functions
Cell Functions
Cell Functions

Cell Functions

  • 1.
  • 3.
    Cell Parts andFunctions Cell Membrane Protects the cell Lets things in and out of the cell Location: around the cell Nucleus Control center Location: inside the cell, near the center
  • 4.
    Cell Parts andFunctions Nucleolus (Nucleoli) Makes ribosomes Location: inside the nucleus (dark spot) Nuclear Membrane Protects nucleus Lets things in/out of nucleus (pores) Location: around nucleus cell
  • 6.
    Cell Parts andFunctions Mitochondria Makes energy/powerhouse Location: in cytoplasm Golgi Bodies/Apparatus Packages and secretes (gets rid of) waste Location: in cytoplasm
  • 7.
  • 8.
  • 9.
    Cell Parts andFunctions Endoplasmic Reticulum (E.R.) Transports materials and sends messages to all parts of the cell Two types: smooth and rough (has ribosomes) Location: attaches from cell membrane to nuclear membrane Rough E.R.
  • 12.
    Cell Parts andFunctions Ribosome Makes proteins Location: in cytoplasm or Attached to E.R. Vacuole Stores food and water Location: in cytoplasm
  • 13.
  • 14.
    Cell Parts andFunctions Lysosome Contains digestive enzymes Destroys bacteria, old cell parts… Location: in cytoplasm Centrioles Helps the cell to divide Location: in cytoplasm
  • 16.
    Cell Parts andFunctions Cytoplasm Gel-like substances, holds all Organelles in cell Location: in cell Chromatin/Chromosomes Contains genetic information/traits Location: in nucleus
  • 17.
    Cell Parts andFunctions Cilia Short hair-like projections Used for movement Location: outside of cell Flagella Long whip-like tail Used for movement Location: outside of cell
  • 19.
  • 20.
    Cell Structures andFunctions Chloroplast Traps suns energy and Makes food Location: in plant cells
  • 21.
    Cell Wall Cell Wall Protectsand supports plant Cells Prevents water loss Cellulose Location: outer layer of plant cells
  • 22.
    CYTOSKELETON Function: Support structureof cell and transport materials/organelles throughout the cell. The highway of the cell. Made of Microtubules (thin hollow cylinders) and Microfilaments (thin solid cylinders) Location: Inside the cell
  • 23.
  • 24.
    Cell Structures andFunctions Plastids Stores extra food in Plant cells Location: in plant cell
  • 25.
    Plant vs. AnimalCell http://www.cellsalive.com/